Группы плевральных сращений. Морфология плевральных сращений
Добавил пользователь Евгений Кузнецов Обновлено: 29.01.2026
Классификация плевральных сращений. Типы плевральных сращений
Дершайд и Туссен, предлагая свою классификацию, писали: «Нет ничего более трудного, как классифицировать плевральные сращения: они представляют такой полиморфизм, который не поддается описанию». С этим нужно вполне согласиться. Надо думать, что этим объясняется тот факт, что ни одна классификация плевральных сращений, предложенная различными авторами, не является вполне удовлетворительной.
Из всех классификаций плевральных сращений наибольший интерес в практическом отношении представляет классификация, предложенная в 1928 г. Маурером. По этой классификации различают четыре типа плевральных сращений, в зависимости от их патологоанатомической структуры.
Тип первый. Цилиндрические сращения без расширения как грудного, так и легочного конца. Эти сращения являются следствием главным образом перифокальных реакций и возникают незадолго до наложения искусственного пневмоторакса. Они образуются из плевральных уплотнений в результате дыхательных движений легкого.
Молодая соединительная ткань в этих сращениях пронизана большим количеством сосудов, вследствие чего имеет яркокрасный цвет. По мере вытяжения сращения становятся плотнее и бледнее. Они легко вытягиваются, и пережигание их большей частью не дает никаких осложнений. Они обычно мало мешают спадению каверны, но все же пережигание их в некоторых случаях может способствовать усилению коллапса.
Тип второй. Сращения с коническим париетальным прикреплением образуются тогда, когда до наложения искусственного пневмоторакса имелась старая фиброзная спайка и соответствующий легочный участок сильно индурирован. Париетальное прикрепление расширено, приподнимаясь в виде палатки. Образование этих сращений является результатом перифокальных реакций. Способность сращений к растяжению ограничена.

Сращения эти большей частью соединительнотканные, поэтому пережигание их не представляет опасности. Наличие сращений вызывает реакцию и нарушение питания ткаyей, поэтому отделение сращений улучшает прогноз.
Тип третий. Сращения с коническим прикреплением легочной ткани происходят из спаек, существовавших задолго до наложения искусственного пневмоторакса при резко уплотненной и организованной костальной плевре, которая не может легко вытягиваться, и из очень эластичной легочной ткани, допускающей образование конуса. Легкое вместе с каверной может быть сильно втянуто в сращение, причем резкой границы между легочной и соединительной тканью нет.
Действие тяги вызывает анемию легочной ткани, втянутой в сращение, с последующей соединительнотканной дегенерацией паренхимы. Сосуды расположены главным образом у легочного конца сращения, в центре их меньше; у торакального конца сосудов очень мало. Этот вид сращений встречается очень часто и при пересечении дает наибольшее число туберкулезных экссудатов и эмпием плевры. Сращения эти оказывают вредное влияние на легочную ткань. При отсутствии осложнений после пережигания их получается наилучший эффект.
Тип четвертый. Сращения с расширением у обоих концов (песочные часы). В этих сращениях принимает почти одинаковое участие и соединительная, и легочная ткань, поэтому иногда виден резкий переход между легочной и соединительной тканью. Опасность при пережигании этих сращений меньше, чем при третьем типе, эффект почти тот же.
Эта классификация, несмотря на некоторую ее схематичность, имеет очень большое практическое значение в смысле показаний к операции, особенно в тех случаях, когда спайки покрыты фибрином, видоизменены предшествующим плевритом и легочную ткань трудно отличить от соединительной.
Информация на сайте подлежит консультации лечащим врачом и не заменяет очной консультации с ним.
См. подробнее в пользовательском соглашении.
Плеврит
Плеврит – различные в этиологическом отношении воспалительные поражения серозной оболочки, окружающей легкие. Плеврит сопровождается болями в грудной клетке, одышкой, кашлем, слабостью, повышением температуры, аускультативными феноменами (шумом трения плевры, ослаблением дыхания). Диагностика плеврита осуществляется с помощью рентгенографии (-скопии) грудной клетки, УЗИ плевральной полости, плевральной пункции, диагностической торакоскопии. Лечение может включать консервативную терапию (антибиотики, НПВС, ЛФК, физиотерапию), проведение серии лечебных пункций или дренирования плевральной полости, хирургическую тактику (плевродез, плеврэктомию).
МКБ-10


Общие сведения
Плеврит – воспаление висцерального (легочного) и париетального (пристеночного) листков плевры. Плеврит может сопровождаться накоплением выпота в плевральной полости (экссудативный плеврит) или же протекать с образованием на поверхности воспаленных плевральных листков фибринозных наложений (фибринозный или сухой плеврит). Диагноз «плеврит» ставится 5-10% всех больных, находящихся на лечении в терапевтических стационарах. Плевриты могут отягощать течение различных заболеваний в пульмонологии, фтизиатрии, кардиологии, онкологии. Статистически чаще плеврит диагностируется у мужчин среднего и пожилого возраста.
Причины плеврита
Зачастую плеврит не является самостоятельной патологией, а сопровождает ряд заболеваний легких и других органов. По причинам возникновения плевриты делятся на инфекционные и неинфекционные (асептические).
Причинами плевритов инфекционной этиологии служат:
- бактериальные инфекции (стафилококк, пневмококк, грамотрицательная флора и др.);
- грибковые инфекции (кандидоз, бластомикоз, кокцидиоидоз);
- вирусные, паразитарные (амебиаз, эхинококкоз), микоплазменные инфекции;
- туберкулезная инфекция (выявляется у 20% пациентов с плевритом);
- сифилис, сыпной и брюшной тифы, бруцеллез, туляремия;
- хирургические вмешательства и травмы грудной клетки;
Плевриты неинфекционной этиологии вызывают:
- злокачественные опухоли плевры (мезотелиома плевры), метастазы в плевру при раке легкого, раке молочной железы, лимфомы, опухоли яичников и др. (у 25% пациентов с плевритом);
- диффузные поражения соединительной ткани (системная красная волчанка, ревматоидный артрит, склеродермия, ревматизм, системный васкулит и др.);
- ТЭЛА, инфаркт легкого, инфаркт миокарда;
- прочие причины (геморрагические диатезы, лейкозы, панкреатит и т. д.).
Патогенез
Механизм развития плевритов различной этиологии имеет свою специфику. Возбудители инфекционных плевритов непосредственно воздействуют на плевральную полость, проникая в нее различными путями. Контактный, лимфогенный или гематогенный пути проникновения возможны из субплеврально расположенных источников инфекции (при абсцессе, пневмонии, бронхоэктатической болезни, нагноившейся кисте, туберкулезе). Прямое попадание микроорганизмов в плевральную полость происходит при нарушении целостности грудной клетки (при ранениях, травмах, оперативных вмешательствах).
Плевриты могут развиваться в результате повышения проницаемости лимфатических и кровеносных сосудов при системных васкулитах, опухолевых процессах, остром панкреатите; нарушения оттока лимфы; снижения общей и местной реактивности организма.
Незначительное количество экссудата может обратно всасываться плеврой, оставляя на ее поверхности фибриновый слой. Так происходит формирование сухого (фибринозного) плеврита. Если образование и накопление выпота в плевральной полости превышает скорость и возможность его оттока, то развивается экссудативный плеврит.
Острая фаза плевритов характеризуется воспалительным отеком и клеточной инфильтрацией листков плевры, скоплением экссудата в плевральной полости. При рассасывании жидкой части экссудата на поверхности плевры могут образовываться шварты - фибринозные плевральные наложения, ведущие к частичному или полному плевросклерозу (облитерации плевральной полости).
Классификация
Наиболее часто в клинической практике используется классификация плевритов, предложенная в 1984 г. профессором СПбГМУ Н.В. Путовым.
По этиологии:
- инфекционные (по инфекционному возбудителю – пневмококковый, стафилококковый, туберкулезный и др. плевриты)
- неинфекционные (с обозначением заболевания, приводящего к развитию плеврита – рак легкого, ревматизм и т. д.)
- идиопатические (неясной этиологии)
По наличию и характеру экссудата:
- экссудативные (плевриты с серозным, серозно-фибринозным, гнойным, гнилостным, геморрагическим, холестериновым, эозинофильным, хилезным, смешанным выпотом)
- фибринозные (сухие)
По течению воспаления:
По локализации выпота:
- диффузные
- осумкованные или ограниченные (пристеночный, верхушечный, диафрагмальный, костодиафрагмальный, междолевой, парамедиастинальный).
Симптомы плевритов
Сухой плеврит
Как правило, являясь вторичным процессом, осложнением или синдромом других заболеваний, симптомы плеврита могу превалировать, маскируя основную патологию. Клиника сухого плеврита характеризуется колющими болями в грудной клетке, усиливающимися при кашле, дыхании и движении. Пациент вынужден принимать положение, лежа на больном боку, для ограничения подвижности грудной клетки. Дыхание поверхностное, щадящее, пораженная половина грудной клетки заметно отстает при дыхательных движениях. Характерным симптомом сухого плеврита является выслушиваемый при аускультации шум трения плевры, ослабленное дыхание в зоне фибринозных плевральных наложений. Температура тела иногда повышается до субфебрильных значений, течение плеврита может сопровождаться ознобами, ночным потом, слабостью.
Диафрагмальные сухие плевриты имеют специфическую клинику: боли в подреберье, грудной клетке и брюшной полости, метеоризм, икота, напряжение мышц брюшного пресса.
Развитие фибринозного плеврита зависит от основного заболевания. У ряда пациентов проявления сухого плеврита проходят спустя 2-3 недели, однако, возможны рецидивы. При туберкулезе течение плеврита длительное, нередко сопровождающееся выпотеванием экссудата в плевральную полость.
Экссудативный плеврит
Начало плевральной экссудации сопровождает тупая боль в пораженном боку, рефлекторно возникающий мучительный сухой кашель, отставание соответствующей половины грудной клетки в дыхании, шум трения плевры. По мере скапливания экссудата боль сменяется ощущением тяжести в боку, нарастающей одышкой, умеренным цианозом, сглаживанием межреберных промежутков. Для экссудативного плеврита характерна общая симптоматика: слабость, фебрильная температура тела (при эмпиеме плевры – с ознобами), потеря аппетита, потливость. При осумкованном парамедиастинальном плеврите наблюдается дисфагия, осиплость голоса, отеки лица и шеи. При серозном плеврите, вызванном бронхогенной формой рака, нередко наблюдается кровохарканье. Плевриты, вызванные системной красной волчанкой, часто сочетаются с перикардитами, поражениями почек и суставов. Метастатические плевриты характеризуются медленным накоплением экссудата и протекают малосимптомно.
Большое количество экссудата ведет к смещению средостения в противоположную сторону, нарушениям со стороны внешнего дыхания и сердечно-сосудистой системы (значительному уменьшению глубины дыхания, его учащению, развитию компенсаторной тахикардии, снижению АД).
Осложнения
Исход плеврита во многом зависит от его этиологии. В случаях упорного течения плеврита в дальнейшем не исключено развитие спаечного процесса в полости плевры, заращение междолевых щелей и плевральных полостей, образование массивных шварт, утолщение плевральных листков, развитие плевросклероза и дыхательной недостаточности, ограничение подвижности купола диафрагмы.
Диагностика
Наряду с клиническими проявлениями экссудативного плеврита при осмотре пациента выявляется асимметрия грудной клетки, выбухание межреберных промежутков на соответствующей половине грудной клетки, отставание пораженной стороны при дыхании. Перкуторный звук над экссудатом притуплен, бронхофония и голосовое дрожание ослаблены, дыхание слабое или не выслушивается. Верхняя граница выпота определяется перкуторно, при рентгенографии легких или при помощи УЗИ плевральной полости.

В крови определяются повышение СОЭ, нейтрофильный лейкоцитоз, увеличение значений серомукоидов, сиаловых кислот, фибрина. Для уточнения причины плеврита проводится торакоскопия с биопсией плевры.
Лечение плеврита
Лечебные мероприятия при плеврите направлены на устранение этиологического фактора и облегчение симптоматики. При плевритах, вызванных пневмонией, назначается антибиотикотерапия. Ревматические плевриты лечатся нестероидными противовоспалительными препаратами, глюкокортикостероидами. При туберкулезных плевритах лечение проводится фтизиатром и заключается в специфической терапии рифампицином, изониазидом и стрептомицином на протяжении нескольких месяцев.
С симптоматической целью показано назначение анальгетиков, мочегонных, сердечно-сосудистых средств, после рассасывания выпота - физиотерапии и лечебной физкультуры.
При экссудативном плеврите с большим количеством выпота прибегают к его эвакуации путем проведения плевральной пункции (торакоцентеза) или дренирования. Одномоментно рекомендуется эвакуировать не более 1-1,5 л экссудата во избежание сердечно-сосудистых осложнений (вследствие резкого расправления легкого и обратного смещения средостения). При гнойных плевритах проводится промывание плевральной полости антисептическими растворами. По показаниям внутриплеврально вводятся антибиотики, ферменты, гидрокортизон и т. д.
В лечении сухого плеврита помимо этиологического лечения пациентам показан покой. Для облегчения болевого синдрома назначаются горчичники, банки, согревающие компрессы и тугое бинтование грудной клетки. С целью подавления кашля назначают прием кодеина, этилморфина гидрохлорида. В лечении сухого плеврита эффективны противовоспалительные средства: ацетилсалициловая кислота, ибупрофен и др. После нормализации самочувствия и показателей крови пациенту с сухим плевритом назначают дыхательную гимнастику для профилактики сращений в полости плевры.
С целью лечения рецидивирующих экссудативных плевритов проводят плевродез (введение в плевральную полость талька или химиопрепаратов для склеивания листков плевры). Для лечения хронического гнойного плеврита прибегают к хирургическому вмешательству – плеврэктомии с декорткацией легкого. При развитии плеврита в результате неоперабельного поражения плевры или легкого злокачественной опухолью по показаниям проводят паллиативную плеврэктомию.
Прогноз и профилактика
Малое количество экссудата может рассасываться самостоятельно. Прекращение экссудации после устранения основного заболевания происходит в течение 2-4 недель. После эвакуации жидкости (в случае инфекционных плевритов, в т. ч. туберкулезной этиологии) возможно упорное течение с повторным скоплением выпота в полости плевры. Плевриты, вызванные онкологическими причинами, имеют прогрессирующее течение и неблагоприятный исход. Неблагоприятным течением отличается гнойный плеврит.
Пациенты, перенесшие плеврит, находятся на диспансерном наблюдении на протяжении 2-3 лет. Рекомендуется исключение профессиональных вредностей, витаминизированное и высококалорийное питание, исключение простудного фактора и переохлаждений.
В профилактике плевритов ведущая роль принадлежит предупреждению и лечению основных заболеваний, приводящих к их развитию: острой пневмонии, туберкулеза, ревматизма, а также повышению сопротивляемости организма по отношению к различным инфекциям.
3. Диагностическая тактика у больных с плевритом неясной этиологии: Автореферат диссертации/ Арутюнян А. В. – 2009.
4. Морфогенез и патологическая анатомия неопухолевых экссудативных плевритов Автореферат диссертации/ Фрисс С. А. – 2005.
Группы плевральных сращений. Морфология плевральных сращений
Диафрагмальные и интерлобарные плевральные сращения. Торакоскопическая картина плевральной полости
Диафрагмальные сращения обычно представляют собой массивные, плотные тяжи, доступ к которым в большинстве случаев чрезвычайно труден. Иногда они оказывают очень вредное влияние на легочную ткань вследствие постоянного травмирования легкого при движениях диафрагмы. При устранении всех верхних сращений и создании хорошего коллапса вредное воздействие диафрагмальных сращений устраняется или во всяком случае уменьшается.
Интерлобарные сращения без участия костальной плевры не имеют практического значения и не требуют устранения. Сращения косто-костальные, располагающиеся между ребрами, косто-диафрагмальные, находящиеся между грудной клеткой и диафрагмой в синусе, образуются без участия висцеральной плевры. И те, и другие не имеют практического значения, ибо не оказывают никакого влияния на коллапс легкого.
При обширном пневмотораксе с помощью торакоскопа можно осмотреть всю плевральную полость и находящиеся в ней органы. Торакоскопическая картина может быть чрезвычайно разнообразной в зависимости от состояния плевры. В норме плевра представляет собой очень тонкое образование, сквозь которое мы ясно видим ребра в виде желтовато-белых лент и тёмнокрасные межреберные промежутки. Если мы проследим ребра по направлению к позвоночнику, то увидим реберные головки в виде бугорков.

Костальная плевра не во всех местах имеет одинаковый вид: иногда, наряду с совершенно нормальной плеврой, попадаются резко гиперемированные участки, в других же местах гиперемия менее ясно выражена, видна сеть инъицированных сосудов. Иногда попадаются участки, где плевра совершенно потеряла свой блеск и прозрачность и имеет сероватый вид. В этих местах ребра и межреберные, пространства сливаются, и различить их бывает очень трудно. Такие изменения в плевре наблюдаются в результате бывшего воспаления.
Диафрагма—тёмнокрасного цвета. Если основание легкого отделено от диафрагмы воздухом, то ее можно видеть на всем протяжении, большей же частью внутренней половины диафрагмы не видно, так как она закрыта легким. Иногда между основанием легкого и куполом диафрагмы имеются тяжевидные сращения большей или меньшей толщины. При вдохе диафрагма, опускаясь вниз, тянет спайку, вследствие чего легкое в этом месте приобретает вид конуса. Между диафрагмой и грудной стенкой виден синус — глубокая борозда, суживающаяся по направлению книзу. Дно синуса можно видеть только тогда, когда диафрагма во время вдоха опускается. В синусе обычно видны сращения между диафрагмой и грудной стенкой.
Медиальные части плевральной полости увидеть очень трудно, так как они прикрыты легким, задние же части можно видеть хорошо, если больного наклонить немного вперед: тогда легкое, вследствие своей тяжести, тоже перемещается вперед. Слева параллельно позвоночнику виден синеватый тяж — v. hemiazygos, справа — верхняя часть, v. azygos. Слева хорошо видна дуга аорты. Под легочной верхушкой находится круглое образование в виде толстого тяжа, которое сразу может показаться исходящим из легкого, но, если ближе подвести торакоскоп, при более внимательном рассмотрении видно, что это образование, исходящее из медиальной стенки, имеет совершенно ясную пульсацию, — это v. anonyma.
Рядом с ней расположен более светлый тяж — a. anonyma (слева — a. subclavia). При большом пневмотораксе справа бывает хорошо видна верхняя полая вена и пересекающий ее наискось правый диафрагмальный нерв. Гилус не виден, так как он прикрыт легким; при хорошем коллапсе виден верхний край гилуса в виде вытянутой складки, которую нередко принимают за мембранозное сращение.
Стивере делит все сращения на три группы:
1. Тяжевидные сращения — фиброзные белые и блестящие, слегка красноватые сращения малого диаметра, весьма различной длины. Обычно они не содержат ни сосудов, ни легочной ткани. Натяжение легкого, вызываемое этими сращениями, имеет значение лишь при большом их количестве.
2. Круглые сращения представляют собой плотные фиброзные ленты, круглые и короткие, обычно содержащие легочную ткань, которая может доходить до самой грудной стенки. Цвет этих сращений вариирует от серовато-красного до темнобагрового. В сращениях часто имеются небольшие кровеносные сосуды; пережигание их иногда сопряжено с большим риском ранения легочной ткани, поэтому больше всего показано вылущение сращений из грудной стенки.
3. Вееровидные сращения — это фиброзные сращения различной толщины, но обычно очень широкие, прикрепляющиеся к грудной стенке на большом протяжении. Различные структуры, входящие в состав этих сращений, и возможность пересечения их определяются освещением сращения сзади, главным образом для установления наличия легочной ткани. Большей частью эти сращения можно пережигать гальванокаутером, но иногда приходится прибегать к коагуляции и вылущению. Между этими тремя группами имеется ряд переходных форм, которые могут быть отнесены к той или иной группе.
Классификация, которую предлагает Метсон, основывается исключительно на форме сращений. Он подразделяет все сращения на следующие виды: 1) паутиновидные, 2) нитевидные, 3) тяжевидные, 4) лентовидные, 5) веерообразные, 6) конусовидные, 7) фартуковидные, 8) палатковидные, 9) диффузные.

Морфология плевральных сращений
Морфологически все сращения, встречающиеся в плевральной полости, можно разделить на две группы: 1) сращения, при которых возможно применение оперативного вмешательства, и 2) сращения, при которых вмешательство невозможно. Ко вторым относятся: а) облитерация плевральной полости, исключающая возможность наложения пневмоторакса, а следовательно, и введения торакоскопа в плевральную полость; б) плоскостные сращения, т. е. спаяние легкого с грудной стенкой на большом протяжении в длину и ширину. Такие сращения недоступны для пережигания, так как большей частью имеют только один свободный край, но главным образом потому, что при пережигании их обязательно нарушается целость легочной ткани.
Практическое значение имеют только те сращения, которые, прикрепляясь с одной стороны к легкому, а с другой — к грудной стенке, на большем или меньшем протяжении остаются свободными. Эти сращения можно разделить на две основные группы: а) тяжевидные и 2) мембранозные.
Тяжевидные сращения бывают самого различного диаметра, начиная от еле заметных нитевидных и до толщины большого пальца и более. Форма их самая разнообразная: круглая, лентовидная, треугольная, четырехугольная. Длина сращений также очень различна: от 1 до 12—15 см; она связана с объемом воздушного пузыря в плевральной полости, по мере увеличения которого сращения, растягиваясь, удлиняются. Чем массивнее сращение, тем меньше оно растягивается и тем больше оно препятствует коллапсу легкого. Тяжевидные сращения у легкого и у грудной стенки большей частью имеют конусовидное расширение. Эти расширения состоят из целого ряда складок, особенно заметных у места прикрепления сращения к грудной стенке.
Мембранозные сращения отличаются большей или меньшей шириной. Толщина их в различных местах не одинакова: обычно наибольшую толщину имеют края сращения, а между ними может проходить совершенно тонкая прозрачная пленка. Иногда мембранозное сращение состоит из нескольких утолщенных складок с истонченными промежутками между ними. Мембранозные сращения могут располагаться вдоль ребер и межреберных пространств или перпендикулярно к ребрам и межреберным пространствам, занимая иногда 2—3 межреберных промежутка.
Сращения при туберкулезе легких, как правило, отходят от пораженных участков легких, поэтому в подавляющем большинстве случаев сращения располагаются в верхушечной и подключичной области. Это объясняется тем, что внизу туберкулезные очаги встречаются несравненно реже, чем вверху; кроме того, ввиду большего объема нижних частей легкого, туберкулезные очаги гораздо труднее достигают плевры.
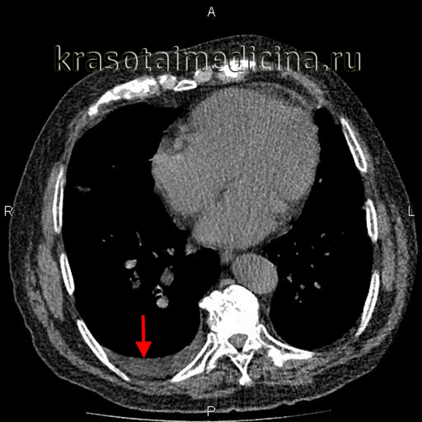
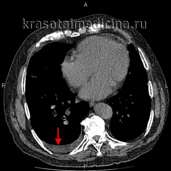
Осумкованный плеврит
Осумкованный плеврит – локальное скопление экссудата, ограниченное плевральными сращениями от остальной плевральной полости. В зависимости от локализации и объема экссудата клиническая картина варьирует от бессимптомного течения до выраженных проявлений, включающих боли в грудной клетке, одышку, кашель, затруднение глотания. Диагноз осумкованного плеврита выставляется на основании результатов рентгенографии легких, КТ грудной клетки, УЗИ плевральной полости, торакоцентеза. Лечение осумкованного плеврита зависит от его этиологии, которая устанавливается после исследования экссудата (антибиотикотерапия, противотуберкулезная терапия, по показаниям – хирургическое вмешательство).
Осумкованный плеврит – экссудативный плеврит, при котором плевральный выпот заключен в ограниченном пространстве между спайками плевральных листков. По характеру экссудата осумкованный плеврит может быть серозным, серозно-фибринозным, геморрагическим, гнойным. Фактически, осумкование представляет собой реакцию плевры на длительное, хроническое течение воспалительных или иных процессов, которая заключается в образовании массивных сращений, отграничивающих экссудат от всей остальной плевральной полости. О частоте осумкованных плевритов можно судить лишь косвенно, основываясь на данных аутопсии. По некоторым сведениям, наличие сращений в плевральной полости, указывающих на перенесенный в прошлом плеврит, обнаруживается у 80% умерших пациентов стационаров.
Причины осумкованного плеврита
Поскольку осумкованный плеврит является исходом различных заболеваний легких и плевры, о его этиологии обычно говорят в контексте основной патологии. В большинстве случаев осумкованию подлежит экссудат, образовавшийся в результате воспалительных заболеваний органов грудной полости (пневмония, эмпиема плевры, бронхоэктатическая болезнь, туберкулез легких) или верхнего этажа брюшной полости (панкреатит, поддиафрагмальный абсцесс). Также осумкованный плеврит может иметь опухолевую этиологию и возникать при локализованной мезотелиоме плевры, первичном и метастатическом раке легкого, опухолях средостения. Весьма часто экссудат отграничивается плевральными сращениями вследствие проникающих ранений и закрытых травм грудной клетки, оперативных вмешательств на плевре. Экссудацией в полость плевры могут сопровождаться коллагенозы, инфаркт легкого.
Формирование осумкованного плеврита может происходить двумя путями: в первом случае выпот скапливается в пространстве между старыми плевральными сращениями (первичное осумкование), во втором – свободный экссудат отграничивается от плевральной полости свежими, вновь образующимися спайками плевральных листков (вторичное осумкование). Основой процесса осумкования экссудата служит выпадение фибрина на плевральные листки, его организация с образованием соединительнотканных сращений (шварт), уменьшающих площадь плевры, участвующей в резорбции экссудата. Замедлению рассасывания плеврального выпота и его осумкованию также способствует торпидное, рецидивирующее течение основного заболевания, изменение общей реактивности организма, инфицирование экссудата.
Классификация осумкованного плеврита
С учетом этиологии различают парапневмонические, туберкулезные, панкреатогенные, опухолевые, посттравматические, ревматические осумкованные плевриты. На основании локализационного критерия и клинико-рентгенологической картины в пульмонологии выделяют следующие виды осумкованного плеврита:
- апикальный (верхушечный) – осумкование выпота в области верхушки легкого;
- паракостальный (пристеночный) – уровень жидкости своим широким основанием прилежит к реберной поверхности;
- базальный (диафрагмальный) - осумкованный выпот широким основанием прилежит к поверхности диафрагмы. Различают диафрагмально-междолевые, диафрагмально-паракостальные и диафрагмально-парамедиастинальные осумкования;
- интерлобарный (междолевой) – скопление экссудата в междолевых щелях, рентгенологически определяющееся в виде вытянутой веретенообразной тени;
- парамедиастинальный - скопление экссудата прилежит к медиастинальной плевре.
Осумкование экссудата может быть частичным или полным. В первом случае плевральные наложения ограничивают распространение выпота в 1-2-х направлениях, но позволяют ему перемещаться в других положениях тела. Полное осумкование предполагает отграничение экссудата плевральными швартами со всех сторон, в результате чего при любом положении форма и локализация теней остается неизменной. Также осумкования экссудата могут быть одиночными и множественными, одно- или двусторонними.
Симптомы осумкованного плеврита
Клиническая картина осумкованного плеврита может сильно различаться в зависимости от локализации, характера и объема экссудата, срока давности существования патологии.
Осумкованные междолевые плевриты практически не дают симптоматики. Пристеночный осумкованный плеврит может вызывать боли в грудной клетке, усиливающиеся при чихании и кашле. При осумковании экссудата в диафрагмальном синусе болевые ощущения отдают в верхние отделы живота, ощущается дискомфорт при глотании. Апикальный плеврит характеризуется болевыми ощущениями, иррадиирующими в руку, шею, лопатку, напоминающими по своему характеру плексит или рак Панкоста.
Течение парамедиастинальных плевритов весьма вариативно. В одних случаях осумкованные плевриты данной локализации не вызывают никаких субъективных ощущений и являются случайной рентгенологической находкой. При расположении большого количества экссудата в верхних парамедиастинальных пространствах развивается синдром медиастинальной компрессии, сопровождающийся загрудинными болями различной интенсивности, одышкой, стридорозным дыханием, дисфагией, осиплостью голоса, набуханием вен шеи, одутловатостью лица. Парамедиастинальные плевриты с локализацией в нижних отделах могут вызывать абдоминальные боли и даже симулировать клинику острого живота.
Варианты исхода серозного осумкованного плеврита могут быть различны. Осумкованный экссудат может существовать без изменений в течение нескольких недель и месяцев. В части случаев он подвергается полной резорбции с образованием массивных плевральных шварт и частичной облитерацией плевральной полости. В редких случаях осумкованный выпот подвергается обызвествлению, что вызывает резкое нарушение функции легкого и в дальнейшем требует проведения декортикации.
Гнойный осумкованный плеврит может давать типичную клинику эмпиемы плевры (тяжелая интоксикация, фебрильная температура, ознобы) или стертую симптоматику (недомогание, субфебрилитет, слабость). Осумкованный гнойный выпот при длительном существовании может прорываться в бронх или мягкие ткани грудной клетки с образование бронхо-плевральных или плевро-кожных свищей.
Диагностика осумкованного плеврита
Для первичного выявления осумкованного плеврита чрезвычайно важны данные полипозиционой рентгенографии грудной клетки (в прямой, боковых и косых проекциях) и рентгеноскопии легких. Рентгенологически осумкование проявляется в виде затемнения характерной локализации и формы. В сложных случаях для дифференциальной диагностики требуется наложении искусственного пневмоторакса и пневмоперитонеума, проведение КТ легких. Длительное существование осумкованного плеврита может отразиться на состоянии легочной паренхимы. Поэтому для оценки изменений прилежащих отделов легкого (бронхов, сосудов) используются рентгеноконтрастные исследования - бронхография и ангиопульмонография.
УЗИ плевральной полости позволяет оценить объем и предположительно характер экссудата, выбрать оптимальный доступ для его эвакуации. Плевральная пункция с визуальной оценкой и лабораторным анализом плевральной жидкости в большинстве случаев ставит точку в определении этиологии осумкованного плеврита. В ряде случаев для установления этиологического диагноза требуется проведение диагностической торакоскопии с биопсией плевры.
Дифференциальная диагностика различных видов осумкованного плеврита осуществляется с синдромом средней доли, ателектазом, кистой легкого, доброкачественными и злокачественными опухолями легких и средостения, субплевральными гематомами, диафрагмальной грыжей и рядом других схожих по рентгенсимеотике состояний.
Лечение осумкованного плеврита
Лечебная тактика при осумкованном плеврите определяется пульмонологом на основании всего комплекса диагностических данных. Главными факторами, влияющими на выбор метода лечения, являются характер и объем экссудата, давность существования плеврита, состояние спавшегося легкого, наличие осложнений. В зависимости от этиологии осумкованного плеврита для прохождения лечения пациент может направляться к онкологу или фтизиатру.
Во всех случаях лечение целесообразно начинать с консервативных мероприятий: лечебных пункций, дренирования плевральной полости, противовоспалительной терапии, ЛФК с включением дыхательной гимнастики; при отсутствии противопоказаний – физиотерапии (электрофорез, индуктотермия, ультразвук и др.). При гнойных осумкованных плевритах после эвакуации экссудата производится промывание плевральной полости антисептическими растворами, осуществляется внутриплевральное введение антибиотиков.
В случае подтверждения неспецифического инфекционного генеза осумкованного плеврита назначается системная антибиотикотерапия; при туберкулезной этиологии заболевания - противотуберкулезные химиопрепараты. Опухолевые плевриты требуют целенаправленного подбора цитостатиков; плевриты ревматической этиологии – проведения глюкокортикостероидной терапии. При отсутствии положительной динамики, сдавлении легкого плевральными швартами может потребоваться проведение плеврэктомии, декортикации или резекции легкого.
Профилактика осумкованного плеврита заключается в своевременном выявлении первопричины экссудации в плевральной полости, полном удалении плеврального выпота, проведении полноценного этиотропного лечения, устранении факторов, способствующих осумкованию.
2. Ультразвуковая диагностика осумкованных плевритов/ Безусяк В.П.// Медицина транспорта Украины. – 2005.
3. Диагностическая тактика у больных с плевритом неясной этиологии: Автореферат диссертации/ Арутюнян А.В. – 2009.
Читайте также:
