Головокружение. Вестибулярный неврит
Добавил пользователь Евгений Кузнецов Обновлено: 27.01.2026
Вестибулярный нейронит, также известен как лабиринтит, связывается с вирусным или постинфекционным воспалительным поражением вестибулярной порции VIII пары черепных нервов.
Вестибулярный нейронит характеризуется быстрым началом с выраженного стойкого головокружения, тошноты, рвоты и неустойчивости при ходьбе. Данные объективного осмотра соответствуют острому поражению периферических отделов вестибулярного анализатора: спонтанный вестибулярный нистагм, положительный тест «импульсного поворота головы» (или «толчкообразного поворота головы») и шаткость при ходьбе без потери способности ходить. При изолированном вестибулярном нейроните, слух не нарушается; при сочетании синдром с односторонней потерей слуха, синдром называется лабиринтитом.
Диагноз вестибулярного нейронита обычно основан на клинических данных. Клиническая картина кровоизлияния в мозжечок или инфаркта мозжечка может быть сходной с вестибулярным нейронитом, потому, для исключения этих состояний требуется проведение нейровизуализации.
Пациенты с вестибулярным нейронитом обычно описывают у себя тяжёлые вестибулярные симптомы, которые сохраняются несколько дней, с последующим уменьшением выраженности симптомов, восстановлением чувства равновесия. Терапия кортикостероидами может ускорить восстановление пациентов.
Синдром Рамсея-Ханта
Развитие синдрома Рамсея-Ханта (поражение коленчатого узла вирусом опоясывающего герпеса) с активацией латентной герпетической инфекции коленчатого узла.
Кроме острого головокружения и/или потери слуха, у пациентов развиваются парез мимических мышц на стороне поражения, боль в ухе, пузырьковые высыпания в области ушной раковины и наружного слухового прохода.
Возможно лечение кортикостероидами или ацикловиром, однако, эффективность этих методов не доказана (Sweeney C. J. Gilden D. H. 2001).
Болезнь Меньера
Болезнь Меньера — периферическое вестибулярное расстройство, связанное с повышенным давлением эндолимфы, что вызывает приступы дисфункции структур внутреннего уха.
У пациентов, страдающих болезнью Меньера возникают спонтанные приступы головокружения, которые продолжаются от нескольких минут до нескольких часов; обычно сопровождаются односторонним шумом в ушах, снижением слуха, ощущением распирания в ухе. Головокружение, связанное с болезнью Меньера часто тяжёлое и сочетается с тошнотой и рвотой, функционально значимыми нарушениями равновесия. Нарушения равновесия могут сохраняться в течение нескольких дней. При обследовании во время приступа часто выявляется горизонтально-торсионный нистагм.
Диагноз болезни Меньера устанавливается на основании анамнеза. Диагноз подтверждают снижение слуха, преимущественно на звуки низкой частоты, выявляемое при аудиометрии и одностороннее уменьшение вестибулярного ответа при электронистагмографии.
Обострения болезни Меньера могут продолжаться несколько месяцев — несколько лет, во время которых, ухудшение состояния отмечается несколько дней. Развитие ремиссии может быть спонтанным или вызванным лечением, после ремиссии возможны рецидивы состояния.
Сотрясение лабиринта — травматическое повреждение периферических отделов вестибулярного анализатора вследствие прямого травматического воздействия на головной мозг. Оно также возникает вследствие внезапного ускорения головы, не обязательно связанного с прямым воздействием. Более тяжёлые случаи связаны с повреждением кохлеарных и/или вестибулярных структур при поперечных переломах пирамидки височной кости. В этих случаях одновременно с головокружением возникает нейросенсорная тугоухость и отмечается гематотимпанум.
Симптомы головокружения, тошнота и рвота, нарушения равновесия максимально выражены в начале заболевания и уменьшаются в течение последующих дней или месяцев, в зависимости от тяжести травмы.
Для лечения приступов болезни Меньера умеренно эффективны диуретики и Бетагистин. Доказательства эффективности лекарств достаточно слабы, в исследованиях указывается на безопасность бетагистина (Rosenbaum A. Winter M. 2017,2018).
Эффективность введения кортикотстероидов в барабанную полость не подтверждена (Chuang-Chuang Á, Baeza M. A. 2017)
Перилимфатическая фистула
Нечастое осложнение черепно-мозговой травмы, баротравмы или подъёма тяжестей, во время которых развивается фистула в слуховой капсуле, позволяющая передавать изменения артериального давления на рецепторы макулы и купулы полукружного канала. Это объясняет развитие головокружения и/или снижения слуха при чихании, подъёме тяжестей, натуживании, кашле или под действием громких звуков. Наконец, так называемый феномен Туллио, развивается вследствие давления, вызванного звуковыми волнами, которые вследствие патологических изменений могут распространяться к структурам внутреннего уха.
Установление диагноза затруднительно, поскольку клинические исследования не чувствительны к этому состоянию. Компьютерная томография (КТ) может выявить скопление жидкости в области углубления улиткового окна. Лечение первоначально сводится к постельному режиму, поддержанию приподнятого положения головы, исключения физической нагрузки/натуживания; неэффективность лечения в течение нескольких недель консервативной терапии является показанием к хирургическому закрытию дефекта. Рецидивы отмечаются в 10% случаев.
Синдром дегисценции костной стенки верхнего полукружного канала (ДВПК)
Кость, окружающая верхние отделы верхнего полукружного канала истончается или полностью разрушается, что создаёт условия для распространения давления во внутреннее ухо. Головокружение провоцируется кашлем, чиханием и манёвром Вальсальвы. Во время коротких эпизодов головокружения пациенты могут испытывать тошноту и неустойчивость.
При этом состоянии, громкие звуки могут вызывать головокружение (феномен Туллио), поскольку давление, вызванное звуковыми волнами, вследствие патологических изменений распространяется во внутреннее ухо. Этот феномен можно подтвердить при помощи вестибулоокулярного рефлекса, в ответ на звук щелчка (цервикальных вестибулярных миогенных вызванных потенциалов (ВМВП)), обычно имеющего высокую амплитуду и низкий порог у пациентов по сравнению с контрольной группой. Другим диагностическим признаком этого состояния является кохлеарная гиперчувствительность. У отдельных пациентов отмечается снижение слуха с разностью звукопроводимости между воздухом и костью по данным аудиометрии. В одном описании клинического случая описывается ротаторный ножковый нистагм, который был синхронизирован с пальпируемым пульсом и подавлялся манёвром Вальсальвы или переходом пациента в горизонтальное положение.
Несмотря на то, что это состояние выявляется всё чаще, оно может оставаться нераспознанным. Диагноз может быть установлен при оценке височной кости на КТ высокого разрешения. У отдельных пациентов возможно улучшение вследствие хирургического устранения анатомического дефекта.
Вестибулярная пароксизмия
Синдром, проявляющийся кратковременными приступами головокружения, продолжительностью от одной до нескольких секунд, которые возникают несколько раз в день (Hüfner K, Barresi D, 2008). У ряда пациентов приступы спонтанные, у других — провоцируются движением головы или другими видами активности. Общими признаками при оценке являются развитие нистагма при гипервентиляции, а также — лёгкие вестибулярные нарушения при проведении калорической пробы, а также признаки нейроваскулярного конфликта по данным МРТ головного мозга. Патогенетическая роль нейроваскулярного конфликта неоднозначна, сходные результаты визуализации могут выявляться и у бессимптомных пациентов. Получены данные, что карбамазепин или окскарбазепин уменьшают тяжесть и частоту симптомов, по меньшей мере у части пациентов. Сообщается об эффективности хирургической декомпрессии у пациентов, которые не испытывают улучшения от консервативного лечения или не переносят его.
Синдром Когана
Аутоиммунное заболевание, которое приводит к развитию интерстициального кератита и нарушениями в кохлеовестибулярной системе.
У пациентов развиваются меньероподобные приступы, включающие головокружение, атаксию, тошноту, рвоту, шум в ушах и снижение слуха. Вестибулярная дисфункция также может вызывать осциллопсию, которая проявляется ощущением движения объектов назад и вперёд после резкого движения головой из стороны в сторону. Калорическая проба часто выявляет отсутствие вестибулярных нарушений.
Состояние может потребовать лечения системными стероидами или другими иммуносупрессантами.
Рецидивирующая вестибулопатия
Рецидивирующая вестибулопатия — описательный диагноз, который используется для пациентов страдающих от спонтанных эпизодов головокружения, не связанных с отологическими жалобами (например, снижением остроты слуха, шумом в ушах, ощущением распирания в ухе) и мигренозными признаками. Симптомы часто включают тошноту, рвоту и нарушения равновесия. Головокружения могут возникать нечасто, например, каждый год — каждые два года. Головокружения регрессируют и состояние пациентов возвращается к норме без последствий.
Патофизиология рецидивирующей вестибулопатии не установлена. Состояние рассматривается как следствие вестибулярных нарушений на неопределённом уровне. Отдельные случаи имеют семейный характер. Это расстройство может иметь общие аспекты с вестибулярной мигренью.
Вестибулярная шваннома
Вестибулярная шваннома (невринома слухового нерва) — по причине медленного роста опухоли, небольшие нарушения симметрии вестибулярной афферентации компенсируются центральной нервной системой, и пациенты не испытывают выраженного головокружения. Единственным признаков поражения вестибулярных структур может быть ощущение движения или наклона головы. Вероятной причиной обращения пациента за медицинской помощью может быть одностороннее снижение слуха.
Токсическое действие аминогликозидов
Отдельные представители группы аминогликозидов, особенно гентамицин, оказывают избирательное вестибулотоксическое действие приблизительно у 10% пациентов, получающих препараты внутривенно, вызывая периферическое поражение вестибулярных структур без ухудшения слуха, преимущественно воздействуя на волосковые клетки внутреннего уха (Leis J. A. Rutka J. A. 2015).
Ввиду симметричного поражения периферических отделов вестибулярной системы, не возникает нарушения равновесия в вестибулярной импульсации, поступающей в центральную нервную систему, и, поэтому, пациент не испытывает головокружение. У пациентов может отмечаться осциллопсия (иллюзия движения окружающей среды вперёд и назад) при движении головы, что указывает на нарушение вестибулоокулярного рефлекса. Двустороннее поражение структур вестибулярного анализатора сочетается с отклонениям результатах теста «импульсного поворота головы» в обоих горизонтальных направлениях, а также, с уменьшением остроты зрения во время встряхивания головы, этот может быть зафиксировано в калорической и поворотных пробах. Тяжёлое двустороннее поражение периферических отделов вестибулярного анализатора приводит к хроническому нарушению равновесия и осцилопсии.
Установлена генетическая предрасположенность к развитию токсического действия гентамицина, связанная с носительством отдельных вариантов митохондриального гена MT-RNR1 (Dean L. 2018, Igumnova V. Veidemane L. 2019).
Средний отит
Средний отит может сопровождаться вестибулярными нарушениями. Несистемное головокружение развивается чаще, чем системное, однако, серозный и гнойный лабиринтит могут осложнять течение среднего отита, вызывая выраженное головокружение. У пациентов с острым двусторонним лабиринтитом головокружению часто сопутствуют лихорадка, снижение слуха, тошнота и рвота. Пациентам требуется госпитализация и внутривенное введение антибиотиков.
Если воздействие на колезок вызывает головокружение у пациента с отитом, показано проведение КТ сканирование височной кости для исключения фистулы костного лабиринта.
Вестибулярный нейронит
Вестибулярный нейронит (ВН) – представляет собой острое, чаще всего вирусное поражение вестибулярного ганглия, вестибулярных ядер и других ретролабиринтных структур.

Схематическое изображение поражения вестибулярного нерва при ВН
Заболевание одинаково часто проявляется у лиц мужского и женского пола, чаще всего в возрасте около 40 лет.
Этиология и патогенез
ВН связан с заболеваниями инфекционно-аллергического и токсико-аллергического генеза (вирус простого герпеса 1-го типа, пищевые отравления, нарушения обмена веществ и др.), а также с заболеваниями неустановленной природы. В пользу вирусной этиологии ВН свидетельствуют нередкое развитие заболевания после перенесенной респираторной вирусной инфекции, эпидемический характер болезни с пиком заболеваемости, приходящимся на конец весны и начало лета, а также описанные в литературе случаи одновременного заболевания нескольких членов семьи. Роль вируса герпеса подтверждают случаи развития ВН при герпетическом энцефалите. Продолжительность клинических проявлений составляет в среднем от 1 недели до 3 месяцев, после чего болезнь бесследно исчезает и никогда более не повторяется.
Клиника
На фоне внезапно возникающего сильного головокружения выявляется горизонтально-ротаторный спонтанный нистагм, направленный в сторону пораженного уха, меняющий через несколько часов свое направление на обратное. Головокружение обычно усиливается при движениях головы и уменьшается при фиксации взора. Часто наблюдается осциллопсия –нечёткое зрительное восприятие окружающих предметов при выполнении пассивных или активных движениях головой вследствие нестабильности изображения на сетчатке. Резко нарушаются координация движений и равновесие: больной лежит на боку, соответствующем стороне, в которую направлен спонтанный нистагм. У подавляющего большинства пациентов отмечается тошнота (94%) и рвота (65%). Выраженность симптомов настолько пугают пациентов и их родственников, что практически все больные с ВН доставляются в стационар бригадой скорой медицинской помощи.
Слух не снижается, при неврологическом исследовании не выявляются симптомы, указывающие на поражение ствола или других отделов головного мозга. Приступ может продолжаться несколько часов и дней, затем его выраженность постепенно снижается, и обычно через 10-14 дней спонтанные признаки вестибулярной дисфункции проходят.
Диагностика
Основывается на типичной клинической картине заболевания: острое и относительно длительное (от нескольких часов до нескольких суток) головокружение, сопровождающееся неустойчивостью, горизонтальным или горизонтально-ротаторным спонтанным нистагмом с осциллопсией, тошнотой и рвотой. Диагноз можно подтвердить с помощью калорической пробы, выявляющей вестибулярную гипорефлексию или арефлексию на стороне поражения, теста импульсного движения головой
Техника выполнения теста заключается в следующем: пациента просят фиксировать свой взгляд на кончике носа врача, сидящего напротив него, после чего врач кладет руки на голову пациента и резким, внезапным движением ротирует ее вправо, а затем после некоторой паузы влево на 20°. В норме глаза пациента остаются фиксированными объекте наблюдения (кончике носа врача). При нарушения вестибулярной функции глаза пациента поворачиваются вместе с головой, а затем взор возвращается на объект (в данном случае патология у пациентки слева) и шагающей пробы Фукудо.
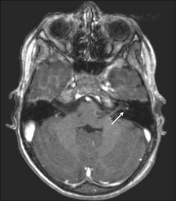
Косвенные признаки ВН можно выявить при использовании высокопольной магнитно–резонансной томографии головного мозга с гадолинием.

Усиленный МР-сигнал от левого вестибулярного нерва у пациента с ВН (МРТ с контрастированием, гадолиний)
Лечение
Основными направлениями терапии пациентов с ВН является уменьшение головокружения, тошноты и рвоты и ускорение вестибулярной компенсации. Симптоматическое лечение включает использование вестибулярных супрессантов: дименгидрината (драмин), метоклопрамида (церукал), бензодиазепиновых транквилизаторов (диазепам) или фенотиазинов (тиэтилперазин). При рвоте используют парентеральный путь введения препаратов. Вестибулярные супрессанты рекомендуют использовать не более 3 дней, поскольку они замедляют вестибулярную компенсацию. Установлено, что у больных с ВН применение в первые трое суток заболевания метилпреднизолона (в начальной дозе 100 мг с последующим снижением дозы на 20 мг каждые трое суток) приводит к более высокой частоте восстановления вестибулярной функции через год с момента заболевания.
Также рекомендуется проведение вестибулярной гимнастики, включающей упражнения, при которых движения глаз, головы и туловища приводят к сенсорному рассогласованию.

Упражнения для вестибулярной реабилитации (Сawthorne-Сooksey, 1940)
Для ускорения вестибулярной компенсации в сочетании с вестибулярной гимнастикой можно использовать бетагистин до 48 мг/сутки в течение 1 месяца и более. Также патогенетически оправдано применение нейромидина по схеме 20 мг 3 раза в день в течение двух месяцев.
Вестибулярный нейронит
Вестибулярный нейронит (ВН) — заболевание периферического отдела вестибулярной системы. Характеризуется острым возникновением сильного системного (вращательного) головокружения и выраженным нарушением равновесия, которые сопровождаются тошнотой и рвотой.
ВН занимает третье место среди всех причин периферического головокружения после доброкачественного пароксизмального позиционного головокружения (ДППГ) и болезни Меньера и первое место среди причин вращательного головокружения длительностью более 24 часов.
Ежегодная частота встречаемости ВН составляет от 3,5 до 15,5 человек на 100 000 населения. Заболеванию подвержены как мужчины, так и женщины, пик ВН приходится на 40-50 лет.
Этиология
Предполагается, что ВН связан с заболеваниями инфекционно-аллергического и токсико-аллергического генеза (вирус простого герпеса 1 типа, пищевые отравления, нарушения обмена веществ и др.), однако в некоторых случаях триггерный фактор остается невыявленным. Теорию вирусной этиологии заболевания поддерживает статистика: ВН часто возникает после перенесенной острой респираторной вирусной инфекции, а также на пике ОРВИ в зимне-весенний период.
Патогенез
В норме (от вестибулярных рецепторов в покое) по вестибулярным нервам идет одинаковый в обе стороны сенсорный сигнал. Он передается на ядра ствола мозга через вестибулярные нервы. При ВН патологический процесс снижает сигнал с пораженной стороны, вызывая асимметрию в тонусе ядер ствола мозга. Это ведет к возникновению глазодвигательных нарушений (нистагм — непроизвольные колебательные движения глаз), нарушению восприятия (вращательное головокружение), постуральным нарушениям (нарушение равновесия в покое и при движении), вегетативным нарушениям (тошнота, рвота).
Симптомы и течение заболевания
Для ВН характерно монофазное течение — острое или подострое начало с последующим стиханием симптомов. Продолжительность клинических проявлений составляет в среднем от 1 недели до 3 месяцев (максимальные проявления — от нескольких дней до нескольких недель), после чего болезнь бесследно исчезает. Вероятность рецидива ВН составляет 2-5%.
Заболевание начинается с сильного головокружения, сопровождающегося нистагмом определенного вида. Головокружение усиливается при движениях головы и уменьшается при фиксации взора. В 78% случаев оно появляется внезапно, у 22% больных за 1-2 дня до дебюта заболевания отмечаются явления в виде неустойчивости и легкого нарушения координации движений. Часто наблюдается осциллопсия — нечеткое зрительное восприятие окружающих предметов при выполнении пассивных или активных движений головой вследствие нестабильности изображения на сетчатке. Резко нарушаются координация движений и равновесие. Почти у всех пациентов отмечается тошнота, у 65% — рвота.
В течение первых суток пациент лежит в постели — малейшие движения головой провоцируют тошноту, рвоту. На 2-5-е сутки больной способен перемещаться в пределах комнаты (палаты), однако сохраняется шаткость походки, а резкие движения головой или ходьба на большие расстояния провоцируют возникновение тошноты. На 10-14-е сутки пациент жалуется на «тяжесть» в голове, утомляемость, но в целом чувствует себя здоровым и может вернуться к привычному образу жизни.
В первые дни развития заболевания головной мозг «понимает», что вестибулярный аппарат транслирует неверный сенсорный сигнал: здоровый лабиринт всегда находится в активном состоянии, другой (пораженный) — угнетен, что интерпретируется мозгом как постоянное вращение в здоровую сторону. Поскольку восстановить проведение по пораженному вестибулярному нерву в короткие сроки невозможно, головной мозг блокирует активность здорового лабиринта, выравнивая потоки сенсорных сигналов от обоих вестибулярных аппаратов. По мере восстановления вестибулярного нерва система контроля возвращается в исходное, здоровое состояние.
Диагностика
В подавляющем большинстве случаев диагностика основывается на типичной клинической картине. Диагноз можно подтвердить с помощью видеонистагмографии (регистрация движения глазных яблок при выполнении ряда тестов), теста импульсного движения головой (тест, оценивающий функциональность сразу 6 полукружных каналов — составляющей внутреннего уха, отвечающего за координацию) и пробы Фудуко (маршевая проба, в ходе теста оценивается отклонение пациента от первоначального положения). Кроме этого, у пациентов с ВН выявляется спонтанный горизонтально-ротаторный нистагм, усиливающийся при взгляде в сторону здорового уха.
Другие тесты и исследования, в том числе аудиометрия (исследование слуха) и МРТ головного мозга, выполняются по показаниям, для исключения других причин головокружения.
Дифференциальная диагностика
ВН дифференцируют (различают) также с лабиринтитом, болезнью Меньера, ДППГ, невриномой (опухолью) VIII пары черепных нервов, рассеянным склерозом, инсультом, вестибулярной мигренью.
Лечение вестибулярного нейронита
Основные направления терапии пациентов с ВН — уменьшение головокружения, тошноты и рвоты (симптоматическое лечение) и ускорение вестибулярной компенсации.
Симптоматическое лечение включает использование лекарств, подавляющих вестибулярную функцию: антигистаминных средств (дименгидринат); бензодиазепиновых транквилизаторов (диазепам); противорвотных средств (метоклопрамида гидрохлорид, тиэтилперазин).
Симптоматическое лечение рекомендуют использовать не более 3 дней, поскольку оно замедляет вестибулярную компенсацию, что ведет к длительно сохраняющемуся головокружению.
Эффективность глюкокортикостероидов, которые ранее активно использовались у пациентов с ВН, в настоящее время ставится под сомнение. Мы не рекомендуем их применять, так как у таких пациентов нет убедительных доказательств ускорения восстановления вестибулярного нерва.
Несмотря на предположительную вирусную этиологию ВН, связанную, в частности, с вирусом простого герпеса 1 типа, применение противогерпетических препаратов также не ускоряет процесса выздоровления, и они не должны использоваться в лечении ВН.
Для лечения ВН не рекомендованы пирацетам, трентал, мексидол, актовегин, кавинтон, глицин и прочие лекарства с недоказанной эффективностью.
Примерно с третьего дня заболевания пациентам с ВН рекомендуется вестибулярная гимнастика — упражнения, ускоряющие компенсаторные процессы, от более простых к более сложным. Это упражнения на фиксацию взора, тренировку глазодвигательных реакций, на удержание равновесия в различных позах стоя и в движении.
Как происходит лечение вестибулярного нейронита в клинике Рассвет?
При подозрении на ВН мы отправляем пациента в научно-исследовательские или специализированные частные центры, с которыми сотрудничает наша клиника, — для полноценного обследования, лечения и реабилитации.
Вестибулярный нейронит
При вестибулярном нейроните возникает самокупирующийся приступ головокружения, связанный, предположительно, с воспалением вестибулярной порции 8 черепного нерва; некоторые вестибулярные нарушения могут персистировать.
Вестибулярный нейронит порой используется в качестве синонима вирусного лабиринтита. Однако вестибулярный нейронит проявляется только головокружением, в то время как вирусный лабиринтит также сопровождается шумом в ушах, тугоухостью или обоими этими симптомами.
Хотя этиология неясна, подозвревается вирусная причина этого заболевания. Вестибулярный нейронит обычно односторонний.
Симптомами и признаками вестибулярного нейронита
Состояние пациента приходит в норму в течение нескольких дней или недель после приступа. У некоторых пациентов наблюдается остаточное нарушение равновесия, особенно при быстрых движениях головы, возможно, по причине длительно существующего поражения вестибулярного аппарата.
Диагностика вестибулярного нейронита
Рекомендовано проведение аудиологического исследования, ЭНГ, МРТ исследования
При подозрении на вестибулярный нейронит проводят аудиологическое обследование Обследование Во всем мире около полумиллиарда человек (почти 8% мирового населения) страдают от потери слуха ( 1). У более 10% жителей США отмечается тугоухость определенной степени, которая создает им проблемы. Прочитайте дополнительные сведения , кровоизлияние в ствол мозга Внутримозговое кровоизлияние Внутримозговое кровоизлияние – локальное кровотечение из кровеносных сосудов в паренхиму головного мозга. Наиболее частой причиной кровоизлияния является артериальная гипертензия. Типичными. Прочитайте дополнительные сведенияЛечение вестибулярного нейронита
Симптоматически назначают противорвотные, антигисистаминные, бензодиазепины
Симптомы вестибулярного нейронита достаточно быстро, как и при болезни Меньера Лечение Болезнь Меньера – это поражение внутреннего уха, при котором возникает головокружение, сенсонервальная тугоухость, тиннитус. В настоящее время не существует патогномоничного симптома для данного. Прочитайте дополнительные сведения , купируются противорвотными (прохлорперазин или прометазин 25 мг per rectum или 10 мг перорально каждые 6–8 часов), антихолинергическими, антигистаминными препаратами, бензодиазепинами, а также пульс-терапией кортикостероидами с быстрым снижением дозы. При сохранении рвоты рекомендовано внутривенное введение препаратов и электролитов. Длительное (т.е., более нескольких недель) применение препаратов, подавляющих активность вестибулярного аппарата, не рекомендуется, потому что эти препараты, особенно в пожилом возрасте, задерживают вестибулярную компенсацию. Физиотерапия (обычно проводится физиотерапевтом) помогает устранить остаточные явления вестибулярной дисфункции.
Основные положения
Характерны тяжелые приступы стойкого головокружения, тошноты и рвоты, нистагм в направлении пораженной стороны, сохраняющийся в течение нескольких дней или недель.
Отсутствуют тиннитус и снижение слуха.
Необходимо обследование с целью исключения других заболеваний со схожей клинической картиной.
Лечение в основном симптоматическое с использованием противорвотных и антигистаминных препаратов или бензодиазепинов; кортикостероиды также могут быть эффективны в данном случае.
Авторское право © 2022 Merck & Co., Inc., Rahway, NJ, США и ее аффилированные лица. Все права сохранены.
Вестибулярный синдром
Вестибулярная система помогает поддерживать чувство равновесия и ориентации в пространстве, предоставляет информацию о положении головы и фиксирует изображение на сетчатке. Вестибулярные расстройства (вестибулярный синдром) могут вызывать головокружение, спутанность сознания и неустойчивость положения тела (ощущение движения, вращения тела, хотя человек находится в положении стоя или лежа). Вестибулярные нарушения могут также вызвать тошноту, рвоту, диарею, беспокойство или изменения кровяного давления или частоты сердечных сокращений.

Вестибулярные нарушения могут быть вызваны определенными заболеваниями, лекарствами или проблемами во внутреннем ухе или мозге. Многие люди испытывают нарушения чувства равновесия по мере старения организма. Вестибулярные нарушения и головокружения также могут возникнуть в результате приема некоторых лекарственных препаратов.
Чувство равновесия, в первую очередь, управляется лабиринтом, структурой во внутреннем ухе. Одна часть лабиринта состоит из полукружных каналов и отолитовых рецепторов отвечающих за баланс тела. С другой стороны находится улиткообразный орган, отвечающий за слух. Части внутреннего уха, связанного с балансом, называются вестибулярным аппаратом. Вестибулярный аппарат работает совместно другими сенсомоторными системами в организме, такими, как зрительная система и опорно-двигательная система, что позволяет обеспечивать контроль и поддержание положения тела в состоянии покоя или в движении. Это также помогает поддерживать направленность на определенный объект, даже если позиция тела меняется. Вестибулярная система делает это с помощью регистрации механических сил, включая гравитацию, которая действует на вестибулярные органы при движении. Две части лабиринта помогают решить эти задачи: полукружные каналы и отолитовый аппарат.
Полукружные каналы это три заполненные жидкостью петли, расположенные примерно под прямым углом друг к другу. Они сообщают мозгу, когда голова совершает движения, например, когда человек кивает головой вверх и вниз или поворачивает голову направо или налево. Зрительная система работает совместно с вестибулярной системой, что обеспечивает зрительные образы от размывания, когда голова двигается, например, при ходьбе или при поездке в автомобиле. Сенсорные рецепторы (проприорецепторы) в суставах и мышцах также помогают сохранить равновесие, при стоянии на месте или ходьбе. Мозг получает, интерпретирует и обрабатывает информацию из этих систем и таким образом управляет балансом тела.

Вестибулярные структуры внутреннего уха состоят из преддверия (овальный и круглый мешочки) и трех полукружных каналов. Эти структуры работают по принципу уровня, применяемого плотниками. Существует ряд заболеваний структур внутреннего уха, которые приводят к нарушению работы этих структур или же мозг получает недостоверную информацию от рецепторов этих структур. Эти заболевания включают синдром Меньера, лабиринтит, доброкачественное пароксизмальное позиционное головокружение, инфекции среднего уха, опухоли или травмы.
Наиболее частые причины вестибулярного синдрома.
Доброкачественное позиционное головокружение считается наиболее распространенным видом вестибулярного синдрома и головокружения синдрома.
Инфаркт лабиринта приводит к внезапной значительной потере слуховой и вестибулярной функций, и обычно возникает у пожилых пациентов. Такое состояние иногда встречается у более молодых пациентов с атеросклеротическими сосудистыми заболеваниями или с наличием явлений гиперкоагуляции. Эпизодические головокружения могут быть предвестниками полной окклюзии и протекать по типу транзиторной ишемической атаки. После полной окклюзии, интенсивность головокружения постепенно идет на спад, но может сохраняться определенная неустойчивость при движении, в течение нескольких месяцев пока не произойдет вестибулярная компенсация.
Вестибулярный нейронит. Повреждение нерва связывают с вирусной инфекций (вирусом герпеса). Заболевание, как правило, встречается в осенне-весенний период во время пика ОРЗ. При вестибулярном нейроните эпизоды головокружения возникают без потери слуха, могут сопровождаться тошнотой и рвотой. Длительность эпизода может варьировать от нескольких дней до нескольких недель, с постепенным регрессом симптомов. Вестибулярный нейронит может сопровождаться приступами доброкачественного позиционного головокружения.
Лабиринтит
Лабиринтит обусловлен воспалительным процессом внутри перепончатого лабиринта, который может быть обусловлен бактериальной или вирусной инфекцией. Вирусные инфекции лабиринта вызывают симптомы головокружения, похожие на вестибулярный неврит, но в сочетании с кохлеарными нарушениями. Такие инфекции, как корь, краснуха, цитомегаловирус, как правило, не вызывают вестибулярные нарушения. Бактериальный лабиринтит может быть как с поражением самого перепончатого лабиринта, так и в серозной форме. Серозная форма лабиринтита часто наблюдается при остром среднем отите, когда бактериальные токсины диффузно попадают в лабиринт.
Болезнь Меньера
Болезнь Меньера является заболеванием внутренним уха и характеризуется эпизодическими приступами головокружения, нейросенсорной тугоухостью, шумом в ушах, и ощущением давления на ушные мембраны. Сначала происходит нарушение слуха на низких частотах, с постепенным прогрессированием нарушения восприятия и на других частотах, по мере повторения эпизодов заболевания. Эпизоды болезни Меньера ?? характеризуются истинным головокружением, как правило, с тошнотой и рвотой и держатся в течение нескольких часов. Как полагают, это заболевание связано с расширением эндолимфатического пространства, с разрывами и последующей регенерацией перепончатого лабиринта.
Мигрень
Нередко приступы мигрени могут быть похожи на приступы болезни Меньера. Но при мигрени потеря слуха встречается реже, чем в головокружение, шум в ушах, светобоязнь, и фонофобия. Но, тем не менее, при мигрени может быть определенная нейросенсорная тугоухость на низкочастотные звуковые колебания. Поэтому, иногда дифференциальный диагноз между этими заболеваниями иногда представляет трудности. Рассеянный склероз также представляет собой диагностическую сложность для дифференциальной диагностики с мигренью. В 5% случаев рассеянный склероз может дебютировать с изнурительных головокружений, а у 50% пациентов с рассеянным склерозом эпизоды головокружений встречаются в определенные периоды заболевания. Тем более что у одного из десяти пациентов с рассеянным склерозом может быть потеря слуха, которая может быть частичной или полной, что делает схожей симптоматику с болезнью Меньера или мигренью.
Болезнь «выгрузки»
Приступы головокружения возникают после высадки и человек продолжает ощущать движения покачивания, которое сохраняется после возвращения к стабильной окружающей среде после длительного воздействия движения (например, после поездки в поезде автомобиле на лодке).
Другие причины вестибулярного синдрома. Повреждение вестибулярного анализатора может быть обусловлено травмой головы, «хлыстовой травмой «, невриномой слухового нерва, интоксикацией лекарствами состоянием после оперативного вмешательства на ухе, заболевания опорно-двигательного аппарата (с нарушением проприорецепции) заболевания центральной нервной системы.
Симптомы
При нарушении работы вестибулярного анализатора возникает ощущение вращения. Человек может шататься, при попытке ходить или падать, при попытке встать. Основными симптомами вестибулярного синдрома являются:
- Головокружение или ощущение головокружения
- Падение или чувство возможного падения
- Слабость
- Нечеткость зрения
- Дезориентация
Другими симптомами являются тошнота, рвота, диарея, изменения частоты сердечных сокращений кровяного давления, страх, тревога или паника. Некоторые пациенты могут испытывать усталость, депрессию, невозможность концентрации внимания. Симптомы могут появляться и исчезать в течение короткого периода времени или иметь длительные промежутки между приступами.
Диагностика
Диагностика вестибулярных нарушений достаточно сложная, так как причин нарушений вестибулярной функций много, как заболеваний, так и лекарств вызывающих головокружения. Тем не менее, в первую очередь необходимо пройти консультацию ЛОР – врача. После изучения истории болезни, подробного изучения симптомов врач проведет осмотр уха и назначит необходимый план обследования. План обследования может включать как лабораторные исследования или специальные тесты (аудиометрию, электронистагмографию), так и методы нейровизуализации, такие как МРТ и КТ. Кроме того, в последние годы получили распространение такие методы исследований как: компьютерно-динамический визуальный тест, тестирование вестибулярной авторотации, ВВП (вестибуло-вызванные потенциалы).
Наиболее простыми и доступными тестами являются такие тесты как энергические суть, которых заключается в холодовом или тепловом воздействием на среднее ухо, что проще всего проводить с использованием воды разной температуры. Разница в нистагме более 25 %,возникающем при воздействие температурного фактора, как правило, свидетельствуют о наличии периферической или центральной дисфункции вестибулярного аппарата.
Лечение

Лечение вестибулярного синдрома зависит, прежде всего, от генеза этого синдрома. Прежде всего, необходимо исключить повреждения вестибулярного анализатора центрального генеза (заболевания головного мозга, травмы). Лечение будет зависеть от патогенеза вестибулярных нарушений.
В некоторых случаях при вестибулярных нарушениях необходимо воздействовать на факторы повседневной деятельности, такие как поездки, в автомобиле или лифте что позволит уменьшить риск травм. При наличии ДППГ врач может назначить выполнение ряда простых движений, как например маневр Эпли, что позволяет высвободить отоконии в полукружных каналах. При болезни Меньера, врач может рекомендовать изменения в рационе, такие как сокращение использования соли в пищу и ограничение алкоголя и кофеина. Избавление от такой привычки, как курение, также может оказать положительный эффект. Возможно введение такого антибиотика в небольших дозах (гентамицина) или стероида за барабанную перепонку. В тяжелых случаях болезни Меньера возможно хирургическое лечение. Медикаментозное лечение вестибулярных нарушений включает применение препаратов из группы антихолинергических, антигистаминных препаратов, группы бензодиазепинов. Используются также симптоматические препараты, например церукал. Для лечения головокружения в последнее время применятся такой препарат, как бетасерк.
При наличии воспалительных процессов в среднем ухе необходимо применение противоспалительного лечения или антибиотиков.
При наличии стойких вестибулярных нарушений необходимо принять ряд мер для уменьшения риска падения, например использование перил при подъеме по лестнице, ношение обуви на низком каблуке, оборудование поручней в ванной, исключение вождения автомобиля и т.д.
Читайте также:
