Как вправить вывих нижней челюсти
Добавил пользователь Владимир З. Обновлено: 30.01.2026
Вправление нижнечелюстного височно-нижнечелюстного сустава (ВНЧС) может быть выполнена с использованием простой мануальной техники.
Вывих нижней челюсти обычно возникает у людей, имевших такие дислокации в анамнезе. Обычно это происходит при широком открывании рта (например, при надкусывании большого бутерброда, при зевании или во время проведения стоматологической процедуры).
Показания к вправлению вывиха нижней челюсти
Неосложненный вывих переднего ВНЧС
Противопоказания к вправлению вывиха нижней челюсти
Абсолютные противопоказания
Латеральный, медиальный, верхний или задний вывихи ВНЧС
Пациенты с этими состояниями должны находиться под контролем челюстно-лицевого хирурга.
Осложнения при вправлении вывихнутой нижней челюсти
Перелом нижней челюсти (редко)
Смещение ранее существовавшего перелома
Авульсия волокнистого хряща височно-нижнечелюстного сустава
Переломы нижней челюсти могут не распознаваться до тех пор, пока после вправления височно-нижнечелюстного сустава боль у пациента не уходит.
Оборудование для восстановления вывихнутой нижней челюсти
Стоматологическое кресло или прямой стул с поддержкой головы
Марлевые прокладки или забинтовывание большого пальца для предотвращения укуса рук оператора
Вывих височно-нижнечелюстного сустава, как правило, может быть вправлен без процедурной седации или инъекции местного анестетика в височно-нижнечелюстный сустав, однако подобные меры могут быть необходимыми для неконтактных пациентов, или при вывихе, который длится более нескольких часов. Дополнительные необходимые материалы включают в себя:
Процедурные седативные препараты: инъекционные диазепам или мидазолам, а также опиоиды, такие как фентанил; оснащение, необходимое для катетеризации периферических вен
Инъекционные препараты для местной анестезии: лидокаин 2% без адреналина; игла 27 калибра длиной 2 см; шприц объемом 3 мл, наружный антисептик (например, хлоргексидин, повидон- йод)
Дополнительные соображения при вправлении вывихнутой нижней челюсти
Вправление височно-нижнечелюстного сустава стоит проводить без промедлений. С течением времени вправление сустава становится более трудным
Вывих височно-нижнечелюстного сустава (ВНЧС) может быть болезненным и пациенты иногда испытывают беспокойство, однако часто такое состояние можно облегчить мягким подбадриванием пациента. Местное введение анестетика в сустав и в жевательные мышцы требуется редко.
Процедурная седация обычно не требуется. Следует тщательно сопоставить необходимость в седации и возможные риски (особенно у пожилых пациентов), а также увеличение периода времени, необходимого для этого.
По возможности следует сделать панорамную рентгенографию челюсти для пациентов с возможным вывихом височно-нижнечелюстного сустава без смещения вперед. Однако при нетравматических вывихах рентгенография не всегда нужна, особенно если у пациента в анамнезе уже были вывихи.
Проведите КТ для выявления травматического вывиха височно-нижнечелюстного сустава.
Попытки закрытой репозиции могут быть неудачными и требуют репозиции под общим наркозом.
Соответствующая анатомия для вправления вывиха нижней челюсти
Височно-нижнечелюстной сустав образован нижнечелюстным мыщелком и суставной ямкой височной кости.
Передний вывих височно-нижнечелюстного сустава происходит, когда мыщелок выходит из суставной ямки вперёд и располагается спереди от суставного возвышения.
Вывих височно-нижнечелюстного сустава вызывает растяжение связок жевательной мышцы, медиальной и латеральной крыловидной и височной мышц, вызывая болезненные спазмы (тризм). Тризм препятствует возвращению мыщелка в нижнечелюстную ямку, что препятствует закрытию рта.
Когда головка мыщелкового отростка занимает свое место в суставной впадине, челюсть закрывается под силой мышц, находящихся в спазме, что подвергает риску укуса язык пациента и пальцы оператора.
Спонтанные вывихи височно-нижнечелюстного сустава бывают чаще двусторонними, чем односторонними.
Положение для вправления вывиха нижней челюсти
Усадите пациента прямо или с лёгким наклоном кзади.
Плотно прижмите голову пациента к спинке стула/подголовнику.
Встаньте перед пациентом так, чтобы ваши локти были на уровне или выше уровня нижней челюсти.
Пошаговое описание методики
Добейтесь того, чтобы пациент расслабился и был готов к содействию
Важно унять тревогу и заручиться его содействием перед попыткой вправления.
Спокойным, ободряющим голосом объясните пациенту, что
Состояние можно успешно лечить, но необходимо его полное содействие.
Рот и челюсть должны быть расслаблены, и при процедуре вправления важно не сопротивляться
В челюсти будет ощущаться давление, но не острая боль
Голова должна быть плотно прижата к подголовнику, так как челюсть возвращается на место
Если пациент по-прежнему не в состоянии расслабиться и содействовать процедуре вправления, по мере необходимости назначают внутривенную процедурную седацию и обезболивание.
Дополнительно: укол местной анестезии:
Наружно пальпируют пространство височно-нижнечелюстного сустава, чуть ниже скулы и примерно в 2,5 см кзади от козелка.
Промойте область раствором антисептика и дайте ему высохнуть в течение по крайней мере 1 минуты.
Введите иглу перпендикулярно коже и продвигайте ее медиально на 0,5 см в суставное пространство.
Аспирируйте, чтобы исключить внутрисосудистое расположение
Медленно введите около 1 мл анестетика.
Помассируйте место, чтобы ускорить наступление анестезии.
Отведите в сторону мыщелки и вправьте челюсть:
Попросите пациента полностью расслабить рот и челюсть.
Зафиксируйте голову. Попросите пациента держать голову неподвижно и плотно прижать ее к подголовнику.
Наденьте нестерильные перчатки.
Поместите большие пальцы на наружный косой отросток с обеих сторон нижней челюсти, по бокам от третьих моляров. В качестве альтернативы оберните пальцы слоями марли и поместите их как можно более сзади на окклюзионную поверхность нижних моляров с обеих сторон (это увеличивает риск укуса во время вправления).
Сожмите другие пальцы вокруг и под нижней челюстью, указательными пальцами позади ветви. Пальцы должны контактировать с костью нижней челюсти, а не с мягкими тканями под языком.
Во-первых, прикладывают постоянное и непрерывное, направленное книзу, усилие на заднюю часть челюсти, используя свои большие пальцы, чтобы сдвинуть мыщелки ниже. Это постоянная, устойчивая сила, а не резкое, дёргающее, толкающее усилие.
Одновременно на переднюю часть нижней челюсти прикладывают аналогичную силу, направленную вверх (т.е. качнуть подбородок вверх), что может улучшить вправление мыщелка.
Основная задача заключается в том, чтобы сначала оказать значительное давление вниз в задней части челюсти, затем медленно направлять всю нижнюю челюсть назад: «Вниз. затем назад». Часто нижняя челюсть щелкает в положение, когда мыщелки открывают суставной бугорок.
Убедитесь в успешном вправлении височно-нижнечелюстного сустава:
Успешное вправление височно-нижнечелюстного сустава восстанавливает способность пациента закрывать рот, хотя некоторое время останется болезненность из-за мышечных спазмов.
Попросите пациента прочувствовать, смыкаются ли зубы нормально, когда слегка открывается и закрывается челюсть. Скажите пациенту держать глаза закрытыми и не открывать для проверки.
Вправление челюсти
Описание проблемы и ее симптоматики
Подвижной является только нижняя челюсть, поэтому когда говорят о вывихе, то подразумевают именно ее. Вывих представляет собой травмирование нижнечелюстного – височного сустава с его смещением от анатомически правильного положения. При этом суставная головка выскакивает из ямки суставно-височной кости.
Вывих подразделяется на полный (когда головка полностью вылетает из ямки) и частичный (когда головка смещается относительно нормального положения, но находится в ямке). Подвывих считается менее опасным и может быть устранен в домашних условиях самим пострадавшим.
Не всегда травмирование нижней челюсти определяется невооруженным взглядом. Иногда повреждение ощущает только сам пострадавший. К основным признакам вывиха можно отнести: ноющую боль в области повреждения, иррадирование неприятных ощущений в ухо, усиление симптомов при попытке открыть рот. В момент полного вывиха пострадавший может услышать щелчок, характерный для выхода головки из суставной ямки.
Симптоматическая картина нарушения зависит от вида травмы. При переднем вывихе поврежденная костная структура провисает и выдвигается вперед. При этом больной отмечает у себя усиленное слюноотделение и трудности при произношении слов.
Дополнительные признаки переднего вывиха:
- асимметрия лица;
- невозможность самостоятельного закрытия рта;
- смещение челюсти вправо или влево.
При заднем вывихе поврежденная костная структура смещается назад. Характерная клиническая картина травмы: частичное ухудшение слуха, отечность ушной раковины. Эти симптомы возникают из-за того, что при заднем вывихе нередко происходит перелом стенки слухового прохода.
Признаки двустороннего вывиха:
- затрудненное дыхание (особенно в положении лежа);
- невозможность открытия рта без стороннего вмешательства;
- усиление болевых ощущений в сидячем положении.
Причины
Причины смещения костей челюсти от первоначального положения можно поделить на 2 категории: травматические и нетравматические. К первой категории провоцирующих проблему факторов можно отнести: ушибы, ДТП, падения, удары.
Среди причин нетравматического характера можно выделить:
- пережевывание грубых продуктов питания;
- широкое открытие челюсти человеком во время зевания;
- заболевания связочного аппарата (ревматоидный артрит, остеоартроз, остеомиелит).
При несвоевременной медицинской помощи в области вывиха постепенно появляется припухлость и гематома. Отсутствие вправки также приводит к переходу вывиха в стадию застарелого. Для нарушения характерно ослабление мускулатуры челюсти, образование уплотненных рубцов в месте повреждения, невозможность удерживать челюсти в анатомически правильном положении даже после вправления. У человека нарушаются жевательные и речевые функции.
Профессиональное вправление челюсти
Всего существует 3 техники вправления нижней челюсти при ее вывихе: способ Гиппократа, метод Попеску и метод Блехмана-Гершуни. Первый способ вправления практикуется при несложных травмах. Рассмотрим подробнее способ вправления нижней челюсти по способу Гиппократа:
- Врач усаживает больного на кресло с высоким подголовником. Обязательное правило, которое должно соблюдаться при вправлении по методу Гиппократа – опора головы на твердую поверхность. Локти врача должны располагаться на уровне челюсти пациента.
- Выполняется местная анестезия с Лидокаином, Новокаином или другим обезболивающим средством.
- Врач дезинфицирует руки и обматывает свои большие пальцы марлей, чтобы избежать их травмирования о зубы пациента.
- Большие пальца укладываются на коренные зубы пострадавшего, а остальными элементами фиксируется нижняя челюсть.
- Осуществление непосредственного вправления: челюсть слегка отодвигается книзу, с легким давлением на подбородок вверх. Действие необходимо для максимального расслабления жевательных мышц. После этого врач совершает большими пальцами движения назад и вверх для того, чтобы головка сустава вернулась в первоначальное положение.
- Если манипуляции были проведены правильно, то после вправления будет слышен характерный хруст. Он свидетельствует о попадании головки сустава в выемку. После щелчка врач быстро прижимает большие пальцы к внутренней стороне щеки пациента, так как после вправления пострадавший рефлекторно закроет рот.
Вправление челюсти методом Гиппократа.
Метод Блехмана-Гершуни
Данный способ позволяет быстро и просто возвратить головку сустава на место, однако он требует определенных знаний и умений от врача или оказывающего первую помощь человека. Все манипуляции при методе Блехмана-Гершуни выполняются в одно движение.
Способ практикуется при несложных видах двустороннего вывиха челюсти по следующему алгоритму:
- Врач определяет расположение венечных отростков костей челюсти.
- Одним движением кость смещается по направлению назад и вниз до появления характерного щелчка.
Вправлять челюсть по методу Блехмана-Гершуни можно как с внешней, так и внутренней стороны челюсти. Наружный метод вправления считается более щадящим. Однако при внутренней методике легче найти венечный отросток. Способ устранения вывиха также рекомендуется использовать при хронических смещениях головки сустава челюсти из ямки, обусловленных слабостью мышечного аппарата.
Метод Попеску
Способ вправления считается наиболее действенным, однако выполнять манипуляции по его алгоритму должен только опытный человек с медицинским образованием. При грамотном проведении СП помощью методики можно устранить последствия застарелой травмы.
Вправление нижнечелюстного височно-нижнечелюстного сустава (ВНЧС) может быть выполнена с использованием простой мануальной техники.
Вывих зуба - симптомы и лечение
Что такое вывих зуба? Причины возникновения, диагностику и методы лечения разберем в статье доктора Гаспаряна Карена Камоевича, стоматолога-хирурга со стажем в 17 лет.
Над статьей доктора Гаспаряна Карена Камоевича работали литературный редактор Юлия Липовская , научный редактор Сергей Федосов и шеф-редактор Лада Родчанина
Определение болезни. Причины заболевания
Вывих зуба — это патологическое перемещение зуба по отношению к альвеоле (костной лунке, в которой фиксируется зуб), вызванное насильственным механическим воздействием и сопровождающееся повреждением периодонта (связки, которая окружает зуб) и сосудисто-нервного пучка зуба (пульпы) [1] .

Травмы челюстно-лицевой области встречаются довольно часто как у детей, так и у взрослых. По статистике больше всего повреждениям подвержены верхние передние зубы — клыки и резцы [12] . Вывих зуба является одной из самых распространённых травм в этой области.
Вывих зуба может быть вызван следующими причинами [1] [10] :
- повреждением челюстно-лицевого аппарата в результате механической травмы, нанесённой при ударе, падении с высоты и т. д. (чаще возникает у детей, подростков и спортсменов);
- множественными травмами головы (например в дорожно-транспортных происшествиях);
- травмами, полученными в результате откусывания слишком жёсткой, твёрдой пищи;
- травмами, полученными в результате попадания в пищу инородных твёрдых частиц (косточек из плодов и ягод, костных обломков и др.);
- некоторыми вредными привычками, легкомысленным отношением к состоянию здоровья своих зубов (например открывание зубами бутылок, раскалывание скорлупы орехов и прочее);
- некорректным удалением зубов, в результате чего происходит вывих находящегося рядом зуба (как правило, постоянного).
При обнаружении схожих симптомов проконсультируйтесь у врача. Не занимайтесь самолечением - это опасно для вашего здоровья!
Симптомы вывиха зуба
Симптомы зависят от вида вывиха зуба [1] [11] :
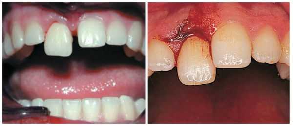
- Неполный вывих : боль усиливается при контакте с зубом, например во время приёма пищи; на слизистой оболочке полости рта имеются маленькие ранки, ссадины и гематомы; мягкие ткани отёчны; наблюдается смещение зуба в сторону и его значительная подвижность; вынужденное положение челюсти в связи с наличием болевых ощущений.

- Полный вывих: сопровождается сильной болью; зуб в лунке отсутствует; пустая лунка кровоточит; десна изменена в цвете; имеется припухлость; может возникнуть гематома; происходит локальное повышение температуры; некоторое время могут наблюдаться дефекты речи.

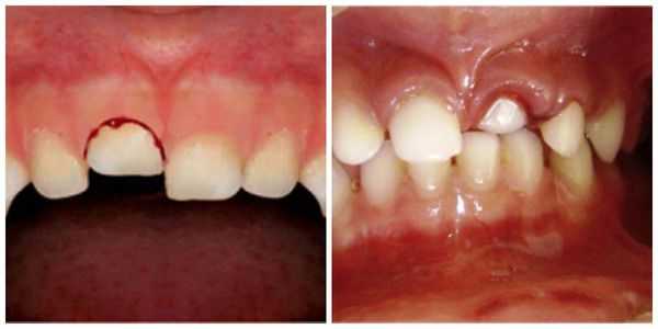
- Вколоченный вывих : пациент чувствует постоянную боль, усиливающуюся при давлении, жевании, смыкании челюстей; при пальпации десны появляется её гиперемия (покраснение) и отёчность; возникает незначительное кровотечение из места травмы. Что интересно, при перкуссии (постукивании) травмированного зуба человек не ощущает болевых ощущений и дискомфорта. При визуальном осмотре заметно укорочение зуба или же он полностью "спрятан" в лунке, при этом неподвижен.

Для всех видов вывиха характерна следующая симптоматика: боль в области причинного зуба, кровоточивость, отёчность десны.
Патогенез вывиха зуба
Для каждого вида вывиха зубов характерен индивидуальный патогенез [1] .
Неполный вывих характеризуется сохранением зуба в его лунке и сопровождается разрывом части волокнистых структур, окружающих и удерживающих зуб, либо растяжением волокон в той или иной степени. Для данной патологии характерно изменение положения коронки зуба и корня в зубном ряду по отношению к стенкам альвеолы. Зуб имеет неправильное положение вследствие смещения в вестибулярную ( в сторону губы) или оральную сторону, в сторону соседнего зуба или поворота вокруг оси. Это приводит к нарушению формы зубного ряда. Неполный вывих может сочетаться с переломом коронки, корня зуба или альвеолярного отростка.
Полный вывих характеризуется полным разрывом волокнистых структур периодонта (в том числе круговой связки зуба). При этом травмированный зуб в лунке отсутствует, а сосудисто-нервный пучок зуба всегда разрывается. Вывих может сопровождаться переломом края альвеолы. Иногда зуб может присутствовать в альвеоле за счёт единичных сохранившихся волокон круговой связки. По статистике полному вывиху чаще подвергаются фронтальные зубы верхней челюсти, реже — нижней. Меньше других подвержены полному вывиху клыки.
Вколоченный вывих — это травма считается наиболее неблагоприятной. Тело зуба под воздействием большой давящей силы погружается в ткани челюсти (он входит глубоко в лунку) и корень внедряется вглубь альвеолярного отростка и тела челюсти. Для вколоченного вывиха также характерен полный разрыв волокон периодонта. Крайне редко некоторая их часть сохраняет свою непрерывность, но существенно растягивается и надрывается. Сосудисто-нервный пучок, как правило, разрывается. Из-за внедрения более широкой части зуба в более узкую происходит деформация стенок альвеолы: они раздвигаются и ломаются. Данный вид вывиха иногда сопровождается поворотом зуба вокруг оси, смещением в вестибулярном или оральном направлении. Особенно это касается верхних зубов, когда вследствие вывиха может произойти повреждение носовых (гайморовых) пазух.
Классификация и стадии развития вывиха зуба
Согласно Международной классификации болезней 10 пересмотра (МКБ-10) код вывиха зуба — S03.2. Различают три вида [1] [3] :
- неполный вывих (при этом зуб частично остается в костной лунке);
- полный вывих (зуб полностью отсутствует в лунке);
- вколоченный вывих (зуб вколачивается в костную лунку).
- изолированный вывих (имеется только вывих зуба);
- вывих, сопровождающийся переломом коронки или корня зуба (при этом наблюдается подвижность зуба или отсутствие его части);
- вывих, сочетающийся с переломом альвеолярного отростка или челюсти (сопровождается отёчностью мягких тканей в области травмы).
Вывих зуба относится к травмам зубов (кроме вывиха сюда относятся ушиб зуба и перелом). При ушибе травмированный зуб остается на месте, при переломе — отсутствует часть зуба.
Осложнения вывиха зуба
Вывих зуба — это достаточно серьёзная проблема. Если вовремя не обратиться к врачу, то можно получить ряд осложнений [9] :
- Остановка роста зубного корня (наблюдается при вывихе зуба у детей) — приводит к развитию неполноценного зуба, может развиться гипоплазия (недоразвитие) эмали зуба.
- Укрепление зуба в неправильном положении (вестибулярная или оральная позиция зуба, разворот зуба) — приводит к аномалиям прикуса.
- Искривление зубного корня, изменение его длины.
- Выпадение зуба из лунки.
- Резорбция корня — патологическое рассасывание корней из-за наличия очага хронического воспаления (определяется только рентгенологически).

- Перелом коронки и корня зуба — наблюдается повышенная подвижность зуба или отсутствие его части.
- Травматический пульпит (воспаление пульпы зуба) — характеризуется самопроизвольными болями или реакцией на термические раздражители.
- Некроз (омертвение тканей) пульпы — может возникнуть при полном и вколоченном вывихах. (воспаление околокорневых тканей) — сопровождается резкой болью при касании зуба.

- Перелом стенок альвеолы.
- Периостит (воспаление ткани, покрывающей кость) — характеризуется появлением гнойного очага в области причинного зуба.
- Абсцесс (гнойное воспаление мягких тканей) — возникает отёк, припухлость, болезненные ощущениям и др.
Диагностика вывиха зуба
Диагностика данного вида травмы несложна. Вывих зуба редко остаётся незамеченным со стороны пациента из-за ярко-выраженног о болевого синдрома и невозможности приёма пищи, поэтому пациент самостоятельно обращается за помощью к стоматологу.
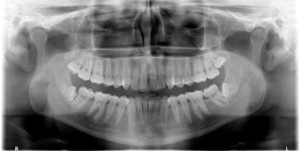
При первичном визуальном осмотре специалист определяет характер травмы без труда, так как признаки вывиха проявляются достаточно ярко. Но для более детального изучения характера и формы патологии (для оценки состояния челюсти, соседних зубов и иннервации в области повреждённого зуба) стоматолог назначает рентгенологическое исследование: ортопантомографию (ОПТГ) или компьютерную томографию челюсти . Это поможет дифференцировать вывих от иных форм травмы зуба (ушиба и перелома), кроме этого оценить структуру костной ткани, окружающей зуб на предмет трещин и перелома.

Также пациенту может быть назначена электро одонто диагностика (ЭОД) , по результатам которой врач сможет понять, в каком состоянии находится пульпа: если пульпа не реагирует на ток, она является нежизнеспособной. Полученные диагностические данные определят дальнейшую тактику лечение [2] [8] .
Лечение вывиха зуба
До обращения к врачу пациенту необходимо оказать первую доврачебную помощь, которая заключается в следующем [4] :
- Необходимо осмотреть полость рта на наличие кровотечения, костных отломков или выпавшего зуба.
- В случае обнаружения кровотечения необходимо принять меры для его остановки.
- Если вывих полный, то необходимо наложить стерильный тампон, чтобы остановить кровотечение. Его изготавливают из марлевой повязки, которую сворачивают несколько раз, затем накладывают на кровоточащую лунку (на 15-30 минут) и закрывают челюсть, тем самым обеспечивая кровоостанавливающий эффект.
- Далее нужно приложить холод к щеке или губам в проекции травмы зуба. Это поможет предотвратить возникновение отёка, уменьшить кровотечение и снизить болезненные ощущения.
- Если травма вколоченная, то необходимо избежать давления на зуб или лунку, так как это может значительно усилить боль.
- Если зуб выпал, то его необходимо сохранить. Для этого нужно взять чистую ткань или марлю, смоченную водой, и обернуть ею зуб. Обработку поверхности зуба проводить не следует, стоматолог все сделает сам.
- Далее обеспечить срочную доставку пациента к стоматологу.
После осмотра врач-стоматолог выбирает стратегию лечения данной травмы в зависимости от типа повреждения , а также от степени поражения зуба и окружающих его тканей. Ставится главный вопрос: "Можно ли сохранить зуб?" На него может ответить только стоматолог после комплексной диагностики .
Главным критерием считается состояние костной ткани около корня травмированного зуба. Если отмечается сохранность не менее половины длины зубного корня — зуб рекомендуется сохранить.
Лечение неполного вывиха
Если у пациента наблюдается неполный вывих, то лечение начинают с проводникового обезболивания, после чего врач аккуратно репонирует (устанавливает в лунку) зуб. Репозиция проведена правильно, если при смыкании челюстей отсутствует соприкосновение травмированного зуба с антагонистом.
Поставить зуб на место сложнее, если с момента вывиха прошло более двух суток, так как в месте травмы уже образовался организующийся кровяной сгусток. В этом случае следует произвести раскачивание зуба с последующей репозицией по вышеприведённой методике.
Но если больной обратился за помощью через несколько недель и зуб уже самостоятельно укрепился в неправильном положении, поставить его в зубную дугу можно только с помощью ортодонтических аппаратов.
После проведённых лечебных мероприятий вывихнутый зуб иммобилизируют (обездвиживают). Для этого врач использует индивидуальную шину-каппу, изготовленную непосредственно на пациенте. В шину обязательно включают не менее двух здоровых зубов по обе стороны от неполного вывиха. Шину накладывают минимум на 5-6 недель.

Перед шинированием и в динамике лечения проверяют электровозбудимость (реакцию на электрический ток) сосудисто-нервного пучка. Понижение или отсутствие электровозбудимости не только в первые 1-2 недели после травмы не обязательно говорит о необратимых изменениях. Реакция пульпы может приходить в норму в течение нескольких месяцев. Но если обнаруживаются клинические признаки гибели пульпы, её необходимо удалить, а канал пролечить, иначе оставшаяся в канале мёртвая пульпа приводит к развитию острого периодонтита или периостита.
После неполного вывиха не исключена внешняя резорбция (рассасывание) корня, которая не прогрессирует. При этом выраженность процесса резорбции определяется степенью смещения корня зуба при вывихе: чем больше смещение, тем большая поверхность корня может подвергнуться разрушению.
Лечение неполного вывиха молочного зуба заключается в противовоспалительной терапии, антисептической обработке раны и рентгенологическом контроле через 1, 3 и 6 месяцев.
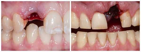
Лечение полного вывиха
В случае полного вывиха зуба, если с момента травмы прошло не более двух суток, проводится его реплантация (установка зуба обратно в лунку) [8] .
Но есть случаи, в которых она не показана:
- нарушение целостности стенок лунки и развивающийся воспалительный процесс;
- выраженное разрушение непосредственно травмированного зуба.
Чем раньше проводится реплантация, тем выше вероятность положительного результата. Резорбция корня в данной ситуации менее выражена и протекает медленнее.
Реплантацию проводят по общепринятой методике:
- Травмированный зуб промывают и помещают в изотонический раствор натрия хлорида с антибиотиками до самой операции.
- Если после вывиха прошло не более 10 часов, можно реплантировать зуб, не проводя эндодонтическое лечение (лечение корневых каналов). В таком случае эндодонтическое лечение зуба проводят через 2-3 недели после реплантации, когда становится очевидным приживление зуба.
- Если с момента вывиха прошло более 10 часов, пульпу полностью удаляют, а канал после механической и медикаментозной обработки пломбируют. Зуб после реплантации выводят из прикуса и укрепляют путём шинирования с помощью пластмассовой шины-каппы. Снимают её только через 3-4 недели.
- После реплантации необходимо в течение от одного до двенадцати месяцев проводить рентгенологический контроль. Это позволяет судить о состоянии корня зуба, периодонта и кости.

Необходимо отметить, что самые благоприятные результаты получены при проведении реплантации через 20-30 минут после вывиха.
Лечение полного вывиха молочного зуба заключается в противовоспалительной терапии, антисептической обработке лунки. Реплантация временного зуба не проводится.
Лечение вколоченного вывиха представляет определённые трудности.
Можно придерживаться выжидательной тактики, направленной на самостоятельное выдвижение травмированного зуба. Чаще всего данная методика применяется при вколоченных вывихах временных резцов: в данном случае выдвижению зуба способствует дальнейшее формирование корня зуба, если зона роста зуба сохранилась.
Первые признаки самопроизвольного выдвижения зуба возможно увидеть через неделю-полторы после вывиха, но иногда сроки увеличиваются до четырёх-шести недель.
При появлении признаков острого воспалительного процесса необходимо эндодонтически пролечить зуб. Резорбция корня в случае вколоченного вывиха также возможна, но она менее объёмна, чем при реплантации.
Вероятность самопроизвольного выдвижения зуба снижается при сильном вколачивании, большом воспалительном процессе, наличии инфекции на верхушке зуба.
Репозицию вколоченной травмы с фиксацией на 4-6 недель нужно проводить не позже трёх суток после вывиха. Эта манипуляция сопровождается потерей краевого участка альвеолы и последующей резорбцией корня зуба. Полноценное лечение корневых каналов зуба производится после укрепления зуба в лунке [6] .
Также можно использовать ортодонтические конструкции для выдвижения зуба. Это целесообразно при неглубоком вколачивании зуба в лунку, когда часть коронки зуба дает техническую возможность зафиксировать на ней ортодонтическую конструкцию. Для предупреждения развития анкилоза (неподвижности) ортодонтическое выдвижение зуба необходимо начинать сразу после травмы. Такая тактика снижает степень резорбции корня.
Необходимо отметить, что аппаратное ортодонтическое лечение у детей начинают не ранее, чем через 3-4 недели после травмы.
При лечении вколоченного вывиха иногда допустимо удалить зуб с последующей его реплантацией. Стоит помнить одно правило: чем раньше проведена реплантация зуба при вывихе, тем позже наступают осложнения в виде резорбции корня.
Показанием к удалению вколоченного зуба без его реплантации являются резвившийся анкилоз и значительная травма альвеолы (перелом стенок) [5] [7] .
Прогноз. Профилактика
В случае соблюдения всех индивидуальных рекомендаций врача прогноз должен быть благоприятным. Но также нельзя исключать и возможность возникновения патологической резорбции корня зуба, что может привести к его дальнейшему удалению. Это может произойти при чрезмерной жевательной нагрузке на репонированный (вправленный) зуб, повторной травме зуба, использовании репонированного зуба в качестве опоры (при шинировании, установке брекетов), неправильном репонировании в полости рта.
Профилактика данного заболевания должна заключаться в устранении вредных привычек, избегании травмирующих ситуаций, соблюдении правил безопасности и более бережном отношении к собственной полости рта [1] .
а) Терминология:
1. Синонимы:
• Люксация
• Подвывих = частичное смещение
2. Определение:
• Смещение мыщелка из суставной ямки в пределах суставной капсулы
б) Визуализация:
1. Общая характеристика:
• Лучший диагностический критерий:
о Передне-верхнее положение мыщелка по отношению к суставному возвышению; невозможность закрыть рот
• Локализация:
о Чаще всего наблюдается передний вывих, часто двухсторонний

(Слева) На панорамной рентгенограмме у пациента с двухлоронним передним вывихом визуализируется правый мыщелок, смещенный кпереди и кверху относительно сулавного возвышения. Обратите внимание на явный передний открытый прикус, в то время как моляры находятся в окклюзии.
(Справа) На панорамной рентгенограмме у этого же пациента определяются аналогичные изменения слева. Открытый прикус обусловлен неправильным передним положением мыщелка, контакт задних зубов - его верхним положением.
2. Рентгенография при вывихе височно-нижнечелюстного сустава (ВНЧС):
• Радиографические признаки:
о Передне-верхнее положение мыщелков по отношению к суставному возвышению
3. КТ при вывихе височно-нижнечелюстного сустава (ВНЧС):
• КТ в костном окне и КЛКТ:
о Хронический вывих: атрофия суставного возвышения и уплощение суставной ямки
4. МРТ при вывихе височно-нижнечелюстного сустава (ВНЧС):
• В случае хронического рецидивирующего вывиха часто обнаруживается выпот в суставе и патологически измененный диск
5. Рекомендации по визуализации:
• Лучший метод визуализации:
о Панорамная рентгенография для первоначальной оценки
о КТ в костном окне и КЛКТ с трехмерной реконструкцией для оценки анатомических отношений смещенного мыщелка
в) Дифференциальная диагностика:
1. Гипермобильность ВНЧС:
• Избыточная подвижность мыщелка при открывании рта; мыщелок может занимать положение спереди и сверху от суставного возвышения
• Пациент в состоянии закрыть рот, «открытый замок» отсутствует

(Слева) На рентгенограмме в боковой проекции у этого же пациента определяется прогнатическое положение нижней челюсти и открытый передний прикус вследлвие передне-верхнего смещения мыщелков нижней челюсти.
(Справа) На сагиттальной КЛКТ правого и левого мыщелков у этого же пациента определяется, что мыщелки расположены спереди и сверху относительно сулавных возвышений. Обратите внимание, что мыщелки имеют нормальную форму, а кортикальная плалинка не изменена.
г) Патология:
1. Общая характеристика:
• Этиология:
о Предрасполагающие факторы: чрезмерное длительное открывание рта, особенно вследствие стоматологических процедур и общей анестезии:
- Зевание, рвота, избыточные жевательные усилия, смех
о Травма, нетипичные жевательные движения, патология связок ВНЧС, слабость суставной капсулы, патология жевательной мышцы
о Вывих чаще происходит у пациентов с генерализованной гипермобильностью суставов и/или смещением внутрисуставных структур
о Системные заболевания, приводящие к гипермобильности ВНЧС, психогенные или неврологические расстройства
о Препараты, приводящие к экстрапирамидным нарушениям (например, противорвотные средства, производные фенотиазина)
2. Градации, классификация вывиха височно-нижнечелюстного сустава (ВНЧС):
• Основополагающие моменты классификации:
о Количество пораженных ВНЧС: одно- или двухсторонний вывих
о Направление смещения: передний, задний, медиальный, латеральный, верхний, комбинированный:
- Передне-медиальный вывих часто сочетается с переломом нижней челюсти
- Верхний вывих часто обусловлен травмой; мыщелок проникает в среднюю черепную ямку и может повреждать твердую мозговую оболочку
о Длительность смещения: острый, хронический, рецидивирующий вывих
о Наиболее типичный вывих: острый двухсторонний передний
о Верхний вывих чаще встречается у детей, т.к. мыщелок у них имеет небольшие размеры, шаровидную форму, а внутренний и наружный отделы сформированы не полностью
д) Клинические особенности:
1. Проявления:
• Типичные признаки/симптомы:
о Двухсторонний передний вывих: пациент не может закрыть рот после того как широко открыл его («открытый замок»)
• Другие признаки/симптомы:
о Открытый прикус, отклонение нижней челюсти, преаурику-лярный отек
о Отсутствие твердых структур/углубление спереди от козелка
о Боль, ограничение подвижности ВНЧС
2. Течение и прогноз:
• Прогноз лучше при раннем начале лечения
3. Лечение:
• Ручное вправление
• Межчелюстная фиксация для предотвращения повторного смещения и с целью скорейшего заживления поврежденных связок
• Физиотерапия для предотвращения фиброза
• В редких случаях оперативное вмешательство с целью создания механического препятствия, ограничивающего чрезмерную переднюю трансляцию мыщелка, или пластика суставного возвышения для предотвращения смещения и «запирания» мыщелка спереди от него
• Верхний вывих: может потребоваться реконструкция суставной ямки и краниотомия при повреждении твердой мозговой оболочки
е) Диагностическая памятка:
1. Следует учесть:
• На изображениях ВНЧС при открытом рте может создаваться впечатление о вывихе, но возможность закрыть рот свидетельствует о гипермобильности:
о При истинном вывихе пациент не может закрыть рот, в анамнезе имеет место травма или широкое открывание рта в течение длительного времени
2. Советы по интерпретации изображений:
• При верхнем вывихе оцените целостность крыши суставной ямки
3. Заключение:
• Оцените нарушения формы ВНЧС, предрасполагающие к рецидивирующему вывиху
ж) Список использованной литературы:
1. Не Y et al: Treatment of traumatic dislocation of the mandibular condyle into the cranial fossa: development of a probable treatment algorithm. Int J Oral Maxillofac Surg. 44(7):864-70, 2015
Читайте также:
