Методы обследования почечноклеточного рака почки
Добавил пользователь Валентин П. Обновлено: 03.11.2025
Рак почки – это злокачественная опухоль, развивающаяся из почек. Почки – это парные органы, размерами примерно с кулак, располагающиеся на задней брюшной стенке справа и слева от позвоночника. Над каждой из почек находятся надпочечники.
Основная функция почек – фильтрация крови: удаление воды, солей и вредных веществ, попадающих в организм. Каждая из почек важна, однако, как правило, даже одной почки достаточно для нормального функционирования организма, и множество людей живут полноценной жизнью с одной почкой.
Почечноклеточный рак
Почечноклеточный рак (ПКР) является самым распространенным типом опухоли почки. Около 9 из 10 опухолей почки это ПКР.
Как правило, ПКР представлен одной опухолью почки, однако в некоторых случаях встречаются одновременно поражения обеих почек, или 2 или более опухоли в одном органе.
Существует несколько типов почечноклеточного рака, однако в основном отличить их друг от друга можно лишь под микроскопом. Несмотря на это, знание типа опухоли необходимо для помощи врачу выбрать тактику Вашего лечения.
Среди злокачественных опухолей почек, помимо почечноклеточного рака, существуют еще переходноклеточный рак, опухоль Вильмса и саркома почки.
Переходноклеточный рак
Из каждых 100 раков почки, около 5-10 будут представлять собой переходноклеточный (уротелиальный) рак. Эти опухоли представляют собой опухоли не собственно почки, а собирательной системы — чашек и лоханки. Этот тип рака, так же как и рак мочевого пузыря, очень часто связан с курением и воздействием токсических веществ (например, на производстве). Уротелиальный рак может проявлять себя, подобно почечноклеточному: болью в спине и, иногда, примесью крови в моче.
Переходноклеточный рак обычно лечится хирургически, операция предполагает удаление всей почки и мочеточника вместе с частью стенки мочевого пузыря, куда впадает мочеточник. Химиотерапия бывает необходима до или после операции, в зависимости от степени распространения опухоли.
Около 9 из 10 уротелиальных раков удается обнаружить на ранней стадии. Шансы на излечение снижаются в случае, если опухоль прорастает стенку мочеточника и врастает в почку, либо она выглядит агрессивнее при микроскопическом исследовании.
После лечения уротелиального рака необходимо наблюдаться у врача-онколога и выполнять следующие процедуры:
- цистоскопия — осмотр мочевого пузыря через специальный инструмент
 - компьютерная томография
 - магнитно-резонансная томографмя
 
Данная опухоль может появиться в мочевом пузыре и даже в других органах.
Опухоль Вильмса
Данная опухоль почти всегда поражает детей, и крайне редко возникает у взрослых.
Саркома почки
Саркома почки — это редкий тип опухоли, возникающий из стенок кровеносных сосудов или соеденительной ткани почки. Он составляет менее 1%от всех злокачественных опухолей почек

Какие факторы риска являются значимыми для рака почки?
Фактор риска – это что-то, что повышает шанс развития онкозаболевания. Различные опухоли могут иметь разные факторы риска. Некоторые факторы риска, такие как курение, можно предотвратить. Другие же, такие как возраст или наследственность, не могут быть предотвращены.
В случае рака почки, точная причина возникновения опухоли до сих пор не известна. Однако есть несколько путей снизить риск возникновения болезни:
- Курение сигарет ассоциировано с большим количеством случаев рака почки, и отказ от курения может снизить риск.
 - Ожирение и высокое артериальное давление также являются факторами риска для рака почки. Контроль артериального давления и меры по снижению веса уменьшают шансы заболеть.
 - И, наконец, необходима смена места работы в случае, если приходится контактировать с опасными веществами, такими как кадмий и органические растворители.
 
Симптомы и признаки рака почки
Опухоль почки на ранних стадиях, как правило, не вызывает никаких симптомов, однако чем больше стадия, тем больше риск появления различных симптомов, таких как:
- Примесь крови в моче (гематурия)
 - Боль в пояснице с одной стороне
 - Общая слабость
 - Потеря аппетита
 - Потеря веса, не связанная с диетой
 - Повышение температуры на фоне отсутствия инфекционных заболеваний
 - Анемия (снижение гемоглобина)
 
Эти признаки и симптомы могут быть вызваны раком почки, однако наиболее часто они вызываются другими, доброкачественными заболеваниями. Например, одной из основных причин появления крови в моче является мочекаменная болезнь. Таким образом, если появился один или несколько из вышеперечисленных симптомов, лучше посетить врача.
Диагностика
При подозрении на злокачественное образование в почках назначают ряд уточняющих обследований. С их помощью врач получает информацию о размере, границах, месте расположения опухоли в почке и оценивает общее состояние здоровья пациента.

Комплекс исследований может включать в себя:
- Анализ мочи.
 - Общий анализ крови.
 - Биохимическое исследование крови.
 - Компьютерная томография
 - МРТ
 - Ультразвуковое исследование
 - Позитронно-эмиссионная томография (ПЭТ)
 
Некоторые другие исследования, такие как рентгенография или остеосцинтиграфия, будут полезны для определения распространения опухоли, т.е. метастазирования, в другие органы.
Стадирование рака почки
Лечение и прогноз заболевания определяются в зависимости от стадии опухоли почки. Наиболее широко для стадирования рака почки применяется система AJCC (Американского комитета по злокачественным заболеваниям), также известная как система TNM.
Стадия злокачественного образования зависит от его распространения: прорастания опухоли в близко расположенные ткани и органы, окружающие его лимфатические узлы, а также от наличия метастазов в отдаленных органах.
Стадирование основывается на результатах врачебного осмотра, биопсии и диагностических исследований.
Для злокачественной опухоли почки может быть 2 типа стадирования:
- Клиническая стадия, которая отражает клиническое представление врача о болезни
 - Патологическая стадия, которая основана на тех же принципах, что и клиническая, плюс учитываются данные операции и исследования удаленного органа. Патологическая стадия считается более точной, чем клиническая.
 
Стадия может измениться после операции, например, если будет обнаружено распространение рака шире, чем предполагалось.
Стадия и прогноз
Выживаемость – это часто используемый показатель для оценки прогноза у пациента.
5-летняя выживаемость показывает на процент пациентов, кто прожил более чем 5 лет после установления диагноза. Разумеется, много людей живут намного дольше, чем 5 лет, и многие излечены от заболевания. Также, причиной смерти некоторых людей может быть не онкологическое заболевание.
Выживаемость пациентов с раком почки в зависимости от стадии заболевания
| Стадия | 5-летняя выживаемость | 
| I | 81% | 
| II | 74% | 
| III | 53% | 
| IV | 8% | 
Эти цифры получены из национальной базы данных по злокачественным заболеваниям США, и могут отличаться для пациентов в РФ. Эти показатели включают в себя людей с установленным диагнозом рака почки, которые позже могли умереть от других причин, например, болезни сердца.
Лечение рака почки
Одним из самых важных факторов, имеющих значение для выбора плана лечения, является стадия заболевания. Также влияют такие факторы, как: общее состояние, возможные побочные эффекты от лечения, возможность полного исцеления, продления жизни или облегчения симптомов.
Варианты лечения рака почки могут включать в себя:
- Хирургию
 - Абляцию
 - Активное наблюдение
 - Лучевую терапию
 - Таргетную терапию
 - Иммунотерапию
 - Химиотерапию
 

Хирургическое лечение рака почки
Хирургия – это основное лечение рака почки. Шансы избавиться от заболевания без проведения операции очень малы. Даже пациенты с распространением рака на другие органы получают пользу от удаления опухоли почки. Удаление почки с опухолью может помочь некоторым пациентам продлить жизнь, а также убрать такие симптомы как боль и кровотечение.
В зависимости от стадии и расположения опухоли, хирургическим методом может быть удалена только опухоль с окружающей частью почки — так называемая резекция почки, либо целая почка с опухолью — нефрэктомия. Надпочечниковая железа и жировая ткань вокруг почки также может быть удалена вместе с почкой, если возникнет необходимость.
Нефрэктомия
Нефрэктомия – удаление почки, иногда вместе с надпочечником и окружающей жировой клетчаткой. Большинство людей с одной почкой живут обычной жизнью.
В условиях отделения онкоурологии и общей онкологии НИИ онкологии им. Н.Н. Петрова наиболее часто выполняется лапароскопический вариант данной операции. При этом вместо большого разреза используется несколько небольших разрезов 10-15 мм длиной, через которые устанавливаются специальные тонкие инструменты и лапароскоп с видеокамерой на конце. При помощи лапароскопии хирург видит происходящее на экране. После удаления почки для того, чтобы убрать ее из брюшной полости, производится разрез внизу живота, соответсвующий по размерам удаленному органу.
В случае, если опухоль распространяется в просвет почечной вены и/или в нижнюю полую вену, лапароскопический вариант операции возможен, однако он чаще, чем обычно, требует перехода на большой разрез при технических сложностях.
Резекция почки
В ходе данной процедуры, хирург удаляет только ту часть почки, которая содержит опухоль, оставляя оставшуюся ткань почки неповрежденной. В настоящий момент это предпочтительный метод лечения для пациентов с ранней стадией рака почки. Часто резекции вполне достаточно для удаления одиночных небольших опухолей до 4 см в диаметре.
Также этот метод может применяться у пациентов с бОльшими образованиями, до 7 см. Специалистами НИИ онкологии им. Н.Н. Петрова успешно выполнялись вмешательства на опухолях размерами 10 и более см, однако такие операции возможны только в отдельных случаях, с учетом анатомии опухоли.

Современные исследования показали, что отдаленные результаты у пациентов, перенесших резекцию почки, почти такие же, как у пациентов, у которых почка была удалена. Однако несомненным плюсом остается сохранение большей части почечной функции.
По сравнению с открытой операцией после лапароскопии менее выражен болевой синдром и уже в первые сутки после операции больные более активны.
После резекции почки, для определения функционального состояния пациента в НИИ онкологии проводится перфузия почки.

Регионарная лимфаденэктомия (лимфодиссекция)
Эта операция предполагает под собой удаление ближайших к почке лимфатических узлов в случае, если имеется подозрение на их поражение. В настоящий момент не существует единого мнения, необходимо ли во всех случаях рака почки удалять лимфатические узлы. В основном считается, что необходимость удаления лимфоузлов возникает, если они выглядят увеличенными по данным КТ или МРТ, либо в ходе операции.
Удаление надпочечника (адреналэктомия)
Адреналэктомия является стандартной частью нефрэктомии, однако если опухоль расположена в нижнем сегменте почки, относительно далеко от надпочечника, и визуализационные методы не показывают поражения надпочечника, он может быть сохранен. Так же, как и удаление лимфоузлов, удаление надпочечника рассматривается индивидуально в каждом случае.
Удаление метастазов (метастазэктомия)
У около 25% больных раком почки на момент диагностики имеется распространение (метастазы) заболевания на другие органы. Наиболее часто к ним относятся легкие, кости, печень и головной мозг. В некоторых случаях при такой ситуации может помочь оперативное лечение. Наиболее часто оно может применяться в случаях, если имеется единичный метастаз, который может быть хирургически удален, либо в случаях, когда удаление метастаза может облегчить симптомы болезни, такие как боль.

Риск и побочные явления после операции
Оперативное вмешательство всегда предполагает риск возможных осложнений. К ранним осложнениям относятся: реакция на анестезию (наркоз), кровотечение, которое может потребовать переливание крови, формирование гематом и возникновение инфекции. У большинства пациентов после операции возникает боль, которая может быть снята применением обезболивающих препаратов.
Другие риски включают в себя:
- Повреждение в ходе операции других органов и кровеносных сосудов, таких как : селезенка, печень, поджелудочная железа, аорта, нижняя полая вена, кишечник.
 - Пневмоторакс (появление воздуха в грудной полости)
 - Послеоперационная грыжа в месте проведения разреза
 - Истечение мочи в брюшную полость или в забрюшинную жировую ткань после выполнения резекции почки
 - Почечную недостаточность (нарушение функции оставшейся почки или части резецированной почки)
 


 Авторская публикация: 
Джалилов Имран Бейрутович 
врач хирург-онколог отделения онкоурологии 
НИИ онкологии им Н.Н. Петрова
Что вам необходимо сделать
Если вы хотите узнать побольше о бесплатных возможностях ФБГУ НМИЦ онкологии им. Н.Н. Петрова Минздрава России, получить очную или заочную консультацию по диагностике и лечению, записаться на приём, ознакомьтесь с информацией на официальном сайте.
Если вы хотите общаться с нами через социальные сети, обратите внимание на аккаунты в ВКонтакте и Одноклассники.
Почечно-клеточный рак
Почечно-клеточный рак – это злокачественная опухоль, происходящая из эпителия, выстилающего почечные канальцы. Клиника включает общие симптомы (недомогание, похудание, субфебрилитет), местные проявления (макрогематурию, боли, пальпируемое образование) и признаки метастазирования. Диагностика базируется на данных экскреторной рентгенографии, селективной почечной ангиографии, УЗИ, КТ и МРТ, биопсию почки. Лечение определяется стадией неоплазии, может применяться нефрэктомия, лучевая терапия, химиотерапия, иммунотерапия и т. д.

Общие сведения
Почечно-клеточный рак составляет 3% случаев от всех урологических новообразований. По распространенности рак почки стоит на третьем месте после рака простаты и мочевого пузыря, а по количеству летальных исходов занимает среди них первое место. В последние годы наметилась тенденция к умеренному росту заболевания. Мужчины страдают в 2-3 раза чаще, чем женщины. Раннее выявление и лечение рака почки является крайне актуальной проблемой современной урологии. На момент диагностики у 25-30% пациентов уже имеются отдаленные метастазы, еще у четверти определяется местно-распространенный процесс. Даже после радикальной нефрэктомии в ближайшие годы метастазы возникают в 40-50% наблюдений.
Причины
Несмотря на распространенность онкопатологии почек, о причинах почечно-клеточного рака можно говорить только предположительно. Одним из наиболее значимых этиологических факторов служит курение, вдвое повышающее вероятность развития патологии: с 30% у некурящих до 60% у курильщиков. Считается, что образование опухоли может быть связано с некоторыми профессиональными вредностями – контактом с нитрозосоединениями, асбестом, ядохимикатами, производными нефти, циклическими углеводородами, солями тяжелых металлов, ионизирующей радиацией. Прослеживается взаимосвязь между почечно-клеточным раком и злоупотреблением фенацетинсодержащими анальгетиками.
Многие исследования подтверждают роль ожирения и артериальной гипертензии в развитии рака почки. К факторам риска относят нефросклероз и приводящие к нему заболевания (нефролитиаз, сахарный диабет, хронический пиелонефрит, туберкулез, хроническая почечная недостаточность и др.). Принято считать, что неоплазия чаще развивается в аномально развитых почках – подковообразной, дистопированной, поликистозной и. д. Возникновение новообразования может быть генетически обусловленным транслокацией 3 и 11 хромосом.
Классификация
В гистологической классификации различают несколько разновидностей рака в зависимости от встречающихся клеточных типов: светлоклеточный, железистый (аденокарциному), зернисто-клеточный, саркомоподобный (полиморфно-клеточный и веретеноклеточный), смешанно-клеточный. Макроскопическими признаками неоплазии служат сферическая форма опухоли, расположение в корковом слое почке, отсутствие истинной капсулы, периферический рост, многочисленные кровоизлияния, некрозы, кальцификаты, фиброзные участки.
Клинически важное значение имеет стадирование почечно-клеточного рака в соответствии с TNM-классификацией, где буквой Т обозначают первичную опухоль (tumor), N - регионарные лимфоузлы (nodulus), М - отдаленные метастазы (methastases):
- Т1 - новообразование наибольшим размером до 7 см, ограниченное почкой и почечной капсулой
 - Т2 - новообразование свыше 7 см, ограниченное почкой и почечной капсулой
 - Т3 - новообразование любого размера, прорастающее в околопочечную клетчатку либо распространяющееся в почечную или нижнюю полую вену
 - Т4 – новообразование, прорастающее в околопочечную фасцию или соседние органы.
 
В I-II стадиях (T1-T2) поражение лимфоузлов и отдаленные метастазы отсутствуют (N0 М0). При III стадии раковые клетки выявляются в близлежащем лимфоузле. IV стадия почечно-клеточного рака может характеризоваться любым значением Т при наличии пораженных лимфоузлов либо отдаленных метастазов (N1 или М1). TNM-классификация позволяет определиться с лечебной тактикой и прогнозом.
Инвазивное новообразование может сдавливать или прорастать в желудок, поджелудочную железу, печень, кишечник, селезенку. Почечно-клеточный рак может метастазировать по гематогенному механизму (в другую почку, надпочечники, печень, легкие, кости, череп, головной мозг) и лимфогенному пути (в аортокавальные, парааортальные, паракавальные лимфоузлы, средостение). Характерно распространение в виде опухолевого тромба по венозным магистралям вплоть до правого предсердия.
Симптомы почечно-клеточного рака
Клинические признаки характеризуются классической триадой: гематурией, болью и пальпируемым новообразованием. Гематурия может быть микро- и макроскопической. Чаще на фоне удовлетворительного в целом состояния развивается внезапная тотальная, безболезненная гематурия, которая, как правило, отмечается однократно или продолжается несколько суток, а затем неожиданно прекращается. Если гематурия сопровождается отхождением бесформенных или червеобразных кровяных сгустков, может возникнуть обтурация мочеточника с развитием болевого приступа, напоминающего почечную колику. Повторные эпизоды гематурии могут наблюдаться через несколько суток или месяцев.
Характер болевых ощущений при почечно-клеточном раке зависит от происходящих изменений. Острые приступообразные боли возникают вследствие окклюзии мочеточника сгустком крови, кровоизлияния в ткань опухоли или инфаркта почки. Постоянные ноющие тупые боли могут вызываться сдавлением лоханки опухолью, прорастанием почечной капсулы, паранефрия и фасции Героты, прилежащих мышц и органов, вторичным нефроптозом. Боль может иррадиировать в половые органы и бедро, имитируя невралгию седалищного нерва.
Пальпируемая опухоль может определяться со стороны живота или поясницы в виде плотного или эластичного бугристого либо гладкого образования. Данный признак выявляется на поздних стадиях рака почки. Довольно рано появляются экстраренальные симптомы – артериальная гипертензия, лихорадка, интоксикация, похудение, анорексия, миалгия, артралгия, диспепсия и др. Из местных симптомов у мужчин часто встречается варикоцеле, вызванное сдавлением или тромбозом НПВ, яичковой или почечной вены.
Рак почки диагностируется по результатам жалоб, объективного осмотра, лабораторного, эндоскопического, ультразвукового, рентгеновского, томографического, радиоизотопного обследования, морфологического исследования биоптата тканей опухоли и метастатических лимфоузлов. В крови отмечается эритроцитоз, анемия, ускорение СОЭ, гиперурикемия, гиперкальциемия, синдром Штауффера. Цистоскопия, проведенная в момент гематурии, позволяет выяснить источник кровотечения и сторону локализации опухоли.
УЗИ почек является первым инструментальным обследованием при подозрении на почечно-клеточный рак. Характерными эхографическими признаками служат увеличение размеров почки, неровность контуров, изменение эхоструктуры, деформация почечных синусов и чашечно-лоханочных комплексов. УЗДГ сосудов почек позволяет определить характер васкуляризации опухоли и вовлеченность сосудов.
Экскреторная урография позволяет судить лишь о косвенных признаках рака почки, однако дает ценную информацию о сопутствующих изменениях (аномалиях, камнях почки, гидронефрозе, состоянии противоположной почки). Почечная ангиография проводится с целью визуализации опухолевых тромбов. МРТ и КТ почек используются как альтернатива экскреторной урографии и почечной ангиографии. С помощью томографии удается получить точное представление о стадии неоплазии и определиться с лечебной тактикой. Радиоизотопная нефросцинтиграфия и позитронно-эмиссионная томография помогают оценить функционирование здоровой и пораженной почки.
Дифференциальная диагностика проводится с нефроптозом, гидронефрозом, поликистозом почек, пионефрозом, абсцессом и т. д. Решающее значение в сомнительных ситуациях принадлежит биопсии почки и морфологическому исследованию биоптата. Выявление метастазов в отдаленных органах возможно с помощью рентгенографии грудной клетки, костей, УЗИ брюшной полости.
Лечение почечно-клеточного рака
Единственным радикальным методом лечения патологии является нефрэктомия. Простая нефрэктомия включает удаление почки и паранефральной клетчатки; радикальная нефрэктомия подразумевает дополнительное удаление надпочечника и фасций, паракавальную и парааортальную лимфаденэктомию; расширенная нефрэктомия – резекцию других пораженных органов. Нефрэктомия при почечно-клеточном раке выполняется трансперитонеальным, торако-абдоминальным или лапароскопическим доступом.
При метастазировании новообразования в кости скелета может проводиться ампутация, экзартикуляция конечности, резекция ребер и т. д. Доступные иссечению метастазы в печени, легких, лимфоузлах также подлежат хирургическому удалению. В дополнение к радикальной нефрэктомии, а также при неоперабельном почечно-клеточном раке и его рецидивах целесообразно проведение лучевой терапии, гормонотерапии, химиотерапии, иммунохимиотерапии, общей гипертермии.
Прогноз и профилактика
Важным критерием отдаленного прогноза служит распространенность почечно-клеточного рака. Современные данные свидетельствуют, что при радикальном удалении рака почки I стадии 5-летняя выживаемость близка к 70-80%, II стадии – к 50-70%, III стадии — к 50%, IV стадии — менее 10%. Диспансерное наблюдение и контрольное обследование пациентов проводится врачом-нефрологом. Профилактика предусматривает исключение факторов риска, повышающих вероятность образования неоплазии.
Методы обследования почечноклеточного рака почки
а) Терминология: 
1. Аббревиатура: 
• Почечноклеточный рак (ПКР) 
2. Синонимы: 
• Почечноклеточная аденокарцинома, гипернефрома 
3. Определение: 
• Злокачественная опухоль из эпителия проксимальных почечных канальцев
б) Визуализация:
1. Общая характеристика: 
• Важнейшие диагностические критерии: 
о Гиперваскулярная солидная опухоль почки 
о Большое количество жировой ткани практически исключает ПКР 
о Инфильтрирование вен 
• Локализация: 
о Корковое вещество почки 
о Опухоли обычно одиночные, однако возможно множественное (6-25%) или двустороннее (около 4%) поражение 
• Морфология: 
о Обычно солидная опухоль; встречается кистозный вариант (<5%) 
• Подтипы: 
о Светлоклеточная аденокарцинома (60-70%) 
о Папиллярный (5-15%) 
о Хромофобный (5%) 
о Из собирательных трубочек (
2. УЗИ при почечноклеточном раке: 
• Серошкальное ультразвуковое исследование: 
о Внешний вид варьирует: солидный, кистозный или смешанный 
о Гиперэхогенный (48%), изоэхогенный (42%) или гипоэхогенный (10%) 
о Небольшие опухоли обычно гиперэхогенные; имитируют ангиомиолипому (АМЛ) 
о Крупные опухоли, как правило, гипоэхогенные, экзофитный рост с анэхогенными очагами некроза о Гипоэхогенный ободок, напоминающий «псевдокапсулу» о Кистозный вариант: однокамерный или многокамерный, уровень жидкость-взвесь (кровоизлияние и некроз), утолщенные неровные стенки или перегородки, узелки 
• Цветовая допплерография: 
о Богатая васкуляризация опухоли; наиболее выражена по периферии опухоли, - УЗИ с контрастным усилением позволяет легче выявить неоваскуляризацию

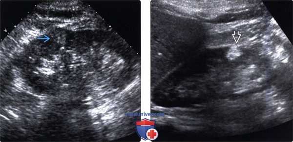
 (Левый) На продольном ультразвуковом срезе визуализируется экзофитный гетерогенный светлоклеточный рак почки с задним акустическим усилением от кистозного/некротического содержимого. 
(Правый) На УЗ срезе с цветовой допплерографией у этого же пациента с экзофитным гетерогенным раком почки визуализируется выраженный внутренний и периферический цветовой поток. 
3. КТ при почечноклеточном раке: 
• Обзорная КТ: 
о Солидная опухоль или сложная киста, гипер-, изо- или гиподенсивное по сравнению с паренхимой почки 
о Гетерогенное образование (кровоизлияние и некроз) 
о Кальцификаты имеют высокую положительную прогностическую значимость в диагностике злокачественных новообразований, как в аморфных, так и в твердых структурах 
о Внутриопухолевая жировая клетчатка встречается крайне редко и сопровождается костной метаплазией 
• КТ с контрастированием: 
о Степень контрастного усиления играет ключевое значение в дифференцировании различных подтипов ПКР 
о Светлоклеточный ПКР: гиперваскулярный, гетерогенный, смешанный тип контрастирования: контрастирование мягких тканей сочетается с очагами некроза 
- Контрастирование выше, чем при других подтипах 
о Папиллярный ПКР: гиповаскулярный, обычно однородный; может быть частично кистозным 
о Варианты кистозного ПКР: 
- Одно- или многокамерное кистозное образование с утолщенной стенкой и узелковыми образованиями, контрастирование ровных или узловатых перегородок 
о Встречается диффузный инфильтративный ПКР или с инфильтрированием чашечно-лоханочной системы 
о Рентгенонегативный контур (псевдокапсула) 
о Прямое инфильтрирование почечной вены (ПВ) (20-35%), нижней полой вены (НПВ) (4-10%), прилежащих мышц и внутренних органов
4. МРТ при почечноклеточном раке: 
• Изоинтенсивный сигнал (60%) на Т1-ВИ и Т2-ВИ или высокоинтенсивный (40%) на Т2-ВИ 
• Низкоинтенсивный пучок/контур на Т1-ВИ (25%) и Т2-ВИ (60%) 
• Т1-ВИ с контрастированием: обычно менее интенсивное контрастирование, чем почечной ткани
5. Биопсия под рентген-контролем: 
• Повышение роли при определении тактики ведения (лечение или динамическое наблюдение) на основе подтипа 
• Выполняется при выявлении распространенных метастазов или при наличии другого злокачественного новообразования 
• Используется для подтверждения диагноза перед абляционной терапией, так как до 30% малых солидных опухолей почек являются доброкачественными
6. Рекомендации по визуализации: 
• Важнейшие методы визуализации: 
о Первоначально ПКР можно обнаружить при УЗИ, однако основными методами установки точного диагноза и стадии служат КТ с контрастированием и МРТ 
о У отдельных пациентов УЗИ может применяться для скрининга и динамического наблюдения в зависимости от телосложения 
о МРТ/УЗИ более предпочтительные, чем КТ, методы долгосрочного наблюдения в связи с отсутствием лучевой нагрузки 
• Рекомендации по исследованию: 
о Ультразвуковое исследование может использоваться для определения типа сложных кист при отсутствии их визуализации или сомнительной картине при КТ с контрастированием или МРТ: 
- Используйте допплерографию (цветовую/энергетическую/импульсно-волновую) для визуализации внутренней васкуляризации 
- УЗИ с контрастным усилением обладает 96% чувствительностью при классификации сложных кистозных образований почки

 (Левый) На продольном УЗ срезе с цветовой допплерографией у пациента со светлоклеточным ПКР визуализируется выраженная внутренняя и периферическая васкуляризация в солидной опухоли. 
(Правый) На фронтальном КТ срезе с контрастированием у этого же пациента визуализируется многокамерный, накапливающий контраст ПКР с четкими контурами. Обратите внимание на гиподенсивный ободок. 
в) Дифференциальная диагностика:
1. Ангиомиолипома почки: 
• Однородное, гиперэхогенное, не содержащее кальнинатов новообразование с четкими контурами в корковом веществе почки, в некоторых случаях, сопровождающееся задним акустическим затенением 
• Характерное значительное содержание жировой ткани подтверждается при КТ или МРТ 
• Как при АМЛ с минимальным содержанием жира, так и при ПКР возможно выявление лишь небольшого количества жировой ткани при ядерном магнитном резонансе; АМЛ с минимальным содержанием жира обычно имеет низкоинтенсивный сигнал на Т2-ВИ
2. Переходноклеточный рак (ПерКР): 
• Инфильтративная опухоль почечной паренхимы, бывает неотличима от инфильтративного ПКР 
• Дефект наполнения почечной лоханки, неравномерное сужение чашечно-лоханочной системы, гиповаскулярное образование
3. Онкоцитома почки: 
• Отсутствуют четкие критерии визуализации, позволяющие отличить ее от ПКР
4. Метастазы в почке и лимфома почки: 
• Метастазы: обычно гиповаскулярные; инфильтрирующие или множественные 
• Лимфома: обычно множественная или двусторонняя; гиповаскулярная солидная опухоль, обычно в сочетании с лимфаденопатией
5. Бертиниева колонна: 
• Изоэхогенная; локализуется в средней трети почки
6. Мультилокулярная кистозная нефрома: 
• Морфологически неотличима от кистозной формы ПКР, но имеет другие демографические особенности
7. Сложная киста почки: 
• Киста с перегородками ± кальцификатами ± геморрагическим или гиперденсивным содержимым ± утолщенными стенками
8. Абсцесс почки: 
• Увеличение почки со сложным кистозным образованием 
• Отличается другим клиническим течением и показателями анализа мочи

 (Левый) На продольном УЗ срезе визуализируется мелкий, гиперэхогенный, светлоклеточный ПКР с частично экзофитным ростом, который можно ошибочно принять за ангиомиолипому. Дифференцировать можно по наличию большого количества жировой ткани при КТ или МРТ. 
(Правый) На продольном ультразвуковом срезе у пациента с ангиомиолипомой визуализируется мелкое гиперэхогенное образование в корковом веществе. Эхогенность выше, чем в вышеописанном ПКР. Цветовой ток отсутствует. Подтвердить диагноз можно при КТ или МРТ. 
г) Патология:
1. Общая характеристика: 
• Этиология: 
о Факторы риска: чаще всего спорадические случаи, но могут быть наследственными (4%): 
- Генетические факторы: болезнь Гиппеля-Линдау (БГЛ), наследственный папиллярный ПКР, синдром Берта-Хога-Дьюба, туберозный склероз, серповидноклеточная анемия 
- Пожилой возраст 
- Продолжительный гемодиализ/приобретенная поликистозная болезнь почек, наличие почечного трансплантата 
- Экологические/химические: курение, ожирение, диэтилстилбэстрол, свинец, кадмий, применение диуретиков, ВИЧ-инфекция
2. Стадирование, степени и классификация почечноклеточного рака: 
• TNM-классификация ПКР (Американский объединенный онкологический комитет, 2002 г.) 
• Ядерная градация по Фурману: наиболее распространенная система классификации ПКР основанная на внешнем виде ядер (от нормального до причудливого) и наличии ядрышек
3. Макроскопические и хирургические особенности: 
• От истинной солидной опухоли до сложного многокамерного кистозного образования с неровными контурами 
• Гетерогенный вид с геморрагиями и участками некроза
4. Микроскопия: 
• Светлоклеточный ПКР: клетки с прозрачной цитоплазмой вследствие высокого содержания гликогена и липидов 
• Папиллярный ПКР: мелкие клетки со скудной цитоплазмой, расположенные в почечных сосочках
д) Клинические особенности:
1. Проявления: 
• Основные симптомы: 
о Макрогематурия (60%), боли в боку (40%), пальпируемое образование в боку (30-40%); классическая триада (<10%) 
о Лихорадка, анорексия, потеря веса, недомогание, тошнота, рвота 
о В настоящее время большинство опухолей выявляются случайно и имеют меньшие размеры 
• Другие симптомы: 
о Образование варикоцеле (опухолевый тромб в левой почечной вене или НПВ) 
о Гипертензия, нарушение функции печени (синдром Штауффера), паранеопластические синдромы (гиперкальциемия или полицитемия) 
о 30% пациентов с симптоматическими метастазами
2. Демография: 
• Возраст: 
о 50-70 лет 
• Пол: 
о М:Ж = 2:1, немного выше у афроамериканцев
3. Эпидемиология: 
о Восьмая наиболее распространенная злокачественная опухоль, встречающаяся у взрослых, наиболее распространенный первичный рак почки 
о 3-4% от всех видов рака 
о У 24-45% пациентов с БГЛ развивается мультифокальный и двусторонний ПКР
4. Течение и прогноз: 
• Прогноз: пятилетняя выживаемость: 
стадия I: 96%; 
стадия II: 82%; 
стадия III: 64%; 
стадия IV: 23% 
• Выживаемость ниже при крупном, двустороннем или множественном ПКР 
• Светлоклеточный ПКР имеет наибольший метастатический потенциал, а хромофобные опухоли имеют наиболее благоприятный прогноз 
• Метастазы: чаще всего в легких; также в лимфатических узлах, костях, печени, головном мозгу, надпочечниках или поджелудочной железе 
• Возможен местный рецидив опухоли или поражение противоположной почки
5. Лечение почечноклеточного рака: 
• Радикальная или частичная нефрэктомия (одинаковая эффективность): 
о Показания для частичной нефрэктомии включают: размер • Радиочастотная абляция и криоаблация
е) Диагностическая памятка. Следует учесть: 
• Следует подозревать ПКР при обнаружении солидных образований почки с внутренней васкуляризацией или кальцификатами 
• Проверить сложные кистозные поражения на наличие солидных очагов и внутреннего цветового потока 
• КТ и МРТ с контрастированием для установки диагноза и стадии
Рак почки
Рак почки - это различные в гистологическом плане варианты злокачественной неопластической трансформации почечной ткани. Клиническими признаками служат ренальные симптомы (боль, гематурия, опухолевидное образование) и экстраренальные (общие) проявления. Диагностика требует тщательного общеклинического, лабораторного, ультразвукового, рентгенологического, томографического, радиоизотопного исследования мочевыводящей системы. Показана радикальная или расширенная нефрэктомия; иммунотерапия, химиотерапия, таргетная терапия.

Рак почки составляет 2-3% от всех онкологических заболеваний, а во взрослой клинической онкоурологии занимает 3-е место после рака простаты и рака мочевого пузыря. Преимущественно выявляется у пациентов 40-60 лет, при этом у мужчин статистически в 2-3 раза чаще, чем у женщин. Согласно современным воззрениям, является полиэтиологическим заболеванием; развитие опухоли может быть вызвано самыми различными факторами и воздействиями: генетическими, гормональными, химическими, иммунологическими, лучевыми.
По современным данным, на заболеваемость раком почки влияет целый ряд факторов. При почечно-клеточном раке у больных выявлен определенный тип мутаций - транслокация 3-ей и 11-ой хромосом, а также доказана возможность наследования предрасположенности к возникновению опухолевого процесса (болезнь Гиппеля-Линдау). Причиной роста всех злокачественных опухолей, в том числе и поражающих почку, является недостаточность противоопухолевой иммунной защиты (включая ферменты репарации ДНК, антионкогены, естественные киллерные клетки).
Табакокурение, злоупотребление жирной пищей, неконтролируемый прием анальгетиков, диуретических и гормональных препаратов значительно повышают риск заболеваемости раком почек. К возникновению неоплазии могут приводить хроническая почечная недостаточность и регулярное проведение гемодиализа, поликистоз почек, нефросклероз, развивающийся на фоне сахарного диабета, артериальной гипертензии, нефролитиаза, хронического пиелонефрита.
Новообразование может быть спровоцировано химическим воздействием на организм (при контакте с канцерогенами - нитрозаминами, циклическими углеводородами, асбестом и др.), а также радиационным излучением. Возможно развитие рака после ранее перенесенной травмы органа.
Морфологические варианты неоплазии крайне вариабельны, что объясняет наличие нескольких гистологических классификаций. Согласно гистологической классификации, принятой ВОЗ, к основным видам злокачественных опухолей почки относят:
- Почечноклеточные опухоли (светлоклеточную карциному, тубулярную карциному, медуллярную карциному, папиллярную карциному, зернисто-клеточную карциному и др.)
 - Нефробластические опухоли (нефробластому или опухоль Вильмса)
 - Мезенхимальные опухоли (лейомиосаркому, ангиосаркому, рабдомиосаркому, фиброзную гистиоцитому)
 - Нейроэндокринные опухоли (карциноид, нейробластому)
 - Герминогенные опухоли (хориокарциному)
 
Международная TNM-классификация 1997 г. является общей для различных видов рака почки (T - размер первичной опухоли; N – распространенность на лимфатические узлы; M – метастазы в органы-мишени).
- T1 – опухолевый узел менее 7 см, локализация ограничена почкой
 - Т1a – размер опухолевого узла до 4 см
 - Т1b – размер опухолевого узла от 4 до 7 см
 - T2 – опухолевый узел более 7 см, локализация ограничена почкой
 - Т3 – опухолевый узел прорастает в околопочечную клетчатку, надпочечник, вены, однако инвазия ограничена фасцией Герота
 - Т3а – инвазия паранефральной клетчатки или надпочечника в границах фасции Герота
 - Т3b – прорастание почечной или нижней полой вены ниже диафрагмы
 - T3c – прорастание нижней полой вены выше диафрагмы
 - Т4 – распространение опухоли за пределы почечной капсулы с поражением прилегающих структур и органов-мишеней.
 
По наличию/отсутствию метастатических узлов принято различать стадии: N0 (признаки поражения лимфоузлов отсутствуют), N1 (выявляется метастаз в единичном регионарном лимфоузле), N2 (выявляются метастазы в нескольких регионарных лимфоузлах). По наличию/отсутствию отдаленных метастазов различают следующие стадии: М0 (отдаленные метастазы в органах мишенях не выявляются), М1 (обнаруживаются отдаленные метастазы, как правило, в легких, печени или костях).
Симптомы рака почки
При небольших размерах опухоль может протекать бессимптомно. Возникающие у пациентов проявления отличаются разнообразием, среди них выделяют ренальные и экстраренальные симптомы. К ренальным признакам относится триада: наличие крови в моче (гематурия), боль в области поясницы и пальпаторно определяемое образование на стороне поражения. Одновременное появление всех симптомов характерно для больших опухолей при запущенном процессе; на более ранних стадиях выявляются один или реже два признака.
Ренальные симптомы
Гематурия является патогномоничным признаком рака почки, может появляться однократно или периодически уже на ранних этапах заболевания. Может начинаться неожиданно, безболезненно при удовлетворительном общем самочувствии, может быть незначительной (микрогематурия) и тотальной (макрогематурия). Макрогематурия возникает в результате повреждения кровеносных сосудов при прорастании опухоли в почечную паренхиму, сдавлении ею внутрипочечных вен. Выделение с мочой червеобразных кровяных сгустков сопровождается почечными коликами.
Боли являются поздним признаком неоплазии. Они носят тупой, ноющий характер и обусловлены сдавлением нервных окончаний при внутренней инвазии опухоли и растяжении почечной капсулы. Рак пальпируется в основном на третьей или четвертой стадиях как плотное, бугристое образование. Повышение температуры тела длительное, значения чаще субфебрильные, но иногда – высокие фебрильные, могут колебаться от нормальных величин до повышенных. На ранних стадиях гипертермия обусловлена иммунной реакцией организма на опухолевые антигены, на поздних – процессами некроза и воспаления.
Экстраренальные симптомы
К экстраренальным симптомам рака почки относят паранеопластический синдром (слабость, потерю аппетита и веса, потливость, повышение температуры, артериальную гипертензию), синдром сдавления нижней полой вены (симптоматическое варикоцеле, отеки ног, расширение подкожных вен брюшной стенки, тромбоз глубоких вен нижних конечностей), синдром Штауффера (дисфункцию печени). Рак почек у детей (болезнь Вильмса) проявляется увеличением размера органа, повышенной утомляемостью, худобой, а также болями разнообразного характера.
Осложнения
Выраженная гематурия может привести к анемии, обтурации мочеточника, тампонаде мочевого пузыря кровяными сгустками и острой задержке мочи. Многообразные клинические симптомы могут быть проявлением метастазов опухоли. Признаками метастазирования являются кашель, кровохарканье (при поражении легких), болевой синдром, патологические переломы (при костных метастазах), сильная головная боль, усиление неврологической симптоматики, постоянные невралгии и радикулиты, желтуха (при метастазах в печени).
В диагностике рака почки применяются общеклинические, лабораторные, ультразвуковые, рентгенологические и радиоизотопные исследования. Обследование у врача-онкоуролога включает сбор анамнеза, общий осмотр, пальпацию и перкуссию (симптом Пастернацкого). По результатам общеклинического обследования назначается лабораторная диагностика крови и мочи (общий и биохимический анализы, цитологическое исследование).
Выявляются изменения лабораторных показателей крови и мочи: анемия, повышение СОЭ, вторичный эритроцитоз, протеинурия и лейкоцитурия, гиперкальциемия, ферментативные сдвиги (повышение секреции щелочной фосфатазы, лактатдегидрогеназы). Наблюдается повышенная секреция опухолью различных биологически активных веществ (простагландинов, тромбоксанов, активной формы витамина D), гормонов (ренина, паратгормона, инсулина, ХГЧ). Обязательно проводится обследование грудной клетки и костей для выявления метастазирования в легкие и кости таза. Выполняется инструментальное исследование:
- УЗИ почек. Первостепенное значение на начальном этапе диагностикии имеет УЗИ, которое при наличии опухоли выявляет деформацию контуров органа, неоднородность эхосигнала из-за присутствия зон некроза и кровоизлияний, резкое поглощение ультразвука самим опухолевым образованием. Под контролем УЗИ производят закрытую чрескожную пункционную биопсию почки для забора материала для морфологического исследования.
 - Рентгеновское исследование. Экскреторная урография и ренальная ангиография проводятся на заключительном этапе диагностики. Признаками ракового поражения почечной паренхимы при урографии является увеличение размеров почки, деформация контуров, дефект наполнения чашечно-лоханочной системы, отклонение верхнего уретерального отдела; по данным ангиограммы почек - увеличение диаметра и смещение магистральной почечной артерии, беспорядочная избыточная васкуляризация опухолевой ткани, неоднородность тени опухоли при ее некрозе. Почечная ангиография помогает дифференцировать истинное новообразование от кисты, выявить небольшую опухоль в корковом слое, наличие метастазов в соседних органах и второй почке, опухолевого тромба в почечной вене.
 - Радионуклидное сканирование. Нефросцинтиграфия позволяет обнаружить очаговые изменения, характерные для рака почки. Из-за различного поглощения гамма-частиц нормальной почечной паренхимой и тканью опухоли создается частичный дефект изображения почечной ткани или его полное отсутствие при тотальном поражении.
 - Томографическое исследование. КТ почки контрастным усилением позволяет обнаружить рак почки любого размера, установить его структуру и локализацию, глубину прорастания паренхимы, инфильтрацию паранефральной клетчатки, опухолевый тромбоз почечной и нижней полой вен. При наличии соответствующих симптомов проводится КТ органов брюшной полости, забрюшинного пространства, костей, легких и головного мозга с целью выявления метастазов.
 
Рак почки дифференцируют с солитарной кистой почки, мочекаменной болезнью, гидронефрозом, нефролитиазом, абсцессом и туберкулезом почки, с опухолями надпочечника и внеорганными забрюшинными опухолями.
Хирургическое лечение
Оперативное лечение является основным и самым эффективным методом в большинстве случаев заболевания, применяется даже при регионарных и отдаленных метастазах и позволяет увеличить срок выживаемости и качество жизни больных. Выполняются удаление почки (радикальная и расширенная нефрэктомия) и резекция почки. Выбор лечебного подхода определяется вариантом неоплазии, размером и локализацией опухоли, прогнозируемой выживаемостью больного.
- Резекция почки. Проводится с целью сохранения органа у пациентов с локальной формой рака, когда опухоль не проникает глубоко в паренхиму, расположена на полюсах, а также в случаях единственной почки, билатерального опухолевого процесса, нарушения функции второй почки. Во время резекции почки выполняют интраоперационное гистологическое исследование ткани с краев операционной раны на предмет глубины опухолевой инвазии. После резекции существует более высокий риск местного рецидива рака почки.
 - Радикальная нефрэктомия. Является методом выбора на всех стадиях рака почки. Предполагает хирургическое иссечение одним блоком почки и всех ближайших образований: околопочечной жировой клетчатки, почечной фасции, регионарных лимфатических узлов. Удаление надпочечника проводится при обнаружении в нем метастатических очагов.
 - Расширенная нефрэктомия. При расширенной нефрэктомии иссекаются ткани опухоли, распространившейся на окружающие органы. При врастании опухоли в просвет почечной или нижней полой вен выполняется тромбэктомия; при поражении опухолью сосудистой стенки проводится краевая резекция участка нижней полой вены. В случае распространенного рака почки, кроме нефрэктомии, обязательна хирургическая резекция метастазов в других органах. Лимфаденэктомия с гистологическим исследованием удаленных узлов помогает установить стадию рака и определить его прогноз. При отсутствии метастазов в лимфатических узлах (по данным УЗИ, КТ) лимфаденэктомия может не проводиться. Выполнение радикальной нефрэктомии при раке единственной почки требует проведения гемодиализа и последующей трансплантации почки.
 
В настоящее время в хирургии рака почки наметилась тенденция постепенного отказа от открытых вмешательств в пользу лапароскопических и робот-ассистированных операций.
Консервативное лечение
- Артериальная химиоэмболизация опухоли. может проводиться в качестве предоперационной подготовки для уменьшения кровопотери при нефрэктомии, как паллиативный метод лечения у неоперабельных больных или для остановки кровотечения при массивной гематурии.
 - Иммунотерапия. Назначается для стимуляции противоопухолевого иммунитета при распространенном и рецидивном раке. Обычно применяют монотерапию интерлейкином-2 или альфа-интерфероном, а также комбинированную иммунотерапию этими препаратами, что позволяет добиться частичной регрессии опухоли (примерно в 20% случаев), длительной полной ремиссии (в 6 % случаев). Результативность иммунотерапии зависит от гистотипа неоплазии: она выше при светлоклеточном и смешанном раке и чрезвычайно низка при саркоматоидных опухолях. Иммунотерапия неэффективна при наличии метастазов в головной мозг.
 - Таргетная терапия препаратами сорафениб, сунитиниб, сутент, авастин, нексавар позволяет блокировать фактор роста эндотелия сосудов опухоли (VEGF), что приводит к нарушению ангиогенеза, кровоснабжения и роста опухолевой ткани. Иммунотерапия и таргетная терапия при распространенном раке могут назначаться до или после нефрэктомии и резекции метастазов в зависимости от трудноудалимости опухоли и общего состояния здоровья пациента.
 - Химиотерапия(препаратами винбластин, 5-фторурацил) при метастатическом и рецидивном раке почки дает минимальный результат из-за перекрестной лекарственной резистентности, проводится обычно в сочетании с иммунотерапией.
 - Лучевая терапия. Не дает необходимого эффекта, применяется только при метастазах в другие органы. При распространенном новообразовании с прорастанием окружающих структур, обширными метастазами в лимфоузлы забрюшинного пространства, отдаленными метастазами в легкие и кости возможно проведение только паллиативного или симптоматического лечения.
 
После проведенного лечения показано регулярное наблюдение и обследование у врача-онкоуролога. Прогноз рака почки определяется в основном стадией опухолевого процесса. При раннем выявлении опухоли и метастазов можно надеяться на благоприятный результат лечения: 5-летняя выживаемость больных с Т1 стадией после нефрэктомии составляет 80-90% , при Т2 стадии 40-50%, при Т3-Т4 стадии прогноз крайне неблагоприятный – 5-20%. Профилактика заключается в соблюдении здорового образа жизни, отказе от вредных привычек, своевременном лечение урологических и других заболеваний.
Рак почки является злокачественным новообразованием исходящая из эпителия почечных канальцев. Рак почки занимает двенадцатое место по уровню заболеваемости среди злокачественных новообразований в Казахстане (2010 год).
Дата разработки протокола: октябрь 2011 г.
Пользователи протокола: врачи-онкоурологи, онкологи, урологи общей лечебной сети, врачи общей практики.
Указание на отсутствие конфликта интересов: разработчиками подписана декларация конфликта интересов об отсутствии финансовой или другой заинтересованности в теме данного документа, отсутствии каких-либо отношений к продаже, производству или распространению препаратов, оборудования и т.п., указанных в данном документе.

Автоматизация клиники: быстро и недорого!
- Подключено 300 клиник из 4 стран
- 800 RUB / 4500 KZT / 27 BYN - 1 рабочее место в месяц

Автоматизация клиники: быстро и недорого!
- Подключено 300 клиник из 4 стран
 
- 1 место - 800 RUB / 4500 KZT / 27 BYN в месяц
 
Мне интересно! Свяжитесь со мной
13-15 октября, Алматы, "Атакент"
600 брендов, более 150 компаний-участников из 20 стран.
Новинки рынка стоматологии. Цены от производителей
Т3 – опухоль распространяется в крупные вены или инвазирует надпочечник или паранефральную клетчатку (кроме ипсилатерального надпочечника) без распространения за пределы фасции Героты.
Т3а – опухоль макроскопически распространяется на почечную вену или ее сегментарные (содержащие гладкомышечную ткань) ветви, или инвазирует паранефральную клетчатку или клетчатку почечного синуса, но в пределах фасции Героты.
Т3с – опухоль макроскопически распространяется на НПВ выше уровня диафрагмы или инвазирует стенку НПВ.
Т4 – инвазия опухоли за пределы фасции Героты (в том числе смежное распространение на ипсилатеральный надпочечник).
Категории pT, pN и pM соответствуют категориям T, N и М.
Группировка по клиническим стадиям
Регионарными лимфатическими узлами для правой почки являются лимфоузлы ворот почки, а также лимфатические узлы, расположенные вокруг нижней полой вены от диафрагмы до слияния НПВ. Для левой почки регионарными лимфоузлами считаются лимфоузлы ворот почки и лимфатические узлы, расположенные вокруг аорты от диафрагмы до бифуркации аорты.
Анамнез и жалобы. Как правило, в начальных стадиях клиническая картина отсутствует. По мере роста опухолевого процесса отмечается боль и/или гематурия.
Иногда наблюдается повышение АД. Клиническим проявлениям опухолей почек соответствует характерная триада симптомов: боль в проекции почки, гематурия, пальпируемое образование в проекции почки. Данная картина (наличие всех 3-х симптомов) наблюдается чаще в запущенных случаях.
1. Общий анализ крови – наиболее характерно наличие анемии, разной степени выраженности; повышение СОЭ.
2. Экскреторная внутривенная урография (рентгенологические признаки образования – афункция или снижение функции почки на стороне поражения, деформация ЧЛС – сдвигание, оттестнение чашечек, лоханки, ампутация чашечек, увеличенные контуры почки и т.д.).
Назначается консультация кардиолога всем пациентам старше 60-ти лет. Пациентам моложе 60-ти лет консультация кардиолога только при наличии изменений на ЭКГ или при показаниях.
Дифференциальная диагностика: поликистоз, солитарная киста почки, гидронефроз и пионефроз, абсцесс или карбункул почки, туберкулез почек, паранефрит и др.
Обследования, которые необходимо провести до плановой госпитализации – пункты 13.1-13.2. Экскреторная внутривенная урография (13.2.2), как правило, проводится стационарно.
Лечение
Цели лечения: удаление опухоли – резекция почки, радикальная нефрэктомия, паллиативная нефрэктомия (удаление первичного очага); а также - иммунохимиотерапия, таргетная терапия. Конечная цель – увеличение выживаемости больных, улучшение общего состояния.
*Вне рамок клинических исследований проведение адъювантной терапии после осуществеления радикального хирургического лечения РП не показано (степень рекомендаций – А; рекомендации ЕАУ, 2011 г.).
Проведение нефрэктомии в сочетании с назначением интерферона альфа, способствует повышению выживаемости у больных метастатическим почечно-клеточным раком (ПКР), находящихся в удовлетворительном общем состоянии, иммунотерапия выполняется очередным этапом у пациентов с метастатическим раком почки после нефрэктомии или при наличии противопоказаний к проведению операции в качестве паллиативной помощи (уровень доказательности 1Б; рекомендации ЕАУ, 2011 г.).
Стандартом в лечении рака почки является радикальная или расширенная нефрэктомия. 
В стадии Т1а стандартом является резекция почки. 
Радикальная нефрэктомия подразумевает удаление единым блоком почки с окружающей жировой клетчаткой, фасцией Герота, надпочечником и регионарными лимфоузлами. При расширенной нефрэктомии дополнительно выполняется резекция окружающих органов в случае распространения на них опухоли.
1. Использование оперативного доступа, позволяющего выполнить перевязку почечных сосудов до проведения манипуляции на почке (оптимальными считаются торако-абдоминальный и абдоминальный доступы). 
3. Адреналэктомия на стороне поражения должна выполняться при подозрении на поражение или метастазирование в надпочечник по данным МРТ и/или КТ, при поражении опухолью верхнего полюса почки sТ3–Т4. 
4. Лимфодиссекция в полном объеме выполняется при опухолях sТ3–Т4. 
При раке правой почки она включает удаление латерокавальных, прекавальных, ретрокавальных и интер-аортокавальных лимфоузлов от диафрагмы до места слияния общих подвздошных вен. 
При раке левой почки лимфодиссекция включает удаление латероаортальных, преаортальных, ретроаортальных и интераортокавальных лимфоузлов от диафрагмы до бифуркации аорты. 
При опухолях sТ1-Т2 расширенная лимфодиссекция не обязательна, возможна ограниченная лимфодиссекция. 
При раке правой почки ограниченная лимфодиссекция включает удаление латерокавальных, прекавальных и ретрокавальных лимфоузлов от диафрагмы до слияния НПВ. 
При раке левой почки удаляются латероаортальные и преаортальные лимфоузлы от диафрагмы до бифуркации аорты.
5. При распространении опухолевого тромба в просвет почечной или нижней полой вены выполняется удаление тромба. В случае распространения опухолевого тромба в просвет НПВ вена пережимается выше и ниже тромба, а также противоположная почечная с последующим его извлечением после рассечения вены над тромбом. При прорастании сосудистой стенки опухолью производится резекция данного участка НПВ на всю толщину сосудистой стенки.
6. В случае распространения опухоли на окружающие органы и ткани производятся комбинированные операции с резекцией пораженных органов и тканей с интраоперационным исследованием краев отсечения.
2. При здоровой другой почке, если возможна резекция в пределах здоровых тканей - опухоли до 4 см. На сегодняшний день стандартом лечения опухолей почки в стадии Т1а является резекция почки. Резекция почки может быть выполнена и в стадии процесса рТ1б, только у тщательно отобранных пациентов.
ОСЛ сопровождается несколько более высокой частотой развития осложнений по сравнению с радикальным оперативным вмешательством. Однако с онкологической точки зрения выполнение оргаоносохраняющих операций является безопасным методом лечения. В долгосрочном плане проведение ОСЛ приводит к достижению лучших результатов в области сохранения функции почек, меньшим показателям общей смертности и частоты развития сердечно-сосудистых осложнений (рекомендации ЕАУ, 2011)
В настоящее время не существует стандартов в лечении больных с множественными отдаленными метастазами рака почки. Для лечения метастатического почечно-клеточного рака могут применяться следующие методы:
1. У первичных больных раком почки с отдаленными метастазами на первом этапе лечения (в случае, если общее состояние больного позволяет) выполняется паллиативная или расширенная операция (нефрэктомия) с обязательным удалением метастазов при наличии технических возможностей.
2. При выявлении отдаленных метастазов у больных раком почки после радикальной нефрэктомии необходимо стремиться к их хирургическому удалению при наличии технических возможностей (одиночные метастазы).
3. В случае определения множественных метастазов у больных раком почки после радикальной операции проводятся курсы иммуннохимиотерапии. При частичной регрессии метастазов в случае появления технических возможностей производится их хирургическое удаление.
Дополнительные методы лечения
С момента своего внедрения лапароскопическая нефрэктомия стала общепризнанным методом лечения ПКР во всем мире. Вне зависимости от доступа (ретро-, трансперитонеального) лапароскопические операции должны соответствовать общепринятым принципам выполнения открытой онкологической операции. Лапароскопическая нефрэктомия является стандартным методом лечения пациентов в стадии Т1-Т2. Тем не менее пациентам в стадии Т1 рекомендуется проведение резекции почки (если это возможно), а не лапароскопической нефрэктомии. Лапароскопическая резекция почки может быть альтернативой открытой операции у определенной категории пациентов при наличии у хирурга достаточного опыта. Необходимо помнить, что время ишемии почки при проведении лапароскопической резекции дольше чем при открытой. 
Эмболизация почечной артерии. У пациентов, которые не могут перенести операцию или при неоперабельных формах рака почки, выполнение эмболизации позволяет уменьшить выраженность симптомов (гематурия, болевой синдром). Осуществление эмболизации до начала проведения объемной операции при больших опухолях почки или при наличии тромбов в почечной вене, НПВ, а также до начала проведения резекции гиперваскулярных метастазов в кости и позвоночник, способствуют уменьшению кровопотери в ходе операции. 
Чрескожные методы. Пациенты с небольшими опухолями и/или серьезными сопутствующими заболеваниями, неспособными перенести хирургическое вмешательство, могут рассматриваться как кандидаты на проведение абляционной терапии (криоабляции, радиочастотной, лазерной, ультразвуковой (HIFU) абляции). Среди всех минимально инвазивных методов терапии, применяемых при небольших опухолях почек, только для криоабляции и радиочастотной абляции доступны данные по среднесрочным результатам лечения. При проведении данных методов лечения частота развития рецидивов выше, чем при использовании органосохраняющих операциях. 
В связи с тем что ПКР развивается из проксимальных канальцев собирательной системы, данный вид опухоли имеет высокий уровень экспрессии гена множественной лекарственной устойчивости и его продукта р-гликопротеина, что является причиной резистентности к большинству химиопрепаратов. Относительно эффективным у больных метастатическим раком почки является использование 5-фторурацила в сочетании с иммунопрепаратами. Проведение химиотерапии без применения иммунотерапии не следует считать эффективным методом лечения ПКР.
Для лечения ПКР применяются рекомбинантные интерлейкины и интерфероны. Рекомендуемые варианты иммунотерапии (по выбору):
1. Интерферон-альфа-2b – 3-10 млн МЕ/м 2 подкожно или внутримышечно 3 раза в неделю. Лечение продолжается до прогрессирования болезни или полной регрессии метастазов. Оценка эффекта каждые 3 месяца. Возможна комбинация с химиопрепаратами (кселода, 5-фторурацил, винбластин, и другие).
2. Интерлейкин-2 – 0,75-1,5 мг подкожно 5 дней ежедневно. Интервал между курсами 3 недели. Оценка эффекта после каждых 2-х курсов. Лечение продолжается до прогрессирования болезни или полной регрессии метастазов.
3. Интерлейкин-2 – 0,5 мг внутривенно струйно каждые 8 часов, ежедневно, в течение 5 дней. Интервал между курсами 7-10 дней. Лечение продолжается до прогрессирования болезни или полной регрессии метастазов.
4. Интерлейкин-2 (ронколейкин) – 0,5-1 млн ед. внутривенно струйно, ежедневно, в течение 5 дней. Интервал между курсами 7-10 дней. Лечение продолжается до прогрессирования болезни или полной регрессии метастазов.
7. Интреферон альфа-2б - 6 млн ЕД/м 2 , п/к, 3 раза в неделю или в том же режиме, как интерферон альфа-2а.
Согласно рекомендации ЕАУ 2011 г., проведение монотерапии ИФН-альфа более не рекомендовано в качестве лечения первой линии метастатического ПКР (УД 1b).
Проведение монотерапии ИФН-альфа в определенных случаях (хорошее общее состояние, рак светлоклеточного типа, наличие только легочных метастазов) является целесообразным (УД2). 
Для того, чтобы выбрать препарат для лечения метастатического ПКР, необходимо знать гистологический вариант первичной опухоли, историю лекарственного лечения пациента, а также к какой прогностической группе риска относится. Наиболее значимая модель стратификации риска и разделения пациентов на прогностические группы была предложена в Мемориальном онкологическом центре Слоуна и Кеттеринга (MSKCC- Memorial Sloan-Kettering Cancer Center).
Факторы риска, негативно влияющие на продолжительность жизни, в модели MSKCC включают:
Пациенты, у которых отсутствуют вышеперечисленные факторы риска, относятся к группе благоприятного или хорошего прогноза, пациенты с 1-2 факторами – к группе промежуточного прогноза, а пациенты с 3-я и более факторами риска относятся к группе неблагоприятного прогноза.
2. Сунитиниб 50 мг, внутрь, ежедневно, в течение 4 недель, затем перерыв 2 нед. Повторение циклов каждые 6 недель.
4. Темсиролимус 25 мг, в/в, капельно, 30-60 минутная инфузия, 1 раз в неделю, до прогрессирования или неприемлемой токсичности.
5. Эверолимус 10 мг, ежедневно, однократно, внутрь, до прогрессирования. При появлении признаков плохой переносимости возможно снижение дозы на 2 уровня – 5 мг ежедневно, внутрь, однократно, 5 мг 1 раз в 2 дня.
6. Пазопаниб 800 мг, внутрь, 1 раз в сутки. В зависимости от индивидуальной переносимости суточная доза препарата может быть уменьшена или увеличена с шагом 200 мг, при этом максимальная суточная доза не должна превышать 800 мг и минимальная суточная доза не должна быть меньше 400 мг.
В случаях невозможности выполнить нефрэктомию у первичных больных с отдаленными метастазами при развитии гематурии, применяется эмболизация почечной артерии с гемостатической целью.
При метастазах в костях скелета с целью снятия болевого синдрома применяется лучевая терапия крупными фракциями по 5 Гр до СОД 35 Гр, назначение бифосфонатов и таргетных препаратов (моноклональных антител).
В послеоперационном периоде необходимо уделять внимание профилактике тромбоэмболических осложнений, особенно у больных с тромбами в почечной и НПВ, у больных с ожирением, а также лицам преклонного возраста и с сопутствующей сердечной патологией. Учитывая, что радикальным является органоуносящая операция, обязательно до операции установление функции контралатеральной почки с целью предотвращения возможной почечной недостаточности. В случае выполнения резекции почки необходимо следить за возможным развитием мочевого свища или мочевого затека.
Читайте также:
