Лучевые признаки гиперчувствительного пневмонита
Добавил пользователь Евгений Кузнецов Обновлено: 27.01.2026
Лучевые признаки гиперчувствительного пневмонита
а) Терминология:
• Аллергическая воспалительная реакция легочной паренхимы и дыхательных путей на вдыхаемые органические антигены или гаптены
• Гистологически подразделяется на острый, подострый, и хронический: лучевая и патологическая картина должна соотноситься с клиническими проявлениями, однако статически значимых закономерностей не выявлено
• В современной классификации выделяют две группы с различными клиническими, лучевыми, и патологическими проявлениями:
о 1 группа: симптоматика возникает после воздействия провоцирующего агента и может рецидивировать
о 2 группа: симптомы хронического заболевания (пальцы в виде «барабанных палочек», гипоксемия, крепитация на вдохе)
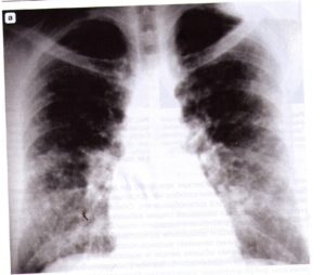
(Слева) На рентгенограмме органов грудной клетки в прямой проекции у мужчины 57 лет с гиперчувствительным пневмонитом 1-й группы («легкие любителя птиц») в обоих легких визуализируются диффузные плохо отграниченные неоднородные участки снижения пневматизации.
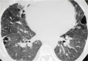
(Справа) На аксиальной КТ с КУ у этого же пациента визуализируются участки снижения пневматизации в виде «матового стекла» на фоне утолщения междольковых перегородок и участков низкой плотности («мозаичная» картина). «Матовое стекло»-неспецифический признакгипер-чувствительного пневмонита 1-й группы. Предположить этот диагноз помогает наличие других подозрительных признаков и симптомов. (Слева) На аксиальной КТВР у пациента с гиперчувствительным пневмонитом 1-го типа визуализируются центрилобулярные очаги с плотностью «матового стекла» с диффузным распределением. Видна также дольковая воздушная «ловушка». Центрилобулярные очаги «матового стекла» типичны для гиперчувствительного пневмонита 1 -й группы. Некоторые заболевания могут проявляться схожей картиной (например, респираторный бронхиолит).
(Справа) На микрофотографии с малым увеличением (окраска гематоксилин-эозином) образца тканей, полученных у пациента с гиперчувствительным пневмонитом 1-й группы, определяются воспалительные изменения и лимфоцитарная инфильтрация перибронхиального интерстиция.
б) Визуализация:
• КТВР/КТ:
о 1 группа: диффузное снижение пневматизации в виде «матового стекла», утолщение междольковых перегородок, плевральный выпот:
- Центрилобулярные очаги «матового стекла»
- Мозаичная картина, воздушные «ловушки»; симптом «головки сыра»
о 2 группа: перибронховаскулярые и/или субплевральные ретикулярные изменения ± «сотовое легкое»:
- Тонкостенные воздушные кисты (редко)
- Острые проявления: ретикулярные изменения или «сотовое легкое» + появление диффузных участков снижения пневматизации ± появление тракционных бронхо-/брон-хиолоэктазов
в) Дифференциальная диагностика:
• Острая интерстициальная пневмония
• Респираторный бронхиолит
• Идиопатический легочный фиброз
• Неспецифическая интерстициальная пневмония
г) Клинические особенности:
• 1 группа: рецидивирующая системная симптоматика (озноб, ли хорадка, потливость, миалгия)
• 2 группа: хроническая симптоматика (диспноэ, кашель), пальцы в виде «барабанных палочек», гипоксемия, инспираторные хрипы
• Лечение: устранение воздействия причинного агента; кортикостероиды
Гиперчувствительный пневмонит
Гиперчувствительный пневмонит, также известный как экзогенный аллергический альвеолит, представляет группу заболеваний представляющих иммунологически индуцированное воспаление легочной паренхимы легких вызываемое при вдыхании аллергенов. Аллергенами могут являтся как органические так и неорганические частицы, которые формируют гаптены, сенсетизирующие пациента.
Описано более 200 различных антигенов, вызывающих развитие гиперчувствиетльного пневмонита, включая микроорганизмы, белковые молекулы животного или растительного происхождения, определенные химические и органические соединения. Интересный факт, курение частично защищает от развития гиперчувствительного пневмонита, предположительно за счет ингибирующего действия никотина на макрофаги и лимфоциты.
Патология
Тригерные частицы как правило имеют размеры 1-5 микрометров. Гистопатологически процесс представляет собой хроническое воспаление бронхов и перибронхиальных тканей, часто с формированием слабоотграниченных гранулем и наличием гигантских клеток в интерстиции или альвеолах. Позднее формируется фиброз и развивается.
В большинстве случаев когда гиперчувствительный пневмонит развивается остро и внезапно, встречаются следующие гистологические признаки выраженность и сочетание которые вариабельна.
- бронхиолит: клетки характерные для хронического воспаления выстилают мелкие дыхательные пути, иногда приводя к извъязвлению эпителия
- диффузные хронические инфильтраты в интерстиции: представленные преимущественно лимфоцитами и плазмацитами, но иногда встречаются эозинофилы, нейтрофилы и тучные клетки
- слабоотграниченные неказеозные гранулемы в интерстиции: состоят из лимфоцитов, плазмоцитов, эпителиоидных гистиоцитов с или без гигантских многоядерных клеток
- гигантские многоядерные клетки в альвеолах или интерстиции
Подтипы
В зависимости от времени начала выделяют три широкие категории:
- острый гиперчувствительный пневмонит
- подострый гиперчувствительный пневмонит
- хронический гиперчувствительный пневмонит
В большинстве случаев гиперчувствительный пневмонит развивается спустя годы после ингаляции тригерного агента.
Диагностика
Рентгенография
В популяционном исследовани было доказано, что рентгенография обладает низкой чувствительностью для диагностики заболевания [1]. У большинства пациентов данные рентгенографии были без особенностей [3].
Компьютерная томография
Несколько признаков заболевания встречаются при компьютерной томографии не зависимо от стадии заболевания:
- гомогенное снижение воздушности по типу матового стекла: двустороннее и симметричное, но иногда пятнистое(patchy?) с концентрацией в средних отделах и основании легких или с бронховаскулярным распределением
- матовое стекло представлено хроническим воспалением интерстиция, но в иногда может отражать фиброз или организующую пневмонию
- многочисленные округлые центрилобулярные очаги диаметом
- снижение плотности и снижение васкуляризации отдельных вторичных долек: снижение плотности сохраняющееся при сканировании на выдохе указвает на воздушную ловушку, которая вызвана бронхоальвеолярным воспалением и обструкцей - все это может приводить к формированию мозаичного паттерна
- признак головки сыра: чередование неоднородных (patchy?) зон матового стекла, зон неизмененной легочной ткани, воздушных ловушек
К другим сопутствующим признакам относят:
- не выраженная лимфоаденопатия
- расширение легочной артерии
- центрилобулярная эмфизема
- при формировании фиброза может быть ретиклярный паттерн, в основном в средних отделах легких, или по всем отделам с относительным щажением верхушек и оснований
Дифференциальный диагноз
За счет разнообразоной картины дифференциальноый диагноз проводится не для гиперчувствительного пневмонита как такового, но для конкретного выраженного паттерна:
- дифференциально диагностический ряд для центрилобулярных узелков
- дифференциально диагностический ряд для снижения воздушности по типу матового стекла
Литература
Lynch DA, Rose CS, Way D, King TE. Hypersensitivity pneumonitis: sensitivity of high-resolution CT in a population-based study. (1992) AJR. American journal of roentgenology. 159 (3): 469-72. doi:10.2214/ajr.159.3.1503007 - Pubmed
Buschman DL, Gamsu G, Waldron JA, Klein JS, King TE. Chronic hypersensitivity pneumonitis: use of CT in diagnosis. (1992) AJR. American journal of roentgenology. 159 (5): 957-60. doi:10.2214/ajr.159.5.1414806 - Pubmed
Hirschmann JV, Pipavath SN, Godwin JD. Hypersensitivity pneumonitis: a historical, clinical, and radiologic review. (2009) Radiographics : a review publication of the Radiological Society of North America, Inc. 29 (7): 1921-38. doi:10.1148/rg.297095707 - Pubmed
Пневмонит аллергический (гиперчувствительный): симптомы, рентген признаки

Пневмонит – это воспалительный процесс неинфекционного, аллергического или идиопатического характера, поражающий интерстициальную ткань легкого, экстраальвеолярную соединительную ткань при отсутствии альвеолярной экссудации. Цифровая рентгенограмма: идиопатический фиброзирующий альвеолит (Хаммена-Ричи) Некоторые авторы сравнивают нозологию с альвеолитом, при котором возникает воспаление в альвеолах, но не всегда поражение альвеолярных ацинусов переходит на паренхиму легких. Изменения происходят на морфологическом уровне, что не влияет на симптомы, тактику лечения. Из-за сложностей с верификацией этих нозологических форм отечественные медики не рекомендуют пытаться искать отличия между пневмонитом и альвеолитом, а скорее считать их синонимами. Большинство интерстициальных пневмонитов имеют неизвестную причину, хотя при аллергических (гиперчувствительных), идиопатических воспалительных процессах в интерстиции клинические, функциональные и рентгенологические признаки сходны. Единственным отличием идиопатического фиброзирующего альвеолита является разрастание фиброзной ткани на месте воспаления с последующими необратимыми изменениями легких. Нозология часто встречается у пациентов старше 50 лет. Рассмотрим подробности все патологических форм.
Аллергический пневмонит: причины, симптомы, рентген признаки

Аллергический пневмонит – заболевание с поражением альвеолярной ткани по причине образования антител на аллергены, попадающие в легкие – пыль, химические вещества, микробные антигены. При аллергическом пневмонике поражаются легочные альвеолы без выраженного инфильтрата, поэтому рентген снимок на начальных этапах не показывает существенных изменений. Точнее, мелкие воспалительные инфильтраты находятся за пределы разрешающей способности рентгенографии. Компьютерная томография позволяет верифицировать очаги, так как видит затемнения, просветления более 1 мм диаметром. Интерстициальный альвеолит на компьютерной томограмме Диагностировать аллергический пневмонит позволяет клиническая картина при остром течении болезни. Симптомы появляются через 4-8 часов после контакта с аллергеном: • Одышка; • Кашель; • Повышение температуры. Редкие симптомы – это потеря аппетита, рвота, тошнота. Признаки исчезают через несколько часов, если отсутствует повторная встреча с аллергическим фактором. На полное выздоровление следует рассчитывать через несколько недель при отсутствии действия причинного фактора. Контакт с аллергеном возможен на протяжении длительного времени, но при постоянном действии аллергена болезнь постепенно переходит в хроническую фазу. На протяжении нескольких месяцев или лет при физической нагрузке появляется кашель с мокротой, быстрая утомляемость, которая приводит к большой потере веса. Последствие состояния – выраженная дыхательная недостаточность. Самой частой причиной аллергического пневмонита является органическая пыль, содержащая многочисленные микроорганизмы, белки, химические соединения. Медики называют болезнь «легкие фермера». Работники данной профессии постоянно контактируют с бактериями, пылевыми частицами, химическими веществами. Основные формы аллергического альвеолита: 1. Пневмонит при длительной работе с кондиционерами; 2. Болезнь птицеводов – у работников птицефабрик; 3. Багассоз – нозология у фермеров, работающих с тростником; 4. Болезнь работников грибного производства; 5. Заболевания обработчиков солода; 6. Пневмонит мойщиков сыра (вдыхание плесени); 7. Альвеолит работников химических предприятий. Дифференцировать вышеописанные формы можно только морфологическим способом после биопсии тканей. Микроскопическое исследование не всегда позволяет разграничить патологию. Рентген снимок при выраженном воспалении альвеол показывает только инфильтрат, но не определяет причину состояния. При рентгенографии выявить аллергический интерстициальный пневмонит сложно, так как размеры экссудата небольшие. Если после первичного контакта с аллергеном, не возникает повторного попадания провоцирующего фактора в легочные альвеолы, симптомы пневмонита проходят самостоятельно без определенных последствий для здоровья. При попадании аллергена снова, возникает острая клиническая картина. На рентгенограмме прослеживается картина пневмонии. Исчезает инфильтрации не после приема антибиотиков, а после лечения кортикостероидами. Преднизолон, гидрокортизон – это сильнодействующие лекарственные препараты, устраняющие реакции гиперчувствительности. На фоне рецидивов возникают необратимые состояния с разрастанием фиброзной ткани. Дыхательная недостаточность устраняется кислородотерапией. Работники фермерских хозяйств, сотрудники химических предприятий способны избавиться от патологии только после отказа от привычной профессиональной деятельности. Чтобы предотвратить аллергический пневмонит, человеку следует избегать следующие провоцирующие факторы: • Бактериальные факторы – грибы, актиномицеты, продукты жизнедеятельности бактерий (липопротеиды, эндотоксины, протеины, полисахариды); • Биологические животные субстанции (шерсть, сывороточные белки); • Растительные компоненты (солома, опилки, экстракты кофейного зерна); • Низкомолекулярные вещества (соли тяжелых металлов, ангидрид); • Лекарственные препараты (нитрофураны, антибиотики, гормоны, ферменты). Для здоровья опасен, как первичный, так и повторный контакт с этими аллергенами.
Гиперчувствительный пневмонит – рентген признаки

Гиперчувствительный альвеолит – это заболевание, возникающее у хлопкоробов, тростниководов, зерноводов, табаководов, скорняков, сыроделов, производителей пеньки, сотрудников овощехранилищ и другими соединениями, способными вызывать реакции гиперчувствительности. Специфическим проявлением заболевания на рентгеновском снимке является появление инфильтративных теней, которые возникают короткое время. При патологии появляются специфические лабораторные изменения – увеличение эозинофилов или базофилов крови. Случаи экзогенного аллергического альвеолита появляются под действием металлов (цинк, медь, мышьяк, золото, кобальт). Растительные инсектициды также вызывают аллергические альвеолиты. При выявлении на рентгенограмме инфильтрации в проекции сегмента, доли или целого легкого, увеличении эозинофиллов в общем анализе крови следует предполагать аллергическую (гиперчувствительную) форму. Подтверждением результата является быстрое исчезновение рентген признаков пневмонии самостоятельно после ликвидации аллергена или лечении стероидными противовоспалительными препаратами (преднизолон, гидрокортизон). При морфологическом обследовании легких у работников фермерских хозяйств обнаруживается специфическая картина острого или хронического альвеолита. При иммуноферментном анализе крови выявляются преципитирующие антитела к экстрактам сена. Аллергические реакции 3,4 типа выявляются при экзогенном аллергическом пневмоните. Ведущая роль в патогенезе патологии принадлежит целым иммунным комплексам, вызывающим многочисленные изменения организма с участием клеток системы комплемента, альвеолярных макрофагов. Данные клетки выделяют хемотоксины, интерлейкин-2, активные кислородные радикалы, которые способствуют образованию коллагена, росту фибробластов. Результатом патологии является альвеолобронхиолит, при котором формируются гранулемы, последовательно развивается фиброзное преобразование легочной ткани с поражением интерстиция. Фото рентген снимка при аллергическом альвеолите Для экзогенного аллергического альвеолита характерно образование химических веществ, появление ряда иммунных реакций, для которых формируется появление разных токсических поражений легочной паренхимы. При этой нозологической форме появляется экзогенное воспаление альвеол. Иммуноферментный анализ (ИФА) обнаруживает антитела к клеткам альвеолярной ткани. На серии рентгенограмм периодически прослеживаются инфильтративные очаги, которые не лечатся антибиотиками.
Интерстициальный пневмонит: виды признаки
Интерстициальный пневмонит – это группа заболеваний, при которых повреждается легочной интерстиций за счет воспалительного процесса. Заболевание полиэтиологично, но не все причины нозологии выяснены. Проблему для медиков представляют идиопатические формы. Лабораторные, клинические, функциональные показатели для патологии неспецифичны. При рентгенографии обнаруживаются двухсторонние изменения. Дополнительное исследование с помощью компьютерной томографии позволяет выявить симптом «матового стекла». Криптогенный пневмонит – это «облитерирующий бронхиолит с интерстициальной пневмонией». Нозология сопровождается нарушением проходимости бронхиального тракта, при котором воспалительный процесс затрагивает значительную часть легких. Болезнь чаще всего формируется у людей 50-60 лет. С одинаковой частотой поражаются женщины и мужчины. Подострая, острая картина заболевания напоминает бактериальную пневмонию. На рентгенограмме прослеживаются двухсторонние пятнистые плотные очаги консолидации с субплевральным расположением инфильтратов. Для интерстициального пневмонита характерна миграция инфильтратов. Постепенно очаги распространяются от нижней доле к верхней. При такой рентген картине требуется дифференциальная диагностика с лимфомой, бронхоальвеолярным раком, эозинофильной пневмонией.
Симптомы гиперчувствительного пневмонита
По течению заболевание разделяется на острую, подострую, хроническую форму. В зависимости от нозологической формы определяются клинические признаки. Врачам не всегда удается определить аллергический генез заболевания, так как человек не всегда четко указывает на связь с аллергеном. Если на рентген снимке обнаруживается инфильтрация, выставляется диагноз пневмонии, проводится антибактериальное обследование. Такой подход не совсем верный. Конечно, при отсутствии контакта с аллергическим фактором, нозология исчезнет самостоятельно. Под действием провоцирующего фактора заболевание будет прогрессировать, несмотря на проводимое лечение антибиотиками. Симптомы «легких фермера»: • Повышение температуры через 5-8 часов после контакта с сеном; • Недомогание; • Озноб; • Одышка и кашель с отсутствием астматического компонента. Отсутствие причинных факторов возникновения пневмонии или гриппа позволяет заподозрить аллергический пневмонит. При любой форме гиперчувствительного альвеолита вероятно возникновение «симптома понедельника». Признак означает улучшение состояния больного в выходные дни и ухудшение симптомов в понедельник при выходе на работу. Признаки подострой формы протекают скрыто на протяжении нескольких недель, когда после воздействия появляется одышка и кашель. Прогрессирование синюшности, нарушение дыхания, появляются при прогрессировании дыхания. Подострая картина развивается при продолжительном действии антигена с определенной периодичностью. После прекращения влияния вредного фактора еще несколько недель появляются симптомы альвеолярного воспаления. Если на протяжении этого промежутка человек контактирует с аллергеном, клиническая картина заболевания усиливается. Если на рентгенограммах до этого времени не прослеживается патология, то если выполнить рентгеновский снимок после повторного контакта с провоцирующим фактором, возможно выявление инфильтративного затемнения с неровным нечетким контуром. Аналогичные рентген признаки прослеживаются при неспецифической бактериальной пневмонии. Хроническое течение болезни характеризуется постепенным прогрессированием интерстициального пневмонита. Симптомы – продуктивный кашель, нарастание одышки при физической нагрузке, похудении. Постепенное начало возникает под влиянием низких доз радиации. Аускультативно выслушиваются мелко- или среднепузырчатые хрипы. Ослабленное дыхание ощущается при пальцевой перкуссии. Коробочный звук определяется над местом компенсаторного расширения альвеол. Эмфизема физиологически направлена на предотвращение дыхательной недостаточности при снижении функциональности поврежденных легочных ацинусов.
Десквамационный интерстициальный пневмонит – морфологические признаки
Интерстициальный пневмонит с десквамацией легких формирует у курильщиков при приеме лекарственных препаратов, действии других аллергенов. При сомнительных симптомах рекомендовано проведение биопсии легочной ткани. Чтобы вылечить эту форму, следует отказаться от курения. Для повышения эффективности рекомендуется лечение преднизолоном в дозе 40-60 мг в сутки.
Респираторный альвеолит с интерстициальным поражением
Респираторный интерстициальный пневмонит – это болезнь с поражением легочного интерстиция, альвеол. Нозология формируется часто у курильщиков со стажем более 30 лет. Для излечения достаточно отказа от вредной привычки или кратковременная терапия глюкокортикоидами. Лимфоцитарный интерстициальный пневмонит – это редкая болезнь. Морфологически при ней прослеживается лимфоцитарная инфильтрация интерстициальной ткани. При исследовании материала из патологического очага выявляются не только массивная лимфоцитарная инфильтрация, но прослеживается разрастание коллагеновых волокон. Рентгеновская картина неспецифична для патологии, так как выявляются мелкие инфильтративные тени, подобные для хронической пневмонии. Термином пневмонит врачи не пользуются, так как биопсия проводится только при экстренных показаниях. Процедура инвазивна, сопровождается повреждением ткани. В заключение скажем о том, что вышеперечисленные интерстициальные пневмониты (кроме аллергических) долго время врачи относили к синдрому Хаммена-Рича. С появлением современной техники градация уменьшилась. Сейчас к патологии относят лишь острые интерстициальные пневмониты.
Гиперчувствительный пневмонит в детском возрасте

Н.С. ЛЕВ, к.м.н., обособленное структурное подразделение Научно-исследовательского клинического института педиатрии, Российский национальный исследовательский медицинский университет им. Н.И. Пирогова, Москва
Гиперчувствительный пневмонит -- наиболее частая форма интерстициальных болезней легких в детском возрасте. В статье рассмотрены вопросы этиологии, диагностики, особенностей клинического течения этого заболевания у детей. Представлены собственные наблюдения 186 детей, у которых был диагностирован гиперчувствительный пневмонит.
Гиперчувствительный пневмонит известен с начала XVIII в., впервые Рамаццини в 1713 г. описал симптомы болезни у сельскохозяйственных рабочих, занятых на работе с зерном. Кэмпбелл в 1932 г. диагностировал заболевание у 5 пациентов, работавших с заплесневевшим сеном. В литературе встречаются и другие названия этой патологии: «экзогенный аллергический альвеолит», «ингаляционные пневмопатии», «диффузная интерстициальная пневмония», «интерстициальный гранулематозный пневмонит» и др. [1--6].
Большей частью заболевание рассматривается как профессиональная патология. В МКБ-10 представлены различные формы заболевания в зависимости от этиологических профессиональных факторов под кодами J.67-J.67.9. Вместе с тем очевидно, что болезнь развивается не только под воздействием промышленных факторов, но и в результате загрязнения окружающей среды -- воздуха, воды, почвы, а также в связи с неблагополучной экологией жилища, содержанием в домашних условиях животных, и особенно птиц.
В 2009 г. гиперчувствительный пневмонит (ГП) был включен в классификацию клинических форм бронхолегочных заболеваний у детей [7]. В детском возрасте ГП рассматривается как редкая патология. В зарубежной литературе за последние 50 лет описано всего 95 случаев гиперчувствительного пневмонита у детей [8]. Однако не исключено, что заболевание встречается чаще, чем диагностируется, поскольку у детей выявление гиперчувствительного пневмонита представляет существенные сложности, требует специальных методов исследования.
В нашей стране наибольший опыт по наблюдению детей с этой патологией был накоплен в клинике пульмонологии МНИИ педиатрии и детской хирургии МЗ РФ. Так, В.Н. Нестеренко (1992) наблюдала 126 детей разного возраста [9].
В основе гиперчувствительного пневмонита лежит иммунологически индуцированное воспаление легочной паренхимы, при котором в процесс вовлекаются стенки альвеол и бронхов вследствие неоднократного вдыхания разнообразной органиче¬ской пыли и других веществ [10].
Наиболее частыми причинами заболевания являются белки животного и растительного происхождения, грибы, простейшие, химические вещества. Самыми значимыми из неблагоприятных факторов домашней среды считаются термофильные актиномицеты, которые встречаются в почве, компосте, воде, в фильтрах кондиционеров, а также антигены птиц и грибковые антигены [11]. Птичьи антигены представлены в основном сывороточными белками -- гамма-глобулином, альбумином. Эти белки содержатся в экскрементах, секретах кожных желез различных птиц. Болезнь может развиться при использовании пуховых одеял и подушек. Среди грибковых антигенов при гиперчувствительном пневмоните наибольшее значение имеют грибы рода Aspergillus, Candida, Cladosporium, Alternaria. Концентрация спор этих грибов повышена в сырых, плохо проветриваемых помещениях.
Гиперчувствительный пневмонит может возникнуть в результате воздействия нескольких антигенов, что доказывается обнаружением у пациентов сразу нескольких видов антител. Необходимым условием развития гиперчувствительного пневмонита является ингаляция антигена в достаточной дозе и в течение определенного времени. При этом, судя по данным литературы, среди тех, кто подвергается действию аллергена, заболевают примерно 5--15% [12].
Тот факт, что большинство людей, подвергшихся воздействию антигена, не болеют гиперчувствительным пневмонитом, предполагает наличие, кроме внешних факторов, зависимости от генетической предрасположенности и особенности иммунного ответа. В пользу этого положения свидетельствуют семейные случаи заболевания [12].
Наши наблюдения касаются 186 детей от 8 месяцев до 16 лет, больных гиперчувствительным пневмонитом, в т. ч. 57 пациентов первого года жизни. Болезнь развивалась в различные возрастные периоды. У самого маленького пациента болезнь дебютировала в 2 мес.
При этом обычно заболевали дети, имеющие предрасположенность к аллергическим реакциям. Мы отмечали отягощенность по аллергическим заболеваниям в семьях детей с гиперчувствительным пневмонитом практически в 74%.
У большинства больных удавалось проследить причинно-следственный фактор, приведший к болезни. В частности, заболевание было связано с проживанием ребенка в сырых помещениях, тесным контактом с домашними животными и птицами.
По нашим наблюдениям, для заболевания достаточно непродолжительного и непостоянного контакта с причинно-значимым аллергеном, например пребывание на отдыхе в деревне, где имелись птицы и домашние животные, поездки к родственникам, проживающим в сыром помещении. Годовалая девочка заболела после недельного контакта с попугаем.
В развитии гиперчувствительного пневмонита ведущая роль принадлежит аллергическим реакциям 3-го и 4-го типов (по классификации P.E. Gell, R.R. Coombs, 1968).
Иммунокомплексные реакции (3-й тип) имеют основное значение на ранних этапах развития заболевания. Образование иммунных комплексов (ИК) происходит in situ в интерстиции при взаимодействии ингалируемого антигена и IgG. Иммунные реакции, опосредованные Т-лимфоцитами (4-й тип), включают CD4+-Т-клеточную гиперчувствительность замедленного типа и CD8+-Т-клеточную цитотоксичность. Биологическая сущность и направленность иммунного воспаления заключается в разрушении и удалении из организма конкретного аллергена.
В иммунологически индуцированное воспаление легочной паренхимы вовлекаются стенки альвеол, бронхов и бронхиол [10, 13]. Образование гранулем, альвеолит и бронхиолит составляют т. н. триаду морфологических признаков при гиперчувствительном пневмоните, хотя все элементы триады представлены не всегда [2]. В воспалительный процесс также могут вовлекаться плевра, средостение и даже дыхательная мускулатура.
По особенностям клинического течения и длительности заболевания выделяют острый, подострый и хронический варианты болезни. Термин острый обычно относится к эпизоду болезни с бурным началом, но чаще указывает на любой вид гиперчувствительного пневмонита с симптомами продолжительностью менее одного месяца.
Проявления острого гиперчувствительного пневмонита описывают как «гриппопоподобный симптомокомплекс», который включает в себя лихорадку, озноб, слабость, кашель, одышку. Симптомы обычно разрешаются в течение нескольких дней, однако часто повторяются вновь после нового контакта с «виновным» антигеном. Острая форма диагностируется довольно редко, и правильный диагноз во многом зависит от настороженности врача. Подострым течением считается заболевание от нескольких недель до 4 мес. Большинство больных с острым и подострым течением гиперчувствительного пневмонита могут полностью выздороветь при условии удаления аллергена.
Хроническим считается течение болезни более 4 мес. Оно характеризуется формированием фиброза, эмфиземы, сотового легкого.
Замечено, что хроническое течение гиперчувствительного пневмонита, как правило, развивается при длительном воздействии ингалируемого антигена в невысоких дозах. Нераспознанный или нелеченый подострый гиперчувствительный пневмонит также может приобрести хроническое течение.
У всех наблюдавшихся у нас детей было хроническое течение болезни. У большинства из них (76%) в дебюте присутствовали острые эпизоды болезни с высокой температурой, одышкой, кашлем, выделением мокроты. Лишь у 24% детей начало болезни было постепенным, одышка длительное время оставалась незамеченной. При этом эпизоды острых атак или отсутствовали, или возникали через несколько месяцев от дебюта болезни. Истинный характер заболевания у большинства детей устанавливался не сразу, пациенты, как правило, наблюдались по поводу обструктивного бронхита, бронхиальной астмы, пневмонии. От дебюта заболевания до постановки правильного диагноза нередко проходило от 2 мес. до 5 лет. Только у 14% больных в течение первых 2 мес. было заподозрено интерстициальное заболевание легких, и больные были направлены в специализированные пульмонологические отделения.
Клиническая картина гиперчувствительного пневмонита не имеет специфических признаков. Основным симптомом является одышка в покое, усиливающаяся при физическом напряжении. Мы наблюдали одышку у большинства наших пациентов (84%). Достаточно характерны физикальные изменения в легких -- крепитирующие хрипы на вдохе, т. н. целофановые хрипы. Нередко им сопутствовали свистящие хрипы, указывающие на наличие бронхообструкции (64%). Заболевание протекало с различной степенью тяжести. У большинства детей периоды относительно благополучия сопровождались обострениями болезни до 4--6 раз в год. Обострения нередко провоцировались присоединением респираторной инфекции. При прогрессировании болезни эпизоды обострений становились более тяжелыми и длительными. Довольно часто имели место т. н. внелегочные симптомы. Характерна потеря веса, отставание в физическом развитии. При тяжелом течении наблюдалось изменение ногтей и концевых фаланг пальцев рук в виде «часовых стекол» и «барабанных палочек».
Нельзя не заметить, что у детей раннего возраста заболевание имело некоторые клинические особенности. Процесс у большинства детей раннего возраста начинался остро, сопровождался выраженной одышкой, кашлем, хрипами в легких, гипертермией, интоксикацией. Тяжесть клинических проявлений в дебюте заболевания была настолько выражена, что практически всегда требовала госпитализации детей в отделения реанимации и неотложной терапии.
В отечественной терапевтической практике принято выделять три клинические формы заболевания: пневмоническую, бронхитическую, астматическую [2]. У детей, на наш взгляд, такое разделение достаточно условно, т. к. в большинстве случаев клиническая картина меняется в зависимости от периода заболевания.
Для диагностики гиперчувствительного пневмонита чрезвычайно важны данные рентгенологического обследования, и особенно компьютерная томография (КТ). Компьютерная томография высокого разрешения (КТВР) является точным и чувствительным методом визуализации гиперчувствительного пневмонита, патологические изменения при этом выявляются более чем у 90% пациентов [14].
Для гиперчувствительного пневмонита характерно наличие мелкоочаговых теней, которые могут быть столь выраженными и обильными, что иногда имитируют картину милиарного туберкулеза. Определяются области матового стекла, а также зоны повышенной прозрачности и неравномерного вздутия легочной ткани [15--17].
Распространенный фиброз легочной ткани при гиперчувствительном пневмоните у детей наблюдался довольно редко. Чаще встречались локальные фиброзные изменения в средней доле, базальных и верхних отделах легких. У большинства детей были обнаружены изменения интерстиция по типу «матового стекла» (95%). Практически у всех выявлялись рентгенологические признаки бронхиальной обструкции, что было подтверждено и данными компьютерной томографии [15].
У отдельных больных при компьютерной томографии выявлялись дисковидные ателектазы, инфильтрация плевры, увеличение лимфоузлов средостения, высокое стояние купола диафрагмы и снижение ее подвижности, признаки легочной гипертензии. Существенные изменения претерпевали показатели функции внешнего дыхания.
Наши исследования, проведенные совместно с к.м.н. С.Э. Цыплёнковой, показали, что на первый план выступали проявления бронхиальной обструкции. Было отмечено снижение объема форсированного выдоха за 1 с (ОФВ1), снижение коэффициента Тиффно (ОФВ1/ФЖЕЛ), увеличение остаточного объема легких (ООЛ) и его доли в общей емкости легких (ОЕЛ). У некоторых больных (11%) увеличение ООЛ было стабильным, что свидетельствовало о формировании эмфиземы. Вместе с тем у больных с тяжелым течением гиперчувствительного пневмонита преобладали рестриктивные нарушения. При наличии распространенного фиброза легких было отмечено стойкое снижение ЖЕЛ до 42,7%, ОЕЛ до 64,5%. Характерным функциональным проявлением гиперчувствительного пневмонита считается снижение диффузионной способности легких вследствие вентиляционно-перфузионных нарушений и обеднения микроциркуляторного русла. Гипоксемия на ранних этапах заболевания выявляется обычно при физической нагрузке, а по мере прогрессирования процесса регистрируется и в покое.
Определение клеточного состава бронхоальвеолярного лаважа (БАЛ) у взрослых больных с гиперчувствительным пневмонитом часто свидетельствует об увеличении общего количества воспалительных клеток с преобладанием доли лимфоцитов, более 50%, и уменьшением соотношения CD4/CD8 [18]. Для детей этот показатель не имеет существенного диагностического значения, т. к. зачастую не отличается от нормы [19].
Иммунологические исследования при гиперчувствительном пневмоните в основном сосредоточены на поиске специфических IgG к «виновному» антигену [20]. Обнаружение достоверного уровня IgG в плазме крови является важным маркером заболевания, позволяющим не только подтвердить диагноз гиперчувствительного пневмонита, но и разработать для каждого больного индивидуальный план элиминационных мероприятий. У наблюдавшихся детей методом Immunocap были определены IgG к Penicillium, Aspergilus, Candida, Cladosporium, антигенам попугая, голубя, клещей домашней пыли рода Farina, Pteronissinus. У подавляющего большинства из них (95,7%) выявлены достоверные титры специфических IgG. В наибольших титрах IgG определялись к грибам рода Candida, к антителам пера, помету голубя, клещам рода Farina. При этом у пациентов с гиперчувствительным пневмонитом уровень специфических IgG в плазме крови не коррелировал с активностью и тяжестью заболевания.
Сенсибилизация к единственному антигену наблюдалась редко, в основном отмечена полисенсибилизация к грибам 3--4-го типов, иногда в сочетании с сенсибилизацией к антигенам птиц и клещам домашней пыли. При повторных обследованиях с интервалом в 1--2 года у некоторых пациентов отмечалось нарастание титра антител, у отдельных больных спектр выявляемых антител расширялся.
При гиперчувствительном пневмоните, особенно у детей, могут отмечаться сопутствующие IgE-опосредованные реакции гиперчувствительности немедленного типа. Умеренное повышение уровня общего IgE обнаруживалось у большинства наших пациентов, средний уровень IgE составил 142 МЕ. Сенсибилизация c участием специфических IgЕ чаще всего выявлялась к бытовым аллергенам, реже к пыльцевым и грибковым аллергенам.
По данным различных авторов, сочетание гиперчувствительного пневмонита и бронхиальной астмы достигает 5--25%. Мы диагностировали бронхиальную астму у 18% наблюдавшихся нами больных с гиперчувствительным пневмонитом. У большинства детей приступы бронхиальной астмы предшествовали симптомам гиперчувствительного пневмонита.
Тяжелым осложнением гиперчувствительного пневмонита является легочное сердце. Данные ЭХО-кардиографии свидетельствовали о формировании легочного сердца у большинства наблюдавшихся нами детей уже на ранних сроках заболевания. Отмечалось увеличение давления в легочной артерии выше 35 мм рт. ст., расширение правых отделов сердца.
Несмотря на то что биопсия легких в настоящее время остается «золотым» стандартом в диагностике многих форм диффузных болезней легких, в практической педиатрии этот метод применяется крайне редко из-за высокого риска осложнений [8, 19]. Гистологическая оценка легочной ткани, как правило, не требуется для диагностики ГП и используется только при затруднении постановки диагноза.
Следует заметить, что при хроническом течении гиперчувствительного пневмонита патоморфологическая картина утрачивает свои специфические черты, в основном определялся лимфоцитальный альвеолит, признаки фиброза легочной ткани. При этом т. н. неспецифический легочный фиброз может быть конечным проявлением универсальных реакций при большинстве интерстициальных болезней легких. Так, у 3 наблюдавшихся нами детей, у которых были представлены данные биопсийного материала легких, выявлена картина неспецифического интерстициального пневмонита.
По нашему мнению, биопсию легких у детей следует проводить в исключительных случаях, когда диагноз гиперчувствительного пневмонита вызывает сомнения, а от верификации болезни зависит выбор терапии и прогноз жизни пациента.
В лечении гиперчувствительного пневмонита определяющее значение имеет исключение контакта с «виновным» агентом. Основой медикаментозной терапии являются глюкокортикостероиды, обладающие противовоспалительным и иммуносупрессирующим действием.
Системные кортикостероиды (преднизолон 1--1,5 мг/кг/сут) использовались в терапии у трети наблюдавшихся нами детей (29%), длительность курса составляла в среднем 3--6 мес., в дальнейшем при стабилизации процесса доза препарата постепенно уменьшалась вплоть до отмены.
Всем больным назначались ингаляционные глюкокортикостероиды в средних и высоких терапевтических дозах в течение длительного времени, не менее года. Детям до двухлетнего возраста, как правило, назначали будесонид 500--1 000 мкг/сут через небулайзер. Более старшим -- флутиказон пропионат (от 250 до 1 000 мкг/сут) в форме дозированного аэрозоля с использованием спейсера.
Положительный эффект от глюкокортикостероидов в течение первого месяца лечения является благоприятным прогностическим признаком.
При отсутствии клинического и рентгено-функционального эффекта от терапии глюкокортикостероидами решался вопрос о назначении цитостатических препаратов, которые относятся к терапии второй линии. Циклофосфамид в дозе 2 мг/кг/сут вводился внутривенно 2 раза в неделю, длительность курса лечения определялась индивидуально, но составляла не менее 3--6 мес.
Использовалась симптоматическая терапия: антибиотики при присоединении бактериальной инфекции, бронхолитические препараты при наличии клинических и функциональных признаков обструкции, кислородотерапия.
Мы убедились в том, что при адекватном и систематическом лечении у большинства больных удается достичь стабилизации и даже улучшения состояния.
Тяжелое прогрессирование болезни отмечено лишь у отдельных пациентов. У 9 больных сформировался диффузный легочный фиброз и легочно-сердечная недостаточность, которые привели к катастрофическому течению болезни и явились причиной летального исхода двоих детей в возрасте 12 и 15 лет. Основными причинами неблагоприятного исхода гиперчувствительного пневмонита у наблюдавшихся детей явились длительное воздействие аллергенов, т. к. дети продолжали проживать в сырых квартирах и домах, а также отсутствие адекватной терапии из-за позднего диагностирования болезни.
Таким образом, гиперчувствительный пневмонит у детей является тяжелой патологией, приводящей к инвалидизации. Заболевание может дебютировать уже в первые месяцы жизни ребенка, принимая хроническое течение. Вместе с тем своевременная диагностика и адекватная терапия позволяют предотвратить прогрессирование болезни и улучшить прогноз заболевания.
Гиперчувствительный пневмонит
Гиперчувствительный пневмонит – это синдром, включающий кашель, одышку и усталость, вызванный сенсибилизацией и последующей гиперчувствительностью к экзогенным (часто профессиональным или бытовым) антигенам. Существуют острые, подострые и хронические формы; все они характеризуются острым интерстициальным воспалением с образованием гранулем и фиброза при длительном воздействии антигенов. Для диагностики используются данные анамнеза, объективного обследования, лучевых методов исследования, бронхоальвеолярного лаважа и гистологического исследования биопсийного материала. Для лечения используются кортикостероиды; в дальнейшем необходимо прекращение контакта с антигеном и, если присутствует фиброз, часто бывает необходима иммуносупрессивная терапия.
Этиология гиперчувствительного пневмонита
Более 300 антигенов способны вызывать гиперчувствительный пневмонит, хотя антигены, встречающиеся у фермеров, птицеводов, а также при загрязнении воды, составляют 75% случаев его возникновения.
Антигены обычно классифицируются по типу и роду занятий пациента (см. таблицу Примеры гиперчувствительного пневмонита Примеры гиперчувствительного пневмонита ); типичный пример – легкое фермера, заболевание, вызванное вдыханием сенной пыли, содержащей термофильные актиномицеты. Заметные совпадения имеются между гиперчувствительным пневмонитом и хроническим бронхитом у фермеров, у которых хронический бронхит встречается гораздо чаще, возникает независимо от того, курит ли пациент; его возникновение связано с воздействием термофильных актиномицетов и приводит к результатам, сходным с таковыми при диагностическом тестировании гиперчувствительного пневмонита.
Патофизиология гиперчувствительного пневмонита
Судя по всему, данная патология представляет собой реакцию гиперчувствительности 4-го типа Обзор аллергических и атопических нарушений (Overview of Allergic and Atopic Disorders) Аллергические заболевания (в том числе атопические) и другие реакции гиперчувствительности являются следствием неадекватного или чрезмерно выраженного иммунного ответа на чужеродные антигены. Прочитайте дополнительные сведения , при которой повторный контакт с антигеном у людей, имеющих наследственную предрасположенность, приводит к острому нейтрофильному и мононуклеарному альвеолиту с интерстициальной инфильтрацией лимфоцитами и гранулематозной реакцией. При длительном контакте развивается фиброз с облитерацией бронхиол.
Циркулирующие преципитины (антитела к антигену) не играют первичной этиологической роли, а наличие аллергических заболеваний в анамнезе (бронхиальной астмы или сезонных аллергий) не является предрасполагающим фактором. Курение задерживает или предотвращает развитие заболевания, возможно, вследствие снижения иммунного ответа легких на ингаляционные антигены. Однако курение может вызвать обострение заболевания при установленном диагнозе.
Гиперчувствительный пневмонит имеет клинические сходство с другими расстройствами, которые имеют отличную патофизиологию.
Например, токсический синдром органической пыли (легочной микотоксикоз, зерновая лихорадка) представляет собой синдром, проявляющийся лихорадкой, ознобом, миалгией, а также диспноэ, что не требует предварительной сенсибилизации и, как полагают, вызван вдыханием токсинов, продуцируемых грибами или другими загрязняющими веществами органической пыли.
Болезнь "выгребных ям" может привести к дыхательной недостаточности Обзор дыхательной недостаточности (Overview of Respiratory Failure) Острая дыхательная недостаточность – это угрожающее жизни пациента ухудшение оксигенации, вывода углекислого газа или, и того, и другого. Дыхательная недостаточность может быть вызвана нарушением. Прочитайте дополнительные сведения , острому респираторному дистресс-синдрому Острая гипоксемическая дыхательная недостаточность (ОГДС, ОРДС) Острая гипоксемическая дыхательная недостаточность представляет собой острую артериальную гипоксемию, которая является стойкой к дополнительной подаче кислорода. Это вызвано внутрилегочным шунтированием. Прочитайте дополнительные сведенияПрофессиональная бронхиальная астма Профессиональная бронхиальная астма Профессиональная бронхиальная астма – это обратимая обструкция дыхательных путей, которая развивается при постепеннной (от нескольких месяцев до нескольких лет) сенсибилизации к аллергену на. Прочитайте дополнительные сведения вызывает появление одышки у лиц, сенсибилизированных к вдыхаемому антигену, но другие проявления, в частности обструкция дыхательных путей, эозинофильная инфильтрация и различия триггерных антигенов, позволяют дифференцировать ее от гиперчувствительного пневмонита.
Симптомы и признаки гиперчувствительного пневмонита
Жалобы и симптомы зависят от того,
Только у небольшой части лиц, подвергшихся воздействию, развиваются симптомы, и в большинстве случаев – только по прошествии нескольких недель или месяцев воздействия и сенсибилизации.
Острый гиперчувствительный пневмонит
Острая форма заболевания встречается у ранее сенсибилизированных людей, которые контактировали с антигеном в высокой концентрации, и проявляется лихорадкой, ознобом, кашлем, сильным чувством стеснения в груди с двух сторон (подобно как при астме) и одышкой от 4 до 8 часов после воздействия. Могут также присутствовать анорексия, тошнота и рвота. При объективном обследовании выявляют тахипноэ, диффузные мелко- или среднепузырчатые инспираторные хрипы; почти у всех пациентов отсутствуют сухие хрипы.
Хронический пневмонит гиперчувствительности
Хронический вариант встречается у лиц, имеющих длительный контакт с антигеном в низкой концентрации (например, у владельцев птиц) и проявляется прогрессирующей (от некскольких месяцев до нескольких лет) одышкой при физической нагрузке, продуктивным кашлем, усталостью и снижением массы тела. При физикальном обследовании значительных изменений не определяется; утолщение концевых фаланг пальцев встречается нечасто, лихорадка отсутствует. При прогрессировании заболевания фиброз легких приводит к развитию правожелудочковой недостаточности Легочное сердце Легочное сердце – дилатация правого желудочка, вторичная по отношению к заболеваниям легких, которые сопровождаются развитием гипертензии легочной артерии. Развивается недостаточность правого. Прочитайте дополнительные сведенияПодострый гиперчувствительный пневмонит
Подострый вариант заболевания является промежуточным между острым и хроническим вариантами и проявляется кашлем, одышкой, недомоганием и анорексией, развивающимися в промежуток времени от нескольких дней до нескольких недель, или наложением острых симптомов на хронические.
Диагностика гиперчувствительного пневмонита
КТ высокого разрешения (КТВР)
Исследование функции легких
Гистологическое исследование и серологическая диагностика
Для того чтобы заподозрить диагноз гиперсенситивного пневмонита, необходима высокая степень совместимости симптомов заболевания и профессиональных, любительских или бытовых контактов в анамнезе у пациентов. Гиперчувствительный пневмонит рассматривается у пациентов с недавно выявленным интерстициальным заболеванием легких ( 1 Справочные материалы по диагностике Гиперчувствительный пневмонит – это синдром, включающий кашель, одышку и усталость, вызванный сенсибилизацией и последующей гиперчувствительностью к экзогенным (часто профессиональным или бытовым). Прочитайте дополнительные сведения , облитерирующий бронхиолит, поражения легких при заболеваниях соединительной ткани и другие интерстициальные заболевания легких.
Подсказки в анамнезе включают в себя:
Повторяющиеся атипичные пневмонии
Появление симптома после смены места работы или жительства
Горячая ванна, сауна, бассейн, или другие источники стоячей воды, или плохое качество воды в доме, или регулярный контакт с ними в других местах
Содержание птиц в качестве домашних животных
Обострение и облегчение симптомов в связи с конкретными условиями или без них
Обследование часто не оказывает помощи в постановке диагноза, хотя могут выслушиваться хрипы и наблюдаться утолщения концевых фаланг пальцев по типу «барабанных палочек».
Методы визуализации
Лучевые исследования обычно выполняют пациентам, имеющим характерный анамнез и клинические проявления.
Рентгенография органов грудной клетки не является ни чувствительной, ни специфичной при диагностике заболевания и часто не показывает никаких отклонений у пациентов с острой и подострой формой заболевания. Это может проявляться в виде ретикулярных или узелковых затемнений, обычно при наличии симптомов. В хронической стадии более вероятно усиление легочного рисунка или очаговые затемнения в верхних отделах легких наряду с уменьшением объема легких и формированием «сотового легкого», как при идиопатическом легочном фиброзе.
Патологические изменения чаще обнаруживаются при выполнении КТ высокого разрешения, которая считается стандартом для оценки паренхиматозных изменений при гиперчувствительном пневмоните. Наиболее типичным результатом при КТВР во время острой и подострой стадии болезни является наличие профузных, плохо определяемых центролобулярных микроузелков. Иногда затемнение по типу «матового стекла» является преобладающим или единственным изменением. Данные затемнения обычно диффузные, но иногда не затрагивают периферические отделы вторичных долек легкого. Очаговые зоны повышенной интенсивности, подобные тем, которые присутствуют при облитерирующем бронхиолите, могут быть выраженным признаком у некоторых пациентов (например, мозаичное ослабление плотности легочного рисунка с задержкой воздуха на экспираторной КТВР).
При хроническом гиперчувствительном пневмоните имеются признаки фиброза легкого (уменьшение объема долей, затемнения линейной формы, усиление легочного рисунка или «сотовое легкое») и центродолевыеузелки могут отсутствовать. Некоторые некурящие пациенты, страдающие хроническим гиперчувствительным пневмонитом, имеют признаки эмфиземы верхних долей легких. Увеличение лимфатических узлов средостения встречается редко и помогает дифференцировать гиперчувствительный пневмонит и саркоидоз Саркоидоз Саркоидоз – это воспалительное заболевание, которое приводит к образованию неказеозных гранулем в одном или более органах и тканях; его этиология неизвестна. Чаще всего поражаются легкие и лимфатическая. Прочитайте дополнительные сведенияИсследование функции легких
У всех пациентов с подозрением на гиперсенситивный пневмонит исследование функций легких Исследование функции легких (Overview of Tests of Pulmonary Function) При исследовании функции легких определяются скоростные и объемные показатели, показатели газообмена и функции дыхательных мышц. Основные функциональные легочные тесты, доступные в амбулаторных. Прочитайте дополнительные сведения должно проводиться как часть стандартных исследований. Заболевание может вызывать обструктивный, рестриктивный или смешанный тип нарушений. Терминальная фаза заболевания обычно сопровождается рестриктивными изменениями (уменьшением легочных объемов), снижением диффузионной способности легких по монооксиду углерода (DLco) и гипоксемией. Обструкция дыхательных путей при остром заболевании встречается редко, но может развиваться при хроническом варианте.
Бронхоальеволярный лаваж
Результаты исследований бронхоальвеолярных промывных вод редко бывают специфическими для гиперсенситивного пневмонита, однако часто являются одним из компонентов диагностической оценки хронических респираторных проявлений и нарушений функции легких. Для гиперчувствительного пневмонита характерен лимфоцитоз промывных вод ( > 60%) с соотношением CD4+/CD8+ < 1,0/CD8+ ± стандартная ошибка среднего = 2,3 ± 0,2). Напротив, лимфоцитоз с преобладанием CD4+ (отношение > 1,0) больше характерно для саркоидоза Саркоидоз Саркоидоз – это воспалительное заболевание, которое приводит к образованию неказеозных гранулем в одном или более органах и тканях; его этиология неизвестна. Чаще всего поражаются легкие и лимфатическая. Прочитайте дополнительные сведения 1% (после острого воздействия) и увеличение количества нейтрофилов и эозинофилов.
Исследование трансформации лимфоцитов – это исследование сенсибилизации in vitro, которое дают наилучшие результаты при выявлении сенсибилизации к металлам. Для исследование можно использовать периферическую кровь, но лучше – промывные воды бронхоальвеолярного лаважа. В процессе исследования лимфоциты пациента подвергаются воздействию антигенов. Если лимфоциты трансформируются в бласты и пролиферируют, значит, они (и пациент) сенсибилизированы к данному антигену.
Биопсия легких
Хирургическая биопсия легких показанав случаях, когда неинвазивные испытания являются неокончательными. Результаты варьируются, но, как правило, включают перибронхиолярную метаплазию, плохо сформированные гранулемы без некротизации и организующуюся пневмонию. В хронических случаях может присутствовать интерстициальный фиброз.
Другие исследования
Другие методы исследования назначаются для получения дополнительной информации для постановки диагноза или для установления других причин интерстициального заболевания легких. Циркулирующие преципитины (специфичные преципитирующие антитела к антигену) указывают на воздействие, которое может быть причиной заболевания. Однако, наличие циркулирующих преципитинов не является ни чувствительным, ни специфическим. Выявление специфического преципитирующего антигена может требовать детализированного аэробиологического и/или микробиологического исследования рабочего места специалистами по промышленной гигиене, но обычно руководствуются известными источниками провоцирующих антигенов (например, наличие Bacillus subtilis на производстве детергентов).
Кожные пробы не имеют значения; эозинофилия отсутствует.
Тесты, необходимые для выявления других заболеваний, включают серологические тесты и посевы (на наличие пситтакоза и других пневмоний), а также тесты на аутоантитела (при заболеваниях соединительной ткани). Повышенные уровни эозинофилов позволяют предположить хроническую эозинофильную пневмонию Хроническая эозинофильная пневмония Хроническая эозинофильная пневмония (ХЭП) – заболевание неизвестной этиологии, которое характеризуется хроническим патологическим накоплением эозинофилов в легком. (См. также Обзор эозинофильных. Прочитайте дополнительные сведения . Для саркоидоза Саркоидоз Саркоидоз – это воспалительное заболевание, которое приводит к образованию неказеозных гранулем в одном или более органах и тканях; его этиология неизвестна. Чаще всего поражаются легкие и лимфатическая. Прочитайте дополнительные сведенияСправочные материалы по диагностике
1. Raghu G, Remy-Jardin M, Ryerson CJ, et al: Diagnosis of hypersensitivity pneumonitis in adults. An Official ATS/JRS/ALAT Clinical Practice Guideline. Am J Respir Crit Care Med 202(3):e36–e69, 2020. doi: 10.1164/rccm.202005-2032ST
Прогноз при гиперчувствительном пневмоните
Патологические изменения при остром гиперсенситивном пневмоните полностью обратимы, если заболевание обнаружено на ранней стадии и устранено воздействие антигена. Острое заболевание разрешается самопроизвольно при удалении антигена; симптомы обычно уменьшаются в течение нескольких часов. Хроническое заболевание имеет менее благоприятный прогноз: развитие фиброза делает заболевание необратимым, хотя при прекращении контакта с повреждающим агентом наступает стабилизация.
Лечение гиперчувствительного пневмонита
Лечение острого или подострого гиперчувствительного пневмонита проводится с применением кортикостероидов; обычно используется преднизон в дозе 60 мг перорально 1 раз в день в течение 1–2 недель, затем дозу постепенно снижают до 20 мг 1 раз в день в течение следующих 2–4 недель, далее производят снижение дозы на 2,5 мг/неделю до полной отмены препарата. Этот режим позволяет купировать начальные проявления заболевания, но не влияет на отдаленные результаты.
Лечение хронического гиперчувствительного пневмонита обычно проводят длительными курсами преднизона 30–40 мг перорально 1 раз в день с со снижением в зависимости от клинического ответа. Некоторым пациентам требуются кортикостероид-щадящие средства (например, микофенолата, азатиоприн) для длительного лечения.
Профилактика гиперчувствительного пневмонита
Наиболее важным аспектом долгосрочного контроля гиперсенситивного пневмонита является предотвращение воздействия антигена. Однако полное изменение образа жизни и работы редко возможно в реальных условиях, особенно у фермеров и других рабочих; в этом случае применяются меры по снижению запыленности (например, предварительное увлажнение компоста перед работой с ним), использование воздушных фильтров и защитных масок. Фунгициды могут использоваться для предотвращения размножения микроорганизмов (например, в сене или сахарной свекле), но отдаленная безопасность этого подхода не доказана. Тщательная очистка увлажняющих систем вентиляции, удаление сырых ковров и поддержание низкой влажности также эффективны в некоторых случаях. Пациентам необходимо разъяснить, что эти меры могут не дать эффекта при продолжении контакта с антигеном.
Основные положения
Гиперсенситивный пневмонит является реакцией гиперчувствительности IV типа, которая может быть вызвана большим числом аллергенов.
У пациентов, подверженных риску, а также имеющих сравнимые симптомы, следует установить подробную историю производственного, любительского, и домашнего контакта.
Проведите КТ с высоким разрешением и исследования функции легких, а если диагноз неясен, возможно, бронхоальвеолярный лаваж и биопсию.
Лечение большинства пациентов преднизоном перорально.
Авторское право © 2022 Merck & Co., Inc., Rahway, NJ, США и ее аффилированные лица. Все права сохранены.
Читайте также:
