Конизация шейки матки у беременных - методика, осложнения
Добавил пользователь Валентин П. Обновлено: 18.12.2025
Конизация шейки матки у беременных - методика, осложнения
Выполнение конизации шейки матки (клиновидной биопсии) во время беременности считается опасной процедурой. Ее проводят только при подозрении на микроинвазию. Опасность для матери — немедленное или отсроченное кровотечение, наблюдаемое в 14 % случаев и превышающее 400 мл, если процедуру выполнять в III триместре беременности.
Averette и соавт. описали наибольшую серию случаев конизации шейки матки во время беременности. В исследовании принимало участие 180 беременных; в 9,4 % случаев потребовалось переливание крови, не было отмечено ни одного летального исхода.
Конизация могла приводить к самопроизвольному аборту, внутриутробной инфекции и преждевременным родам. Rogers и Williams проанализировали результаты конизации шейки матки у 72 беременных; риск перинатальных осложнений составил 19,4 %. При выполнении конизации в I триместре беременности риск гибели плода составляет 15,2—33 %.
Конизация у беременных связана с 3—6%-м риском гибели плода вследствие обильного кровотечения или преждевременных родов в связи с несостоятельностью шейки матки. Кроме того, необходимо отметить, что в 30—57 % случаев конизация у беременных приводит к развитию дисплазии или микроинвазивной опухоли на границе эндо- или эктоцервикальной области. По этой причине не рекомендуют проводить терапевтическую конизацию шейки матки беременным.

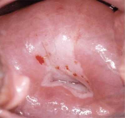
Поверхностная конизация шейки матки при беременности
Петлевую электроэксцизию зоны трансформации шейки матки выполняют в операционной. Эта процедура по сути представляет поверхностную конизацию. Robinson и соавт. сообщали о 20 женщинах, которым была проведена петлевая электроэксцизия шейки матки на 8—34-й неделе беременности. Были отмечены значительные осложнения при выполнении данной процедуры на 27—34-й неделе беременности: 2 женщинам потребовалось переливание крови, у 3 — роды начались преждевременно, у 1 — внутриутробная гибель плода через 4 нед. после процедуры.
Mitsuhashi и Sekiya провели петлевую электроэксцизию шейки матки 9 женщинам в первые 14 нед. беременности; все родили в положенный срок, и ни у одной не было отмечено обильных кровотечений. Эти результаты свидетельствуют, что петлевую электроэксцизию шейки матки можно выполнять только в I триместре беременности. Из-за отсутствия достаточного количества данных эта процедура не может заменить традиционную конизацию. Кроме того, при петлевой электроэксцизии шейки матки сохраняется высокий риск рецидива опухоли.
Hacker и соавт. отметили, что большинство специалистов прибегают к конизации только в случаях, когда зона трансформации видна не полностью, имеется микроинвазивный рак (подтвержденный биопсией или подозреваемый по данным кольпо-скопии) или после исследования биоптата остается подозрение на аденокарциному. Альтернативой полной конизации служит клиновидная резекция, при которой удаляют только области, не полностью визуализированные при кольпоскопии.
Еще одна альтернатива — разместить 6 гемостатических швов равномерно по периметру шейки матки. Эти швы уменьшают кровотечение, выворачивают переходную зону и облегчают выполнение поверхностной конизации при минимальном повреждении эндоцервикального канала.
Goldberg и соавт. выполнили 17 конизации с наложением циркулярного шва на шейку матки у женщин на 12—27-й неделе беременности. Операция проводилась под общей анестезией. После введения во влагалищную часть шейки матки вазопрессина (20 ЕД в 60 мл физиологического раствора) на ее латеральную часть были наложены гемостатические швы с помощью шовного материала № 2 из полигликолиевой кислоты в положении 2 и 10 часов, затем накладывали как можно выше стандартный циркулярный шов по McDonald, используя нейлоновый шовный материал № 1, чтобы закрыть внутренний зев шейки матки, но не вызвать реакцию со стороны мочевого пузыря.
После конизации шов McDonald соединяли, фиксировали в передней части влагалища и на сутки вводили тампон с йодоформом. У всех 17 женщин беременность протекала без осложнений и закончилась рождением живых детей при сроке беременности 34 нед. и более.

Размещение шести гемостатических швов
Редактор: Искандер Милевски. Дата обновления публикации: 18.3.2021
Лечение рака шейки матки у беременных - тактика
При раке шейки матки (РШМ) у беременных наиболее часто наблюдаются следующие симптомы: патологические вагинальные кровотечения (63 %), влагалищные выделения (13 %), посткоитальные кровотечения (4 %), боль в области таза (2 %). В исследовании, проведенном Hacker и соавт., бессимптомное течение заболевания наблюдалось у 18 % больных, в исследовании Creasman и соавт. — у 30 %.
При кровотечениях необходимо тщательное обследование. В случае обследования в I триместре риск прерывания беременности не повышается. При кровотечениях в III триместре обследование проводят в условиях операционной, т. к. возможно частичное предлежание плаценты. В большинстве случаев визуального контроля для диагностики инвазивного рака шейки матки (РШМ) бывает достаточно. У беременных при постановке диагноза пользуются классификацией FIGO.
Во избежание облучения плода для определения гидронефроза выполняют УЗИ почек, а при подозрении на прорастание опухолью параметрия — МРТ таза. Рентгенологическое исследование грудной клетки для исключения метастазов в легких может быть выполнено только при условии экранирования живота. На рис. 4.5 представлен возможный алгоритм действий при инвазивном раке шейки матки (РШМ).
Тактика при микроинвазивном раке шейки матки у беременной
Микроинвазивный рак у беременных, как правило, обнаруживают при кольпоскопической прицельной биопсии. Если при исследовании биоптата нельзя исключить микроинвазивный рак, проводят поверхностную или более широкую конизацию шейки матки. Беременным конизацию выполняют только при полной уверенности в поставленном диагнозе. При этом у больных с неглубокой стромальной инвазией нет необходимости прерывать беременность в отличие от больных с глубокой инвазией.
Мы считаем, что у пациенток с начальной стромальной инвазией (стадия Ia1 по FIGO) можно сохранять беременность до срока родов без хирургического вмешательства. Роды у этих женщин могут проходить через естественные родовые пути. Беременным с Iа2 или Ib1 стадией по FIGO сразу после созревания легких плода проводят кесарево сечение, а затем радикальную абдоминальную гистерэктомию с двусторонней тазовой лимфаденэктомией.
Предпочтительнее выполнять вертикальный разрез матки, чтобы не нарушить ее нижний сегмент, который тщательно обследуется. Физиологические изменения при беременности фактически улучшают результаты радикальной хирургии, т. к. дифференцировка тканей более четкая.

Проведение кесарева сечения с гистерэктомией и тазовой лимфаденэктомией при раке шейки матки у беременной
Выбор терапии при инвазивном раке шейк матки (РШМ) должен основываться на стадии заболевания и сроке беременности. Решение часто зависит от религиозных убеждений больной и ее семьи, от желания иметь ребенка. При I и IIa стадиях заболевания по FIGO радикальную гистерэктомию с двусторонней лимфаденэктомией проводят в любом триместре беременности. Мы предпочитаем хирургическое лечение из-за совокупного результата, включающего сохранение яичников, улучшение сексуальной функции и отказ от ненужной отсрочки лечения.
Частота осложнений после радикального хирургического вмешательства при раке шейки матки (РШМ) у беременных не превышает таковую у небеременных, если тщательно соблюдаются принципы операции. Monk и Montz изучили результаты радикальной гистерэктомии при инвазивном раке шейки матки (РШМ) у беременных. Они обследовали 8 больных, которым выполнили кесарево сечение, а затем радикальную гистерэктомию и двустороннюю тазовую лимфаденэктомию; другим 13 больным провели те же хирургические вмешательства, за исключением кесарева сечения.
Среднее время радикального удаления матки с плодом и лимфаденэктомии составило 281 мин, средняя кровопотеря — 777 мл; при кесаревом сечении с последующей радикальной гистерэктомией и лимфаденэктомией кровопотеря была 1750 мл. Риск летального исхода во время операции был минимальным, 7 младенцев родились здоровыми. 20 (95 %) больных выжили и находятся в ремиссии. Среднее время наблюдения за больными составило 40 мес.
Авторы заключили, что радикальная операция необходима на ранних стадиях рака шейки матки (РШМ) у беременных, причем такой метод характеризуется низкой смертностью, удовлетворительной выживаемостью и сохранением функции яичников.


Дистанционное облучение таза с внутриполостной брахитерапией при раке шейки матки у беременной
Лучевая терапия эффективна на ранней стадии рака шейки матки (РШМ) (стадия Ibl по FIGO). На поздних стадиях (стадии Ib2—IVa по FIGO) ЛТ сочетают с приемом радиосенсибилизирующих химиопрепаратов. В I и II триместрах беременности облучают таз, что вызывает самопроизвольный аборт. После самопроизвольного аборта проводят внутриполостное введение радия или цезия. Как правило, самопроизвольный аборт происходит на 35-й день после начала терапии при проведении облучения в I триместре беременности и на 45-й день при ЛТ во II триместре (редко на 60—70-й день).
Если самопроизвольный аборт не произошел, через 1—2 нед. после стандартного внутриполостного облучения выполняют гистерэктомию.
Если после завершения ДЛТ беременность не прервалась, что чаще бывает после 16-й недели, проводят радикальную гистерэктомию без лимфаденэктомии, чтобы удалить остаточную опухоль. Этот метод позволяет подвести достаточную дозу радиации к микрометастазам в лимфоузлах таза, т. к. ввести радий или цезий в полость беременной матки невозможно. Хотя некоторые практикующие врачи на ранних стадиях заболевания предпочитают выполнять экстрафасциальную экстирпацию матки после облучения таза дозой 50 Гр, мы считаем, что надо проводить более радикальное вмешательство. Этот способ обеспечивает адекватную эксцизию шейки матки, медиального параметрия и верхнего отдела влагалища, в которых доза радиации была эффективно распределена.
Те, кто придерживается экстрафасциальной гистерэктомии, часто советуют после операции проводить ЛТ свода влагалища, чтобы воздействовать на верхний отдел влагалища и медиальный параметрий.
Sood и соавт. изучили влияние беременности на развитие опухолевого процесса, продолжительность жизни и смертность при ЛТ. Они обследовали 26 беременных, которым проводили ЛТ. В контрольную группу вошло 26 небеременных пациенток того же возраста, у которых были те же результаты гистологического исследования, та же стадия опухоли, те же способы и время лечения. Всем пациенткам провели ДЛТ (средняя доза 46,7 Гр) и внутриполостное облучение (средняя доза 56,5 Гр в точке А). В I триместре ЛТ подверглись 3 беременных. Через 20—24 дня после начала облучения у всех произошел самопроизвольный аборт (средняя доза 34 Гр).
Во всех этих случаях облучение прерывали максимум на 3 дня. Между группой беременных и контрольной группой не было статистически значимых различий в риске рецидивов и выживаемости.
Неоадъювантная химиотерапия рака шейки матки во время беременности
Больным на поздних стадиях заболевания (стадия Ib2 по FIGO или выше) необходимо немедленно проводить терапию. В 1998 г. сообщалось о 2 женщинах с раком Ib2 и Па стадий, которые отказались прерывать беременность. Им была проведена неоадъювантная XT (винкристин 1 мг/м2 и цисплатин 50 мг/м2) в начале II и в III триместрах. У обеих отмечалась значительная регрессия опухоли.
Ребенок родился здоровым, а у матери наблюдалась регрессия опухоли. К сожалению, через 13 мес. после родов у женщины развился рецидив и она умерла. Неоадъювантная терапия рака шейки матки (РШМ) до сих пор остается экспериментальным подходом и применяется у женщин на поздних стадиях заболевания, отказывающихся прерывать беременность.
Конизация шейки матки

Конизация шейки матки относится к методикам хирургического вмешательства, которые помогают женщине в лечении репродуктивной системы.
Процедура проводится только в условиях стационара. Но вот степень хирургического вмешательства, а также конкретная методика зависит от текущего состояния женщины и степени патологического изменения.
Обычно операция является логическим решением при обнаруженной дисплазии на разных ступенях течения заболевания, а также при эрозии слизистой поверхности оболочки. Даже при подозрении на онкологическое новообразование иногда назначают подобную манипуляцию.
Несмотря на то, что польза от вмешательства является очевидной, существует довольно большой риск некоторых осложнений в виде неприятных ощущений. Также операция имеет ряд противопоказаний, которые по большей части затрагивают инфицирование венерическими недугами. Но некоторые из запретов относятся к категории относительных, что означает возможность их обхода при успешном лечении источника противопоказания.
Речь идет о предварительной терапии с индивидуально подобранными врачом препаратами, которые обязательно включают антибиотики. Только после этого получится успешно завершить задуманное.
Особенности конизации
Многих потенциальных пациенток интересует вопрос того, насколько эффективным оказывается подход. Они ищут тех, кому уже была сделана конизация. Почитать различные отзывы можно в тематических сообществах. Поможет в этом и соответствующий форум.
Но медики рекомендуют лучше прислушиваться к опытному лечащему врачу, чем к советам в интернете. При необходимости эффективнее будет обратиться за подтверждающей консультацией не в государственную женскую консультацию, а записаться на прием в частную клинику к гинекологу с безупречной репутацией.
Обычно цена осмотра там выше, чем в обычной поликлинике, но многие девушки готовы к таким препятствиям, решая довериться врачу с многолетним опытом. Для справки стоимость можно уточнить в разных городских клиниках, чтобы выбрать оптимальный вариант.
Она будет колебаться от того, каким конкретно способом будет производиться конизация. Также не все клиники могут похвастаться наличием у себя специальной лаборатории, которая устанавливает отсутствие онкологических клеток на предварительной стадии подготовки. Вполне вероятно, что у женщины на анализе рака всплывет положительный результат, что поведет за собой надобность делать биопсию со всеми вытекающими последствиями. Тогда лечение полностью сменит свой курс.

Если вдруг в процессе обследования выяснится, что у больной имеется рак шейки матки, то ей делают радикальное удаление органа целиком. Подобный подход направлен на то, чтобы полностью заблокировать распространение поражения с метастазами по окружающим органам и тканям.
Но обычно методы подготовки лишь подтверждают наличие классической дисплазии. Это означает, что у пострадавшей преобладают атипичные клетки в эпителиальном слое. Чтобы защитить внутренние органы от обширного поражения, продуктивнее будет на начальной фазе удалить поврежденный участок. Сам орган остается на месте, продолжая исполнять возложенные на него прямые обязанности. Если иссечено было вообще немного, то тогда женщина вполне спокойно в будущем перенесет беременность. Даже роды могут быть естественными, ведь не всегда удаляется значительная пораженная зона.
Не мешает этому даже тот факт, что в качестве профилактики при дисплазии возникает необходимость попутно иссечь около пяти миллиметров здоровой плоти. Подобная перестраховка хотя увеличивает размер раневой поверхности, но зато нивелирует риски возможного рецидива.
Стандартная классификация
Изначально процедура выполнялась только одним способом – с привлечением скальпеля. Но с течением времени специалисты смогли усовершенствовать классические варианты, чтобы исключить риски повышенной травматичности, а также уменьшить послеоперационный период.
Современная классификация конизации охватывает несколько вариаций:
- ножевая;
- лазерная;
- петлевая;
- радиоволновая.

Несмотря на существенные отличия в том, какие конкретно инструменты задействуются, то, как проходит манипуляция, практически остается неизменным.
Традиционной процедурой числится ножевая версия, которая предусматривает применение скальпеля. Недостатком такого подхода является высокая травмоопасность, а также болезненность по завершении вмешательства. Из-за этого нынешняя гинекология предпочитает обходить использования ножа для исправления патологии стороной.
Без обезболивания тут не обойтись, причем большинство экспертов настаивают на том, что тут будет актуален лишь общий наркоз, который дополнительно негативно сказывается на функциональности сердечно-сосудистой системы.
Среднестатистический срок для восстановления при использовании скальпеля оказывается довольно длительным, дополняясь значительными осложнениями. Среди них выделяют обильное кровотечение, высокие риски инфицирования, образование рубца, мешающего в будущем естественным родам.
Лазерная альтернатива является более щадящим способом инновационного характера. За счет высокоточной технологии получается достичь аккуратного удаления измененных эпителиальных слоев. Эффективность объясняется возможностью менять глубину воздействия и диаметр иссекаемой области.
Особенного внимания заслуживает цервикальный канал, который должен обрабатываться максимально точно, чтобы снизить риск возможных послеоперационных осложнений. Незначительные кровянистые выделения в первое время после завершения процедуры – вполне привычное явление. Также нормой сразу же после операции с привлечением лазера считаются:
- ощущение дискомфорта;
- боли тянущего характера.
После того как заживление успешно завершилось, функциональности маточной шейки сохраняется, что повышает возможности вынашивания плода приблизительно в несколько раз. Единственным относительным недостатком можно назвать высокую стоимость.
Немного реже предпочтение отдается петлевой методике, которая базируется на специальной электродной петле. Через нее проходит переменный ток, позволяющий в считанные секунды избавиться от кисты, полипа, а также помочь в конизации при подозрениях на наличие атипичных клеток.
Заживление при петлевой мере наступает достаточно скоро, так как женщина практически не страдает от болевых проявлений и кровотечений, которые усугубляют процесс восстановления здоровья. Биологический материал, который был захвачен петлей для дальнейшего лабораторного испытания, почти целиком остается невредимым.

Но в последние годы особенным спросом стала пользоваться радиоволновая альтернатива, так как ее нарекли наиболее травмирующей. За основу тут берется простая коагуляция зараженной ткани посредством влияния на проблемный участок высокочастотных волн.
За счет того, что мягкие ткани теряют больший процент чувствительности из-за отмирания нервных окончаний, пациентка не будет испытывать никакой болезненности. Но главное преимущество подхода предусматривает сохранение детородной функции на изначальном уровне. Последствия практически полностью отсутствуют.
День операции назначается на дату, когда месячные уже закончились. Это помогает перестраховаться гинекологу, пролонгируя период восстановления раневой поверхности. Также назначение на следующий день после менструации нивелирует риски незапланированной беременности.
Меры для скорейшего возвращения к нормальной жизни
Разобравшись с тем, как выглядит классификационные особенности конизации, и, выбрав для себя оптимальный вариант, женщины начинают готовиться к восстановлению. Если имело место быть радиоволновое лечение или электрокоагуляция, то девушку отправляют домой в тот же день. Достаточно просто первые несколько часов провести под наблюдением медицинского персонала. Касается это даже тех ситуаций, когда предусмотрена гистология.
Но если у пострадавшей прослеживаются головокружение, сильный болевой синдром, то тогда с выпиской стоит повременить. Но при приверженности инновационным подходам всех негативных побочных эффектов получается избежать, ведь при коагуляции даже кровит на порядок меньше.
Если же все прошло отлично, то тогда останется только посещать профилактические осмотры. Они позволяют определить, появился ли струп или другие возможные побочные явления, которые в будущем могут отрицательно повлиять на способность к зачатию.
Специалисты отмечают, что точного периода, отведенного на окончательное восстановление, озвучить никто не сможет. Объясняется это тем, что у каждой пациентки организм индивидуальный. По той же причине женщине не смогут выдать обычный больничный лист, ведь считается, что кроме временных неудобств она не должна ничего больше испытывать.
Стоит приготовиться к тому, что иногда заживление длится более месяца. Это вызвано плохими иммунными силами, а также тяжесть запущенности изначального состояния, например, если была диагностирована 3 степень дисплазии.

Проще всего с нагрузкой приходится молодым потерпевшим, так как их клеточная регенерация происходит на порядок быстрее, нежели у женщин в возрасте. Но даже тут возможны исключения в виде сопутствующих болезней, воспалительных процессов. Придется смириться с тяжестью внизу живота, болевыми ощущениями, дискомфортом в промежности.
Чтобы ускорить процесс, достаточно просто придерживаться около месяца простых рекомендаций:
- отказаться от горячей ванны, бани или парилки;
- отказаться от купания в открытых водоемах, бассейне;
- следовать правилам личной гигиены;
- прекратить употреблять алкогольные напитки и курить;
- по согласованию с врачом прекратить прием лекарств, направленных на разжижение крови;
- пользоваться прокладками вместо тампонов;
- отложить использование тампонов;
- не применять вагинальные свечи;
- не делать спринцевание;
- ограничить физические нагрузки;
- отказаться от поднятия тяжестей.
Также под запрет попал секс в первые два месяца после процедуры, что нужно для успешного заживления мягких тканей без рисков образования глубинных рубцов.
Дополнительными помощниками становятся медикаменты, которые назначаются на весь курс послеоперационного лечения. Это могут быть фармакологические средства антибактериального и общеукрепляющего действия. Дозировку, а также инструкцию по приему должен прописать сам врач на основании результатов промежуточных анализов.
Заключительным этапом контрольной проверки становится кольпоскопия и цитология приблизительно через четыре месяца после проведенной процедуры.
Когда нужно идти к врачу
Не всегда даже инновационные методики позволяют провести хирургическое вмешательство абсолютно успешно. Некоторых женщин могут преследовать длительные восстановительные программы. Они свойственны тем, кто в первые дни после конизации шейки матки столкнулся с рядом характерной симптоматики.

Основной список отклонений охватывает:
- кровянистые выделения, которые отходят обильно и не прекращаются длительное время;
- инфицирование органов, относящихся к мочеполовой системе;
- сужение наружного зева цервикального канала;
- рубцевание на стенке шеечного отдела;
- угроза преждевременных родов.
При обнаружении у себя подобных тревожных звоночков, следует немедленно обратиться за квалифицированной помощью. Особенно важно вовремя записаться на прием, если сильная боль не проходит целую неделю, а уровень кровотечений не спадает.
Дополнительно пострадавшую может преследовать значительно повышение температуры тела с последующей потерей аппетита. Также пациентки жалуются на слабость с головокружением, что невозможно объяснить другими заболеваниями.
Первоисточниками перечисленных проблем могут оказаться множество факторов, включая непрофессионально проведенное вмешательство, хирургические ошибки, либо вина самой больной. Далеко не все девушки в силу разных причин готовы придерживаться всех медицинских рекомендаций указанные сроки.
Еще одной трудностью оказывается тот факт, что после конизации шейка значительно укорачивается, изменяя свое первоначальное анатомическое строение. Из-за этого рушится барьерная функция репродуктивного органа, что в буквальном смысле «открывает ворота» для проникновения вирусов, болезнетворных микроорганизмов во внутреннюю среду.
Чем шире операционное поле, тем больше шансы возможного воспаления. Обычно при самых серьезных раскладах хирург принимает решение о повторной операции, чтобы устранить уже источник патологического процесса вместе со всеми вытекающими.
Когда кровотечения нормальны
Любая манипуляция, тесно связанная и рассечение мягкой ткани и последующим нарушением целостности мелких капилляров всегда сопровождается кровотечениями, так что это нормально. Но не тогда, когда предельно допустимая норма поступающей крови превышает среднее значение для таких ситуаций. Если подобное все же случилось, то без гемостатической терапии тут не обойтись.
Следует приготовиться к тому, что выступающая кровь все равно будет преследовать пациентку, даже если все прошло отлично. При хорошем исходе женщина просто столкнется с умеренными выделениями, которые особых неудобств не доставят. Даже кровотечение в течение последующих двадцати дней все еще не вываливается за рамки клинической здоровой картины.
Но вот обильные кровотечения, которые позже сходят на мажущие пятна – это уже предвестник воспалительного процесса. О том же расскажет грязно-коричневый цвет поступающей из влагалища жидкости, неприятный запах. Все это сигнализирует об активной стадии инфицирования тканей половой системы.
Некоторых барышень пугает тот факт, что после вмешательства у них почти полностью сбивается ранее налаженный годами менструальный цикл. Это вполне адекватная реакция организма. Причем допускается, что в первые несколько раз менструация будет идти сильнее, нежели обычно. Потом все снова вернется к исходной позиции.
Самым серьезным следствием неправильно проведенной процедуры является стеноз стенок цервикального канала. Он наступает приблизительно в 2% случаев, полностью блокируя способность женщины стать матерью. Из-за такого, пусть и относительно мизерного шанса, операции не проводятся девушкам, которые собираются стать мамами, не имея детей.
Еще одним важным пунктом мониторинга состояния после выписки должны стать выделения, являющиеся часть показателя стабильного заживления. Не надо пугаться даже того, что приблизительно через неделю после даты манипуляции количество выделений резко увеличится. Это природное явления связано тем, что струп с точки иссечения уже готов выйти.
Особенно часто это происходит, если пациентка отдала предпочтение радиоволновой технологии. Именно струп все это время защищал открытую раневую поверхность от возможного попадания вредоносных микробов.
После отхода струпа выделения все еще будут оставаться, но уже в незначительных количествах. В некоторые дни они не станут беспокоить пострадавшую, а давать о себе знать периодически еще на протяжении полутора-двух месяцев. Установленная длительность находится в границах отсутствия патологии, ведь клеточному слою приходится активно восстанавливаться.
Что такое конизация шейки матки?
Конизация шейки матки – один из основных методов лечения дисплазии, хирургическое вмешательство проводят для предотвращения перерождения здоровых тканей эпителия в раковые опухоли. Операция требует специальной предварительной подготовки. Чтобы избежать осложнений, во время восстановительного периода необходимо чётко следовать рекомендациям врача.

Показания к операции
Конизация – процедура по удалению конусообразного участка шейки матки и цервикального канала, один из методов терапии предраковых патологий. Как выглядят ткани с атипичными клетками можно увидеть на фото.

Когда требуется хирургическое вмешательство:
Конизацию проводят для удаления рубцов на шейки матки после разрывов, травм, операция необходима, если после лечения методом криодеструкции и электрокоагуляции наблюдаются рецидив дисплазии.

Важно! Основная цель конизации – удаление участков, в которых уже наблюдается перерождение клеток, предотвращение развития рака шейки матки. После операции ткани отправляют на гистологию, после чего можно сделать выводы о полном излечении, или необходимости проведения более радикальной терапии.
Подготовка к операции конизации
Оперативное вмешательство проводят через 1–2 дня после полного завершения месячных выделений – в I фазе цикла повышается уровень эстрогенов, эти гормоны способствуют быстрому восстановлению и заживлению эпителия.
Перечень обязательных анализов:
За месяц до операции проводят полное гинекологическое обследование, кольпоскопию, берут мазок на цитологию и микрофлору, делают УЗИ органов малого таза. При выявлении признаков инфекционных, воспалительных заболеваний проводят противовоспалительную терапию.
Виды конизации шейки матки
При любой технике оперативного вмешательства вырезают область поражённой слизистой, при этом захватывают 5–7 см здоровой ткани. При экономной конизации (конусовидная биопсия) размер удаляемого участка 1–1,5 см, при высокой конизации – удаляют 65% и более длины цервикального канала.
Ножевая
Операцию проводят при помощи скальпеля под общим или эпидуральным наркозом, ещё 40 лет назад такой метод считался единственным способом удаления повреждённых участков шейки матки. Сейчас такой способ вмешательства используют редко из-за большого количества осложнений – сильные кровотечения, образование рубцов, перфорация тканей.
Основные показания – предраковые патологии, злокачественные опухоли на начальной стадии развития, дисплазия 3 степени. Цена – 4,5–5,5 тыс. руб.
Как проходит операция:
- Поражённые участки эпителия обрабатывают раствором йода, зоны с атипичными клетками приобретают белесый оттенок.
- Делают расширенную кольпоскопию.
- Шейку матки фиксируют щипцами.
- Скальпелем иссекают конусовидный участок.
- Края раны коагулируют, чтобы не предотвратить сильное кровотечение.
- Кровь удаляют стерильными ватными дисками.
- Продолжительность операции – 20–30 минут.
После ножевого метода на шейке матки остаются рубцы, которые препятствуют зачатию и нормальному вынашиванию ребёнка, поэтому операцию проводят уже рожавшим женщинам.
Но именно ножевая конизация позволяет получить качественный биологический материал для дальнейшего изучения.
Радиоволновая конизация
Радиоэксцизию проводят при помощи аппарата Сургитрон или Фотек, который воздействуют на поражённые ткани радиоволновым ножом высокой частоты, для операции применяют общий или региональный наркоз. Цена – 10–15 тыс. руб.
- Зону воздействия обрабатывают гелем с анестезирующим действием.
- Поражённую область эпителия выделяют раствором йода.
- Во влагалище вводят зеркала, шейку матки фиксируют, из цервикального канала удаляют слизь.
- В цервикальный канал вводят конизатор, на приборе выбирают нужный режим.
- Радионожом делают круг, извлекают иссечённые ткани слизистой.
- Кровь удаляют, края раны коагулируют, ткани отправляют в лабораторию для дальнейшего изучения.
- Продолжительность операции – 15 минут.
Радиохирургический метод – эффективный и распространённый способ лечения дисплазии. Преимущества – минимальный риск кровотечений и повреждения здоровых тканей, восстановительный период минимальный, осложнения возникают редко.
Лазерная конизация
Иссечение повреждённых тканей проводят лазерным лучом под местной анестезией. Цена – 12–25 тыс. руб.
После обезболивания, обработки зоны воздействия йодным раствором, в полость матки вводят кольпоскоп с лазером. Под воздействием высоких температур повреждённые ткани быстро выпариваются, края раны спаивают и шлифуют. Продолжительность операции – 15 минут.
При лазерной конизации нельзя взять образец тканей для гистологии.
Петлевая электроконизация
В ходе вмешательства используют электрод с петлёй разной формы, операцию проводит при 2, 3 стадии дисплазии под местным наркозом. Стоимость операции – 11–20 тыс. руб.
Этапы диатермоконизации:
- Шейку матки обрабатывают раствором Люголя или йода.
- Проводят расширенную кольпоскопию, подбирают форму петли так, чтобы она охватывала всю поражённую область.
- Шейку матки фиксируют, под ягодицы пациентки кладут пассивный электрод.
- Петлю прокручивают, чтобы все ткани с патологическими изменениями остались внутри окружности, количество оборотов зависит от степени дисплазии, размера участка с атипичными клетками.
- Проводят коагуляцию раны.
- Продолжительность операции – 25 минут.
При таком методе конизации биологический материал удаётся получить практически в неизменном виде, что позволяет получить максимально точные результаты гистологии.
Послеоперационный период
После конизации пациентка в течение 2–3 часов находится под наблюдением врача, если осложнений не наблюдается, женщину отпускают домой. Средняя продолжительность восстановительного периода – 1–3 месяца, сроки зависят от индивидуальных особенностей организма, изначального размера конуса, состояния шейки матки, вида оперативного вмешательства.
При отсутствии осложнений процесс заживления шейки проходит без особых неприятных ощущений. Через 7–10 дней отходит струп, который закрывает рану после прижигания сосудов, начинается процесс восстановления эпителия.
В течение нескольких дней после операции наблюдаются незначительные тянущие боли в нижней части живота, влагалищные мажущие кровянистые выделения тёмно-коричневого цвета бывают не всегда, могут исчезнуть через неделю, или продолжаться до следующих месячных. Усилить интенсивность кровотечений способна активная половая жизнь после операции, физическое переутомление, приём Аспирина и других разжижающих кровь препаратов.
Что нельзя делать в течение 1–2 месяца после операции:
- заниматься сексом;
- поднимать тяжести более 3 кг;
- проводить спринцевание;
- пользоваться гигиеническими тампонами;
- посещать бассейн, баню, сауну;
- принимать ванну – мыться можно только под душем;
- необходимо избегать перегрева и переохлаждения.
Повторную цитологию проводят через 3–4 месяца после оперативного вмешательства, затем – каждые полгода на протяжении 3 лет. Если атипичные клетки не появятся, диагностируют полное выздоровление, профилактический осмотр у гинеколога можно проходить раз в год.
Первые месячные после конизации более обильные, нежели до операции, часто сбиваются сроки наступления менструации, цикл восстанавливается на 3 месяц после операции.
Беременность после конизации
Планировать беременность после конизации желательно через год после вмешательства, операция редко влияет на способность к зачатию, проблемы возникают при обширной резекции, рецидиве дисплазии.

Конизация негативно влияет на вынашивание беременности – после операции меняется структура шейки матки, она становится менее эластичной, укорачивается. У женщин часто наблюдается невынашивание беременности – шейка матки не выдерживает повышенных нагрузок, преждевременно раскрывается.
Естественные роды после конизации возможны, но на практике практически всегда родоразрешение происходит путём кесарева сечения, поскольку врачи опасаются неполного раскрытия матки.
Важно! Если идут выделения обильные, с неприятным запахом, в них присутствуют сгустки крови, боль внизу живота сильная и постоянная, наблюдается повышение температуры, зуд и жжение во влагалище – это признаки развития инфекционного процесса после операции, необходимо срочно обратиться к врачу.
Возможные последствия и осложнения
Негативные последствия после проведения конизации возникают примерно у 1–2% женщин. Возможные осложнения – кровотечения, развитие воспалительного процесса на фоне занесения инфекции, образование рубцов, эндометриоз, сбои менструального цикла.
Противопоказания к конизации шейки матки
Конизация позволяет избавиться от дисплазии, предотвратить развития тяжёлых патологий, но у операции есть ряд противопоказаний.
В каких случаях не удаляют конус шейки матки:
- наличие очагов воспаления в шейки матки, влагалище;
- острые инфекционные патологии;
- при невозможности чётко определить границы трансформации эпителия;
- участок поражённого эпителия обширный;
- сердечная, почечная, печёночная недостаточность, гипертония;
- сахарный диабет;
- плохая свёртываемость крови.
Отзывы
«У меня была запущенная эрозия и кисты на шейке матки, врач назначил электроконизацию, боялась жутко, но всё прошло замечательно. Сделали наркоз в вену, ничего не чувствовала, только неприятный запах жжёного мяса, вся процедура заняла не более 15 минут. После операции цикл не сбился, кровянистых выделений не было, обильная водянистая слизь беспокоила примерно 1,5 месяца».
«При диагнозе дисплазия 3 степени делала радиоволновую конизацию, меня беспокоила не сама операция, а возможность в дальнейшем забеременеть, нормально выносить и родить ребёнка. Врач сказал, что никаких проблем не будет, и правда, через 2 года я забеременела, родила сама крепкую и здоровую дочку».
«Делала лазерную конизацию 6 лет назад, врач тоже заверил, что проблем с беременностью не будет. В итоге 2 выкидыша, когда забеременела в третий раз, почти всё время лежала на сохранении, о естественных родах врач даже слышать не хотел, делали кесарева сечение. Сейчас всё в порядке, но пришлось помучаться».
Конизация позволит избежать развития рака шейки матки при наличии нарушений в структуре эпителия, операцию проводят разными методами – практически все они безопасны и имеют небольшое число противопоказаний. Период восстановления занимает до 3 месяцев, но неприятные ощущения исчезают в течение 1–1,5 недель.
Роды после конизации шейки матки: возможно ли это?

Серьезные патологии женской половой системы — дисплазия шейки матки, эктопион, грубые рубцовые образования, полипы цервикального канала и т.д. встречаются у многих женщин до родов. Все эти патологии требуют конизации шейки матки . Возможны ли роды после такой сложной процедуры?
Что такое процедура конизации и почему ее боятся женщины
Конизация предполагает удаление конического участка тканей шейки матки, пораженных патологией. Гинеколог буквально вырезает часть шейки, постепенно сужая радиус. Удаленная ткань используется в диагностических целях, для выявления атипичных (видоизмененных клеток), перерождающихся в рак.
Такая процедура травматична — участок шейки, где была удалена его часть, истончается, возможно образование рубца и других проблем. Именно поэтому, многие женщины стараются избегать конизации, подвергая себя гораздо большей опасности — заболеть раком.
Естественно, что принимая решение идти или нет на мини-операцию, каждая женщина задает себе вопрос – «Смогу ли я теперь иметь детей?». Сегодня вместе с гинекологами клиники Диана разберемся возможны ли беременность и роды после процедуры конизации шейки матки.
Возможна ли беременность после конизации шейки матки?
Убеждение о сложности зачатия ребенка после процедуры конизации основано на опыте прошлого века, когда процедура выполнялась обычным скальпелем. Действительно, травмированная область долго заживала, рубцы рассасывались годами.
Сегодня конизация проводится современными малотравматичными методами. Чаще всего в медицинской практике применяется радиоволновой и петлевой способы иссечения тканей, которые не оставляют рубцов и шрамов на поверхности шейки после процедуры. Это позволяет женщине без труда забеременеть естественным способом, без использования каких-либо специальных средств и медикаментов.
Навести на такие мысли женщину может также отсутствие менструации, которое может наблюдаться некоторое время после удаления, что связано со стрессом. На самом деле, удаление конусного участка тканей шейки не оказывает влияния на менструальный цикл и месячные через некоторое время восстанавливаются.
Проблемы с естественным зачатием могут возникнуть в тех случаях, когда конизацию необходимо проводить многократно. В этом случае образовывается обширный рубец, а значительная часть шейки матки удаляется вовсе. Загрубление ткани затрудняет нормальное прохождение сперматозоидов и наступление беременности. Однако даже многочисленные процедуры конизации не приводят к полному бесплодию женщины.
Многократная конизация необходима, если патология запущена до такой степени, что остановить процесс уже сложно. При этом конизация — единственная методика, позволяющая сохранить орган, поэтому ее делают до последнего, пока это возможно. Если после конизации шейки матки возможность забеременеть — реальность, после удаления матки женщина навсегда остается бесплодной.
Как проходит вынашивание: меры предосторожности
Если конизация была проведена неправильно или прошла неудачно, на поверхности слизистой оболочки шейки может образоваться шрам, который способен оказать влияние на вынашивание беременности. Такой рубец в процессе беременности может спровоцировать преждевременные схватки. Именно в связи с этим, беременные женщины, пережившие ранее процедуру конизации, на протяжении всего срока вынашивания малыша должны находиться под особенно тщательным контролем гинеколога.
Если в процессе осмотра врач заподозрит угрозу выкидыши, на шейку будет наложен удерживающий шов. Это позволит удержать плод и предотвратить выкидыш и преждевременные роды. Такой шов снимается непосредственно перед родам для обеспечения возможности нормальной родовой деятельности.
Возможны ли естественные роды после конизации шейки матки?
Существует убеждение, что шейка после конизации теряет свою природную эластичность. Обосновано это только в том случае, если процедура сопровождается образованием рубца на поверхности тканей. Такие ситуации могут вызвать затруднения в процессе естественных родов. В этом случае врач может рекомендовать женщине проведение кесарева сечения.
Образуется рубец, если пациентка проигнорировала предложение удалить патологию современной методикой и пошла «под скальпель». Также важно выдержать паузу после процедуры, дав органу зажить. После удаления патологических тканей радионожом не бывает ни рубцов, не кровотечения.
Где делают конизацию шейки матки современными методами?
В медицинском центре Диана в Санкт-Петербурге конизация шейки матки проводится самым современным и безопасным радиоволновым способом, что исключает даже минимальную вероятность осложнений и образования шрамов. Благодаря этому наши пациентки сохраняют способность иметь детей даже после многократного проведения процедуры конизации.
Читайте также:
- Перелом медиальной трети ключицы. Диагностика и лечение
- Морфология острой недостаточности коры надпочечников. Патологическая анатомия синдрома Ватерхайза — Фридрихсена
- Клиника и диагностика марсельской лихорадки. Лечение марсельской лихорадки
- Кровоснабжение гипертрофированных отделов сердца. Кровоснабжение сердца при врожденном пороке
- Диагностика коклюша. Принципы микробиологической диагностики коклюша. Выделение возбудителя коклюша. Идентификация возбудителя коклюша.

