Хронический аппендицит. Кисты червеобразного отростка
Добавил пользователь Владимир З. Обновлено: 22.11.2025
Мукоцеле червеобразного отростка – это кистозное расширение просвета аппендикса, вызванное избыточным скоплением в нем слизи. Мукоцеле встречается в 0,2–0,3% случаев всех аппендэктомий. Патогенез до конца не изучен. Одни авторы считают, что мукоцеле аппендикса может возникнуть при хроническом воспалении отростка с рубцовым сужением, сдавлением или закупоркой его основания. При этом происходит нарушение оттока слизи, в то время как секреторная функция эпителия слизистой̆ оболочки червеобразного отростка сохраняется. Другие полагают, что мукоцеле развивается из остатков примитивной̆ мезенхимы и относится к доброкачественным опухолям, иногда склонным к озлокачествлению. В литературе описывается четыре гистологических типа: простое мукоцеле, или ретенционная киста, характеризующаяся дегенеративными эпителиальными изменениями вследствие обструкции аппендикса. Гиперплазия слизистой оболочки без клеточной атипии, при этом гистологическая картина неотличима от гиперпластических полипов толстой кишки. Слизистая цистаденома. Слизистая цистаденокарцинома. Наиболее грозным осложнением мукоцеле является псевдомиксома брюшины, характеризующееся диссеминацией по брюшной полости содержимого червеобразного отростка. Симптоматика мукоцеле неспецифична. Как правило заболевание протекает бессимптомно и является случайной находкой во время операции или обследования по поводу других хронических заболеваний. В 20–30% случаев пациенты поступают с симптомами острого аппендицита. Приводим клиническое наблюдение успешного лечения мукоцеле червеобразного отростка пациентки, поступившей с клиникой острого аппендицита.

1. Колганова И.П., Бурякина С.А., Кармазановский Г.Г. Компьютерно-томографическая семиотика мукоцеле червеобразного отростка (клиническое наблюдение) // Медицинская визуализация. 2013; 4: 67–74.
2. Лубашев Я.А., Курлович М.В., Буковская Ю.В. Мукоцеле аппендикса – редкая патология, о которой нужно помнить: обзор литературы и собственное клиническое наблюдение // Радиология - Практика. 2013; 6: 51–59.
4. Сидорова Е.Е., Пугачева О.Г., Степанова Ю.А. и др. Мукоцеле аппендикса. Обзор литературы и описание собственного клинического наблюдения // Медицинская визуализация. 2008; 1: 72–76.
6. Gillion J.F., Franco D., Chapuis O. et al. Appendiceal mucoceles, pseudomyxoma peritonei and appendiceal mucinous neoplasms: update on the contribution of imaging to choice of surgical approach // J. Chir. 2009; 146 (2): 150–166.
7. Ruiz-Tovar J., Teruel D.G., Castiсeiras V.M. et al. Mucocele of the appendix // Wld. J. Surg. 2007; 31 (3): 542–550.
8. Sturnilo G., Barbuscia M., Taranto F. et al. Musocele of the appendix. Two case reports // G. Chir. 2011; 32 (11/12): 487–490.
9. Stocchi L., Wolff B.G., Larson D.R. et al. Surgical treatment of appendiceal mucocele // Arch. Surg. 2003; 138 (6): 585–589.
10. Filho J.G.A., Lira E.F. et al. Mucocele of the appendix - appendectomy or colectomy? // Rev. bras. Coloproct. 2011; 31 (3): 276–284.
Мукоцеле червеобразного отростка (mucocele; от лат. мucus – слизь и греч. kele – опухоль) – это кистозное расширение просвета аппендикса, вызванное избыточным скоплением в нем слизи.
Мукоцеле встречается в 0,2–0,3% случаев всех аппендэктомии? [1, 2, 3, 4, 5, 7, 9, 10].
Мукоцеле червеобразного отростка впервые было описано австрии?ским патологом K. Rokitansky в 1842 г. как водянка червеобразного отростка. Официальное название “мукоцеле червеобразного отростка” было дано G. Fere в 1877 г. В дальнеи?шем информация о данном патологическом состоянии была дополнена R. Virchow (1863) и в 1973 г. оно детально описано A. Aho и соавт. [1, 2]
Патогенез мукоцеле до конца не изучен. Одни авторы считают, что мукоцеле аппендикса может возникнуть при хроническом воспалении отростка с рубцовым сужением, сдавлением или закупоркой его основания. При этом происходит нарушение оттока слизи, в то время как секреторная функция эпителия слизистой? оболочки червеобразного отростка сохраняется. Другие полагают, что мукоцеле развивается из остатков примитивной? мезенхимы и относится к доброкачественным опухолям, иногда склонным к озлокачествлению [1, 2, 4].
В литературе [1, 2, 4, 7, 9, 10] описывается четыре гистологических типа:
1. Простое мукоцеле, или ретенционная киста, характеризующаяся дегенеративными эпителиальными изменениями вследствие обструкции аппендикса.
2. Гиперплазия слизистой оболочки без клеточной атипии, при этом гистологическая картина неотличима от гиперпластических полипов толстой кишки.
3. Слизистая цистаденома.
4) Слизистая цистаденокарцинома.
Редким осложнением мукоцеле является кишечная непроходимость, возникающая в том числе вследствие инвагинации (до 1992 г. японскими авторами было описано 24 случая инвагинации на фоне мукоцеле) [4].
Наиболее грозным осложнением мукоцеле является псевдомиксома брюшины, характеризующееся диссеминацией по брюшной полости содержимого червеобразного отростка при спонтанной или ятрогенной его перфорации [1, 2, 4, 5, 6, 10]. Если псевдомиксоматоз брюшины развивается вследствие муцинознои? цистаденокарциномы аппендикса, то 5 летняя выживаемость составляет всего 20% [1, 6].
Симптоматика мукоцеле неспецифична. Как правило, заболевание протекает бессимптомно и является случайной находкой во время операции или обследования по поводу других хронических заболевании? [1, 2, 3, 5, 7, 8, 9].
Из инструментальных методов диагностики следует отдавать предпочтение УЗС и компьютерной томографии.
По данным ультразвука мукоцеле выглядит как кистозное, осумкованное образование овальной формы, интимно прилежащее к слепой кишке. В зависимости от плотности слизи внутри образования параметры эхосигнала могут быть различными, но типичным является снижение эхосигнала от внутренней структуры [4,5]. Компьютерная томография является идеальным методом диагностики, так как позволяет точно оценить взаимоотношение стенки аппендикса и мукоцеле, специфичность метода составляет 95% [1,4,5]. Во время исследования выявляется гиподенсивное образования с тонкой капсулой, гладкими стенками сообщающееся со слепой кишкой.
В 20–30% случаев пациенты поступают с симптомами острого аппендицита [1, 2, 8].
Пациентка Ш., 61 г. поступила в Иркутскую Государственную «Ордена Знак почета» областную клиническую больницу через 12 часов от начала заболевания с жалобами на боли в правой подвздошной области, тошноту, рвоту. Боли начались в эпигастрии затем локализовались в правой подвздошной области.
При поступлении состояние удовлетворительное. Язык влажный, обложен серым налетом. Живот увеличен в размерах за счет подкожной жировой клетчатки. Передняя брюшная стенка участвует в акте дыхания. Мягкий, болезненный в правой подвздошной области, где отмечается напряжение мышц передней брюшной стенки и положительные симптомы раздражения брюшины. В общем анализе крови выявлен лейкоцитоз до 14 тысяч клеток со сдвигом лейкоцитарной формулы влево (палочкоядерных нейтрофилов 8%, сегментоядерных – 80%). Другие лабораторные показатели оказались в пределах нормы.
С диагнозом «острый аппендицит» пациентка доставлена в операционную для проведения лапароскопической аппендэктомии.
Под эндотрахеальным наркозом через пупочное кольцо введен 5 мм порт. Создан карбоксиперитонеум до 12 мм рт ст. При обзорной лапароскопии с применением 45 градусной 5 мм оптики выпота в брюшной полости не выявлено. Дополнительно введен 5 мм троакар в правом подреберье. В подвздошной ямке обнаружен кистозно измененный червеобразный отросток размерами 12 на 4 см. Подвижный. Серозный покров блестящий, фибрина нет. Основание до 5 мм. Регионарной лимфаденопатии не выявлено. Над лоном установлен 10 мм порт. Электрохирургическим путем с применением биполярной коагуляции, аппендикулярная артерия выделена прицельно таким образом, что вся жировая клетчатка вместе с возможными лимфатическими узлами была удалена с червеобразным отростком. Артерия прицельно коагулирована и клиппирована. На основание червеобразного отростка наложено три клипсы. Отросток пересечен с оставлением двух клипс на культе. Слизистая прицельно коагулирована биполярными щипцами. Препарат помещен в полиэтиленовый контейнер, эвакуирован через расширенный гипогастральный доступ. Послойное ушивание ран после инспекции брюшной полости и десуфляции.
Аппендикс оказался неповрежденным (Рис. 1). Вскрыт. В просвете студенистая масса мутная, желто-белого цвета. Стенка истончена до 2 мм. (Рис. 2).
Гистологическое заключение: червеобразный отросток в виде вскрытой полости 12×8 см, заполненной желеобразным содержимым, гистологически картина мукоцеле.
Гладкое течение послеоперационного периода. Выписана на третьи сутки после операции. Осмотрена на седьмые сутки. Жалоб нет. Удалены швы.
Таким образом, клиническая картина заболевания не противоречила диагнозу острого аппендицита. Первичный осмотр пациентки не вызывал сомнения в диагнозе, что не потребовало каких либо инструментальных методов диагностики для его подтверждения. Болевой синдром вероятнее всего был обусловлен увеличением внутрипросветного давления и как следствие этого перерастяжением стенки червеобразного отростка. Был избран наиболее оптимальный вариант аппендэктомии для пациентки с избыточной массой тела. Маневр с помещением червеобразного отростка в полиэтиленовый контейнер профилактировал контаминацию брюшины в случае непредвиденного его разрыва при извлечении.

Рисунок 1. Удаленный неповрежденный червеобразный отросток размерами 12×4 см.

Рисунок 2. Вскрыта полость аппендикса, которая представлена желатиноподобной массой. Стенка отростка истончена до 2 мм.
Хронический аппендицит. Кисты червеобразного отростка
ФГАОУ ВО «Первый Московский государственный медицинский университет им. И.М. Сеченова» Минздрава России, Москва, Россия
ФГАОУ ВО «Первый Московский государственный медицинский университет им. И.М. Сеченова» Минздрава России, Москва, Россия
Кафедра факультетской хирургии №1 ФГАОУ ВО «Первый МГМУ им. И.М. Сеченова» Минздрава России, Москва, Россия
Кафедра патологической анатомии им. А.И. Струкова Первого Московского государственного медицинского университета им. И.М. Сеченова Минздрава России, Москва, Россия
Отделение лучевой диагностики университетской клинической больницы №2 Первого Московского государственного медицинского университета им. И.М. Сеченова Минздрава России, Москва, Россия
Кафедра факультетской хирургии №1 Первого Московского государственного медицинского университета им. И.М. Сеченова Минздрава России, Москва, Россия
ФГАОУ ВО «Первый Московский государственный медицинский университет им. И.М. Сеченова» Минздрава России, Москва, Россия
Лапароскопическая аппендэктомия при муцинозной цистаденоме червеобразного отростка
Журнал: Хирургия. Журнал им. Н.И. Пирогова. 2019;(4): 61‑65
ФГАОУ ВО «Первый Московский государственный медицинский университет им. И.М. Сеченова» Минздрава России, Москва, Россия
Лечение острого и хронического аппендицита по-прежнему является актуальной и дискутабельной проблемой. В ряде случаев, помимо известных и описанных осложнений этого распространенного заболевания, в клинической практике можно столкнуться с более редкими вариантами течения патологического процесса. Одной из наиболее редких форм течения хронического воспалительного процесса червеобразного отростка является мукоцеле. Более чем в 25% наблюдений мукоцеле червеобразного отростка протекает бессимптомно и случайно выявляется при диагностике. Самое грозное осложнение мукоцеле — его малигнизация, возникающая в 3—36% случаев. Методами выбора при диагностике мукоцеле червеобразного отростка являются предоперационное УЗИ, мультиспиральная компьютерная томография и предоперационная колоноскопия. Стертая клиническая симптоматика, несвоевременная диагностика и хирургическое лечение этого заболевания повышают риск развития осложнений, в том числе наиболее грозного — цистаденокарциномы.
ФГАОУ ВО «Первый Московский государственный медицинский университет им. И.М. Сеченова» Минздрава России, Москва, Россия
ФГАОУ ВО «Первый Московский государственный медицинский университет им. И.М. Сеченова» Минздрава России, Москва, Россия
Кафедра факультетской хирургии №1 ФГАОУ ВО «Первый МГМУ им. И.М. Сеченова» Минздрава России, Москва, Россия
Кафедра патологической анатомии им. А.И. Струкова Первого Московского государственного медицинского университета им. И.М. Сеченова Минздрава России, Москва, Россия
Отделение лучевой диагностики университетской клинической больницы №2 Первого Московского государственного медицинского университета им. И.М. Сеченова Минздрава России, Москва, Россия
Кафедра факультетской хирургии №1 Первого Московского государственного медицинского университета им. И.М. Сеченова Минздрава России, Москва, Россия
ФГАОУ ВО «Первый Московский государственный медицинский университет им. И.М. Сеченова» Минздрава России, Москва, Россия
Лечение острого и хронического аппендицита по-прежнему является актуальной и дискутабельной проблемой, особенно в свете увеличения приверженцев консервативного лечения неосложненных форм заболевания. В то же время частота рецидивирующего хронического воспаления в червеобразном отростке после перенесенного острого аппендицита, по данным [1—3], составляет 3—34%. В ряде случаев, помимо известных и описанных проявлений этого заболевания, в клинической практике можно столкнуться с редкими и тяжелыми осложнениями, угрожающими жизни больных.
Мукоцеле червеобразного отростка — редкое заболевание, описанное впервые С. Rokitansky в 1842 г., диагностируется в 0,2—0,3% всех оперативных вмешательств по поводу острого или хронического аппендицита, заключается в накоплении слизистого секрета в просвете аппендикса и дальнейшем кистозном расширении его просвета [1, 4, 5]. Самым грозным осложнением мукоцеле является его малигнизация, возникающая, по данным [5—7], в 3—36% случаев. Больные с отсевами по листкам брюшины атипичных эпителиальных клеток мукоцеле аппендикса погибают в течение 1—2 лет [8]. Гендерная предрасположенность данного заболевания выявлена у женщин. Так, S. Yakan [9] на примере более чем 2000 наблюдений утверждает, что мукоцеле аппендикса в 4 раза чаще диагностировали у женщин. Согласно S. Kim [10], соотношение женщин и мужчин составляет 7:1. По мнению большинства авторов, основной причиной нарушения оттока слизистого секрета из просвета отростка является хроническое воспаление, приводящее к обструкции его просвета. Застой содержимого в просвете червеобразного отростка приводит к гиперплазии слизистой оболочки, а в дальнейшем — к дегенерации и атипии клеток эпителия и гиперпродукции секрета железами аппендикса. Лишь немногие специалисты придерживаются мнения, что мукоцеле является самостоятельной опухолью червеобразного отростка. Так, P. Pickhardt и соавт. [11] утверждают, что мукоцеле — это самостоятельная опухоль, развивающаяся из мезенхимальных клеток. Наиболее распространенная морфологическая классификация мукоцеле червеобразного отростка отражает этапность изменения эпителия слизистой оболочки аппендикса под воздействием хронического воспаления и травмы, вызванных застоем слизистого секрета в просвете отростка и обычно включает 4 морфологических типа: 1 — ретенционная киста червеобразного отростка; 2 — гиперплазия слизистой оболочки; 3 — муцинозная цистаденома; 4 — муцинозная цистаденокарцинома (стромальная инвазия или имплантация атипичного эпителия червеобразного отростка на листки брюшины) [7].
В англоязычной литературе цистаденокарцинома аппендикса определяется термином «псевдомиксома», а распространение на листки брюшины именуется миксоматозной диссеминацией. Более чем в 25% наблюдений мукоцеле червеобразного отростка протекает беcсимптомно и является случайной диагностической находкой, но в остальных случаях заболевание сопровождается хронической абдоминальной болью и хроническим аппендицитом, реже — острым аппендицитом [6, 9]. М. Husain и соавт. [12], C. Van Rossem и соавт. [13] и ряд других авторов относят мукоцеле червеобразного отростка к достоверным признакам хронического аппендицита. Методами выбора при диагностике мукоцеле червеобразного отростка являются предоперационное УЗИ, МСКТ и колоноскопия.
Учитывая редкость данного заболевания, приводим описание собственного клинического наблюдения.

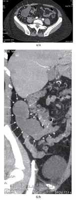
В клинике факультетской хирургии им. Н.Н. Бурденко находилась на обследовании и хирургическом лечении пациентка А., 42 лет, с жалобами на постоянную тянущую боль в правой подвздошной области. Из анамнеза известно, что в течение 4 лет периодически возникали приступы интенсивной боли в правой подвздошной области, в связи с чем неоднократно была госпитализирована в лечебные учреждения по месту жительства, где при обследовании диагностировали хронический аппендицит и проводили консервативную терапию. Последнее ухудшение самочувствия отметила в течение последнего месяца, когда вновь появилась приступообразная боль в правой подвздошной области, что послужило причиной обращения в поликлинику по месту жительства. При УЗИ органов брюшной полости в за брюшинном, субренальном, паракавальном пространствах определено многокамерное жидкостное с хлопьевидным содержимым образование размером 100×38×40 мм, органная принадлежность которого была неясна. Пациентку госпитализировали в нашу клинику, при осмотре живот правильной формы, не вздут, равномерно участвует в акте дыхания всеми отделами, при пальпации мягкий, умеренно болезненный в правой подвздошной области, где при глубокой пальпации определяется объемное образование размером до 15 см. Перитонеальных симптомов нет. Стул регулярный, оформленный, без патологических примесей. Температура тела нормальная, лабораторные показатели в пределах референсных значений. МСКТ органов брюшной полости с внутривенным контрастированием: в области червеобразного отростка, прилегая к куполу слепой кишки, определяется объемное образование с четкими контурами, жидкостной плотности, размером 120×47×43 мм, не накапливающее контрастный препарат (рис. 1, а, Рис. 1. Компьютерная томограмма пациентки А. с цистаденомой червеобразного отростка (указана стрелками). а — сагиттальный срез; б — фронтальный срез. б). Окружающая клетчатка не инфильтрирована, перифокально жидкостные скопления не определяются. Лимфаденопатии на уровнях сканирования не выявлено. На основании анамнеза и результатов проведенного обследования поставлен предварительный диагноз: мукоцеле червеобразного отростка.
Выполнена диагностическая лапароскопия, при которой выявлен червеобразный отросток, увеличенный в размере до 15×5 см, интимно спаянный с восходящей ободочной кишкой. При пальпации инструментом напряжен, стенка отростка и прилежащие ткани отечны, гиперемированы, отек распространяется на купол слепой кишки и брыжейку аппендикса. С помощью монополярной коагуляции и гармонических ножниц прецизионно мобилизован червеобразный отросток без нарушения целостности его стенки (неотъемлемое требование этой операции). Далее выполнена лапароскопическая аппендэктомия с резекцией купола слепой кишки с помощью линейного сшивающего аппарата.
Макропрепарат: кистозно-расширенный и деформированный червеобразный отросток, размером 15×5 см, полностью заполнен желеобразным слизистым содержимым, слизистая аппендикса отечна и гипертрофирована (рис. 2, а, Рис. 2. Фотографии макропрепарата: цистаденома червеобразного отростка заполнена муцином. а — целый макропрепарат; б — макропрепарат после вскрытия просвета цистаденомы червеообразного отростка. б). Патоморфологическое исследование с окраской гематоксилином и эозином, альциановым синим. На микрофотографиях (рис. 3, а—в) Рис. 3. Микрофотограмма гистологического препарата. а — стенки муцинозной цистаденомы выстланы клетками цилиндрического эпителия, продуцирующего слизь. В подлежащих отделах очаговая лимфоидная инфильтрация (лимфоидные фолликулы). Окраска гематоксилином и эозином, ×100; б — эпителиоциты, продуцирующие слизь, а также скопление слизи в просвете окрашены в ярко-голубой цвет. Окраска альциановым синим, ×100; в — в эпителии большое количество бокаловидных клеток, в просвете скопление муцина. Окраска гематоксилином и эозином, ×400. представлена стенка аппендикса, выстланная клетками цилиндрического эпителия, местами с большим количеством бокаловидных клеток. В расширенном просвете скопление муцина. В подлежащих отделах лимфоидная инфильтрация очагового и диффузного характера. Согласно общеизвестным мировым данным представленная морфологическая картина соответствует муцинозной цистаденоме червеобразного отростка [14, 15], что подтверждает адекватность выбранной тактики и объема хирургического лечения.
Послеоперационный период протекал без осложнений и на 4-е сутки в удовлетворительном состоянии пациентка выписана под наблюдение хирурга по месту жительства.
Таким образом, приведенное клиническое наблюдение еще раз подтверждает патогенетический механизм развития мукоцеле червеобразного отростка на фоне хронического воспаления. Стертая клиническая симптоматика, несвоевременные диагностика и хирургическое лечение этого заболевания повышают риск развития осложнений, в том числе наиболее грозного — цистаденокарциномы.
Хронический аппендицит. Кисты червеобразного отростка
Хронический аппендицит. Кисты червеобразного отростка
Термином «хронический аппендицит» обозначается заболевание с определенной клинической картиной, в основе которого лежат первичные или вторичные хронические воспалительные изменения в червеобразном отростке неспецифического характера. Существуют три основные клинические формы хронического аппендицита. Резидуальный, или остаточный, аппендицит возникает в результате обратного развития острого аппендицита. При этой форме в стенке червеобразного отростка могут быть обнаружены очаговые или диффузные морфологические признаки хронического воспаления. Хронический рецидивирующий аппендицит протекает с периодическими обострениями и ремиссиями. Его появлению обычно предшествуют повторные приступы острого аппендицита. Эти формы имеют большое сходство, носят вторичный характер и нередко объединяются под названием хронического рецидивирующего аппендицита. В тех случаях, когда болезнь характеризуется постепенным бесприступным началом и течением, говорит о первично-хроническом аппендиците.
Клиника хронического аппендицита подвержена большой изменчивости и полиморфизму. Нередко резидиуальный хронический аппендицит протекает с симптомами, напоминающими вялотекущую форму острого воспаления червеобразного отростка. Чаще всего больные жалуются на боли в правой подвздошной области или правой половине живота постоянного или приступообразного характера. В ряде случаев отмечается иррадиация болей в поясницу, паховую область, мочевой пузырь, правое бедро, что объясняется различной локализацией червеобразного отростка и наличием адгезивного периаппендицита. Ходьба, бег, физическая нагрузка, повышение внутрибрюшного давления при кашле, чиханье, дефекации часто способствуют усилению болей или провоцируют их. Некоторые больные отмечают связь болей с погрешностями в диете. Отмечаются также различные расстройства со стороны желудочно-кишечного тракта (тошнота, рвота, запор, реже понос).
Во время объективного исследования нередко удается отметить болезненность в правой подвздошной области при глубокой пальпации, а также положительные симптомы Ситковского и Ровзинга. В крови и моче у большинства больных патологических изменений не наблюдается. Температура тела сохраняется в пределах нормы.

Диагностика хронического аппендицита не всегда является легкой. Это связано с отсутствием патогномоинчных признаков, позволяющих отличить последний от других сходных заболеваний органов брюшной полости. Решение задачи облегчается при наличии одного или нескольких приступов острого аппендицита в анамнезе. Определенную ясность в диагностику могут внести рентгенологическое исследование илеоцекального угла после приема бария через рот и ирригоскопия. Длительный застой контрастного вещества в червеобразном отростке, выраженная его деформация, а также ограниченное заполнение указывают на хронический аппендицит. Дифференциальная диагностика проводится для исключения подвижной слепой кишки, язвенной болезни желудка и двенадцатиперстной кишки, хронического холецистита, почечнокаменной болезни, пиелита, глистной инвазии, неспецифического мезеитериального лимфаденита, а у женщин — и хронического аднексита. Только последовательное, целенаправленное исключение этих заболеваний дает возможность обосновать диагноз хронического аппендицита.
Лечение заключается в удалении червеобразного отростка. Операция принципиально не отличается от аппендэктомниипри остром воспалении. Послеоперационные осложнения наблюдаются редко. К ним относятся нагноения послеоперационной раны (1—3%), пневмонии, тромбофлебиты, иногда местные и разлитые перитониты. Летальность после аппендэктомнн при хроническом аппендиците менее 0,05%. Хорошие отдаленные результаты отмечаются в 65—90% случаев.
Кисты червеобразного отростка
Кисты проявляются образованием в стенке и просвете аппендикса полостей различного диаметра, чаще округлой или яйцевидной формы, наполненных слизеподобным или желеобразным содержимым. Различают доброкачественные и злокачественные кисты. Первые возникают главным образом в результате полной или частичной закупорки просвета проксимальной части червеобразного отростка различными интра- и экстраорганными образованиями (гиперплазированная слизистая оболочка, фиброзные тяжи, инородные тела и др.). В связи с этим секрет слизистой оболочки отростка, не находя выхода в слепую кишку, постепенно собирается в замкнутом пространстве, вызывая формирование мукоцеле. которые, по мнению ряда исследователей, не относятся к истинным опухолям. В отличие от них злокачественные мукоцеле встречаются реже и являются высокоднфференцированным раком (чаще папиллярной аденокарциномой) червеобразного отростка. По сравнению с раком аппендикса так называемого толстокишечного типа, описанным ниже, злокачественные мукоцеле редко дают лимфогенные и гематогенные метастазы и считаются более благоприятными в прогностическом отношении.
Мукоцеле червеобразного отростка могут приводить к тяжелым осложнениям, из которых особое место занимают перфорации кист в свободную брюшную полость с развитием нсевдомиксомы брюшины. Последняя характеризуется скоплением желеобразных нлн слизистых масс в различных отделах брюшной полости. Клетки, вырабатывающие слизь, прочно имплантируются на поверхности брюшины, продуцируя большое количество слизи и вызывая ее хроническое воспаление. Прогноз при псевдомиксоме брюшины неблагоприятный. Большинство современных исследователей считают ее злокачественным процессом.
Лечение слизистых кист червеобразного отростка, включая злокачественные мукоцеле, хирургическое и заключается в аппендэктомии.
Информация на сайте подлежит консультации лечащим врачом и не заменяет очной консультации с ним.
См. подробнее в пользовательском соглашении.
Гигантское мукоцеле червеобразного отростка

Лидер продаж в высоком классе. Монитор 21,5" высокой четкости, расширенный кардио пакет (Strain+, Stress Echo), экспертные возможности для 3D УЗИ в акушерско-гинекологической практике (STIC, Crystal Vue, 5D Follicle), датчики высокой плотности.
Мукоцеле - киста червеобразного отростка, содержащая слизь различной консистенции - от желеподобной массы до водянистой жидкости, которую в этом случае расценивают как водянку отростка, является своеобразным редким новообразованием червеобразного отростка и, по данным разных авторов, встречается в 0,02-0,5% всех аппендэктомий [3, 6, 9]. Патогенез развития мукоцеле до настоящего времени неясен. Большинство авторов полагают, что причиной формирования мукоидной кисты является хроническое воспаление отростка с рубцовым сужением основания аппендикса, облитерацией, сдавлением или закупоркой его просвета [4]. При этом происходит нарушение оттока слизи при сохраненной секреторной функции эпителия слизистой оболочки отростка. Другие полагают, что кисты и дивертикулы могут быть врожденными или приобретенными, при этом последние обычно представляют собой грыжеподобное выпячивание слизистой оболочки через отверстие между мышечными волокнами в результате разрушения стенки отростка при остром аппендиците [8]. И, наконец, согласно номенклатуре опухолей Международного противоракового союза (1965) мукоцеле развивается из остатков примитивной мезенхимы и относится к доброкачественным опухолям, иногда склонным к озлокачествлению.
Различают полные кисты, которые занимают весь просвет отростка, за исключением основания, где облитерирован просвет, и неполные, при этом киста располагается интрамурально или занимает часть просвета [3]. Кисты размером до 3 см считаются малыми, до 6 см - средними и более 9 см - гигантскими [3]. В литературе встречаются следующие названия данного патологического состояния: миксома червеобразного отростка, слизистая киста, мукоцеле, миксоглобулёз.
Осложнения мукоидных кист - воспалительные (перитонит), механического характера (заворот или перекручивание отростка, непроходимость кишечника), озлокачествление, прорыв слизистых масс в брюшную полость с имплантацией и распространением слизеобразующих клеток по брюшине, массивным обсеменением брюшной полости и образованием псевдомиксоматоза, имеющего злокачественное течение. Больные с псевдомиксоматозом погибают в течение 1-2 лет [4, 7]. При ретроцекальном расположении червеобразного отростка с развитием мукоцеле возможно распространение процесса по типу псевдомиксоматоза в забрюшинное пространство с образованием наружных свищей [1]. Описаны случаи грибкового поражения (криптококкоза) мукоцеле аппендикса [10].
Приводим собственное наблюдение гигантской миксомы червеобразного отростка, принятой за новообразование брюшной полости. При этом обращаем особое внимание на изображение миксомы аппендикса, полученного с помощью различных методов лучевой диагностики, которых в доступной литературе мы не встретили.
Больной К., 1936 г.р., поступил в абдоминальное отделение МРНЦ РАМН с предварительным диагнозом "новообразование брюшной полости". Жалоб нет, живот мягкий, симметричный. При пальпации в правой подвздошной области определяется объёмное образование диаметром до 10 см. Рентгенография органов грудной клетки - очаговых изменений не выявлено. Экскреторная урография: почки - без патологических образований, мочеточники расположены обычно, не расширены, мочевой пузырь правильной формы, с четкими контурами. Во время ирригоскопии патологических изменений в толстом кишечнике не выявлено.
Компьютерная томография органов брюшной полости до и после внутривенного введения 40 мл ультрависта: в правой подвздошной области определяется образование неправильной формы размером 12,4 х 5,9 см с ровными контурами, плотностью 33-35 ед, без изменения после введения контрастного вещества (рис. 1). Структура образования неоднородная, с наличием точечных и тяжистых включений, прослеживается тонкая капсула, местами утолщенная и уплотненная, с наличием кальцинации по задней стенке. Верхний полюс образования располагается в илеоцекальном углу, спереди оно прилежит к передней брюшной стенке, медиально - к сигмовидной кишке, сзади - к m.iliacus и правым общим подвздошным сосудам, внизу - спускается в виде ножки в малый таз, плотно прилегая к стенке прямой кишки и мочевого пузыря. Признаков поражения указанных органов не выявлено. Образование подвижно, при сравнении с данными ранее проведенного КТ-исследования отмечается изменение формы и положения. Увеличенных лимфатических узлов в подвздошной области и забрюшинно не выявлено.

Рис. 1. Мукоцеле червеобразного отростка. Компьютерная томограмма.
При ультразвуковом исследовании в правой подвздошной области определяется образование Г-образной формы с четкими контурами, размером 12,7 х 6,4 х 5,9 см, подвижное, в начале исследования образование располагалось поперечно, в конце исследования переместилось вверх и расположилось вдоль восходящего отдела толстого кишечника и начальной трети поперечно-ободочной кишки. Структура образования неоднородная за счет правильного чередования зон повышенной и пониженной эхогенности толщиной 2-6 мм. Отчетливо определяются симптомы дорзального усиления звука и латеральные акустические тени (рис. 2). Свободной жидкости в брюшной полости, патологически увеличенных лимфатических узлов не выявлено. Печень, почки - без очаговых изменений. Заключение: кистозное образование брюшной полости.

Рис. 2. Мукоцеле червеобразного отростка. Эхограммы правой подвздошной области в продольной и поперечной плоскостях.
При оперативном вмешательстве в правой подвздошной области выявлено мобильное образование величиной 14x8x6 см, тесно прилежащее к стенке слепой кишки. Патологических изменений в печени и лимфатических узлах не выявлено, выполнена типичная аппендэктомия.
Макропрепарат: аппендикс длиной 14 см с кистевидным расширением до 8 см на протяжении 11 см и наличием желеобразного содержимого. Толщина стенки на разных участках от 0,3 до 0,6 см (рис. 3).

Рис. 3. Мукоцеле червеобразного отростка.
Макропрепарат: а - слизистое содержимое кисты; б - стенка кисты.
Гистологическое исследование: слизистая киста (мукоцеле). Стенка кисты представлена фиброзной тканью, замещающей все слои стенки аппендикса, с очаговыми лимфоцитарными инфильтратами. Просвет заполнен слизью, окрашивающейся муцикармином в розоватый цвет. На большем протяжении выстилка отсутствует, только на небольшом участке в основании кисты обнаружена стенка, выстланная кубическим и цилиндрическим слизеобразующим эпителием, а также с наличием слизеобразующих клеток среди слизи (рис. 4).

Рис. 4. Участок стенки кисты аппендикса у его основания с наличием выстилки из кубического и цилиндрического слизеобразующего эпителия со слизеобразующими клетками в просвете кисты среди слизи. Увеличение х 280.
Послеоперационное течение гладкое. При контрольном ультразвуковом исследовании через 1 год патологических изменений в области расположения червеобразного отростка и слепой кишки не выявлено.
Литература
- Владимирцева А.Л., Чатталос М.Г., Полетаев В.А. Псевдомиксома ретроцекально расположенного червеобразного отростка с прорастанием в забрюшинное пространство и наружными свищами // Архив патологии. - 1989. - т. 51. - N9. - С. 74-76.
- Дмитриевский В.Н. Киста червеобразного отростка, имитировавшая забрюшинную опухоль // Вестник хирургии. - 1981. - N2. - С. 83-84.
- Имнаишвили Б.Е., Коркелия А.А., Джвебенава А.Г. Гигантское мукоцеле червеобразного отростка // Хирургия. - 1973. - N1. - С. 133-138.
- Коренев Н.Н., Кашеренков В.Ф. Миксома червеобразного отростка // Хирургия. - 1975. - N7. -С. 105-106.
- Кохнюк В.Т. Мукоцеле червеобразного отростка // Вопросы онкологии. - 1988. - N1. - С. 87-88.
- Кузьмин В.И., Яшин Н.П., Егорова Т.М. Миксома ретроцекально расположенного червеобразного отростка // Хирургия. - 1985. - N3. - С. 117-118.
- Марков С.Н. Мукоцеле червеобразного отростка в связи с его перекрутом // Хирургия. - 1980. - N7. - С. 92.
- Русаков А.А. Руководство по хирургии. - М.: Медицина. - 1960. - т. 7. - С. 465.
- Тажимаметов Б.Т., Ибрагимов Р.И., Утаев Б.А. Ущемление миксомы червеобразного отростка в пупочной грыже // Хирургия. - 1989. - N2. - С. 124-125.
- Чекарева Г.А., Горбунова В.В. Криптококкоз мукоцеле аппендикса // Архив патологии. - 1976. - т. 38. - N11. - С. 71-73.
- Athey R.A., Насken J.В., Estrada R. Sonographic appearance of mucocele of the appendix // J. Clin. Ultrasound. - 1984. - Vol. 12. - N6. - pp. 333-337.
- Horgan J.G., Chow P.P., Richter J.O. etc. CT and sonography in the recognition of mucocele of the appendix // Amer. J. Roentgenol. - 1984. - Vol. 143. - N5. - pp.959-962.

УЗИ аппарат HS40
Лидер продаж в высоком классе. Монитор 21,5" высокой четкости, расширенный кардио пакет (Strain+, Stress Echo), экспертные возможности для 3D УЗИ в акушерско-гинекологической практике (STIC, Crystal Vue, 5D Follicle), датчики высокой плотности.
Острый аппендицит
Аппендицит — воспаление червеобразного отростка слепой кишки (аппендикса). Одно из наиболее частых заболеваний брюшной полости, требующих хирургического лечения.

История
Впервые описание червеобразного отростка встречается в трудах Леонардо да Винчи, а также Андреаса Везалия в XVI веке. Позже европейскими врачами описаны случаи находок воспалённого червеобразного отростка на вскрытиях. Этому не придавали большого значения, так как считали, что аппендицит есть следствие воспаления слепой кишки. В XIX веке британские хирурги Брайт и Аддисон подробно описали клинику острого аппендицита и привели доказательства существования данного заболевания и его первичности по отношению к воспалению кишки. Это коренным образом изменило тактику при лечении больных острым аппендицитом, поставив на первое место оперативное лечение. Первую достоверную аппендэктомию выполнил в 1735 году в Лондоне королевский хирург, основатель госпиталя Святого Георгия Claudius Amyand.
В России первая операция удаления червеобразного отростка была сделана в 1888 г., провёл её врач К. П. Домбровский в Петропавловской больнице. Активно же оперировать аппендицит начали только в 1909 году, после Съезда российских хирургов.
Частота и распространение
Аппендицит проявляется в любом возрасте, однако чаще в возрасте 10—30 лет, частота встречаемости у детей не более 1-3 %; болеют и мужчины, и женщины. Заболеваемость острым аппендицитом составляет 4—5 случаев на 1000 человек в год. Среди острых хирургических заболеваний органов брюшной полости острый аппендицит составляет 89,1 %, занимая среди них первое место. Острый аппендицит — наиболее частая причина развития перитонита.
Этиология и патогенез
Основной причиной развития острого аппендицита является активация кишечной флоры червеобразного отростка на фоне механической обтурации его просвета. Обтурацию (закупорку) просвета отростка вызывают каловые камни (35 % наблюдений), гиперплазия лимфоидных фолликулов. Реже происходит обтурация инородным телом, опухолью или паразитом.
Это ведёт к скоплению слизи в просвете отростка и чрезмерному развитию микроорганизмов, что вызывает воспаление слизистой оболочки и подлежащих слоёв, тромбозу сосудов, некрозу стенки червеобразного отростка, что в свою очередь может приводить к перфорации стенки отростка (возникновению отверстия, «аппендицит лопнул», по народной терминологии) — внутрибрюшная катастрофа, которая приводит к излиянию гнойного содержимого, содержащего огромное количество микробов, в стерильную брюшную полость. Возникает угрожающее жизни больного осложнение — разлитой гнойный перитонит. В некоторых случаях при несвоевременном оказании медицинской помощи у больных могут возникать и другие осложнения: периаппендикулярный инфильтрат, периаппендикулярный абсцесс, острый пилефлебит.
Хронический аппендицит — редкая форма аппендицита, развивающаяся после перенесённого острого аппендицита, характеризующаяся склеротическими и атрофическими изменениями в стенке червеобразного отростка. Некоторыми исследователями допускается возможность развития первично-хронического аппендицита (без ранее перенесённого острого), но в то же время, многими авторами исключается наличие хронического аппендицита.
Клинические проявления
Боль в животе, сначала в эпигастральной области или околопупочной области; нередко она имеет нелокализованный характер (боли «по всему животу»), через несколько часов боль мигрирует в правую подвздошную область — симптом «перемещения» или симптом Кохера. Несколько реже болевое ощущение появляются сразу в правой подвздошной области.

Боли носят постоянный характер; интенсивность их, как правило, умеренная. По мере прогрессирования заболевания они несколько усиливаются, хотя может наблюдаться и их стихание за счет гибели нервного аппарата червеобразного отростка при гангренозном воспалении. Боли усиливаются при ходьбе, кашле, перемене положения тела в постели.
Отсутствие аппетита;
Тошнота, рвота 1-2 кратная и носит рефлекторный характер. Появление тошноты и рвоты до возникновения болей не характерно для острого аппендицита;
Подъём температуры до 37-38 °С
Возможны: жидкий стул, частое мочеиспускание
Острый аппендицит при беременности
Острый аппендицит — самая частая причина неотложных хирургических вмешательств у беременных. Частота острого аппендицита у беременных: 1 случай на 700—2000 беременных.
Анатомо-физиологические особенности женского организма затрудняют своевременную диагностику аппендицита. Это приводит к большей частоте развития осложнённых форм, что может привести к прерыванию беременности и гибели плода.
Правильной хирургической тактикой является ранняя аппендэктомия у беременных. Она позволяет избежать осложнений и спасает как жизнь матери, так и ребёнка.
У беременных при остром аппендиците отмечается острая боль в животе, которая приобретает постоянный ноющий характер и перемещается в место локализации отростка (правый боковой отдел живота, правое подреберье).
Диагностика
Клинические признаки и симптомы
- болезненность в правой подвздошной области при пальпации;
- напряжение мышц в правой подвздошной области при пальпации;
- болезненность передней стенки ампулы прямой кишки за счёт наличия выпота в кармане Дугласа, или в дугласовом пространстве при ректальном исследовании;
- симптом Бартомье-Михельсона — болезненность при пальпации слепой кишки усиливается в положении больного на левом боку;
- симптом Воскресенского — врач левой рукой натягивает рубашку больного за нижний край (для равномерного скольжения). Во время вдоха больного кончиками пальцев с умеренным давлением на живот осуществляют быстрое скользящее движение сверху вниз по направлению к правой подвздошной области. В момент окончания движения больной отмечает резкое усиление болезненности;
- симптом Клемма (Klemm) — скопление газа в илеоцекальном отделе кишечника, определяемое при рентгенологическом исследовании;
- симптом Раздольского (Менделя-Раздольского) — при перкуссии брюшной стенки определяется болезненность в правой подвздошной области;
- симптом Ровзинга (Rovsing) — появление или усиление болей в правой подвздошной области при сдавлении сигмовидной кишки и толчкообразном давлении на нисходящий отдел ободочной кишки;
- симптом Ситковского — возникновение или усиление болей в правой подвздошной области в положении больного на левом боку;
- симптом Черемских-Кушниренко (Караваевой) — усиление болей в правой подвздошной области при кашле;
- симптом Щёткина — Блюмберга — обратная чувствительность, усиление боли при резком отнятии руки, по сравнению с пальпацией;
Лапароскопия
Диагностическая лапароскопия показана в сомнительных случаях, может переходить в лечебную лапароскопию (лапароскопическую аппендэктомию).
При остром аппендиците наблюдаются неспецифические изменения анализов крови, характерные для воспалительной реакции как таковой: Повышение числа лейкоцитов в крови, повышение скорости оседания эритроцитов, подъём С-реактивного белка после первых 12 часов, небольшое количество эритроцитов и лейкоцитов в моче («токсические изменения мочи»).
Ультразвуковое исследование при остром аппендиците не всегда специфично. Наиболее частый ультразвуковой признак острого аппендицита — наличие свободной жидкости в правой подвздошной ямке (то есть, вокруг отростка) и (или) в полости малого таза (наиболее отлогом месте брюшной полости) — симптомы местного перитонита.
Аппендицит необходимо дифференцировать со следующими заболеваниями: пиелонефрит, почечная колика, острый сальпингоофорит (аднексит), апоплексия яичника, разрыв кисты яичника, внематочная беременность, острый эндометрит, воспаление дивертикула Меккеля, прободная язва, обострение язвенной болезни, гастрит, энтерит, колит, кишечная колика, холецистит, панкреатит, кетоацидоз, кишечная непроходимость, пневмония, болезнь Крона, геморрагический васкулит (болезнь Шенляйна — Геноха), пищевое отравление и др.
Лечение
На догоспитальном этапе запрещается: применять местное тепло (грелки) на область живота, вводить наркотики и другие болеутоляющие средства, давать больным слабительное и применять клизмы.
Постановка диагноза острого аппендицита является показанием к проведению экстренного оперативного лечения.
Государственная клиническая больница №29 им. Н.Э.Баумана – это современная многопрофильная высокотехнологичная больница с уникальной полуторавековой историей и традицией, оказывающая высококачественную медицинскую помощь в круглосуточном режиме.
Читайте также:
