Фтизиатрия - симптомы и лечение
Добавил пользователь Евгений Кузнецов Обновлено: 27.01.2026
Туберкулез костей и суставов: симптомы, первые признаки, лечение
Туберкулез суставов – специфическая болезнь костей скелета, вызываемая микобактерией.
Инфицирование происходит лимфогематогенным путем из пораженного органа, либо путем попадания бактерий извне (воздушно-капельным путем, через кишечник).
Факторы риска
Развитие туберкулеза более вероятно в присутствии следующих факторов:
- асоциальный образ жизни;
- физические перегрузки организма;
- контакт с больными открытой формой туберкулеза;
- травмы костей, суставов;
- плохое питание;
- бытовая антисанитария;
- частые переохлаждения.
Симптомы туберкулеза костей и суставов
Вместе с кровью или лимфой микобактерии попадают в костные ткани, начинают усиленно размножаться. Образуются специфические гранулемы.
Вскоре они сливаются друг с другом, костные ткани некротизируются, развивается остеопороз (размягчение кости).
Зачастую недуг поражает позвоночный столб, тазобедренный, коленный суставы. Остальные части скелета страдают редко.
Туберкулез позвоночника (туберкулезный спондилит) – при отсутствии медицинской помощи этот недуг влечет за собой потерю трудоспособности пациента, паралич.
Начинается заболевание с поражения одного позвонка. В скором времени болезнь поражает близрасположенные костные отростки.
Происходит искривление позвоночного столба (сколиоз), вырастает горб (кифоз), это ведет к серьезным осложнениям.
В большинстве случаев диагностируют поражение грудного и поясничного отделов позвоночника.
Симптомы туберкулеза позвоночника
Различают три фазы развития болезни:
- предспондилитическая. Признаки болезни выражены слабо. Инфекционный процесс в самом начале развития. Больной отмечает вялость, слабость, быструю утомляемость. Неприятные ощущения в области позвоночного столба, быстро проходящие во время отдыха.
На этом этапе мало кто обращается к врачу и болезнь прогрессирует. - спондилическая. Появляются частые поясничные боли, скованность в движении. Постоянное напряжение мышц спины, из-за болевого синдрома, изменяет походку больного, заставляет чаще отдыхать. Мышечный каркас спины ослабевает, искривляется осанка. Возникают боли в спине в ночное время.
- постспондилическая фаза. Ярко выражены изменения позвоночника (кифоз или сколиоз), сильная атрофия мышц, непрекращающиеся боли в спине, наличие осложнений со стороны других органов и систем.
- предартритная. При надавливании на пораженный участок тела возникает боль. Сгибание и разгибание конечности производится в несколько этапов, это сопровождается неприятными ощущениями. Наблюдается незначительное ухудшение самочувствия: утомляемость, слабость, нервозность. При визуальном осмотре видимых изменений в области поражения не наблюдается.
- артритная. Субфебрильная температура тела. Инфицированная кожа напряжена, отечна, становиться гладкой, блестящей. Наблюдается болезненность и покраснение. При поражении коленного сустава больной начинает хромать. Ярко выражены признаки интоксикации: повышение температуры тела, потливость, слабость, бессонница, снижение аппетита.
- постартритная. Сустав полностью деформирован. Пораженная конечность укорочена, ее мышцы атрофированы. Признаки воспаления стихают, температура тела нормализуется, боль локализуется в пораженном органе.
- анализ крови, мочи, мокроты;
- рентгенография, рентгеноскопия;
- обзорная томография;
- биохимические и цитологические анализы;
- артрография;
- проба Манту;
- подробный сбор анамнеза.
- Остановить инфекционный процесс;
- Предотвратить дальнейшее разрушение костной и суставной ткани;
- Добиться полного уничтожения очага поражения;
- Восполнить иммунодефицит организма больного.
- Пункция — производят прокол гнойного очага инфекции, удаляется его содержимое, полость обрабатывается антибиотиками.
- Некрэктомия — удаляются омертвевшие мягкие ткани.
- Резекция кости – иссекается и удаляется часть кости, подвергшаяся разрушению.
- Ампутация – удаление кости или сустава при их полном разрушении.
- Эндопротезирование – замена пораженного сустава протезом.
- Вживление трансплантатов или металлических конструкций.
- искривление позвоночника;
- сдавливание спинного мозга;
- деформация суставов;
- осложнения на внутренние органы (почки, печень, легкие);
- остеохондроз;
- нарушение двигательной активности;
- свищи различной этиологии.
- верхние дыхательные пути, рот, носоглотку;
- бронхи и трахею;
- мозговые оболочки и центральную нервную систему;
- кишечник;
- брюшину;
- лимфатические узлы;
- кости и суставы;
- органы мочеполовой системы;
- глаза;
- кожу;
- сердце;
- печень.
- дискомфорт в грудной клетке;
- хрипота, затруднённое дыхание, неприятные ощущения при глотании;
- резкое снижение массы тела;
- потеря аппетита;
- общая слабость, апатия, быстрая утомляемость;
- чрезмерное потоотделение во время сна;
- повышенная температура тела.
- кожная туберкулиновая проба;
- анализ микробиологического посева;
- исследование мокроты;
- печёночная проба;
- анализ крови и мочи.
- флюорография;
- рентгенография легких, позвоночника и суставов;
- бронхоскопия;
- КТ, МРТ;
- плевроскопия;
- спирометрия.
- пожилые люди,
- лица, страдающие хроническими заболеваниями (такими, как сахарный диабет, аутоиммунные заболевания),
- люди с онкологическими заболеваниями,
- люди, принимающие иммуносупрессивные препараты,
- пациенты, перенесшие тяжелые операции,
- курильщики.
- Первичный туберкулезный комплекс. Возникает при первичном заражении туберкулезом и встречается, как правило, среди детей. Протекает без выраженных симптомов, рентгенологически напоминает пневмонию, поэтому диагностика затруднена, не заразен. Небольшой очаг в большинстве случаев закрывается капсулой, и болезнь дальше не развивается.
- Туберкулез внутригрудных лимфатических узлов. Характеризуется распространением туберкулезных очагов в обоих легких и поражением лимфоузлов.
- Диссеминированный туберкулез легких. По всей поверхности легких образуются крошечные воспалительные бугорки. Может быть острым или хроническим, протекает тяжело (с лихорадкой, интоксикацией) и волнообразно.
- Очаговый туберкулез легких. В легком образуется от одного до нескольких воспалительных очагов не более 1 см в диаметре. Может протекать бессимптомно или с невысокой температурой, недомоганием.
- Инфильтративный туберкулез легких. Является одним из осложнений очагового туберкулеза. Протекает тяжело, с длительной лихорадкой, потерей веса, кашлем, может наблюдаться кровохарканье.
- Казеозная пневмония. Тяжелая форма легочного туберкулеза, развивается остро, с тяжелой интоксикацией, лихорадкой. Характеризуется массивным воспалением и затем распадом легочной ткани с образованием полостей в легком. Чаще всего возникает у больных с ослабленным иммунитетом.
- Туберкулема легких. В ткани легкого образуется инкапсулированный очаг более 1 см в диаметре, внутри которого происходит распад легочной ткани.
- Кавернозный туберкулез легких. Тяжелая форма туберкулеза, при которой происходит деструкция легочной ткани и образуются большие каверны (полости) в легком. Возникает как осложнение других форм туберкулеза.
- Фиброзно-кавернозный туберкулез легких. Является завершающим этапом кавернозного туберкулеза, когда окончательно формируется полость в легком.
- Цирротический туберкулез легких. Последняя стадия туберкулеза легких, характеризуется замещением легочной ткани на рубцовую. Встречается в 0,1-8% случаев, в основном у нелеченых или неправильно леченых пациентов. Для формирования данной формы требуются годы болезни.
- Туберкулезный плеврит. Воспалительный процесс поражает оболочку легких – плевру. Может развиться как осложнение туберкулеза легких или как самостоятельное заболевание, особенно у молодых людей.
- Туберкулез бронхов, трахеи, верхних дыхательных путей.
- Туберкулез органов дыхания, комбинированный с профессиональными пылевыми заболеваниями легких.
- с выделением микобактерий туберкулеза (МБТ+);
- без выделения микобактерий туберкулеза (МБТ–).
- Выраженная слабость, утомляемость, хроническая усталость.
- Бессонница, ночные кошмары.
- Снижение аппетита и потеря массы тела.
- Ночная потливость (она может быть настолько сильной, что больному приходится менять постельное белье).
- Повышение температуры тела, в основном до субфебрильных значений, то есть не выше 37,5°С. Температура держится постоянно и сопровождается ознобом.
- Кашель. Сначала больных беспокоит сухой кашель, но по мере прогрессирования заболевания появляется мокрота.
- Кровохарканье. Характерно для более поздних стадий туберкулеза.
- Боль в грудной клетке. Возникающая при кашле боль свидетельствует о вовлечении плевры в патологический процесс.
- Сильная одышка.
- Карачунский М.А. Дифференциальная диагностика туберкулеза легких // Пульмонология и аллергология. – Т.1. – 2005. С. 6–9.
- Клинические рекомендации «Туберкулез у взрослых. Разраб.: Российское Общество Фтизиатров, Ассоциация фтизиатров. – 2022.
- Клинические рекомендации «Туберкулез у детей. Разраб.: Российское Общество Фтизиатров. – 2020.
Признаки туберкулеза костей и суставов
Выделяют три этапа развития туберкулеза костей:
Диагностика туберкулеза костей и суставов
При подозрении на инфицирование микобактерией больному назначают комплексное обследование:
На основании полученных данных вырабатывается схема лечения.
Лечение туберкулеза костей и суставов
Схема лечения разрабатывается на основании диагностических данных, визуального осмотра.
Больного необходимо настроить на длительный и малоприятный процесс восстановления здоровья.
Совместными усилиями медиков и пациента необходимо добиться следующих результатов:
Лечение проходит сначала в стационаре, затем на дому. Химиотерапия включает в себя два ряда препаратов – основной и резервный.
В состав основного входят наиболее эффективные лекарства. Они малотоксичны и практически не вызывают побочные действия.
В резервный ряд включены высокотоксичные препараты, их назначают при непереносимости медикаментов основного состава.
Микобактерии быстро вырабатывают устойчивость к медикаментам, поэтому назначают 3-4 препарата одновременно.
Принимать лекарства необходимо строго по часам, не прерывая лечения. Терапевтический курс длиться год, или чуть больше.
Противотуберкулезные лекарства, при длительном применении, могут вызвать нарушения функций печени. Поэтому обязателен прием гепатопротекторов.
Для удаления последствий интоксикации организма назначают комплексы витаминов, высококалорийную диету, иммуномодуляторы.
Пораженную конечность необходимо иммобилизировать — для предотвращения дальнейшей деформации кости и снижения воспаления.
При этом используют разномастные корсеты, шины лангетки, гипсовые повязки.
Детей с туберкулезным очагом в позвоночнике укладывают в гипсовые кроватки.
В ходе лечения болезни показано хирургическое вмешательство разной степени сложности:
Если форма туберкулеза в неактивной фазе (больной не заразен), дальнейшее лечение проводиться на дому.
Назначают лечебную гимнастику, физиотерапевтические процедуры, длительные прогулки.
В дальнейшем желательно санаторно-курортное лечение.
Осложнения туберкулеза костей и суставов
Отрицательным моментом в лечении туберкулеза является наличие многочисленных осложнений:
Туберкулез – опасное заболевание. Но если пациент настроен на выздоровление, в точности и своевременно выполняет назначения врача, болезнь обязательно отступит. Будьте здоровы!
Фтизиатр: туберкулёз – хитрое заболевание
Врачи называют туберкулез «хитрым» заболеванием. Палочка Коха – возбудитель заболевания – может десятилетиями жить в теле человека, никак себя не проявляя. Она легко передается по воздуху от зараженного человека к здоровому. По этой причине медработники работают над повышением осведомленности населения о причинах заболевания, мерах его профилактики, диагностики и лечения. Об особенностях патологии рассказывает Елена Нежид, врач-фтизиатр областной больницы № 11 в р. п. Голышманово:
«Мелкие капли мокроты, содержащие микобактерии туберкулеза, могут попадать в дыхательные пути здорового человека, находящегося рядом. Мокрота может оседать на поверхности пола и земле, на предметах и вещах. Инфекция может попасть в организм человека вследствие нарушения правил гигиены: после контакта с поручнями в общественном транспорте, употреблении в пищу немытых овощей и фруктов, сырого молока, плохо обработанного мяса.
В большинстве случаев, если иммунитет у человека находится в норме, это не приводит к заболеванию в активной форме, но организм инфицируется, и бактерии туберкулеза благополучно существуют в укромных местах организма, долгое время оставаясь не активными. Однако спустя месяцы или годы при ослаблении иммунитета при какой-то другой болезни, недостаточности питания или стрессах бактерия начинает размножаться, и туберкулез переходит в активную стадию.
Основные критерии возникновения заболевания: длительно существующий контакт с больным туберкулезом; стресс-душевная или физическая перегрузка; неумеренное употребление алкоголя; курение; наркомания; недостаточное или неполноценное питание; другие сопутствующие заболевания, ослабляющие организм.
Дети и подростки, беременные женщины, пожилые люди наиболее подвержены инфекции. Каким бы путем ни возникал и где бы ни развивался туберкулез у человека, он всегда становится общим заболеванием организма. Туберкулез не имеет собственного «лица» и зачастую протекает под маской различных заболеваний. Токсины возбудителя воздействуют на центральную нервную систему больного, вызывая некоторое возбуждение – эйфорию, поэтому самочувствие больного не отражает болезненного процесса. Человек не считает себя больным долгое время!
Туберкулез – совершенно непредсказуемое заболевание. Можно всю жизнь прожить в контакте и не заболеть, а можно заболеть после кратковременного контакта. Несмотря на то, что клиническая картина туберкулеза на первых этапах болезни не выражена, заболевание выявляется с помощью активных методов обследования: флюорографического (каждый человек с 15-летнего возраста обязан пройти обследование 1 раз в год), туберкулинодиагностики или проведения диаскинтеста у детей.
На более поздних стадиях болезнь все-таки начинает себя проявлять следующими симптомами. Интоксикация проявляется повышенной утомляемостью, снижением работоспособности, периодическим повышением температуры, ухудшением аппетита и сна. Это универсальные жалобы различных форм легочного и внелегочного туберкулеза, связанные с активностью процесса. При туберкулезе органов дыхания основные жалобы на кашель, одышку, боли в боку. Лечение туберкулеза почти всегда заканчивается выздоровлением, но это процесс длительный, требующий дисциплины и самоконтроля, причем ни при каких обстоятельствах, даже при улучшении состояния, не следует бросать начатое лечение. Не долеченный туберкулез обязательно даст о себе знать, причем еще активнее и тяжелее, ведь зачастую возникает лекарственная устойчивость, то есть нечувствительность к противотуберкулезным препаратам.
Туберкулез не разделяет людей по социальному статусу, заболеть может каждый. Сознательность и бдительность граждан – основа для победы над палочкой Коха. Каждый взрослый человек должен один раз в год пройти флюорографическое обследование, а детям ежегодно необходимо проводить пробу Манту или диаскинтест. Ни диагностика, ни лечение не может проводиться самостоятельно – только под контролем врача. Однако терапия – лишь половина успеха. Она не возымеет должного действия без приверженности самого пациента лечению и строгого соблюдения им всех рекомендаций врача. Не меньше важна и поддержка близких и родных. Их задача – не дать отчаяться заболевшему, проявить чуть больше внимания и заботы. Будьте здоровы и счастливы».
Фтизиатр
Туберкулёз входит в число десяти основных причин смертей среди населения во всём мире. Конечно, сегодня это заболевание не так распространено, как несколько десятилетий назад. Но даже масштабных мер, принятых медицинским сообществом, оказалось недостаточно для окончательной победы над этим недугом. Туберкулёзом страдают и взрослые, и дети. Но болезнь поддаётся коррекции, а при раннем выявлении и вовсе излечима. Лечением туберкулёза занимаются врачи-фтизиатры.
Что лечит фтизиатр?
Фтизиатрия – отдельный раздел клинической медицины, главными задачами которого является изучение причин развития и механизмов распространения туберкулёза. Также наука занимается изучением патологических процессов в организме больных туберкулёзом и разработкой методов профилактики недуга.
Что касается непосредственно туберкулёза, то это хроническое инфекционное заболевание, возникающее при заражении микобактерией с последующим образованием в организме специфических участков воспаления. Инфекция может распространяться по всему организму с кровотоком, поражая любые органы:
В сферу компетенций фтизиатра входит лечение различных форм и видов туберкулёза, а также саркидоза и лепры – гранулематозных патологий, имеющих с туберкулёзом много общего.
Когда необходима консультация специалиста?
Туберкулёз достаточно часто протекает бессимптомно, но при этом болезнь прогрессирует. Основным признаком патологии является сильный кашель, который беспокоит длительное время. Иногда кашель сопровождается выделением мокроты с кровью. В этом случае необходимо срочно обратиться к специалисту.
Есть и другие признаки заболевания, при которых следует проконсультироваться с фтизиатром:
Приём у фтизиатра
Во время приёма фтизиатр опрашивает пациента о беспокоящих симптомах, продолжительности их проявления, общем состоянии. Для постановки диагноза необходимо провести комплексное обследование. Также врач проводит профилактические осмотры пациентов без очевидных жалоб, но которые могут быть носителями инфекции.
Методы расширенной диагностики
Аппаратная и инструментальная диагностика:
Чтобы записаться на приём к фтизиатру, заполните форму обратной связи или позвоните по указанному телефону.
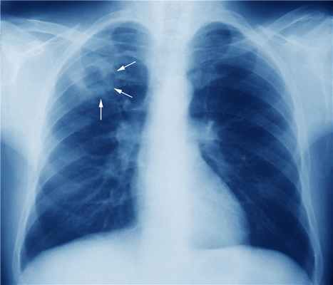
Туберкулез легких
Информацию из данного раздела нельзя использовать для самодиагностики и самолечения. В случае боли или иного обострения заболевания диагностические исследования должен назначать только лечащий врач. Для постановки диагноза и правильного назначения лечения следует обращаться к Вашему лечащему врачу.
Туберкулез легких: причины появления, симптомы, диагностика и способы лечения.
Определение
Туберкулез – инфекционное заболевание, передающееся воздушно-капельным путем. Его возбудителем является бактерия Mycobacterium tuberculosis. Заразиться может каждый, но особенно восприимчивы к туберкулезу дети ввиду недостаточно сформированного иммунитета.
Заболевание излечимо, но лечение занимает длительное время. Огромное значение имеет ранняя диагностика туберкулеза - чем скорее он будет выявлен, тем меньше осложнений вызовет.
Причины появления туберкулеза
Туберкулез передается воздушно-капельным и воздушно-пылевым путями. Микобактерии находятся в мельчайших каплях, которые больной туберкулезом выделяет при разговоре, кашле, чихании и т.д.
Количество людей, инфицированных бактериями туберкулеза, составляет примерно 25–30%. Но заболевает только каждый десятый из них.
Выделяет микобактерии не каждый больной туберкулезом, а только тот, у кого происходит распад легочной ткани и бактериовыделение (в просторечии – открытая форма туберкулеза). Получить дозу микобактерий можно, даже не контактируя непосредственно с больным человеком, так как они способны оседать на частичках пыли и оставаться на ней при благоприятных условиях до 18 дней.
Дети чрезвычайно восприимчивы к инфекциям, а отсутствие прививок приводит к тому, что, встретив туберкулезную палочку, организм не распознает ее как чужеродный агент и не выделяет антитела для борьбы с инфекцией, а вместо этого дает бактериям возможность беспрепятственно проникнуть в легкие.
Среди взрослого населения в группу риска по заражению туберкулезом входят:
- Клинический анализ крови с развернутой лейкоцитарной формулой (с целью выявления воспалительного процесса).
Синонимы: Общий анализ крови, ОАК. Full blood count, FBC, Complete blood count (CBC) with differential white blood cell count (CBC with diff), Hemogram. Краткое описание исследования Клинический анализ крови: общий.
Синонимы: Общий белок сыворотки крови; Общий сывороточный белок. Total Protein; Serum Тotal Protein; Total Serum Protein; TProt; ТР. Краткая характеристика определяемого вещества Общий бе�.
Тест предназначен для скрининговой оценки состава и количественного соотношения фракций белка сыворотки крови методом электрофореза. Синонимы: Электрофорез �.
С-реактивный белок – белок острой фазы, чувствительный индикатор повреждения тканей при воспалении, некрозе, травме. Синонимы: Анализ крови на СРБ; С-реактивн�.
Аланинаминотрансфераза − внутриклеточный фермент, участвующий в метаболизме аминокислот. Тест используют в диагностике поражений печени, сердечной и скелетн�.
Синонимы: Глутамино-щавелевоуксусная трансаминаза; Глутамат-оксалоацетат-трансаминаза сыворотки крови (СГОТ); L-аспартат 2-оксоглутарат аминотрансфераза; ГЩТ. As.
Синонимы: Анализ крови на ЛДГ; Лактатдегидрогеназа; L-лактат; НАД+Оксидоредуктаза; Дегидрогеназа молочной кислоты. Lactate dehydrogenase, Total; Lactic dehydrogenase; LDH; LD. Кра.
Синонимы: Анализ крови на креатинин; Сывороточный креатинин; Креатинин сыворотки, оценка СКФ. Сreat; Сre; Blood Creatinine; Serum Creatinine; Serum Creat. Краткая характеристика определя�.
Синонимы: Анализ крови на электролиты; Электролиты в сыворотке крови. Electrolyte Panel; Serum electrolyte test; Sodium, Potassium, Chloride; Na/K/Cl. Краткая характеристика определяемых �.
Общий кальций – основной компонент костной ткани и важнейший биогенный элемент, обладающий важными структурными, метаболическими и регуляторными функциями в .
Определение ДНК возбудителей туберкулеза: комплекса микобактерий: M. tuberculosis, M. bovis, M. bovis BCG, M. microti, M. africanum в мокроте, смывах с бронхов, лаважной жидкости методом полим.
Рентгенологическое исследование структуры легких с целью диагностики различных патологий.
Исследование, позволяющее получить данные о состоянии органов грудной клетки и средостения.
Диагностический тест с постановкой внутрикожной пробы для всех возрастных групп с целью диагностики туберкулезной инфекции.
Синонимы: Анализ крови на туберкулез; Квантифероновый тест. TB-Feron IGRA; Quantiferon test QuantiFeron-TB - immunodiagnosis of tuberculosis infection. Краткое описание исследования «Квант�.
Лечение туберкулеза легких
Успех лечения во многом зависит от ранней диагностики заболевания. Терапия туберкулеза длительная и составляет от 4 месяцев до нескольких лет.
Самостоятельное прекращение приема лекарств, пропуск или уменьшение дозировки могут вызвать резистентность, то есть устойчивость микобактерий к антибиотикам.
Во время лечения необходимо отказаться от курения и употребления алкоголя.
Терапия туберкулеза подразумевает комбинацию нескольких антибактериальных препаратов. В основном все лекарства принимают в таблетированной форме, однако в начале заболевания или при тяжелом течении требуется их внутривенное введение.
Лечение туберкулеза осуществляется как дома, так и в специализированном стационаре. Госпитализация показана при первичном обнаружении туберкулеза, для лечения тяжелых форм туберкулеза и для хирургического лечения туберкулеза легких.
Во время терапии туберкулеза очень важно полноценно питаться, получая с пищей необходимое количество калорий, витаминов и питательных веществ.
Калорийность пищи должна быть на 10% выше, чем при обычном образе жизни. Молочные продукты, нежирное мясо, рыба, орехи богаты белком, который необходим для укрепления иммунитета. Обязательно нужно включать в меню овощи, зелень, цельнозерновые продукты. Следует избегать фастфуда, жирной, копченой пищи, сахара и сладких газированных напитков.
К неспецифическим осложнениям, характерным для многих легочных заболеваний, врачи относят кровохарканье, легочное кровотечение, спонтанный пневмоторакс. Спонтанный пневмоторакс – это попадание воздуха в плевральную полость вследствие повреждения ткани легкого. Наличие воздуха в плевральной полости сдавливает легкие и мешает нормальному процессу дыхания. Описаны случаи, когда к пневмотораксу приводит образование бронхоплевральных свищей.

К редким, но грозным осложнениям относятся: ателектаз (спадение части легкого, которая перестает участвовать в газообмене и процессе дыхания), абсцесс легкого (образование гнойника в ткани легкого), амилоидоз внутренних органов (в результате длительного воспалительного процесса происходит нарушение белкового обмена, в органах начинает откладываться белок-амилоид, вследствие чего нарушается их нормальная работа), хроническая легочная недостаточность.
К специфическим осложнениям, характерным для туберкулеза легких, относятся: туберкулез бронхов, трахеи, гортани, корня языка; туберкулезный плеврит; туберкулезная эмпиема – скопление гноя в плевральной полости.
Профилактика туберкулеза легких
К специфической профилактике относится вакцинация.
Вакцину вводят внутрикожно, после чего формируется местный туберкулезный процесс, неопасный для общего здоровья. Впоследствии организм вырабатывает специфический иммунитет против микобактерий. Это значит, что привитой ребенок с хорошим поствакцинальным иммунитетом при встрече с микобактериями либо не инфицируется, либо переносит инфекцию в легкой форме.
Иммунитет, приобретенный после прививки БЦЖ, сохраняется в среднем 5 лет. Повторные вакцинации проводят в 7 и 14 лет.
Профилактика туберкулеза у взрослых включает ежегодную диспансеризацию с выполнением флюорографии легких.
Информацию из данного раздела нельзя использовать для самодиагностики и самолечения. В случае боли или иного обострения заболевания диагностические исследования должен назначать только лечащий врач. Для постановки диагноза и правильного назначения лечения следует обращаться к Вашему лечащему врачу.
Туберкулез (ТБ)

Туберкулез (ТБ) является хронической прогрессирующей микобактериальной инфекцией, часто имеющей латентный период после начального инфицирования. Чаще всего ТБ поражает легкие. Симптомы включают в себя кашель, повышение температуры, потерю веса и недомогание. Диагностика чаще всего проводится по результатам анализа мокроты и бактериальных посевов, и, все чаще, благодаря применению диагностических молекулярных экспресс-тестов. Лечение проводят антибактериальными лекарственными средствами в течение, по крайней мере, 6 мес.
Микобактерии являются небольшими, медленно растущими аэробными бациллами. Они отличаются сложной, богатой липидами клеточной оболочкой, обусловливающей их кислотостойкость (т.е. устойчивость к обесцвечиванию кислотой после окрашивания карбол-фуксином) и их относительную устойчивость к окрашиванию по Граму. Наиболее распространенная микобактериальная инфекция – туберкулез; другие включают проказу Проказа Лепра – хроническая инфекция, обычно вызываемая кислотоустойчивой бациллой Mycobacterium leprae, которая обладает уникальным тропизмом к периферическим нервам, коже и слизистым оболочкам. Прочитайте дополнительные сведения Mycobacterium avium.
Туберкулез является ведущей инфекционной причиной заболеваемости и смертности среди взрослых во всем мире; болезнь является причиной смерти приблизительно 1,7 миллиона человек в 2016 году, преимущественно в странах с низким и средним уровнем дохода. ВИЧ/СПИД – наиболее важный предрасполагающий фактор к инфицированию туберкулезом и смертности в некоторых регионах мира, где распространены обе инфекции.
Этиология туберкулеза
К туберкулезу правильно относить только болезнь, вызванную Mycobacterium tuberculosis (для которой люди являются основным резервуаром). Аналогичная болезнь иногда развивается в результате инфицирования тесно связанных микобактерий, а именно M. bovis, M. africanum, и M. microti, которые вместе с M. tuberculosis известны как комплекс Mycobacterium tuberculosis.
Заражение туберкулезом происходит, как правило, воздушно-капельным путем через частицы (каплеобразные ядра), содержащие M. tuberculosis. Они передаются прежде всего при кашле, пении и других дыхательных движениях людьми, которые больны активным туберкулезом легких или гортани и в чьей слюне содержится значительное количество возбудителя (достаточное, как правило, чтобы получить положительный мазок). Люди с легочными полостными кавернами являются особо заразными из-за большого количества бактерий, содержащихся в каверне.
Контагиозность пациентов с нелечённой активной формой туберкулеза легких широко варьируется. Некоторые штаммы M. tuberculosis являются более заразными, и пациенты с положительными результатами бактериоскопии мазков мокроты являются более заразными, чем имеющие положительные результаты только бактериального посева. Пациенты с кавернами (которые тесно связаны с микобактериальной нагрузкой в мокроте) являются более заразными, чем не имеющие их.
Также важную роль играют факторы окружающей среды. Таким образом, люди, живущие в бедности или в специальных учреждениях, находятся в условиях особого риска. Передача инфекции возрастает при частом или длительном контакте с не вылеченными пациентами, которые рассеивают большие количества туберкулезных палочек в переполненных, закрытых, плохо проветриваемых помещениях. Практикующие врачи, у которых есть тесный контакт с активными случаями, также являются группой повышенного риска.
Таким образом, оценки контагиозности широко варьируют; некоторые исследования показывают, что только 1 из 3 пациентов с невылеченным туберкулезом легких инфицирует кого-либо при тесном контакте. Однако по оценкам ВОЗ каждый невылеченный пациент может заразить от 10 до 15 человек в год. Тем не менее, у большинства инфицированных лиц активное заболевание не развивается.
Контагиозность быстро уменьшается сразу после начала эффективного лечения. Возбудители становятся менее заразными, даже при условии их сохранности в мокроте, а интенсивность кашля уменьшается. Исследования бытовых контактов показывают, что контагиозность пациентов прекращается в течение 2 недель после начала эффективного лечения.
Намного реже заражение происходит при аэрозолизации организмов после промывания инфицированных ран, работе в микобактериологических лабораториях или в секционных залах.
Туберкулёз миндалин, лимфатических узлов, органов брюшной полости, костей и суставов ранее вызывало употреблением в пищу молока или молочных продуктов (например, сыра), загрязненных M. bovis, но этот путь передачи был в значительной степени ликвидирован в развитых странах путем убоя коров, имеющих положительный результат теста на кожную туберкулиновую пробу, и пастеризацией молока. Туберкулез, вызываемый M. bovis, все еще встречается в развивающихся странах и у иммигрантов из развивающихся стран, где бычий туберкулез является эндемичным (например, некоторые латиноамериканские страны). Растущая популярность сыра из непастеризованного молока вызывает новые проблемы, особенно, если сыры прибывают из стран, имеющих проблемы с бычьим туберкулезом (например, Мексика, Великобритания).
Эпидемиология туберкулеза
Около четверти населения всего мира инфицированы (на основе результатов исследований кожных туберкулиновых проб). Из всех инфицированных, вероятно, только у 15 миллионов в данный момент времени диагностируется активная форма заболевания.
Уровни инфицированности (для туберкулеза, поддающегося лечению лекарствами) и смертности уменьшаются. Количество новых случаев снизилось на 1,5% в период между 2014 и 2015 гг., увеличивая тенденцию, которая отмечается в течение нескольких лет. Эти тенденции, скорее всего, частично связаны со всемирными усилиями по борьбе с туберкулезом, которые предоставили большему количеству людей доступ к лекарственным средствам против туберколеза и ВИЧ-инфекции.
Всплеск заболеваемости туберкулезом произошел в отдельных частях США и других развитых странах между 1985 и 1992 г.; это было связано с несколькими факторами, включая параллельное инфицирование ВИЧ, бездомность, ухудшенную инфраструктуру здравоохранения и появление мультирезистентного туберкулеза (MDR-TB). Несмотря на то, что контроль в США осуществляется эффективной системой здравоохранения и установленными мерами по инфекционному контролю в закрытых учреждениях, проблема мультирезистентного туберкулеза, включая туберкулез с широкой лекарственной устойчивостью (ШЛУ-TБ), является актуальной во всем мире. Эта ситуация усиливается нехваткой ресурсов, в том числе систем диагностики и доставки лекарственных средств.
В большинстве стран мира туберкулез с лекарственной устойчивостью не может быть быстро диагностирован и своевременно вылечен с использованием эффективных схем, в том числе с надлежащим контролем побочных эффектов лекарственных средств 2-ой линии. Эта ситуация приводит к продолжающейся контагиозности, низкому уровню излечения и формированию усиленной резистентности возбудителей. При лечении очень стойкого к препаратам туберкулеза эффективность терапии еще ниже, а смертность, напротив, значительна, особенно у пациентов, инфицированных ВИЧ, даже если они получают лечение антиретровирусными препаратами. Эффективное лечение и контроль нежелательных реакций, работа с населением, а также социальная поддержка привели к более благоприятным эпидемиологическим тенденциям снижения туберкулеза с лекарственной устойчивостью в некоторых областях (например, Перу, Томская область России). Индия и Китай только начинают реализовывать общенациональные программы по лечению МЛУ-ТБ, и заболеваемость МЛУ-ТБ в будущем может в значительной степени зависеть от успеха или неудачи этих программ.
Ссылки на эпидемиологию
1. WHO: Global Tuberculosis Report 2017: Executive Summary. По состоянию на 05.04.2018.
2. WHO: Tuberculosis Fact Sheet, 2017. По состоянию на 05.04.2018.
Патофизиология туберкулеза
Туберкулез может протекать в трех стадиях:
Туберкулезные палочки M. tuberculosis изначально вызывают первичную инфекцию, которая редко приводит к острому заболеванию. Большинство (приблизительно 95%) первичных инфекций являются бессимптомными и сопровождаются скрытой (латентной) фазой. В некоторых случаях латентные инфекции впоследствии проявляются клиническими признаками и симптомами заболевания.
Инфекция обычно не передается в начальной стадии и никогда не является контагиозной в латентном периоде.
Первичное инфицирование
Инфицирование происходит, когда вдыхаемые частицы достаточно малы и могут преодолеть защитные барьеры верхних дыхательных путей, осесть глубоко в легких, как правило, в субплевральном воздушном пространстве средних или нижних долей. Капельки большего размера склонны осаждаться в верхних отделах дыхательных путей и, как правило, не приводят к заболеванию. Заражение, как правило, начинается с одного капельного ядра, которое обычно несет несколько возбудителей. Теоретически, достаточно только одного организма, чтобы вызвать инфекцию у восприимчивых людей, но менее восприимчивым людям может потребоваться для развитие инфекции многократный контакт.
Для развития инфекции бациллы M. tuberculosis должны поглотиться альвеолярными макрофагами. Туберкулезные палочки, которые не обезврежены макрофагами, фактически воспроизводятся в них, в конечном счете убивая макрофага хозяина (с помощью лимфоцитов CD8); клетки, вызывающие воспаление, привлекаются в такую область, вызывая очаговый пневмонит, срастающийся в характерную туберкулезную гранулему, которая определяется гистологическими методами.
В первые недели инфекции некоторые зараженные макрофаги мигрируют к расположенным рядом лимфоузлам (воротные, средостенные), где они получают доступ к кровотоку. Возбудители могут распространиться через кровь к любой части тела, особенно апикально-задней части легких, эпифизу длинных костей, почкам, телу позвонков и мягким мозговым оболочкам. Гематогенная диссеминация менее вероятна у пациентов с частичным иммунитетом, являющимся результатов вакцинации или предварительного естественного инфицирования M. tuberculosis или микобактериями в окружающей среде.
В большинстве случаев после первичной инфекции развивается латентная инфекция. Примерно в 95% случаев, приблизительно через 3 недели активного роста микобактерий, иммунная система начинает подавлять размножение бацилл еще до того, как появляются клинические симптомы и признаки. Очаги с бациллами в легких или других органах преобразуются в эпителиоидные клеточные гранулемы, имеющие казеозные и некротические центры. Туберкулезные палочки могут выживать в этом материале в течение многих лет; баланс между резистентностью хозяина и вирулентностью микроба определяет, пройдет ли инфекция в конечном счете без лечения, останется скрытой или станет активной. Инфекционные очаги могут оставить фиброзно-очаговые шрамы на вершинах одного или обоих легких (очаги Симона, которые, как правило, являются результатом гематогенного посева с другого инфицированного участка) или небольших областей консолидации (очаги Гона). Очаг Гона с вовлечением лимфатических узлов является комплексом Гона, который при условии кальцинирования называют комплексом Ранке. Туберкулиновый кожный тест Кожные пробы Туберкулез (ТБ) является хронической прогрессирующей микобактериальной инфекцией, часто имеющей латентный период после начального инфицирования. Чаще всего ТБ поражает легкие. Симптомы включают. Прочитайте дополнительные сведенияГораздо реже первичное поражение быстро прогрессирует, вызывая острую болезнь с пневмонией (иногда кавернозной), плевральным выпотом и явным увеличением лимфоузлов в области средостения или корня легких (у детей это может привести к сдавлению бронхов). Небольшие плевральные выпоты являются преимущественно лимфоцитарными, как правило, содержат немного микобактерий и очищаются в течение нескольких недель. Такое развитие событий более характерно для маленьких детей и недавно зараженных или повторно зараженных пациентов с ослабленным иммунитетом.
Внелегочный туберкулез Внелегочный туберкулез (ТБ) Внелегочный туберкулез обычно является следствием гематогенного распространения возбудителя. Иногда инфекция передается непосредственно от смежного органа. Симптоматика меняется в зависимости. Прочитайте дополнительные сведенияАктивная болезнь
У здоровых людей, инфицированных туберкулезом, на протяжении жизни вероятность риска перехода заболевания в активную форму составляет приблизительно 5–10%, хотя этот процент значительно меняется в зависимости от возраста и других факторов риска.
У 50–80% заразившихся лиц туберкулез активно развивается в течение первых 2 лет, хотя он также может проявиться и через несколько десятилетий.
Любой орган, первоначально инфицированный возбудителем, может стать источником реактивации инфекции, но чаще всего она начинается в верхушках легких, по-видимому, из-за благоприятных для микроба условий, таких как высокое давление кислорода. Очаги Гона и пораженные прикертневые лимфоузлы гораздо реже становятся местами такой реактивации.
Условия, разрушающие клеточный иммунитет (что очень важно для защиты от туберкулеза), значительно облегчают реактивацию. Таким образом, среди пациентов, которые имеют ко-инфекцию ВИЧ Инфекция, вызванная вирусом иммунодефицита человека (ВИЧ) Инфекция вирусом иммунодефицита человека (ВИЧ) вызывается одним из 2 похожих ретровирусов (ВИЧ-1 и ВИЧ-2), которые разрушают CD4+ лимфоциты и ослабляют клеточный иммунитет, увеличивая риск оппортунистических. Прочитайте дополнительные сведенияДругие условия, способствующие реактивации, но в меньшей степени, чем ВИЧ-инфекция, включают
Читайте также:
