Клиника, диагностика мастоцитоза. Лечение мастоцитоза.
Добавил пользователь Евгений Кузнецов Обновлено: 19.12.2025
Клиника, диагностика мастоцитоза. Лечение мастоцитоза.
В процесс мастоцитоза могут вовлекаться любые органы и системы. Наиболее часто — кости, печень, селезенка, лимфатические узлы, желудочно-кишечный тракт, ЦНС. 20-30% больных мастоцитозом имеют поражения костей, которые при рентгенологическом исследовании проявляются остеопорозом и остеосклерозом. Остеолитические изменения сопровождаются болевым синдромом. Около 1/4 поражений костей являются мастоцитомами, однако они нечасты у детей. Поражения печени проявляются асимптомными тучноклеточными инфильтратами и фиброзом с гепатомегалией и диффузным мастоцитозом.
Системный мастоцитоз по течению может быть доброкачественным и злокачественным. К злокачественному мастоцитозу относятся тучноклеточный лейкоз, тучноклеточная саркома, варианты системного мастоцитоза, ассоциированные с лимфомами, солидными новообразованиями или злокачественными заболеваниями крови.
Гистологическая картина всех форм мастоцитоза проявляется инфильтратами, состоящими главным образом из тучных клеток. Метахромазию гранул тучных клеток выявляют при использовании толуидинового, метиленового синего, а также нафтол-AS-D- хлорацетат эстеразы (метод Leder), окрашивающей цитоплазматические гранулы тучных клеток в красный цвет. При макулопапулезном и теле-ангиэктатическом типах мастоцитоза тучные клетки располагаются главным образом в верхней трети дермы вокруг капилляров. Ядра тучных клеток чаще веретенообразные, реже круглые или овальные. В связи с тем, что тучные клетки могут присутствовать в небольшом количестве и на срезах, окрашенных гематоксилином и эозином, их ядра напоминают ядра фибробластов или перицитов, для установления правильного диагноза требуются специальные окраски. При множественных узлах или бляшках, а также при крупных солитарных узлах тучные клетки образуют большие скопления по типу опухоли, инфильтрируя всю дерму и подкожную жировую клетчатку. Когда тучные клетки лежат в плотных скоплениях, их ядра скорее кубические, чем веретенообразные, имеют эозинофильную цитоплазму и хорошо очерченные границы клеток. Это придает им довольно характерный вид, так что диагноз можно поставить даже без специального окрашивания. При диффузном (эритродермическом) типе в верхней части дермы наблюдаются плотные лентовидные инфильтраты из тучных клеток с округлыми или овальными ядрами и четко очерченной цитоплазмой. При всех типах мастоцитоза (за исключением телеангиэктатического) среди тучных клеток могут встречаться эозинофилы. Повышение количества эозинофилов и внеклеточных гранул тучных клеток в биоптате, взятом после трения очага, свидетельствует об освобождении гранул из тучных клеток. Характер пузырей при мастоцитозе субэпидермальный; однако в связи с регенерацией эпидермиса в основании пузырей старьте пузыри могут локализоваться внутриэпидермально. Пузырь часто содержит тучные клетки, а также эозинофилы. Пигментация элементов при мастоцитозе обусловлена увеличением количества меланина в клетках базального слоя эпидермиса, реже — наличием меланофагов верхней части дермы. При системном мастоцитозе наряду с поражением кожи обнаруживают паратрабекулярные скопления тучных клеток в костном мозге, диффузную инфильтрацию ими красной пульпы селезенки, перипортальные инфильтраты в печени и тучноклеточную инфильтрацию перифолликулярных и паракортикальных зон лимфатических узлов. Скопления тучных клеток наблюдаются в сердце, почках, слизистой оболочке желудочно-кишечного тракта.
Диагноз мастоцитоза кожи устанавливается на основании клинической картины, положительного теста Дарье—Унны, увеличения тучных клеток в очагах поражения.Однако следует учитывать, что он может отсутствовать при мастоцитоме и, если очаг поражения подвергался травмированию за 2-3 дня до исследования (время, необходимое для восстановления гранул тучных клеток, — 2-3 дня).

В диагностике мастоцитоза используют определение гистамина в моче (гистаминурия), однако его уровень также повышается при воспалительных, аллергических заболеваниях, а также у здоровых лиц (например, у спортсменов). Для исключения системного мастоцитоза проводят определение главного метаболита гистамина — 1-метил-4-имидазолуксусной кислоты, содержание которой коррелирует с активностью тучноклеточной пролиферации и резко повышается при системном мастоцитозе, тогда как при кожных формах его уровень близок к норме.
Дифференциальный диагноз мастоцитоза проводится с пигментными невусами, веснушками, ленти-гинозом, от которых мастоцитоз отличается наличием положительного феномена Дарье— Унны. Папулезные и узловатые элементы мастоцитоза отличают от ксантом, дематофибром, гистиоцитоза X, невоксантоэндотелиомы на основании данных гистологического исследования. В отличие от лекарственной токсидермии, при мастоцитозе отсутствует связь заболевания с приемом лекарств. С укусами насекомых, эпидермической пузырчаткой новорожденных, многоформной экссудативной эритемой дифференциальный диагноз проводят на основании клинических данные и результатов исследования мочи на гистамин. Мастоцитоз сложно отличить от врожденной пойкилодермии Ротмунда—Томсона аутосомно-рецессивного заболевания, клинически проявляющегося в первые годы жизни и характеризующегося эритематозными пятнами, сменяющимися сетчатой гиперпигментацией, атрофией и теле-ангиэктазиями на коже лица, шее, реже — на конечностях. В отличие от мастоцитоза, отмечаются низкий рост, микроцефалия, дистрофия зубов, волос и ногтей, катаракта, умственная отсталость. Телеангиэктатическая форма мастоцитоза отличается от атрофической сосудистой пойкилодермии Якоби, характеризующейся очаговой гипер- и гипопигментацией, телеангиэктазиями и атрофией кожи, генерализованным характером процесса, наличием пятнисто-папулезных высыпаний, склонных к слиянию, с образованием крупных очагов поражения, возможным наличием общих симптомов (приступы «приливов», усиления зуда, тахикардии и т.д.) или поражений внутренних органов. Пигментный пурпурозный и лихеноидный ангиодерматит Гужеро—Блюма, в отличие от мастоцитоза, поражает преимущественно мужчин среднего возраста и характеризуется блестящими лихеноидными папулами, геморрагчески пигментными пятнами в области нижних конечностей, а также отрицательным феноменом Дарье—Унны.
Дифференциальный диагноз мастоцитоза также проводится с заболеваниями, сопровождающимися увеличения количества тучных клеток в гистологических препаратах. Тучноклеточные пролифераты имеют место при реактивной мастоцитоплазии, при гемангиоме, дерматофиброме, лимфоме, лимфогранулематозе и др. Важной особенностью гистологического диагноза при мастоцитозе является то, что в «старом» очаге мастоцитоза тучные клетки могут быть в небольшом количестве. В этой связи наиболее достоверно по гистологической картине можно установить диагноз мастоцитомы, имеющей невоидную структуру. В остальных случаях диагноз устанавливается на основании данных гистологического исследования с учетом клинических данных.
Лечение мастоцитоза недостаточно эффективно. Изолированные мастоцитомы удаляют хирургически. Для лечения мастоцитоза используют хлоргидрат ципрогептадина (периактин) по 16 мг/сут, Н2-блокаторы гистамина, ингибиторы серотонина. препараты, тормозящие дегрануляцию мастоцитов (задитен и др.), цитостатики (проспидин, спиробромин), ПУВА-терапию. При зуде и «приливах» применяют антигистаминные препараты. При буллезных формах назначают кортикостероидные гормоны.
Профилактика мастоцитоза заключается в предотвращении воздействия на организм активаторов дегрануляции тучных клеток, таких как простуда, воздействие холода, тепла, травма, инсоляция, лекарственные препараты (особенно морфино-опиумная группа алкалоидов и ацетилсалициловая кистота).

Мастоцитоз:
а - признак Дарье наблюдался в единственном очаге на спине после трения
б - гиперпигментация выражена у этого здорового чернокожего ребенка с пигментной крапивницей.
Обратите внимание на пузыри на лбу девочки
в - этого ребенка с диффузными инфильтративными очагами образовались обширные пузыри с кровоизлияниями
г - везикулы и покрытые коркой папулы на красном основании с рождения присутствовали у этого новорожденного без симптомов.
После заживления корочек пузыри больше не рецидивировали
Информация на сайте подлежит консультации лечащим врачом и не заменяет очной консультации с ним.
См. подробнее в пользовательском соглашении.
Мастоцитоз
Мастоцитоз — системное заболевание, обусловленное размножением тучных клеток и инфильтрацией ими кожи (кожная форма) и внутренних органов (системный мастоцитоз). Выделяют пять различных кожных проявлений мастоцитоза: гиперпигментации, мелкие и крупные узлы, эритродермические очаги и телеангиэктазии. При любой форме кожных элементов выявляется характерный для мастоцитоза диагностический признак - феномен Дарье-Унны. Лечение в основном консервативное и проводится ингибиторами серотонина, Н2-блокаторами гистамина, хлоргидратом ципрогептадина, цитостатиками.
МКБ-10
Общие сведения
Поскольку мастоцитоз связан с пролиферацией тучных клеток, он получил второе название — тучноклеточный лейкоз. Заболевание достаточно редкое, его причины до сих пор не известны. По данным статистических исследований около 75% случаев мастоцитоза приходится на детей в возрасте до двух лет. Причем каждый второй такой случай заболевания самостоятельно разрешается в период полового созревания.
Классификация мастоцитоза
В настоящее время дерматология выделяет 4 клинические формы мастоцитоза:
Кожный мастоцитоз младенческого возраста часто развивается в первые несколько лет жизни ребенка. Его отличительной чертой является полное отсутствие поражений внутренних органов. Как правило, в пубертатном периоде кожные проявления исчезают и заболевание проходит. Лишь в отдельных случаях мастоцитоз младенческого возраста развивается дальше с переходом в системную форму.
Кожный мастоцитоз взрослых и подростков характеризуется инфильтрацией тучными клетками не только кожи, но и внутренних органов: печени, сердца, селезенки, слизистой желудочно-кишечного тракта, почек. Однако, в отличии от системной формы заболевания, изменения, возникающие во внутренних органах, при данной форме мастоцитоза не прогрессируют. В некоторых случаях кожный мастоцитоз может переходить в системный.
Системный мастоцитоз развивается в основном у взрослых. Он представляет собой прогрессирующее поражение внутренних органов в сочетании с кожными изменениями или без них. Системный мастоцитоз встречается в 10% случаев кожного мастоцитоза. При этом он, как правило, развивается вслед за кожными проявлениями.
Злокачественный мастоцитоз обусловлен злокачественным перерождением тучных клеток, от чего и получил название тучноклеточная лейкемия. Измененные тучные клетки инфильтрируют внутренние органы и ткани, что обуславливает быстрый летальный исход заболевания. Кожные проявления при этой форме заболевания обычно отсутствуют.
Симптомы мастотоциза
Примерно у 50% пациентов с мастоцитозом жалобы касаются только изменений со стороны кожи. При мастоцитозе с поражением внутренних органов пациенты жалуются также на периодическое падение артериального давления, приступы пароксизмальной тахикардии, повышение температуры тела и сопровождающееся зудом приступообразное покраснение кожи.
Характерные для заболевания инфильтраты из тучных клеток могут скапливаться в различных слоях кожи, что обуславливает разнообразие кожных проявлений. В связи с этим выделяют пять клинических вариантов кожных изменений при мастоцитозе.
Макулопапулезный вариант мастоцитоза характеризуется появлением на коже множественных гиперпигментированных пятен или папул небольшого диаметра. При этом отдельные очаги поражения на коже имеют четкие очертания. Выражен феномен Дарье-Унны — при механическом воздействии (например, трении) на пятна они превращаются в мелкие пузырьки, похожие на кожные изменения при крапивнице. Из-за этой особенности данный вариант мастоцитоза у некоторых авторов встречается под названием пигментная крапивница.
Узловой вариант мастоцитоза проявляется появлением в коже множественных уплотнений или узелков полушаровидной формы до 1см в диаметре. Цвет узелков может быть розовым, желтым или красным. Узелки могут сливаться в бляшки, поверхность которых бывает гладкой или по типу апельсиновой корки. Бляшки большого размера обычно имеют бугристую поверхность. При узловом варианте особенно у взрослых феномен Дарье-Унны слабо выражен.
Солитарный вариант мастоцитоза проявляется образованием мастоцитомы — узла размером 2-5см с резиновой консистенцией, сморщенной или гладкой поверхностью. Чаще всего узел один, но встречаются клинические формы с образованием 3-4 узлов. В некоторых случаях мастоцитомы сочетаются с высыпаниями макулопаппулезного характера. Солитарный вариант развивается исключительно при кожном мастоцитозе младенческого возраста. Его характерная локализация — кожа предплечий, туловища и шеи. При травматизации поверхности мастоцитомы на ней возникают пузырьки или пустулы (положительный феномен Дарье-Унны), а ребенок может жаловаться на покалывание в этом месте. Обратное развитие солитарных элементов происходит внезапно, при этом мастоцитомы западают и сглаживаются с поверхностью кожи.
Эритродермический вариант мастоцитоза диагностируется в случаях, когда на коже образуются четко отграниченные желто-коричневые очаги поражения с неровными краями и плотной консистенцией. Характерен выраженный зуд. На поверхности эритродермических очагов со временем образуются трещины, расчесы и изъязвления. Наиболее часто встречающаяся локализация — это складки между ягодицами и подмышечные впадины. Резко положителен симптом Дарье-Унны. Даже легкое травмирование очага поражения приводит к образованию пузырей и усилению зуда. При появлении большого количества пузырей говорят о клинике буллезного мастоцитоза. Эритродермический вариант заболевания редко переходит в системную форму, но прогрессирование изъязвления его элементов может привести к развитию эритродермии.
Телеангиэктатический вариант мастоцитоза характеризуется участками поражения кожи красно-коричневого цвета, сформированными из расположенных на гиперпигментированном фоне телеангиэктазий. Наиболее типично поражение кожи конечностей и груди. Телеангиэктатический вариант наблюдается в основном у взрослых и преимущественно у женщин.
Диагностика мастотоциза
Характерная симптоматика и определение феномена Дарье-Унны зачастую позволяют дерматологу заподозрить мастоцитоз. Для подтверждения диагноза необходима биопсия кожных элементов. Гистологическое исследование выявляет инфильтраты, представляющие собой скопление тучных клеток. При макулопапулезном и телеангиэктатическом варианте тучные клетки инфильтрируют верхние слои дермы. При узловом мастоцитозе тучные клетки образуют плотные инфильтраты, захватывающие почти все слои дермы. Для солитарных узлов или мастоцитом характерно распространение инфильтрата не только на всю дерму, но и в подкожную клетчатку. Эритродермический вариант отличается формированием лентообразных инфильтратов из тучных клеток в верхнем слое дермы.
В клиническом анализе крови определяется увеличение количества базофилов и нейтрофилов с резким сдвигом лейкоцитарной формулы влево. При подозрении на мастоцитоз проводят также определение гистамина мочи. Однако содержание гистамина в моче увеличивается не только при мастоцитозе, но и при аллергических или воспалительных заболеваниях.
Системный мастоцитоз диагностируют путем определения 1-метил-4-имидазолуксусной кислоты — метаболита гистамина, содержание которого резко увеличивается в случае системного мастоцитоза и остается в пределах нормы при кожном мастоцитозе. При поражении мастоцитозом внутренних органов на УЗИ органов брюшной полости выявляется увеличение печени и селезенки. Примерно у 25-30% больных мастоцитозом при рентгенологическом исследовании и КТ кости определяются нарушения со стороны костной ткани: остеосклероз или остеопороз.
Дифференцировать мастоцитоз необходимо с веснушками, пигментными невусами, ксантомами. Узловую форму дифференцируют с дерматофибромой, а мастоцитоз младенческого возраста — с пузырчаткой новорожденных, врожденной пойкилодермией Ротмунда-Томсона. Кроме того, мастоцитоз необходимо дифференцировать от других заболеваний, характеризующихся увеличением тучных клеток в образцах для гистологического исследования. К таким заболеваниям относятся лимфома, гемангиома, лимфогрануломатоз, дерматофиброма и др.
Лечение мастотоциза
В лечении мастоцитоза применяют хлоргидрат ципрогептадина, ингибиторы серотонина, противоаллергические препараты (лемастин, цетиризин, фексофенадин), противовоспалительные (диклофенак, ибупрофен), ПУВА-терапию. При системном мастоцитозе назначают цитостатики, при буллезных проявлениях — кортикостероиды. Отдельные мастоцитомы могут быть удалены хирургически.
К сожалению, не смотря на современные достижения в медицине и фармакологии, существующие способы лечения мастоцитоза зачастую оказываются недостаточно эффективными.
Бластоцистоз - симптомы и лечение
Что такое бластоцистоз? Причины возникновения, диагностику и методы лечения разберем в статье доктора Александрова Павла Андреевича, инфекциониста со стажем в 14 лет.
Над статьей доктора Александрова Павла Андреевича работали литературный редактор Юлия Липовская , научный редактор Сергей Федосов и шеф-редактор Лада Родчанина
Определение болезни. Причины заболевания
Бластоцистоз — это заболевание человека, вызываемое простейшим одноклеточным микроорганизмом Blastocystis, который колонизирует желудочно-кишечный тракт и при определённых условиях вызывает срыв функционирования кишечника (запоры или диарея, дискомфорт и боли в животе). Также Blastocystis повышает частоту развития иммунодепрессии, проблемной кожи и патологии суставов. Паразит проникает в организм посредством фекально-орального механизма. Чаще всего болезнь протекает в форме неактивного носительства.

Этиология
- домен — Eukaryota;
- тип — cтраменопилы (также входят водоросли, водяная плесень и диатомовые водоросли);
- учебный класс — Blastocystae;
- порядок — Blastocystida;
- семья — Blastocystidae;
- род — Blastocystis;
- вид — Blastocystis hominis (рекомендуется использовать общий термин — Blastocystis sp).
Впервые эти простейшие были описаны А. Алексеевым (А. Alexieff) в 1911 году, а уже в 1912 году Е. Брумпт (Е. Brumpt) выделил и описал основные признаки бластоцисты в материале человека.
Бластоцисты — очень разнообразные по генетическим вариациям простейшие одноклеточные. Они выявляются в кишечнике как у человека, так и у множества животных (свиней, приматов, собак, птиц, тараканов и др.), т. е. не являются строго специфичными к хозяину. Отсюда рекомендуемое наименование — Blastocystis sp. (species subtype n., где n — число, указывающее субтип простейшего ). До сих пор ведутся дискуссии по поводу патогенности их для человека, однако в экспериментах на мышах заражение бластоцистами вызывало у животных воспаление кишечника, выраженное нарушение его работы и преждевременную смерть, а у высших приматов — хроническую диарею [16] .
Для людей характерно нахождение подтипа ST (при генетическом типировании). Всего 9 видов (ST1-ST9), наиболее распространены ST1, ST2, ST3 и ST4, причём они могут сосуществовать в организме одного хозяина в разных сочетаниях. На сегодняшний день конкретная патогенность разных подтипов для человека не выяснена, однако есть предположения, что заболевание вызывают лишь некоторые подтипы паразита, тогда как другие в основном приводят лишь к носительству.
Жизненный цикл Blastocystis до конца не изучен. Размножаются микроорганизмы бинарным делением. Тело покрыто специальной мембраной, с которой соприкасается цитоплазма и органеллы. Паразиты могут находиться в кишечнике от недели до нескольких лет.
Бластоцисты имеют 4 формы жизни:
- Вакуолярная форма. В культуре у бессимптомных носителей бластоцисты выявляются в форме круглого или овального образования размерами 5-50 (редко больше) мкм. Основную часть тела занимает большая центральная вакуоль (вероятно, предназначена для хранения), окружённая тонким кольцом цитоплазмы. В цитоплазме могут находиться от 1 до 6 ядер.
- Гранулярная форма. В просвете кишечника выявляются тонкостенные простейшие, напоминающие вакуолярную форму, но с наличием в вакуоли и цитоплазме гранул различной формы (участвуют в химических процессах поддержания жизнедеятельности и размножении).
- Авакуолярная (амёбовидная) форма. Выявляется в культуре у больных кишечными расстройствами. Амёбовидные бластоцисты в кишечнике адгезированы (прикреплены) к эпителию и неподвижны.
- Цисты. Они меньше по размеру и имеют толстую многослойную стенку, выявляются в культуре (кале). Данная форма лишена центральной вакуоли, имеет несколько небольших вакуолей с отложениями пищи и несколько ядер. Это самая устойчивая во внешней среде форма.

Паразиты к ультивируются на питательных средах, причём образуют множество нетипичных форм (промежуточные стадии развития).
Бластоцисты достаточно быстро погибают при действии бытовых дезинфектантов, кипячении и замораживании. В окружающей среде при 4 °C могут сохранять жизнеспособность до 2 месяцев, при 25 °C — до 1 месяца, длительно не погибают в дистиллированной воде [1] [2] [6] [12] .
Эпидемиология
Бластоцисты распространены повсеместно, это один из самых часто встречающихся паразитов в мире (заражены, вероятно, не менее 1 млрд. человек), распространённость подтипов пока изучается. В некоторых регионах, особенно в тропиках, ими инфицировано до 100 % населения, в США — около 23 % популяции. Заболеваемость выше в тех регионах, где присутствует антисанитария и не уделяется должного внимания соблюдению правил личной гигиены. Чаще болезнь выявляется среди людей, которые контактируют с животными и имеют сопутствующую патологию ЖКТ или хронический вирусный гепатит. Во многих случаях они выявляются в сочетании с другими патогенами ЖКТ (лямблиями, возбудителями острых кишечных инфекций и др.).
Механизм передачи — фекально-оральный, пути — водный (через загрязнённую воду), пищевой (через заражённую пищу) и контактно-бытовой (при несоблюдении правил гигиены, возможно распространение насекомыми, например мухами и тараканами).
Риск распространения в семье, где соблюдают правила гигиены, минимален. В странах, где проводят централизованное обеззараживание водопроводной воды, вода из под крана безопасна (т. е. бластоцисты в ней не содержатся) [1] [7] [8] [10] .
При обнаружении схожих симптомов проконсультируйтесь у врача. Не занимайтесь самолечением - это опасно для вашего здоровья!
Симптомы бластоцистоза
Во множестве случаев выявления бластоцист у людей симптомы не проявляются или их нельзя напрямую связать с паразитом (по крайней мере, на сегодняшнем уровне развития медицины). Возможно, люди (и врачи в том числе) оказались "ослеплены" фактами исчезновения и уменьшения количества некоторых паразитарных заболеваний (например, малярии и дракункулёза), что создало неверное представление о победе над паразитами. Однако постоянное увеличение числа больных с патологией кишечника неустановленной этиологии, иммунодефицитами и кожными заболеваниями может быть вызвано распространением именно тех микроорганизмов, которые раньше считались непатогенными или условно-патогенными.
Чаще всего при манифестной форме заболевания (когда болезнь начинает проявляться) больные указывают на следующие признаки:
- дискомфорт и боли в животе;
- неустойчивый стул, диарея, запор, изменение консистенции стула, его цвета и запаха;
- метеоризм;
- тошнота;
- перианальный зуд, иногда зуд кожи;
- повышенная утомляемость, снижение работоспособности;
- снижение массы тела (похудание);
- необъяснимые высыпания на коже;
- дискомфорт в суставах;
- частые простудные заболевания;
- повышенная нервная возбудимость, плохой сон;
Есть публикации, описывающие связь бластоцист с воспалительными заболеваниями кишечника (ВЗК). Дело в том, что ВЗК связаны с нарушением барьерной функции эпителия, а у пациентов с бластоцистозом повышена кишечная проницаемость [16] . Это позволило предположить, что паразиты могут повреждать стенку кишечника [15] .
Есть некоторые предпосылки, указывающие на более частое развитие манифестных форм болезни, в основном это:
- генетическая предрасположенность (связанная с повышенной секрецией цитокинов);
- возраст (чем старше человек, тем больше вероятность симптоматики);
- более патогенные подтипы бластоцист.
Бластоцистоз у беременных
Каких-то обособленных проявлений инфекции у беременных не наблюдается. Возможно более раннее начало и тяжесть токсикоза, чаще развиваются функциональные нарушения работы желудочно-кишечного тракта. Возможное влияние на плод ограничивается повышенным риском гипотрофии ( недостаточной массы тела) , анемии, отставании по срокам развития, после рождения может быть отмечена склонность к аллергизации и патологиям кожи (атопический дерматит, псориаз) [3] [4] [7] [13] .
Патогенез бластоцистоза
Бластоцисты могут нарушать расположение и функционирование актиновых филаментов эпителиальных клеток кишечника (нитей из специальных белков, находящихся в цитоплазме клеток, их основная функция — сократительная). Таким образом они влияют на барьерную функцию кишечной стенки, что приводит к диарее, нарушению процессов пищеварения и обмена биологически активных веществ.

Выявлена способность бластоцист стимулировать выработку провоспалительных цитокинов клетками толстого кишечника (ИЛ-8, гранулоцитарно-макрофагальный колониестимулирующий фактор), которые играют роль в развитии ревматоидного артрита.
Классификация и стадии развития бластоцистоза
Единой официально принятой классификации бластоцистоза не существует, обобщённо можно представить следующую градацию:
По клинической форме:
- Манифестная (с симптомами):
- типичная (с проявлениями желудочно-кишечных расстройств);
- атипичная (с поражениями кожи и суставов).
- Субклиническая (проявления болезни минимальны или выражаются только лабораторными изменениями).
- Бессимптомная ("неактивное" паразитоносительство).
В Международной классификации болезней 10-го пересмотра (МКБ-10) о бластоцистозе нет информации. Однако заболевание можно отнести к группе А07 — Другие протозойные кишечные болезни.
Осложнения бластоцистоза
- Белково-энергетическая недостаточность (гипо- и авитаминоз, снижение веса, анемия и др.).
- Развитие дисбиотического состояния кишечника (стойкое нарушение количества, состава и функционирования нормальной флоры кишечника).
- Артрит — дискомфорт и боли в суставах. — зудящие обширные высыпания на теле.

- Появление и обострение генетически обусловленных заболеваний кожи (атопический дерматит, псориаз и др.). В данном случае бластоцисты выступают как провоцирующий фактор [3][4][12][14] .

Диагностика бластоцистоза
Для верной диагностики важно целенаправленно определить бластоцисты в биологическом материале. Врач принимает решение, являются ли именно они причиной симптомов у конкретного человека: часто симптомы обнаруживаются в ассоциации с другими патогенами или имеется сопутствующая патология неинфекционного характера.

- ПЦР диагностика (выявление бластоцист в кале путём молекулярно-генетической детекции). Достаточно надёжный и чувствительный метод, за одно исследование выявляемость составляет 88 %.
- Посев кала (культивирование бластоцист на средах). Надёжный метод выявления, однако сложен в реализации и коммерчески невыгоден [1][7][12][14] .
Дифференциальная диагностика
- Паразитарные заболевания другой этиологии (лямблиоз, аскаридоз, энтеробиоз, дифиллоботриоз и др.).
- Кишечные инфекции (сальмонеллёз, дизентерия, энтеровирусная, ротавирусная и др.).
- Синдром раздражённого кишечника (при полном отсутствии этиологического фактора кроме питания и стресса).
- Воспалительные заболевания кишечника неинфекцонной природы (болезнь Крона, язвенный колит).

- Заболевания желудка и верхнего отдела кишечника гастроэнтерологического характера (гастрит, дуоденит). (сборное понятие, характеризующееся неустойчивостью стула, дискомфортом в животе различного характера, снижением веса и другими симптомами) [1][4][12][14] .
Лечение бластоцистоза
Терапия бессимптомного носительства в каком-либо медицинском вмешательстве не нуждается. Не стоит заниматься лечением и тем более самолечением при отсутствии симптоматики и сомнении в роли данного микроорганизма в болезни. Нет гарантии, что применение препаратов благотворно скажется на здоровье кишечной экологической системы и организма в целом и не ухудшит проявления заболевания.
При развитии симптомов, в патогенезе которых нельзя исключить роль бластоцист, и подтверждении паразитирования их в кишечнике проводятся следующие мероприятия:
- диета с ограничением сладкого, газообразующего и мучного (улучшает микроклимат кишечника, в какой-то мере лишает бластоцист энергетических запасов, снижает метеоризм);
- противопротозойная терапия. Применяются препараты нитроимидазольной группы, ингибиторов дигидрофолат-редуктазы и некоторые пробиотические дрожжи;
- применение пробиотических препаратов (лактобактерии, бифидобактерии и энтерококки);
- повышение иммунитета кишечника. Применение иммуномодулирующих средств и прямое восполнение дефицита IgA в просвете кишечника.
На сегодняшний день не существует какого-либо препарата или стратегии лечения, позволяющих со 100 % вероятностью избавиться от бластоцист [5] [7] [12] [13] .
Прогноз. Профилактика
При сохранном иммунитете прогноз благоприятный (даже при развитии клинически выраженного заболевания), при иммунодефиците (особенно СПИДе) прогноз серьёзный.
Меры профилактики неспецифичны, их можно разделить на общественно-значимые (социальные) и индивидуальные.
Рентгенограмма, КТ, МРТ костей при мастоцитозе
а) Определение:
• Гетерогенное опухолевое заболевание, приводящее к клональной пролиферации тучных клеток в различных органах
б) Визуализация:
1. Общая характеристика:
• Локализация:
о Образования в костях могут быть очаговыми или диффузными:
- Очаговые образования могут прогрессировать до диффузных

(Слева) Рентгенография грудного отдела позвоночника в боковой проекции: определяется классический «мраморный» позвонок с плотной костью, замещающей тело позвонка целиком, но без изменения его размеров. Очаговый склероз, как на этом изображении, характерен для мастоцитоза.
(Справа) Рентгенография в боковой проекции, этот же пациент: определяются смешанный лизис и склероз, а также увеличение позвонка. Такие признаки могут свидетельствовать о болезни Педжета, но в данном случае это полиоссальный мастоцитоз. Рентгенологическая картина при этом диагнозе сбивает с толку, поскольку может иметь вид, характерный для остеопении, склероза или смешанной формы заболевания.
2. Рентгенография при мастоцитозе:
• Первичные рентгенологические признаки:
о Выделяют два отдельных варианта костных структур:
- Остеосклероз
- Остеопороз
• Вторичные рентгенологические признаки:
о Патологический перелом, в частности, позвоночника
3. КТ при мастоцитозе:
• КТ всего тела с низкой дозой лучевой нагрузки может помочь оценить опухолевые образования в костях
• Внескелетные признаки на КТ наблюдаются у 19% пациентов по данным одного исследования:
о Гепатоспленомегалия
о Забрюшинная аденопатия
о Перипортальная аденопатия
о Мезентериальная аденопатия
о Утолщение большого сальника и брыжейки о Асцит
о Менее частые признаки:
- Гепатофугальное направление венозного кровотока в портальной вене
- Синдром Бадда-Киари
- Кавернозная трансформация портальной вены
- Новообразование яичника
4. МРТ при мастоцитозе:
• МРТ Т1ВИ:
о Низкая ИС при склеротическом типе
• Последовательности, чувствительные к жидкости:
о Гиперинтенсивный сигнал:
- За исключением образований с очагами плотного склероза
• Полное МР-исследование полезно при оценке тяжести поражения
5. Радионуклидная диагностика:
• Образования патологически накапливают радиометку при сцинтиграфии костей

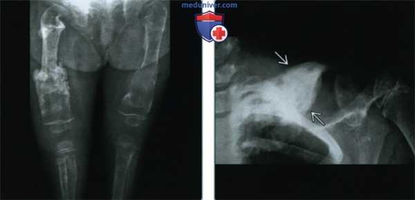
(Слева) Рентгенография в ПЗ проекции: определяется диффузный и тяжелый остеопороз с множественными переломами. Картина визуализации неспецифична, но в биоптате был выявлен мастоцитоз. Патологические изменения костей при детском мастоцитозе встречаются редко.
(Справа) Рентгенография в ПЗ проекции: определяется плотно-склеротичное изолированное образование с увеличением диафиза ключицы. Для такой картины визуализации предложен обширный дифференциально-диагностический ряд. У этого пациента отмечались нарушения пищеварения, которые появлялись эпизодически, как и сыпь. Такие симптомы позволяют сузить дифференциальный диагноз до мастоцитоза.
в) Клинические особенности:
1. Проявления:
• Типичные признаки/симптомы:
о Комплекс симптомов:
- Гиперемия
- Боль в животе
- Диарея
- Необъяснимые синкопы
- Классическая пигментная крапивница
о Боль в костях, по крайней мере, в 28% случаев
2. Демография:
• Возраст:
о Обычно развивается у взрослых
- Мастоцитоз редко возникает в детстве и обычно ограничивается кожными проявлениями
• Пол:
о Мужчины = женщины
• Эпидемиология:
о Патологические изменения костей в 70% случаев
3. Течение и прогноз:
• Медленно прогрессирующий мастоцитоз:
о Обычно прогнозируется нормальная продолжительность жизни пациента
4. Лечение:
• Диагноз устанавливается на основании данных костной биопсии
• Пациентов обследуют для оценки размеров опухоли и повреждений органов-мишеней
• Циторедуктивная терапия проводится только при выраженной клинической картине
• Кифопластика может вызвать гипотензию вследствие выброса медиатора аллергии гистамина, вызванного давлением
Лучевая диагностика мастоцитоза
а) Визуализация мастоцитоза:
• Кожная форма мастоцитоза (пигментная крапивница) является наиболее распространенной
• Системный мастоцитоз: пролиферация тучных клеток в коже, костях, лимфатических узлах, внутренних органах брюшной полости
• Желудочно-кишечный тракт поражается в 16% случаев:
о Пептическая язвенная болезнь и мальабсорбция
о Двенадцатиперстная кишка и тонкая кишка: утолщение складок, уменьшение времени транзита
о Узловые изменения слизистой оболочки (узелки размерами 2-3 мм в виде «песчинок»)
- Дилятация тонкой кишки с наличием жидкостного содержимого в просвете
• Гепатомегалия (в 40% случаев у взрослых)
• Желчные пути: инфильтрация стенок, неравномерные стриктуры
• Спленомегалия с наличием узловых депозитов (в 50% случаев)
• Лимфаденопатия, утолщение сальника и брыжейки
• Очаги поражения склеротического или литического характера в костях осевого скелета
• Сцинтиграфия костей: литические очаги, остеопороз либо остеосклероз
(Слева) На аксиальной КТ без контрастного усиления у пожилого мужчины с нарушением функции печени и диареей определяются диффузные склеротические очаги в костях осевого скелета. Обратите внимание на неравномерное, умеренно выраженное расширение внутрипеченочных желчных протоков, а также спленомегалию.
(Справа) На аксиальной КТ без контраста у этого же пациента визуализируется растянутая тонкая кишка с утолщенной стенкой и наличием жидкости в просвете. Пациенту была выполнена биопсия стенки желчного протока и кишечника, обнаружена инфильтрация стенки большим количеством тучных клеток, что является диагностическим признаком системного мастоцитоза. (Слева) На КТ у этого же пациента с системным мастоцитозом определяются распространенные склеротические изменения всего осевого скелета наряду с утолщением стенки растянутой тонкой кишки и наличием жидкости в ее просвете.
(Справа) На рентгенограмме тонкой кишки с контрастом, полученной у пациента с подтвержденным мастоцитозом, определяются распространенные патологические изменения тонкой кишки, в т. ч. замещение нормальной «картины» складок на узловую.
б) Дифференциальная диагностика:
• Карциноидная опухоль
• Синдром Золлингера-Эллисона
• Целиакия
• Состояния, сопровождающиеся мальабсорбцией
• Первичный склерозирующий холангит (при поражении желчных путей)
в) Патология:
• Системный мастоцитоз является одним из миелопролиферативных неопластических состояний:
о Наряду с полицитемией, миелофиброзом, хроническим миелоидным лейкозом и т. д.
г) Клинические особенности:
• Осложнения:
о Частота злокачественной трансформации с развитием злокачественных опухолей системы крови составляет 30%
• Лечение: эпинефрин, стероидные гормоны, блокаторы Н1- и Н2-гистаминовых рецепторов, ингибиторы протонной помпы, антихолинергические средства; химиотерапия:
о Трансплантация гемопоэтических стволовых клеток является многообещающим способом терапии
Читайте также:
- Гистогенез кожи. Строение кожи. Эпидермис. Меланоциты.
- Коагуляционные аппараты. Требования к эндоскопическим коагуляторам.
- Диагностика хронического гнойного мезотимпанита. Течение хронического мезотимпанита
- Погружения с применением гелиево-кислородных смесей. Декомпрессия при применении гелиево-кислородных смесей
- От чего болят колени? Заболевания суставов
