Исследование состояния крестцово-подвздошного сочленения
Добавил пользователь Евгений Кузнецов Обновлено: 08.01.2026
Не всегда при обследовании пациента с болями в спине и области поясницы возможно выявить адекватные причины для болевых симптомов.
Об основных причинах болей в спине рассказывает главный врач “МРТ Эксперт Липецк” Волкова Оксана Егоровна
Еще одной причиной возникновения болевых ощущений в области поясницы могут быть изменения в крестцово-подвздошных сочленениях.
Рассмотрим эти изменения и возможности их диагностики с помощью магнитно-резонансной томографии.
Узнать стоимость и записаться на МРТ крестцово-подвздошных суставов можно здесь
Одно из таких заболеваний – анкилозирующий спондилит. Что это такое? Это хроническое воспалительное ревматическое заболевание крестцово-подвздошных суставов и позвоночника, нередко ассоциирующееся с патологией периферических суставов, глаз, кишечника и сердца.
Другое, нередко встречающееся – сакроилеит.
О том, что такое сакроилеит, подробно рассказывает заведующая отделением лучевой диагностики «Клиника Эксперт Курск» Руцкая Юлия Александровна.
Рассмотрим рентгенологические стадии сакроилеита (по Kellgren J.H., Jeffrey M.R., 1982)
Стадия 0 - отсутствие изменений;
Стадия 1 - подозрение на наличие изменений (отсутствие конкретных изменений);
Стадия 2 - минимальные изменения (небольшие локальные области с эрозиями или склерозом при отсутствии изменений ширины щели);
Стадия 3 - безусловные изменения (умеренный или значительный сакроилеит с эрозиями, склерозом, расширением, сужением или частичным анкилозом);
Стадия 4 - далеко зашедшие изменения (полный анкилоз).
Для определения достоверного сакроилеита по МРТ необходимо наличие околосуставной зоны отека костного мозга одной анатомической области не менее, чем на двух последовательных срезах, или наличие зоны отека костного мозга двух и более анатомических областей хотя бы на одном срезе.
На рисунке - T2-Stir ВИ
Изменения выявляются в синовиальной (нижней и наружной) и в связочной (верхней и внутренней) частях сустава; в большей степени со стороны подвздошной кости.
Открытый или закрытый томограф: что лучше? Узнать здесь
Среди типичных МРТ-изменений в крестцово-подвздошных сочленениях:
А. Симптомы активного воспаления
1. Остеит (отек костного мозга)
Б. Симптомы хронического воспаления
3. Дегенеративная пролиферация жировой ткани
На рисунке - отек структур полости суставов
На рисунке - отек капсулы суставов
На рисунке - отек ретроартикулярных связок и периартикулярных мягких тканей
На рисунке – периартикулярная жировая инфильтрация костного мозга: Т1-ВИ; Т2Stir
Жировая дистрофия является результатом эстерификации жира кислотами при воспалении. В целом характерны неспецифические изменения, при АС отражают области внутрикостного воспаления в фазе ремиссии.
Инфекционный сакроилеит
На рисунке – слева в теле подвздошной кости и боковой массе крестца обширные зоны отека костного мозга, явления инфильтрации окружающих мягких тканей
При МРТ крестцово-подвздошных сочленений выявляют и лимфогранулематоз. Что это такое? Лимфогранулематоз – специфическая злокачественная опухоль лимфоидной ткани.
Среди клинических проявлений лимфогранулематоза: увеличение лимфатических узлов, лимфаденопатия; затруднение дыхания, кашель; общая слабость; длительное беспричинное повышение температуры тела; потливость; снижение веса.
На рисунке – в обеих подвздошных костях и крестце имеются зоны повышенной интенсивности МР-сигнала по Т2-Stir
Аномалии развития также выявляются при проведении магнитно-резонансной томографии крестцово-подвздошных сочленений.
На рисунке – левосторонняя сакрализация L5 позвонка с формированием неоартроза и признаками воспаления в нем
Вторичное метастатическое поражение подвздошных костей и крестца
Клинические проявления при таком поражении не специфичны, пациенты предъявляют жалобы на боли ноющего характера в пояснице.
На рисунке - определяются очаги патологической инфильтрации в крестце и подвздошных костях
Таким образом, магнитно-резонансная томография – метод, позволяющий достоверно определять характер и локализацию патологических изменений в крестцово-подвздошных суставах.
Исследование состояния крестцово-подвздошного сочленения
Исследование подвздошно-крестцовых сочленений. Исследование копчика
Эти сочленения почти недоступны физическому исследованию. Суставы расположены слева и справа от крестца.
Осмотр сакроилеальных сочленений неинформативен. Ощупать их трудно из-за глубокого расположения, исследованию доступна лишь наружная часть суставной щели, а у худых — часть внутреннего сочленения при глубокой пальпации живота в подвздошных ямках. Сзади пальпация проводится в вертикальном, но лучше в горизонтальном положении исследуемого на животе. Врач двумя пальцами (I и III) правой руки ощупывает суставную щель на всем ее протяжении с обеих сторон. Можно пальпировать большими пальцами одновременно с двух сторон. Ощупывание лучше сочетать с компрессией. У здоровых пальпация суставной щели сакроилеальных сочленений безболезненная, возникновение боли — признак воспаления, сакроилеита.
При исследовании сакроилеальных сочленений более информативными являются нагрузочные тесты (провокационные пробы). Чаще используются компрессия и декомпрессия тазовых костей. У здоровых эти манипуляции безболезненные. Появление боли в области крестцово-подвздошных сочленений при выполнении этих приемов указывает на патологию.
Приводим технику выполнения некоторых нагрузочных тестов:
1. Исследуемый лежит на спине на жесткой кушетке. Врач, установив руки на гребнях подвздошных костей, рывком (осторожно!) давит на них спереди по направлению к кушетке.
2. Врач сжимает ладонями гребни подвздошных костей исследуемого, находящегося в вертикальном или горизонтальном положении в течение 1 минуты.
3. В положении исследуемого на боку на жесткой кушетке врач двумя руками делает резкое, но осторожное давление на гребень подвздошной кости.
4. Исследуемый лежит на животе, врач, положив руки на крестец, сильно надавливает вниз.
5. В положении исследуемого на спине врач оказывает давление на лонное сочленение.

Исследование копчика
Копчик — нижняя часть позвоночного столба, имеет форму клина, состоит из четырех позвонков, реже из трех или пяти. После 40 лет дистальные позвонки обычно срастаются между собой. Верхняя поверхность копчика соединяется с верхушкой крестца посредством полуподвижного крестцово-копчикового соединения с участием межпозвонкового диска. С крестцом копчик также соединяют парные связки. К боковым поверхностям копчика прикрепляется парная копчиковая мышца, к верхушке — наружный сфинктер заднего прохода. Иннервируется копчик ветвями копчикового нервного сплетения.
Исследуется копчик в разных положениях пациента. Осмотр проводится в вертикальном, но лучше в коленно-локтевом положении исследуемого. Осмотру доступна задняя поверхность копчика. Кожные покровы над ним у здоровых имеют обычную окраску или несколько пигментированы в верхней части межъягодичной складки. При заболеваниях копчика (травма, воспаление) возможно покраснение, отек кожи и подкожной клетчатки, кровоизлияние, свищи, деформация контура.
Пальпация проводится в том же положении. Пальцы врача ощупывают весь контур копчика от крестца до последнего позвонка. Помимо скользящих движений по поверхности используется также и компрессия одним или двумя пальцами. У здоровых кожа над копчиком имеет обычную температуру, эластичная, безболезненная. Дорзальный контур копчика имеет умеренную кифотическую конфигурацию. Появление боли при пальпации, отечность кожи и подкожной клетчатки, повышение местной температуры, наличие деформации копчика — это признаки ею патологии (травма, воспаление).
Нередко более информативной оказывается двупальцевая (бидигитальная) или однопальцевая пальпация копчика через прямую кишку в положении исследуемого на спине с согнутыми в коленях ногами. Врач, одев стерильную перчатку и смазав указательный палец вазелином, вводит его в прямую кишку. При бидигитальном исследовании копчик зажимается между указательным и большим пальцами. Таким способом ощупыванию доступна вся передняя поверхность копчика и прилегающие к нему мягкие ткани. После ориентировочного ощупывания необходимо применять локальное надавливание пальцем. Раскачивание позвонков лучше не производить.
Бидигитальная пальпация кончика у здорового человека безболезненная, передняя поверхность копчика ровная. Боль при исследовании, подвижность последних позвонков, выраженная деформация внутреннего контура чаще являются следствием травмы.
Информация на сайте подлежит консультации лечащим врачом и не заменяет очной консультации с ним.
См. подробнее в пользовательском соглашении.
МРТ крестцово-подвздошных сочленений, что показывает
МРТ крестцово-подвздошных сочленений – метод выявления болезней крупных неподвижных суставов, соединяющих крестец с костями таза. Магнитно-резонансная томография – безопасная и точная процедура, которая использует вместо вредного рентгеновского излучения только магнитное поле и радиоволны. МРТ эффективнее и раньше других методов обнаруживает признаки сакроилеита – воспаления крестцово-подвздошных суставов.
Где находится крестцово-подвздошное сочленение
Крестцово-подвздошное сочленение – крупный малоподвижный сустав, образованный ушковидными поверхностями крестца и подвздошной кости, покрытыми плотным волокнистым хрящом. Наиболее подвижно крестцово-подвздошное сочленение у маленьких детей. С возрастом, из-за возрастающих вертикальных нагрузок, сустав становится крепче – на суставных поверхностях образуются гребни и впадины, заходящие друг за друга. Стабильность сустава также обеспечивается мощными связками, по прочности превосходящими кости таза.

Основная функция сочленения – поглощение ударных нагрузок, поддержка для позвоночника, вращение пояса нижних конечностей относительно позвоночника в пределах 2-18 градусов. Сустав также принимает непосредственное участие в ходьбе.
Болезни крестцово-подвздошного сочленения
Сакроилеит – воспаление крестцово-подвздошного сочленения. Служит характерным признаком ревматоидного артрита и других суставных патологий, болезни Бехтерева. Сакроилеит – это один из диагностических критериев болезни Крона и неспецифического язвенного колита. Воспаление также может быть признаком бруцеллеза, дегенеративно-дистрофических явлений (артроза, остеоартрита). Сакроилеит ведет к патологической подвижности (нестабильности) или анкилозу (патологическому сращению) крестцово-подвздошного сочленения. Нарушение функции сустава при этом становится источником постоянных болей.

Область крестцово-подвздошного сочленения может поражаться при опухолях, метастазах в кости таза, инфекционном процессе (остеомиелит).
Показания и противопоказания для МРТ крестцово подвздошных сочленений
МРТ крестцово-подвздошного сочленения рекомендуют при наличии следующих жалоб пациента:
- боль внизу спины, в ягодицах, крестце, отдающая в бедро – признак сакроилеита и нестабильности КПС;
- боль усиливается, когда человек долго стоит или сидит, при поворотах тела, длительной ходьбе, при попытках изменить положение, встать со стула;
- характерный симптом – возникновение или усиление болей при подъеме по лестнице, переносе тяжести тела с одной ноги на другую, попытке перевернуться лежа в постели;
- ограничение подвижности позвоночника;
- наличие объемных образований, отека, припухлости, узлов и шишек, определяющихся визуально или наощупь.
МРТ крестцово-подвздошных сочленения запрещено, если имеются противопоказания:
- кардиостимуляторы, дефибрилляторы, кохлеарные импланты и другие медицинские устройства, имплантируемые в организм пациента – абсолютное противопоказание, если только имплант не изготовлен из МРТ совместимых материалов;
- магнитно-резонансная томография не проводится у пациентов до 5 лет и у беременных в I триместре беременности;
- инородные тела из магнитного металла – также абсолютное противопоказание для МРТ (это особенно касается мелких кусочков металла в глазах, стальных клипс на сосудах головного мозга, осколков и фрагментов боеприпасов);
- вес пациента более 130 кг и/или окружность тела более 150 см – препятствие для исследования, из-за несоответствия антропометрических данных и размеров оборудования для МРТ;
- тяжелая клаустрофобия.
Подготовка к МРТ крестцово-подвздошных сочленений
Очень важно помнить, что магнитно-резонансное сканирование, несмотря на отсутствие необходимости в подготовке, имеет ряд требований. Пациенты перед исследованием должны оставить все лишние предметы в камере хранения – это особенно касается ювелирных изделий, пирсинга, любых металлических предметов, телефонов и гаджетов. Мощные магнитные поля, генерируемые во время МРТ, могут выводить из строя электронику и нагревать металл, вызывая ожоги.
Магнитно-резонансная томография крестцово-подвздошных сочленения с контрастированием
МР-томография КПС поддерживает использование контрастного усиления. Эта методика предусматривает введение в кровь пациента специального контрастного препарата, которые накапливается в патологически измененных тканях при воспалительных заболеваниях и опухолях. Применение контраста значительно облегчает диагностику заболеваний крестцово-подвздошных сочленений и повышает информативность исследования, особенно в спорных случаях.
МРТ крестцово-подвздошного сочленения в STIR-режиме
Магнитно-резонансная томография – не одно исследование, а целый комплекс алгоритмов, режимов и программ, применяющихся для диагностики заболеваний. Режим STIR – один из таких алгоритмов, подавляющий сигнал от жировой ткани и выявляющий сакроилеит на ранних стадиях, когда воспаление проявляется только отеком костного мозга. Другие методы диагностики не способны выявлять сакроилеит в самом начале, что в конечном итоге ухудшает прогноз и препятствует эффективной профилактики осложнений.

Как проводится магнитно-резонансная томография крестцово-подвздошного сочленения
МР-томография проводится с помощью томографа – аппарата в виде цилиндра, лежащего на боку, с коротким и широким туннелем в центре. Этот туннель – рабочая часть установки, в нем во время исследования находится пациент. Для этого в туннеле имеются направляющие, по которым передвигается стол для больного.
Перед началом исследования необходимо убедиться, что вы оставили все посторонние предметы, а особенно предметы из металла, в камере хранения. Затем, пройдя в помещение с томографом, с помощью медперсонала пациента укладывают на стол. На уши рекомендуется надеть наушники – они приглушают достаточно громкие звуки работающего томографа. Чтобы сделать исследование комфортнее, через них также транслируют спокойную музыку и передают указания оператора.
Длительность МР-томографии КПС – 15 минут. При необходимости в контрастном усилении процедура длится 30 минут. После завершения исследования вам необходимо подождать не более 30 минут, пока врачи не расшифруют снимки.
Что покажет МРТ крестцово подвздошных сочленений
Любой пациент хочет узнать, что видно на МРТ крестцово-подвздошных сочленений. Поэтому мы дарим консультацию врача-рентгенолога каждому нашему пациенту – специалист в области МРТ-диагностики покажет вам ваши снимки, расскажет, какие изменения и признаки были обнаружены, каким болезням они могут соответствовать. Если вы делали МРТ ранее, захватите старые снимки с собой – это позволит сравнить их с новыми и выяснить, есть ли положительная или отрицательная динамика развития болезни.

Расшифровка МРТ крестцово-подвздошных суставов
На серии послойных снимков, сделанных в нескольких проекциях через область крестца и таза, легко увидеть сами КПС, их суставные поверхности и суставные хрящи, полость сустава, окружающие его связки и сухожилия, а также кости таза. Врач МРТ диагностики, просматривая снимки, обращает внимание на отклонения от нормы, признаки воспалительных изменений, сужение суставной щели, наличие выпота в суставную полость. В STIR-режиме могут обнаруживаться признаки сакроилеита в виде отека костного мозга. При использовании контраста оценивается динамика его накопления и высвобождения из тканей. Исключается наличие грубых изменений в виде опухолей, остеомиелита, остеопороза и т.д. Полученная информация после расшифровки снимков заносится в заключение.
Рисунок 1. Симптом Генслена. Ягодица пациента с обследуемой стороны находится над краем стола. Рисунок 2. Пациент опускает бедро и ногу вниз, чтобы нагрузить крестцово-подвздошное сочленение. Боль при этом движении указывает на поражение крестцово-подвздошного сочленения.
а) Симптом Генсаена (Gaenslen). Этот тест применяется для выявления одностороннего поражения крестцово-подвздошного сочленения и выполняется при его нагрузке.
Пациент находится в положении лежа на спине, его коленные суставы согнуты и подтянуты к грудной клетке. Подвиньте пациента к краю кушетки так, чтобы ягодица на исследуемой стороне располагалась вне кушетки (рис. 1).
Бережно поддерживая пациента, попросите его опустить бедро и ногу на пол (рис. 2). Это вызовет напряжение в крестцово-подвздошном сочленении, а возникновение боли, скорее всего, указывает на смещение или поражение крестцово-подвздошного сочленения.

Рисунок 3. Тест Патрика. Бедро сгибается, отводится, ротируется кнаружи и затем разгибается.
б) Проба Патрика (Patrick). Эта проба (рис. 3) была подробно описана выше. Она помогает выявить поражение крестцово-подвздошного сочленения, а также различные заболевания тазобедренного сустава.
Пациент лежит на спине в положении, напоминающем цифру 4. Одной рукой надавите на согнутый коленный сустав пациента, а другой — на подвздошную кость с противоположной стороны таза. Это вызовет сдавливание крестцово-подвздошного сочленения и, если оно поражено, у пациента возникнут боли.
Если боль возникает только при давлении на коленный сустав, это указывает на заболевание тазобедренного сустава с той же стороны.

Рисунок 4. Тест на дистракцию крестцово-подвздошного сочленения. При давлении на таз в медиальном направлении и дистракции крестцово-подвздошного сочленения в нем могут быть выявлены патологические изменения.
в) Тест на дистракцию крестцово-подвздошного сочленения. Пациент находится в положении лежа на спине. Положите большие пальцы на передне-наружную поверхность гребней подвздошных костей пациента. Надавите руками на таз в направлении срединной линии.
Положите свои руки на переднюю поверхность ПВПО с обеих сторон и оказывайте давление в латеральную сторону. Эта манипуляция создаст давление на крестцово-подвздошные суставы. Результат теста считается положительным в отношении поражения крестцово-подвздошного сочленения, если пациент жалуется на боль, возникшую в его области (рис. 4).

Рисунок 5. Тест на спондилолиз (разгибание в положении стоя на одной ноге).
г) Тест на спондилолиз (разгибание в положении стоя на одной ноге). Этот тест (рис. 5) выполняется для выявления стрессового межсуставного перелома, который может явиться причиной спондилолистеза.
Попросите пациента встать на одну ногу и разогнуть позвоночник в поясничном отделе. Если пациент жалуется на боль в спине, результат теста признается положительным, что может указывать на стрессовый перелом (спондилолиз). В этом положении боль будет вызвана давлением на пораженные фасеточные суставы.
МРТ крестцово-подвздошных сочленений что показывает
МРТ — это высокотехнологичный и информативный метод диагностики заболеваний. Благодаря этому способу можно визуализировать мягкие ткани, оценить наличие воспалительных, неопластических патологических процессов, дегенерации тканей на местном уровне. Методика широко применяется и в ортопедии, ревматологии и травматологии. Что показывает МРТ крестцово-подвздошных сочленений — зависит от состояния здоровья человека, запущенности патологического процесса на данный момент диагностики.
Томографию назначают для первичной постановки диагноза или чтобы подтвердить ранее выдвинутые гипотезы, исключить подозрения. Способ универсальный и безопасный.
Когда требуется МРТ крестцово-подвздошных сочленений?
Магнитно-резонансная томография сакроилеальных сочленений позволяет диагностировать воспалительные, дегенеративные и опухолевые заболевания, последствия травм. Обследование проводится в тех случаях, когда у пациента наблюдаются подозрительные симптомы заболеваний костей, позвоночника, опорно-двигательного аппарата.

В числе показаний для процедуры:
Боли в нижней части спины, крестце. Особенно, если они появляются регулярно. Спонтанно или в связи с какой-либо физической нагрузкой, активностью.
Перенесенные травмы нижней части спины, позвоночного столба. В том числе когда явных признаков повреждения нет. МРТ назначается, чтобы убедиться в сохранности анатомической целостности тканей. Отсутствии компрессии спинного мозга и прочих опасных последствий. Также для разработки тактики терапии, оценки тяжести травмы.
Вероятное воспаление мягких тканей на местном уровне.
Хронические заболевания спины на уровне нижних отделов. Поскольку возможно прогрессирование патологического процесса. Нужен регулярный скрининг состояния здоровья.
Хруст при движениях. Сгибании и разгибании. Может указывать на дегенеративные процессы, артроз. В перспективе заболевание способно привести к инвалидности. Лучшее решение — лечение на ранней стадии.
Значительная физическая нагрузка. По работе или в связи с особенностями образа жизни. Диагностика проводится, чтобы исключить травмы, повреждения, которые не видны с помощью прочих методов обследования.
Периодическая отечность в области кпс (крестцово-подвздошных сочленений).
Хромота, регулярные воспаления суставов ног. Могут быть результатом неравномерного распределения нагрузки.
Аномалии позвоночника. Врожденные и приобретенные.
Вероятные неопластические процессы. Опухоли мягких тканей, спинного мозга, также окружающих структур. В подобном случае назначается томография с контрастным усилением.
Болезнь Бехтерева в семейном анамнезе. Поскольку она имеет тенденцию передаваться по наследству.
Другие симптомы патологий воспалительного или иного рода: дискомфорт, ощущение распирания, нарушение нормальной подвижности позвоночника. Неполное сгибание или разгибание.
Помимо симптомов, показания к диагностике могут быть связаны со скринингом состояния опорно-двигательного аппарата здесь и сейчас. Вне связи с патологией или когда расстройство уже известно:
Оценка анатомических, структурных особенностей позвоночника перед началом лечения. В том числе оперативного или консервативного.
Определение динамики патологического процесса. Если доктор выбрал выжидательную тактику. В таком случае МРТ крестцово-подвздошных сочленений проводится так часто, как определит специалист.
Оценка качества проведенной терапии. Консервативной, оперативной. Особенно после хирургического вмешательства по поводу перенесенной онкологии.
Перечень показаний к проведению неполный. По усмотрению доктора, диагностика может проводиться и чаще. Учитывая принцип работы томографа, безопасность магнитного поля, исследование крестцово-подвздошных сочленений может назначаться неопределенно часто. Последнее слово остается за доктором.
Болезни крестцово-подвздошного сочленения
По результатам диагностики, врач получает возможность выявить изменения со стороны мягких тканей, позвоночника, суставов и не только. В числе возможных заболеваний, патологических процессов:
Сакроилеит. Воспаление крестцово-подвздошного сустава. Результат чрезмерной нагрузки на опорно-двигательный аппарат. Пациенты из группы риска должны проходить диагностику в плановом порядке. МРТ назначают, чтобы уточнить состояние местных анатомических структур.
Воспаление корешков спинного мозга, миелит. Острое неотложное состояние, которое может привести к инвалидности.
Опухоли. Доброкачественные или злокачественные. Происходят из мягких, хрящевых тканей. Томография дает возможность определить неопластический процесс на ранних стадиях. Наличие опухоли определяют с помощью специального вещества, которое вводят в кровеносное русло.

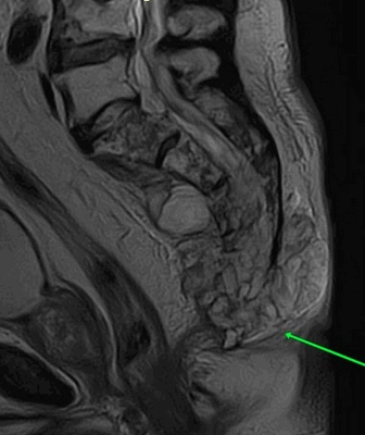
МР-картина патологического кистозно-солидного образования (хордомы) на уровне дистальных отделов крестца и копчика (стрелка)
Врожденные или приобретенные аномалии развития опорно-двигательного аппарата на этом уровне.
Остеохондроз. Воспалительно-дегенеративный патологический процесс. Развивается спонтанно, в течение многих лет.
Болезнь Бехтерева. Наследственное заболевание ортопедического плана. Сопровождается развитием областей неподвижности в сакроилеальных сочленениях. Хроническим. длительным воспалением. Без достаточного и своевременного лечения больной рискует стать инвалидом. Потому МРТ проводится по мере развития жалоб. Медлить нельзя.
Сосудистые нарушения на местном уровне.
Травмы, повреждения. МРТ — незаменимый способ диагностики, когда нужно оценить последствия травм. Показывает степень поражения, наличие областей защемления нервных тканей. Результаты диагностики врачи применяют для определения тактики терапии.
МРТ — не единственный метод обследования. Он позволяет выявить заболевания мягких тканей, структурные аномалии. Если нужно получить четкое изображение костных тканей, на помощь приходит рентгенография или КТ. Они не способны заменить магнитно-резонансную томографию. Как и наоборот. Методики взаимно дополняют друг друга.
Применение контраста — когда это необходимо?
Исследование сакроилеальных сочленений и позвоночника с контрастом используется в рамках диагностики двух категорий нарушений.
Первая — неопластические процессы. Опухоли. Контраст — это специальное вещество, которое вводится внутривенно. В роли препарата выступают соединения гадолиния. Они не токсичны и практически не вызывают аллергических реакций. Вещество накапливается в измененных тканях и позволяет получить более четкие снимки.

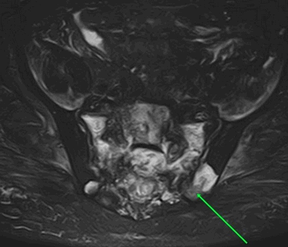
МР-картина дегенеративных изменений синовиальной части крестцово-подвздошных суставов, без признаков отека костного мозга
Благодаря контрасту удается выявить размеры, точную локализацию и форму опухоли, ее структуру, взаимодействие с окружающими тканями. Также врач получает возможность предположить морфологическую структуру опухоли. Но последнее слово остается за гистологической оценкой образца тканей в лаборатории
МРТ с контрастом применяется в сложных клинических случаях. Эта модификация показывает точную картину происходящего.
Подготовка к МРТ крестцово-подвздошных сочленений
Как таковая подготовка к МРТ крестцово-подвздошных сочленений не требуется. Достаточно подойти в назначенное время и соблюсти ряд требований безопасности:
Оставить всю электронику в специально отведенном хранилище. Это важно, поскольку из-за высокой интенсивности магнитного поля устройства могут выйти из строя.
То же самое касается банковских карт.
Металлические предметы нужно оставить там же.
Специальная диета в рамках подготовки не требуется. Однако процедура продолжается до 30-40 минут.
Процесс проведения МРТ сакроилеальных сочленений
Процедура оценки крестцово-подвздошных суставов стандартная.
Пациент подходит в назначенный час в клинику.
Снимает с себя все металлические украшения. В рамках подготовки — сдает электронику, банковские карты, часы. Все, что может представлять опасность из-за высокоинтенсивного магнитного поля.
Далее, обследуемый ложится на стол аппарата-томографа.
Пациенту рекомендуют использовать наушники, чтобы сильный и громкий шум не вызывал дискомфорта.
При необходимости, вводится контраст. В зависимости от типа исследования, его могут ввести единоразово или вливать дозированно.
Пациента помещают внутрь аппарата.
Начинается сам процесс сканирования. В зависимости от модификации метода, вероятного патологического процесса, клинических находок, процесс может продолжаться до 40 минут. Все это время нужно неподвижно лежать. Поскольку в противном случае изображения будут смазанными и недостаточно информативными.
По окончании процедуры обследуемый одевается и ждет результатов диагностики.
Врач изучает полученные данные, медицинскую документацию, которую предоставляет сам пациент. На руки человек получает протокол диагностики, заключение специалиста, а также сами снимки. В оцифрованной форме или на пленке.

С полученными документами нужно обращаться к своему доктору: неврологу, ортопеду.
МРТ крестцово-подвздошного сочленения в stir-режиме
МРТ — это комплекс алгоритмов, которые позволяют выявить патологические процессы разных типов. Режим STIR подавляет сигнал от жировой ткани, дает возможность визуализировать отечные изменения крестцово-подвздошных сочленен ий. Это единственный способ диагностировать воспаление суставных тканей, сакроилеит на ранней стадии. Когда он лучше всего поддается лечению. Остальные методы не обладают такой точностью.
Расшифровка МРТ крестцово-подвздошных сочленений
Расшифровкой результатов занимается специалист, врач-рентгенолог, который проводит первичное обследование пациента. С результатами нужно обращаться к своему лечащему врачу. Она даст больше информации, сопоставит полученные сведения и результаты прошлых обследований. Самостоятельно расшифровать результаты невозможно.

Противопоказания к проведению исследования
Противопоказаний к МРТ крестцово-подвздошной области немного. Среди них:
Наличие в организме металлических компонентов. Клипс, стентов, пластин.
Масса тела свыше 130 кг.
Клаустрофобия, боязнь закрытого пространства. Благодаря аппаратам с широким тоннелем, эту проблему удается решить.
Беременность в первом триместре. Кроме случаев, когда разрешение на диагностику дает ведущий пациентку акушер-гинеколог.
Наличие в организме электронных устройств, кардиостимулятора.
Существуют отдельные противопоказания к диагностики с контрастом:
Перекрестные аллергические реакции на препараты.
Почечная, печеночная недостаточность в стадии декомпенсации.
Дыхательная недостаточность в обострении.
Проведенное менее суток назад исследование с контрастом. Нужно выждать 24 часа.
Большая часть из названного списка — относительные противопоказания. Как только препятствующий фактор устранен, пройти МРТ можно.
Томография позволяет выявить большинство заболеваний КПС на ранней стадии. Она показывает состояние мягких тканей, костей, окружающих структур. Отсутствие подготовки, информативность, безопасность и повторяемость делают эту методику одной из ключевых.
Читайте также:
