Гормональноактивные опухоли яичка - лейдигомы
Добавил пользователь Евгений Кузнецов Обновлено: 02.11.2025
Стероидсекретирующие опухоли гонад - наиболее редкая причина ППР у детей. В общей структуре новообразований половых желез гормонально-активные опухоли составляют 1,5-2%. Все опухоли этого типа формируются из клеток стромы гонад и содержат функционально активные гранулезные и текальные клетки яичника и клетки Лейди- га и Сертоли яичка. Опухоли могут секретировать как эстрогены, так и андрогены и вызывать клинические проявления изо- и гетеросексуального ложного ППР. Ведущая роль в процессе онкогенеза новообразований, исходящих из клеток гонадной стромы, отводится ингибину. В эксперименте показано, что дефицит ингибина приводит к формированию опухоли в 100% случаев, гонадотропины при этом оказывают стимулирующее влияние на рост опухоли. Хромосомные аномалии: моносомия 22 и трисомия 14 - часто сочетаются с гранулезоклеточными и текальными опухолями яичников. В этиологии доброкачественных лейдигом яичка играет роль наличие локальной активирующей мутации гена рецептора ЛГ.
У мальчиков среди гормонально-активных опухолей чаще встречаются лейдигомы. Эти опухоли у большинства детей встречаются после 7 лет. Лейдигомы, как правило, локализуются в одном яичке. Пораженное яичко увеличено в размерах, бугристое, плотной консистенции, однако пропальпировать образование не удается. Эта опухоль хорошо визуализируется при проведении УЗИ. ППР, обусловленное лейдигомой, характеризуется быстро нарастающими симптомами андрогенизации. Базальный и стимулированный ЛГ-РГ уровень гонадотропных гормонов (ЛГ и ФСГ) соответствует допубертатным значениям. Отмечается высокий уровень тестостерона. Уровень предшественников биосинтеза тестостерона - ДГЭА-С, 17-гидроксипрогестерона - также может быть незначительно повышен. Лейдигома относится к классу доброкачественных опухолей, поэтому при удалении возможно сохранение оставшейся здоровой ткани яичка.
Реже встречаются новообразования, содержащие клетки Сертоли, - сертолиомы, способные секретировать эстрогены. В подобных случаях у мальчика развивается гинекомастия, скорость роста и костного созревания ускорены. Сертолиомы могут носить как доброкачественный, так и злокачественный характер, имеют односторонний характер. Уровень гонадотропных гормонов резко снижен, уровень эстрадиола значительно повышен.
У девочек клинику ложного изосексуального ППР чаще вызывают гранулезоклеточ- ные опухоли яичников, секретирующие большое количество эстрогенов. Опухоли в большинстве случаев имеют доброкачественный характер, однако в 10-20% случаев возможна малигнизация. Секреция эстрогенов опухолью, как правило, очень велика и приводит к быстрому развитию клинической картины заболевания. Характерно преобладание менструального синдрома - появление нерегулярных мажущих кровянистых выделений, сменяющихся обильными кровотечениями, при незначительном развитии вторичных половых признаков. Молочные железы имеют резкую пигментацию ареол. Выраженный избыток эстрогенов приводит к гипертрофии и отечности вульвы. В гормональном статусе отмечается высокий уровень 32. Базальные и стимулированные уровни ЛГ и ФСГ соответствуют допубертатным значениям. Ультразвуковая диагностика позволяет определить локализацию и размеры объемного образования.
Арренобластомы - злокачественные новообразования стромы яичника, чаще встречаются у девочек пубертатного и постпубертатного возраста. Опухоль секретирует андрогены, вызывая выраженные симптомы вирилизации: гирсутизм, алопецию, снижение тембра голоса, гипоплазию молочных желез, аменорею. При гормональном исследовании определяются высокий уровень Г, снижение гонадотропных гормонов.
Клинические проявления ППР при фолликулярных кистах аналогичны тем, которые наблюдаются при гранулезоклеточных опухолях яичника. Однако после периода интенсивной эстрогенизации отмечается спонтанный регресс симптомов ППР, связанный с уменьшением или исчезновением кисты. В большинстве случаев фолликулярные кисты не требуют оперативного вмешательства. Однако при очень больших размерах кист, когда имеется угроза их разрыва или перекрута ножки, проводится удаление.
2.4. ХГЧ-секретирующие опухоли
Этиология и патогенез. Причиной формирования ХГЧ-секретирующих опухолей является аберрантная миграция герминативных клеток у плода. Этим объясняется широкое распространение герминативно-клеточных опухолей, имеющих интракраниальную, гонадную и экстрагонадную локализации. С высокой частотой в детском возрасте встречаются ХГЧ-секретирующие гепатобластомы. Реже встречаются другие типы опухолей, обладающих ХГЧ-секретирующей активностью: медиастинальные тератомы и тератоблас- томы, ретроперитониальные карциномы, хорикарциномы и герминомы гонад.
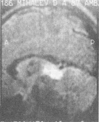
Краниальные ХГЧ-секретирующие герминативно-кпеточные опухоли являются достаточно частой причиной ППР у мальчиков. В европейских странах частота этих опухолей у детей составляет от 0,3 до 3,4% от всех опухолей головного мозга, в Японии - от 4,8 до 15%. Наиболее типичная локализация - пинеальная область, реже встречаются опухоли, локализующиеся в области супраселлярной цистерны. Выявляются эти образования при проведении КТ и МРТ головного мозга в виде плотного, хорошо накапливающего контраст образования. Достаточно часто опухоль содержит кальцификаты (рис. 7). Гистологически герминативно-клеточные опухоли могут быть представлены чистыми гермино- мами и тератомами. До 30% герминативно-клеточных опухолей имеют злокачественный характер.

Рис. 7. МР-томограмма ХГЧ-секретирующей герминомы эпифиза
Гиперпродукция ХГЧ вызывает развитие симптомов ППР преимущественно у мальчиков. У девочек изолированная ЛГ- подобная активность ХГЧ без дополнительного влияния ФСГ недостаточна для созревания овариальных фолликулов. Однако имеются наблюдения единичных случаев ППР по изосексуальному типу у девочек с ХГЧ-секретируемыми опухолями. Возможным объяснением этому факту является найденная в тканях термином высокая активность ароматазы, превращающей андрогены в эстрогены.
Краниальные ХГЧ-секретирующие опухоли характеризуются многообразной неврологической симптоматикой. При супраселлярной локализации в неврологической симптоматике преобладают симптомы повышения внутричерепного давления и зрительные нарушения, связанные с поражением оптической хиазмы. Возможны эндокринные нарушения: с высокой частотой встречается несахарный диабет, реже - СТГ-дефицит. При опухолях, локализующихся в пинеальной области, ведущей является неврологическая симптоматика, обусловленная сдавлением тенториума: нистагм, парез взора вверх, анизо- кария (синдром Parinaud), а также выраженные симптомы внутричерепной гипертензии.
Маркерами ХГЧ-секретируемых герминативно-клеточных опухолей являются а-фе- топротеин и ХГЧ (β -субьединица), определяемые в повышенных концентрациях в крови и цереброспинальной жидкости. Уровень ФСГ соответствует допубертатным значениям и не повышается при проведении пробы с ЛГ-РГ. Уровень ЛГ при определении РИА-методом, как правило, повышен, что объясняется высокой гомологичностью ЛГ и ХГЧ, нераз- личаемой при применении стандартных антител. Введение ЛГ-РГ не приводит к изменению уровня ЛГ. Применение специфических методов, позволяющих дифференцированно определять β-субъединицы ЛГ и ХГЧ, способствует точной диагностике причины ППР.
Опухоль яичка
Опухоль яичка – образование, сформированное из соединительной или эпителиальной ткани яичка. Такие новообразования преимущественно имеют злокачественную природу и чаще всего возникают у сексуально активных молодых мужчин (15-40 лет). В урологическом центре GMS Hospital осуществляются успешные операции по удалению опухолей яичек. Комплексное лечение также предусматривает проведение лучевой, иммунной и химиотерапии.
Подробнее о болезни
Яички (текстикулы) — парные мужские гонады, состоящие из различных по структуре тканей. В зависимости от типа ткани, из которой сформировалось новообразование, их подразделяют на:
- герминогенные (наиболее часто встречающиеся) — возникают из эмбриональных клеток половых желез (семинома, терабластома, хорионэпителиома, эмбриональный рак);
- стромальные — новообразования стромы полового тяжа (сертолиома, лейдигома, саркома);
- другие опухоли.
Более 95% от всех опухолей составляют герминогенные образования, из них 50% занимают семиномы, другие типы новообразований встречаются значительно реже. Нередко встречаются опухоли смешанного строения.
Почему нужна операция
Любой опухолевый процесс — это нетипичное разрастание клеток, подвергшихся мутации. Эффективных консервативных методов лечения опухолей яичка не существует. Удалить новообразование можно лишь оперативным путем.
Преимущества лечения опухоли яичек в GMS Hospital
Онкоурологи центра хирургии GMS досконально владеют всеми современными хирургическими техниками, отдавая предпочтение малотравматичным. Наши специалисты ставят перед собой задачу не только устранить злокачественный процесс, а максимально сохранить при этом детородную функцию пациента. Даже самые радикальные операции мы выполняем в наиболее щадящем режиме, с минимальным травмированием здоровых тканей.
Применение современных методов комбинированного лечения обеспечивает высокие онкологические результаты даже при метастатическом раке яичка и у большинства пациентов позволяет быстро вернуться к обычному образу жизни.
с ведущими российскими и зарубежными медицинскими учреждениями
и передовые методики диагностики и лечения
Причины болезни
К основным предрасполагающим к заболеванию факторам относятся:
- раследственность;
- аномалии развития (крипторхизм — неопущение яичек в мошонку);
- травмы текстикул;
- гормональный дисбаланс;
- синдром Кляйнфельтера.
Признаки и симптомы
Появление в мошонке небольшого, эластичного, безболезненного образования может быть первым признаком болезни, который должен стать поводом для обращения ко врачу. Важно понимать, что на начальных стадиях, болезнь себя практически ничем не проявляет. Клинические симптомы возникают уже при разрастании опухоли и/или переходе злокачественного процесса на семенной канатик.
Нужно срочно идти на консультацию к онкоурологу при появлении следующих симптомов:
- увеличение одного или обоих яичек в размере;
- появление на поверхности текстикул уплотнения, узелка;
- припухлость и покраснение мошонки;
- дискомфорт при ходьбе.
Раковая опухоль в запущенной стадии сопровождается сильной слабостью, тошнотой, резким снижением массы тела, потерей аппетита и другими неспецифическими симптомами.
Диагностика
Для обнаружения новообразований яичек применяется дифференциальная диагностика, включающая:
- осмотр онкоуролога;
- анализы крови, в том числе на онкомаркеры: , (АФП) и лактатдегидраназу (ЛДГ);
- анализы мочи;
- УЗИ, КТ, МРТ мошонки, органов брюшной полости и забрюшинного пространства;
- редко — пункционную биопсию органа.
При наличии показаний выполняется рентген или КТ легких, сцинтиграфия и ряд других исследований. Опухолевые поражения яичек дифференцируют от водянки оболочек яичка (гидроцеле), острого и хронического орхита, эпидидимита.
Какие методы лечения применяются
Заболевание предполагает комплексное лечение, включающее хирургическое вмешательство, лучевую и химиотерапию. Медикаментозное лечение при такой патологии не проводят, поскольку никакого результата оно не дает.
Хирургическое лечение опухоли яичек в центре хирургии клиники GMS выполняется с применением наиболее результативных техник, позволяющих тотально иссечь патологически измененные ткани, исключая возможность дальнейшего распространения злокачественного процесса. Для этого наши специалисты выполняют следующие операции:
- Орхофуникулэктомия — стандартное вмешательство при новообразованиях мужских половых желез. Операция осуществляется под общей анестезией, через паховый доступ. Врач иссекает текстикул единым комплексом с придатком и семенным канатиком. Удаленные ткани отправляются на гистологическое исследование. При агрессивных формах рака или более запущенных стадиях, операция дополняется забрюшинной лимфаденэктомией.
- Резекция яичка — малотравматичная операция, выполняющаяся при доброкачественных новообразованиях или при злокачественном поражении единственного яичка. В этом случае, хирург удаляет лишь поврежденные ткани, а для предупреждения распространения злокачественного процесса проводится химиотерапия.
Оперативное лечение у подавляющего большинства пациентов с опухолью яичка заключается в хирургическом удалении яичка и семенного канатика. По желанию пациента одновременно может быть выполнена имплантация протеза яичка.
Пациентам, планирующим впоследствии решение репродуктивных задач, накануне операции целесообразна криопрезервация спермы, так как все методы лечения опухоли яичка сопряжены с риском временного или постоянного снижения фертильности.
При наличии факторов риска или выявлении отдаленных метастазов, обязательно проведение химиотерапии. Дозировка, комбинация химиотерапевтических средств и продолжительность лечения определяются . В некоторых случаях также показано проведение лучевой терапии.
Современные методы лечения опухолей яичек обладают высокой эффективностью и, при своевременном и правильном использовании, позволяют излечить пациента даже при метастатических формах рака.
Опухоли яичка
У мужчин опухоли яичка встречаются в любом возрасте, но чаще в 20-40 лет. У детей это заболевание бывает редко, чаще всего в течение первых 3 лет жизни.
Изредка наблюдаются опухоли обоих яичек. Новообразования могут быть доброкачественными и злокачественными, гормонпродуцирующими и несекретирующими гормон.
Патанатомия
С опухолями яичек больные, как правило, онкологические, и только гормонально-активные новообразования могут быть предметом наблюдения у эндокринолога.
Наиболее часто встречаемые гормонально-активные опухоли яичек — лейдигомы. Они относятся к хорошо дифференцированным вариантам опухолей стромы полового тяжа. Опухоль, как правило, растет медленно, поражает чаще одно яичко, в котором формируется солитарный узел. Образована опухоль клетками Лейдига различной степени зрелости.
Патогномоничным для лейдигом считаются кристаллы Рейнке, которые обнаруживаются лишь в 40 % опухолей. Около 10 % лейдигом — злокачественные. Для них характерны усиление митотической активности, явления клеточного и ядерного полиморфизма, ангиоинвазии и распространение на оболочки и придаток яичка. По соседству с опухолью, а также в контралатеральном яичке отмечается активный сперматогенез с развитием сперматид. Спермиогенеза не происходит.
Размеры противоположного яичка уменьшены, но все эти изменения обратимы: удаление опухоли сопровождается нормализацией структуры и размеров яичек.
Иногда опухолевые клетки формируют фолликулоподобные структуры, так называемые колл-экснеровские тельца. Часть опухолей содержит и разнообразное количество клеток Лейдига, чаще зрелых. Злокачественные опухоли из клеток Сертоли встречаются редко. Изменения в яичке по соседству с опухолью и в контралатеральном яичке сходны с превращениями, наблюдаемыми при лейдигомах, но сперматогенез заторможен в большей степени. Именно они обусловливают развитие гипогонадизма у больных с гормонально-активными опухолями яичек.
Клинические проявления всех опухолей сходны. Ранним симптомом является безболезненное его увеличение или уплотнение ткани. В начале заболевания в нем можно пальпаторно обнаружить небольшой плотный узелок при нормальной консистенции окружающей ткани. По мере роста опухоли яичко превращается в плотную бугристую опухоль. Яичко может быть увеличено в несколько раз, иногда размеры его остаются нормальными. Если опухоль злокачественная, то постепенно в опухолевый процесс вовлекается и придаток яичка. Нередко опухоль сопровождается выпотом в оболочках яичка.
Диагностика опухоли яичка обычно не затруднена. При пальпации она определяется в виде узла или части яичка, иногда занимает все яичко, но придаток, как правило, при пальпации не изменен.
К гормонпродуцирующим опухолям относится одна из разновидностей тератобластом — хорионэпителиома, дающая высокое содержание в моче хорионического гонадотропина, исследование которого помогает правильно поставить диагноз.
Гормонпродуцирующими опухолями яичка являются и опухоли, исходящие из интерстициальных клеток яичка,— лейдигомы. Секретируя андрогены, они вызывают преждевременное половое развитие у мальчиков. По гистологическому строению эти опухоли могут быть аденомой или карциномой. Они обладают высокой андрогенной активностью. Диагноз устанавливается на основании преждевременного полового развития (появления лобкового оволосения, увеличения наружных гениталий, быстрого роста и др.) и пальпаторно увеличенного и бугристого яичка.
Дифференциальный диагноз между врожденной дисфункцией коры надпочечников (или врожденный адреногенитальный синдром) и гормонально-активной опухолью яичка устанавливается на основании исследования в моче 17-КС и 17-оксипрогестерона. Эти показатели при врожденной дисфункции коры надпочечников высокие, а после проведения пробы с преднизолоном (дексаметазоном) при надпочечниковом генезе заболевания они значительно снижаются.
Опухоли из сертолиевых клеток (сертолиомы), так же как и лейдигомы, встречаются редко и могут стать причиной преждевременного полового развития.
При врожденной дисфункции коры надпочечников у мальчиков нередко пальпаторно выявляются опухоли яичек (чаще двусторонние). При их гистологическом исследовании выявлены и лейдигомы, и гиперплазированная ткань коры надпочечников.
Лечение всех видов опухолей яичка хирургическое. При злокачественных новообразованиях оперативное вмешательство часто сочетается с химиотерапией или облучением. Иногда необходимо применение сразу всех трех видов лечения.
При выявлении опухолей яичек у больных с врожденной дисфункцией коры надпочечников производится вылущивание (энуклеация) имеющихся узлов из яичек. Обязательна глюкокортикоидная терапия.
Гормональноактивные опухоли яичка - лейдигомы
Гормональноактивные опухоли яичка - лейдигомы
Гормональноактивные опухоли яичка практически встречаются исключительно редко. В процессе своего развития различные клеточные элементы этих опухолей вырабатывают как андрогенные, так и эстрогенные гормоны, в значительном количестве поступающие в кровяное русло.
К этой группе относится новообразование, возникающее из интерстициальных лейдиговских клеток яичка (лейдигома). Эта опухоль наиболее часто возникает в детском возрасте. В результате продуцирования такой опухолью избыточного количества половых гормонов у больных детей быстро развиваются мужские или женские вторичные половые признаки. Если эта гормональноактивная опухоль развивается в зрелом возрасте, то избыточное поступление в кровь андрогенных гормонов клинически почти никак не проявляется.
Однако у мужчин при наличии лейдигомы иногда наступают признаки феминизации, которые, вероятно, связаны с выработкой лейдиговскими клетками опухоли не только андрогенов, но в отдельных случаях и эстрогенов или эстрогенонодобных гормонов.
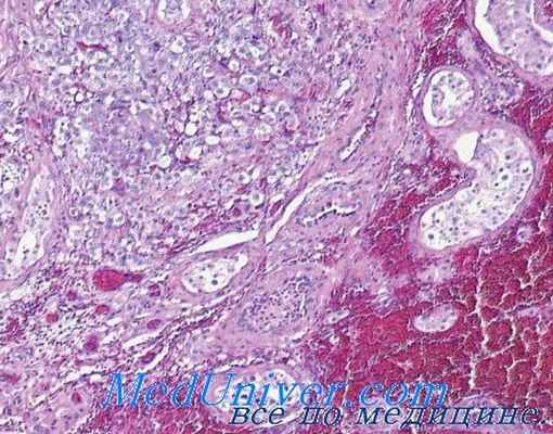
Лейдигома возникает и развивается чаще всего в одном яичке, двусторонняя встречается редко. Растет медленно, в виде узла. Это доброкачественное новообразование (хотя и очень редко) может приобретать злокачественный характер и давать позднюю генерализацию бластоматозного процесса. Лейдигомы обычно небольшие, но иногда могут достигать сравнительно крупных размеров. Эти опухоли чаще плотной консистенции, локализуются в толще паренхимы яичка, имеют хорошо выраженную капсулу, но в отдельных случаях границы ее не особенно четкие. На разрезе доброкачественная лейдигома имеет крупнодольчатое строение, желтого, бурого или коричневого цвета.

Эта опухоль имеет железисто-тубулярное или роже железисто-трабекулярное строение с наличием большого количества капилляров, несколько напоминает по своей структуре иптерстициальные лейдиговские клетки яичка. Опухолевые клетки преимущественно вытянутой или полигональной формы, иногда они образуют отдельные железистые комплексы или группы клеток, не связанных между собой. Нередко можно встретить крупные многоядерные опухолевые клетки. Протоплазма этих клеток чащо вакуолизирована, ядро располагается эксцентрично и имеет округлую или овальную форму.
В ядре обнаруживаются многочисленные глыбки хроматина, расположенные равномерно по всей площади кариоплазмы, и несколько небольших ядрышек. В протоплазме опухолевых клеток можно обнаружить липоидные и сидерофильные включения, иногда в этих клетках содержатся так называемые белковые кристаллоиды Рейнке.
В некоторых случаях лейдиговские клетки складываются в отдельные группы, образуя неправильной формы клеточные скопления, располагающиеся преимущественно вокруг кровеносных сосудов. Иногда опухолевые клетки образуют анастомозирующие тяжи, в просветах которых располагаются синусоидоподобные кровеносные сосуды. Нередко в опухолевидных образованиях яичка имеет место лишь гиперплазия лейдиговских клеток; в таких случаях отсутствует характерное для лейдигомы узловатое строение опухоли, а семенные канальцы почти полностью сохраняют свою микроскопическую структуру (R. A. Willis, Д. И. Головин, И. Массон). В строме этих опухолей можно обнаружить густую сеть аргирофильных волокон, хорошо импрегнируемых солями тяжелых металлов.
Ультраструктура опухолево измененных лейдиговских клеток отличается наличием в их цитоплазме многочисленных липоидных и кристаллоидных включений, имеющих различную форму и размеры. Эндоплазматический ретикулум в клетках везикулярный, среди него нередко встречаются концентрически расположенные мембраны. Митохондрии овальной или вытянутой формы, различных размеров, имеющие продольно расположенные кристы, в которых местами встречаются капельные включения неопределенной формы величиной примерно 100—200 А.
Ядра опухолевых клеток овальные, иногда округлые, содержат сравнительно крупные зерна хроматина, которые концентрируются главным образом по внутренней поверхности ядерной мембраны. Околоядерное пространство в этих клетках неравномерно расширено. Поверхностные клеточные мембраны имеют зубчатое строение, что обеспечивает тесное соприкосновение клеток (V. Van Breemen, R. Husebey, S. Cervos-Navarro, E. Tonutti, S. Bayer, T. Beas, G. Pierce, С Schroeder).
Опухоли яичка и мочеиспускательного канала
Авторы: Пушкарь Д.Ю. , Раснер П.И. 1 , Куприянов Ю.А. 2, 3 , Мальцев Е.Г. 4 , Гуров Е.Ю. 4 , Умяров М.С. 4 , Сидоренков А.В. 4
1 ФГБОУ ВПО «МГМСУ им. А.И. Евдокимова» МЗ РФ
2 ФГБОУ ВО МГМСУ им. А.И. Евдокимова Минздрава России, Москва, Россия
3 ГБУ «НИИОЗММ ДЗМ», Москва, Россия
4 МГМСУ им А.И. Евдокимова
Для цитирования: Пушкарь Д.Ю., Раснер П.И., Куприянов Ю.А. и др. Опухоли яичка и мочеиспускательного канала. РМЖ. 2014;17:12.
Опухоль – патологический процесс, представленный новообразованной тканью, в которой изменения генетического аппарата клеток приводят к нарушению регуляции их роста и дифференцировки.
Опухоль – патологический процесс, представленный новообразованной тканью, в которой изменения генетического аппарата клеток приводят к нарушению регуляции их роста и дифференцировки.
Все опухоли яичка можно разделить на 2 вида:
Доброкачественные опухоли яичка встречаются достаточно редко. Злокачественные новообразования яичка, несмотря на небольшую распространенность (примерно 2% от всех онкологических заболеваний), являются одной из основных причин смерти от рака среди мужчин молодого возраста (15–35 лет).
Наиболее частые причины, приводящие к развитию опухоли яичка, – крипторхизм (неопущение яичка в мошонку в детском возрасте), травмы яичка, микроволновое и ионизирующее излучение, некоторые эндокринные заболевания.
Наиболее частые симптомы опухоли яичка – одностороннее (локальное) уплотнение ткани в форме узла, увеличение яичка в размерах, изменение его формы, отечность одной половины мошонки. По мере увеличения опухоли могут появляться боли в яичке. Боли в животе при этом заболевании могут быть следствием распространения опухоли в забрюшинные лимфоузлы. Вторая «излюбленная» зона метастазирования опухолей яичка – легкие.
Лечение злокачественных опухолей яичка не терпит отлагательства, поскольку одной из особенностей развития неопластического процесса в яичке являются быстрые темпы роста и прогрессии.
Основным диагностическим приемом, позволяющим заподозрить наличие опухоли, считается пальпация. Следует всегда осматривать оба яичка, поскольку анализ носит сравнительный характер. Зона опухолевого поражения более плотная, чем ткань противоположного яичка.
Среди лабораторных методов применяют следующие исследования:
• иммунохимическое исследование крови, мочи.
Эмбриональная ткань, которая в норме отсутствует, имеет родственные связи с тканью опухоли яичка. Эти связи отражают специфические опухолевые маркеры, к ним относятся:
• человеческий хорионический â-гонадотропин,
Появление высоких концентраций перечисленных маркеров означает, что имеются активные ткани, которые способны их вырабатывать. В норме таких тканей в организме взрослого человека быть не должно. Исследование концентрации онкомаркеров имеет диагностическое и прогностическое значение до и после начала лечения.
Для диагностики пораженного яичка применяются УЗИ яичка, брюшной полости, забрюшинного пространства. Основные методы диагностики распространения и метастазирования опухоли яичка – компьютерная и магнитно-резонансная томография.
Лечение опухоли яичка является комплексным и включает:
Хирургическое лечение проводится практически во всех случаях. Яичко, пораженное опухолью, удаляется с оболочками и семенным канатиком. Лучевая терапия может использоваться как на предоперационном этапе, так и в послеоперационном периоде.
Химиотерапию обычно проводят комплексом из нескольких препаратов для повышения эффективности.
Профилактика опухолей яичка направлена в основном на своевременное выявление и лечение крипторхизма. Следует избегать травм органов мошонки и проводить пальпацию яичек в рамках ежегодной диспансеризации, особенно у лиц, работающих в условиях повышенного радиационного фона.
Прогноз при опухолях яичка зависит от вида опухоли, степени ее злокачественности, стадии заболевания. Комбинированное лечение и полихимиотерпия позволяют добиться излечения в большинстве случаев, если заболевание выявлено на ранней стадии.
Опухоли мочеиспускательного канала (уретры)
Новообразования мочеиспускательного канала (МИК) могут быть доброкачественными и злокачественными. Злокачественные опухоли уретры у мужчин встречаются достаточно редко, у женщин частота рака МИК намного выше. У детей такие опухоли встречаются крайне редко и в большинстве случаев носят доброкачественный характер (полипы, папилломы, кондиломы).
К наиболее частым причинам возникновения рака МИК у мужчин относятся хронические воспалительные процессы, стриктуры (сужение), травмы МИК. У женщин риск появления новообразований уретры повышается в климактерическом и постклимактерическом периодах и сопряжен с гормональными перестройками в организме.
На ранних стадиях новообразования уретры не имеют клинических проявлений. С прогрессией заболевания могут появляться боли, учащенное или затрудненное мочеиспускание. Гематурия (примесь крови в моче) является важным симптомом заболевания.
У девочек и женщин диагностика новообразований уретры не представляет больших трудностей и выполняется во время осмотра гинекологом. У мужчин диагностика новообразований МИК начинается с осмотра наружного отверстия уретры и ее пальпации. Значительную помощь в диагностике оказывают рентгеноконтрастные методы исследования (ретроградная уретрография) и эндоскопическое исследование (уретроцистоскопия), в ходе которого при помощи специального инструмента осматривается МИК на всем протяжении до мочевого пузыря. К дополнительным методам исследования можно отнести компьютерную томографию, УЗИ.
Лечение опухолей МИК зависит от строения опухоли и ее распространения. Оно может быть консервативным и оперативным.
Полипы задней стенки МИК у женщин (наиболее частый вид новообразований) удаляются хирургически. Суть оперативного вмешательства сводится к клиновидной резекции задней стенки уретры. При кондиломах и папилломах уретры применяется консервативная терапия (прием противовирусных препаратов интерферона, местная инстилляция лекарственными препаратами).
У мужчин лечение опухолей МИК малых размеров на ранней стадии заключается в эндоскопическом удалении или лазерной коагуляции опухоли. При распространенном злокачественном процессе может потребоваться частичная ампутация или эмаскуляция (полное удаление полового члена). Применяется комбинированная терапия (химиотерапия, лучевая терапия).
При доброкачественных опухолях МИК прогноз благоприятный. Злокачественные опухоли уретры рано дают метастазы. Благоприятный исход заболевания зависит от своевременной диагностики и масштабности проводимого лечения.
Контент доступен под лицензией Creative Commons «Attribution» («Атрибуция») 4.0 Всемирная.
Читайте также:
- Небно-глоточная недостаточность
- Признаки трепетания и фибрилляции желудочков на ЭКГ
- MUTYH-ассоциированный полипоз
- Эндофитные опухоли пищевода. Изъязвление опухолей пищевода
- Токсины золотистого стафилококка. Мембранотоксины ( стафилолизины, гемолизины ). Эксфолиатины. Токсин синдрома токсического шока. Лейкоцидин ( токсин Пантона-Валентайна ). Энтеротоксины.
