Многоформная эритема
Добавил пользователь Евгений Кузнецов Обновлено: 27.01.2026
Болезнь, при которой на коже и слизистых покровах относительно быстро возникают характерные высыпания, напоминающие вид мишени.
Этиопатогенез
Причины и механизм возникновения заболевания остаются до конца не изученными. Заболевание рассматривается как гиперергическая иммунная реакция, сопровождающаяся возникновением характерных изменений на коже и слизистых покровах, при наличии инфекционного агента у лиц с определённой предрасположенностью.
Наиболее часто наблюдается взаимосвязь заболевания с присутствием вируса простого герпеса, в более редких случаях в организме выявляются Mycoplasma pneumoniae, Histoplasma capsulatum и Parapoxvirus или болезнь возникает при иных системных заболеваниях.
В поражённом эпидермисе в большинстве случаев (около 80%) заболевания обнаруживаются ДНК и кодированные белки вируса простого герпеса.
По мнению многих учёных, заболевание имеет токсико-аллергический генез, который может быть спровоцирован фармпрепаратами (сульфаниламиды, хлорамфеникол, неомицин), некоторыми консервантами (этилендиамин, формальдегид), кортикостероидными фармпрепаратами местного применения (будесонид, триамцинолона ацетонид).
Некоторые физические воздействия на организм также могут стать одним из пусковых механизмов болезни (тяжёлая травма, переохлаждение, ультрафиолетовое и электромагнитное облучение).
Достоверная генетическая предрасположенность при возникновении эритемы в настоящее время не установлена.
Клиническая картина
Многоформная экссудативная эритема может протекать в виде большой (с поражением слизистых оболочек) или малой формы.
Заболевание характеризуется внезапным возникновением после непродолжительного продромального периода, сопровождаемого нарастанием температуры тела, ознобом, болевыми ощущениями в суставах.
Высыпания – симметричные, распространённые, полиморфные. Наиболее частая локализация – разгибательные поверхности верхних конечностей (предплечья, кисти). Также могут поражаться голени, тыл стопы, лицо, шея. В процесс вовлекаются губы и слизистая оболочка полости рта.
Морфологический элемент – резко отграниченное пятно или уплощённая отёчная папула круглой или овальной формы, диаметром от 3-х до 15-ти мм, розово-красного или ярко-красного цвета, имеющая тенденцию к периферическому росту и имеющая западение в центре. В центре некоторых высыпаний формируются свежие папулёзные элементы. За счёт слияния эти высыпания приобретают полициклические края. Периферический валик – синюшный, из-за чего первичный элемент имеет внешнее сходство с мишенью.
Кроме характерных элементов в виде мишеней, рядом могут появляться атипичные элементы в виде отёчных округлых пальпируемых образований, но с плохо отграниченными границами. В зависимости от клинических проявлений морфологических элементов выделяют пятнистую, папулезную, пятнисто-папулёзную, везикулёзную, буллёзную, везикуло-буллёзную формы.
Иногда можно наблюдать феномен Кебнера, когда элементы, имеющие вид мишеней, возникают на повреждённой коже (на месте ссадин, потёртостей) или на околоногтевых валиках, которые продолжительное время подвергались самотравме. Подобная травматизация обычно предшествует появлению морфологических элементов при многоформной эритеме, феномен Кебнера не может реализоваться при уже появившихся кожных изменениях.
В случае большой формы многоформной эритемы на слизистой оболочке губ и щёк возникают везикуло-буллёзные образования, после непродолжительного существования которых остаются болезненные эрозии, покрытые корочками.
Везикуло-буллёзные образования могут развиваться на слизистой оболочке глаз, половых органах; эрозии аногенитальной слизистой зачастую имеют протяженный и полициклический вид с увлажнённым основанием.
Преобладающее количество морфологических элементов формируются на протяжении 24-х часов, полная клиническая картина болезни развивается за 72 часа. Некоторые морфологические элементы могут сохраняться на одном и том же месте на протяжении одной недели, сопровождаясь жжением и зудом.
У многих больных многоформная эритема длится около двух недель, а эпителизация эрозий происходит без осложнений.
В исключительных случаях при развитии большой формы многоформной эритемы могут развиться осложнения со стороны конъюнктивы глаз (при несвоевременном лечении возникших эрозий).
Иногда некоторое время сохраняется поствоспалительная гипер- или гипопигментация на местах локализации морфологических элементов.
Диагностика
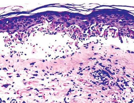
Диагностика основывается на клинических проявлениях болезни. Гистологические сведения неспецифичны, поэтому применяются лишь для дифференциальной диагностики.
Дифференциальная диагностика
Многоформную экссудативную эритему необходимо дифференцировать с крапивницей, лекарственной эритемой, подострой кожной красной волчанкой, кольцевидной центробежной эритемой, некоторыми формами васкулитов, синдромом Стивенса – Джонсона и Лайелла, истинной пузырчаткой.
Лечение
При обнаружении причины возникновения болезни (например, вируса герпеса или иных возбудителей) необходимо провести специфическое лечение. При малых формах развития болезни бывает достаточно симптоматического лечения, лёгкое течение болезни вообще не подлежат лечению.
Для уменьшения субъективных кожных проявлений применяются антигистаминные фармпрепараты.
При тяжёлом течении большой формы многоформной экссудативной эритемы проводится пульс-терапия метилпреднизолоном, при помощи которой также возможно быстро прервать развитие рецидива.
Прогноз
Как правило, заболевание характеризуется неосложнённым течением, хотя при герпесассоциированной многоформной эритеме нередко развиваются рецидивы, в среднем 1–2 раза в год, за исключением больных, которым проводится иммуносупрессивная терапия. У лиц, получающих иммуносупрессивную терапию, эпизоды рецидивов болезни развиваются до 5–6-ти раз или приобретает постоянно рецидивирующее течение.
Профилактика
Специфические меры профилактики не разработаны. Необходимыми являются мероприятия по выявлению и лечению герпевирусной инфекции, рациональный и обоснованный приём фармпрепаратов, необходимо также минимизировать контактирование с консервантами этилендиамином, формальдегидом.
Публикации в СМИ
xe "Эритема:мультиформная" xe "Эритема:многоформная экссудативная" Многоформная экссудативная эритема (мультиформная эритема) — остро развивающееся заболевание, характеризующееся появлением эритематозных пятен, буллёзным поражением кожи, слизистых оболочек, циклическим рецидивирующим течением.
Статистические данные. Заболеваемость — 0,3–0,5:100 000 населения, тяжёлые формы отмечают в 2–3 раза чаще у мужчин.
Классификация • Инфекционно-аллергическая (идиопатическая) форма связана с гиперреактивностью к аллергенам и инфекционным агентам • Токсико-аллергическая (симптоматическая) форма связана с гиперчувствительностью к ЛС • Экссудативная злокачественная форма (см. Синдром Стивенса–Джонсона ) • Ревматическая эритема — округлые или дугообразные очаги эритемы на туловище и конечностях, наблюдаемые иногда при ревматической атаке.
Клинические проявления • Местные симптомы •• На коже разгибательных поверхностей предплечий, голеней, тыла кистей и стоп, лице, половых органах, на слизистых оболочках остро возникают симметричные высыпания. Появляются отёчные, чётко отграниченные, уплощённые папулы розово-красного цвета округлой формы, диаметром от нескольких миллиметров до 2–5 см, имеющие две зоны: внутреннюю (серовато-синюшного цвета, иногда с пузырём в центре, наполненным серозным или геморрагическим содержимым) и наружную (красного цвета [кокардообразные высыпания]) •• На губах, щеках, нёбе возникают разлитая эритема, пузыри, эрозивные участки, покрытые желтовато-серым налётом • Общие симптомы •• Жжение и зуд в области высыпаний, болезненность и гиперемия слизистых оболочек, прежде всего рта и половых органов •• Лихорадка •• Головная боль и боль в суставах • Наиболее тяжёлое проявление — синдром Стивенса– Джонсона • При токсико-аллергической форме, в отличие от идиопатической, нет сезонности рецидивов высыпаний.
Методы исследования • Проводят лабораторные исследования для исключения сифилиса — серологические реакции, исследования на бледную трепонему • Симптомы Никольского, Асбо–Хансена отрицательны, в мазках-отпечатках нет акантолитических клеток • При гистопатологическом исследовании в эпидермисе отмечают внутри- и межклеточный отёк, гидропическую дегенерацию базальных клеток, в дерме — отёк сосочкового слоя, периваскулярные инфильтраты.
Дифференциальная диагностика • Ветряная оспа • Буллёзный пемфигоид • Герпетиформный дерматит Дюринга • Опоясывающий герпес • Сифилитические папулёзные высыпания.
Лечение • При лёгк ом течении — антигистаминные и десенсибилизирующие средства • При пузырях и эрозиях на коже — мази с ГК и антибиотиками (например, окситетрациклин+гидрокортизон) • При поражении слизистой оболочки рта — тёплые полоскания 10% р-р ом натрия гидрокарбоната, местными анестетиками (2% р-р лидокаина), а также ГК : дексаметазон (эликсир, 0,5 мг на 5 мл воды) 4 р/сут с последующим проглатыванием • В более тяжёлых случаях и при распространённ ых буллёзных формах — антибиотики (внутрь или парентерально), ГК (например, преднизолон 1–2 мг/кг/сут с последующим снижением дозы), ингибиторы протеолитических ферментов (апротинин). При синдроме Стивенса– Джонсона — см. Синдром Стивенса–Джонсона .
Прогноз. Исход заболевания в не осложнённ ых случаях благоприятный. При синдроме Стивенса– Джонсона летальность — 10–30%.
МКБ-10 • L51 Эритема многоформная
Код вставки на сайт
Эритема многоформная экссудативная
xe "Эритема:мультиформная" xe "Эритема:многоформная экссудативная" Многоформная экссудативная эритема (мультиформная эритема) — остро развивающееся заболевание, характеризующееся появлением эритематозных пятен, буллёзным поражением кожи, слизистых оболочек, циклическим рецидивирующим течением.
Статистические данные. Заболеваемость — 0,3–0,5:100 000 населения, тяжёлые формы отмечают в 2–3 раза чаще у мужчин.
Классификация • Инфекционно-аллергическая (идиопатическая) форма связана с гиперреактивностью к аллергенам и инфекционным агентам • Токсико-аллергическая (симптоматическая) форма связана с гиперчувствительностью к ЛС • Экссудативная злокачественная форма (см. Синдром Стивенса–Джонсона ) • Ревматическая эритема — округлые или дугообразные очаги эритемы на туловище и конечностях, наблюдаемые иногда при ревматической атаке.
Клинические проявления • Местные симптомы •• На коже разгибательных поверхностей предплечий, голеней, тыла кистей и стоп, лице, половых органах, на слизистых оболочках остро возникают симметричные высыпания. Появляются отёчные, чётко отграниченные, уплощённые папулы розово-красного цвета округлой формы, диаметром от нескольких миллиметров до 2–5 см, имеющие две зоны: внутреннюю (серовато-синюшного цвета, иногда с пузырём в центре, наполненным серозным или геморрагическим содержимым) и наружную (красного цвета [кокардообразные высыпания]) •• На губах, щеках, нёбе возникают разлитая эритема, пузыри, эрозивные участки, покрытые желтовато-серым налётом • Общие симптомы •• Жжение и зуд в области высыпаний, болезненность и гиперемия слизистых оболочек, прежде всего рта и половых органов •• Лихорадка •• Головная боль и боль в суставах • Наиболее тяжёлое проявление — синдром Стивенса– Джонсона • При токсико-аллергической форме, в отличие от идиопатической, нет сезонности рецидивов высыпаний.
Методы исследования • Проводят лабораторные исследования для исключения сифилиса — серологические реакции, исследования на бледную трепонему • Симптомы Никольского, Асбо–Хансена отрицательны, в мазках-отпечатках нет акантолитических клеток • При гистопатологическом исследовании в эпидермисе отмечают внутри- и межклеточный отёк, гидропическую дегенерацию базальных клеток, в дерме — отёк сосочкового слоя, периваскулярные инфильтраты.
Дифференциальная диагностика • Ветряная оспа • Буллёзный пемфигоид • Герпетиформный дерматит Дюринга • Опоясывающий герпес • Сифилитические папулёзные высыпания.
Лечение • При лёгк ом течении — антигистаминные и десенсибилизирующие средства • При пузырях и эрозиях на коже — мази с ГК и антибиотиками (например, окситетрациклин+гидрокортизон) • При поражении слизистой оболочки рта — тёплые полоскания 10% р-р ом натрия гидрокарбоната, местными анестетиками (2% р-р лидокаина), а также ГК : дексаметазон (эликсир, 0,5 мг на 5 мл воды) 4 р/сут с последующим проглатыванием • В более тяжёлых случаях и при распространённ ых буллёзных формах — антибиотики (внутрь или парентерально), ГК (например, преднизолон 1–2 мг/кг/сут с последующим снижением дозы), ингибиторы протеолитических ферментов (апротинин). При синдроме Стивенса– Джонсона — см. Синдром Стивенса–Джонсона .
Прогноз. Исход заболевания в не осложнённ ых случаях благоприятный. При синдроме Стивенса– Джонсона летальность — 10–30%.
МКБ-10 • L51 Эритема многоформная
Лечение многоформной экссудативной эритемы
Многоформная экссудативная эритема — острое заболевание кожи и слизистых с полиморфными высыпаниями и наклонностью к рецидивам преимущественно в осенний и весенний периоды. Поскольку многоформная экссудативная эритема имеет аллергический механизм развития, в ее лечении важное значение занимает устранение этиологического фактора.
Многоформная экссудативная эритема возникает в основном у молодых людей и лиц среднего возраста. Она может быть связана с сенсибилизацией организма к различным лекарственным препаратам или развиваться на фоне некоторых инфекционных заболеваний. В первом случае говорят о токсико-аллергической (симптоматической) форме многоформной экссудативной экземы, а во втором - об инфекционно-аллергической (идиопатической). Токсико-аллергические варианты многоформной экссудативной эритемы занимают всего до 20% от всех случаев заболевания, в то время как основная их масса связана с воздействием инфекционных агентов.
Причины возникновения многоформной экссудативной эритемы
Современная дерматология пока не может однозначно назвать точные причины и механизм развития многоформной экссудативной эритемы. Примерно у 70% пациентов выявляется очаг хронической инфекции (гайморит, хронический тонзиллит, отит, пульпит, пародонтоз, пиелонефрит и др.) и повышенная чувствительность к бактериальным антигенам. У таких пациентов в период обострения заболевания определяется снижение Т-клеточного иммунитета. В связи с этим предполагают, что возникновение или обострение многоформной экссудативной эритемы обусловлено иммунодефицитом, быстро развивающимся на фоне очаговой инфекции при воздействии на организм таких провоцирующих факторов, как переохлаждение, ОРВИ, ангина. Во многих случаях отмечается ассоциированность многоформной экссудативной эритемы с герпетической инфекцией.
Симптомы многоформной экссудативной эритемы
Инфекционно-аллергический вариант многоформной экссудативной эритемы имеет острое начало в виде общего недомогания, головной боли, повышения температуры, болей в мышцах, артралгии, боли в горле. Спустя 1-2 дня на фоне общих изменений появляются высыпания. Примерно в 5% случаев они локализуются только на слизистой оболочке рта. У 1/3 заболевших отмечается поражение кожи и слизистой рта. В редких случаях многоформной экссудативной экземы встречается поражение слизистой гениталий. После появления сыпи общие симптомы постепенно проходят, но могут сохраняться до 2-3-х недель.
В одних случаях многоформной экссудативной эритемы поражение слизистой ограничивается несколькими элементами без выраженной болезненности. В других обширное эрозирование полости рта не позволяет пациенту разговаривать и принимать даже жидкую еду. Токсико-аллергическая форма многоформной экссудативной эритемы обычно не имеет первоначальных общих симптомов. Иногда перед высыпаниями отмечается подъем температуры. По характеру элементов сыпи эта форма практически не отличается от инфекционно-аллергической эритемы. Она может носить фиксированный и распространенный характер. В обоих случаях высыпания, как правило, затрагивают слизистую рта. При фиксированном варианте во время рецидивов многоформной экссудативной эритемы высыпания появляются на тех же местах, что и прежде, а также на новых участках кожи.
Характерным является рецидивирующее течение многоформной экссудативной эритемы с обострениями в весенний и осенний сезоны. При токсико-аллергической форме заболевания сезонность возникновения рецидивов не так выражена. В отдельных случаях многоформная экссудативная эритема имеет непрерывное течение из-за повторяющихся друг за другом рецидивов.
Профилактика рецидивов многоформной экссудативной эритемы при инфекционно-аллергической форме тесно связана с выявлением и устранением хронических инфекционных очагов и герпетической инфекции. Для этого пациенту может потребоваться консультация отоларинголога, стоматолога, уролога и других специалистов. При токсико-аллергическом варианте многоформной экссудативной эритеме важно не допускать приема провоцирующего заболевание медикамента.
Эритема многоформная. Клинические рекомендации.
Многоформная эритема – острая иммуноопосредованная воспалительная реакция кожи и, в ряде случаев, слизистых оболочек на различные стимулы, характеризующаяся мишеневидными очагами поражения с периферической локализацией, склонная к рецидивированию и саморазрешению.
1. Краткая информация
1.1 Определение
Многоформная эритема (МЭ) – острая иммуноопосредованная воспалительная реакция кожи и, в ряде случаев, слизистых оболочек на различные стимулы, характеризующаяся мишеневидными очагами поражения с периферической локализацией, склонная к рецидивированию и саморазрешению.
1.2 Этиология и патогенез
На сегодняшний день причины и механизмы развития многоформной эритемы окончательно не изучены. В большинстве случаев развитие МЭ связано с герпетической инфекцией; также возможна манифестация заболевания под влиянием вирусов гепатитов В и С, Эпштейна-Барра, аденовирусов, Mycoplasma pneumonia, бактериальных и грибковых инфекционных агентов. ДНК вируса простого герпеса обнаруживают в коже в области высыпаний у 60–90% больных. Причинами заболевания могут являться: прием лекарственных препаратов (сульфаниламиды, пенициллины, барбитураты, аллопуринол, фенилбутазон), системные заболевания (саркоидоз, узелковый периартериит, гранулематоз Вегенера, лимфома, лейкоз). Воспалительный процесс при МЭ обусловлен сенсибилизированными Т-хелперами (CD4+ Т-лимфоцитами).
1.3 Эпидемиология
МЭ наблюдается у пациентов всех возрастов, но чаще – у подростков и молодых людей. Среди больных преобладают мужчины (соотношение мужчин и женщин составляет 3:2). Примерно в 30% случаев заболевание рецидивирует. В детском возрасте встречается нечасто (20% случаев).
1.4 Кодирование по МКБ 10
L51.0 – Небуллезная эритема многоформная
L51.8 – Другая эритема многоформная
L51.9 – Эритема многоформная неуточненная
1.5 Классификация
Общепринятой классификации МЭ не существует.
В зависимости от выраженности клинических проявлений выделяют две формы МЭ:
- легкую (малую) форму, при которой отсутствует поражение слизистых оболочек, общее состояние больного не нарушено;
- тяжелую (большую) форму, характеризующуюся распространенными кожными высыпаниями, поражением слизистых оболочек, общим недомоганием.
1.6 Клиническая картина
МЭ характеризуется острым началом. Заболевание часто начинается с продромальных явлений (повышение температуры тела, недомогание, боли в мышцах и суставах, боль в горле).
После продромального периода толчкообразно (в течение 10–15 суток и более) появляются полиморфные высыпания на коже – эритемы, папулы, везикулы.
Для МЭ характерно наличие мишеневидных очагов менее 3 см в диаметре с четко очерченными краями, в структуре которых выделяют три различные зоны: центральный диск темной эритемы или пурпуры, который может стать некротическим или трансформироваться в плотную везикулу; кольцо пальпируемого бледного отечного участка; наружное кольцо эритемы. Встречаются и атипичные очаги поражения.
Первичными морфологическими элементами при МЭ являются гиперемические пятна (эритемы), папулы и пузырьки. Папулы округлой формы с четкими границами, величиной от 0,3 до 1,5 см, красно-синюшного цвета, плоские, плотные при пальпации, склонные к центробежному росту с западением центральной части. По периферии папул образуется отечный валик, а центр элемента, постепенно западая, приобретает цианотичный оттенок (симптом «мишени», или «радужной оболочки», или «бычьего глаза»). Субъективно высыпания сопровождаются зудом. Везикулы округлой формы, небольшие, плоские, имеют толстую покрышку, наполнены опалесцирующей жидкостью, расположены, как правило, в центре папул. Патологические элементы склонны к слиянию с образованием гирлянд и дуг.
Вторичными морфологическими элементами при МЭ являются эрозии, корки, чешуйки, гиперпигментные пятна, не имеющие клинических особенностей.
На слизистых оболочках могут образовываться пузыри, которые вскрываются с образованием болезненных эрозий.
Высыпания обычно появляются внезапно, располагаются чаще по периферии, симметрично на коже тыльной поверхности стоп и кистей, разгибательных поверхностях предплечий и голеней, красной кайме губ с образованием корочек, слизистой оболочке полости рта. Поражение глаз и гениталий наблюдается реже.
Разрешение высыпаний продолжается в течение 2–3 недель, не оставляя рубцов. Пигментные пятна, появляющиеся на месте бывших папул, отличаются желтовато-коричневой окраской.
2. Диагностика
2.1 Жалобы и анамнез
Субъективные клинические проявления МЭ описаны в разделе «Клиническая картина».
2.2 Физикальное обследование
Объективные клинические проявления МЭ, выявляемые при физикальном обследовании, описаны в разделе «Клиническая картина».
2.3 Лабораторная диагностика
- При тяжелом течении заболевания рекомендуется проведение клинического анализа крови.
Комментарии: при тяжелом течении заболевания отмечается повышение СОЭ, умеренный лейкоцитоз.
- В случае затруднений в диагностике МЭ рекомендуется гистологическое исследование биоптата кожи.
Комментарии: при гистологическом исследовании наблюдаются: отек сосочкового слоя, инфильтрация дермы различной интенсивности. Инфильтрат состоит из лимфоцитов, нейтрофилов и эозинофилов. В базальных клетках эпидермиса наблюдается вакуольная дистрофия. В некоторых участках клетки инфильтрата могут проникать в эпидермис и в результате спонгиоза образовывать внутриэпидермальные пузырьки. Вакуольная дистрофия и выраженный отек сосочкового слоя дермы могут приводить к образованию субэпидермальных пузырей.
2.4 Инструментальная диагностика
2.5 Иная диагностика
- Рекомендуются консультации врача-офтальмолога (при поражении слизистых оболочек глаза), врача-оториноларинголога (при поражении слизистых оболочек полости рта и носа) с целью коррекции терапии.
Уровень убедительности рекомендаций D (уровень достоверности доказательств – 4)
3. Лечение
3.1 Консервативное лечение
- Рекомендуется назначение одного из следующих топических глюкокортикостероидных препаратов наружно:
метилпреднизолона ацепонат 0,1%, крем 2 раза в сутки на очаги поражения в течение 7-10 дней [1, 2].
Уровень убедительности рекомендаций С (уровень достоверности доказательств 2+)
гидрокортизона бутират 0,1% 2 раза в сутки на очаги поражения в течение 7-10 дней [1,2].
Уровень убедительности рекомендаций С (уровень достоверности доказательств 2+)
бетаметазона дипропионат** 0,05%, спрей 2 раза в сутки на очаги поражения в течение 10-14 дней [1, 2].
Уровень убедительности рекомендаций С (уровень достоверности доказательств 2+)
- Рекомендуется назначение комбинированных препаратов (глюкокортикостероидные препараты + антибактериальные препараты) наружно:
бетаметазона дипропионат + гентамицина сульфат 2 раза в сутки на очаги поражения в течение 7-10 дней [1, 2].
Уровень убедительности рекомендаций С (уровень достоверности доказательств 2+)
- При вторичном инфицировании или ассоциации МЭ с Mycoplasma pneumoniaeрекомендуется назначение системных антибактериальных препаратов:
эритромицин 0,5–1,0 г перорально 3 раза в сутки в течение 7-10 дней [3].
Уровень убедительности рекомендаций В (уровень достоверности доказательств 2++)
- Рекомендуется назначение одного из следующих антигистаминных препаратов:
хлоропирамин** 25 мг перорально или внутримышечно 2–3 раза в сутки в течение 7–10 дней [1,2].
Уровень убедительности рекомендаций С (уровень достоверности доказательств 2+)
лоратадин** 10 мг перорально 1 раз в сутки в течение 7–10 дней [1, 2].
Уровень убедительности рекомендаций С (уровень достоверности доказательств 2+)
цетиризин** 10 мг перорально 1 раз в сутки в течение 7–10 дней [1, 2].
Уровень убедительности рекомендаций С (уровень достоверности доказательств 2+)
- При тяжелой форме МЭ рекомендуется назначение одного из следующих глюкокортикостероидных препаратов системного действия:
преднизолон** 40–60 мг в сутки или 0,5–1 мг на кг массы тела перорально с постепенным снижением дозы в течение 2 недель [1, 2, 4].
Уровень убедительности рекомендаций С (уровень достоверности доказательств 2+)
дексаметазон** 4–8 мг в сутки перорально [1, 2, 4].
Уровень убедительности рекомендаций С (уровень достоверности доказательств 2+)
Комментарии: при регрессе высыпаний дозу системных глюкокортикостероидных препаратов постепенно снижают до полной отмены.
- При ассоциации МЭ с вирусом простого герпеса рекомендуется назначение одного из следующих противовирусных препаратов:
ацикловир 200 мг перорально 5 раз в сутки в течение 5–7 дней 6.
Уровень убедительности рекомендаций А (уровень достоверности доказательств 1+)
валацикловир (A) 500 мг перорально 2 раза в сутки в течение 5–10 дней 7.
Уровень убедительности рекомендаций А (уровень достоверности доказательств 1+)
фамцикловир (A) 250 мг перорально 2 раза в сутки в течение 7 дней 8.
Уровень убедительности рекомендаций А (уровень достоверности доказательств 1+)
- В случае торпидного течения МЭ рекомендуется профилактическое, противорецидивное, превентивное лечение ацикловиром 400 мг перорально 2 раза в сутки длительными курсами (6-12 месяцев) [8].
Уровень убедительности рекомендаций В (уровень достоверности доказательств 2++)
- У больных МЭ без ассоциации с инфекцией простого герпеса рекомендуется назначение одного из следующих иммуносупрессивных препаратов:
дапсон 100–150 мг в сутки в течение 10-14 дней [2,8].
Уровень убедительности рекомендаций С (уровень достоверности доказательств 2++)
гидроксихлорохина 200- 400 мг в сутки в течение 10-14 дней [2,8].
Уровень убедительности рекомендаций С (уровень достоверности доказательств 2++)
Детям раннего детского возраста с обширными поражениями слизистой полости рта рекомендуется обеспечить достаточное поступление жидкости в организм, проводить инфузионную терапию.
3.2 Хирургическое лечение
3.3 Иное лечение
4. Реабилитация
5. Профилактика и диспансерное наблюдение
Курсовой прием противовирусных препаратов, особенно в весенний период, снижает вероятность рецидивов МЭ, обусловленных вирусом простого герпеса7.
Уровень убедительности рекомендаций А (уровень достоверности доказательств 1+)
Критерии оценки качества медицинской помощи
Критерии качества
Уровень достоверности доказательств
Уровень убедительности доказательств
Выполнено подтверждение диагноза лабораторными методами исследования
Проведена наружная терапия топическими глюкокортикостероидными препаратами
Проведена системная терапия: антигистаминные, глюкокортикостероидные и противовирусные препараты
Достигнуто исчезновение клинических симптомов заболевания (клиническое выздоровление)
Список литературы
- Katsambas A.D., Lotti T.M. European handbook of dermatological treatments. Springer. 2003; 515–517.
- Samim F, Auluck A, Zed C, Williams PM. Erythema multiforme: a review of epidemiology, pathogenesis, clinical features, and treatment. Dent Clin North Am. 2013 Oct;57(4):583-96.
- Canavan TN, Mathes EF, Frieden I, Shinkai K. Mycoplasma pneumoniae-induced rash and mucositis as a syndrome distinct from Stevens-Johnson syndrome and erythema multiforme: a systematic review. J Am Acad Dermatol. 2015 Feb;72(2):239-45.
- Martinez A.E., Atherton D.J. High-dose systemic corticosteroids can arrest recurrences of severe mucocutaneous erythema multiforme. Pediatr Dermatol 2000; 17: 87–90.
- Tatnall F.M., Schofield J.K., Leigh I.M. A double-blind, placebo-controlled trial of continuous acyclovir therapy in recurrent erythema multiforme. Br J Dermatol 1995; 132: 267–270.
- Kerob D., Assier-Bonnet H., Esnault-Gelly P. et al. Recurrent erythema multiforme unresponsive to acyclovir prophylaxis and responsive to valacyclovir continuous therapy. Arch Dermatol 1998; 134 (7): 876–877.
- Inoue K., Kano Y., Kagawa H. et al. Herpes virus-associated erythema multiforme following valacyclovir and systemic corticosteroid treatment. Eur J Dermatol 2009; 19 (4): 386–387.
- Staikuniene J, Staneviciute J. Long-term valacyclovir treatment and immune modulation for Herpes-associated erythema multiforme. Cent Eur J Immunol. 2015;40(3):387-90.
Приложение А1. Состав рабочей группы
- Горланов Игорь Александрович – доктор медицинских наук, профессор, член Российского общества дерматовенерологов и косметологов.
- Самцов Алексей Викторович – профессор, доктор медицинских наук, Заслуженный деятель науки РФ, Заслуженный врач РФ, член Российского общества дерматовенерологов и косметологов.
- Хайрутдинов Владислав Ринатович – доктор медицинских наук, член Российского общества дерматовенерологов и косметологов.
Приложение А2. Методология разработки клинических рекомендаций
Целевая аудитория клинических рекомендаций:
- Врачи-специалисты: дерматовенерологи, педиатры.
- Ординаторы и слушатели циклов повышения квалификации по указанным специальностям.
Таблица П1- Уровни достоверности доказательств
Уровни
достоверности доказательств
Описание
Мета-анализы высокого качества, систематические обзоры рандомизированных контролируемых исследований (РКИ) или РКИ с очень низким риском систематических ошибок
Качественно проведенные мета-анализы, систематические, или РКИ с низким риском систематических ошибок
Мета-анализы, систематические, или РКИ с высоким риском систематических ошибок
Высококачественные систематические обзоры исследований случай-контроль или когортных исследований. Высококачественные обзоры исследований случай-контроль или когортных исследований с очень низким риском эффектов смешивания или систематических ошибок и средней вероятностью причинной взаимосвязи
Хорошо проведенные исследования случай-контроль или когортные исследования со средним риском эффектов смешивания или систематических ошибок и средней вероятностью причинной взаимосвязи
Исследования случай-контроль или когортные исследования с высоким риском эффектов смешивания или систематических ошибок и средней вероятностью причинной взаимосвязи
Неаналитические исследования (например, описания случаев, серий случаев)
Таблица П2 – Уровни убедительности рекомендаций
Уровень убедительности доказательств
Характеристика показателя
По меньшей мере один мета-анализ, систематический обзор или РКИ, оцененные как 1++, напрямую применимые к целевой популяции и демонстрирующие устойчивость результатов
группа доказательств, включающая результаты исследований, оцененные как 1+, напрямую применимые к целевой популяции и демонстрирующие общую устойчивость результатов
Группа доказательств, включающая результаты исследований, оцененные как 2++, напрямую применимые к целевой популяции и демонстрирующие общую устойчивость результатов
экстраполированные доказательства из исследований, оцененных как 1++ или 1+
Группа доказательств, включающая результаты исследований, оцененные как 2+, напрямую применимые к целевой популяции и демонстрирующие общую устойчивость результатов;
экстраполированные доказательства из исследований, оцененных как 2++
Доказательства уровня 3 или 4;
экстраполированные доказательства из исследований, оцененных как 2+
Порядок обновления клинических рекомендаций
Рекомендации в предварительной версии рецензируются независимыми экспертами. Комментарии, полученные от экспертов, систематизируются и обсуждаются членами рабочей группы. Вносимые в результате этого изменения в рекомендации или причины отказа от внесения изменений регистрируются.
Предварительная версия рекомендаций выставляется для обсуждения на сайте ФГБУ «Государственный научный центр дерматовенерологии и косметологии» Минздрава России для того, чтобы лица, не участвующие в разработке рекомендаций, имели возможность принять участие в обсуждении и совершенствовании рекомендаций.
Для окончательной редакции и контроля качества рекомендации повторно анализируются членами рабочей группы.
Приложение А3. Связанные документы
Данные клинические рекомендации разработаны с учётом следующих нормативно-правовых документов:
Многоформная экссудативная эритема (МЭЭ) - симптомы и лечение
Что такое многоформная экссудативная эритема (МЭЭ)? Причины возникновения, диагностику и методы лечения разберем в статье доктора Фоминых Софьи Юрьевны, дерматолога со стажем в 23 года.
Над статьей доктора Фоминых Софьи Юрьевны работали литературный редактор Маргарита Тихонова , научный редактор Сергей Федосов
Определение болезни. Причины заболевания
Многоформная экссудативная эритема (МЭЭ) — это острое аллергическое заболевание, при котором на коже и слизистых оболочках появляются различные по виду высыпания — пятнистые, папулёзные и пузырные.

МЭЭ обычно болеют люди молодого и среднего возраста. У пациентов мужского пола это заболевание встречается несколько чаще, чем у женщин.
Известны две основные разновидности МЭЭ:
- инфекционно-аллергическая (идиопатическая или истинная) — составляет около 80 % всех случаев МЭЭ и является следствием аллергической реакции на хронический очаг инфекции в организме;
- токсико-аллергическая — развивается, как правило, на фоне применения некоторых лекарственных средств, таких как амидопирин, барбитураты, сульфаниламиды и тетрациклины [7] .
Для инфекционно-аллергической МЭЭ характерна весенне-осенняя сезонность. Одного очага хронической инфекции недостаточно, чтобы данное заболевание развилось или обострилось. Для этого необходимо определённое сочетание триггерных, т. е. провоцирующих факторов, например:
- иммунодефицит (обратимый, преходящий, циклический);
- переохлаждение;
- ультрафиолетовое облучение;
- некоторые консерванты в составе пищевых продуктов (бензоаты, формальдегид и т. д.);
- психоэмоциональный стресс;
- патология пищеварительного тракта (хронический гастрит, дисбактериоз);
- аутоиммунные заболевания и онкопатология; , ангина и другие заболевания.
Не исключается и наличие наследственной предрасположенности к ММЭ.
Причиной инфекционно-аллергической МЭЭ, которая приводит к развитию болезни, чаще всего является герпесвирус человека, вирус Эпштейна — Барр, цитомегаловирус, а также возбудители вирусных гепатитов, микобактерии, микоплазменная, стрептококковая и грибковые инфекции, паразиты. Наиболее распространённый вид инфекционно-аллергической МЭЭ — герпес-ассоциированная МЭЭ [4] [12] [13] .

Считается, что герпесвирусная инфекция [1] [2] [5] становится причиной подавляющего большинства случаев МЭЭ. Чаще всего обнаруживается связь с вирусом простого герпеса первого типа [8] [10] [11] , реже — второго.
В пользу инфекционно-аллергической формы МЭЭ свидетельствует наличие продромального периода (предшествующего болезни), склонности к сезонности высыпаний и хроническое рецидивирующее течение.
Эксперты ВОЗ отмечают, что рост заболеваемости простым герпесом в настоящий момент заставляет рассматривать его в числе первоочередных проблем, наряду с ВИЧ-инфекцией и гриппом.
При обнаружении схожих симптомов проконсультируйтесь у врача. Не занимайтесь самолечением - это опасно для вашего здоровья!
Симптомы многоформной экссудативной эритемы
Для инфекционно-аллергической МЭЭ, включая герпес-ассоциированную [13] , характерно острое начало заболевания. Оно может проявляться повышением температуры, общей слабостью, ломотой в теле, головной болью, болезненными ощущениями в горле и другими симптомами.
Нередко за несколько дней до обострения МЭЭ у пациентов активируется герпетическая инфекция — проявляется герпес на губах или возникает рецидив генитального герпеса [8] .
Высыпания, характерные для МЭЭ, обычно начинают появляться через 1-2 дня после начала продромальных явлений. При этом общие симптомы обычно идут на спад.
Локализация сыпи весьма разнообразна. Она может появиться как на коже, так и на слизистых оболочках.
Кожные проявления
На коже обычно отмечаются чётко очерченные округлые красно-розовые пятна и плоские отёчные папулы, которые увеличиваются в размерах от 2-3 мм до 3 см в диаметре. При инфекционно-аллергической форме пятна обычно несколько мельче и не склонны к слиянию. Они могут доставлять зуд и жжение.
Преимущественная локализация высыпаний — на разгибательной стороне рук и ног, тыльной стороне стоп и кистей, на лице и в области гениталий. В основном они располагаются на теле симметрично, часто группами в виде дуг, гирлянд.

По мере роста папулы её центр начинает западать и менять окраску на более синюшную, по периферии остаётся красно-розовый ободок — таким образом элементы сыпи приобретают характерный вид "мишени" (иногда их сравнивают с "бычьим глазом" или "кокардой") [4] .
После в их центре образуются пузыри — везикулы и буллёзные элементы. Они содержат серозный или кровянистый экссудат. Лопаясь, пузыри формируют желтоватые или коричнево-бурые корочки, эрозированные поверхности.
В итоге на теле пациента одновременно присутствуют элементы разной степени развития — пятна, папулы и пузыри, переходящие в корочки и эрозии. Именно поэтому эритема именуется многоформной.
С интервалами в несколько дней могут образовываться новые группы высыпаний. Это может затянуть процесс. Но обычно окончательный регресс наступает приблизительно в течение двух недель.
Частота обострений может варьировать от 1-2 до 5-12 раз в год. В редких тяжёлых случаях одно обострение может переходить в другое, практически без светлого промежутка. За это время предыдущие высыпания полностью не разрешаются.
Высыпания на слизистых оболочках
Могут появляться единичные элементы на слизистой полости рта, который не причиняют особого беспокойства. В более тяжёлых случаях поражения бывают настолько обширными и болезненными. Они затрудняют речь и приём даже однородной и жидкой пищи [12] [13] .
Образующиеся пузыри лопаются довольно быстро, поэтому пациент не успевает их заметить — обычно обнаруживаются уже эрозии, на которых иногда можно увидеть плёнчатые фибринозные налёты светлого или бурого оттенка.

В области красной каймы губ могут возникнуть весьма болезненные, растрескивающиеся кровянистые корки, которые не позволяют больному полноценно открывать рот.
Реже высыпания обнаруживаются на слизистых глаз и половых органов. В осложнённых случаях возможно присоединение вторичной инфекции, образование рубцов и синехий (спаек).
Патогенез многоформной экссудативной эритемы
На современном этапе любая разновидность мультиформной экссудативной эритемы рассматривается как сдвиг адаптации защитных механизмов в сторону гиперчувствительности [4] .
МЭЭ — это смешанная аллергическая реакция, в которой просматриваются особенности, характерные для гиперчувствительности как немедленного, так и замедленного типа. Зачастую у пациента явно прослеживается так называемая общая атопическая предрасположенность — исходно у него могут отмечаться, к примеру, признаки пищевой аллергии, атопический ринит, бронхиальная астма и дерматит.
При герпес-ассоциированной МЭЭ у пациентов резко повышается уровень иммуноглобулинов класса Е (IgE) и снижается продукция иммуноглобулинов класса А (IgA), которые обеспечивают "первую линию" защиты кожи и слизистых оболочек. Также отмечается понижение выработки альфа- и гамма-интерферона и образование циркулирующих иммунных комплексов с вирусом простого герпеса.
Вирус повреждает генетический аппарат не только клеток эпидермиса, но и иммунокомпетентных клеток, изменяет состояние их рецепторов, выработку специфических ферментов и провоспалительных цитокинов. В то же время может наблюдаться Т-клеточный и нейтрофильный иммунодефицит, повышение количества В-лимфоцитов. Всё это нарушает связь между различными звеньями иммунитета, искажает нормальный иммунный ответ, заставляет организм проявлять агрессию к собственным тканям, в данном случае — к клеткам эпидермиса и эндотелия сосудов кожи.
Всё вышеперечисленное приводит к образованию лимфоцитарного инфильтрата вокруг кровеносных сосудов кожи, иногда с признаками геморрагии. В базальном слое эпидермиса развивается внутри- и внеклеточный отёк. Сам слой расслаивается, в нём возникают некротические изменения с образованием толстостенных булл.

Степень тяжести патологических проявлений при герпес-ассоциированной МЭЭ во многом зависит от выраженности имеющихся иммунных сдвигов, которые, в свою очередь, могут являться причиной наличия хронического инфекционного очага в организме.
Классификация и стадии развития многоформной экссудативной эритемы
В зависимости от степени выраженности симптомов [3] [12] выделяют две формы МЭЭ:
- малая — поражений слизистых нет или они очень слабо выражены, почти нет общих симптомов;
- большая — протекает с тяжёлым поражением слизистых оболочек, ярко выраженными общими симптомами.
По первичным элементам сыпи, преобладающим в клинической картине МЭЭ, различают пять форм заболевания:
- эритематозная — ограниченное покраснение кожи;
- папулёзная — появление красноватых плотных узелков;
- эритематозно-папулёзная — образование папул с ярко-красными краями и потемневшим центом;
- везикуло-буллёзная — формирование эритематозных бляшек с пузырьком в центре;
- буллёзная — превращение пузырьков в эрозии, которые покрываются корочками.
Воспалительный процесс в зависимости от гистопатологической картины поражения кожи разделяют на три типа [3] :
- эпидермальное воспаление — нарушается наружный слой кожи;
- дермальное воспаление — изменяется толстый слой кожи под эпидермисом;
- смешанное (эпидермо-дермальное) воспаление.
По степени тяжести МЭЭ может быть лёгкой, средней, среднетяжёлой и тяжёлой. В качестве критериев тяжести рассматривают количество и размер буллёзных элементов, наличие поражений слизистых оболочек полости рта и гениталий, температуру тела. Отдельно выделяют часто рецидивирующую форму.
Общепринятой классификации герпес-ассоциированной МЭЭ в настоящее время не существует. В её развитии, как и в развитии МЭЭ, различают два периода:
- продромальный — период активации вирусного процесса;
- буллёзный — период разгара заболевания.
Осложнения многоформной экссудативной эритемы
Осложнения чаще всего развиваются при тяжёлых формах заболевания, а также у людей, организм которых по различным причинам ослаблен [12] [13] .
При обширных поражениях слизистой полости рта резкая болезненность высыпаний затрудняет нормальный гигиенический уход. Когда во рту изначально присутствовали очаги инфекции, возможно развитие такого осложнения, как фузоспирохетоз. Это стоматологическое заболевание характеризуется образованием толстого желтоватого дурно пахнущего налёта на слизистой полости рта, языке и зубах.
Затруднённый приём пищи при генерализованном поражении слизистой полости рта может приводить к истощению пациента.
При локализации высыпаний на слизистой носа возможно развитие ринита с носовыми кровотечениями.
Эрозии на слизистой половых органов могут заживать с образованием синехий (спаек, сращений).
В 22% случаев через эрозивные дефекты покровов проникает вторичная бактериальная инфекция. Это чревато гнойно-септическими осложнениями, образованием более глубоких поражений, на месте которых в редких случаях могут образовываться рубцы.
Поражение слизистой оболочки глаз может осложняться конъюнктивитом и кератитом (кератоконъюнктивитом) [3] .
К числу редких и наиболее серьёзных осложнений можно также отнести постгерпетическую невралгию, пневмонию, почечную недостаточность.
Диагностика многоформной экссудативной эритемы
Для постановки диагноза "МЭЭ" в типичном случае врачу-дерматологу достаточно характерной клинической картины и данных опроса пациента. Имеют значение сведения о хронических очагах инфекции, недавних рецидивах герпетических высыпаний и провоцирующих факторах.
Лабораторные анализы (например, общий анализ крови) в нетяжёлых случаях могут не показать никаких отклонений. При тяжёлых формах отмечается повышение СОЭ и умеренный лейкоцитоз — небольшое повышение уровня лимфоцитов в крови.
Для уточнения диагноза нужно исключить другие, схожие по симптоматике заболевания — пузырчатку, узловатую эритему, системную красную волчанку, вторичный сифилис и другие. С этой целью выполняют цитологическое исследование мазков-отпечатков, взятых с поверхности высыпаний, а также изучение клеток поражённой ткани под микроскопом.
Наличие герпетической инфекции в организме при необходимости можно подтвердить несколькими способами:
- ПЦР-диагностика на инфекции, передающиеся половым путём;
- серологическое обследование на наличие антител к вирусу простого герпеса;
- оценка иммунного статуса.
Дифференциальную диагностику герпес-ассоциированной МЭЭ необходимо проводить с узловатой и кольцевидной эритемой Дарье, токсидермиями, вторичным сифилисом, системной красной волчанкой, герпетическим стоматитом, болезнью Кавасаки, уртикарным васкулитом, красным плоским лишаем (эрозивной формой).
Лечение многоформной экссудативной эритемы
Основные задачи лечения:
- уменьшить тяжесть общих проявлений и количество высыпаний во время обострений;
- сократить длительность рецидивов;
- предотвратить осложнения;
- в межрецидивный период повысить сопротивляемость организма, сократить частоту рецидивов.
При любой форме МЭЭ используют десенсибилизирующую терапию и антигистаминные (противоаллергические) препараты.
При поражении слизистых оболочек рта и половых органов назначаются орошения и полоскания составами, успокаивающими воспаление и подавляющими инфекцию — "Ротокан", настой ромашки и т. п.
Ускорить очищение эрозий от налётов и некротических тканей помогают местные ферментные препараты. Также применяются кератопластические средства и препараты, способствующие регенерации и ускорению эпителизации повреждений.
Показаниями для госпитализации может послужить тяжёлое течение заболевания, а также неэффективность амбулаторного лечения. В нетяжёлых случаях вполне допустимо лечение в домашних условиях, без особых ограничений.
Изоляции больного не требуется, так как он не представляет опасности для здоровья окружающих. Пациенту рекомендуется гипоаллергенная диета, химически и термически щадящая, гомогенная пища (особенно при высыпаниях на слизистой рта), пить достаточное количество воды.
Лечение герпес-ассоциированной МЭЭ
Тактика лечения при герпес-ассоциированной МЭЭ зависит от степени выраженности тех или иных симптомов, стадии развития процесса, частоты и тяжести обострений [3] [4] . Например, если рецидивы возникают часто, высыпания обильны и им характерны некротические изменения, то нередко применяются глюкокортикоиды [14] .
Когда в возникновении заболевания очевидна роль герпесвируса, показан приём синтетических ациклических нуклеозидов — ацикловир, валацикловир [14] , фамцикловир.
В случае торпидного (вялого) течения герпес-ассоциированной МЭЭ рекомендовано профилактическое, противорецидивное и превентивное (предупреждающее) лечение. Для этого длительными курсами применяют препараты, содержащие ацикловир.
Применение антибиотиков в лечении герпес-ассоциированной МЭЭ оправдано лишь при наличии признаков вторичной бактериальной инфекции — нарастание интоксикации и появление гнойного отделяемого.
Чтобы предупредить присоединение вторичной инфекции, эрозированные участки и пузыри обрабатывают растворами антисептиков, например, фукорцином, фурацилином или хлоргексидином.
Прогноз. Профилактика
В большинстве случаев МЭЭ прогноз для жизни и здоровья благоприятный, за исключением редких особо тяжёлых форм болезни у людей с пониженной резистентностью организма.
Рубцы при заживлении повреждений не образуются, за редким исключением. Иногда на месте бывших элементов сыпи изменяется окрас кожи.
Рецидивировать МЭЭ может приблизительно в 30 % случаев. Особое внимание следует уделять тяжёлым поражениям слизистой оболочки и бактериальной суперинфекции [15] .
В качестве первичной профилактики рекомендуется минимизировать риск заражения герпетической инфекцией:
- соблюдать нормы личной гигиены;
- избегать случайных половых связей;
- практиковать защищённый секс.
Чтобы сохранить сопротивляемость организма инфекциям в норме, нужно рационально питаться, соблюдать оптимальный режим труда и отдыха, полноценно спать, регулярно закаляться, отказаться от вредных пристрастий.
Меры неспецифической вторичной профилактики формируются с учётом возможных триггерных факторов. Целесообразно обратить внимание на следующие моменты:
- регулярное прохождение профилактических осмотров и своевременная санация (очищение) хронических очагов инфекции, при ассоциации с герпесвирусной инфекцией — противовирусная терапия;
- защита от избыточного облучения солнечным светом и ультрафиолетового облучения;
- уменьшение вероятности переохлаждения;
- исключение стрессовых воздействий и т. п.
Для предупреждения рецидивов герпес-ассоциированной МЭЭ применяется герпетическая поливакцина, которая вводится по особой схеме. Её эффективность достигает более 70 %: она в 2-4 раза уменьшает частоту рецидивов.
Сокращению числа рецидивов также способствует длительный превентивный приём синтетических ациклических нуклеозидов, препаратов интерферона [6] , его индукторов и целого ряда неспецифических иммуномодуляторов [9] .
Читайте также:
