Криптогенная организующаяся пневмония
Добавил пользователь Евгений Кузнецов Обновлено: 27.01.2026
Проведен клинический разбор истории болезни 54-летней пациентки, поступавшей с диагнозом двусторонняя пневмония. При обследовании, включавшем торакоскопическую биопсию легкого, выявлена одна из форм идиопатических интерстициальных пневмоний – криптогенная организующаяся пневмония (КОП). В статье обсуждаются проблемы, с которыми сталкиваются клиницисты и диагносты в процессе ведения пациентов с КОП.
Ключевые слова
Полный текст
Проблема дифференциальной диагностики инфильтративных изменений ткани легких является одной из самых трудных в практике терапевта и пульмонолога. Традиционная триада наиболее частых причин легочных инфильтратов (рак, пневмония, туберкулез) на протяжении многих лет составляет классический дифференциальный ряд. Однако с приходом современных методов диагностики - компьютерной томографии, малоинвазивной торакальной хирургии мы все чаще стали встречаться с заболеваниями, которые ранее протекали под маской перечисленных выше либо вообще не диагностировались, являя нам лишь свой исход в виде распространенного, хотя и туманного термина «пневмосклероз». Особенные затруднения возникают тогда, когда речь идет о редкой болезни, с которой клиницист, рентгенолог или морфолог еще в своей практике не сталкивался. В таком случае даже получение полноценного гистологического материала не гарантирует от неверного диагноза. В данной статье мы хотим представить историю 54-летней пациентки с двусторонним инфильтративным процессом в легких, когда содружество разных специалистов позволило в кратчайшие сроки поставить сложный диагноз и добиться эффективного результата лечения.
Больная поступила в отделение 08.07.2010 г. с жалобами на повышение температуры тела до субфебрильных цифр, одышку при умеренной физической нагрузке, боли в правом тазобедренном суставе.
Анамнез
Считает себя больной с 14 июня, когда после переохлаждения отметила озноб, повышение температуры до 38°С, лечилась симптоматическими средствами, 24.06.10 г. - выполнена рентгенография органов грудной клетки, диагностирована сегментарная пневмония в нижней доле справа, назначена антибактериальная терапия (цефтазидим 2,0 г/сут в/м, левофлоксацин 0,5 г/сут per os). Лечение продолжалось 10 дней, на этом фоне температура снизилась до субфебрильной. Кашля, выделения мокроты не наблюдалось. 06.07.10 г. - при контрольном рентгенологическом исследовании выявлена отрицательная динамика с распространением инфильтрации на нижние отделы левого легкого.
За несколько месяцев до настоящего заболевания у пациентки появились боли в правом тазобедренном суставе, усиливающиеся при движении и в ночное время. Обследования по данному поводу не проходила.
Госпитализирована в пульмонологическое отделение КБ № 83 для уточнения диагноза и лечения.
Из перенесенных заболеваний отмечала генитальный герпес, хронический тонзиллит, аденексит, мастопатию.
Вредные привычки, аллергические реакции, профессиональные вредности в анамнезе отрицала. Эпидемиологический анамнез без особенностей. Контактов с аэрополлютантами до начала заболевания не было.
Объективный статус
Состояние больной удовлетворительное. Кожные покровы и слизистые оболочки чистые, обычной окраски и влажности. Периферических отеков нет. Частота дыхательных движений 17 в мин. Перкуторный звук над легкими легочный. Аускультация легких: дыхание везикулярное, незвонкая крепитация в нижних отделах с обеих сторон, больше слева. АД 100/60 мм рт.ст. Аускультация сердца: тоны сердца ясные, ритмичные, ЧСС 80 в мин. Язык влажный, не обложен. Живот безболезненный. Печень: 9x8x7 см, край ровный. Мочеполовая система: почки не пальпируются. Поясничная область при поколачивании безболезненная с обеих сторон. Сознание ясное. Память сохранена. Черепно-мозговая иннервация: в норме.
Данные лабораторных исследований
В клиническом анализе крови отмечалось повышение СОЭ до 60 мм/ч.
СРБ - 37,4 мг/л. Прокальцигонин
Остальные показатели лабораторных исследований в пределах нормы.
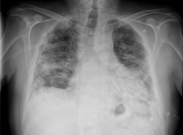
В день поступления больной была проведена КТ органов грудной клетки.
Клиническая версия
С учетом клинической картины, прогрессирования заболевания на фоне антибактериальной терапии у иммунокомпетентной пациентки, высокой плотности инфильтратов в легких было высказано сомнение в отношении бактериальной пневмонии. Более вероятным представлялось наличие интерстициального заболевания легких, инфильтративной формы саркоидоза легких или, с учетом суставного синдрома, дебюта легочного васкулита.
Необходимо отметить, что больная сразу дала согласие на проведение видеоторакоскопической биопсии легкого, что значительно облегчило диагностическую задачу.
До верификации диагноза назначено в/в введение кларитромицина 500 мг/сут.
09.07.2010 г. выполнена операция: видеоторакоскопия слева, биопсия нижней доли левого легкого.
Рис 1. Рентгеновская компьютерная томография 08.07.10. Аксиальная проекция.
Послеоперационный период - без осложнений. В течение суток дренирование левой плевральной полости с активной аспирацией. Дренаж удален 10.07.10 г. Раны грудной клетки чистые, без признаков воспаления.
Рис. 2. Грануляционная ткань в просвете респираторной бронхиолы и альвеолярном ходе.
Окраска гематоксилином и эозином. X 40
Патологоанатомическое заключение
Рис. 3. Грануляционная ткань в альвеолярном ходе в сочетании с небольшим скоплением макрофагов, деформация ткани легкого.
Окраска гематоксилином и эозином. X100
Ткань легкого деформирована за счет врастания в полости альвеол и просветы части респираторных бронхиол 1-го порядка грануляционной ткани в виде полипов (рис. 2), в части полостей альвеол - скопления макрофагов с примесью эозинофилов (рис. 3) и эритроцитов с единичными эозинофилами, в других просветах альвеол - скопление фибрина с примесью эозинофилов и нейтрофилов, отдельные стенки альвеол несколько утолщена за счет небольшой лимфоцитарной инфильтрации и пролиферации альвеолоцитов 2-го типа. Фиброэластоз стенок мелких ветвей легочной артерии с сужением просветов (рис. 4).
Рис. 4. Утолщение стенки мелкой ветви легочной артерии за счет фиброэластоза.
Окраска гематоксилином и эозином. X100
Стенки отдельных мелких сосудов слабо инфильтрированы лимфоцитами и эозинофилами, пролиферация эндотелиальных клеток.
Периваскулярные лимфоцитарные инфильтраты с примесью эозинофилов (рис. 5).
Рис. 5. Периартериолярный лимфоцитарный инфильтрат, небольшие скопления макрофагов в альвеолах.
Окраска гематоксилином и эозином. X100
Заключение
Облитерирующий респираторный бронхиолит с организующейся пневмонией. Фиброэластоз стенок артериол с очаговым сужением просветов. Очаговый подострый васкулит мелких сосудов.
В связи с выраженными сосудистыми изменениями было проведено иммунологическое обследование, позволившее исключить заболевания из группы диффузных болезней соединительной ткани и васкулиты.
Данные инструментальных исследований не выявили каких-либо изменений, имеющих отношение к легочной патологии
УЗИ почек, надпочечников, органов брюшной полости: У 3-патологии не выявлено.
УЗИ органов малого таза: У3-признаки двустороннего хронического сальпингоофорита вне обострения.
УЗИ щитовидной железы: УЗ-признаки коллоидного включения в левой доле, мелкого узла в правой доле щитовидной железы.
УЗИ молочных желез с аксиллярными лимфоузлами: УЗ-признаки фиброзно-кистозной мастотатии, мелких кист обеих молочных желез.
КТ крупных суставов: двухсторонний кокс- артроз 1 ст.
По результатам обследования больной был поставлен диагноз: криптогенная организующаяся пневмония (облитерирующий бронхиолит с организующейся пневмонией).
К этому времени самочувствие больной несколько улучшилось - нормализовалась температура тела, исчезла одышка.
Начата терапия системными кортикостероидами (преднизолон 25мг/сут).
Спустя 2 нед. от начала лечения наблюдалась дальнейшая положительная динамика: отсутствие жалоб, уменьшение СОЭ до 42 мм/ч, при контрольной КТ грудной клетки - уменьшение размеров и плотности инфильтратов в легких (рис. 6).
Рис 6. Рентгеновская компьютерная томография 29:07.10 Аксиальная проекция.
Через 2 недели стероидной терапии выраженная положительная динамика в виде значительного уменьшения выраженности, размеров и интенсивности выявляемых ранее изменений.
Еще через 2 мес. инфильтрация в ткани легких уже не определялась (рис. 7), СОЭ - 30 мм/ч, СРБ - 4 мг/л.
Рис. 7. Рентгеновская компьютерная томография 08.10.10 Аксиальная проекция.
Через 2 месяца полный регресс ранее выявляемых изменений.
Криптогенная организующаяся пневмония - это клиническое понятие относится к категории интерстициальных заболеваний легких, одной из разновидностей идиопатических интерстициальных пневмоний. Морфологическим субстратом данной патологии является облитерирующий бронхиолит с организующейся пневмонией (ОБОП), характеризующийся организацией экссудата и фибробластической реакцией в виде врастания грануляционной ткани в респираторные бронхиолы, альвеолярные ходы и альвеолы [ 1].
Нужно заметить, что с патогистологической точки зрения ОБОП является неспецифическим воспалительно-пролиферативным ответом нижних дыхательных путей на различные экзогенные факторы и некоторые заболевания. Наиболее частыми причинами ОБОП являются инфекция, лекарственные препараты (кордарон, сульфаниламиды, метотрексат, антитела к фактору некроза опухоли-α), лучевая терапия, заболевания соединительной ткани, трансплантации костного мозга, легких, сердца. Если причина неочевидна, ОБОП называют криптогенной организующейся пневмонией (КОП). Таким образом, ОБОП является более широким понятием, чем КОП. В последние годы международные эксперты рекомендуют термин ОБОП употреблять для уточнения гистологической формы поражения ткани легких, а для клинического диагноза использовать этиологические термины (лекарственный пневмонит, лучевой пневмонит и т.д.) или КОП, если этиология неизвестна.
Клиническая картина КОП очень напоминает бактериальную пневмонию. Заболевание, как правило, имеет острое или подострое начало, сопровождающееся лихорадкой, непродуктивным кашлем, появлением мелкопузырча- тьгх хрипов (до 70%) в зонах инфильтрации. Характерно развитие одышки с первых дней заболевания.
Рентгенологическая симптоматика имеет особенности:
- Двусторонний процесс. Описаны солитарные инфильтраты КОП, однако в целом они встречаются довольно редко [2].
- Субплевральная локализация.
- Зоны консолидации высокой плотности, определяющиеся в режиме «Chest».
- Одновременно с зонами консолидации присутствуют «лоскутные» участки «матового» стекла (рис. 8) - важный симптом, описанный впервые G.R. Epler, имеющий место у 80% пациентов [3].
- Зоны поражения могут менять свою локализацию и плотность, "мигрировать" с одного места на другое, если не проводится стероидная терапия (такой симптом характерен также для хронической эозинофильной пневмонии).
Рис. 8. Компьютерная томография органов грудной клетки при КОП. Аксиальная проекция.
а, б - субплеврапьно расположенные участки неоднородного уплотнения легочной ткани с четкими границами, с тракционно расширенными бронхами.
в-г - участки консолидации легочной ткани чередуются с участками уплотнения легочной ткани по типу "матового стекла".
По статистике на КТ в 90% случаев определяются субплевральные и перибронхиальные уплотнения легочной ткани, чаще в нижних долях легких. У 60% больных имеются участки «матового стекла». Уменьшение степени выраженности "матового стекла" при динамическом наблюдении свидетельствует об эффективности проводимой терапии.
При функциональной оценке легких в среднем у 72% пациентов находят рестриктивные нарушения и снижение диффузионной способности.
В целом, как видно, симптомы КОП недостаточно специфичны и могут наблюдаться у больных бактериальной пневмонией. Однако, в отличие от последней, КОП не отвечает на антибактериальную терапию, хотя и с определенными оговорками. Дело в том, что 14- и 15- членные макролиды, обладая противовоспалительными свойствами, могут подавлять патологический процесс при КОП. Описаны десятки случаев успешного лечения данного заболевания кларитромицином без применения кортикостероидов [4]. У нашей больной назначение кларитромицина на период диагностики также оказало позитивный клинический эффект.
Таким образом, поставить правильный диагноз на основании клинико-рентгенологической картины в начале заболевания бывает очень трудно, что объясняет обычный многомесячный анамнез заболевания под маской «затяжной пневмонии» с попытками лечения всеми возможными формами антибактериальных препаратов.
Для нас диагностический выбор в пользу торакоскопической биопсии легкого на 3-й нед. заболевания не был простым, тем более что антибактериальную терапию на предшествующем этапе нельзя было назвать эталонной. Цефтазидим, например, относится к группе антисинегнойных препаратов, и назначаться должен, главным образом, при нозокомиальных пневмониях. Доза левофлоксацина 500 мг/сут считается неадекватной при пневмококковых пневмониях. В современных клинические рекомендациях фигурирует доза не менее 750 мг/сут.
Тем не менее, такие особенности картины заболевания, как отсутствие кашля и мокроты, одышка, высокая плотность двусторонних участков консолидации на КТ склоняли нас в сторону вероятности небактериального поражения легких.
Гистологическая картина, позволив уточнить диагноз, поставила два вопроса, требующих объяснения:
- во-первых, значительные изменения в сосудах по типу васкулита, не характерные для КОП;
- во-вторых, существенное количество эозинофилов в зоне инфильтрации.
Можно предположить, что инфильтрация стенок мелких сосудов и микрогеморрагии могут являться следствием вирусного повреждения, которое послужило толчком к развитию заболевания. Периваскулярная и альвеолярная эозинофилия, также не свойственная КОП, по-видимому, была ответом на предшествующую антибактериальную терапию.
Лечение
Стандартом лечения КОП является назначение системных кортикостероидов - преднизолона в дозе 0,75-1,5 мг/кг в сутки на 1-3 мес. с последующим снижением дозы вплоть до полной отмены в течение 4-6 мес [5]. Несмотря на обычно хороший ответ на стероидную терапию, у 30-50% пациентов после отмены гормональных препаратов наблюдается рецидив, протекающий в более легкой форме. 5-летняя выживаемость при данном заболевании составляет 90%. Предиктором плохого ответа на стероидную терапию, прогрессирования процесса и развития фиброза в зоне воспаления считается позднее начало терапии.
Мы позволили себе отступить от стандартной стартовой дозы преднизолона, уменьшив ее почти в 2 раза, и получили максимальный результат - полное исчезновение участков инфильтрации в ткани легких. Наш опыт свидетельствует о том, что в случае ранней диагностики при нетяжелом течении КОП дозы системных стероидов могут быть пересмотрены в сторону снижения.
Очень трудный вопрос, который должен поставить думающий врач, познакомившись с разбором данного клинического случая, - является ли так называемая карнифицирующая пневмония формой КОП (т.е. интерстициальной пневмонией) или это самостоятельный вариант осложнения неадекватно леченой бактериальной пневмонии?
Не претендуя на окончательные выводы, позволим себе высказать собственную позицию. На наш взгляд, речь идет об одном и том же процессе, тем более что гистологически данные варианты неразличимы. Нынешнее представление об идиопатических интерстициальных пневмониях как неуклонно прогрессирующих, приводящих к развитию дыхательной недостаточности, вероятно, в скором будущем будет пересмотрено. С широким распространением КТ грудной клетки мы стали видеть малые, локальные, «молчащие», формы поражения ткани легких, имеющие рентгенологические признаки интерстициального воспаления, подвергающиеся спонтанной регрессии или находящиеся в волнообразном состоянии. Повидимому, КОП является одним из вариантов реакции легких на инфекционный фактор и может протекать гетерогенно у разных пациентов - от полного разрешения до прогрессирующего течения и формирования фиброза.
Криптогенная организующая пневмония
Криптогенная организующая пневмония относится к категории интерстициальных заболеваний легких, одной из разновидностей идиопатических интерстициальных пневмоний. Морфологическим субстратом данной патологии является облитерирующий бронхиолит с организующей пневмонией, характеризующийся организацией экссудата и фибробластической реакцией в виде врастания грануляционной ткани в респираторные бронхиолы, альвеолярные ходы и альвеолы. Если причина данного процесса неочевидна, ОБОП называют криптогенной организующейся пневмонией (КОП).
Эпидемиология
Одинаково в процентном соотношении поражает женщин и мужчин. Средний возраст больных обычно находится в диапазоне от 50 до 60 лет, однако заболевание может встречаться во всех возрастных группах. Великобритании описано развитие сезонных форм ОП.
Патология
Макроскопически при исследовании операционного и аутопсийного материала легких участки ОП представляют собой уплотненную ткань серокрасного цвета с желтоватым оттенком и имеют объем от 1–2 мм до нескольких сегментов и даже целых долей.
Микроскопически в этих зонах обнаруживают организующийся экссудат, включающий фибрин, лимфоциты, плазматические клетки, полиморфноядерные лейкоциты, единичные эозинофилы, макрофаги с пенистой цитоплазмой, содержащей липиды. Однако основой ОП является грануляционная (фибропластическая) ткань в виде
полипов овальной, вытянутой, серповидной формы в просветах терминальных и респираторных бронхиол, в альвеолярных ходах и мешочках, в просветах альвеол.
Клиническая картина
Клиническая картина ОП относительно стереотипна.
Дебют заболевания напоминает гриппоподобный синдром, который включает лихорадку (примерно у 50% пациентов), непродуктивный кашель (70%), одышку (50%) и плевральные боли (30%). Заболевание может продолжаться довольно длительно (более 3 мес), и в течение этого времени развивается общая астения, снижается масса тела (у половины больных), иногда эти признаки выходят на первый план. При ОП обычно не бывает кровохарканья и изменений концевых фаланг пальцев в виде “барабанных палочек”.
Диагностика
Чаще проявляется криптогенная организующаяся пневмония консолидацией с достаточно четкими контурами (лобулярное поражение). Распределение консолидации либо: субплевральное, базальное, реже центробронхиальное.
Реже проявляется в виде образования, узлов. Другие изменения характерные при криптогенной организующейся пневмонии: уплотнение по типу «матового стекла», картину «дерева-в-почках», бронхоэктазы, узелковые уплотнения, утолщение стенки бронха, утолщение междольковых септ.
Необходимо отметить, что обычно при КОП отсутствуют плевральный выпот и увеличение внутригрудных лимфатических узлов.
По данным исследований, в которых больным ОП одновременно проводили КТ легких и биопсию ткани легких, признаку “матового стекла” соответствует морфологическая картина воспалительного инфильтрата в просвете альвеол и межальвеолярных перегородках, а КТ картине консолидации – собственно организующаяся пневмония.
Криптогенная организующаяся пневмония
Криптогенная организующаяся пневмония относится к категории интерстициальных заболеваний легких, одной из разновидностей идиопатических интерстициальных пневмоний. Морфологическим субстратом данной патологии является облитерирующий бронхиолит с организующейся пневмонией (ОБОП), характеризующийся организацией экссудата и фибробластической реакцией в виде врастания
грануляционной ткани в респираторные бронхиолы, альвеолярные ходы и альвеолы.
Если причина данного процесса неочевидна, ОБОП называют криптогенной организующейся пневмонией (КОП).
Эпидемиология:
Одинаково в процентном соотношении поражает женщин и мужчин. Средний возраст больных обычно находится в диапазоне от 50 до 60 лет, однако заболевание может встречаться во всех возрастных группах. Великобритании описано развитие сезонных форм ОП.
Патология:
Макроскопически при исследовании операционного и аутопсийного материала легких участки ОП представляют собой уплотненную ткань серокрасного цвета с желтоватым оттенком и имеют объем от 1–2 мм до нескольких сегментов и даже целых долей.
Микроскопически в этих зонах обнаруживают организующийся экссудат, включающий фибрин, лимфоциты, плазматические клетки, полиморфноядерные лейкоциты, единичные эозинофилы, макрофаги с пенистой цитоплазмой, содержащей липиды. Однако основой ОП является грануляционная (фибропластическая) ткань в виде
полипов овальной, вытянутой, серповидной формы в просветах терминальных и респираторных бронхиол, в альвеолярных ходах и мешочках, в просветах альвеол.
Клиническая картина:
Клиническая картина ОП относительно стереотипна.
Дебют заболевания напоминает гриппоподобный синдром, который включает лихорадку (примерно у 50% пациентов), непродуктивный кашель (70%), одышку (50%) и плевральные боли (30%). Заболевание может продолжаться довольно длительно (более 3 мес), и в течение этого времени развивается общая астения, снижается масса тела (у половины больных), иногда эти признаки выходят на первый план. При ОП обычно не бывает кровохарканья и изменений концевых фаланг пальцев в виде “барабанных палочек”.
Радиологические находки:
Радиологические находки:
Чаще проявляется криптогенная организующаяся пневмония консолидацией с достаточно четкими контурами (лобулярное поражение).
Распределение консолидации либо: субплевральное, базальное, реже центробронхиальное.
Реже проявляется в виде образования, узлов.
Другие изменения характерные при криптогенной организующейся пневмонии: уплотнение по типу «матового стекла», картину «дерева-в-почках», бронхоэктазы, узелковые уплотнения, утолщение стенки бронха, утолщение междольковых септ.
Необходимо отметить, что обычно при КОП отсутствуют плевральный выпот и увеличение внутригрудных лимфатических узлов.
По данным исследований, в которых больным ОП одновременно проводили КТ легких и биопсию ткани легких, признаку “матового стекла” соответствует морфологическая картина воспалительного инфильтрата в просвете альвеол и межальвеолярных перегородках, а КТ картине консолидации – собственно организующаяся пневмония.
Лечение:
Антибиотикотерапия. КОП также дает хороший ответ на лечения глюкокортикостероидами.
Дифференциальный диагноз:
• эозинофильная пневмония;
• бронхиолоальвеолярный рак;
• лимфома легких;
• множественные инфаркты легких;
• гранулематоз Вегенера;
• аллергический ангиит
гранулематоз Черджа–Стросс.
При наличии мигрирующих легочных инфильтратов перечень заболеваний для дифференциальной диагностики
ОП также очень ограничен:
• эозинофильная пневмония;
• паразитарные инвазии;
• аллергический бронхолегочный аспергиллез;
• аллергический ангиит
гранулематоз Черджа–Стросс.
Источник:
Криптогенная организующаяся пневмония
(облитерирующий бронхиолит с организующейся пневмонией)
, MD, MAS, University of Colorado School of Medicine

Криптогенная организующаяся пневмония – идиопатическое заболевание, при котором грануляционная ткань перекрывает просвет альвеолярных ходов и альвеол, вызывая хроническое воспаление в смежных альвеолах.
В начале заболевания примерно у половины пациентов наблюдаются симптомы, напоминающие внебольничную пневмонию Внебольничная пневмония Внебольничная пневмония определяется как пневмония, приобретенная за пределами больницы. Чаще всего выявленными возбудителями оказываются Streptococcus pneumoniae, Haemophilus influenzae. Прочитайте дополнительные сведенияПри исследовании грудной клетки выявляются хорошо различимые, сухие потрескивания на вдохе (хрипы по типу «треск целлофана»).
Диагностика криптогенной организующейся пневмонии
КТ высокого разрешения (КТВР)
Иногда биопсия легких
При диагнозе криптогенной организующейся пневмонии требуются визуализационные методы исследования, а если такая диагностика не является однозначной, хирургическая биопсия легкого.
При рентгенографии органов грудной клетки выявляются двусторонние диффузные периферические альвеолярные затемнения при нормальных объемах легких; могут также встречаться периферические затемнения, характерные для хронической эозинофильной пневмонии Хроническая эозинофильная пневмония Хроническая эозинофильная пневмония (ХЭП) – заболевание неизвестной этиологии, которое характеризуется хроническим патологическим накоплением эозинофилов в легком. (См. также Обзор эозинофильных. Прочитайте дополнительные сведения . В редких случаях альвеолярные затемнения носят односторонний характер. Часто наблюдаются рецидивирующие и мигрирующие инфильтраты. В редких случаях в начале заболевания могут наблюдаться нерегулярные линейные или очаговые интерстициальные инфильтраты или «сотовое легкое».
При КТВР выявляется очаговая консолидация воздушных пространств (у 90% пациентов), затемнения по типу «матового стекла», узловые затемнения, утолщение стенок и расширение бронхов. Очаговые затемнения встречаются чаще в периферических отделах нижних долей легких. КТВР позволяет обнаружить более обширные зоны поражения, нежели ожидается по результатам рентгенографии органов грудной клетки.
Результаты стандартных лабораторных исследований не специфичны. Лейкоцитоз без повышения количества эозинофилов встречается приблизительно у половины пациентов. Начальное значение скорости оседания эритроцитов (СОЭ) часто повышено.
При биопсии легкого (хирургической или бронхоскопической) выявляется выраженная пролиферация грануляционной ткани в дыхательных путях небольшого калибра и альвеолярных протоках и хроническое воспаление в смежных альвеолах. Локусы организующейся пневмонии являются неспецифичными и могут возникать вторично по отношению к другим патологическим процессам, включая инфекции, васкулит, лимфому Обзор лимфомы (Overview of Lymphoma) Лимфомы представляют собой гетерогенную группу заболеваний, происходящих из клеток ретикулоэндотелиальной и лимфатической системы. Основные варианты лимфом – лимфома Ходжкина и неходжкинские. Прочитайте дополнительные сведения и другие интерстициальные легочные заболевания, такие как идиопатический легочный фиброз Идиопатический легочный фиброз Идиопатический легочный фиброз (ИЛФ), наиболее распространенная форма идиопатической интерстициальной пневмонии, вызывает прогрессирующий фиброз легких. Жалобы и симптомы появляются постепенно. Прочитайте дополнительные сведения , интерстициальные легочные заболевания, относящиеся к соединительной ткани, легочные заболевания, спровоцированные лекарственными препаратами Лекарственные поражения легких Лекарственные поражения легких не являются самостоятельной нозологической единицей, но представляют собой частую клиническую проблему, когда пациент, не страдавший ранее заболеваниями легких. Прочитайте дополнительные сведения , гиперчувствительный пневмонит Гиперчувствительный пневмонит Гиперчувствительный пневмонит – это синдром, включающий кашель, одышку и усталость, вызванный сенсибилизацией и последующей гиперчувствительностью к экзогенным (часто профессиональным или бытовым). Прочитайте дополнительные сведенияЛечение криптогенной организующейся пневмонии
Клиническое выздоровление отмечается у большинства пациентов с криптогенной организующейся пневмонией, получавших кортикостероиды, часто – в течение 2 недель.
Криптогенная организующаяся пневмония рецидивирует у пациентов с частотой до 50%. Рецидивы возникают в зависимости от длительности лечения, поэтому лечение следует назначать в течение 6–12 месяцев Рецидивирующие эпизоды заболевания обычно демонстрируют ответ на дополнительные курсы кортикостероидов.
После лечения обычно наблюдается восстановление, если криптогенная организующаяся пневмония проявляется на КТВР как паренхиматозная консолидация, затемнение по типу «матового стекла» или узелков. Напротив, восстановление менее распространено, когда криптогенная организующаяся пневмония появляется на КТВР в виде линейных и ретикулярных затемнений.
Авторское право © 2022 Merck & Co., Inc., Rahway, NJ, США и ее аффилированные лица. Все права сохранены.
Криптогенная организующаяся пневмония
Криптогенная организующаяся пневмония – это один из вариантов интерстициального заболевания легких, который характеризуется поражением бронхиол, альвеолярных ходов и альвеол. Причины ее развития неизвестны. Заболевание проявляется непродуктивным кашлем, болями в грудной клетке, одышкой и астеническим синдромом. Диагностика болезни проводится по результатам рентгенографии и КТ легких, бронхоскопии, исследования промывных вод, полученных при бронхоальвеолярном лаваже. Лечение консервативное: длительная терапия глюкокортикостероидами до полного регресса признаков заболевания.
МКБ-10

Общие сведения
Криптогенная организующееся пневмония (ОП) составляет от 2 до 13% среди всех интерстициальных поражений бронхолегочной системы. Частота этого заболевания достигает 10 случаев на 100 тыс. взрослого населения, хотя истинная распространенность может быть выше из-за сложности постановки диагноза. Пик диагностики приходится на возраст 50-60 лет, мужчины и женщины болеют одинаково часто. Патология не теряет актуальности для практической пульмонологии, поскольку ее частота постоянно возрастает, протоколы диагностики и лечения требуют дальнейшего усовершенствования.
Причины
Приставка «криптогенная» при определении диагноза организующейся пневмонии указывает на неизвестное происхождение заболевания. В отличие от вторичных форм ОП, которые имеют четкие этиологические факторы – возникают после бактериальной пневмонии, лучевой терапии, воздействия лекарств и токсинов, – криптогенная форма не связана ни с одним из этих факторов и устанавливается только после их исключения.
Патоморфология
Макроскопически очаги криптогенной пневмонии представлены плотной тканью серо-красного цвета с желтоватым оттенком. Их размер колеблется от 2-3 мм до сегмента и даже целой доли легкого. При микроскопическом исследовании обнаруживается организующийся экссудат, который состоит из фибрина, лимфоцитов, плазматических клеток и макрофагов с пенистой цитоплазмой. Основу очагов в бронхиолах и альвеолах составляет грануляционная ткань.
При длительно существующем процессе в патологическом очаге присутствуют фибробласты, которые расположены параллельно друг другу. В межклеточном матриксе определяется большое количество мукополисахаридов. Для очагов организующейся криптогенной пневмонии также характерно наличие тонкостенных сосудов. Легочные альвеолы имеют утолщенные стенки за счет лимфоцитарно-гистиоцитарной инфильтрации.
Классификация
По общепринятой систематизации криптогенную организующуюся пневмонию относят к одному из 7 вариантов идиопатических интерстициальных пневмоний. Некоторые авторы предлагают исключить ее из этой классификации, поскольку ограничения воздушного потока в бронхиальном дереве при данном варианте ОП преобладают над фиброзными изменениями в легких. Существует рентгенологическая классификация заболевания, согласно которой выделяют 4 формы:
- Классическая. Патология представлена множественными альвеолярными инфильтратами, которые преимущественно поражают периферические отделы легких. У 20% пациентов возможны диффузные узелково-сетчатые изменения в легочной паренхиме.
- Нодулярная (фокальная). Проявляется одиночным узловым образованием которое чаще всего расположено в верхней доле легкого. Это сложная для диагностики форма ОП, поэтому окончательный диагноз зачастую устанавливается уже после операции по поводу удаления атипичного опухолевого образования.
- Инфильтративная. Данная форма характеризуется многочисленными сетчатыми изменениями в легочной ткани, которые сопровождаются небольшими участками уплотнения и фиброза.
- Атипичная. Самый редкий вариант криптогенной ОП, который представлен изолированными инфильтратами вокруг бронхов и легочных сосудов, микронодулярными изменениями в паренхиме легких.
Симптомы криптогенной организующейся пневмонии
Заболевание манифестирует гриппоподобным синдромом. Самым распространенным симптомом является сухой кашель, который возникает у 70% пациентов. К типичным проявлениям относят лихорадку (возникает в 50% случаев), одышку (50%), боли в грудной клетке (30%). Развернутая клиническая картина болезни напоминает бактериальную пневмонию, поэтому такие пациенты могут длительно время получать неэффективное лечение антибиотиками.
Для организующейся пневмонии типично затяжное течение. Симптомы разной интенсивности продолжаются дольше 3 месяцев. Помимо респираторных нарушений, пациенты предъявляют жалобы на снижение массы тела, постоянную слабость, ухудшение работоспособности. Вследствие дыхательных нарушений и гипоксии возникают головокружения, нарушения памяти и концентрации внимания.
Осложнения
Заболевание отличается относительно благоприятным течением. У 20% пациентов происходит самопроизвольное разрешение патологических очагов, после чего легочная ткань восстанавливает нормальную структуру. При симптоматических формах болезни правильная и своевременная терапия позволяет достичь регресса патологии. Осложнения в виде дыхательной недостаточности и фиброза легких наблюдаются крайне редко, хотя не исключены рецидивы криптогенной ОП.
Диагностика
Пациенты с типичными бронхолегочными симптомами направляются на консультацию пульмонолога. У большинства больных при первичном осмотре и физикальном исследовании определяется клиническая картина инфекционной пневмонии. Для исключения этой формы воспаления легких и постановки окончательного диагноза проводится ряд инструментальных и лабораторных методов диагностики, таких как:
- Рентгенография легких. При изучении рентгенограммы отмечаются очаги поражения в легочной ткани по типу инфильтратов, сетчатых изменений, ограниченного уплотнения и фиброза. Рентгенологические находки соответствуют вышеназванным формам криптогенной пневмонии.
- КТ легких. Более чувствительный метод диагностики необходим для выявления мелких инфильтратов, которые не видны на рентгенограммах. В 20% случаев определяется обратный гало-признак – очаг «матового стекла, окруженный венчиком периферической консолидации. Изредка на КТ обнаруживают бронхоэктазию.
- Бронхоальвеолярный лаваж. При микроскопии промывных вод бронхов обнаруживают увеличение числа клеточных элементов, среди которых преобладают лимфоциты (20-40%), нейтрофилы (10-20%) и эозинофилы (5-10%). Характерным признаком организующейся пневмонии называют «пенистые» макрофаги.
- Бронхоскопия. Эндоскопическая визуализация бронхиального дерева необходима для дифференцировки с другими патологиями. При осмотре не обнаруживают локальных воспалительных изменений или повышенного образования слизи, что позволяет исключить классическое инфекционное поражение. Исследование зачастую дополняют биопсией с гистологическим исследованием легочной ткани.
- Функциональные тесты. У 50% пациентов наблюдается рестриктивные нарушения дыхания. Характерно снижение диффузионной способности легких и ее отношения к альвеолярному объему, усиление дыхательных расстройств при физической нагрузке. Неблагоприятные результаты исследования выявляются у курильщиков со стажем, имеющих криптогенную ОП.
- Лабораторные методы. В гемограмме обнаруживают признаки системной воспалительной реакции: лейкоцитоз, увеличение СОЭ. При биохимическом исследовании у 80% пациентов определяется повышенный уровень С-реактивного белка. Для исключения инфекционной природы болезни показана микроскопия и посев мокроты.
Дифференциальная диагностика
Классический вариант ОП дифференцируют с эозинофильной пневмонией, множественными инфарктами легких, гранулематозом Вегенера и аллергическим ангиит-гранулематозом Чарджа-Стросс. При ограниченных узловых инфильтратах исключают бронхоальвеолярных рак и лимфому легких. Мигрирующие инфильтраты требуют дифференциальной диагностики с аспергиллезом, паразитарными инвазиями. При верификации диагноза исключают вторичные ОП: постинфекционную, пострадиационную, посттрансплантационную.

Лечение криптогенной организующейся пневмонии
Основным методом лечения является длительный прием глюкокортикостероидов (ГКС). Криптогенная форма ОП показывает высокую чувствительность к этим препаратам, поэтому клинико-лабораторное улучшение на форме кортикостероидной терапии – дополнительный критерий подтверждения диагноза. Применение ГКС необходимо для быстрого и полного исчезновения фиброзной ткани из легких и бронхиол.
Общепринятый протокол терапии предполагает назначение препаратов в течение 24 недель с постепенным уменьшением дозы до поддерживающей. При недостаточной эффективности лечение продлевают до 12 месяцев. В тяжелых случаях используется пульс-терапия ГКС в виде внутривенного болюсного введения. По показаниям терапевтическую схему усиливают иммуносупрессорами. При легком течении криптогенной ОП возможно назначение макролидов.
Учитывая высокий риск рецидива, пациенты с криптогенной организующейся пневмонией находятся на диспансерном учете у пульмонолога. При повторном возникновении симптоматики необходимы высокие дозы кортикостероидов сроком до 12 недель, после чего дозировки постепенно снижают и отменяют препараты. Рецидивы возникают в первый год после диагностики заболевания, более поздние обострения могут указывать на альтернативный диагноз (например гранулематоз Вегенера).
Прогноз и профилактика
Хотя криптогенная ОП успешно поддается терапии кортикостероидами, в течение 2-6 месяцев после отмены препаратов возможны рецидивы. Повторные обострения возникают у 58% пациентов. Они успешно купируются фармакотерапией, поэтому прогноз для здоровья и жизни благоприятный. У большинства больных удается полностью восстановить дыхательную функцию и работу легких. Меры профилактики болезни не предусмотрены.
1. Случай криптогенной организующейся пневмонии/ Ю.Г. Белоцерковская, И.Е. Тюрин, С.Н. Швайко// Consilium Medicum. – 2020. – №11.
2. Рецидивирующая криптогенная организующаяся пневмония на фоне саркоидоза легких/ Ю.А. Рызванович, Е.В. Вовкогон// Российский электронный журнал лучевой диагностики. – 2013. – №3.
3. Дифференциальная диагностика криптогенной организующейся пневмонии у больного с вторичным иммунодефицитом/ Е.А. Байгозина, В.И. Совалкин, Е.П. Подгурская// Клиническая медицина. — 2012. – №11.
Читайте также:
