Интралабиринтное кровоизлияние (ИЛК) - лучевая диагностика
Добавил пользователь Евгений Кузнецов Обновлено: 30.01.2026
В основе этого метода обследования лежит способность радиоактивных изотопов к излучению. Сейчас чаще всего проводят компьютерное радиоизотопное исследование – сцинтиграфию. Вначале пациенту в вену, в рот или ингаляционно вводят радиоактивное вещество. Чаще всего используются соединения короткоживущего изотопа технеция с различными органическими веществами.
Излучение от изотопов улавливает гамма-камера, которую помещают над исследуемым органом. Это излучение преобразуется и передается на компьютер, на экран которого выводится изображение органа. Современные гамма-камеры позволяют получить и его послойные «срезы». Получается цветная картинка, которая понятна даже непрофессионалам. Исследование проводится в течение 10–30 минут, и все это время изображение на экране меняется. Поэтому врач имеет возможность видеть не только сам орган, но и наблюдать за его работой.
Все другие изотопные исследования постепенно вытесняются сцинтиграфией. Так, сканирование, которое до появления компьютеров было основным методом радиоизотопной диагностики, сегодня применяется все реже. При сканировании изображение органа выводится не на компьютер, а на бумагу в виде цветных заштрихованных строчек. Но при этом методе изображение получается плоским и к тому же дает мало информации о работе органа. Да и больному сканирование доставляет определенные неудобства – оно требует от него полной неподвижности в течение тридцати-сорока минут.
Точно в цель
С появлением сцинтиграфии радиоизотопная диагностика получила вторую жизнь. Это один из немногих методов, который выявляет заболевание на ранней стадии. К примеру, метастазы рака в костях обнаруживаются изотопами на полгода раньше, чем на рентгене. Эти полгода могут стоить человеку жизни.
В некоторых случаях изотопы – вообще единственный метод, который может дать врачу информацию о состоянии больного органа. С их помощью обнаруживают заболевания почек, когда на УЗИ ничего не определяется, диагностируют микроинфаркты сердца, невидимые на ЭКГ и ЭХО-кардиограмме. Порой радиоизотопное исследование позволяет врачу «увидеть» тромбоэмболию легочной артерии, которая не видна на рентгене. Причем этот метод дает информацию не только о форме, строении и структуре органа, но и позволяет оценить его функциональное состояние, что чрезвычайно важно.
Если раньше с помощью изотопов обследовали только почки, печень, желчный пузырь и щитовидную железу, то сейчас положение изменилось. Радиоизотопная диагностика применяется практически во всех областях медицины, включая микрохирургию, нейрохирургию, трансплантологию. К тому же эта диагностическая методика позволяет не только поставить и уточнить диагноз, но и оценить результаты лечения, в том числе вести постоянное наблюдение за послеоперационными больными. К примеру, без сцинтиграфии не обойтись при подготовке больного к аортокоронарному шунтированию. А в дальнейшем она помогает оценить эффективность операции. Изотопы выявляют состояния, угрожающие жизни человека: инфаркт миокарда, инсульт, тромбоэмболию легочной артерии, травматические кровоизлияния в мозг, кровотечения и острые заболевания органов брюшной полости. Радиоизотопная диагностика помогает отличить цирроз от гепатита, разглядеть злокачественную опухоль на первой стадии, выявить признаки отторжения пересаженных органов.
Под контролем
Противопоказаний к радиоизотопному исследованию почти нет. Для его проведения вводится ничтожное количество короткоживущих и быстро покидающих организм изотопов. Количество препарата рассчитывается строго индивидуально в зависимости от веса и роста пациента и от состояния исследуемого органа. А врач обязательно подбирает щадящий режим исследования. И самое главное: облучение при радиоизотопном исследовании обычно даже меньше, чем при рентгенологическом. Радиоизотопное исследование настолько безопасно, что его можно проводить несколько раз в год и сочетать с рентгеном.
На случай непредвиденной поломки или аварии изотопное отделение в любой больнице надежно защищено. Как правило, оно расположено далеко от лечебных отделений – на первом этаже или в подвале. Полы, стены и потолки в нем очень толстые и покрыты специальными материалами. Запас радиоактивных веществ находится глубоко под землей в специальных просвинцованных хранилищах. А приготовление радиоизотопных препаратов производится в вытяжных шкафах со свинцовыми экранами.
Также ведется постоянный радиационный контроль с помощью многочисленных счетчиков. В отделении работает обученный персонал, который не только определяет уровень радиации, но и знает, что предпринять в случае утечки радиоактивных веществ. Кроме сотрудников отделения, уровень радиации контролируют специалисты СЭС, Госатомнадзора, Москомприроды и УВД.
Простота и надежность
Определенных правил во время радиоизотопного исследования должен придерживаться и пациент. Все зависит от того, какой орган предполагается обследовать, а также от возраста и физического состояния больного человека. Так, при исследовании сердца пациент должен быть готов к физическим нагрузкам на велоэргометре или на дорожке для ходьбы. Исследование будет более качественным, если его делать на голодный желудок. Ну и, конечно, нельзя принимать лекарственные препараты за несколько часов до исследования.
Перед сцинтиграфией костей пациенту придется выпить много воды и часто мочиться. Такая промывка поможет вывести из организма изотопы, которые не осели в костях. При исследовании почек тоже надо выпить побольше жидкости. Сцинтиграфию печени и желчных путей делают на голодный желудок. А щитовидная железа, легкие и головной мозг исследуются вообще без всякой подготовки.
Радиоизотопному исследованию могут помешать металлические предметы, оказавшиеся между телом и гамма-камерой. После введения препарата в организм надо подождать, пока тот достигнет нужного органа и распределится в нем. Во время самого исследования пациент не должен двигаться, иначе результат будет искажен.
Простота радиоизотопной диагностики дает возможность обследовать даже крайне тяжелых больных. Ее применяют и у детей, начиная с трех лет, в основном им исследуют почки и кости. Хотя, конечно, дети требуют дополнительной подготовки. Перед процедурой им дают успокаивающее, чтобы во время исследования они не вертелись. А вот беременным радиоизотопное исследование не проводят. Это связано с тем, что развивающийся плод очень чувствителен даже к минимальной радиации.
Интралабиринтное кровоизлияние (ИЛК) - лучевая диагностика
а) Терминология:
1. Аббревиатура:
• Интралабиринтное кровоизлияние (ИЛК)
2. Синонимы:
• Кровоизлияние во внутренне ухо (ВУ), кровоизлияние в перепончатый лабиринт, перилимфатическое лабиринтное кровоизлияние
3. Определение:
• Кровь в пространствах лабиринта, в норме заполненных жидкостью
б) Визуализация:
1. Общая характеристика:
• Лучший диагностический критерий:
о Гиперинтенсивный сигнал на МРТ Т1 ВУ без контрастного усиления:
- Жидкость в ВУ в норме изоинтенсивна ЦСЖ
- Содержимое ВУ с большим количеством белка может выглядеть идентично
• Локализация:
о Перепончатый лабиринт ВУ
• Размер:
о Диффузное или сегментарное поражение пространств ВУ
• Морфология:
о Повторяет форму ВУ

(Слева) При аксиальной МРТ Т1 ВИ без контрастного усиления определяются классические признаки интралабиринтного кровоизлияния (ИЛК): кровь с гиперинтенсивным сигналом (метгемоглобин) в перепончатом лабиринте улитки, преддверии и полукружных каналах.
(Справа) При аксиальной МРТ Т2 ВИ у этого же пациента определяется гиперинтенсивный Т2 сигнал во внутреннем ухе. Сигнал в ИЛК на Т2 ВИ варьирует в зависимости от возраста крови. При снижении интенсивности сигнала диффузное поражение лабиринта помогает отличить ИЛК от интралабиринтных опухолей.
2. МРТ при интралабиринтном кровоизлиянии (ИЛК):
• Т1 ВИ:
о Гиперинтенсивный сигнал (Т1 без контрастного усиления) в пространстве лабиринта, заполненном жидкостью:
- В ВУ в норме гипоинтенсивный сигнал (соответствующий жидкости)
• Т2 ВИ:
о Вариабельный сигнал: гипер- или гипоинтенсивный в зависимости от возраста крови
• Т1 ВИ С+:
о Гиперинтенсивный сигнал уже присутствует
о Если преконтрастные изображения не получены, ИЛК может ошибочно расцениваться как контрастное усиление ВУ
3. Рекомендации по визуализации:
• Выбор протокола:
о Как минимум одна Т1 последовательность без контрастного усиления во всех протоколах для исследования ВУ

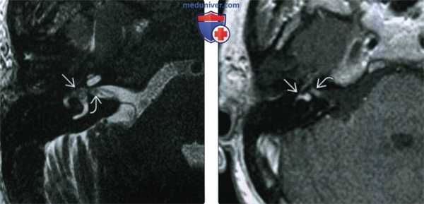
(Слева) При аксиальной МРТ Т1 ВИ без контраста на уровне внутренних слуховых каналов определяется гиперинтенсивный сигнал в перепончатом лабиринте внутреннего уха слева, обусловленный интралабиринтным кровоизлиянием (ИЛК). Сравните его с нормальным жидкостным сигналом справа.
(Справа) При корональной МРТ Т1 ВИ FS у этого же пациента определяется, что гиперинтенсивный сигнал во внутреннем ухе слева не обусловлен жиром, поскольку он сохраняется несмотря на подавление сигнала от жира. Изменения исключают интралабиринтную шванному и подтверждают диагноз ИЛК.
в) Дифференциальная диагностика интралабиринтного кровоизлияния (ИЛК):
1. Лабиринтит:
• МРТ Т1 С+: гиперинтенсивный сигнал (контрастирование):
о Очаговое или диффузное, обычно минимальное
• Т1 без контрастного усиления: обычно норма
2. Вестибулярная шваннома:
• MPT Т1 без контрастного усиления: ↑ сигнал из-за высокого содержания белка:
о Часто после оперативного лечения
3. Интралабиринтная шваннома:
• МРТ Т1 С+: ↑ сигнал (локальное интенсивное контрастное усиление)
4. Врожденная интралабиринтная шваннома:
• Т1 без контрастного усиления: ↑ сигнал может выглядеть идентично
• Т1 FS: опухоль не визуализируется (из-за подавления сигнала)
г) Патология. Общая характеристика:
• Этиология:
о События, инициирующие ИЛК:
- Травма
- Антикоагулянтная терапия
- Болезни крови: лейкоз, серповидноклеточная анемия, другие синдромы повышенной вязкости крови
- Новообразования: опухоли эндолимфатического мешка: спорадические или обусловленные болезнью фон Гиппеля-Линдау
• Укорочение времени релаксации Т1, обусловленное внутри-/внеклеточным метгемоглобином
д) Клинические особенности:
1. Проявления:
• Типичные признаки/симптомы:
о Острое возникновение односторонней нейросенсорной тугоухости:
- Внезапная потеря слуха: возникает за несколько часов-дней
- Пороговое снижение как минимум до 30 децибел в трех смежных частотных тестах в период 24-72 часов
• Другие признаки/симптомы:
о Головокружение, звон в ушах
• Клинический профиль:
о Пациент после терапии антикоагулянтами, с серповидноклеточной анемией, или травмой
2. Демография:
• Возраст:
о Любой
• Этническая принадлежность:
о Спонтанное ИЛК чаще возникает у афроамериканцев в связи с высокой распространенностью серповидноклеточной анемии
3. Течение и прогноз:
• Прогноз аналогичен таковому для причинного заболевания
• Восстановления слуха в различной степени
4. Лечение:
• Не требуется за исключением причинного заболевания
• Коррекция причинного заболевания
е) Диагностическая памятка:
1. Следует учесть:
• Интравестибулярная липома: повышение сигнала Т1:
о Снижение интенсивности (сатурация) при FS
2. Советы по интерпретации изображений:
• Необходимо всегда использовать Т1 без контрастного усиления, оценивая гиперинтенсивный сигнал в лабиринте
ж) Список использованной литературы:
1. Kaya S et al: Effects of intralabyrinthine hemorrhage on the cochlear elements: a human temporal bone study. Otol Neurotol. 37(2): 132-6, 2016
2. Cervantes SS et al: Sudden sensorineural hearing loss associated with intralabyrinthine hemorrhage. Otol Neurotol. 36(8):e134-5, 2015
3. Rosado WM Jr et al: Sudden onset of sensorineural hearing loss secondary to intralabyrinthine hemorrhage: MRI findings. Ear Nose Throat J. 87(3): 130-1, 2008
1. Аббревиатура:
• Интралабиринтная шваннома (ИЛШ)
2. Синоним:
• Шваннома внутреннего уха
3. Определение:
• ИЛШ: доброкачественная опухоль, возникающая из шванновских клеток внутри структур перепончатого лабиринта:
о Включает в себя шванномы улитки, преддверия (или обеих этих структур), а также опухоли внутреннего уха, распространяющиеся во внутренний слуховой канал (ВСК) среднего уха
1. Общая характеристика:
• Лучший диагностический критерий
о МРТ Т1 С+: очаговое контрастирующееся объемное образование в перепончатом лабиринте
о MPT T2 высокого разрешения: дефект наполнения в гиперинтенсивной перилимфе
• Локализация:
о Фокальная интралабиринтная опухоль, называющаяся в зависимости от локализации:
- Интракохлеарная: шваннома в улитке
- Интравестибулярная: шваннома в преддверии внутреннего уха
- Вестибулокохлеарная: шваннома преддверия и улитки
- Трансмодиолярная: шваннома, пересекающая стержень от улитки до дна ВСК
- Трансмакулярная: шваннома, распространяющаяся от преддверия в область дна ВСК
- Трансотическая: шваннома, пересекающая все внутреннее ухо от дна ВСК до среднего уха
• Размер:
о Обычно в пределах нескольких миллиметров в перепончатом лабиринте
о Большие шванномы распространяются за пределы лабиринта
• Морфология:
о Малые начальные шванномы могут быть овоидными или округлыми
о Большие запущенные шванномы принимают форму пораженной части перепончатого лабиринта

(Слева) При аксиальной МРТ Т1ВИ определяется минимальный гиперинтенсивный сигнал в преддверии и улитке у пациента с вестибулокохлеарной шванномой.
(Справа) При аксиальной MPT Т2ВИ визуализируется материал с сигналом, соответствующим мягким тканям, замещающий сигнал, типичный для нормальной жидкости в преддверии и улитке у пациента с ИЛШ вестибулокохлеарного типа. Эти опухоли чаще распознаются на МРТ высокого разрешения (Т2) в условиях высокой настороженности.
2. КТ при интралабиринтной шванноме:
• КТ без КУ:
о Обычно норма, ИЛШ не видна
• КТ с КУ:
о ИЛШ не видна даже на тонкосрезовой КТ с КУ
• КТ в костном окне:
о Норма, за исключением случаев, когда опухоль пролабирует в среднее ухо через нишу круглого окна
о При очень больших опухолях (трансмодиолярных, трансмакулярных, трансотических) могут обнаруживаться костные эрозии
о КТ в костном окне обычно не позволяет сделать заключение об ИЛШ
3. МРТ при интралабиринтной шванноме:
• Т1 ВИ:
о Материал мягкотканной интенсивности во внутреннем ухе
о Может быть слегка более интенсивным по сравнению с жидкостью в лабиринте
о Не виден за исключением больших опухолей и тонкосрезовых томограмм
• Т2 ВИ:
о Очаговое гипоинтенсивное образование в гиперинтенсивной жидкости перепончатого лабиринта
• Т1 ВИ С+:
о Однородное контрастирование ИЛШ
о ИЛШ может распространяться в различных направлениях из внутреннего уха:
- Через круглое окно в среднее ухо
- Вдоль ветвей вестибулярного нерва в дно ВСК = трансмакулярная ИЛШ
- Через стержень и канал лицевого нерва в ВСК = трансмодиолярная ИЛШ
4. Рекомендации по визуализации:
• Используйте фокусную Т1 С+ или Т2 высокого разрешения (например, FIESTA, 3D-TSE) мостомозжечкового угла (ММУ)-ВСК для диагностики ИЛШ
• Тщательно осматривайте все МР-сканы для «исключения акустической шванномы» на предмет наличия интралабиринтного объемного образования
• Тщательно оценивайте расположение опухоли:
о Предполагайте ИЛШ, если опухоль поражает преддверие, улитку или обе эти структуры
о Предполагайте ИЛШ, если опухоль пролабирует в среднее ухо или в область дна ВСК
• Всем пациентам с болезнью Меньера, которым планируется операция, должна выполняться фокусная МРТ для исключения ИЛШ

(Слева) При аксиальной МРТ Т2 ВИ определяется ИЛШ трансмакулярного типа в виде материала с интенсивностью сигнала, соответствующей мягким тканям, заполняющего преддверие и распространяющегося вдоль ветвей преддверного нерва до дна дистальных отделов внутреннего слухового канала (ВСК).
(Справа) При аксиальной МРТ Т1ВИ у этого же пациента определяется контрастное усиление интравестибулярной и дистальной интраканаликулярной части этой трансмакулярной шванномы. Минимальное отличие параметров контрастного усиления обусловлено эффектом усреднения объема.
в) Дифференциальная диагностика интралабиринтной шванномы:
1. Лабиринтит:
• Остро возникшая нейросенсорная тугоухость (НСТУ) ± головокружение и нейропатия лицевого нерва
• МРТ Т2 высокого разрешения: отсутствие мягкотканных опухолей в гиперинтенсивной жидкости во внутреннем ухе
• МРТ Т1 С+: контрастное усиление (полное или частичное) перепончатого лабиринта
2. Оссифицирующий лабиринтит:
• Клинические проявления: менингит или гнойный средний отит-мастоидит в анамнезе
• МРТ Т2 высокого разрешения: локальные гипоинтенсивные участки в гиперинтенсивной жидкости во внутреннем ухе; фиброзно-костные очаги могут имитировать ИЛШ
• КТ в костном окне: костные включения в жидкости перепончатого лабиринта
3. Интралабиринтное кровоизлияние:
• Клинические проявления: внезапная односторонняя НСТУ
• МРТ Т1: гиперинтенсивная жидкость в перепончатом лабиринте
4. Шваннома лицевого нерва с пролабированием во внутреннее ухо:
• Клинические проявления: НСТУ с сопутствующей нейропатией лицевого нерва
• МРТ Т1 С+: вытянутое образование, накапливающее контраст, расположенное по ходу внутривисочного канала лицевого нерва:
о Поражение внутреннего уха - вторичная находка
• КТ в костном окне: расширение канала лицевого нерва в височной кости, ровные края

(Слева) При аксиальной МРТ Т1ВИ С+ определяется контрастное усиление дна дистального ВСК и улитки (ИЛШ трансмодиолярного типа). Опухоль растет из улитки через стержень и канала улиткового нерва, достигая дна ВСК.
(Справа) При аксиальной МРТ Т1ВИ С+ визуализируется крайне редкая ИЛШ трансотического типа. Обратите внимание, что опухоль, накапливающая контраст, распространяется через ВСК из ММУ, а также поражает внутреннее и среднее ухо.
г) Патология:
1. Общая характеристика:
• Этиология:
о Опухоль возникает из шванновских клеток вокруг аксонов дистальных отделов преддверного или улиткового нервов в перепончатом лабиринте
о Симптоматика болезни Меньера объяснятся вторичной водянкой эндолимфатического мешка
• Заболевание схоже с другими шванномами в человеческом организме
• Самый частый тип ИЛШ: интракохлеарный
2. Макроскопические и хирургические особенности:
• Коринчевато-серое инкапсулированное образование в лабиринте
3. Микроскопия:
• Дифференцированные неопластические шванновские клетки
• Энтони А: области компактно расположенных вытянутых клеток
• Энтони В: области менее плотно расположенных клеток, опухоль с рыхлой клеточной структурой, ± группы клеток, заполненных жирами
• Выраженная диффузная экспрессия белка S100
1. Проявления:
• Типичные признаки/симптомы:
о Односторонняя нейросенсорная тугоухость (НОТУ):
- Внезапное начало НСТУ-крайне редкая ситуация
о Специфические симптомы, зависящие от локализации опухоли:
- В преддверии: тиннитус, эпизодическое головокружение с тошнотой и рвотой, смешанная тугоухость (опухоль фиксирует основание стремечка, приводя к кондуктивной тугоухости)
- В улитке: медленно прогрессирующая НСТУ
• Клинический профиль:
о Односторонняя НСТУ, развивающаяся в течение нескольких десятилетий
2. Демография:
• Возраст:
о Взрослые >40
• Пол:
о Нет половой предрасположенности
• Эпидемиология:
о Редкая патология
о Примерно в 100 раз более редкая опухоль, чем вестибулярная шваннома ММУ-ВСК
3. Течение и прогноз:
• Крайне медленно растущая доброкачественная опухоль перепончатого лабиринта
• Прогрессирующая тугоухость может длиться 20 лет
• Часто растет, пока не заполнит внутренне ухо, затем рост останавливается
• В конечном счет при отсутствии лечения приводит к полной глухоте
• При удалении опухоли остается тугоухость, выраженная в той или иной степени
4. Лечение:
• Консервативное:
о Выжидательная тактика
о Показана при минимальной симптоматике (при удовлетворительном уровне слуха) и опухолях, ограниченных внутренним ухом
• Хирургическое (резекция):
о Удаление опухоли в преддверии: транслабиринтное вмешательство
о При опухолях улитки или среднего уха: трансотическое вмешательство
о При симптоматике, приводящей к нетрудоспособности:
- Обычно при некупируемом головокружении
о При значительном трансмодиолярном или трансмакулярном распространении возможен доступ через среднюю черепную ямку
о У некоторых пациентов после резекции может иметь значение кохлеарная имплантация
1. Следует учесть:
• ИЛШ может быть пропущена даже опытными рентгенологами, если они не предупреждены о ее наличии
• ИЛШ сейчас обнаруживается чаще в связи с использованием Т2 высокого разрешения (CISS, FIESTA, 3D-TSE):
о Возрастание выявления частично связано с ↑ настороженностью относительно этого заболевания
о Некоторые ИЛШ не накапливают контраст, но могут визуализироваться на МРТ Т2 высокого разрешения
2. Советы по интерпретации изображений:
• При визуальном «исключении акустической шванномы» на МРТ не следует забывать тщательно оценивать жидкостные пространства внутреннего уха на предмет ИЛШ:
о ИЛШ может быть пропущена, если рентгенолог не ориентирован на поиск объемных образований во внутреннем ухе
• При подозрении на ИЛШ для дифференциальной диагностики с лабиринтитом необходимо использовать МРТ Т2 высокого разрешения:
о ИЛШ выглядит как мягкотканный патологический очаг в гиперинтенсивной жидкости во внутреннем ухе
о Лабиринтит: не столь выраженное очаговое объемное образование в гиперинтенсивной жидкости во внутреннем ухе
Шабалин С.С. 1 Ковайкин Н.А. 1 Овчинникова Д.С. 1 Антонова Н.Д. 1 Соловьева А.С. 1 Сурмина И.С. 1 Лепилова Т.А. 1
В настоящей работе мы провели клинический разбор у пациента, страдающего данным заболеванием: «Внутримозговое кровоизлияние в полушарие субкортикальное пространство. Внутримозговая гематома в правой гемисфере. В данном клиническом разборе мы разобрали такие моменты как: Разбор анестезиологического пособия, тактика ведения больного, ход операции, схема и проведенная терапия и меры профилактики пациента с данным критическим состоянием». Тема данного клинического разбора является актуальной из-за частоты встречаемости заболевания и его сложности, так как геморрагический инсульт в широком смысле охватывает большую группу заболеваний, сопровождающихся кровоизлиянием в мозг или его оболочки. На практике под ГИ чаще понимают кровоизлияние в мозг вследствие гипертонической болезни или атеросклероза (т.н. гипертензивные гематомы) [1 с.7]. После внутримозгового кровоизлияния в перигематомной области снижается кровоток, однако благодаря сниженному метаболизму она не страдает от ишемии. Продукты распада кровоизлияния вызывают развитие цитотаксического, а после нарушения гематоэнцефалического барьера и вазогенного отека. Развивается воспалительная реакция, апоптоз и некроз нервной ткани в перигематомной области. Формирование перигематомного отека усиливает сдавление, дислокацию головного мозга [3].
2. «Клиническая анестезиология» - Дж. Эдвард Морган-мл., Мэгид С. Михаил, Майкл Дж. Марри, 4-е изд., 2017 год.
2. «Clinical Anesthesiology» - G. Edward Morgan, Jr., MD; Maged S.Mikhail, MD; Michael J.Murray, MD, PhD, Fourth edition, 2017
Патофизиология геморрагического инсульта:
Основной причиной геморрагического инсульта является гипертоническая болезнь и связанная с ней микроангиопатия. Длительная артериальная гипертензия способствует формированию липогиалиноза, а в последующем и фибриноидного некроза стенок перфорантных артерий, характеризующихся отсутствием анастомозов с другими сосудами. При повышении артериального давление происходит разрыв стенок этих сосудов с формированием гематом (путаменальные, мозжечковые, субкортикальные) или геморрагическое пропитывание компонентами крови таламических и стволовых отделов мозга через патологически измененные сосудистые стенки. Такие кровоизлияния называют гипертензивными (первичными). Значительно реже причиной внутримозговых кровоизлияний (вторичных) являются разрывы сосудистых мальформаций, васкулопатии, кровоизлияния в опухоли, нарушения свертываемости крови.
В качестве примера к вышесказанному, предлагаем вам клинический разбор следующего случая:
Больная В. 11.05.1953 года рождения (66 лет) доставлена машиной скорой помощи в реанимационное отделение БУ «БСМП» города Чебоксары.
Жалобы при поступлении на давящие боли в висках. (Со слов родственников) была найдена родными в 18:00 этого дня на полу в туалете в испражнениях. Испражнения были по всей квартире. Не могла самостоятельно ходить, садиться, хотя конечности работали, была сонлива. С 6ч утра находилась дома одна. Утром состояние было нормальное, жалоб не было, ходила по дому, себя обслуживала. О произошедшим днем ничего не помнит. Родные помыли в ванне и вызвали «03».
Зафиксировано АД 110/70 мм.рт.ст. Глюкоза 6,2 ммоль/л. Доставлена в БУ «БСМП», осмотрена неврологом, нейрохирургом, проведено КТ ГМ (КТ признаки внутримозговой гематомы правого полушария V33.5мл. Острая субдуральная гематома правого полушария головного мозга с отеком вещества головного мозга правой гемисферы. Латеральная дислокация срединных структур).
Госпитализируется в ПИТ н/о для лечения ОНМК после консилиума с нейрохирургами. Перенесенные заболевания: Экзогенно-токсический цирроз печени, активный, класс В, стадия фиброза, синдром портальной гипертензии. Печеночная энцефалопатия, хронический некалькулезны холецистит, хронический панкреатит, хронический гастрит, неполное удвоение левой почки.
Объективный статус: Общее состояние тяжелое. Сознание оглушенное (12 баллов по ШКГ). Эмоциональная лабильность не выражена. Малоконтактна. В неврологическом статусе: менингеальные симптомы положительные (Ригидность затылочных мышц +/2см, симптом Кернига /+/ с 2-х сторон 1700). Глоточный рефлекс снижен, поперхивается. Дизартрия. Кормление зондовое. Мышечный тонус в левых конечностях повышен. В п. Баре конечности не удерживает, быстрее падают левые. Левосторонний выраженный гемипарез.
Согласно клиническим рекомендациям, были проведены следующие обследования: HBsAg; АЛТ; Альбумин крови; АТ к HCv; АСТ; Билирубин общий; Билирубин прямой; Глюкоза крови; Группа крови резус фактор; Коагулограмма; КЩС; ЛПВП; ЛПНП; ЛПОНП; Мочевина крови; ОАК; СОЭ; Триглицериды; Холестерин общий; КТ ГМ; Rg легких; СМАД; УЗДГ+ДС+ЦДК позвоночных, брахиоцефальных артерий и сосудов ГМ; ХМ ЭКГ; ЭКГ; ЭХО КГ; Консультация врача ЛФК, кардиолога, клинического фармаколога, логопеда, нейрохирурга, офтальмолога, психолога, терапевта [1, с. 7].
На основании жалоб, общего осмотра, лабораторных и инструментальных методов лечения был выставлен следующий диагноз: [161.0] Внутримозговое кровоизлияние в полушарие субкортикальное пространство. Внутримозговая гематома в правой гемисфере.
В плане дальнейшего обследования: Госпитализация в ПИТ н/о, наблюдение н/хирурга, КТ головного мозга в динамике. На КТ головного мозга в динамике: нарастание гематомы. Было принято решение об оперативном лечении [1, с. 14].
В плане операции: Удаление хронической субдуральной гематомы справа через трефинационное отверстие.
Протокол анестезии. Анестезия: экстренная. Премедикация: атропин 0,5 мл, димедрол 1,0 мл, промедол 2% - 1,0 мл. Декомпрессия желудка зондом: проведена. После интубации: зонд в желудке. Вводный наркоз: Na Тиопентал 300 мг. Миорелаксация на интубацию: Листенон 100мг. Интубация оротрахеальная стерильной одноразовой эндотрахеальной трубкой. Степень сложности интубации 2. Число попыток интубации 1. Эндотрахеальная трубка №7,5. Дыхание в легких проводится с двух сторон одинаково жесткое. ИВЛ аппарат Drager Fabius Tiro. Параметры ИВЛ: МВЛ 8,0 л/мин, ДО 445 мл, О2 2,0 л, ЧДД 18 в 1 мин. Положение больного на операционном столе: на спине. Основной наркоз: в/в ГОМК 2 г, фентанил 0,005% - 2,0 мл, Na Тиопентал 200 мг. Миорелаксация в ходе анестезии: Пипекуроний 4 мг. Гемодинамика в ходе анестезии стабильная: АД 120/80 – 100/60 – 115/70 – 113/73 – 110/60 мм.рт.ст; Ps 80 - 90 - 86 – 80 уд. в 1 мин, ритмичный; Sp O2 99 – 100%. Перелито в/в капельно: Sol.NaCl 0,9% 500 мл, Полиглюкин 400 мл. Экстубация после восстановления сознания. Рекомендовано интенсивная инфузионная терапия, послеоперационное обезболивание [2, с. 704].
Протокол операции: Код операции [Z01.24] Трепанация черепа др. (удаление абсцесса эпидурального). Под эндотрахеальным наркозом после обработки кожи антисептиками, в правой височно – теменной области выполнен подковообразный разрез 5 см. Кость скелетирована. Наложено трефинационное отверстие в теменной области. Ткань мозговой оболочки напряжена, синюшная, не передающая пульсацию мозга. ТМО вскрыта крестообразно. Гематома, состоящая из жидкой темной крови удалена отсосом и промыванием. Источник кровотечения не обнаружен. Гемостаз каутер, воск по ходу операции. Мозг обычного цвета, запульсировал. Дренаж №1 в рану. Швы послойно, асептическая повязка.
Послеоперационное лечение: Sol. Magnesium sulfate 250 мг/мл 10 мл по 10 мл 2р/д, в/в капельно, в 9:00 и 18:00; Conc. Potassium chloride 40 мг/мл 10 мл по 10 мл 2р/д, в/в капельно, в 9:00 и 18:00; Sol. Sodium chloride 0,9% 250 мл по 250 мл 2р/д, в/в капельно, в 9:00 и 18:00; Pulv. Ceftriaxone 1,0 г по 1 г 2 р/д на 0,9% 10 мл NaCl в/в струйно в 8:00 и 20:00; Sol. Citocolini 250 мг/мл 4 мл по 4 мл 1р/д в/в капельно №5 в 10:00; Sol. Sodium chloride 0,9% 100 мл по 10 мл 1р/д в/в капельно №5 в 5:00 и 10:00; Tabl. Spironolactone 25 мг по 2 таб 1р/д перорально в 7:00; Tabl. Lisinopril 20 мг по ¼ таб 2р/д перорально в 7:00 и 19:00 под контролем АД; Caps. Omeprazole 20 мг по 1 капс 2р/д за 30 мин до еды перорально в 8:00 и 17:00; Tabl. Glycine 100 мг по 1 таб 3 р/д сублингвально; Sol. Ketorolac 30 мг/мл 1 мл по 1 мл 1 р/д, до 3р/д при болях внутримышечно; Sol. Mannitol 150 мг/мл 400 мл по 200 мл 2р/д в/в капельно; Sol. Ciprofloxacin 0,2% 100 мл по 100 мл 2р/д в/в капельно в 8:00 и 20:00; Sol. Metamizole sodium 500 мг/мл 2 мл по 2 мл в/м при повышении температуры; Sol Diphenhydramine 10 мг/мл 1 мл по 1 мл в/м при повышении температуры; Sol. Paracetamol 10 мг/мл 100 мл по 100 мл 1р/д в/в капельно при повышении температуры выше 38 град; So;. Metronidazole 0,5% 100 мл 3р/д в/в капельно в 7:00, 14:00, 22:00; Sol. Potassium chloride+Calcium chloride+Magnesium chloride+Sodium acetate+Sodium chloride+Malic acidum 500 мл по 250 мл 2р/д в/в капельно в 8:00 и 19:00.
Благодаря проведенной операции и медикаментозному лечению больная пришла в сознание через 1 день. В восстановительный период у пациентки вернулось ясное сознание, исчезла головная боль и менингеальные симптомы. Повышенный тонус левых конечностей сохранился. Восстановился глоточный рефлекс, может есть без зонда. В динамике положительные изменения. Больной рекомендована следующая реабилитация: кинезотерапия, включая обучение ходьбы; бытовая терапия; профилактика разгибательных контрактур левых конечностей [1, с. 19].
Заключение: Геморрагический инсульт является смертельно опасным заболеванием, ведущим к тяжелым повреждениям головного мозга и снижению качества жизни больного как в социальном, так и физическом здоровье. Но при своевременной начатой терапии и правильной реабилитации удается свести к минимуму последствия данного патологическое состояния.
Использование радионуклидной диагностики в современной медицине
Одним из прогрессивных методов обследования, позволяющим оценивать не только анатомическое, но и функциональное состояние органов и систем организма, является радиоизотопная или радионуклидная диагностика. С ее помощью удается обнаруживать заболевания (в том числе и онкологические) даже на ранних стадиях их развития, которые характеризуются отсутствием ярко выраженной симптоматики. Таким образом, у врачей появляется возможность оказать пациенту своевременную медицинскую помощь, а у больного – шанс на излечение заболевания.
В чем заключается сущность радионуклидной диагностики
Радиоизотопное исследование – это разновидность лучевой диагностики, основанная на регистрации излучения, исходящего от радиоактивных веществ, введенных в организм пациента или в биологическую жидкость, содержащуюся в пробирке. Данные вещества известны как радиофармацевтические препараты (РФП). Так принято называть химические или биохимические соединения, молекулы которых включают радионуклиды.
Применяемые в диагностических целях радиоактивные изотопы в медицине отличаются коротким периодом полураспада, что обуславливает низкую лучевую нагрузку на организм человека. Выводятся они вместе с мочой. Чаще всего для обследования используют радионуклиды технеция, радиоактивного йода.
После попадания радиофармпрепарата в организм от тела пациента начинает исходить гамма-излучение, которое фиксируется гамма-камерами, проходит компьютерную обработку и преобразовывается в плоское или объемное анатомическо-функциональное изображение исследуемого органа.
Исходя из скорости распределения радиоактивного вещества в организме человека и мест его наибольшей концентрации, медики делают выводы о размерах, форме органа, его расположении, наличии в нем очагов патологии, нарушениях его работы.
Врач имеет возможность получить большой объем информации об исследуемых органах – от данных о клеточном метаболизме (обмене веществ) в них до сведений об их функционировании. Поскольку радиоизотопная диагностика позволяет отслеживать динамику процессов, происходящих на молекулярном и клеточном уровнях, она не дублирует результаты ультразвукового исследования (УЗИ), компьютерной томографии (КТ), магнитно-резонансной томографии (МРТ).
В каких случаях показано и противопоказано радионуклидное обследование
Радионуклидный метод диагностики имеет определенные показания и противопоказания. Так, радиоизотопное исследование может быть назначено с целью:
- обнаружения злокачественных новообразований и их метастазов в организме;
- выявления острых и хронических заболеваний сердца, легких, почек, печени, кишечника и других органов;
- оценки состояний органов после трансплантации;
- диагностики врожденных аномалий органов;
- обнаружения отклонений в работе органов и систем вследствие какого-либо заболевания;
- выявления нарушений кровообращения;
- оценки состояния органов после травм.
Противопоказания к обследованию подразделяются на абсолютные и относительные. В первую группу входит индивидуальная сверхчувствительность к радиофармпрепаратам, но встречается она крайне редко.
Вторая группа объединяет подозреваемую или установленную беременность и период грудного вскармливания у женщин, лихорадку, острые респираторные заболевания и психические расстройства, тяжелую печеночную и почечную недостаточность.
Назначая радиоизотопную диагностику пациентам, имеющим относительные противопоказания к ней, врач должен быть уверен, что ее потенциальная польза превысит возможный вред.
Методы радионуклидной диагностики
Для проведения диагностики используют радиоизотопные методы исследования in vivo и in vitro. В первом случае радиофармпрепарат вводится непосредственно в организм человека, после чего медики наблюдают за тем, как он распределяется в органах и тканях. Во втором же радиоактивное вещество добавляется в пробирку, содержащую исследуемую биологическую жидкость (к примеру, плазму, сыворотку крови, мочу), после чего проводится количественный учет результатов их взаимодействия при помощи методов радиометрии.
Радионуклидная диагностика in vivo позволяет установить, с какой скоростью проходит радиофармпрепарат через определенный орган и как быстро он выводится из организма. Исследование in vitro предоставляет возможность узнать концентрацию гормонов, ферментов, лекарственных препаратов в биологических жидкостях, даже если они там содержатся в ничтожно малых количествах.Радионуклидная диагностика
Как вводят радиофармпрепараты в организм
Существует несколько способов введения радионуклидов в организм пациента в диагностических целях:
- пероральный, который подразумевает всасывание радиоактивного вещества в кровь из желудочно-кишечного тракта и дальнейшее его накопление в исследуемом органе;
- внутривенный и внутриартериальный, при котором радионуклид сразу попадает в кровоток;
- ингаляционный, подразумевающий поступление радиофармпрепарата в организм через дыхательные пути;
- подкожный;
- в лимфатические сосуды;
- непосредственно в ткани исследуемого органа;
- в спинномозговой канал.
Способ введения радиоактивного вещества зависит от того, какой структурный компонент организма пациента необходимо исследовать.
Какими способами регистрируется распределение радиофармпрепарата в организме
Существует несколько разновидностей радионуклидной диагностики: радиометрия, радиография, томография, сцинтиграфия, радиоизотопное сканирование. Ключевое отличие между ними заключается в способе регистрации распределения радиофармпрепарата. Предлагаем вам подробнее ознакомиться с особенностями каждого из перечисленных выше видов исследования.
Что такое сцинтиграфия
Радиоизотопная сцинтиграфия является методом визуализации, позволяющим получать двухмерные изображения. Она бывает статической и динамической. В первом случае делают несколько сцинтиграмм (снимков), по которым изучают анатомо-топографическое состояние скелета, внутренних органов (почек, легких, щитовидной железы и так далее), а также обнаруживают в них очаги патологического скопления радиофармпрепарата.
Во втором случае с определенным интервалом выполняют серию двухмерных изображений. Путем их сложения получают динамические графики, отображающие характер перемещения радиоактивного вещества в исследуемом органе (к примеру, в почках, желчном пузыре, печени). Таким образом, удается оценить, насколько правильно он функционирует.
Исследование предоставляет возможность выявлять заболевания задолго до того, как произойдут изменения в тканях пораженных органов (в среднем, на 1-1,5 года раньше, чем рентгенодиагностика).
Сущность радиоизотопного сканирования «Whole body»
Радиоизотопное сканирование, выполняемое в режиме «Whole body», позволяет получать двухмерные изображения всего тела за счет использования особой гамма-камеры, обладающей большим полем зрения. Преимущество данного вида радиоизотопной диагностики, по сравнению со стандартной сцинтиграфией, заключается в большом объеме предоставляемых данных.
Для исследования не нужно несколько раз вводить радиофармпрепарат. Достаточно однократного его введения.
При помощи радиоизотопного сканирования удается обнаруживать метастазы злокачественных опухолей по всему организму, оценивать уровень эффективности лечения и планировать дальнейшую терапию.
Что являет собой радиометрия
Радиометрией в медицине принято называть метод измерения концентрации радиофармпрепарата в органах и тканях организма за определенный промежуток времени. Различают клиническую и лабораторную радиометрию. Первая используется для обнаружения злокачественных опухолей, расположенных на коже, слизистых оболочках матки, желудка, гортани.
Лабораторная радиометрия применяется для исследования биологических жидкостей в пробирках, в которые введен радиофармпрепарат. Радионуклидный анализ проводится с использованием автоматизированных радиометров, на конвейерах которых устанавливаются пробирки. Фиксируя излучение над емкостью с биологической жидкостью, устройства определяют концентрацию ферментов, гормонов в крови пациента.
Радиография как разновидность радиоизотопной диагностики
Радиографией называется исследование, направленное на регистрацию динамики накопления и процесса перераспределения радиоактивного вещества, введенного в организм пациента. Данная разновидность радионуклидной диагностики используется с целью исследования быстротекущих процессов (в частности, вентиляции легких, кровообращения).
Особенности и виды томографии
Томография – разновидность исследования, позволяющая получать послойную картину распределения радиоактивного вещества в органах и на основании этого создавать объемные (3D) изображения. Выделяют однофотонную эмиссионную компьютерную томографию (ОФЭКТ) и позитронно-эмиссионную томографию (ПЭТ). Отличие между ними заключается в том, что при ОФЭКТ после введения в организм пациента радиофармпрепарата стандартная камера захватывает по одному кванту (наименьшей частице энергии), исходящему от тела, а при ПЭТ – по два.
Томография как вид радионуклидной диагностики позволяет обнаруживать живые патологические ткани. Если, к примеру, после лечения рака на изображениях, полученных в ходе магнитно-резонансной томографии (МРТ) и компьютерной томографии (КТ), видны остатки разрушающейся опухоли, то ОФЭКТ и ПЭТ предоставляют возможность увидеть среди них даже единичные живые клетки.
В каких отраслях медицины чаще всего используется радионуклидная диагностика
Данная разновидность исследования нашла широкое применение в кардиологии, неврологии, урологии, эндокринологии, гастроэнтерологии, онкологии и других отраслях. О том, что помогает обнаружить радиоизотопное обследование различных органов, читайте далее.
Радионуклидная диагностика сердца
Методы радиоизотопного исследования в кардиологии применяются, если необходимо:
- установить точную локализацию повреждения миокарда (мышечного слоя сердца, составляющего основную его массу);
- провести диагностику ишемии (снижение кровоснабжения сердца в результате ослабления притока артериальной крови);
- подтвердить инфаркт (некроз сердечной мышцы в результате закупорки артерий или их спазма) миокарда;
- оценить систолическую (сокращение желудочков и предсердий при сердцебиении) и диастолическую (расслабление желудочков и предсердий при сердцебиении) функции сердца;
- определить степень атеросклеротического (связанного с отложениями холестерина) повреждения коронарных (доставляющих к миокарду насыщенную кислородом кровь) артерий;
- диагностировать стеноз (сужение) коронарных сосудов и так далее.
Радиоизотопное исследование сердца проводится, если нужно подтвердить необходимость хирургического вмешательства, а также оценить эффективность ранее назначенного пациенту лечения: химиотерапии, хирургической реваскуляризации (улучшение кровотока через коронарные сосуды путем их шунтирования) и других методов.
Радионуклидная диагностика печени и органов брюшной полости
Радиоизотопное исследование печени назначается, если есть подозрения на:
- цирроз (патологическое разрастание соединительной ткани в печени);
- гепатит (воспалительное заболевание печени);
- гепатомегалию (патологическое увеличение печени в размерах) и спленомегалию (патологическое увеличение селезенки в размерах);
- абсцессы (гнойные образования) в печени;
- добро- и злокачественные опухоли;
- метастазы рака других органов.
С помощью радионуклидной диагностики проводится оценка состояния органов брюшной полости после травм живота, моторики всего желудочно-кишечного тракта, концентрационной и двигательной способности желчного пузыря, проходимости желчных путей и кишечника.
Применение методов радионуклидного обследования для выявления рака
Радиоизотопная диагностика в онкологии позволяет определять:
- наличие опухоли в исследуемом органе (в том числе и на начальной стадии ее развития, когда отчетливые изменения в структуре органа не визуализируются, но функция его уже нарушена);
- доброкачественное это или злокачественное новообразование (дифференциальная диагностика);
- стадию развития опухоли;
- точное место локализации новообразования;
- наличие метастазов в регионарных (расположенных рядом) лимфоузлах в других органах.
Сцинтиграфия, ОФЭКТ и ПЭТ позволяют проводить анализ эффективности лечения рака на разных стадиях его развития и своевременно обнаруживать рецидивы.
Использование радиоизотопного обследования в других сферах медицины
Радионуклидная диагностика, кроме перечисленных возможных областей, применяется для:
- исследования анатомическо-функциональных особенностей почек (обеих сразу и каждой в отдельности);
- оценки обмена веществ в костной ткани в местах травм, определения наличия метастазов рака в разных участках скелета;
- выявления тромбоэмболии (закупорки) легочной артерии и ее ответвлений, изучения характера кровотока в легких при различных заболеваниях этого парного органа;
- исследования функциональной активности щитовидной железы;
- оценки кровотока в головном мозге при инсульте, черепно – мозговых травмах, психических расстройствах, эпилепсии.
Этот вид исследования используется для определения степени проходимости кровеносных и лимфатических сосудов, а также для изучения их анатомических особенностей.
Как подготовиться к исследованию
Перед процедурой пациенту нужно пройти специальную подготовку, особенности которой зависят от того, какой именно орган будет исследоваться. К примеру, если планируется радиоизотопная диагностика щитовидной железы, запрещено на протяжении как минимум трех месяцев до обследования делать рентгеновское исследование, принимать лекарственные средства, содержащие йод.
Исследование щитовидной железы, желудка, кишечника, печени, желчного пузыря проводится натощак (нельзя ужинать и завтракать пред процедурой). Перед радионуклидной диагностикой головного мозга, легких специальная подготовка не требуется.
За час до исследования всех без исключения органов и их систем пациенту рекомендуется выпить от 1 до 1,5 л негазированной воды.
Жидкость поможет предотвратить задержку радиоактивного вещества в организме и ускорит его выведение с мочой.
Непосредственно перед процедурой следует опорожнить мочевой пузырь.
Порядок проведения радиоизотопной диагностики
Сразу пациенту вводят радиофармпрепарат, а потом помогают ему принять такое положение тела, в котором удастся получить качественное изображение исследуемого органа. В течение первой минуты делают 1 кадр в секунду, а на протяжении следующих 20 минут – 1 кадр в минуту, чтобы посмотреть, как распределяется радиоактивное вещество. Диагностика длится около 20-40 минут, пока основная часть радиофармпрепарата не будет выведена вместе с мочой. В некоторых случаях с этой целью проводят катетеризацию мочевого пузыря.
Преимущества и недостатки радионуклидного исследования
Данная разновидность лучевой диагностики обладает спектром достоинств, среди которых следует назвать:
- неинвазивность;
- высокую информативность;
- универсальность (то есть использование для обследования различных органов и их систем);
- уникальность получаемых данных (сведения об анатомических особенностях органов в сочетании с информацией об их функционировании);
- минимальный риск аллергических реакций и прочих осложнений, отсутствие необходимости в специальной реабилитации пациента после процедуры.
Главными недостатками радиоизотопной диагностики считаются высокая стоимость, а также наличие (хоть и незначительное) лучевой нагрузки на организм пациента. Радиофармпрепараты здоровью взрослого человека вреда не причиняют, но способны негативно сказаться на развитии плода в утробе матери и на неокрепшем детском организме.
Итог
Радиоизотопная диагностика – прогрессивный метод исследования, неоспоримое преимущество которого состоит в предоставлении медикам данных об анатомическом и функциональном состоянии как отдельных органов, так и всего организма в целом. Лучевая нагрузка, которую получает пациент во время процедуры, ниже, чем при рентгенологическом исследовании. Благодаря высокому уровню информативности радионуклидной диагностики у пациентов есть шанс на полное выздоровление при своевременно начатом лечении обнаруженной болезни.
Читайте также:
