Гистологическое строение болезни педжета. Лечение болезни Педжета.
Добавил пользователь Евгений Кузнецов Обновлено: 29.01.2026
Гистологическое строение болезни педжета. Лечение болезни Педжета.
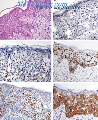
Отмечается акантоз, гипер- и паракератоз, папилломатоз эпидермиса. В составе удлиненных и расширенных эпидермальных выростов определяются клетки Педжета: крупные округлые или овальные клетки, лишенные мостиков, со светлой цитоплазмой и крупным гиперхромным ядром с выраженными нуклеолами. Они располагаются одиночно среди клеток шиповатого слоя или гроздьями в базальном слое, вызывая его дезорганизацию. В их цитоплазме обнаруживаются гликоген и нейтральные глюкозам иноглика-ны. Некоторые клетки содержат меланиноподобный пигмент, который является ДОФА-отрицательным. В краях опухоли, в зоне усиленной пролиферации, могут встречаться скопления крупных клеток с большим количеством митозов. В случаях изъязвления эпидермис может быть полностью замещен клетками Педжета. Клетки Педжета не инвазируют дерму. Иногда атипичные клетки определяются в выстилке млечных протоков в толще соска. В верхних частях дермы обнаруживается воспалительный инфильтрат различной интенсивности, состоящий, в основном, из лимфоцитов и гистиоцитов. При наличии подлежащего рака молочной железы, последний не всегда располагается по соседству с раком Педжета.
Описано пять гистологических вариантов клеток Педжета. Первые два из них могут морфологически напоминать клетки подлежащего рака молочной железы.
1. Аденокарциномоподобный тип клеток Педжета характеризуется цилиндрическими клетками, аналогичными клеткам метастазирующей в кожу аденокарциномы.
2. Веретеноклеточный тип клеток Педжета проявляется гнездными скоплениями удлиненных клеток.
3. Анапластический клеточный тип клеток Педжета — это анапластический вариант болезни Педжета, который напоминает болезнь Боуэна как клинически, так и гистологически. При этом варианте резко полиморфные злокачественные клетки беспорядочно располагаются по всей толщине эпидермиса. Часто встречаются апоптоз, фигуры митоза и многоядерные гигантские клетки. Диагностически важными признаками являются акантолиз и персистенция кератиноцитов базального слоя. При иммуногистохимическом исследовании обнаруживается положительное окрашивание на РЭА и антиген эпителиальной мембраны, тогда как при болезни Боуэна реакция на эти антигены отрицательная.
4. Акантолитический клеточный тип клеток Педжета выделен на основании описания случая маммарной болезни Педжета, при котором первоначально гистологические проявления характеризовались акантолитическими изменениями, а при более позднем исследовании были обнаружены гнезда атипичных РЭА-положительных клеток Педжета. Этот тип может сочетаться с анапластический.
5. Пигментный клеточный тип клеток Педжета проявляется наличием меланина в клетках Педжета и в базальных кератиноцитах, что обусловлено его выходом из меланоцитов.
Течение болезни Педжета сопровождается медленным, но неуклонным прогрессированием. Первичный протоковый рак молочной железы распространяется вниз до эпителия долек, а также кверху и кнаружи до эпидермиса, где развивается поражение кожи. В более поздней стадии болезни раковые клетки проникают через стенку протока или дольки и инфильтрируют соединительную ткань молочной железы, развиваются лимфогенные метастазы, в 50% случаев — подмышечные.

Выделяют 4 стадии болезни Педжета:
• Стадия 0 болезни Педжета: опухоль, ограничена эпидермисом, без подлежащего рака in situ протоков молочной железы.
• Стадия 1 болезни Педжета: опухоль ассоциируется с внутрипротоковым раком in situ молочной железы, локализующимся непосредственно под соском.
• Стадия 2 болезни Педжета: опухоль ассоциируется с распространенным внутрипротоковым раком in situ молочной железы.
• Стадия 3 болезни Педжета: опухоль ассоциируется с инвазивным протоковым раком молочной железы. Продолжительность жизни при болезни
Педжета определяется особенностями подлежащего протокового рака молочной железы. 5-летняя выживаемость при раке in situ составляет 100%, при инфильтрирующем раке без метастазов в подмышечные лимфатические узлы — 43%, при наличии метастазов — 10%.
Диагноз болезни Педжета устанавливается на основании клинической картины, результатов цитологического (соскоб с поверхности опухоли), гистологического и иммуногистохимического исследований, которые подтверждают интраэпителиальное распространение опухолевых клеток из подлежащего внутрипротокового рака в эпидермис. Маммография позволяет выявить внутрипротоковый рак молочной железы у 50-70% больных с изменениями в коже. Болезнь Педжета может проявиться как рецидив рака молочной железы после хирургического лечения или лучевой терапии.
Дифференциальный диагноз болезни Педжета проводится с экземой соска, при которой процесс носит двусторонний характер, не сопровождается уплотнением сосков и быстро регрессирует при местной терапии кортикостероидами. Если, несмотря на лечение, «экзема» не проходит в течение 3 нед., следует заподозрить болезнь Педжета. Заболевание следует дифференцировать также с болезнью Боуэна, субареолярным протоковым папилломатозом (pseudo Paget's disease), поверхностной формой базалиомы. От первичного ин-траэпидермального рака болезнь Педжета отличают иммуногистохимически по экспрессии цитокератинов низкой молекулярной массы, ра-ково-эмбрионального антигена, антигена эпителиальной мембраны, с-егЬВ-2, а от поверхностной распространяющейся меланомы — по отрицательной реакции с моноклональными антителами к протеину S-100 и к НМВ-45.
Основным методом лечения болезни Педжета является хирургический. Даже при отсутствии пальпируемой формы рака молочной железы рекомендуется широкое хирургическое вмешательство с ревизией подмышечных лимфоузлов.
При сочетании болезни Педжета с подлежащим инфильтрирующим протоковым раком молочной железы проводят мастэктомию и ревизию лимфатических узлов основного подмышечного коллектора. Почти у 2/3 больных поражаются подмышечные лимфатические узлы, в связи с чем их 10-летняя выживаемость составляет только 10%. Напротив, у больных с неинфильтрирующим внутрипротоковым раком молочной железы и при его непалышруемых формах 10-летний срок выживания после мастэктомии — 100%.
Эффект, достигаемый лучевой терапией, химиотерапией и антиэстрогенной гормонотерапией тамоксифеном, недостаточно стойкий, поэтому методы лечения болезни Педжета используют, главным образом, в качестве дополнительных воздействий, повышающих эффективность основного хирургического метода. В частности, при локальном опухолевом процессе удаление соска с резекцией подлежащей молочной железы проводят в комбинации с рентгенотерапией.
Информация на сайте подлежит консультации лечащим врачом и не заменяет очной консультации с ним.
См. подробнее в пользовательском соглашении.
Рак Педжета
Рак Педжета – форма рака молочной железы, протекающая с поражением сосково-ареолярного комплекса. Рак Педжета проявляется зудом, жжением, узловым уплотнением и эрозированием в околососковой области, выделениями из соска. Диагностика рака Педжета основывается на клинико-цитологических данных, результатах маммографии, УЗИ молочных желез, МРТ. Лечение рака Педжета включает проведение мастэктомии с последующей лучевой терапией, химиотерапией или гормонотерапией.
Общие сведения
Рак Педжета - экземоподобный рак соска составляет в маммологии 0,5-5% от всех случаев неопластических изменений молочной железы. Впервые заболевание было описано J.Paget в 1874 г. как рак ареолы и соска с явлениями хронической экземы. Рак Педжета встречается не только у женщин, но и у мужчин, возникая преимущественно после 50-60 лет. У мужчин рак Педжета диагностируется реже, но имеет более агрессивное течение, что связано с меньшими размерами молочных желез и более легким проникновением раковых клеток в лимфоузлы. Экстрамаммарный рак Педжета может развиваться на других участках, где располагаются апокринные потовые железы: на вульве и в промежности у женщин; на половом члене и мошонке – у мужчин.
Причины развития рака Педжета
Этиологии рака Педжета неизвестна. В настоящее время маммология имеет несколько теорий относительно причины развития этого заболевания. Согласно эпидермотропной теории, атипичные клетки (клетки Педжета) при раке молочной железы более глубокой локализации мигрируют по млечным протокам к соску, где имплантируются и разрастаются. Данная теория основывается на наблюдениях, показывающих, что рак Педжета в 95% случаев сочетается с другими формами рака молочных желез, чаще с внутрипротоковой карциномой. Инфильтрирующие эпидермис опухолевые клетки Педжета при раке соска происходят из эпителия млечных протоков и являются железистыми клетками.
По трансформирующей теории, развитие рака Педжета проистекает вследствие спонтанного перерождения эпителиальных клеток соска и ареолы в злокачественные. Эта гипотеза основывается на тех случаях, при которых не выявляется рак молочной железы другой локализации. Описана семейная предрасположенность к развитию рака Педжета у мужчин, а также его ассоциация со склеродермией, пузырчаткой, раком шейки матки. Среди провоцирующих факторов рассматриваются травмы соска, различные канцерогенные воздействия.
Классификация
По варианту клинического течения выделяют рак Педжета, протекающий:
- в форме острого экзематоида (с мелкозернистой сыпью, мокнутием и изъязвлением соска)
- в форме хронического экзематоида (с образованием корочек, при снятии которых образуется участок мокнутия)
- в псориатической форме (с наличием мелких розовых папул, покрытых сухими слущивающимисяся чешуйками)
- в язвенной форме (с образованием кратероподобных изъязвлений)
- в опухолевой форме (с наличием опухоли в толще железы).
При раке Педжета в 50% случаев изменения затрагивают только сосково-ареолярный комплекс. У 40% пациентов на фоне изменений ареолы и соска выявляется пальпируемый опухолевый узел в околососковой области. В 10% случаев рак Педжета является случайной находкой при цитологическом исследовании мазка из соска в случае наличия выделений из протоков молочной железы.
Симптомы рака Педжета
Ранние симптомы рака Педжета неспецифичны, как правило, не вызывают обеспокоенности и не становятся поводом для обращения к маммологу. Болезнь начинается с легкого покраснения, шелушения, незначительного раздражения кожи соска и околососковой области. Данные явления могут спонтанно исчезать, что, однако, не свидетельствует об исчезновении болезни. Временное ослабление экзематозных изменений может отмечаться при использовании кортикостероидных мазей.
В дальнейшем возникает пощипывание, жжение, зуд, повышенная чувствительность, боль в соске. Возможно появление серозно-геморрагических выделений из соска, пачкающих белье, изменение конфигурации соска (уплощение или втяжение). Прогрессирование симптоматики рака Педжета сопровождается развитием застойной инфильтрации и гиперемии в области соска и околососкового кружка, на поверхности которого образуются эрозии, корки, изъязвления. Удаление чешуек и корочек приводит к обнажению влажной мокнущей поверхности. Чаще при раке Педжета наблюдаются односторонние изменения, но не исключается и билатеральный характер заболевания в обоих сосках.
Экзематозные изменения могут распространяться на кожу молочной железы. Область поражения обычно несколько приподнята над непораженной кожей и четко очерчена. При пальпации у половины пациентов определяются узловые образования в груди, увеличение регионарных лимфоузлов. На поздних этапах в связи с деструкцией сосково-ареолярного комплекса возникают обильные кровянистые выделения из пораженного участка. У мужчин рак Педжета имеет сходные проявления - шелушение, видимая эритема, уплотнение, эрозии, кожный зуд в околососковой области, втянутый сосок, мацерация кожи.
Диагностика рака Педжета
Комплекс диагностических исследований при раке Педжета включает консультацию маммолога-онколога, осмотр молочных желез, проведение УЗИ молочных желез, маммографии, МРТ, цитологического изучения мазка, биопсии молочной железы. При осмотре молочной железы обнаруживаются характерные изменения в области соска; при пальпации в толще тканей могут определяться узловые опухолевые образования. Исследование мазка-отпечатка отделяемого из соска позволяет обнаружить клетки Педжета.
Чувствительность маммографии в диагностике рака Педжета существенно возрастает в случае наличия опухолевого узла в железе; при отсутствии последнего чувствительность рентгеновской диагностики не превышает 50%. При анализе маммограмм обращают внимание на форму соска, толщину кожи сосково-ареолярной области, наличие субареолярных микрокальцинатов, локализацию и размеры опухолевого узла. Для исключения опухолевых образований другой гистологической структуры следует выполнять маммографию в трех проекциях, дополнять томосинтезом.
В ряде случаев изменения, не выявляемые при маммографии, удается визуализировать с помощью УЗИ молочных желез; кроме того, эхография позволяет определить состояние протоков и характер ангиогенеза. МРТ молочных желез при раке Педжета перспективна для выявления изменений, еще не проявляющихся клинически, а также дифференциации опухолей различного типа. Сцинтиграфия молочных желез высокоинформативна для выявления поражения соска, поскольку делящиеся внутрипротоковые клетки Педжета способны активно накапливать радиоизотоп 99тТс.
Биопсия соска и ареолы, а также пункционная биопсия пальпируемых образований позволяет установить гистологический диагноз рака Педжета на дооперационном этапе. Диагноз рака Педжета требует дифференциации от экземы сосков, поверхностной базалиомы, меланомы, дерматита, чесотки, псориаза, болезни Боуэна. Кроме этого, необходимо отличать рак Педжета от герпетической инфекции, грибовидного микоза, туберкулеза и сифилиса молочной железы.
Лечение рака Педжета
При выявлении рака Педжета показана хирургическая тактика. Радикальная мастэктомия производится при инвазивных формах рака или распространенной внутрипротоковой карциноме. В этих случаях выполняется удаление молочной железы вместе с грудными мышцами, лимфоузлами и клетчаткой.
Простая мастэктомия с удалением ткани железы и малой грудной мышцы оправдана при неинвазивном росте рака. На ранних стадиях может применяться радикальная резекция молочной железы, включающая удаление соска, ареолы и части железы с расположенной в ней опухолью. В дальнейшем пациенткам проводится реконструктивная маммопластика.
Дополнительно к хирургической операции при раке Педжета назначается дистанционная гамма-терапия, химиотерапия, гормонотерапия. Задачей системного лечения является профилактика рецидивов рака молочной железы и метастазирования рака Педжета, особенно у пациентов молодого возраста.
Прогноз при раке Педжета
Первичное распознавание рака Педжета не всегда происходит своевременно, в связи с чем адекватное лечение может задерживаться на многие месяцы.
Учитывая агрессивность роста опухоли, прогноз при раке Педжета сложный. Даже после операции велика вероятность рецидива. Средняя продолжительность жизни при раке Педжета составляет около 3-х лет, при наличие инфильтративного компонента и метастазов – около 1 года.
Болезнь Педжета вульвы
Болезнь Педжета вульвы – это медленно прогрессирующая злокачественная неоплазия, поражающая область наружных женских гениталий. Характеризуется появлением ограниченных, слегка выпуклых отёчных или плотных участков преимущественно красного цвета в области больших половых губ, длительно остающихся без изменений или медленно разрастающихся и сопровождающихся зудом. Поражения обнаруживаются при гинекологическом осмотре, диагноз верифицируется по результатам лабораторных исследований биоптата, вероятные сопутствующие опухоли выявляются с помощью инструментальных методов. Основной метод лечения хирургический, также может применяться лучевая, химио- и гормонотерапия.
МКБ-10
Болезнь Педжета вульвы (экстрамамиллярный рак Педжета, экстрамамиллярный дерматоз Педжета) – злокачественная опухоль, происходящая из железистых клеток эпителия женских наружных половых органов. Болезнь получила название в честь английского хирурга и патологоанатома Джеймса Педжета, впервые описавшего морфологически сходное новообразование молочной железы в 1874 году. Неоплазия чаще всего представлена преинвазивным раком, протекающим годами и перерастающим в инвазивную карциному в 10-20% случаев. У больных повышен риск экстрагенитальных раковых опухолей. В структуре злокачественных новообразований вульвы доля дерматоза Педжета составляет 2%. Заболевание поражает женщин преимущественно в постменопаузе (средний возраст больных – 65 лет) и крайне редко регистрируется в возрасте до 40 лет.
Причины
Этиология возникновения вульварного рака Педжета пока не изучена. Предполагается, что малигнизация клеток-источников этого вида карциномы может быть связана с механическими травмами, химическими и термическими ожогами, местным хроническим воспалительным процессом (например, в результате заражения некоторыми типами герпес- и папилломавирусов) и рубцовыми изменениями эпителия. Рассматривается роль воздействия ионизирующего излучения (включая лучевую терапию), дисгормональных состояний в результате ожирения, нарушения функций яичников, щитовидной и поджелудочной желёз.
Отмечено, что поражение вульвы дерматозом Педжета может сочетаться с другими типами рака: в 20-25% случаев с колоректальными опухолями, в 10-17% - с урогенитальными и реже - с гепатоцеллюлярными, гепатобилиарными карциномами, неоплазиями яичников, молочных желёз. Согласно предположениям одних исследователей, рак Педжета вторичен по отношению к перечисленным новообразованиям и является паранеопластическим заболеванием (возникающим под воздействием синтезируемых опухолью и организмом в ответ на опухоль биологически активных веществ и иммунных антигенов) или развивается в результате педжетоидного (интраэпителиального) отсева малигнизированных клеток. Другие считают такое сочетание синхронным первично-множественным опухолевым процессом.
Патогенез
Точная гистогенетическая природа опухоли не установлена. В злокачественные клетки Педжета могут трансформироваться предшественники базальных клеток эпителия (являются источником вторичного рака Педжета) и, согласно современной теории, клетки Токера (ответственны за первичную опухоль). Ещё в конце XIX-начале XX веков были описаны случаи обнаружения в области вульвы «молочных желёз» в миниатюре. В конце прошлого века было установлено гистологическое различие и в то же время сходство этих структур с тканью молочной железы, и они получили название «маммароподобные железы» (МПЖ). Исследования показали, что МПЖ присутствуют в норме у лиц обоего пола, у женщин – большей частью в складке между большой и малой половыми губами и в меньшей концентрации в области ануса и промежности.
В дальнейшем была обнаружена способность МПЖ к экспрессии рецепторов к прогестерону и эстрогенам, карциноэмбриональному антигену и цитокератинам, а также наличие в эпителии их протоков клеток Токера, которые морфологически сходны с раковыми клетками Педжета и предположительно являются источником первичного маммарного дерматоза Педжета. Клетки Токера и их злокачественные аналоги, скапливаясь вокруг протока МПЖ в эпителиальной ткани, могут распространяться по ней на значительные расстояния. Это обусловливает отсев клеток Педжета из нераспространённых карцином прилежащих структур, а также мультицентричность опухоли Педжета и, как следствие, её склонность к рецидивам и наличие в ряде случаев обширных участков поражения при неинвазивной форме рака.
Для экстраммарных поражений Педжета общепринятая в онкогинекологии классификация по международной системе TNM на современном этапе не разработана. По степени распространения различают преинвазивную (без прорастания базальной мембраны), микроинвазивную (с распространением в строму на глубину менее 1 мм) и инвазивную (с распространением более чем на 1 мм) карциному. Согласно современной концепции возникновения рака Педжета, связанной с открытием и исследованием МПЖ, предложено выделять три формы, требующие дифференцированного лечебного подхода:
- Первичную. Болезнь Педжета не связана с внутриэпителиальным отсевом из соседних структур и развивается из клеток Токера.
- Вторичную с источником в аногенитальных МПЖ. Дерматоз Педжета возникает в результате отсева из эпителиальных карцином МПЖ: дуктальной, дольковой, тубулобулярной, муцинозной, аденокистозной, папиллярной.
- Вторичную, возникающую из других структур. К источникам данной формы рака Педжета относятся карциномы придатков кожи, бартолиниевой железы, шейки матки, уретры, прямой кишки.
Симптомы
Иногда кожным проявлениям может предшествовать ощущение сухости, постепенно усиливающегося зуда в области гениталий, в других случаях ощущения дискомфорта (зуд и жжение) присоединяются на этапе видимых изменений и становятся постоянным симптомом, хотя изредка патологический процесс протекает безболезненно. Чаще всего опухоль возникает в области большой половой губы в виде эритематозного пятна или бляшки. Размер поражения может составлять от одного миллиметра до нескольких сантиметров и длительное время не изменяться либо в течение нескольких месяцев (или лет) распространяться на соседние структуры, со временем захватывая всю область вульвы, а также промежности, ануса, а в некоторых случаях – кожу внутренней поверхности бёдер и нижней части живота.
На ощупь поражённые участки поверхностны, утолщены, имеют неравномерно плотную структуру, могут сопровождаться отёком. Визуально границы пятна чёткие, неровные. Пальпируемый узел под изменённым эпителием свидетельствует о сочетанной аденокарциноме. Красные, гиперемированные участки кожи со временем покрываются белым налётом (специфический признак вульварного дерматоза Педжета), отёчность усиливается, местами наблюдаются шелушение, эрозии и кровянистые корки, возникшие из-за расчёсов ввиду перманентного зуда. Повреждение корок сопровождается кровянисто-серозными выделениями.
Осложнения
Инвазия рака Педжета вульвы у 50% больных сопровождается метастазированием в паховые и бедренные лимфатические узлы, что приводит к их изъязвлению и нагноению в случае присоединения инфекции. Дальнейшее распространение метастазов в стенки крупных сосудов, лёгкие, печень, как правило, влечёт летальный исход. Локальное распространение опухоли может приводить к частичному перекрытию уретры и затруднению мочеиспускания, что неблагоприятно сказывается на состоянии мочевого пузыря и почек. Кроме того, обширные опухоли исключают возможность хирургической операции, а радиотерапия в подобных случаях несёт повышенный риск постлучевых осложнений.
Диагностика
Ввиду поверхностного расположения неоплазии её обнаружение не составляет труда. Затруднения обусловлены сложностью дифференциальной диагностики в связи с множеством визуально сходных нозологических форм патологии вульвы. Опухолевое поражение выявляется в ходе гинекологического осмотра, далее назначаются следующие виды исследования:
- Лабораторная верификация. Выполняется для определения гистотипа и характера новообразования. С помощью гистологического исследования выявляется микроскопическая структура, характерная для рака Педжета и определяется степень инвазии. Иммуногистохимический анализ подтверждает диагноз, позволяет оценить гормоночувствительность опухолевых клеток и определить их источник (из какого органа исходит вторичная неоплазия).
- Инструментальные исследования. Проводятся для выявления сочетанных карцином. УЗИ мочевого пузыря, уретроскопия, ректороманоскопия помогают обнаружить неоплазии мочевого пузыря, уретры и прямой кишки. УЗИ вульвы, малого таза, брюшной полости и молочных желёз позволяют заподозрить злокачественные опухоли этих органов, а кольпоскопия – опухоль шейки матки.
Экстрамаммарный дерматоз Педжета дифференцируют с болезнью Боуэна, псориазом, экземой, себорейным дерматитом, грибковой инфекцией, первичным сифилисом, гранулёмой вульвы, плоскоклеточной карциномой, саркомой вульвы, раком бартолиниевой железы, меланомой и рядом других воспалительных и опухолевых заболеваний вульвы. В диагностике участвуют онкогинеколог, дерматовенеролог, онкопроктолог, онкоуролог, при необходимости – абдоминальный хирург.
Лечение болезни Педжета вульвы
Лечение осуществляется специалистами в сфере онкологии, в случае инвазивных и вторичных форм могут привлекаться радиологи, химиотерапевты. Лечебная программа зависит от локальной распространённости процесса, сочетания болезни Педжета с другими злокачественными неоплазиями, иммуногистохимической характеристики опухоли, общего состояния пациентки. В отношении болезни Педжета вульвы применяется:
- Хирургическая операция. Является основным методом лечения. При первичных пре- и микроинвазивных формах комбинации с другими видами лечения, как правило, не требуется. В зависимости от распространённости опухолевого процесса операция может выполняться в объёме широкого иссечения или вульвэктомии. Вероятность рецидива значительно снижает применение метода микроскопически контролируемого удаления (микрографической хирургии Мооса).
- Радиотерапия. Лучевая терапия может применяться как лечение по радикальной программе (например, при распространённости процесса, не позволяющей выполнить радикальное хирургическое вмешательство) или в качестве дополнительного метода – после и (или) перед операцией. В комбинации с хирургическим вмешательством назначается в случае вторичного или инвазивного рака Педжета, «позитивности» края резекции.
- Цитостатическая терапия. Химиотерапия является дополнительным методом и может назначаться до или после хирургического вмешательства, при инвазивных, обширных или вторичных поражениях. Применяются пиримидины и производные платины.
- Гормонотерапия. Дополнительный метод, используется с целью предупреждения рецидивов. Антагонисты гормонов назначаются в комплексе с хирургическим и лучевым лечением при иммуногистохимически доказанной гормональной чувствительности опухолевых клеток.
Прогноз и профилактика
Прогноз для первичного внутриэпителиального рака благоприятный (пятилетняя выживаемость составляет 100%), в случае инвазии и (или) сочетания с другими аденокарциномами резко ухудшается и зависит от распространённости первичного и первично-множественного процесса. Летальный исход, как правило, обусловлен генерализацией сочетанной опухоли. После хирургического лечения рецидивы возникают у 9% больных неинвазивной формой дерматоза Педжета в течение восьми лет и у 67% с инвазивной формой в течение полутора лет. После лучевого лечения (когда операция по каким-либо причинам невыполнима) этот показатель в среднем составляет до 50% в течение четырёх лет.
Первичная профилактика включает предупреждение инфекций (в том числе передающихся половым путём), коррекцию эндокринно-обменных нарушений. Вторичная профилактика направлена на раннее выявление опухоли и её рецидивов, предполагает ежегодные гинекологические осмотры женщин пожилого и старческого возраста и пожизненное диспансерное наблюдение больных, получавших лечение по поводу экстрамамиллярной болезни Педжета.
1. Редкие опухоли вульвы (болезнь Педжета, меланома вульвы, саркома вульвы у взрослых, метастатические опухоли)/ Коржевская Е.В., Кузнецов В.В.// Практическая онкология. – 2006 – Т.7, № 4.
Деформирующий остеит ( Болезнь Педжета , Деформирующая остеодистрофия , Деформирующий остоз )
Деформирующий остеит – это воспалительное заболевание, при котором наблюдается поражение одной или нескольких костей скелета. Сопровождается образованием увеличенной в объеме, легко деформируемой, склонной к переломам кости. Проявляется болями и изменением формы области поражения. При поражении черепа и позвоночника возможны неврологические осложнения. Диагностируется на основании анамнеза, результатов физикального обследования, данных рентгенографии, КТ и МРТ, оценке уровня щелочной фосфатазы. Лечение - иммобилизация, медикаментозная терапия.
Деформирующий остеит (от лат. osteon – кость) или болезнь Педжета – воспалительное заболевание, которое поражает кости и обычно носит локальный характер. На начальных стадиях болезни наблюдается частичное разрушение костной ткани с последующим избыточным восстановлением. Восстановленная кость деформированная, непрочная, склонная к переломам. Причины развития деформирующего остеита пока не выяснены. Полностью устранить проявления болезни невозможно. Проводится симптоматическая терапия и профилактика осложнений.
Деформирующий остеит может поразить любую кость. В среднем у одного пациента поражаются 3 кости, хотя возможно как повреждение одной, так и множества костей. Болезнь достаточно широко распространена и наблюдается преимущественно у мужчин-европейцев в возрасте старше 50 лет. У лиц африканского и азиатского происхождения, а также у молодых людей любых рас встречается очень редко.
Причины возникновения деформирующего остеита пока до конца не изучены. Наиболее признанные теории – наследственная предрасположенность и вирусная природа заболевания. По данным проведенных в травматологии и ортопедии исследований, у 15-50% пациентов есть родственники первой степени, которые тоже страдают болезнью Педжета. Поэтому детям, братьям и сестрам больных рекомендуется регулярно сдавать анализы для определения уровня щелочной фосфатазы. Теория медленной вирусной инфекции предполагает, что заражение может произойти за много лет до манифестации болезни. В последующем человек является носителем вируса, пока какие-то провоцирующие факторы не вызовут симптомы заболевания.
Симптомы деформирующего остеита
Болезнь может поразить любую часть скелета, однако чаще страдают большеберцовые кости, кости черепа, позвонки, ключицы и кости таза. Деформирующий остеит может протекать бессимптомно. Выраженность проявлений зависит от тяжести заболевания и локализации повреждения. Боли в области кости обычно ноющие, тупые, непрерывные, усиливающиеся после отдыха или в покое. При локализации поражения рядом с суставом развивается остеоартрит. Объем движений в суставе и скованность при движениях в этом случае тоже усиливаются после отдыха.
Пораженные кости утолщаются, становятся хрупкими. Перелом может возникнуть даже при небольшой травме. При локализации остеита в области костей нижних конечностей возможно искривление ног (чаще страдают голени). Если поражается позвоночник, спина может деформироваться, стать сутулой.
Поражение костей черепа может сопровождаться увеличением размеров головы и ее деформацией. Если деформированные кости черепа и позвоночника оказывают давление на нервные стволы или нервную ткань, появляется неврологическая симптоматика. При поражении седьмой пары черепных нервов развивается нейросенсорная тугоухость. При сдавлении спинномозговых корешков возникает ощущение мурашек, покалывание и онемение в туловище и конечностях. При поражении костей в области лучезапястного сустава может развиться синдром запястного канала.
Заболевание сопровождается определенными нарушениями обмена веществ. В крови увеличивается количество сывороточной щелочной фосфатазы. А возросшая потребность пораженных костей в кислороде и питательных веществах обуславливает увеличение нагрузки на сердце.
В тяжелых случаях возможны поражения сердечно-сосудистой системы, обызвествление сердечных клапанов, атеросклероз, мочекислый диатез и развитие мочекаменной болезни. Иногда выявляется гиперпаратиреоз. Зафиксированы отдельные случаи развития сердечно-сосудистой недостаточности и остановки сердца. Редко наблюдается пятнистая дегенерация сетчатки. Примерно в 1% случаев наступает злокачественное перерождение кости с развитием остеосаркомы.
Диагноз деформирующий остеит выставляется по результатам осмотра ортопеда на основании жалоб больного, характерной клинической картины и результатов дополнительных исследований. В обязательном порядке назначается рентгенография. На снимках выявляется деформация и увеличение кости, а также неравномерное изменение костной ткани с чередованием участков разрушения (резорбции) и образования кости (остеогенеза). Граница разрушения кости часто имеет клиновидную форму.
Обязательным исследованием также является определение уровня сывороточной щелочной фосфатазы, который при деформирующем остеите намного превышает норму. Для выявления бессимптомно текущих процессов в других костях может использоваться сцинтиграфия. При необходимости проводится неврологическое исследование, исследование полей зрения и аудиограмма. В отдельных случаях выполняется биопсия кости. Деформирующий остеит дифференцируют от гиперпаратиреоза, первичных опухолей костей и метастазов опухолей в кости.
Лечение деформирующего остеита
Пациенту рекомендуют ограничить нагрузку на пораженную кость. Редко (при угрозе переломов и тяжелом разрушении кости) требуется наложение шины. При бессимптомном течении и небольших локальных поражениях медикаментозное лечение не проводится. При болях назначают обезболивающие препараты. Для замедления процессов резорбции и неполноценного остеогенеза применяют кальцитонин, памидроновую кислоту, этидронат натрия и алендроновую кислоту.
Курс лечения миакальциком при внутримышечном введении продолжается не менее 3 месяцев, при интраназальном – в течение 1,5-3 лет. Срок приема этидроната и фосамакса в среднем составляет полгода. Длительность курсов лечения кальцитонином и памидроновой кислотой может варьироваться. Многие из перечисленных препаратов могут вызывать достаточно серьезные побочные эффекты, поэтому их следует принимать только по назначению врача.
Для пациентов разрабатывают индивидуальные программы упражнений, подбирают диету со сбалансированным потреблением витамина D и кальция, при необходимости назначают замещающие препараты. При снижении слуха подбирают слуховые аппараты. Хирургическое лечение проводится по показаниям при переломах. При поражении сустава и развитии артрита может потребоваться эндопротезирование.
4. Диагностические аспекты костной болезни Педжета в клинической практике/ Башкова И.Б., Николаев Н.С., Безлюдная Н.В., Кичигин В.А.// Научно-практическая ревматология - 2017 - №6
Экстрамаммарная болезнь Педжета. Диагностика и лечение экстрамаммарной болезни Педжета.
Экстрамаммарная болезнь Педжета (син.: экстрамаммарный рак Педжета, экстрамаммарный дерматоз Педжета) — редкая кожная аденокароинома, клинически и гистологически сходная с болезнью Педжета. Патогенез не ясен. Предполагается, что это гетерогенная группа опухолевых заболеваний. Возможно, клетки Педжета происходят из эпителия апокринных или эккринных потовых желез, проникают в эпидермис в результате восходящего роста аденокарциномы in situ близлежащих железистых структур или возникают в результате злокачественной трансформации плюрипотентных стволовых клеток.
Экстрамаммарная болезнь Педжета встречается в среднем и пожилом возрасте, несколько чаще у женщин, чем у мужчин. Поражаются участки кожи, имеющие апокринные железы: перианальная область, наружные половые органы (вульва, мошонка, половой член), промежность , подмышечные впадины, пупок, лобковая область; возможно поражение полости рта. На туловище экстрамаммарная болезнь Педжета встречается редко, что объясняется небольшой распространенностью там апокринных желез. Иногда описывают множественные очаги поражения.
Клинически экстрамаммарная болезнь Педжета характеризуется красными пятнами или бляшками с неровными очертаниями, напоминающими географическую карту, с бархатистой мокнущей мацерированной поверхностью, корковыми наслоениями, иногда — с изъязвлением. Поражение сопровождается зудом или жжением.
Гистологическое строение экстрамаммарной болезни Педжета не отличается от болезни Педжета маммарной локализации; определяются интраэпидермальные клетки Педжета, т.е. крупные округлые или овальные клетки, лишенные мостиков, со светлой цитоплазмой, крупным ядром с выраженными нуклео-лами, ядерной гиперхромазией. Клетки располагаются по отдельности или гроздьями среди клеток шиповатого и зернистого слоев эпидермиса, нередко сдавливая базальные ке-ратиноциты. Клетки Педжета встречаются также в эпителии сальноволосяных фолликулов, выводных протоков апокринных и эккринных потовых желез. Проникновение эпителиальных тяжей с гроздьями клеток Педжета через разрывы базальной мембраны в окружающую строму указывает на раннюю дермальную инвазию. Возможна трансформация в плоскоклеточный рак.
Протяженность патологического процесса значительно превышает видимые размеры очага поражения, что может служить причиной частых рецидивов после хирургического лечения.

Гистологически экстрамаммарная болезнь Педжета подразделяется на следуюшие стадии:
1) полностью интразпидермальная опухоль;
2) интразпидермальная опухоль с минимальной дермальной инвазией;
3) интразпидермальная опухоль, ассоциирующаяся с подлежащим раком.
Клетки Педжета при экстрамаммарной болезни Педжета часто содержат внутрицитоплазматический сиаломуцин, который состоит из нейтральных (определяемых с помощью ШИК-реакциисдиастазной техникой) и кислых (определяемых коллоидным железом, альциановым синим или муцикармином) муко-полисахаридов. При миграции клеток Педжета мукополисахариды могут обнаруживаться в роговом слое эпидермиса. Наличие меланина (позитивное окрашивание по Fontana— Masson) в клетках Педжета обусловлено его выходом из соседних кератиноцитов.
При иммуногистохимическом исследовании в 84-100% случаев экстрамаммарной болезни Педжета выявляется позитивное окрашивание на высокомолекулярный гликопротеин (обнаруживаемый в нормальном эпителии протоков апокринныхи эккринных потовых желез), а также на раково-эмбриональный антиген. Иммуногистохимические данные о наличии белка р53 и рецепторов к эстрогенам в клетках Педжета противоречивы. Отмечена отрицательная реакция на онкобе-лок с-егЬВ-2 при интраэпидермальных стадиях болезни Педжета и положительная — при инвазивных и метастазирующих стадиях. При инвазирующих дерму и метастазирующих стадиях отмечена экспрессия продукта ras онкогена р21. Отличающиеся онкогенным потенциалом вирусы, например, вирусы папилломы человека (ВПЧ), при экстрамаммарной болезни Педжета не обнаружены Клетки Педжета при исключительно интраэпителиальной стадии имеют плоидность ядер, сходную с нормальной. При малигнизации с дермальной инвазией и метастазировании опухоли обнаруживается анэуплоидия. Скорость пролиферации интраэпителиальных клеток низкая.
Течение экстрамаммарной болезни Педжета. Чаще экстрамаммарная болезнь Педжета ограничивается эпидермисом и эпителием придатков кожи. Подлежащий рак придатков кожи отмечается у 24% больных. Наличие подобных изменений значительно ухудшает прогноз заболевания. У 12% больных обнаруживается сопутствующее злокачественное новообразование внутренних органов, тесно прилежащее к кожному очагу поражения.
Наличие ассоциированной злокачественной опухоли определяет прогноз экстрамаммарной болезни Педжета. Летальность при экстрамаммарной болезни Педжета составляет 26%.
Диагноз экстрамаммарной болезни Педжета устанавливается на основании клинической картины и результатов гистологического исследования. При локализации поражения в промежности или перианальной области для исключения подлежащего или сопутствующего злокачественного новообразования должны проводиться ректоскопия, колоноскопия, ирригоскопия; при расположении опухоли на наружных половых органах — цистоскопия, экскреторная урография, а у женщин, кроме того, полное гинекологическое обследование.
Дифференциальный диагноз экстрамаммарной болезни Педжета проводится с экземой, ограниченным нейродермитом, склероатрофическим лишаем, красным плоским лишаем, псориазом крупных складок, дерматофитией, кандидозом кожных складок, эритроплазиеи Кейра, Т-клеточной злокачественной лимфомой кожи, болезнью Боуэна, множественной базалиомой. Положительное окрашивание при имчунопероксидазной реакции с моноклональными антителами к протеину S-100, к НМВ-45 и высокомолекулярному цитокератину позволяет подтвердить меланому и плоскоклеточный рак кожи (соответственно) и исключить экстрамаммарную болезнь Педжета.
Читайте также:
