Контуры дермоидных кист. Обызвествление дермоида и тератом
Добавил пользователь Владимир З. Обновлено: 02.11.2025
КИСТА яичника (от греч. kystis — пузырь) — это образование в виде полости с различным содержимым, растущее за счет растяжения стенок.
Киста яичника — это собирательное понятие, куда входят цистаденома, дермоидная киста (тератома), фиброма яичника и фунциональные кисты яичника.
КИСТОМА — это образование, растущее за счет пролиферации (размножения и роста) клеток капсулы. Кистома яичника является истинной опухолью.
Кистома яичника — это общий термин, куда входят папиллярная цистаденома, муцинозная цистаденома, серозная цистаденома и другие опухоли яичников разной степени злокачественности.
Цистаденома, тератома, дермоидная киста, фиброма являются угрожающим здоровью и жизни состоянием.
Кисты и кистомы яичника НЕОБХОДИМО своевременно лечить.
ВАЖНО начать двигаться в ПРАВИЛЬНОм направлении!
ВСЁ, что нужно знать о правильном направлении в лечении кист и кистом яичника, смотри ЗДЕСЬ:
ЗАПИСЬ ОНЛАЙН на УЗИ кисты яичника здесь.
ЗАПИСЬ по интернету на лечение кист и кистом яичника здесь.
Очень тронута радушием персонала, компетенцией специалистов! Долго искала помощь в различных клиниках, могу честно сказать, что по всему региону. Но только в Курортной клинике смогла ее найти!
Пусть вся доброта, которую дарите Вы людям в столь нелегком деле, вернется еще ни раз к Вам и Вашим семьям.
Хочется выразить огромную благодарность клинике, внимательному и добродушному персоналу и конечно же Олегу Юрьевичу, помимо его неоспоримого профессионализма, это очень чуткий, деликатный и замечательный человек, с 2009 года я наблюдаюсь исключительно у него и всегда довольна результатом и своим состоянием как физическим, так и психологическим. Такого подхода к пациенткам, как у Олега Юрьевича нет наверно нигде. Жаль что таких грамотных Врачей от Бога единицы. Бесконечное Вам спасибо и низкий поклон.
Доброкачественная киста яичника
- доброкачественная киста яичника РАЗДВИГАЕТ и сдавливает окружающие ткани;
Злокачественная киста яичника
Злокачественная киста иначе называется КИСТОМА яичника.
- кистома прорастает и РАЗРУШАЕТ окружающие ткани (инвазивный рост);
Серозная цистаденома яичника
СЕРОЗНАЯ ЦИСТАДЕНОМА — доброкачественная киста яичника. Жалоб не вызывает, пока не вырастет.
Размеры кисты на УЗИ составляют от 0,5 до 35 см в диаметре. Встречаются однокамерные и многокамерные серозные цистаденомы.
Серозная цистаденома яичника при размерах до 3 см в диаметре наступлению и вынашиванию беременности НЕ МЕШАЕТ.
РОСТ серозной (гладкостеночной) цистаденомы яичника в период беременности, как правило, отсутствует. Однако в каждом конкретном случае возможность роста серозной цистаденомы яичника при беременности непредсказуема.
Во время беременности в связи с увеличением размеров матки и выходом ее из малого таза после 12 недель беременности резко возрастает риск подкручивания или перекрута кисты (нередко — перекрута кисты и яичника).
ПЕРЕКРУТ кисты яичника требует экстренного оперативного лечения и может способствовать выкидышу/преждевременным родам. Таким образом,
Серозную цистаденому разумнее удалить лапароскопическим методом до наступления беременности.
Серозная цистаденома наиболее часто встречается в МЕНОПАУЗЕ. Серозная цистаденома в менопаузе жалоб не вызывает и чрезвычайно редко растет.
ЛЕЧЕНИЕ серозной цистаденомы яичника ОПЕРАТИВНОЕ. Консервативному лечению (медикаментозному «РАССАСЫВАНИЮ») серозная цистаденома яичника НЕ ПОДЛЕЖИТ.
Однако вопрос о необходимости и объеме оперативного лечения решается индивидуально с учетом возраста женщины, сопутствующих заболеваний, длительности существования, размера и скорости роста серозной цистаденомы, наличия жалоб и т.д.
Серозную цистаденому яичника небольших размеров (до 3.0 см в диаметре) при оперативном лечении стараются вылущить. Яичник, как правило, не удаляют.
Серозная цистаденома более 3.0 см в диаметре сдавливает и растягивает ткани яичника.
Ткани яичника вследствие сдавливания и растяжения в большинстве случаев преформируются («превращаются») в капсулу кисты, а фолликулы атрофируются либо преформируются в камеры серозной цистаденомы. В этом случае яичник полностью удаляют.
ПРОГНОЗ для здоровья и наступления беременности в дальнейшем благоприятный.
БЕРЕМЕННОСТЬ после оперативного лечения серозной цистаденомы яичника желательно планировать после окончания курса реабилитационного (восстановительного) лечения.
Полное ВОССТАНОВЛЕНИЕ в большинстве случаев наступает через 2 месяца после оперативного лечения.
ПРОФИЛАКТИКА образования серозной цистаденомы яичника не существует.
Папиллярная цистаденома яичника
ПАПИЛЛЯРНАЯ цистаденома — это киста яичника с высоким риском малигнизации (озлокачествления).
Папиллярная цистаденома жалоб не вызывает, пока не вырастет. Возможна в любом возрасте.
Папиллярная цистаденома яичника ХАРАКТЕРИЗУЕТСЯ пристеночными грануляциями (разрастаниями) разнообразной формы.
Встречаются однокамерные и многокамерные серозно-папиллярные цистаденомы.
Папиллярная цистаденома в 50% случаев малигнизируется (ПЕРЕРОЖДАЕТСЯ в рак), что обусловливает НЕОБХОДИМОСТЬ оперативного лечения во всех случаях выявленной папиллярной цистаденомы.
Папиллярная цистаденома яичника консервативному лечению не подлежит.
Папиллярную цистаденому яичника небольших размеров (до 3.0 см в диаметре) при оперативном лечении стараются вылущить. Яичник, как правило, не удаляют.
Папиллярная цистаденома более 3.0 см в диаметре сдавливает и растягивает ткани яичника.
Ткани яичника вследствие сдавливания и растяжения в большинстве случаев преформируются («превращаются») в капсулу кисты, а фолликулы атрофируются либо преформируются в камеры серозно-папиллярной цистаденомы. В этом случае яичник полностью удаляют.
ПРОГНОЗ и необходимость дальнейшего лечения зависят от гистологических (тканевых) изменений стенки кисты.
БЕРЕМЕННОСТЬ после оперативного лечения папиллярной цистаденомы яичника желательно планировать после окончания курса реабилитационного (восстановительного) лечения.
Полное ВОССТАНОВЛЕНИЕ при доброкачественном характере папиллярной цистаденомы по данным гистологического исследования в большинстве случаев наступает через 2 месяца после оперативного лечения.
ПРОФИЛАКТИКА формирования папиллярной цистаденомы яичника не существует.
Муцинозная цистаденома яичника
МУЦИНОЗНАЯ цистаденома содержит муцин — густую слизь.
Муцинозная цистаденома яичника характеризуется быстрым РОСТом и достигает больших размеров.
Существует риск перфорации (вероятность РАЗРЫВа) муцинозной цистаденомы с излитием муцина в полость малого таза.
При перфорации муцинозной цистаденомы происходит ОБСЕМЕНЕНИЕ клетками кисты органов малого таза и брюшной полости.
Муцинозная цистаденома ТРЕБУЕТ скорейшего оперативного ЛЕЧЕНИЯ во всех случаях выявленния.
При муцинозной цистаденоме яичника часто имеется АСЦИТ — свободная жидкость в малом тазу.
Муцинозная цистаденома яичника малигнизируется (ОЗЛОКАЧЕСТВЛЯЕТСЯ) в 5-17% случаев.
Муцинозную цистаденому яичника при оперативном лечении стараются вылущить. Яичник, как правило, не удаляют.
ПРОГНОЗ для здоровья и наступления беременности в дальнейшем благоприятный.
БЕРЕМЕННОСТЬ после оперативного лечения муцинозной цистаденомы яичника желательно планировать после окончания курса реабилитационного (восстановительного) лечения.
Полное ВОССТАНОВЛЕНИЕ при доброкачественном характере муцинозной цистаденомы яичника по данным гистологического исследования в большинстве случаев наступает через 2 месяца после оперативного лечения.
ПРОФИЛАКТИКА образования муцинозной цистаденомы яичника не существует.
Фиброма яичника
ФИБРОМА яичника — это доброкачественная опухоль яичника.
Фиброма яичника представлена очень плотной соединительной тканью (подобной сухожилию), имеет четкую округлую или овоидную (яйцеобразную) формы, РАЗМЕРЫ от 1,0 до 12 см в диаметре.
Фиброма яичника ВОЗНИКАЕТ преимущественно в пожилом возрасте, но встречается и у молодых женщин.
Фиброма яичника ЖАЛОБ при небольших размерах (до 3 см в диаметре) и сохраненной функции яичника НЕ ВЫЗЫВАЕТ.
Фиброма яичника наступлению и вынашиванию беременности НЕ ПРЕПЯТСТВУЕТ. И, как правило, является «случайной» ультразвуковой находкой.
«Случайной находкой» принято называть данные, полученные в ходе методически правильно выполненного исследования врачом-диагностом. При этом на возможное наличие «случайно» полученных данных не было указаний в виде жалоб либо результатов иных исследований.
Фибромы яичника малигнизируется (озлокачествляется) в 1% случаев.
ЛЕЧЕНИЕ фибромы яичника оперативное.
Фиброму яичника небольших размеров (до 3.0 см в диаметре) стараются вылущить. Яичник, как правило, не удаляют.
Фиброма яичника более 3.0 см в диаметре вызывает сдавливание и растяжение тканей яичника.
Ткани яичника вследствие сдавливания и растяжения в большинстве случаев преформируются («превращаются») в капсулу кисты, а фолликулы атрофируются. В этом случае яичник полностью удаляют.
БЕРЕМЕННОСТЬ после оперативного лечения фибромы яичника желательно планировать после окончания курса реабилитационного (восстановительного) лечения.
Полное ВОССТАНОВЛЕНИЕ в большинстве случаев наступает через 2 месяца после оперативного лечения.
Однако при отсутствии роста или очень медленном росте при полноценной функции яичников у молодых женщин и в преклимактерическом и климактерическом периодах возможно НАБЛЮДЕНИЕ с ультразвуковым контролем каждые 3 месяца.
Консервативному лечению (медикаментозному «рассасыванию») фиброма яичника не подлежит.
ПРОГНОЗ для здоровья и наступления беременности благоприятный.
Фиброма яичника в 40% случаев сопровождается клинической картиной полисерозита (выпотная жидкость накапливается в брюшной полости, плевре, сумке перикарда).
Сдавление органов жидкостью определяет тяжесть заболевания.
Опухоль яичника при этом может быть небольшой и выявляться только после эвакуации асцитической жидкости.
АСЦИТ (жидкость в малом тазу, брюшной полости) и ПЛЕВРИТ (воспаление легких) в сочетании с опухолью яичника в ряде случаев являются ПРИЗНАКом рака яичника.
ПРОФИЛАКТИКА образования фибромы яичника не существует.
ОГРАНИЧЕНИЙ и особенностей питания, половой близости и физической нагрузки при фиброме яичника НЕТ.
| 3D-фото фибромы яичника у девочки 13 лет. Фиброма яичника на фото указана стрелками | ![]() |
Дермоидная киста, тератома яичника
ДЕРМОИДНАЯ КИСТА имеет современное название — ТЕРАТОМА.
Дермоидная киста, тератома — это ДОБРОКАЧЕСТВЕННАЯ опухоль яичника.
Дермоидная киста, тератома образуется из эмбриональных остатков. Имеет плотную капсулу, на внутренней поверхности капсулы — дермоидный бугорок.
Тератома, дермоидная киста яичника СОДЕРЖИТ жир, кости, хрящи ушей, ВОЛОСЫ, хорошо развитые ЗУБЫ, редко — ткань щитовидной железы, элементы надпочечника, легкого, ПОЧКИ, зачатки глаз. В литературе описан случай выявления в тератоме полностью сформированного ГЛАЗа.
Зрелая тератома, дермоидная киста яичника может формироваться в любом возрасте, включая внутриутробный период, но чаще возникает с 14 до 27 лет.
Тератома, дермоидная киста, как правило, возникает в одном яичнике.
Дермоидная киста, тератома яичника может нагнаиваться. НАГНОЕНИЕ тератомы яичника сопровождается признаками воспалительного процесса: болью в соответствующей паховой области и внизу живота, повышением температуры тела более 37.3°С, слабостью.
Динамика (скорость) РОСТа зрелой тератомы (дермоидной кисты) яичника в каждом отдельном случае непредсказуема, но чаще — медленная.
Тератома, дермоидная киста яичника достигает определенного размера и может более не расти.
Дермоидная киста яичника, тератома может существовать годами не вызывая беспокойства.
Тератома, дермоидная киста яичника при размерах до 3 см в диаметре наступлению и вынашиванию беременности не мешает.
Во время беременности в связи с увеличением размеров матки и выходом ее из малого таза после 12 недель беременности резко возрастает РИСК подкручивания или ПЕРЕКРУТА кисты (в ряде случаев — перекрута кисты и яичника).
Перекрут кисты яичника требует экстренного оперативного лечения и может спровоцировать выкидыш/преждевременные роды. Таким образом,
Тератому, дермоидную кисту разумно удалить лапароскопическим методом до наступления беременности.
Дермоидная киста, тератома консервативному лечению и «РАССАСЫВАНИЮ» НЕ ПОДЛЕЖИТ.
Наличие клинических проявлений (симптомов) зависит от размеров опухоли.
ЛЕЧЕНИЕ дермоидной кисты, тератомы яичника оперативное при возникновении жалоб или осложнений (нагноения, некроза (отмирания) части кисты, перекрута, сдавления окружающих органов).
Дермоидную кисту, тератому яичника небольших размеров (до 3.0 см в диаметре) при оперативном лечении стараются вылущить. Яичник, как правило, резецируют (удаляют часть яичника), оставляя интактную (неповрежденную) ткань.
Дермоидная киста тератома более 3.0 см в диаметре сдавливает и растягивает ткани яичника.
Ткани яичника вследствие сдавливания и растяжения в большинстве случаев преформируются («превращаются») в капсулу кисты, а фолликулы атрофируются. В этом случае яичник полностью удаляют.
ПРОГНОЗ для здоровья и наступления беременности в дальнейшем благоприятный.
БЕРЕМЕННОСТЬ после оперативного лечения дермоидной кисты, тератомы яичника желательно планировать после окончания курса реабилитационного (восстановительного) лечения.
Полное ВОССТАНОВЛЕНИЕ в большинстве случаев наступает через 2 месяца после оперативного лечения.
ПРОФИЛАКТИКА образования тератомы, дермоидной кисты яичника не существует.
Симптомы кист и кистом яичника
Симптомы кист и кистом яичника являются не специфическими и возникают при любых объемных новообразованиях в малом тазу.
- Часто бессимптомное начало и течение. Первые жалобы женщин — УВЕЛИЧЕНИЕ живота, ощущение полноты и распирания внизу живота.
Контуры дермоидных кист. Обызвествление дермоида и тератом
Контуры дермоидных кист. Обызвествление дермоида и тератом
Обычно дермоидные кисты имеют четкий, правильно выпуклый контур. Однако нередко наблюдаются волнистые или бугристые очертания. Так, например, при многоосевом исследовании нам удалось у 3 больных выявить по контуру наличие выпячивания или втяжения, обусловливающих его волнистый и бугристый характер. У одной больной намечалась двуконтурность (симптом «кулис»), у другого больного — неровность контура. М. П. Домшлак наблюдал дермоидную кисту с полициклическими контурами. «Известную бугристость контура» при большой величине дермоидов отмечает и А. Е. Прозоров. Приведенные литературные данные и наши наблюдения показывают, что волнистый, бугристый или неровный контур тени дермоидных образований — явление нередкое. Об этом следует помнить при дифференциальной диагностике дермоидных кист со злокачественными опухолями средостения.
Как мы уже отмечали (Хирургия, 1956, 8), несравнимо более важным является признак линейной тени обызвествления капсулы дермоидной кисты. В литературе нам встретились единичные наблюдения обызвествления капсулы дермоидных образований (С. И. Волков, С. М. Демков, М. П. Домшлак, О. М. Руденко, Твайнинг). На возможность обнаружения этого признака указывают В. А. Фанарджян, Г. И. Хармандарьян и И. Г. Шлифер, Дезев и Дюмон, Хойер и Андрюс, Ленк. Перечисленные авторы считают наличие обызвествления капсулы очень редким и нехарактерным рентгенологическим признаком дермоидных образований.
При рентгенологическом исследовании полное (два наблюдения) или частичное (три наблюдения) обызвествление капсулы мы обнаружили у 5 из 12 больных. Приводим одно из таких наблюдений с полным обызвествлением капсулы дермоидной кисты.

Больной Л., 39 лет, поступил в клинику института 20/III 1953 г. с жалобами на периодические тупые боли в левой надсосковой области и одышку при ходьбе. Эти симптомы у больного появились несколько лет назад и мало беспокоили его. С диагнозом «опухоль средостения» больной был направлен к нам в институт.
Общее состояние хорошее. Температура нормальная. Со стороны внутренних органов каких-либо отклонений от нормы не отмечается. Кровь и моча без существенных изменений. При рентгенологическом исследовании слева в ретростернальном пространстве переднего средостения, непосредственно за грудиной (на уровне первого-третьего межреберья) опеределяется овальной формы однородное, интенсивное затемнение размером около 5X8 см. Контуры его четкие, на большем протяжении правильно выпуклые, в нижнем отделе слегка бугристые. В боковой проекции, а лучше — в правой косой по всему контуру затемнения выявляется очень интенсивная линейная тень обызвествления, и все образование напоминает куриное яйцо в скорлупе.
На рентгенокимограммах видны зубцы сосудистого типа с амплитудой в 2 мм, местами резко деформированные. В остальном — рентгенологическая картина нормальной грудной клетки.
Данные клиники и характерная рентгенологическая картина, особенно наличие обызвествления капсулы, дали нам основание диагностировать дермоидную кисту. Оперативное вмешательство (удаление кисты, Е. С. Лушников) подтвердило наш диагноз. Удаленная киста имела бугристую поверхность. Капсула ее была почти сплошь обызвествлена. Содержимое кисты — кашицеобразная кофейного цвета масса с большим количеством холестерина и неизмененных эритроцитов.
В данном случае имелись характерные рентгенологические признаки дермоидной кисты и среди них наиболее важным был признак обызвествления капсулы.
Информация на сайте подлежит консультации лечащим врачом и не заменяет очной консультации с ним.
См. подробнее в пользовательском соглашении.
Дермоидная киста
Дермоидная киста у детей – врожденное доброкачественное новообразование, возникающее, как правило, на голове, лице или шее. Опухоль (дермоид) имеет оболочку из соединительной ткани и наполнена клетками кожи, волосяными фолликулами и элементами сальных желез. Дермоидная киста встречается у девочек в 4 раза чаще, чем у мальчиков.
Дермоиды возникают вследствие нарушений внутриутробного развития плода. Точные причины возникновения патологии учеными до конца не изучены.
Диагностика
Дермоиды, как правило, развиваются медленно, не доставляя детям никаких беспокойств. Чаще всего выявляется на первом году жизни ребенка при визуальном осмотре.
- плотное новообразование округлой формы;
- безболезненное при пальпации;
- кожа в районе кисты без покраснений и изменений пигментации;
- отсутствует соединение с кожей
Для дифференциации диагноза хирург может назначить УЗИ новообразования, КТ места локализации кисты, рентгенографию области новообразования.
Ранняя диагностика и лечение дермоидов помогает предотвратить рост кисты, возможные воспаления, осложнения и перерождение ее в злокачественную опухоль.
Несмотря на то, что дермоидная киста относится к доброкачественным новообразованиям, существует 1-1,5% вероятности ее перерождения в онкологическое заболевание. Поэтому детям рекомендовано хирургическое удаление (кистэктомия) опухоли любых размеров. Консервативных методов лечения этой патологии в настоящий момент не существует.
Подготовка к операции
Удаление папилломы предусматривает проведение стандартной предоперационной подготовки, которая направлена на:
- оценку общего состояния здоровья;
- выявление возможных противопоказаний;
- предупреждение интра- и послеоперационных осложнений.
Маленький пациент осматривает анестезиолог для выбора оптимального метода обезболивания. Удаление папилломы детям проводиться с применением местных обезболивающих средств, под общим наркозом с использованием аппаратно-масочного наркоза. В каждом отдельном случае доза анестетика рассчитывается в зависимости от возраста и массы тела ребенка.
Операция
Специалисты нашего центра понимают, что любая операция, даже самая незначительная – это стресс для ребенка. Для уменьшения дискомфорта в период восстановления наши хирурги отдают предпочтение малоинвазивным вмешательствам. Это позволяет снизить риск повреждения нервных окончаний, сосудов и других структур во время манипуляции, позволяя существенно уменьшить болевые ощущения для ребенка.
Процедура занимает не более 40 минут. Удаление образования осуществляется в пределах здоровых тканей. После обработки операционного поля антисептиком и обезболивания врач делает разрез по длине образования, удаляет капсулу и ее содержимое. Ушивание раны проводится малотравматичными иглами с наложением косметических швов. Это предотвращает образование рубцов, что гарантирует хороший косметический эффект.
Реабилитационный период
«Хирургия одного дня» позволяет пациенту покинуть клинику уже через несколько часов после операции. Это время родители со своим ребенком пребывают в комфортной палате, рассчитанной на полноценный отдых.
Через день детки посещают манипуляционный кабинет для смены повязок. Хирурги оценивают качество заживления раны, при необходимости проводят коррекцию послеоперационного периода. После операции в течение недели следует воздержаться от интенсивных физических нагрузок. По заживлению раны производится снятие косметического шва. Контрольный осмотр проводится через 30 дней (ориентировочные сроки). Полное восстановление может занять до 1-2 месяцев.
Прогноз
Удаление дермоидной кисты – это радикальное лечение. Новообразование устраняется полностью, риск рецидива минимален.
Кисты и опухоли печени
В большинстве своем доброкачественные опухоли — клинически малосимптомные или бессимптомные новообразования печени, исходящие либо из эпителиальной ткани (гепатоцеллюлярная аденома и др.), либо из стромальных и сосудистых элементов.
Классификация доброкачественных опухолей печени
К доброкачественным опухолям печени относятся гемангиомы, лимфангиомы, фибромы, липомы и смешанные опухоли — гамартомы (тератомы). Логично отнести к доброкачественным новообразованиям печени также и непаразитарные кисты. Среди них выделяют истинные кисты (дермоидные, ретенционные цистаденомы) и поликистоз печени (более чем у половины больных он сочетается с кистозными изменениями других органов- почек, поджелудочной железы, яичников). Нередко наблюдаются также ложные кисты (травматические, воспалительные). Истинные кисты, как правило, одиночные; ложные могут быть как одиночными, так и множественными. Объем множественных кист обычно составляет несколько миллилитров, в то время как объем солитарных (истинных и ложных) кист может достигать 1000 мл и более.
Диагностика доброкачественных образований печени
Общими являются два важных признака: 1) отсутствие повышения концентраций альфа-фетопротеина, карциноэмбрионального антигена СА — 199 сыворотки крови; 2) отсутствие отчетливого повышения активности аспарагиновой и аланиновой аминотрансфераз (АсАТ и АлАТ), щелочной фосфатазы (ЩФ), гамма- глутамилтрансферазы (ГГТФ) и лактатдегидрогеназы (ЛДГ).
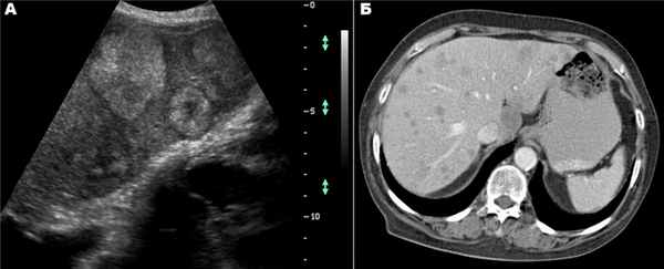
Эти признаки надежны только в случаях отсутствия хронических или острых диффузных заболеваний печени, которые сами по себе могут вызывать изменения вышеприведенных тестов. Существенную помощь оказывает использование УЗИ и КТ (или ЯМР) с болюсным контрастированием, обладающие высокой разрешающей способностью.

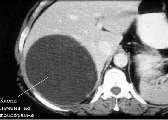
Киста печени
Чаще встречаются непаразитарные кисты. Учитывается возможность поликистозной болезни, а также солитарных и множественных истинных и ложных кист печени.
Большинство кист небольшие (диаметром 1-5 см), чаще встречаются у женщин. Значительная часть их имеет бессимптомное течение. У ряда больных отмечаются боли в правом подреберье, у одних — постоянные, у других — периодические. Существенную помощь оказывает использование УЗИ и КТ (или ЯМР), обладающие высокой разрешающей способностью. Необходимо учитывать возможность поликистоза печени.
Дифференциальная диагностика простых кист проводится также с паразитарными кистами печени (эхинококкоз). В пользу последних говорят положительные реакции с эхинококковым антигеном и Кацони, а также обнаружение в зоне опухолевидного образования обызвествлений, хотя и гемангиомы изредка могут обызвествляться.

Лечение кисты печени
Часть непарзитарных кист печени также подлежит оперативному лечению в связи с реальной возможностью их разрыва, инфицирования и кровоизлияния в просвет кисты. Кроме того, быстро растущие крупные кисты приводят к нарушению функций печени вследствие атрофии и замещения печеночной паренхимы кистозным образованием. Среди операций наиболее часто используют резекцию печени, перицистэктомию и вылущивание кисты.
В последние годы широкое распространение получили транспариетальные пункции кист под контролем УЗИ или КТ. После аспирации содержимого в просвет кисты вводят 96*раствор этилового спирта для склерозирования внутренней оболочки кисты. Эта операция эффектина приразмере кисты до 5 см. Если нет эффекта от данных способов лечения или киста имеет больший размер, показана операция — лапароскопическое иссечение участка кисты с последующей деэпителизацией внутренней оболочки кисты аргонусиленной плазмой или расфокусированным лучом лазера. Аналогичная тактика используется и при поликистозе печени. При осложненном поликистозе печени (нагноение, кровотечение, озлокачествление, сдавление крупными кистами желчных путей, воротной или полой вены) показано оперативное лечение. Обычно выполняют фенестрацию (вскрытие выступающих над поверхностью печени кист) с последующей деэпителизацией внутренней оболочки кисты.
Гепатоцеллюлярная аденома
Клинически это малосимптомная доброкачественная опухоль печени, имеющая признаки аденомы, развивающейся из гепатоцитов, нередко отграничена капсулой. Чаще поражает женщин, обычно в связи с длительным приемом эстрогенпрогестативных противозачаточных средств. Реже возникает при длительном приеме анаболических стероидов. Аденома развивается достаточно редко: у 3-4 человек на 100 000 длительно пользующихся контрацептивами.
Как правило (90%), она бывает одиночной. Обнаруживается чаще в правой доле, субкапсулярно. Если располагается в передненижних отделах, то пальпируется в виде гладкого неплотного образования. Более «агрессивным» течением отличаются аденомы, развившиеся на фоне приема анаболических стероидов. Изредка наблюдаются осложнения в виде интраперитонеальных кровотечений. Очень редко аденома перерождается в злокачественную опухоль.
Очаговая (фокальная) узелковая гиперплазия
Клинически это малосимптомная доброкачественная опухоль, не имеющая капсулы. Центральная часть опухоли предсталена рубцовой соединительной тканью, а периферическая — узелково трансформированной гепатоцеллюлярной тканью. Чаще расположена субкапсулярно. Нередко в опухоли наблюдаются очаги некроза и кровоизлияний. Как правило, развивается не в цирротически измененной печени, поэтому иногда именуется «фокальным циррозом». Обычно бывает одиночной. Это редкое доброкачественное новообразование печени, наблюдается преимущественно у женщин, принимающих пероральные противозачаточные средства.
Узелковая регенераторная гиперплазия
Эта опухоль напоминает очаговую узелковую гиперплазию печени, а иногда и сочетается с ней. В отличие от последней существенно меньше представлены элементы соединительной ткани. Может рассматриваться как предстадия гепатоцеллюлярной карциномы. Иногда при росте клеточных элементов этой опухоли происходит сдавление крупных желчных протоков или крупных ветвей воротной вены. Как правило, выявляется не в цирротически измененной печени. Иногда развивается на фоне злокачественных заболеваний внепеченочной локализации (миелопролиферативные процессы, саркомы и др.).
Все эти виды доброкачественных опухолей печени- малосимптомные заболевания, в большинстве случаев их обнаружение можно отнести к случайным находкам. Печень у большинства таких больных не увеличена.
Радионуклидная сцинтиграфия обычно выявляет очаговый процесс размером 3-5 см. Если опухоль расположена в краевых зонах печени, то могут выявлятся образования и меньших размеров.
Близкие к этим данным бывают получены при УЗИ и КТ, а также с помощью селективной ангиографии и ядерно-магнитного резонанса (ЯМР). Поэтому значительная часть опухолей небольших размеров просматривается. Уточнить характер этих трех видов опухолей позволяют лишь морфологические методы. Материал для этих исследований обычно получают при помощи пункционной биопсии иглами Шиба под контролем УЗИ или КТ.


Больные гепатоциллюлярной аденомой, очаговой (фокальной) узелковой гиперплазией и узелковой регенератоной гиперплазией печени в лекарственном лечении не нуждаются. Хирургическое лечение применяется нечасто. Показанием к нему являются либо сдавление желчных путей или кровеносных сосудов, либо появление болей. Операция проводится при развитии любого осложнения и быстром росте опухоли.
При впервые обнаруженной опухоли обследования проводятся 3-6-9-12 месяцев и далее 1 раз в год. Кроме обычного осмотра с определением размеров печени по Курлову, выполняются исследования содержания билирубина, активности аминотрансфераз, ЩФ, ГГТФ, альфа-фетопротеина, карциноэмбрионального антигена и антигена СА 19-9. Проводится также УЗИ печени.
Гемангиома
Клинически это малосимптомная доброкачественная опухоль, происходящая из сосудистых, главным образом венозных элементов печени. Она представлена двумя вариантами: кавернома, представляющая собой как бы расширенные кровеносные сосуды, и истинная гемангиома, развивающаяся из сосудистой эмбриональной ткани. Располагается чаще субкапсулярно, в правой доле, нередко обладает ножкой. Часто покрыта фиброзной капсулой, которая может кальцинироваться.

Спонтанные разрывы очень редки, но жизнеопасны. Четкие клинические проявления наблюдаются лишь в 5-10% опухолей. Как правило, в этих случаях диаметр опухоли превышает 5 см.
Во многих случаях обнаружение гемангиомы, как и других ДОП, относится к случайным находкам. При больших размерах и соответствующей локализации иногда появляются симптомы сдавления желчевыводящих путей или, реже, симптомы портальной гипертензии. Иногда больной обращается к врачу в связи с болями в верхней половине живота.
Важную информацию дают инструментальные исследования. Радионуклидная сцинтиграфия печени выполняется, как обычно, при подозрении на объемный процесс в печени в двух проекциях. Благодаря этому методу, как правило, можно обнаружить опухоль диаметром 4-5 см. При гемангиомах диаметром 4-5 см и более опухоль выявляется у 70-80% обследованных. УЗИ при наличии гемангиомы позволяет выявить гиперэхогенное, хорошо очерченное образование. Подобную же информацию представляет ЯМР. Нередко, особенно в менее массивной левой доле, отчетливо видна сосудистая ножка. Гемангиомы диаметром 3-5 см и более выявляются при УЗИ у 70-80% обследованных. Иногда отмечаются в гемангиомах участки обызвествления.
КТ позволяет получить данные, близкие к результатам УЗИ, хотя нередко приносит и существенную дополнительную диагностическую информацию. Эта дополнительная информация в первую очередь касается состояния окружающих ткаей и органов. Целиакография при распознавании гемангиом позволяет получить наиболее точные данные. Обычно хорошо видны гиперваскуляризованные участки с четкими границами, позволяющие обнаружить гемангиому диаметром 2-3 см и более у 80-85% обследованных.
Непрямая радионуклидная ангиография, выполняемая с помощью гамма-камеры, приносит близкие, но менее точные по сравнению с целиакографией, результаты. Существенную информацию приносит нередко ЯМР.
При постановке диагноза — гемангиома исключаются злокачественные опухоли печени. В последние годы объектом дифференциальной диагностики все чаще становится своеобразная очаговая жировая дистрофия печени, особенно в тех случаях, когда на фоне очаговой жировой дистрофии встречаются округлые участки интактной печени. Эти участки имеют разную с жировой дистрофией плотность, и эта разница достаточно четко регистрируется при УЗИ и КТ. Эти псевдоопухолевые образования обычно не видны при радионуклидной сцинтиграфии печени. Однако этот дифференциально-диагностический признак не очень надежен. Решающую роль в выявлении очаговых жировых дистрофий играет прицельная биопсия печени.
Лечение гемангиом печени. При гемангиомах небольших размеров без тенденции к росту в медикаментозном и хирургическом лечении пациенты, как правило, не нуждаются. При крупных опухолях, сдавливающих желчные ходы или сосуды, появляются показания к резекции соответствующих сегментов печени. Чаще это правило касается гемангиом диаметром более 5 см.
Лимфангиомы печени встречаются крайне редко, по клинической картине они трудноотличимы от гемангиом. Подозрение на лимфангиому возникает лишь при наличии внепеченочного расположения опухоли в средостении и на шее.
Крайне редко встречаются ф и б р о м ы, м и к с о м ы, л и п о м ы, н е в р и н о м ы печени, которым присущи черты доброкачественных опухолей: медленное развитие, четкие границы, нормальная СОЭ. Отсутствие маркеров опухолей и повышения активности таких ферментов сыворотки крови, как АсАТ, АлАТ, ЩФ, ГГТП, ЛДГ.
Лечебная тактика аналогична таковой при гемангиомах.
Методы вторичной профилактики и система наблюдения в основном такие же, как и при описанных выше доброкачественных опухолях
Гепатоцеллюлярная карцинома
Это злокачественная опухоль, развивающаяся из гепатоцитов. Относится к первичным карциномам печени. У 60-80% больных она связана с персистированием вирусов гепатита В и С, у 70-85% больных в развитых странах развивается на фоне цирроза печени.
В основном предложены морфологические классификации ГЦК. Наиболее распространено деление ГЦК на узловую, массивную и диффузную формы. Используется также система TNM.
Лечение гепатоцеллюлярной карциномы
Во всех случаях, когда это возможно, производится хирургическое лечение опухолей. Чаще резекция выполнима при опухолях левой доли. Отдаленные результаты хирургического лечения малоутешительны. В связи с этим контрольные обследования больных после резекций рекомендуется делать каждые 3 мес.
У сравнительно небольшой части больных осуществляется пересадка печени. Она выполняется у лиц моложе 60 лет, при отсутствии метастазов и тяжелых внепеченочных заболеваний. Отдаленные результаты неблагоприятные.
При невозможности хирургического лечения у части больных проводится химиотерапия.
Метастатическая карцинома печени (МКП)
Первичный очаг МКП расположен вне печени — в легком, желудке, толстой кишке и других органах. Относится к вторичным опухолям печени.
Частота метастазирования опухолей различной первичной локализации в печень различна.
Опухоли желчного пузыря метастазируют в печень в 75% случаев, поджелудочной железы — в 70%, толстой кишки, молочной железы, яичников, а также меланобластомы — в 50%, желудка и легких- в 40%. Однако сами первичные опухоли встречаются с различной частотой. Поэтому врач наблюдает наиболее часто метастазы в печени, исходящие из толстой кишки, желудка и легких, а у женщин — также из молочной железы и яичников.

Для подтверждения или исключения метастатического характера злокачественной опухоли печени проводится тщательное обследование ряда органов. При некоторых локализациях это имеет особенно важное значение.
В план обследования включают:
- исследование сыворотки крови (АПФ, карциноэмбриональный антиген, антиген СА — 199, кислая фосфотаза);
- рентгенографию грудной клетки;
- гастроскопию;
- колоноскопию или ректороманоскопию в сочетании с ирригоскопией;
- УЗИ поджелудочной железы, почек, яичников, предстательной железы;
- осмотр молочных желез и маммографию у женщин;
- консультация гинеколога и уролога.
Особое внимание уделяется возможности первичной локализации опухоли в толстой кишке, в предстательной железе (у мужчин) и в яичниках (у женщин), так как метастазы этих локализаций представляются у части больных относительно курабельными.
Государственная клиническая больница №29 им. Н.Э.Баумана – это современная многопрофильная высокотехнологичная больница с уникальной полуторавековой историей и традицией, оказывающая высококачественную медицинскую помощь в круглосуточном режиме.
Дермоид
кистозное образование, содержащее элементы эктодермы; относится к зрелым тератомам. Возникает при нарушениях эмбриогенеза обычно в местах слияния эмбриональных борозд и полостей, где образуются идущие вглубь складки эпидермиса. Встречается в различных частях тела: на коже головы, в переднем средостении, яичниках, в брюшной стенке, толще забрюшинной и тазовой клетчатки, реже в печени, почках, в костях черепа, головном мозге и его оболочках.
Д. обычно имеет округлую, не всегда правильную форму, гладкую или слегка бугристую поверхность, плотноэластическую или тестоватую консистенцию. Диаметр его от нескольких миллиметров до 15 см и более. Д. бывает однокамерным, заполнен салоподобной либо желеобразной сероватой или буроватой массой, содержащей чешуйки эпидермиса, волосы, кристаллы холестерина, аморфный жир, костные включения, зубы. Внутренняя поверхность покрыта эмидермисом с придатками кожи (рис. 1). Стенка состоит из плотной соединительной ткани с участками обызвествления, иногда содержит хрящевую или костную ткань.
Обычно Д. характеризуется медленным ростом, доброкачественным течением. Д. больших размеров может вызвать нарушение функции соседних органов, длительное давление Д. на кости может привести к их атрофии. Содержимое Д. может прорваться в соседние полости или на поверхность кожи, в ряде случаев возможно гнойное воспаление Д. В 5—8% случаев наблюдается малигнизация, при этом чаще развивается плоскоклеточный рак. Признаками малигнизации являются быстрый рост опухоли, прорастание ее в окружающие ткани, изъязвление, метастазирование.
В диагностике большое значение имеет рентгенологическое исследование (при расположении Д. в средостении наиболее полную информацию дает пневмомедиастинография в сочетании с томографией, Д. брюшной полости выявляют с помощью пневморетроперитонеума и пневмоперитонеума). Рентгенологическим признаком Д., локализующегося в области черепа, являются углубления и дефекты с гладкими четкими контурами в костях черепа, обусловленные давлением Д. на кость. Д. пресакрального пространства может вызвать краевой дефект передней стенки крестца и отклонение копчика кзади. Д. средостения (рис. 2) обычно представляется в виде однородной овоидной тени в верхнем или среднем его отделе; латеральные его контуры, выступающие в легочное поле, обычно гладкие или слегка волнистые; медиальные сливаются с тенью средостения или (при больших Д.) выступают слева от него; нередко отмечается обызвествление стенки Д., в его полости могут выявляться различные костные включения. В отличие от целомических и паразитарных кист конфигурация Д. не меняется при дыхании и натуживании. Отсутствует активная пульсация его стенки. Д. брюшной полости имеет вид объемного образования, специфические рентгенологические признаки отсутствуют. Для диагностики применяют также эхотомографию (см. Ультразвуковая диагностика); эффективным методом является компьютерная Томография.
Библиогр.: Клиническая онкология, под ред. Н.Н. Блохина и Б.Е. Петерсона, т. 2, с. 58, 353, М., 1971; Овнатанян К.Т. и Кравец В.М. Опухоли и кисты средостения (включая патологию вилочковой железы), Киев, 1971, библиогр.

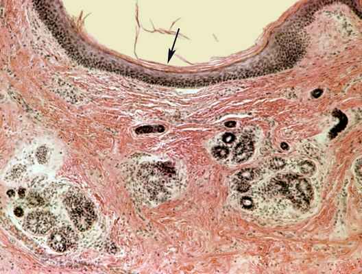
придатки кожи); окраска гематоксилином и эозином; ×80">
Рис. 1. Микропрепарат стенки дермоида: внутренняя поверхность кисты покрыта многослойным плоским ороговевающим эпителием (указан стрелкой), в толще стенки среди грубоволокнистых прослоек соединительной ткани расположены группы желез (придатки кожи); окраска гематоксилином и эозином; ×80.

Рентгенограмма грудной клетки больной с дермоидом средостения: правая косая проекция, стрелкой указан смещенный дермоидом к позвоночнику контрастированный пищевод">
Рис. 2б). Рентгенограмма грудной клетки больной с дермоидом средостения: правая косая проекция, стрелкой указан смещенный дермоидом к позвоночнику контрастированный пищевод.

II Дермо́ид (дермо- (Дерм-) + греч. -eidēs подобный; син.: киста дермоидная, тератома кистозная, тератома кожного типа)
киста, содержащая элементы эктодермы (роговые массы, волосы и т.п.); возникает при нарушениях эмбриогенеза.
1. Малая медицинская энциклопедия. — М.: Медицинская энциклопедия. 1991—96 гг. 2. Первая медицинская помощь. — М.: Большая Российская Энциклопедия. 1994 г. 3. Энциклопедический словарь медицинских терминов. — М.: Советская энциклопедия. — 1982—1984 гг .
Полезное
Смотреть что такое "Дермоид" в других словарях:
ДЕРМОИД — ДЕРМОИД, дермоидная киста, одно или многокамерное кистовидное опухолевидное образование, имеющее стенку, построенную сходно с кожей. Стенка Д. состоит из соответствующей cutis соединительнотканной основы с сосочковым слоем, в к рой расположены… … Большая медицинская энциклопедия
дермоид — сущ., кол во синонимов: 2 • опухоль (336) • тератома (4) Словарь синонимов ASIS. В.Н. Тришин. 2013 … Словарь синонимов
дермоид — (дермо + греч. eides подобный; син.: киста дермоидная, тератома кистозная, тератома кожного типа) киста, содержащая элементы эктодермы (роговые массы, волосы и т. п.); возникает при нарушениях эмбриогенеза … Большой медицинский словарь
Дермоид — (от греч. dérma кожа и éidos вид) дермоидная киста, порок развития мешковидная опухоль, стенка которой по строению напоминает кожу (содержит железы, главным образом сальные, волосы). Полость Д. выполнена густой, салоподобной массой.… … Большая советская энциклопедия
Дермоид — или дермоидная киста представляет собой закрытый кожистый мешок с кашицеобразным содержимым. Д. встречаются у человека в коже, точнее в тех местах, где кожа переходит в слизистую оболочку, например на веках и т. п.; далее, их находят изредка в… … Энциклопедический словарь Ф.А. Брокгауза и И.А. Ефрона
дермоид — дермоид, дермоиды, дермоида, дермоидов, дермоиду, дермоидам, дермоид, дермоиды, дермоидом, дермоидами, дермоиде, дермоидах (Источник: «Полная акцентуированная парадигма по А. А. Зализняку») … Формы слов
дермоид — дерм оид, а … Русский орфографический словарь
дермоид — дерм/оид/ … Морфемно-орфографический словарь
Киста Дермоидная (Dermoid Cyst), Дермоид (Dennoid) — киста, содержащая волосы, волосяные фолликулы и сальные железы; обычно развивается в местах соединения развивающихся участков тела эмбриона. Иногда появление дермоидной кисты бывает связано с травмой. Лечение: хирургическое удаление. Источник:… … Медицинские термины
секвестрационный дермоид — мед. Врожденное заболевание, образование кистозной полости из клеток кожи в проекции копчика и крестца. Она может нагноиться и внешне проявляется как инфильтрат или абсцесс. Врожденное эпителиальное погружение в крестцово копчиковой области… … Универсальный дополнительный практический толковый словарь И. Мостицкого
Читайте также:

