Хирургическая анатомия околоушной слюнной железы
Добавил пользователь Евгений Кузнецов Обновлено: 27.01.2026
«Эндоскопией слюнной железы» или «сиалендоскопией» называется процедура визуализации надрезанных в ротовой полости протоков слюнной железы путем введения в них системы с очень маленькими камерами (эндоскопами). Расположенные в протоках слюнной железы, камни или остатки ткани удаляются при помощи небольших инструментов, вставляемых в протоки вместе с эндоскопами. Благодаря которым становится возможным вводить лекарственные препараты, выполнять процедуру промывки или же расширять канальные проходы.
Наиболее распространенной причиной использования сиалендоскопии является выявление проблем, вызывающих боль и отечность в слюнной железе. В случае выявления определенной проблемы, при которой наблюдается образование камней или стеноз протоков слюнной железы, лечение может быть выполнено с применением вышеуказанной процедуры.
На сегодняшний день сиалендоскопия считается наиболее эффективным методом для диагностики и лечения доброкачественных заболеваний, причиной которых является закупорка проточных каналов подчелюстных (submandibular) и околоушных (parotis) слюнных желез. В случае закупорки протоков слюнной железы, вызывающей значительное затруднение прохода слюны внутри проточного канала, только при помощи использования сиалендоскопии обеспечивается рациональное лечение до 90% случаев слюнокаменной болезни.
Эти заболевания, которые в прошлом можно было лечить только путем хирургического удаления слюнных желез, в наши дни с помощью сиалендоскопии можно обеспечивать лечение с высокой долей успешных исходов, ориентированное на сохранение слюнных желез.
После сиалендоскопических вмешательств, которые не требуют госпитализации, пациенты уже в скором времени могут вернуться к привычному образу жизни и нормальной диете. Кроме того, процесс лечения может быть завершен с наименьшей потерей времени.
Преимущества сиалэндоскопии
Стандартные операции, проводимые на подчелюстную (submandibular) или околоушную ( parotis) слюнные железы, способствуют потере функциональности лицевого нерва, потере чувствительности в полости рта, образованию хирургического шрама на шее, деформациям лица или вероятности рецидива заболевания, которое связано с осложнениями, возникшими в результате неполностью удаленных протоков слюнной железы. Между тем, применение сиалэндоскопии вместе с профилактикой этих осложнений может обеспечивать и другие дополнительные преимущества.
Наиболее важными преимуществами сиалендоскопии по сравнению со стандартными хирургическими методами являются:
• Очень малая вероятность хирургических осложнений
• Отсутствие риска постоянного повреждения нерва
• Отсутствие на коже хирургических шрамов
• Нормальная анатомия и защита анатомических функций
• Минимальная потеря времени выполнения
• Не требуется госпитализация
В каких случаях применяется сиалэндоскопия?
Все пациенты с камнями в выводных протоках околоушных или подчелюстных слюнных желез или же в случае выявления у них сужения выводных протоков, или же пациенты с частым инфекционным воспалением слюнной железы , или ее опухолью, являются кандидатами для прохождения сиалэндоскопии для диагностики или лечения подобных заболеваний.
Как правило, во время проведения сиалэндоскопии с использованием специальных щипцов или лотков для камней без какого-либо дополнительного хирургического вмешательства, выполняя всего лишь небольшой надрез протока на участке его выхода в ротовую полость, представляется возможным извлечение камней диаметром 3 мм из протоков околоушной слюнной железы и камней диаметром 4 мм из протоков подчелюстной слюнной железы.
Чтобы удалить камни большего размера (6-8 мм), необходимо, чтобы они при помощи механических инструментов, лазерного воздействия или звуковых волн были раздроблены на мелкие кусочки, которые затем легко можно будет удалить из протоков слюнной железы. В случае образования камней, намного превышающих привычную норму, или же которые в силу своих размеров невозможно удалить из выводных протоков при помощи методов дробления, в таком случае, одновременно используя эндоскопические и хирургические методы, представляется возможным удалить камни из слюнной железы, не повреждая ее.
Пациентам, у которых было выявлено сужение отверстия слюнного канала, применяются баллонные катетеры, позволяющие расширить суженные участки таких каналов. Кроме того, оценка, очистка и промывка раствором, содержащим антибиотик и кортизон, может обеспечить значительное снижение риска частого возникновения повторных инфекций у пациентов с частыми проявлениями воспаления слюнной железы.
"Содержание страницы предназначено только для информации, проконсультируйтесь с вашим врачом для диагностики и лечения”
Комментарий
Ваша контактная информация никоим образом не будет передана. * Обязательные для заполнения поля.
Хирургическая анатомия околоушной слюнной железы
Хирургическая анатомия околоушной слюнной железы
Как уже упоминалось, чаще всего опухоли располагаются в поверхностной доле околоушной слюнной железы, далее следует поднижнечелюстная слюнная железа и, затем, подъязычная и малые слюнные железы. Поскольку оптимальным методом лечения доброкачественных новообразований слюнных желез по-прежнему является хирургическое удаление, понимание анатомии слюнных желез необходимо для того, чтобы избежать осложнений.
Слюнные железы начинают формироваться на 6-9 неделе внутриутробной жизни. Крупные слюнные железы происходят из эктодермы, малые слюнные железы могут происходить как из эктодермы, так и из эндодермы. Поскольку капсула вокруг поднижнечелюстной слюнной железы образуется раньше, чем вокруг околоушной, в толщу последней иногда мигрируют лимфатические узлы. Этим объясняется тот факт, что в околоушной слюнной железе, в отличие от поднижнечелюстной, могут возникать лимфогенные метастазы.
Экскреторная единица любой слюнной железы состоит из ацинуса и протока. По характеру выделяемого секрета ацинусы делятся на серозные, слизистые и смешанные. Из ацинусов секрет поступает сначала во вставочные протоки, затем в исчерченные и, наконец, в экскреторные. Вокруг ацинусов и вставочных протоков располагаются миоэпителиальные клетки, которые способствуют прохождению слюны по протокам.
Околоушная слюнная железа секретирует преимущественно серозный секрет, подъязычная и малые слюнные железы — муцинозный, поднижнечелюстная железа — смешанный.
Хотя фактически околоушная железа представлена лишь одной долей, но с хирургической точки зрения в ней выделяют поверхностную долю, расположенную латеральнее лицевого нерва, и глубокую долю, расположенную медиальнее лицевого нерва. Парасимпатическую иннервацию железы обеспечивают преганглионарные волокна, берущие свое начало от нижнего слюноотделительного ядра, которые затем в составе языкоглоточного нерва (ЧН IX) выходят из полости черепа через яремное отверстие.

(а) Крупные слюнные железы.
(б) Анатомия поднижнечелюстного треугольника. Показаны взаимоотношения поднижнечелюстной слюнной железы с важными сосудами и нервами.
Подъязычный нерв проходит ниже и глубже от железы, лицевые артерия и вена выше и глубже.
После выхода из полости черепа преганглионарные волокна отделяются от языкоглоточного нерва, формируют барабанный нерв и опять входят в полость через нижний барабанный каналец. В полости среднего уха они проходят над мысом улитки, и затем покидают височную кость как малый каменистый нерв. Малый каменистый нерв покидает полость черепа через круглое отверстие, где затем его преганглионарные волокна образуют синапсы с ушным ганглием. Постганглионарные волокна в составе ушно-височного нерва иннервируют околоушную слюнную железу.
Выводной проток околоушной железы носит название протока Стенсена. Он проходит в горизонтальной плоскости примерно на 1 см ниже скуловой кости, часто в непосредственной близости от щечной ветви лицевого нерва. Кпереди от жевательной мышцы проток прободает щечную мышцу и открывается в полость рта на уровне второго верхнего моляра. Артериальное кровоснабжение железа получает из системы наружной сонной артерии, венозный отток осуществляется в заднюю лицевую вену. Как уже говорилось выше, в толще околоушной железы находятся лимфатические узлы, лимфотток от которых происходит в лимфоузлы яремной цепи.
Околоушная железа находится внутри так называемого околоушного пространства в форме клина, ограниченного сверху скуловой костью; спереди жевательной мышцей, латеральной крыловидной мышцей и ветвью нижней челюсти; снизу грудинно-ключично-сосцевидной мышцей и задним брюшком двубрюшной мышцы. Глубокая доля лежит латеральнее окологлоточного пространства, шиловидного отростка, шилонижнечелюстной связки и сонного влагалища. Железа окутана околоушной фасцией, которая отделяет ее скуловой кости.
В околоушном пространстве расположены лицевой, ушно-височный и большой ушной нервы; поверхностная височная и задняя лицевая вены; наружная сонная, поверхностная височная и внутренняя верхнечелюстная артерии.
После выхода из шилососцевидного отверстия лицевой нерв (ЧН VII) идет кпереди и входит в околоушную слюнную железу. До входа в толщу железы он отдает ветви к задней ушной мышце, заднему брюшку двубрюшной мышцы и шилоподъязычной мышце. Сразу после входа в железу нерв разделяется на две основные ветви: верхнюю и нижнюю (гусиная лапка). Как правило, верхняя ветвь разделяется на височный и скуловой нервы, а нижняя на щечный, краевой нижнечелюстной и щечный нервы. Знание данных анатомических особенностей необходимо для того, чтобы не повредить нерв во время операций на околоушной слюнной железе.
Анатомия лицевого нерва после его выхода из шилососцевидного отверстия.
В паренхиме околоушной слюнной железы нерв разделяется на несколько ветвей.
Обратите внимание, что стенонов проток идет вместе со щечной ветвью нерва.
Учебное видео анатомии, топографии слюнных желез и их выводных протоков
Редактор: Искандер Милевски. Дата обновления публикации: 18.3.2021
Топографическая анатомия и оперативная хирургия. Курс лекций (2012)
Щечная мышца – самая глубокая мимическая мышца. Через нее проходит выводной проток околоушной слюнной железы.
Слизистая преддверия рта покрывает изнутри щечную мышцу.
Околоушно-жевательная область Границы: сверху – скуловая дуга, снизу – нижний край
нижней челюсти, спереди – передний край жевательной мышцы, сзади – задний край ветви нижней челюсти.
Кожа тонкая, подвижная, у мужчин покрыта волосами. Подкожная клетчатка хорошо выражена и пронизана со-
единительно-тканными тяжами, которые связывают кожу с собственной фасцией. Состоит из двух слоев, разделенных поверхностной фасцией . В глубоком слое проходят ветви лицевого нерва.
Собственная (околоушно-жевательная) фасция представ-
ляет собой плотную соединительно-тканную пластинку, которая окружает околоушную железу и жевательную мышцу.
Околоушная железа расположена основной своей массой в зачелюстной ямке, которая является ее ложем. Собственная фасция околоушной железы не только образут для нее фасциальную капсулу, но и дает отростки, проникающие в толщу железы и делящие ее на дольки. Фасциальная капсула слабо развита на верхней поверхности железы, прилегающей к наружному слуховому проходу, а также с медиальной стороны в области глоточного отростка, где ложе околоушной железы сообщается с окологлоточным пространством. Последнее обстоятельство объясняет возможность проникновения гноя из околоушной железы в окологлоточное пространство, а также в наружный слуховой проход при гнойном паротите, и переход гнойновоспалительного процесса из полости наружного уха на железу. В толще околоушной железы проходят наружная сонная артерия и ее конечные ветви, занижнечелюстная вена, ушновисочный и лицевой нервы, а также располагаются глубокие и поверхностные околоушные лимфатические узлы. Лицевой нерв в околоушной слюнной железе разделяется на 5 групп ветвей: височные, скуловые, щечные, краевая ветвь нижней челюсти, шейная.
Выводной проток околоушной железы расположен в горизонтальном направлении параллельно и ниже скуловой дуги, на наружной поверхности жевательной мышцы. У переднего края жевательной мышцы проток под прямым углом поворачивает внутрь, прободая щечную мышцу, и открывается на слизистой оболочке преддверия рта между первым и вторым верхними большими коренными зубами.
Жевательная мышца – от скуловой дуги к углу нижней челюсти.
Жевательно-нижнечелюстное костно-фиброзное пространство .
Ветвь нижней челюсти.
Глубокая область лица
Глубокая область лица становится доступной после удаления ветви нижней челюсти, жевательной мышцы и скуловой дуги. Область представляет собой пространство, ограниченное с наружной стороны восходящей ветвью нижней челюсти, с передней – бугром верхней челюсти, с медиальной – крыловидным отростком клиновидной кости, сверху – основанием черепа. Она заполнена мышцами, клетчаткой, сосудами и нервами. Из мышц здесь располагаются латеральная и медиальная крыловидные и височная мышцы.
В глубокой области выделяют два межфасциальных клетчаточных промежутка:
1) височно-крыловидный (между латеральной крыловидной и височной мышцами), содержащий верхнечелюстную артерию с ее ветвями и многочисленные вены, образующие крыловидное венозное сплетение;
2) межкрыловидный (между латеральной и медиальной крыловидными мышцами), содержащий крыловидное венозное сплетение, верхнечелюстную артерию и ее
ветви, нижнечелюстной нерв. Височно-крыловидный промежуток сообщается с:
жировым телом щеки и с крылонебной ямкой;
полостью черепа – через круглое отверстие;
полостью глазницы – через нижнюю глазничную щель;
полостью носа – через крылонебное отверстие;
полостью рта – через небный канал.
Межкрыловидный промежуток сообщается с:
височно-крыловидным и окологлоточным пространствами;
полостью черепа – через овальное и остистое отверстия;
дном полости рта – по ходу язычного нерва.
Особенности лицевого отдела головы
у новорожденных и детей
У новорожденных кожа лица нежная, тонкая. Подкожная жировая клетчатка хорошо выражена, особенно жировой комок Биша, связанный отрогами с жировой клетчаткой подвисочной ямки. Благодаря наличию отрогов и фиксации к окружающим тканям жировое тело выполняет роль своеобразного стабилизатора, препятствующего втягиванию мягких тканей в ротовую полость во время сосания. Собственная фасция, мимические и жевательные мышцы развиты слабо, за исключением сосательных мышц, расположенных в толще губ. С возрастом происходит не только увеличение размеров и объема мускулатуры лица, но и ее дифференцировка.
Околоушная железа у новорожденного развита слабо, толщина ее достигает 5-7 мм. Капсула на внутренней поверхности железы слабо выражена, в некоторых случаях может отсутствовать, что облегчает проникновение гноя из области железы в клетчатку подвисочной ямки. Выводной проток у новорожденных расположен ниже, чем у взрослых, дугообразной выпуклостью, обращенной книзу.
Поверхностные и глубокие вены лица у детей раннего возраста имеют больше связей между собой, чем у взрослых. Хорошо развиты анастомозы между крыловидными венозными сплетениями и поверхностными венами лица, а также с синусами твердой мозговой оболочки. В ткани околоушной железы лицевой нерв у детей расположен более поверхностно.
В тех случаях, когда челюстные отростки не срастаются между собой (полностью или частично), образуются врожденные уродства лица – расщелины, которые располагаются по типичным направлениям, соответственно первоначальным зародышевым щелям. Среди них выделяют:
1. Расщелины верхней губы:
Этот порок развития часто комбинируется с дефектами альвеолярного отростка верхней челюсти, твердого и мягкого неба и другими. Протяженность расщелины может быть различной. Если она идет через всю высоту губы, но не проникает в полость носа, то щель называется частичной, если же проникает – полной.
2. Расщелины нёба :
полные – это щель нёба, доходящая до альвеолярного отростка;
частичные – ограничиваются отдельными участками твердого или мягкого нёба (почти всегда имеется дефект мягкого нёба и задней части твердого неба);
сквозные – проникающие через альвеолярный отросток в преддверие рта:
3. Расщелины лица:
Поперечные – дефект, распространяющийся от угла рта на область щеки. Сопровождается обычно деформацией наружного уха, а в некоторых случаях и недоразвитием всей половины лица;
Срединные – дефект располагается вертикально по срединной линии верхней или нижней губы. Кроме мягких тканей, может оказаться разделенной верхняя челюсть с дефектом в виде борозды кончика и перегородки носа. В тяжелых случаях наблюдается разделение нижней губы, нижней челюсти и языка.
Косые (колобома) – изъян идет через верхнюю губу, щеку и нижнее веко к глазу.
Несращение тканей иногда ограничивается только отдельными слоями, тогда они называются скрытыми.
ОПЕРАЦИИ В ОБЛАСТИ ЛИЦЕВОГО ОТДЕЛА ГОЛОВЫ
Хирургическое лечение ран
Техника операций на лице руководствуется главным образом косметическим результатом. Основные требования к хирургической обработке ран лица:
направление разрезов кожи должно совпадать с расположением ее естественных складок (косметичность), с учетом направления ветвей лицевого нерва;
первичная хирургическая обработка ран должна быть не только ранней, но и окончательной;
края раны не иссекают, а удаляют только явно нежизнеспособные ткани экономно острым скальпелем одним сечением;
ушивание раны от дна и точно по слоям с точным сопос-
тавлением краев раны.
Вмешательства при гнойных процессах на лице
Цель операции – при сформировавшемся очаге создать отток гноя, чтобы предупредить распространение воспалительного процесса. Перед вскрытием гнойного очага обычно производят диагностическую пункцию в центре флюктуации. Разрез обычно делают над центром флюктуации в области гнойного очага. Разрез может быть произведен через слизистую оболочку полости рта или через кожу. Околочелюстные флегмоны, развивающиеся в связи с кариозными процессами зубов, чаще вскрывают внутриротовыми доступами.
При вскрытии поверхностных гнойников кожный разрез выполняют, исходя из топографо-анатомического распределения основных ветвей лицевого нерва и выбирая наиболее нейтральные пространства между ними.
Операция при остром гнойном паротите
Цель операции – вскрытие гнойно-некротического очага, дренирование раны до полного отторжения некротических тканей.
1) рассечение кожи, подкожной клетчатки и капсулы железы параллельно ходу ветвей лицевого нерва (при расположении гнойно-некротического очага в позадичелюстной части околоушной железы проводят вертикальный разрез, параллельный заднему краю ветви нижней челюсти);
2) расслоение мягких тканей железы тупым способом (во избежание повреждения лицевого нерва);
3) дренаж гнойно-некротического очага.
Оперативное лечение заглоточного абсцесса
Доступ – через рот.
Положение больного – сидя.
1) лезвие скальпеля оборачивают марлей, лейкопластырем или ограничивают зажимом, оставляя свободный конец длиной 1 см;
2) вертикальным разрезом глубиной 1 см и длиной 2 см над местом выбухания вскрывают гнойник;
3) после разреза голову больного резко наклоняют кпереди, для профилактики аспирации гноя в дыхательные пути.
Операции при расщелинах лица
Операцию производят в возрасте 10-12 месяцев.
1) разрез по краям расщелины на границе кожи и красной каймы;
2) рассечение подкожной клетчатки, мышц и слизистой оболочки полости рта;
3) иссечение избытка слизистой оболочки;
4) послойное наложение швов на слизистую, мышцы, подкожную клетчатку, кожу.
ТОПОГРАФИЧЕСКАЯ АНАТОМИЯ ШЕИ И ОПЕРАЦИИ В ОБЛАСТИ ШЕИ
ТОПОГРАФИЧЕСКАЯ АНАТОМИЯ ШЕИ
верхняя – линия, проходящая по нижнему краю нижней челюсти, верхушке сосцевидного отростка, верхней выйной линии, наружному затылочному бугру;
нижняя (между шеей, верхней конечностью, спиной и грудью) – яремная вырезка грудины, ключица, и линия, проведенная от акромиального отростка лопатки к ости-
стому отростку VII шейного позвонка.
Фронтальной плоскостью, проходящей через поперечные отростки шейных позвонков, шею условно делят на два отдела: передний (собственно шея) и задний (выйная область).
Треугольники шеи и их прикладное значение
1. Внутренний треугольник (ограничен краем нижней челюсти, грудино-ключично-сосцевидной мышцей и срединной линией шеи):
Подчелюстной треугольник (ограничен краем нижней челюсти и обоими брюшками двубрюшной мышцы). Содержимое: подчелюстная слюнная железа и одноименные лимфатические узлы, лицевая артерия, язычный и подъязычный нервы.
Сонный треугольник (ограничен задним брюшком двубрюшной мышцы, передним краем грудино- ключично-сосцевидной и верхним брюшком лопа- точно-подъязычной мышц). Содержимое: основной сосудисто-нервный пучок шеи, включающий общую сонную артерию, внутреннюю яремную вену, блуждающий нерв.
Лопаточно-трахеальный треугольник (ограничен верхним брюшком лопаточно-подъязычной и кивательной мышцами и срединной линией шеи). Содержимое: общая сонная, позвоночная артерии и вены, нижние щитовидные артерия и вена, блуж-
дающий нерв и симпатические сердечные нервы, нижний нерв гортани, шейная петля.
2. Наружный треугольник (ограничен ключицей, груди- но-ключично-сосцевидной и трапециевидной мышцами):
Лопаточно-трапециевидный треугольник (ограничен грудино-ключично-сосцевидной, латеральным краем трапециевидной, нижним брюшком лопаточноподъязычной мышц). Содержимое: шейное сплетение и его кожные ветви.
Лопаточно-ключичный треугольник (ограничен гру-
дино-ключично-сосцевидной, нижним брюшком ло- паточно-подъязычной мышц и ключицей). Содержимое: подключичные артерия и вена, стволы плечевого
сплетения, грудной лимфатический проток.
Фасции шеи и их прикладное значение Функции фасций шеи:
способствуют биомеханике мышц;
ограничивают клетчаточные пространства;
регуляция притока и оттока крови от головного мозга вследствие их сращения с наружной оболочкой вен (по этой же причине возможно развитие воздушной эмболии по причине неспадения вен при ранениях, близости правого предсердия и присасывающего действия грудной клетки).
Классификация фасций шеи
Классификация фасций шеи по В.Н. Шевкуненко:
1. Поверхностная фасция шеи – является частью общей поверхностной фасции тела. Образует влагалище подкожной мышцы шеи.
2. Поверхностный листок собственной фасции шеи об-
разует влагалище грудино-ключично-сосцевидной и трапециевидной мышц, а также капсулу подчелюстной слюнной железы. Внизу прикрепляется к передней поверхности ключиц и грудины, вверху – к краю нижней челюсти, по бокам отдает соединительнотканные перегородки к поперечным отросткам шейных позвонков и делит шею на передний и задний отделы.
3. Глубокий листок собственной фасции шеи , или aponeurosis omoclavicularis, представлен только в перед-
нем отделе (боковыми границами этой фасции являются лопаточно-подъязычные мышцы) и натянут между подъязычной костью, задней поверхностью грудины и ключиц. Образует влагалища для лопаточноподъязычных, грудино-подъязычной, грудинощитовидной и щитовидно-подъязычной мышц. Срастаясь по срединной линии, вторая и третья фасции образуют белую линию шеи (2-3 мм в ширину, не доходит до вырезки грудины на 3 см, где фасции расходятся).
4. Внутришейная фасция шеи, состоящая из двух лист-
ков: париетального и висцерального. Париетальный листок лежит спереди и с боков от органов шеи, окружая их, и образует влагалище основного сосудистонервного пучка шеи. Висцеральный листок окружает каждый орган шеи в отдельности (глотку, пишевод. гортань, трахею, щитовидную железу).
5. Предпозвоночная фасция покрывает симпатический ствол и мышцы, лежащие на телах и поперечных отростках шейных позвонков (mm. longus colli и longus capitis). Образует влагалища лестничных мышц, сосу- дисто-нервного пучка наружного шейного треуголь-
ника (а. и v. subclavia, plexus brachialis). В боковых отделах шеи пятая фасция связана с поперечными отростками шейных позвонков, внизу переходит во внутригрудную фасцию.
Международная классификация фасций шеи:
1. Поверхностная фасция шеи (соответствует второй фасции по Шевкуненко).
2. Предтрахеальная фасция (соответствует третьей фасции по Шевкуненко).
3. Предпозвоночная фасция (соответствует пятой фас-
ции по Шевкуненко).
4. Фасция основного сосудисто-нервного пучка шеи .
Клетчаточные пространства шеи
Клетчаточные пространства шеи расположены между фас-
циальными листками. Все клетчаточные пространства шеи
можно разделить на две группы – замкнутые и сообщающиеся.
К замкнутым клетчаточным пространствам относятся:
1. Межапоневротическое надгрудинное пространство –
располагается между второй и третьей фасцией шеи. Содержимое: яремная венозная дуга, связывающая передние яремные вены. Сообщается с пространством Груббера (слепой мешок позади грудино-ключично- сосцевидной мышцы).
2. Влагалище грудино-ключично-сосцевидной мышцы –
образовано второй фасцией шеи.
3. Пространство подчелюстной слюнной железы – ог-
раничено расщеплением второй фасции шеи и нижней челюстью. Содержимое: подчелюстная слюнная железа, лимфатические узлы, лицевые артерия и вена.
4. Пространство щитовидной железы – располагается между капсулой железы и висцеральным листком четвертой фасции шеи. Содержимое: конечные ветви щитовидных артерий.
5. Предпозвоночное клетчаточное пространство – рас-
положено между позвоночником и пятой фасцией
шеи. Содержимое: пограничный симпатический ствол, длинные мышцы головы и шеи.
Сообщающиеся клетчаточные пространства :
1. Преорганное клетчаточное пространство – ограни-
2. Позадиорганное клетчаточное пространство – рас-
– с клетчаткой заднего средостения.
3. Пространство основного сосудисто-нервного пучка –
4. Пространство наружного треугольника шеи – рас-
Хирургическая анатомия околоушной слюнной железы
ФГБУ «Центральный научно-исследовательский институт стоматологии и челюстно-лицевой хирургии» Минздрава России, Москва, Россия
Центральный научно-исследовательский институт стоматологии и челюстно-лицевой хирургии Минздрава РФ, Москва
Тотальное удаление околоушной слюнной железы при обширной опухоли глоточного отростка с сохранением ветвей лицевого нерва
Журнал: Стоматология. 2014;93(6): 47‑48
ФГБУ «Центральный научно-исследовательский институт стоматологии и челюстно-лицевой хирургии» Минздрава России, Москва, Россия
Представлена технология хирургического лечения пациентов с обширными опухолями глоточного отростка околоушной слюнной железы с сохранением ветвей лицевого нерва. Предложенный метод хирургического вмешательства не вызывает необходимости пересекать нижнюю челюсть и исключает возможность рецидивов заболевания, так как позволяет удалить ткань железы в полном объеме.
ФГБУ «Центральный научно-исследовательский институт стоматологии и челюстно-лицевой хирургии» Минздрава России, Москва, Россия
Центральный научно-исследовательский институт стоматологии и челюстно-лицевой хирургии Минздрава РФ, Москва
Удаление обширных опухолей глоточного отростка околоушной слюнной железы (СЖ) сопряжено с определенными сложностями. Предлагают разные оперативные доступы, включая комбинированные с трансмандибулярным или трансцервикальным подходами, с высокой вероятностью остеотомии нижней челюсти (по данным современной литературы - до 20% 2). Условия полного удаления околоушной СЖ с сохранением ветвей лицевого нерва в доступной нам литературе не рассматривались, хотя следует предположить, да это и доказывают публикации 6, что вероятность рецидива или продолженного роста высока и составляет в среднем 20-60%. Согласно данным исследования Э.Ч. Аслановой (2013), частота рецидивов при злокачественных опухолях - 60%, а при доброкачественных - 5,7%.
Предлагаем к рассмотрению клинический пример тотального удаления околоушной СЖ с обширной опухолью глоточного отростка.
Больная Л., 35 лет, находилась на лечении в отделении челюстно-лицевой хирургии ЦНИИС и ЧЛХ с диагнозом: плеоморфная аденома глоточного отростка левой околоушной СЖ. Жалобы при поступлении: на затруднение при глотании и дыхании, чувство «кома в горле».

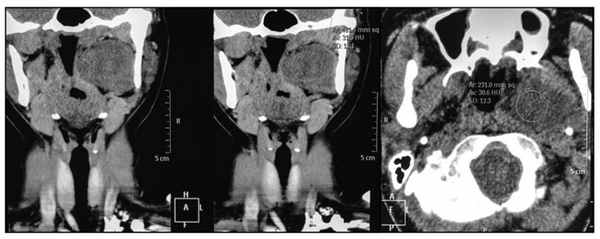
Из анамнеза: считает себя больной в течение 8 лет, с момента, когда заметила наличие образования в ротоглотке. Не лечилась и лишь год назад обратилась к ЛОР-врачу по месту жительства, который заподозрил аденому глоточного отростка. При магнитно-резонансной томографии обнаружено объемное образование глоточного отростка (рис. 1). Рис. 1. МРТ. Обратилась в ЦНИИС и ЧЛХ для проведения оперативного лечения.

При поступлении: состояние больной удовлетворительное. Данные эндоскопии: просвет носоглотки деформирован на 1/2 за счет компрессии извне по левой стенке. В полости рта: просвет глотки сужен вдающимся слева, подслизисто расположенным опухолевым образованием, занимающим боковую поверхность ротоглотки слева в проекции дужки и за ней (рис. 2, см. на цв. вклейке) Рис. 2. Вид мягкого неба с выбуханием опухоли глоточного отростка в просвет ротоглотки (а); просвет ротоглотки после операции (б). . Контуры лица и шеи деформированы из-за объемного опухолевого образования левой околоушной СЖ. Образование плотноэластической консистенции, безболезненное при пальпации. Регионарные лимфатические узлы не увеличены и не пальпируются.
Произведена операция: тотальное удаление околоушной СЖ при обширной опухоли глоточного отростка с сохранением ветвей лицевого нерва.
Метод хирургического лечения
Стандартным разрезом впереди ушной раковины с переходом на шею вдоль кивательной мышцы на 6 см рассекли кожу и полностью обнажили поверхность околоушной СЖ. Выделили переднюю поверхность кивательной мышцы, от которой отделили околоушную СЖ; стандартным путем обнаружен ствол лицевого нерва и начато удаление железы вдоль его ветвей. Все ветви выделены до переднего края жевательной мышцы. Особое внимание было обращено на выделение нижнего полюса железы, в связи с чем проведено его вывихивание из ложа, выделена и взята на лигатуры наружная сонная артерия. По окончании удаления одним блоком железы, расположенной над ветвями нерва, все ветви взяты на держалки и между ними начато удаление опухоли глоточного отростка. Перевязана и пересечена наружная сонная артерия, расширенная зачелюстная вена отведена в сторону. Для более удобной фиксации опухоли в полость рта введен палец, и под его давлением удалось отделить опухоль от позвоночника и окружающих тканей. Удаление образования выполнено путем его подталкивания между III и IV ветвями лицевого нерва, для чего в процессе операции широко обнажена нижняя поверхность железы. Удаленное образование имеет вид яйца размером 7,0×4,0 см (рис. 3, 4, см. на цв. вклейке). Рис. 3. Этапы тотального удаления околоушной СЖ. а - выделение поверхности околоушной СЖ; б - выделение ветвей лицевого нерва и удаление поверхностной части СЖ; в - удаление подлежащих тканей околоушной СЖ с сохранением ветвей лицевого нерва; г - разведение ветвей лицевого нерва и удаление глоточного отростка. Рис. 4. Вид операционной раны после полного удаления околоушной слюнной железы (I) и опухоли глоточного отростка (II). а - ствол лицевого нерва; б - скуловая ветвь лицевого нерва; в - щечная ветвь лицевого нерва; г - краевая ветвь лицевого нерва; д - зачелюстная вена; е -перевязанная наружная сонная артерия. Рана послойно ушита. В послеоперационном периоде отмечались легкие явления пареза щечной ветви лицевого нерва, сохранявшиеся на 5-е сутки при выписке из стационара. На рис. 5 (см. на цв. вклейке) Рис. 5. Мимические пробы пациентки. а - до операции; б - через 5 дней после операции. представлены мимические пробы пациентки до и после операции. Впоследствии пациентка сообщила по почте, что явления пареза щеки прошли через 3 нед.
Мы считаем, что данный способ, несмотря на определенную хирургическую сложность, включая выделение ветвей лицевого нерва под оптическим увеличением, обеспечивает полное удаление железы без дополнительного повреждения тканей. Результаты гистологического исследования: плеоморфная аденома глоточного отростка железы; в образце ткани наружной поверхности железы элементов опухоли не обнаружено.
Таким образом, представленный вариант оперативного удаления обширного образования глоточного отростка, несмотря на техническую сложность, вызванную тщательным выделением ветвей лицевого нерва на длительном протяжении и выделением и перевязкой a. carotis externa, не вызывает необходимости пересекать нижнюю челюсть и предотвращает возможность продолженного роста, так ткань железы удаляется в полном объеме.
Околоушная железа
Околоушная железа (glandula parotis) — большая слюнная железа неправильной формы (рис. 54, 55). На поперечном разрезе напоминает треугольник, своей глубокой частью заходит в позадичелюстную ямку, ограниченную спереди ветвью нижней челюсти, сверху слуховым проходом и височно-челюстным суставом, сзади сосцевидным отростком с грудино-ключично-сосцевидной мышцей и снизу — фасциальной перегородкой, отделяющей околоушную железу от подчелюстной. Своим передним краем орган заходит на наружную поверхность жевательной мышцы.

Рис. 54. Топография околоушно-жевательной области.
1 — r. temporalis n. facialis; 2 — a. temporalis superficialis; 3 — n. auriculotemporalis; 4 — a. transversa faciei; 5 — glandula parotis; 5 — m. sternocleidomastoideus; 7 — r. colli n. facialis; 8 — r. marginalis mandibulae n. facialis; 9 — a. facialis; 10 — v. facialis; 11 — mm. buccales n. facialis; 12 — ductus parotideus; 13 — r. zygomaticus n. facialis; 14 — m. masseter.

Рис. 55. Фронтальное сечение слухового прохода и околоушной слюнной железы. 1 — барабанная перепонка: 2 — шиловидный отросток с прикрепляющимися к нему мышцами; 3 — капсула околоушной железы; 4 — околоушная железа; 5 — санториниевы щели; 6 — хрящ слухового прохода; 7 — височная мышца.
Фасция области создает футляр для околоушной железы, окутывая ее со всех сторон. С внешней стороны фасция утолщена и описывается как апоневроз. Фасция истончена в участке прилегания ее к окологлоточной клетчатке и хрящевой части слухового прохода, имеющего санториниевы щели. В результате этого гной из фасциального ложа железы способен прорываться в окологлоточное пространство и в слуховой проход, последнее чаще наблюдается у детей. Кроме фасциального покрова, околоушная железа окутана тонкой капсулой, которая вместе с фасцией внутри органа дает отроги, разделяя его на дольки. Это мешает распространению гнойного процесса в самой железе. Размеры околоушной железы различны. Иногда она лишь слегка перекрывает заднюю часть жевательной мышцы, но в некоторых случаях почти достигает переднего края ее, особенно когда наблюдаются добавочные дольки железы, размещающиеся по ходу стенонова протока.
Выводной проток околоушной железы (ductus parotideus) формируется из собирательных стволиков еще в пределах органа. Иногда эти стволики образуют общий проток и вне железы. Проток может быть не одиночным. Длина протока от 1,5 до 5 см, диаметр просвета 2—3 мм. Проток, пройдя до переднего края жевательной мышцы, уходит в жировой комок щеки, прободает щечную мышцу, идет на протяжении 5—6 мм под слизистой оболочкой и открывается в преддверие полости рта. Проекция протока на кожу следует от козелка ушной раковины к углу рта или расположена на параллели, следующей на поперечный палец ниже скуловой дуги. В направлении протока и несколько выше его проходит поперечная артерия лица.
Внутреннюю часть околоушной железы, расположенную позади ветви нижней челюсти (рис. 56), пронизывает наружная сонная артерия, где она делится на конечные ветви: челюстную, заднюю ушную и поверхностную височную. Кнаружи от сонной артерии расположена наружная яремная вена. В пределах железы в вену вливаются поперечная лицевая и задняя ушная вены.

Рис. 56. Околоушно-жевательная область и окологлоточное пространство (горизонтальный распил).
1 — жировой комок щеки; 2 — m. buccinator; 3 — верхняя челюсть; 4 — гл. pterygoideus medialis; 5 — глотка; 6 — шиловидный отросток с прикрепляющимися к нему мышцами; 7 — a. carotis interna с n. vagus, n. accessorius, n. hypoglossus; 8 — I и II шейные позвонки; 9 — ganglion cervicalis superior trunci sympathici; 10 — v. jugularis interna n. glossopharyngeus; 11 — околоушная слюнная железа; 12 — наружный листок собственной фасции лица; 13 — нижняя челюсть: 14 — m. masseter. Стрелка ведет в окологлоточное пространстве.
В пределах околоушной железы расположены поверхностные и глубокие лимфатические узлы. Первые собирают лимфу с кожи лица, ушной раковины, наружного слухового прохода и барабанной полости; вторые — с мягкого неба, задней половины полости носа. Оттекает лимфа в узлы под грудино-ключично-сосцевидной мышцей, у внутренней яремной вены. Воспаление глубоких лимфатических узлов, расположенных в толще железы, создает клиническую картину паротита (псевдопаротит).
Через толщу околоушной железы проходит лицевой нерв, иннервирующий мимическую мускулатуру. Нерв, выйдя из шилососцевидного отверстия, спускается немного вниз и, резко повернув вверх, следуя под мочкой уха, вступает в толщу околоушной железы. В толще железы он образует сплетение, а »а ее пределами формирует большую гусиную лапку (pes anserinus major) (рис. 57). Положение основных ветвей нерва относительно постоянно. Отправной точкой для проекции ветвей является корень мочки уха.

Рис. 57. Топография ветвей лицевого нерва.
1 — n. facialis; 2 — m. temporalis; 3 — r. zygomatici; 4 — r. buccalis; 5 — r. marginalis mandibulae; 6 — r. colli; 7 — n. auricularis posterior; 3 — plexus parotideus.
Височные ветви (rami temporales) направляются к верхнему краю орбиты; иннервируют лобную мышцу и круговую мышцу глазницы. Скуловые ветви (rami zygomatici) следуют на скуловую кость и далее к зоне орбиты; иннервируют скуловую мышцу и круговую мышцу глазницы. Щечные ветви (rami buccales) направляются к области рта; иннервируют мышцы рта. Краевая ветвь челюсти (ramus marginalis mandibulae) проходит вдоль края нижней челюсти; иннервирует мышцы нижней губы. Шейная ветвь (ramus colli) следует позади угла нижней челюсти и направляется на шею к m. platisma. Перечисленные ветви лицевого нерва чаще представлены на лице двумя — тремя стволиками. О. С. Семенова выделяет конструкцию нерва с множественными связями и с изолированным ходом нервных стволов. Учитывая положение ветвей лицевого нерва, разрезы на лице рекомендуется проводить по принципу расходящихся лучей с мочкой уха как отправной точкой и с учетом положения основных нервных стволов.
Передний участок области занят m. masseter. Под жевательной мышцей имеется слой рыхлой клетчатки, где могут развиваться гнойные процессы, чаще одонтогенного происхождения (рис. 58).

Рис. 58. Топография пространства под жевательной мышцей.
1 — m. masseter; 2 — n. massetericus и a. masseterica; 3 — а. и v. temporalis superficialis; 4 — n. auriculotemporalis; 5 — glandula parotis; 6 — m. sternocleidomastoideus; 7 — a. facialis; 8 — v. facialis; 9 — a. buccinatoria с m. buccinator; 10 — ductus parotideus.
Непосредственно впереди этой мышцы через нижний край нижней челюсти перегибаются a. facialis et v. facialis. Оба сосуда выше края челюсти уклоняются к углу ротовой щели. Поверхностное положение артерии на кости позволяет пальпаторно у края челюсти и жевательной мышцы ощущать ее пульсовые толчки.
Читайте также:
