Изменения хрусталика, глазных мышц при отравлении йодом
Добавил пользователь Евгений Кузнецов Обновлено: 02.11.2025
Изменение внутриглазного давления при йодной интоксикации. Йод как причина глаукомы
У 169 работников йодового завода на протяжении 3 лет один раз в год определяли внутриглазное давление. Помимо того, проводилось офтальмологическое исследование, направленное на выявление клинических признаков глаукомы. Лица с подозрением на глаукому находились под диспансерным наблюдением. Среди 49 рабочих первой группы, подвергавшихся постоянному действию повышенных концентрации пода, нарушение внутриглазного давления выявлено у 2 человек.
Один из них, мужчина 49 лет, работал в цехе сублимации йода в течение 1 года. Повышение внутриглазного давления до 28 мм рт. ст. обнаружено у него на правом глазу. После длительного обследования диагностирована открытоугольная начальная стабилизированная глаукома с умеренным повышением внутриглазного давления. Второй была женщина 44 лет, работавшая в цехе кристаллизации йода 15 лет. У нее отмочено повышение внутриглазного давления на правом глазу до 29 мм рт. ст. и на левом — до 31 мм рт. ст.
В стационаре выявлено колебание внутриглазного давления в пределах 6—9 мм рт. ст. Диагностирована начальная открытоугольная стабилизированная глаукома с умеренным повышением внутриглазного давления. В обоих приведенных случаях не было оснований считать развитие глаукомы следствием действия производственных химических вредностей.
Средняя величина внутриглазного давления у рабочих на производстве йода
Во второй группе повышение внутриглазного давления было отмечено у одного обследованного 44 лет с 17-летним стажем работы на сырьевой базе. Па правом глазу внутриглазное давление составляло 29 мм рт. ст., на левом — 34 мм рт. ст. Отмечалось удлинение подъема эластотопометрической кривой до 14 мм рт. ст. с высоким ее началом. При обследовании в стационарных условиях суточные колебания офтальмотонуса находились в пределах 6—10 мм рт. ст. Диагностирована открытоугольная начальная стабилизированная глаукома с умеренным повышением внутриглазного давления.
При трехлетием наблюдении за 69 работниками третьей группы пи у одного из них не выявлено повышения внутриглазного давления.
В таблице представлены средние величины внутриглазного давления у работников различных подразделений йодового завода. Несмотря на то что у всех обследованных внутриглазное давление не выходило за пределы нормальных величин, средняя величина его у 49 человек, постоянно контактировавших с парами йода, была выше, чем у работников второй и третьей групп, где средний уровень внутриглазного давления составил соответственно 18,3±0,06 и 18±0,07 мм рт. ст.
Учебное видео измерения внутриглазного давления - офтальмотонометрии
Редактор: Искандер Милевски. Дата обновления публикации: 18.3.2021
Изменения хрусталика, глазных мышц при отравлении йодом
Изменения органа зрения при отравлении йодом
Резюмируя описанное в статьях на нашем сайте МедУнивер, можно отметить, что при исследовании органа зрения у работников различных цехов йодового производства нами выявлены определенные изменения в различных отделах глазного яблока.
Исследование переднего отдела глаза показало, что некоторые патологические изменения у работников особо вредных цехов (сублимации йода, кристаллизации йода, цеха технического йода и адсорбции) встречались чаще, чем на других производственных участках.
Из поражений переднего отдела глаза чаще всего диагностировали хронический конъюнктивит, блефарит и блефароконъюнктивит. Что касается птеригиума и пингвекулы, то они встречались сравнительно реже и в основном у лиц с большим стажем работы.
Поражения роговицы чаще встречались в виде точечных дефектов или облачковидных помутнений, которые в основном располагались на парацентральпых участках. Наши наблюдения показали, что наибольшее количество случаев с поражением переднего отрезка глаза приходится на лиц в возрасте от 31 года до 40 лет при стаже работы от 6 до 10 лет.

Возможно, изменения переднего отрезка глаза возникают вследствие длительного влияния различных профвредностей. Из факторов, вредно действующих на глаза на йодовом заводе, надо отметить пары йода, пары органических и сернистых соединений, окислы азота и щелочи. Это дает нам право предполагать, что поражения возникают вследствие длительной хронической интоксикации комплексом химических соединений, что, по-видимому, влияло и на чувствительность роговицы.
Наибольшее количество случаев с понижением чувствительности роговицы приходилось на работников особо вредных цехов, в то время как у лиц, которые не постоянно находятся в условиях повышенного содержания паров йода (кислотная станция, сырьевые базы, ремонтно-механические, строительные цехи), они наблюдались значительно реже.
Выявлена определенная зависимость между частотой нарушения чувствительности роговицы и стажем работы. У одних и тех же лиц с увеличением стажа работы происходило заметное снижение тактильной чувствительности роговицы. Понижение чувствительности роговой оболочки наблюдалось в первые 5— 10 лет работы. В последующе годы оно было выражено несколько меньше.
В группе работников с производственным стажем более 15 лет отмечена стабильность или даже некоторое уменьшение числа случаев понижения чувствительности роговицы. Такое пиление, по-видимому, следует рассматривать как определенное привыкание нервных окончаний роговой оболочки к воздействию вредных паров йода. Разница в чувствительности роговицы с контрольной группой была весьма существенной. Это объясняется высокой чувствительностью нервной системы роговицы к токсическим веществам и ранними нарушениями иейтрофических функций под действием даже небольших концентраций паров йода.
В связи с выявленными изменениями в переднем отделе глазного яблока у работников различных цехов йодового завода представляет интерес биомикроскопическая картина переднего отдела глаз.
Изменения в переднем отделе глазного яблока в основном проявлялись расширением, извитостью конъюнктивальных сосудов, пигментацией и васкуляризацией лимба, появлением крупных и мелких пятен йода на поверхности радужной оболочки. Атрофические изменения радужки и скопление пигмента вокруг лимба зависели от стажа работающих и условий труда. Но нашим данным, они появляются после 5—6 лет контакта с парами йода и в дальпейшем учащаются.
Изменения собственно сосудистой оболочки глаза, сетчатки при отравлении йодом
Прослеживалась сосудистая реакция в виде редкого полнокровия, гемостаза во всех слоях. В одних случаях изменения преобладали и сосудистом слое, в других случаях — в капиллярном. При серебрении по Футу аргирофильные волокна этих капилляров были сглажены, истончены, нередко разорваны.
Вследствие этих изменений сосудистая оболочка была утолщена то в переднем, то в боковом или заднем отделе. Далее отме чались набухание, пролиферация эндотелия сосудов, в одних случаях утолщение, в других — слущивапие его.
Нередко между слоями были видны очаги кровоизлияний.
В капиллярном слое, по ходу расширенных сосудов, определились нежные, гладкие аргирофилыше волокна с различной интенсивностью поглощения серебра.
При окраске на нуклеиновые кислоты в клеточных элементах ГНК по сравнению с ДНК выявлялась слабее. В дистрофически измененных клетках эндотелия гистохимически определялось резкое снижение содержания РНК. При реакции на ДНК окрашивание было очень бледным. В ряде случаев ДНК выявлялась в виде неотчетливой сетки в ядре.
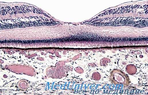
Изменения сетчатки при отравлении йодом
Изменения и слоях сетчатой оболочки носили неравномерный характер. Самыми чувствительными оказались наружные слои. Наблюдались пролиферация, вакуолизация, запыление и другие дистрофические изменения пигментного эпителия.
Особенно значительные деструктивные, дистрофические изменения отмечались в слое палочек и колбочек, выражающиеся в разрыхлении, отеке, распаде, с образованием полостей различной формы и величины.

В некоторых случаях наблюдалось скопление бесструктурной белковой массы в слое палочек и колбочек, вследствие чего этот слой оказался утолщенным, а наружная пограничная мембрана была сужена и выявлялась с трудом.
Изменения клеток ядерных слоев носят иной характер. В большинстве случаев наружный ядерный слой неравномерно окрашивается гематоксилин-эозином, а при окраске по Фельгену в нем обнаруживалось большое количество ДНК. Отмечалась миграция клеток то в наружный, то во внутренний слой. Нередко наружный ядерный слой был неравномерно расширен, клетки его становились редкими, разрыхленными, образовывались мелкие пустоты. Можно было видеть влияние обоих ядерных слоев большой частью в задних отделах глазного яблока.
Наружный ретикулярный слой был то узкий, то широкий, с различными оттенками окраски, внутренний — часто с явлениями выраженного отека и инфильтрацией иолииуклсарными лейкоцитами.
Изменения слоя ганглиозных клеток носили неопределенный характер. В одних случаях отмечались пролиферация, полиморфизм, набухание, вакуолизация некоторых клеток, перицеллюлярный отек. Ядра были расположены эксцентрично, нередко нисслевская зернистость стерта.
В других случаях ганглиозные клетки изменены незначительно, сморщены, с усиленной окраской. Слой нервных волокон был неравномерно утолщен вследствие отека, сосуды расширены, гиперемиронаны, конфигурация их нарушена, стенки истончены, нередко разорваны, с очагами кровоизлияний. В отдельных случаях этот слой оказывался покрытым бесструктурной сетчатой массой, вследствие чего сетчатка была утолщенной.
Нередко сетчатая оболочка оказывалась отслоенной в результате скопления экссудата между пигментным слоем и слоем палочек и колбочек.
При окраске на нуклеиновые кислоты ретикулярные слои и слой нернных волокон слабо воспринимали окраску, т. е. были слабо пиронинофильны. В дистрофически измененных клетках ганглиозного слоя ДНК и РНК обнаруживалось едва уловимое окрашивание.
Интересны нарушения распределения гликогена в слоях сетчатой оболочки. Общее количество его по сравнению с контрольными исследованиями было уменьшено. Концентрация и распределение гликогена в отдельных слоях зависели от изменений, обнаруживаемых при окраске гематоксилин-эозином. В тех случаях, когда отмечались утолщения слоев сетчатки, увеличивалось количество мельчайших, интенсивно окрашенных зерен гликогена.
Зрительный нерв характеризовался расширением и полнокровием центральных сосудов. Изредка в зоне его диска обнаруживались кровоизлияния. Вокруг сосуда иногда наблюдалась картина периваскулярного отека.
Морфология изменений роговицы, радужки, ресничного тела при отравлении йодом
Эпителиальные клетки были неравномерно истончены, нередко наблюдалось набухание и вакуолизация их цитоплазмы. В базальных клетках отмечался перинуклеарный отек. Передняя пограничная пластинка (боуменова оболочка) не была выражена. В области лимба выявлялись вновь образованные сосуды, нередко резко расширенные, обычно с уплощенным эндотелием.
Соединительнотканные волокна стромы были разволокнены, набухшие, отечные. Обнаруживались резко расширенные щели, Клеток стромы было мало, причем набухших.
Задняя пограничная пластинка (десцеметова оболочка) была отечной. Слой эндотелия местами слагался в несколько рядов.
При гистохимическом исследовании выявилось уменьшение количества гликогена в местах отека и в собственном слое. Равномерность распределения аскорбиновой кислоты была нарушена. Количество ДНК в ядрах верхних слоев эпителиальных клеток роговицы сходило на нет, а РНК выявлялась лишь в единичных клетках. В клетках эпителия роговицы количество аргирофильиых зерен было уменьшено; они то слабо, то сильно поглощали серебро.
Извитость коллагеновых волокон обычно была нарушена, по ходу и между ними виднелись зерна и щели. Отмечалось врастание сосудов в строму роговицы.
Морфология изменений радужки при отравлении йодом
В большинстве случаев встречались сосудистая реакция и отек стромы. Обращали на себя внимание резкое увеличение количества мелких сосудов, пролиферация и набухание эндотелия, нередко с иериваскулярпым отеком.
Пигментный эпителий в некоторых случаях оказывался разрыхленным и содержал меньше меланина. Соединительнотканная строма (основа радужной оболочки) была отечная, разрыхленная, местами слабо инфильтрированная лимфогистиоцитарными клетками. Мышечные волокна сфинктера зрачка находились в состоянии гомогенизации.

Множество расширенных полнокровных сосудов и геморрагии ресничного тела
Отмечалась неравномерная пролиферация клеточных элементов стромы, хорошо выявляемая при гистохимической реакции по Фольгеиу, с неравномерным содержанием ДНК, вследствие чего этот слой местами утолщеп. В содержании гликогена и аскорбиновой кислоты ПО сравнению с контрольными исследованиями особой разницы не обнаружено.
Количество РНК было уменьшено. Строма характеризовалась слабой пиронинофилией. В отдельных случаях отмечались спайки между радужной и роговой оболочками и хрусталиком.
Морфология изменений ресничного тела при отравлении йодом
Изменения различной степени наблюдались как в собственно ресничном теле, так и в отростках. В большинстве случаев на фоне неравномерного отека обнаруживалось большое количество разнокалиберных сосудов, стенки их истончены, разрыхлены, эндотелий набухший, нередко видны геморрагии.
Некоторые сосуды оказались резко расширенными, и в них содержалась гомогенная белковая масса, аналогичные массы экссудата обнаруживаются в отечной строме цилиарного тела.
В других случаях сосудов выявлялось мало, эндотелий сосудов находился в состоянии пролиферации. Отмечался периваскулярный отек. В отдельных случаях в строме обнаруживались круглоклеточные инфильтраты, стимулирующие явления циклита. Представляли интерес изменения в пигментных клетках. Прежде всего обращали на себя внимание пролиферация их и явления дистрофии (вакуолизация, запыление, депигментация), особенно выраженные в отростках, что указывает на нарушение пигментации. Пролиферативные изменения отмечались также в беспигментном эпителии.
В радужной оболочке и ресничном теле изменения аргирофильных волокон заключались в утолщении части аргирофильныx волокон стромы. В сосудах извилистость аргирофильных волокон сглаживалась, местами они теряли аргирофильные свойства, иногда представлялись в виде дезорганизованных фрагментированных частиц.
Строма ресничного тела было пиронинофильной. В клетках эндотелия расширенных сосудов ДНК мало. Количество ДНК было увеличено в ядрах беспигментного эпителия цилиарных отростков, особенно в местах пролиферации.
Отравление йодом
Отравление йодом — это острая или хроническая интоксикация, спровоцированная поступлением в организм чрезмерного количества данного вещества. Основные клинические проявления включают гиперсаливацию, жжение и металлический вкус во рту, отек дыхательных путей и легких, нарушение функции почек. Хроническое поражение характеризуются явлениями гипертиреоза. Патология диагностируется на основании анамнеза, клинической картины, масс-спектрометрии венозной крови. Специфическое лечение: промывание желудка тиосульфатом натрия, крахмал на молоке внутрь, при необходимости – симптоматическая и антитоксическая терапия.
МКБ-10
Общие сведения
Острое отравление йодом встречается сравнительно редко. Специалисты токсикологических центров чаще сталкиваются со случаями хронической интоксикации, спровоцированной неправильным профилактическим приемом лекарственных средств. Подобные происшествия распространены на всей территории России, западной Украины, республики Беларусь. Число пациентов возрастает весной, так как многие из них пытаются компенсировать мнимый или реальный дефицит нутриентов путем их активного употребления. Летальные изменения наступают при одномоментном приеме 3 граммов вещества, признаки умеренного экзотоксикоза — при концентрации в плазме более 60 мкг/л.
Причины
Наиболее распространенная причина хронического поражения — попытки самостоятельной профилактики йододефицита без учета суточных дозировок. Согласно рекомендациям ВОЗ, среднее количество йода, которое должен употреблять за сутки взрослый человек, варьируется в пределах 160-200 мкг. Максимально допустимая однократная доза — 1 грамм. Прием 1 грамма ежедневно приводит к отравлению. Другие возможные причины:
- Производственные катастрофы. При ЧС происходит повышение концентрации йода в окружающем воздухе, что становится причиной ингаляционных отравлений. Признаки патологии возникают у пострадавших, длительно находящихся в зоне с содержанием химического компонента выше 1 мг/м 3 . Тяжесть состояния прямо пропорциональна времени пребывания в зараженном пространстве и концентрации ксенобиотика.
- Загрязнение питьевых источников. Выброс I в источники воды приводит к острым отравлениям. Максимально допустимая концентрация рассматриваемого элемента составляет 0,125 мг/дм 3 . Превышение этих цифр представляет опасность для человека. Случаи химического поражения с помощью йодосодержащих жидкостей были описаны во время локальных военных конфликтов XX века.
- Радиоактивные катастрофы. Провоцируют наиболее тяжелые интоксикации, поскольку при авариях на АЭС происходит распространение радиоактивного йода-131. Его накопление в щитовидной железе становится причиной лучевой болезни, формирования неопластических изменений. Попадание изотопов в организм особенно опасно на фоне имеющегося йододефицита.
- Обработка больших поверхностей. Определенное превышение нормы элемента в крови может возникнуть при длительной ежедневной обработке препаратом значительных участков тела пациента. Степень всасывания увеличивается при нанесении лекарства на слизистые оболочки и раны. С неповрежденной кожи системная абсорбция незначительна. Нормальные показатели восстанавливаются самостоятельно спустя 7-14 суток после последнего нанесения ЛС.
- Случайное или умышленное употребление. В казуистических случаях антисептик может быть принят внутрь по ошибке. Подобное становится возможным при открытом хранении медикамента дома, где есть маленькие дети, старики, страдающие сенильной деменцией, психически нездоровые люди. Нельзя исключить употребление препарата с суицидальной целью.
Патогенез
Растянутое во времени отравление йодом приводит к накоплению его избыточного количества в тканях щитовидной железы. Это провоцирует чрезмерную выработку тиреоидных гормонов, усиливает трансформацию андрогенов, является причиной гинекомастии у мужчин, ускоряет энергетический обмен, увеличивает генерацию тепла. Трансформируется деятельность сердечно-сосудистой, мочевыделительной системы. Возможно нарушение углеводного обмена с формированием сахарного диабета. Определяются психические расстройства, ослабление аппетита, вызванное токсическим влиянием гормонов.
При острых процессах на первый план выходят явления интоксикации. Изменяется содержание электролитов крови, формируется метаболический ацидоз. Отмечается расстройство работы рецепторных аппаратов тела, нарушается иннервация всех органов и систем. Пары препарата раздражающе влияют на легкие, могут провоцировать альвеолярный отек. В течение нескольких дней развивается почечная недостаточность, анурия, накопление метаболических продуктов. Без медицинской помощи смерть наступает на 3-10 сутки.
Классификация
Отравление йодом подразделяется по нескольким принципам. Основной считается дифференциация по времени развития клинической картины: острый и хронический тип. В первом случае симптомы возникают через 1-2 часа, во втором это требует нескольких недель или месяцев. Также патология делится по путям проникновения яда:
- Пероральный. Прием токсиканта осуществляется через рот, всасывание происходит в желудке. Обычно сопровождается признаками химического ожога слизистой оболочки и явлениями, обусловленными системным отравляющим влиянием лекарственного средства. Возможно попадание жидкого раствора в верхние отделы дыхательных путей. Реализуется при случайном потреблении йода внутрь и суицидальных попытках.
- Ингаляционный. Имеет место при производственных или радиационных катастрофах. Вещество, распыленное в воздухе, попадает в легкие, раздражает альвеолы, потенцирует отек, дыхательную недостаточность. При долговременном нахождении в аварийной зоне происходит всасывание элемента из трахеи и дыхательных пузырьков, что сопровождается развитием общетоксических симптомов.
- Трансдермальный. Яд проникает через кожу, слизистые оболочки или смазанные противомикробным раствором ткани. Состояние может наблюдаться у пациентов с тяжелыми травмами, нуждающихся в длительной обработке антисептическими медикаментами. Как правило, отмечаются хронические патологические процессы.
Симптомы отравления йодом
Патология легкой степени проявляется преимущественно региональной симптоматикой. У пострадавшего обнаруживается отек слизистой оболочки рта, глотки и верхних дыхательных путей. Возникают жалобы на чувство жжения в поврежденной зоне. Язык бурый. Вдыхание паров приводит к появлению кашля, одышки, отека голосовых связок с развитием удушья. Рвотные массы имеют синеватую или коричневую окраску. Возможно умеренное ухудшение общего самочувствия, головная боль.
Среднетяжелые интоксикации характеризуются развитием гематурии, связанной с повреждением почечных канальцев, неукротимой жажды, диареи. Артериальное давление повышается, отмечается выраженная тахикардия. Возможны пиретические реакции. Страдают психические функции: пациент неадекватен, выявляется бред преследования, психоз, бессонница, категорический отказ от приема пищи. Типичны жалобы на неустранимый вкус металла во рту. Дополнительно определяются все признаки, свойственные легким экзотоксикозам.
Тяжелое отравление йодом становится причиной отказа важнейших систем организма. У больного диагностируется анурия, связанная с развитием ОПН, увеличение размеров печени, признаки сердечно-сосудистой недостаточности, в том числе коллапс. При ингаляционных отравлениях аускультируются влажные крупно- или мелкопузырчатые хрипы, обнаруживается выраженная одышка по смешанному типу, диффузный цианоз кожных покровов. Сознание нарушено или отсутствует.
Хроническое отравление йодом отличается отсутствием явных острых проявлений. К числу основных симптомов относят угнетенное психологическое состояние, плаксивость, раздражительность, головные боли, тремор конечностей, тахикардию. Пациент может терять вес, сохраняя нормальный аппетит. Характерные признаки — разрастание тканей щитовидной железы, экзофтальм, специфическое поражение кожи, асептическое воспаление слюнных желез, верхнечелюстных пазух и слизистых оболочек дыхательных путей.
Осложнения
Основное осложнение тяжелого йодного токсикоза — полиорганная недостаточность. Происходит нарушение работы мочевыделительной, дыхательной и сердечно-сосудистой систем. Прогноз при подобных состояниях крайне неблагоприятный. Патологические изменения, затрагивающие три и более структуры организма, приводят к гибели пострадавшего в 70% случаев. Пациенты, которых удалось спасти, часто инвалидизируются, оказываются неспособными полностью восстановиться, нуждаются в постоянном уходе. Качество и продолжительность их жизни резко снижается.
Еще одним осложнением, возможность которого нужно учитывать, является тиреотоксический криз. Проблема возникает у больных, страдающих длительным переизбытком йода и диффузным токсическим зобом. Под действием провоцирующего фактора у таких пациентов происходит резкий выброс большого количества тиреоидных гормонов. Результатом становится мерцательная аритмия, тахикардия, полиорганная недостаточность. При тяжелых разновидностях болезни кризы встречаются в 10-15% случаев.
Диагностика
Первичная диагностика проводится врачом скорой помощи и специалистом-токсикологом, который осуществляет осмотр пострадавшего. Токсиколог разрабатывает план дальнейшего обследования, направленного на оценку степени тяжести отравления и выявления пораженных структур. Основанием для постановки предварительного диагноза служит анамнез, внешний вид больного, наличие клинических симптомов. Схема диагностического поиска включает следующие методы:
- Физикальные. При осмотре кожа бледная или цианотичная, дыхание учащенное до 25-30 раз/минуту. Систолическое АД обычно держится в пределах 150-180, порой достигает показателя 200 мм рт. ст. Слизистые оболочки рта окрашены в бурый цвет, присутствуют следы химического ожога. В легких выслушиваются хрипы, пациент беспокоен, иногда неспособен адекватно оценивать собственное состояние и окружающую обстановку.
- Инструментальные. По данным УЗИ брюшной полости определяется гепатомегалия, умеренное вздутие петель кишечника. При отеке легкого обзорная рентгенография выявляет сливающиеся тени. При развитии экссудативного плеврита внутри плевральной полости визуализируется уровень жидкости. На ЭКГ обнаруживается исчезновение зубцов P, сокращение интервала R-R, нарушение ритма, выпадение части желудочковых комплексов.
- Лабораторные. Концентрация I превышает 60 мкг/литр. Биохимические показатели зависят от степени поражения висцеральных структур. Отмечается рост активности печеночных ферментов, увеличение концентрации креатинина и мочевины. Изменяется электролитный состав крови, повышается количество натрия, водородный показатель смещается в кислую сторону (метаболический ацидоз).
Лечение отравления йодом
План лечения зависит от типа интоксикации, наличия тех или иных клинических признаков, а также от условий реализации медицинской помощи. При выраженных изменениях все начальные мероприятия осуществляет бригада СМП. Пытаться повлиять на состояние пациента самостоятельно не рекомендуется. Легкие поражения допускают проведение ряда мероприятий до приезда медиков. Окончательный план медикаментозной коррекции разрабатывается и осуществляется в стационаре.
Первая доврачебная помощь
До прибытия СМП необходимо успокоить пострадавшего, обеспечить приток свежего воздуха, дать выпить кружку молока или воды с добавлением крахмала. Давать твердую пищу (сырой картофель) или пытаться промыть желудок беззондовым способом не следует. Если в пищеводе или желудке присутствует химический ожог, подобные действия усугубят ситуацию и станут причиной кровотечения. При психомоторном возбуждении допускается мягкая фиксация пациента к кровати. Если отсутствует сознание, больного укладывают на бок и контролируют его состояние.
Догоспитальная медицинская помощь
Пероральное отравление йодом на догоспитальном этапе требует промывания желудка раствором тиосульфата натрия 5% до чистых вод. Лучше, если процедура будет реализована через тонкий назогастральный зонд. После ее окончания пациенту дают выпить раствор крахмала на молоке. Показана госпитализация в токсикологический стационар. Во время транспортировки больного с тяжелой степенью поражения проводится мониторинг жизненно важных функций, инфузионная терапия через периферический венозный катетер. При необходимости выполняется интубация трахеи, введение седативных медикаментов.
Плановая терапия
Действия врачей стационара направлены на удаление токсиканта из организма. До этого момента состояние пациента медикаментозно поддерживают на приемлемом уровне. Показан постельный режим, щадящее питание. При выраженной диспепсии в первые дни назначается голод. Реконвалесценция занимает около двух недель. Наиболее тяжелые случаи требуют длительного пребывания в ЛПУ. Рекомендованы следующие виды терапии:
- Симптоматическая. Поддержание гемодинамики, коррекция ацидоза с использованием растворов гидрокарбоната натрия, респираторная помощь. При отеке легких применяют петлевые диуретики и глюкокортикостероиды, через дыхательную аппаратуру вводят пеногасители. Может потребоваться вливание антиаритмиков, гипотензивных медикаментов, анальгетиков и нейролептиков.
- Антитоксическая. Удаление излишков йода реализуют с помощью тиосульфата натрия. Препарат назначают по 10 мл каждые 4 часа. Умеренно эффективны неспецифические методы детоксикации. К ним относится введение большого количества солевых растворов с последующей стимуляцией диуреза, назначение активированного угля и других невсасывающихся энтеросорбентов.
Хроническое отравление не требует экстренной госпитализации. Пациент проходит лечение амбулаторно или размещается в стационаре в плановом порядке. Основа терапии — коррекция имеющихся гормональных нарушений с помощью тиреостатических медикаментов, отказ от применения йодосодержащих веществ, симптоматические меры. Тиреоидный криз является показанием к направлению в отделение реанимации, где проводят активные антитоксические мероприятия, направленные на снижение концентрации гормонов.
Прогноз и профилактика
Прогноз благоприятный при легких, среднетяжелых и хронических интоксикациях. Своевременная коррекция состояния обеспечивает практически стопроцентную выживаемость. Тяжелые отравления имеют достаточно высокий процент летальности. Гибелью пострадавшего заканчивается около 15% от общего количества случаев. Прогностически неблагоприятными считаются ситуации, когда у пациента развивается отек легких, полиорганная недостаточность, психические расстройства.
Превентивные мероприятия предусматривают соблюдение техники безопасности при работе на производстве с использованием йода. Дома необходимо держать антисептические средства в закрытых шкафах. Профилактика йододефицита осуществляется только по схеме, предложенной врачом. Если возникает необходимость в частой обработке больших зон тела противомикробными средствами, препараты нужно менять 1 раз за 5-7 дней. Допустимо чередовать йод, бриллиантовую зелень, хлоргексидин и другие кожные антисептики.
2. Клиническая токсикология детей и подростков / Маркова И.В., Афанасьев В.В., Цыбулькин Э.К. – 1999.
Читайте также:
