Фораминальные грыжи. Фораминоскопия. Фораминопластика.
Добавил пользователь Валентин П. Обновлено: 02.11.2025
Грыжи различают по локализации, размеру, давности возникновения, уровню позвоночника, на котором произошло образование грыжи.
Грыжа Шморля - это рентгенологический феномен пустоты в теле позвонка, с основанием, обращенным в сторону диска. Описан немецким врачом в начале XX столетия. Такие изменения в телах позвонков не играют никакой роли в опорной и динамической функции позвоночника, и не требуют специального лечения. Современные спинальные хирурги говорят так - "что-то вроде родинки на позвонке"
Передняя грыжа диска - благоприятный, но редко встречающийся тип грыжи. Выпадение грыжи кпереди от тела позвонка часто обнаруживается случайно, специального лечения не требует.
Задняя грыжа диска - общее название грыж диска, которые можно лечить хирургическим путем, иными словами - это грыжа, выпавшая назад, в просвет позвоночного канала. Наиболее часто встречающийся вариант грыжи межпозвонкового диска. При неэффективности консервативного лечения на протяжении 4-8 недель - показана операция на позвоночнике.
| Медианная грыжа межпозвонкового диска - редкое расположение грыжевого выпячивания, практически всегда - на уровне L5-S1. При большом размере грыжи диска операция выполняется обязательно - для предупреждения нарушения функции тазовых органов. | ![]() |
![]() | Парамедианная грыжа диска - самый часто встречающийся тип грыжи диска, среди пациентов, попадающих к хирургу, когда грыжевой мешок выпячивается в проекции манжетки корешка (самое болезненное место у нерва), а также вызывает компрессию дурального мешка и проходящих в нем нескольких нервных корешков, что смазывает классическую неврологическую картину заболевания. Пациенты с такими грыжами могут достаточно долго - порой до полугода - с переменным успехом лечиться у невролога, пока не попадут на консультацию к нейрохирургу, и, испытав долгий период постоянной боли, - приходят к выводу о неизбежности операции. при этом в послеоперационном периоде многие сожалеют, что так долго терпели, и не знали о том, что операция на позвоночнике - это легкий и быстрый путь жить без боли |
| Латеральная грыжа межпозвонкового диска - второй по частоте вариант расположения грыжи диска, когда хрящ прорывает все связки позвоночника и занимает положение в латеральном кармане - наиболее узком месте у входа нервного корешка в просвет позвоночного канала. Как правило, обычные обезболивающие никогда не снимают полностью боли в ноге при таком расположении грыжи диска. Пациенты, быстро испробовав на себе различные варианты терапии, как только узнают об истинной причине болей - быстро соглашаются на операцию на позвоночнике. | ![]() |
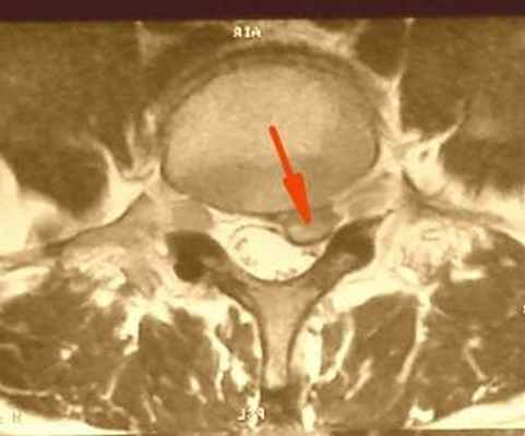
![]() | Фораминальная грыжа диска - редкий тип грыж диска, может сочетаться с истмическим спондилолизом, который в свою очередь дагностируется при спиральной компьютерной томографии. Сложен в диагностике, так как в просвете позвоночного канала грыжи не находят, но боли очень сильные. В этом случае небольшая - 3-4мм грыжа диска располагается в самом узком месте - фораминальном отверстии, где совсем небольшой кусочек хряща может сильно зажать нервный корешок. Лечение исключительно хирургическое. |
Экстрафораминальная грыжа диска - также достаточно редкий и сложный в диагностике тип грыжи, его еще можно назвать как задне-боковая грыжа диска - в этом случае большой секвестр прорывает фиброзное кольцо по задне-боковой поверхности, попадает в область сосудисто-нервного пучка, раздвигает нервы и сосуды, и со всех сторон окутывает нервный корешок. При этом боль четко соответствует одному больному корешку, постоянна, не зависит от положения тела. Хирургическое лечение всегда приводит к быстрому снятию болевых симптомов.
Секвестрированная грыжа межпозвонкового диска - грыжа диска с отшнуровавшимся кусочком пульпозного ядра. 100% показания к операции.
Фораминальные грыжи. Фораминоскопия. Фораминопластика.
Фораминальные грыжи. Фораминоскопия. Фораминопластика.
Новой хирургической методикой эндоскопического вмешательства на поясничном отделе позвоночника является фораминоскопия и фораминопластика. Проходящий через межпозвоночное отверстие нервный корешок может быть компремирован, вызывая клиническую картину радикулопатии. Наиболее частой причиной компрессии являются латеральные грыжи межпозвоночных дисков. Они встречаются с частотой 4-10% среди всех грыж дисков поясничного отдела позвоночника.
Отличительной чертой этих грыж является трудность адекватного выбора метода хирургической техники и неудовлетворительные результаты традиционных оперативных вмешательств. Латеральные грыжи дисков - это понятие, включающее фораминальные (расположенные в межпозвоночном отверстии) и экстрафораминалъные грыжи (расположенные латеральнее межпозвоночного отверстия).
Фораминальные грыжи разделяются на:
• медиальные - расположенные у входа в межпозвоночное отверстие;
• интрафораминалъные -расположенные в межпозвоночном отверстии;
• латеральные - расположенные у выхода из межпозвоночного отверстия.

Наиболее часто латеральные грыжи межпозвоночных дисков располагаются на уровне L4/L5 и L5/S1.
Причиной компрессии корешка в межпозвоночном отверстии, кроме грыж дисков, могут быть сегментарная нестабильность и возникающие вследствие этого остеофиты, расположенные в межпозвоночном отверстии, гипертрофия фасетки, дегенеративные инвагинации, латеральный ли-стез. В последнее время границы применения методики постепенно расширяются.
Разработанные и используемые в клинической практике подходы к межпозвоночным отверстиям отличаются разнообразными техническими трудностями, поэтому вопрос о наиболее рациональном доступе дискутируется.
Для выполнения эндоскопической трансфораминальной дискэктомии создан определенный набор инструментов.
В настоящее время фораминоскопия и фораминопластика большинством нейрохирургов используется для удаления интрафораминальных и латеральных грыж межпозвоночных дисков.
Для проведения фораминоскопии используются специальные эндоскопы (фораминоскопы) с необходимыми инструментами. Возможно использование гибких эндоскопов. Описано (K.Folley, M.Smith, 1999) применение для этой процедуры MED-системы (MicroEndoscopic Discectomy). Из вспомогательных методик наиболее частое применение находит лазерная техника (M.Knight, 1999).
Больного укладывают животом вниз на конструкцию Wilson с наклоном операционного стола на 20-30 в сторону, противоположную вмешательству, производится обработка операционного поля, отмечается средняя линия.
Под постоянным рентгеноскопическим контролем в 4,5-5 см от средней линии на уровне патологии вводится спинальная игла в направлении места соединения поперечного отростка и pars interarticularis вышележащего позвонка (т.е. игла направляется на L4 позвонок, если грыжа L4/L5 межпозвоночного диска). Подобно вышеописанной методике («Эндоскопическая дискэктомия заднебоковым доступом») последовательно вводятся дилататоры.
Последний дилататор заменяется тубулярным ретрактором или тубусом фораминоскопа, в который устанавливают эндоскоп и рабочие инструменты. Дисталъная часть эндоскопа установлена в место соединения поперечного отростка и pars interarticularis. Эндоскопически производится скелетизация при помощи биполярной коагуляции, микроножниц, питуитарными кусачками. Мелкие сосуды коагулируются и пересекаются, рассекаются спайки.
Последовательно с помощью кюретки производится диссекция тканей мышц в направлении межпозвоночного отверстия. После визуализации корешка становятся видимыми компремирующие факторы, которые устраняются. Секвестры грыж удаляются, спайки коагулируются и пересекаются, остеофиты резецируются с помощью кусачек Kerrison. При проведении манипуляций в непосредственной близости от корешка целесообразно орошение его раствором фентанила (1 мл фентанила разводится 3 мл физиологического раствора хлорида натрия).
После осуществления декомпрессии корешка тубус направляется в сторону межпозвоночного диска, и операция дополняется дискэктомией. Эти этапы могут проводиться в обратной последовательности, в зависимости от ситуации. Операционное поле орошается одним из кортико-стероидных препаратов. После окончания вмешательства ретрактор вынимается, и накладываются швы на мягкие ткани.
Информация на сайте подлежит консультации лечащим врачом и не заменяет очной консультации с ним.
См. подробнее в пользовательском соглашении.
Фораминальная грыжа диска

Фораминальная грыжа диска — одна из разновидностей грыжи, которая имеет место в 10% от общего количества этой патологии. Она характеризуется выбуханием межпозвоночного диска в пространство, где находятся нервные корешки, отходящие от спинного мозга.
Фораминальная грыжа межпозвоночного диска характеризуется сильными болевыми ощущениями, которые невозможно снять обычными обезболивающими средствами.
Если вы страдаете от данного заболевания, немедленно обращайтесь в отделение нейрохирургии клиники ЦЭЛТ. Мы располагаем всем необходимым для того, чтобы вам помочь!
операция, анестезиологическое пособие, перевязки, медикаменты, питание и пребывание в стационаре, наблюдение хирургом в послеоперационном периоде.
- стойкие и выраженные симптомы сдавления спинномозговых нервов грыжей межпозвонкового диска, не поддающиеся консервативной терапии
- желание пациента избавиться от болевого синдрома
- хронические заболевания в стадии декомпенсации
- острые воспалительные процессы в организме
Виды фораминальной грыжи
Классификация данного вида грыж осуществляется по нескольким параметрам:
- сторона выхода нерва: лево- и правосторонняя грыжа;
- месторасположение в позвоночнике: поясничная, шейная, грудная грыжа.
- направление: в самом отверстии, у выхода/входа в него, в отверстии между позвонками (парамедианно-фораминальная грыжа диска), внутрь канала (дорзальная).
Фораминальная грыжа диска L5-S1
Фораминальная грыжа диска L5-S1 вполне заслуженно считается самой распространённой. Она находится в поясничном отделе, на который приходится вся нагрузка, которая не ослабевает даже тогда, когда тело пребывает в горизонтальном положении. Максимум нагрузки на данную область приходится во время спортивных тренировок, поднятия тяжестей и физической активности.
Фораминальная грыжа диска L4-L5
Фораминальная грыжа диска L4-L5 занимает по распространённости второе место. Её появление и рост приводят с сильным болевым ощущениям, которые могут сопровождаться атрофией нижней конечности с поражённой стороны.
Фораминальная грыжа диска С6-С7
Поскольку фораминальная грыжа диска С6-С7 находится в шейном отделе позвоночника, она характеризуется следующей симптоматикой:
- болевые ощущения в шее и задней стороне руки;
- ощущение слабости при сгибании/разгибании кисти/плеча;
- онемение в среднем и безымянном пальце;
- ограничение движений шеей;
- ослабление рефлекса трёхглавой мышцы.
Диагностика фораминальной грыжи
Если вы страдаете от сильных болевых ощущений, которые невозможно устранить при помощи обычных обезболивающих препаратов, обращайтесь в клинику ЦЭЛТ. Наши специалисты проведут диагностические исследования, определят расположение грыжи и её влияние на окружающие ткани и в зависимости от полученных результатов назначат лечение.
Мы располагаем современным диагностическим оборудованием, которое позволяет нам проводить следующие исследования:
Помимо этого, проводится осмотр у врача и сбор анамнеза.
Лечение фораминальной грыжи
В большинстве случаев наши специалисты начинают лечение консервативными способами и только при наличии неоспоримых показаний предлагают своим пациентам оперативное вмешательство.
Консервативное лечение проводится в комплексе и предусматривает:
- приём нестероидных противовоспалительных средств, анальгетиков и других препаратов, позволяющих снизить болевые ощущения, устранить воспалительные процессы, уменьшить отёчность и улучшить кровяное и лимфатическое снабжение поражённых тканей;
- проведение массажа, лечебную физкультуру, мануальную терапию, которые позволяют укрепить мышечный корсет и свести к минимуму травмирующие факторы;
- проведение локальных инъекций, вытяжение позвоночника, электрофорез, которые позволяют свести к минимуму выпячивание грыжи.
В случае, пациент испытывает выраженный болевой синдром, который невозможно снять, или паралич конечностей, наши нейрохирурги проводят операцию. Мы используем самые современные методы лечения, которые хорошо себя зарекомендовали!
Фораминальная грыжа межпозвоночного диска

Грыжа межпозвоночного диска - это довольно обширное название всей патологии, которая связана с нарушением целостности фиброзного кольца. Но в зависимости от локализации грыжи, ее размеров, способа образования выделяют несколько разновидностей этих морфологических образований. Ниже мы разберем, что такое фораминальная грыжа позвоночника поясничного отдела и более подробно остановимся на фораминальной грыже межпозвоночного диска l4 l5, самой часто встречаемой.


Грыжа межпозвоночного диска - это довольно обширное название всей патологии, которая связана с нарушением целостности фиброзного кольца. Но в зависимости от локализации грыжи, ее размеров, способа образования выделяют несколько разновидностей этих морфологических образований. Ниже мы разберем, что такое фораминальная грыжа позвоночника поясничного отдела и более подробно остановимся на фораминальной грыже межпозвоночного диска l4 l5, самой часто встречаемой.
Под фораминальной грыжей позвоночника понимают выпячивание фиброзного кольца межпозвоночного диска за пределы его нормального анатомического расположения в фораминальное отверстие - место, где располагаются корешки спинномозговых нервов.
Этот вид грыжи считается наиболее опасным, так как в результате выхода фиброзного кольца происходит защемление нервных корешков. При этом пациент испытывает сильные болевые ощущения, нарушается двигательная активность, что значительно ухудшает качество жизни больного.

Классификация
При этом виде грыжи фиброзное кольцо выходит за пределы позвонка по средней линии позвонка (спереди или сзади).
Вышедшее за пределы фиброзное кольцо равномерно распределяется вокруг позвоночного канала. Этот вид фораминальной грыжи встречается чаще всего в клинике.
Судя по названию, становится понятно,и что для грыжи данного вида характерна точная локализация по правой или левой стороне от позвоночника.
Симптомы
Как и в случае с другими разновидностями грыжи основным симптомом, который беспокоит пациента, является интенсивная боль. Характер боли во многом определяется размерами грыжи и местом ее локализации.
Боль возникает как в месте проекции грыжи, так и иррадиирует в конечности. Помимо интенсивных выраженных стреляющих болей, меняющих свой характер в зависимости от движения, пациента беспокоят ноющие монотонные боли, сохраняются постоянно.
Еще одним симптомом выступает мышечная слабость. Это напрямую связано с нарушением мышечной трофики из-за сдавления нервных корешков.
Прием длится 60 минут, включает в себя диагностику, анализ вашего МРТ и составление плана лечения, проходит как в очном формате, так и онлайн.
Фораминальная грыжа диска L4-L5
Отдельное внимание стоит уделить этой разновидности грыжи, так как она чаще всего беспокоит пациентов. Это связано с анатомическим строением опорно-двигательного аппарата. Дело в том, что в поясничном отделе расположены самые массивные позвонки, так как на них в течение дня приходится большая нагрузка. По естественным причинам межпозвоночные диски поясничного отдела больше всего подвержены деструктивным изменениям.
Если у пациента слабый мышечный каркас, то процесс деструкции и выпячивания фиброзного кольца будет прогрессировать довольно быстро. В таком случае патология может сопровождаться искривлением позвоночника - компенсаторным механизмом организма для снижения нагрузки в том отделе позвоночника, который страдает больше всего.
Не откладывайте начало лечения. Записывайтесь на прием к неврологу Клиники Ткачева Епифанова по телефону: 8 (958) 405-53-27
Фораминальная грыжа межпозвоночного диска: причины, симптомы, лечение
Грыжа межпозвоночного диска – это обобщенный диагноз, который в целом означает, что отдельные сегменты позвоночника потеряли свою целостность, функционал и нормальное расположение. При этом грыжи разделяются на виды, в зависимости от способа их образования, степени опасности, локализации и другим признакам. Грыжи в целом имеют типичную локализацию, то есть образуются в определенных отделах позвоночника: пояснично-кресцовый и шейный. Именно на эти отделы приходится наибольшая часть нагрузки. В данной статье речь пойдет о такой разновидности патологии межпозвоночного диска как фораминальная грыжа.
1. Что такое фораминальная грыжа
Чтобы понять что такое грыжа и как она образуется следует сначала рассмотреть как выглядит здоровый сегмент позвоночника с межпозвоночным диском. Межпозвоночный диск состоит из фиброзного кольца и пульпозного ядра желеобразной консистенции. В непосредственной близости с диском проходит спиной мозг в твердой мозговой оболочке. Отходящий от него спино-мозговой нерв с чувствительным и двигательным корешком лежит в костном ложе – фораминальном отверстии. В нормальных условиях в нем достаточно места для данного нервного образования. Фораминальная грыжа диска l4 l5 – это выпячивание фиброзного содержимого хряща за его нормальные пределы в фораминальное пространство. В результате такого выпячивания происходит ущемление спинномозгового нерва, что, безусловно, вызывает сильные болевые ощущения и становится причиной нарушения двигательной активности и работоспособности человека. Именно этот вид грыжи считается наиболее опасным.
2. Виды фораминальной грыжи
Фораминальные грыжи в свою очередь делятся на несколько подвидов, в зависимости от того в каком направлении они образовываются.
2.1 Медианно-фораминальная грыжа
Медианно-фораминальная грыжа диагностируется в случаях, когда выбухание фиброзного кольца с выпадением секвестра произошло по центральной линии позвонка в переднем либо заднем направлении. Определить локализацию такой грыжи довольно просто – она совпадает с локализацией болезненных ощущений пациента. Медиальная грыжа диска опасна потому, что затрагивает и повреждает спинномозговой канал, проходящий по позвоночному столбу. Чем больше грыжа, тем больше сдавливание, сильнее боль.
2.2 Циркулярно-фораминальная грыжа
Наименее распространенным видом грыжи является циркулярно-фораминальная. Для неё характерно равномерное распространение элементов разрушенного межпозвоночного диска в направлении межпозвоночного канала. При наличии подобной грыжи становится трудно совершать движения, нарушается общая подвижность. В области образования грыжи отмечается отечность, из-за которой и происходит сдавливание нервных корешков и спинного мозга.
2.3 Правосторонние и левосторонние фораминальные грыжи
Уже из названия данных видов грыж понятно, что выделяются они точной локализацией – слева или справа. Наиболее часто при этом встречается левосторонняя грыжа. Опасны такие грыжи тем, что сдавливая нервные структуры в позвоночнике или оказывают влияние на состояние нервной системы в целом. Возникая в шейном отделе, левосторонняя фораминальная грыжа может вызывать у пациента резкую головную боль, становится причиной нарушения слуха или зрения.
3. Симптомы
Главный симптом фораминальной грыжи – боль. Чем больше грыжа, чем сильнее зажаты нервные пучки, тем сильнее проявляется боль. Иногда обычные анальгетики и обезболивающие средства не могут снять боль и пациенту приходится назначать наркотические препараты (при этом нужно помнить, что убирая на время боль, они оказывают негативное влияние на организм в целом, вызывают зависимость). Ещё одним симптомов фораминальной грыжи является общая мышечная слабость. Мышцы просто не получают нужное количество нервных импульсов, поскольку часть нервных пучков сдавлены и атрофированы. У пациентов, страдающих от межпозвоночной грыжи, также снижаются рефлексы, чувствительность. Также грыжа может вызывать головные боли, боли в шее и плечах. Боли могут быть постоянными, ноющими или возникающими периодически сильными прострелами.
3.1 Грыжа диска L4 L5
3.2 Грыжа диска L5 S1
Болевой синдром при грыже дисков L5 S1 локализуется в поясничном отделе. Особенно сильно боль ощущается в движении, при наклонах, повороте корпуса.
3.3 Грыжа диска С5 С6
При фораминальной грыже С5 С6 боль локализуется в большей степени в шейном отделе позвоночника. Пациенту трудно совершать повороты головы, наклоны и другие движения. Боль может отдавать и в голову.
4. Методы диагностики
Для диагностики фораминальной межпозвоночной грыжи врачи-неврологи прибегают к таким методам как магнитно-резонансная томография, компьютерная томография, рентген. На полученных после обследования снимках можно увидеть, какой именно межпозвоночный диск поврежден, насколько сильно его разрушение и смещение, в каком направлении выпячивается грыжа, насколько сильно зажаты нервные пучки.
5. Лечение
Лечение фораминальной грыжи может быть нескольких видов.
5.1 Консервативная терапия
Консервативная терапия заключается в подборе наиболее эффективных обезболивающих средств, назначении комплекса упражнений лечебной физкультуры и гимнастики, массажа, мануальной терапии, физиотерапевтических процедур. Такое лечение назначается в случаях, когда выпячивание грыжи небольшое.
5.2 Хирургическая операция
При наличии межпозвонковой грыжи или протрузии больших размеров, а также при неэффективности консервативной терапии пациенту может быть показана операция. Современные медицинские технологии позволяют довольно быстро удалять грыжи без существенных надрезов и, не травмируя сам позвоночника. Выполняются такие операции чаще всего эндоскопически.
6. Реабилитация
После прохождения курса лечения каждому пациенту нужно пройти период реабилитации. Здесь нужно запастись терпением и привыкнуть к тому, что на время привычный образ жизни придется поменять. Необходимо носить специальный поддерживающий бандаж, корсет, заниматься ЛФК, посещать занятия по плаванию, йоге – лечащий врач назначит пациенту конкретные восстановительные процедуры.
7. К какому врачу обратиться
Для лечения медианно-фораминальной, циркулярно-фораминальной, парамедианной, левосторонней, правосторонней и других видов грыжи поясничного или шейного отдела позвоночника следует обращаться к врачам-неврологам. Одни из лучших специалистов в данной области работают в клинике «Энерго» и будут рады помочь вам в вашей проблеме. Если заболевание окажется достаточно серьезным, то врачи-неврологи в процессе диагностики и назначения терапии могут работать в тандеме с массажистами, физиотерапевтами, массажистами и другими специалистами, которые имеют большой опыт борьбы с болью и с её причинами.
Читайте также:




