Патогенез инфекционного эндокардита
Добавил пользователь Евгений Кузнецов Обновлено: 12.12.2025
1.2 Этиология и патогенез
Степень вероятности возникновения септического эндокардита у лиц, пользующихся нестерильными шприцами (при наркомании) в 30 раз выше. Летальность при инфекционном эндокардите остается на высоком уровне - 24 - 30%, а у лиц пожилого возраста - более 40%.
В большинстве случаев причиной инфекционного эндокардита (ИЭ) у взрослых являются: Streptococcus viridans, S. aureus, Streptococcus bovis, Enterococci и редко встречающиеся бактерии из группы HACEK (Haemophilus, Actinobacillus, Cardiobacterium, Eikenella и Kingella) (3%). Инфицирование нативных клапанов эпидермальным стафилококком, кишечными палочками и грибами встречается крайне редко [1 - 4].
Среди редко встречающихся возбудителей ИЭ описаны сальмонеллы, дифтероиды, гемофилюс, листерия, эйкенелла. Эризипелотрикс иногда может стать причиной эндокардита. Этот микроб обитает в глотке домашних животных, в слизи и чешуе рыб, у птиц и грызунов, и поэтому эта инфекция чаще встречается у мясников, рыбаков и лиц, имеющих контакт с животными [3 - 7].
У лиц употребляющих внутривенно наркотики, причиной ИЭ чаще всего становятся микроорганизмы, населяющие кожу, это S.aureus (50 - 60%). Стрептококки и энтерококки встречаются значительно реже, примерно в 20% случаев, грамотрицательные палочки, особенно Pseudomonas и Serratia spp. - 10 - 15% случае, но, вместе с тем, Pseudomonas aeruginosa вызывает тяжелую деструкцию клапана и весьма устойчива к антибиотикотерапии. Единственным методом успешного лечения такого эндокардита остается хирургическая коррекция [1 - 4].
Примерно в 5% случаев причиной ИЭ становятся грибы. Наиболее часто эндокардит вызывают грибы рода Candida, Aspergillus и Histoplasma, реже - Blastomyces, Coccidioides, Cryptococcus, Mucor, Phodotorula и др. Нередко у этой категории пациентов одновременно на клапане встречается рост и грибов и бактерий.
Протезный эндокардит (ПЭ) составляет 10 - 20% от всех случаев заболевания ИЭ. Риск заболевания значительно выше в первые шесть месяцев после имплантации протеза, но обнаружение госпитальной флоры в крови и на удаленных протезах в течение года, переместили сроки раннего ПЭ до 12 месяцев [1 - 4].
Причиной раннего протезного эндокардита становится инфицирование во время операции или в раннем послеоперационном периоде через катетеры (в основном центральные) инфекционными агентами. Наиболее часто становятся стафилококки: S.epidermidis (25 - 30%), S. aureus (20 - 25%). Грамотрицательные бактерии встречаются реже [1 - 4].
Поздний ПЭ возникает на фоне транзиторной бактериемии, возникающей при стоматологических, гинекологических, урологических и гастоэнтерологических вмешательствах, поэтому патогенная флора обычно характерна для ИЭ нативных клапанов. Чаще встречаются стрептококки (S. viridans 25 - 35%), коагулазонегативный стафилококк встречается менее чем у 20% пациентов. В 10 - 15% случаев заболевания протезным эндокардитом причиной становятся грибы (Candida и Aspergillus) [3 - 5].
Необходимо отметить, что, грибковый протезный эндокардит значительно труднее поддается лечению и чаще становится причиной летального исхода, чем вызванный бактериальной флорой.
В патогенезе ИЭ играют роль несколько факторов. Прежде всего, это инфекционный агент - микроорганизм и измененный эндотелий клапана, важную роль играют иммунитет и адаптация. Возникновению ИЭ могут способствовать различные эндогенные и экзогенные факторы, изменяющие реактивность организма, восприимчивость и устойчивость к инфекции (операции, беременность, аборт, роды, резкое изменение условий труда и быта, переутомление, перенесенные болезни и т.д.) [8].
Первым этапом в развитии инфекционного эндокардита является прикрепление бактерий к поврежденной поверхности эндокарда клапана. Бактерии начинают активно делиться, присутствие бактерий стимулирует процесс тромбообразования, колонии бактерий чередуются со слоями фибрина. Таким образом, появляются вегетации, которые достаточно быстро увеличиваются в размерах. Вегетации размерами более 1 см становятся значительно подвижными и могут приводить к тромбоэмболиям в различные участки артериального кровотока (при эндокардите левых камер сердца). Наиболее часто это сосуды головного мозга, почки, селезенка, артерии конечностей. При ИЭ правых камер, соответственно, вегетации попадают в артерии малого круга кровообращения, вызывая развитие инфарктных пневмоний. При наличии дефектов МЖП вегетации со створок митрального клапана также могут явиться причиной тромбоэмболии легочной артерии [9].
В месте прикрепления вегетаций воспалительная реакция может быть выражена, вплоть до образования абсцесса и полного разрушения створки клапана. Формирование абсцессов - серьезное осложнение эндокардита, абсцессы могут распространяться на фиброзное кольцо и далее вглубь миокарда. Абсцессы фиброзного кольца аортального клапана и парааортального пространства могут распространяться на проводящие пути и вызывать нарушения ритма и проводимости [10].
Абсцессы фиброзного кольца при протезном эндокардите приводят к образованию фистул, при распространении процесса вплоть до отрыва протеза.
Вегетации чаще всего располагаются в местах с наиболее высоким давлением - это предсердная поверхность створок митрального клапана и желудочковая поверхность створок аортального клапана [11].
Инфекционный эндокардит
Эта акция - для наших друзей в "Одноклассниках", "ВКонтакте", "Яндекс.Дзене", YouTube и Telegram! Если вы являетесь другом или подписчиком стр.
Для жителей районов Савеловский, Беговой, Аэропорт, Хорошевский
В этом месяце жителям районов Савеловский, Беговой, Аэропорт, Хорошевский» предоставляется скидка 5% на ВСЕ мед.
Захаров Станислав Юрьевич
Врач-кардиолог, врач функциональной диагностики
Высшая квалификационная категория, доктор медицины, Член Европейского общества кардиологов и Российского кардиологического общества
Рудько Гали Николаевна
Врач-кардиолог, врач функциональной диагностики
Высшая квалификационная категория, Член Российского кардиологического общества
Мы в Telegram и "Одноклассниках"
Инфекционный эндокардит - это микробная инфекция, растущая на внутренней оболочке сердца (эндокарде) либо на искусственных внутрисердечных устройствах (клапанах и т.д.).

Здоровое сердце и пораженное инфекционным эндокардитом
Причины инфекционного эндокардита
Инфекционный эндокардит могут вызывать различные бактерии и микроскопические грибки, биологические свойства которых позволяют им расти и размножаться, прикрепившись к тканям сердца.
Инфекционный эндокардит - одно из самых грозных кардиологических заболеваний. Летальность даже при интенсивном лечении в условиях специализированного стационара очень высока (по разным данным, от 15 до 25%). А если эндокардит не лечить, он гарантированно "съест" сердечные клапаны, кровообращение станет невозможным и пациент погибнет.
Пути заражения
Первый путь - это инфицирование естественных "каналов", ведущих внутрь организма - кожи, зубов, мочевыводящих путей, женской половой системы. Попадание микроорганизма в любой кровеносный сосуд дает ему шанс добраться с током крови до сердца.
Второй путь - искусственный. Любое нарушение целостности кожи и слизистых (как правило, с помощью медицинских инструментов или игл) может привести к попаданию инфекции в кровеносный сосуд. Отсюда повышение частоты возникновения инфекционного эндокардита у наркоманов и пациентов, перенесших разного рода оперативные вмешательства - от удаления зубов до операций по замене клапанов сердца. Понятно, что чем больше объем вмешательства, тем выше потенциальная угроза инфицирования. В связи с этим при хирургических вмешательствах применяется та или иная схема антибиотикопрофилактики.
Клиническая картина заболевания
Клиника инфекционного эндокардита образована тремя компонентами.
Первый - септический (при попадании в кровь любой инфекции развивается высокая температура, выраженная слабость, учащение пульса, нарушения свертывающей системы крови).
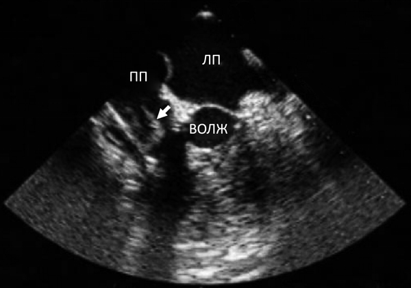
Второй компонент - это проявление местной инфекции. Микроорганизмы образуют колонии на внутренней оболочке сердца, чаще всего на клапанах - так называемые вегетации. Вегетации могут выявляться при ультразвуковом исследовании сердца. Иногда при обычной эхокардиографии они не видны, и тогда для диагностики необходимо ультразвуковое исследование через пищевод (похожее на гастроскопию, только специальным ультразвуковым датчиком).
Третий компонент - последствия отрыва вегетаций от клапанов - закупорка вегетациями кровеносных сосудов (эмболия). Куски вегетаций могут "улетать" в любые кровеносные сосуды - мозга, сердца, почек, конечностей, легких, вызывая отмирание соответствующих тканей из-за нарушения кровотока, что сопровождается клиническими проявлениями поражения конкретного органа.
Если у пациента с высокой температурой (лихорадкой) неизвестного происхождения длительностью более недели, не поддающейся обычному лечению антибиотиками, возникают дополнительные симптомы (шум в сердце или нарушения в органах, в сосуды которых "улетел" оторвавшийся кусок вегетации), необходимо обследование на наличие инфекционного эндокардита.
Диагностика инфекционного эндокардита
Точный диагноз эндокардита ставится по положительным результатам посева крови и достоверной визуализации внутрисердечных вегетаций. Во всех остальных случаях диагноз эндокардита ставится с той или иной степенью вероятности.
Инфекционный эндокардит
Инфекционный эндокардит представляет собой инфекционное поражение оболочки сердца (эндокарда) и, как правило, также сердечных клапанов. Инфекционный эндокардит возникает, когда бактерии попадают в кровоток, переносятся кровью и прикрепляются к ранее пораженным сердечным клапанам.
Существует формы инфекционного эндокардита:
Острый инфекционный эндокардит развивается внезапно и может представлять угрозу смерти в течение нескольких дней.
Подострый инфекционный эндокардит развивается постепенно и незаметно, от нескольких недель до нескольких месяцев, но также может представлять угрозу для жизни.
Эндокардит искусственных клапанов представляет собой острый инфекционный эндокардит в искусственном сердечном клапане.
Причины
- Попадание в кровоток бактерий (реже грибков) во время хирургических, стоматологических или медицинских процедур
- Применение запрещенные наркотики
- Ослабленная иммунная система
- Наличие искусственного сердечного клапана, кардиостимулятора или дефибриллятора
- Врожденные пороки сердца (в том числе, сердечных клапанов) или крупных кровеносных сосудов
- Ревматическое поражение сердечного клапана
- Возрастная дегенерация сердечных клапанов
Симптомы
- Лихорадка
- Учащение пульса (тахикардия)
- Утомляемость
- Озноб
- Боль в суставах
- Бледность
- Болезненные узелки под кожей
- Спутанность сознания
Подострый бактериальный эндокардит может вызывать такие симптомы, как утомляемость, незначительное повышение температуры (37,2–38,3 °C), умеренное повышение частоты сердечных сокращений, потеря массы тела, потливость и анемию. Эти симптомы могут быть едва заметными и существовать в течение нескольких месяцев, прежде чем эндокардит приведет к закупорке артерии или повреждению клапанов сердца.
Эндокардит протеза сердечного клапана может проявляться в виде острой или подострой инфекции. В отличие от инфекции естественного клапана существует высокая вероятность распространения инфекции искусственного клапана на сердечную мышцу. Кроме того, может развиться поражение проводящей системы сердца с замедлением сердцебиения, что может привести к внезапной потере сознания и даже смерти.
Диагностика
Лица с подозрением на острый или подострый инфекционный эндокардит подлежат немедленной госпитализации для диагностики и лечения. С целью уточнения диагноза врач может назначить следующие виды обследования:
- эхокардиографию;
- бактериальный посев крови;
- компьютерную томографию (КТ).
Лечение
Лечение зависит от причины и симптомов болезни, тяжести течения, а также наличия сопутствующих заболеваний и медикаментозной терапии, получаемой по сопутствующей патологии. С учетом этого врач может назначить:
Инфекционный эндокардит
Внутрисосудистая инфекция сердечно-сосудистых структур (клапанов, эндокарда предсердий и желудочков), включая эндартериит крупных внутригрудных сосудов, или внутрисердечных инородных тел (искусственных клапанов, электродов кардиостимулятора), соприкасающихся с кровотоком (ESC).

• Преходящая бактериемия (кожа, ротовая полость, желудочнокишечный тракт).
• Микробы, склонные к адгезии на поврежденный эндотелий.
• Повреждение/воспаление эндотелия.
• Образование микробами биопленки, защищающей от иммунной системы и антибиотиков.

Инфекционного эндокардита
• Ревматическая болезнь сердца.
• Врожденные (цианотичные) пороки сердца.
• Искусственные клапаны сердца.
• Гемодиализ.
• Венозные катетеры.
• Внутривенное введение препаратов.
• Иммунодепрессанты.
• Пожилой и старческий возраст.
Тромбоэмболий
• Вегетации >10 мм (Mohananey D, et al, 2018).
• Флотирующие вегетации.
• Поражение митрального клапана.
• Инфекция Staph. aureus.

БОЛЬШИЕ КРИТЕРИИ
1. Положительная культура крови
1.1. Типичные микробы в 2 пробах крови:
• Str. viridans, Str. gallolyticus (bovis), Staph. aureus, HACEK группа.
• Внебольничные Enterococci без первичного очага.
1.2. Повторные культуры крови, характерные для ИЭ:
• ≥2 культур крови с интервалом >12 ч.
• Все 3 культуры крови или большинство из ≥4 проб.
1.3. Культура Coxiella burnetti или IgG в титре >1:800.
2. Визуальные признаки
2.1. Эхокардиографические признаки:
• Вегетация,
• Абсцесс, псевдоаневризма, интракардиальная фистула.
• Перфорация или аневризма клапана.
• Новое частичное раскрытие искусственного клапана.
2.2. Аномальная активность возле искусственного клапана по 18Ф-ФДГ ПЭТ/КТ (имплантация >3 мес) или СПЕКТ/КТ сцинтиграфии с меченными лейкоцитами.
2.3. Паравальвулярное повреждение по КТ сердца.
МАЛЫЕ КРИТЕРИИ
1. Предрасполагающие заболевания сердца, инъекции.
2. Лихорадка >38°С.
3. Сосудистые феномены: эмболии крупных артерий, септические инфаркты легких, микотические аневризмы, внутричерепные кровоизлияния, кровоизлияния в конъюнктиву, повреждения Джейуэя.
4. Иммунные нарушения: гломерулонефрит, узелки Ослера, пятна Рота, ревматоидный фактор.
5. Культура крови, не соответствующая большим критериям, или серологические признаки активной инфекции микробом, способным вызвать ИЭ.
Определенный ИЭ = 2 больших, или 1 большой + 3 малых, или 5 малых.
Вероятный ИЭ = 1 большой + 1 малый или 3 малых.
• Посевы крови: тест ускоренной оценки бактеремии (Verigene Blood Culture Test).
• Полимеразная цепная реакция крови: Staph. aureus, Tropheryma whipplei, Fungi, E. coli, Strept. gallolyticus, Streptococcus mitis, Enterococci.
• Консультация стоматолога.
• Трансторакальная эхокардиография.
• Чреспищеводная эхокардиография: подозрение на ИЭ при нормальном трансторакальном исследовании, повторно через 5–7 дней после первого исследования если клинически сильные подозрения на ИЭ.
• Компьютерная томография сердца: искусственные клапаны, паравальвулярные осложнения.
• Компьютерная томография, магнитно-резонансная томография головы (инсульты в 20–40%), внутренних органов: тромбоэмболии, геморрагии.
• Колоноскопия (Str. gallolyticus).

Локализация
• Естественные клапаны.
• Искусственные клапаны: ранний [ • Искусственные устройства: кардиостимулятор, имплантируемый дефибриллятор.
• Левосторонний, правосторонний.
Этиология
• Oral streptococci (viridans).
• Staphylococcus aureus, коагулазонегативные staphylococci.
• Enterococci, HASEK группа, грибы, культурально-негативный.
Условия заболевания
• Нозокомиальный: симптомы >48 ч госпитализации.
• Ненозокомиальный: симптомы • Внебольничный: симптомы • Ассоциированный с наркотиками: у пациента, потребляющего наркотики в/в, при отсутствии других источников инфекции.
Диагностика
• Определенный (по критериям Дюке).
• Вероятный.
Активность
• Персистирующая лихорадка и положительная культура.
• Лечение антибиотиками.
• Морфологические признаки воспаления при хирургии.
• Гистологические признаки активного ИЭ.
Течение
• Первый эпизод.
• Рецидивирующий: тот же микроб, • Повторный: другой микроб, >6 мес после эпизода.

ЭхоКГ — эхокардиография, ЧПЭхоКГ — чреспищеводная эхокардиография.
Habets J, et al. Europ Radio. 2015;25:2125–33.
□ Инфекционный эндокардит митрального клапана с умеренной регургитацией и лабильной вегетацией (2х0.5 см), активный. Фибрилляция предсердий. ХСН II ФК. [I33.0]
□ Инфекционный эндокардит аортального клапана с тяжелой регургитацией, излеченный, ХСН III ФК, 2Б. Инфаркт миокарда (2014), инфаркт правой почки (2018). [I33.0]
□ Инфекционный эндокардит искусственного аортального клапана, активный, поздний. Желудочное кровотечение (варфарин, 12.04.2020). [I33.0]
□ Инфекционный эндокардит трехстворчатого клапана с умеренной недостаточностью, повторный. Острая сердечная недостаточность. Рецидивирующая легочная эмболия, пневмония. [I33.0]
□ Инфекционный эндокардит трехстворчатого клапана с выраженной регургитацией, ассоциированный с наркотиками, активный. Сердечная недостаточность, декомпенсация. [I33.0]

• Мультидисциплинарная команда.
• Антибактериальная программа.
• Хирургия (50–60%): удаление инфицированных тканей, инородных материалов, очистка и дренирование паравальвулярной инфекции, удаление источника эмболии, реконструкция клапана, замена клапана.
• Профилактика: гигиена рта, антибиотики перед стоматологическими вмешательствами при очень высоком риске, уход за в/в катетерами, обучение и замена игл у наркоманов.

Лечение острого ИЭ до выявления микроба
• Ампициллин + Оксациллин по 12 г/сут в 4 приема в/в + Гентамицин 3 мг/кг однократно в/в, в/м.
• Ванкомицин 30 мг/кг/сут в 2 приема в/в + Гентамицин 3 мг/кг однократно в/в, в/м.
• Ванкомицин 30 мг/кг/сут в 2 приема в/в + Гентамицин 3 мг/кг однократно в/в, в/м + Рифампин 900–1200 мг в 2 приема в/в, per os при нозокомиальном или раннем эндокардите искусственного клапана.
Стрептококк, чувствительный к пенициллину
• Цефтриаксон 2 г однократно или Амоксициллин 100–200 мг/кг/сут в 4 приема в/в [4 нед].
• Цефтриаксон 2 г однократно или Амоксициллин 100–200 мг/кг/сут в 4 приема в/в + Гентамицин 3 мг/кг однократно в/в, в/м [2 нед].
• Ванкомицин 30 мг/кг/сут в 2 приема в/в [4 нед].
Стрептококк, относительно нечувствительный к пенициллину
• Цефтриаксон 2 г однократно или Амоксициллин 200 мг/кг/сут в 4 приема в/в [4 нед] + Гентамицин 3 мг/кг однократно в/в, в/м [2 нед].
• Ванкомицин 30 мг/кг/сут в 2 приема в/в [4 нед] + Гентамицин 3 мг/кг однократно в/в, в/м [2 нед].
• Терапия 6 вместо 4 нед при эндокардите искусственного клапана.
Стафилококк, чувствительный к метициллину
• Оксациллин 12 г/сут в 4 приема в/в [4–6 нед].
• Оксациллин 12 г/сут в 4 приема в/в + Рифампин 900–1200 мг в 2 приема в/в, per os [≥6 нед] + Гентамицин 3 мг/кг однократно в/в, в/м [2 нед] при искусственном клапане.
Стафилококк, нечувствительный к метициллину
• Ванкомицин 30–60 мг/кг/сут в 2 приема в/в [4–6 нед].
• Даптомицин 10 мг/кг однократно в/в [4–6 нед].
• Ванкомицин 30–60 мг/кг/сут в 2 приема в/в + Рифампин 900–1200 мг в 2 приема в/в, per os [≥6 нед] + Гентамицин 3 мг/кг однократно в/в, в/м [2 нед] при искусственном клапане.
Проводится парентерально через 2 нед госпитального лечения.
• Сердечная недостаточность.
• Сложная инфекция.
• Высокий риск эмболии.
• Неврологические осложнения.
• Дисфункция почек.
Сердечная недостаточность
• Выраженная регургитация или обструкция с симптомами СН или эхокардиографическими признаками нарушенной гемодинамики.
• Отек легких или кардиогенный шок.
Неконтролируемая инфекция
• Локальная: абсцесс, ложная аневризма, фистула, растущие вегетации.
• Инфекция грибами или мультирезистентными микроорганизмами.
• Персистирующая позитивная культура крови, несмотря на адекватную антибиотикотерапию и контроль септических метастатических очагов.
• Эндокардит искусственных клапанов, вызванный стафилококками или не-HACEK грамотрицательными бактериями.
Профилактика эмболий
• Эндокардит аортального или митрального клапанов с персистирующими вегетациями >10 мм после ≥1 эмболического эпизода, несмотря на адекватную антибиотикотерапию.
• Эндокардит аортального или митрального клапанов с изолированными вегетациями >30 мм.
• Искусственные клапаны и материалы: искусственный клапан, транскатетерная имплантация клапана, восстановление клапана (кольца для аннулопластики, клипсы), искусственный помощник левого желудочка, имплантированное сердце.
• Предшествующий эпизод инфекционного эндокардита.
• Врожденная болезнь сердца: некорригированные цианотичные болезни, исправление дефекта с помощью искусственных материалов или устройств в течение 6 мес до процедуры, коррекция с остаточным дефектом, прилегающим к искусственной заплате или устройству.
• Сердечный трансплантант с развившейся вальвулопатией.

За 30–60 мин до стоматологического вмешательства с вовлечением десны, периапикальной области или с повреждением слизистой рта:
• Амоксициллин 2 г per os.
• Ампициллин 2 г в/м или в/в.
В случае аллергии на пенициллины:
• Азитромицин 500 мг per os.
• Цефалексин 2 г per os.
• Цефазолин 1 г в/м или в/в.
• Цефтриаксон 1 г в/м или в/в.
Эндокардит
Эндокардит – это заболевание сердца воспалительного характера. Развивается на фоне вирусных, бактериальных или грибковых инфекций, при заражении крови, поражениях соединительной ткани, интоксикациях.
В медицине выделяют два вида патологии:
- эндокардит ревматического характера;
- эндокардит инфекционного характера.
Причины развития заболевания
Заболевание инфекционного характера обычно вызывают стрептококки, кишечная или синегнойная палочки, стафилококки, протея и другие условно патогенные микроорганизмы.
Ревматойдный эндокардит, как правило, является следствием уже имеющегося ревматизма.
Вероятность развития заболевания высока у тех людей, кто уже болел эндокардитом, имеет кардиомиопатию гипертрофического характера, страдает иммунодефицитом или более СПИДом. Так же патология может поражать наркоманов, которые не соблюдают санитарные нормы при выполнении уколов в вену.
Эндокардит редко может развиться как следствие пороков сердца, как врожденного, так и приобретенного характера, установки искусственных клапанов.
Как проявляется эндокардит?
Если причиной заболевания является инфекция, то развитие симптомов не заставляет себя долго ждать. Как правило, они проявляются в течение нескольких недель после заражения. Симптоматика схожа с ГРИППом. Отмечается умеренная гипертермия и повышенная утомляемость.
Когда причиной заражения становятся мощные штаммы микроорганизмов, то симптоматика более выражена. Отмечается сильный жар, потеря веса, боль в суставах, человек сильно потеет, появляется отдышка и кашель. Характерными симптомами интоксикации являются кровотечения под ногтями и появление красных пятен на теле (петехий).
При прогрессировании заболевания, вовлечении в процесс клапанов сердца и сердечной мышцы, могут проявиться симптомы сердечных пороков. Например, аритмия и сердечная недостаточность.
Когда в процесс вовлечены сосуды, наблюдается тромбоз, инфаркт селезенки и печени, аневризмы и гематомы на коже, желтуха.
Эндокардит, причиной которого является ревматизм, характеризуется легким недомоганием и ознобом, повышением температуры, болевыми ощущениями в области сердца, отдышкой. Даже при незначительной физической нагрузке, может наблюдаться учащение сердечного ритма. Врач может отмечать систолический шум. А в общем анализе крови наблюдается повышение скорости оседания эритроцитов, снижение лейкоцитов и гемоглобина.
Эндокардит может спровоцировать следующие осложнения:
- разрыв клапанов сердца;
- нарушение работы почек;
- развитие пороков сердца.
Диагностика эндокардита
Самый информативный метод исследования при эндокардите – эхокардиография (ультразвуковое исследование сердца). Оно позволяет обнаружить пороки сердечных клапанов, определить масштаб и локализацию воспалительного процесса.
Для уточнения возбудителя заболевания выполняется посев крови. Он позволяет не только определить вид микроорганизма, но и определить его чувствительность к той или иной группе антибактериальных препаратов.
Как лечат эндокардит?
Для лечения инфекционной типа заболевания назначают большие дозы антибиотиков. Так же больным показаны иммуномодуряторы, глюкортикостеройды, куралтил, аспирин, гепарин. Хороший эффект при лечении септического эндокардита дает УФО крови.
Когда прием антибиотиков не дает положительного результата, может быть показано хирургическое лечение. Во время операции врачи удаляют пораженный клапан и на его место ставят искусственный имплантат.
Если лечение заболевания было проведено вовремя, то можно добиться стойкой ремиссии сроком до 5 лет. Тем не менее, рецидив может вызвать тяжелые последствия.
Если причиной развития эндокардита стал ревматизм, основным видом терапии является салициловый натрий (аспирин, амидопирин), глюкортикостеройды.
Всем пациентам показана диета с ограничением соли, прием витаминов группы B.
Читайте также:
