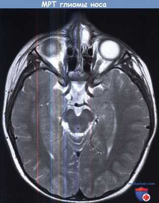
Глиома носа - лучевая диагностика
Добавил пользователь Владимир З. Обновлено: 06.01.2026
Введение в лучевую диагностику носа и придаточных пазух: лучевая анатомия, методы исследования
а) Нос и околоносовые пазухи: общая характеристика. Патологические изменения носа, полости носа (ПН) и околоносовых пазух (ОП) чаще всего выявляются врачами-клиницистами; ежегодно с этими заболеваниями, на которые приходится около 25 млн визитов к врачу, связаны затраты в 2 млрд долларов США. Методы визуализации необходимы при неэффективности первоочередной терапии у пациентов с воспалительными, инвазивными заболеваниями, при подозрении на новообразование или предоперационном планировании.
Вследствие сложности структуры костей, наличия промежуточных пространств, содержащих газ, КТ является наиболее распространенным методом для оценки носа и околоносовых пазух. КТ позволяет оценить распространенность заболевания, также полезна для планирования операции и контроля во время операции. МРТ может использоваться дополнительно для оценки инфекционных или воспалительных заболеваний на поздней стадии, а также для диагностики новообразований. Как и во всех областях головы и шеи для интерпретации лучевых исследований этой зоны крайне важны клинические данные.
ПН расположена центрально и окружена ОП. Важно представлять пути оттока из ОП, поскольку от локализации обструкции зависит картина заболевания. Тем не менее, это может быть сложно из-за большого количества анатомических вариантов. Чаще всего встречаются инфекционные/воспалительные заболевания. Доброкачественные и злокачественные новообразования относительно редки, они обычно проявляют себя на поздних стадиях и воздействуют на жизненно важные структуры (глазницы, основание черепа, черепно-мозговые нервы). Эти опухоли сложно удалить радикально; они связаны с большим числом осложнений после операции. Картирование опухоли до операции в таких случаях лучше всего проводить на основе данных мультипланарной МРТ.
б) Подходы к визуализации и показания. КТ-предпочтительный метод для оценки воспалительных заболеваний, выявления утолщения слизистой, снижения пневматизации, уровней жидкости и газа, и мягкотканных образований. КТ позволяет легко оценить изменения костей: ремоделирование, неровный контур, гиперостоз, эрозии; чувствительна к Са++ или костной ткани в патологических очагах: остеомах, хронических грибковых поражениях, фиброзно-костных очагах, хондросаркоме, инвертированной папилломе. Корональные томограммы лучше всего позволяют оценить анатомию остиомеатального комплекса (ОМК).
КТ с контрастным усилением обычно резервируется для осложненных случаев, при подозрении на абсцесс мягких тканей, новообразование, сосудистые осложнения (тромбоз кавернозного синуса).
МРТ показана для оценки комплексной воспалительной болезни и новообразований. Это оптимальный метод для оценки распространенности заболевания или инвазии за пределы полостей ОП, для оценки периневрального распространения опухоли и дифференциальной диагностики опухоли и постобструктивных скоплений секрета.
МР-протоколы чаще всего включают аксиальные и корональные Т1, STIR, Т1 С+, обычно с подавлением сигнала от жировой ткани.
На рисунке в сагиттальной плоскости показана анатомия костей латеральной стенки полости носа. Верхняя носовая раковина и часть средней и нижней раковин удалены. Верхний, средний и нижний носовые ходы дренируются книзу по соответствующим раковинам. Ипсилатеральная лобная пазуха, передние ячейки решетчатой пазухи, верхнечелюстная пазуха в конечном счете открываются в средний носовой ход. Носослезный проток открывается в нижний носовой ход. Устье сфеноидальной пазухи располагается вдоль переднего края пазухи и открывается в сфено-этмоидальный карман. На рисунке (в корональной плоскости, с увеличением) правой синоназальной области показаны важные структуры, окружающие остиомеатальный комплекс. Вертикально расположенный крючковидный отросток граничит снаружи с воронкой этмоидальной пазухи, сверху с полулунной расщелиной, изнутри со средним носовым ходом. Решетчатая булла, доминирующая передняя ячейка решетчатого лабиринта, расположена над крючковидным отростком. Средний носовой ход открывается ниже средней носовой раковины. На рисунке в сагиттальной плоскости показаны пути оттока от лобной пазухи. Лобная пазуха сужается книзу по направлению к устью. Секрет проходит через устье в лобный карман (ЛК). ЛК не является истинным протоком, поскольку его стенки сформированы окружающими структурами. На рисунке ЛК ограничен спереди бугорковыми ячейками носа и сзади решетчатой буллой. Пути оттока из ЛК могут варьировать в зависимости от локализации крючковидного отростка. На рисунке (в корональной плоскости) показаны важные анатомические структуры, окружающие клиновидные пазухи. Кавернозная часть внутренних сонных артерий располагается снаружи и сзади от синусов. В вершине глазницы можно рассмотреть зрительный нерв, проходящий в зрительном канале. Верхнечелюстная ветвь ЧH V в округлом отверстии и Видиев нерв располагаются снаружи и снизу от пазухи (соответственно). Многие черепно-мозговые нервы, в т.ч. ЧН III, IV и VI, а также глазничная ветвь ЧН V, проходят через верхнюю глазничную щель (смотрите вставку) в глазницу.
г) Лучевая анатомия. Синоназальная область, представленная ПН и окружающими ОП, связана с соседними анатомическими структурами: орбитами, полостью рта, крылонебной ямкой, передним и центральным отделами основания черепа.
Синоназальные полости являются пневматизированными пространствами верхней челюсти, лобной, клиновидной и решетчатой кости. Лобные пазухи граничат с передним краем передней черепной ямки. Решетчатая пластинка (РП) и решетчатая ямка формируют крышу ПН и пазухи решетчатой кости соответственно. Твердое небо отделяет ПН от полости рта. Через хоаны ПН сзади сообщается с носоглоткой. Орбита отделена от пазухи решетчатой кости тонкой глазничной пластинкой, и нижней стенкой-от верхнечелюстной пазухи. Сзади от верхнечелюстных пазух находятся крылонебные ямки, сообщающиеся сверху с вершинами орбит, снаружи с жевательным пространством, и сзади с центральным отделом основания черепа.
ПН расположена центрально и разделяется по средней линии носовой перегородкой. Задняя костная часть перегородки сформирована перпендикулярной пластинкой решетчатой кости сверху и сошником снизу. Передняя часть перегородки хрящевая. Костная верхняя, средняя и нижняя носовая раковина выбухает в ПН и разделяет ПН на нижний, средний и верхний носовой ход. Средняя носовая раковина вертикальными пластинками прикрепляется сверху к РП, сзади и снаружи при помощи базальной пластинки к глазничной пластинке.
Лобные пазухи разделены по средней линии межсинусной перегородкой. Снизу и изнутри лобные пазухи сужаются по направлению к устью, открывающемся в лобном кармане (ЛК). ЛК сформирован стенками соседних структур, лучше всего различимых на сагиттальных реформациях. Дренажную функцию Л К определяет положение крючковидного отростка. Чаще всего крючковидный отросток располагается снаружи на глазничной пластинке и обусловливает отток содержимого в средний носовой ход (СНХ). Реже крючковидный отросток находится в передних отдела основания черепа или среднем носовом ходе.
Парные группы из 13-18 воздухоносных ячеек формируют пазуху решетчатой кости. Передняя группа ячеек отделена от задней базальной пластинкой. Передние ячейки дренируются в передний карман полулунной расщелины и в средний носовой ход через решетчатую буллу. Задние ячейки дренируются в верхний носовой ход и сфеноэтмоидальный карман (СЭК).
Верхнечелюстные пазухи располагаются снаружи от ПН и под глазницами. Каждая пазуха дренируется через устье в воронку, затем через полулунную расщелину в СНХ.
Сфеноидальные пазухи являются асимметричными ячейками, содержащими газ, расположенными в теле клиновидной кости. Важные соседние структуры: верхнечелюстная ветвь ЧМН V в круглом отверстии снаружи, видиев нерв и артерия в видиевом канале снизу, глазные нервы и турецкое седло сверху, кавернозные синусы снаружи. Сфеноидальные пазухи дренируются через выводной проток в СЭК.
ОМК — крайне важная область пересечения дренажных путей придаточных пазух, где чаще всего возникают воспалительные заболевания (передние ячейки решетчатой кости, верхнечелюстные и лобные пазухи). К важным составляющим ОМК относятся воронка решетчатой кости, крючковидный отросток, полулунная расщелина, решетчатая булла и СНХ.
(Слева) При корональной КТ в коаном окне визуализируются парные лобные пазухи, разделенные межсинусной перегородкой. Различимы большинство передних ячеек решетчатого типа, бугорковые ячейки носа. Обратите внимание на слезный мешок, заполненный газом, слева.
(Справа) При корональной КТ в костном окне визуализируется внутренняя и наружная ламели решетчатой пластинки, формирующей крышу полости носа. Решетчатые ямки образуют верхнюю стенку решетчатой пазухи. Обратите внимание на открытые лобные карманы, идущие к средним носовым ходам. (Слева) При сагиттальной КТ (реконарукция) визуализируются пути оттока из лобной пазухи. Пазуха открывается книзу в лобный карман. Лобная ячейка расположена спереди от кармана, решетчатая булла сзади. Обратите внимание на среднюю и нижнюю носовую раковину.
(Справа) При аксиальной МРТ Т1 визуализируются парные верхнечелюстные пазухи снаружи от полости носа. Обратите внимание на нижние носовые раковины, срединную носовую перегородку, и заполненные газом носослезные протоки над нижними носовыми ходами. (Слева) При сагиттальной КТ (реконарукция) визуализируется носослезный проток, открывающийся в нижний носовой ход. Обратите внимание на крылонебную ямку за верхнечелюстной пазухой.
(Справа) При корональной КТ в костном окне на уровне остиомеатального комплекса визуализируются крючковидные отростки, решетчатые буллы и средние носовые раковины. Они пневматизированы, как и нижняя носовая раковина справа. Средний носовой ход лежит между крючковидным отростком и средней носовой раковиной. Устье левой верхнечелюстной пазухи заблокировано ретенционной кистой. (Слева) При сагиттальной КТ (реконструкция) визуализируются передние и задние ячейки решетчатого лабиринта и сфеноидальная пазуха. Визуализируется также наружное место прикрепления средней носовой раковины (базальная пластинка). Обратите внимание на полулунную расщелину. Небо находится снизу.
(Справа) При КТ в коаном окне визуализируется тонкая глазничная пластинка, отделяющая воздухоносные ячейки решетчатого лабиринта от глазниц. Сфеноидальные пазухи разделены межсинусной перегородкой. Внутренние сонные артерии близко прилежат к пазухам. (Слева) При сагиттальной КТ (реконарукция) визуализируется сфено-этмоидальный карман, отграниченный спереди самыми задними ячейками решетчатой кости и сфеноидальной пазухой сзади. В сфеноидальной пазухе визуализируется ретенционная киста.
(Справа) При корональной КТ в костном окне визуализируется клиновидно-небное отверстие, соединяющее полость носа с крылонебной ямкой (КНЯ). Нижняя глазничная щель распространяемся от КНЯ до вершины глазницы. Обратите внимание на площадку клиновидной кости над сфеноидальными пазухами. (Слева) При сагиттальной КТ (реконарукция) визуализируется устье сфеноидальной пазухи в ее передней стенке. Также визуализируется бугорковая ячейка носа и базальная пластинка.
(Справа) При корональной КТ в костном окне визуализируются важные структуры, окружающие сфеноидальные пазухи. Обратите внимание на видиевы каналы, проходящие параллельно дну сфеноидальных пазух, и круглое отверстие снаружи. Зрительные нервы лежат изнутри от передних клиновидных отростков, кавернозные синусы расположены снаружи. Пневматизация клиновидного отростка - анатомический вариант.
д) Подходы к визуализации носа и околоносовых пазух. Врожденные заболевания подразделяются на проявляющиеся обструкцией носа, и объемные образования. Стеноз грушевидного отверстия или атрезия хоан, например, вызывая обструкцию носа в отсутствие объемного образования. Лобно-носовое цефалоцеле, дермоидные кисты, экстраназальные глиомы проявляются как экстраназальные объемные образования. МРТ может быть очень полезна для оценки связей с внутричерепным пространством.
Риносинусит (PC) самая частая патология носа и околоносовых пазух. Острый PC обычно выявляется клинически и лучевые исследования могут не потребоваться. Зная анатомию путей оттока из ОП, возможный вариант воспалительного заболевания можно предположить, исходя из области обструкции. Например, обструкция СНХ может становиться причиной заболевания ипсилатеральной лобной пазухи, передних ячеек решетчатой кости и верхнечелюстной пазухи. Обструкция СЭК может приводить к заболеванию задних ипсилатеральных ячеек решетчатой кости и сфеноидальной пазухи. Существует несколько форм фунгальной болезни ОП, которая, впрочем, встречается нечасто.
У пациентов с иммунодефицитом может возникнуть мицетома и аллергический грибковый синусит, инвазивный грибковый синусит (ИГС) возникает у пациентов с иммунодефицитом или плохо контролируемым диабетом. Важно отметить, что ИГС может выглядеть опухолеподобным или проявляться как легкая инфильтрация жировой ткани возле ОП при лучевых исследованиях. Гра-нулематоз обычно поражает носовую перегородку и носовые ходы.
Хорошо отграниченные опухоли, вызывающие ремоделирование костей, вероятнее всего являются доброкачественными, в то время как инфильтративные образования с деструкцией костей более вероятно злокачественные. Место происхождения может быть также фактором, позволяющим предположить гистологию. Например, остеомы чаще всего возникают в лобных и решетчатых пазухах, ювенильные ангиофибромы (ЮАФ) в задних отделах ПН в клиновидно-небном отверстии, инвертированные папилломы часто возникают вдоль боковой стенки носа, эстезионейробластома (ЭНБ) обычно возникает возле РП.
Плоскоклеточный рак - наиболее распространенная злокачественная опухоль ОП, чаще возникающая в верхнечелюстной пазухе. Лучевые признаки аденокарцином неспецифичны, тем не менее, они чаще встречаются в решетчатой кости. К злокачественным новообразованиям с преимущественным поражением ПН относятся следующие три: ЭНБ, лимфома и меланома.

е) Клинические особенности. Важно отметить, что изменения на КТ могут плохо сочетаться с симптомами PC. Диагноз PC в конечном счете устанавливается по клиническим данным. Патологические изменения ПН могут оцениваться при эндоскопии, но поражения ОП сложно определить эндоскопически, для их оценки важны лучевые методы исследования.
Проявления заболевания ОП часто неспецифичны: обструкция носа, отделяемое, боль в лице и голове. Другие симптомы, например, кровотечение, могут указывать на сосудистые поражения (ЮАФ или ЭНБ). Боль может быть обусловлена мукоцеле или новообразованиями, в то время как парестезии могут быть связаны со злокачественными опухолями, такими как аденокистозный рак.
Глиома носа - лучевая диагностика
Причины, частота, диагностика и лечение глиомы носа
Глиома представляет собой мягкотканное образование, в большинстве случаев локализующееся в области переносицы (до 60%), но возможны локализации в других регионах области носа. Обычно они безболезненные, плотные, не просвечивают, при расположении близко к коже могут иметь розоватый оттенок.
При наружном расположении обычно диагностируются при рождении, внутриносовые глиомы часто определяются в более старшем возрасте. Клинически внутриносовые глиомы проявляются затруднением носового дыхания и шумным храпом. При образованиях большого размера возможен гипертелоризм и расхождение костей носа.
При осмотре полости носа часто обнаруживается мягкотканное образование, свисающее с верхних отделов перегородки или латеральной стенки полости носа. Обычно оно покрыто слизистой оболочкой, плотное, с гладкими краями.
а) Диагностика глиомы носа. При внутриносовом расположении требуется использование лучевых методов. Наиболее чувствительным и информативным исследованием является МРТ, с помощью которой можно определить интракраниальное распространение глиомы и дифференцировать с энцефалоцеле. Они характеризуются гиперинтенсивным сигналом в режиме Т2, интенсивность в режиме Т1 вариабельна.
В дополнение к МРТ возможно использование КТ, на которой глиомы изоденсивны. КТ позволяет оценить отношение глиомы к внутриносовым структурам и помогает в планировании хирургического лечения.

б) Лечение глиомы носа. Из-за возможности интракраниального распространения после постановки диагноза рекомендуется консультация детского нейрохирурга. Проведение биопсии не рекомендуется, т.к. при внутричерепном распространении опухоли возможно развитие инфекции и риноликвореи. Необходимо полное хирургическое удаление опухоли.
При наружном расположении хирургические доступы аналогичны таковым при носовых дермоидных кистах. При интраназальном расположении используется эндоназальный эндоскопический доступ, при необходимости дополнительно выполняется нейрохирургическая краниотомия. Полное удаление достигается за одну или две операции.
В последнее время эндоскопические методы получают все большее распространение, а внедрение в практику интраоперационных навигационных систем увеличивает частоту успешной резекции глиом (включая имеющие интракраниальный компонент) и последующей реконструкции дна передней черепной ямки.
в) Осложнения и прогноз глиомы носа. Удаление глиомы сопровождается риском развития риноликвореи, особенно в случаях, когда заблаговременно не была проведена оценка внутричерепного распространения. Использование эндоскопических методик связано с повышенным риском образования ликворных фистул, проводить их пластику стоит сразу после обнаружения.
При полном удалении глиомы прогноз благоприятный, независимо от метода удаления. Вероятность рецидива низкая (< 10%), даже при неполном удалении.

Редактор: Искандер Милевски. Дата обновления публикации: 18.3.2021
а) Терминология:
1. Аббревиатуры:
• Глиома носа (ГН):
о Экстраназальная глиома (ЭНГ), интраназальная глиома (ИНГ)
2. Синонимы:
• Церебральная носовая гетеротопия, глиальная гетеротопия
б) Визуализация:
1. Общая характеристика:
• Лучший диагностический критерий:
о Хорошо отграниченное мягкотканное образование в верхних отделах спинки носа (ЭНГ) или в полости носа (ИНГ):
- Не сообщается с мозгом
• Локализация:
о Чаще всего возникает в переносице или в полости носа/возле нее
о Обычно за средней линией; справа > слева
о ЭНГ: образование спинки носа:
- Наиболее часто надпереносья
- ЭНГ может также обнаруживаться во внутреннем углу глаза
- В носоглотке, полости рта, крылонебной ямке (очень редко)
о ИНГ: образование полости носа:
- Может быть связано со средней носовой раковиной, перегородкой носа, боковой стенкой носа
о Другая локализация:
- Решетчатая пазуха, небо, среднее ухо, миндалины, глотка
• Размер:
о Диаметром 1-3 см
• Морфология:
о Хорошо отграниченное округлое, овоидное или полиповидное образование
2. КТ при глиоме носа:
• КТ без КУ:
о ЭНГ: хорошо отграниченное образование мягкотканной плотности над переносицей:
- Изоденсное мозгу; выше точки слияния лобной и носовой кости (лобный родничок); возможно истончение костей носа
о ИНГ: объемное образование мягкотканной плотности в полости носа:
- Обычно высоко в своде полости носа; фиброзная ножка может распространяться к основанию черепа, но не интракраниально; дефект в решетчатой пластинке (10-30%)
о Кальцинаты (редко)
• КТ с КУ:
о Значимое накопление контраста обычно отсутствует
о При использовании интратекального контраста:
- Объемное образование не сообщается с субарахноидальным пространством
3. МРТ при глиоме носа:
• Т1ВИ:
о Объемное образование преимущественно смешанной или низкой сигнальной интенсивности
о Редко визуализируются извилины коры (серое вещество)
• Т2ВИ:
о Гиперинтенсивный сигнал, обусловленный глиозом
о Ликвор вокруг образования, сообщающийся с субарахноидальном пространством, отсутствует
• Т1ВИ С+:
о Диспластическая ткань обычно не накапливает контраст:
- Периферическое контрастирование интраназального образования может быть обусловлено слизистой оболочкой носа
4. Рекомендации по визуализации:
• Лучший метод визуализации:
о Мультипланарная МРТ:
- Может обнаруживаться ножка из фиброзной ткани (не паренхима мозга) между ИНГ и полостью черепа
- МРТ лучше, чем КТ, для дифференциальной диагностики ГН и цефалоцеле или дермоида
- Позволяет избежать облучения радиочувствительного хрусталика у молодых пациентов
• Выбор протокола:
о Тонкосрезовая сагиттальная МРТ (Т1 и Т2)
о Перед операцией: тонкосрезовая аксиальная КТ в костном окне с корональными реформациями для планирования операции:
- Только кости не накапливают контраст
в) Дифференциальная диагностика глиомы носа:
3. Солитарный синоназальный полип:
• Клинические данные: полип менее плотный, более очевидный, чем ИНГ:
о Нетипичен • Визуализация:
о Обычно снизу и снаружи средней носовой раковины (ИНГ изнутри)
о Равномерное ↑ сигнала (МРТ, Т2) с контрастным усилением слизистой оболочки на периферии
4. Дермоид и эпидермоид глазницы:
• Клинические данные: ограниченное образование с внутренней стороны глазницы возле носослезного шва
• Визуализация:
о Дермоид: жидкостная или жировая плотность/интенсивность сигнала
о Эпидермоид: жидкостная плотность/сигнал

(Слева) При аксиальной МРТ Т1 С+ определяется контрастное усиление в центре большой экстраназальной глиомы, слегка смещенной от средней линии. Накопление контраста в экстраназальной глиоме нетипично.
(Справа) При аксиальной МРТ Т1 С+ визуализируется хорошо отграниченная срединная экстраназальная глиома спинки носа с диффузным контрастным усилением. Настолько выраженное накопление контраста - редкий признак глиомы носа.
г) Патология:
1. Общая характеристика:
• Этиология:
о Дисплазия и гетеротопия нейроглиальной и фиброзной ткани, отделенной от головного мозга во время эмбрионального развития переднего черепа или передних отделов основания черепа
о Аналогичный спектр врожденных аномалий (как фронтоэтмоидальные цефалоцеле), но ГН не содержит ликвор и не связана с субарахноидальным пространством или желудочками:
- ЭНГ: лобный родничок (потенциальное пространство до слияния лобных и носовых костей) зарастает до регрессии дурального дивертикула:
Дисплазия паренхимы, отделенной носовыми костями/носолобным швом
- ИНГ: преназальное пространство (потенциальное пространство до слияния носовых костей с хрящевой капсулой носа) зарастает до регресса дурального дивертикула:
Дисплазия паренхимы и секвестрация в полости носа
• Сопутствующие изменения:
о Редко сочетается с другими аномалиями мозга (или системными аномалиями)
3. Микроскопия:
• Фиброз или гемистоцитарные астроциты и нейроглиальные волокна
• Фиброз, васкуляризованная соединительная ткань и разбросанные нейроны
• Глиальный фибриллярный кислый белок (GFAP) и белок S100(+)
• Нет признаков митозов или измененных ядер
д) Клинические особенности:
1. Проявления:
• Типичные признаки/симптомы:
о Экстраназальная глиома:
- Врожденное подкожное голубое или красное образование спинки носа (надпереносья)
- Обычно с непрогрессирующим отеком средних отделов лица
о Интраназальная глиома:
- Твердое полиповидное подслизистое образование полости носа
- Возможна обструкция носа и отклонение носовой перегородки
- Клинически ГН можно спутать с полипом носа
• Другие признаки/симптомы:
о Отсутствие изменений размеров при крике, пробе Вальсальвы, надавливании на яремную вену (в отличие от фронтоэтмоидального цефалоцеле)
о ЭНГ: возможна капиллярная телеангиэктазия над образованием
о ИНГ: нарушение дыхания; слезотечение; возможно выбухание через ноздри
• Клинический профиль:
о Плотное образование переносицы (ЭНГ) или в полости носа (ИНГ) у новорожденного
2. Демография:
• Возраст:
о Обнаруживается при рождении или в первые годы жизни
• Эпидемиология:
о Крайне редкая патология
о ЭНГ: 60%; ИМГ: 30%; другая локализация: 10%
3. Течение и прогноз:
• Медленно растет по сравнению с тканью мозга, если имеет ножку:
о Может деформировать кости носа, верхнюю челюсть, глазницу
• Может инфицироваться, приводя к менингиту
• Тотальная резекция позволяет добиться излечения о При неполной резекции уровень рецидива 10%
4. Лечение:
• Метод выбора: тотальная резекция:
о ЭНГ без связи с головным мозгом удаляется через наружный разрез с иссечением ножки
о ИНГ без интракраниального распространения может быть удалена эндоскопически:
- С меньшей постоперационной деформацией, чем после краниотомии
о Редкие смешанные глиомы (с экстра- и интраназальным компонентом): комбинированный экстра- и интраназальный подход
е) Диагностическая памятка:
1. Следует учесть:
• Наиболее важный момент: дифференциальная диагностика НГ и цефалоцеле
• Отсутствие связи с головным мозгом и/или ликворными пространствами
Рак полости носа и околоносовых пазух
Рак полости носа и околоносовых пазух – злокачественные опухоли, поражающие носовую полость, верхнечелюстные, лобные, решетчатую или клиновидную придаточные пазухи. Проявляется ощущением давления, затруднением носового дыхания, выделениями из носа и носовыми кровотечениями. В ряде случаев отмечаются онемение и ощущение мурашек на коже лица, экзофтальм, лицевые деформации и выпадение зубов. Диагноз рака околоносовых пазух и носовой полости устанавливается с учетом анамнеза, данных внешнего осмотра, риноскопии, рентгенографии, КТ, МРТ и результатов биопсии. Лечение оперативное в сочетании с предоперационной радиотерапией и химиотерапией.

Общие сведения
Рак полости носа и околоносовых пазух – новообразования эпителиального происхождения, локализующиеся в носовой полости и придаточных синусах. Составляют 1,5% от общего количества онкологических заболеваний. Обычно поражают людей старше 40 лет. Мужчины болеют чаще женщин. Рак околоносовых пазух в 75% случаев возникает в зоне верхнечелюстного синуса, в 10-15% - в носовой полости и основной (решетчатой) пазухе, в 1-2% - в зоне клиновидного и лобного синусов. Рак полости носа и придаточных синусов распространяется на близлежащие ткани, включая костные структуры, метастазирует в регионарные лимфоузлы, но очень редко дает отдаленные метастазы. Лечение осуществляют специалисты в сфере онкологии, отоларингологии и челюстно-лицевой хирургии.
Причины
Причина рака полости носа пока не выяснена, но установлены три группы факторов, способствующих развитию данной патологии: профессиональные вредности, хронические воспалительные процессы и вредные привычки. Риск развития рака околоносовых пазух и носовой полости повышается при постоянном контакте с вредными веществами, вдыхаемыми в процессе выполнения профессиональных обязанностей. Наибольшая вероятность возникновения онкологических поражений наблюдается у пациентов, занимающихся деревообработкой, обработкой кожи и производством никеля. Особенно значим контакт с химическими соединениями, используемыми при производстве мебели. По статистике, у краснодеревщиков рак полости носа и придаточных пазух становится причиной гибели в 6,6 раз чаще, чем в среднем по популяции.
Большую роль в развитии рака околоносовых пазух и полости носа играет курение. Некоторые специалисты в числе факторов риска указывают употребление алкоголя. Вероятность развития этой группы заболеваний увеличивается при хроническом рините, риносинусите, гайморите (воспалении надчелюстных пазух), фронтите (воспалении лобных пазух), сфеноидите (воспалении клиновидной пазухи) и этмоидите (воспалении решетчатого лабиринта). Имеет значение национальность пациентов – рак околоносовых пазух и носовой полости чаще выявляется у жителей Китая и Средней Азии.
Классификация
В связи с особенностями локализации выделяют пять видов данной патологии: рак полости носа и четыре типа рака околоносовых пазух: верхнечелюстной, фронтальной, основной и решетчатой. С учетом особенностей гистологического строения различают семь разновидностей опухоли: плоскоклеточный, переходноклеточный, мукоэпидермоидный, аденокистозный и недифференцированный рак, аденокарцинома и прочие виды рака.
При определении прогноза и тактики лечения используют сложную классификацию TNM, в которой отражены особенности каждой стадии рака околоносовых пазух (прорастание тканей, уровень поражения тех или иных близлежащих органов) с учетом локализации. В клинической практике нередко пользуются упрощенной классификацией:
- 1 стадия – рак полости носа и околоносовых пазух не распространяется на костные структуры, регионарные лимфоузлы не задействованы.
- 2 стадия – новообразование распространяется на костные стенки, но не выходит за пределы пазухи, лимфоузлы интактны.
- 3 стадия – рак околоносовых пазух и носовой полости разрушает кость и прорастает в соседние полости, есть метастазы в регионарных лимфоузлах.
- 4 стадия – опухоль прорастает скуловые кости, нижнюю челюсть и кожу лица. Регионарные лимфоузлы теряют подвижность, спаиваются с окружающими тканями с образованием инфильтратов или распадом.
Из-за редкого отдаленного метастазирования в этой классификации не отражен вариант рака околоносовых пазух с гематогенными метастазами.
Симптомы рака полости носа
Симптомы этой группы болезней отличаются большим разнообразием. Картина заболевания определяется локализацией, размером и видом новообразования. На начальных стадиях обычно наблюдается бессимптомное течение или скудные проявления, напоминающие хронический ринит либо синусит. Пациенты с раком околоносовых пазух предъявляют жалобы на боль в зоне придаточных пазух, головную боль, заложенность носа и носовые выделения. Некоторые больные отмечают снижение обоняния. Иногда первым признаком болезни становится увеличение регионарных лимфоузлов.
Остальные проявления обусловлены локализацией рака полости носа и околоносовых пазух и повреждением близлежащих анатомических структур. При опухолях внутренних отделов гайморовой пазухи наблюдаются боль в верхней челюсти, отдающая в ухо либо висок, сильная головная боль, выделения и кровотечения из соответствующей половины носа. При новообразованиях в задненаружном отделе верхнечелюстного синуса возможны затруднения при приеме пищи, вызванные прорастанием рака околоносовой пазухи в жевательные мышцы.
Опухоли передненижнего отдела гайморовой пазухи могут распространяться на верхнюю челюсть и твердое небо, вызывая интенсивную зубную боль, потерю зубов и образование язв на деснах. При прорастании таких новообразований в жевательные мышцы и височно-нижнечелюстной сустав выявляются затруднения при попытке открыть рот. При поражении мягких тканей лица отмечаются лицевые деформации. Отек век, слезотечение, сужение глаза или экзофтальм характерны для рака околоносовой пазухи, локализующегося в верхней части задневнутренней зоны верхнечелюстного синуса. Рак лобных пазух проявляется резко выраженными болями в области лба, отеком век, смещением глаза и деформацией лица.
Диагностика
Диагноз рака околоносовых пазух и полости носа основывается на жалобах, данных анамнеза, результатах осмотра и дополнительных исследований. При сборе анамнеза отоларинголог выясняет наличие вредных привычек, профессиональных вредностей и хронических воспалительных заболеваний. При внешнем осмотре врач обращает внимание на деформации лица, состояние век, наличие одностороннего экзофтальма, возможность свободных движений нижней челюстью и т. д.
Рак полости носа обнаруживаются при проведении риноскопии. Фарингоскопия позволяет выявлять вторичные изменения, обусловленные прорастанием рака околоносовых пазух в ротовую полость и полость носоглотки. Наряду с фарингоскопией осуществляют фиброскопию, в процессе которой специалист изучает поверхность носоглотки и берет с измененного участка образец ткани для гистологического исследования. При расположении опухоли в придаточном синусе врач выполняет пункцию с забором материала.
Всех пациентов с подозрением на рак полости носа и придаточных пазух направляют на обзорную рентгенографию соответствующей области. При возможности проводят рентгенографию с использованием контрастного вещества, КТ и МРТ. При подозрении на прорастание рака околоносовых пазух в полость черепа назначают рентгенографию черепа. В некоторых случаях осуществляют диагностическую гайморотомию. Для выявления гематогенных метастазов выполняют рентгенографию грудной клетки и УЗИ брюшной полости.
Лечение
Лечебная тактика при раке околоносовых пазух и носовой полости определяется индивидуально с учетом локализации, размера, гистологического типа и распространенности новообразования. Как правило, используют комбинированную терапию, включающую в себя хирургическое вмешательство, химиотерапию и радиотерапию. В предоперационном периоде пациентам с раком полости носа и околоносовых синусов назначают дистанционную телегамматерапию и химиотерапию. Операцию проводят через 3 недели после окончания химио- и радиотерапии.
Объем хирургического вмешательства зависит от вовлечения различных органов и анатомических структур. В ряде случаев при раке околоносовых пазух приходится выполнять экзентерацию глазницы, удаление верхней челюсти и другие травматичные операции. При прорастании новообразования в полость черепа к участию в оперативном лечении привлекают нейрохирурга. В послеоперационном периоде назначают антибиотики и сосудосуживающие средства, проводят радио- и химиотерапию. При серьезных косметических дефектах осуществляют пластические операции в отдаленном периоде. При распространенном и рецидивирующем раке полости носа и синусов лечение консервативное.
Прогноз
Прогноз при раке околоносовых пазух и носовой полости в первую очередь зависит от стадии заболевания. На 1-2 стадии средняя пятилетняя выживаемость после хирургического удаления новообразования составляет 75%. Применение комбинированной терапии позволяет повысить этот показатель до 83-84%. На 3-4 стадиях выживаемость резко снижается. При метастазах в регионарных лимфатических узлах до 5 лет с момента постановки диагноза удается дожить всего 37% пациентов, получавших комбинированную терапию. При использовании только лучевой терапии или только оперативного вмешательства пятилетняя выживаемость на этой стадии по различным данным колеблется от 18 до 35%. Трехлетняя выживаемость на 4 стадии составляет чуть более 30%.
Глиома головного мозга
Глиома головного мозга — наиболее распространенная опухоль головного мозга, берущая свое начало из различных клеток глии. Клинические проявления глиомы зависят от ее расположения и могут включать головную боль, тошноту, вестибулярную атаксию, расстройство зрения, парезы и параличи, дизартрию, нарушения чувствительности, судорожные приступы и пр. Глиома головного мозга диагностируется по результатам МРТ головного мозга и морфологического исследования опухолевых тканей. Вспомогательное значение имеет проведение Эхо-ЭГ, ЭЭГ, ангиографии сосудов головного мозга, ЭЭГ, офтальмоскопии, исследования цереброспинальной жидкости, ПЭТ и сцинтиграфии. Общепринятыми способами лечения в отношении глиомы головного мозга являются хирургическое удаление, лучевая терапия, стереотаксическая радиохирургия и химиотерапия.
МКБ-10

Глиома головного мозга встречается в 60% случаев опухолей головного мозга. Название «глиома» связано с тем, что опухоль развивается из глиальной ткани, окружающей нейроны головного мозга и обеспечивающей их нормальное функционирование. Глиома головного мозга представляет собой в основном первичную внутримозговую опухоль полушарий мозга. Она имеет вид розоватого, серовато-белого, реже темно-красного узла с нечеткими очертаниями. Глиома головного мозга может локализоваться в стенке желудочка мозга или в области хиазмы (глиома хиазмы). В более редких случаях глиома располагается в нервных стволах (например, глиома зрительного нерва). Прорастание глиомы головного мозга в мозговые оболочки или кости черепа наблюдается лишь в исключительных случаях.
Глиома головного мозга часто имеет округлую или веретенообразную форму, ее размер колеблется от 2-3 мм в диаметре до величины крупного яблока. В подавляющем большинстве случаев глиома головного мозга отличается медленным ростом и отсутствием метастазирования. Однако при этом она характеризуется настолько выраженным инфильтративным ростом, что границу опухоли и здоровых тканей не всегда удается найти даже при помощи микроскопа. Как правило, глиома головного мозга сопровождается дегенерацией окружающих ее нервных тканей, что зачастую приводит к несоответствию выраженности неврологического дефицита размерам опухоли.
В соответствии с классификацией ВОЗ выделяют 4 степени злокачественности глиом головного мозга.
- К I степени относится доброкачественная медленно растущая глиома (ювенильная астроцитома, плеоморфная ксантоастроцитома, гигантоклеточная астроцитома).
- Глиома II степени злокачественности считается «пограничной». Она отличаются медленным ростом и имеет только 1 признак злокачественности, в основном клеточную атипию. Однако такая глиома может трансформироваться в глиому III и IV степени злокачественности.
- При III степени злокачественности глиома головного мозга имеет 2 из трех признаков: фигуры митозов, ядерную атипию или микропролиферацию эндотелия.
- Глиома IV степени злокачественности отличается наличием области некроза (мультиформная глиобластома).
По месту расположения глиомы классифицируются на супратенториальные и субтенториальные, т. е. находящиеся выше и ниже намета мозжечка.
Симптомы глиомы головного мозга
Подобно другим объемным образованиям глиома головного мозга может иметь разнообразные клинические проявления, зависящие от ее расположения. Чаще всего у пациентов наблюдается общемозговая симптоматика: некупируемые обычными средствами головные боли, сопровождающиеся ощущением тяжести в глазных яблоках, тошнотой и рвотой, иногда судорожными приступами. Наибольшей выраженности эти проявления достигают, если глиома головного мозга прорастает в желудочки и ликворные пути. При этом она нарушает циркуляцию цереброспинальной жидкости и ее отток, приводя к развитию гидроцефалии с повышением внутричерепного давления.
Среди очаговых симптомов глиомы головного мозга могут наблюдаться нарушения зрения, вестибулярная атаксия (системное головокружение, шаткость при ходьбе), расстройство речи, понижение мышечной силы с развитием парезов и параличей, снижение глубоких и поверхностных видов чувствительности, психические отклонения (нарушения поведения, расстройство мышления и различных видов памяти).
Процесс диагностики начинается с опроса пациента по поводу его жалоб и последовательности их возникновения. Неврологический осмотр при глиоме головного мозга позволяет выявить существующие нарушения чувствительности и расстройства координации, оценить мышечную силу и тонус, проверить состояние рефлексов и т. п. Отдельное внимание уделяют анализу состояния мнестической и психической сферы пациента.
Провести оценку состояния нервно-мышечного аппарата неврологу помогают такие инструментальные методы исследования как электронейрография и электромиография. Для выявления гидроцефалии и смещения серединных мозговых структур может применяться эхоэнцефалография. Если глиома головного мозга сопровождается зрительными нарушениями, то показана консультация офтальмолога и комплексное офтальмологическое обследование, включающее визиометрию, периметрию, офтальмоскопию и исследование конвергенции. При наличии судорожного синдрома проводится ЭЭГ.
Наиболее приемлемым способом диагностики глиомы головного мозга на сегодняшний день является МРТ головного мозга. При невозможности ее проведения может применяться МСКТ или КТ головного мозга, контрастная ангиография мозговых сосудов, сцинтиграфия. ПЭТ головного мозга дает сведения о метаболических процессах, по которым можно судить о скорости роста и агрессивности опухоли. Кроме того, с диагностической целью возможно проведение люмбальной пункции. При глиоме головного мозга анализ полученной цереброспинальной жидкости выявляет наличие атипичных (опухолевых) клеток.
Вышеперечисленные неинвазивные методы исследования позволяют диагностировать опухоль, однако точный диагноз глиомы головного мозга с определением ее вида и степени злокачественности можно поставить только по результатам микроскопического исследования тканей опухолевого узла, полученных при проведении оперативного вмешательства или стереотаксической биопсии.
Лечение глиомы головного мозга
Полное удаление глиомы головного мозга представляет собой практически невыполнимую задачу для нейрохирурга и возможно только в случае ее доброкачественности (I степени злокачественности по классификации ВОЗ). Это связано со свойством глиомы головного мозга значительно инфильтрировать и прорастать окружающие ее ткани. Разработка и применение в ходе нейрохирургических операций новых технологий (микрохирургии, интраоперационного картирования головного мозга, МРТ-сканирования) немного улучшило ситуацию. Однако до сих пор хирургическое лечение глиомы в большинстве случаев по сути является операцией по резекции опухоли.
Противопоказаниями к осуществлению хирургического метода лечения является нестабильное состояние здоровья пациента, наличие других злокачественных новообразований, распространение глиомы головного мозга в оба полушария или ее неоперабельная локализация.
Глиома головного мозга относится к радио- и химиочувствительным опухолям. Поэтому химио- и радиотерапия активно применяются как в случае неоперабельности глиомы, так и в качестве пред- и постоперационной терапии. Предоперационная лучевая и химиотерапия может быть проведена только после подтверждения диагноза результатами биопсии. Наряду с традиционными методами радиотерапии возможно применение стереотаксической радиохирургии, позволяющей воздействовать на опухоль при минимальном облучении окружающих тканей. Следует отметить, что лучевая и химиотерапия не могут служить заменой хирургического лечения, поскольку в центральной части глиомы головного мозга зачастую располагается участок, плохо поддающийся воздействию облучения и химиопрепаратов.
Глиомы головного мозга имеют преимущественно неблагоприятный прогноз. Неполное удаление опухоли приводит к ее быстрому рецидивированию и лишь продлевает жизнь пациента. Если глиома головного мозга имеет высокую степень злокачественности, то в половине случаев больные погибают в течение 1 года и только четверть из них живет дольше 2 лет. Более благоприятный прогноз имеет глиома головного мозга I степени злокачественности. В случаях, когда удается произвести ее полное удаление с минимальным послеоперационным неврологическим дефицитом, более 80% прооперированных живут дольше 5 лет.
Читайте также:
