Инвазивный грибковый синусит - лучевая диагностика
Добавил пользователь Евгений Кузнецов Обновлено: 28.01.2026
ФНКЦ «ДГОИ им. Дмитрия Рогачева», Москва, Россия
ФГБУЗ "КБ №86" ФМБА России, Москва
Гигантское грибковое тело клиновидной пазухи с деструкцией основания черепа
Журнал: Вестник оториноларингологии. 2012;77(3): 96‑98
Полев Г.А., Галкина Т.А. Гигантское грибковое тело клиновидной пазухи с деструкцией основания черепа. Вестник оториноларингологии. 2012;77(3):96‑98.
Polev GA, Galkina TA. The giant fungal body in the sphenoidal sinus and the destruction of the skull base. Vestnik Oto-Rino-Laringologii. 2012;77(3):96‑98. (In Russ.).
Цель исследования - оценка эффективности применения оптических систем с меняющимся углом обзора при эндоскопических операциях на околоносовых пазухах. Представлено клиническое наблюдение пациента с гигантским грибковым телом клиновидной пазухи, частично разрушившим костный канал зрительного нерва и внутренней сонной артерии. Произведена эндоскопическая сфеноидотомия парасептальным доступом с применением синускопа с меняющимся углом обзора. Показано, что применение оптики с меняющимся углом обзора позволяет экономить время операции, облегчает ориентацию в труднодоступных регионах, обеспечивавет лучший контроль при удалении новообразований основания черепа.
Несмотря на некоторые разногласия относительно классификации грибковых риносинуситов (ГРС), общепринятая система разделяет ГРС на инвазивные и неинвазивные в зависимости от степени инвазии мицелия в слизистую оболочку по данным гистологического исследования. К инвазивным ГРС относятся: острый инвазивный (фульминантный) ГРС, гранулематозный инвазивный ГРС и хронический инвазивный ГРС. Группа неинвазивных ГРС включает аллергический грибковый риносинусит и грибковое тело.
Грибковое тело представляет собой плотный конгломерат грибковых гиф в одной из околоносовых пазух (чаще всего верхнечелюстной) без признаков инвазии в слизистую оболочку [1]. Для описания грибкового тела в литературе попеременно использовались различные термины, такие как мицетома, аспергиллома и хроническая неинвазивная гранулема [2]. Использование термина «мицетома» сегодня не считается корректным, поскольку под мицетомой подразумевается локальная хроническая инвазия бактерий или грибов в подслизистый слой с формированием гранулемы. Термин «аспергиллома» также некорректен, так как данный процесс не всегда вызывается грибком рода Aspergillus. Общепринятым, таким образом, является термин «грибковое тело». Данный патологический процесс характеризуется следующими критериями: затемнение полости пазухи по данным рентгенологического исследования (при этом может наблюдаться гетерогенность затемнения, слизисто-гнойное отделяемое в полости пазухи, плотный конгломерат грибковых гиф при отсутствии признаков инвазии слизистой оболочки), а также неспецифическое хроническое воспаление слизистой оболочки [3]. Интересно, что этот процесс чаще поражает женщин среднего и пожилого возраста, напротив, все формы инвазивного и хронического аспергиллеза чаще обнаруживаются у мужчин [4]. Использование термина «грибковое тело» подразумевает отсутствие инвазии в слизистую оболочку, однако в редких случаях происходит инвазия, к чему предрасполагает иммуносуппрессия, например после трансплантации почки [5]. Грибковое тело имеет характерную крошащуюся консистенцию, также в подавляющем большинстве случаев наблюдается гетерогенность затемнения пазухи по данным компьютерной томографии [6]. Приблизительно в 70% случаев диагноз грибкового тела ставится только по данным гистологического исследования и микроскопии, посевы при этом оказываются отрицательными. Общепринятой ранее тактикой являлась биопсия слизистой оболочки пораженной пазухи для установления отсутствия инвазии, однако в литературе описаны случаи развития инвазивного аспергиллеза с летальным исходом после взятия фрагментов слизистой оболочки при наличии грибкового тела в клиновидной пазухе [7]. Таким образом, для постановки диагноза достаточно данных лучевых методов диагностики, интраоперационных наблюдений, а также микроскопического исследования фрагментов грибкового тела.
Целью данной работы является оценка эффективности применения оптики с меняющимся углом обзора при эндоскопических операциях на клиновидной пазухе.
Представляем клиническое наблюдение ГРС.
Больной Е., 73 лет, поступил с жалобами на двоение в глазах, головную боль умеренной интенсивности. Данные жалобы беспокоили больного около месяца; первое, на что он обратил внимание, была невозможность сфокусировать взгляд на удаленных предметах. Больной был госпитализирован в неврологический стационар с подозрением на инсульт, где 3 недели лечился консервативно без эффекта. В связи с отсутствием эффекта от проводимого лечения пациенту выполнена магнитно-резонансная томография головного мозга, обнаружено новообразование клиновидной пазухи. При поступлении в ЛОР-стационар отведение левого глаза полностью отсутствовало. Больной консультирован офтальмологом, диагностировано паралитическое косоглазие левого глаза. Эндориноскопическая картина без особенностей, за исключением участка выбухания и гиперемии слизистой оболочки в области естественного соустья клиновидной пазухи слева.

В рамках предоперационной подготовки для представления об объеме костной деструкции выполнена КТ околоносовых пазух. Обнаружена эрозия костного канала зрительного нерва слева, костного канала левой внутренней сонной артерии (рис. 1). Рисунок 1. Компьютерная томограмма ОНП (аксиальная проекция) больного Е. Затемнение обеих клиновидных пазух, дефекты костного канала зрительного нерва слева, костного канала левой внутренней сонной артерии (указано стрелками). Принято решение о необходимости эндоскопической сфеноидотомии с ревизией клиновидной пазухи и, при необходимости, удалении новообразования с последующим его гистологическим исследованием. Предоперационный диагноз: новообразование клиновидной пазухи. Паралитическое косоглазие слева.

Произведена сфеноидотомия парасептальным доступом, при этом использовалась оптика ULYSS («Sopro-Comeg GmbH», Германия). Синускоп ULYSS с меняющимся углом обзора особенно удобен при операциях на клиновидной пазухе, поскольку позволяет дойти до расширенного соустья с торцевым углом обзора, а далее провести осмотр полости пазухи с помощью 45, 70 и 100° обзора. В данном случае это особенно значимо, поскольку при расширении естественного соустья и аспирации слизисто-гнойного отделяемого было визуализировано грибковое тело, движущееся маятникообразно в соответствии с пульсом пациента. Кроме того, основная масса грибкового тела располагалась ниже уровня естественного соустья. Поэтому возможность смены угла обзора, не выходя при этом из полости пазухи, позволила осмотреть латеральную стенку с выпячиванием канала зрительного нерва, зрительно-каротидное углубление, эрозированный канал внутренней сонной артерии, а также дно клиновидной пазухи. Смена угла обзора внутри клиновидной пазухи ощутимо сэкономила время операции, позволила чувствовать себя «безопаснее» в столь сложной ситуации (рис. 2). Рисунок 2. Эндофотография клиновидной пазухи больного Е. После сфеноидотомии парасептальным доступом визуализировано грибковое тело, движущееся маятникообразно в такт пульсу пациента. Заключительный клинический диагноз — грибковое тело клиновидной пазухи.

Послеоперационный период гладкий. На 5-й день произведен туалет оперированной полости под эндоскопическим контролем. Для лучшего осмотра оперированной полости также использована модель ULYSS. На 7-й день после операции отведение левого глаза восстановилось на 80%, исчезла головная боль. При эндоскопическом исследовании соустье клиновидной пазухи слева широкое, функционирует, что подтверждено данными КТ (рис. 3). Рисунок 3. Компьютерная томограмма ОНП (аксиальная проекция) больного Е. на 7-е сутки после операции по поводу грибкового тела. Воздушность клиновидной пазухи полностью восстановлена, естественное соустье пазухи достаточного размера (указано стрелкой), что обеспечивает адекватную аэрацию пазухи в послеоперационном периоде. Однако в связи с частичным разрушением канала левой внутренней сонной артерии пациенту рекомендовано динамическое наблюдение.
Заключение
Использование оптических систем с меняющимся углом обзора является новой вехой в развитии эндоскопической синусохирургии, позволяет экономить время операции, свободнее ориентироваться в одном из наиболее сложных анатомических регионов. Оптика ULYSS имеет диаметр 4,2 мм, что позволяет хирургу, привыкшему к применению стандартных 4-миллиметровых оптических систем, перейти к использованию новой оптики и ощутить удобство системы «5 в одном» (угол обзора может изменяться от 10 до 100°).
Инвазивный грибковый синусит - лучевая диагностика
КТ, МРТ при инвазивном грибковом синусите
а) Терминология:
1. Аббревиатуры:
• Инвазивный грибковый синусит
• Острый инвазивный грибковый риносинусит (ОИГРС)
• Хронический инвазивный грибковый риносинусит (ХИГРС)
• Гранулематозный инвазивный грибковый риносинусит (ГИГРС)
2. Определения:
• ОИГРС: быстро прогрессирующая (часы-дни) трансмукозальная грибковая инфекция пазух у пациентов с иммунодефицитом, с инвазией сосудов, костей, мягких тканей, орбит и интракраниальных структур, приводящая к «сухой гангрене»
• ХИГРС: индолентная (недели-месяцы) инфекция (демитиазные > гиалиновые формы или мукормикозы); более тяжелый иммунодефицит, чем при ОИГРС
• ГИГРС: преимущественно обнаруживается в Судане, Индии, Пакистане, Саудовской Аравии: постепенная грибковая инвазия орбит, носа, околоносовых пазух, верхней челюсти с характерными неказеозными гранулемами
б) Визуализация:
1. Общая характеристика:
• Лучший диагностический критерий:
о Снижение пневматизации пазухи с фокальными эрозиями костей, инфильтрацией окружающих мягких тканей, отсутствием контрастирования слизистой оболочки
о ≥2 положительных признаков из семи: 100% специфичность и 100% ППЗ:
- Инвазия периантрального жира, орбиты, крылонебной ямки, носослезного протока, слезного мешка; изъязвление носовой перегородки; деструкция костей
• Локализация:
о ОИГРС: часто начинается в средней носовой раковине, распространяясь в верхнечелюстную и решетчатую пазухи > основную пазуху:
- Возможно распространение из пазухи в любом направлении с инвазией соседних структур
о ХИГРС: в основном решетчатые и сфеноидальные пазухи
• Морфология:
о Плохо отграниченный/опухолевидный патологический очаг

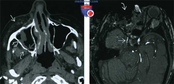
(Слева) При аксиальной КТ без КУ у пациента с диабетом и мукормикозом (ОИГРС) определяется циркулярное поражение правой верхнечелюстной пазухи с выраженными эрозиями задней стенки и замещением жировой клетчатки ретроантральной области и крылонебной ямки мягкотканным компонентом.
(Справа) При аксиальной МРТ Т1 С+ FS визуализируются фокальные неконтрастирующи-еся зоны в слизистой оболочке верхнечелюстной пазухи, соотносящиеся с некротическим струпом, жировая клетчатка ретро-антральной области и крылонебной ямки замещена мягкотканный компонентом.
2. КТ при инвазивном грибковом синусите:
• КТ без КУ:
о Наиболее ранние изменения = одностороннее утолщение мягких тканей носа
о Полное или частичное снижение пневматизации пораженной пазухи с мягкоктанным компонентом; утолщение слизистой оболочки
о Повышение плотности содержимого подозрительно на грибковую инфекцию, чаще хроническую, чем острую
о Фокальные эрозии стенок пазухи:
- Эрозия костей минимальна, т.к. грибы распространяются вдоль сосудов
о Инфильтрация прилежащего жира и мягких тканей:
- Верхнечелюстная пазуха: инфильтрация предчелюстного жира (переднего, предчелюстного или ретроантрального)
- Может не сочетаться с деструкцией костей вследствие распространения по периваскулярным каналам
- Может быть обусловлена отеком вследствие застоя в сосудах, инфильтрации тканей грибками
• КТ с КУ:
о Возможно контрастирование периантральных мягких тканей, соседних мышц
• КТА:
о Сужение/окклюзия артерий; оценка территориальной ишемии, обнаружение псевдоаневризм
• КТВ: для идентификации тромбоза кавернозного синуса
3. МРТ при инвазивном грибковом синусите:
• Т1ВИ:
о Вариабельный сигнал в содержимом вовлеченной пазухи:
- Зависит от содержания белка/воды, наличия грибов
о ↓ сигнала (как в мягких тканях) в периантральной клетчатке:
- Ключевая последовательность для обнаружения инфильтрации жировых пластинок
• Т2ВИ:
о Вариабельная интенсивность содержимого в пазухах
- Грибы могут обусловливать гипоинтенсивный (Т2) сигнал
о FS: гиперинтенсивный отек
• Т1ВИ С+:
о Отсутствие контрастного усиления:
- Гипоинтенсивная слизистая оболочка, не накапливающая контраст (симптом черной носовой раковины): некротический струп
о Контрастное усиление вовлеченных мягких тканей
о Лептоменингеальное контрастное усиление
• МРА:
о Поражение сосудов (сужение, нарушение целостности, тромбоз)
4. Ангиография:
• Сужение, пересечение, тромбоз, псевдоаневризма
5. Рекомендации по визуализации:
• Лучший метод визуализации:
о КТ с КУ в мягкотканном и костном окне для оценки инфильтрации мягких тканей и эрозий костей
о МРТ больше подходит для оценки интраорбитального и интракраниального распространения, определения размеров очагов, не накапливающих контраст

(Слева) При корональной КТ без КУ у пациента с диабетом, почечной недостаточностью, жалобами на боль в глазу определяется снижение пневматизации левой верхнечелюстной пазухи, ячеек решетчатой кости с выраженным эктра- и интракональным ретроорбитальным мягкотканным компонентом, окружающим и смещающим внутреннюю и нижнюю прямые мышцы.
(Справа) При аксиальной МРТ Т1 определяется поражение решетчатой пазухи с чрескостным распространением в ретрорбитальные мягкие ткани. Была выполнена экзентерация орбиты, максиллэктомия, этмоидэктомия, подтвердился ОИГРС (Mucor).
в) Дифференциальная диагностика инвазивного грибкового синусита:
1. Осложненный риносинусит:
• Пациент может иметь нормальный иммунный статус
• Эрозии костей менее вероятны
• Уровень однородной жидкости и газа, утолщение слизистой оболочки
• Осложнения: поднадкостничный постсептальный абсцесс, тромбоз кавернозного синуса, менингит и абсцесс мозга (могут выглядеть аналогично ОИГРС)
2. Гранулематоз носа/пазух с полиангиитом:
• Поражение полости носа (перегородки и носовых раковин)
• Менее опухолеподобный мягкотканный компонент, выраженные эрозии костей
• Возможно вовлечение орбит и основания черепа
3. Плоскоклеточный рак носа/пазух:
• Обычно у пациентов с иммунодефицитом
• Чаще всего в верхнечелюстной пазухе
• Солидное объемное образование с деструкцией костей
4. Неходжкинская лимфома носа/пазух:
• Солидное однородное объемное образование в полости носа
• ↓ сигнала (Т2) вследствие ↑ ядерно-цитоплазматического отношения может имитировать грибы

(Слева) При аксиальной КТ без КУ у пациента с диабетом определяется относительно легкое поражение слизистой оболочки правой верхнечелюстной пазухи. Обращает на себя внимание замещение предчелюстной и ретроантральной жировой клетчатки инфильтративным мягкотканным компонентом (подтвержденный ОИГРС, Mucor). Определяется незначительное нарушение целостности костей задней стенки верхнечелюстной пазухи.
(Справа) При аксиальной MPA (ТОР) после экзентерации правой орбиты определяется неравномерное сегментарное сужение просвета кавернозного сегмента правой внутренней сонной артерии вследствие ОИГРС (Mucor).
г) Патология:
1. Общая характеристика:
• Этиология:
о Инвазия сосудов и мягких тканей грибами у пациентов высокого риска с нейтропенией/дисфункцией нейтрофилов:
- Плохо контролируемый сахарный диабет (48%), в половине случаев с диабетическим кетоацидозом
- Злокачественные новообразования крови (39%)
- Использование кортикостероидов (28%)
- Почечная или печеночная недостаточность (7%)
- Трансплантация паренхиматозного органа (6%)
- ВИЧ/СПИД (2%)
- Аутоиммунное заболевание (1%)
о Редко встречается у пациентов с ненарушенной иммунной функцией
о Распространение из пазух: инвазия сосудов
2. Стадирование, классификация инвазивного грибкового синусита:
• Три различных кпинических/патологических подгруппы ОИГРС:
о Острый (фульминантный) инвазивный ГРС
о Хронический инвазивный ГРС
о Гранулематозный инвазивный ГРС
• Диагностика заключается в обнаружении инвазивных грибов путем биопсии слизистой оболочки, подслизистой основы, кости
3. Макроскопические и хирургические особенности:
• ОИГРС: некроз, искажение цвета тканей, обусловленное грибами
4. Микроскопия:
• ОИГРС:
о Инвазия гифами слизистой/подслизистой оболочки и кровеносных сосудов
о Инфаркт и нейтрофильный инфильтрат
• ХИРГС:
о Плотное скопление гифов, в единичных случаях инвазия сосудов
о Разбросанные зоны воспаления
о >50% Aspergillus fumigatus
• ГИГРС:
о Неказеозный гранулематоз с выраженным фиброзом и немногочисленными гифами
о Васкулит, сосудистая пролиферация, периваскулярный фиброз
о Чаще всего Aspergillus flaws
д) Клинические особенности:
1. Проявления:
• Типичные признаки/симптомы:
о ОИГРС: отек лица (65%), лихорадка (63%), заложенность носа (52%), глазная симптоматика (50%), головная боль (46%), параличи ЧН (42%)
о ХИГРС: боль, заложенность носа, носовое кровотечение, полипоз
о ГИГРС: объемное образование (увеличение) щек, орбит, носа/пазух
• Клинический профиль:
о ОИГРС: быстро прогрессирующая (часы-дни) инвазивная грибковая инфекция у иммуноскомпроментированного пациента
о ХИГРС: медленный деструктивный процесс (> 12 недель) у пациента с СПИД, СД, на фоне приема кортикостероидов:
- Может обнаруживаться у пациента с иммунодефицитом
- Может развиться спустя месяцы/годы, персистировать, рецидивировать
о ГИГРС: увеличение щек, объемное образование глазниц, но-са/пазух (> 12 недель) у иммунокомпетентного хозяина
2. Демография:
• Возраст:
о Обычно у взрослых, средний возраст 42 года
• Пол:
о Мужской 67%, женский 43%
• Эпидемиология:
о Пациенты с диабетом или иммунодефицитом и предрасполагающими состояниями
о ГИГРС: Судан, Индия, Пакистан, Саудовская Аравия
3. Течение и прогноз:
• ОИГРС: без адекватного хирургического и медикаментозного лечения может быть быстро прогрессирующим (часы-дни) и фатальным:
о Смертность 50-80%
о Наилучший прогноз: если заболевание ограничено пазухами и проксимальными тканями, при диабете; отсутствии патологических очагов, не накапливающих контраст, вне носа/пазух
о Неблагоприятный прогноз: поражение орбит и интракраниальных структур, персистирующие очаги, не накапливающие контраст, после хирургического лечения, активные болезни крови
о ОИГРС (основной пазухи) может приводить к тромбозу кавернозного синуса, окклюзии сонных артерий, формированию грибковой аневризмы, дисфункции ЧН, инфаркту мозга
4. Лечение:
• Радикальная санация до достижения гистопатологически нормальной ткани:
о Преоперативная идентификация неконтрастирующихся очагов необходима для примерного определения краев резекции
• Противогрибковая терапия амфотерицином В:
о Грибки рода Mucor нечувствительны к азолам
• Коррекция состояний, приводящих к иммунодефициту
е) Диагностическая памятка:
1. Следует учесть:
• ОИГРС у пациента с диабетом/иммунодефицитом с заболеванием верхнечелюстных пазух и «грязной» периантральной клетчаткой, даже если эрозия костей отсутствует
2. Советы по интерпретации изображений:
• Нельзя ошибочно принимать периантральный жир вариабельного объема или нормальную мускулатуру за инфильтрацию жировой клетчатки
• Оцените поражение орбит, полости черепа
• Тщательно оцените кавернозные синусы, основную артерию и внутренние сонные артерии при сфеноидальном ОИГРС
• На пре- и постоперационных томограммах нужно искать неконтрастирующиеся очаги
1. Аббревиатура:
• Инвазивный грибковый синусит (ИГС)
2. Синонимы:
• Острый инвазивный грибковый риносинусит (ОИГРС): острый некротизирующий ГРС
• Гранулематозный инвазивный грибковый риносинусит (ГИГРС): первичная параназальная гранулема, вялотекущий грибковый синусит
3. Определения:
• ОИГРС: быстро прогрессирующая грибковая инфекция пазух у пациента с иммунодефицитом, с вовлечением слизистой оболочки и поражением кровеносных сосудов, костей, мягких тканей, глазницы, интракраниальных структур
• ГИГРС: редко наблюдается в США; вялотекущий профузный рост грибков с наличием неказеозных гранулем
• Хронический инвазивный грибковый риносинусит (ХИГРС): плотное скопление гифов, напоминающее мицетому (из которой и могут возникать данные скопления); связан с синдромом вершины орбиты, сахарным диабетом (СД), терапией кортикостероидами
1. Общая характеристика:
• Лучший диагностический критерий:
о Нарушение пневматизации пазухи с фокальными эрозиями костей, инфильтрацией прилежащих мягких тканей
• Локализация:
о ОИГРС: преимущественно верхнечелюстные и решетчатые пазухи, затем сфеноидальная пазуха:
- Инфекция может распространяться из пазухи в любом направлении
о ГИГРС: преимущественно решетчатые и сфеноидальные пазухи
• Морфология:
о Плохо отграниченное или опухолеподобное поражение

(Слева) На аксиальной КТ с КУ у пациента с инвазивным мукормикозом левой верхнечелюстной и решетчатой пазухи определяется тромбоз кавернозного синуса и кавернозного сегмента внутренней сонной артерии (ВСА) слева. Обратите внимание, что правая ВСА заполняется контрастом.
(Справа) На аксиальной MPT (Т1 ВИ С+ FS) у этого же пациента определяется распространенное поражение левого кавернозного синуса, а также окклюзия интракраниального сегмента ВСА, обусловленная инвазивной грибковой инфекцией левого кавернозного синуса.
2. КТ при инвазивном грибковом синусите:
• КТ без КУ:
о Полное или частичное снижение пневматизации пораженной пазухи за счет мягких тканей; утолщение слизистой оболочки
о Повышение плотности секрета позволяет предположить грибковую инфекцию, обычно хроническую, а не острую
о Фокальные эрозии стенки пазухи:
- Эрозии кости (по ходу распространения грибковой инфекции вдоль сосудов) могут быть едва различимы
о Инфильтрация прилежащей жировой клетчатки и других мягких тканей:
- Верхнечелюстная пазуха: инфильтрация околочелюстной клетчатки (передней, предчелюстной или ретроантральной)
- Может наблюдаться в отсутствие деструкции костей вдоль периваскулярных каналов
- Отек, обусловленный сосудистым застоем; инфильтрация элементами грибков
• КТ с КУ:
о Возможно накопление контраста в мягких тканях вокруг пазухи, в т.ч. мышцах
• КТА:
о Сужение/окклюзия артериальных или венозных сосудов
- Формирование псевдоаневризмы
о КТВ: лучше подходит для подтверждения тромбоза кавернозного синуса
3. МРТ при инвазивном грибковом синусите:
• Т1 ВИ:
о Вариабельный сигнал в материале, заполняющем пораженную пазуху:
- Зависит от содержания белка/воды, наличия грибковых элементов
о Снижение интенсивности сигнала в периантральной жировой клетчатке (аналогично мышцам)
• Т2 ВИ:
о Вариабельный сигнал в секрете, заполняющем пазухи:
- Грибковые элементы: гипоинтенсивный сигнал
о При подавлении сигнала от жира может наблюдаться гиперинтенсивный сигнал (отек пораженных мягких тканей)
• Т1 ВИ С+:
о Контрастирование пораженных мягких тканей
о Контрастирование оболочек мозга
• МРА:
о Поражение сосудов (сужение, диссекция, тромбоз)
4. Ангиография:
• Поражение сосудов (сужение, диссекция, тромбоз, формирование псевдоаневризмы)
5. Рекомендации по визуализации:
• Лучший метод визуализации:
о КТ с КУ в костном и мягкотканном окне для оценки эрозий костей, инфильтрации мягких тканей
о МРТ лучше подходит для оценки интраорбитального и интракраниального распространения
• Выбор протокола:
о Спиральная аксиальная КТ с КУ с толщиной срезов о МРТ (Т1 ВИ С+ FS) рекомендуется для оценки распространения процесса за пределы пазух

(Слева) На аксиальной МРТ (Т1 ВИ С+) - типичный случай верхнечелюстного грибкового гайморита с распространением в окружающие мягкие ткани, в т.ч. в жевательное пространство, и контрастным усилением жевательных мышц.
(Справа) На аксиальной MPT (Т2 ВИ FS) у этого же пациента определяется гипоинтенсивный сигнал в пазухе, характерный для грибковой инфекции. Обратите внимание на гиперинтенсивный сигнал в пораженных жевательных мышцах.
1. Осложненный риносинусит:
• Может возникать в отсутствие иммунодефицита
• Менее вероятны эрозии костей
• Уровни однородной жидкости и газа, утолщение слизистой оболочки на периферии пазухи
• Осложнения: поднадкостничный постсептальный абсцесс, тромбоз кавернозного синуса, менингит, абсцесс мозга (проявляются так же, как и при ОИГРС)
2. Гранулематоз с полиангиитом:
• Обычно поражается полость носа (носовая перегородка и раковины)
• Менее опухолеподобное поражение мягких тканей; выраженные эрозии костей
• Возможно поражение глазницы и основания черепа
3. Плоскоклеточный рак носа и околоносовых пазух:
• Пациент обычно иммунокомпетентен
• Преимущественное поражение верхнечелюстной пазухи
• Солидная опухоль с деструкцией кости
4. Синоназальная неходжкинская лимфома:
• Солидная опухоль однородной структуры в полости носа
• ↑ Т2 сигнал, обусловленный ↓ ядерно-цитоплазматическим отношением, может имитировать грибковое поражение

(Слева) На аксиальной МРТ (Т1 ВИ С+) у пациента, получавшего иммуносупрессоры после трансплантации, определяется инвазивный грибковый синусит с поражением ячеек решетчатого лабиринта справа и распространением инфекции в правую глазницу вокруг прямых мышц и с поражением вершины. Определяются также признаки интракраниального распространения через верхнюю глазничную щель.
(Справа) На корональной МР (Т2 ВИ) у этого же пациента в верхних внутренних отделах глазницы определяется гипоинтенсивный сигнал, характерный для грибкового поражения.
1. Общая характеристика:
• Этиология:
о ОИГРС: грибковая инвазия сосудов и мягких тканей на фоне многочисленных предрасполагающих состояний:
- Нейтропения/нейтрофильная дисфункция
- Неконтролируемый СД
- Злокачественные опухоли системы крови, апластическая анемия
- Гемохроматоз
- Постоянная иммуносупрессивная терапия после трансплантации/химиотерапия
о Распространение из пазух путем инвазии сосудов
2. Классификация инвазивного грибкового синусита:
• Актуальная классификация Международного Общества по вопросам микологии человека и животных от февраля 2008 г.
о Основана на гистопатологических признаках инвазии слизистой оболочки:
- Активный инвазивный (фульминантный) ГРС, гранулематозный инвазивный ГРС, хронический инвазивный ГРС
3. Макроскопические и хирургические особенности:
• ОИГРС: некроз пораженных тканей; изменение цвета, обусловленное наличием грибков
4. Микроскопия:
• ОИГРС:
о Инвазия гифами слизистой и подслизистой оболочки, кровеносных сосудов
о Обширный инфаркт тканей, инфильтрация нейтрофилами
• ГИГРС:
о Неказеозная гранулематозная реакция с выраженным фиброзом и небольшим количеством гифов
о Васкулит, пролиферация сосудов, периваскулярный фиброз
о Преимущественно Aspergillus flavus
• ХИГРС:
о Плотные скопления гифов и (иногда) инвазия сосудов
о Разбросанная воспалительная реакция
о >50% Aspergillus fumigatus
1. Проявления:
• Типичные признаки/симптомы:
о ОИГРС: остро начинающаяся лихорадка, безболезненная язва носовой перегородки, синусит; прогрессирование с появлением головной боли, симптомов поражения глазницы
о ГИГРС: утолщение в области щеки, глазницы; или объемное образование синоназальной области
о ХИГРС: боль в пазухе, выделения из носа, носовое кровотечение, лихорадка, полипоз
• Клинический профиль:
о ОИГРС: быстро прогрессирующая (- С распространением за пределы пазухи за счет инвазии сосудов
о ГИГРС: утолщение в области щеки, глазницы, либо объемное образование синоназальной области длительностью >12 недель у иммунокомпетентного хозяина
о ХИГРС: медленный деструктивный процесс (>12 недель) у пациентов со СПИДом, СД, либо на фоне терапии кортикостероидами:
- Может обнаруживаться у иммунокомпетентных пациентов
- До возникновения симптоматики могут пройти месяцы/годы; заболевание может персистировать и рецидивировать
2. Демография:
• Возраст:
о Обычно заболевают взрослые
• Эпидемиология:
о Диабет или иммунодефицит на фоне предрасполагающих состояний
о ГИГРС: преимущественно наблюдается в Судане, Индии, Пакистане, Саудовской Аравии
3. Течение и прогноз:
• ОИГРС: может быстро прогрессировать и в отсутствие адекватного хирургического или медикаментозного лечения приводить к гибели в течение дней или недель:
о Летальность 50-80%
о Прогноз сомнительный, если поражение ограничено пазухой и непосредственно прилежащими к ней тканями
о Наиболее опасные осложнения: интраорбитальное и интракраниальное распространение
о ОИГРС сфеноидальной пазухи может привести к тромбозу кавернозного синуса, окклюзии сонных артерий, формированию грибковой аневризмы, дисфункции черепно-мозговых нервов, инфаркту мозга
4. Лечение:
• Радикальная хирургическая обработка до достижения гистопатологически нормальной ткани
• Противогрибковая терапия амфотерицином В (грибки рода Mucor нечувствительны к «азолам»)
• Коррекция состояний, приведших к иммунодефициту:
о Коррекция данных состояний может ↓ смертность до 18%
1. Следует учесть:
• ОИГРС у пациентов сдиабетом/иммунодефицитом и поражением верхнечелюстных пазух; даже в отсутствие эрозий костей пе-риантральная клетчатка остается «мутной»
2. Советы по интерпретации изображений:
• Не путайте мышцы или периантральную клетчатку, объем которой может в норме варьировать, с инфильтративным поражением
• Оцените глазницу, интракраниальные структуры (контрастирование мозговых оболочек)
• У пациентов с ОИГРС сфеноидальной пазухи тщательно исследуйте кавернозный синус, внутреннюю сонную артерию
ж) Список использованной литературы:
1. Goldfarb JM et al: Update on nonmalignant lesions of the inferior turbinate. Curr Opin Otolaryngol Head Neck Surg. 25(1):69-72, 2017
2. D'Anza В et al: Chronic invasive fungal sinusitis: characterization and shift in management of a rare disease. Int Forum Allergy Rhinol. 6(12): 1294-1300, 2016
3. Humphrey JM et al: Invasive aspergillus sinusitis in human immunodeficiency virus infection: case report and review of the literature. Open Forum Infect Dis. 3(3):ofw135, 2016
4. Kim YK et al: Extrasinonasal infiltrative process associated with a sinonasal fungus ball: does it mean invasive fungal sinusitis? Diagn Interv Radiol. 22(4):347-53, 2016
5. Richter AL et al: Chronic invasive fungal sinusitis causing a pathologic Le Fort I fracture in an immunocompetent patient. Ear Nose Throat J. 95(9):E1 -3, 2016
6. Smith A et al: Invasive fungal sinusitis in the pediatric population: Systematic review with quantitative synthesis of the literature. Int J Pediatr Otorhinolaryngol. 90:231-235, 2016
7. Chakrabarti A et al: Fungal rhinosinusitis: a categorization and definitional schema addressing current controversies. Laryngoscope. 119(9): 1809-18, 2009
Синусит
Синусит – инфекционно-воспалительный процесс, затрагивающий слизистую оболочку околоносовых пазух. Может иметь вирусную, бактериальную, грибковую или аллергическую природу. К общим симптомам, характеризующим течение синуситов, относятся повышение температуры тела, боль в проекции придаточных пазух, затруднение носового дыхания, серозно-гнойное отделяемое из носа. Синуситы распознаются на основании данных рентгенографии, УЗИ, КТ и МРТ околоносовых пазух, диагностической пункции. При синуситах проводится антибиотикотерапия, физиотерапия, лечебные промывания, пункции и дренирования, традиционные и эндоскопические операции на придаточных пазухах носа.


Общие сведения
Синусит – воспалительный процесс в одной или нескольких придаточных пазухах носа. Синуситы диагностируются у 0,02% взрослого населения; у детей инфекции верхних дыхательных путей осложняются развитием синусита в 0,5% случаев. В отоларингологии к синуситам относятся воспаления: верхнечелюстной пазухи – гайморит, лобных пазух – фронтит, клиновидной пазухи – сфеноидит, лабиринта решётчатой кости – этмоидит. По течению выделяют острый и хронический синуситы. Отмечается повышенная температура, головная боль, заложенность и гнойные выделения из носа, отек лица в зоне воспаленной пазухи. При отсутствии лечения развиваются серьезные осложнения: воспаление зрительного нерва и оболочек глаза, остеомиелит, абсцесс мозга, менингит.
Причины синуситов
Носовая полость сообщается с семью придаточными (параназальными) пазухами: двумя лобными, двумя верхнечелюстными, двумя решетчатыми и одной клиновидной. Пазухи соединены с носовой полостью узкими ходами. Через эти ходы осуществляется постоянное дренирование (очищение) пазух. Если пазухи по какой-то причине перестают очищаться, в них застаивается секрет и создаются благоприятные условия для развития синусита.
Соустья носовых пазух могут блокироваться при различных деформациях внутриносовых структур (гипертрофические риниты, искривление носовой перегородки, аномалии строения решетчатого лабиринта и носовых раковин). Вирусная инфекция является еще одним фактором риска возникновения синуситов. В результате воспаления слизистая оболочка придаточных пазух и носовой полости отекает. Слизистые железы начинают вырабатывать большое количество секрета. Соустья параназальных пазух еще больше сужаются из-за отека слизистой и забиваются густым патологическим секретом.
Нарушение вентиляции, застой отделяемого и дефицит кислорода в тканях пазух становятся толчком для интенсивного развития условно-патогенной флоры. К вирусной инфекции присоединяется бактериальная. Степень выраженности проявлений синусита зависит от вирулентности вызывавших воспаление микробов. Широкое применение антибиотиков приводит к тому, что бактериальная флора, ставшая причиной развития синусита, нередко отличается повышенной резистентностью (устойчивостью) к большинству антибиотиков.
В последние годы синуситы все чаще вызываются грибками. Причина этой тенденции также кроется в неоправданном использовании антибиотикотерапиии, которая отрицательно влияет на состояние иммунной системы, нарушает нормальный состав микрофлоры и создает благоприятные условия для развития микозной инфекции. Синуситы на начальной стадии не обязательно провоцируются микробами. Отек слизистой оболочки, приводящий к закрытию соустий параназальных пазух, может быть вызван вдыханием холодного воздуха и ряда химических веществ.
Однако, самой частой причиной развития синуситов являются иммунодефицитные состояния и аллергические реакции. Аллергия вызывает вазомоторный ринит, одним из проявлений которого является отек слизистой носовой полости. Процесс неоднократно повторяется. В результате хронические синуситы развиваются примерно у 80% больных вазомоторным ринитом.
Классификация
В зависимости от локализации процесса выделяют следующие виды синуситов:
- Гайморит. Воспалительный процесс поражает гайморову (верхнечелюстную) пазуху.
- Этмоидит. Воспаление развивается в решетчатом лабиринте.
- Фронтит. Патологический процесс охватывает лобную пазуху.
- Сфеноидит. Воспаление возникает в клиновидной пазухе.
Первое место по распространенности занимает гайморит, второе – этмоидит, третье – фронтит и четвертое – сфеноидит. Возможно одно- или двухстороннее поражение. В процесс может вовлекаться одна или несколько пазух. Если воспаление охватывает все придаточные пазухи, заболевание называют пансинуситом.
Все синуситы могут протекать остро, подостро или хронически. Острый синусит, как правило, провоцируется насморком, гриппом, скарлатиной, корью и другими инфекционными заболеваниями. Заболевание продолжается 2-4 недели. Подострый синусит чаще всего является следствием неправильного или недостаточного лечения острого синусита. Симптомы заболевания при подостром течении синусита сохраняются от 4 до 12 недель. Хронический синусит становится исходом повторных острых синуситов инфекционной этиологии или развивается, как осложнение аллергического ринита. Критерием хронизации процесса является наличие симптомов синусита в течение 12 и более недель.
В зависимости от характера воспаления выделяют три формы синусита:
- отечно-катаральная. Поражаются только слизистая оболочка параназальных пазух. Процесс сопровождается выделением серозного отделяемого;
- гнойная. Воспаление распространяется на глубокие слои тканей придаточных пазух. Отделяемое приобретает гнойный характер;
- смешанная. Имеются признаки отечно-катарального и гнойного синусита.
Симптомы синуситов
Клинические проявления гайморита подробно описаны в статье «Гайморит».
Симптомы этмоидита
Как правило, воспалительный процесс в передних отделах решетчатого лабиринта развивается одновременно с фронтитом или гайморитом. Воспалению задних отделов решетчатого лабиринта нередко сопутствует сфеноидит.
Больной этмоидитом предъявляет жалобы на головные боли, давящую боль в области переносицы и корня носа. У детей боли часто сопровождаются гиперемией конъюнктивы, отеком внутренних отделов нижнего и верхнего века. У некоторых пациентов возникают боли неврологического характера.
Температура тела обычно повышается. Отделяемое в первые дни заболевания серозное, затем становится гнойным. Обоняние резко снижено, носовое дыхание затруднено. При бурном течении синусита воспаление может распространиться на глазницу, вызывая выпячивание глазного яблока и выраженный отек век.
Симптомы фронтита
Фронтит, как правило, протекает тяжелее других синуситов. Характерна гипертермия, затрудненность носового дыхания, выделения из половины носа на стороне поражения. Пациентов беспокоят интенсивные боли области лба, больше выраженные по утрам. У некоторых больных развивается снижение обоняния и светобоязнь, появляется боль в глазах.
Интенсивность головных болей снижается после опорожнения пораженной пазухи и нарастает при затруднении оттока содержимого. В отдельных случаях (обычно – при гриппозном фронтите) выявляется изменение цвета кожи в области лба, отек надбровной области и верхнего века на стороне поражения.
Хронический фронтит часто сопровождается гипертрофией слизистой оболочки среднего носового хода. Возможно появление полипов. Иногда воспаление распространяется на костные структуры, приводя к их некрозу и образованию свищей.
Симптомы сфеноидита
Сфеноидит редко протекает изолированно. Обычно развивается одновременно с воспалением решетчатой пазухи. Пациенты жалуются на головную боль в глазнице, области темени и затылка или глубине головы. При хроническом сфеноидите воспаление иногда распространяется на перекрест зрительных нервов, приводя к прогрессирующему снижению зрения. Нередко хронический сфеноидит сопровождается стертой клинической симптоматикой.
Осложнения синусита
При синуситах в патологический процесс может вовлекаться глазница и внутричерепные структуры. Распространение воспаления вглубь может приводить к поражению костей и развитию остеомиелита. Самым распространенным осложнением синуситов является менингит. Заболевание чаще возникает при воспалении решетчатого лабиринта и клиновидной пазухи. При фронтите может развиться эпидуральный абсцесс или субдуральный (реже) абсцесс мозга.
Своевременная диагностика осложнений при синуситах иногда затруднена из-за слабо выраженной клинической симптоматики. Запущенные внутричерепные осложнения синуситов прогностически неблагоприятны и могут стать причиной летального исхода.
Диагностика синусита
Диагноз синусита выставляется на основании характерной клинической картины, объективного осмотра и данных дополнительных исследований. В процессе диагностики используется рентгенография околоносовых пазух в двух проекциях, ультразвуковое исследование, ядерно-магнитный резонанс и КТ околоносовых пазух. По показаниям для исключения осложнений проводится КТ или МРТ головного мозга.

Лечение синусита
Терапия острого синусита направлена на купирование болевого синдрома, устранение причины воспалительного процесса и восстановление дренирования пазух. Для нормализации оттока отоларингологи используют сосудосуживающие препараты (нафазолин, оксиметазолин, ксилометазолин и т. д.), устраняющие отек слизистой носовой полости и полости пазух.
Практическое применение при синуситах находит метод синус-эвакуации. Процедура осуществляется следующим образом: в разные носовые ходы вводят два катетера. Антисептик подается в один катетер и отсасывается через другой. Вместе с антисептиком из носовой полости и полости пазух удаляется гной и слизь.
При синуситах бактериальной природы применяют антибиотики. Для освобождения пазухи от гноя проводят ее вскрытие (гайморотомия и др.). При вирусных синуситах антибиотикотерапия не показана, поскольку антибиотики в данном случае неэффективны, могут усугубить нарушение иммунного статуса, нарушить нормальный состав микрофлоры в ЛОР-органах и стать причиной хронизации процесса.
Пациентам с острыми синуситами назначают антигистаминные средства и рассасывающие препараты (чтобы предупредить образование спаек в воспаленных пазухах). Больным с синуситами аллергической этиологии показана противоаллергическая терапия. Лечение обострения хронического синусита проводится по принципам, аналогичным терапии острого воспаления. В процессе лечения используются физиотерапевтические процедуры (диадинамические токи, УВЧ и т. д.).
При неэффективности консервативной терапии хронических синуситов рекомендуется хирургическое лечение. Операции, проводимые пациентам с хроническими синуситами, направлены на устранение препятствий для нормального дренирования параназальных пазух. Выполняется удаление полипов в носу лазером, устранение искривления носовой перегородки и т.д. Операции на пазухах проводятся как по традиционной методике, так и с использованием эндоскопического оборудования.
Микозы носа и околоносовых пазух
Микозы носа и околоносовых пазух – поражение слизистых оболочек носовой полости и придаточных синусов грибковой этиологии. Основные клинические проявления – интоксикационный синдром, сухость, зуд и ощущение дискомфорта, которые сменяются нарушением носового дыхания и обильными выделениями творожистого, гнойного или кашицеобразного характера с неприятным запахом. Диагностика основывается на данных анамнеза, передней риноскопии, бактериологического и микроскопического исследования, результатах лучевых методов визуализации. При лечении проводят хирургическую санацию очага инфекции, используют противогрибковые препараты и симптоматические средства.
Микозы носа и околоносовых пазух являются наименее распространенным вариантом грибкового поражения ЛОР-органов – порядка 4% от всех поражений верхних дыхательных путей. Тем не менее, согласно статистическим данным, более 50% всех синуситов имеют грибковую этиологию. Основными возбудителями являются грибы C.albicans, A.niger и А.fumigatus – ими обусловлено 75-80% всех микотических поражений этой области. 70-90% всех пациентов с грибковыми патологиями носа и придаточных пазух страдают сопутствующими иммунодефицитными состояниями, зачастую – СПИД. Показатель смертности колеблется в широких пределах и составляет от 10 до 80% в зависимости от этиологического варианта заболевания.
Причины микозов носа и околоносовых пазух
В подавляющем большинстве случаев микотическое поражение возникает на фоне снижения местного или системного иммунитета либо непосредственного поражения слизистых оболочек. Только некоторые виды грибов способны вызывать развитие заболевания при нормальной резистентности организма. Возникновение микоза может быть обусловлено:
- Иммунными нарушениями. Это могут быть как врожденные патологии (синдромы Ди-Джорджи и Вискотта-Олдрича, дефицит синтеза лимфокинов и другие), так и приобретенные состояния (ВИЧ-инфекция, раковые опухоли, онкогематологические заболевания, авитаминозы, алиментарное истощение).
- Местным повреждением слизистых оболочек. Прямое повреждающее воздействие на слизистые оболочки отмечается при паровых, термических и химических ожогах, травматических повреждениях челюстно-лицевой области и хирургических манипуляциях в этой зоне.
- Эндокринными заболеваниями. Возникновению микозов способствует сахарный диабет, синдром Кушинга, гипокортизолизм, гипотиреоз и гипопаратиреоз, чрезмерный синтез половых стероидов и полиэндокринопатии.
- Медикаментозным влиянием. Среди фармакологических средств развитие грибкового поражения околоносовых пазух и носовой полости вызывают антибиотики, кортикостероиды, иммунодепрессанты, цитостатики, оральные контрацептивны. Более чем у половины больных, прошедших курс химиотерапии, в дальнейшем диагностируются микозы.
Грибковые патологии слизистых оболочек носа и околоносовых синусов вызывают различные виды грибов. Наиболее распространенными вариантами болезни являются:
- Кандидоз. В роли возбудителя выступают грибы рода Candida, зачастую – C.albicans, которая встречается повсеместно. Основной способ проникновения к слизистым пазух и носа – контактный, через руки пациента.
- Аспергиллез. Вызывается тремя представителями рода Aspergillus: А.fumigatus, A.flavus и A.niger. Они в большом количестве содержатся в гниющем зерне, овощах и фруктах. В полость носа попадают при вдохе воздуха, содержащего споры.
- Мукоромикоз или мукороз. Эту разновидность микоза вызывают грибы видов Rhizopus, Mucor и Absidia. Патология часто развивается на фоне сахарного диабета. Механизм и основные источники схожи с аспергиллами.
- Риноспоридиоз. Эндемическое заболевание для Пакистана и Индии. Основной возбудитель – Rhinosporidium seeberi – попадает в организм человека вместе с воздухом или водой, инфицированной коровами, лошадьми и другими животными.
- Гистоплазмоз. Вариант микоза, который возникает при заражении Histoplasma capsulatum. Встречается на прилегающей к рекам Миссисипи и Огайо территориях. Механизм заражения – вдыхание спор гриба.
- Бластомикоз. Возбудитель – Blastomyces dermatitidis. Патология эндемична для африканского континента и Южной Америки. Грибы проникают через легкие, откуда с током крови распространяются по организму.
Патогенез
В основе заболевания лежит повышение восприимчивости слизистых оболочек к воздействию грибов, что обусловлено иммунодефицитом или нарушением целостности тканей. При нормальной работе иммунной системы и целостности слизистых микозы, обусловленные условно-патогенными видами грибов, не возникают. Однако это не касается заболеваний, вызываемых особо патогенными возбудителями гистоплазмоза, бластомикоза. В целом развитие микоза проходит в несколько стадий: адгезия, колонизация, инвазия, генерализация.
На первом этапе частицы гриба или его споры прикрепляются к поверхности слизистой. Возможен аэрогенный, гематогенный, травматический и другие пути проникновения возбудителя. Стадия колонизации проявляется активным размножением возбудителя и выделением продуктов его жизнедеятельности, что вызывает местные воспалительные изменения и первые клинические симптомы. У больных со склонностью к атопии развиваются местные аллергические реакции: отек и эозинофильная инфильтрация слизистых, выход большого объема жидкости за пределы сосудистого русла. Инвазивный рост – это прорастание гриба в подлежащие ткани с деструкцией костных структур. Генерализация характеризуется проникновением частей гриба, спор и токсинов системный кровоток с последующим образованием метастатических очагов инфекции.
На основе морфологических изменений, которые возникают в тканях при микозе носа и околоносовых пазух, выделяют две основные формы заболевания:
1. Инвазивные. К ним относятся аспергиллез и мукороз, которые проявляются выраженной деструкцией подслизистого шара тканей, костей лицевого черепа. По динамике развития их разделяют на два варианта:
- Острый или молниеносный. Характеризуется быстрым (в течение 3-12 часов) распространением инфекции внутрь черепной коробки и развитием внутричерепных осложнений. Самая неблагоприятная форма заболевания.
- Хронический или некротический. Клинические проявления формируются постепенно, часто «под маской» остеомиелита, инфекционных гранулем или новообразований.
2. Неивазивные. Обычно вызываются условно-патогенными типами грибов, в основном – кандидами. До проникновения инфекции в сосудистое русло изменения ограничены слизистым шаром. Разделяются на следующие клинические варианты:
- Аллергический или эозинофильный. Ассоциирован с бронхиальной астмой, клиническая картина имитирует полипозный риносинусит.
- Мицетома или грибковый шар. Возникает в результате попадания инородного в полость синуса, чаще всего – пломбировочного материала во время стоматологических манипуляций. Наиболее распространенная форма микоза на территории СНГ.
Симптомы микозов носа и околоносовых пазух
Симптомы во многом определяются видом гриба и клинической формой болезни. Первые проявления микотического поражения неспецифичны. Зачастую это зуд, сухость или жжение в полости носа либо околоносовых пазухах, которые могут сохраняться от нескольких часов до 1-2 дней. При инвазивных микозах они быстро дополняются интоксикационным синдромом различной степени выраженности: лихорадкой, ознобом, повышением температуры тела до 38,0-40,0 °C, общей слабостью, недомоганием, головной болью.
К перечисленным проявлениям присоединяется болезненность или ощущение инородного тела в зоне поражения, иррадиирующие по ходу кости, чувство «заложенности» в носу, гнусавость, затруднение или полное отсутствие носового дыхания. При неинвазивных формах локальный болевой синдром зачастую не выявляется, интоксикация менее выражена. Специфический симптом микоза – наличие обильных выделений творожистого, кашицеобразного, реже гнойного характера с гнилостным или кислым запахом. Выделения постоянные или приступообразные, цвет колеблется от белого до желтовато-зеленого. Иногда обнаруживается примесь крови.
Осложнения
Возможные осложнения зависят от вида грибов, характера сопутствующих патологий, своевременности и адекватности оказанной медицинской помощи. Инвазивные формы, особенно острые, быстро осложняются расплавлением костных тканей и распространением инфекционного процесса в полость черепа, приводя к абсцессам головного мозга, тромбозу кавернозного синуса и т. д. Неивазивные варианты микотического поражения провоцируют подобные изменения только при длительном течении и тяжелых сопутствующих нарушениях. Проникновение грибов в системный кровоток, которое встречается при обеих формах, становится причиной развития сепсиса и образования очагов инфекции в отдаленных органах и тканях.
Диагностика
Диагностика грибкового поражения придаточных пазух и полости носа осуществляется путем сопоставления анамнестических сведений, результатов физикального, лабораторного и инструментального обследования. Важную роль играет анамнез пациента, в котором отоларинголог должен обратить внимание на перенесенные травмы, присутствие онкологических заболеваний, выраженного снижения иммунитета, предшествующего бесконтрольного приема антибиотиков или иммуносупрессивных препаратов. Полная диагностическая программа включает в себя:
- Физикальный осмотр. При инвазивных формах микоза пальпация и перкуссия верхней челюсти болезненна, кожные покровы в области проекции пазухи несколько отечны и гиперемированы.
- Передняя риноскопия. При визуальном осмотре носовых ходов наблюдается выраженная отечность и гиперемия слизистых оболочек, наличие белого, серого или серо-желтого налета, выделение патологических масс. При риноспоридиозе также присутствуют грануляционные и полипозные кровоточащие очаги.
- Общий анализ крови. Отражает наличие воспалительного процесса в организме: лейкоцитоз, повышенное количество сегментоядерных нейтрофилов, увеличение СОЭ. При аллергическом варианте повышается уровень эозинофилов.
- Бактериальный посев и микроскопия. В качестве материала для исследования используются патологические выделения из носа и синусов. Их осмотр под микроскопом дает возможность уточнить вид грибов по их специфическим признакам (например – наличию псевдомицелия или перегородочных гифов), а результаты посева – определить чувствительность к препаратам.
- Пункция синусов. Выполняется для оценки характера патологических масс в полости придаточных синусов. Содержимое пазух обычно желатинообразное или творожистое, зелено-черного или бурого цвета.
- Лучевая диагностика. Используется рентгенография околоносовых пазух или КТ. Большинство неивазивных микозов проявляется утолщением слизистой оболочки и заполнением синусов патологическими массами без выраженной деструкции костной ткани. Инвазивные формы характеризуются разрушением костной ткани, при использовании контраста выявляется тромбоз региональных сосудов.
Лечение микозов носа и околоносовых пазух
Терапевтическая программа зависит от фазы и тяжести течения заболевания, сопутствующих патологий и сформировавшихся осложнений. На ранних этапах достаточно консервативной терапии в сочетании с коррекцией иммунодефицита. Тяжелые случаи требуют госпитализации стационар с дальнейшим хирургическим и медикаментозным лечением.
- Оперативное лечение. Суть хирургического вмешательства – санация околоносовых пазух, удаление пораженных слизистых оболочек, восстановление проходимости носовых ходов и входных отверстий синусов. Техника операции (гайморотомия, полисинусотомия) зависит от локализации и объема пораженных тканей.
- Медикаментозная терапия. Фармакотерапия при микозах состоит из специфических и неспецифических средств. К первым относятся антимикотические препараты местного и системного действия. Чаще всего используется флуконазол, клотримазол, тербинафин. Выбор конкретного средства зависит от результатов бактериального посева. Неспецифические мероприятия включают промывание антисептическими растворами, дезинтоксикационную терапию, введение иммуномодуляторов и кортикостероидов. С целью профилактики бактериальных осложнений назначаются антибиотики широкого спектра действия.
Прогноз и профилактика
Прогноз зависит от формы болезни. Острое инвазивное грибковое поражение характеризуется быстрым развитием опасных осложнений и высокой летальностью – 65-85%. Для хронического микоза прогноз благоприятный, однако рецидивы возникают более чем у 80% больных. Мицетома в 90-100% случаев заканчивается полным выздоровлением. Даже при адекватном лечении аллергического грибкового синусита рецидивирование отмечается более чем у 50% пациентов. Профилактика этой группы заболеваний основывается на коррекции иммунопатологических состояний, предотвращении травматических повреждений, соблюдении дозировки и схемы употребления ранее назначенных препаратов.
Читайте также:
