Крипторхизм у плода. Тестикулярная феминизация
Добавил пользователь Евгений Кузнецов Обновлено: 23.11.2025
МКБ-10 коды
Описание
Крипторхизм - это состояние, при котором одно или оба яичка не находятся на своем месте в мошонке. При внутриутробном развитии яички располагаются в брюшной полости плода. В норме незадолго до родов яички опускаются в мошонку и у доношенного ребенка при рождении или в первые дни после рождения яички должны определяться в мошонке.
Крипторхизм довольно часто встречается в детской урологии. Так, у доношенных детей он диагностируется в 3 % случаев, а у недоношенных - в 30 %. Однако после года жизни ребенка соответственно у 75 и 90 % детей яички самостоятельно опускаются в мошонку, и общая частота крипторхизма в популяции в годовалом возрасте составляет 1-2 %. Двусторонний крипторхизм имеет место у 10% пациентов.
Клиническая картина
Классификация состояний, сопряженных с отсутствием одного или обоих яичек в мошонке, проводится в зависимости от расположения яичка следующим образом:
1. Внутрибрюшной крипторхизм (10% случаев) - яичко расположено проксимальнее внутреннего пахового кольца в брюшной полости.
2. Ингвинальный (паховый) крипторхизм - яичко расположено в паховом канале между наружным и внутренним паховым кольцом.
3. Эктопия яичка (5% случаев) - яичко расположено дистальнее внутреннего пахового кольца, но вне своего обычного пути опущения в мошонку. Чаще всего эктопированное яичко обнаруживается в паховой области (паховая эктопия), в промежности, на бедре (бедренная эктопия), у корня полового члена, над лоном и, изредка, в противоположной половине мошонки.
4. Анорхизм (4% случаев) - врожденное отсутствие яичек.
5. Блуждающее яичко (ложный крипторхизм) - строго говоря, не является проявлением крипторхизма. При данном состоянии имеет место высокий рефлекс кремастера - мышцы, поднимающей яичко. Кремастерный рефлекс имеет наибольшую активность в возрасте от 2 до 7 лет. Яичко обычно определяется в субингвинальной или премошоночной области и может быть без усилия помещено обратно в мошонку.
Ассоциированные симптомы: Асимметрия. Боль в гениталиях у мужчин. Запор.
Диагностика
Обследование пациента при отсутствии яичка в мошонке проводят в теплом помещении. Пальцы одной руки располагают у основания мошонки, предотвращая смещение яичка, другой рукой осуществляют пальпацию. Если яичка в мошонке нет, то пальпируют паховый канал (по направлению от верхней передней подвздошной ости вниз и медиально к лобковому бугорку), промежность, надлонную область и бедренный канал. Если яичко находится у выхода из пахового канала, его деликатно пытаются низвести в мошонку, что позволяет провести дифференциальную диагностику между истинным и ложным крипторхизмом. Для того чтобы отличить крипторхизм от врожденного отсутствия или эктопии яичка, проводится УЗИ или МРТ брюшной полости и органов малого таза. Если яичко не пальпируется, в ряде случаев проводится лапароскопия с последующим низведением яичка в случае обнаружения его в брюшной полости. При отсутствии пальпируемых яичек с обеих сторон до оперативных манипуляций показано проведение теста с введением хорионического гонадотропина и определение базального уровня фолликулостимулирующего (ФСГ) и лютеинизирующего (ЛГ) гормонов. При отсутствии повышения уровня тестостерона в ответ на введение хорионического гонадотропина и повышенных базальных уровнях ФСГ и ЛГ достоверно устанавливается диагноз анорхизма.
Причины
Этиология заболевания неизвестна.
Большое значение данной нозологии обусловлено тем, что при крипторхизме:
1. Риск развития рака яичка выше в 20-40 раз. 10% случаев от общего числа тестикулярного рака развивается в неопущенном яичке. Вероятность развития рака в 4 раза выше при внутрибрюшном крипторхизме, чем при ингвинальным (паховым).
2. Нарушается фертильность. Только 30 % пациентов с двусторонним крипторхизмом фертильны. Нарушения фертильности более выражены при более высоком расположении яичка и более продолжительном нахождении его вне мошонки.
3. Чаще встречается сопутствующая мошоночная грыжа.
4. Повышен риск перекрута яичка, особенно в постпубертатном периоде.
Лечение
Целью лечения крипторхизма является восстановление нормального положения яичек до наступления 2-го года жизни ребенка, поскольку если в 2 года яичко не опустилось в мошонку, происходит необратимое нарушение сперматогенеза. Консервативные методы лечения крипторхизма предполагают использование хорионического гонадотропина или рилизинг-фактора (рилизинг-гормона) лютеинизирующего гормона. Эффективность гормонотерапии составляет 20-30 %. При эктопии яичка она неэффективна, однако может быть использована для улучшения состояния тканей перед операцией.
Нередко при крипторхизме сразу же рекомендуют оперативное лечение, особенно, если речь идет о расположении одного или обоих яичек в брюшной полости, эктопии яичка или сочетании крипторхизма с пахово-мошоночной грыжей, незаращением влагалищного отростка и прочими аномалиями. Операциями выбора являются орхидофуникулолизис (освобождение яичка и семенного канатика от окружающих тканей) и орхипексия (фиксация яичка в мошонке после предварительного низведения). Орхипексия в раннем возрасте снижает риск развития рака яичка. При грубых морфологических изменениях производится удаление яичка. Лучший возраст для операции орхипексии - 12-18 мес.
Крипторхизм у плода. Тестикулярная феминизация
Крипторхизм у плода. Тестикулярная феминизация
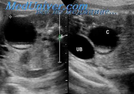
Неопущение яичка (крипторхизм) может быть выявлено при ультразвуковом исследовании по отсутствию возможности визуализировать яичко в мошонке. Поскольку яички полностью опускаются в мошонку только на поздних сроках беременности, в первой половине третьего триместра это состояние может обнаруживаться по меньшей мере у 10% плодов.
К концу беременности частота неопущения яичек уменьшается до 0,7%. Хотя в большинстве случаев крипторхизм встречается изолированно, он также может встречаться при целом ряде других синдромов, в том числе при синдроме недостаточности мышц живота (синдроме prune-belly), синдроме Нунан (Noonan) и трисомиях 13, 18 и 21.
Иногда строение наружных половых органов не позволяет четко определить половую принадлежность. Формирование таких состояний может быть обусловлено аномалиями гормонального статуса и истинным гермафродитизмом (когда имеется наличие как тканей яичников, так и яичек).
Некоторые аномалии наружных половых органов могут быть не связаны с гормональными причинами (например, гипоплазия полового члена). Такие аномалии могут встречаться как изолированно, так и сочетаться с пороками мочевыводящего тракта, хромосомными аберрациями или входить в состав различных синдромов, при которых формируются множественные аномалии развития.

Тестикулярная феминизация
Тестикулярная феминизация характеризуется развитием наружных половых органов по женскому типу при наличии мужского кариотипа (46,XY). Эта аномалия обусловлена нарушением функции рецепторов андрогенов, в результате чего гормональнозависимые ткани организма не могут реагировать на тестостерон.
У пораженных плодов вырабатывается тестостерона больше, чем у здоровых плодов, но гормон не оказывает влияния, и мужские признаки не формируются. Пренатальная диагностика тестикулярной феминизации может осуществляться на основании расхождения данных, получаемых при ультразвуковом исследовании, которое выявляет наружные половые органы, сформированные по женскому типу, с результатами цитогенетического исследования после амниоцентеза, которое обнаруживает мужской кариотип.
Скелетные дисплазии представляют собой неоднородную группу заболеваний, связанных с нарушением размеров и формы различных отделов костной системы. В последнее время достигнут значительный прогресс в определении мутаций, отвечающих за развитие хондродисплазий.
В следующих статьях рассматриваются последние достижения в этой области, приводится частота распостраненности и современная классификация скелетных дисплазии, а также предлагаются подходы к пренатальной диагностике патологии, которая затем будет определяться у ребенка после рождения.

Информация на сайте подлежит консультации лечащим врачом и не заменяет очной консультации с ним.
См. подробнее в пользовательском соглашении.
Синдром Морриса - симптомы и лечение
Что такое синдром Морриса? Причины возникновения, диагностику и методы лечения разберем в статье доктора Литвинова Владимира Валентиновича, репродуктолога со стажем в 39 лет.
Над статьей доктора Литвинова Владимира Валентиновича работали литературный редактор Юлия Липовская , научный редактор Сергей Федосов и шеф-редактор Лада Родчанина
Определение болезни. Причины заболевания
Синдром Морриса (синдром тестикулярной феминизации) — это врождённое генетическое заболевание, при котором у людей мужского пола ткани-мишени не чувствительны к мужским половым гормонам — андрогенам. Человек с синдромом Морриса генетически является мужчиной (имеет кариотип 46 XY), но выглядит как женщина.
Кариотип — это набор хромосом, который передаётся ребёнку от матери и отца. Кариотип позволяет определить характеристики индивида, включая пол. В норме у человека в генетическом наборе присутствует 46 хромосом, из них 22 пары аутосомных (не определяющих пол) и одна пара половых хромосом, которая определяет гендерную принадлежность ребёнка. Половые хромосомы женщины обозначаются как ХХ, мужчины — ХY. То есть нормальный женский кариотип — 46 XX, мужской — 46 XY.

Причина синдрома Морриса — мутации (изменение) гена рецептора андрогенов, у наследованные от матери или возникшие впервые . Мутации обуславливают резистентность (нечувствительность) рецепторов к гормону тестостерону [19] . В этом случае развивается синдром тестикулярной феминизации (СТФ). Ещё это заболевание называют синдромом Морриса — по имени американского гинеколога, который впервые ввёл термин в обиход, подробно описав его в 1953 году. Другие синонимы патологии — синдром нечувствительности к андрогенам, синдром андрогенной резистентности.
Часто мужчины с синдромом Морриса даже не догадываются о своём биологическом поле (как и их родители) и живут как девочки/женщины. Это объясняется тем, что данная патология больше никак себя не проявляет, кроме проблем с фертильностью (способностью к зачатию) во взрослом возрасте.
В популяции синдром встречается редко. По данным разных авторов, частота заболевания составляет от 1: 20 400 до 1: 99 100 случаев [19] . Точные данные собрать сложно, так как патология часто остаётся нераспознанной. Согласно исследованию, которое проводилось в Дании в течение семилетнего периода, полная нечувствительность к андрогенам случается с вероятностью 1 на 20 400 новорождённых с кариотипом 46 XY [15] .
Синдром тестикулярной феминизации впервые в Европе описан в 1817 году баварским врачом Джорджем Стегленером, в России — в 1893 году профессором клиники московского университета Благоволиным Сергеем Ивановичем (1865-1947) [4] .

Есть заключения генетиков и историков (по утверждению профессора Эфроимсона), которые приписывают синдром тестикулярной феминизации и королеве Англии Елизавете Тюдор (1533-1603) [5] .
Несмотря на то, что синдром Морриса встречается редко, он обнаруживается почти у 1 % выдающихся спортсменок , которые имеют превосходство в физической силе, быстроте и ловкости [5] [18] . Это стало причиной исключения женщин и девушек с синдромом тестикулярной феминизации из женских спортивных состязаний [5] . Регламент многих серьёзных спортивных соревнований, особенно в силовых видах спорта, беге, прыжках, обязывает женщин предоставить результат анализа на кариотип. Обязательное тестирование стали проводить после истории с немецкой легкоатлеткой Дорой Ратьен, которая участвовала в Олимпийских играх 1936 года. После игр стало известно, что Дора генетически была мужчиной. Этот случай послужил поводом к тому, что всех участниц соревнований стали осматривать врачи. Позже вместо осмотров спортсменки стали сдавать анализ крови на кариотип.

Иногда синдром Морриса называют синдромом манекенщиц , так как женщины с данной патологией часто имеют привлекательную внешность [16] [17] .
При обнаружении схожих симптомов проконсультируйтесь у врача. Не занимайтесь самолечением - это опасно для вашего здоровья!
Симптомы синдрома Морриса
Как правило, люди с синдромом тестикулярной феминизации имеют женский фенотип, т. е. внешне выглядят как женщины. Однако есть некоторые признаки, по которым можно определить наличие заболевания.
- С началом полового созревания больные отличаются женским телосложением. Это объясняется влиянием эстрогенов и отсутствием эффекта тестостерона. П ри этом у таких людей часто высокий рост, узкий таз и широкие плечи, что более характерно для мужчин. [1][2][6][7] .

- При нормальном росте и отсутствии аномалий развития характерны крупные кисти рук и крупные стопы.
- Молочные железы обычно развиты соответственно 3-4 размеру, однако ареолы сосков окрашены бледно.
- Характерно отсутствие полового оволосения (в области подмышечных впадин и на лобке), т. к. "не работает" тестостерон.
- В результате влияния эстрадиола и отсутствия действия тестостерона в ходе эмбрионального развития у плода мужского пола наружные половые органы формируются по женскому типу: не формируется половой член, но есть половые губы, укороченное влагалище, заканчивающееся слепо (т. е. нет матки, шейки матки и яичников).
- У детей с синдромом Морриса (4-5 лет) иногда появляются паховые грыжи. В таких случаях родители обращаются к детскому хирургу. Врач проводит операцию и в составе грыжевого содержимого обнаруживает ткань, напоминающую по структуре яичко (мужскую гонаду). Так как у "девочки" не может быть мужской гонады, берут биопсию (для подтверждения диагноза СТФ). В таком случае яичко не удаляют, ушивают грыжевой мешок и заканчивают операцию. Далее врач рекомендует провести генетическое обследование ребёнка, которое устанавливает мужской кариотип 46 XY. Считается, что удалять гонады до пубертатного периода нельзя, т. к. это может нарушить формирование организма ребёнка в целом.
- В 14-16 лет (если патология не была выявлена раньше), родители замечают, что у "девочки" отсутствует менструация, в связи с чем обращаются к врачу-гинекологу. Во время гинекологического осмотра и УЗИ выявляется, что у ребёнка имеется слепо заканчивающееся влагалище (в виде слепого мешка). Глубина влагалища может варьировать от нормальной до укороченной [1][2][6][7] .
Патогенез синдрома Морриса
В начале эмбрионального развития у зародышей вне зависимости от хромосомного набора, образовавшегося при оплодотворении яйцеклетки сперматозоидом, половая система закладывается одинаково и предоставляет возможности для развития как женской, так и мужской половой системы. В частности, у зародыша одновременно формируются вольфов и мюллеров протоки, которые потом превращаются в семявыносящие протоки у мужчин и матку с фаллопиевыми трубами и влагалищем у женщин. Половые железы эмбриона (гонады) не дифференцированы и содержат первичные половые клетки (гаметы), которые могут превратиться как в клетки яичников (женские гонады), так и в клетки семенников (мужские гонады).
Таким образом, эмбрион до 6 недель является нейтральным по полу (имеет признаки и мужского, и женского пола). Далее процесс формирования половых признаков и в дальнейшем организма происходит под строгим контролем гормонов: у эмбриона мужского пола — под влиянием тестостерона (влагалище атрофируется), у эмбриона женского пола — под влиянием эстрадиола и прогестерона (влагалище трансформируется из "слепого мешка" и формируется шейка матки и матка). Тестостерон и эстрадиол вырабатываются как у мужчин, так и у женщин, только их соотношение разное. В норме у мальчиков соотношение мужского гормона к женскому 4\1, а в случае СТФ — 0\1. У девочек соотношение мужского гормона к женскому, прямо противоположное — 1\4.

В процессе эмбриогенеза у людей с синдромом Морриса под влиянием мужской Y-хромосомы гонады развиваются как яички, они не способны к сперматогенезу, но способны вырабатывать тестостерон [8] . Однако из-за генетической мутации организм "не видит"/"не чувствует" присутствие тестостерона в крови, поэтому гормон не может проявить свои свойства и сформировать мужской организм. При этом секретируемые надпочечниками эстрогены (эстрадиол), хоть и в небольшом количестве, нормально вырабатываются и усваиваются организмом, в результате чего начинают превалировать в организме (как у девочки). В связи с этим влагалище не атрофируется, в дальнейшем ребёнок развивается по женскому типу.
Классификация и стадии развития синдрома Морриса
Синдром тестикулярной феминизации делят на две формы — полный и неполный. Дети с полной формой нечувствительности к мужским гормонам имеют однозначно женский внешний вид. При этом состоянии чувствительность организма к мужскому половому гормону (тестостерону) отсутствует полностью. Рождается здоровая "девочка", не имеющая, на первый взгляд, каких-либо отклонений в развитии.
Неполная форма СТФ характеризуется более разнообразной клинической картиной. В этом случае отмечается некоторая чувствительность рецепторов к тестостерону. Выделяют пять основных степеней неполного синдрома тестикулярной феминизации (классификация 1996 года) [10] .
- Мужской тип. У больных мужской фенотип без каких-либо отклонений.
- Преимущественно мужской тип. Наблюдаются нарушения формирования половых органов, хотя фенотип больных — мужской.
- Амбивалентный тип. Более выраженные нарушения формирования половых органов: уменьшение полового члена, который становится похожим на клитор, мошонка похожа на большие половые губы. Характерно расширение таза, узкие плечи, гинекомастия (увеличение груди).
- Преимущественно женский тип. По фенотипическим признакам больные являются женщинами. Однако у них, как правило, короткое влагалище и гипертрофированый (увеличенный) клитор
- Женский тип. По всем внешним признакам, за исключением увеличенного клитора, больные являются женщинами.

Осложнения синдрома Морриса
- Из-за нарушения проходимости (опущения) яичек по паховому каналу у больных СТФ в детском возрасте (3-5 лет) часто обнаруживают паховые грыжи и гипоспадию ( недоразвитие полового члена и неправильное расположение мочеиспускательного канала) . Гипоспадия, в свою очередь, может стать причиной развития различных воспалительных процессов в мочевыделительной системе ( уретриты , пиелонефриты) [13] .

- Крипторхизм (неопущение яичек) в будущем грозит злокачественным перерождением тканей яичка (развитием гонадобластомы), что является наиболее тяжёлым осложнением данного заболевания [10][19] . Одна из причин образования гонадобластомы в том, что яички постоянно находятся в забрюшинном пространстве, где температура выше 37 °C. В норме яички должны находиться снаружи (в мошонке), т. к. для их жизнедеятельности нужна постоянная температура ниже 34 °C. Точную частоту возникновения рака у пациентов с синдромом тестикулярной феминизации оценить очень трудно, однако по различным данным общий риск составляет примерно 5 % всех случаев патологии. При этом с возрастом вероятность развития рака возрастает [reference:19 ] .

- Ещё одним серьёзным осложнением заболевания является бесплодие.
Диагностика синдрома Морриса
- Определение фенотипа — совокупности внешних признаков.
- Изучение семейного анамнеза пациента. Если в семье были случаи андрогенной нечувствительности, то вероятность наличия патологии выше, однако нужно понимать, что отсутствие отягощённого семейного анамнеза не исключает диагноз.
- Гинекологический и урологический осмотр. Выявляется слепо заканчивающееся влагалище (слепой мешок), отсутствие шейки, не пальпируется матка и её придатки.
- Определение половых гормонов в крови (тестостерона, эстрадиола). Выявляется высокий уровень тестостерона, уровень эстрадиола выше, чем у мужчин, но ниже, чем у женщин в норме.
- Ультрасонографии органов малого таза (УЗИ) и р ентгенологическое обследование для выяснения состояния органов малого таза . В малом тазу не визуализируется матка и яичники. Забрюшинно визуализируются образования, похожие на "яичники", на самом деле это яички (без дополнительных данных анамнеза бывает трудно это предположить). Мужские гонады могут располагаться в паховых каналах, в стенках таза или в толще больших половых губ.
- Кариотипирование — исследование хромосомного набора. Позволяет обнаружить отклонения в структуре и числе хромосом . При синдроме тестикулярной феминизации определятся мужской кариотип — 46 XY. Для исследования используется венозная кровь.
- Молекулярно-генетический анализ гена андрогенного рецептора. Определение мутаций гена при наличии характерной клинической картины подтверждает диагноз СТФ с вероятностью близкой к 100 %.
Лечение синдрома Морриса
Лечение синдрома тестикулярной феминизации должно осуществляться междисциплинарной командой врачей, которая состоит из хирурга, гинеколога, генетика, эндокринолога и клинического психолога или психиатра.
При полной андрогенной нечувствительности и в случае частичной нечувствительности с преимущественно женским типом в 20-50 % случаев необходимо удалять яички из-за риска развития рака [19] . Операция, как правило, проводится после завершения пубертатного периода и конституционального формирования (14-15 лет) [11] . Хирургическое лечение в отношении половых желёз (гонад) проводится в настоящее время лапароскопическим доступом [3] [6] . Лапароскопию должен проводить хирург высокой квалификации, так как удаляемые гонады (яички) находятся забрюшинно и имеют высокую степень кровоснабжения. Динамическое наблюдение, УЗИ и контроль гормона тестостерона позволяют оценивать эффективность проведённой операции [14] .
Операция эффективна в 100 % случаев. Но так как удаляемые гонады мягкие и не имеют чёткой формы и структуры, возможны случаи неполного их удаления. Тогда оставшаяся ткань яичка может возобновить свою работу, что проявляется повышением тестостерона в крови и визуализацией на УЗИ гонады/гонад. В этом случае необходима повторная операция. Однако это случается очень редко.
После удаления гонад показана последующая длительная заместительная терапия эстрогенами. Она необходима для продолжения дальнейшего формирования женского организма и обязательна (до возраста 45-50 лет) для профилактики остеопороза (потери костной тканью кальция) [8] [12] . Развитие остеопороза связано с тем, что в организме пациента мало собственного эстрадиола, который в норме удерживает кальций в костях. Следовательно, у таких людей кальций будет вымываться быстрее и плотность костей будет снижаться. Такое состояние опасно частыми переломами.
В случае короткой длины влагалища для предотвращения диспареунии (боли во время полового акта) возможно хирургическое увеличения длины влагалища [20] .
Больным с частичной андрогенной нечувствительностью с преимущественно мужским типом , которые выросли как мужчины, может быть предложено хирургическое лечение крипторхизма и гипоспадии. При крипторхизме проводится орхипексия — низведении неопущенного яичка в мошонку и фиксации его к окружающим тканям путём наложения шва. Коррекция гипоспадии подразумевает:
- восстановление отсутствующей части мочеиспускательного канала;
- восстановление нормального расположения мочеиспускательного канала;
- выпрямление полового члена;
- придание эстетически адекватного внешнего вида наружным половым органам.

В случае гинекомастии (увеличения груди) мужчинам может потребоваться маммопластика [21] . Часто пациентам с выявленным заболеванием требуется психологическая помощь.
Прогноз. Профилактика
Прогноз для жизни в случае синдрома Морриса благоприятный. Своевременная диагностика, гонадэктомия и заместительная гормональная терапия обычно дают хорошие краткосрочные и долгосрочные результаты. Пациентки часто адаптируются, нередко выходят замуж. Преодоление бесплодия возможно с помощью программ ЭКО с использованием донорских яйцеклеток, оплодотворённых спермой мужа, и суррогатного материнства. Главное — правильная адаптация и объяснение пациентке её состояния [12] .
Для профилактики синдрома тестикулярной феминизации женщинам, планирующим беременность рекомендуется пройти генетическое исследование, чтобы выяснить, не является ли она носителем патологического гена. Исследование должно проводится при отягощённом наследственном анамнезе, т. е. в том случае, если в семье были случаи андрогенной нечувствительности. Для профилактики остеопороза рекомендуется дополнительный приём кальция и витамина D [8] .
Крипторхизм

Крипторхизм врожденный – это патологическое состояние, при котором у мальчика яички не находятся в мошонке. Мужские гонады могут располагаться в брюшной полости, в пределах пахового канала или в области промежности, то есть процесс их физиологической миграции нарушается.
О заболевании
Крипторхизм – это одна из самых частых аномалий развития мужской половой системы в детской практике. Примерно у 4% доношенных мальчиков яички к моменту рождения не находятся в мошонке, а среди недоношенных частота этой патологии составляет до 30%. По статистике, правосторонний крипторхизм встречается более чем в 50% случаев, левосторонний – в 35-40%, а двусторонний – в 10-15%.
Диагностика типичных случаев крипторхизма не сложна. Заподозрить заболевание могут даже родители. Окончательный диагноз устанавливает детский уролог после объективного осмотра ребенка и пальпации. При «синдроме непальпируемого яичка» требуется проведение УЗИ.
Лечение должно быть своевременным, что позволит избежать осложнений во взрослом состоянии. Консервативная терапия оказывается успешной не более чем в 15% случаев. Основой лечения является хирургическое вмешательство, которое может быть одноэтапным или двухэтапным (в зависимости от длины семенного канатика).
Виды крипторхизма
Крипторхизм у мужчин имеет может быть:
- односторонним – правосторонний (в мошонке отсутствует правое яичко) и левосторонним (не опущено правое яичко);
- двухсторонним – в мошонке нет ни левого, ни правого яичка.
В зависимости от выраженности крипторхизма выделяют 2 клинические формы:
- ретенция – задержка опускания, при этом яичко может находиться в паху (паховый вариант) или брюшной полости (абдоминальный вариант);
- эктопия – нарушение вектора миграции (бедренный, лобковый, лобково-пенальный и промежностный вариант).
Симптомы
Главные симптомы крипторхизма – это отсутствие одной или двух гонад в мошонке. При односторонней форме крипторхизма мошонка выглядит асимметрично (меньше та половина, в которой нет яичка).
Истинный крипторхизм важно отличать от ложного. В последнем случае речь идет о ретрактильном яичке. Для этого состояния характерно отсутствие гонад в мошонке, но это связано не с нарушением процесса миграции, а с повышенным тонусом кремастерной мышцы (она поднимает яичко вверх). Поэтому пальпаторно яички могут быть низведены в мошонку. При ретрактильной гонаде операция не требуется.
Причины
Причины крипторхизма окончательно не установлены. Первичная закладка гонады происходит в поясничной области. Затем во внутриутробном периоде яички мигрируют через брюшную полость и канал в передней брюшной стенке в мошонку. Этот процесс состоит из двух поэтапных фаз:
Если один из этих этапов нарушается, развивается крипторхизм. Причинами, которые неблагоприятно влияют на миграцию могут быть:
- механические факторы – соединительнотканные перегородки в паховом канале, недоразвитие пахового канала и другие (являются механическим препятствием на пути опускания гонады);
- гормональные факторы – дефицит гонадотропных гормонов, тестостерона.
Получить консультацию
Если у Вас наблюдаются подобные симптомы, советуем записаться на прием к врачу. Своевременная консультация предупредит негативные последствия для вашего здоровья.
Узнать подробности о заболевании, цены на лечение и записаться на консультацию к специалисту Вы можете по телефону:

Почему «СМ-Клиника»?
Диагностика
Диагностика крипторхизма включает в себя следующие направления:
- осмотр пациента;
- ультразвуковое сканирование;
- по показаниям – кариотипирование и генетический анализ.
Новорожденных и детей первого года уролог обследует в положении лежа на спине, старших детей можно осматривать стоя, при этом ноги должны быть скрещены. Если яичко обнаружено в паховом канале, то врач может попытаться его аккуратно продвинуть в сторону мошонки, что позволяет дифференцировать ложный и истинный крипторхизм.
В тех случаях, когда пальпаторно не удается обнаружить яичко в паху, лобковой области и промежности, показано УЗИ. Если с помощью ультразвука не удается верифицировать гонаду, то выполняется диагностическая лапароскопия. Она может сразу же трансформироваться в лечебную операцию по низведению яичка. К тому же, в ходе лапароскопии можно выявить аномалии развития гонад, которые создают повышенные онкологические риски.
Обнаружение недоразвитых гонад в брюшной полости является показанием для консультации эндокринолога и гормонального обследования. После этого консультативно решается тактика ведения пациента.
Если яичек в брюшной полости не обнаружено, то проводится кариотипирование для оценки хромосомного набора и верификации генетического синдрома. Тактика определяется индивидуально консилиумом врачей.
Мнение эксперта
Крипторхизм – распространенная аномалия развития, связанная с нарушением процесса опускания яичек в мошонку. Отдаленные последствия для мужского здоровья во многом зависят от своевременности лечения. Оптимально уложить лечебный процесс в возрастной период – от 6 месяцев до 2 лет. У детей более старшего возраста неправильное расположение гонады может запустить процесс повреждения тестикулярной ткани.
Крипторхизм. Этиология и патогенез
Крипторхизм — состояние, когда одно или оба яичка не опущены в мошонку. Крипторхизм часто является причиной нарушения гормональной и репродуктивной функции тестикулов. При нормальном физиологическом развитии они уже при рождении ребенка или к концу первого года жизни должны находиться в мошонке. Это является необходимым условием для их нормального функционирования.
Экспериментально было доказано, что опускание яичек в мошонку регулируется гормонами: материнский хорионический гонадотропин стимулирует секрецию андрогенов в тестикулах эмбриона, а андрогены, секретируемые эмбриональными клетками Лейдига, вызывают рост семявыносящих протоков и семенных канальцев придатка, яичка и направляющей связки.
Таким образом, весь нормальный процесс формирования и опускания яичек в мошонку, начиная от правильной закладки пола, определяется набором хромосом, гормонами половых желез плода, хорионическим гонадотропином матери и лютеинизирующим гормоном плода. Весь процесс завершается в период от 6 мес внутриутробной жизни до 6-й недели постнатальной жизни.
Крипторхизм — частая форма нарушения полового развития в детском возрасте. По литературным данным, он встречается у 2-4 % новорожденных и у 15-30 % недоношенных детей при рождении. С возрастом частота его уменьшается и составляет у детей до 14 лет от 0,3 до 3 %. По данным Шахбазяна, правосторонний крипторхизм встречается у 50,8 %, левосторонний — у 35,3 %, двусторонний — у 13,9 % больных.
По мере накопления клинического опыта появляется все больше данных, указывающих на возможность сочетания различных болезней с крипторхизмом. Известно в настоящее время более 36 синдромов (как, например, синдром Каллмена) и заболеваний, сопровождающихся крипторхизмом. Лишь в случаях, когда он (или эктопия тестикулов) является единственным пороком развития, правомочен диагноз крипторхизма как самостоятельного заболевания.
Этиология и патогенез
Факторы, вызывающие крипторхизм, можно разделить на 3 группы.
1. Механические факторы: узость пахового канала, недоразвитие влагалищного отростка брюшины и мошонки, укорочение и недоразвитие семенного канатика и его сосудов, отсутствие направляющей связки и ее внутрибрюшные сращения, гипоплазия семенной артерии, недостаточное кровоснабжение тестикулов, грыжа.
2. Гормональная недостаточность, зависящая от многих причин. Нарушение процесса опускания тестикулов зависит от недостаточного стимулирования клеток Лейдига материнским хорионическим гонадотропином. Изменение гонадотропной функции гипоталамо-гипофизарной системы приводит к дефициту дифференцирующих гормонов и к дисгенезий гонад. В дальнейшем, в период постнатального развития, диспластически-дистрофические явления в неопустившемся яичке прогрессируют. Дополнительными факторами при этом становятся нарушение температурного режима и извращение ферментативных процессов в ткани тестикулов. Постоянная травматизация их приводит к накоплению в крови антител и развитию аутоагрессии. Аутоиммунный конфликт усугубляет поражение паренхимы яичек.
3. Эндогенные нарушения развития тестикулов, понижение их чувствительности к гормонам. Процесс опускания тестикулов зависит не только от стимулирования, но и от чувствительности эмбриональных клеток Лейдига к материнскому гонадотропину, как, например, при синдроме неполной маскулинизации, или от недостаточной чувствительности органов-«мишеней» к андрогенам (при синдроме тестикулярной феминизации), а также от состояния других воспринимающих органов (направляющая связка, семявыносящий проток и др.).
Крипторхизм подразделяется на врожденный и приобретенный, на одно- и двусторонний; по местонахождению тестикулов — на брюшную и паховую формы. Истинный крипторхизм всегда сопровождается недоразвитием одной половины или всей мошонки. Этот симптом описал в 1937 г. Хамилтон. Яичко застревает на пути опускания и может располагаться в брюшной полости (брюшной крипторхизм) или, что встречается чаще, — в паховом канале (паховый крипторхизм). У 1-3 % всех страдающих крипторхизмом встречается монорхизм и анорхизм.
При одностороннем крипторхизме репродуктивную и гормональную функции выполняет одно, опушенное в мошонку, яичко.
Паховую форму истинного крипторхизма следует отличать от псевдокрипторхизма (мигрирующее яичко), при котором нормально опустившееся яичко может периодически находиться вне мошонки под влиянием сильного сокращения мышцы, поднимающей его (сильный кремастерный рефлекс).
При пальпации такое яичко легко низводится в мошонку. Близким к крипторхизму состоянием является эктопия яичка. Если его неполная миграция приводит к крипторхизму, то уклонение от пути опускания ведет к эктопии, т. е. необычному местоположению его. Пройдя паховый канал, яичко опускается не в мошонку, а располагается под кожей в каком-либо из прилегающих участков. Этой патологии способствуют врожденные дефекты направляющей связки. Различают префасциальную (testis refluxus) и поверхностную паховую эктопию. Канатик в этом случае имеет нормальную длину, однако яичко смещено в область перед паховым каналом.
Дифференциальная диагностика крипторхизма от эктопии важна при выборе тактики лечения. Если при первой прибегают к гормональному лечению, то при второй лечение только хирургическое. Часто без оперативного освобождения яичка невозможно поставить диагноз и отличить эктопию от истинного крипторхизма. Промежуточная, бедренная и перекрещенная эктопия встречаются редко. Также нечасто оба яичка могут находиться в одной половине мошонки.
Как при врожденном крипторхизме, так и при экспериментальном были получены результаты, свидетельствующие о том, что в дистопных яичках наступают процессы дегенерации сперматогенного эпителия с уменьшением диаметра канальцев, числа сперматогоний и массы яичка. Изменения наблюдались во всех клетках сперматогенетического ряда. Наибольшие дефекты имели зародышевые клетки на более высоких ступенях дифференциации.
С помощью гистоморфометрического анализа удалось доказать, что при крипторхизме до окончания 2-го года жизни ребенка никаких нарушений развития в тестикулах не наступает. Однако с этого момента можно отметить явное изменение числа сперматогоний, а также сужение семенных канальцев по сравнению с нормальными размерами. Таким образом, при крипторхизме и эктопии повреждения яичка проявляются после 2 лет жизни ребенка.
Нормальный сперматогенез осуществляется только при определенной температуре, которая у мужчин в мошонке на 1,5-2 °С ниже температуры тела. Зародышевый эпителий очень чувствителен к ней. Повышение температуры яичек может привести к прекращению сперматогенеза и бесплодию. Их смещение в область живота или пахового канала, горячие ванны, лихорадочные заболевания или очень высокая температура окружающей среды могут вызвать у мужчин дегенеративные изменения зародышевого эпителия. Поддержание оптимальной температуры тестикулов гарантируется только за счет их размещения в мошонке, выполняющей терморегулирующую функцию. Степень дегенеративных изменений зародышевого эпителия увеличивается с ростом длительности перегрева.
В соответствии с вышеизложенным было предложено начинать лечение крипторхизма до окончания 2-го года жизни. Отмечен хороший прогноз даже в тех случаях, когда крипторхизм существует до 7-го года жизни. Механизмы, приводящие к сокращению или исчезновению способности зародышевого эпителия к воспроизведению, до настоящего времени еще не ясны. Существует предположение, что, наряду с вредным действием перегрева на митотическую способность сперматогоний к делению в тестикулах при крипторхизме, аутоиммунологические процессы приводят к дегенеративным повреждениям эпителия.
Исследования A. Attanasio и соавт. были посвящены изучению нарушений гормонального регулирования сперматогенеза. Исследовалась гормональная функция тестикулов в допубертатный период под влиянием ХГЧ (человеческого хорионического гонадотропина). Сравнивалась секреция Т нормальных яичек и при крипторхизме. Выявлена возможность стимуляции секреции Т яичками при крипторхизме под влиянием ХГЧ. Нормальная эндокринная функция тестикулов является условием их нормального опускания.
При ликвидации патологии путем лечения ХГЧ тестикулы имели лучшую оплодотворяющую способность сравнительно с яичками, крипторхизм которых был ликвидирован оперативным путем. До настоящего времени окончательно не выяснено, как долго может продолжаться ненормальное положение одного или обоих тестикулов до момента необратимых нарушений в них.
При крипторхизме существует опасность развития ряда осложнений, требующих срочного оперативного вмешательства: ущемление грыжи, сопутствующей крипторхизму; заворот неопустившегося яичка. Длительно существующая дистопия яичка способствует не только нарушению его функций, но и возникновению злокачественного перерождения. Часто крипторхизм сопровождается недоразвитием вторичных половых признаков.
Читайте также:
