Кишечная инвагинация
Добавил пользователь Евгений Кузнецов Обновлено: 02.11.2025
Под нашим наблюдением с 2011 по 2017 год находилось 386 детей с инвагинацией кишечника в возрасте от 4 месяцев до 7 лет. Пациенты проходили стационарное лечение в хирургическом отделении педиатрического корпуса Самарской областной клинической больницы им. В.Д. Середавина. Абсолютное большинство составили дети грудного возраста (224). Из 386 пациентов 251 ребенок поступил в первые сутки заболевания, 96 - на 2-е сутки, 33 – на 3-и, и 6 - на 4-е сутки от начала развития патологии. Кроме клинического обследования, применены ультразвуковое и рентгенологическое исследования. У 314 пациентов успешным оказалось консервативное лечение, у 72 выполнены хирургические вмешательства. 48 больных прооперированы с использованием лапароскопического доступа, 24 пациентам проведена дезинвагинация при лапаротомии. Одному ребенку с подвздошно-ободочной инвагинацией произведена резекция подвздошной кишки в связи с некрозом последней. В двух наблюдениях причиной инвагинации являлся Меккелев дивертикул, у остальных пациентов органических причин не выявлено. Все дети выписаны в удовлетворительном состоянии. Летальных исходов не наблюдалось. Из 386 пациентов у 15 больных отмечалось наличие рецидивирующей инвагинации после проведенного ранее консервативного расправления.
1. Детская хирургия: национальное руководство / под ред. Ю.Ф. Исакова, А.Ф. Дронова. – М.: ГЭОТАР-Медиа, 2009. – 1168 с.
2. Барская М.А. Диагностика и лечение приобретенной кишечной непроходимости у детей: учебное пособие для студентов мед. вузов / Федеральное агентство по образованию; Федеральное агентство по здравоохранению и социальному развитию; Гос. образовательное учреждение высш. проф. образования «Самарский гос. мед. ун-т». - Самара, 2005. - C. 107.
3. Гераськин А.В. Инвагинация кишечника у детей / А.В. Гераськин, А.Ф. Дронов // Медицинский вестник Северного Кавказа. - 2009. - № 1. - С. 25.
5. Юсуфов А.А. Ультразвуковая диагностика инвагинации кишечника / А.А. Юсуфов, Г.Н. Румянцева, В.Н. Карташев // Медицинский вестник Северного Кавказа. - 2009. - Т. 13. - № 1. - С. 99.
Инвагинация кишечника является самым частым видом приобретенной кишечной непроходимости у детей, при этом в абсолютном большинстве данная патология встречается у пациентов грудного возраста 2. Инвагинация кишечника относится к смешанной форме механической непроходимости (сочетание обтурации и странгуляции). К данной патологии приводит дискоординация кишечной перистальтики с образованием участков спазма, что способствует внедрению одного участка кишечника в другой, при этом чаще внедрение происходит по ходу перистальтики. У детей грудного возраста эта патология развивается на фоне анатомо-физиологических особенностей, к которым относятся подвижность подвздошной и слепой кишки, незрелость Баугиниевой заслонки [2; 3]. Именно с этими особенностями связано то, что инвагинация у детей до года чаще всего развивается в области илеоцекального угла. Кроме того, развитию данной патологии способствует возрастная физиологическая незрелость ферментативного аппарата кишечника. Значительная роль в возникновении инвагинации принадлежит нарушению режима вскармливания ребенка и факторам, способствующим изменению перистальтики кишечника – кишечным инфекциям [3].
К инвагинации кишечника приводят и различные органические причины: полипы кишечника, опухоли, удвоение различных отделов кишечника и т.п.
В диагностике кишечной инвагинации, кроме клинического исследования, большое значение отводится ультразвуковому исследованию, которое практически в 100% выявляет данную патологию [4].
Лечение инвагинации у большинства пациентов удается выполнить консервативными методами 2 Показания к операции: наличие перитонита, тонко-тонкокишечной инвагинации и безуспешность консервативного лечения [5].
Цель настоящего исследования – анализ результатов диагностики и лечения инвагинации кишечника у детей.
Материал и методы исследования
В основу работы включен анализ наблюдений за 386 детьми с инвагинацией кишечника в возрасте от 4 месяцев до 7 лет включительно, находящихся на лечении в хирургическом отделении педиатрического корпуса Самарской областной клинической больницы им. В Д. Середавина с 2011 по 2017 год. Мальчиков было 247, девочек – 139 (табл. 1). Наиболее часто инвагинация развивалась у детей до 1 года (224 человека, 58,0%).
Распределение наблюдаемых больных по полу и возрасту
Сроки госпитализации наших пациентов в хирургический стационар значительно колебались. В первые 6 часов от начала заболевания было госпитализировано лишь 11 (2,8%) человек, от 6 до 12 часов – 102 (26,4%) ребенка, от 12 до 24 часов – 138 (35,8%) детей, от 24 до 48 часов 96 (24,9%) детей, и позже 72 часов без хирургической помощи оставались 6 (1,6%) пациентов (рис. 1).
Рис. 1. Давность заболевания к моменту госпитализации в хирургический стационар
Всем больным проводилось клиническое обследование, применялись лабораторные, рентгенологические и ультразвуковые методы исследования.
При сборе анамнеза выявлено наличие погрешности в питании у 48 детей (12,4%). В 23 (6%) наблюдениях инвагинация развилась на фоне острой респираторной инфекции, у 29 (7,5%) пациентов – на фоне кишечной инфекции.
Клинические проявления кишечной инвагинации практически во всех наблюдениях были ярко выраженными.
Приступообразные боли в животе, которые выражались периодическим беспокойством, отмечались у 383 (99%) пациентов. Приступы болей длились от 5 до 15 минут. Промежутки времени между приступами были равны 10–20 минутам. У 322 (83%) больных наблюдалась повторяющаяся рвота, в начале заболевания – содержимым желудка, затем – с примесью желчи, у 11 пациентов отмечалась рвота застойным содержимым. В 86 наблюдениях (22%) отмечалось повышение температуры тела до субфебрильных значений. У 47 (12%) больных наблюдалось выделение крови из заднего прохода, причем у большинства – в виде «малинового желе».
При поступлении в детское хирургическое отделение состояние 45 детей (11,7%) было расценено как удовлетворительное, у 305 (79,0%) – средней тяжести. 39 (10,1%) пациентов поступили в стационар в тяжелом состоянии. Тяжелое состояние отмечено у детей, поступивших в стационар в сроки от начала заболевания более 48 часов.
Вздутие живота определялось у 115 детей (29,8%). Инвагинат пальпировался в виде опухолевидного подвижного, цилиндрической формы, умеренно болезненного образования в 223 наблюдениях (57,8%). Наличие симптома Данса отмечено в истории болезни 89 детей (23%). У 350 (90,6%) больных живот при пальпации был мягким, у 36 (9,4%) детей определялось напряжение мышц передней брюшной стенки.
В общем анализе крови у 331 ребенка количество лейкоцитов не превышало 10,0х109/л, у 21 пациента отмечался лейкоцитоз от 12,0 до 15,0х109/л, в 34 наблюдениях – от 16,0 до 25,0 х109/л (эти дети поступили в стационар позже 48 часов от начала заболевания, при этом 6 больных из них поступили позже 72 часов).
Всем наблюдаемым детям выполнено ультразвуковое исследование органов брюшной полости. 312 пациентам (81%) ультразвуковое исследование было дополнено рентгенологическим – ирригографией.
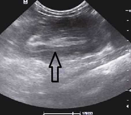
На рисунках 2 и 3 отображена ультразвуковая картина кишечной инвагинации.

Рис. 2. Симптом «мишени»

Рис. 3. Симптом «псевдопочки»
На рисунках 4 и 5 представлена картина кишечной инвагинации при рентгенологическом исследовании.

Рис. 4. Ирригограмма при тугом наполнении взвесью сульфата бария – симптом «клешней рака»

Рис. 5. Ирригограмма после опорожнения толстой кишки - симптом «кокарды»
ЛЕЧЕНИЕ. У 312 больных (80,8%) кишечная инвагинация устранена консервативно, у 2 больных (0,5%) инвагинация расправилась самопроизвольно. 72 ребенка (18,7%) оперированы. Показания к оперативному лечению были следующими:
- клинические признаки перитонита;
- тонко-тонкокишечная инвагинация (диагностирована при УЗИ);
- безуспешность консервативного лечения.
У 187 детей дезинвагинация произошла во время выполнения ирригографии.
В 125 наблюдениях инвагинация устранена при нагнетании в толстую кишку воздуха с контролем создаваемого давления. Этот метод используется нами у детей любого возраста. Для введения в прямую кишку воздуха мы применяем интубационную трубку (трубку для интубации трахеи), размер которой подбирается в зависимости от возраста ребенка. Трубка с помощью переходника соединяется с манометром и баллоном Ричардсона (рис. 6). Преимуществом данного устройства является наличие манжетки, которая позволяет создать герметизм при нагнетании воздуха в толстую кишку.

Рис. 6. Устройство для консервативного расправления инвагинации
Консервативная дезинвагинация проводится в операционной под общим обезболиванием. Перед манипуляцией необходимо произвести пальпацию живота для определения инвагината. Затем в прямую кишку пациента вводится интубационная трубка, после чего раздувается манжетка с целью создания герметизма во время нагнетания в кишку воздуха.
С помощью баллона Ричардсона начинается нагнетание воздуха, при этом отслеживается поступление воздуха в толстую кишку: в начале наблюдается асимметрия живота при прохождении воздуха до инвагината, при дальнейшем нагнетании воздуха при условии расправления инвагината живот становится симметричным в связи с прохождением воздуха в проксимальные отделы кишечника. В это время пальпаторно инвагинат перестает определяться. Затем от трубки отсоединяется баллон Ричардсона для удаления избыточного воздуха из кишечника. Ребенок помещается в палату. После полного пробуждения пациента выполняется обзорная рентгенография брюшной полости, на которой отмечается наличие газа как в толстой, так и в тонкой кишке.
В 26 наблюдениях консервативная дезинвагинация была безуспешной. Эти дети оперированы.
У 15 детей после пневмодезинвагинации и у 24 пациентов после дезинвагинации посредством ирригографии отмечен рецидив инвагинации. Эти дети оперированы.
Лечение инвагинации кишечника у детей
Инвагинация кишечника - это неотложное состояние, встречающееся у детей, когда один участок кишки, как телескоп, "складывается"в другую часть кишки. Это вызывает боль, рвоту и кишечную непроходимость, которая препятствует пассажу кишечного содержимого. При отсутствии лечения может произойти перфорация кишки, вследствие чего в брюшную полость изливается ее содержимое, что приводит к развитию осложнений в дальнейшем. В редких случаях это может привести к смерти. Быстрая диагностика и лечение уменьшают связанные с инвагинацией риски и необходимость хирургического вмешательства.
Как только диагноз инвагинации выставлен, большинство врачей сходятся во мнении относительно назначения клизмы в качестве стартового лечения. Эта процедура состоит из введения вещества (воздуха или жидкости) в кишку, через прямую кишку под определенным давлением, что расправляет "телескопическую" кишку в ее нормальное положение.
Продолжаются споры вокруг конкретных деталей относительно того, какой тип вещества следует использовать для клизмы, как визуализировать это вещество во время процесса, следует ли давать дополнительные лекарства для усиления терапии и как следует поступать в случае неэффективности лечения, а также какой подход является наилучшим при хирургическом лечении инвагинации кишечника у детей.
Характеристика исследований
Доказательства актуальны по сентябрь 2016 года. Мы выявили шесть рандомизированных исследований с участием 822 детей, в которых изучали лечение инвагинации кишечника и оценивали различные виды вмешательств. Мы также выявили три продолжающихся клинических испытания.
Основные результаты
Основным исходом было число детей с успешным расправлением кишечника. Также, исходы включали число детей, обратившихся с повторной инвагинацией, и оценку вреда (нежелательных событий) в результате вмешательства.
Доказательства, полученные в результате двух исследований свидетельствуют о том, что клизма с воздухом более эффективна для уменьшения инвагинации, чем клизма с жидкостью. Доказательства, полученные в ходе двух исследований также свидетельствуют о том, что применение у ребенка с инвагинацией кишечника стероидных препаратов, таких как дексаметазон, может уменьшить частоту рецидива инвагинации, независимо от того, что применялось для клизмы - воздух или жидкость.
Мы выявили довольно скудную информацию об интраоперационных и послеоперационных осложнениях и о других неблагоприятных событиях.
Качество доказательств
Мы считаем, что все шесть выявленных испытаний могут быть потенциально смещены из-за отсутствия подробных сведений о том, как проводилось каждое исследование. Мы обнаружили несогласованность в определении и оценке исходов. В отношении всех включенных исследований были серьезные опасения по поводу неточностей, основанных на незначительном числе событий, широком диапазоне доверительных интервалов, или высокого риска смещения. В целом, мы пришли к выводу, что качество доказательств, представленных в этих исследованиях, было низким, и реальный эффект может значительно отличаться от того, который отмечался в этих исследованиях.
Необходимы дальнейшие научные исследования, чтобы помочь врачам лучше понять, какой метод лечения инвагинации кишечника у детей является наиболее эффективным.
Инвагинация
Инвагинация (Заворот кишок) – это патология, которая являет собой внедрения отростка кишки в нижележащую часть кишечника, что образует закупорку и непроходимость содержимого по кишечному тракту. У взрослых кишечная инвагинация случается редко. Чаще всего в таких случаях она спровоцирована развитием опухоли или полипа в области кишечника, появлением дивертикулеза или же калового камня.
Внимание!
Здесь вы сможете выбрать врача, занимающегося лечением Инвагинация Если вы не уверены в диагнозе, запишитесь на прием к терапевту или врачу общей практики для уточнения диагноза.
Статьи на тему Инвагинация:
Причины
Симптомы
Диагностика
Лечение
Какой врач лечит Инвагинация
Доктор медицинских наук, профессор, получил высшую квалификационную категорию по хирургии. С 1993 года особый профессиональный интерес доктора составляют направления пластическая и реконструктивная хирургия. Проводит все виды пластических, реконструктивных и эстетических операций, в т. ч. по смене пола. С 1993 по 1995 год стажировался в Римском университете «la Sapienza». Занимает пост научного руководителя клинической базы кафедры в Республиканской клинической больнице МОЗ Украины и является профессором кафедры хирургии Национального медицинского университета имени А. А. Богомольца
Заслуженный врач Украины, выдающийся украинский пластический и реконструктивный хирург более с чем 20-летним опытом работы. Вице-президент Всеукраинской ассоциации пластических реконструктивных эстетических хирургов (ВАПРЭХ), кандидат медицинских наук. С 2005 по 2010 гг. был личным врачом президента Украины. Благодаря уникальному дару, колоссальном опыту и фундаментальным знаниям доктор Валихновский и его клиника с 2012 года были выбраны в качестве партнера и эксперта самых популярных телевизионных проектов – «Поверніть мені красу» («1+1»), «Я соромлюся свого тіла» («СТБ»), «Моє нове життя» («Украина»).
Детский врач-отоларинголог (ЛОР) высшей категории, кандидат медицинских наук, на протяжении 28 лет занимается лечением заболеваний у детей, связанных с ушами, горлом и носом. Специализируется на отоларингологии, фониатрии, отохирургии, пластической и реконструктивной хирургии
Различают несколько форм инвагинации кишечника:
- тонкокишечная (это когда процесс инвагинации происходит в области тонкого кишечника);
- тонко-толстокишечная (внедрение тонкой кишки в толстую);
- подвздошно-ободочная (подвздошная кишка врастает в ободочную);
- толстокишечная (заворот кишок в области толстого кишечника);
- слепо-ободочная (инвагинация слепой кишки в ободочную кишку).
Также существуют крайне редкие формы:
- внедрение аппендикса в слепую кишку;
- инвагинация Меккеля (внедрение в толстую кишку дивертикула Меккеля – мешковидного образования тонкой кишки, что является врожденным явлением);
- многоступенчатая (заворот кишок в нескольких местах одновременно).
Причины
Причины заворота кишок могут быть разные. Часто инвагинация кишечника возникает в связи с нарушением пищеварения, образованием опухоли в области кишечного тракта или каловых камней. Кроме того, болезнь может спровоцировать плохое питание, чрезмерное употребление твердой пищи. К такой относятся орехи, хурма. Травмы в области брюшной полости могут вызвать заворот кишок. Причиной таких травм может служить авария, сильный ушиб в связи с падением с высоты или же просто удар в живот. Инвагинация кишечника также может появиться из-за разнообразных паразитов, живущих в человеческом теле. К таким относятся: острицы, описторхозы, аскариды и глисты. Большое количество полипов способно привести к завороту кишок. Опухоли, что заслоняют просвет кишечника, не дают каловым массам проходить нормально и, таким образом, провоцируют инвагинацию. Яды, которые способны нанести повреждения нервному аппарату кишечника, безусловно, вызовут заворот кишок.
Симптомы
Чаще всего встречается инвагинация кишечника у детей. Основным симптомом заворота кишок является острая боль в области кишечного тракта, возникшая, несмотря на то, что в целом человек здоров. Появляется такая боль раз в пять-десять минут с продолжительностью в три-четыре минуты. Болевые ощущения то появляются, то исчезают в связи с волнами сокращения кишечника, во время которого внедрившаяся часть кишки двигается внутрь. После начала неприятных соматик, спустя пару часов, возникает задержка кала (до этого с процессом дефекации все было в порядке). Постоянная тошнота сопровождает больного все это время, с нарастающими приступами рвоты, которые не могут принести облегчение. Наблюдение крови в фекалиях, имеющую консистенцию желе, указывает на кровотечение в кишечнике. Температура человека может подняться до тридцати девяти градусов. С помощью пальпации можно выявить цилиндрическое образование в животе. Спустя десять-двенадцать часов у больного вздувается живот, усиливаются болевые ощущения, рвота учащается.
Диагностика
Диагностика инвагинации включает в себя множество процедур. У больного спрашивают, случалось ли с ним такое раньше, и если да, то, как давно. Были ли у близких родственников такие патологии.
Дальше проводится тщательный осмотр больного. Прощупывают живот, с целью выявления продолговатого образования в области кишечника. Таким же образом можно найти пустую прямую кишку, что означает трудности в процессе прохождения каловых масс. Осматривают фекалии. Кровь и слизь в кале – признаки инвагинации.
Дальше проводят лабораторные исследования больного. Делают анализ крови, с помощью которого могут выявить воспалительный процесс и повышенное количество лейкоцитов. Проводится биохимический анализ крови – это дает возможность определить нарушение нормальной работы внутренних органов, что вызвано интоксикацией. Также делают анализы экскрементов, чтобы предотвратить кровоизлияние в кишечнике, а также контролировать состояние мочевой системы.
После всех этих процедур применяется инструментальный метод диагностирования. Больному делают УЗИ желудочно-кишечного тракта, с помощью которого ищут продолговатое цилиндрическое образование, что полностью подтверждает диагноз – заворот кишок. Человеку делают рентген брюшной полости, для чего могут использовать вспомогательные средства – клизмы с барием или воздухом, это дает возможность сделать снимок более выраженным. С помощью такой процедуры врач пытается найти признаки кишечной непроходимости и выявить участок заворота кишок. Также могут применять для обследования компьютерную томографию, которая дает возможность детализировать оценку состояния кишечника и его повреждения.
Лечение
Инвагинация у детей и у взрослых устраняется хирургическим путем.
При диагнозе инвагинация, лечение может происходить несколькими способами:
- лапаротомия (для операций такого типа разрезают брюшную стенку);
- дизенвагинация (вручную расправляют инвагинированые части кишечника);
- удаление участка кишки, если присутствует омертвение;
- лапароскопия (включает в себя эндоскопическое обследование и оперативное вмешательство, проводится на органах брюшной области и малого таза. Операция делается с помощью видеооборудования и хирургического инструмента. На сегодняшний день, операции такого рода более востребованы, так как меньше травмируют, и после них не остается множество рубцов и огромных шрамов);
- проводится лечение патологий, из-за которых возникла инвагинация кишок – опухолей, полипов, каловых камней.
Осложнения
Осложнения, которые могут появиться в связи с заворотом кишок:
- непроходимость кала в кишечнике;
- отравление организма из-за всасывания в кровь токсинов, связанного с застоем содержимого кишечника;
- воспаление брюшной полости;
- разрыв кишечника;
- повторное появление симптомов инвагинации.
После хирургического вмешательства и лечения заворота кишок может произойти рецидив. Если такое произошло, приходится удалять ту часть кишечника, которая подвержена инвагинации.
Профилактика
Профилактика возникновения заворота кишок включает в себя полноценный рацион питания. Стоит отказаться от вредных продуктов (жареных и острых блюд, копчения) на пользу полезных для здоровья продуктов (каш, овощей и фруктов). Вредные привычки тоже могут повлиять на появление инвагинации кишок. Нужно своевременно обнаруживать и, соответственно, лечить патологии, которые способны привести к завороту кишок.
Инвагинация
Инвагинация –это проникновение одного сегмента кишечника (инвагинат) в прилегающий сегмент (влагалище), что вызывает кишечную непроходимость, а иногда и ишемию кишечника. Диагностику проводят при помощи ультразвукового исследования. Лечение проводят с использованием воздушной клизмы, иногда показано оперативное вмешательство.
Инвагинация обычно происходит между возрастом 6 месяцев и 3 года, причем 65% случаев встречаются до 1-го года и 80-90% встречаются до возраста 2 года. Это наиболее частая причина кишечной непроходимости в этой возрастной группе, у мальчиков и девочек < 4 лет она встречается примерно одинаково. У детей >4 лет инвагинация гораздо чаще встречается у мальчиков (8:1).
Инвагинация сегмента вызывает обструкцию кишечника и в конечном счете приводит к ухудшению кровотока в сегменте кишки, который был инвагинирован ( Инвагинация Инвагинация ), что приводит к ишемии, гангрене и перфорации.
Инвагинация
Этиология инвагинации
В большинстве случаев этиология заболевания неизвестна. Однако немного чаще болеют мальчики, а также есть сезонная вариация; пиковая частота совпадает с сезоном вирусного энтерита. Применяемая раннее ротавирусная вакцина приводила к значительному увеличению риска инвагинации и по этому была снята с производства в США. Более новые ротавирусные вакцины, при условии соблюдения рекомендуемых схем и последовательностей и сроков, не несут никаких значительных клинических рисков.
Приблизительно у 25% детей, которые имеют инвагинацию, это как правило, младшие или самые старшие дети, имеют триггер развития инвагината (например, скопление кишечных масс или другие кишечные расстройства). К расстройствам относятся: полипы Полипы толстой и прямой кишки Кишечный полип представляет собой тканевое образование, растущее из стенки кишечника в его просвет. Как правило, клинические проявления отсутствуют, за исключением небольшой, как правило скрытой. Прочитайте дополнительные сведения , иммуноглобулин А-ассоциированный васкулит Геморрагический васкулит (связанный с иммуноглобулином-А васкулит) Геморрагический васкулит (прежнее название – пурпура Шёнлейна–Геноха) – это васкулит, поражающий главным образом мелкие сосуды. Он чаще возникает у детей. Характерные проявления включают пальпируемую. Прочитайте дополнительные сведения также является фактором риска.
Симптомы и признаки инвагинации
Первоначальными симптомами инвагинации являются внезапные сильные колики в животе, которые повторяются каждые 15–20 минут, часто со рвотой. Между эпизодами ребенок выглядит относительно здоровым. Позже, когда развивается кишечная ишемия, боль становится постоянной, ребенок вялый и кровоизлияния в слизистых оболочках вызывают гемопозитивный стул, выявляемый при ректальном исследовании, и иногда спонтанное отхождение стула, напоминающего смородиновое желе. Последний, однако, является поздним симптомом, и врачи не должны ждать появления этого симптома, для того чтобы заподозрить инвагинацию. Иногда в брюшной полости пальпируется масса, напоминающая по форме сосиску. Перфорация приводит к появлению признаков перитонита со значительной болезненностью, спазмом и плотностью живота. Бледность, тахикардия и повышенная потливость указывают на шок.
Приблизительно у 5-10% детей может не быть фазы с коликами. При этом боль вялая, как будто после приема лекарств (атипичные или вялые проявления). В таких случаях диагностику кишечной инвагинации часто пропускают, до тех пор, пока не появится стул в виде смородинового желе или не будет возможности пропальпировать новообразование в брюшной полости.
Диагностика инвагинации
Этот диагноз нужно подозревать в первую очередь, особенно у детей с атипичным проявлением, необходимые исследования и вмешательства нужно проводить немедленно, так как выживаемость и вероятность успеха консервативного лечения существенно уменьшаются со временем. Подход зависит от клинических проявлений. Больные дети с признаками перитонита требуют инфузионной терапии Реанимация Обезвоживание – значительное уменьшение количества жидкости в организме и, в разной степени, электролитов. Клинические проявления включают следующие: жажда, вялость, сухость слизистых оболочек. Прочитайте дополнительные сведения , применения широкого спектра антибиотиков (например, ампициллин плюс гентамицин и клиндамицин; метронидазол плюс цефотаксим или пиперацилин-тазобактам), аспирации содержимого желудка через назогастральный зонд и хирургического вмешательства. Клинически стабильные дети нуждаются в проведении визуализирующих исследований для подтверждения диагноза и лечения.
Проведение клизмы с барием ранее считалось предпочтительным начальным исследованием, поскольку с его помощью выявляли классический вид «сжатой пружины» вокруг инвагината. В дополнение к диагностической бариевую клизму также применяли в терапевтических целях; давление бария часто уменьшает инвагинированные сегменты. Тем не менее иногда барий выходит в брюшную полость через бессимптомные перфорации и может стать причиной выраженного перитонита. В настоящее время УЗИ является предпочтительным средством диагностики; это исследование легко проводимо, оно относительно недорого и безопасно; результаты исследования называются признаками.
Иногда инвагинация обнаруживается случайно при визуализирующем исследовании, таком как КТ-сканирование. Если у детей нет симптомов инвагинации, за ними можно только наблюдать, вмешательство при этом не требуется.
Здравый смысл и предостережения
Специалисты не должны ждать появления стула в виде смородинового желе, что бы подтвердить факт инвагинации, потому что это поздний симптом болезни.
Инвагинация кишечника - симптомы и лечение
Что такое инвагинация кишечника? Причины возникновения, диагностику и методы лечения разберем в статье доктора Чепрасова Владимира Дмитриевича, детского хирурга со стажем в 6 лет.
Над статьей доктора Чепрасова Владимира Дмитриевича работали литературный редактор Маргарита Тихонова , научный редактор Сергей Федосов
Определение болезни. Причины заболевания
Инвагинация кишечника — это внедрение одной части кишки в другую, в результате которого развивается кишечная непроходимость.

Данное заболевание является комбинированным видом механической непроходимости,так как оно сочетает в себе элементы обтурации (закрытия просвета кишки инвагинатом) и странгуляции (сдавления сосудов, питающих кишку).
Чаще всего к причинам возникновения инвагинации кишечника относят:
- возрастные особенности соединительной ткани у младенцев (крайне подвижный купол слепой кишки и недостаточность илеоцекального клапана, отделяющего тонкую кишку от толстой);
- незрелость нервной системы, которая просто даёт сбой — нарушается баланс между сокращениями продольных и круговых мышц кишки, а также возникает спазм вышележащего и парез (полное расслабление) нижележащего отдела кишки.
Дополнительными факторами риска могут стать:
- вирусные и кишечные инфекции;
- усиленная моторика (например, в ответ на приём слабительных);
- кишечная форма аллергии;
- муковисцидоз;
- туберкулёз брюшины и кишечника.
Также есть предположение, что инвагинацию кишечника может провоцировать именно аденовирусная или ротавирусная инфекция. [2] [3] Они поражают сначала Пейеровы бляшки кишечника, а затем мезентериальные лимфоузлы (лимфоузлы брыжейки тонкой кишки), где происходит размножение вируса. Этот тезис правильнее соотнести с большинством вирусных инфекций, например, с семейством пикорновирусов (вирус Коксаки, энтеровирусы).
Инвагинация кишечника встречается у абсолютно здоровых младенцев в возрасте 4-9 месяцев и является основной причиной кишечной непроходимости (в 85-90% случаев). [1]
У детей старшего возраста эта патология проявляется реже и часто имеет органическое происхождение:
- эмбриональные спайки Лейна (мембрана Джексона);
- энтероптоз — расположение петлей кишечника ниже нормы;
- дивертикул Меккеля — врождённая аномалия подвздошной кишки;
- полипы толстой кишки;
- кишечные удвоения;
- болезнь Геноха (геморрагический васкулит);
- гиперплазия (увеличение) лимфоидной ткани;
- новообразования, в том числе злокачественные.
Мальчики страдают данной патологией чаще девочек почти в два раза.
При обнаружении схожих симптомов проконсультируйтесь у врача. Не занимайтесь самолечением - это опасно для вашего здоровья!
Симптомы инвагинации кишечника
Проявления инвагинации зависят от её вида и продолжительности нарушения. К основным симптомам можно отнести:
- боль в животе;
- плач, беспокойство;
- отказ от еды;
- рвоту;
- выделение из заднего прохода розоватой слизи — симптом "малинового желе".
Заболевание начинается всегда внезапно с выраженного беспокойства, плача и болей в животе: ребёнок поджимает ножки, плачет, отказывается от пищи, игр и предлагаемых предметов. Так же неожиданно боли прекращаются, и ребёнок даже может продолжить играть, принимать пищу, но через некоторое время приступ повторяется.

Такой волнообразный характер болей объясняется движением волны кишечной перистальтики: при сокращении круговых мышц влагалища (ущемляющей части) инвагината в стенке (ущемлённой части) инвагината возникает гипоксия, вследствие чего появляется боль. На данном этапе возможна одно- или двукратная рвота рефлекторного характера (на высоте болевого синдрома). У ребёнка может быть нормальный стул, температура, как правило, не поднимается.
Если в период первых приступов ребёнок останется без квалифицированной медицинской помощи, то процесс инвагинации будет развиваться дальше:
- интервалы между "схватками" будут всё короче;
- боль постепенно станет постоянной;
- ребёнок будет бледным, истощённым, плаксивым, адинамичным, станет отказываться от пищи и игр;
- возникнет рвота, которая принесёт кратковременное облегчение или вовсе не облегчит состояние.
ВАЖНО: через некоторое время после приступов вид и поведение ребёнка не будут соответствовать слабому болевому синдрому — такое состояние следует расценивать как крайне тяжёлое, так как при отмирании стенки кишки боль прекращается, а патологический процесс прогрессирует. На этом этапе важным симптомом будет выделение из заднего прохода слизи, окрашенной в розовый цвет. Этот специфичный признак обнаруживается:
- в 70% случаев в первые 12 часов от начала заболевания (причём в 40% случаев — спустя 4 часа);
- в 30% случаев спустя 12 часов после начала заболевания.
В некоторых случаях симптом "малинового желе" не возникает ни в один из периодов болезни. В основном такое бывает в случае слепо-ободочной формы инвагинации. Это связано с отсутствием ущемления и преобладанием закрытия просвета кишки инвагинатом.
Проявления заболевания при слепо-ободочной и толстокишечной формах инвагинации невыразительны:
- нет выраженного беспокойства;
- приступы боли в животе становятся менее интенсивными и протекают с длительными "светлыми" промежуткам;
- рвота возникает только у 20-25% маленьких пациентов.
Патогенез инвагинации кишечника
Инвагинация кишечника чаще всего представляет собой внедрение проксимальной (ближней) части кишки в дистальную (дальнюю). По сути, это нарушение одновременно является и ущемлением части кишки, и закупоркой кишечной трубки, которые в дальнейшем становятся причиной патологических изменений в стенке кишки.
Механизм внедрения одной кишки в другую
В стенке кишки есть Мейсснерово и Ауэрбахово нервные сплетения [5] [6] , которые отвечают за то, чтобы мышцы кишки сокращались и расслаблялись. При введении в пищу незнакомого продукта — прикорма (например, фруктового сока или нового пюре) — происходит раздражение стенок кишки и вышеописанных нервных сплетений. В результате этого возникает спазм вышележащего отдела и парез (расслабление, невозможность сократиться) нижележащего отдела, которые в совокупности дают старт формированию инвагината: под воздействием спастических сокращений стенка кишки постепенно начинает втягиваться в её просвет.
Поскольку вместе с кишечной стенкой внедряется и её питающая часть — брыжейка — возникает замедление и полная остановка кровотока в венозном русле кишки, т. е. венозный стаз. В итоге данные процессы приводят к отёку, артериальной ишемии стенки и отмиранию поражённой кишки. Поэтому крайне важно вовремя распознать нарушения и обратиться к врачу.

Классификация и стадии развития инвагинации кишечника
Инвагинация может образоваться на любом отрезке кишечника. По классификации J. Waldschmidt (1990), обычно выделяют три анатомических вида инвагинации кишечника:
- илеоцекальная — внедрение тонкой кишки в ободочную (встречается в 94% случаев);
- тонко-тонкокишечная — внедрение тонкой кишки в тонкую (встречается в 5% случаев);
- толсто-толстокишечная — внедрение толстой кишки в толстую (встречается в 1% случаев).

Илеоцекальная инвагинация, в свою очередь, можно разделить на два подвида:
- слепо-ободочная инвагинация — внедрение слепой кишки в восходящую ободочную ("головка" инвагината — слепая кишка);
- подвздошно-ободочная инвагинация — внедрение подвздошной кишки в восходящую ободочную через Баугиневу заслонку ("головка" инвагината — подвздошная кишка).
По направлению внедрения инвагината выделяют два типа инвагинации:
- нисходящая инвагинация — вышележащий участок входит в нижележащий (встречается редко);
- восходящая инвагинация — нижележащая часть кишки входит в вышележащую.

Инвагинация может протекать по трём клиническим типам:
- острое течение (в 98,8% случаев) — внедрение кишок, возникающее впервые, с характерным острым началом, сопровождающееся явными проявлениями кишечной непроходимости;
- рецидивирующее течение (в 0,7% случаев) — повторное внедрение кишок с острым началом;
- хроническое течение (в 0,5% случаев) — длительное внедрение кишок, при котором признаки клинической непроходимости выражены слабо.
Осложнения инвагинации кишечника
При длительном закрытии просвета кишки и закупорки сосудов возникнет кишечная непроходимость, а затем некроз (отмирание) стенки ущемлённой кишки. Некроз стенки ущемленной кишки может наступить через:
- 6-12 часов при подвздошно-ободочной инвагинации;
- 12-24 часа при тонкокишечной инвагинации;
- 36-48 часов при толстокишечной инвагинации.
Этот процесс в дальнейшем способен привести к перфорации — образованию отверстия в кишечнике.
Некроз и перфорация кишечника могут стать причиной развития перитонита. На это осложнение будут указывать такие симптомы, как:
- выраженный болевой синдром;
- сначала беспокойство, а потом полное безразличие ребёнка;
- вздутие живота;
- отсутствие отхождения газов и стула;
- выраженное ухудшение общего состояния.
Однако наличие отверстия в кишке редко приводит к развитию перитонита, так как ущемленная и уже некротизированная кишка находится внутри другой здоровой кишки.
Диагностика инвагинации кишечника
Диагностика инвагинации кишечника не вызывает трудностей и включает в себя осмотр, который производится детским хирургом, и инструментальное обследование.
Золотым стандартом считается проведение ультразвукового исследования (сонографии) органов брюшной полости, так как оно является неинвазивным, быстрым, безопасным, безболезненным и высоко информативным методом. [9] [10] При помощи сонографии можно диагностировать инвагинат не только на типичных, но и на атипичных участках кишечника, что повышает точность установления и верификации диагноза.
В момент УЗ-исследования врач может определить один из симптомов:
- симптом мишени (за счёт внедрения одной кишки в другую инвагинат на срезе выглядит как мишень);
- симптом "почки с завоздушенным центром".

При осмотре хирург прощупывает живот пациента. Таким образом он может обнаружить характерный симптом слепо-ободочной инвагинации (симптом Данса) — "исчезновение" купола слепой кишки и выявление как бы пустой области правой подвздошной ямки. Дополнительным признаком может быть пальпаторное определение инвагината в брюшной полости в качестве дополнительного образования.
Очень важно произвести ректальное пальцевое исследование. Оно может быть очень информативным, так как с его помощью выявляются такие признаки инвагинации, как:
- расслабленные сфинктеры ануса — симптом Гиршпрунга;
- пальпируемая головка инвагината (при его расположении в сигмовидной кишке);
- эвагинация — выпадение головки инварианта через атоничные сфинкстеры ануса (возникает в тяжёлых случаях при толстокишечной инвагинации).
Также необходимо произвести осмотр содержимого прямой кишки и вышележащих отделов: при инвагинации можно обнаружить слизь малиновой окраски и кровь.
Дополнительными методами могут служить рентгенография органов брюшной полости, компьютерная томография и ирригография.
Лечение инвагинации кишечника
Лечение инвагинации кишечника подразумевает дезинвагинацию — высвобождение ущемленной кишки. Согласно Приказу Министерства здравоохранения РФ № 203 "Об утверждении критериев оценки качества медицинской помощи", лечение инвагинации кишечника должно производится не позже, чем через час после установления диагноза. [7] Дело в том, что патологический процесс в стенке ущемлённой кишки очень опасен. Поэтому важно как можно раньше и максимально быстро произвести дезинвагинацию.
Выделяют два основных принципа лечения инвагинации: хирургический (оперативный) и консервативный.
В случае тяжёлого общего состояния ребёнка необходимо произвести предоперационную подготовку:
- восстановить водно-электролитный баланс;
- снизить гипертермию;
- улучшить микроциркуляцию;
- как можно раньше ввести антибактериальные препараты.
Консервативная терапия
Лечение инвагинации кишечника длительное время было исключительно хирургическим, так как уровень диагностики был низким. На данный момент при отсутствии убедительных данных за перитонит и некроз ущемлённой кишки проводится консервативное лечение с помощью специальной манипуляции — дезинвагинации воздухом. [8] Эта процедура выполняется под общей анестезией и не причиняет ребёнку боль. Суть её заключается в ведении специальной трубки — ректального зонда с подключенной к нему системой нагнетания воздуха и манометром (ректоскопом с подсоединённым баллоном Ричардсона). Под определённым давлением воздух нагнетается в кишечник, и при помощи давления газа инвариант расправляется.
Данный метод считается золотым стандартом консервативного лечения инвагинации кишечника. Его эффективность подтверждена множеством мультицентровых исследований. [11] [12] [13] [14] [15]
Также существует метод гидродезинвагинации, основанный на воздействии гидростатического давления на инвагинат. Он подразумевает применение клизмы с нагнетанием тёплого физраствора или бариевой взвеси под контролем рентген-установки, которая ведёт непрерывную съёмку.
Стоит отметить, что метод с бариевой взвесью, по мнению авторов, имеет один плюс: барий является достаточно плотным и тяжёлым веществом, что может дать больше шансов для консервативной дезинвагинации. Однако в настоящее время данная взвесь не применяется, так как может привести к грозному осложнению: если во время дезинвагинации произойдет прорыв стенки кишки, то бариевая взвесь попадёт в брюшную полость, откуда удалить её будет крайне сложно, что даст толчок к развитию тяжёлого перитонита.
Сама по себе гидродезинвагинация в Федеральных клинических рекомендациях указана как дополнительный метод лечения, но она менее предпочтительна. [8]
Оперативное лечение
Хирургическое лечение инвагинации кишечника проводится значительно реже. Для его проведения существуют чётко сформулированные показания:
- наличие перитонита и верифицированного диагноза "Инвагинация кишечника";
- более 24-48 часов с момента начала заболевания;
- отсутствие эффективности от трёх попыток консервативной дезинвагинации (пневмодезинвагинации).
При наличии соответствующего оборудования и достаточной квалификации хирурга инвагинация устраняется через лапароскопический доступ. Если нет возможности произвести лапароскопическую дезинвагинацию, прибегают к открытой методике, которая уступает лишь в части послеоперационной реабилитации.
Сроки реабилитации крайне индивидуальны и зависят от многих факторов. Принято считать, что после лапароскопического высвобождения ущемлённой кишки реабилитация протекает проще и быстрее за счёт уменьшенного болевого синдрома.
Прогноз. Профилактика
В случае своевременного обращения за медицинской помощью и вовремя проведённого лечения прогноз благоприятный. Скорее всего, о данной проблеме через 1-2 года родители (а уж ребёнок и подавно) не вспомнят, так как последствий никаких нет.
Обычно после пневмодезинвагинации требуется, чтобы ребёнок находился в стационаре в течение 24 часов. Однако если инвагинация кишечника произошла на фоне, например, кишечной инфекции, то необходимо пройти курс стационарного лечения по поводу заболевания, которое привело к инвагинации, так как не устранив проблему можно спровоцировать рецидив инвагинации.
В тяжёлых случаях с некрозом кишки выполняется удаление отмершего участка и производится наложение кишечной стомы (выведение кишки на переднюю брюшную стенку и формирование противоестественного ануса). В этой ситуации прогноз будет зависеть от тяжести исходного и послеоперационного состояния и тяжести септического процесса.
Специфической профилактики инвагинации кишечника не существует, так как её причины обусловлены детским возрастом. Однако снизить риск возникновения данной патологии может правильное введение прикорма. [8]
Читайте также:
