Инструментальные методы при коарктации аорты. Лечение коарктации аорты.
Добавил пользователь Владимир З. Обновлено: 19.12.2025
Клиника коарктации аорты. Диагностика коарктации аорты.
Резкая коарктация аорты проявляется уже на первом месяце жизни как общими, так и специфическими симптомами. Для детей этого возраста характерно повышенное беспокойство, отсутствие аппетита, значительный дефицит массы тела.
Нередко детей долго лечат по поводу пневмонии, и только тщательное обследование позволяет обнаружить порок. Диагностика затрудняется тем, что нет характерной аускультативной картины, на которую обычно опираются врачи при выявлении пороков сердца. Чаще всего имеется лишь небольшой систолический шум слева от грудины, проводящийся в межлопаточную область. Более выраженная шумовая картина возникает при сопутствующем ОАП или ДМЖП, но и она может быть «смазана» в случаях высокого легочного сопротивления у новорожденных. Наиболее легко выявляется такой симптом коарктации аорты, как резкое ослабление пульса на ногах. Точный диагноз можно поставить при сочетании сердечной недостаточности, артериальной гипертензии на верхних конечностях и градиенте систолического давления между правой рукой и ногой.
Наиболее характерный признак порока в этом возрасте - сердечная недостаточность, проявляющаяся прежде всего тахикардией и одышкой. Если не проводится терапевтическое лечение, возникают задержка жидкости, увеличение печени, периферические отеки; в легких выслушиваются влажные мелкопузырчатые хрипы. Основным фактором, предъявляющим повышенные требования к сердцу, служит механическое препятствие кровотоку в аорте. Степень нарушения кровообращения зависит также от наличия коллатералей и быстроты развития компенсаторной гипертрофии сердца. Частота сердечной недостаточности обратно пропорциональна возрасту, в котором впервые проявляется коарктация аорты. В первые три месяца жизни сердечная недостаточность присутствует у 100% больных, среди пациентов 1 года -у 70%, в возрасте от 1 года до 15 лет — у 5% пациентов.

При недостаточно быстрой гипертрофии левого желудочка (у 15— 20% больных) его насосная функция быстро падает, что резко утяжеляет состояние. У таких детей наблюдается выраженная кардиомегалия за счет миогенной дилатации. Тоны сердца приглушены, нередко выслушивается шум митральной недостаточности. В этих случаях сердечная недостаточность быстро прогрессирует, несмотря на интенсивную терапию.
Другим симптомом является изменение артериального давления. Нормальное артериальное давление на первой неделе жизни у здоровых детей составляет 70+9/40±6 мм рт. ст. К концу первого месяца жизни оно равно 90±8/60±9 мм рт. ст. При коарктации аорты систолическое давление на руках значительно возрастает и может превышать 110—120 мм рт. ст. Измерение давления на обеих руках позволяет исключить отхождение одной из подключичных артерий ниже области коарктации. В случае такой аномалии давление на соответствующей руке на 10—30 мм рт. ст. ниже, чем на противоположной.
Сравнительно невысокая артериальная гипертензия (при наличии выраженной коарктации) может встретиться у больных с сопутствующим клапанным стенозом аорты, большим ДМЖП или тяжелой сердечной недостаточностью. Однако по мере лечения последней и увеличения сердечного выброса артериальное давление может возрастать.
Как уже отмечалось, у новорожденных физиологическая узость перешейка аорты создает градиент давления между руками и ногами, который примерно у 16% детей превышает 20 мм рт. ст. Однако, как правило, он быстро снижается в течение нескольких дней. При истинной коарктации градиент давления обычно, наоборот, нарастает, превышая 30 мм рт. ст.
Особое внимание необходимо уделять функции ОАП у новорожденных с предуктальной коарктацией аорты. Закрытие протока у таких детей приводит к острой гипоперфузии нижней половины туловища, молниеносному развитию тяжелой недостаточности кровообращения, нарушению функции почек и быстрой гибели. Неблагоприятным прогностическим признаком у этих пациентов является уровень мочевины в крови более 10 ммоль/л.
Коарктация аорты
Коарктация аорты – врожденный сегментарный стеноз (или полная атрезия) аорты в области перешейка - перехода дуги в нисходящую часть; реже – в нисходящем, восходящем или брюшном отделах. Коарктация аорты проявляется в детском возрасте беспокойством, кашлем, цианозом, одышкой, гипотрофией, утомляемостью, головокружением, сердцебиением, носовыми кровотечениями. При диагностике коарктации аорты учитываются данные ЭКГ, рентгенографии грудной клетки, ЭхоКГ, зондирования полостей сердца, восходящей аортографии, левой вентрикулографии, коронарной ангиографии. Методами хирургического лечения коарктации аорты служат транслюминальная баллонная дилатация, истмопластика (прямая и непрямая), резекция коарктации аорты, шунтирование.
МКБ-10

Общие сведения
Коарктация аорты – врожденная аномалия аорты, характеризующаяся ее стенозом, как правило, в типичном месте - дистальнее левой подключичной артерии, в месте перехода дуги в нисходящую аорту. В детской кардиологии коарктация аорты встречается с частотой 7,5%, при этом в 2—2,5 раза чаще у лиц мужского пола. В 60-70% случаев коарктация аорты сочетается с другими врожденными пороками сердца: открытым артериальным протоком (70%), дефектом межжелудочковой перегородки (53%), стенозом аорты (14%), стенозом или недостаточностью митрального клапана (3-5%), реже с транспозицией магистральных сосудов. У части новорожденных с коарктацией аорты выявляются тяжелые экстракардиальные врожденные аномалии развития.

Причины коарктации аорты
В кардиохирургии рассматривается несколько теорий формирования коарктации аорты. Принято считать, что в основе порока лежит нарушение слияния аортальных дуг в периоде эмбриогенеза. Согласно теории Шкоды, коарктации аорты формируется вследствие закрытия открытого артериального протока (ОАП) с одновременным вовлечением прилегающей части аорты. Облитерация Баталлова протока происходит вскоре после рождения; при этом стенки протока спадаются и рубцуются. При вовлечении в данный процесс стенки аорты происходит ее сужение или полное заращение просвета на определенном участке.
По теории Андерсона–Беккера причиной коарктации может служить наличие серповидной связки аорты, которая обусловливает сужение перешейка при облитерации ОАП в области ее расположения.
В соответствии с гемодинамической теорией Рудольфа, коарктация аорты – следствие особенностей внутриутробного кровообращения плода. В период внутриутробного развития через восходящую аорту проходит 50% выброса крови из желудочков, через нисходящую - 65%, в то же время в перешеек аорты поступает только 25% крови. С этим фактом связана относительная узость перешейка аорты, которая при некоторых условиях (при наличии септальных дефектов) сохраняется и усугубляется после рождения ребенка.
Особенности гемодинамики при коарктации аорты
Типичным местом расположения стеноза служит терминальный отдел дуги аорты между артериальным протоком и устьем левой подключичной артерии (область перешейка аорты). В этом месте коарктация аорты выявляется у 90-98% больных. Снаружи сужение может иметь вид песочных часов или перетяжки с нормальным диаметром аорты в проксимальном и дистальном отделах. Внешнее сужение, как правило, не соответствует величине внутреннего диаметра аорты, поскольку в просвете аорты располагается нависающая серповидная складка или диафрагма, которые в некоторых случаях полностью перекрывают внутренний просвет сосуда. Протяженность коарктации аорты может составлять от нескольких мм до 10 и более см, однако чаще ограничивается 1-2 см.
Стенотическое изменение аорты в месте перехода ее дуги в нисходящую часть обусловливает развитие двух режимов кровообращения в большом круге: проксимальнее места препятствия кровотоку имеется артериальная гипертензия, дистальнее – гипотензия. В связи с имеющимися гемодинамическими нарушениями у больных с коарктацией аорты включаются компенсаторные механизмы – развивается гипертрофия миокарда левого желудочка, увеличивается ударный и минутный объем, расширяется диаметр восходящей аорты и ветвей ее дуги, расширяется сеть коллатералей. У детей старше 10 лет в аорте и сосудах уже отмечаются атеросклеротические изменения.
На особенности гемодинамики при коарктации аорты значительное влияние оказывают сопутствующие врожденные пороки сердца и сосудов. Со временем в артериях, задействованных в коллатеральном кровообращении, (межреберных, внутренних грудных, боковых грудных, лопаточных, эпигастральных и т.д.), происходят изменения: их стенки истончаются, а диаметр увеличивается, предрасполагая к формированию престенотических и постстенотических аневризм аорты, аневризм артерий головного мозга и др. Обычно аневризматическое расширение сосудов наблюдается у больных старше 20 лет.
Давление извитых и расширенных межреберных артерий на ребра способствует образованию узур (зазубрин) на нижних краях ребер. Данные изменения появляются у пациентов с коарктацией аорты в возрасте старше 15 лет.
Классификация коарктации аорты
С учетом локализации патологического сужения различают коарктацию в области перешейка, восходящей, нисходящей, грудной, брюшной аорты. Некоторые источники выделяют следующие анатомические варианты порока - предуктальный стеноз (сужение аорты проксимальнее впадения ОАП) и постдуктальный стеноз (сужение аорты дисталтнее впадения ОАП).
По критерию множественности аномалий сердца и сосудов А. В. Покровский классифицирует 3 типа коарктации аорты:
- 1 тип - изолированная коарктация аорты (73%);
- 2 тип – сочетание коарктации аорты с ОАП; с артериальным или венозным сбросом крови (5%);
- 3 тип – сочетание коарктации аорты с другими гемодинамически значимыми аномалиями сосудов и ВПС (12%).
В естественном течении коарктации аорты выделяют 5 периодов:
- I (критический период) - у детей до 1 года; характеризуется симптомами недостаточности кровообращения по малому кругу; высокой смертностью от тяжелой сердечно-легочной и почечной недостаточности, особенно при сочетании коарктации аорты с другими ВПС.
- II (приспособительный период) - у детей от 1 до 5 лет; характеризуется уменьшением симптоматики недостаточности кровообращения, которая обычно представлена повышенной утомляемостью и одышкой.
- III (компенсаторный период) – у детей от 5 до 15 лет; характеризуется преимущественно бессимптомным течением.
- IV (период развития относительной декомпенсации) – у пациентов 15-20 лет; в периоде полового созревания нарастают признаки недостаточности кровообращения.
- V (период декомпенсации) – у пациентов 20-40 лет; характеризуется признаками артериальной гипертензии, тяжелой лево- и правожелудочковой сердечной недостаточности, высокой летальностью.
Симптомы коарктации аорты
Клиническая картина коарктации аорты представлена множеством симптомов; проявления и их выраженность зависят от периода течения порока и сопутствующих аномалий, влияющих на внутрисердечную и системную гемодинамику. У детей раннего возраста с коарктацией аорты могут отмечаться задержка роста и увеличения массы тела. Преобладают симптомы левожелудочковой недостаточности: ортопноэ, одышка, сердечная астма, отек легких.
В более старшем возрасте, в связи с развитием легочной гипертензии, характерны жалобы на головокружение, головную боль, сердцебиение, шум в ушах, снижение остроты зрения. При коарктации аорты нередки носовые кровотечения, обмороки, кровохарканье, чувство онемения и зябкости, перемежающаяся хромота, судороги в нижних конечностях, абдоминальные боли, обусловленные ишемией кишечника.
Средняя продолжительность жизни пациентов с коарктацией аорты составляет 30-35 лет, около 40% больных умирают в критическом периоде (возрасте до 1 года). Наиболее частыми причинами летального исхода в периоде декомпенсации служат сердечная недостаточность, септический эндокардит, разрывы аневризм аорты, геморрагический инсульт.
Диагностика коарктации аорты
При осмотре обращает внимание наличие атлетического типа телосложения (преимущественное развитие плечевого пояса при худых нижних конечностях); усиление пульсации сонных и межреберных артерий, ослабление или отсутствие пульсации на бедренных артериях; повышенное АД на верхних конечностях при снижении АД на нижних конечностях; систолический шум над верхушкой и основанием сердца, на сонных артериях и т. д.
В диагностике коарктации аорты решающую роль играют инструментальные исследования: ЭКГ, ЭхоКГ, аортография, рентгенография грудной клетки и рентгенография сердца с контрастированием пищевода, зондирование полостей сердца, вентрикулография и др.
Электрокардиографические данные свидетельствуют за перегрузку и гипертрофию левых и/или правых отделов сердца, ишемические изменения миокарда. Рентгенологическая картина характеризуется кардиомегалией, выбуханием дуги легочной артерии, изменением конфигурации тени дуги аорты, узурацией ребер.
Эхокардиография позволяет непосредственно визуализировать коарктацию аорты и определить степень стеноза. Детям старшего возраста и взрослым может выполняться чреспищеводная ЭхоКГ.
При катетеризации полостей сердца определяется престенотическая гипертензия и постстенотическая гипотензия, снижение парциального давления кислорода в постстенотическом отделе аорты. С помощью восходящей аортографии и левой вентрикулографии обнаруживается стеноз, оценивается его степень и анатомический вариант. Коронарография при коарктации аорты показана в случае наличия эпизодов стенокардии, а также при планировании операции пациентам старше 40 лет для исключения ИБС.
Коарктацию аорты следует дифференцировать от других патологических состояний, протекающих с явлениями легочной гипертензии: вазоренальной и эссенциальной артериальной гипертензии, аортального порока сердца, неспецифического аортита (болезни Такаясу).
Лечение коарктации аорты
При коарктации аорты возникает необходимость в медикаментозной профилактике инфекционного эндокардита, коррекции артериальной гипертензии и сердечной недостаточности. Устранение анатомического порока аорты проводится только оперативным путем.
Кардиохирургическая операция по поводу коарктации аорты осуществляется в ранние сроки (при критическом пороке - до 1 года, в остальных случаях в возрасте от 1 до 3-х лет). Противопоказаниями к хирургическому лечению коарктации аорты служат необратимая степень легочной гипертензии, наличие тяжелой или некорригируемой сопутствующей патологии, терминальная стадия сердечной недостаточности.
Для лечения коарктации аорты в настоящее время предложено следующие типы открытых операций:
- I. Местно-пластическая реконструкция аорты: резекция стенозированного участка аорты с наложением анастомоза «конец в конец»; прямая истмопластика с продольным рассечением стеноза и сшиванием аорты в поперечном направлении; непрямая истмопластика (с использованием лоскута из левой подключичной артерии или синтетической заплаты, с наложением сонно-подключичного анастомоза).
- II.Резекция коарктации аорты с протезированием: с замещением дефекта артериальным гомотрансплантатом или синтетическим протезом.
- III. Создание обходных анастомозов: обходное шунтирование с использованием левой подключичной артерии, селезеночной артерии или гофрированного сосудистого протеза.
При локальном или тандемном стенозе и отсутствии выраженного кальциноза и фиброза в области коарктации выполняется транслюминальная баллонная дилатация аорты. Послеоперационные осложнения могут включать развитие рекоарктации аорты, аневризмы, кровотечения; разрывы анастомозов, тромбозы реконструированных участков аорты; ишемию спинного мозга, ишемическую гангрену левой верхней конечности и др.
Прогноз коарктации аорты
Естественное течение коарктации аорты определяется вариантом сужения аорты, наличием других ВПС и в целом имеет крайне неблагоприятный прогноз. При отсутствии кардиохирургической помощи 40-55% больных погибает на первом году жизни. При своевременном хирургическом лечении коарктации аорты хороших отдаленных результатов удается достичь у 80-95% больных, особенно если операция проведена в возрасте до 10 лет.
Оперированные больные с коарктацие аорты пожизненно находятся под наблюдением кардиолога и кардиохирурга; им рекомендуется ограничение физической активности и нагрузок, регулярные динамические осмотры для исключения послеоперационных осложнений. Исход беременности после реконструктивных операций по поводу коарктации аорты обычно благоприятный. В процессе ведения беременности для профилактики разрыва аорты назначаются гипотензивные средства, проводится профилактика инфекционного эндокардита.
Перерыв дуги аорты ( Атипичная коарктация аорты , Атрезия дуги аорты )
Причины
Предрасполагающие факторы атипичной коарктации общие с любой генетической патологией. Группу риска составляют дети женщин, рожающих после 35 лет, ведущих нездоровый образ жизни либо состоящих в близкородственных браках, а также люди, рожденные в семьях, у которых в анамнезе выявляется два и более выкидыша или уже есть больной ребенок. Во время беременности к тератогенным последствиям могут привести перенесенные инфекционные заболевания матери — оспа, эпидемический паротит, грипп, корь.
Патогенез
При атрезии аорты любого типа значительно ухудшается кровообращение органов и тканей, особенно нижней части тела. Первые дни и недели жизни ситуация для пациента более благоприятная, поскольку часть дефицита крови компенсируется за счет функционирующего боталлова протока. По мере его физиологического зарастания появляются признаки гемодинамической недостаточности нижней половины тела, особенно органов брюшной полости, таза. Это приводит к почечной и печеночной недостаточности, эндогенному накоплению продуктов метаболизма, ацидозу, иногда с критическим смещением pH.
На фоне порока снижается сопротивление малого круга, что потенцирует патологическое перераспределение крови. Значительная часть минутного объема кровообращения попадает в систему легочной артерии, вследствие чего там развивается гипертензия, нарастают симптомы право- и левожелудочковой недостаточности. Постоянное высокое давление в сосудах легких вызывает гипертрофию, а затем массивную дилатацию левого предсердия, которое может сдавить бронхи и еще больше ухудшить работу дыхательной системы.
Классификация
Номенклатура данного дефекта дуги аорты главным образом стоится на анатомических характеристиках и месте формирования перерыва. Все типы могут сочетаться с сужением выходного отдела левого желудочка сердца, гипоплазией аортального клапана и дефектом межжелудочковой перегородки или быть изолированными пороками магистрального сосуда. В современной классификации патология делится на три вида:
● Тип А. Характеризуется отсутствием просвета аорты на уровне ее перешейка. На этот вид приходится порядка 44% случаев заболевания.
● Тип В. Перерыв в точке между общей левой сонной и подключичной артериями наблюдается у 52% пациентов. Делится на четыре подтипа:
○ Тип В1. Включает левый открытый артериальный проток, аберрантную правую подключичную артерию.
○ Тип В2. Артериальный проток имеет двусторонний характер. От аорты изолирована правая подключичная артерия.
○ Тип В3. Левый артериальный проток открыт, от аорты отходит правая легочная артерия.
○ Тип В4. Двусторонний артериальный проток, правосторонняя дуга аорты. Левая подключичная артерия изолирована от сосуда.
● Тип С. Самый редкий вариант дефекта — всего 4% от известных случаев. Перерыв происходит между безымянной и левой общей сонной артериями.
Симптомы
Клинические проявления различаются у больных разных возрастных категорий. У новорожденных на первый план выходят бледность кожи, затрудненное дыхание, рассеянные влажные хрипы в легких, нарушения диуреза вплоть до анурии, ацидоз. Характерным симптомом является цианоз нижней половины туловища после внутривенного введения простагландина Е1. Этот феномен — следствие раскрытия артериального протока, сопровождающегося сбросом крови из легочной артерии в нисходящую часть аорты. При неблагоприятном течении патологии у ребенка могут нарастать явления отека легких.
У детей старшего возраста симптоматика нередко отсутствует. Тот факт, что они смогли выжить с таким серьезным наследственным пороком, практически всегда говорит о том, что у пациентов развилась мощная коллатеральная сеть, способная компенсировать отсутствие соединения между сегментами аорты. Иногда больные жалуются на слабость, боли в ногах при физических нагрузках, головные боли, кровотечения на фоне развившейся артериальной гипертензии.
Осложнения
Перерыв дуги аорты относится к тяжелым порокам развития с высокой летальностью. В течение первых семи дней умирает около 40% новорожденных, к полугоду выживаемость снижается до 27% и держится на этом уровне до 15 лет. Особенно чреват осложнениями период зарастания артериального протока – на фоне скудной перфузии тканей может развиться метаболический синдром, сопровождающийся повреждением центральной нервной системы, сердечной мышцы, других органов. В случае выживания это может привести к отставанию умственного и физического развития, тяжелым сопутствующим заболеваниям.
Диагностика
Обнаружение данной патологии обычно осуществляется еще на этапе беременности при плановом посещении женщиной кабинета УЗИ и последующей консультации акушера-гинеколога. В ином случае диагноз ставится после родов неонатологами, детскими кардиологами. Большое значение отводится физикальным методам исследования. В частности, при пальпации определяется слабый пульс на ногах, аускультативно выслушивается усиление II тона над основанием сердца, систолический шум во втором межреберье, что говорит о нарушенной гемодинамике. Из инструментальных методов применяются:
- Электрокардиография. Базовый способ диагностики сердечно-сосудистых патологий, способный при атрезии дуги аорты выявить признаки гипертрофии правого желудочка, блокаду правой ножки пучка Гиса. При существенном нарушении гемодинамики появляется картина увеличения левого желудочка, нарушения проведения импульса в этой части органа. Стоит учитывать, что в 20% случаев на ЭКГ патология не обнаруживается.
- УЗИ сердца. Основной метод исследования при данном эмбриональном пороке. Перерыв дуги может быть заподозрен по существенному несоответствию диаметров восходящей аорты и легочного ствола. Также можно определить характер брахицефальных сосудов, их пропускную способность. В отличие от физиологического направления дуги кзади, при аномалии сосуда курс каротидных артерий направлен кверху.
- Магнитно-резонансная томография. Позволяет получить трехмерное изображение сосудистого пучка, установить характер отхождения сонных артерий, подтвердить отсутствие пути от нисходящей к восходящей части аорты. Существенным недостатком метода является невозможность дифференциальной диагностики между перерывом и тяжелой гипоплазией дуги.
- Рентгенография. Неспецифический метод, дающий возможность косвенно заподозрить перерыв аорты. Как следствие легочной гипертензии и следующего за ней гипертрофического, дилатационного перерождения миокарда на снимке можно увидеть кардиомегалию, усиление легочного рисунка, легочно-венозный застой, начинающийся отек легких. При синдроме Ди Джорджи верхнее средостение может быть слегка суженным из-за отсутствия вилочковой железы.
- Лабораторнаядиагностика. С помощью газового состава крови по уровню pH, рСО2, концентрации буферных систем можно определить наличие декомпенсированного метаболического ацидоза. В биохимическом анализе выявляются маркеры ишемического повреждения печени (высокие уровни АЛТ, АСТ, ЛДГ), почек (креатинина).
Лечение перерыва дуги аорты
Консервативная терапия
Патология является абсолютным показанием к хирургическому вмешательству. У новорожденных, которые на первых днях жизни могут плохо переносить операции, возможно непродолжительное лечение простагландином Е1. Данное вещество оказывает влияние на сосуды, снижая периферическое сопротивление и улучшая перфузию крови, уменьшает риск образования тромбов, способствует поддержанию проходимости открытого артериального протока, препятствует его зарастанию.
Хирургическое лечение
Согласно исследованиям, общая хирургическая летальность при оперативной коррекции атрезии составляет приблизительно 30%. Кроме того, лечение дефекта аорты остается проблемой современной медицины по той причине, что большинство пациентов изначально находятся в тяжелом состоянии с выраженной сердечной недостаточностью, анурией. Использование новых методик, совершенствование старых, внедрение в предоперационный период инфузий простагландина Е1 позволяет надеяться на скорое улучшение ситуации. Само вмешательство выполняется по одному из двух вариантов:
- Двухэтапный метод. Основные моменты этого способа на первом этапе — восстановление целостности дуги аорты с помощью имплантации собственных тканей либо сосудистого протеза с одномоментной перевязкой боталлова протока, временного сужения легочной артерии. Во вторую очередь закрывают дефект межжелудочковой перегородки (при его наличии). Как эндогенный материал могут быть использованы части сонной или подключичной артерии. Аутотрансплантат не провоцирует тромбообразование и активацию иммунитета, что упрощает течение послеоперационного периода и снижает вероятность повторных вмешательств.
- Одноэтапный метод. Представляет собой прямое анастомозирование нисходящей и восходящей частей аорты в условиях стернотомии, применения аппарата искусственного кровообращения и гипотермии. Данный способ технически более сложен, но предпочтителен при сочетании перерыва с множественными дополнительными пороками сердца, сосудов, так как дает хирургам максимальное количество времени для их устранения. Операция также применяется при сочетании атипичной коарктации с общим артериальным стволом, транспозицией магистральных сосудов.
Прогноз и профилактика
Естественное течение заболевания неблагоприятное. При хирургическом лечении в раннем возрасте, после проведения инфузионной терапии простагландинами прогноз в целом благоприятный. В отдаленном периоде велика вероятность повторных операций. Специфическая профилактика отсутствует. Супружеским парам с отягощенной наследственностью перед беременностью рекомендуется посещение центра планирования семьи, консультация генетика. Во время вынашивания ребенка и подготовки к гестации женщина должна придерживаться принципов здорового образа жизни, ограничить, а лучше исключить действие табака и алкоголя, предупреждать и своевременно лечить тератогенные внутриутробные инфекционные патологии.
1. Реконструктивная хирургия перерыва дуги аорты у взрослых/ Козлов Б.Н., Панфилов Д.С., Саушкин В.В.// Хирургия. Журнал им. Н.И. Пирогова – 2016 - №5.
2. Перерыв дуги аорты: диагностика порока методом мультидетекторной компьютерной томографии/ Ялынская Т.А.// Кардиоваскулярная радиология – 2012 - №4.
3. Описание этапной коррекции перерыва дуги аорты типа А в сочетании с гипоплазией левых отделов сердца/ Калашников С.В., Степаничева О.А., Беришвили Д.О.// Детские болезни сердца и сосудов – 2016 - №4.
Аортальный стеноз ( Стеноз устья аорты )
Аортальный стеноз – это сужение отверстия аорты в области клапана, затрудняющее отток крови из левого желудочка. Аортальный стеноз в стадии декомпенсации проявляется головокружением, обмороками, быстрой утомляемостью, одышкой, приступами стенокардии и удушья. В процессе диагностики аортального стеноза учитываются данные ЭКГ, эхокардиографии, рентгенографии, вентрикулографии, аортографии, катетеризации сердца. При аортальном стенозе прибегают к баллонной вальвулопластике, протезированию аортального клапана; возможности консервативного лечения при данном пороке весьма ограничены.


Аортальный стеноз или стеноз устья аорты характеризуется сужением выносящего тракта в области полулунного клапана аорты, в связи с чем затрудняется систолическое опорожнение левого желудочка и резко возрастает градиент давления между его камерой и аортой. На долю аортального стеноза в структуре других пороков сердца приходится 20–25%. Стеноз устья аорты в 3–4 раза чаще выявляется у мужчин, чем у женщин. Изолированный аортальный стеноз в кардиохирургии встречается редко – в 1,5-2% наблюдений; в большинстве случаев данный порок сочетается с другими клапанными дефектами - митральным стенозом, аортальной недостаточностью и др.
Приобретенный аортальный стеноз чаще всего обусловлен ревматическим поражением створок клапанов. При этом заслонки клапана деформируются, сращиваются между собой, становятся плотными и ригидными, приводя к сужению клапанного кольца. Причинами приобретенного стеноза устья аорты также могут служить:
- атеросклероз аорты;
- кальциноз (обызвествление) аортального клапана;
- инфекционный эндокардит;
- болезнь Педжета;
- системная красная волчанка;
- ревматоидный артрит;
- терминальная почечная недостаточность.
Врожденный аортальный стеноз наблюдается при врожденном сужении устья аорты или аномалии развития - двустворчатом аортальном клапане. Врожденный порок аортального клапана обычно проявляется в возрасте до 30 лет; приобретенный – в более старшем возрасте (обычно после 60 лет). Ускоряют процесс формирования аортального стеноза курение, гиперхолестеринемия, артериальная гипертензия.
При аортальном стенозе развиваются грубые нарушения внутрисердечной, а затем и общей гемодинамики. Это связано с затрудненным опорожнением полости левого желудочка, ввиду чего происходит значительное увеличение градиента систолического давления между левым желудочком и аортой, который может достигать от 20 до 100 и более мм рт. ст.
Функционирование левого желудочка в условиях повышенной нагрузки сопровождается его гипертрофией, степень которой, в свою очередь, зависит от выраженности сужения аортального отверстия и времени существования порока. Компенсаторная гипертрофия обеспечивает длительное сохранение нормального сердечного выброса, сдерживающего развитие сердечной декомпенсации.
Однако при аортальном стенозе достаточно рано наступает нарушение коронарной перфузии, связанное с повышением конечного диастолического давления в левом желудочке и сдавлением гипертрофированным миокардом субэндокардиальных сосудов. Именно поэтому у пациентов с аортальным стенозом признаки коронарной недостаточности появляются задолго до наступления сердечной декомпенсации.
По мере снижения сократительной способности гипертрофированного левого желудочка, уменьшается величина ударного объема и фракции выброса, что сопровождается миогенной левожелудочковой дилатацией, повышением конечного диастолического давления и развитием систолической дисфункции левого желудочка. На этом фоне повышается давление в левом предсердии и малом круге кровообращения, т. е. развивается артериальная легочная гипертензия.
При этом клиническая картина аортального стеноза может усугубляться относительной недостаточностью митрального клапана («митрализацией» аортального порока). Высокое давление в системе легочной артерии закономерно приводит к компенсаторной гипертрофии правого желудочка, а затем и к тотальной сердечной недостаточности.

По происхождению различают врожденный (3-5,5%) и приобретенный стеноз устья аорты. С учетом локализации патологического сужения аортальный стеноз может быть подклапанным (25-30%), надклапанным (6-10%) и клапанным (около 60%).
Степень выраженности аортального стеноза определяется по градиенту систолического давления между аортой и левым желудочком, а также площади клапанного отверстия.
- При незначительном аортальном стенозе I степени площадь отверстия составляет от 1,6 до 1,2 см² (при норме 2,5—3,5 см²); градиент систолического давления находится в пределах 10–35 мм рт. ст.
- Об умеренном аортальном стенозе II степени говорят при площади клапанного отверстия от 1,2 до 0,75 см² и градиенте давления 36–65 мм рт. ст.
- Тяжелый аортальный стеноз III степени отмечается при сужении площади клапанного отверстия менее 0,74 см² и увеличении градиента давления свыше 65 мм рт. ст.
В зависимости от степени гемодинамических нарушений аортальный стеноз может протекать по компенсированному или декомпенсированному (критическому) клиническому варианту, в связи с чем выделяется 5 стадий.
- I стадия (полная компенсация). Аортальный стеноз может быть выявлен только аускультативно, степень сужения устья аорты незначительна. Больным необходимо динамическое наблюдение кардиолога; хирургическое лечение не показано.
- II стадия (скрытая сердечная недостаточность). Предъявляются жалобы на быструю утомляемость, одышку при умеренной физической нагрузке, головокружение. Признаки аортального стеноза определяются по данным ЭКГ и рентгенографии, градиент давления в диапазоне 36–65 мм рт. ст., что служит показанием к хирургической коррекции порока.
- III стадия (относительная коронарная недостаточность). Типично усиление одышки, возникновение стенокардии, обмороков. Градиент систолического давления превышает 65 мм рт. ст. Хирургическое лечение аортального стеноза на данной стадии возможно и необходимо.
- IV стадия (выраженная сердечная недостаточность). Беспокоит одышка в покое, ночные приступы сердечной астмы. Хирургическая коррекция порока в большинстве случаев уже исключена; у некоторых больных кардиохирургическое лечение потенциально возможно, но с меньшим эффектом.
- V стадия (терминальная). Неуклонно прогрессирует сердечная недостаточность, выражены одышка и отечный синдром. Медикаментозное лечение позволяет добиться лишь кратковременного улучшения; хирургическая коррекция аортального стеноза противопоказана.
Симптомы аортального стеноза
На стадии полной компенсации аортального стеноза больные длительное время не ощущают заметного дискомфорта. Первые проявления связаны с сужением устья аорты приблизительно до 50% ее просвета и характеризуются одышкой при физической нагрузке, быстрой утомляемостью, мышечной слабостью, ощущением сердцебиений.
На этапе коронарной недостаточности присоединяются головокружение, обмороки при быстрой смене положения тела, приступы стенокардии, пароксизмальная (ночная) одышка, в тяжелых случаях - приступы сердечной астмы и отек легких. Прогностически неблагоприятно сочетание стенокардии с синкопальными состояниями и особенно – присоединение сердечной астмы. При развитии правожелудочковой недостаточности отмечаются отеки, ощущение тяжести в правом подреберье.
Внезапная сердечная смерть при аортальном стенозе наступает в 5–10% случаев, главным образом, у лиц пожилого возраста с выраженным сужением клапанного отверстия. Осложнениями аортального стеноза могут являться инфекционный эндокардит, ишемические нарушения мозгового кровообращения, аритмии, АВ-блокады, инфаркт миокарда, желудочно-кишечные кровотечения из нижних отделов пищеварительного тракта.
Внешний вид больного с аортальным стенозом характеризуется бледностью кожных покровов («аортальной бледностью»), обусловленной склонностью к периферическим вазоконстрикторным реакциям; в поздних стадиях может отмечаться акроцианоз. Периферические отеки выявляются при аортальном стенозе тяжелой степени. При перкуссии определяется расширение границ сердца влево и вниз; пальпаторно ощущается смещение верхушечного толчка, систолическое дрожание в яремной ямке. Аускультативными признаками аортального стеноза служит грубый систолический шум над аортой и над митральным клапаном, приглушение I и II тонов на аорте. Инструментальное обследование включает:
- ЭФИ сердца. Изменение тона и патологические шумы также регистрируются при фонокардиографии. По данным ЭКГ определяются признаки гипертрофии левого желудочка, аритмии, иногда – блокады.
- Рентген. В период декомпенсации на рентгенограммах выявляется расширение тени левого желудочка в виде удлинения дуги левого контура сердца, характерная аортальная конфигурация сердца, постстенотическая дилатация аорты, признаки легочной гипертензии. Вентрикулография необходима для выявления сопутствующей митральной недостаточности. Аортография и коронарография применяются для дифференциальной диагностики аортального стеноза с аневризмой восходящего отдела аорты и ИБС.
- УЗИ сердца. На эхокардиографии определяется утолщение заслонок аортального клапана, ограничение амплитуды движения створок клапана в систолу, гипертрофия стенок левого желудочка.
- Катетеризация сердца. С целью измерения градиента давления между левым желудочком и аортой выполняется зондирование полостей сердца, которое позволяет косвенно судить о степени аортального стеноза.

Лечение аортального стеноза
Консервативная тактика
Все пациенты, в т.ч. с бессимптомным, полностью компенсированным аортальным стенозом, должны находиться под тщательным наблюдением кардиолога. Им рекомендуются проведение ЭхоКГ каждые 6-12 месяцев. Данному контингенту больных с целью профилактики инфекционного эндокардита необходим превентивный прием антибиотиков перед стоматологическими (лечение кариеса, удаление зубов и т. д.) и другими инвазивными процедурами.
Ведение беременности у женщин с аортальным стенозом требует тщательного контроля показателей гемодинамики. Показанием к прерыванию беременности служит тяжелая степень аортального стеноза или нарастание признаков сердечной недостаточности. Медикаментозная терапия при аортальном стенозе направлена на устранение аритмий, профилактику ИБС, нормализацию АД, замедление прогрессирования сердечной недостаточности.
Радикальная хирургическая коррекция аортального стеноза показана при первых клинических проявлениях порока – появлении одышки, ангинозных болей, синкопальных состояний. С этой целью может применяться баллонная вальвулопластика - эндоваскулярная балонная дилатация аортального стеноза. Однако зачастую данная процедура бывает малоэффективна и сопровождается последующим рецидивом стеноза. При негрубых изменениях створок аортального клапана (чаще у детей с врожденным пороком) используется открытая хирургическая пластика аортального клапана (вальвулопластика). В детской кардиохирургии нередко выполняется операция Росса, предполагающая пересадку клапана легочной артерии в аортальную позицию.
При соответствующих показаниях прибегают к проведению пластики надклапанного или подклапанного аортального стеноза. Основным методом лечения аортального стеноза на сегодняшний день остается протезирование аортального клапана, при котором пораженный клапан полностью удаляется и заменяется на механический аналог или ксеногенный биопротез. Пациентам с искусственным клапаном требуется пожизненный прием антикоагулянтов. В последние годы практикуется перкутанная замена аортального клапана.
Аортальный стеноз может протекать бессимптомно в течение многих лет. Появление клинических симптомов существенно увеличивает риск осложнений и летальности. Основными, прогностически значимыми симптомами служат стенокардия, обмороки, левожелудочковая недостаточность – в этом случае средняя продолжительность жизни не превышает 2-5 лет. При своевременном оперативном лечении аортального стеноза 5-летняя выживаемость составляет около 85%, 10-летняя — порядка 70%.
Меры профилактики аортального стеноза сводятся к предупреждению ревматизма, атеросклероза, инфекционного эндокардита и др. способствующих факторов. Больные с аортальным стенозом подлежат диспансеризации и наблюдению кардиолога и ревматолога.
3. Современные подходы к диагностике аортального стеноза/ Синькво А.В.// Сибирский медицинский журнал (Иркутск). - 2017.
Инструментальные методы при коарктации аорты. Лечение коарктации аорты.
Электрокардиография при коарктации аорты. Электрокардиограмма новорожденных детей с коарктацией аорты характеризуется признаками преобладающей нагрузки на правые отделы сердца. Лишь у трети из них к концу месяца электрическая ось сердца приобретает вертикальное или нормальное положение, у остальных остается отклоненной вправо. Гипертрофия преимущественно правого желудочка или комбинированная встречаются примерно в равной степени. Симптомы перегрузки левых отделов сердца становятся преобладающими только при достижении 6—12 мес. Более чем у половины больных первого года жизни с сердечной недостаточностью регистрируют изменения, характерные для хронической ишемии миокарда в виде деформации конечной части желудочкового комплекса.
Сочетание коарктации аорты с другими ВПС проявляется усилением перегрузки левых или правых отделов сердца в зависимости от характера порока и степени легочной гипертензии.
В целом, ЭКГ играет вспомогательную диагностическую роль, позволяя заподозрить порок и уточнить степень перегрузки тех или иных отделов сердца.
Рентгенография грудной клетки при коарктации аорты. Рентгенологическая картина при коарктации аорты обычно представлена явлениями умеренного венозного застоя в легких и увеличением размеров сердца. Сердце имеет в основном «аортальную» конфигурацию, но может быть и овоидной формы.
При сопутствующих ВПС со сбросом крови слева направо к концу первого месяца жизни появляются признаки гиперволемии легких, а в последующем и гипертензии. У больных с резко сниженной сократительной способностью миокарда развивается кардиомегалия. Нарастание сердечной недостаточности сопровождается и усилением признаков венозного застоя в легких.

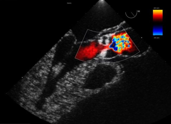
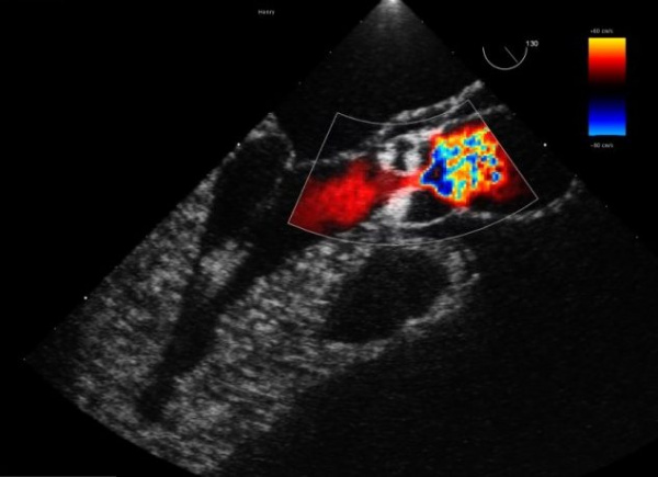
Эхокардиография при коарктации аорты. При проведении данного исследования необходимо ответить на следующие вопросы: 1. Имеется локальная коаркта-ция или тубулярное сужение перешейка аорты? 2. Какова степень выраженности коарктации? 3. Каково направление потока крови через ОАП? 4. От какой области аорты отходят подключичные артерии? 5. Есть ли дополнительные ВПС, в том числе гипоплазия дуги аорты? 6. Насколько нарушена насосная функция сердца?
Для сканирования аорты наиболее часто используется супрастернальная позиция. В норме при двухмерном изображении аорта выглядит на экране эхокардиографа как дугообразное образование без каких-либо сужений, с симметричной пульсацией по всей длине. На участке коарктации аорты визуализируется сужение просвета с активной пульсацией выше этого места.
Косвенными признаками, подтверждающими коарктацию, могут быть постстенотическое расширение аорты, гипертрофия и дилатация желудочков. При использовании допплер-методики регистрируются турбулентный кровоток в месте сужения аорты и сниженный кровоток в брюшном отделе аорты.
Особенно важно выявление гипоплазии дуги аорты, что влияет на объем хирургического вмешательства. Опорным моментом является сравнение диаметров дуги аорты и нисходящей аорты. Гипоплазию дуги можно заподозрить при отношении этих диаметров менее 0,7. Другим вариантом является сравнение диаметра дуги аорты с диаметром восходящей аорты (до отхождения безымянного ствола). В норме их отношение должно быть более 0,5.
Видео ЭхоКГ при коарктации аорты у плода
Лечение при коарктации аорты. При симптоматичной коарктации аорты у грудных детей единственным эффективным средством помощи является операция. Однако не всегда ее можно выполнить немедленно после установления диагноза. В этих случаях необходима терапия, которая помогает предотвратить ухудшение состояния ребенка и подготовить более благоприятный фон для оперативного вмешательства.
Терапия включает следующие основные компоненты: 1) снижение потребностей организма в кислороде путем создания комфортных температурных условий, ограничения физической активности; 2) использование простагландинов группы Е; 3) назначение дигоксина, при низком сердечном выбросе - допамина; уменьшение застойных явлений в МКК и БКК вполне компенсирует тот небольшой, хотя и нежелательный прирост систолического артериального давления, который может наступить в результате действия инотропных препаратов; 4) применение диуретиков в случае застойной сердечной недостаточности; 5) коррекция метаболического ацидоза с помощью гидрокарбоната натрия, 6) проведение искусственной вентиляции легких для уменьшения потребностей в сердечном выбросе; 7) проведение баллонной дилатации аорты.
Использование простагландинов группы Е показано при дуктус-зависимом кровообращении у новорожденных с предуктальной коарктацией аорты. В результате лечения наряду с увеличением кровотока через ОАП вероятна релаксация дуктальной ткани, имеющейся в стенке аорты, что улучшает ее проходимость. В процессе лечения необходимо контролировать направление потока крови через ОАП.
Основным показанием к операции у грудных детей является наличие коарктации аорты, вызывающей недостаточность кровообращения. Проявления коарктации в первые дни и месяцы жизни свидетельствуют о значительной тяжести заболевания, и хирургическое вмешательство часто выполняют в неотложном порядке. При этом плохая насосная функция левого желудочка (низкая фракция выброса) не должна быть противопоказанием к операции, так как это в большинстве случаев связано с механическим препятствием в аорте, и после коррекции порока нормальный объем выброса быстро восстанавливается.
Несмотря на обилие предложенных методов устранения коарктации аорты, в настоящее время у детей предпочтение отдают двум основным - резекции коарктации с анастомозом конец в конец и истмопластике аорты левой подключичной артерией. Однако при последней операции возможно развитие ряда специфических осложнений (нарушение магистрального кровотока в левой руке, синдром «обкрадывания» головного мозга), поэтому показания к ней ограничены.
Хирургическая тактика при сопутствующих ВПС варьирует в зависимости от опыта клиники. Возможна поэтапная коррекция (сначала коарктации аорты, затем других ВПС), одномоментная коррекция, выполнение сопутствующих паллиативных операций. Однако во всех случаях наличие дополнительных пороков является фактором, повышающим послеоперационную смертность и ухудшающим отдаленные результаты.
Читайте также:
- Иммуноэлектрофорез плазмы, биологических жидкостей, парапротеинов - принципы, эффективность
- Рентгенограмма, КТ, МРТ при сесамовидных костях запясять и кисти
- Патофизиология повреждения лицевого нерва
- Диагностика и лечение папилломы височной кости
- КТ, пиелография при оппортунистических инфекциях почек
