Краниотубулярный гиперостоз
Добавил пользователь Евгений Кузнецов Обновлено: 22.11.2025
Парез лицевого нерва: вероятный диагноз
Парез лицевого нерва характеризуется острой изолированной односторонней слабостью мимических мышц, иногда сопровождается болью, гиперакузией и агевзией.
Синдром Мелькерссона-Розенталя - редкое заболевание, характеризующееся триадой признаков: рецидивирующий орофациальный отек, рецидивирующий паралич лицевого нерва и складчатый язык.
Паралич Белла (периферический паралич лицевого нерва) - парез или паралич всей мимической мускулатуры соответствующей половины лица. Вследствие этого создается весьма характерная лицевая асимметрия.
Хронический гнойный средний отит - серьезное заболевание с наличием бактериальной инфекции в среднем ухе, как правило, является следствием не леченного острого среднего отита.
Наружный отит - воспаление наружного слухового прохода вследствие изменения нормальной флоры или травмы мягких тканей слухового прохода с последующим инфицированием и воспалением, а также поражение ушной раковины.
По отношению к мозгу опухоли подразделяют на внутримозговые (происходящие из клеток мозга) и внемозговые (развивающиеся из оболочек мозга, черепных нервов, костей черепа). В зависимости от расположения опухоли по отношению к твердой мозговой оболочке выделяют опухоли интра- и экстрадуральные.
Холестеатома это эпидермальное образование белесовато-перламуторового цвета, обычно имеющее соединительнотканную оболочку (матрикс), покрытую многослойным плоским эпителием, плотно прилежащую к кости и нередко врастающую в неё.
Прогрессирующие мышечные дистрофии - гетерогенная группа наследственных заболеваний, характеризующихся прогрессирующей мышечной слабостью и атрофией скелетных мышц.
Акустическая травма - повреждение органа слуха воздействием звуков большой интенсивности (импульсного шума). Звуковое давление при этом вызывает механическое повреждение клеточных элементов внутреннего уха в виде кровоизлияний, разрывов, отрывов.
Вирусные инфекции ЦНС могут ограничиваться оболочками мозга (менингит) или поражать саму ткань головного мозга (менингоэнцефалит). Если в дополнение к симптомам менингита наблюдается изменение психического статуса, гемипарез, афазию, миоклонус - следует рассмотреть диагноз менингоэнцефалита.
Ботулизм - это пищевая интоксикация, вызываемая экзотоксином анаэробной грамположительной спорообразующей палочки Clostridium botulinum.
Наряду с изолированным поражением отдельных нервов, выходящих из плечевого сплетения, возможно поражение самого сплетения. Поражение сплетения называется плексопатией.
Хоаны — это отверстия, соединяющие полость носа с носоглоткой. При полном отсутствии хоан говорят об их атрезии, при значительном сужении — о стенозе.
Врожденные миопатии - группа генетически обусловленных миопатий, характеризующихся ранним началом (обычно с рождения до 1 года), характерным симптомокомплексом (синдромом «вялого ребенка») и непрогрессирующим или медленно прогрессирующим течением.
Злокачественные новообразования среднего уха составляют около 20% среди всех злокачественных новообразований ЛОР-органов. В абсолютном большинстве наблюдений речь идёт о рабдомиосаркоме.
Наружный отит - воспаление наружного слухового прохода вследствие изменения нормальной флоры или травмы мягких тканей слухового прохода с последующим инфицированием и воспалением, а также поражение ушной раковины.
Эктропион (выворот века) - аномалия положения нижнего века, при которой его край и ресницы отстают от глазного яблока, конъюнктивальная поверхность обращена кнаружи, что вызывает лагофтальм и слезотечение.
Злокачественные опухоли глаза подразделяются на опухоли конъюнктивы, роговицы, сетчатки, сосудистой оболочки, ресничного (цилиарного) тела, слезной железы и и глазницы.
Лагофтальм (заячий глаз) - несмыкание век, зияние глазной щели, наблюдающееся при параличе лицевого нерва (n. facialis).
Мастоидит - деструктивный остео-периостит ячеистой структуры сосцевидного отростка. Мастоидит преимущественно развивается на фоне острого гнойного среднего отита, значительно реже - при обострении хронического гнойного среднего отита.
Митохондриальные миопатии и энцефаломиопатии - группа заболеваний, обусловленных генетическими дефектами митохондрий, сопровождающиеся нарушениями тканевого дыхания.
Cиндром Мебиуса (врожденная диплегия лица) является очень редким врожденным расстройством иннервации черепных нервов. Характеризуется полным или неполным параличом лицевого нерва в сочетании с двусторонним параличом отводящего нерва, которое нарушает нормальное приведение глаза.
Эпидемический паротит - острая антропонозная воздушно-капельная инфекционная болезнь, характеризующаяся преимущественным поражением слюнных желёз и других железистых органов (поджелудочной железы, половых желёз, чаще яичек и др.), а также ЦНС.
Миастения (myasthenia gravis, болезнь Эрба-Гольдфлама) - аутоиммунное заболевание, клинически проявляющееся в виде слабости и патологической мышечной утомляемости, обусловленными образованием аутоантител к различным антигенным мишеням периферического нейромышечного аппарата.
Нейрофиброматоз - группа системных наследственных заболеваний, характеризующихся пороками развития структур эктодермального и мезодермального происхождения, преимущественно кожи, нервной и костной систем, с повышенным риском развития злокачественных опухолей.
Остеопетроз (мраморная болезнь) - группа наследственных заболеваний, характеризующихся разрастанием костной ткани вследствие нарушения развития и/или функции остеокластов.
Опоясывающий лишай - острая, циклически протекающая инфекционная болезнь, возникающая в результате реактивации латентного вируса Varicella zoster virus (вирус ветряной оспы), с характерными пузырьковыми высыпаниями, поражением ЦНС и периферической нервной системы.
Косоглазие (страбизм, гетеротропия) - отклонение зрительной линии одного из глаз от общей точки фиксации, сопровождается нарушением бинокулярного зрения.
Травматический средний отит - обусловленное травмой острое воспаление различных отделов среднего уха. Травматический средний отит может сочетаться с повреждениями черепа, головного мозга, позвоночника.
Отравления возникают при длительном и/или избыточном использовании витаминов, особенно у детей. Наименьшая полулетальная доза определяются у витаминов А, Д, Е, пиридоксина и никотиновой кислоты.
Синдром Гийена-Барре - группа редких постинфекционных невропатий, включает в себя острую воспалительную демиелинирующую полирадикулоневропатию, острую моторную аксональную невропатию, острую моторно-сенсорную аксональную невропатию, синдром Миллера-Фишера и др.
Паралич Белла (периферический паралич лицевого нерва) - основной симптом заболевания - парез или паралич всей мимической мускулатуры соответствующей половины лица. Вследствие этого создается весьма характерная лицевая асимметрия.
Тромбоз внутричерепных венозных синусов характеризуется интенсивной, диффузной головной болью, возможным отеком мягких тканей над местом тромбообразования, менингеальными симптомами, иногда повышением температуры тела, расстройством сознания, очаговой неврологической симптоматикой.
Болезнь Лайма (лаймская болезнь) является бактериальной инфекцией, возбудитель— спирохета Borrelia burgdorferi, переносимая клещами.
В клинической картине синдрома Рамсея Ханта тип 1 проявляются интенционный тремор, миоклонии, возникающие в руках, а в дальнейшем приобретающие генерализованный характер, атаксия и диссинергия, нистагм, скандированная речь, снижение мышечного тонуса.
Самые распространенные варианты геморрагического инсульта — внутримозговое кровоизлияние, обусловленное артериальной гипертонией или амилоидной ангиопатией, и субарахноидальное кровоизлияние, обусловленное разрывом мешковидной аневризмы или артериовенозной мальформации.
Саркоидоз — это системный гранулематоз неизвестной этиологии, протекающий с поражением легких (почти во всех случаях) и других органов.
Афазия - это системное нарушение различных сторон речи, связанное с локальным поражением речевых зон, располагающихся у правшей в доминантном по речи левом полушарии головного мозга. При афазии наряду с нарушением речи обычно страдают чтение и письмо.
Полинейропатии - группа гетерогенных заболеваний, характеризующихся множественными поражениями периферических нервов, проявляющиеся периферическими вялыми параличами, нарушениями чувствительности, трофическими и вегетососудистыми расстройствами преимущественно в дистальных отделах конечностей.
Периферическая артериальная болезнь нижних конечностей (облитерирующий атеросклероз артерий нижних конечностей) - самая типичная жалоба - перемежающаяся хромота: боль в пораженной ноге, возникающая при ходьбе и исчезающая после остановки.
Генерализованный кортикальный гиперостоз, известный также как болезнь Ван Бюкема, является редким краниотубулярным гиперостозом, характеризуется гиперостозом черепа, нижней челюсти, ключицы, ребер и диафизов длинных трубчатых костей, а также трубчатых костей рук и ног.
По локализации рака гипофиза различают опухоли аденогипофиза и нейрогипофиза. Возникновение рака гипофиза носит в большинстве случаев спорадический характер, но может быть и наследственно обусловленным.
Черепно-мозговая травма - травматическое (механическое) повреждения черепа и внутричерепных образований (вещества мозга, оболочек, сосудов), проявляющиеся временными или постоянными неврологическими и психосоциальными нарушениями.
Злокачественные опухоли в области головы и шеи в общей структуре онкологических заболеваний составляют около 15%. Основной морфологический вид этих новообразований - плоскоклеточный рак.
Артериовенозный порок развития церебральных сосудов (артериовенозные мальформации) являются причиной 8,6 % субарахноидальных кровоизлияний нетравматической этиологии и 1% всех смертельных мозговых инсультов.
Рак легкого - группа злокачественных опухолей, возникших из эпительальных клеток, выстилающих бронхи или легкие.
Прогрессирующий надъядерный паралич - редко встречающееся нейродегенеративное заболевание, характеризующееся надъядерным параличом взора, постуральной атаксией, прогрессирующей ригидностью и легкой деменцией.
Сосудистая деменция (сосудистое слабоумие) - стойкое или прогрессирующее расстройство когнитивных функций (памяти, интеллекта и внимания), вызванное сосудистым поражением головного мозга и сопровождающееся различной степени снижением социальной адаптации.
Система МойМинЗдрав позволяет выявить круг болезней и патологических состояний, вероятность которых выше при определенном наборе симптомов у лиц разного пола и возраста.
Система МойМинЗдрав не заменяет врача и должна использоваться только как вспомогательный инструмент в работе профессиональных медиков.
Пациентам рекомендуется использовать Систему МойМинЗдрав для определения угрожающих жизни состояний, а также для выбора врача определенной специальности для первичной консультации.
Краниотубулярный гиперостоз
а) Дифференциальная диагностика:
1. Типичные варианты:
• Цветущая костная дисплазия
• Остеомиелит
• Хронический рецидивирующий многоочаговый остеомиелит
• Фиброзная дисплазия
2. Менее типичные варианты:
• Болезнь Педжета
• Синдром Гарднера
• Вторичный гиперпаратиреоз
3. Редкие, но важные варианты:
• Остеопетроз
• Склерозирующая костная дисплазия
• Младенческий кортикальный гиперостоз
• Флюороз
(Слева) На панорамной рентгенограмме в нижней и верхней челюсти справа определяются очаги цветущей костной дисплазии нижней челюсти визуализируются шаровидные включения цемента, окруженные рентгенонегативным «ободком».
(Справа) На аксиальной КТ без КУ определяются изменения, обусловленные остеомиелитом: отек лица, утолщение мягких тканей вокруг нижней челюсти, тяжистость жировой клетчатки. Костный мозг склерозирован. (Слева) На корональной реформатированной КЛКТ у пациента с остеомиелитом на уровне ветвей нижней челюсти определяется склероз костного мозгаслева с выраженной периостальной реакцией. Сравните с неизмененной кортикальной и губчатой костью справа.
(Справа) На корональной КЛКТ на уровне передних отделов ветви у ребенка с хроническим рецидивирующим мультифокальным остеомиелитом определяется формирование новой костной ткани со стороны надкостницы, приводящее к утолщению кости во всех направлениях, на фоне генерализованного склероза нижней челюсти. (Слева) На КЛКТ (панорамная реконструкция) нижней челюсти справа у этого же пациента визуализируются два отдельных литических очага без склеротического «ободка».
(Справа) На сагиттальной КЛКТ (под углом) нижней челюсти слева у этого же пациента на фоне генерализованного остеосклероза видны множественные литические «островки». Определяется вновь сформированная костная ткань со стороны надкостницы. (Слева) На КТ у мальчика-подростка с синдромом МакКьюна-Олбрайта определяется вздутие всех костей и повышение их плотности в виде «матового стекла». Присутствуют разбросанные рентгенонегативные очаги (иногда могут обнаруживаться при фиброзной дисплазии). Поражены также мыщелки и венечные отростки нижней челюсти.
(Справа) На аксиальной КТ у этого же пациента определяется вздутие губчатого вещества нижней челюсти. Картина очень напоминает «матовое стекло» при фиброзной дисплазии.
б) Важная информация:
1. Особенности типичных вариантов:
• Цветущая костная дисплазия:
о Ключевая информация:
- Распространенная форма периапикальной костной дисплазии с поражением трех или более квадрантов или диффузным вовлечением одной челюсти
- Поражение только областей, несущих зубы
- Выше нижнего альвеолярного канала в нижней челюсти
о Визуализация:
- Замещение нормальной трабекулярной кости плотной ацеллюлярной цементной и костной тканью в фиброзной строме
• Остеомиелит:
о Ключевая информация:
- Воспаление костного мозга
- Лихорадка, лимфаденопатия, свищевые ходы
о Визуализация:
- Секвестрация (ключевой признак): диффузная или пластинчатая периостальная реакция
• Хронический рецидивирующий многоочаговый остеомиелит:
о Ключевая информация:
- Повторяющиеся эпизоды мультифокального «стерильного» аутовоспалительного заболевания костей и мягких тканей
- Синоним: хронический небактериальный остеомиелит
- Воспаление костей, возникающее преимущественно у детей и подростков
- Этиология неизвестна:
Предполагается аутовоспалительный характер и генетическая предрасположенность (локус хронического рецидивирующего мультифокального остеомиелита в хромосоме 18q21.3—18q22)
о Визуализация:
- Три варианта поражений:
Фокальные литические
Смешанные литические и склеротические
Склеротические
• Фиброзная дисплазия:
о Ключевая информация:
- Неопухолевое поражение с формированием диспластиче-ской кости в фиброзной соединительной ткани
- Страдают преимущественно девочки и девушки
- Моно- или полиостотическая форма
о Визуализация:
- Края очага смешиваются с окружающей костью
- Внутренняя структура зернистая и часто описывается как «матовое стекло» на рентгенограммах и КТ
(Слева) На аксиальной КТ без КУ у пациента с болезнью Педжета определяется диффузное поражение основания черепа с расширением диплоических пространств, огрублением трабекул, утолщением кортикальных пластинок. Картина хлопковой ваты типична для поздней стадии болезни Педжета.
(Справа) На периапикальной рентгенограмме у пациента с болезнью Педжета определяется гиперцементоз корней зубов на фоне генерализованного повышения плотности костей и отсутствия твердых пластинок. (Слева) На корональной КТ в костном окне у пациента с синдромом Гарднера визуализируются импактные зубы в уплотненной альвеолярной кости, а также остеомы в верхнечелюстных и решетчатых пазухах. Остеомы челюстей предшествуют появлению предзлокачественных полипов тонкой кишки.
(Справа) На аксиальной КЛКТ у пациента с синдромом Гарднера визуализируются множественные остеомы верхней и нижней челюсти. (Слева) На корональной КТ в костном окне (под углом) определяется диффузное вздутие и равномерное повышение плот-ности нижней челюсти. Обратите внимание на очаговое вздутие справа, обусловленное коричневой опухолью.
(Справа) На кадрированной панорамной КЛКТ у четырехлетнего ребенка со злокачеавенным младенческим остеопетрозом определяется замещение трабекулярной кости плотной костной тканью. Зубы неправильно сформированы, прорезывание затруднено. Контуры нижнего альвеолярного кана -ла сглажены.
2. Особенности менее типичных вариантов:
• Болезнь Педжета:
о Ключевая информация:
- Поражение всех костей, особенно черепа
- Верхняя челюсть > нижняя челюсть; тотальное поражение челюсти
- Мужчины европейского происхождения
- 50-60 лет
- Повышение уровня щелочной фосфатазы в крови
о Визуализация:
- Картина зависит от фазы заболевания:
Очаги становятся более плотными по мере созревания (описываются как хлопковая вата)
• Сидром Гарднера:
о Ключевая информация:
- Аутосомно-доминантное генетическое заболевание
- Множественные остеомы предшествуют появлению полипов в тонкой кишке с абсолютным потенциалом к злокачественному перерождению; эпидермоидные кисты
о Визуализация:
- ↑ плотности альвеолярной кости и отсутствие пространств периодонтальных связок
- Сверхкомплектные зубы
- Сочетается с гиперцементозом и одонтомами
• Вторичный гиперпаратиреоз:
о Ключевая информация:
- Реакция на снижение уровня кальция в крови, обусловленное недостатком витамина D, мальабсорбцией, нарушением метаболизма в печени или почках
- Ж>М
- 30-60 лет
- В диагностике помогают данные анамнеза
о Визуализация:
- Разрежение кости с выделением зубов на этом фоне, в некоторых тяжелых случаях возможна генерализованная зернистая или склеротическая картина
3. Особенности редких вариантов:
• Остеопетроз:
о Ключевая информация:
- Наследуется по аутосомно-рецессивномутипу (врожденный остеопетроз) и аутосомно-доминантномутипу (поздний остеопетроз)
- Дисфункция остеокластов приводит к нарушению формирования первичного скелета и ↑ костной массы
- Плотные и ломкие кости — переломы и инфицирование
- Задержка гемопоэза; возможно сдавление черепно-мозговых нервов
о Визуализация:
- ↑плотности костей двухстороннее и симметричное
- На фоне высокой плотности кости корни зубов и другие структуры могут никак не выделяться
- Твердые и кортикальные пластинки утолщены или смешиваются с окружающей плотной костью
- Замедление прорезывания, отсутствие, гипокальцификация зубов
• Склерозирующая костная дисплазия:
о Ключевая информация:
- Пикнодизостоз:
Низкий рост, гипоплазия наружных концов ключиц, гипоплазия терминальных фаланг, бугристый череп, позднее закрытие переднего родничка
- Краниотубулярные дисплазии:
Нарушение формирования скелета ± повышение плотности костей
Примеры; метафизарная дисплазия, краниометафизарная дисплазия, краниодиафизарная дисплазия, остеодисплазия Мелника-Нидпса
- Краниотубулярный гиперостоз:
Разрастание костной ткани с деформацией контура и по вышением плотности кости
Примеры: эндостальный гиперостоз (ван Бухема и Уорза), скперостеоз, диафизарная дисплазия (Камурати-Энгельмана)
- Остеопетроз также рассматривается как костная дисплазия
о Визуализация:
- Генерализованное повышение плотности костей преимущественно у детей
• Младенческий кортикальный гиперостоз:
о Ключевая информация:
- Дети в возрасте до шести месяцев
- Преимущественное поражение нижней челюсти, ребер, ключиц
о Визуализация:
- Повышение плотности костей вследствие формирования большого количества костной ткани со стороны надкостницы
• Флюороз:
о Ключевая информация:
- Отравление фтором (у взрослых людей)
- Обычно в области головы и шеи изменения отсутствуют
о Визуализация:
- Генерализованное повышение плотности костей и периостальная реакция
- Выдающиеся участки прикрепления мышц
- Обызвествление связок и межкостных мембран
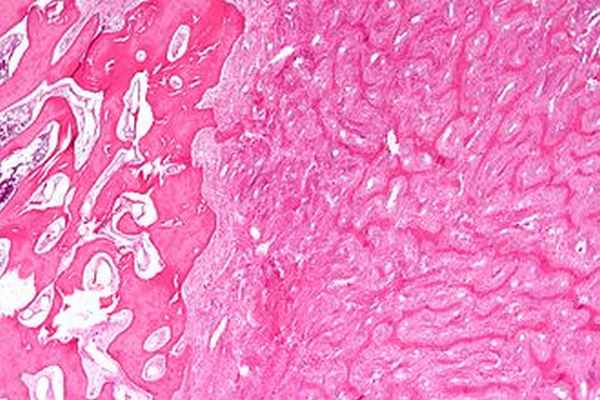
Фиброзная дисплазия костей - Fibrous dysplasia of bone
Фиброзная дисплазия это расстройство, при котором нормальный кость и костный мозг заменяется на фиброзная ткань, в результате чего образуется слабая и склонная к расширению кость. В результате большинство осложнений возникает из-за перелом, деформация, функциональные нарушения и боль. [2] Заболевание протекает по широкому клиническому спектру, от бессимптомных, случайных поражений до тяжелой инвалидизирующей болезни. Заболевание может поражать одну кость (моностотический ), несколько (полиостотический ) или все кости (паностоз) [3] [4] и может происходить изолированно или в сочетании с кофейные пятна на коже с молоком и гиперфункционирование эндокринопатии, названный Синдром МакКьюна – Олбрайта. [2] Реже фиброзная дисплазия может быть связана с внутримышечным введением миксомы, получивший название синдрома Мазабро. [5] Фиброзная дисплазия встречается очень редко, и лечения нет. Фиброзная дисплазия не является формой рак.
Содержание
Презентация

Фиброзная дисплазия справа скуловая кость (осталось). Соответствующие Т2-взвешенные МРТ (слева) и КТ (справа) одного и того же пациента.
Фиброзная дисплазия - это мозаичная болезнь которые могут включать любую часть или комбинацию черепно-лицевых, подмышечных и / или аппендикулярного скелета. [6] Таким образом, тип и тяжесть осложнений зависят от местоположения и степени пораженного скелета. Клинический спектр очень широк: от изолированного бессимптомного моностотического поражения, обнаруженного случайно, до тяжелого инвалидизирующего заболевания, затрагивающего практически весь скелет и приводящего к потере зрения, слуха и / или подвижности.
Отдельные поражения костей обычно проявляются в течение первых нескольких лет жизни и расширяются в детстве. Подавляющее большинство клинически значимых костных поражений выявляется к возрасту 10 лет, при этом после 15 лет появляется несколько новых и почти никаких клинически значимых костных поражений. [7] Всего тела сцинтиграфия полезен для выявления и определения степени поражения костей и должен выполняться у всех пациентов с подозрением на фиброзную дисплазию. [2]
Дети с фиброзной дисплазией аппендикулярного скелета обычно имеют хромоту, боль и / или патологические переломы. Частые переломы и прогрессирующая деформация могут привести к трудностям с передвижением и нарушению подвижности. В черепно-лицевом скелете фиброзная дисплазия может проявляться в виде безболезненной «шишки» или асимметрии лица. Расширение черепно-лицевых поражений может привести к прогрессирующей деформации лица. В редких случаях у пациентов может развиться потеря зрения и / или слуха из-за поражения зрительных нервов и / или слуховых каналов, что чаще встречается у пациентов с ассоциированным синдромом МакКьюна-Олбрайта. гормон роста избыток. [8] Фиброзная дисплазия обычно поражает позвоночник и может привести к сколиоз, что в редких случаях может быть серьезным. [9] Прогрессирующий сколиоз без лечения - один из немногих признаков фиброзной дисплазии, который может привести к раннему летальному исходу.
Боль в костях - частое осложнение фиброзной дисплазии. Он может появиться в любом возрасте, но чаще всего развивается в подростковом возрасте и переходит во взрослую жизнь. [6]
Стромальные клетки костного мозга при фиброзной дисплазии производят избыточное количество гормона, регулирующего фосфат. фактор роста фибробластов-23 (FGF23), что приводит к потере фосфата с мочой. [10] Пациенты с гипофосфатемия может развиться рахит /остеомаляция, повышенные переломы и боль в костях. [11]

Патофизиология
Фиброзная дисплазия - это мозаичное заболевание, возникающее в результате: постзиготический активирующие мутации из GNAS локус в 20q13.2-q13.3, который кодирует α-субъединицу Gs G-связанный белковый рецептор. [12] В кости конститутивный Gsα сигнализация приводит к нарушению дифференциация и распространение стромальные клетки костного мозга. [13] Размножение этих клеток вызывает замену нормальной кости и мозга фиброзной тканью. В костные трабекулы ненормально тонкие и неправильные, и их часто сравнивают с Китайские символы (костные спикулы при биопсии).
Фиброзной дисплазии нет наследственный, и никогда не было случаев генетической наследственности от родителей к детям.
Диагностика
На Рентгеновский фиброзная дисплазия проявляется в виде пузырчатых литических поражений или матового стекла. Компьютерная томография (CT) или магнитно-резонансная томография (МРТ) сканирование может использоваться для определения степени поражения костей. КТ может лучше продемонстрировать типичный внешний вид «матового стекла», который является высокоспецифическим рентгенологическим обнаружением, тогда как МРТ может показать кистозные области с жидким содержимым. [14] А рентген использует радиоактивные индикаторы, которые вводятся в ваш кровоток. Поврежденные части костей забирают больше метки, что более ярко проявляется на сканировании. Биопсия, при которой с помощью полой иглы удаляется небольшой кусочек пораженной кости для лабораторного анализа, может точно диагностировать фиброзную дисплазию.
лечение
Лечение фиброзной дисплазии в основном паллиативный, и ориентирована на лечение переломов и предотвращение деформации. Не существует лекарств, способных изменить течение болезни. Внутривенно бисфосфонаты могут быть полезны при лечении боли в костях, но нет четких доказательств того, что они укрепляют костные поражения или предотвращают переломы. [15] [16] Хирургические методы, эффективные при других заболеваниях, например: костная пластика, кюретаж, а также пластины и винты часто неэффективны при фиброзной дисплазии, и их следует избегать. [17] [18] Интрамедуллярные стержни обычно предпочтительны для лечения переломов и деформаций нижних конечностей. [18] Прогрессирующий сколиоз, как правило, можно лечить с помощью стандартных инструментов и методов слияния. [19] Хирургическое лечение черепно-лицевого скелета осложняется частым послеоперационным отрастанием ФД и должно быть сосредоточено на коррекции функциональных деформаций. [20] Профилактическая декомпрессия зрительного нерва увеличивает риск потери зрения и противопоказана. [21]
Ведение эндокринопатий - важнейший компонент ведения больных с БФ. Все пациенты с фиброзной дисплазией должны пройти обследование и пройти лечение по поводу эндокринных заболеваний, связанных с Синдром МакКьюна – Олбрайта. В частности, необработанный избыток гормона роста может усугубить краниофациальную фиброзную дисплазию и увеличить риск слепоты. [22] Без лечения гипофосфатемия увеличивает боль в костях и риск переломов. [23]
Диагностическая радиология 1979 ч.2 - Аутосомальный доминантный остеосклероз
(Autosomal Dominant Osteosclerosis). С 1935 г. описано около 30 случаев утолщения кортикального слоя в диафизах длинных и коротких трубчатых костей со склеротическими изменениями в черепе, ребрах, костях таза и плечевого пояса. Martin J. Gelman из I университета в Юте [Radiology, 125, 289—296, November, 1977]. I описал 2 наблюдения генетического краниотубулярного гиперостоза, который рентгенологически близко напоминает болезнь
Ван Бухема (генерализованный кортикальный гиперостоз), хотя отличается по клиническим проявлениям и биохимическим изменениям.
Мужчина 57 лет, металлург, наблюдался по поводу упорной головной боли, болей в шее и в левом плече. В возрасте 34 лет диагностирована болезнь Педжета. Кальций, фосфор и щелочная фосфатаза сыворотки в большинстве) случаев были нормальными. Отмечены утолщение и склероз костей свода черепа (рис. 102), основания черепа, нижней челюсти, ключиц, лопаток и ребер (рис. 103). Склероз поражал также латеральные и задние элементы позвоночника и подвздошных костей (рис. 104). Наблюдалось утолщение коркового слоя плечевых, бедренных и большеберцовых костей и цилиндрическая форма диафизов большеберцовых костей (рис. 105). При биопсии правого акромиона и правой подвздошной кости обнаружена нормальная утолщенная зрелая пластинчатая кость. Произведен спондилодез C4—C7, не приведший к клиническому улучшению.
Дочь этого больного, 31 года, наблюдавшаяся по поводу хронического воспаления слюнных желез, одновременно жаловалась на диффузные боли в суставах и имела сходные изменения в скелете. Утолщение диафизов было особенно заметно в костях кистей. Кальций, фосфор и щелочная фосфатаза сыворотки были нормальными.
Генерализованный кортикальный гиперостоз должен расцениваться как генетический краниотубулярный гиперостоз, проявляющийся эностальным утолщением диафизарного кортикального слоя длинных и коротких трубчатых костей с сужением костно-мозговых каналов, но без утолщения диафизов. Аутосомальный доминантный остеосклероз, возможно, представляет собой иное заболевание. Не было найдено периостальных разрастаний или неврологических нарушений, щелочная фосфатаза сыворотки была нормальной. Дифференциальная диагностика проводится с болезнью Педжета, мраморной болезнью, остеомиелосклерозом, прогрессивной диафизарной дисплазией, пахидермопериостозом и склеростеозом.
Ранее были описаны несколько наблюдений, сходных с этими и отличающихся от болезни Ван-Бухема. Представляют ли они самостоятельное заболевание или вариант этой болезни, остается неясным. Неясен и патогенез. При обсуждении собственных наблюдений Van Buchem предполагал возможность избыточной продукции кальцитонина.

Рис. 102. Утолщение свода черепа, наиболее выраженное в базальной части и в области височных костей. Остаточное интракраниальное скопление пантопака после миелографии

Рис. 103 (слева). Уплотненные ребра с утолщенными трабекулами.
Рис. 104 (справа). Двустороннее поражение костей таза с распространением изменений от крестцово-подвздошных сочленений в ветви лонных костей и одновременным укрупнением рисунка трабекул. Эти изменения напоминают картину болезни Педжета, однако двустороннее утолщение кортикального слоя в диафизах бедренных костей без одновременных изменений губчатого вещества помогают отличить эностальный гиперостоз от этого заболевания

Рис. 105. С обеих сторон отмечается утолщение кортикального слоя в диафизах костей голеней и цилиндрическая форма большеберцовых костей [с разрешения Gelman М. J.; Radiology, 125, 289—296, November, 1977].
Краниотубулярный гиперостоз
Диафизарные дисплазии (болезнь Камурати–Энгельмана)
Это аутосомно-доминантное заболевание Аутосомно-доминантные Генетические нарушения, вызванные изменениями в одном гене («Менделевские нарушения»), являются самыми простыми для анализа и наиболее хорошо поняты. Если экспрессия признака требует только. Прочитайте дополнительные сведения человека обусловлено мутациями гена TGFB1. Оно проявляется в среднем детстве мышечными болями, слабостью и атрофией, обычно в ногах. Эти симптомы обычно исчезают к 30 годам. Гиперостоз затрагивает трубчатые кости и череп. Сжатие черепных нервов и повышение внутричерепного давления возникают время от времени. Некоторые пациенты становятся физически недееспособными; у других заболевание протекает практически без симптомов.
Диагноз диафизарная остеодисплазия устанавливают при наличии мышечной слабости в комбинации с гиперостозом трубчатых костей и черепа. Как правило, проводят обычное рентгенологическое исследование. Преобладающая особенность рентгенологической картины – утолщение надкостницы и медуллярной поверхности коркового слоя диафизарной части трубчатых костей, но данные исследований могут отличаться. Медуллярные каналы и внешние контуры костей нерегулярны. Конечности и осевой скелет обычно не затронуты. Редко вовлекается череп с расширением свода и базальным склерозом.
Кортикостероиды могут облегчить боль в костях и увеличить мышечную силу.
Эндостальный гиперостоз (синдром ван Бухема)
Это заболевание, как правило, аутосомно-рецессивное Аутосомно-рецессивные Генетические нарушения, вызванные изменениями в одном гене («Менделевские нарушения»), являются самыми простыми для анализа и наиболее хорошо поняты. Если экспрессия признака требует только. Прочитайте дополнительные сведения . При эндостальном гиперостозе генетические повреджения, по-видимому, влияют на нормальную функцию остеобластов. Чрезмерный рост и искажение нижней челюсти и бровей становятся заметны в середине детства. Впоследствии происходит вовлечение черепных нервов, что приводит к параличу лица и глухоте. Продолжительность жизни не снижена, рост нормальный и кости не хрупкие.
Рентгенография выявляет расширение и склероз свода и основания черепа, нижней челюсти. Диафизарный эндост в трубчатых костях уплотнен.
Хирургическая декомпрессия ущемленных нервов может быть полезна.
Склеростеоз
Это аутосомно-рецессивное заболевание Аутосомно-рецессивные Генетические нарушения, вызванные изменениями в одном гене («Менделевские нарушения»), являются самыми простыми для анализа и наиболее хорошо поняты. Если экспрессия признака требует только. Прочитайте дополнительные сведения вызвано мутацией SOST гена, кодирующего белок склеростин. Заболевание склеростеоз, наиболее распространено среди африканеров Южной Африки. Чрезмерный рост и склероз скелета, особенно черепа, развиваются в раннем детстве. Рост и вес часто чрезмерные. Начальные симптомы и признаки склеростеоза могут включать глухоту и паралич лица вследствие ущемления черепных нервов. Деформация лица становится заметно в возрасте 10 лет и в конце концов становится тяжелым. Кожные или костные синдактилии Синдактилия Врожденные пороки конечностей включают отсутствие или неполное развитие конечностей, лишние конечности или ненормально развитые конечности, что присутствуют с рождения. (См.также Введение во. Прочитайте дополнительные сведенияНа диагноз склеростеоз указывают характерные скелетные аномалии, в особенности при наличии у пациента синдактилии. Как правило, проводят обычное рентгенологическое исследование. Преобладающие рентгеновские проявления – грубое расширение и склероз свода черепа и нижней челюсти. Тела позвонков не затронуты, хотя их ножки уплотнены. Кости таза склеротичные, но имеют нормальные контуры. Длинные кости имеют склерозированный гиперостотический наружный слой и немодифицированные диафизы. Доступен диагностический генетический тест.
Хирургическая операция может помочь снизить внутричерепное давление или убрать давление затронутых нервов.
Авторское право © 2022 Merck & Co., Inc., Rahway, NJ, США и ее аффилированные лица. Все права сохранены.
Читайте также:
