Гемангиоперицитома конъюнктивы: признаки, гистология, лечение, прогноз
Добавил пользователь Валентин П. Обновлено: 18.12.2025
ФГБУ "НИИ нейрохирургии им. акад. Н.Н. Бурденко" РАМН, Москва
ФГБНУ «НИИ нейрохирургии им. акад. Н.Н. Бурденко», Москва, Россия
ФГУ "НКЦ оториноларингологии" ФМБА России
ФГКУ "Центральный клинический военный госпиталь" ФСБ России, Москва
Редкое наблюдение гигантской гемангиоперицитомы
Приводится пример успешного лечения больного с гигантской интракраниальной гемангиоперицитомой. Гемангиоперицитомы являются агрессивными опухолями с высокой частотой рецидивирования и отдаленного метастазирования. Хотя эти опухоли и относятся к злокачественным новообразованиям, они часто достигают больших размеров при незначительных клинических проявлениях. Хирургический метод лечения до настоящего времени остается основным в лечении данных новообразований.
Менингеальные гемангиоперицитомы (ГП) являются агрессивными опухолями с высокой частотой рецидивирования и отдаленного метастазирования. Хотя эти опухоли и относятся к злокачественным новообразованиям, они часто достигают больших размеров при незначительных клинических проявлениях. Хирургический метод лечения до настоящего времени остается основным в лечении данных новообразований.
ГП является злокачественной опухолью, происходящей из перикапиллярных клеток, или перицитов Циммермана. Эти опухоли обычно возникают в нижних конечностях, тазу и забрюшинном пространстве.
Внутричерепные ГП редки, поскольку они составляют 2-4% всех менингеальных опухолей и менее 1% всех внутричерепных опухолей.
Согласно последней международной классификации опухолей мягких тканей и костей ВОЗ 2013 г. [25, 26], ГП включены в качестве гистологического варианта в единую нозологическую форму - экстраплевральную солитарную фиброзную опухоль под названием «солитарная фиброзная опухоль с преобладанием гемангиоперицитарно подобного сосудистого компонента». Термин «гемангиоперицитома» рассматривается как устаревший синоним.
Несмотря на это, мы, учитывая локализацию процесса и основываясь на ныне действующей классификации опухолей ЦНС ВОЗ от 2007 г., анализируя ретроспективно источники литературы, посвященные опухолям, ранее диагностированным как ГП, оставляем за собой право использования этого термина в настоящей работе.
Больной П., 40 лет, поступил 13.03.09 в ФГКУ «Центральный военный клинический госпиталь» ФСБ России с жалобами на двустороннее снижение зрения, двоение, выраженную постоянную головную боль преимущественно в лобно-теменных областях.
По данным медицинских документов и со слов больного, начало заболевания с декабря 2008 г., когда появилась головная боль. В дальнейшем, в течение 1 мес развились зрительные нарушения - диплопия, концентрическое сужение полей зрения.
В январе 2009 г. при диспансеризации осмотрен офтальмологом, выявлен застой на глазном дне, направлен на стационарное лечение и обследование в лечебное учреждение по месту жительства. При обследовании диагностировано гигантское объемное образование левой гемисферы головного мозга, предположительно менингиома области переднего наклоненного отростка левого крыла основной кости. Для продолжения обследования и лечения госпитализирован в отделение нейрохирургии ЦКВГ ФСБ России, где при дообследовании диагноз подтвержден, начата противоотечная и дегидратационная терапия кортикостероидами.
При обследовании патологии внутренних органов не обнаружено. Больной в сознании, контактен. Критика к своему состоянию и к окружающему снижена. На вопросы отвечает адекватно, но периодически с элементами копролалии. Неврологический статус: не доводит глазные яблоки кнаружи влево, парез взора вверх, аккомодация отсутствует, лицо асимметричное, правый угол рта опущен. Мышечная сила в руках и ногах достаточная - 5 баллов с двух сторон. Сухожильные рефлексы повышены, анизорефлексия с повышением сухожильных рефлексов справа с расширением рефлексогенных зон. Клонусы надколенников и стоп, больше справа. Положительные симптомы Оппенгейма и Пуссепа слева. Симптом Маринеску-Радовичи с обеих сторон. Дистальный гипергидроз. Осмотр окулиста: VIS OS = 0,9, VIS OD = 1,0. Поля зрения: концентрическое сужение полей зрения до 20-30° справа от точки фиксации и до 30-40° слева от точки фиксации, абсолютные парацентральные скотомы обоих глаз. Глазное дно: диски зрительных нервов гиперемированы, отечны, границы смазаны, проминируют в стекловидное тело, перипапиллярно - отек, мелкие кровоизлияния, экссудаты, артерии резко сужены, спазмированы; вены расширены с разрывами, экссудацией. Застойные диски зрительных нервов обоих глаз.
При тотальной селективной каротидной ангиографии (КАГ) выявлено гиперваскуляризированное образование передней и средней черепной ямок слева, размером 7×7 см, питающееся ветвями левых средней мозговой артерии (СМА), наружной сонной артерии (НСА), интракраниального сегмента внутренней сонной артерии (ВСА). Венозные синусы проходимы, без признаков тромбоза (рис. 1).
Рисунок 1. Селективная КАГ(S). Гиперваскуляризированное образование передней и средней черепной ямок слева, размером 7×7 см, питающееся ветвями левых СМА, НСА, интракраниального сегмента ВСА. Венозные синусы проходимы, без признаков тромбоза.
При КТ головного мозга преимущественно в левой лобно-височно-теменной области определяется крупное объемное образование с достаточно четкими бугристыми контурами размером 78×76×64 мм, в базальных отделах прорастающее в правую лобную долю на 10-12 мм. Образование интимно прилежит к сифону левой ВАС, дну передней черепной ямки и к переднему бугорку турецкого седла, кости, образующие дно передней черепной ямки, «изъедены». Образование компримирует передние отделы левого бокового желудочка и, вероятно, распространяется в его просвет. При внутривенном контрастном усилении образование несколько неравномерно накапливает контрастный препарат (до +60 - +85 Ед. Хаунсфильда). К образованию подходит множество артериальных сосудов диаметром до 2-3 мм, преимущественно с медиальной и передней сторон образования. Определяется незначительно выраженный перифокальный отек (максимально до 7 мм у латерального края образования в левой височной области) (рис. 2).
Рисунок 2. КТ с контрастным усилением до операции. а - аксиальная проекция; б - фронтальная проекция. В левой лобно-височно-теменной области определяется крупное объемное образование с достаточно четкими бугристыми контурами размером 78×76×64 мм, в базальных отделах прорастающее в правую лобную долю на 10-12 мм. Образование компримирует передние отделы левого бокового желудочка и, вероятно, распространяется в его просвет, образование неравномерно накапливает контрастный препарат. Определяется незначительно выраженный перифокальный отек.
25.03.09 произведена операция. Осуществлен дугообразный разрез в левой лобно-теменно-височной области. Произведен расширенный птериональный доступ. Экстрадурально осуществлена резекция наружных отделов левого крыла основной кости. Твердая мозговая оболочка (ТМО) резко напряжена, выбухает, пульсация головного мозга не определяется. ТМО вскрыта по наружному краю базальных отделов левой лобной доли. Дальнейший ход операции с использованием операционного микроскопа и микрохирургического инструментария. Отведена от основания черепа лобная доля. Обнаружена ярко-розового цвета отграниченная от вещества головного мозга мелкобугристая опухоль, мягкая, легко кровоточивая - по виду больше похожа на параганглиому, чем на менингиому. Кровотечение интенсивное (алая кровь), гемостаз произведен при помощи придавливания опухоли ватниками с перекисью водорода. Возникло острое набухание и вспучивание мозга с грибовидным выбуханием его в дефект ТМО. Проведены противоотечные мероприятия. После устойчивого уменьшения напряжения и выбухания мозга возобновлены микрохирургические действия. Опухоль довольно легко фрагментировалась и удалялась обычным вакуумным отсосом. Часть опухоли отправлена на срочное гистологическое исследование, предварительный результат - менингиома смешанного строения. В основном опухоль гомогенная, кровоточивая, лишь в медиально-базальных отделах опухоль по строению напоминает бугристую с плотной стромой ячеистую менингиому, где имеет более отчетливо сформированные сосуды в строме и бо`льшую плотность. Кровоснабжение опухоли осуществлялось преимущественно из переходных пиальных сосудов, в связи с чем при удалении опухоли по границе с веществом головного мозга сопровождалось особенно интенсивным кровотечением. Матрикс опухоли обнаружен в медиальных отделах крыла основной кости на границе с передним наклоненным отростком, где стромальная структура опухоли наиболее выражена. ТМО в этой области узурирована, кровоточива, тщательно коагулирована. Опухоль удалена радикально. Визуализирована левая ВСА в супраклиноидном отделе, бифуркация ВСА, начальные сегменты СМА и передней мозговой артерии. Окончательный гемостаз аппликацией кровоостанавливающей ваты Суржицель. Появилась отчетливая пульсация мозга. Мозг расправился, частично запал. Анатомических повреждений мозгового вещества вследствие тракции мозга не произошло. ТМО без натяжения ушита непрерывным швом атравматической нитью. Костный лоскут уложен на место, фиксирован костным швом. Послойное ушивание раны. Интраоперационная кровопотеря около 3500 мл.
Гистологический диагноз: исследование, проведенное в условиях ЦКВГ ФСБ России, - менингиома смешанного строения, отмечается плотное расположение клеток, очаги некрозов и фигуры митозов не определяются.
После иммуногистохимического исследования в лаборатории нейроморфологии НИИ нейрохирургии им. акад. Н.Н. Бурденко РАМН: гемангиоперицитома, выраженная экспрессия Vim, CD 34, Factor XIII, ИМ пролиферативного маркера Ki-67 очагово более 5%, Grade III (рис. 3).
Рисунок 3. Микропрепараты опухоли. х400. а - гемангиоперицитома типичного строения с немногочисленными митозами, б - экспрессия CD 34 в клетках гемангиоперицитомы; в - ядерная экспрессия Ki-67 в опухоли. Окраска гематоксилином и эозином.
Послеоперационный период осложнился правосторонней плевропневмонией, формированием эпидуральной гидромы в области операции, сохранялся цефалгический синдром. Получал комплексную терапию: восполнение послеоперационной кровопотери (трансфузия эритроцитной массы - общий объем 1745 мл и свежезамороженной плазмы - 4900 мл), антибактериальную терапию, санационные люмбальные пункции, противоотечную терапию. Посевы ликвора - стерильны, роста нет. Рана зажила первичным натяжением. В ближайшем послеоперационном периоде отмечен регресс общемозговой и очаговой неврологической симптоматики, регресс психических нарушений.
КТ с контрастным усилением в 1-е сутки после операции не выявила участков патологического накопления контраста. Опухоль удалена радикально (рис. 4).
Рисунок 4. КТ с контрастным усилением. 1-е сутки после операции. а - аксиальная проекция; б - фронтальная проекция. Опухоль удалена радикально, геморрагических осложнений в ложе удаленной опухоли нет.
При контрольных КТ и МРТ с контрастным усилением через 5 мес после операции нет признаков рецидива (рис. 5).
Рисунок 5. КТ с контрастным усилением в аксиальной проекции (а) и МРТ с контрастным усилением в аксиальной (б) и фронтальной (в) проекциях. 5 мес после операции (признаков рецидива опухоли нет).
Однако, учитывая гистологию, радиологами НИИ нейрохирургии РАМН рекомендовано проведение по месту жительства лучевой терапии на область удаленной опухоли в суммарной очаговой дозе (СОД) 56 Гр.
Катамнез у больного прослежен в течение 5 лет. Рецидива опухоли нет.
Термин «гемангиоперицитома» впервые применили А. Stout, М. Murray [23] в 1942 г. для описания новообразования, расположенного в забрюшинном пространстве и состоящего преимущественно из пролиферирующих перицитов.
Менингеальные ГП впервые описаны в 1928 г. Р. Bailey и соавт. [2] и считались ангиобластическим вариантом менингиом. Иммуногистохимические, ультраструктурные и генетические исследования впоследствии показали полное отличие ГП от всех других типов менингиом [12, 18]. В последней классификации ВОЗ (2007) опухолей центральной нервной системы ГП отнесены к мезенхимальным неменинготелиальным опухолям и подразделяются на две степени злокачественности: II и III по пролиферативному потенциалу [14]. ГП состоит из мелких овальных клеток с большим количеством тонкостенных сосудов различного калибра, имея характерный сосудистый рисунок в виде «оленьего рога» [18]. Многие авторы указывают на наличие характерных нейрорентгенологических и ангиографических особенностей ГП. В отличие от менингиом большинство ГП имеет многодольчатое строение с нечеткими границами и инфильтрацией окружающей мозговой ткани, без гиперостоза, костных эрозий и кальцификатов. Также отмечается наличие перифокального отека. Кровоснабжение ГП осуществляется преимущественно из ветвей ВСА и задней мозговой артерии в отличие от менингиом, которые питаются в основном из оболочечных артерий НСА. Некоторые авторы [10, 16] отмечают наличие большого количества мелких штопорообразных сосудов в строме и выраженную сосудистую сеть, что является отличительной особенностью ГП.
Предоперационная эмболизация питающих сосудов опухоли, по данным литературы [11], является эффективной в уменьшении кровоснабжения, но, учитывая особенности кровоснабжения ГП, это не всегда возможно.
В настоящее время хирургия расценивается как основной метод лечения менингеальных ГП [10, 13, 15]. Частота «локальных» рецидивов высока даже после радикального удаления ГП, у некоторых авторов [15] данный показатель достигал 50%. Послеоперационная лучевая терапия уменьшает частоту рецидива ГП [19-21, 24]. В случаях труднодоступной локализации опухолей предпочтительна «щадящая» операция в комбинации с послеоперационной лучевой терапией [22]. Наиболее эффективная СОД составляла, по мнению большинства авторов [8, 9, 19, 20], 50-60 Гр.
Химиотерапия была неэффективна в лечении пациентов с менингеальными ГП [8]. По данным Е. Galanis и соавт. [8], только у 1 из 7 больных была положительная динамика при проведении химиотерапии доксорубицином. Однако некоторые авторы [1] сообщают об эффективности использования комбинации ифосфамида и эпирубицина.
Анализ настоящего клинического наблюдения и данных мировой литературы указывает на эффективность хирургического удаления менингеальных ГП как первого и основного метода лечения.
Особенностью данного клинического наблюдения является то, что опухоль достигла гигантских размеров с минимальными клиническими проявлениями. Несмотря на тщательное дообследование, крайне сложно представлялась постановка правильного клинического диагноза до операции.
Учитывая богатую васкуляризацию ГП, основным условием успешного хирургического лечения и исключения послеоперационного геморрагического осложнения является радикальное удаление опухоли. Лучевая терапия является вспомогательным методом лечения после хирургии. В сомнительных случаях установления гистологического диагноза при световой микроскопии необходимым условием для точного диагноза является проведение иммуногистохимического исследования.
Комментарий
Труднодиагностируемые и достаточно редко встречающиеся гемангиоперицитомы (ГП) головного мозга являются злокачественными опухолями, нередко напоминают по своим ocновным характеристикам церебральные менингиомы, но обладают высокой частотой рецидивирования и отдаленного метастазирования.
В данной работе приведено интересное клиническое наблюдение гигантской интракраниальной ГП в нейрохирургическом отделении госпиталя ФСБ: подробно описано клиническое наблюдение, анализированы как жалобы больного, так и динамика развития клинических проявлений, представлены данные объективного неврологического осмотра, причем клинический синдром напоминал таковой, встречающийся при базальных менингиомах с исходным ростом из области наклоненного отростка. Приведены данные объективных нейровизуализованных исследований - КТ с контрастным усилением и тотальной селективной каротидной ангиографии - все хорошо иллюстрировано фотографиями.
Далее подробнейшим образом (и это очень поучительно) представлена по этапам произведенная хирургическая операция по удалению опухоли - выбор адекватного хирургического доступа, его детали и техника выполнения, особенности вскрытия твердой мозговой оболочки (ТМО), визуализационные характеристики обнаруженной опухоли, ее структуры, неоднородной в зависимости от различных отделов опухоли. Детально описаны обнаруживаемые по ходу выполнения операции источники кровоснабжения опухоли и пути успешного гемостаза, который был тем не менее упорным, и кровопотеря составила 3 л, принципиально важно уточнено отношение опухоли к магистральным сосудам, в том числе внутренней сонной артерии (ВСА) в супраклиноидном отделе, бифуркация ВСА, системы средней и передней мозговых артерий. Все убедительно и тщательно описано, но хотелось бы видеть и наглядные интраоперационные снимки этапов проведенной операции - их в работе нет. Послеоперационный период протекал с умеренно выраженными осложнениями, которые удалось своевременно и успешно купировать.
В послеоперационном периоде выполнены контрольные исследования - КТ с контрастным усилением, которые убеждают в успешности произведенной операции. Иммуногистохимическое исследование, проведенное в условиях Института нейрохирургии, уточнило диагноз и степень злокачественности опухоли - Grade III - впоследствии проведена лучевая терапия, катамнез больного прослежен в течение 5 лет, не выявлено рецидивирования опухоли.
В конце работы приведено краткое обсуждение проблемы с анализом данных литературы в историческом аспекте. Подчеркивается, что в отличие от менингиом головного мозга основное кровоснабжение осуществляется из ветвей ВСА и задней мозговой артерии, а не менингеальных артерий. Вследствие выраженной васкуляризации ГП предоперационно по возможности следует выполнять эмболизацию питающих сосудов.
В заключение авторы подчеркивают несомненную значимость хирургического лечения данных опухолей как основы лечебного процесса, и при необходимости выполняется лучевая терапия.
Статья весьма интересная, познавательная, особенно для современных практикующих нейрохирургов. Она отражает актуальные тенденции в поисках оптимальных путей совершенствования техники микрохирургических операций по удалению таких сложных опухолей, как гемангиоперицитомы.
Гемангиоперицитома конъюнктивы: признаки, гистология, лечение, прогноз
В прошлом считалось, что гемангиоперицитома является новообразованием, развивающимся из перицитов сосудов. В последние годы ставится под сомнение возможность существования опухоли — производной перицитов, и некоторые авторы считают, что описанные ранее случаи гемангиоперицитомы были вариантами солитарных фиброзных опухолей. Пока этот вопрос не решен, мы продолжаем считать этот вид опухолей гемангиоперицитомами конъюнктивы.
Сообщается, что гемангиоперицитома глазницы может протекать как доброкачественно, так и злокачественно, частота метастазирования составляет от 12% до 45%. Гемангиоперицитома, ограниченная лишь пределами конъюнктивы, встречается редко (1-7).
а) Клинические признаки. Гемангиоперицитома глазницы выглядит как красновато-розовая масса, выступающая над поверхностью конъюнктивы, опухоль может иметь ножку, четкие отличительные клинические признаки отсутствуют. Опухоль медленно растет, зачастую она является частью расположенной позади опухоли глазницы.
Гемангиоперицитома, развившаяся в нижнем конъюнктивальном своде у 40-летней женщины. Гистологический препарат новообразования, показанного на рисунке выше, видна солидная опухоль, образованная веретенообразными клетками и кровеносными сосудами (гематоксилин-эозин, х63).
б) Патологическая анатомия. Гемангиоперицитома развивается вследствие патологической пролиферации перицитов, окружающих кровеносные сосуды. При обычной световой микроскопии в ткани опухоли определяется характерный признак — ветвление кровеносных сосудов по типу «оленьих рогов».
в) Лечение. Диагноз редко удается поставить клинически, рекомендуется тщательное наблюдение опухоли или ее широкое иссечение.
г) Список использованной литературы:
1. Shields CL, Demirci Н, Karatza Е, et al. Clinical survey of 1643 melanocytic and nonmelanocytic tumors of the conjunctiva. Ophthalmology 2004; 111:1747-1754.
2. Shields CL, Shields JA. Tumors of the conjunctiva and cornea. Surv Ophthalmol 2004;49:3-24.
3. Shields JA, Mashayekhi A, Kligman B, et al. Vascular tumors of the conjunctiva in 140 cases. The 2010 Melvin Rubin Lecture. Ophthalmology 2011;118:1747-1753.
4. Folpe AL, Fanburg-Smith JC, Miettinen M, et al. Atypical and malignant glomus tumors: analysis of 52 cases, with a proposal for the reclassification of glomus tumors. Am J Surg Pathol 2001;25:1-12.
5. Stout AP, Murray MR. Hemangiopericytoma; a vascular tumor featuring Zimmerman’s pericytes. Ann Surg 1942;116:16-33.
6. Sujatha S, Sampath R, Bonshek RE, et al. Conjunctival haemangiopericytoma. Br J Ophthalmol 1994;78:497-499.
7. Grossniklaus HE, Green WR, Wolff SM, et al. Hemangiopericytoma of the conjunctiva. Two cases. Ophthalmology 1986;93:265-267.
8. Charles NC. Multiple glomus tumors of the face and eyelid. Arch Ophthalmol 1976;94:1283-1285.
9. Shields JA, Eagle RC Jr, Marr BP, et al. Orbital glomangioma involving two ocularrectus muscles. Am J Ophthalmol 2006; 142:511-513.
Редактор: Искандер Милевски. Дата публикации: 16.5.2020
Информация на сайте подлежит консультации лечащим врачом и не заменяет очной консультации с ним.
См. подробнее в пользовательском соглашении.
Гемангиоперицитома сосудистой оболочки глаза: признаки, гистология, лечение, прогноз
Гемангиоперицитома - опухоль, предположительно развивающаяся в результате пролиферации перицитов сосудов, в сосудистой оболочке развивается крайне редко, описано всего несколько клинических случаев (1-5).
В последние годы существование истинной гемангиоперицитомы других частей тела ставится под сомнение, некоторые из этих опухолей были переклассифицированы как фиброзные гистиоцитомы или солитарные фиброзные опухоли. Эта опухоль также может развиваться и в супрацилиарной зоне (3).
а) Клиническая картина. Гемангиоперицитому сосудистой оболочки описывают как амеланотическое объемное образование, клинически похожее на амеланотическую меланому, лейомиому, гемангиому хориоидеи или метастаз рака.
ГЕМАНГИОПЕРИЦИТОМА ХОРИОИДЕИ
Гемангиоперицитома сосудистой оболочки встречается редко, в литературе описано лишь несколько подробно задокументированных случаев. Ниже приведен пример клинико-патологической корреляции.
На фото глазного дна определяется амеланотическая опухоль. В поздние фазы флюоресцентной ангиограммы наблюдается интенсивная гиперфлюоресценция новообразования. УЗИ: выявляются объемное умеренно гипоэхогенное образование хориоидеи и экскавация хориоидеи. Выполнена локальная резекция, новообразование удалено. Микропрепарат: определяются плотно упакованные клетки и ветвящиеся в виде оленьих рогов сосуды (гематоксилин-эозин, х100). Микропрепарат при большем увеличении: отмечаются веретеновидные клетки и сосудистые каналы мелкого и среднего калибра (гематоксилин-эозин, х250). Микропрепарат: видно, что опухолевые клетки локализуются снаружи от базальной мембраны кровеносных сосудов, что характерно для гемангиоперицитомы (окраска на ретикулин, х250).
б) Диагностика. При флюоресцентной ангиографии наблюдается ранняя гиперфлюоресценция и интенсивная поздняя гиперфлюоресценция. При ультразвуковом А-сканировании отмечается низкая или средняя эхогенность ткани опухоли, при ультразвуковом В-сканировании определяется акустическая пустота новообразования и наличие экскавации хориоидеи. Результаты ультразвукового исследования неспецифичны для этого вида опухоли.
в) Патологическая анатомия. Гистологически гемангиоперицитома сосудистой оболочки образована синусоидными сосудистыми каналами, разделенными веретеновидными клетками, при иммуногистохимическом исследовании и электронной микроскопии демонстрирующими признаки перицитов. Судя по результатам недавнего исследования, возможно, что некоторые опухоли, классифицированные как гемангиоперицитомы, могли оказаться солитарными фиброзными опухолями.
г) Лечение. Поскольку гемангиоперицитома сосудистой оболочки встречается редко, специальной литературы по ее лечению нет. Эти опухоли обычно принимают за меланому или гемангиому хориоидеи, и, исходя из предположения, что опухоль является меланомой, в большинстве случаев проводится стандартное лечение, в том числе энуклеация или лучевая терапия с применением аппликатора.
Многопрофильный медицинский центр GMS Clinic, Москва, Россия
Российский онкологический научный центр им. Н.Н. Блохина, Москва
ФГБУ «Российский онкологический научный центр им. Н.Н. Блохина» РАМН, Москва
НИИ КО ФГБУ «Национальный медицинский исследовательский центр онкологии им. Н.Н. Блохина» Минздрава России, Москва, Россия
Редкое наблюдение злокачественной гемангиоперицитомы малого таза
Журнал: Онкология. Журнал им. П.А. Герцена. 2015;4(2): 64‑70
Алиев В.А., Мусаев Э.Р., Татаев И.Ш., Феденко А.А., Овчинникова А.И., Кочура Н.А., Давыдов М.М. Редкое наблюдение злокачественной гемангиоперицитомы малого таза. Онкология. Журнал им. П.А. Герцена. 2015;4(2):64‑70.
Aliev VA, Musaev R, Tataev ISh, Fedenko AA, Ovchinnikova AI, Kochura NA, Davydov MM. Experience in treating a patient with a malignant small pelvic hemangioperocytoma. P.A. Herzen Journal of Oncology. 2015;4(2):64‑70. (In Russ.).
Представлено редкое наблюдение успешного комплексного лечения больного с злокачественной гемангиоперицитомой малого таза. На первом этапе проведена неоадъювантная химиотерапия с последующей радикальной операцией в объеме цилиндрической брюшно-промежностной экстирпации прямой кишки. Продемонстрированы клиническая картина и особенности данного редкого заболевания, а также этапы хирургического вмешательства.
Гемангиоперицитома относится к неэпителиальным опухолям малого таза (синонимы: перицитома, перителеома, лимфангиперицитома, периваскулярная гемангиоэндотелиома). Это редкие злокачественные периваскулярные опухоли, частота которых не превышает 1% от числа сосудистых опухолей [1]. Опухоль состоит из малодифференцированных гладкомышечных клеток, прилегающих к стенкам капилляров и регулирующих их размер. Некоторые авторы рассматривают перициты как источник двух близких опухолей — гемангиоперицитомы и гломанангиомы. Как показывают ультраструктурные исследования, перициты обнаруживаются в стенках капилляров и венул. Они имеют длинные выросты, окружающие сосуд и образующие прерывистый слой между эндотелием и адвентициальной соединительной тканью. Обычно только базальная мембрана отделяет эндотелий от перицитов [2].
Возникает эта опухоль в любом возрасте — от 3 дней жизни до 92 лет, чаще у лиц в возрасте 38—58 лет, с одинаковой частотой у представителей обоих полов. Дифференциальный диагноз следует проводить с саркомой Капоши, ангиолейомиобластомой, фибросаркомой, ангиосаркомой, гломус-ангиомой Баре—Масона, сосудистой лейомиомой, саркомой Юинга [5].
Гемангиоперицитома чаще всего поражает кожу и подкожную жировую клетчатку (34,5%), скелетные мышцы нижних конечностей (24,5%), забрюшинное пространство (24%), область головы и шеи (17%). Опухоль может локализоваться всюду, где имеются капилляры, включая ротовую полость, средостение, забрюшинное пространство [6].
Обычно опухоль имеет овальные и округлые очертания, состоит из отдельных узлов плотноэластической консистенции, серовато-белого или насыщенно-синюшного цвета (в зависимости от степени васкуляризации). С течением времени узлы могут изъязвляться и легко кровоточить. Обычно гемангиоперицитома — солитарная опухоль, реже бывает множественной, сгруппированной на сравнительно небольшом участке тела. Растут опухоли обычно медленно, в редких случаях достигая большого размера, без каких-либо клинических проявлений. Клинические проявления, как правило, связаны со сдавлением опухолью прилежащих органов. В одних случаях возникают явления кишечной непроходимости, в других — дизурические расстройства. Боль возникает в случае сдавливания опухолью нервов.
Возможны эндокринные (гипогликемия) [7], неврологические нарушения, сосудистые изменения (телеангиэктазии, варикозное расширение вен прямой кишки).
Заболевание имеет относительно медленное течение (5—12 лет), но описаны случаи быстрого прогрессирования. Рецидивирование опухоли возможно через много лет после удаления опухоли.
Частота метастазирования при гемангиоперицитоме колеблется от 11,7 до 56,5%. Сроки наблюдения от начала установки диагноза и до обнаружения метастазов составляют от 1 года до 14 лет, в среднем 4,5 года. Наиболее часто опухоль метастазирует в печень, легкие, лимфатические узлы. По данным ряда авторов, летальность в сроки от 3—5 до 15—20 лет колеблется от 23 до 47,8%.
Клиническое наблюдение
Пациент М., 37 лет, обратился с жалобами на боль в малом тазу, иррадиирущую в крестец, тяжесть внизу живота.
Считает себя больным с января 2011 г., когда появились болезненные ощущения в нижних отделах живота и промежности. С марта 2011 г. стал отмечать усиление боли, по поводу чего обратился в одну из городских клиник Москвы, где выявили опухоль малого таза (рис. 1).

Рис. 1. МР-томограмма малого таза. Опухоль малого таза.
11.04.2011 была выполнена лечебно-диагностическая лапаротомия, удаление опухоли малого таза. При гистологическом исследовании операционного материала выявлена злокачественная шваннома.
В дальнейшем пациент находился под динамическим наблюдением по месту жительства. В январе 2012 г. появились жалобы на боль в промежности.
Больной направлен в ФГБУ «РОНЦ им. Н.Н. Блохина» РАМН, где был диагностирован рецидив опухоли в малом тазу.
Выполнено иммуногистохимическое исследование гистологических препаратов от 11.04.2011: морфоиммуногистохимическая характеристика опухоли соответствует гемангиоперицитоме, на основании чего установлен диагноз: злокачественная гемангиоперицитома малого таза T2bN0M0 G3. Состояние после хирургического лечения от 11.04.2011 — рецидив. В январе 2012 г. прогрессирование. При поступлении состояние относительно удовлетворительное.
При пальцевом исследовании прямой кишки сразу за анусом, внекишечно, пальпируется неподвижное опухолевое образование, занимающее практически весь малый таз, прямая кишка циркулярно сужена с выраженным болевым синдромом, однако слизистая оболочка прямой кишки не изменена.
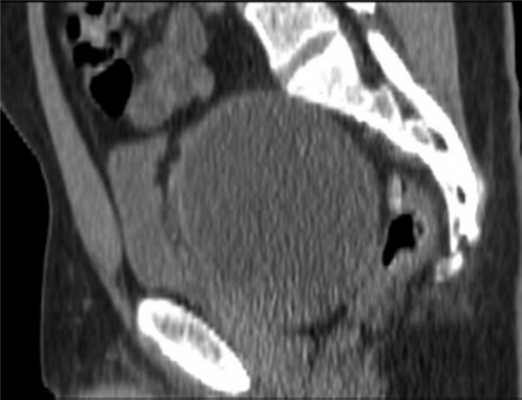
По данным магнитно-резонансной томографии (МРТ) от 10.02.2012, в полости малого таза пресакрально располагается опухоль размером 9,2×9×7 см. Верхний полюс ее на уровне тела S I позвонка, распространяется в параректальную клетчатку, тесно прилежит к прямой кишке, оттесняя ее влево (граница прослеживается). Нельзя исключить прорастание в кишку, стенки прямой кишки отечны. Опухоль прилежит к семенным пузырькам и предстательной железе (граница прослеживается); мочевой пузырь оттеснен кпереди и кверху; верхний полюс опухоли расположен между грушевидными мышцами, прилежит к передней поверхности крестца и копчика (граница прослеживается), нижний полюс опухоли расположен между волокнами мышцы, поднимающей задний проход; нижние ягодичные сосуды справа оттеснены кпереди, тесно прилежат к опухоли на протяжении 3 см (рис. 2).

Рис. 2. МР-томограммы малого таза. Пресакрально располагается опухоль размером 9,2×9×7 см. а — сагиттальный срез; б — фронтальный срез.
Учитывая данные иммуногистохимического исследования (G3, количество митозов >30%) и местный рецидив опухоли, больной консультирован химиотерапевтом из группы лечения сарком и радиологом, после чего решено провести неоадъювантную полихимиотерапию.
Проведено 6 курсов полихимиотерапии по схеме HD AI (препараты: ифосфамид 2000 мг/м 2 в/в в 1—5-й день, СД =20 000 мг; месна 2000 мг/м 2 в/в в 1—5-й день, СД =20 000 мг; доксорубицин 60 мг/м 2 в/в в 1-й день, СД =120 мг; нейпомакс по 300 мкг п/к в 6—15-й день).

Рис. 3. МР-томограммы малого таза. Опухоль уменьшилась в размере до 5,5×3,5×4 см, однако тесно прилежит к правой стенке прямой кишки. а — аксиальный срез; б — сагиттальный срез; в — фронтальный срез.
По данным ультразвукового исследования компьютерной томографии брюшной полости и рентгенографии органов грудной клетки отдаленных метастазов не выявлено.
В отделении проведен повторный консилиум с участием химиотерапевтов саркомной группы, хирургов сакральной группы, а также сотрудников отделения онкопроктологии. Учитывая нерадикальность предыдущей операции по поводу неэпителиальной опухоли малого таза, положительную динамику на фоне полихимиотерапии в виде уменьшения размера опухоли (более чем в два раза), а также молодой возраст пациента, принято решение вторым этапом выполнить оперативное вмешательство в объеме цилиндрической (экстралеваторной) брюшно-промежностной экстирпации прямой кишки, предложенной австрийским хирургом Т. Holm в 2007 г.
07.11.2012 выполнена цилиндрическая или экстралеваторная экстирпация прямой кишки. Через тазовую брюшину в мезоректальной клетчатке справа пальпируется верхний полюс опухоли, подрастающей к стенке прямой кишки, опухоль фиксирована к правой боковой стенке таза. Отдаленных метастазов нет (рис. 4).

Рис. 4. Этап операции. Ревизия опухоли.
Произведена мобилизация прямой кишки по левой и задней полуокружности, а также пресакрально до мышц тазового дна с соблюдением всех онкологических правил (рис. 5). По левой боковой стенке таза опухолевая капсула интимно прилежит к внутренней подвздошной вене и артерии, острым путем последняя мобилизована от магистральных сосудов.

Рис. 5. Этапы операции. а — мобилизация слева; б — мобилизация справа.
Далее сигмовидная кишка пересечена на уровне ее дистальной трети, а прямая кишка погружена в малый таз, при этом тазовая брюшина ушита над заглушенной культей прямой кишки. Затем сигмовидная кишка забрюшинно выведена в левом боковом отделе живота на переднюю брюшную стенку и сформирована плоская колостома, после чего брюшная полость ушита наглухо послойно (рис. 6).

Рис. 6. Этапы операции. а — ушивание тазовой брюшины; б — сигмостома.
Далее больной перевернут на живот в положении по типу «перочинного ножа» (рис. 7).

Рис. 7. Положение больного на столе (а). Вид операционного поля промежности (б).
После обработки операционного поля мобилизация прямой кишки продолжена из широкого промежностного доступа. Выполнено ушивание заднего прохода кисетным швом, намечены края резекции. В проекции крестцово-копчикового сочленения кожа и подкожная жировая клетчатка рассечены до задней крестцово-копчиковой связки. Последняя пересечена в поперечном направлении. Выполнена ампутация копчика с последовательным пересечением передней крестцово-копчиковой и крестцово-прямокишечной связок (рис. 8).

Рис. 8. Этапы операции. а — ушивание ануса; б — рассечение кожи и подкожной жировой клетчатки; в — пересечение крестцово-копчиковых связок.
Далее прямая кишка с опухолью в едином блоке мобилизована острым путем от предстательной железы и правой стенки таза, после чего выполнена цилиндрическая брюшно-промежностная экстирпация прямой кишки. Малый таз дренирован двумя силиконовыми дренажами и ушит наглухо (рис. 9).

Рис. 9. Этапы операции. а — мобилизация простаты; б — дренирование малого таза; в — конечный вид раны.
Гистологическое заключение: в жировой клетчатке прямой кишки, с учетом иммуногистохимического исследования разрастания злокачественной гемангиоперицитомы с признаками лечебного патоморфоза 1-й степени (жизнеспособной опухолевой ткани более 50% по DWORAK). Опухоль не прорастает в прилежащий мышечный слой кишки. В одном лимфатическом узле прилежащей клетчатки элементов опухолевого роста нет. В краях резекции кишки без элементов опухолевого роста. Под маркировкой «латеральный край опухоли» — кусочек фиброзной ткани с очагами ксантоматоза (рис. 10).

Рис. 10. Макропрепарат.
Продолжительность операции составила 3 ч 30 мин, кровопотеря — 500 мл. Интраоперационных и ранних послеоперационных осложнений не было. Пациент на 12-е сутки выписан из хирургического отделения.
Заключение
Лечение больных с опухолями малого таза представляет собой сложную задачу, ключом к решению которой является мультидисциплинарный подход. В настоящее время нет четких дифференциальных диагностических критериев гемангиоперицитом, сарком и солитарных фиброзных опухолей. Несмотря на то что данные опухоли традиционно считаются радиорезистентными, до недавнего времени при лечении сарком таза часто использовали лучевую или химиолучевую терапию. Сегодня сложно переоценить важность точной диагностики, так как правильный диагноз должен быть установлен лишь на основании иммуногистохимического исследования, которое позволяет прогнозировать ход дальнейшего лечения и прогноз заболевания. В литературе имеются лишь единичные наблюдения хирургического лечения гемангиоперицитом малого таза. На наш взгляд, радикальное хирургическое вмешательство — основной метод лечения больных с гемангиоперицитомой. Однако при местно-распространенной опухоли или в случае рецидива заболевания, при которых имеется тесная связь опухоли с прилежащими анатомическими структурами малого таза, возможность достижения свободного от опухоли латерального края резекции и радикальности операции становится обоснованно сомнительной. При повторном рецидивировании возможно использование рентгенохирургических технологий, таких как «Кибер-нож». В таких случаях коллегиальное обсуждение с участием хирургов, химиотерапевтов и лучевых терапевтов становится залогом успешного лечения больного.
В данном клиническом наблюдении продемонстрировано успешное комплексное лечение больного со столь редкой патологией. На наш взгляд, хотя проведенное предоперационное лечение было эффективным, выполнение экстралеваторной брюшно-промежностной экстирпации, явилось ключевым элементом радикального лечения больного.
Опухоли конъюнктивы
Опухоли конъюнктивы – доброкачественные и злокачественные новообразования тонкой прозрачной оболочки глаза, покрывающей переднюю часть склеры и внутреннюю поверхность век. Проявляются косметическим дефектом. Возможны нарушения зрения. Злокачественные опухоли конъюнктивы способны к прорастанию окружающих тканей и метастазированию. Диагноз устанавливается офтальмологом с учетом жалоб и результатов осмотра структур глаза. Лечение – традиционное хирургическое вмешательство, лазерная эксцизия, лазерная коагуляция, электрокоагуляция, криотерапия, местная медикаментозная терапия.
Общие сведения
Опухоли конъюнктивы – группа эпителиальных, пигментных, сосудистых опухолей, исходящих из конъюнктивальной оболочки. Доброкачественные опухоли чаще выявляются в детском возрасте, нередко носят врожденный характер. Злокачественные и предраковые поражения преимущественно диагностируются у людей пожилого и старческого возраста. В большинстве случаев опухоли конъюнктивы происходят из эпителиальных или пигментных клеток, реже – из субэпителиальных слоев. Прогноз, как правило, благоприятный для жизни (за исключением меланомы), однако некоторые новообразования, в том числе и доброкачественные, могут становиться причиной нарушений зрения и изменений структур глаза. Лечение осуществляют специалисты в области онкологии и офтальмологии.
Доброкачественные опухоли конъюнктивы
Папиллома – достаточно распространенная опухоль конъюнктивы эпителиального происхождения. Возникает в первые дни жизни. Представляет собой одиночные или множественные мягкие узелки с большим количеством мелких сосудов, придающих новообразованиям красноватую или розоватую окраску. Опухоли конъюнктивы располагаются на тонкой, часто кровоточащей ножке. Склонны к рецидивированию. Редко подвергаются злокачественному перерождению. Лечение – оперативное вмешательство, криодеструкция, при множественных папилломах – лазерная вапоризация или аппликации митомицина.
Стационарный невус – еще одна часто встречающаяся опухоль конъюнктивы. Происходит из меланинсодержащих клеток. Составляет около 20% от общего количества доброкачественных новообразований этой оболочки глаза. Обычно возникает в детском возрасте. Пигментная опухоль конъюнктивы выглядит как плоское гладкое пятно желтоватого или коричневатого цвета с четкими контурами. У трети невусов пигментация отсутствует. При отсутствии роста и признаков озлокачествления лечение не требуется.
Дермоид (дермоидная киста конъюнктивы, липодермоид) – врожденная кистозная опухоль конъюнктивы, содержащая элементы эктодермы. Как и стационарные невусы, составляет около 20% от общего количества доброкачественных новообразований конъюнктивы. Может быть одно- или двухсторонней. Обычно локализуется снаружи от роговицы. Представляет собой овальный эластичный узел желтоватой окраски. Может прорастать роговицу. Дермоиды большого размера могут ограничивать движения глазного яблока. Лечение - хирургическое иссечение.
Гемангиома – опухоль конъюнктивы сосудистого происхождения. Имеет врожденный характер. Как правило, располагается во внутреннем углу глаза. Выглядит как скопление сильно извитых синюшных сосудов. На ранних стадиях показано удаление лазером, в последующем – электрокоагуляция.
Лимфангиома – редкая опухоль конъюнктивы, происходящая из стенок лимфатических сосудов. Обычно выявляется у взрослых. Представляет собой эластичное подвижное образование обычной или розовато-желтой окраски, не меняющее объем при надавливании. Эта опухоль конъюнктивы склонна к медленному, но неуклонному росту. При отсутствии лечения может достигать больших размеров, препятствовать нормальным движениям глазного яблока и становиться причиной грубых косметических дефектов. После удаления может рецидивировать. Лечение хирургическое.
Переходные опухоли конъюнктивы
Эпителиома Боуэна – облигатное предраковое поражение конъюнктивы эпителиального происхождения. Как правило, возникает в зрелом возрасте. Локализуется рядом с лимбом. На начальных стадиях опухоль конъюнктивы представляет собой плоскую либо слегка выдающуюся светло-серую бляшку. В последующем становится более массивной, больше возвышается над поверхностью, приобретает перламутровый оттенок. Может прорастать роговицу. Лечение – хирургическое вмешательство (возможно в сочетании с пред- и послеоперационной обработкой митомицином), короткодистанционная рентгенотерапия.
Приобретенный меланоз – предраковая пигментная опухоль конъюнктивы. Обычно возникает в возрасте 40-50 лет. Выглядит как плоское темное пятно с четкими контурами. Может поражать значительную часть конъюнктивы и переходить на роговицу. Продолжительность и особенности течения этой опухоли конъюнктивы существенно варьируют. Иногда отмечается спонтанное выздоровление. У 25-75% больных наблюдается озлокачествление. Лечение – электрокоагуляция, лазерная коагуляция, при появлении признаков малигнизации – лучевая терапия.
Прогрессирующий невус – предраковая опухоль конъюнктивы, происходящая из пигментных клеток. Цвет новообразования может различаться от темно-коричневого до светло-желтого или розоватого. Наблюдается увеличение размера, появление пестрой окраски (чередования пигментированных и непигментированных областей), размытость контуров и увеличение количества сосудов. Лечение оперативное.
Злокачественные опухоли конъюнктивы
Рак конъюнктивы – первичная злокачественная опухоль конъюнктивы, обычно возникающая на фоне предраковых заболеваний. Диагностируется редко, поражает преимущественно людей старшего возраста. Мужчины болеют чаще женщин. Фактором риска является постоянная чрезмерная инсоляция. По внешнему виду опухоль конъюнктивы может напоминать болезнь Боуэна или ороговевающую папиллому. Представляет собой сероватую или белесоватую пленку, пронизанную телеангиэктазиями, либо скопление узелков розоватой окраски. В процессе роста опухоль конъюнктивы распространяется на близлежащие ткани, может прорастать орбиту, давать метастазы в шейные и околоушные лимфоузлы.
Рак также может локализоваться на внутренней стороне века. Такие новообразования протекают более злокачественно по сравнению с опухолями конъюнктивы, расположенными в области склеры. На начальных стадиях узел растет внутриконъюнктивально, вызывая утолщение и уплотнение века. В последующем возможно изъязвление. При прогрессировании опухоль конъюнктивы распространяется на слезное мясцо, роговицу и конъюнктиву склеры, но не прорастает тарзальную пластинку.
Диагноз устанавливается на основании осмотра и результатов биопсии. Ограниченные узлы небольшого размера подлежат оперативному удалению. Возможно использование диатермокоагуляции. При больших опухолях конъюнктивы применяют рентгенотерапию или бета-терапию. При поражении орбиты выполняют экзентерацию глазницы. Прогноз достаточно благоприятный. При опухолях, не распространяющихся на орбиту, отсутствие рецидивов в течение 5 лет после окончания лечения отмечается у 50-80% пациентов.
Меланома – злокачественная опухоль конъюнктивы, возникающая на фоне приобретенного меланоза (75%), прогрессирующего невуса (20%) или неизмененных тканей. Представляет собой гладкое или бугристое опухолевидное образование. Может быть пигментированной (желтоватой, коричневой) либо лишенной пигмента. Обычно располагается у внутреннего угла глаза или недалеко от лимба. При осмотре на щелевой лампе обнаруживаются пигментированные «дорожки», расходящиеся за пределы опухоли конъюнктивы.
При прогрессировании может давать начало новым узлам в области конъюнктивы, прорастать склеру и орбиту, а также метастазировать в регионарные лимфоузлы и отдаленные органы. Лечение оперативное. На ранних этапах выполняют удаление опухоли конъюнктивы с окружающими тканями, при прорастании склеры осуществляют энуклеацию глазного яблока, при прорастании орбиты – экзентерацию глазницы. Применяют рентгенотерапию и химиотерапию. Прогноз в большинстве случаев неблагоприятный.
Читайте также:
- Ингибиторы протонной помпы (ИПП) при язвенной болезни. Омепразол (омез) при язве желудка и двенадцатиперстной кишки
- Дифференциация вздутия кишок. Западение брюшной стенки у пациента
- Изолированная некомпактность левого желудочка. Диагностика изолированной некомпактности левого желудочка.
- Развитие бешенства. Клиника бешенства
- Рентгенограмма, КТ, МРТ при лимфоме кости
