Хромобластомикоз
Добавил пользователь Евгений Кузнецов Обновлено: 12.12.2025
Хромобластомикоз - длительная грибковая инфекция кожи и подкожной клетчатки (хронический подкожный микоз ). Инфекция чаще всего встречается в тропическом или субтропическом климате, часто в сельской местности. Это может быть вызвано множеством различных типов грибов, которые внедряются под кожу, часто шипами или занозами. Хромобластомикоз распространяется очень медленно; он редко заканчивается смертельным исходом и обычно имеет хороший прогноз, но его бывает очень трудно вылечить. Несколько вариантов лечения включают медикаменты и хирургическое вмешательство.
Содержание
- 1 Представление
- 2 Патофизиология
- 3 Диагноз
- 4 Профилактика
- 5 Лечение
- 6 Прогноз
- 7 Эпидемиология
- 8 См. Также
- 9 Ссылки
- 10 Внешние ссылки
Презентация
Первоначальная травма, вызвавшая инфекцию, часто забывается или не замечается. Инфекция накапливается в этом месте в течение многих лет, и появляется небольшая красная папула (возвышение кожи). Поражение обычно безболезненно, с небольшими симптомами или вообще без них. В этот момент пациенты редко обращаются за медицинской помощью.
Патофизиология
Считается, что причиной хромобластомикоза является незначительная травма. кожа, обычно из растительного материала, такого как шипы или занозы; эта травма имплантирует грибки в подкожную клетчатку. Во многих случаях пациент не замечает или не помнит первоначальную травму, поскольку симптомы часто не проявляются годами. Чаще всего наблюдаются следующие грибы, вызывающие хромобластомикоз:
Профилактика
Не известно никаких профилактических мер, кроме предотвращения травматической инокуляции грибков. По крайней мере, одно исследование обнаружило корреляцию между ходьбой босиком в эндемичных районах и возникновением хромобластомикоза на стопе.
Лечение
Хромобластомикоз очень трудно вылечить. Основными вариантами лечения являются:
- , противогрибковыйазол, назначают перорально с или без флуцитозина.
- или криохирургия с жидким азотом также показала свою эффективность.
Другими вариантами лечения являются противогрибковые препараты тербинафин, другой противогрибковый азол позаконазол, и тепловая терапия.
Антибиотики могут использоваться для лечения бактериальных суперинфекций.
Прогноз
Прогноз хромобластомикоза очень хороший для небольших поражений. Тяжелые случаи трудно вылечить, хотя прогноз все же неплохой. Первичные осложнения - язвы, лимфедема и вторичная бактериальная инфекция. Сообщалось о нескольких случаях злокачественной трансформации в плоскоклеточный рак. Хромобластомикоз очень редко заканчивается смертельным исходом.
Эпидемиология
Хромобластомикоз встречается во всем мире, но наиболее часто встречается в сельской местности между примерно 30 ° северной широты и 30 ° южной широты широтой. Мадагаскар и Япония имеют самый высокий уровень заболеваемости. Более двух третей пациентов - мужчин, обычно в возрасте от 30 до 50. Корреляция с HLA -A29 предполагает, что генетические факторы также могут играть роль.
Краткая справка
Всемирный день забытых тропических болезней 2022 г.
Язва Бурули
Инвалидизирующая микобактериальная кожная инфекция, вызывающая тяжелые поражения кожных покровов, костных и мягких тканей.
Болезнь Шагаса
Опасная для жизни протозойная инфекция, передающаяся человеку в результате контакта с насекомыми-переносчиками (триатомовыми клопами), употребления зараженной пищи, переливания инфицированной крови, передачи от матери ребенку, пересадки органов или лабораторных инцидентов.
Денге и чикунгунья
Два вирусных заболевания с эпидемическим потенциалом, передающиеся комарами и вызывающие гриппоподобные состояния, которые могут сопровождаться тяжелыми, болезненными и инвалидизирующими симптомами, а в случае денге – приводить к шоку, кровотечению и смерти пациента.
Дракункулез (болезнь ришты)
Гельминтоз, передающийся исключительно при употреблении питьевой воды, содержащей зараженных паразитом водяных блох; спустя год самка червя высвобождается через кожные покровы (часто в районе голени), вызывая боль и выпуская личинки в окружающую среду.
Эхинококкоз
Заболевание, вызываемое личинками ленточного червя, формирующими патогенные кисты в органах человека; передается при попадании в желудочно-кишечный тракт яиц, которые чаще всего содержатся в фекалиях собак и диких животных.
Трематодозы пищевого происхождения
Группа инфекционных болезней, приобретаемых при употреблении рыбы, ракообразных и овощей, содержащих личинки паразита; наиболее распространены клонорхоз, описторхоз, парагонимоз и фасциолез.
Африканский трипаносомоз человека (сонная болезнь)
Протозойная инфекция, передаваемая при укусах мухи цеце, которая почти в 100% случаев приводит к смерти в отсутствие своевременной диагностики и лечения, предупреждающего поражение паразитом центральной нервной системы.
Лейшманиозы
Группа протозойных заболеваний, передающихся при укусах инфицированных самок москитов; в наиболее тяжелой (висцеральной) форме поражают внутренние органы, а в наиболее распространенной (кожной) форме приводят к язвам, обезображивающим шрамам, и инвалидности.
Лепра
Сложное заболевание, вызванное медленно протекающей в организме бактериальной инфекцией, которая поражает кожные покровы, периферические нервы и глаза.
Лимфатический филяриоз (слоновость)
Гельминтоз, передающийся комарами и приводящий к распространению и размножению взрослых червей в лимфатической системе; характеризуется болезненным воспалением и аномальной гипертрофией конечностей и гениталий.
Мицетома, хромобластомикоз и другие глубокие микозы
Хронические, прогрессирующие деструктивные воспалительные заболевания кожных покровов и подкожной ткани, которые обычно поражают ноги. Инфицирование происходит в результате проникновения в организм грибков (а в случае мицетомы – бактерий) через травмированную кожу.
Онхоцеркоз (речная слепота)
Гельминтоз, передаваемый при укусах инфицированных мошек и по мере откладывания взрослыми червями личинок вызывающий сильный зуд и поражения глаз, которые в итоге могут привести к нарушению зрения и стойкой слепоте.
Бешенство
Предупреждаемая вирусная инфекция, которая передается людям при укусах инфицированных животных, особенно собак, и на этапе появления симптомов всегда является смертельной.
Чесотка и другие эктопаразитарные заболевания
Группа кожных инвазий, вызываемых клещами, блохами или вшами; чесотка развивается, когда чесоточный клещ проникает в верхний слой кожи человека, где он откладывает яйца, вызывая сильный зуд и сыпь.
Шистосомоз (бильгарциоз)
Группа трематодных инвазий, приобретаемых при проникновении личинок паразита, выделяемых пресноводными улитками, под кожу при контакте с инфицированной водой; шистосомоз, как правило, вызывает поражения печени или мочеполовой системы.
Поражение змеиным ядом
Опасное для жизни состояние, вызываемое попаданием в организм токсинов в результате укуса ядовитой змеи и во многие случаях требующее неотложного оказания медицинской помощи. Поражение ядом может быть также следствием распыления яда в глаза пострадавшего некоторыми видами змей.
Гельминтные инвазии, передающиеся через почву
Гельминтозы, передающиеся через почву, загрязненную человеческими фекалиями, вызывают анемию, дефицит витамина А, задержку роста, недостаточность питания, непроходимость кишечника и нарушения развития.
Тениоз и цистицеркоз
Тениоз вызывается присутствием взрослых ленточных червей в кишечнике человека; цистицеркоз является результатом попадания в желудочно-кишечный тракт яиц ленточного червя, из которых вылупляются личинки, попадающие в ткани, в том числе в головной мозг (нейроцистицеркоз).
Трахома
Бактериальная инфекция, передаваемая при прямом контакте с инфицированными выделениями из глаз или носа, в распространении. которой большую роль играют небезопасные условия жизни и несоблюдение правил гигиены; при отсутствии лечения приводит к необратимому помутнению роговицы и слепоте.
Фрамбезия
Хроническая обезображивающая бактериальная инфекция, поражающая в основном кожные покровы и костные ткани. В число ЗТБ включаются также другие сходные с фрамбезией эндемические трепонематозы.
Хромобластомикоз
ГБУЗ МО «Московский областной научно-исследовательский клинический институт им. М.Ф. Владимирского»
ГБУЗ Московской области «Московский областной научно-исследовательский клинический институт им. М.Ф. Владимирского»
ГБУЗ МО «Московский областной научно-исследовательский клинический институт им. М.Ф. Владимирского»
ГБУЗ Московской области «Московский областной научно-исследовательский клинический институт им. М.Ф. Владимирского»;
ГБУЗ города Москвы «Московский научно-практический центр дерматовенерологии и косметологии ДЗМ»
Журнал: Архив патологии. 2020;82(6): 59‑62
ГБУЗ МО «Московский областной научно-исследовательский клинический институт им. М.Ф. Владимирского»
В статье представлено наблюдение редкого в Российской Федерации имплантационного микоза — хромобластомикоза. Приводятся данные о распространенности заболевания, этиологии, клинической картине, возможностях диагностики. Подчеркивается ведущая роль патоморфологического исследования в диагностике хромобластомикоза на территории неэндемичных стран, в том числе в России. Дано подробное описание клинической и патоморфологической картины. Обнаружение при гистологическом исследовании пигментированных сферических или полигональных клеток размером 5—12 мкм, которые являются элементами гриба, в цитоплазме макрофагов и внеклеточно позволяет диагностировать хромобластомикоз. Отказ от патоморфологического исследования приводит к диагностическим ошибкам и нерациональной лечебной тактике.
ГБУЗ МО «Московский областной научно-исследовательский клинический институт им. М.Ф. Владимирского»
ГБУЗ Московской области «Московский областной научно-исследовательский клинический институт им. М.Ф. Владимирского»
ГБУЗ МО «Московский областной научно-исследовательский клинический институт им. М.Ф. Владимирского»
ГБУЗ Московской области «Московский областной научно-исследовательский клинический институт им. М.Ф. Владимирского»;
ГБУЗ города Москвы «Московский научно-практический центр дерматовенерологии и косметологии ДЗМ»
Дата принятия в печать:
Болеют хромобластомикозом преимущественно мужчины в возрасте 41—70 лет [8, 9]. Заболевание начинается после внедрения инфекционного агента в местах микротравм кожи [6, 10]. Чаще поражаются стопы, голени, колени и кисти рук, также сообщается о локализации процесса на коже туловища, носа, век, ушных раковин, плеч и ягодиц [5, 6]. Инкубационный период может варьировать от нескольких недель до нескольких месяцев, причем ряд пациентов не могут вспомнить момент заражения. Первоначально на коже появляется небольшое пятно розового цвета, постепенно трансформирующееся в папулу. Со временем формируются папулосквамозные бляшки, разрастающиеся по периферии, могут появляться сателлитные очаги. Спустя годы очаги приобретают опухолевидную форму, за счет аутоинокуляции процесс распространяется, занимая все более обширные участки. Выделяют несколько клинических форм хромобластомикоза: узловую, опухолевую, веррукозную, рубцующуюся, бляшечную и смешанную, а также 3 степени тяжести (легкую, среднюю, тяжелую) [5]. В результате расчесывания и переноса инфекции на другие участки кожи могут появиться отдаленные от первичного процесса очаги. Описано несколько случаев лимфогенного распространения инфекции от основного очага [11].
Процесс, как правило, развивается достаточно медленно. На начальных этапах и при легких формах заболевание имеет незначительную симптоматику, вследствие чего пациенты практически не обращаются за медицинской помощью. Без лечения процесс продолжает прогрессировать, со временем могут развиваться фиброзные изменения тканей и лимфостаз с образованием лимфедемы. На этом фоне нередко присоединяется вторичная инфекция. В тяжелых случаях у пациентов могут наблюдаться хроническая лимфедема и анкилозы [12]. В случае длительно существующих язвенных или веррукозных поражений, не отвечающих на противогрибковую терапию, возможно развитие плоскоклеточного рака с метастазированием, приводящее к летальному исходу [13].
Для диагностики хромобластомикоза требуется лабораторное подтверждение. В эндемичных странах, где клиницисты хорошо знакомы с данной патологией, обычно проводят микроскопию чешуек для выявления округлых коричневых клеток (так называемых муриформных), которые являются элементами гриба. Поскольку необходимость видовой принадлежности грибов для назначения лечения отсутствует, культуральное исследование проводят редко. В странах, где случаи заболевания единичны, как правило, клиницисты проводят дифференциальный диагноз между несколькими патологиями, для чего берут биоптат кожи. На основании гистологического исследования в этих случаях обычно ставят диагноз «хромобластомикоз». При гистологическом исследовании выявляется выраженная гиперплазия эпидермиса, иногда псевдокарциноматозная, с наличием интраэпителиальных абсцессов из нейтрофилов; в дерме — фиброз, воспалительная инфильтрация из нейтрофилов, эозинофилов, гистиоцитов, лимфоцитов и плазматических клеток, определяются абсцессы с очагами некроза, окруженные зоной гранулематозного воспаления микотические гранулемы. Морфологическая картина хромобластомикоза сходна с другими глубокими микозами, критерием постановки диагноза является обнаружение в цитоплазме макрофагов и внеклеточно склеротических телец — пигментированных сферических или полигональных клеток грибковых микроорганизмов размером 5—12 мкм [14].
Приводим собственное наблюдение хромобластомикоза у мужчины, потупившего в отделение дерматовенерологии.
Больной П., 67 лет, рабочий, житель Московской области, жалобы на множественные образования на коже правого бедра. Считает себя больным в течение 15 лет. После травматизации кожи нижней трети правого бедра металлическим предметом, загрязненным землей, заметил появление пятна красного цвета. Постепенно пятно стало увеличиваться в размере и покрываться сухими корками. Обращался к дерматологу, который рекомендовал использование кортикостероидных мазей. Два года назад рост очагов стал более интенсивным. Одни очаги регрессировали с образованием рубца, рост других продолжался. При обращении дерматолог на основании клинического осмотра диагностировал гипертрофическую форму красного плоского лишая и назначил прижигания раствором Суперчистотела. После использования Суперчистотела пациент отметил интенсивный рост элементов по периферии очагов, обработанных раствором. При удалении гиперкератотических масс в отдельных очагах заметил появление кровотечения. Во время прохождения диспансеризации по месту работы был направлен для установления диагноза и лечения в отделение дерматовенерологии.
При поступлении процесс локализовался на коже правого бедра. Поражение имело размер 25×20 см и представляло возвыщающиеся опухолевидные очаги, покрытые преимущественно сухими гиперкератотическими массами, а также очаги рубцовой атрофии (рис. 1). Субъективных ощущений нет. Сопутствующие заболевания: гипертоническая болезнь IA стадии.

Рис. 1. Поражение бедра у пациента П., 67 лет.
Fig. 1. Hip injury in Patient P., aged 67 years.
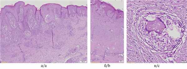
На основании клинической картины больному проводился дифференциальный диагноз между карциноидным папилломатозом кожи Готтрона, плоскоклеточным раком и глубоким микозом. Для уточнения диагноза была выполнена биопсия кожи с последующим гистологическим исследованием, при котором в эпидермисе выявлены акантоз, папилломатоз, признаки псевдоэпителиоматозной гиперплазии эпидермиса, интраэпителиальные микроабсцессы из нейтрофилов (рис. 2, а). В дерме — фиброз, гранулематозное воспаление с наличием в цитоплазме отдельных многоядерных гигантских клеток сферических телец коричневого цвета (рис. 2, б, в). Заключение: гистологические изменения соответствуют хромобластомикозу.
На основании клинической и морфологической картины установлен диагноз: хромобластомикоз смешанного варианта (сочетание веррукозного и рубцующегося), тяжелая степень течения. Назначены прием итраконазола в дозе 300 мг/сут и внутривенное ведение 50 мг амфотерицина В. Рекомендовано лечение в течение 8—12 мес с дальнейшим выполнением хирургической эксцизии.

Рис. 2. Пациент П., гистологическое исследование.
а — акантоз, папилломатоз, признаки псевдоэпителиоматозной гиперплазии эпидермиса, внутриэпидермальные микроабсцессы из нейтрофилов, ×200; б — в дерме фиброз, гранулематозное воспаление, ×100; в — в цитоплазме многоядерных гигантских клеток сферические тельца коричневого цвета, ×400; а — в — окраска гематоксилином и эозином.
Fig. 2. Patient P., histological examination.
a — acanthosis; papillomatosis; signs of pseudoepitheliomatous hyperplasia; intraepidermal neutrophilic microabscesses, ×200; b — fibrosis of the dermis; granulomatous inflammation, ×100; c — spherical brown bodies in the cytoplasm of multinucleated giant cells, ×400; a — c — H&E.
Хромобластомикоз редко встречается в РФ, поскольку благоприятной средой обитания для димациевых грибов является тропический и субтропический климат. Кроме того, заболевание в нашей стране диагностируется редко, поскольку врачи, в том числе дерматологи, недостаточно знакомы с данной патологией. За последние 10 лет (2010—2019 гг.) в отечественной литературе мы встретили 2 случая хромобластомикоза, причем один также был диагностирован сотрудниками нашей клиники [13, 15]. В обоих случаях диагноз «хромобластомикоз» был гистологической находкой. Важно подчеркнуть, что в сложных диагностических ситуациях необходимо проводить гистологическое исследование, которое помогает верифицировать диагноз. Как показывает история нашего пациента, неправильная диагностика, основанная только на клинической картине заболевания, и назначенное лечение привели к бурному прогрессированию процесса. Поскольку хромобластомикоз может осложняться развитием плоскоклеточной карциномы, гистологическое исследование при данном заболевании особо актуально.
Хромомикоз ( Болезнь Педрозо , Хромобластомикоз )
Хромомикоз – это хроническое инфекционное заболевание из группы глубоких микозов, вызываемое грибами определенных видов и характеризующееся длительным течением. Особенностью клинической картины является поражение кожи и подкожной клетчатки преимущественно нижних конечностей с наличием специфических бородавчатых разрастаний. Диагностика основана на обнаружении возбудителя в биологическом материале при микроскопии, а также при посеве на питательные среды. В качестве специфической терапии применяют противогрибковые препараты. Дополнительно проводят хирургическое удаление кожных выростов.
МКБ-10
Общие сведения
Хромомикоз, хромобластомикоз или болезнь Педрозо встречается повсеместно. Спорадические случаи регистрируются на всем земном шаре, однако чаще поражается население, проживающее в государствах с влажным тропическим или субтропическим климатом, например, в Бразилии, Индии, Австралии, странах Африки. Инфицируются лица трудоспособного возраста, в основном – мужчины 30-50 лет, занятые обработкой почвы или древесины и при этом не носящие обувь. Редкость хромомикоза среди детей на данном этапе объясняется длительным инкубационным периодом. Патология возникает независимо от состояния иммунной системы.
Причины хромомикоза
Возбудитель – различные грибы из группы феогифомицетов, относящиеся к семейству Dematiaceae: Fonsecaea pedrosoi, Phialophora verrucosa, Fonsecaea compacta. В тканях хозяина микоз представляет собой округлые темно-бурые толстостенные клетки диаметром до 12 мкм, разделенные поперечной перегородкой. Эти структуры называются склеротическими клетками и являются инвазивной формой гриба.
Патологические агенты достаточно устойчивы во внешней среде, переносят замораживание, длительно сохраняются при комнатной температуре. Губительное воздействие оказывает кипячение в течение 10 минут, хлорамин, формалин. В окружающей среде грибы растут в увлажненной почве, на различных растительных субстратах.
Возбудитель попадает в организм через поврежденные участки кожи чаще при микротравмах (занозах, незначительных порезах). Некоторые авторы отмечают возможность реализации заражения через дыхательные пути. В теле хозяина гриб распространяется за счет аутоинокуляции при расчесах и по лимфатическим сосудам. Хромомикоз не передается от человека к человеку.
Патогенез
Хромомикоз ограничивается кожей и подкожной клетчаткой. В месте внедрения инфекции наблюдается активное разрастание клеток эпидермиса, гиперкератоз. Формируются множественные гранулемы, внутридермальные абсцессы. Пролиферирующие структуры активно выталкивают гранулемы на поверхность кожного покрова, при этом образуются крупные наросты с черным оттенком. Выросты имеют тенденцию к изъязвлению.
При микроскопии в центре микроабсцессов обнаруживают темноокрашенные склеротические клетки гриба. Отмечается инфильтрация лейкоцитами, гигантскими и эпителиоидными клетками. Гранулемы состоят из плазмоцитов, лимфоцитов, макрофагов, фибробластов, эозинофилов. Исследования подтверждают способность возбудителя распространяться по лимфоструктурам, что провоцирует развитие лимфангитов, а при длительном хроническом течении – склероза лимфатических сосудов.
Классификация
Хромомикоз отличается полиморфизмом кожных проявлений. Используются различные подходы к систематизации патологии, но наиболее часто применяется клиническая классификация заболевания, которая включает пять вариантов инфекции, но не исключает одновременное сосуществование сразу нескольких форм или их взаимное превращение:
- Узелковый. Характеризуется наличием эритематоидных папул. Кроме того, отмечается появление мелких узелков с гладкой или гиперкератотической поверхностью.
- Опухолевидный. Формируются крупные узелковые поражения с дольчатой структурой. Возможно наличие корок и чешуек бурого цвета, крупных вегетирующих образований.
- Бородавчатый (веррукозный). Высыпания напоминают вульгарные бородавки. В некоторых случаях на их поверхности отмечается появление разрастаний, напоминающих цветную капусту. Наблюдается склонность к изъязвлению.
- Чешуйчатый гиперкератотический. Очаги инфильтрации или зубчатые бляшки с четко очерченными контурами и приподнятыми краями различной формы и размеров. Выявляются включения в виде черных точек.
- Рубцовый, или атрофический. В центре типичных для хромомикоза элементов появляются рубцовые изменения с центробежным ростом, за счет которых бляшки приобретают характерную кольцевидную или дугообразную форму. Одновременно с подобными высыпаниями на кожных покровах могут формироваться очаги без атрофических проявлений.
Симптомы хромомикоза
Инкубационный период варьируется от нескольких недель до нескольких месяцев, иногда – лет. Длительное латентное и вялое течение хромомикоза объясняет позднее обращение больных за медицинской помощью. Преимущественно поражаются голени и стопы, кисти, не исключается инфицирование других частей тела. Первичный очаг представляет собой безболезненный узелок, реже пятно или бугорок застойно-красного цвета. Данные структуры, в особенности пятна, имеют способность к эксцентричному росту, достигают до 20 см в диаметре.
Далее хромомикоз переходит в одну из своих клинических форм. У одного больного на коже могут сосуществовать различные варианты. Более характерно развитие бородавчато-папилломатозных разрастаний, которые напоминают цветную капусту, легко травмируются, изъязвляются, инфицируются. Нередко они покрываются корочками коричневатого цвета за счет высыхания гнойного экссудата. Больные жалуются на дискомфорт, болезненность в области сыпи, конечностях, жжение, зуд. Заживление очагов происходит с формированием грубых рубцов.
Осложнения
Наиболее частым осложнением является присоединение инфекции при изъязвлении выростов. Изучение случаев заболевания подтверждает возможность поражения внутренних органов. Вовлечение костей может напоминать синдром мадурской стопы, а клиника при метастазах в головной мозг дополняется неврологической симптоматикой. Хроническое воспаление приводит к формированию лимфедемы. Разрастание фиброзной ткани и лимфостаз способствуют ограничению движений в конечностях. Имеются исследования с описанием развития плоскоклеточного рака при длительном течении хромомикоза.
Диагностика
При объективном осмотре врач-дерматолог обращает внимание на наличие специфических элементов сыпи и характерных жалоб. Длительное течение сопровождается развитием лимфостаза пораженных конечностей, обезображивающих изменений. Во время дополнительного инфицирования отмечается появление гнойного экссудата, корочек. Важен подробный сбор анамнеза заболевания и выяснение особенностей образа жизни пациента.
Определяющим методом диагностики данного патологического состояния является обнаружение и идентификация возбудителя. Проводится микроскопия отделяемого язв, соскобов, изучение биоптатов тканей с целью выявления тканевых форм гриба. Посев субстрата на специфические питательные среды дает рост характерных пушистых колоний от оливкового до темно-коричневого или почти черного цвета. Серологические реакции не имеют диагностического значения.
Дифференциальная диагностика
Дифференциальный диагноз необходимо проводить с другими микозами, например, паракокцидиоидомикозом, североамериканским бластомикозом. Важно исключить диффузный кожный лейшманиоз, туберкулезные поражения кожного покрова, мицетому. Хромомикоз может напоминать элементы при псориазе, изменения при третичном сифилисе. Разрастания способны имитировать различные новообразования, такие как кератоакантома и саркома.
Лечение хромомикоза
Консервативная терапия
Хромомикоз относится к инфекциям, трудно поддающимся терапии. Полное излечение наступает редко, характерно частое рецидивирование. По различным данным, клиническое выздоровление и полная элиминация возбудителя возникает в 15-80% случаев. Назначается длительный прием противогрибковых препаратов. Жесткие временные стандарты отсутствуют, в зависимости от вида медикаментов курс длится от 2 месяцев до полного излечения. Используют интраконазол, амфотерицин В, кетоконазол, тербинафин.
Хирургическое лечение
Терапия должна быть комплексной. С целью предупреждения рецидивов прием препаратов дополняется удалением наростов. Небольшие поражения могут иссекаться хирургическим путем с широкими полями. Возможна криодеструкция очагов, однако глубина воздействие не стандартизирована. Применяют термотерапию с локальным нагреванием выростов до 42-24° С. Выскабливание не рекомендуется из-за риска повреждения лимфатических структур.
Экспериментальное лечение
Хороший эффект в исследованиях показал прием триазолов 2 поколения: вориконазола, позаконазола, равуконазола, однако иногда удовлетворительные результаты лечения инфекции сопровождались развитием побочных реакций. Например, использование вориконазола в редких случаях осложнялось нарушением зрения и развитием светочувствительных кожных реакций. Эффективной оказалась комбинация фторцитозина и интраконазола. Положительное действие достигнуто применением иммуномодулирующих препаратов глюкана и имихимода.
Прогноз и профилактика
Прогноз для жизни благоприятный, запущенное течение ухудшает шансы на полное излечение, ведет к снижению трудоспособности. Длительность хромомикоза составляет до нескольких десятков лет. Вовлечение в патологический процесс внутренних органов повышает риск смертности, а развитие осложнений способствует нарушению функций конечностей. Способы специфической профилактики инфекции не разработаны. Мероприятия неспецифической защиты включают соблюдение правил личной гигиены и гигиены труда, использование средств индивидуальной защиты, обязательное ношение обуви.
2. Дерматология Фицпатрика в клинической практике/ Л. А. Голдсмит, С. И. Кат, Б. А. Джилкрест и др. – 2018.
3. Хромомикоз – подходы к диагностике; случаи из практики/ Аравийский Р.А., Котрехова Л.П., Скрек С.В.// Проблемы медицинской микологии – 2004 – Т.6, №3.
4. Клинический случай – хромомикоз/ Хамидов Ш.А., Хамидов Ф.Ш., Салохиддинов А.К., Тожибоев Л., Мамадалиев Р.// Успехи медицинской микологии – 2014 - №13.
Мик. Хромобластомикоз
Хромомикоз, или хромобластомикоз, относится к глубоким микозам преимущественно тропических зон и характеризуется хроническим гранулематозным воспалением, в основном кожи.
Впервые хромобластомикоз (хромомикоз) описан в Бразилии в 1911 г. Педрозо. В Европе хромомикоз обнаружен и описан И. И. Чернявским и О. Н. Подвысоцкой (1928).
Этиология. Возбудители хромомикоза относятся к группе темно-окрашиваемых грибов Demati. Культуры их серовато-мышиного цвета, темно-оливкового и даже интенсивно-черного. Поверхность колоний бархатисто-пушистая или гладкая, блестящая; некоторые колонии – мелкобугристые, как бы веррукозные, обычно тесно спаянные с питательной средой. На жидких средах вырастают колонии в виде темноокрашенных войлокообразных комочков на дне и стенках пробирки, реже образуют пушистую пленку или кольцо на поверхности.
Мицелий состоит из прямых или изогнутых ветвящихся, отчетливо септированных нитей с хламидоспорами разного размера (3–12 мк), нередко подразделенных на 2–4 клетки. Наружные споры (фиалоспоры) размером 1–4 мк располагаются на фиалидах 3–4 X 4–7 мк поодиночке или группами.
Хромомикоз, или хромобластомикоз, вызывают грибы-аэробы, которые хорошо развиваются на среде Сабуро, сусло-агаре, моркови, картофеле и особенно пышно на среде Поллачи. Разложение молока и сыворотки, а также индола непостоянно.
Грибы растут на увлажненной почве, на различных растительных материалах, на волосах различных животных и т. д. как при комнатной температуре, так и в термостате при 37–30°.
Жизнеспособность грибов в культурах довольно высокая. Без существенных изменений они переносят повторное замораживание и оттаивание; месяцами сохраняются в культурах без пересевов. Губительное действие оказывают ундециллиновая кислота, соли некоторых жирных кислот и обычные антисептики – фенол, хлорамин, формалин – в 2–5% растворах при экспозиции в течение 20 минут и больше. Десятиминутное кипячение приводит к гибели взвеси из культур возбудителей хромомикоза.
Патогенность у различных культур непостоянная. Тем не менее получены удачные результаты при внутрикожном и подкожном заражении хромомикозом обезьян, при интратестикулярном заражении крыс и мышей, а также у кроликов и морских свинок. Экспериментально зараженный хромомикоз сопровождается образованием узелков с последующим воспалением и нагноением. Описаны генерализованные поражения у мышей с узелками в различных органах и тканях. Веррукозные поражения, сходные с таковыми же у человека, экспериментально получить не удавалось.
Антигенная специфичность неярко выражена, положительные результаты получаются в перекрестных реакциях с сыворотками против других видов и разновидностей гриба. Хромомикоз, или хромобластомикоз, наиболее часто вызывается несколькими видами грибов.
Hormodendrum pedrosoi – тканевая форма гриба в виде округлых, желтоватых или темно-зеленых клеток диаметром до 10 мк, располагающихся обычно небольшими группами, реже цепочками и одиночные, свободно лежащие или в микроабсцессах, в дерме или эпидермисе, заключенные в гигантских клетках и лейкоцитах.
Зрелые 15–20-дневные колонии на среде Сабуро достигают диаметра 3–5 см, они конусовидные, бугристые с коротким зеленовато-оливковым, бархатистым мицелием. Довольно длинный ветвистый мицелий диаметром 2–3 мк отчетливо септированный, темного цвета, с зернистой протоплазмой. Спорообразование: яйцевидные клетки, одно-двуклеточные, диаметром 3–5 X 1,5–3 мк образуют сложные головки, терминальные и боковые конидиофоры в форме дубинок, некоторые конидии располагаются на бутылкообразных конидиофорах.
Phialophora verrucosa. Шестинедельные колонии конической формы диаметром 6–8 см, поверхность их неровная, края фестончатые, бархатисто-пушистые, серовато-оливкового цвета. Мицелий прямой, ветвящийся, септированный, стенки тонкие, протоплазма желтовато-коричневого цвета, мелкозернистая. Конидиофоры боковые или концевые, одноклеточные, размером 2–3,8 X 5,12 мк, имеют широкое основание, узкую шейку и выходное отверстие в форме чашечки размером 2–3 мк. Конидии овальные, иногда удлиненные, диаметром 1–2 X 2–3 мк, склеиваются в сферические массы. Этот микроорганизм занимает второе место по частоте как этиологический агент хромомикоза (преимущественно в тропических странах).
Hormodendrum compactum – растет довольно медленно, колонии диаметром 2,5 см, высотой 0,6 см, слегка бугристые, с зазубренными краями, плотно спаянные с питательной средой. Поверхность колоний бархатистая, воздушные гифы растут густыми пучками. Мицелий длинный, грубо септированный, 2,2–5,2 мк в диаметре, с толстыми стенками, протоплазма оливкового цвета, зернистая. Концевые конидиофоры с несколькими усеченными выпуклостями, на которых прикрепляются конидии, некоторые в форме дубинок, образуют боковые конидии. Споры одноклеточные, округлые, сферические, размером 2–3 мк, собраны в небольшие цепочки.
Хромомикоз, или хромобластомикоз, – повсеместное заболевание, но преимущественно встречается в тропических и субтропических местностях: в Южной Америке, США, Уругвае, Венесуэле, Алжире, Мадагаскаре, в Австралии и на юге Африки.
В СНГ к настоящему времени опубликовано несколько сотен наблюдений. Появились описания единичных заболеваний хромомикозом в Финляндии, Чехословакии, Болгарии и ГДР.
Эпидемиология. В эпидемиологическом отношении хромомикоз изучен недостаточно. Роль почвы и животных в распространении хромомикоза точно не установлена. Хромобластомикоз (хромомикоз) массовых вспышек не вызывал; семейные заболевания этого микоза не описаны. Заражение здорового от больного хромомикозом никем не доказано.
Полагают, что возбудители хромомикоза встречаются в почве. Некоторыми авторами они выявлены среди микрофлоры здоровых и больных людей, страдающих кожными заболеваниями.
Хромомикоз, или хромобластомикоз, поражает преимущественно лиц в возрасте 20–25 лет, но описаны заболевания у детей в возрасте от 3 до 5 лет. Чаще болеют мужчины, занятые обработкой земли, в садоводстве, реже – на плотничных и других работах. Возникновение хромомикоза связывают с попаданием земли и гниющих древесных материалов на повреждения кожи.
Патогенез и патологическая анатомия. Среди внешних патогенетических факторов возникновения хромомикоза особое значение имеет травма, в связи с которой возникает прежде всего первичный хромомикоз, в особенности, если травма нанесена сухим деревом, щепкой, сучком. Эксперименты, показавшие получение культуры возбудителя хромомикоза при засеве на кусок дерева, сено, листья, поддерживают распространенное мнение о резервуаре возбудителей во внешней среде. Частоту заболеваний нижних конечностей у сельскохозяйственных рабочих связывают с постоянным соприкосновением их с землей и водой. Среди эндогенных факторов, имеющих отношение к распространению гриба по организму, следует отметить применение кортикостероидов, эндокринные нарушения, влияние их на дремлющую грибковую инфекцию, что подтверждено клиническими наблюдениями и экспериментами на животных.
Своеобразными являются тканевые изменения в виде специфического гранулематозного процесса. Наличие микроабсцессов с элементами гриба и туберкулоидное строение инфильтрата, гигантские многоядерные клетки, фагоцитирующие пигментированные споры и фрагменты гриба – эти черты настолько характерны для хромомикоза, что нередко при нетипичных проявлениях микоза решают вопрос о диагнозе. Пролиферативная фаза с образованием эпителиоидных клеток и формированием из них бугорков, бугорков смешанного типа – «псевдобугорков» сменяет предварительный и кратковременный период отека и инфильтрации нейтрофилами. В поздние сроки лимфоидная инфильтрация в периферии очага поражения сменяется скоплениями фибробластов, пролиферация и созревание которых, появление волокнистой соединительной ткани ведут к ограничению каждого очага хромомикоза. К этому времени формируется в центре микроабсцесс, обычный для хромомикоза.
Читайте также:
