КТ челюсти при лейкозе
Добавил пользователь Евгений Кузнецов Обновлено: 18.12.2025
КТ челюсти является безопасной, быстрой и информативной процедурой, которая позволяет получить четкие снимки – трехмерные и объемные. Обеспечивается детализированная визуализация тканей и структур, врач получает точные сведения, может оценить клиническую картину и поставить диагноз.
При КТ лучевая нагрузка ниже, чем при рентгенографии, поэтому можно не сомневаться в безопасности проведения исследования.
В онкологическом центре Sofia КТ челюсти проводится на уникальном оборудовании – единственном в Москве. Вы можете пройти исследование в удобное для себя время и под контролем опытного врача, получив заключение в течение одного часа.
Показания к КТ челюсти
Компьютерная томография челюстей проводится по показаниям:
- аномалии развития;
- травмирование;
- болевой синдром;
- подозрение на развитие опухолевого процесса;
- дисфункция височно-нижнечелюстного сустава;
- приобретенные деформации;
- подготовка к протезированию;
- подготовка к оперативному вмешательству в области нижней части лица;
- оценка контроля проведенного хирургического, ортодонтического или другого лечения.
Противопоказания
КТ челюстей не проводится в период беременности и лактации. Также противопоказанием являются серьезные психические отклонения, тяжелые неврологические патологии, при которых невозможно сохранение неподвижности тела.
Как проводится КТ челюсти
Обычно при компьютерной диагностике челюстей не требуется введение контраста.
Необходимо снять все металлические вещи и украшения. Врач фиксирует положение пациента на столе томографа, после чего инструктирует и просит сохранять неподвижность. Стол задвигается внутрь томографа, при этом сохраняется связь между врачом и пациентом. По команде необходимо задержать дыхание – за считанные секунды оборудование сделает большое количество срезов. Это не больно, не доставляет дискомфорта. Вся информация поступает врачу на монитор.
Длительность исследования челюстно-лицевых зон – не более 15-20 минут.
После исследования врач исследует полученные срезы и подготавливает детальное заключение. Результаты КТ челюсти пациенты Sofia получают в течение 1-1,5 часа.
Оборудование для КТ челюсти
В онкологическом центре Sofia установлен уникальный компьютерный томограф Revolution CT (GE) 512 срезов. Он позволяет проводить исследования высочайшей точности – за 2019-2020 г. мы провели более 11.000 КТ.
- Диагностика изменений в костных тканях и структурах челюсти на самых ранних стадиях.
- Минимальная лучевая нагрузка при КТ челюсти (в 4 раза меньше по сравнению с аппаратом 16 срезов).
- Высочайшая скорость и точность сканирования.
- Визуализация мельчайших образований до 3,0 мм.
- Для детей и взрослых.
- КТ челюстей доступно для пациентов весом до 220 кг.
- Заключение в течение 2-х часов.

Преимущества онкологического центра Sofia
Онкологический центр Sofia расположен в большом современном корпусе – у нас есть всё для высокоинформативной и безопасной диагностики любых стоматологических и иных патологий. Sofia является лидером здравоохранения, что подтверждено Росздравнадзором – соответствие российским и международным стандартам подтверждено многочисленными сертификатами и наградами, включая JCI.



- врачи: международные консультанты, лидеры российской медицины;
- самое мощное диагностическое оборудование;
- 30 лет уникального опыта;
- клиника полного цикла: в двух рядом стоящих корпусах функционируют поликлиника, стоматология, хирургическое отделение, онкологический центр, скорая помощь и др.;
- удобное расположение (центр Москвы);
- повышенный комфорт: современный, стильный, теплый интерьер, как в пятизвездочной гостинице;
- превосходный сервис и особая забота о пациентах: есть, например, кафе и ресторан на крыше с панорамным видом;
- удобство для пациента: выделяются сопровождающие, которые помогут сориентироваться в клинике;
- принцип семейной медицины (один врач общего профиля может вести всю вашу семью и обеспечивать полное медицинское сопровождение).
Запись на прием



Клиника Sofia находится в Центральном административном округе (ЦАО) Москвы, рядом сразу с несколькими станциями метро: "Новослободская", "Тверская", "Чеховская", "Белорусская" и "Маяковская".
Онкологический центр предлагает помощь лучших врачей
Мы являемся партнером передовых американских и израильских центров. Наши врачи повышали квалификацию в лучших онкоцентрах мира, благодаря чему наши клиенты получают качественное лечение по зарубежным стандартам, не покидая пределов Российской Федерации.
Врач-онколог, член Российского общества маммологов, член RUSSCO (Профессиональное общество онкологов-химиотерапевтов), член Европейского онкологического общества ESMO, Американского общества исследования меланомы –SMR
Профессор, директор онкогематологической клиники университета Мартина Лютера (Галле, Германия), автор более 355 публикаций по проблемам лекарственного лечения опухолей
Заведующий отделением радиотерапии - врач- радиотерапевт.
Онколог, радиолог, заведующий отделением радиотерапии и радиохирургии, профессор медицины и исследователь.
КТ челюсти при лейкозе
а) Терминология:
1. Синонимы:
• Острый лимфобластный лейкоз (ОЛЛ), острый нелимфобласт-ный лейкоз (ОНЛ), хронический миелобластный лейкоз (ХМЛ), хронический лимфоцитарный лейкоз (ХЛЛ)
2. Определение:
• Различные варианты злокачественных опухолей стволовых гемопоэтических клеток
б) Визуализация:
1. Общая характеристика:
• Лучший диагностический критерий:
о Рентгеновские методы позволяют выявить поражения у 50-70% детей и о Острый лейкоз; литическое, бластное или смешанное поражение с нечеткими контурами:
- Плохо различимая твердая пластинка зуба и расширение пространства периодонтальной связки
- Преждевременное выпадение молочных зубов
- Деструкция костных крипт формирующихся зубов
о Хронический лейкоз: остеолитические поражения - Характер очаговых скоплений клеток при лейкозе (хлоромы) напоминает ограниченную злокачественную опухоль; может имитировать периапикальное воспалительное заболевание

(Слева) На аксиальной КТ нижней челюсти в костном окне у ребенка младшего возраста определяется отсутствие твердой пластинки и расширение пространств периодонтальной связки. Также визуализируется диффузный участок снижения плотности с периостальной реакцией в виде «вставших дыбом волос».
(Справа) На аксиальной КЛКТ у мальчика 11 лет, которому планировалось ортодонтическое лечение, определяется утрата костной ткани в альвеолярном отростке вследствие лейкоза. Изменения имитируют поражение периодонта, которое обычно не наблюдается у детей. Твердая пластинка не визуализируется, пространава периодонтальной связки расширены.
2. КТ изменений челюсти при лейкозе:
• КТ в костном окне:
о Острый лейкоз: литические, бластное или смешанные поражения с нечеткими контурами; может имитировать заболевание периодонта:
- Диффузная остеопения; картина аналогична остеопорозу/ остеопении
- Истончение твердой пластинки зуба и кортикальной пластинки зубного фолликула; расширение пространств периодонтальной связки:
Поражения при лейкозе могут имитировать рарефицирующий периапикальный остеит и окклюзионное смещение зубных фолликулов
- Периостальная реакция по типу «вставших дыбом волос»
о Хронический лейкоз:
3. Рекомендации по визуализации:
• Лучшие методы визуализации:
о Панорамная или интраоральная рентгенография, КЛКТ, КТ в костном окне, ядерная медицина
в) Дифференциальная диагностика изменений челюсти при лейкозе:
1. Нейробластома:
• Первичная нейробластома челюстей встречается крайне редко
• Метастатическое поражение челюстей: преимущественно область моляров нижней челюсти:
о Возможен быстрый рост/отек, умеренно выраженная боль
о Одна из наиболее распространенных злокачественных опухолей у детей
2. Лимфома:
• Возможно окклюзионное смещение формирующихся зубов
• Лимфому сложно отличить от периапикального рарефицирующего остеита
• Распространяется вдоль жировых пластинок в мягких тканях и параллельно поверхностям костей
3. Метаболические заболевания:
• Остеопороз или остеопения:
о Генерализованное разрежение костей и истончение кортикальных пластинок

(Слева) На панорамной реформатированной КЛКТ у этого же пациента определяется окклюзионное смещение фолликула формирующегося зуба со слабо выраженной кортикальной пластинкой. Также определяется утрата костной ткани альвеолярного гребня, имитирующая заболевание периодонта.
(Справа) На КЛКТ (профильный срез) у этою же пациента определяется расширение пространства периодонтальной связки твердая пластинка выражена незначительно. Такие же изменения обнаруживаются при активном ортодонтическом лечении. Хлорома напоминает периапикальное воспалительное заболевание в области вершины резца верхней челюсти.
г) Патология:
1. Общая характеристика:
• Генетика:
о Типичны неслучайные хромосомные аномалии
• Острый лейкоз: вытеснение нормальных клеток костного мозга злокачественными бластными клетками:
о С попаданием их в кровоток и распространением в печень, селезенку, лимфоузлы, ЦНС, почки, половые железы
• Хронический лейкоз: большое количество зрелых лимфоцитов в крови, костном мозге, лимфоидных органах
2. Стадирование, классификация изменений челюсти при лейкозе:
• В основе лежат клинические и гистопатологические критерии
д) Клинические особенности:
2. Демография:
• Возраст:
о ОЛЛ (3-5 лет), ОНЛ (любой), ХМЛ (> 10 лет, медианный 45 лет), ХЛЛ (медианный 60 лет в 75% случаев)
• Пол:
о Нет половой предрасположенности (ОЛЛ, ОНЛ, ХМЛ)
о Отношение М:Ж = 2-3:1 (ХЛЛ)
3. Лечение:
• Химиотерапия ± трансплантация костного мозга
е) Диагностическая памятка. Советы по интерпретации изображений:
• Поражения при лейкозе могут имитировать заболевания периодонта и периапикальную воспалительную патологию
• Радиографические признаки могут сигнализировать о рецидиве
1. Аббревиатура:
• Центральная гигантоклеточная гранулема (ЦГКГ)
2. Синоним:
• Гигантоклеточная репаративная гранулема
3. Определение:
• Репаративный доброкачественный опухолеподобный процесс в челюсти
1. Общая характеристика:
• Лучший диагностический критерий:
о Многокамерный «зернистый» очаг с тонкими перегородками
• Локализация:
о Нижняя > верхняя челюсть:
- Наиболее часто спереди от 1-го моляра
- Может пересекать среднюю линию
• Размер:
о Поражение экспансивное: может увеличиваться в размерах
2. Рекомендации по визуализации:
• Лучший метод визуализации:
о КТ с КУ
• Выбор протокола:
о Тонкосрезовая КТ с КУ
о КТ в костном окне: оценка распространенности и структуры
(Слева) На кадрированной панорамной рентгенограмме в области премоляров и клыка верхней челюсти справа определяется ЦГКГ без четкой кортикальной пластинки, но с фестончатыми краями, выбухающими в верхнечелюстную пазуху. В структуре очага видны плохо различимые «зернистые» включения костной ткани, формирующие тонкие перегородки неправильной формы.
(Справа) На окклюзионной рентгенограмме у этого же пациента определяются тонкие, едва различимые перегородки, две из которых находятся перпендикулярно по отношению к периферическим отделам. Кортикальная пластинка на периферии отсутствует. (Слева) На кадрированной панорамной рентгенограмме задних отделов нижней челюсти слева визуализируется ЦГКГ, сформировавшаяся после удаления 3-го моляра. Края патологического очага неровные, но четкие, структура «зернистая» за счет тонких перегородокЯ. Моляры смещены кпереди.
(Справа) На аксиальной КТ с КУ в костном окне у этого же пациента определяется вздутие нижней челюсти с волнистыми контурами. В структуре патологического очага определяются камеры, тем не менее, перегородки не толстые и не напоминают таковые в амелобластоме. (Слева) На аксиальной КТ в костном окне у девочки 15 лет с ЦГКГ передних отделов нижней челюсти определяется неравномерное вздутие и истончение кортикальных пластинок.
(Справа) На аксиальной КТ в костном окне у этой же пациентки четыре месяца спуая (в отсутавие лечения) определяется выраженный рост патологического очага, пересекающего среднюю линию нижней челюсти. Перегородки расположены под прямым углом к периферии. В очаге также визуализируются включения костной ткани неправильной формы. Плохо различимая щечная кортикальная плааинка «обтекает» нормальную кортикальную кость.
3. Рентгенография при центральной гигантоклеточной гранулеме челюсти:
• Рентгенологические признаки:
о Одно- или многокамерный (при больших размерах) очаг
о Четкие края со слабо выраженной кортикальной пластинкой
о Вздутые волнистые края
о Тонкие, едва различимые перегородки или зернистые включения костной ткани
о Резорбция корней наблюдается - в 1/3 случаев
о Часто происходит смещение зуба
4. КТ при центральной гигантоклеточной гранулеме челюсти:
• КТ с КУ:
о Может обнаруживаться вовлечение мягких тканей
о Легкое накопление контраста в патологическом очаге
• КТ в костном окне/КЛКТ:
о Волнистая краевая кортикальная пластинка из-за вздутия кости
о «Обтекание» вздутым участком нормальной кортикальной пластинки
о Перегородки под прямым углом к наружному краю
о Различные количества «зернистой» кости в структуре очага сформированием неправильных перегородок
5. МРТ при центральной гигантоклеточной гранулеме челюсти:
• Т1/Т2 ВИ:
о Гипо- или изоинтенсивный сигнал
• Т1 ВИ С+:
о Неоднородное контрастирование
(Слева) На аксиальной КТ с КУ в костном окне визуализируется экспансивная ЦГКГ в верхней челюсти справа. Кортикальная пластинка вокруг ЦГКГ истончена и имеет волнистые края, в очаге определяются «зернистые» включения костной ткани.
(Справа) На аксиальной КТ в костном окне визуализируется большая ЦГКГ, пересекающая среднюю линию. В структуре ЦГКГ определяются множественные островки «зернистой» костной ткани. Видна одна короткая перегородка, расположенная перпендикулярно щечной кортикальной пластинке. (Слева) На аксиальной КТ с КУ в костном окне определяется крупный экспансивный очаг в верхней челюсти справа. Очаг плохо отграничен кортикальной пластинкой, окружающие жировые пластинки сохранны. В очаге визуализируются перегородки неправильной формы.
(Справа) На аксиальной КТ с КУ (срез на уровне верхнечелюстных пазух) у этого же пациента определяется патологический очаг, смещающий наружную стенку полости носа. Также имеет меао резорбция и вздутие передней и задней наружной стенки верхнечелюстной пазухи наряду с легким контрастным усилением очага. (Слева) На аксиальной МРТ (Т1 ВИ) у этого же пациента определяется хорошо отграниченный патологический очаг с сигналом низкой - промежуточной интенсивности.
(Справа) На аксиальной MPT (Т1 ВИ С+ FS) у этого же пациента определяется неравномерное контрастирование очага, сигнал аналогичен таковому в нижней носовой раковине слева.
в) Дифференциальная диагностика центральной гигантоклеточной гранулемы челюсти:
1. Амелобластома:
• Преимущественно 3-5 десятилетие (старше по сравнению С ЦГКГ)
• Более вероятно поражение задних отделов
• Перегородки более грубые по сравнению с ЦГКГ
• Кортикальная пластинка на периферии выражена лучше
2. Одонтогенная миксома:
• Средний возраст на момент возникновения симптоматики выше
• Перегородки более прямые и четкие
• В целом менее экспансивное объемное образование, чем ЦГКГ
3. Аневризматическая костная киста:
• Большинство кист находятся в задних отделах нижней челюсти
• Радиографические признаки аналогичны ЦГКГ
• КТ: крупные гиподенсные сосудистые пространства
• Т2 МРТ: уровни «жидкость-жидкость»
4. Коричневая опухоль гиперпаратиреоза:
• Рентгеновская картина часто идентична ЦГКГ
• Возникает в старшей возрастной группе по сравнению с ЦГКГ
• Пациенты с диагнозом ЦГКГ, подтвержденным гистологически, должны в плановом порядке обследоваться на гиперпарати-реоз
5. Херувизм:
• Рентгенографическая картина может быть идентична ЦГКГ
• Двухсторонние поражения задних отделов
• Аутосомно-доминантное заболевание детей младшего возраста
1. Общая характеристика:
• Этиология:
о Реактивное поражение или доброкачественное новообразование:
- Гистопатологически перекрывается с гигантоклеточной опухолью
• Сопутствующие нарушения:
о Гигантоклеточные гранулемы челюстей обнаруживаются при херувизме, синдроме Нунана, нейрофиброматозе 1 типа
2. Стадирование, классификация центральной гигантоклеточной гранулемы челюсти:
• Два типа: агрессивный/неагрессивный
• Агрессивный: быстрый рост, резорбция корня/кортикальной пластинки:
о ↑ риск рецидива
3. Микроскопия:
• Клеточная или рыхлая строма; веретеновидные или овоидные фибробласты
• Неоднородные глыбки многоядерных гигантских клеток
• Включения остеоида, кровоизлияния; некроз отсутствует
1. Проявления:
• Типичные признаки/симптомы:
о Бессимптомный отек, возможно, боль
2. Демография:
• Возраст:
о Широко варьирует, большей частью
3. Течение и прогноз:
• Высокий уровень рецидивов (11-20%)
4. Лечение:
• Хирургическое (эксцизия): метод выбора
• Фармакологическое: инъекции стероидов в патологический очаг, системная терапия кальцитонином, а-интерфероном 2а, дено-сумабом
е) Список использованной литературы:
1. Schreuder WH et al: Alternative pharmacologic therapy for aggressive central giant cell granuloma: denosumab. J Oral Maxillofac Surg. 72(7):1301-9, 2014
ФГБОУ ВО «Первый Санкт-Петербургский государственный медицинский университет им. И.П. Павлова» Минздрава России
ФГАОУ ВО «Первый Московский государственный медицинский университет им. И.М. Сеченова» Минздрава России (Сеченовский университет)
АО «Европейский медицинский центр»
Протокол анализа конусно-лучевой компьютерной томографии у больных с краниомандибулярной дисфункцией
Журнал: Стоматология. 2020;99(6): 94‑100
В статье представлен подробный протокол конусно-лучевой компьютерной томографии (КЛКТ), включающий не только классический анализ зубоальвеолярных и скелетных нарушений, но и диагностику краниальных паттернов (краниоцервикальный цефалометрический анализ по M. Rocabado, данные цефалометрической диагностики по Sassouni PLUS), анализ трансверзальных размеров челюстей (Penn анализ), а также измерение объема дыхательных путей для скрининга обструктивного апноэ. Обзор литературы был проведен с использованием поисковой системы PubMed в электронных базах данных Scopus и Medline по апрель 2020 г. Сделан вывод, что совмещение в едином протоколе нескольких методик интерпретаций КЛКТ позволит врачам получить более полный объем информации для составления полноценного плана комплексного лечения.
Дата принятия в печать:
В стоматологические клиники все чаще обращаются больные с краниомандибулярной дисфункцией, с жалобами на головные и лицевые боли, звуковые явления в височно-нижнечелюстном суставе, заложенность ушей, затруднение движения нижней челюсти. Это больные, у которых помимо стоматологической патологии отмечаются неврологические, психосоматические, а также постуральные нарушения, требующие как комплексной диагностики, так и междисциплинарного подхода в тактике лечения. К основным диагностическим методам относится конусно-лучевая компьютерная томография (КЛКТ). Однако доступные нам анализы являются узконаправленными и не позволяют интегрально оценить превалирующий морфофункциональный фактор. Соответственно, несмотря на обилие методов, все еще требуется совершенствование подходов к интерпретации данных КЛКТ, что и явилось целью разработки протокола, включающего оценку не только зубоальвеолярных и скелетных нарушений, но и структур краниовертебральной зоны. В этот протокол включены диагностика краниальных паттернов (краниоцервикальный цефалометрический анализ по M. Rocabado, данные цефалометрической диагностики по Sassouni PLUS), анализ трансверзальных размеров челюстей (Penn анализ), а также измерение объема дыхательных путей для скрининга обструктивного апноэ.
Материал и методы
Обзор литературы проведен с использованием поисковой системы PubMed в электронных базах данных Scopus и Medline с глубиной поиска по апрель 2020 г.
Описание протокола анализа КЛКТ
В данной статье описан анализ данных КЛКТ с использованием КЛКТ и панорамной стоматологической визуализации Gendex CB 500 (США), программное обеспечение InVivo 5 Anatomage.
Физико-технические условия сканирования
Параметры сканирования на 1 оборот консоли (всего 2 оборота):
— напряжение на рентгеновской трубке — 120 кВ;
— сила тока — 5 мА;
— экспозиция — 23 с 3 импульса/кванта за каждые 6 с вращения;
— полный оборот вокруг объекта сканирования — 360°;
— фокусное пятно — до 5 мм;
— размер воксела — 0,25;
— диаметр цилиндра — 14 см, высота — 8,5 см;
— коллиматор механический с автоматическими шторками и диафрагмой, что позволяет получить пучок рентгеновского излучения в виде конуса с полной экспозицией;
— приемник-детектор ослабленного пучка рентгеновского излучения после прохождения через объект сканирования — ПЗС-матрица преобразования квантов в электрические импульсы на основе аморфных фосфора и кремния.
Алгоритм итеративной реконструкции изображений высокого разрешения с изотропным вокселем в аксиальной, корональной и сагиттальной плоскостях, с функцией косого сечения и произвольных глубины и ширины выделенного слоя. Объемные реконструкции VR. Дополнительные реформации MPR, MIP, VR оттененных поверхностей, комбинированные панорамные реформации и височно-нижнечелюстного сустава.
Методика
Два сканирования челюстно-лицевой области, время — по 23 с, высота FOV — 8,5 см, диаметр — 14 см, сшивка (stitching), размер воксела — 0,25. Позиционирование головы — естественное (natural head position), в привычной окклюзии. Автоматическое репозиционирование рендеринга при проведении программного 3D-цефалометрического анализа. Проводили двумерные измерения 3D исследуемого объекта. Анализ данных КЛКТ у пациентов с краниомандибулярной дисфункцией, применяемый в нашей практике, разделен на несколько блоков.
I. Оценка пропорций скелета
1. Оценка развития премаксиллярной зоны верхней челюсти (цефалометрический анализ по Sassouni PLUS). Для измерения премаксиллярной зоны верхней челюсти необходимо построить плоскость твердого неба, проведя линию из точки ANS (передняя носовая ость) к точке PNS (задняя носовая ость), а также продольную ось верхнего центрального резца — U1. Данная ось делит верхнюю челюсть на premaxilla (передняя часть верхней челюсти) и дистальную часть верхней челюсти. В норме длина премаксиллярной области (расстояние от ANS до пересечения оси верхнего резца и небной плоскости) составляет 12—15 мм. Расстояние менее 12 мм свидетельствует о недоразвитии верхней челюсти, а именно передней ее части (рис. 1, а).

Рис. 1. Измерения в программе InVivo 5 Anatomage.
а — премаксиллярной зоны верхней челюсти (9,53 мм); б — длины мыщелковой ветви нижней челюсти (61,32 мм).
2. Измерение длины мыщелковых отростков ветвей нижней челюсти. Для того чтобы исключить скелетную природу асимметрии, обусловленную короткой ветвью нижней челюсти, необходимо провести измерение как мыщелковых отростков челюстей, так и мыщелков. Измерение мыщелковых отростков проводят параллельно касательной заднего края ветви между наиболее верхней точкой головки нижней челюсти Co (Condylion) и точкой Go (Gonion — нижняя точка угла нижней челюсти) (рис. 1, б) [1]. Для исключения наличия кондилярной деформации (гиперплазии или аплазии мыщелка) измеряют расстояние от точки Co (Condylion) до нижней точки нижнечелюстной вырезки (incisura mandibulae).
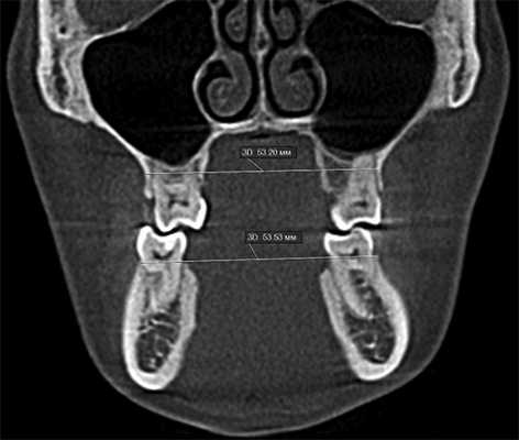
3. Анализ трансверзальных размеров челюстей. Трансверзальный размер челюстей проводят согласно Penn анализу, который впервые был предложен профессором Robert Vannarsdall в Пенсильванском университете для оценки скелетного несоответствия челюстей [2]. Измеряют межмолярное расстояние на нижней челюсти, ориентируясь на вестибулярную кортикальную пластинку на уровне бифуркации нижних моляров, затем трансверзальный размер верхней челюсти измеряется между нижними точками скулоальвеолярного гребня. Верхняя челюсть в норме шире нижней на 5 мм. Если разница составляет 2—5 мм, возможна ортодонтическая коррекция за счет изменения инклинации боковой группы зубов при условии возможности достижения оптимальной окклюзии; до 2 мм — хирургически ассистированное расширение верхней челюсти (рис. 2) [3].

Рис. 2. Измерение трансверзальных размеров челюстей. Ширина верхней челюсти 53,20 мм, нижней — 53,53 мм.
4. Оценка центральной линии. Несоответствие центральных линий челюстей возможно из-за смещения нижней челюсти в правую или левую сторону. На реформатах КЛКТ в окне цефалометрического анализа необходимо оценить показатель MLD (mandibular lateral displacement), который характеризуется образовавшимся углом между срединно-сагиттальной линией MRS, проходящей через точки Gl (Glabella — наиболее выступающая вперед в медиально-сагиттальном сечении точка на носовом отростке лобной кости, где лобная кость образует более или менее выраженную выпуклость), ANS — передняя носовая ость и Me (Menton — самая нижняя точка подбородочного симфиза — центр подбородка (рис. 3) [4].

Рис. 3. Оценка MLD нижней челюсти.
а — смещение влево [4]; б — смещение вправо.
Кроме того, необходимо обращать внимание на симметричность расположения височных ямок при ориентации черепа по срединно-небному шву в корональной проекции, так как если они находятся на разных уровнях, то клинически врач увидит наклон нижней челюсти, что может свидетельствовать о скелетной ротации сфенобазилярного синхондроза — краниальный ROLL (рис. 4).

Рис. 4. Оценка симметричности височных ямок.
II. Оценка положения головок нижней челюсти в височно-нижнечелюстном суставе (ВНЧС). По КЛКТ можно приблизительно оценить положение головок нижней челюсти в суставных ямках: центральное соотношение, мезиальное или дистальное смещение. Данный метод, бесспорно, ценен для оценки структур ВНЧС, но для оценки внутрисуставной патологии рекомендуется использовать магнитно-резонансную компьютерную томографию [5, 6].
Японские ученые K. Ikeda, A. Kawamura и R. в 2011 г. [7] обследовали 22 человек и получили следующие средние размеры суставной щели: 1,3±0,2 мм — переднее суставное пространство, 2,5±0,5 мм — верхнее суставное пространство и 2,1±0,3 мм — заднее суставное пространство. В норме в трансверзальной плоскости медиальный полюс должен располагаться как можно ближе к стенке суставной ямки [8]. Если расстояние между медиальным полюсом и стенкой суставной ямки сильно различается между двумя суставами, это свидетельствует о смещении нижней челюсти в трансверзальном направлении. КЛКТ является отличным инструментом для анализа анатомической структуры суставных головок (рис. 5) [9].

Рис. 5. Ориентиры для измерения суставной щели [7].
а — размеры суставных щелей в кососагиттальном срезе; б — размеры суставных щелей в корональном срезе.
III. Анализ краниомандибулярных нарушений (необходим при планировании комплексного лечения совместно с миофункциональным терапевтом) и оценка объема дыхательных путей для исключения синдрома обструктивного апноэ. Оценка положения подъязычной кости (краниоцервикальный цефалометрический анализ по M. Rocabado) и языка. Измерение проводится следующим образом: необходимо провести линию от передненижнего угла тела III шейного позвонка к наиболее нижней точке подбородочного симфиза Me (Menton), далее к начерченной линии проводят перпендикуляр от наиболее передней и верхней точки подъязычной кости. В норме длина перпендикуляра должна составлять 5,0±2,0 мм (рис. 6).

Рис. 6. Подъязычный треугольник по M. Rocabado (а) и оценка положения подъязычной кости к основанию тела нижней челюсти (0,09 мм) (б).
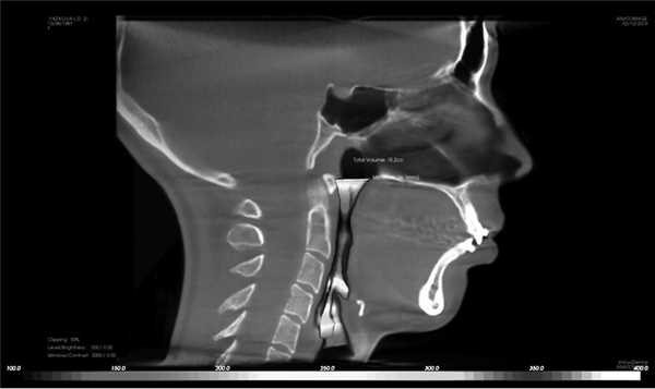
2. Дыхательные пути. В программе имеется визуальная шкала оценки степени сужения верхних дыхательных путей на уровне носо- и ротоглотки, основанная на исследовании David Hatcher. В норме площадь поперечного сечения дыхательных путей составляет 110—140 мм 2 . Объем дыхательных путей в данной программе рассчитывается от анатомической точки PNS до надгортанника. Черный, красный и оранжевый цвета обозначают сужение дыхательных путей (рис. 7) [10].

Рис. 7. Сужение дыхательных путей. Минимальная площадь поперечного сечения 26,1 мм 2 (норма 110—140 мм 2 ).
В норме язык должен занимать весь свод твердого неба; если на КЛКТ прослеживается пространство между языком и твердым небом, то это свидетельствует о неправильном его положении и функции, из-за чего происходит сужение дыхательных путей на уровне ротоглотки [11].
3. Оценка положения шейных позвонков (краниовертебральные функциональные пространства по M. Rocabado). В норме расстояние между C0—CI (затылочная кость и I шейный позвонок) и CI—CII (остистыми отростками I и II шейных позвонков) — 6,5±1—2,5 мм (рис. 8) [14].

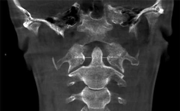
4. Краниовертебральное центральное соотношение по M. Rocabado. На КЛКТ также есть возможность анализа ротаций первого и второго шейных позвонков. Измерение проводят от заднего бугорка первого шейного позвонка к зубу второго шейного позвонка, при этом большее расстояние свидетельствует о ротации CI в данную сторону (рис. 9).

Рис. 9. Ротация первого шейного позвонка (CI) вправо, так как расстояние между CI и зубом CII больше с правой стороны — 5,09 мм; слева — 3,43 мм.
Ротации шейных позвонков, уменьшение функциональных пространств служат причиной головных болей напряжения и лицевых болей, поэтому при обнаружении данных патологий необходим комплексный подход в лечении.
При анализе КЛКТ также можно обнаружить увеличенный шиловидный отросток вследствие оссификации шилоподъязычной связки (в норме его длина составляет 2,5—3 см, осложнение — боли при глотании, иррадиирующие в миндалины, боли в области лица, ограничение подвижности шеи, головокружение, пресинкопальные состояния, обмороки) и наличие аномалии Kimmerle (оссификация косой атланто-затылочной связки, проходящей над бороздой позвоночной артерии I шейного позвонка, осложнение — компрессия позвоночной артерии и нарушение мозгового кровообращения), что, возможно, свидетельствует о краниомандибулярных нарушениях у обследуемого. Таким образом, стоматолог может констатировать наличие шилоподъязычного синдрома и других тяжелых осложнений, ухудшающих качество жизни человека (рис.10) [15, 16].

Рис. 10. Удлиненный шиловидный отросток (а) и аномалия Kimmerle (б).
Заключение
Представленный протокол дополняет классический анализ данных конусно-лучевой компьютерной томографии, что позволяет получить более полный объем информации при планировании лечения пациентов, имеющих краниомандибулярную дисфункцию. Кроме того, анализ скелетных пропорций челюстей (трансверзальных размеров, развитие премаксиллярной зоны, длины ветвей и мыщелков нижней челюсти) способствует выбору наиболее корректного плана лечения с учетом анатомических особенностей скелетных структур.
Комплексная оценка височно-нижнечелюстных суставов позволяет оценить форму головок, состояние кости, размеры суставных щелей в различных отделах.
Измерение объема дыхательных путей, оценка расположения подъязычной кости и языка, шейных позвонков, скрининговое обследование обструктивного апноэ дает возможность врачу-стоматологу более комплексно подходить к диагностике и лечению с целью улучшения качества и продолжительности жизни человека.
Безусловно, данный анализ требует доработки и является лишь дополнением к стандартным методам цефалометрического анализа и результатов конусно-лучевой компьютерной томографии.
Компьютерная томография (КТ)
Компьютерная томография (КТ) – один из основных и наиболее информативных современных методов лучевой диагностики различных заболеваний организма. КТ позволяет получать серию поперечных сканов практически любой части тела человека. Методика используется и в диагностике онкологических патологий.
В онкологическом центре «Sofia» компьютерная томография проводится с использованием уникального томографа Revolution CT (GE), обеспечивающего получение 512 срезов. Такое оборудование позволяет выполнять высокоточную экспертизу и выявлять изменения во внутренних органах на самых ранних стадиях, так как оно визуализирует даже образования до 3 мм. При этом во время обследования пациент испытывает минимальную лучевую нагрузку (в 4 раза меньше, чем при использовании аппарата на 16 срезов).
К основным преимуществам такой мультиспиральной компьютерной томографии также относят:
- Высокую скорость сканирования – 0,83 мсек.
- Возможность получения изображения тонкими срезами до 1 мм без увеличения лучевой нагрузки на пациента.
- Высокую разрешающую способность, позволяющую получать изображения внутренних органов и структур высокого качества на поперечных срезах, а также при многоплоскостных и объемных реконструкциях.
КТ (компьютерная томография) применяется как уточняющий диагностический метод после использования более простых и доступных методов исследования. КТ позволяет выявить заболевание на ранней стадии развития, локализовать патологический процесс и определить его взаимосвязь с окружающими органами. КТ играет важную роль в выборе адекватной лечебной тактики, в планировании объема хирургического вмешательства и топометрии при лучевой терапии, а также в оценке эффективности проводимого лечения.
Клиника удобно расположена в центре Москвы рядом с метро «Маяковская», «Тверская» и «Белорусская».
Читайте также:
- МРТ признаки доброкачественной мезенхимальной опухоли головы
- Морфология bacillus anthracis. Морфология сибирской язвы. Тинкториальные свойства сибирской язвы. Признаки сибирской язвы.
- Лихорадка Денге . Эпидемиология лихорадки денге. Патогенез лихорадки денге. Диагностика, лечение и профилактика лихорадки денге.
- Классификация нарушений менструального цикла: клиническая, этиологическая
- Причины масляных пятен на ногтях
