МРТ туберкулезного спондилита
Добавил пользователь Валентин П. Обновлено: 06.01.2026
Facebook Если у вас не работает этот способ авторизации, сконвертируйте свой аккаунт по ссылке ВКонтакте Google RAMBLER&Co ID
Авторизуясь в LiveJournal с помощью стороннего сервиса вы принимаете условия Пользовательского соглашения LiveJournal
Туберкулез позвоночника (туберкулезный спондилит)
Туберкулез костей и суставов характеризуется образованием специфической гранулемы и прогрессирующим разрушением кости и, как следствие, выраженными органическими и функциональными нарушениями пораженного отдела скелета (туберкулезная гранулема имеет следующее строение: в центре нее расположен очаг некроза, по периферии - вал из эпителиоидных клеток и лимфоцитов с примесью макрофагов и плазматических клеток, между эпителиоидными клетками и лимфоцитами располагаются гигантские клетки Лангханса, которые весьма типичны для туберкулезной гранулемы, при окраске по Цилю-Нельсену в гигантских клетках выявляют микобактерии туберкулеза). Для каждого органа при туберкулезе внелегочных форм локализаций строго определено место расположения первоначальных туберкулёзных очаговых поражений.
Туберкулез костей, как правило, начинается с поражения красного костного мозга; некроз, разрушение и рассасывание трабекулярной системы костной ткани происходит вторично. Поэтому первичный остит обычно локализуется в костях скелета, состоящих из губчатой костной ткани - в телах позвонков (эпиметафизарных отделах длинных трубчатых костей). Причем наблюдается определенная пропорциональность в соотношениях губчатой ткани, приходящейся на отдельные части скелета и частоты поражения их туберкулезом. Поэтому туберкулез костей позвоночника (спондилит) является самой частой формой костно-суставного туберкулеза.
Преимущественность локализаций первичных поражений в губчатом веществе тел позвонков объясняется повышенной чувствительностью ретикуло-эндотелиальных элементов красного костного мозга и обилием его кровоснабжения (как известно, очаговые поражения при туберкулезе возникают лишь при определенных условиях микроциркуляции, при этом одним из условий является обширность микроциркуляторного бассейна с замедленный кровотоком и интимным контактом русла с тканями).
При туберкулезе позвоночника по локализации поражения на 1-м месте стоит грудной отдел (60%), на 2-м - поясничный (30%). Частота поражения шейного и крестцового отделов - 5%. Двойные и тройные локализации поражения ранее встречались редко, сейчас же частота их составляет у взрослых около 10%. Количество пораженных позвонков колеблется в значительных пределах. У впервые выявленных больных чаще всего (65%) обнаруживается поражение 2 - 3 позвонков, деструкция тела одного позвонка встречается в 1 - 3% случаев. Обширные разрушения наиболее характерны для грудного и грудо-поясничного отделов позвоночника.
Особенности клинического течения туберкулеза позвоночника во многом зависят от состояния иммунной системы организма. Степень выраженности нарушений иммунного статуса пациентов коррелирует со степенью тяжести клинического течения заболевания. Его симптоматика разнообразна – от неопределенных общих симптомов воспаления до развития тяжелых неврологических нарушений. Тяжесть неврологических осложнений эволютивного туберкулезного спондилита зависит от уровня поражения позвоночника и спинного мозга, размера позвоночного канала, коэффициента компрессии дуралыюго мешка и спинного мозга, степени стеноза позвоночного канала и наличия в нем резервного пространства.
В клинической картине туберкулезного спондилита имеют место следующие симптомы: деформация позвоночника, чаще одноплоскостная (кифоз), от пуговчатого до остроугольного; болевой синдром; утомляемость, изменение общего самочувствия; температурная реакция – субфебрильная или фебрильная; неврологические нарушения, чаще – при поражениях грудных и шейных позвонков; выявление абсцессов в зонах, удаленных от уровня поражения позвоночника, в т.ч. в подвздошных областях, на бедре и т.д.
В современных эпидемических условиях туберкулез позвоночника характеризуется острым и подострым началом заболевания, формированием кифозов первой степени у каждого второго, со спинномозговыми осложнениями у каждого третьего. В образовании спинномозговых осложнений ведущая роль отводится паравертебральным абсцессам. Клинические проявления туберкулезного спондилита, когда он сопровождается неврологическими осложнениями, сводятся, согласно классическим представлениям, в основном к триаде: горб, паравертебральный абсцесс (устаревшие названия – натечник, натечные абсцессы), парез или паралич мышц ног.
Проблема диагностики и лечения пациентов с воспалительными процессами позвоночника сложна в связи с многообразием форм и проявлений неврологических и ортопедических синдромов, сопровождающих течение болезни (туберкулезного спондилита), а также в связи с увеличением доли нетипичных форм туберкулеза костей (благодаря патоморфозу туберкулеза). Каждый метод диагностики имеет свои преимущества и ограничения, но в комплексе они дополняют друг друга и используются для диагностики (в т.ч. дифференциальной), решения вопроса о характере и объеме хирургического вмешательства, комплексного изучения динамики туберкулезного процесса, а также эффективности противотуберкулезной терапии и хирургического лечения.
Всем пациентам с подозрением на туберкулезный спондилит рекомендуется выполнять МРТ для первичной и ранней диагностики. Однако рентгенодиагностика при туберкулезе позвоночника наиболее часто применяемый метод диагностики (после клинического) при этом диагностика спондилита, как правило, происходит на стадии контактной деструкции позвонков. Рентгенограммы пораженного отдела снимают в двух взаимно перпендикулярных проекциях: прямой и боковой. В позвоночнике трудно выявить небольшую степень остеопороза вследствие его непарности; кроме того, он прикрыт рядом органов различного кровенаполнения и различной воздухоносности, поэтому самым ранним признаком туберкулезного спондилита становится сужение межпозвонковой щели, свидетельствующее о нарушении целости межпозвонкового хряща и поражении тела позвонка. Сужение межпозвонковой щели на прямой рентгенограмме может оказаться ложным; истинное сужение видно как на прямом, так и на боковом снимке.


Использование КТ (компьютерной томографии) позволяет уточнить степень и характер поражения костной ткани, в том числе дуг и отростков позвонков, что невозможно при традиционной рентгенографии, а также выявит костную деструкцию с секвестрами на ранних стадиях. Таким образом, использование КТ при туберкулезном спондилите показано: в случаях, когда на обычных рентгенограммах и томограммах деструкция не выявляется, а на МРТ имеется патологическое изменение сигнала от позвонков; для выявления или уточнения деструкции костных элементов задней позвоночной колонны (дуг, отростков, дугоотростчатых суставов); для уточнения характера разрушений в сложных для рентгенологического исследования областях - субокципитальной, шсйно-грудной, пояснично-крестцовой; при недостаточности рентгенологической информации о соотношении деструктивных костных полостей с просветом позвоночного канала, паравертебральными тканями и соседними органами; в послеоперационном периоде для оценки сращения трансплантатов с костным ложем, радикальности выполненного оперативного вмешательства и выявления рецидивов паравертебральных абсцессов.


МРТ (магнитно-резонансная томография) обладает большим преимуществом при выявлении туберкулезного остита, позволяет прижизненно изучить динамику туберкулезного процесса, отражает протяженность паравертебральных абсцессов, дает возможность оценить состояние межпозвонкового диска, позвоночного канала, спинного мозга, его оболочек, компримирующего субстрата. Таким образом, показаниями к использованию МРТ являются: все случаи спинномозговых расстройств; необходимость уточнения протяженности компримированного участка спинного мозга; отсутствие изменений на рентгенограммах при наличии жалоб и клиники спинального дефицита; спондилит субокципитальной и шейно-грудной локализации; выявление абсцессов, их протяженности, связи с позвоночником и другими органами, в том числе при атипичном течении туберкулезного спондилита; сохраняющиеся неврологические нарушения после декомпрессивной операции. Использование МРТ не показано при наличии металлических конструкций в позвоночнике, искусственного водителя ритма сердца, металлических клемм на сосудах и др.


Обратите внимание: неоправданно длительное консервативное лечение туберкулеза позвоночника приводит к появлению распространенных и осложненных форм туберкулезного спондилита; длительное течение заболевания увеличивает риск послеоперационных осложнений; с цель профилактики послеоперационных осложнений показаны ранние оперативные вмешательства в объеме радикально-восстановительных операций в срок до 6 месяцев от начала заболевания.
статья «Современная клинико-лучевая диагностика туберкулезного поражения позвоночника (обзор литературы)» Цыбульская Ю.А.; ГБОУ ВПО «Первый Московский государственный медицинский университет им. И.М. Сеченова» МЗ РФ , Москва (журнал «Медицинская визуализация» №1, 2015) [читать];
статья «Неврологический статус и визуализация спинного мозга у пациентов с инфекционными спондилитами: возможны ли сопоставления при спондилогенной миелопатии?» М.Е. Макогонова, А.Ю. Мушкин, П.В. Гаврилов; ФГБУ «Санкт-Петербургский научно-исследовательский институт фтизиопульмонологии» МЗ РФ (журнал «Обзоры по клинической фармакологии и лекарственной терапии» №2, 2017) [читать]
МРТ туберкулезного спондилита
МРТ туберкулезного спондилита
а) Терминология:
• Туберкулезный спондилит (ТС)
• Гранулематозное инфекционное заболевание позвоночника и окружающих мягких тканей, вызванное возбудителем туберкулеза
б) Лучевая диагностика туберкулезного спондилита:
• Массивное поражение позвонков с относительным сохранением межпозвонковых дисков, формированием крупных паравертебральных абсцессов
• Среднегрудной отдел и грудопоясничный переход > поясничный, шейный отдел
• Возможно изолированное поражение задних элементов позвонков
• Сагиттальные STIR и FSE T2 МР-И наиболее чувствительны в отношении диагностики отека костного мозга, поражения эпидурального пространства:
о МРТ считается наиболее информативной методикой, позволяющей оценить протяженность поражения и ответ на проводимую терапию
(Слева) Схема сагиттального среза поясничного отдела позвоночника: показано многоочаговое гранулематозное поражение позвоночника. На уровне межпозвонкового диска L3-L4 и между остистыми отростками L2-L3 В - крупные абсцессы.
(Справа) Сагиттальный срез, STIR МР-И, пациент с туберкулезом: многоуровневое поражение позвоночника с формированием подсвязочного абсцесса и частичным поражением межпозвонкового диска В, Видны множественные очаги костного поражение с сохранением смежных межпозвонковых дисков. (Слева) Сагиттальный срез, Т1-ВИ, FS с КУ: фокальная кифотическая деформация на уровне L2-L3, коллапс межтелового пространства, выраженное контрастное усиление сигнала тел позвонков В и формирование вентральною и дорзального паравертебральных абсцессов. В паравертебральных мягких тканях видны абсцессы, характеризующиеся периферическим контрастным усилением сигнала, края которых в отсутствие контрастирования гипоинтенсивны.
(Справа) Фронтальный срез, Т1-ВИ FS c КУ: случай туберкулезного спондилита vertebra plana L2 позвонка. Видны признаки поражения поясничной мышцы в виде ее отека и выраженного контрастного усиления сигнала. Межпозвонковый диск окружен воспаленными мягкими тканями.
в) Дифференциальная диагностика:
• Пиогенный спондилит:
о Первичное поражение субхондральной кости
о Типично поражение межпозвонкового диска
• Грибковый спондилит
• Метастатическое поражение позвоночника:
о Экстраоссальное эпидуральное и паравертебральное распространение процесса
о Интактность межпозвонкового диска
• Бруцеллезный спондилит
г) Патология:
• Гематогенный и лимфогенный пути инфицирования
• Первичный очаг поражения в переднем отделе тела позвонка
• Распространение по подсвязочным пространствам на соседние и отдаленные от первичного очага позвонки
д) Клинические вопросы:
• Хронический болевой синдром в спине, локальная болезненность, лихорадка
• Неврологические осложнения при туберкулезном спондилите (ТС) встречаются чаще, чем при других гранулематозных инфекциях позвоночника
Туберкулезный спондилит?
Больной в 1994 году перенес спондилит Th6, Th9, L1. Имел инвалидность. Больше ничего не известно. Ухудшение несколько месяцев- появились боли в позвоночнике. РОГК без патологии. Общие анализы без изменений. На МРТ изменения в позвонках и паравертебральных тканях в виде кист. Присланы документы заочно для исключения туберкулезного спондилита. Направила на МСКТ, ИФА на эхинококкоз. Что можно еще сделать подскажите?
Тела позвонков Д12-L1 разрушены в различной степени, сближены между собой и образуют костный блок неоднородной структуры. Это последствия перенесенного туб. спондилита. В теле L2 определяется костная каверна, вероятно заполненная казеозом, которая переходит через частично разрушенный межпозвонковый диск. Насколько свежи эти изменения сказать трудно без предыдущих исследований. Осталось непонятным, что с позвонками Д6 и Д9. Для туберкулёза такая множественная локализация не характерна. Если больной не имеет архива исследований позвоночника, исключить рецидив туб спондилита не получится.
На паразитарное поражение не похоже?Я имею в виду 2 позвонок?
Не уверена, что при туберкулезе позвонка будет наблюдаться вздутие контура L2, больше склоняюсь к паразитарному поражению. Если пришлют МСКТ потом представлю. Из описания: в теле Л2 определяется жидкостное включение, с перифокальным склерозом, которое распространяется через краниальную замыкательную пластину Л2, через выраженно измененный диск до каудальной пластинки Л1 без изменения целостности последней. Повышен сигнал от дужек Д12-Л2. Кистовидные включения в большой поясн мышце 0,8*6,1 справа, 0,8*5,1 слева, спереди 1,4*3,4. Опять же множественное поражение не рядом лежащих позвонков в анамнезе, самоизлеченных, туберкулезный спондилит больному не ставили, и соответственно не лечили.
Поражение Д12-L2 вполне укладываются в туб. спондилит. Множественного поражения не рядом лежащих позвонков, как и вздутия L2, к сожалению, не вижу. Кистовидные включения в поясничных мышцах - остатки натёчников. Если туб. спондилит не ставили и не лечили, то по какому поводу была инвалидность?
Больному ставили диагноз метастатическое поражение (без установленного первичного очага) в Д6, Д9, Л1 позвонки. В последующем стоял диагноз спондилит, получал лечение в НИИТО в виде использования корсета, а в 1996 году оформлялся на МСЭ с диагнозом консолидированный патологический перелом Д6, Д9, Л1. Снимки указанных позвонков я заказала.
На чем основано "склоняюсь к паразитарному поражению". Поделитесь соображениями. Может есть собственный опыт?
На чем основано "склоняюсь к паразитарному поражению". Поделитесь соображениями. Может есть собственный опыт?
Если рассмотреть эту кисту в Л2 позвонке, она имеет четкие контуры, нет никакого тающего сахара, краниальная пластинка позвонка не разрушена, а деформирована, как бы приподнята, вздута? Был один случай когда мы взяли на учет больного с диагнозом туберкулезный спондилит (все начиналось с бокового поражения 2-х тел, натечного абсцесса (как мы думали) на бедре), а окзался эхинококкоз. Теперь он везде видится. Первые снимки не сохранила. Могу представить только снимки, сделанные после курса протвотуберкулезной терапии, снимки с отрицательной динамикой. Клиника нарастала, паразитарные абсцессы рецидивировали после множественных операций, появились изменеия в печени. Диагноз эхинококкоза гистологически подтвержден.
Клинико-рентгенологические проявления туберкулезного спондилита, сочетанного с туберкулезом легких
По данным МРТ компрессия спинного мозга и его корешков имеется у 90,7 % больных туберкулезным спондилитом, тогда как неврологические расстройства у 69,8 %. Компрессия спинного мозга и его корешков выявляется лучевыми методами у пациентов без неврологических нарушений в 64,1 % случаев, что расширяет показания к оперативному вмешательству. Чувствительность МРТ составляет 88,7 %, специфичность — 83,5 %.
Актуальность. Проблемы туберкулезного спондилита сложны, что связано не только с характером упорного и разрушительного патологического процесса, но и со сложностью его диагностики и с развивающими осложнениями. Однако из серьезных проблем в лечении туберкулеза позвоночника является наличие сопутствующих туберкулезных процессов в других органах, особенно в легких [1, 4, 6].
По данным П. Х. Назирова (2014) у 30 % больных туберкулезом костей и суставов сочетался с туберкулезом легких, у 2,0 % почек, у 2,4 % — гениталий и у 6,0 % — лимфатических узлов. Следовательно, одним из факторов, сдерживающих применение комбинированного лечения у больных туберкулезом позвоночника и выступающих главной причиной противопоказаний к раннему применению хирургических вмешательств, является наличие туберкулезного процесса в легких.
Следовательно, частота сочетаний спондилита с активными специфическими процессами в легких, плевре, лимфатических узлах, краткость и отсутствие временных промежутков между их первичным выявлением, тенденция к распространенности процесса в позвоночнике свидетельствуют о массивности инфицирования, ослабленности организма больных [7, 8, 9].
В связи с этим своевременное выявление и целенаправленная адекватная терапия туберкулеза позвоночника и легких представляется в настоящее время наиболее актуальным направлением в медицине.
Целью работы явилось определение причины поздней диагностики, клинических проявлений туберкулеза позвоночника, сочетанного с легочным туберкулезом.
Материалы и методы: проанализированы результаты обследования и лечения 86 больных туберкулезом позвоночника, сочетанного с туберкулезом легких. Возраст больных колебался от 20 до 60 лет. Из них мужчин 50 (58,1 %), женщин 36 (41,9 %). Контролем служили 54 больных туберкулезом легких без поражения позвоночника. При поступлении в стационар и в динамике лечения больным проведены комплексные клинико-лабораторные и биохимические исследования. Посевы биопсийного и послеоперационного материала на МБТ (мокрота, гной, пунктат из абсцесса и синовиальная жидкость) в абсолютных концентрациях 40 и 1 мкг/мл. Для быстрого определения устойчивости к двум основным противотуберкулезным препаратам I-го ряда микроскопически положительные образцы были тестированы генетическим экспресс тестом MTBDRplus фирмы HAZNlitescience. Проведены ортопедические и неврологические осмотры, обзорные рентгенограммы легких и позвоночника, УЗИ внутренних органов, КТ и МРТ до операции.
У больных 1-й группы (86 человек) туберкулез позвоночника сочетался с туберкулезом легких. Давность туберкулеза легких составила от 2 месяцев до 2-х лет. У 67 (77,9 %) больных туберкулез легких установлен впервые в жизни, 19 (22,1 %) больных ранее лечились противотуберкулезными препаратами и поступили в клинику с обострениями процесса в легких.
Среди обследованных очаговый туберкулез установлено у 39 (45,3 %), инфильтративный — у 15 (17,4 %), кавернозный у 1 (1,2 %), фиброзно-кавернозный — у 5(5,8 %), диссеминированный у 21(24,4 %) и плевриты — у 5 (5,8 %). Правосторонний специфический процесс был у 29 (33,7 %) больных, левосторонний — у 19 (22,1 %). Двусторонний процесс наблюдался у 38 (44,2 %), чаще всего диссеминированный (25,8 %), а фиброзно-кавернозный туберкулез диагностирован у 7,1 % больных.
Клиническое течение туберкулеза позвоночника, сочетанного с туберкулезом легких, сопровождалось с выраженными интоксикационными симптомами и у 24 (27,9±2,2 %) больных отмечалось сравнительно острое начало специфического процесса. Аналогичные изменения были всего лишь у 4 (7,4±0,8 %) больных 2 группы. Анализы периферической крови показали, что со стороны эритроцитов, гемоглобина выраженные изменения не были выявлены. Наиболее значительные изменения регистрировались со стороны лимфоцитов (22,0 % против 26,7 %), моноцитов (3,7 % против 4,3 %) и эозинофильных лейкоцитов (1,4 % против 2,8 %) у пациентов 1-й группы и объясняется снижением защитных механизмов организма при генерализованном туберкулезном процессе.
Биохимические исследования позволили выявить значительные колебания АЛТ (0,60±0,02 против 0,34±0,01 мкмоль/л), АСТ (0,75±0,02 против 0,14±0,01 мкмоль/л) и снижения уровня общего белка 6,8±0,2 г/л у больных 1-й группы (6,8±0,2 г/л), чем 2-й группы (7,4±0,2 г/л) (P<0,05).
Выделение микобактерий туберкулеза у больных с сочетанными формами зависит от давности, активности, распространенности специфического процесса и качества сбора патологического материала. Микобактерии туберкулеза были выделены у 46 (32,9 %) больных туберкулезом позвоночника; у 13 методом бактериоскопии, у 33- методом посева. Из них 30 (34,9 %) больных 1-й и 16 (29,6 %) 2-й группы.
Лучевое исследование пораженных позвонков показало, что у больных 1-й группы поражение 3–4 и более позвонков встречается чаще (48,8 %), чем у больных 2-й группы (29,7 %). Следовательно, нестабильность позвоночного столба установлена у 65,1 % больных 1-й группы и у 42,6 % больных 2-й группы.
Ограничение подвижности позвоночника имело место у 72,1 % больных 1-й группы и у 53,7 % 2-й группы, которое сопровождалось выраженным болевым симптомом, даже при небольшой нагрузке.
Наличие паравертебральных абсцессов, на фоне выраженной интоксикации и нарушение функции паренхиматозных органов усиливает деструкцию костной ткани, которые встречались достоверно чаще среди больных 1-й группы (88,3 %), чем 2-й группы (66,6 %). Свищевые формы процесса наблюдались у 8,1 % больных 1-й группы и у 3,7 % больных 2-й группы.
Прогрессирование деструктивных изменений в телах пораженных позвонков на фоне паравертебральных абсцессов и эпидуритов приводит к компрессии спинного мозга, особенно на отдаленных этапах развития туберкулезного процесса. Следовательно, у 67,4±4,0 % больных 1-й группы и у 53,7±3,2 % 2-й группы больных определено наличие спинномозговых нарушений различной степени тяжести. Легкий парапарез по типу пирамидной недостаточности наблюдался у 19,8±2,0 % 1-й группы и у 22,2±2,1 % 2-й группы. Тяжесть спинномозговых нарушений определяется наличием нарушений функции тазовых органов. Нарушение функции тазовых органов отмечалось у 46 (53,5±3,0 %) больных 1-й группы и у 17 (31,5±2,6 %) 2-й группы. Частичная задержка мочеиспускания имело место соответственно у 36,0 и 22,2 %, императивность позывов, чередующаяся с задержкой у 15,1 и 7,4 %, парадоксальное мочеиспускание отмечалось соответственно у 2 и 1 больного.
На основании проведенного анализа рентгенограмм и КТ и МРТ позвоночника при туберкулезном спондилите по характеру деструкции выделены 3 основных вида: 1) очаговая деструкция в телах позвонков; 2) образование межтелевой костной каверны с секвестрами или казеозными массами, периферические отделы тел при этом сохранены и образуют своеобразную «костную коробку» вокруг полости деструкции; 3) плоскостная контактная деструкция, когда смежные отделы тел разрушены равномерно по всей площади. По глубине деструкции тел выделено 4 варианта разрушения позвонков: 1) тела позвонков разрушены поверхностно и до 1/3 высоты; 2) тела позвонков разрушены на 1/2 или 2/3 высоты (встречался наиболее часто); 3) субтотальное и тотальное разрушение позвонков; 4) деструкция по типу кариеса. При вовлечении в процесс большого числа позвонков наблюдалось сочетание видов и вариантов деструкции. В редких случаях атипичного течения туберкулезного спондилита характер деструкции не укладывался в указанные виды.
Костную компрессию спинного мозга и эпидуральный абсцесс по обзорным рентгенограммам и КТ без контрастирования дурального мешка можно было предположить при выявлении обызвествленных казеозных масс и секвестров в просвете позвоночного канала только в 31,8 % случаев. В остальных случаях достоверно оценить уровень, степень и протяженность компрессии без контрастирования дурального мешка было невозможно.
На контрастных миелограммах наличие эпидурального абсцесса определялось по компрессии, которую абсцесс оказывал на контрастированные оболочки спинного мозга, образуя на их фоне дефекты наполнения либо вызывая блок ликворных путей. Дуральный мешок на уровне компрессии повторял форму кифотической деформации позвоночного канала, отклонялся и смешался назад в результате давления извне, насколько позволяло резервное пространство позвоночного канала. Полный блок ликворных путей свидетельствовал о выраженных патологических проявлениях туберкулезного спондилита.
На КМГ в сагиттальной проекции нами выделено 4 варианта компрессии дурального мешка при эволютивных формах туберкулезного спондилита:
1) локальная или протяженная компрессия дурального мешка абсцессом с визуализацией контура и протяженности абсцесса (45,8±5,8 %);
2) локальная костная компрессия остатком тела позвонка (11,9±3,3 %);
3) неравномерное контрастирование дурального мешка, когда на уровне компрессии контур его не прослеживался, но на фронтальных миелограммах определялось контрастное средство выше и ниже компрессии (3,4±2,7 %);
4) полный блок ликворных путей, остановка контрастного вещества (35,6±8,2 %);
У двоих больных наблюдалось смешанная костная компрессия дурального мешка с компрессией эпидуральным абсцессом.
Остановка контрастного вещества при полном блоке ликворных путей была либо постепенной по вогнутой дуге, которая огибала и подчеркивала нижний полюс абсцесса, либо наблюдался резкий «обрыв» контрастированного участка дурального мешка. Полный блок ликворных путей с резкой поперечной остановкой контрастного, вещества, по нашему мнению, связан либо с высоким давлением в эпидуральном абсцессе, либо с вовлечением в воспалительный процесс оболочек спинного мозга. Он соответствовал тяжелым неврологическим нарушениям типа «А« и «В« (Ркз=0,05) при локализации поражения в верхне- и среднегрудном отделе позвоночника.
Анализ нашего материала показал, что процент ошибочной трактовки результатов лучевого обследования туберкулезного спондилита на начальных этапах все еще велик, преобладает поздняя диагностика туберкулезного спондилита. В 96,0 % случаев процесс было выявлено в период разгара спондилитической фазы, в 33,0 % на фоне развившихся неврологических расстройств. Наиболее часто процесс были вовлечены 2–3-4–5-6 позвонка.
Инфильтрация в позвоночном канале выявлялось у 45(32,1 %) больных. На рентгенограммах абсцессы хорошо выявлялись в грудном отделе позвоночника, где они видны на фоне воздушной легочной ткани. Забрюшинные абсцессы выявлялись по косвенному признаку расширения контуров m.iliopsoas major, когда достигали значительных размеров. Невозможно было увидеть абсцесс мягких тканей спины и небольшие паравертебральные абсцессы в поясничном отделе позвоночника. Контуры абсцессов и их соотношения с окружающими органами на рентгенограммах и томограммах удавалось определить не всегда. КТ и МРТ в равной степени хорошо выявляли абсцессы, их камеры, соотношения с позвонками и окружающими органами и тканями, особенно после внутреннего контрастирования. На ранней стадии формирования абсцесса отмечалась инфильтрация жировой прослойки вокруг тела позвонка. Преимущество МРТ — возможность многопроекционного исследования, что позволяло выявить соотношения абсцессов не только с окружающими тканями, но и связь их между собой. Комплексная оценка изменений костной структуры, выявляемых на рентгенотомограммах и КТ, и патологических изменений сигнала на МРТ, давала представление о морфологических изменениях в позвоночнике и о фазе туберкулезного спондилита.
- Сочетанные формы туберкулеза позвоночника и легких протекают с выраженной интоксикацией и болевым синдромом. Наблюдаются выраженные патологические сдвиги со стороны периферической крови, нарушение функции печени.
- Использование КТ и МРТ открыло новые возможности в диагностике туберкулезного спондилита; КТ и МРТ высоко эффективны в выявлении компрессии спинного мозга у больных туберкулезным спондилитом.
- Кульчавеня Е. В. Клинико-эпидемиологические особенности современного туберкулёзного спондилита // Туберкулез и болезни легких. — 2013. -№ 1. — С. 41–45.
- Советова Н. А. Туберкулезный спондилит у взрослых (клинико-лучевые проявления) // Туберкулез и болезни легких. — 2014. — № 2. — С. 10–14.
- Смердин С. В. Возможности лучевой диагностики туберкулезного спондилита // Туберкулез и болезни легких. — 2014. — № 7. — С. 65–70.
- Корнев П. Г. Вопросы хирургического туберкулеза и костно-суставных заболеваний (выдержки из опубликованного) // Проблемы туберкулеза и болезней легких. — 2006. — № 11. — С. 55–56.
- Роднова И. Г. Магнитная стимуляция спинного мозга в комплексном послеоперационном лечении неврологических нарушений у больных туберкулезом и остеомиелитом позвоночника: Дис…..канд. мед. наук. — СПб, 2010. — 132 с.
- Tiksnadi B. The NRAMP1 polymorphism as a risk factor for tuberculous spondylitis. //Malays Orthop J. — 2013. — Vol.7, № 1. — P. 25–9.
- Vatutina V. V. Tuberculosis of respiratory organs concomitant with tuberculosis of bones and joints in young children // Probl Tuberk Bolezn Legk. — 2003. — № 5. — Р. 31–3.
- Delogu G. Microbiological and immunological diagnosis of tuberculous spondylodiscitis // Eur Rev Med Pharmacol Sci. — 2012. — Vol.16, № 2. — Р. 73–8.
Основные термины (генерируются автоматически): больной, туберкулезный спондилит, спинной мозг, туберкулез легких, туберкулез позвоночника, абсцесс, позвоночный канал, полный блок, тело позвонков, контрастное вещество.
Отделение туберкулезное для больных костно-суставным туберкулезом

Заведующий отделением Хащин Денис Леонидович. Травматолог-ортопед.
Врачебный стаж – 20 лет, высшая аттестационная категория, кандидат медицинских наук. Специализации: 1. «Хирургия заболеваний и повреждения позвоночника», г. Новосибирск – 2003 г.; 2. «Эдопротезирование тазобедренного сустава» г. С-Петербург 2006 г., 2010 г.; 3. «Актуальные вопросы вертебрологии», г. Краснодар 2012 г., 2015г., "Современные технологии в хирургии позвоночника" С-Пб НИИТО им. Р.Р. Вредена 2016г.,2020г. Сертифицирован в 2018 г., С-Пб НИДИО Г.И. Турнера.
Врач травматолог-ортопед Григорьева Н.Н. Врачебный стаж 9 лет, первая аттестационная категория. Специализации: «Современные технологии в хирургии позвоночника" С-Пб НИИТО им. Р.Р. Вредена 2014г., С-Пб НИИТО им. Р.Р. Вредена 2019 г.
Врач травматолог-ортопед Уманский Р.В., врачебный стаж 9 лет, первая аттестационная категория. Специализация: « Современные технологии в хирургии позвоночника" С-Пб НИИТО им. Р.Р. Вредена 2019 г.
Врач невролог - Немкова И.В. Врачебный стаж 41 год: высшая аттестационная категория, лицензирована – 2018 г.
- Транспедикулярная фиксация в хирургическом лечении туберкулезного спондилита и хронического гематогенного остеомиелита позвоночника / Д.Л. Хащин, В.Г. Редкобородый, А.П. Пошеченков // Хирургия позвоночника. - 2008. - №4. - С.52-57.
- Транспедикулярная фиксация в хирургическом лечении туберкулезного и неспецифического гематогенного остеомиелита позвоночника / Д.Л. Хащин, В.Г. Редкобородый, В.С. Одинец, В.В. Олейник // Пробл. туберкулеза и болезней легких. - 2008. - №12. - С.45-50.
- Анатомо-антропометрические особенности позвоночника у пациентов с туберкулезным спондилитом / Д.Л. Хащин // Хирургия позвоночника. - 2010. - №3. - С.50-54.
- Хащин Д.Л. Ближайшие результаты эндопротезирования тазобедренного сустава при двухэтапном хирургическом лечении туберкулезного коксита / Хащин Д.Л.// Туберкулез и болезни легких №5.Москва 2011 г. С.212.
- Трансфораминальный доступ в хирургииинфекционных спондилитов поясничной и пояснично-крестцовой локализации. / Хащин Д.Л./ Хирургия позвоночника" №3 2015г.
Специалисты отделения занимаются диагностикой и хирургическим лечением заболеваний позвоночника и костно-суставной системой у взрослых и детей.
Основные направления деятельности:
- диагностика и хирургическое лечение воспалительных заболеваний позвоночника и суставов;
- хирургическое лечение кифотической, сколиотичсекой деформации, травмы и дегенеративной патологии позвоночника;
- эндопротезирование тазобедренного сустава при воспалительной и дегенеративной патологии;
Перечень оперируемой патологии в ГБУЗ СК ККПТД ОТБКСТ:
Радикально-восстановительные и реконструктивные операции на позвоночнике при инфекционной патологии;

а) тотальная деструкция Th6- Th7-Th8 (туб. спондилитTh6- Th7-Th8);
б) удаление телTh6-Th7-Th8 позвонков боковой спондилодез мешем с ауторебром;
В) транспедикулярнаяфиксацияTh3- Th4-Th5-Th10- Th11 позвонков.

в) транспедикулярнаяфиксацияTh5-Th6- Th11- Th12 позвонков.
Декомпрессивно-стабилизирующие операции на позвоночнике при его травме

а) компрессионно-оскольчатый перелом Th4 позвонка со стенозом позвоночного канала;
б) декомпрессивно-стабилизирующая операция: спондилодез мешем с аутотрансплантатом;Th3-Th6, транспедикулярная фиксацияTh3-Th6 позвонков.

а) МРТ-переломовывихTh10 позвонка (стеноз п. к. 100%)
Декомпрессивно-стабилизирущие операции при неудачных операциях на позвоночнике

а) перелом стержней транспедикулярного фиксатора после неудачной операции на позвоночнике по поводу ПСМТ: переломовывихTh12 и компрессионно-оскольчатого переломаL1 позвонка;
б) на МРТотсутствует костный блок между Th11 и L1 позвонком, сохраняется стеноз позвоночного канала
в) и г)декомпрессивно-стабилизирующая операция: спондилодез аутотрансплантатами из ребраTh11-L2, гибридная фиксацияTh9-Th10-Th11-L2-L3 позвонков
д) на МРТ через 1-год после операции сформирован костный блок между Th11- L1 позвонками, стеноза позвоночного канала не определяется.
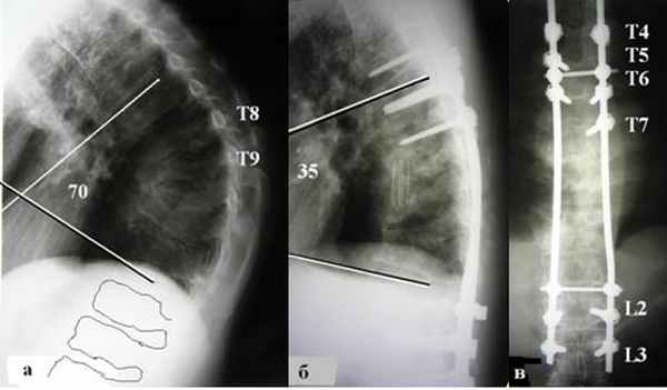
Корригирующие операции при сколиотической деформации

а) идиопатическая грудопоясничнаясколиотическаядеформация 3- степени (56⁰),Lenke-1.
Корригирующие операции при кифотической деформации

а) и б) пологая кифотическая деформация грудного отдела позвоночника - 86° после перенесенной болезни Шейермана-Мау.
д) внешний вид больного после операции.
Декомпрессивно-стабилизирущие операции приопухолевых поражениях позвоночника

а) и б) МРТ: опухолевое образование(смешанная гемангиома) поражает тело, корень дуги Th4 позвонка справа и распространяется в позвоночный канал, сдавливая спинной мозг;
в) КТ и R-граммы после декомпрессивно-стабилизирующей операции: корпорэктомия, педикулэктомии справа и ламинэктомияTh4, корпородезTh3-Th5,транспедикулярная фиксацияTh3-Th6 позвонков;
Декомпрессивно-стабилизирущие операции придегенеративной патологии позвоночника

а) МРТ: парамедианная грыжа диска L4-L5 сегмента (стеноз п.к. 100%);
б) и в) КТ и R-граммы после декомпрессивно-стабилизирующей операции: трансфораминальнаядискэктомия, спондилодез кейджем с аутотрансплантатомL4-L5;

а) МРТ: дегенеративный стеноз позаоночного канала (90%) на уровне С4-С5-С6.
б),в) и г) КТ и R-граммыпосле декомпрессивно-стабилизирующей операции: ламинэктомия С4-С5-С6, задняя фиксации С3-С4-С5-С6-С7 позвонков и корпорэктомияС4-С5-С6 позвонков. Передний спондилодез мешем с аутотрансплантатом С3-С7 позвонков.
Операции при патологии тазобедренного сустава

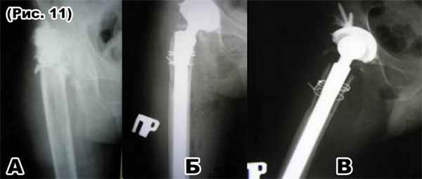
а) фистулография: тотальная деструкция правого тазобедренного сустава;
б) и в) тотальноеэндопротезирование правого тазобедренного сустава ревизионным протезом после предварительной санирующей резекции сустава.
Операционная оснащена: ортопедическим столом, электронно-оптическим преобразователем, налобными осветителями, травматолого-ортопедическим и нейрохирургическим инструментарием.
Перечень операций выполняемых в ОТБКСТ:
- Некрэктомия, резекция тел позвонков
- Удаление тел позвонков С1-L5
- Удаление боковых тел позвонков
- Переднебоковая декомпрессия
- Боковая рахотомия
- Переднебоковой спондилодез
- Одномоментная радикальная операция на поясничном отделе
- Комбинированный спондилодез
- Эпифизиодез позвонков
- Дискэктомия С2-L5
- Менингорадиколиз
- Лямпиэктомия. Гемиляминэктомия.
- Костотранссверзэктомия
- Остеопластическая фиксация
- Абсцессотомия, фистулотомия
- Артродез суставов
- Синовэктомия
- Внутри-внесуставная резекция очагов
- Экономная атипичная резекция суставов
- Артропластика суставов тазобедренного и коленного
- Тотальное эндопротезирование тазобедренного сустава
- Пересадка суставных концов
- Ампутация и экзартикуляция
- Резекция крестцово-подвздошного сочленения
- Симпатэктомия
- Торакопластика
- Уменьшение кифоза по Чаклину
- Вертебротомия по Цьвьяну
- Лавсанопластика по Фурману
- Удаление металлоконструкций
- Остетомия с применением КД
- Остеосинтез
- Декомпрессия тазобедренного и коленного сустава
- Ахилотомия
- Укрепление связочного аппарата суставов
- Удаление опухоли мягких тканей
- Вертебротомия по Цьвьяну
- Транспедикулярная фиксация позвоночника

Читайте также:
