Гидроцефалия. Измерение внутричерепного давления
Добавил пользователь Евгений Кузнецов Обновлено: 30.10.2025
Гидроцефалия - методы диагностики, лечения по Европейским рекомендациям
Гидроцефалия — избыточное скопление цереброспинальной жидкости (ликвора) во всей желудочковой системе или ее отдельных частях с высоким давлением в данный момент или ранее (с предшествовавшим или текущим высоким давлением).
Увеличение объема цереброспинальной жидкости не является результатом атрофии или дисгенезии головного мозга.
- Сообщающаяся/несообщающаяся гидроцефалия: исторически эти определения связаны с методом введения контрастного вещества в систему желудочков. Гидроцефалия разделяется на два типа в соответствии с визуализацией контраста на уровне поясничного дурального мешка при люмбальной пункции. Этот термин по-прежнему полезен для отделения случаев с необходимостью эндоскопической тривентрикулостомии от случаев требующих вентиркулоперитонеального шунтирования.
- Гидроцефалия нормального давления: обычно используется для описания хронической гидроцефалии у взрослых, при которой внутричерепное давление находится в пределах нормы. Проявляется синдромом Hakim.
- Доброкачественная наружная гидроцефалия: проявляется увеличением субарахноидального пространства и ассоциируется с увеличением окружности головы. Это состояние наблюдается в течение нескольких первых месяцев жизни, как правило, у мальчиков, и регрессирует в течение 1-2 лет. Была выдвинута гипотеза, что данное состояние может быть связано с задержкой созревания арахноидальной оболочки. Состояние не является патологическим, лечение не требуется.
- Асимптомная гидроцефалия: состояние, при котором определяется бессимптомное увеличение желудочков.
- Гидроцефалия ex vacuo: неправильное определение. Церебральная атрофия приводит к образованию свободного пространства, которое пассивно заполняется ликвором.
а) Патофизиология гидроцефалии. Нормальная продукция цереброспинальной жидкости составляет 0,2-0,3 мл/мин (360-500 мл/день) (кривая распределения Гаусса, как для любого биологического параметра). Продукция ликвора — это активный процесс. Он не зависит от давления. Большая часть цереброспинальной жидкости продуцируется в хориоидном сплетении (70-90%); остальная из эпендимного слоя желудочков и эндотелия капилляров головного мозга.
Ток цереброспинальной жидкости идет от желудочковой системы в субарахноидальное пространство через отверстия четвертого желудочка. Спинномозговая жидкость затем абсорбируется субарахноидальными ворсинками в венозную систему (в основном на уровне синусов твердой мозговой оболочки). Поглощение является пассивным явлением. Скорость резорбции ликвора зависит от давления ликвора.
Общий объем ЦСЖ у взрослых составляет 120 мл; нормальный объем боковых и третьего желудочка 25 мл. Объемы ЦСЖ у детей являются переменными величинами, примерно 50 мл у новорожденных.
Внутричерепное давление (ВЧД) (определяется как гидростатическое давление ликвора) является результатом баланса, который существует между выработкой ЦСЖ, сопротивлением току и реабсорбцией ликвора в венозную систему. Оно изменяется в зависимости от вазореактивности в артериальной системе (например, увеличивается во время активной деятельности и быстрого сна) и венозного давления (например, уменьшается в вертикальном положении).
Гидроцефалия может возникать при трех различных условиях: 
1. Повышенная устойчивость к циркуляции спинномозговой жидкости на любом этапе зависит от ее секреции сосудистым сплетением до реабсорбции ворсинками паутинной оболочки (более чем в 95% случаев). 
2. Повышенная секреция ЦСЖ у пациентов с нормальным сопротивлением. 
3. Повышение венозного давления в синусах (повышение обратного давления) может привести к гидроцефалии или псевдоопухоли головного мозга.
б) Этиология. Гидроцефалия является весьма гетерогенной группой состояний, которые имеют мало общего, помимо расширения цереброспинального пространства. Этиологическая диагностика гидроцефалии весьма существенна, так как прогноз во многом зависит от причинно-следственного механизма. Тем не менее, в 14% случаев причина неизвестна.
Следующие этиологические факторы характерны для младенцев, детей и взрослых:
1. Врожденные: 
а) Генетические (например, Х-сцепленная гидроцефалия). 
б) Инфекция (например, токсоплазмоз). 
в) Пороки развития (например, Денди-Уокера, Киари, стеноз сильвиевого водопровода).
2. Приобретенные:
а) Повышенная устойчивость к циркуляции спинномозговой жидкости. 
— Инфекции (например, менингит). 
— Внутрижелудочковое кровоизлияние (ВЖК) (например, характерное для недоношенных, САК). 
— Опухоли, вызывающие обструкцию тока ЦСЖ или повышение содержания белка в спинномозговой жидкости. 
б) Увеличение выработки ЦСЖ (например, опухоли сосудистого сплетения). 
в) Повышенное давление в венозном синусе (например, тромбоз венозного синуса, ахондроплазия). 
г) Ятрогенные (например, избыток витамина А, операции на задней черепной ямке). 
е) Идиопатические.
Причины хронической гидроцефалии взрослых включают главным образом субарахноидальные кровоизлияния (САК), травмы головы и менингит. Многие случаи—идиопатические.
в) Эпидемиология гидроцефалии. Частота врожденной или рано проявляющейся гидроцефалии составляет 3/1000 рождений. Частота приобретенной гидроцефалии неясна, хотя, например, она возникает примерно у 10% пациентов после САК. Нет половых различий, за исключением Х-сцепленной гидроцефалии.
Было обнаружено бимодальное распределение возраста, с первым пиком в младенческом возрасте (0-10 лет), гидроцефалия связана с врожденной патологией и патологией раннего детства, со вторым пиком в зрелом возрасте (40-70 лет), связанным с вторичной гидроцефалией и хронической гидроцефалией у взрослых.
д) Симптомы и клиника гидроцефалии. Клинические симптомы в зависимости от возраста включают:
- Младенцы: плохой аппетит, рвота, раздражительность, увеличение окружности головы, задержка в развитии.
- Дети: головная боль, рвота, нарушение зрения, боли в шее, плохая успеваемость в школе, неустойчивая походка, сонливость; может быть бессимптомной.
- Взрослые: головная боль, рвота, нарушение зрения, боли в шее, сонливость, снижение когнитивных функций, неустойчивость походки, недержание мочи. 
Классическая триада Хакима для хронической гидроцефалии у взрослых включает когнитивные нарушения, неустойчивость походки и недержание мочи. 
Клинические признаки в зависимости от возраста включают:
- Младенцы: увеличение окружности головы, напряжение переднего родничка, расширение вен скальпа, расхождение швов, симптом заходящего солнца, повышение тонуса конечностей - Дети: отек диска зрительного нерва, ограничение взора вверх, паралич VI пары, симптом Макъюина (симптом «треснувшего горшка» при перкуссии черепа), неустойчивость походки, снижение уровня сознания, эпилептические припадки, синдром качающейся головы куклы.
- Взрослые: отек диска зрительного нерва, ограничение взора вверх, паралич VI пары, неустойчивая походка, оживление рефлексов с нижних конечностей, снижение уровня сознания.
При хронической гидроцефалии взрослых часто возникают трудности при ходьбе, начиная от легкого дисбаланса и неспособности стоять или ходить в дополнение к недержанию мочи и нарушению когнитивных функций.
е) Обследование при гидроцефалии:
1. Нейровизуализация: УЗИ, КТ и МРТ для оценки размеров желудочков, установления этиологии или типа гидроцефалии и исключения других патологических изменений (например, Киари, опухоли IV желудочка, тромбоза венозного синуса) 
а) Острая гидроцефалия: 
— Оба височных рога более 2 мм без визуализации сильвиевой или межполушарной щели 
— Ширина лобного рога/бипариетальная ширина > 30% 
— Трансэпендимарная абсорбция ЦСЖ. 
б) Хроническая гидроцефалия: 
— Деструкция турецкого седла дном III желудочка. 
— Макрокрания. 
— Атрофия мозолистого тела.
2. Лабораторные тесты имеют ограниченное значение, за исключением: 
а) подтверждения при Х-сцепленной гидроцефалии и при генетическом консультировании 
б) определения инфекции и содержания белка в спинномозговой жидкости после перенесенной инфекции и кровоизлияния.
ж) Лечение гидроцефалии. Хирургическое лечение является методом выбора. Могут быть использованы повторные люмбальные пункции: 
1. У новорожденных с внутрижелудочковым кровоизлиянием при спонтанном регрессе гидроцефалии. 
2. При хронической гидроцефалии взрослых для уточнения диагноза и временного уменьшения клинического ухудшения.
1. Хирургическое лечение. Хирургическое лечение гидроцефалии претерпело радикальное изменение с развитием эндоскопической техники. Такая методика может быть также показана в случае недостаточности шунта. В некоторых случаях могут быть использованы оба метода (например, при многокамерной гидроцефалии после перенесенного менингита).
1. Альтернативы шунтов: 
а) Эндоскопическая тривентрикулостомия: используется при обструктивной гидроцефалии, при которой уровень обструкции располагается дистальнее III желудочка (например, опухоли шишковидной области, стеноз водопровода) 
б) Акведуктопластика: эндоскопические или открытые разрушения обструкции в водопроводе (например, мембраны) и установка стента; позволяет обойти препятствие 
в) Плексотомия или коагуляция хориоид-ного сплетения неэффективна в качестве единственного метода лечения, за исключением лечения гипертрофии сосудистого сплетения
2. Шунтирование: 
а) Вентрикуло-перитонеальное: наиболее распространенный вариант: 
б) Вентрикуло-атриальное проводится при значительных изменениях в брюшной полости (например, перенесенный перитонит) или у пациентов с гидроцефалией, вторичной по отношению к оптикохиазмальной или гипоталамической опухоли 
в) Люмбо-перитонеальное: иногда используется при сообщающейся гидроцефалии 
г) По Торкильдсену: используется редко; шунтирование ЦСЖ из желудочков в цистерны 
д) Вентрикуло-плевральное: используется в качестве последнего средства из-за риска развития плеврального выпота 
е) Вентрикуло-биллиарное: используется в качестве последнего средства в случаях выхода из строя вентрикуло-плеврального и вентрикуло-предсердного шунта 
ж) Вентрикуло-яремное: как указано выше 
з) Экстратекальное может быть использовано временно.
2. Клапаны шунтирующей системы. Существует большой выбор клапанов. Могут быть использованы нагнетательные или регулируемые потоком клапаны. Дополнительные соображения связаны с тем, следует ли использовать антисифоные устройства или внешне регулируемые клапаны. Все вентрикуло-перитонеальные шунты в 25% случаев выходят из строя через шесть месяцев, что связанно с хирургическими манипуляциями и проксимальной окклюзией.
Большинство вентрикуло-перитонеальных шунтов имеют 40-50% вероятность выхода из строя за пять лет. Единственным исключением является клапан Orbis-Sigma (регулируемый потоком), который имеет заявленную 75% вероятность выживания в течение пяти лет.
3. Медикаментозное лечение. Следующие методы медикаментозного лечения иногда используются в качестве выжидательной меры (например, у детей с ВЖК, псевдоопухолью головного мозга): 
1. Ацетазоламид: ингибитор карбоангидразы, снижает секрецию ЦСЖ сосудистым сплетением и может привести к гипокалиемии и гиперхлоремическому ацидозу 
2. Фуросемид: петлевой диуретик; снижает поглощение натрия в головном мозге и увеличивает экскрецию воды почками.
з) Осложнения операции по поводу гидроцефалии. Возможны следующие осложнения:
1. Прогрессирование гидроцефалии: 
а) Нарушения зрения в связи с атрофией зрительного нерва при хроническом отеке диска зрительного нерва, компрессии хиазмы вследствие расширения III желудочка, транстенториальное грыжеобразоваиие с компрессией задней мозговой артерии; 
б) Когнитивная дисфункция 
в) Недержание мочи 
г) Нарушение походки
2. Хирургические: 
а) Эндоскопическая тривентрикулостомия: 
— Редкие, но опасные для жизни интраоперационные осложнения. 
— Неконтролируемая гидроцефалия в раннем периоде (зависит главным образом от возраста и этиологии). 
— Поздние осложнения; возможна угроза жизни в случае острого рецидива гидроцефалии (вторичное закрытие стомы). 
б) Осложнения шунтирования: 
— Инфекции: 2,5% в лучших наблюдениях; выше в большинстве случаев. 
— Дисфункция шунта: обструкция или нарушение целостности системы; дисфункции 30% в течение одного года, 90% отказов за 10 лет (для большинства клапанов). 
— Субдуральные гематомы: при быстром оттоке ликвора.
Менее распространенные осложнения включают судороги, пролежни кожи и внутренних органов от шунта, сепсис, шунт-нефрит и легочное сердце от вентрикуло-предсердного шунта. Возможен хронический избыточный дренаж шунта и синдром щелевидных желудочков, особенно у пациентов, шунтируемых в молодом возрасте. Эти осложнения могут быть уменьшены при использовании поток-конгролируемого клапана.
и) Прогноз. Прогноз зависит от причины гидроцефалии. Гидроцефалия новорожденных (врожденная или вторичная фетальная гидроцефалия) имеет плохой прогноз с 60% выживаемости в течение 10 лет, и менее 20% имеют нормальный IQ. Среди детей, перенесших ВЖК, в 50% случаев потребуется шунтирование. У 20% детей с опухолью задней черепной ямки потребуется постоянное шунтирование. У 60% взрослых при хронической гидроцефалии происходит улучшение походки, если нарушения походки были начальным и преобладающим симптомом.
к) Постоянный уход при гидроцефалии. Текущий уход включает в себя обучение пациентов распознаванию симптомов и признаков дисфункции шунта/инфекции. Обучение детей проводится постоянно. Рекомендуются регулярные клинические осмотры (в том числе нейрохирургические, офтальмологические) и томография.
 а - КТ: многокамерная гидроцефалия с признаками трансэпендимального отека. 
б - Сагиттальное Т2-взвешенное изображение: стеноз водопровода с тривентрикулярной дилатацией. А, Б. КТ (А): внутрижелудочковое кровоизлияние с дилатацией желудочка. МРТ в Т2-режиме. 
(Б): подтверждение геморрагической этиологии. а - Окклюзионная гидроцефалия, вызванная обширной опухолью задней черепной ямки. 
Длительное развитие заболевания привело к истончению турецкого седла и коры. 
б - Внутриматочная МРТ: дилатация желудочков плода. Внутриматочная МРТ: дилатация желудочков плода. 
Редактор: Искандер Милевски. Дата обновления публикации: 18.3.2021
Гидроцефалия. Измерение внутричерепного давления
Внутричерепная гипертензия, гидроцефалия
Ткань головного мозга очень чувствительна к механическим воздействиям. Поэтому природа поместила головной мозг человека помимо костной коробки (череп) в защитную жидкую среду (субарахноидальные жидкостные пространства) и снабдила его внутренними жидкостными полостями (желудочками). Таким образом, головной мозг фактически взвешен в жидкости - ликворе (другие названия - цереброспинальная жидкость или ЦСЖ). Ликвор находится в полости черепа под определенным давлением. Именно давление ликвора на головной мозг и называетсявнутричерепным давлением.
Нормальный уровень внутричерепного давления очень важен для самочувствия человека. Повышенное внутричерепное давления - это не самостоятельное заболевание, а симптом многих неврологических заболеваний.
Причины повышения внутричерепного давления
Все жидкостные пространства и желудочки связаны между собой протоками. Ликвор постоянно циркулирует. В одних отделах мозга он выделяется, а затем течет по ликворным протокам в другие отделы мозга, где всасывается в кровяное русло. Полное обновление ликвора происходит в среднем 7 раз в сутки.
Избыточное скопление ликвора вызывает повышение его давления на вещество головного мозга. Это и называют повышением внутричерепного давления (внутричерепная гипертензия).
Три частые причины хронического повышения внутричерепного давления
- ликвора выделяется слишком много;
- ликвор недостаточно полно всасывается;
- нарушена проходимость путей циркуляции ликвора.
К повышению внутричерепного давления и гидроцефалии приводят
- черепно-мозговая травма (даже очень давняя, вплоть до родовой травмы, сотрясения мозга, ушибы мозга);
- менингит или энцефалит;
- врожденные особенности строения центральной нервной системы (аномалия Арнольда-Киари, идиопатическая внутричерепная гипертензия и др.);
- отравления (в том числе медикаментозные и алкогольные);
- нарушения кровообращения в сосудах головного мозга ( например, ишемия, энцефалопатия, остеохондроз шейного отдела позвоночника);
- гипоксии;
- внутричерепные объёмные процессы (опухоли мозга, оболочек мозга, кровоизлияния в мозг и внутричерепные гематомы).
Гидроцефалия
Если внутричерепное давление повышено существенно и достаточно продолжительное время, жидкостные полости мозга могут расшириться - это расширение называют гидроцефалией. Поскольку полость черепа - замкнутое пространство, расширение жидкостных полостей головного мозга происходит за счет уменьшения массы самого мозгового вещества. Этот процесс может негативно сказаться на здоровье.
МР-томограмма нормального головного мозга. Серым цветом изображено вещество мозга, белым - ликвор. Нормальная величина жидкостных пространств головного мозга (они щелевидны). Желудочки видны внутри мозга. Субарахноидальные пространства - белая кайма вокруг мозга.
МР-томограммы при внутричерепной гипертензии и гидроцефалии. Результат недостаточного лечения повышенного внутричерепного давления. Видно избыточное скопление ликвора внутри головного мозга (в виде бабочки) и снаружи мозга (широкая белая кайма). Объем мозгового вещества уменьшен - атрофия головного мозга от давления жидкостью.
Симптомы повышения внутричерепного давления
Повышенное давление на вещество мозга способно нарушить работу центральной нервной системы. Отсюда и характерные симптомы:
- Тяжесть в голове или головные боли, нарастающие утром или во второй половине ночи;
- В тяжелых случаях возможны тошнота и/или рвота по утрам;
- Вегето-сосудистая дистония (потливость, падение или повышение артериального давления, сердцебиение, предобморочные состояния и др.) - практически обязательный симптом;
- Утомляемость, "отупение", легкая истощаемость при нагрузках по работе или учебе;
- Нервозность;
- "Синяки" под газами (если натянуть кожу под глазами в области "синяка" видны расширенные мелкие вены);
- Возможно снижение сексуального влечения, потенции;
- Если тело человека находится в горизонтальном положении, ликвор выделяется активнее, а всасывается медленнее, поэтому внутричерепное давление и его симптомы имеют свойство достигать пика во второй половине ночи или к утру;
- Внутричерепное давление тем выше, чем ниже давление атмосферное, поэтому ухудшение состояния бывает связано с переменой погоды.
Диагноз внутричерепной гипертензии и гидроцефалии устанавливается врачами на основании характерных симптомов и на основании данных специальных исследований, например томографии головного мозга.
Диагностика при подозрении на повышение внутричерепного давления (внутричерепной гипертензии), гидроцефалии
Непосредственно измерить внутричерепное давление можно лишь путем введения в жидкостные полости черепа или позвоночного канала специальной иглы с подключенным к ней манометром. Поэтому прямое измерение внутричерепного давления из-за инвазивности процедуры не применяется.
Признаки изменения внутричерепного давления у детей и взрослых пациентов обнаруживаются при следующих процедурах обследования:
- неврологический осмотр
- МРТ головного мозга
- осмотр глазного дна
- проведение люмбальной пункции
- рентгенография костей черепа
- РЭГ(реоэнцефалография)
О повышении внутричерепного давления можно с уверенностью говорить на основании следующих данных:
- Расширение, извитость вен глазного дна - косвенный, но надежный признак повышения внутричерепного давления;
- Расширение жидкостных полостей головного мозга и разрежение мозгового вещества по краю желудочков мозга, ясно видимое при компьютерной рентгеновской томографии (КТ) или магнитно-резонансной томографии (МРТ);
- Нарушение оттока венозной крови из полости черепа, устанавливаемое с помощью ультразвуковых сосудистых исследований.
- Снижение пульсовой волны на РЭГ исследовании (на реоэнцефалограмме)
Насколько от повышения внутричерепного давления страдает мозг, можно судить по данным ЭЭГ.
Золотой стандарт инструментального обследования пациентов - это оценка симптомов, данных томографии головного мозга и картины глазного дна и ЭЭГ.
Эхоэнцефалография (Эхо-ЭГ) дает косвенные и не всегда достоверные данные о повышении внутричерепного давления, она менее надежна, чем КТ и МРТ, поэтому этот метод используется редко.
Внутричерепная гипертензия. Гидроцефалия - лечение
Мозг человека под воздействием избыточного давления нормально работать не может, более того, происходит медленная атрофия белого мозгового вещества, а это ведет к медленному снижению интеллектуальных способностей, нарушению нервной регуляции работы внутренних органов (гормональные нарушения, артериальная гипертония и др.). Поэтому необходимо принять все меры к скорейшей нормализации внутричерепного давления.
В лечении повышения внутричерепного давления важно уменьшить выделение и увеличить всасывание ликвора. Традиционно принято назначать с этой целью мочегонные препараты. Однако постоянное применение мочегонных препаратов не всегда приемлемо для пациента.
Применяются методы лечения, направленные на нормализацию внутричерепного давления без лекарств. Это специальная гимнастика для снижения внутричерепного давления (применяется пациентом самостоятельно), индивидуальный питьевой режим и небольшие изменения в питании, разгрузка венозного русла головы с помощью методов мягкой мануальной терапии, иглоукалывание и физиотерапия.
Таким образом, достигается устойчивое снижение внутричерепного давления без постоянного приема мочегонных препаратов, после чего неприятные симптомы постепенно уменьшаются. Эффект обычно заметен уже на первой неделе лечения.
Повышенное внутричерепное давление можно вылечить только при условии лечения заболевания, которое вызвало этот симптом.
Хирургическое лечение гидроцефалии
В очень тяжелых случаях (например, ликворный блок после нейрохирургических операций или врожденный ликворный блок) применяется хирургическое лечение. Например, разработана технология вживления трубок (шунтов) для отвода избытка ликвора.
PS: К понижению внутричерепного давления (гипотензия) приводят обезвоживание организма (рвота, диарея, большие кровопотери), хронический стресс, вегето-сосудистая дистония, депрессия, невроз, заболевания, сопровождающиеся нарушением кровообращения в сосудах головного мозга ( например ишемия, энцефалопатия, шейный остеохондроз).
Случай успешного лечения повышенного внутричерепного давления и гидроцефалии без операции. Клиническое наблюдение в течение полутора лет.
В нейрохирургическое отделение Тульской областной клинической больницы госпитализирован пациент 1963 года рождения.
Жалобы
Пациент жаловался на выраженную распирающую головную боль с тошнотой и рвотой. В последнее время отметил, что ухудшилось зрение.
Со слов пациента, боль усиливалась при изменении погоды, незначительных умственных нагрузках и в положении лёжа.
Анамнез
В 15 лет ( 1978 год) пациенту удалили ангиоретикулёму (доброкачественную сосудистую опухоль) левого полушария мозжечка. До января 2013 года головные боли появлялись при перемене погоды и длительной работе за компьютером. Чтобы снять боль, мужчина принимал анальгетики, если они не давали эффекта, пил мочегонные средства (преимущественно Диакарб ).
В начале января 2013 года после перенесённого простудного заболевания головная боль усилилась, появилась тошнота, рвота, системное головокружение , шаткость при ходьбе, ухудшилось зрение. Пациент наблюдался у невролога, принимал анальгетики и Диакарб, но они помогали только на короткое время.
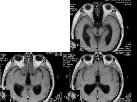
По заключению МРТ от 14.05.2013, после операции в левом полушарии мозжечка появились кистозно-глиозные изменения (на месте повреждённых нейронов образовались рубцовая ткань), а также выраженная внутренняя асимметричная гидроцефалия (избыточное скопление спинномозговой жидкости в полости черепа).
Так как консервативное лечение оказалось неэффективным, пациента направили к нейрохирургу. 13.06.2013 мужчину госпитализировали в нейрохирургическое отделение для дообследования и решения вопроса о необходимости операции.
Пациент закончил школу, институт, работает инженером в НИИ. Из перенесённых заболеваний — простудные, возникают редко.
Обследование
- Больной в сознании, разговаривает нормально, отвечает на вопросы.
- При ходьбе нарушена координация движений.
- Определяется горизонтальный мелкоразмашистый нистагм (колебания глазных яблок с малой амплитудой) с вращательными колебательными движениями.
- Рефлексы оживлены, слева чуть выше.
- В позе Ромберга (стоя со сдвинутыми вместе стопами, закрытыми глазами и вытянутыми прямо перед собой руками) отмечается пошатывание.
- При пальценосовой пробе — лёгкое дрожание пальца с обеих сторон.
- Чувствительных нарушений не выявлено.
- Артериальное давление 125/85 мм рт. ст., пульс колеблется от 60 до 70 ударов в минуту.
По заключению окулиста, у пациента были стушёваны границы дисков зрительных нервов на фоне их частичной старой атрофии .
- ЭКГ — без патологии.
- Общий и биохимический анализы крови — без отклонений от нормы.
Диагноз
- Состояние после удаления ангиоретикулёмы левого полушария мозжечка, кистозно-глиозные изменения.
- Окклюзионная гидроцефалия (скопление спинномозговой жидкости из-за блокировки ликворных путей), стадия декомпенсации.
- Стойкая цефалгия (головная боль).
- Вестибуло-атактический синдром.






Лечение
Пациент поступил в отделение 13.06.2013. При поступлении ему один раз за весь период пребывания в стационаре внутривенно ввели мочегонный препарат Лазикс и назначили гомеопатические препараты в гранулах для ежедневного приёма: Апис, Апоцинум и Аргентум нитрикум. Операция была назначена на третий день пребывания в стационаре.
После начала лечения у пациента снизилась интенсивность головной боли, уменьшилось головокружение и тошнота, ходьба стала устойчивее. На фоне этих улучшений больной отказался от операции.
Пациента выписали из стационара 20.06.2013. После выписки наблюдение за больным не прекратилось. Схема приёма гомеопатических средств оставалась практически неизменной. Пациент отмечал, что состояние постепенно улучшается. Он продолжал работать на прежнем месте, с работой справлялся.
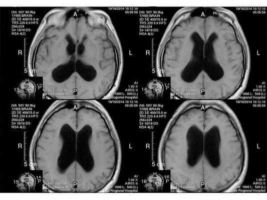
С 13.10.2014 по 21.10.2014 пациента повторно госпитализировали в нейрохирургическое отделение, чтобы проанализировать его состояние и провести контрольное обследование:
- При осмотре отмечено, что координация при ходьбе практически не нарушена, нистагм уменьшился.
- По заключению окулиста, диски зрительных нервов бледные, границы чёткие.
- Проведена люмбальная пункция (поясничный прокол): внутричерепное давление (ВЧД) в пределах нормы — 170 мм вод. ст.
- МРТ в динамике показывает постепенное сужение желудочковой системы на 2 мм. Для сравнения представлены снимки МРТ от 14.05.2013 и от 16.10.2014.
Заключение
Синдром внутричерепной гипертензии (повышенного ВЧД) является серьёзной клинической проблемой. Он возникает не только из-за внутричерепных образований (опухоли, кровоизлияния), но и при нарушении процессов образования и оттока ликвора (спинномозговой жидкости). Приведённое клиническое наблюдение описывает эту патологию.
Процесс образования спинномозговой жидкости относительно постоянный, поэтому его влияние на регуляцию ВЧД незначительно. В основном внутричерепное давление регулируется за счёт оттока спинномозговой жидкости пахионовыми грануляциями (ворсинчатыми образованиями на паутинной оболочке головного мозга).
Можно предположить, что у этого пациента регуляция ВЧД нарушилась после удаления ангиоретикулёмы левого полушария мозжечка. На фоне этого сформировалось состояние, когда головной мозг не мог поддерживать постоянство ВЧД.
В последующем пациент перенёс инфекцию, которая затронула грануляции паутинной оболочки. Из-за повреждения пахионовых грануляций нарушился отток спинномозговой жидкости, что привело к развитию гидроцефалии и повышению ВЧД. Комплексная терапия помогла нормализовать отток спинномозговой жидкости в кровеносную систему, и состояние пациента улучшилось.
Внутричерепное давление
Головная боль, слабость, усталость, снижение работоспособности — это признаки могут указывать в том числе на изменение внутричерепного давления. Следует понимать, что оно меняется в зависимости от физиологического и психологического состояния человека, поэтому существует широкий диапазон показателей нормы. В домашних условиях измерить его невозможно, поэтому при появлении первых симптомов стоит обратиться для полноценной диагностики. В Клиническом институте мозга есть все условия для проверки внутричерепного давления, а также работает штат специалистов, которые назначат эффективное лечение при обнаружении патологии. Несвоевременное оказание медицинской помощи опасно для здоровья, поскольку в условиях недостаточного кровоснабжения отдельных участков головного мозга постепенно снижается уровень их функционирования.
Физиологическая норма и определение внутричерепного давления
Череп человека представляет собой полость, в которой находится головной мозг. Для его защиты от травматизма, а также для поддержания его нормальной работы существуют отделы, наполненные жидкостью. В первую очередь, жидкая фракция представлена кровью, которая находится в сосудах. Также здесь присутствует ликвор (спинальная, или спинномозговая жидкость). Он синтезируется в специальных сосудистых сплетениях и поступает в череп посредством спинномозгового канала, затем находится в желудочках мозга и удаляется через венозные синусы. Эта жидкость необходима для транспорта кислорода и питательных веществ, которые используются клетками головного мозга для поддержания работоспособности.
Внутричерепное давление — это комплексная величина, которая состоит из нескольких факторов:
- давления головного мозга (в норме он занимает не более 85% пространства черепа);
- крови — до 8%;
- спинномозгового ликвора — до 7%.
Кровь и ликвор находятся в постоянном движении. Если кровь циркулирует по сосудистому руслу, то спинальная жидкость движется по желудочкам головного мозга и по спинномозговому каналу. Эти фракции непрерывно синтезируются, поступают в черепную коробку и движутся далее по сосудистому руслу. Когда они находятся в черепе, они оказывают давление на внутреннюю часть сосудов и желудочков головного мозга. По этой причине внутричерепное давление присутствует у каждого человека, а его величина может меняться ежеминутно. Повышение или снижение этого показателя может свидетельствовать как о патологии, так и о нормальных физиологических процессах в человеческом организме.
Причины нарушения нормы давления
В странах СНГ повышенное внутричерепное давление — распространенный диагноз. Его ставят при различных нарушениях работы центральной нервной системы взрослым и детям, а несложный комплекс терапевтических процедур позволяет быстро нормализовать состояние и поддерживать его в дальнейшем. Однако, изменение показателей ВЧД в действительности является симптомом ряда опасных заболеваний, которые не лечатся в домашних условиях. При постановке диагноза важно обращать внимание на жалобы пациента, собрать полную картину и определить, действительно ли давление внутри черепа патологически снижено или повышено и угрожает здоровью человека. В большинстве случаев, если ВЧД действительно повышено, у больного присутствует ряд дополнительных клинических признаков, по которым можно определить серьезные нарушения нервной деятельности.
Повышение внутричерепного давления
Повышенное внутричерепное давление — опасное явление. Оно сопровождает заболевания, которые угрожают жизни больного. К ним относятся:
- воспалительные заболевания оболочек головного мозга, в том числе инфекционного происхождения (менингит);
- серьезные отравления токсинами — при этом наблюдается увеличение количества крови в сосудах головного мозга и ее застой;
- травматические повреждения мозговых тканей (закрытые черепно-мозговые травмы);
- различные новообразования в полости черепа;
- гематомы, расположенные между оболочками головного мозга;
- гидроцефалия — опасное заболевание, которое характеризуется нарушением оттока спинальной жидкости и ее накоплением в желудочках головного мозга;
- тяжелые обменные нарушения (запущенные формы сахарного диабета).
У детей в возрасте до 10—11 лет любые признаки внутричерепное гипертензии часто связывают с родовыми травмами. Действительно, этот фактор в анамнезе может спровоцировать гипоксию головного мозга и различные неврологические нарушения. Однако, важно исключить вероятность развития гидроцефалии — это заболевание проявляется в раннем возрасте и характеризуется быстрым увеличением объема головы. Поскольку анатомическая норма может отличаться у детей (крупная голова — не повод для беспокойства), то диагноз ставится на основании частых измерений окружности головы и анализа скорости ее роста. Признаки повышения внутричерепного давления у взрослых — это повод пройти обследование и исключить вероятность новообразований в полости черепа.
Снижение давления
- выработку спинальной жидкости в недостаточном количестве либо ускорение ее обратного всасывания в кровь;
- повышение проницаемости барьера, который обеспечивает обмен жидкостью между клетками центральной нервной системы и кровеносным руслом;
- снижение тонуса кровеносных сосудов;
- заболевания позвоночного столба, особенно на показатель внутричерепного давления влияет шейный отдел;
- любые состояния, которые сопровождаются патологическим обезвоживанием организма: отравления, прием мочегонных препаратов, аллергические реакции и другие.
При некоторых заболеваниях наблюдается снижение скорости циркуляции крови по сосудам головного мозга. Они также могут являться следствием родовых травм, сосудистых патологий, врожденных аномалий строения головного мозга. При несвоевременном лечении такое состояние также может становиться причиной опасных осложнений.
Признаки патологии
Изменение внутричерепного давления сказывается на общем состоянии больного. Часто этому предшествуют травмы либо удары головы, осложнения во время родов, а также заболевания мозговых оболочек. При этом пациент не может вести привычный образ жизни, а симптомы повышения либо снижения ВЧД не купируются приемом препаратов. Такие больные проходят лечение в условиях стационара. Не заметить патологические изменения этого показателя у детей также невозможно. Кроме того, при отсутствии причины давление не может повышаться либо снижаться и останавливаться на критичной для ребенка отметке — для этого необходимы серьезные основания.
Физиологическое основание болезненных ощущений при повышении либо снижении давления, а также остальных признаков — это недостаточное поступление крови в головной мозг и различные нарушения ее циркуляции. Если жидкость задерживается в сосудах и мозговых желудочках, ткани находятся под постоянным давлением, что может спровоцировать постепенный некроз (отмирание) клеток. Также наблюдается гипоксия (недостаточное поступление кислорода) и дефицит питательных веществ — это является причиной нарушений мозговой деятельности либо утраты рефлексов, в зависимости от локализации поврежденного участка тканей головного мозга.
При повышенном давлении
Повышенное давление проявляется ярко выраженным комплексом симптомов, которые влияют на все процессы жизнедеятельности. Они могут сочетаться с дополнительными клиническими признаками, характерными для конкретного заболевания. Симптомокомплекс, указывающий на повышение ВЧД, включает:
- болезненные ощущения в голове, которые имеют давящий характер и распространяются на все участки, часто возникают непосредственно после пробуждения и усиливаются в течение дня;
- нарушения сна, бессонница;
- неэффективность стандартных препаратов против головной боли;
- тошнота и рвота, снижение скорости сердцебиения;
- резкое снижение зрения, неспособность долго фокусироваться на мелких предметах, ухудшение памяти и концентрации внимания.
При головной боли, которая возникает вследствие серьезных патологий внутричерепного давления, пациент соблюдает постельный режим. При физической активности могут возникать приступы головокружения, потери сознания, провалы в памяти. Также периодически проявляются расстройства периферического зрения, появление темных пятен и "мушек" в поле зрения — следствие перманентного давления жидкости на зрительный нерв. При обострении ситуация ухудшается, могут частично исчезать нормальные рефлекторные ответы на раздражители.
У детей часто связывают поведенческие проблемы и гиперактивность с повышением внутричерепного давления. Однако, эти диагнозы могут не быть связанными между собой. На повышение ВЧД у детей грудного возраста указывают такие симптомы, как выпирание родничка, быстрое увеличение показателя окружности головы, расхождение костей черепной коробки. Еще один тревожный симптом — это слишком медленное зарастание родничка. Если эти признаки проявляются в комплексе с общей апатией либо возбудимостью, плохим сном, отсутствием врожденных рефлексов — это может говорить о патологическом давлении жидкости внутри черепа.
При пониженном давлении
Пониженное внутричерепное давление также можно определить по клиническом признакам. Симптоматика выражена не настолько ярко, как при повышении этого показателя, но также влияет на самочувствие и работоспособность пациента. Если давление внутри черепа не соответствует нормам, это приводит к следующим последствиям:
- головные боли, которые особенно усиливаются при поднятии головы;
- частые перемены настроения, вялость, апатия, раздражительность;
- одновременное снижение артериального давления, если синдром вызван общим дефицитом жидкости в организме;
- головные боли, головокружения, могут наблюдаться обмороки после незначительных физических нагрузок;
- снижение остроты зрения, появление темных пятен перед глазами;
- тошнота, боли в животе;
- возможны болезненные ощущения в области сердца, которые распространяются на грудную клетку.
Первая помощь при резком снижении внутричерепного давления заключается в принятии правильного положения. Лежа на спине с опущенной головой отток жидкости затрудняется, поэтому давление частично восстанавливается. Этот фактор может также иметь диагностическое значение — при подъеме головы и в положении сидя либо стоя боль усиливается, а лежа на спине она немного уменьшается.
Методы диагностики
В домашних условиях измерить внутричерепное давление невозможно. Единственное, чем может себе помощь пациент — вовремя обнаружить симптомы и обратиться к врачу для детальной диагностики. Стоит понимать, что процедуры измерения ВЧД сложные, требуют специальной аппаратуры и достаточной квалификации медицинского персонала. Все эти условия есть в Клиническом институте мозга, который специализируется на проблемах диагностики и лечения патологий нервной деятельности.
Единственный способ точно определить показатель внутричерепного давления — это пункция спинномозговой жидкости. Методика инвазивна и применяется только в сложных случаях. Для этого необходимо сделать прокол в области поясницы (в канал спинного мозга) либо желудочков головного мозга. Ликвор, который постоянно циркулирует в этих пространствах, начнет вытекать, и можно будет измерить его давление. Величина измеряется в мм водного столба, а ее норма составляет от 60 до 200 мм. Эти данные показательны, если пациент находится в положении лежа.
Также существуют дополнительные диагностические методики, которые позволяют оценить состояние головного мозга, его желудочков и сосудистого русла без инвазивного вмешательства. К ним относятся:
- УЗИ мозга — процедура проводится только детям, у которых не произошло сращение родничка, а у взрослых она невозможна из-за плотности костей черепа;
- КТ либо МРТ мозга — анализ можно сделать в любом возрасте, при этом данные достаточно информативны и позволяют получить полное трехмерное изображение любого исследуемого участка;
- эхоэнцефалография — разновидность ультразвукового обследования, с помощью которого можно определить степень наполнения и пульсации мозговых артерий.
Диагностировать повышенное внутричерепное давление только на основании клинической картины невозможно. Однако, все эти данные необходимо предоставить врачу при первичном осмотре. На их основании, специалисты Клинического института мозга назначат все необходимые этапы диагностики, которые позволят полноценно оценить состояние пациента.
Лечение и прогноз
Терапевтические мероприятия назначаются по результатам диагностики. В первую очередь, важно избавиться от причины, которая провоцирует чрезмерное давление жидкости на черепную коробку. Если это явление вызвано черепно-мозговыми травмами, больному показан полный покой, щадящее питание, прием противовоспалительных препаратов. В некоторых случаях необходимо оперативное вмешательство (при наличии гематом между оболочками головного мозга, а также при наличии повреждений, которые требуют хирургического лечения). Операция также назначается при обнаружении различных новообразований в тканях головного мозга, склонных к быстрому росту.
Отдельный комплекс мер проводится при диагностике гидрофецалии у ребенка. Для удаления лишней жидкости устанавливается шунт, через который она стекает в брюшную полость, и давление нормализуется. Операция проводится повторно по мере роста ребенка, а пациент постоянно находится под наблюдением. У некоторых детей потребность в искусственном удалении жидкости постепенно исчезает.
Медикаментозная терапия при патологиях ВЧД вторична. Однако, препараты назначаются для устранения симптомов и для облегчения самочувствия больного. Полезными могут оказаться следующие лекарственные средства:
- гормональные противовоспалительные препараты;
- нейропротекторы и вещества для стимуляции кровообращения в головном мозге — эффективность этой группы не доказана, несмотря на ее широкое применение;
- петлевые диуретики (мочегонные) — лекарства, которые стимулируют выведение лишней жидкости;
- осмодиуретики — в том числе снижают продукцию спинномозговой жидкости.
Клинический институт мозга специализируется на диагностике и лечении заболеваний центральной нервной системы. Повышенное внутричерепное давление — это не отдельная болезнь, а симптом, который указывает на ряд патологий. Опытные специалисты точно определят причину такого нарушения, а также его тяжесть и возможные последствия. Стоит понимать, что только своевременное обращение за медицинской помощью может гарантировать успешное лечение и возвращение к привычному образу жизни без головной боли.
Гидроцефалия, или водянка головного мозга
Информацию из данного раздела нельзя использовать для самодиагностики и самолечения. В случае боли или иного обострения заболевания диагностические исследования должен назначать только лечащий врач. Для постановки диагноза и правильного назначения лечения следует обращаться к Вашему лечащему врачу.
Гидроцефалия: причины появления, симптомы, диагностика и способы лечения.
Определение
Гидроцефалия – это состояние, при котором в желудочках головного мозга и ликворосодержащих пространствах черепа скапливается избыточное количество спинномозговой жидкости, или ликвора. Спинномозговая жидкость отделяет головной и спинной мозг от твердых стенок черепа и позвоночного столба, служа буфером. Кроме того, ликвор доставляет к мозгу необходимые питательные вещества, выводит некоторые продукты обмена, обладает защитными свойствами, является транспортной средой для физиологически активных веществ.
В головном мозге есть четыре желудочка – два боковых, а также так называемые третий и четвертый желудочки мозга. Из боковых желудочков ликвор поступает в третий желудочек, а оттуда – в водопровод мозга, или Сильвиев водопровод, через который жидкость поступает в четвертый желудочек. После этого спинномозговая жидкость вытекает в подпаутинное (субарахноидальное) пространство, окружающее головной и спинной мозг, где всасывается.

Ликвор постоянно обновляется (вырабатывается около 500 мл ликвора в сутки) – вырабатывается и всасывается. Если баланс между выработкой спинномозговой жидкости и всасыванием нарушается, то есть ликвор вырабатывается быстрее, чем всасывается, то он начинает скапливаться внутри желудочков, они расширяются, а внутричерепное давление повышается. Такое состояние и называется гидроцефалией.
 
Гидроцефалия встречается как у взрослых, так и у детей любого возраста. Распространенность заболевания составляет от 100 до 350 случаев на 100 000 человек.
Причины возникновения гидроцефалии 
 
Гидроцефалия развивается вследствие нарушения всасывания ликвора, в результате избыточной его продукции или при наличии препятствия на пути его оттока. Причинами повышения внутричерепного давления у взрослых могут быть инфекции центральной нервной системы (менингит, вентрикулит, арахноидит), кровоизлияния (субарахноидальные, внутрижелудочковые), опухоли головного и спинного мозга, сосудистые мальформации, острая или хроническая недостаточность мозгового кровообращения на почве атеросклероза, васкулитов, диабетической ангиопатии или гиалиноза сосудов.
Причинами развития гидроцефалии у плода являются в большинстве случае пороки развития центральной нервной системы, а также внутриутробные инфекции (цитомегаловирусная, герпетическая инфекция, токсоплазмоз). У детей младшего возраста (до 2 лет) к водянке головного мозга в 80% случаев приводят врожденные пороки развития (аномалия Киари, стеноз водопровода мозга) и внутриутробные инфекции, а в 20% – травмы и неонатальный менингоэнцефали. У детей старше 2 лет основными причинами являются опухоли задней черепной ямки и стенозы (сужения) водопровода мозга.
Классификация гидроцефалии
Основная классификация предполагает выделение окклюзионной, или несообщающейся гидроцефалии (при закупорке ликворных путей), и сообщающейся гидроцефалии, когда нарушена всасываемость ликвора (встречается чаще), или вырабатывается слишком много ликвора при нормальном всасывании (встречается реже).
Кроме того, гидроцефалия подразделяется:
По локализации:
- внутренняя, когда увеличены желудочки мозга;
- наружная, когда увеличены субарахноидальные пространства;
- смешанная, когда увеличены и желудочки мозга, и субарахноидальные пространства.
- компенсированная, когда расширение ликворных путей существует без клинических проявлений;
- субкомпенсированная, когда при расширенных ликворных путях присутствуют общемозговые симптомы;
- декомпенсированная, когда при расширенных ликворных путях присутствуют очаговые неврологические симптомы.
- врожденная гидроцефалия – развивается в результате перинатальных внутричерепных кровоизлияний, опухолей головного мозга, воспалительных процессов, после черепно-мозговой травмы, вследствие патологий сосудов головного мозга;
- приобретенная гидроцефалия – инфекционная, постгеморрагическая (после кровоизлияний), при объемных внутричерепных процессах, в результате гиперпродукции ликвора, например, при опухолях сосудистых сплетений, выстилающих желудочки мозга.
В зависимости от уровня ликворного давления различают:
- гипертензивную гидроцефалию (давление повышено);
- нормотензивную гидроцефалию (давление в норме).
Следует помнить, что гидроцефалия – это развивающееся состояние, и скорость прогрессирования может изменяться с течением времени.
Кроме того, острое начало может сменяться хроническим течением, в то время как хроническая гидроцефалия может сопровождаться обострениями, требующими смены тактики лечения.
Симптомы гидроцефалии 
 
У младенцев симптомы гидроцефалии практически не зависят от причины, вызвавшей заболевание. Наблюдается слишком интенсивный рост головы, опережающий тело и конечности, выраженные швы черепа, кости черепа истончены, лоб увеличен непропорционально, надбровья нависают, родничок напряженный, вены кожи черепа расширены. У ребенка могут определяться общемозговые симптомы: тошнота, рвота, беспокойство, судороги, угнетение сознания. Кроме того, могу присутствовать и очаговые признаки: расходящееся косоглазие, спастичность (повышение мышечного тонуса) в разгибателях ног и иногда рук, симптом заката (закатывание глаз вниз), симптом Грефе (при вращении головы, реже – в спокойном состоянии глазное яблоко перемещается вниз, а сверху, над радужной оболочкой остается видна белая широкая полоска) и другие симптомы.
У детей старше 2 лет гидроцефалия проявляется также общемозговой (утренние головные боли, рвота натощак, тошнота, мышечная слабость) и очаговой симптоматикой (спастический парапарез нижних конечностей, гиперкинезы – патологические непроизвольные движения, атаксия – нарушение согласованности движений мышц, плохо координированные движения).
У детей с гидроцефалией могут возникать эндокринные нарушения (отставание в росте или гигантизм, ожирение, преждевременное половое созревание или гипогонадизм, гипотиреоз и несахарный диабет), пато- и нейропсихологические нарушения (нарушение оптико-пространственного (невербального) интеллекта, сложности с обобщениями, эмоциональная лабильность и др.).
У взрослых пациентов также отмечаются признаки повышенного внутричерепного давления: отек диска зрительного нерва, головная боль, тошнота и рвота, глазодвигательные нарушения, сонливость, возможна потеря сознания, гипертонус мышц нижних конечностей, прогрессирующее снижение интеллекта, вялость, апатия, дезориентация во времени и пространстве, расстройства оперативной памяти.
Существует вид гидроцефалии с нормальным ликворным давлением, когда желудочки расширены, но давление спинномозговой жидкости в норме. Для этого вида характерным нарушением является триада Хакима-Адамса – нарушение памяти, походки и недержание мочи. Полная триада встречается лишь 1/3 случаев. У остальных пациентов встречается комбинирование двух симптомов из триады. Распространенность такой формы гидроцефалии составляет 20-22 человека на 100 000 населения.
Диагностика гидроцефалии
Для диагностики гидроцефалии и выявления ее причин применяют:
-    общий анализ крови для выявления воспалительных изменений;
-    компьютерную томографию – для определения размеров желудочков мозга и субарахноидальных внутричерепных пространств, выявления опухолей, кист;
К каким врачам обращаться
Заподозрить диагноз может педиатр , терапевт или невролог .
Возможно, потребуется консультация нейрохирурга для определения тактики хирургического лечения.
Кроме того, рекомендован осмотр офтальмолога для проведения дифференциальной диагностики, коррекции патологии зрения и профилактики осложнений. На этапе реабилитации могут потребоваться консультации психолога, логопеда, физиотерапевта.
Лечение гидроцефалии
Из консервативных методов лечения применяют диуретики с целью снижения внутричерепного и внутриглазного давления, витаминотерапию, назначают нейро- и ангиопротекторы. К сожалению, медикаментозная терапия не всегда позволяет достичь желаемого эффекта, поэтому выполняют хирургическое вмешательство.
Оперативное лечение гидроцефалии направлено либо на восстановление тока ликвора, либо на создание альтернативных маршрутов для дренажа спинномозговой жидкости из полости черепа.
Возможно проведение эндоскопических операций, когда с помощью микрохирургических инструментов под контролем нейроэндоскопа формируются обходные пути для оттока спинномозговой жидкости из желудочка. Более традиционным вмешательством является операция шунтирования. При шунтировании избыточная спинномозговая жидкость отводится тонкой трубочкой, например, в брюшную или плевральную полость, где она хорошо всасывается. Клапаны в шунтирующей системе предотвращают обратный заброс ликвора.
Осложнения гидроцефалии
Несвоевременная диагностика гидроцефалии может привести к глазодвигательным и зрительным нарушениям, вплоть до атрофии зрительного нерва и слепоты, проблемам с речью, нарушениям слуха, изменению формы и размеров черепа, к умственной отсталости, задержкам физического развития, психическим расстройствам, личностным нарушениям.
Опасным осложнением считается смещение мозговых структур, вклинение головного мозга, что приводит к гибели пациента.
Профилактика гидроцефалии
Для снижения риска развития гидроцефалии важно своевременно выявлять и лечить патологии беременных, избегать травм головы и позвоночника, в том числе родовых, предупреждать развитие инфекционных процессов, особенно во время беременности, чему может способствовать, например, вакцинация от пневмококка согласно национальному календарю (защита от пневмококкового менингита). Для взрослых пациентов, помимо предотвращения черепно-мозговых травм и нейроинфекций, рекомендовано своевременное и полноценное лечение заболеваний сердечно-сосудистой системы, которые могут стать причиной острой или хронической недостаточности кровообращения головного мозга.
- Е.И. Гусев, А.Н. Коновалов, В.И. Скворцова. Неврология и нейрохирургия. Учебник в двух томах 4-е изд., доп. / Т. 2. Нейрохирургия // Москва. – Гэотар-Медиа. – 2018.
- Гидроцефалия: учебное пособие / А.И. Мидленко, О.Г. Семенков, М.А. Мидленко, С.Ю. Рябов, Е.Ю. Котова // Ульяновск : УлГУ. – 2015. – 67 с.
Читайте также:
- Жидкостной баланс в барокамере. Лекарственная терапия в барокамере
- Отбор проб крови для анализа коагулограммы - гемостаза
- Практическое применение контрастной эхокардиографии миокарда
- Грыжа межпозвонкового диска. Диагностика грыжи межпозвоночного диска.
- Поражение глаз при лептоспирозе. Лептоспироз глаз
