Остеонекроз коленного сустава - лучевая диагностика
Добавил пользователь Дмитрий К. Обновлено: 28.11.2025
Остеонекроз - характеристика для врачей лучевой диагностики
Остеонекроз - это гибель кости и элементов костного мозга вследствие потери кровоснабжения. Для описания данного состояния, используются многие термины, включая аваскулярный некроз, асептический некроз, ишемический некроз и инфаркт кости. Эти термины относительно синонимичны, так как все они обозначают некроз кости, но локализация является фактором, позволяющим говорить именно о «некрозе кости». Выделяют три главные локализации в кости, где могут определяться некротические изменения: субхондральную локализацию, метафизарную или диафизарную области трубчатых костей, на расстоянии от субхондральной области, и мелкие кости кистей и стоп. Термин инфаркт кости, как правило, используется в отношении очага, который развивается на расстоянии от субхондральной области. Другие термины, как правило, обозначают очаги некроза в субхондральной области или мелких костях кистей и стоп. Остеонекроз тела позвонка также известен как болезнь Кюммеля.
а) Лучевая анатомия. Визуализационная картина остеонекроза и инфаркта кости различна, зависит от того, происходит ли поражение мелких костей кистей и стоп, субхондральной области трубчатых костей или метафизов и диафизов трубчатых костей. Для каждой локализации существуют различия в предполагаемой этиологии.
Наиболее характерный признак остеонекроза при МРТ (признак двойной линии) встречается в субхондральной области и в метафизах и диафизах. Признак двойной линии представлен внешним кольцом низкого сигнала, как правило, с неровный контуром. Эта демаркационная линия между живой тканью кости и некрозом, расположенная вдоль внутреннего края кольца низкого сигнала. Линия представляет собой грануляционную ткань/воспалительный ответ в процессе заживления. С внутренней стороны яркой линии, находится, как правило, желтый костный мозг. Так или иначе, костный мозг претерпевает изменения в процессе эволюции инфаркта.
Изначально, инфарктный костный мозг имеет признаки жира, высокий сигнал в Т1 ВИ, который умеренно снижается в Т2 ВИ. Костный мозг затем проходит через фазу схожую с кровоизлиянием, с высоким сигналом в Т1 ВИ и Т2 ВИ. Эта фаза не часто видна при визуализации. Затем костный мозг приобретает вид отечного со снижением сигнала вТ1 ВИ и повышением сигнала вТ2ВИ. В итоге, костный мозг становится темным и в Т1 ВИ, и в Т2 ВИ, что говорит о фиброзе и склерозе.
Инфаркты в метафизах и диафизах могут обращать на себя внимание из-за боли. Наиболее часто, они являются случайными находками при рентгенографии или при МРТ. На рентгенограмме, эти очаги могут имитировать другие образования, особенно хондроидные. МРТ может быть использована для дифференциации этих процессов. Инфаркты кости, как правило, не осложняются, однако в редких случаях они могут приводить к развитию злокачественной фиброзной гистиоцитомы.
В отличие от инфаркта кости, остеонекроз субхондральной части кости приводит к многочисленным осложнениям. Кактолько происходит заживление и кость рассасывается, оставшаяся часть кости становится слабой. Продолжающаяся весовая нагрузка приводит к характерным находкам в виде субхондральных переломов, западения суставной поверхности, фрагментации и вторичного остеоартрита.
Западение и фрагментация кости являются находками при прогрессирующем остеонекрозе в мелких костях кистей и стоп. Однако данные МРТ в этой локализации отличаются от картины в субхондральной области. В этих мелких костях, характерная двойная линия, как правило, не визуализируется. Вместо этого, МР-признаки представлены отеком костного мозга (↓ сигнала в Т1 и ↑ вТ2), очаговым или диффузным. На поздних стадиях, низкий сигнал визуализируется и в Т1ВИ, и в Т2ВИ. Рентгенологические находки в этих костях могут быть представлены очаговым или диффузным склерозом, который может приводить к перелому, фрагментации и западению. Один из ключевых диагностических признаков вялотекущего остеонекроза в мелких костях это его локализация, например полулунная или ладьевидная кость. Другие предрасполагающие факторы, такие как соотношение нормальной локтевой кости и остеонекроза полулунной, подтверждают диагноз.
(Слева) Рентгенография в ПЗ проекции: типичный инфаркт кости, который проявляется как серпигинозный склероз в метадиафизарном отделе трубчатой кости.
(Справа) Рентгенография в ПЗ проекции, выполненная у пациента с остеонекрозом бедренных мыщелков. Латеральный очаг представляет собой типичный серпигинозный склероз. Медиальный очаг сильнее прогрессировал, имеет место неровный контур поверхности сустава. При достижении этой стадии, изменения необратимы: вероятно наличие остеоартрита, может потребоваться хирургическое вмешательство. (Слева) Рентгенография в ПЗ проекции: тазобедренный сустав с IV стадией остеонекроза. Отмечается субхондральный серповидный перелом, сопровождающийся западением суставной поверхности.
(Справа) Рентгенография болезненного лучезапястного сустава в ПЗ проекции: отрицательный локтелучевой индекс. Такое положение меняет биомеханику лучезапястного сустава, приводя к значительной нагрузке на полулунную кость. В этом случае определяется значительная остеохондропатия полулунной кости. Изменения включают очаговый склероз и коллапс, особенно вдоль проксимальной суставной поверхности. (Слева) Рентгенография в ПЗ проекции: плечо пациента с серповидноклеточной анемией. Очаговый склероз эпифиза проксимальной части плечевой кости с умеренным коллапсом суставной поверхности. Находки характерны для остеонекроза.
(Справа) Рентгенография позвоночника в боковой проекции, этот же пациент: характерные H-образные тела позвонков при остеонекрозе на фоне серповидноклеточной анемии. Центральное разрушение замыкательных пластинок является результатом остеонекроза субхондральной кости и часто ассоциировано с гемоглобинопатиями.
б) Патологическая анатомия. Микроскопические признаки остеонекроза практически не раскрывают причин его развития. Картина характерна для всех форм остеонекроза и включает пустые полости, сосудисто-волокнистую ткань, окружающую некротическую кость, и бесструктурный некроз в костномозговом пространстве.
Предложены несколько различных теорий для объяснения этого состояния, каждая из которых опирается на снижение кровотока в пораженном сегменте кости. Нарушение кровотока может происходить на различных уровнях от макроскопического до микроскопического.
Сосудистое повреждение это механизм, лежащий в основе посттравматической этиологии, такой как перелом ладьевидной кости запястья. Проксимальная часть лишена кровоснабжения, которое идет от дистальной части. Схожий механизм лежит в основе посттравматического остеонекроза головки бедренной кости. Головка бедренной кости и проксимальная часть ладьевидной кости на первом и втором местах по развитию посттравматического остеонекроза соответственно. Спазм сосудов также способствует посттравматическому остеонекрозу. В случаях вывиха головки бедренной кости происходит компрессия мелких сосудов. Если компрессия не разрешается срочным вправлением бедра, вазоспазм сохраняется, приводя к нарушению кровотока на микрососудистом уровне.
Серповидноклеточная анемия является типичным примером эмболического феномена, ограничивающего кровоток. Сгусток из серповидных клеток в микрососудистом русле, жировая эмболия из печени при остеонекрозе, ассоциированном с алкоголизмом, и гиперлипидемия, ассоциированная с использованием кортикостероидов, также как и лечение ВИЧ/СПИДа являются дополнительными примерами остеонекроза, ассоциированного с эмболией. Кессонная болезнь или дисбарический остеонекроз вызваны пузырьками газообразного азота, которые перекрывают кровоток.
Повышенное давление костного мозга уменьшает градиент давления в сосудах, приводя к снижению или прекращению кровотока и увеличению объема жира в костном мозге. Это формирует патогенетический путь при кортикостероид-ассоциированном остеонекрозе (эндогенном и экзогенном). Аналогично, при болезни Гоше с перегруженными липидами клетками повышается давление костного мозга. Болезнь Гоше также сопровождается вторичным вазоспазмом вследствие раздражения сосудов, в дальнейшем ограничивающим кровоток.
Васкулит нарушает кровоток вследствие уменьшения размера сосудов. Лечение этого состояния стероидами может в дальнейшем повысить риск развития остеонекроза.
В мелких костях кистей и стоп, особенно полулунной, ладьевидной кости предплюсны и головке второй плюсневой кости, предполагаемый механизмом является хроническая повторяющаяся травма
В то время как изменения в этих костях обычно классифицируются как остеонекроз, этиология скорее многофакторная. Хроническая травма может привести к микропереломам, которые ослабляют кость. Травма сама по себе, как и сопутствующие переломы, вероятно, ведут к отеку костного мозга, который затем обусловливает снижение кровотока.
в) Патологоанатомические аспекты лучевой диагностики. Сущность патологических изменений при остеонекрозе заключается в процессе излечения. Первоначально, мертвая костная ткань является такой же прочной, как и живая. Процесс излечения включает «отгораживание» мертвой костной ткани посредством формирования фиброза, и в итоге склероза, границы поверхности между жизнеспособной и мертвой костной тканью. В таком участке происходит прогрессивный рост грануляционной ткани. Остеобласты окружают мертвую кость, их задачей является создание новой, здоровой кости. Остеокласты ответственны за резорбцию омертвевшей костной ткани. Проблемы начинаются, когда организм начинает замещать мертвую ткань, что представляет часть процесса заживления, который ослабляет кость, приводя к субхондральным переломам и в итоге к уплощению поверхности сустава и фрагментации с последующим вторичным остеоартритом.
Цель визуализации и лечения-выявление остеонекроза до развития необратимых изменений. Для точного описания степени развития остеонекроза были разработаны рентгенологическая и МР-системы классификации. Латентный период способствует поиску правильного лечения, которое либо направляет процесс ишемии в обратную сторону и/или поддерживает кость в процессе излечения.
г) Протоколы визуализации:
1. Рентгенография. Подходы к визуализации будут различаться в зависимости от анатомической локализации. Лежащие в основе рентгенологические принципы визуализации в двух ортогональных плоскостях остаются незыблемыми. Многие признаки, включая уплощение суставной поверхности, могут быть выявлены только в одной проекции. Например, серповидный перелом головки бедренной кости часто лучше визуализируется в боковой проекции, а не в передне-задней.
2. МРТ при остеонекрозе. Визуализационные последовательности должны включать, как минимум, Т1 ВИ и последовательности чувствительные к жидкости. Т1 ВИ обеспечивает отличную визуализацию желтого костного мозга в очаге инфаркта. Т2-В томограммы оптимальны для визуализации патогномоничного признака двойной линии. Для подтверждения деваскуляризации может быть использовано контрастное усиление. Аваскулярные очаги костной ткани не окрашиваются после введения контраста. Тем не менее, применение этого принципа не является общепринятым. В целом, если нет усиления рисунка костной ткани, она аваскулярна; тем не менее, наличие усиления не исключает развития осложнений остеонекроза. Временные рамки развития изменений при визуализации неизвестны, предполагается, что этот период занимает около шести месяцев после повреждения.
Выявление изменений, особенно западения суставной поверхности, не одинаково в различных проекциях визуализации. В большинстве случаев, аксиальная проекция менее чувствительна к коллапсу суставной поверхности, так как этот вид исследования выполняется по короткой оси кости. Эти патологические изменения лучше отображаются в сагиттальной и фронтальной проекциях, ориентированных по длинной оси кости.
3. Радиоизотопные исследования. Отсроченные изображения могут идентифицировать аваскулярную костную ткань в раннюю фазу развития. Аваскулярная кость выглядит как «холодный» очаг из-за отсутствия захвата радиоизотопа. Такие изменения легче всего обнаружить в большой головке бедренной кости по сравнению с мелкими костями кистей и стоп. Метод не применим при инфаркте кости в метафизах или диафизах. В процессе излечения будет происходить захват в ишемизированной ткани, чувствительность метода снижается после прохождения ранних стадий.
4. Клиническая значимость. Наибольшое клиническое значение остеонекроза заключается в осложнениях, вызванных переломами суставной поверхности, фрагментацией и уплощением с вторичным остеоартритом. До 10% всех тотальных замещений тазобедренного сустава выполняются с целью лечения остеоартритов ассоциированных с остеонекрозом. Боль и функциональные ограничения при остеонекрозе полулунной или ладьевидной костей могут быть выражены в значительной степени.
Основной причиной развития остеонекроза и инфаркта кости является прием стероидов. Примерно у 2% всех пациентов, употребляющих стероиды, развивается остеонекроз, при этом риск развития тем выше, чем выше дозы, принимаемые в короткие сроки, в сравнении с постоянным приемом низких доз. Пациенты с почечным трансплантатом, которые получают стероиды находятся в группе высокого риска; у более, 40% из них разовьется остеонекроз и инфаркт кости. Другая группа высокого риска - пациенты с пересаженным костным мозгом, остеонекроз и инфаркт кости разовьются в этих случаях у 10% пациентов.
Ряд различных системных заболеваний связан с высоким риском развития остеонекроза и инфаркта костной ткани. Такие группы риска включают пациентов с волчанкой. Лежащий в основе васкулит и лечение стероидами повышают риск развития осложнений. В группе высокого риска пациенты с серповидноклеточной анемией, пациенты с серповидноклеточной талассемией в группе еще более высокого риска. Морфологические отклонения, такие как врожденная дисплазия тазобедренного сустава, у пациентов с эпифизеолизом головки бедренной кости повышают заболеваемость остеонекрозом.
(Слева) Фронтальная Т1ВИ МР-И: классический случай остеонекроза и инфарктов кости. Серпигинозные патологические изменения с неровным четким контуром и низким сигналом в метафизах и субхондральной зоне бедренной и большеберцовой костей. Сигнал костного мозга в Т1 относительно сохранен, что позволяет дифференцировать эту картину инфаркта от опухоли.
(Справа) Сагиттальное Т1 ВИ МР-И этого же коленного сустава: классический признак двойной линии, состоящий из периферической линии низкого сигнала с внутренним ярким кольцом. (Слева) На фронтальной STIR МР-И визуализируется серповидный перелом в очаге аваскулярного некроза. Выраженный отек костного мозга распространяется от головки к шейке и сопровождается суставным выпотом. Этот очаг отека костного мозга вызывает болевой синдром. Выпота в сустав нет.
(Справа) Фронтальная МР-И сустава в Т1ВИ FS: контрастное утолщение ткани в зоне субхондрального перелома. Такой перелом часто характеризует необратимость процесса и, как правило, за ним следует коллапс суставной поверхности. (Слева) Сагиттальная Т1ВИ МР-И: отек костного мозга полулунной кости, следует принять во внимание возможность развития остеонекроза.
(Справа) Фронтальная Т2 ВИ FS МР-И этого же пациента: отрицательный локтелучевой индекс, который провоцирует развитие остеонекроза полулунной кости. Также отмечается отек костного мозга полулунной кости без перелома, разрушение поверхности сустава. Коррекция отрицательного локтелучевого индекса на этом этапе может привести к обратному развитию изменений полулунной кости.
д) Дифференциальный диагноз:
1. Отек костного мозга является неспецифической находкой и может быть ранним проявлением остеонекроза. При поражении головки бедренной кости, мыщелков бедренной кости и головки плечевой кости возникает широкий дифференциально-диагностический ряд, который включает (особенно в нижних конечностях) также инфекцию или новообразование. Необходима связь с анамнезом пациента, включая возраст и пол. Лежащая в основе этиология, как правило, со временем обнаружит себя.
2. Патологические переломы также могут быть спутаны с остеонекрозом. Это заблуждение лучше всего демонстрирует анализ состояния, ранее известного какспонтанный остеонекроз коленного сустава. Предполагалось, что это состояние развивается в результате ишемии, оно имеет несколько признаков, которые не типичны для остеонекроза коленного сустава. Спонтанный остеонекроз коленного сустава чаще встречается у пожилых женщин с наличием факторов риска развития остеонекроза. Признаки, которые позволяют отличить патологический перелом от остеонекроза включают
(1) клинические данные: пациенты с патологическими переломами не имеют факторов риска и, как правило, это пожилые женщиы,
(2) отсутствие признака двойной линии в Т2ВИ и
(3) патологические переломы четко визуализируются при внимательном изучении МР-томограмм, они часто распространяются на суставную поверхность, в то время, как субхондральные серповидные линии переломрв при остеонекрозе расположены параллельно суставной поверхности. Признаки, одинаковые для двух состояний включают коллапс суставной поверхности, фрагментацию и вторичный остеоартрит.
е) Список использованной литературы:
1. Lee GC et al: How do radiologists evaluate osteonecrosis? Skeletal Radiol. 43(5):607-14, 2014
2. Murphey MD et al: From the radiologic pathology archives imaging of osteonecrosis: radiologic-pathologic correlation. Radiographics. 34(4): 1003-28, 2014
Остеонекроз коленного сустава - лучевая диагностика
а) Терминология:
• Остеонекроз, локализованный в костных структурах коленного сустава; визуализационная картина и факторы риска развития не идентичны таковым для других локализаций
б) Визуализация:
• Рентгенография: серпигинозные или неоднородные очаги склероза:
о Как правило, многоочаговый: может визуализироваться в мыщелках бедренной кости, верхней суставной поверхности большеберцовой кости, диафизах бедренной и большеберцовой костей, надколеннике (особенно, в верхушке)
о Вовлечение суставной поверхности может приводить к коллапсу, фрагментации
• МРТ:
о Начальным признаком может быть отек костного мозга: ↓ сигнала в Т1ВИ и ↑ в Т2ВИ
о Двойная линия в Т2 ВИ: кольцо низкого сигнала на периферии очага с ярким внутренним сигналом на реактивной поверхности
(Слева) Рентгенография в ПЗ проекции: деформация по типу конической колбы Эрленмейера у пациента с болезнью Гоше. Классический змеевидный и неоднородный склероз в дистальном отделе бедренной кости и проксимальном отделе большеберцовой кости, указывающий на выраженный остеонекроз, который привел к умеренному сглаживанию суставной поверхности медиального мыщелка бедренной кости.
(Справа) Фронтальная Т1 ВИ: выраженный осгеонекроз медиального мыщелка бедренной кости и проксимального отдела большеберцовой кости. Отек вокруг очага в мыщелке может указывать на угрожающий коллапс суставной поверхности. (Слева) Аксиальное PD-ВИ МР-И: многоочаговый остеонекроз. Очаги поражения присутствуют в обоих мыщелках бедренной кости и в надколеннике. Вовлечению надколенника практически всегда сопутствует наличие поражения колена другой локализации.
(Справа) Боковая Т2 ВИ FS МР-И остеонекроза: различные визуализационные признаки. Дистальный очаг бедренной кости имеет характерный признак двойной линии с низким сигналом по периферии и внутреннюю яркую линию. Очаг большеберцовой кости имеет только линию низкого сигнала, но жир внутри образования является четким диагностическим признаком.
в) Дифференциальная диагностика:
• Патологический перелом (ранее известный как спонтанный остеонекроз колена, СОНК):
о СОНК изначально считался первичным остеонекрозом; в настоящее время рассматривается, скорее как, патологический перелом, чем остеонекроз
о Мужчины большеберцовая кость; медиальная сторона > латеральная сторона о Более быстрое развитие симптомов, чем при остеонекрозе
• Регионарный мигрирующий остеопороз:
о Чаще развивается у мужчин среднего возраста
о Отек костного мозга; отсутствует субхондральное криволинейное изменение сигнала, коллапс суставной поверхности
о Развивается визуализируемая при рентгенографии остеопения
г) Клинические особенности:
• Постепенное развитие симптомов или диффузная боль
• Изолированный остеонекроз надколенника; редко; может быть идиопатическим:
о Посттравматический: поперечный перелом надколенника
о Последствие артропластики: сопутствует боковое разрушение
а) Терминология:
1. Синонимы:
• Ишемический некроз, остеонекроз, асептический некроз, аваскулярный некроз
2. Определение:
• Некроз клеточных элементов кости вследствие ишемии
б) Визуализация:
1. Общая характеристика:
• Лучший диагностический критерий:
о Рентгенография:
- Ранняя стадия: неоднородный склероз в головке бедренной кости
- Поздняя стадия: неровный контур, фрагментация, коллапс суставной поверхности головки бедренной кости
о МРТ: признак двойной линии
• Локализация:
о Ранняя стадия заболевания: передняя, принимающая основную нагрузку часть головки бедренной кости
• Размер:
о Размер инфаркта различный, варьирует от мелкого очага до полного вовлечения головки бедренной кости
• Морфология:
о Факторы, ассоциированные с разрушением суставной поверхности: размер очага инфаркта, боковая локализация в головке бедренной кости
2. Рекомендации по визуализации:
• Лучший метод визуализации:
о МРТ является наиболее чувствительным и специфичным методом диагностики
• Протокол исследования:
о Любой протокол МРТ при боли в области бедра должен включать как минимум одну последовательность, визуализирующую противоположное бедро:
- Помогает в определении асимптомного течения заболевания
- Т1 ВИ и/или STIR, фронтальный срез, оптимально
о МР-визуализация: используйте фронтальный и сагиттальный срезы для полной визуализации изменений; оптимальна небольшая зона сканирования каждого бедра
(Слева) Рентгенография в ПЗ проекции: наблюдается выраженный остеонекроз. Признаки включают неоднородный склероз и умеренный коллапс суставной поверхности. При боковой локализации очага риск развития коллапса выше, чем при его срединном положении.
(Справа) Рентгенография в ПЗ проекции: остеонекроз бедра с выраженным коллапсом суставной поверхности. При развитии коллапса хирургические возможности лечения ограничиваются либо геми-артропластикой, либо тотальным эндопротезированием тазобедренного сустава. Умеренное верхнее сужение суставного пространства говорит о развитии вторичного остеоартрита. (Слева) Рентгенография нижней конечности в положении отведения в боковой проекции: визуализируется обширный субхондральный перелом. Такая находка должна привлекать внимание к суставной поверхности, которая, в данном случае, умеренно запала.
(Справа) Рентгенография тазобедренного сустава в косой проекции, другой пациент: умеренный склероз и коллапс передне-верхнего опорного участка головки бедренной кости. Передне-верхняя локализация является наиболее частой при остеонекрозе и небольшие изменения лучше отображаются в боковой проекции с отведением ноги или в косой проекции. (Слева) Рентгенография в ПЗ проекции: картина остеонекроза с последующим субкапитальным переломом шейки бедренной кости и его фиксацией. Крупный очаг инфаркта привел к выраженному уплощению головки. Имеет место вторичный остеоартрит с сужением суставного пространства и остеофитами.
(Справа) Фронтальная STIRMP-И с остеонекрозом и инфарктами костив, вторичными на фоне химиотерапии. Остеонекроз и аваскулярный некроз относятся к субхондральным очагам, в то время как термин «инфаркт кости» описывает очаги, расположенные на расстоянии от суставной поверхности.
2. Рентгенография при остеонекрозе бедренной кости:
• Ранние признаки: неоднородный склероз головки бедренной кости вследствие костеобразования вдоль некротизированных трабекул
• Последующие находки:
о Серповидное субхондральное просветление, указывающее на перелом, может следовать западение суставной поверхности:
- Боковая рентгенография тазобедренного сустава согнутой в колене и отведенной наружу конечности (поза лягушки) или снимок тазобедренного сустава в косой проекции дают наилучшую визуализацию
- Ориентация параллельна суставной поверхности
о Коллапс суставной поверхности:
- Может быть умеренным, требует внимательного изучения, видимое разрушение кортикального слоя может не быть очевидным
- Легче производить оценку рентгенографических данных и данных МРТ одновременно
о Фрагментация суставной поверхности
о Вторичный остеоартрит: сужение суставной щели, субхондральный склероз вертлужной впадины, остеофиты
3. КТ при остеонекрозе бедренной кости:
• Остеопороз и звездчатая деформация трабекул головки бедренной кости в аксиальном срезе
• Наиболее чувствительный режим при субхондральном переломе:
о Сагиттальный и фронтальный срезы (уменьшить степень 3D реформации) помогают визуализировать западение суставной поверхности
• Таким образом, метод не так чувствителен (55%) и точен как МРТ
4. МРТ при остеонекрозе бедренной кости:
• МРТ 97% чувствительности, 98% специфичности при остеонекрозе
• Первоначальные находки при МРТ: неспецифический отек костного мозга:
о ↓ сигнала в Т1 ВИ, ↑ сигнала в последовательностях чувствительных к жидкости
о Отек может распространяться из головки бедренной кости на область ее шейки
• В течение первых нескольких месяцев после инфаркта, костная ткань в очаге выглядит нормальной; на МРТ кроме отека изменений нет, до начала заживления:
о Кость после инфаркта, стадии: нормальный костный мозг → кровоизлияния → отек → фиброз
- Т1 ВИ: яркий костный мозг → гипоинтенсивный → темный
- Т2 ВИ: гипоинтенсивный → яркий → темный
• Патогномоничная находка: признак двойной линии:
о Линия низкой интенсивности по периферии очага инфаркта с яркой внутренней линией, сформированной реакцией кости на инфаркт
• Способность МРТ определить мелкий коллапс суставной поверхности хуже, чем у рентгенографии; часто, бывает легче оценивать сагиттальное изображение, изменения менее различимы на аксиальных срезах:
о Серповидный перелом может не визуализироваться, не всегда за ним следует коллапс
• Сопутствующий отек, распространяющийся от очага инфаркта в область головки/шейки коррелирует с болевым синдромом, риском коллапса:
о Отек визуализируется у 48% пациентов с остеонекрозом
о 72% случаев отека происходит на III стадии заболевания по Штейнбергу (остеонекроз с субхондральным просветлением)
о Может предшествовать коллапсу головки и приводить к необходимости применения декомпрессии, как наиболее эффективного метода
• Выпот в суставе: ↓ сигнала в Т1 ВИ, ↑ сигнала в Т2ВИ (на любой стадии)
• Т1 С+: снижение усиления на ранней стадии остеонекроза; позднее, отсутствие усиления нежизнеспособных сегментов
5. Радионуклидные исследования:
• Остеосцинтиграфия:
о На ранней стадии: холодная головка бедренной кости
о Позднее ↑ накопления радиоизотопа вследствие реваскуляризации и восстановления
о Может быть более чувствительна, чем рентгенография (85% чувствительности ОФЭКТ), но значительно менее чувствительна, чем МРТ
(Слева) Фронтальная Т1ВИ МР-И, ранние изменения, указывающих на остеонекроз. Лентовидные очаги низкого сигнала в Т1ВИ в передней части головок обеих бедренных костей.
(Справа) Сагиттальная Т1ВИ МР-И: остеонекроз в большом сегменте передней части головки бедренной кости. Линия низкого сигнала отграничивает нормальную костную ткань от инфарктной. В очаге инфаркта кость сохраняет нормальный сигнал от жира. Отек присутствует в нормальном коаном мозге, прилегающем к очагу. Отечности костного мозга сопутствует боль и угрожающий коллапс. (Слева) Аксиальная Т2ВИ FS МР-И с признаком двойной лини: полоса низкого сигнала прилегает к нормальной кости, в зоне репарации определяется яркий сигнал. Этот признак необходим для подтверждения диагноза. Аксиальная проекция менее всего подходит для выявления коллапса суаавной поверхноаи, который, как правило, вовлекает верхнюю ее часть.
(Справа) Фронтальная Т2ВИ FS МР артрография: субхондральный серповидный перелом, вовлекающий 50% верхней суставной поверхности. Заболевание клинически не проявлялось и было соотнесено с употреблением алкоголя. (Слева) Фронтальная PD FSE FS МР-И: небольшой субхондральный перелом, неровность суставной поверхности и выступающий гиперинтенсивный отечный учааок коаного мозга в головке и шейке бедренной коаи. Такой учааок коаного мозга наиболее характерен для III стадии заболевания и ему часто сопутавует болевой синдром.
(Справа) Фронтальная STIR МР-И: яркие линии при признаке двойной линии, отек костного мозга значительный выпот в суставе. Аспирация суставного выпота может уменьшить боль.
в) Дифференциальная диагностика остеонекроза бедренной кости:
1. Отек участка костного мозга:
• Обширный дифференциально-диагностический ряд, включающий транзиторный остеопороз бедра, инфекцию, новообразование; может потребоваться время для точной постановки диагноза
2. Патологический перелом головки бедренной кости:
• Группа пациентов: женщины преклонного возраста с остеопорозом
• ± значительный коллапс суставной поверхности, фрагментация
• Признак двойной линии не развивается
• Как правило, отсутствуют факторы риска развития остеонекроза
г) Патология:
1. Общая характеристика:
• Этиология:
о Посттравматическая: нарушение кровоснабжения:
- Вывих бедра: если не будет вправлен вправление в течение 12 часов, в 50% случаев разовьется остеонекроз
- Субкапитальный перелом: в 30% случаев перелома бедра со смещением развивается остеонекроз
о Прием кортикостероидов: увеличение объема жировых клеток и ↑ давления костного мозга снижает кровоток:
- У пациентов, принимающих стероиды, в 2% случаев развивается остеонекроз
- Риск ↑ при кратком курсе приема (6 недель) и высоких дозах (> 20 мг); остеонекроз развивается у 5-25% пациентов
- ↑ риска у пациентов с почечным трансплантатом, принимающих стероиды, с остеодистрофией (у 40% развивается остеонекроз)
- У 10% пациентов-долгожителей с пересадкой костного мозга, которые получали высокие дозы стероидов, развивается остеонекроз
о Другие причины развития:
- Серповидноклеточная анемия: серповидноклеточный тромбоз микроциркуляторного русла приводит к снижению парциального давления кислорода
- Болезнь Гоше: уплотнение костного мозга -»t давления
- Системная красная волчанка (СКВ): васкулит + стероиды; в 5-40% случаев развивается остеонекроз
- Кессонная болезнь: эмболизация азотом вследствие дис-барического нарушения
- Облучение: остеонекроз в результате васкулита
- ВИЧ/СПИД: может развиться вследствие противовирусной терапии или гиперлипидемии
- Злоупотребление алкоголем
• Сопутствующие патологические состояния:
о Наибольшая частота остеонекроза наблюдается не вследствие инфаркта, а вследствие процесса излечения:
- Очаг костного инфаркта имеет такую же прочность, как и нормальная кость
- Излечение ослабляет кость в процессе рассасывания мертвой ткани
2. Стадирование и классификация остеонекроза бедренной кости:
• Классификация Штейнберга: основана на рентгенологических данных и локализации очага:
о Стадия 0: нормальные данные рентгенографии, МРТ и сцин-тиграфии бедренной кости при наличии факторов риска (часто вовлекается противоположное бедро или у пациента факторы риска и боль в бедре)
о Стадия I: нормальные данные рентгенографии, отклонения при сцинтиграфии/МРТ
о Стадия II: кистозные или склеротические изменения при рентгенографии
о Стадия III: субхондральное просветление или серповидный перелом
о Стадия IV: сглаживание головки бедренной кости
о Стадия V: сужение суставного пространства
о Стадия VI: прогрессирующее дегенеративное заболевание
(Слева) Фронтальная Т2 МР-И: диффузный кроветворный костный мозг, вторично на фоне серповидноклеточной анемии. Серповидноклеточная анемия является фактором риска развития остеонекроза. Бедро является наиболее характерной областью поражения. Для первой стадии остеонекроза характерен отек в головке левой бедренной кости.
(Справа) Фронтальная Т1ВИ МР-И, этот же пациент, спустя семь месяцев определяется прогрессирование с коллапсом суставной поверхности: диагноз на данный момент ясен, стадия IV. Правое бедро находится в «зоне риска» или в I стадии. Согласно статистическим данным, заболевание в правом бедре разовьется в течение последующих 3-4 лет. (Слева) Аксиальная STIRMP-И, этот же пациент с серповидноклеточной анемией спустя несколько месяцев: развился классический остеонекроз в головке правой бедренной кости.
(Справа) Фронтальная Т1ВИ C+FS МР-И у пациента с переломом шейки бедра. Методы лечения включают чрескожное соединение штифтами и гемиартропла-стику. Это исследование было выполнено для оценки кровотока в головке бедренной кости. Определяется полное отсутствие усиления в головке, указывающее на посттравматическую потерю кровоснабжения и необходимость замены. (Слева) Рентгенография в ПЗ проекции: бедро после декомпрессии. Характерный неоднородный склероз при остеоне-крозеВ Декомпрессия выполнена для снижения костномозговой гипертензии и улучшения кровотока. Она также обеспечивает быстрое улучшение симптоматики.
(Справа) Фронтальная PD FSE FS МР-И: маленький очаг остеонекроза. Визуализируется след от выполненной декомпрессии. Декомпрессия лучше всего подходит для I и II стадий. При развитии перелома/коллапса изменения не обратимы.
д) Клинические особенности:
1. Проявления:
• Типичные признаки/симптомы:
о Боль в бедре, паху или иррадиирующая в пах боль
о Снижение объема движений
о Этиология боли не вполне понятна:
- Наличие отека костного мозга достаточно достоверно коррелирует со степенью выраженности болевого синдрома
- Снижение давления декомпрессией сильно облегчает боль
- Перелом может усилить боль
• Другие признаки/симптомы:
о Выпот, особенно в сочетании с коллапсом усиливает боль
о Атравматический остеонекроз, как правило, двусторонний (в 30-70% случаев на момент постановки диагноза), но процесс прогрессирует асимметрично:
- Треть случаев асимптомного течения заболевания противоположного бедра перейдет в болевую форму с коллапсом; с кистозными изменениями
- Асимптомное течение заболевания противоположной стороны в 60% случаев
о Эпифизеолиз головки бедренной кости и врожденная дисплазия тазобедренного сустава - факторы риска остеонекроза
о В среднем до развитием симптомов в контрлатеральном бедре проходит четыре года
2. Демография:
• Возраст: 3-6-е десятилетия жизни
• Пол: М:Ж=4:1
• Эпидемиология:
о 15000 случаев остеонекроза бедренной кости в США в год
о Прием стероидов является причиной в 30-40% случаев атравматического остеонекроза
о Алкоголизм в 20-40% случаев
о 10% артроплазии бедра приводит к остеонекрозу
3. Течение и прогноз:
• Редко возможна реваскуляризация без прогрессирования
• В основном приводит к уплощению → коллапсу → вторичному остеоартрозу
4. Лечение:
• Лечение ранних стадий заболевания не всегда эффективно:
о Иногда боль уменьшается спонтанно на фоне консервативного лечения
о Декомпрессия, как правило, быстро облегчает боль, вероятно, вследствие ↓ отека костного мозга и внутрикостной гипертензии; возможно проведение с трансплантатом
- Может быть особенно полезна у пациентов с III стадией (нет значительного коллапса) с отеком костного мозга
- Может развиться коллапс в дальнейшем
о Не доказано, что декомпрессия костного мозга с трансплантатом из малоберцовой кости на сосудистой ножке является более эффективной, чем только декомпрессия
о Небольшое исследование говорит о пользе гипербарической оксигенации на I и II стадиях
• Лечение поздних стадий: требуется в 50% случаев у пациентов с установленным диагнозом на протяжении трех лет:
о Коллапс без остеоартрита: гемиартропластика
о Значительный остеоартрит: тотальная эндопротезирование тазобедренного сустава
е) Диагностическая памятка:
1. Следует учесть:
• Проверьте анамнез на наличие травм, прием стероидов, злоупотребление алкоголем, СКВ, серповидноклеточную анемию
• Наблюдайте за бессимптомным вовлечением противоположной стороны
2. Рекомендации по отчетности:
• Используйте схему циферблата для описания локализации
Диагностика остеонекроза на снимках МРТ и КТ коленных суставов
Какой метод диагностики некроза головки бедренной кости выбрать: МРТ, КТ, рентген, УЗИ
Методы выбора
Рентгенологические признаки остеонекроза сустава
- В начальных стадиях - уплощение мыщелков или эпифизов
- В поздней стадии - субхондральные рентгенопрозрачные участки с реактивным склерозом, обычно имеющие полулунную форму
- Субхондральная кост¬ная пластинка обычно сохранена.
Что покажут снимки МРТ коленного сустава при остеонекрозе
- В ранней стадии остеонекроза коленного сустава - признаки отека, с последующим разграничением на отдельные участки
- Участки некроза гипоинтенсивные во всех последовательностях
- Мелкие поражения (менее 4x14 мм) связаны с относительно более благоприятным прогнозом
- В поздней стадии остеонекроза сустава - уплощение мыщелков бедренной кости.


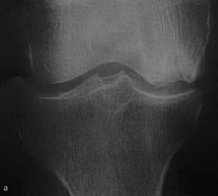
а-d Остеонекроз коленного сустава у женщины 65 лет. Внезапное возникновение болевого синдрома без травмы. Рентгенологическое исследование коленного сустава: (а) в прямой проекции, (b) в боковой проекции. Рентгенопрозрачные участки (стрелка) с окружающим склерозом, дегенеративными изменениями и уплощение суставных поверхностей.


(с), (d) МРТ. Фронтальное протонное плотно-взвешенное изображение с подавлением МР-сигнала от жировой ткани (с) и сагиттальное Т1 -взвешенное (d) изображение. Перифокальный отек и линейные субхондральные участки являются признаками стрессового перелома с дегенеративными изменениями в медиальном мениске.
Клинические проявления
- Острое возникновение симптомов, выраженный болевой синдром без травмы в анамнезе, особенно в ночное время и в покое
- Обычно одностороннее поражение
- Болевой синдром ограничивает объем движений.
Методы лечения
- Остеотомия с формированием вальгусной деформации и гипсовая декомпрессия
- При возникновении показаний - эндопротезирование.
Течение и прогноз
- Прогноз ухудшается с увеличением размеров пораженного участка
- Благоприятный прогноз для поражений размером менее 3,5 см2
- Неблагоприятный прогноз для поражений размером более 5 см2 или при поражении более 50% поверхности медиального мыщелка
- Осложнения остеонекроза коленного сустава: уплощение суставной поверхности, варусная деформация колена и вторичный гонартроз.
Что хотел бы знать лечащий врач
- Наличие уплощения суставных поверхностей
- Размеры некротического поражения
- Вторичные дегенеративные изменения.
Какие заболевания имеют симптомы, схожие с остеонекрозом коленного сустава
Рассекающий остеахондрит
- Обычно поражает медиальную часть мыщелка (межмыщелковое углубление)
Синдром транзиторного отека костного мозга
- Отсутствие ограничения процесса
- Возможна миграция поражений во время течения заболевания
Субхондральный стрессовый перелом
- Линейные гипоинтенсивные полосы (во всех последовательностях), параллельные субхондральной костной пластине
Советы и ошибки
Ложноотрицательный диагноз в ранней стадии заболевания; ошибочная интерпретация заболевания как рассекающего остеохондрита.
Некроз коленного сустава

Остеонекроз коленного сустава – это поражение костной ткани в результате нарушения кровоснабжения, приводящее к гибели костных клеток.
Рассказывает специалист ЦМРТ
Дата публикации: 09 Июля 2021 года
Дата проверки: 30 Ноября 2021 года
Содержание статьи
Причины остеонекроза
Первичный идиопатический асептический некроз коленного сустава, причины которого остаются невыясненными.
Вторичный остеоартроз, в развитии которого играют роль следующие факторы:
- травмы колена с нарушением целостности сосудов (ушибы, переломы, вывихи)
- занятия активными видами спорта, когда происходит повышенная травматизация костной ткани сустава (микротравмы, разрывы связок)
- длительный прием глюкокортикоидов
- ожирение на фоне гиперлипидемии
- хроническая алкогольная интоксикация
- лучевая, химиотерапия
- остеонекроз, обусловленный кессонной болезнью
- патология печени, печеночная недостаточность
- коагулопатии: тромбофилия, ДВС-синдром
- серповидно-клеточная анемия, СПИД, лейкемия
Симптомы
- Чувство дискомфорта в колене на начальных стадиях боль беспокоит пациента только после интенсивной физической активности. Возникновение ночных болей – признак прогрессирования заболевания.
- Движения в суставе затруднены и ограничены в объеме
- Появление хруста и щелчков – свидетельство вовлечения в воспалительный процесс хрящевой ткани
- Деформация сустава формируется только на поздних стадиях болезни
- Отечность колена за счет экссудации жидкости в околосуставной сумке
- Хромота
Стадии развития
По рентгенологическим признакам различают 5 стадий развития асептического некроза коленного сустава:
- 1 - изменения на рентгене отсутствуют. Патологию обнаруживают при МРТ или при выполнении сцинтиграфии. На этой стадии заболевание протекает бессимптомно.
- 2 – на рентгенограмме появляются признаки склероза, очаги разрежения костной ткани. В пораженной области исчезает структурность костной ткани, обнаруживаются множественные микропереломы.
- 3 – некротизированные участки кости рассасываются, замещаются грануляционной тканью. На рентгенограмме выявляется отдельные костные фрагменты.
- 4 – субхондральные кости уплотнены, фрагментированность костной ткани исчезает полностью.
- 5 – суставная щель практически отсутствует, в костях видны остеофиты и кистозные образования.
Как диагностировать
Для дифференциальной диагностики с другими патологиями опорно-двигательного аппарата делается общий и биохимический анализ крови.
Метод рентгенодиагностики на начальных стадиях некроза костей колена метод малоинформативен. Изменения на рентгенограммах: увеличение плотности костной ткани, микропереломы, сужение суставной щели появляются только на последних стадиях асептического некроза.
МРТ при асептическом некрозе коленного сустава выявляет дезорганизацию структуры, плотности костного вещества, минимальные очаги некроза еще при отсутствии клинической симптоматики.
Сцинтиграфия рекомендуется для дифференциальной диагностики некроза коленного сустава 3 степени с онкологией.
К какому врачу обратиться
Диагностикой и лечением заболеваний опорно-двигательного аппарата, в том числе и асептического некроза коленного сустава, занимается врач-ортопед.
Читайте также:
- Спонтанное внутричерепное кровоизлияние на КТ, МРТ
- Психоневрозы полового цикла. Спермо-недостаточный невроз
- Острые респираторные заболевания - ОРЗ. Тяжелый острый респираторный синдром
- КТ, МРТ при аплазии лабиринта
- Солитарная ппазмоцитома кости и экстраоссальная (плазмоклеточная) миелома - диагностика
