Хирургия - симптомы и лечение
Добавил пользователь Евгений Кузнецов Обновлено: 29.01.2026
Холецистит — это воспаление стенки желчного пузыря. Оно может быть острым и хроническим. Острый холецистит — одно из наиболее распространенных заболеваний, и по частоте занимает второе место после аппендицита. Хроническое воспаление возникает в результате повторных приступов острого. Причиной его почти всегда является желчнокаменная болезнь (калькулезный холецистит).
Как развивается острый и хронический холецистит?
В возникновении острого холецистита главной причиной является инфекция. В желчный пузырь она может проникать тремя путями: через кровь, из кишечника через проток пузыря, по лимфатическим сосудам. С кровью и лимфой инфекция попадает в желчный пузырь только при нарушенной обезвреживающей функции печени. При нарушениях двигательной функции желчного протока бактерии могут попасть из кишечника.
Воспаление в желчном пузыре при попадании инфекции в желчный пузырь не происходит, если только не нарушена его двигательная функция и нет задержки желчи.
Камни, перегибы удлиненного или извитого пузырного протока, его сужение приводят к застою желчи в желчном пузыре. Острый холецистит, возникающий на почве желчнокаменной болезни, составляет 85-90%.
В результате закупорки камнем протока желчного пузыря прекращается поступление желчи в кишечник, повышается давление её на стенки пузыря. Стенки растягиваются, в них ухудшается кровоток, что способствует развитию воспаления. Причиной хронического холецистита почти всегда является желчнокаменная болезнь, когда длительно воздействуют камни на стенки желчного пузыря.
Признаки и симптомы холецистита
Острым холециститом чаще болеют лица старше 50 лет. Больные пожилого (60-74 года) и старческого (75-89 лет) возрастов составляют 40-50% от общего числа заболевших острым холециститом. Острый холецистит, как правило, начинается внезапно. Развитию острых воспалительных явлений в желчном пузыре предшествует нередко приступ желчной колики (резкой боли в правом подреберье).
Вызванный закупоркой пузырного протока камнем острый болевой приступ купируется самостоятельно, или после приема обезболивающих препаратов. Через несколько часов после купирования приступа колики проявляются все признаки острого холецистита.
Основным проявлением является сильная и постоянная боль в животе, которая по мере прогрессирования заболевания нарастает. Постоянные симптомы острого холицистита — тошнота и повторная рвота, которая не приносит облегчения больному.
Повышение температуры тела отмечается с первых дней заболевания.
Появление яркой желтухи кожи и склер указывает на препятствие нормальному оттоку желчи в кишечник, что может быть связано с закупоркой желчного протока камнем.
Частота пульса колеблется от 80 до 120 ударов в 1 мин и выше.
Частый пульс — это грозный симптом, свидетельствующий о глубокой интоксикации и тяжелых изменениях в животе. Хронический холецистит может годами протекать бессимптомно, перейти в острый или проявить себя осложнениями.
Чем опасен острый холецистит?
Осложнения встречаются в 15-20% случаев острого холецистита. К ним относятся гнойный воспалительный процесс вокруг желчного пузыря (абсцесс), гангрена, прободение желчного пузыря с развитием воспаления в животе и сепсиса, желчные свищи, сообщающие желчный пузырь с кишечником, желудком и, даже, почкой, острый панкреатит, механическая желтуха, перитонит.
Что делать, если Вы подозреваете у себя холецистит?
Больные с острым холециститом подлежат немедленной госпитализации в хирургический стационар.
Лечение острого/хронического холецистита
В настоящее время существует несколько видов операций:
- Лапароскопическая холецистэктомия.(рис 1 слева, 2, 4).
- Традиционная (открытая) холецистэктомия.(рис 1 справа)
- Холецистэктомия из минидоступа (так называемая трансмускулярная лапаротомия).(рис 3)
Все перечисленные методики имеют четкие показания для их применения и все они с успехом используются у нас в отделении.

Рис. 1 На данной схеме показаны различия в технике выполнения лапароскопической (слева) и традиционной (справа) холецистэктомии.
Рис.2. На рисунке схематично показан принцип операций, проводимых по методу единого доступа. Для такого вида лапароскопических операций требуется всего один разрез, который производится через пупок.
В разрез вводится гибкое кольцо порта единого доступа. После операции разрез зашивается, а так как пупок является естественным рубцом, то шрамов не будет.
Острый холецистит – симптомы и лечение
Острый холецистит – самое частое осложнение желчекаменной болезни. Название cholecystitis происходит от древнегреческих слов – χολή «желчь» + κύστις «пузырь», а суффикс “-itis” в латыни означает «воспаление». Таким образом «холецистит» - воспаление желчного пузыря.
Причины
Риск острого холецистита, как и других осложнений желчекаменной болезни при бессимптомном течении довольно низок, в 99% случаев развитию холецистита предшествуют эпизоды так называемой желчной колики. Собственно, причина у этих двух состояний одна и та же – блокирование пузырного протока камнем и нарушение нормального оттока желчи из желчного пузыря.

Острое воспаление желчного пузыря
(Netter's clinical anatomy, 4th edition)
Происходит это обычно после приема жирной пищи: в ответ на поступление жиров в 12-перстную кишку, желчный пузырь сокращается, чтобы выбросить желчь, и вместе с ней происходит перемещение камня, которые застревает в пузырном протоке. Это вызывает довольно интенсивную боль, но на этом этапе воспаления еще нет, это желчная колика. Если блок желчного пузыря продолжается более 6 часов – увеличивается внутрипузырное давление, нарушается микроциркуляция в стенке желчного пузыря - начинается и прогрессирует воспалительный процесс.
Примерно у 10% пациентов может возникнуть бескаменный холецистит, при этом заболевании патогенез другой: оно развивается вследствие первичного нарушения кровоснабжения, возможен ферментативный холецистит при остром панкреатите и т.д. Но это тема для отдельной статьи.
Классификация
Исходя из выраженности острого воспалительного процесса, острый холецистит может быть обструктивным (еще его называют катаральным) или деструктивным, когда в той или иной степени уже имеется разрушение стенки (флегмонозный, гангренозный, гангренозно-перфоративный). У 10-15% пациентов вследствие деструкции стенки развиваются осложнения в виде абсцесса и перитонита. Обычно до развития этих изменений проходит несколько дней.
В своей ежедневной клинической практике мы также используем Токийскую классификацию, принятую в 2013 и усовершенствованную в 2018 г. В соответствии с ней, любой пациент с острым холециститом может быть отнесен к одной из трех групп риска или тяжести течения заболевания:
- Легкое течение (Grade I): острое воспаление желчного пузыря у соматически здоровых пациентов без сопутствующих заболеваний с умеренными воспалительными изменениями стенки
- Среднетяжелое течение (Grade II): анамнез заболевания более 72 часов, пальпируемый желчный пузырь или инфильтрат в правом подреберье, лейкоцитоз более 18х109/л, верифицированные деструктивные формы острого холецистита с развитием перипузырных осложнений или желчного перитонита
- Тяжелое течение (Grade III): острый холецистит, сопровождающийся нарушением функций жизненно важных органов и систем (сердечно-сосудистой, дыхательной, мочевыделительной, ЦНС и пр.)
Чем тяжелее течение заболевания – тем выше риск осложнений и летального исхода. Использование всемирно признанной классификации позволяет нам разрабатывать различные тактические алгоритмы помощи пациентам в зависимости от тяжести состояния, а впоследствии – работать над оптимизацией лечения вместе с коллегами во всем мире, разговаривая с ними на одном языке.
Клиническая картина и диагностика острого холецистита
В большинстве случаев клиническая картина при остром воспалении желчного пузыря довольно яркая и диагностика не вызывает трудностей.
Диагностические критерии складываются из трех больших групп:
- A) Клинические симптомы: боль в правом подреберье или верхних отделах живота, часто возникающая после приема жирной пищи, сопровождающаяся тошнотой, рвотой, болезненность при пальпации в зоне желчного пузыря, специфичные для острого холецистита симптомы (Мерфи, Ортнера и др.
- B) Признаки системной воспалительной реакции: повышение температуры тела, увеличение количества лейкоцитов, С-реактивного белка
- C) Результаты дополнительных визуализационных диагностических методов: УЗИ, МРТ, холесцинтиграфия, КТ
Наличие хотя бы одного признака из каждой группы (A+B+C) позволяет с уверенностью диагностировать острый холецистит.
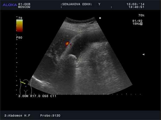
Наиболее информативно при остром холецистите, как и вообще при желчекаменной болезни - ультразвуковое исследование. Картина достаточно типичная: увеличение желчного пузыря, утолщение его стенки за счет отека, желчного пузыря, наличие жидкостных скоплений вокруг пузыря, признаков деструкции стенки

Ультразвуковая картина острого холецистита: увеличенный желчный пузырь, с отечной стенкой, блокирующий конкремент в шейке. При допплерографии определяется усиление кровотока в стенке желчного пузыря
Чаще всего УЗИ достаточно для определения тактики лечения, в редких случаях мы используем компьютерную томографию или МРТ – последнюю чаще для исключения патологии желчевыводящих протоков (холедохолитиаза и т.д.), что влияет на тактику лечения таких пациентов.
Лечение острого холецистита
В подавляющем большинстве случаев лечение острого холецистита – это операция удаления желчного пузыря.
Один из самых важных критериев – время от начала приступа. В первые 72 часа (по некоторым данным – 96) в зоне желчного пузыря ткани отечны, воспалены, но еще нет плотного воспалительного инфильтрата, который бы затруднял идентификацию анатомических структур. После этого периода развиваются выраженные воспалительные изменения окружающих тканей, что делает операцию существенно более сложной для хирурга, а значит – более рискованной для пациента, особенно учитывая множественные анатомические варианты в этой области.
Таким образом, оптимальным считаем раннюю лапароскопическую холецистэктомию – до 72 (96) ч после начала болей, мы называем этот период «золотые 72 часа». Если по каким-то причинам холецистэктомию в это время выполнить не удается (позднее обращение в клинику, трудности диагностики и т.д.), то в более поздние сроки или при выраженных воспалительных изменениях желчного пузыря и окружающих тканях (Grade 2 по Токийской классификации) лапароскопическая операция возможна лишь очень опытным хирургом при наличии соответствующего оборудования высокого уровня.
Лапароскопическая холецистэктомия. При остром холецистите крайне важно использование принципов безопасности для избежания травмы желчных протоков и крупных сосудов -->
В нашей клинике эти условия есть, и мы этих пациентов успешно оперируем. При их отсутствии – лучше прибегнуть к консервативному варианту лечения с применением антибиотиков под тщательным наблюдением хирурга, чтобы не пропустить развития перитонита и других осложнений.
Еще один вариант лечения острого холецистита – так называемая микрохолецистостомия, или дренирование желчного пузыря под ультразвуковым наведением. Обычно используем его у пациентов в тяжелом состоянии с выраженными сопутствующими заболеваниями. Это вмешательство позволяет снизить внутрипузырное давление (как мы помним, это – основной этап патогенеза) и выиграть время для подготовки пациента к операции.

Схема дренирования желчного пузыря при остром холецистите
Таким образом, острый калькулезный холецистит – осложнение желчекаменной болезни, которое требует очень взвешенного подхода к диагностике и лечению. Наилучшие результаты достижимы в клиниках с большим многолетним опытом лечения этих пациентов и экспертным уровнем выполнения операций при самых разнообразных формах этого заболевания.
В Университетской клинической больнице № 4 этот опыт есть, а ведущие эксперты клиники – постоянные участники рабочей группы, разрабатывающей национальные клинические рекомендации по острому холециститу для всех хирургов Российской Федерации.
Холецистит
Холецистит - это воспалительное заболевания желчного пузыря, следствие осложнения желчнокаменной болезни. Воспаление возникает из-за нарушения оттока желчи из желчного пузыря и наличия патогенной микрофлоры в стенке пузыря.
Им часто болеют люди старше 50 лет, но и возникают в более раннем возрасте. В научной литературе зафиксированы случаи возникновение приступа желчной колики у детей 11-15 лет. Лица пожилого возраста 60-75 лет и старческого возрастов от общего числа заболевших составляют 35-55%.
Заболевание бывает: острым (по морфологической картине делится на: катаральный, флегмонозный и гангренозный) и хроническим.

Причины возникновения
Причины развития острого холецистита:
- Нарушение оттока желчи из желчного пузыря в желчевыводящие протоки, способствующее развитию патогенной вторичной микрофлоры, нарушению кровоснабжения стенок желчного пузыря
- Закупорка пузырного протока камнем
Причины хронического холецистита:
- При наличии камня в желчном пузыре возникает периодическое воспаление, сменяющими частыми обострениями и ремиссиями, приводящее в итоге к дистрофическим изменениям стенки желчного пузыря
- Паразитарные заболевания (лямблиоз, опистархоз)
- Атеросклеротические изменения артерий, питающие стенку желчного пузыря с нарушением кровоснабжения
По этиологическому факторы холецистит бывает:
- Калькулезным (с наличием камня или групп камней в желчном пузыре)
- Некалькулезным (бескаменный)
Симптомы холецистита
Острый холецистит:
Хронический холецистит:
- Тошнота.
- Тупая ноющая боль в правом подреберье
- Горечь во рту
- Возможен длительный субфебрилитет
- Вздутие живота
- Диарея
Диагностика:
- Общий клинический анализ крови, мочи
- Общий анализ кала на копрограмму.
- Биохимический анализ крови (печенчные пробы, холестерин, щелочная фосфатаза, амилаза, глюкоза)
- УЗИ органов гепатобилиарной системы
- ЭКГ
- Холецистохолангиография
- РХПГ (эндоскопическая ретроградная холангиопанкреатография)
Лечение
- Диетотерапия (исключение продуктов, провоцирующих симптомы заболевания: газированных напитков, жирной пищи, алкоголя)
- Медикаментозные препараты:
- Спазмалитические препараты
- Сорбенты
- Препараты дезоксихолевой кислоты
- Гастроэнтерологические сборы трав
- Антибиотики
При остром холецистите требуется оперативное вмешательство -экстренная холецистэктомия.
Врачи - хирурги и гастроэнтерологи ФНКЦ ФМБА России на платном приеме, выслушают жалобы пациента, проведут осмотр и при необходимости назначат дополнительные диагностические процедуры, которые проведут здесь же. Стационар и операционные ФНКЦ ФМБА оснащены новейшим, высокотехнологичным медицинским оборудованием. Врачи - хирурги и гастроэнтерологи ФНКЦ ФМБА России проводят экстренные и плановые хирургические операции.
Хронический холецистит
Хронический холецистит - заболевание, характеризующееся воспалением стенки желчного пузыря. Женщины страдают этим заболеванием в 3-4 раза чаще мужчин, наиболее часто встречается у людей с избыточной массой тела, однако у лиц астенического телосложения не является исключительной редкостью.

Холецистит может вызываться бактериями (кишечная палочка, стрептококк, стафилококк и др.), гельминтами, лямблиями, грибами; встречаются холециститы токсической и аллергической природы. Микробная флора проникает в желчный пузырь восходящим (из кишечника), гематогенным (через кровь) или лимфогенным (через лимфу) путем.
Предрасполагает к развитию холецистита застой желчи в желчном пузыре, к которому могут приводить желчные камни, сдавления и перегибы желчевыводящих протоков, дискинезия желчного пузыря и желчевыводящих путей (т. е. нарушение их тонуса и двигательной функции под влиянием стрессов, эндокринных и вегетативных расстройств, рефлексов из патологически измененных органов пищеварительной системы), опущение внутренностей, беременность, малоподвижный образ жизни, редкие приемы пищи, заброс в желчные пути при их дискинезии панкреатического сока с его повреждающим действием на слизистую оболочку желчных протоков и желчного пузыря.
Непосредственным толчком к вспышке воспалительного процесса в желчном пузыре часто являются переедание, особенно употребление жирной и острой пищи, прием алкогольных напитков, острый воспалительный процесс в другом органе (ангина, пневмония, аднексит и т. д.). Хронический холецистит может возникнуть после острого, но чаще развивается самостоятельно и постепенно, на фоне желчнокаменной болезни, гастрита с секреторной недостаточностью, хронического панкреатита и других заболеваний органов пищеварения, ожирения.
Симптомы хронического холецистита
Для хронического холецистита типична тупая, ноющая (иногда резкая) боль в области правого подреберья постоянного характера или возникающая через 1–3 часа после обильного приема пищи, особенно жирной и жареной. Боль иррадиирует вверх, в область правого плеча и шеи, правой лопатки. Нередки диспепсические явления: ощущение горечи и металлического вкуса во рту, отрыжка воздухом, тошнота, метеоризм, нарушение дефекации (возможно чередование запора и поноса), а также раздражительность, бессонница. Желтуха не характерна.
Признаки хронического холецистита определяются при ультразвуковом исследовании. Течение в большинстве случаев длительное, с чередованием периодов ремиссии и обострений; последние часто возникают в результате нарушения питания, приема алкогольных напитков, тяжелой физической работы, присоединения острых кишечных инфекций, переохлаждения. Прогноз в большинстве случаев благоприятный. Однако часто воспалительный процесс способствует образованию камней в желчном пузыре.
Диагностика хронического холецистита
Диагностика хронического холецистита начинается с выявления основных жалоб и внешних признаков болезни, подсказывающих врачу дальнейший алгоритм диагностики. Для уточнения диагноза хронического холецистита используются следующие методы диагностики:
- УЗИ органов брюшной полости, в частности желчного пузыря позволяет выявить наличие камней или признаков воспаления в желчном пузыре.
- Холеграфия – рентгенологический метод обследования позволяющий выявить признаки воспаления желчного пузыря. Холеграфия не проводится в период обострения болезни, а также во время беременности (в этих случаях предпочтение отдается УЗИ).
- Общий и биохимический анализ крови – позволяют выявить признаки воспаления и другие, характерные для заболеваний печени и желчного пузыря признаки
- Анализ кала на паразитов (аскариды, лямблии) – обязателен для всех больных с холециститом.
Лечение хронического холецистита
При обострениях хронического холецистита необходима госпитализация в хирургический или терапевтический стационар; терапия такая же, как при остром холецистите. В легких случаях возможно амбулаторное лечение: постельный режим, диетическое питание – ограничение жирной пищи и ее калорийности (диета № 5а), прием пищи 4–6 раз в день. В фазе обострения процесса применяют антибиотики широкого спектра действия, которые накапливаются в желчи в достаточно высокой концентрации, в обычных терапевтических дозах в течение 7–10 дней. При лямблиозе эффективны противопаразитарные препараты. Для устранения дискинезии желчных путей и спастических болей назначают симптоматическое лечение одним из спазмолитических средств (но-шпа, мотилиум и др.). Нарушение оттока желчи у больных хроническим холециститом корригируется желчегонными средствами (синтетическими и растительного происхождения), стимулирующими образование и выделение желчи печенью, а также усиливающими мышечное сокращение желчного пузыря и поступление желчи в двенадцатиперстную кишку. Целесообразно использование ферментных препаратов, содержащих желчные кислоты.
У больных некалькулезным холециститом эффективны лечебные дуоденальные зондирования. Для нормализации желчеобразовательной функции печени, уменьшения вязкости желчи, устранения ее застоя, предупреждения образования камней, улучшения кровообращения, достижения противовоспалительного, спазмолитического и болеутоляющего эффекта применяют физиотерапию (электрофорез на область печени с новокаином, магнием, папаверином, но-шпой; УВЧ на область печени; ультразвук; электростимуляция желчного пузыря). Благоприятное действие оказывают многие минеральные воды («Московская», «Смирновская», «Славяновская», «Джемрук», «Арзни», «Боржоми», «Ессентуки», «Нафтуся»), общие ванны (хлоридно-натриевые, углекислые).
Одним из наиболее эффективных средств является грязелечение. Оно положительно влияет на функциональное состояние желчного пузыря, печени, поджелудочной железы, улучшает иммунологическую реактивность организма, стимулирует глюкокортикоидную функцию надпочечников, оказывает болеутоляющее, противоспалительное, десенсибилизирующее действие. Целесообразна лечебная гимнастика по специальной методике. При безуспешности консервативной терапии и частых обострениях показано хирургическое лечение.
Удаление желчного камня (холецистэктомия)
При появлении явных симптомов наличия камней в желчном пузыре необходимо проведение лечения, которое заключается в удалении желчного пузыря (холецистэктомия) или камней, которые вызывают обструкцию желчевыводящих путей. В настоящее время все чаще холецистэктомию выполняют, не открывая переднюю брюшную стенку, эндоскопическим методом. Если же симптоматика не сильно выражена и камни имеют небольшие размеры, то их можно попытаться растворить определенными лекарствами. Эндоскоп, стекловолоконный оптический прибор, вводится в полость живота через маленький разрез на передней брюшной стенке возле пупка. Желчный пузырь выделяют, освобождают от его связей и сращений с другими тканями и удаляют через небольшое дополнительное отверстие.
Желчные камни можно удалять через общий желчный проток с использованием гибкого эндоскопа. Прибор через рот вводят в пищевод, затем через желудок проводят в двенадцатиперстную кишку. Через трубку прибора вводят тонкий инструмент, который проводят в общий желчный проток. Местоположение камня определяют с помощью рентгенографии. Если камень оказывается слишком крупным, то его дробят и извлекают по частям.
Хирург: симптомы и лечение заболеваний
Бородавки - это самое заметное заболевание кожи, которое влияет на иммунную систему человека.
НАШЛИ ОШИБКУ?
ВЫДЕЛИТЕ ЕЁ И НАЖМИТЕ
CTRL + ENTER
Круглосуточная запись по телефону:
Работает с 09:00 до 22:00 ежедневно
Все процедурные кабинеты работают с 08:00 до 22:00 ежедневно
Травмпункт работает круглосуточно
Работает с 09:00 до 22:00 ежедневно
Все процедурные кабинеты работают с 08:00 до 22:00 ежедневно
Травмпункт работает круглосуточно
Работает с 09:00 до 22:00 ежедневно
Все процедурные кабинеты работают с 08:00 до 22:00 ежедневно
Травмпункт работает круглосуточно
Работает с 08:00 до 22:00 ежедневно
Все процедурные кабинеты работают с 08:00 до 22:00 ежедневно
Травмпункт работает с 08:00 до 22:00 ежедневно
Работает с 09:00 до 22:00 ежедневно
Все процедурные кабинеты работают с 08:00 до 22:00 ежедневно
Травмпункт работает круглосуточно
Продвижение сайта -
This site is protected by reCAPTCHA and the Google Privacy Policy and Terms of Service apply.
Нажимая «Записаться», я принимаю условия пользовательского соглашения, положения о защите персональных данных и даю свое согласие на обработку персональных данных.
Для того, чтобы пройти обязательную регистрацию необходимо подойти на регистратуру за 10 мин до времени вашего приема с паспортом.
Если пациент несовершеннолетний (дети до 18 лет) — обязательно сопровождение одним из родителей с предъявлением его паспорта и свидетельства о рождении ребенка.
Родственники и третьи лица при сопровождении несовершеннолетнего должны иметь нотариально заверенное согласие родителей или законных представителей.
Если вы записались к колопроктологу, ознакомьтесь с информацией о подготовке к приему
В стоимость консультации входит:
Сбор анамнеза, постановка предварительного диагноза и назначение обследования. Все дополнительные манипуляции врача на приеме оплачиваются согласно прейскуранту.
В стоимость консультации входит:
Сбор анамнеза, постановка предварительного диагноза и назначение обследования. Все дополнительные манипуляции врача на приеме оплачиваются согласно прейскуранту.
Читайте также:
