Гетеротопия серого вещества мозга на МРТ
Добавил пользователь Евгений Кузнецов Обновлено: 29.01.2026
Если травмирована кожа - на ней образуются рубцы и шрамы. Похожие рубцы могут образовываться и в головном мозге.
О такой распространенной патологии, как глиоз, мы говорим с врачом-рентгенологом, главным врачом и исполнительным директором «МРТ Эксперт Липецк» Волковой Оксаной Егоровной.
- «На МРТ обнаружили глиоз головного мозга», - звучит устрашающе. Оксана Егоровна, расскажите, что такое глиоз головного мозга?
Это замещение погибших нейронов клетками нейроглии. В головном мозге есть различные виды клеток. Основные клетки - нейроны, благодаря которым и происходят нервно-психические процессы. Это те самые клетки, о которых говорят «не восстанавливаются».
Другая разновидность - клетки глии (нейроглии). Функция их вспомогательная, они участвуют, в частности, в обменных процессах в головном мозге.
Природа, как известно, пустоты не терпит. Поэтому если нейроны по тем или иным причинам гибнут, то их место занимают клетки нейроглии. Здесь можно провести аналогию с травмой кожи. Если повреждение достаточно существенное, то на его месте образуется рубец. Участок глиоза - это тоже «рубец», «шрам», но в нервной ткани.
- Глиоз головного мозга – это самостоятельное заболевание или следствие других болезней?
Это последствие иных заболеваний.
- По каким причинам развиваются глиозные очаги головного мозга?
Причины глиоза головного мозга разные. Он бывает врожденным, а также развивается на фоне большого числа патологий головного мозга. Чаще всего встречаются очаги глиоза, появившиеся в ответ на сосудистое нарушение. Например, произошла закупорка небольшого сосуда. Находящиеся в области его кровоснабжения нейроны погибли, а их место заполнили глиальные клетки. Бывает глиоз при инсультах, инфарктах головного мозга, после кровоизлияний.
ЕСЛИ ПОВРЕЖДЕНИЕ КОЖИ СУЩЕСТВЕННОЕ,
ТО НА ЕГО МЕСТЕ ОБРАЗУЕТСЯ РУБЕЦ.
УЧАСТОК ГЛИОЗА - ЭТО ТОЖЕ "РУБЕЦ",
"ШРАМ", НО В НЕРВНОЙ ТКАНИ.
Также он может формироваться после травм, при наследственных заболеваниях (например, достаточно редком недуге - туберозном склерозе), нейроинфекциях, после хирургических операций на мозге, отравлений (угарным газом, тяжелыми металлами, наркотиками); вокруг опухолей.
- Перед подготовкой интервью мы специально изучили запросы людей и выяснили, что вместе со словосочетанием «глиоз головного мозга», россияне пытаются узнать у поисковых систем – опасно ли это, смертельно и даже интересуются прогнозом жизни. Насколько опасен глиоз головного мозга для нашего здоровья?
Это зависит от причины глиоза и того, какие последствия может вызывать сам глиозный очаг.
Например, у человек закупорился мелкий сосудик и в месте гибели сформировался очажок глиоза. Если этим все ограничилось, и сам участок глиоза находится в «нейтральном» месте, то «здесь и сейчас» последствий может и не быть. С другой стороны, если мы видим такой, даже «молчащий», очаг, нужно понимать, что он появился там не просто так.
Иногда даже небольшой очаг глиоза, но располагающийся в височной доле, может «заявлять о себе», вызывая появление эпилептических приступов. Или участок глиоза может привести к нарушению передачи импульсов от головного мозга к спинному, вызвав паралич одной конечности.
Таким образом, необходимо всегда пытаться докопаться до причины, так как в ряде случаев глиоз - это своего рода «маячок», предупредительный сигнал, что что-то не так - даже если сейчас он вообще никак человека не беспокоит.
- Глиоз головного мозга и глиома головного мозга – это не одно и то же?
Безусловно нет. Глиома - это одна из наиболее часто встречающихся опухолей головного мозга. Глиоз к опухолям не имеет никакого отношения.
- Глиоз не может перерасти в онкологию?
Нет. Он может встречаться при новообразованиях головного мозга, но как параллельное явление - например, на фоне сопутствующей сосудистой патологии.
- Какими симптомами проявляет себя глиоз головного мозга?
Самыми разнообразными - исходя из множества патологий, из-за которых образуются участки глиоза. Специфического симптома(ов) именно глиоза нет.
ГЛИОЗ К ОПУХОЛЯМ НЕ ИМЕЕТ НИКАКОГО ОТНОШЕНИЯ.
ПЕРЕРАСТИ В ОНКОЛОГИЮ ОН НЕ МОЖЕТ.
Могут отмечаться головные боли, головокружение, шаткость походки, изменчивость артериального давления, нарушения памяти, внимания, расстройства сна, снижение работоспособности, ухудшения зрения, слуха, эпилептические приступы и многие другие.
- Оксана Егоровна, а виден ли глиоз на МРТ?
Безусловно. Более того, мы можем с определенной вероятностью сказать, какого он происхождения: сосудистого, посттравматического, послеоперационного, после воспаления, при рассеянном склерозе и т.д.
Читайте материал по теме: Если МРТ головного мозга показало…
- Как глиоз головного мозга может отразиться на качестве и продолжительности жизни пациента?
Это зависит от основного заболевания. Бессимптомный глиоз после небольшой черепно-мозговой травмы - это одно, а очаг в височной доле, вызывающий частые эпилептические приступы - другое. Безусловно, имеет значение и объем повреждения нервной системы и вызванные этим нарушения (например, при инсульте).
- Глиозные очаги в головном мозге требуют назначения специального лечения?
И здесь все зависит от основной патологии. Данный вопрос решается индивидуально лечащим доктором.
- К врачу какого профиля необходимо обратиться пациенту, если во время МРТ-диагностики головного мозга у него выявлен глиоз?
К неврологу, по показаниям - к нейрохирургу.
- Если при проведении магнитно-резонансной томографии выявлены очаги глиоза в головном мозге, такому пациенту необходимо динамическое наблюдение?
Да. Его частота зависит от причины, вызвавшей появление глиоза, количества и величины очагов, их «поведения» при динамическом наблюдении и т.д. Эти вопросы решаются лечащим доктором и врачом-рентгенологом.
Также вам может быть полезно:
Волкова Оксана Егоровна
В 1998 году окончила Курский государственный медицинский университет.
В 1999 году окончила интернатуру по специальности «Терапия», в 2012 году - по специальности «Рентгенология».
Работала врачом-рентгенологом в компании «МРТ Эксперт Липецк».
С 2014 года занимает в ней должность главного врача и исполнительного директора.
Другие статьи по теме
Ежегодно, каждого 10 октября в мире отмечается День психического здоровья. Инициатором этой. Сойти с ума: День психического здоровья
Недавно специалисты установили, что коронавирусная инфекция поражает не только легкие человека и. «Ковид» на всю голову: влияние вируса на мозг человека
Гетеротопия серого вещества мозга на МРТ
а) Терминология:
• Гетеротопия (ГТП)
• Незавершенная/нарушенная миграция групп нейронов из перивентрикулярной герминальной зоны (ГЗ) в кору полушарий головного мозга
б) Визуализация:
• Эктопированные узел или лента изоинтенсивнного серому веществу (СВ) сигнала на всех МР последовательностях
• Перивентрикулярный субкортикальный/трансцеребральный, молекулярный слой
• Перивентрикулярная гетеротопия (ГТП) локализуется возле перивентрикулярного белого вещества (БВ) (ГЗ мозговой мантии), но не в мозолистом теле (тракты белого вещества) или рядом с базальными ганглиями (ГЗ ганглионарного бугорка)
• Размеры вариабельны: от крошечных до огромных, от изолированных до диффузного характера
• Тонкосрезовая высокоразрешающая 3D сильно Т1 взвешенная последовательность обеспечивает оптимальные разрешение и контраст между серым и белым веществом
• Узловая гетеротопия (ГТП) крупных размеров: часто имеется истончение вышележащей коры и ее подобная полимикрогирии конфигурация
(а) МРТ, Т2-ВИ, аксиальный срез: у девочки 6 лет с рефрактерной эпилепсией в задних отделах правой доли определяется массивная субкортикальная гетеротопия (ГТП), состоящая из подобного коре СВ, белого вещества (БВ) и ликворных пространств а также кровеносных сосудов. Такая псевдотуморозная конфигурация может наводить на мысль об опухоли, но ипсилатеральное полушарие в данном случае уменьшено. Обратите внимание на истончение вышележащей коры.
(б) MPT, DTI, цветная карта ФА, аксиальный срез: у того же пациента наблюдается полная дезорганизация белого вещества (БВ) в области и вокруг узловой субкортикальной гетеротопии (ГТП). Ориентация трактов: красный цвет-справа налево, зеленый - спереди назад, голубой-сверху вниз. Оттенки соответствуют направлениям промежуточного характера. (а) MPT, 3D Т2-ВИ, аксиальный срез: у 12-летнего мальчика определяется субкортикальная ламинарная гетеротопия. Симметричная гетеротопия (ГТП) залегает под прослойкой БВ. Гетеротопия (ГТП) утолщается кзади, что соответствует изменениям при мутации (аутосомно-рецессивной) гена LIS1. Вышележащая кора выглядит практически нормальной.
(б) МРТ в с одновременной магнитоэнцефалографией (МЭГ), Т1 -ВИ, аксиальный срез: у этого же пациента определяется, что линии (треугольники) МЭГ ориентированы по направлению от гетеротопии (ГТП). Как гетеротопия (ГТП), так и вышележащая кора включены в эпилептогенную петлю.
в) Дифференциальный диагноз:
• Туберозный склероз
• Закрытая шизэнцефалия
• Опухоли
г) Патология:
• При диффузном характере перивентрикулярная узловая гетеротопия (ГТП) часто генетически детерминирована:
о В большинстве случаев имеется мутация гена FLNA (необходим для миграции клеток в кору полушарий головного мозга), локализованного в Xq28
• Ламинарная гетеротопия (ГТП): легкая форма первого типа (классический тип) лиссэнцефалии (агирия/пахигирия/синдром «двойной коры»):
о Лиссэнцефалия, преобладающая в задних отделах полушарий/ламинарная гетеротопия (ГТП): делеция гена LIST, локализованного в 17р13.3
о Лиссэнцефалия, преобладающая в передних отделах полушарий/ламинарная гетеротопия (ГТП): делеция гена DCX = даблкортин, локализованный в Xq22.3-Q23
Диагностика гетеротопии серого вещества мозга на МРТ, КТ
а) Терминология:
1. Сокращения:
• Гетеротопия (ГТП); аномалии развития коры головного мозга (АРК)
2. Синонимы:
• Гетеротопия серого вещества; Синдром «двойной коры» = ламинарная ГТП
3. Определение:
• Гетеротопии: группа патологий, вязанных с АРК и характеризующихся наличием чрезмерного количество тел нейронов (как изолированных, так и сгруппированных) в области субкортикального белого вещества (БВ):
о Отражает незавершенную/нарушенную миграцию групп нейронов из перивентрикулярной герминальной зоны (ГЗ) в кору полушарий головного мозга
б) Визуализация:
1. Общие характеристики гетеротопии серого вещества мозга:
• Лучший диагностический критерий:
о Аномально расположенные узелки, скопление узелков или ленты изоинтенсивного серому веществу (СВ) сигнала на всех МР последовательностях
• Локализация:
о Выделяют три группы ГТП в зависимости от локализации/рас-пределения гетеротопированных нейронов:
- Нейрональная гетеротопия (характеризуется гетеротопией отдельных тел нейронов в БВ)
- Узловая гетеротопия (узелки СВ в БВ)
- Ламинарная (ленточная) гетеротопия (синдром «двойной коры»)
о Гетеротопия СВ может быть диффузной или локализованной; берет начало в любом месте от эпендимы до мягкой мозговой оболочки:
- Диффузная ГТП: субкортикальная ламинарная (ленточная) гетеротопия, распространенная двусторонняя перивентрикулярная узловая гетеротопия
- Локализованная ГТП: субэпендимальное (одно- или двусторонние), субкортикальное (узловое, ламинарное) или одностороннее трансмантийное распространение серого вещества от субэпендимальной области до коры
• Размеры:
о Вариабельные: от крошечных до огромных, от изолированных до диффузного характера
• Морфология:
о Перивентрикулярная узловая гетеротопия (наиболее часто):
- Фокальная/мультифокальная асимметричная «зазубренность» контура желудочка за счет узелков СВ
- Диффузная/в передних отделах/в задних отделах
о Ламинарная гетеротопия = ленточная ГТП, синдром «двойной коры»:
- Толстые симметричные ленты СВ, расположенные субкортикально в сочетании с истончением коры
о Субкортикальная узловая гетеротопия:
- Фокальные узелки ГТП, часто одиночные:
Крупная узловая ГТП: часто имеется истончение вышележащей коры и ее подобная полимикрогирии конфигурация
- Многоузловое скопление СВ по типу объемного образования с «завихренной» структурой и связью с корой и желудочковой поверхностью; включает в себя СВ, БВ, иногда мягкую мозговую оболочку, сосуды и СМЖ
о Сочетание субкортикальной и перивентрикулярной ГТП
2. КТ при гетеротопии серого вещества мозга:
• Бесконтрастная КТ:
о ГТП изоденсна СВ (аномальная кальцификация наблюдается крайне редко)
• КТ с контрастированием:
о Не накапливает контраст

(а) МРТ, Т1 -ВИ, аксиальный срез: у девочки 75 лет с тяжелой эпилепсией в лобных долях под внешне нормальной корой определяется небольшая двусторонняя ленточная гетеротопия (ГТП). Локализация гетеротопии (ГТП) в передних отделах полушарий головного мозга характерна для дефекта гена DCX.
(б) МРТ, Т2-ВИ, аксиальный срез: у двухлетней девочки с атрофией зрительных нервов определяются двусторонняя перисильвиева полимикрогирия, отсутствие прозрачной перегородки, а также одиночная узловая перивентрикулярная гетеротопия (ГТП), имеющая изоинтенсивный коре сигнал. Гетеротопия редко локализуются под участками полимикрогирии.
3. МРТ при гетеротопии серого вещества мозга:
• Т1-ВИ:
о Визуализационные характеристики соответствуют СВ
о Четкие контуры
• Т2-ВИ:
о Визуализационные характеристики соответствуют СВ
о При субкортикальной локализации ГТП выполните поиск ее связи с корой и желудочковой поверхностью:
- При крупных размерах → часто наблюдаются мелкие размеры ипсилатерального полушария и крупные размеры ипсилатерального желудочка (слабое развитие БВ)
• FLAIR:
о Характеристики сигнала соответствует СВ
• ДВИ:
о При DTI наблюдаются соответствующиетракгографические паттерны
4. УЗИ. В-режим:
о Задокументированы случаи диагностики перивентрикулярной гетеротопии при УЗИ и МРТ плода
5. Радионуклидная диагностика:
• ПЭТ:
о Ламинарная ГТП: поглощение глюкозы в области гетеротопированного СВ ≥ таковой в области нормальной коры полушарий головного мозга
• ОФЭКТ (ОФЭКТ с ГМПАО):
о Характер перфузии сходен с таковой в нормальной коре; кровоснабжение области ГТП включено в бассейн циркуляции головного мозга
6. Рекомендации по визуализации:
• Лучший инструмент визуализации:
о МРТ
• Советы по протоколу исследования:
о Тонкосрезовая высокоразрешающая 3D сильно Т1 взвешенная последовательность обеспечивает оптимальные разрешение и контраст между серым и белым веществом
(а) МРТ, Т2-ВИ, корональный срез: у пятимесячного мальчика определяется легкая вентрикуломегалия с множественной узловой перивентрикулярной гетеротопии (ГТП), выстилающей преддверия желудочков. Также выявляется мега цистерна магна.
(б) МРТ, ТТ-ВИ, аксиальный срез: у девятилетней девочки с жалобами на головные боли (судорожного синдрома нет) определяются множественные двусторонние перивентрикулярные узелки изоинтенсивного серому веществу сигнала, образующие непрерывную выстилку полости боковых желудочков. Двустороння диффузная узловая гетеротопия (ГТП) часто связана с мутацией гена FLNA (Xq28). (а) МРТ, Т1 -ВИ, корональный срез: у мальчика 15 лет с эпилепсией определяется агенезия мозолистого тела с межполушарными менингеальными кистами и псевдотуморозной узловой субкортикальной гетеротопии (ГТП), локализованной в медиальном отделе полушария и прилегающей к сообщающейся с ликворными пространствами кисте.
(б) МРТ с использованием поверхностной катушки, Т2-ВИ, корональный срез: у мальчика 14 лет с резистентной мезиальной височной эпилепсией определяется крупная узловая субкортикальная гетеротопия (ГТП), распространяющаяся на область, где должен быть гиппокамп. Нормальный правый гиппокамп не идентифицируется.
в) Дифференциальная диагностика:
1. Туберозный склероз:
• Субэпендимальные узелки туберозного склероза выступают в просвет желудочков вдоль каудо-таламической вырезки или над хвостатым ядром:
о Часто наблюдается кальцификация; возможно контрастное усиление; помимо туберсов возможно наличие субэпендимальной гигантоклеточной астроцитомы
2. Закрытая шизэнцефалия:
• Серое вещество, выстилающее расщелину, простирается от коры до желудочка (выполните поиск «целующегося» желудочка):
о Трансцеребральная ГТП может сочетаться с наличием шизэнцефалической расщелины, даже контрлатеральной
3. Опухоли:
• Эпендимные очаги «отсева»
4. Цитомегаловирусная инфекция:
• Перивентрикулярные кальцификаты
г) Патология гетеротопии серого вещества мозга:
1. Общие характеристики:
• Этиология:
о Генетически детерминированная ГТП: мутации изменяют молекулярные взаимодействия в нескольких точках миграции нейронов → задержка миграции → ГТП:
- Мутация приводит к нарушению миграции нейробласта вдоль радиальной глиальной клетки до коры
о Приобретенная ГТП (редко):токсические/инфекционные агенты → реактивный глиоз/макрофагальная инфильтрация → нарушение нейрональной миграции/кортикального позиционирования
• Генетика:
о Перивентрикулярная узловая ГТП часто генетически детерминирована:
- В большинстве случаев имеется мутация гена FLNA (необходим для миграции клеток в кору полушарий головного мозга), локализованного в Xq28
- В других случаях перивентрикулярной ГТП мутация локализуется в 5р15.1, 5р15.33, 7q11.23
- Микроцефалия и узловая перивентрикулярная ГТП: ген ARFGEF2
о Ламинарная ГТП является легкой формой классической лиссэнцефалии (агирия/пахигирия/синдром «двойной коры»):
- Лиссэнцефалия, преобладающая в задних отделах полушарий/ламинарная ГТП: делеция гена US1, локализованного в 17р13.3
- Лиссэнцефалия, преобладающая в передних отделах полушарий/ламинарная ГТП: делеция гена DCX = даблкортин, локализованный в Xq22.3-Q23
- Мутации генов тубулина и связанного с микротрубочками белка также приводят к ламинарной ГТП
• Ассоциированные аномалии:
о Характер ассоциированных аномалий развития варьирует в зависимости от локализации перивентрикулярной ГТП:
- Гипоплазия мозолистого тела сочетается с диффузной или передней перивентрикулярной ГТП
- Агенезия мозолистого тела с межполушарными кистами (например, синдром Айкарди): практически всегда присутствует узловая субкортикальная ГТП
- Дисгенезия мозолистого тела, пороки развития мозжечка и гиппокампа сочетаются с перивентрикулярной ГТП в височной области и области треугольников боковых желудочков
• Эмбриология:
о Клеточная миграция: контроль клеточного цикла, межклеточная адгезия, фактор роста, высвобождение нейромедиатора, взаимодействие с матричными белками:
- Предшественники пирамидных нейронов, возникающие в субвентрикулярной ГЗ (мантии), мигрируют по направлению к поверхности, руководствуясь радиальной глией
- Стоп-сигнал из клеток Кахаля-Ретциуса в молекулярном слое (будущий первый слой коры)
- Процесс идет «изнутри наружу»: более молодые нейроны расположены более поверхностно
- Миграция по существу заканчивается к 20 неделе
о Аномальная миграция:
— → ГЗ (перивентрикулярная гетеротопия (ГТП)), → мантия, но ниже коры (субкортикальная гетеротопия (ГТП)) → молекулярный слой, за пределами мягкой мозговой оболочки → мозговые оболочки (лептоменингиальная гетеротопия (ГТП) = «булыжниковая» аномалия головного мозга)
2. Стадирование и классификация:
• Гетеротопию (ГТП) классифицируют по локализации, типу и размерам; фенотип может позволить определить генотип:
о Перивентрикулярная узловая гетеротопия (ГТП):
- Изолированная, множественная, диффузная/передняя/задняя, одно-/двусторонняя
о Ламинарная гетеротопия (ГТП) (ламинарная гетеротопия (ГТП), синдром «двойной коры») входит в диагноз «лиссэнцефалия 1 типа»:
- Более легкая форма агирии, диапазон аномалий агирия/пахигирия
о Лептоменингиальная гетеротопия (ГТП):
- Наблюдается при «булыжниковой» аномалии головного мозга (часто сочетается с врожденными мышечными дистрофиями)
3. Макроскопические и хирургические особенности:
• Объемные скопления серого вещества вариабельной морфологии
4. Микроскопия:
• Несколько клеточных типов, незрелые/диспластические клетки о Возбуждающие нейроны преобладают над тормозящими
д) Клиническая картина гетеротопии серого вещества мозга:
1. Проявления:
• Наиболее частые признаки/симптомы:
о Когнитивная функция, начало/тяжесть судорожного синдрома зависят от локализации/степени аномалий
• Клинический профиль:
о Ребенок малого возраста с задержкой развития, судорогами
2. Демография:
• Возраст:
о Клиническая манифестация тяжелых случаев происходит в младенчестве: появляются судорожный синдром, тяжелые двигательные и когнитивные нарушения
о В более легких случаях эпилепсия может появляться во второй декаде жизни и имеет тенденцию к более тяжелой степени
• Пол:
о У мужчин с Х-сцепленными мутациями пороки развития головного мозга имеют значительно более тяжелую степень, а исход более неблагоприятный
• Эпидемиология:
о Частота ГТП среди аномалий ЦНС у новорожденных при аутопсии составляет 17%
о ГТП найдена у до 40% пациентов с резистентной эпилепсией
3. Течение и прогноз:
• Продолжительность жизни вариабельна, зависит от степени тяжести пороков развития и эпилепсии
• ГТП может быть случайной находкой при диагностической визуализации/аутопсии
4. Лечение:
• Паллиативная хирургия-резервный метод лечения некупируемых судорог
е) Диагностическая памятка:
1. Обратите внимание:
• Гетеротопия (ГТП) серого вещества встречается часто и часто сочетается с другими аномалиями развития
2. Советы по интерпретации изображений:
• Гетеротопия (ГТП) серого вещества не контрастируется и не кальцифицируется:
о Аномальная кальцификация наблюдается крайне редко
УЗИ, МРТ при гетеротопии серого вещества головного мозга у плода
а) Определения:
• Патологическое расположение нейронов (узелковое или послойное) за пределами коры больших полушарий головного мозга:
о Субэпендимальная гетеротопия: узелковые или линейные очаги вдоль стенки желудочков
о Субкортикальная гетеротопия: узелки распространяются от поверхности желудочка до межполушарного белого вещества
о Ленточная гетеротопия: слой серого вещества между желудочком и корой (также известный как «двойная кора»)
б) Лучевая диагностика:
1. УЗИ при гетеротопии серого вещества головного мозга у плода:
• Незначительная вентрикуломегалия:
о При УЗИ видна узловатая структура боковых желудочков
о Точечно-штриховая эпендима
• Часто сопровождается другими пороками развития головного мозга

(Слева) При УЗИ в I триместре беременности у плода выявляется нарушение строения задней части больших полушарий головного мозга и отсутствие характерного рисунка «бабочки». ТВП в пределах нормы - 1,3 мм.
(Справа) При последующем УЗИ на 22-й неделе гестации подтверждается патологическое строение задней части левого большого полушария головного мозга с дезорганизацией коры и возможной закрытой шизэнцефалией. Боковой желудочек на этой же стороне имеет патологическую форму, выявляются субэпендимальные узелки.
2. МРТ при гетеротопии серого вещества головного мозга у плода:
• Узелки гетеротопии характеризуются сигналом, характерным для серого вещества; видны с 20-й недели гестации:
о Гладкие, овальной формы, длинная ось узелков параллельна стенке желудочка
• Картину их расположения описывают по результатам диагностики в постнатальном периоде:
о Асимметричное расположение
о Несколько или много узелков на стенке бокового желудочка
о Чаще всего расположены в треугольных/нижних и задних рогах
в) Дифференциальная диагностика гетеротопии серого вещества головного мозга у плода:
1. Туберозный склероз:
• Бугры неровной формы
• Длинная ось перпендикулярна стенке желудочка
• При МРТ сигналы от бугорков и серого вещества различаются
2. Внутричерепное кровоизлияние:
• Может быть причиной формирования утолщенной, узловатой гиперэхогенной эпендимы
• Следует искать сгустки крови в таламо-каудальной вырезке и кровь внутри желудочков
• Может сопровождаться разрушением паренхимы
3. Инфекция:
• Чаще всего нарушение миграции нейронов вызывает ЦМВ-инфекция
• Зачастую у плода заметны признаки заболевания; водянка, задержка роста

(Слева) При последующей МРТ на 23,5-й неделе гестации на стенках левого желудочка визуализируется асимметричное серое вещество, характеризующееся сигналом низкой интенсивности. Исследование в других плоскостях подтвердило наличие шизэнцефалии и позволило выявить полимикрогирию. Беременность была прервана, но аутопсии плода не было. Этот случай доказывает значимость анализа всех видимых анатомических структур при исследовании, проводимом для измерения ТВП.
(Справа) На фотографии, сделанной во время патологоанатомического исследования головного мозга, видны узелки гетеротопии серого вещества, вентрикуломегалия и тонкая кора больших полушарий.
г) Патологоанатомические особенности. Общие сведения:
• Этиология:
о Остановка миграции нейронов
• Генетика:
о Описаны Х-сцепленный и аутосомно-доминантный типы наследования:
- Мутация гена FLN1 в области Xq28 и гена FLNA (причина перинатальной смертности плодов мужского пола)
- Мутация гена LIS1 в области 17р13.3, мутация генов ARGEF2, DCX в области Xq22.3-q23
• Сопутствующие пороки:
о Результаты МРТ в выборке детей с отставанием в развитии, судорогами и т.п.:
- Аномалии строения мозолистого тела (25%)
- Шизэнцефалия (20%)
- Отсутствие ППП (20%)
- Арахноидальная киста (20%)
- Пахигирия (10%)
- Мальформация Киари 2-го типа (10%)
о Часто у одного и того же пациента выявлялось несколько заболеваний
о АМТ и гетеротопия связаны с синдромом нарушения коррекции неспаренных оснований:
- Синдром служит причиной предрасположенности к возникновению злокачественных новообразований в детском возрасте
- Биаллельные герминативные мутации 1 из 4 генов коррекции неспаренных оснований: MLH1, MSH2, MSH6, PMS2
д) Клинические особенности. Естественное течение и прогноз:
• В выборке детей с диагнозом гетеротопии наблюдались следующие клинические симптомы:
о Задержка развития (27%)
о Гемипарез (27%)
о Судороги (23%)
о Аутизм, расстройства эмоциональной сферы (11%)
• Гетеротопия в структуре синдромов может быть причиной тяжелого нарушения интеллекта, прогноз которого зависит от сопутствующих патологических состояний
• Подкорковая гетеротопия: у большинства детей диагностируют эпилепсию:
о Обширное двустороннее поражение → задержка развития средней-тяжелой степени
о Одностороннее поражение → гемиплегия с менее выраженной задержкой развития
е) Особенности диагностики:
1. Важно знать:
• Дисплазия коры может быть слабовыраженной. Ее описания составлены по результатам исследований в постнатальном периоде, когда имеется возможность снизить влияние движений на качество получаемых изображений и использовать последовательности, которые, как правило, не применяются при МРТ плода
• В 40% случаев пороки развития коры приводят к фармакорезистентной эпилепсии
2. Признаки, учитываемые при интерпретации результатов:
• При обнаружении очевидных пороков развития головного мозга плода, например АМТ, необходимо исследовать плод на предмет наличия дисплазии коры
о Субэпендимальные участки гетеротопии часто обнаруживаются вокруг тела бокового желудочка/задних рогов о Подкорковые очаги гетеротопии чаще всего расположены в лобно-височной области
ж) Список использованной литературы:
1. Watrin F et al: Causes and consequences of gray matter heterotopia. CNS Neurosci Ther. 21(2): 112-22, 2015
2. Zajqc-Mnich M et al: Clinical and morphological aspects of gray matter heterotopia type developmental malformations. Pol J Radiol. 79:502-7, 2014
3. Baas AF et al: Agenesis of the corpus callosum and gray matter heterotopia in three patients with constitutional mismatch repair deficiency syndrome. Eur J Hum Genet. 21(1):55—61, 2013
4. Manganaro L et al: Bilateral subependymal heterotopia, ventriculomegaly and cerebellar asymmetry: fetal MRI findings of a rare association of brain anomalies. J Radiol Case Rep. 7(11 ):38—45, 2013
Видео УЗИ головного мозга плода в норме
Редактор: Искандер Милевски. Дата обновления публикации: 20.9.2021
МРТ у больных с эпилепсией: клинические случаи
МРТ - высокого разрешения проводится после рутинной МРТ как уточняющая программа для визуализации изменений, не доступных для анализа на рутинной МРТ больным с симптоматической эпилепсией, резистентной к антиконвульсантной терапии. Основные цели включают прехирургическую диагностику эпилепсии, призванную локализовать структурный дефект и сопоставить его с результатами ЭЭГ-исследования, а так же коррекцию противоэпилептической терапии – при доказательном обнаружении структурного эпилептогенного очага антиконвульсантный режим существенно ужесточается.
Эпилепсия
Это заболевание проявляющее повторными припадками, обычно схожими друг с другом. Диагноз эпилепсии ставится в том случае, если у больного было по крайней мере два припадка.
Распространенность эпилепсии 2:100 населения. Мужчины и женщины страдают эпилепсией одинаково часто, встречаются семейные случаи заболевания.
Выделяют генерализованную и парциальную эпилепсию. Парциальная эпилепсия встречается примерно в 2 раза чаще генерализованной и обычно бывает вторичной (обусловлена поражением головного мозга при каком-либо другом заболевании).
Для генерализованной эпилепсии характерна патологическая электрическая активность обоих полушарий головного мозга. Проявляется внезапной потерей сознания и генерализованными припадками.
При парциальной эпилепсии электрическая активность возникает в одном участке головного мозга и затем распространяется за его пределы. Клинические проявления парциальной эпилепсии зависят от локализации очага.
Диагноз эпилепсии ставят на основании:
- показаний очевидцев припадка;
- результатов физикального и неврологического исследований;
- данных ЭЭГ (возможности метода ограничены);
- данных МРТ (особенны при наличии стойкого очага патологической электрической активности по данным ЭЭГ, когда есть основания подозревать объемное образование головного мозга).
Рассмотрим несколько клинических случаев:

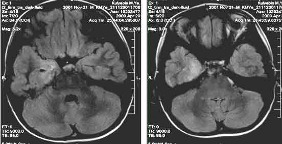
В правой височной доле (области гиппокампа и парагиппокампальной извилины) определяется зона повышения интенсивности МР-сигнала по Т2 без четких контуров. Отмечается асимметричное нерезкое расширение височного рога правого бокового желудочка.
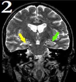
2. Изменение структуры гиппокампа и интенсивности сигнала от его элементов.

Желтая стрелка показывает пораженную область гиппокампа. Видно, что эта область меньше, по сравнению со здоровой стороной (зеленая стрелка).
Признаки склероза могут сочетаться или присутствовать во всех отделах гиппокампа или в отдельных его элементах.
3. МР-картина очагового глиоза левого гиппокампа.

4. Полярная субатрофия левой височной доли.

Признаки парциальной эпилепсии. По данным предыдущего РКТ исследования – признаки кисты левой височной доли.
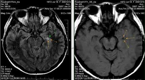
5. МР-картина узловой субкортикальной гетеротопии левой лобно-теменной области.
В первом случае визуализируются узлы гетеротопии в субкортикальных отделах белого вещества парасагиттальных отделов левой лобно-теменной области.
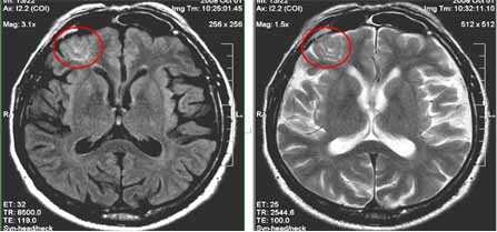
На втором скане - единичный мелкий узел гетеротопии в белом веществе правой лобной доли (характеристики МР-сигнала идентичны серому веществу головного мозга)
На третьем изображении - множественные узлы гетеротопии вдоль стенок переднего рога левого бокового желудочка и задних рогов обоих желудочков (характеристики МР-сигнала узлов идентичны серому веществу головного мозга)
6. МР-картина перестройки серого вещества правой лобной доли (характерно для фокальной кортикальной дисплазии).

Участок перестройки структуры серого вещества правой средней лобной извилины с утолщением серого вещества и визуализацией дополнительных мелких извилин и участков линейного глиоза.
Заключение:
Для регистрации и анализа эпилептических припадков в настоящее время широко применяют амбулаторный мониторинг ЭЭГ или комбинированный ЭЭГ- и видеомониторинг, а для исключения объемных образований головного мозга (кисты, опухоли, артерио-венозные мальформации, абсцессы) – КТ и МРТ. Только с появлением МРТ высокого разрешения стало возможным достоверно выявлять склероз и атрофию гиппокампа, возникающие вследствие гипоксии плода в родах.
Читайте также:
