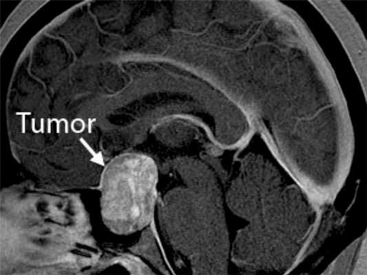
МРТ признаки доброкачественной мезенхимальной опухоли головы
Добавил пользователь Евгений Кузнецов Обновлено: 18.12.2025
Абсолютное большинство из более чем 120-ти видов первичных новообразований мозга относится к доброкачественным опухолям. Их главные общие отличия от злокачественных – медленный рост, отсутствие метастазов и рецидивов. При этом они образуются в различных местах из различных типов клеток и по-разному себя проявляют. Соответственно, подходы к лечению также могут существенно различаться.
К доброкачественным опухолям головного мозга относятся аденомы гипофиза, высокодифференцированные эпендиомы, хондромы, шванномы, менингиомы, папилломы хориоидного сплетения, кисты, липомы.
Хондромы
Образуются из клеток хрящевой ткани, как правило, у основания черепа, в гипофизарной области. Тесно связаны с твердой мозговой оболочкой. Характерная особенность – крайне медленный рост. Могут достигать больших размеров, быть одиночными и множественными. Диагностируются очень редко.
Аденомы гипофиза
Составляют около 10% первичных опухолей мозга, чаще всего обнаруживаются в передней трети железы. Могут появляться в любом возрасте, но обычно возникают у пожилых людей. У женщин детородного возраста образуются чаще, чем у мужчин аналогичной возрастной группы. Различают гормонально активные (секретирующие) и гормонально неактивные аденомы гипофиза.

Аденома гипофиза
Большинство образований относится к гормонально активным. В свою очередь, их классифицируют по виду вырабатываемого гормона, избыток которого в организме приводит к появлению характерных симптомов.
Высокодифференцированные эпендиомы
Возникают вследствие мутации клеток, выстилающих внутренние полости головного мозга (желудочки). В структуре такого мягкотканного опухолевого узла могут присутствовать кисты или минеральные отложения (кальцинаты). Составляют не более 3% от всех регистрируемых первичных опухолей мозга. При этом находятся на 6 месте среди наиболее распространенных новообразований ЦНС у детей и, чаще всего, развиваются в возрасте до 3-х лет (около 30%).
Менингиомы
Растут не из тканей мозга, а из покрывающих его мягких оболочек (meninx),в связи с чем и получили свое название. Составляют около трети всех первичных новообразований. Наиболее часто наблюдаются у женщин, начиная со среднего возраста (в 2 раза чаще, чем у мужчин). Частота заболеваемости увеличивается после 60-ти лет. У детей встречаются редко. Типичное местоположение – в верхних отделах, но также могут образовываться у основания черепа. Обычно растут внутрь, вызывая сдавливание прилегающих отделов мозга. Иногда растут наружу, что сопровождается утолщением черепных костей в проблемной области. Могут содержать кальцинаты, заполненные жидкостью полости (кисты), сосудистые узлы.
Шванномы

Места образования шванном
Обычно находятся между мозжечком и мостом, в области задней ямки. Растут очень медленно, встречаются достаточно редко (не более 8%), развиваются в среднем возрасте. Риск заболевания вдвое выше у женщин.
Папилломы хориоидного сплетения
Возникают из мутировавших клеток сосудистых сплетений, которые входят в структуру оболочек, выстилающих желудочки мозга и продуцирующих спинномозговую жидкость (ликвор). Как правило, диагностируются у детей и молодых людей.

Традиционные места образования папиллом хориоидного сплетения
У детей с опухолями мозга в возрасте до одного года папилломы хориоидного сплетения составляют от 10 до 20%, от 1 года до 1 лет – 2-4%. При этом в зависимости от возраста различается и локализация очага: чем старше больной, тем ниже находится опухоль.
Кисты
Несмотря на то, что относятся к доброкачественным, могут вызывать серьезные проблемы при расположении в структурах, контролирующих жизненно важные функции организма.

Кисты могут появляться в самых различных областях мозга
Отличаются разнообразием, наиболее часто встречаются арахноидальные (заполненные жидкостью), коллоидные (заполненные густым железообразным веществом), дермоидные и эпидермоидные (заполненные мягкими тканями) кисты.
Липомы
Редко регистрируемые новообразования, чаще развивающиеся в области мозолистого тела. Могут быть единичными и множественными.
Симптомы доброкачественной опухоли мозга
Нужно сразу же оговориться: определить по каким-либо внешним признакам, что в головном мозге появилось доброкачественное, а не злокачественное новообразование, невозможно. Более того, те или иные нарушения самочувствия могут лишь вызвать у врача подозрения на опухолевый процесс. Подтвердить или опровергнуть эти подозрения позволяет только диагностика. В то же время, на основании жалоб больного невролог делает предварительные выводы и составляет план обследования.
«Даже доброкачественная опухоль, которая растет в голове, потенциально опасна, — говорит Роберт Фенстермакер, доктор медицинских наук, заведующий кафедрой нейрохирургии онкологического центра Розуэлл-Парк (США). – Пространство внутри черепа небезгранично, и, даже если опухоль головного мозга доброкачественная и растет медленно, в конечном итоге она начнет сдавливать мозг, симптомы будут развиваться и это может быть опасно для жизни».
Доброкачественные опухоли головного мозга проявляют себя самыми различными симптомами, характер которых, прежде всего, определяется в зависимости от местоположения очага и его размера.
- Крайне медленно растущая хондрома может в течение длительного времени ничем себя не проявлять. Когда опухоль увеличивается в размерах, она начинает сдавливать близлежащие структуры, что, чаще всего, приводит к появлению головных болей, нарушению слуха, появлению зрительных галлюцинаций.
- При папилломах хориоидного сплетения наблюдается общемозговая симптоматика, включающая характерные головные боли и другие признаки повышения внутричерепного давления.
- Выделить какие-либо общие симптомы для кист невозможно вследствие большого разнообразия новообразований этого типа и возможности их появления в самых различных местах.
- Для эпендиом характерны раздражительность, рвота, бессонница, головная боль. У детей до года одним из первых симптомов часто становится аномальное увеличение размера головы.
- Симптомы доброкачественной аденомы и злокачественной аденокарциномы гипофиза идентичны, поэтому при постановке диагноза учитываются другие особенности, в том числе – отсутствие метастазов и прорастания в соседние отделы, данные сканирования и др. Среди наиболее частых проявлений – головная боль, нарушение поведения и расстройства зрения. Признаки появления гормонпродуцирующих опухолей этого типа зависят от вида вырабатываемого гормона.
- Менингиомы медленно растут и могут достигать большого размера прежде чем начинают мешать нормальному функционированию мозга. Симптомы зависят от местоположения опухолевого очага. Наиболее часто больные жалуются на головную боль, слабость в руке или ноге. Также могут наблюдаться припадки, изменение личности, проблемы со зрением.
- Липомы в абсолютном большинстве случаев не вызывают каких-либо нарушений самочувствия.
- Для шванном характерно односторонняя потеря слуха, шум или звон в ухе. Реже больные жалуются на головокружения. Если процесс затрагивает 7-ой черепной нерв, может развиться его паралич. Иногда наблюдается затруднение глотания, изменения вкуса, шаткая походка, нарушения движений глаз.
Лечение доброкачественной опухоли мозга: основные принципы и выбор метода
В некоторых случаях врач может выбирать тактику активного наблюдения. Это касается больных с арахноидальными кистами и менингиомами, а также липомами, которые не вызывают значимых нарушений самочувствия и, как правило, выявляются случайно либо при профилактическом онкоскрининге.
Если у пациента диагностирована доброкачественная опухоль головного мозга, которая «неудачно» расположена, нарушает качество жизни по другим причинам либо имеет высокий риск озлокачествления, лечение направлено на удаление новообразования (операцию) или его разрушение с помощью современных радиохирургических методов.
Так, например, одни менингиомы можно удалить традиционным хирургическим путем, другие относятся к неоперабельным. В последнем случае опухоль может быть разрушена с помощью установок Кибернож, Гамма-нож, TrueBeam. В зависимости от особенностей новообразования, оптимальным методом лечения также может стать томотерапия или протонная терапия.
Операбельные коллоидные, эпидермоидные и дермоидные кисты чаще всего удаляют традиционным способом либо с применением эндоскопических или микрохирургических технологий. По показаниям дополнительно может быть назначена антибактериальная медикаментозная терапия. Иногда удаление кисты осложнено, невозможно или возможно лишь частично.
Радикальное удаление хондромы, хориоидной папилломы, эпендиомы, аденомы гипофиза может быть осуществлено хирургическим или радиохирургическим методом.
При лечении больных со шванномами обычно используют микрохирургические методы или стереотаксическую радиохирургию. По показаниям дополнительно назначается медикаментозная, гормональная и лучевая терапия.
Ведущие нейрохирурги возлагают большие надежды на интраоперационный флуоресцентный контроль с целью тотальной резекции опухолей, в частности аденом гипофиза, поскольку неполное удаление неоплазмы ведет к рецидивам у 20% пациентов. А ведь хотя аденомы гипофиза редко бывают злокачественными, они могут вызывать серьезные проблемы, сдавливая рядом расположенные участки мозга, что может привести к болезни Кушинга, гигантизму, слепоте и смерти.
В медицинской школе им. Перельмана Пенсильванского университета был разработан первый органоспецифичный маркер OTL38, который состоит из двух частей: фолата и светящегося в инфракрасном диапазоне красителя. Поскольку для развития и роста неоплазмы активно используют фолиевую кислоту, то для них характерно высокое содержание фолатных рецепторов на поверхности клеток (которое иногда более чем в 20 раз превышает нормальный уровень). Связываясь с рецепторами, OTL38 вызывает свечение пораженных тканей, позволяет точно идентифицировать границы опухоли и полностью ее удалить.
Как отмечает Ю.К. Ли, доктор медицинских наук, профессор кафедры нейрохирургии Университета Пенсильвании: «Это исследование предвещает новую эру в персонализированной хирургии опухолей. Хирурги теперь могут видеть молекулярные характеристики опухолей пациента, а не только поглощение света или отражательную способность».
Если вам требуется второе мнение для уточнения диагноза или плана лечения, отправьте нам заявку и документы для консультации, или запишитесь на очную консультацию по телефону.
МРТ признаки доброкачественной мезенхимальной опухоли головы
КТ, МРТ признаки гемангиомы твердой мозговой оболочки и венозных синусов
а) Терминология:
• Доброкачественное неменинготелиальное мезенхимальное новообразование:
о Обычно проявляется как внемозговое сосудистое объемное образование твердой мозговой оболочки и/или венозного синуса
б) Визуализация гемангиомы твердой мозговой оболочки и венозных синусов:
• Лучший диагностический критерий: выраженно гиперинтенсивный на Т2-ВИ сигнал; отсроченное «заполнение контрастом» образования на динамических постконтрастных Т1-ВИ
• Локализация: пещеристый синус, ММУ, другие отделы твердой мозговой оболочки
• КТ, костное окно: эрозия или ремоделирование, а не гиперостоз
• Постконтрастные Т1-ВИ: возможно неоднородное контрастное усиление с медленным центрипетальным «заполнением контрастом» (аналогично контрастированию гемангиомы печени)
• Лучший инструмент визуализации: МРТ с получением динамических постконтрастных Т1 -ВИ
в) Дифференциальная диагностика:
• Пещеристый синус: менингиома, опухоли оболочек нервов, гранулема
• ММУ: шваннома, менингиома, эпидермальная киста
• Образования, прилежание широким основанием к твердой мозговой оболочке: менингиома, метастазы, гранулема, мезенхимальная опухоль
(Слева) Бесконтрастная КТ, аксиальный срез: расширение левых отделов средней черепной ямки в сочетании с истончением вышележащего свода черепа за счет слегка гиперденсного объемного образования с четкими контурами. Объемное образование практически полностью заполняет среднюю черепную ямку, распространяясь в заднюю черепную ямку и в турецкое седло/пещеристый синус.
(Справа) КТ, костное окно, аксиальный срез: у этого же пациента определяется расширение левых отделов средней черепной ямки и экстенсивное истончение вышележащего свода черепа.Также наблюдается ремоделирование костного компонента турецкого седла. (Слева) МРТ, Т2-ВИ, аксиальный срез: у этого же пациента объемное образование имеет выражено гиперинтенсивный сигнал В и практически полностью заполняет левые отделы средней черепной ямки, распространяясь в заднюю черепную ямку и в турецкое седло/пещеристый синус.
(Справа) МРТ, постконтрастное Т1-ВИ, режим подавления сигнала от жира, аксиальный срез (этот же пациент): интенсивное однородное контрастное усиление объемного образования. При операции была обнаружена гемангиома пещеристого синуса. Гемангиома должна быть включена в дифференциально-диагностический ряд интенсивно накапливающих контраст объемных образований пещеристого синуса, выглядящих практически полностью экстрадуральными.
г) Клиническая картина гемангиомы твердой мозговой оболочки и венозных синусов:
• Характеризуется очень медленным ростом; злокачественная дегенерация отсутствует
• Лечение: хирургическая резекция, только в случае роста опухоли
• Лечение гемангиомы пещеристого синуса намного сложнее:
о Полная резекция затруднена из-за локализации и риска кровотечения
о Частота полной резекции: до 16%; общая хирургическая смертность: до 25%
о Предоперационная лучевая терапия используется для уменьшения кровотечения (дозы до 30 Гр)
о Радиохирургическое вмешательство с использованием гамма-ножа может быть эффективным и безопасным альтернативным методом лечения
д) Диагностическая памятка:
• Часто ошибочно диагностируется как менингиома
• На динамических постконтрастных Т1-ВИ может наблюдаться контрастное усиление «от края к центру»
Диагностика доброкачественной мезенхимальной опухоли головы по КТ, МРТ
а) Терминология:
1. Сокращения:
• Доброкачественные мезенхимальные опухоли (ДМО):
о Включают хондрому (ХД), остеохондрому (ОХД), остеому (ОСТ) и многие другие опухоли
2. Синонимы:
• Доброкачественные неменинготелиальные опухоли
3. Определение:
• Неменинготелиоматозная доброкачественная мезенхимальная опухоль:
о Характерно поражение твердой мозговой оболочки, черепа и/или волосистой части кожи головы
б) Визуализация:
1. Общие характеристики доброкачественной мезенхимальной опухоли:
• Лучший диагностический критерий:
о Поражение твердой мозговой оболочки, основания черепа или волосистой части кожи головы без признаков злокачественности
• Локализация:
о ДМО: твердая мозговая оболочка, череп, основание черепа, кожа волосистой части головы:
- ХД: наиболее часто селлярная/параселлярная локализация; редко: твердая мозговая оболочка/серп мозга
- ОХД: обычно возникает из основания черепа; редко: твердая мозговая оболочка/серп мозга
- ОСТ: вовлекается наружная компактная пластинка; внутренняя компактная пластинка поражается редко
2. Рентгенологические признаки доброкачественной мезенхимальной опухоли:
• Рентгенография:
о ХД: опухоль с экспансивным ростом, кальцификация матрикса, фестончатый эндостом
о ОХД: костеподобное выпячивание без ножки или на ножке
о ОСТ: плотные поражения без вовлечения в процесс диплоэ

(Слева) КТ, костное окно, аксиальный срез: типичная остеома левой лобной пазухи.
(Справа) Коллаж из изображений различных методов диагностической визуализации: визуализируется классическая остеома, произрастающая из затылочной кости. Обратите внимание на выраженно гипоинтенсивный сигнал на Т2-ВИ. Кости свода черепа, околоносовые пазухи и свод черепа являются наиболее частыми локализациями этих доброкачественных опухолей.
3. КТ признаки доброкачественной мезенхимальной опухоли:
• Бесконтрастная КТ:
о Хондрома:
- Дольчатое мягкотканное объемное образование с экспансивным ростом
- Кальцификация матрикса криволинейной формы
- Резорбция эндоста с формированием фестончатых краев → «формирование блюдцеобразного углубления»
- Стебелек или ножка как у ОХД, отсутствует
о Остеохондрома:
- Может наблюдаться кальцификация матрикса «колпачка» над кортикальным слоем кости
- Материнская кость переходит в кортикальный слой ОХД
о Остеома:
- Плотные поражения без вовлечения диплоэ
• КТ с контрастированием:
о ХД: может наблюдаться легкое контрастное усиление
о ОХД: ± контрастирование хрящевого «колпачка»
о ОСТ: контрастное усиление отсутствует
4. МРТ признаки доброкачественной мезенхимальной опухоли:
• Т1-ВИ:
о ХД: промежуточная интенсивность сигнала
о ОХД: смешанная интенсивность сигнала; может наблюдаться гипоинтенсивная кальцификация матрикса колпачка над кортикальным слоем кости
о ОСТ: гипоинтенсивный сигнал
• Т2-ВИ:
о ХД: сигнал от гипер- до гипоинтенсивного
о ОХД: смешанная интенсивность сигнала; может наблюдаться гипоинтенсивная кальцификация матрикса колпачка над кортикальным слоем кости
о ОСТ: вариабельная интенсивность сигнала
• Постконтрастные Т1-ВИ:
о ХД: контрастное усиление криволинейных перегородок («кольца и дуги»), фестончатые края
о ОХД: может наблюдаться контрастное усиление периферических отделов хрящевого «колпачка»
о ОСТ: контрастное усиление отсутствует
5. Радионуклидная диагностика:
• Остеосцинтиграфия:
о ХД: поглощение радиофармпрепарата при активном остеогенезе
о ОХД: вариабельные результаты
о ОСТ: поглощение в фазе активного роста, уменьшение поглощения до базовых уровней
6. Рекомендации по визуализации:
• Лучший инструмент визуализации:
о Используйте бесконтрастную КТ, КТ в костном режиме в большинстве случаев
о МРТ с получением постконтрастных Т1-ВИ для визуализации некальцифицированных хрящевых структур, вовлечения в процесс головного мозга, оценки злокачественной трансформации
• Совет по протоколу исследования:
о КТ: аксиальные и корональные тонкие срезы на уровне основания черепа
о МРТ: подавление сигнала от жира для подтверждения содержания жира или оптимизации визуализации поражений волосистой части кожи головы

(Слева) Бесконтрастная КТ, корональный срез: кальцификация матрикса хондромы. Стебелек, соединяющий образование с материнской костью, не визуализируется.
(Справа) МРТ, Т2-ВИ, аксиальный срез: в области хрящевого «колпачка» остеохондромы определяется зона снижения интенсивности сигнала вследствие кальцификации.
в) Дифференциальная диагностика доброкачественной мезенхимальной опухоли:
1. Доброкачественные менинготелиальные опухоли:
• Часто: менингиома:
о Характерные МР-проявления с дуральным хвостом
2. Злокачественные менинготелиальные опухоли:
• Атипичная/злокачественная менингиома:
о Инфильтративное, деструктивное поражение
3. Злокачественные неменинготелиальные опухоли:
• Остеосаркома:
о Остеолитическое + мягкотканное объемное образование и нечеткие края
о Кальцификация опухоли может иметь «лучистый» вид
• Первичная менингеальная саркома:
о Чрезвычайно редкая неменинготелиальная опухоль мозговых оболочек
• Многие другие саркомы
г) Патология:
1. Общие характеристики доброкачественной мезенхимальной опухоли:
• Этиология:
о Мозговые оболочки содержат примитивные мультипотентные мезенхимальные клетки:
- Они могут дать начало широкому спектру неменинготелиальных новообразования
о ХД:
- Из хрящей в синхондрозах ската/основания черепа
- Эктопические остатки эмбриологических хрящевых клеток; возможно, периваскулярная мезенхимальная тканевая метаплазия
о ОХД:
- Наиболее частая доброкачественная опухоль, связанная с облучением
- Возникает из фрагмента пластинки роста; в черепе: наиболее вероятно, из врожденного дефекта
о ОСТ: неясный генез; обнаруживается в слуховых проходах у людей, занимающихся плаванием в холодной воде → может представлять собой воспалительную реакцию
• Ассоциированные аномалии:
о Синдром Гарднера: множественные остеомы, опухоли кожи, полипы толстой кишки
о Синдром Маффуччи: множественные энхондромы в сочетании с гемангиомами мягких тканей
о Множественные наследственные экзостозы: множественные ОСТ
о Болезнь Олье: энхондроматоз
2. Стадирование и классификация доброкачественной мезенхимальной опухоли:
• Классификация ВОЗ 2007 года:
о Опухоли мозговых оболочек:
- Опухоли из менинготелиальных клеток:
Менингиома (включено 1 S подтипов)
- Мезенхимальные опухоли:
23 подтипа
Включают как доброкачественные, так и злокачественные неменинготелиальные мезенхимальные опухоли
- Первичные меланоцитарные поражения (включено четыре подтипа)
- Другие новообразования, связанные с мозговыми оболочками: включена только гемангиобластома
3. Макроскопические и хирургические особенности:
• Общие характеристики: оссификация черепа или основания черепа:
о Череп развивается путем внутримембранозной оссификации → источник мембранозных опухолей (например, ОСТ)
о Скат и основание черепа развиваются путем эндохондральной оссификации → источник хрящевых опухолей (например, ХД и ОСТ)
• ХД:
о Доброкачественная костнохрящевая опухоль
о «Энхондрома»: если локализуется внутри кости или хряща
о Множественные опухоли = хондроматоз или энхондроматоз
о Стебелек или ножка как у ОХД, отсутствует
о Макропатоморфология: хрящ и оссифицированный хрящ
• ОХД:
о Доброкачественная костнохрящевая опухоль О Экзостоз кости с хрящевым «колпачком»; на ножке или без нее
о Макропатоморфология: костное объемное образование неправильной формы с хрящевым «колпачком» ± обызвествление
• ОСТ: доброкачественная мембранозная опухоль:
о Макропатоморфология: выглядит как зрелая пластинчатая кость
4. Микроскопия:
• ХД:
о Доброкачественные хондроциты в рассеянных лакунах
о Обильный гиалиновый хрящевой матрикс
о Возможна клеточная атипия
о Положительные результаты иммуногистохимического окрашивания на виментин и белок S100
• ОХД: хрящевой «колпачок» над костным выростом с кортикальным слоем, трабекулами, костным мозгом, идентичными нормальной кости
• ОСТ: два типа:
о Компактная ОСТ или «слоновая кость»: сформирована из зрелой пластинчатой кости; гаверсовы каналы или фиброзные компоненты отсутствуют
о Трабекулярная ОСТ: состоит из губчатого трабекулярного костного вещества с костным мозгом, окруженным кортикальным костным веществом

(Слева) Бесконтрастная КТ, аксиальный срез: у мужчины 81 года, доставленного в приемное отделение с измененным психическим статусом определяется выраженно гиподенсное поражение волосистой части кожи головы над лобной костью слева.
(Справа) КТ, костное окно: у этого же пациента отмечается, что поражение имеет ту же плотность, что и подкожная жировая клетчатка. Липомы волосистой части кожи головы как случайные находки наблюдаются нередко. Обычно считается, что внутричерепные липомы — мальформативные, а не опухолевые образования.
д) Клиническая картина:
1. Проявления доброкачественной мезенхимальной опухоли:
• Наиболее частые признаки/симптомы:
о ДМО наиболее часто имеют бессимптомный характер
о ОХД и ОСТ: могут проявляться как «костный нарост»
о ХД и ОХД: может выявляться недостаточность функции черепного нерва(ов) при локализации в области ската/основания черепа; очень редко наблюдаются судороги
3. Течение и прогноз:
• ХД: злокачественная трансформация происходит редко
• ОХД: злокачественная трансформация происходит редко:
о Отсутствие ножки, крупный хрящевой «колпачок», наиболее вероятно, имеют дегенеративный характер
о Риск возрастает по мере увеличения количества и размеров ОХД
о Злокачественная трансформация при остеохондроматозе составляет 25-30% по сравнению с 1% при одиночных ОХД
• ОСТ:
о Медленно растущие образования обычно бессимптомны
о Вторичное мукоцеле с поражением внутричерепных отделов свода черепа
4. Лечение доброкачественной мезенхимальной опухоли:
• Бессимптомные образования не требуют лечения
• Хирургические показания: облегчение симптомов, косметические показания
• Цели хирургического лечения: полное удаление, кюретаж, если опухоли не могут быть полностью резецированы
е) Диагностическая памятка. Обратите внимание:
• Возможен синдромальный характер ДМО
ж) Список литературы:
1. Lee DН et аI: Characteristics of paranasal sinus osteoma and treatment outcomes. Acta Otolaryngol. 1 -6, 2015
2. Atalay FO et al: Intracranial extra-axial chondroma: a case report. J Nippon Med Sch. 81(1 ):35-9, 2014
3. Sanal HT etal: Bumps over cheeks. Skeletal Radiol. 43(2):233, 267-8, 2014
4. Wen G et al: Solitary fibrous tumor of the central nervous system: report of 2 cases and review of literature. Int J Clin Exp Pathol. 7(6):3444-8, 2014
5. Fountas KNetal: Intracranial falx chondroma: literature review and a case report. Clin Neurol Neurosurg. 110(1):8— 13, 2008
6. Louis DN et al: The 2007 WHO classification of tumours of the central nervous system. Acta Neuropathol. 2007 Aug;114(2X97-109. Epub 2007 Jul 6. Review. Erratum in: Acta Neuropathol. 114(5):547, 2007
Диагностика менингиомы по КТ, МРТ
а) Терминология:
1. Сокращения:
• Типичная менингиома (ТМ)
• Атипичная менингиома (AM), злокачественная менингиома (ММ)
2. Определение:
• ТМ = менингиома 1 степени злокачественности по классификации ВОЗ
(Слева) КТ с контрастированием, аксиальный срез: у беременной женщины 26 лет с внезапной потерей зрения определяется накапливающее контраст супраселлярное объемное образование.
(Справа) Исходя из опасения о наличии геморрагического новообразования гипофиза была проведена МРТ. На корональных Т2-ВИ определяются нормальный гипофиз в сочетании с расположенным над ним гиперинтенсивным объемным образованием ( четкими контурами, которое развивается из диафрагмы седла. Отчетливо наблюдается отсутствие связи образования с железой. При хирургическом лечении была диагностирована классическая менингиома диафрагмы седла (grade I). (Слева) КТ с контрастированием, аксиальный срез: у пациента с первичной менингиомой оболочки зрительного нерва отмечается интенсивное контрастирование левого зрительного нерва. Данные изменения описаны в литературе как симптом «трамвайной линии».
(Справа) МРТ, постконтрастное Т1-ВИ, аксиальный срез: у другого пациента с вторичной менингиомой оболочки зрительного нерва определяется менингиома, растущая из области клиновидного гребня вокруг переднего наклоненного отростка, сужающая пещеристый сегмент внутренней сонной артерии, распространяющаяся через зрительный канал и инфильтрирующая оболочку зрительного нерва.
(Слева) МРТ, Т2-ВИ, режим подавления сигнала от жира, аксиальный срез: у женщины 66 лет с выраженным экзофтальмом визуализируется массивное утолщение большого крыла клиновидной кости, окруженное слегка гиперинтенсивным мягкотканным объемным образованием, вовлекающим в процесс глазницу, высокое глубокое жевательное пространство и среднюю черепную ямку.
(Справа) МРТ, STIR, корональный срез: хорошо визуализируется гиперостоз крыла клиновидной кости. Отмечается отчетливый дуральный хвост более гиперинтенсивен мягкотканного компонента объемного образования. (Слева) МРТ, постконтрастное Т1-ВИ, режим подавления сигнала от жира, аксиальный срез: у этой же пациентки определяется интенсивное и равномерное контрастное усиление мягкотканного компонента объемного образования. Гиперостотически измененная кость накапливает контрастное вещество слабоинтенсивно.
(Справа) МРТ, постконтрастное Т1-ВИ, корональный срез: накапливающее контраст мягкотканное образование Визуализируется утолщенное и васкуляризированное крыло клиновидной кости. В смежных отделах прослеживается дуральный хвост. При операции была обнаружена менингиома grade I, а также присутствие опухолевых клеток в резецированной клиновидной кости.
4. Ангиография:
• ЦСА:
о «Лучистый» или радиальный характер:
- Центральные отделы образования кровоснабжаются сосудами твердой мозговой оболочки
- Сосуды мягкой мозговой оболочки могутбыть «паразитизи-рованы» и кровоснабжать периферические отделы опухоли
о Длительное сосудистое «пятно»
о Венозная фаза чрезвычайно важна для оценки вовлечения в процесс венозных синусов
5. Радионуклидная диагностика:
• Для определения степени злокачественности опухоли ОФЭКТ сталлием-201 дает лучшие результаты, чем ПЭТ с ФДГ
6. Данные других методов исследования:
• Рентгенологические признаки сложного экстрапиального кливажа:
о Перитомуральный отек при МРТ/КТ → может скрывать инвазию опухоли в мягкую мозговую оболочку
о Выявление васкуляризации опухоли сосудами мягкой мозговой оболочки при ЦСА = инвазия мягкой мозговой оболочки
о Граница между опухолью и корой не является надежным предиктором
7. Рекомендации по визуализации:
• Лучший инструмент визуализации:
о МРТ с контрастным усилением
• Совет по протоколу исследования:
о Рассмотрите возможность проведения МР-спектроскопии → оцените пик аланина, соотношения глутамин: креатин
в) Дифференциальная диагностика менингиомы:
1. Метастатическое поражение твердой мозговой оболочки:
• Часто наблюдается инфильтрация черепа; мультифокальный характер
• Наиболее частая локализация первичной опухоли - молочная железа
2. Гранулема:
• Саркоидоз
• Туберкулез
3. Идиопатический гипертрофический пахименингит:
• Для подтверждения диагноза необходима биопсия твердой мозговой оболочки
• Часто, IgG4-связанное заболевание
4. Внекостномозговое кроветворение:
• Известное гематологическое заболевание
• Часто мультифокальный характер
5. Гемангиома (твердая мозговая оболочка/венозные синусы):
• Может быть неотличима от ТМ
• Венозный синус (например, пещеристый) → объемное образование, прилежащее широким основанием к твердой мозговой оболочке
(Слева) МРТ, Т2-ВИ, аксиальный срез: в правом мостомозжечковом углу (ММУ) визуализируется объемное образование с четкими контурами, распространяющееся в правый внутренний слуховой проход.
(Справа) МРТ, постконтрастное Т1-ВИ, аксиальный срез: отмечается интенсивное и однородное контрастное усиление менингиомы в ММУ. (Слева) МРТ, Т2-ВИ, корональный срез: в области левой обонятельной луковицы определяется объемное образование изоинтенсивного по отношению к коре головного мозга сигнала с перифокальным отеком.
(Справа) МРТ, постконтрастное Т1 -ВИ, аксиальный срез: интенсивное и однородное контрастное усиление объемного образования, представляющего собой менингиому обонятельной борозды.
1. Общие характеристики менингиомы:
• Этиология:
о Развивается из арахноидальных менинготелиальных клеток
о Делеция 22-й хромосомы (40-60% спорадических менингиом)
о Менингиомы при НФ2:
- Геномная нестабильность
- Наиболее вероятен атипичный характер менингиомы
- Больше полушария, полушария мозжечка, латеральные отделы основания черепа, позвоночник
о Менингиомы, не связанный с НФ2:
- Практически всегда доброкачественные
- Хромосомная стабильность, частые мутации в гене SMO
- Медиальные отделы основания черепа
о При множественных менингиомах часто наблюдаются мутации гена SMARCB1
• Ассоциированные аномалии:
о Нейрофиброматоз 2 типа (НФ2):
- Множественные наследственные шванномы, менингиомы и эпендимомы (синдром MISME)
- У 50-75% пациентов с НФ2 развивается менингиома
- 10% пациентов с множественными менингиомами имеют НФ2
о Метастазирование в менингиому («опухоль в опухоли», иногда именуется «коллизионная опухоль»):
- ПМ-наиболее частая первичная внутричерепная опухоль, в которой обнаруживаются метастазы; первичный очаг в большинстве случаев - в легком или молочной железе
• Медленный рост, доброкачественный характер
2. Макроскопические и хирургические особенности:
• Два основных варианта морфологии:
о Шаровидная = глобулярное новообразование, хорошо отграниченное от окружающих структур, прилегающее широким основанием к твердой мозговой оболочке (дуральный хвост):
- В 60% случаев наблюдается локальная инвазия опухоли в дуральный хвост
о Бляшечная = пластинчатое утолщение, покрывающее твердую мозговую оболочку без инвагинации в мозговую паренхиму
• Однородная красновато-коричневая полупрозрачная бледная поверхность
• Консистенция от мягкой до упругой, иногда «песчаная»
о Зависит от фиброзной ткани, содержания кальцификатов
• ТМ обычно инвагинируют в головной мозг, но не инвазируют в него
3. Микроскопия:
• ТМ (I степень злокачественности по классификации ВОЗ [grade I]) имеет широкий диапазон подтипов:
о Менинготелиальный подтип: единообразные опухолевые клетки, коллагеновые перегородки, псаммоматозные кальцификаты (наиболее часто)
о Фиброзный подтип: переплетение пучков веретеновидных клеток, коллагеновый/ретикулярный матрикс
о Промежуточный (смешанный) подтип: завитки по типу «луковицы», псаммозные тельца
о Псаммоматозный подтип
о Ангиоматозный подтип
о Микроцитарный подтип
о Секреторный подтип
о Богатый лимфоплазмацитами подтип
о Метапластический подтип
(Слева) МРТ, FLAIR, аксиальный срез: визуализируется дольчатое слегка гиперинтенсивное внутрижелудочковое объемное образование, растущее из клубка сосудистого сплетения. Обратите внимание на расширение височного рога левого бокового желудочка с перивентрикулярным интерстициальным скоплением мигрировавшей жидкости.
(Справа) МРТ, постконтрастное Т1-ВИ, аксиальный срез: определяется интенсивно и равномерно накапливающее контрастное вещество объемное образование (внутрижелудочковая менингиома). Около 1 % внутричерепных менингиом имеют внутрижелудочковую локализацию; здесь внутри сосудистого сплетения могут сохраняться остатки паутинной мозговой оболочки. (Слева) Бесконтрастная КТ, аксиальный срез: выраженные гиперостоз и кальцификация бляшечной менингиомы, распространяющейся вдоль внутренней компактной пластинки черепа слева.
(Справа) МРТ, Т1-ВИ, аксиальный срез: у этого же пациента определяется характерный гипоинтенсивный сигнал от зоны кальцификации/оссификации. (Слева) КТ с контрастированием, аксиальный срез: справа визуализируются несколько интенсивно накапливающих контраст в немозговых объемных образований с четкими контурами, которые были умеренно гиперденсны на бесконтрастных КТ-изображениях (не представлены).
(Справа) МРТ, постконтрастное Т1-ВИ, аксиальный срез: определяются интенсивно накапливающие контраст объемные образования. Множественные менингиомы чаще встречаются у женщин и пациентов с НФ2.
1. Проявления менингиомы:
• Наиболее частые признаки/симптомы
о Симптоматическими являются < 10% всех менингиом
о Симптомы зависят от локализации опухоли
2. Демография:
• Возраст:
о Средний взрослый
• Пол:
о М: Ж = 1:1.5-3
• Эпидемиология:
о Наиболее частое первичное внутричерепное новообразование у взрослых (20-35%):
- Частота выявления при аутопсии 1-1,5%
3. Течение и прогноз:
• Обычно характерны медленный рост, компрессия смежных структур
• При парасагиттальной локализации часто врастают в сагиттальный синус и окклюзируют его
• Метастазируют редко (0,1 —0,2%): гистология, локализация не коррелируют с метастазами
4. Лечение менингиомы:
• При бессимптомном течении - наблюдение в динамике методами диагностической визуализации
• Хирургическое
• Лучевая терапия для лечения ПМ используется нечасто
е) Диагностическая памятка. Советы по интерпретации изображений:
• До операции определите протяженность всей опухоли
• Может ли иметь место специфический синдром (например, НФ2)
ж) Список литературы:
1. Shibuya М: Pathology and molecular genetics of meningioma: recent advances. Neurol Med Chir (Tokyo). 55(1):14-27, 2015
2. Watanabe К et al: Prediction of hard meningiomas: quantitative evaluation based on the magnetic resonance signal intensity. Acta Radiol. ePub, 2015
3. Lin BJ et al: Correlation between magnetic resonance imaging grading and pathological grading in meningioma. J Neurosurg. 121 (5): 1201-8, 2014
4. Wen M etal: Immunohistochemical profile of the dural tail in intracranial meningiomas. Acta Neurochir (Wien). 1 56(12):2263-73, 2014
Внутримозговые опухоли полушарий мозга
Внутримозговые опухоли полушарий мозга — доброкачественные и злокачественные опухоли, располагающиеся непосредственно в тканях головного мозга. Опухоли полушарий мозга проявляются общемозговыми (головная боль, застой дисков зрительных нервов, головокружение, рвота, психические нарушения) и очаговыми (двигательные нарушения, выпадения чувствительности, зрительные расстройства, нарушения речи, нейро-эндокринный синдром и пр.) симптомами. Диагностика опухоли полушарий мозга включает офтальмоскопию, ЭЭГ, Эхо-ЭГ, КТ и МРТ головного мозга, стереотаксическую биопсию. Лечение опухоли полушарий мозга может включать радикальное или частичное ее удаление, хирургическую декомпрессию головного мозга, химиотерапию, лучевую терапию и симптоматическое лечение.
МКБ-10
Общие сведения
Внутримозговые опухоли полушарий мозга занимают примерно 1,4% от всех злокачественных опухолей. На их долю приходится 2,4% всех летальных исходов, связанных с заболеванием раком, как во взрослом, так и в детском возрасте. Заболеваемость опухолями полушарий мозга составляет 3,7 на 100 тыс. человек. В настоящее время отмечается тенденция к росту этого показателя. Опухоли полушарий мозга в педиатрической практике встречаются заметно реже, чем у взрослых пациентов. Наибольшей заболеваемости подвержены люди в возрасте от 20 до 50 лет. Внутримозговые опухоли полушарий мозга являются предметом совместного изучения неврологии, онкологии и нейрохирургии.
Причины возникновения опухоли полушарий мозга
Бесспорной причиной развития опухоли полушарий мозга является радиация. Это подтверждается возникновением внутримозговых опухолей у пациентов, проходивших лучевую терапию в связи с различными заболеваниями. Предполагается, что риск возникновения опухоли полушарий мозга повышается при употреблении заменителя сахара аспартама, воздействии винилхлорида, неблагоприятном влиянии электромагнитных полей при использовании мобильного телефона.
Некоторые авторы связывают опухоли полушарий мозга с нарушениями в иммунной системе, которые могут иметь врожденный характер, наблюдаются у больных ВИЧ или являются следствием иммуносупрессорной терапии. Также замечено, что ряд опухолей полушарий мозга ассоциируется с такими заболеваниями как туберозный склероз, болезнь Гиппеля-Линдау, нейрофиброматоз Реклингхаузена.
Классификация опухолей полушарий мозга
Принципиальным является разделение опухолей полушарий мозга на первичные и вторичные (метастатические). Первичные опухоли полушарий мозга в большинстве своем развиваются из глиальных элементов, за что и получили название глиальные опухоли. Из них наиболее часто встречается астроцитома. Раже встречаются первичные опухоли полушарий мозга, берущие начало в соединительнотканных структурах (например, в оболочке сосудов головного мозга) и железистой ткани. К ним относятся саркомы и ангиоретикулемы, аденомы.
Метастатические опухоли мозга представляют собой метастазы злокачественных опухолей внемозговой локализации. Чаще других в головной мозг метастазирует рак легких, второе место по частоте внутримозговых метастазов занимает рак молочной железы. Реже вторичные опухоли полушарий мозга возникают при метастазах меланомы, гипернефромы, ретинобластомы, опухолей надпочечников и др.
Симптомы опухоли полушарий мозга
Общемозговые симптомы
Общемозговые симптомы внутримозговой опухоли полушарий мозга связаны с повышением внутричерепного давления (гидроцефалией). Причем степень гипертензии не зависит напрямую от размеров опухоли. Так, небольшие опухоли полушарий мозга могут приводить к нарушению ликвородинамики и существенному увеличению внутричерепного давления, а опухоли больших размеров иногда сопровождаются слабовыраженной общемозговой симптоматикой. К общемозговым симптомам относятся: головная боль, головокружение, рвота, поражение дисков зрительных нервов, психические расстройства, эпилептические приступы.
При внутримозговой опухоли полушарий мозга головная боль носит тупой распирающий диффузный характер. В начальном периоде она обычно возникает периодически, а затем становится постоянной. Зачастую пациенты отмечают уменьшение интенсивности головной боли при определенном положении головы (как правило, в положении лежа на пораженной стороне головы).
Характерным клиническим признаком опухоли полушарий мозга является головокружение. Оно носит приступообразный системный характер в виде ощущения собственного вращения или вращения окружающих предметов. Головокружение может сопровождаться другими симптомами вестибулярной атаксии, тошнотой, вегетативными нарушениями, шумом в ушах. Обычно при опухоли полушарий мозга, в отличие от опухоли мозжечка, головокружение появляется на более поздних стадиях заболевания при значительной ликворной гипертензии.
Отличительной чертой рвоты при опухоли полушарий мозга является ее возникновение вне связи с приемом пищи; наиболее часто утром натощак. Также рвота часто наблюдается на пике головной боли. Поскольку рвота приводит к уменьшению головной боли, то некоторые пациенты с этой целью специально вызывают рвотный рефлекс. При опухолях IV желудочка и мозжечка рвота может возникать без головной боли и провоцироваться изменением положения тела.
Поражение дисков зрительных нервов в большинстве случаев является двусторонним и обусловлено развитием в них застойных явлений под воздействием постоянно повышенного внутричерепного давления. Застойные диски зрительных нервов являются ранним симптомом опухоли полушарий мозга и могут выявляться при офтальмоскопии в период, когда субъективные ощущения пациентов еще слабо выражены. Поражение зрительных нервов клинически проявляется мельканием «мушек» перед глазами, периодически возникающим «туманом» в глазах. При этом, в отличие от неврита зрительного нерва, длительно сохраняется острота зрения. С течение времени застойные изменения могут привести к атрофии зрительного нерва.
Часто при опухоли полушарий мозга наблюдаются психические расстройства. Они могут носить самый разнообразный характер от нарушений мнестической сферы (памяти, внимания, мышления) и психо-эмоциональной перестройки личности (повышенная раздражительность, агрессивность или напротив апатия, чрезмерное благодушие) до тяжелых психических расстройств (галлюцинации, бред, сумеречные состояния сознания). Характерным является постепенное прогрессирование психических отклонений, хотя при злокачественном характере опухоли полушарий мозга этот процесс протекает достаточно быстро.
Нередко опухоли полушарий мозга сопровождаются эпилептическим синдромом. Чаще всего это наблюдается при расположении процесса в височной доле (височная эпилепсия). Возможны различные типы эпи-приступов от малых до первично-генерализованных. Характер предшествующей приступу ауры зачастую позволяет предположить ориентировочное местонахождение опухоли.
Очаговые симптомы
Различают первичную очаговую симптоматику опухоли полушарий мозга, возникающую непосредственным воздействием опухоли на окружающие ее ткани, и вторичную — обусловленную смещением и ущемлением отдаленных от опухоли структур мозга, ишемизацией мозговых тканей, расположенных далеко от опухоли, но кровоснабжающихся сдавленными ею сосудами.
При опухоли полушарий мозга, локализующейся в лобной доле, на первый план выходит лобный синдром: психомоторные расстройства, изменение поведения, эмоционально-волевой сферы. Характерно замедление речи и мышления, парез лицевого нерва центрального типа, возникновение хватательного рефлекса, генерализованные эпи-приступы с предшествующими тоническими судорогами и насильственным поворотом глаз и головы.
Опухоли полушарий мозга, расположенные в теменной доле, сопровождаются нарушениями чувствительности и мышечно-суставного чувства, расстройствами восприятия собственного тела. Опухолевое поражение в доминантном полушарии приводят к нарушению счета, письма (дисграфия) и чтения (дислексия).
Опухоли полушарий мозга в височной доле отличаются ранним появлением эпи-приступов. Возможны сложные слуховые и зрительные галлюцинации, неприятные висцеральные ощущения. Опухоли левой височной доли приводят к появлению сенсорной афазии. Поражение задневисочных отделов протекает с развитием гомонимной гемианопсии (выпадения одноименных половин полей зрения).
Расположенные в затылочной доле опухоли полушарий мозга проявляются разнообразными расстройствами зрительной функции: частичной или полной гемианопсией, зрительными галлюцинациями, фотопсиями и метаморфопсиями, оптической агнозией.
Опухоли полушарий мозга в области турецкого седла (например, аденомы гипофиза) сопровождаются нейро-эндокринным синдромом. В зависимости от возраста пациента, характера и локализации опухоли может наблюдаться акромегалия, гигантизм, гипофизарный нанизм, болезнь Иценко-Кушинга, у женщин — нарушение менструального цикла, аменорея. Опухоли шишковидного тела в детском возрасте приводят к раннему половому созреванию.
Опухоли мозолистого тела приводят к ярко выраженным психическим расстройствами и нарушениям ориентировки в пространстве. Опухоли полушарий мозга в области подкорковых структур манифестируют повышением внутричерепного давления и ранними застойными изменениями зрительных дисков. Затем присоединяются нарушения чувствительности, вегетативные симптомы (гипергидроз, лабильность пульса и артериально давления, разница температур кожи различных участков тела), насильственный смех и плач, маскообразность лица.
Диагностика опухоли полушарий мозга
Заподозрить внутримозговую опухоль невролог может по жалобам пациента и выявленным нарушениям в неврологическом статусе. Исключение опухоли полушарий мозга необходимо у всех пациентов с впервые возникшими эпи-приступами. Обязательным является обследование у офтальмолога с определением остроты зрения, проведением периметрии и офтальмоскопии. При нарушениях слуха назначается консультация отоларинголога, при наличие нейро-эндокринного синдрома — эндокринолога, а для женщин дополнительно гинеколога-эндокринолога.
Опухоли полушарий мозга в большинстве случаев сопровождаются выявляемой в ходе Эхо-ЭГ значительной гидроцефалией. Если опухоль вызывает смещение структур головного мозга, то обнаруживается смещение эхо-сигналов от средней линии. При помощи ЭЭГ определяют наличие эпилептической активности. РЭГ при опухоли полушарий мозга зачастую дает сведенья о тех или иных нарушениях внутримозгового кровообращения, которые могут быть связаны с рефлекторным сосудистым спазмом или сдавлением сосудов растущей опухолью.
Наилучшими способами объективного выявления опухоли полушарий мозга признаны методы нейровизуализации: КТ и МРТ головного мозга. Они позволяют определить точную локализацию опухоли полушарий мозга и дифференцировать ее от внутримозговой гематомы, кисты при сирингомиелии, абсцесса головного мозга, рассеянного склероза, эпилепсии. Однако поставить достоверный диагноз и верифицировать опухоли полушарий мозга позволяет лишь гистологическое исследование. Оно может проводится с образцами мозговой ткани, полученными в ходе стереотаксической биопсии или интраоперационно.
Лечение опухоли полушарий мозга
Основным методом в лечении опухоли полушарий мозга остается ее хирургическое удаление. Доброкачественные внутримозговые опухоли полушарий мозга достигающее размера не более 3,5 см могут быть удалены с применением стереотаксической радиохирургии. К сожалению, удаление глиальных опухолей зачастую невозможно из-за их значительного прорастания в окружающую мозговую ткань. Полное удаление неглиальных опухолей возможно только при их доброкачественном характере. Удаление вентрикулярных опухолей представляет для нейрохирургов значительные трудности. В случаях когда оно не может быть выполнено в полном объеме дополнительно проводят шунтирующую операцию. Удаление метастатических опухолей возможно, если они носят единичный характер или локализуются в одной зоне.
При неоперабельной опухоли полушарий мозга возможно проведение паллиативных вмешательств, направленных на снижение степени гидроцефалии и предупреждение дислокации мозговых структур. К ним относятся декомпрессивная трепанация черепа, наружное вентрикулярное дренирование, вентрикулоперитонеальное шунтирование.
Хирургическое лечение опухоли полушарий мозга зачастую комбинируется с лучевой и химиотерапией. Облучение проводится обычно в режиме дистанционной гамма-терапии через 1-2 недели после проведенной операции. Условиями проведения эффективной химиотерапии является точная верификация опухоли и определение чувствительности пациента к химиопрепарату. Химиотерапия проводится курсами с обязательным контролем показателей крови и сопровождающей противорвотной терапией. Она может осуществляться путем локального введения препаратов в ликворную систему или непосредственно в ложе опухоли.
Прогноз опухоли полушарий мозга
Благоприятный прогноз наблюдается в случае ангиоретикулемы или аденомы при условии ее радикального хирургического удаления. Глиальные опухоли полушарий мозга отличаются частым рецидивированием, продолжительность послеоперационной выживаемости пациентов при них зависит от степени злокачественности опухоли.
Читайте также:
