КТ, МРТ, ангиография при асимметрии крыловидного венозного сплетения
Добавил пользователь Евгений Кузнецов Обновлено: 28.11.2025
Звоните нам по телефону 8 (812) 241-10-46 с 7:00 до 00:00 или оставьте заявку на сайте в любое удобное время
Ваша заявка принята!
Благодарим за обращение.
В ближайшее время с вами свяжется наш специалист.
категории статей
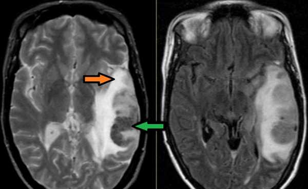
МРТ венозных синусов головного мозга
Магнитно-резонансная томография головного мозга визуализирует любые сосуды головного мозга в нативном режиме. Визуализация становится более качественной после внутривенного введения контрастного вещества (МР-ангиография, МРА, МР-венография).
Процедура хорошо визуализирует мягкие ткани, поэтому отслеживает сосудистые образования внутри любого органа. Комплексная программа с ангиографическим режимом включает перечень обследуемых зон:
- Головной мозг;
- Шея;
- Коронарные сосуды и шея;
- Аорта;
- Кровоснабжение разных отделов головного мозга.
Исследование проводится для обнаружения участков сужения, тромбов, атеросклероза, аневризм, артерио-венозных мальформаций, васкулитов.
Частные диагностические центры предлагают услуги:
- Бесконтрастную МРТ венографию интракраниальных вен и венозных синусов;
- Контрастное обследование внутричерепных вен;
- МР-ангиографию шеи и головы.
Рассмотрим подробнее особенности процедур.
Большинство клиник предлагает обследование высокопольными томографами (мощностью более 1,5Т), но качественно отследить сосудистую проходимость позволяют среднепольные аппараты, некоторые виды низкопольных аналогов.

МР-ангиография при нарушении венозного кровоснабжения височных долей
МРТ сосудов головного мозга: артериография, венография
Магнитно-резонансная томография – метод послойного сканирования области исследования через заданное количество миллиметров. Сравнение, анализ полученных сотен полученных томограмм осуществляется программным обеспечением.
Преимущественный анализ сосудов с помощью магнитно-резонансного сканирования – МР-ангиография (МРА).
Чем отличает МРТ головного мозга от МРТ сосудов? Первое обследование проводится для тщательного изучения церебральной паренхимы, турецкого седла, нервных волокон, гипофиза. Назначается с целью определения опухолей, кист, расширения венозных синусов, воспалительных очагов, отеков, кровоизлияния, гематом. Вторая разновидность используется преимущественно для анализа состояния вен и артерий. Исследование определяет проходимость сосудов, выявляет тромбы, аномалии, мальформации, аневризмы, васкулиты, ангиомы, другие патологические изменения.
Оптимальное оборудование по цене и качеству, позволяющее качественное провести обе процедуры, – МР-сканеры мощностью более 1,5 Тесла.
Комплексные программы МРА:
- Головной мозг, венография, артериография;
- Мозговые ткани, артерии;
- Мозг и вены (венозные синусы);
- МР-венография, МР-ангиография.
Определяет правильный метод сканирования лечащий врач, рентгенолог. Перечень методов может указываться в направлении, определяться специалистами во время выполнения томографии.
Что такое МРТ венография, томография вены Галена: показания
МР-обследование венозной сети назначается для обнаружения ряда заболеваний:
- Мальформация – смешение артериальной и венозной крови;
- Подозрение на расслоение стенки;
- Опухолевое прорастание сосудов;
- Тромбоз (тромбофлебит);
- Атеросклероз артерий;
- Аномалии развития и положения.
Венозная сеть головного мозга состоит из поверхностных и глубоких сосудов. Последние сливаются в один большой сосуд под названием «вена Галена». Цистерны располагаются по краю сагиттального синуса, проецируются в один большой сосуд (прямой).
С помощью МРТ вены Галена изучается не только строение, проходимость, но и скорость прохождения крови (в норме от четырех до восемнадцати миллисекунд). По структуре образование может иметь рассыпное или магистральное строение.
Люди с долихоцефалической формой черепа имеют магистральные вены длиной до трех сантиметров, семью протоками.
Длина галеновой вены существенно зависит от формы головы пациента. С особенностью ознакомлены врачи лучевой диагностики.
Что показывает МР-венография:
- Артериовенозные мальформации – патологические соустья между артериями и венами;
- Эмболизация – закупорка венозной или артериальной мальформации;
- Церебральные венозные дистонии – нарушение тонуса сосудов с патологией распределения крови;
- Тромбозы;
- Участки сужения, стенозы.
Причину назначения артериографии, венографии указывает в направлении врач.
Перед сканированием рентгенолог анализирует амбулаторную карту, историю болезни пациента.
МР-венография и артериография – в чем разница
Ход процедуры по обследованию церебральных артерий и вен аналогичный. Бесконтрастный способ предполагает использование специальных ангиографических режимов оборудования. При необходимости тщательного изучения внутреннего состояния сосудов внутривенно вводится контраст. Сканирование осуществляется последовательно по ходу распределения препарата по артериальным и венозным стволам.
Рациональность введения гадолиния («гадодиамид») определяется врачом лучевой диагностики. Процедура может проводиться предварительно или назначаться после нативной томографии с целью уточняющего обследования – выявление аневризм, атеросклероза, стеноза, васкулитов.
МР-артериография – изучение артерий путем выполнения магнитно-резонасного сканирования. Можно совмещать исследование с венографией для уменьшения времени сканирования, экономии ресурсов.
Разница между методами лишь в предмете исследования.
Томография с ангиографическим режимом головы и шеи предполагает изучение не только церебрального кровоснабжения, но и системы брахиоцефального ствола, включающего целый ряд сосудов, обеспечивающих насыщение кровью основание черепа. Рациональность дополнительного контрастирования определяется необходимостью верификации опухолей, имеющих собственную систему капилляров. Обследование обнаруживает даже небольшие новообразования диаметром несколько миллиметров.
МРА шеи и головы рекомендуется:
- При подозрении новообразований гипофиза;
- Определении степени рассеянного склероза;
- Верификации патологических очагов спинного и головного мозга;
- Диагностике метастазов.
Предварительной подготовки МРА не требует, но при аллергии к гадолинию, почечной недостаточности, боязни замкнутых помещений контрастирование проводить противопоказано. За несколько 2 часа до контрастного исследования нужно отказаться от приема еды.
Показания к магнитно-резонансной томографии вен головного мозга
МРТ вен и венозных синусов – дорогостоящая процедура, назначаемая по показаниям:
- Необъяснимое головокружение;
- Припадки эпилепсии;
- Беспричинные головные боли с определенной периодичностью;
- Ишемические заболевания;
- Быстрое падение зрения;
- Расстройство сознательной деятельности;
- Недостаточность шейного кровообращения (вертебробазилярная);
- Повышенное внутричерепное давление;
- Онкологические болезни;
- Атеросклероз;
- Перенесенные черепно-мозговые травмы;
- Церебральные тромбозы;
- Периферические васкулиты;
- Ангиопатия при сахарном диабете;
- Постинсультные состояния;
- Внутриушной шум.
Клинические показания к МРТ вен головного мозга:
- Проблемы с памятью;
- Различные виды цефалгий;
- Зрительная патология;
- Высокое внутричерепное давление;
- Черепно-мозговые травмы.
Критерии направления зависят от степени тяжести, длительности сохранения клинических симптомов, эффективности консервативного лечения.
Особенности МРТ венозных синусов
Человеческий мозг содержит десяток цистерн. Венозные полости обеспечивают накопление крови.
Виды церебральных синусов:
- Нижний (сагиттальный) – локализуется внизу серпа;
- Верхний – находится вверху серповидного отростка;
- Поперечный – располагается сзади мозжечка;
- Прямой – идет вдоль мозжечка и серповидного отростка;
- Затылочный – расщепляется на несколько образований, переходит в яремную вену или сигмовидный синус;
- Межпещеристый – по периферии турецкого седла, образует кольцо вместе с пещеристыми синусами;
- Кавернозный – находится сбоку турецкого седла. Содержит отводящий нерв, сплетение сонной артерии;
- Нижний и верхний каменистые – располагаются вдоль каменистой бороды (сверху и снизу);
- Клиновидно-теменной – локализуется возле малых крыльев клиновидной кости.
После черепно-мозговой травмы повышается вероятность тромбоза синуса (закупорка тромбом). Патология провоцируется также инфекцией, опухолью, геморрагическим инфарктом.
Неврологи чаще назначают МР-томографию пещеристого синуса из-за содержания внутри полости ряда важных анатомических структур:
- Нервные сплетения с наличием III, IV, V, VI черепных нервов;
- Внутренняя сонная артерия;
- Гипофиз прилежит к наружной стенке пазухи.
Строение пещеристой пазухи более сложное по сравнении с другими аналогами.
Тромбоз венозного синуса на МРТ
Встречаемость образования тромбов внутри церебральных синусов – один случай на миллион человек. Научная литература описывает увеличение частоты встречаемости нозологии в последние годы на фоне бесконтрольного приема гормональных средств, частого промышленного травматизма, онкологической патологии.
Основные причины возникновения венозного тромбоза:
- Распространенные инфекции – вирусные, грибковые, бактериальные;
- Воспалительные процессы головы – мастоидит, отит, тонзиллит;
- Внутричерепные кровоизлияния, последствия введения наркоза;
- Прием гормональных препаратов;
- Кесарево сечение, токсикозы беременных женщин;
- Аутоиммунные системные болезни – артериит, саркоидоз, красная волчанка;
- Сильное обезвоживание;
- Высокое артериальное давление;
- Нарушение свертывающей системы с образованием тромбов;
- Операции на внутренних органах с повреждением артерий, вен.
По системе венозных синусов кровь оттекает от поверхностной сети в яремные вены к правому предсердию сердца. Опасность попадания тромбов внутрь системы определяется отсутствием клапанов, что обеспечивает свободное распределение любых частиц с поверхностных в глубокие вены. Свободная миграция повышает риск кровоизлияний, гематом.
Назначение на МРТ венозных синусов выдается при наличии подозрительных симптомов.
МРТ тромбоз кавернозного синуса
Клиническая картина синус-тромбоза
Острые симптомы тромбоза венозных синусов достаточно специфичны. В течение двух дней возникают неврологические признаки поражения определенной зоны головного мозга. Другие проявления обуславливаются заболеванием, спровоцировавшим развитие патологии.
При хроническом течении симптомы нарастают постепенно. Преобладает один из трех видов патологических синдромов:
- Очаговая неврология;
- Судороги;
- Черепная гипертензия.
Очаговые неврологические проявления сопровождаются расстройством двигательной и тактильной чувствительности (параличи, парезы, гипестезии).
При внутримозговом отеке, гипертонии, постинсультных состояниях возможны судороги, интенсивные головные боли.
Увеличение внутричерепного давления обусловлено блокадой распределения спинномозговой жидкости внутри желудочков. Клиническая картина – двоение объектов в глазах, зрительные расстройства, рвотный рефлекс.
Септические тромбофлебиты сопровождаются повышением температуры, интоксикационным синдромом, комой, избыточной потливостью.
Неспецифичные симптомы зависят от локализации тромбоза:
- Поражение кавернозного синуса – гнойные очаги в ушах, на лице, носовых пазухах. Интоксикационный синдром сопровождается лихорадкой, застоем глазного дна;
- Блокада сагиттальной полости – выраженность венозной сети височной, лобной области, носовые кровотечения, судороги;
- Тромбофлебит поперечных вен – гнойный процесс сосцевидного отростка височной кости, болевые ощущения внутреннего уха.
Диагностика КТ венозных синусов – информативный и доступный способ. МРТ ГМ с контрастом назначают с целью обследования вен и окружающих анатомических структур.
КТ, МРТ, ангиография при асимметрии крыловидного венозного сплетения
а) Терминология:
1. Синонимы:
• Крыловидное сплетение
2. Определение:
• Одностороннее увеличение размеров венозной сети глубоких тканей лица, в которую оттекает кровь от пещеристого синуса:
о Обычно является случайной находкой при исследовании головного мозга или шеи:
- Может быть вторичным при наличии сонно-пещеристого соустья
б) Визуализация:
1. Общая характеристика:
• Лучший диагностический критерий:
о Накапливающие контраст образования цилиндрической формы, которые расположены в медиальных отделах жевательного пространства и в окологлоточном пространстве
• Локализация:
о Сплетение расположено в жевательном пространстве меди-альнее крыловидных мышц, а также в окологлоточном пространстве
• Размер:
о Несколько миллиметров шириной, в переднемедиальном направлении проходит несколько сантиметров
• Морфология:
о Извитые образования, расположенные в глубоких отделах жевательного пространства и передних отделах окологлоточного пространства
• Лучевая анатомия:
о Через овальное, остистое и рваное отверстия кровь от пещеристого синуса попадает в крыловидное венозное сплетение
о Также сообщается с глазными венами через нижнюю глазничную щель и с передней лицевой веной через глубокую лицевую ветвь:
- Получает ветви от крылонебной верхнечелюстной артерии
о Отток от крыловидного сплетения:
- Верхнечелюстная вена → занижнечелюстна вена → внутренняя яремная вена (ВЯВ)
- Задняя и общая вены лица → внутренняя яремная вена

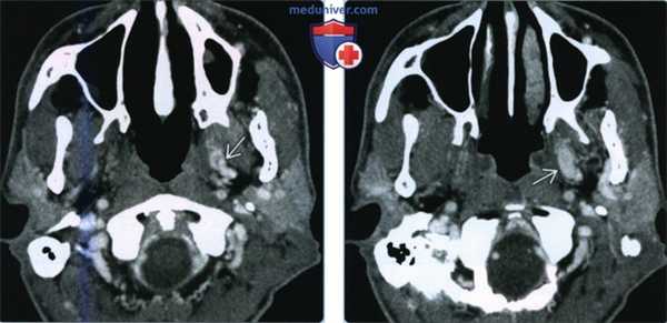
(Слева) При КТ с КУ в аксиальной проекции в медиальном жевательном и окологлоточном пространствах визуализируется участок накопления контраста волнообразной формы, который представляет собой увеличенное, асимметричное крыловидное венозное сплетение. Аномалия была обнаружена случайно. Обратите внимание, что плотность после введения контраста не отличается от плотности других вен.
(Справа) При КТ с КУ, на аксиальном срезе чуть выше предыдущего определяется увеличенное венозное сплетение, которое больше напоминает новообразование. И хотя подобная картина может насторожить врача в отношении периневральной опухолевой инвазии нижнечелюстного нерва, участок накопления контраста расположен иначе, чем предполагаемый ход ЧH V3.
2. КТ при ассиметрии крыловидного венозного сплетения:
• КТ без КУ:
о Без контраста визуализируется плохо
• КТ с КУ:
о Асимметричные волнообразные участки накопления контраста в жевательном и окологлоточном пространствах
• КТ-ангиография:
о КТ-ангиография/КТ-венография тонкими срезами, лучше всего визуализируется в венозную фазу
- Накопление контраста такое же, как и в других венах
3. МРТ при ассиметрии крыловидного венозного сплетения:
• Т1ВИ, Т2ВИ:
о Волнообразные участки потери сигнала в медиальных отделах жевательного и передних отделах окологлоточного пространств
• Т1ВИ с КУ:
о Однородное накопление контраста, одинаковой интенсивности с другими венами
о Структуры имеют червеобразную форму
• МРА:
о Сигнал от кровотока при проведении ЗТ МРА в норме обычно более интенсивный, чем справа:
- Вероятно, это объясняется обратным током крови, а не свидетельствует о наличии скрытой артериовеонзной фистулы
4. Ангиография:
• Отток крови от пещеристого синуса в крыловидное сплетение через основание черепа лучше всего визуализируется на передне-задней проекции
5. Рекомендации по визуализации:
• Лучший метод визуализации:
о Выявить подобную аномалию можно при помощи КТ и МРТ
• Протокол исследования:
о Интенсивность накопления контраста такая же, как и у других вен шеи
о Для подтверждения диагноза используется динамическая КТ-ангиография или КТ-венография

(Слева) При КТ с КУ в аксиальной проекции в медиальных отделах жевательного пространства наблюдается участок накопления контраста, напоминающий объемное образование. На самом деле он представляет собой асимметричное увеличенное крыловидное венозное сплетение.
(Справа) КТ с КУ в коронарной проекции, реконструкция из предыдущего аксиального среза. В этой проекции лучше визуализируются сливающиеся друг с другом сосуды, имеющие здесь линейную форму. Асимметричное увеличение левого венозного крыловидного сплетения, которое является случайной находкой.
в) Дифференциальная диагностика ассиметрии крыловидного венозного сплетения:
1. Расширенные ветви внутренней верхнечелюстной артерии:
• Отходят от верхнечелюстной артерии, ветви наружной сонной артерии
2. Венозная сосудистая мальформация:
• Дольчатые или кистозные образования, пересекающие пространство, с сигналом высокой интенсивности на Т2 ВИ
• Венозный компонент может содержать флеболиты
3. Периневральная инвазия опухоли по нижнечелюстному нерву в крылонебную ямку:
• Во время поиска периневральной инвазии врач может обнаружить выраженную асимметрию крыловидного сплетения:
о Нужно уметь отличить периневральную опухолевую инвазию от асимметрии крыловидного сплетения
о Нерв проходит прямо, в то время как вены крыловидного сплетения имеют извитую форму
4. Сонно-пещеристое соустье:
• Расширение ипсилатеральной верхней глазной вены, кавернозного синуса и нижнего каменистого синуса
г) Клинические особенности:
1. Проявления:
• Типичные признаки/симптомы:
о Бессимптомное состояние, случайная находка при КТ или МРТ
о Может быть следствием сонно-пещеристого соустья, в таком случае симптомы будут обусловлены высокой или низкой скоростью сброса крови в соустье
2. Демография:
• Эпидемиология:
о Достаточно частая находка при исследовании головного мозга или шеи
3. Течение и прогноз:
• Если обнаружена случайно, никакого лечения не требуется
• Если причиной является сонно-пещеристое соустье, необходимо инвазивное лечение
д) Диагностическая памятка. Следует учесть:
• Необходимо дифференцировать асимметрию крылонебного сплетения от периневральной инвазии опухоли по нижнечелюстному нерву
• При наличии соответствующих симптомов необходимо задуматься о наличии сонно-перещистого соустья
е) Список использованной литературы:
1. Kim E et al: MRI and MR angiography findings to differentiate jugular venous reflux from cavernous dural arteriovenous fistula. AJR Am J Roentgenol. 202(4):839-46, 2014
Введение в лучевую диагностику жевательного пространства: лучевая анатомия, методы исследования
а) Общие сведения о жевательном пространстве. Указывая на три наиболее распространенные причины поражения жевательного пространства, говорят: «инфекция, инфекция и еще раз инфекция». Когда рентгенолог сталкивается с какой-либо патологической находкой в этой области, в первую очередь он должен подумать об одонтогенном инфекционном процессе.
При обследовании пациентов с опухолями жевательного пространства огромное значение имеет наличие или отсутствие периневральной инвазии по нижнечелюстной ветви тройничного нерва (ЧН V3). От этого зависит и тактика лечения, и прогноз. К сожалению, наличие периневральной инвазии очень легко пропустить.
В жевательном пространстве находятся тело и ветвь нижней челюсти, четыре жевательные мышцы (жевательная, височная, медиальная и латеральная крыловидные мышцы) и нижнечелюстная ветвь тройничного нерва (ЧН V3). В краниокаудальном направлении жевательное пространство распространяется значительно дальше, чем принято считать, поскольку оно занимает область от края нижней челюсти почти до самого темени.
На уровне скуловой дуги жевательное пространство подразделяется на надскуловую часть (височная ямка) и подскуловую часть (подвисочная ямка).
Для того, чтобы у врача была возможность оценить наличие периневральной инвазии, область любого исследования обязательно должна включать в себя весь нижнечелюстной нерв: жевательное пространство, челюсть, основание черепа. Лучше всего, чтобы исследование захватывало латеральные отделы моста, тройничную полость, овальное отверстие, отверстие нижней челюсти (через которое нижний альвеолярный нерв входит в нижнюю челюсть), весь нижний альвеолярный канал и подбородочное отверстие.
Схема аксиальной проекции; показано жевательное пространство, окруженное поверхностным (окутывающим) листком глубокой фасции шеи (желтая линия). К жевательной мускулатуре относятся следующие мышцы (от самой медиальной до самой латеральной): медиальная и латеральная крыловидные мышцы, височная мышца и жевательная мышца. Обратите внимание, что нижнечелюстной нерв (основной ствол ЧН V3) проходит сразу позади от медиальной крыловидной мышцы, в пределах поверхностного листка глубокой фасции шеи. Спереди от жевательного пространства расположено щечное пространство, сзади от него-окологлоточное пространство и пространство околоушной железы. Слизистое пространство глотки находится медиальнее. Схема коронарной проекции, показаны надскуловая и подскуловая части жевательного пространства. Обратите внимание, что медиальный отрог поверхностного листка глубокой фасции шеи прикрепляется к основанию черепа сразу медиальнее овального отверстия, а латеральный отрог проходит над скуловой дугой до теменной кости.
в) Лучевая анатомия. Жевательное пространство является самым большим из всех клетчаточных пространств надподъязычной области шеи. Сверху надскуловое жевательное пространство продолжается вдоль теменной части черепа практически до самого темечка; здесь располагается височная мышца. Жевательное пространство на большой площади соприкасается с основанием черепа; именно в этой области располагаются овальное (нижнечелюстной нерв) и остистое (средняя менингеальная артерия) отверстия. Снизу жевательное пространство заканчивается у нижнего края задней поверхности тела нижней челюсти.
Очень важно знать анатомические взаимоотношения жевательного пространства с другими структурами, поскольку отсюда инфекционный или опухолевый процесс может распространиться на близлежащие пространства. Щечное пространство вместе с жировым телом щеки располагается спереди. Околоушное пространство находится сзади и латеральнее, а окологлоточное - сзади и медиальнее от жевательного пространства. Особое значение имеют анатомические взаимоотношения между жевательным и окологлоточным пространствами, поскольку объемное образование, расположенное в жевательном пространстве, будет смещать жировую клетчатку окологлоточного пространства назад и в медиальную сторону. Медиальнее жевательного пространства находится слизистое пространство глотки. Латеральнее жевательного пространства расположена подкожная клетчатка щеки.
Поверхностный листок глубокой фасции шеи расщепляется вокруг нижнего края нижней челюсти, окутывая ее и жевательные мышцы. Медиальный листок проходит по внутренней поверхности крыловидных мышц и прикрепляется к нижней поверхности основания черепа, сразу медиальнее овального отверстия. Этот медиальный листок также известен под названием медиальной крыловидной фасции. Латеральный листок окутывает наружную поверхность жевательной мышцы и крепится к скуловой дуге, откуда эта мышца начинается. Далее латеральный листок следует вверх вдоль височной мышцы и достигает верхней границы надскулового жевательного пространства. Надскуловая и подскуловая части жевательного пространства фасцией друг от друга не отделены. На самом деле, во всем жевательном пространстве нет ни одного горизонтально расположенного фасциального отрога, благодаря чему патологический процесс может легко распространяться в краниокаудальном направлении.
Наибольший объем жевательного пространства занимают четыре жевательные мышцы. Жевательная мышца начинается от скуловой дуги и крепится к нижнему краю тела нижней челюсти. Височная мышца начинается от костной площадки полукруглой формы, расположенной в теменной части черепа. Снизу она прикрепляется к венечному отростку нижней челюсти. Медиальная крыловидная мышца начинается от медиальной пластинки крыловидного отростка и крепится к язычной поверхности угла и ветви нижней челюсти. Латеральная крыловидная мышца начинается от латеральной пластинки крыловидного отростка и большого крыла клиновидной кости, а затем крепится к крыловидной ямке под мыщелком нижней челюсти.
Нижнечелюстная ветвь тройничного нерва (ЧН V3) покидает среднюю черепную ямку через овальное отверстие и входит в жевательное пространство. От нее отходит жевательная ветвь (двигательная иннервация жевательных мышц), челюстно-подъязычный нерв (двигательная иннервация челюстно-подъязычной мышцы и переднего брюшка двубрюшной мышцы) и ушно-височный нерв (чувствительная иннервация кожи над околоушной железой). Он продолжается как нижний альвеолярный нерв, входите нижнюю челюсть через отверстие, расположенное на язычной поверхности ветви нижней челюсти.
Также в жевательном пространстве расположены нижняя альвеолярная артерия и вены (которые вместе с нижним альвеолярным нервом проходят в отверстии нижней челюсти), крыловидное венозное сплетение (которое находится между волокон крыловидных мышц), а также ветвь и задняя часть тела нижней челюсти. Третьи моляры расположены в полости рта, а не в жевательном пространстве. Следует помнить, что в верхней части надскулового жевательного пространства находится височно-нижнечелюстной сустав. При обследовании пациента с объемным образованием жевательного пространства всегда необходимо исключить опухолеподобные заболевания височно-нижнечелюстного сустава.
(Слева) МРТ Т1ВИ в аксиальной проекции. Определяется объемное образование жевательного пространства, достигающее крупных размеров. Жировая клетчатка окологлоточного пространства смещена назад и в медиальную сторону. Опухоль прорастает в жевательные мышцы, окружающая жировая ткань также замещена опухолью. Сравните с противоположной стороной, на которой жировая ткань жевательного пространства остается интактной.
(Справа) Схема аксиальной проекции. Показано условное новообразование жевательного пространства, которое распространяется в окологлоточное пространство по направлению спереди назад. Нижнечелюстной нерв окружен опухолевой тканью. Противоположный нижнечелюстной нерв не вовлечен. (Слева) МРТ Т1ВИ FS с КУ, коронарная проекция. Периневральное распространение опухоли вдоль нижнечелюстного нерва; опухоль, прорастающая в полость черепа, приводит к расширению овального отверстия. Сравните с противоположной стороной, где овальное отверстие имеет нормальные размеры, а периневрий умеренно накапливает контраст.
(Справа) Схема надподъязычной области шеи, показана условная злокачественная опухоль жевательного пространства, которая распространяется вдоль ЧН V3. Обратите внимание, что новообразование распространяется в полость черепа. (Слева) Схема коронарной проекции, показаны размеры жевательного пространства в краниокаудальном направлении. Нижнечелюстной нерв проходит через овальное отверстие вдоль медиального места крепления поверхностного листка глубокой фасции шеи. Обратите внимание на расположенное сверху надскуловое жевательное пространство.
(Справа) Схема основания черепа, показана обширная область, на которой жевательное пространство контактирует с основанием черепа. Желтая линия, идущая вдоль наружного края жевательного пространства, представляет собой поверхностный листок глубокой фасции шеи. Обратите внимание, что в этой области находятся овальное и остистое отверстия, а также височно-нижнечелюстной сустав.
г) Лучевая диагностика заболеваний жевательного пространства. Чтобы ответить на вопрос «Какие лучевые признаки характерны для данного образования жевательного пространства?» сначала следует определить, в каком из отделов пространства оно расположено. Если оно расположено в подскуловом жевательном пространстве, будут вовлечены жевательные мышцы, а также тело и задняя часть тела нижней челюсти. Если образование берет начало из надскулового жевательного пространства, оно будет располагаться возле или непосредственно в пределах височной мышцы в височной ямке.
Жевательное пространство является одним из пространств надподъязычной области шеи, сообщающихся с полостью черепа. Жевательное пространство сообщается с ним посредством крупного черепного нерва, тройничного нерва. Следовательно, во всех случаях, когда врач сталкивается с опухолью жевательного пространства, необходимо оценить наличие периневральной инвазии опухоли в среднюю черепную ямку по ветвям тройничного нерва. Плоскоклеточный рак из области кожи подбородка, альвеолярного гребня и позадимолярного треугольника путем периневральной инвазии может распространяться через овальное отверстие в тройничную полость и дальше. Злокачественные опухоли пространства околоушной железы могут по ушно-височному нерву распространиться на тройничный нерв, а уже затем через овальное отверстие проникнуть в полость черепа.
При повреждении тройничного нерва возникает денервация жевательных мышц, мышцы, напрягающей барабанную перепонку, переднего брюшка двубрюшной мышцы и челюстно-подъязычной мышцы. Следует помнить, что в острую и подострую стадии денервации мышцы могут стать отечными и начать накапливать контраст. При хронической денервации, напротив, объем мышц снижается, развивается их жировая атрофия.
Существует как минимум четыре псевдозаболевания, которые можно принять за поражение жевательного пространства. Больше всего сложностей доставляет крыловидное венозное сплетение. Размер этого анатомического образования у разных людей может очень сильно варьировать. Оно расположено рядом с крыловидными мышцами жевательного пространства и в самой их толще. Асимметрию крыло-видного венозного сплетения можно принять за инфильтративную опухоль или периневральную инвазию на уровне крыловидных мышц.
Вторым подобным псевдозаболеванием является денервация жевательных мышц. В острую фазу денервации пораженные мышцы можно принять на опухолевую инфильтрацию, поскольку они увеличиваются в размерах и начинают накапливать контраст. Важным признаком, позволяющим интерпретировать подобные находки, является интактное состояние сухожилий. На поздних этапах денервации у рентгенолога может сложиться впечатление о наличии опухоли на здоровой стороне, поскольку денервированная мышца уменьшается в размерах, а противоположная мышца сохранила свой нормальный объем.
Аналогичным образом, доброкачественная гипертрофия жевательных мышц является еще одним подобным псевдозаболеванием. Из-за асимметричного увеличения размеров мышцу врача может сложиться впечатление о наличии новообразования. Тем не менее, в таких случаях мышечная ткань всегда имеет нормальную плотность и интенсивность сигнала и не накапливает контраст, а ее нормальная структура сохранена (в норме мышечная ткань выглядит исчерченной). Эти признаки помогают отличать доброкачественную гипертрофию от истинного заболевания.
Наконец, гипертрофия или асимметрия добавочной доли околоушной слюнной железы при клиническом осмотре могут напоминать опухоль, особенно при асимметричном увеличении с одной стороны. Плотность и интенсивность сигнал добавочной доли при КТ и МРТ обычно такие же, как и у основной части железы.

д) Клинические особенности. Одним из основных клинических проявлений объемного образования жевательного пространства является тризм. Под тризмом понимают неспособность больного открыть рот вследствие спазма или фиброза жевательных мышц. Осмотр таких пациентов крайне затруднен. Методы лучевой диагностики играют в подобных случаях особенно важную роль.
Самой распространенной первичной опухолью жевательного пространства является саркома, которая может происходить как из нижней челюсти, так и из мягких тканей. Тем не менее, гораздо чаще врачи сталкиваются с тем, что плоскоклеточный рак полости рта, происходящий из области альвеолярного гребня нижней челюсти, распространяется в жевательное пространство. Поэтому, всегда следует помнить о том, что первичная опухоль может происходить из слизистой оболочки.
Огромную роль в определении прогноза и тактики лечения больных играет наличие периневральной инвазии. При ее наличии пациенту может быть показано дополнительное хирургическое лечение, химио- и/или лучевая терапия. Распространение опухоли в полость черепа может сделать ее неоперабельной. Следует помнить, что в диагностике периневральной инвазии МРТ с подавлением сигнала от жировой ткани гораздо чувствительнее, чем КТ. Поэтому всем пациентам, у которых имеется риск периневральной инвазии опухоли, нужно рекомендовать выполнение МРТ. Последнее замечание, касающееся периневральной инвазии: рентгенолог сможет обнаружить ее только в том случае, если будет крайне внимателен.
Если патологический процесс локализуется возле височно-нижнечелюстного сустава, всегда следует вспоминать о существовании пседовоопухолевых заболеваний. Пигментный виллонодулярный синовит, болезнь отложения кристаллов основных фосфатов кальция и синовиальный хондроматоз представляют собой три псевдоопухолевых заболевания височно-нижнечелюстного сустава, про которые следует помнить при обследовании пациента с поражением жевательного пространства.
Доброкачественная гипертрофия жевательной мускулатуры - лучевая диагностика
а) Визуализация:
• Равномерное, диффузное увеличение жевательной мускулатуры:
о Жевательной, височной, медиальной и латеральной крыловидной мышц
о Наиболее очевидно увеличение жевательной мышцы
о Нормальное накопление контраста
• 50% двустороннее увеличение, обычно асимметричное
• КТ: увеличенные жевательные мышцы нормальной плотности:
о Утолщение кортикального слоя нижней челюсти и скуловой дуги
• МРТ: увеличенные жевательные мышцы с сигналом обычной интенсивности
(Слева) При КТ с КУ в аксиальной проекции наблюдается асимметричное увеличение правой жевательной и медиальной крыловидной мышц, случайная находка. Плотность и интенсивность накопления контраста не отличаются от мышц противоположной стороны.
(Справа) Фото пациента с доброкачественной односторонней гипертрофией жевательной мышцы. Обратите внимание на значительное выбухание правой щеки, обусловленное гипертрофией жевательной мышцы. (Слева) При МРТ Т1ВИ в коронарной проекции отмечается увеличение правой височной мышцы у пациентки, обеспокоенной косметическим дефектом, который становится заметным при забранных в хвост волосах. И хотя чаще встречается гипертрофия жевательной мышцы, увеличиваться в размерах может и любая другая мышца.
(Справа) При МРТ Т1FS с КУ в аксиальной проекции у этой же пациентки сигнал от увеличенной мышцы имеет нормальную интенсивность, контраст не накапливается.
б) Дифференциальная диагностика:
• Псевдозаболевания жевательного пространства
• Абсцесс жевательного пространства
• Саркома жевательного пространства
• Плоскоклеточный рак жевательного пространства:
о Плоскоклеточный рак может напрямую прорастать в жевательное пространство (из позадимолярного треугольника, небных миндалин)
о Плоскоклеточный рак кожи подбородка или слизистой альвеолярного гребня может проникать в жевательное пространство за счет периневральной инвазии по волокнам нижнечелюстного нерва
в) Патология:
• Бруксизм (ночное скрежетание зубами)
• Постоянное жевание жевательной резинки
• Нарушения со стороны височно-нижнечелюстного сустава
• Анаболические стероиды ± жевание на одной стороне
г) Клинические особенности:
• Безболезненное образование в латеральных отделах лица, которое увеличивается при сжимании челюстей:
о Увеличение размеров жевательной мышцы является самым явным симптомом
• Постепенное медленное увеличение размеров жевательных мышц
• Лечение:
о Оперативное лечение только по косметическим показаниям
о Инъекции ботулотоксина А
о Лечение височно-нижнечелюстного сустава
д) Диагностическая памятка:
• Увеличенная мышца(ы) должна быть одной плотности (КТ) или одной интенсивности (МРТ) с другими скелетными мышцами
Асимметрия крыловидного венозного сплетения - лучевая диагностика
а) Терминология:
• Асимметрия крыловидного венозного сплетения: одностороннее увеличение размеров венозной сети глубоких тканей лица, в которую оттекает кровь от пещеристого синуса
• Чаще всего является случайной находкой при исследовании головного мозга или органов шеи
б) Визуализация:
• Накапливающие контраст образования цилиндрической формы, которые расположены в медиальных отделах жевательного пространства и в окологлоточном пространстве
• Интенсивность накопления контраста как и у других вен шеи
• Лучевая анатомия:
о Через овальное, остистое и рваное отверстия кровь от пещеристого синуса оттекает в крыловидное венозное сплетение
о Также сообщается с глазными венами через нижнюю глазничную щель и с передней лицевой веной через глубокую лицевую ветвь
о Получает ветви от крылонебной верхнечелюстной артерии
о Отток 1: Верхнечелюстная вена → занижнечелюстная вена → внутренняя яремная вена (ВЯВ)
о Отток 2: Задняя и общая вены лица → внутренняя яремная вена
• Сигнал от кровотока при проведении 3Т МРА в норме обычно более интенсивный, чем справа:
о Вероятно, это объясняется обратным током крови, а не говорит о наличии скрытой артериовенозной фистулы
(Слева) При КТ с КУ в аксиальной проекции в медиальном жевательном и окологлоточном пространствах визуализируется участок накопления контраста волнообразной формы, который представляет собой увеличенное, асимметричное крыловидное венозное сплетение. Аномалия была обнаружена случайно. Обратите внимание, что плотность после введения контраста не отличается от плотности других вен.
(Справа) При КТ с КУ, на аксиальном срезе чуть выше предыдущего определяется увеличенное венозное сплетение, которое больше напоминает новообразование. И хотя подобная картина может насторожить врача в отношении периневральной опухолевой инвазии нижнечелюстного нерва, участок накопления контраста расположен иначе, чем предполагаемый ход ЧH V3. (Слева) При КТ с КУ в аксиальной проекции в медиальных отделах жевательного пространства наблюдается участок накопления контраста, напоминающий объемное образование. На самом деле он представляет собой асимметричное увеличенное крыловидное венозное сплетение.
(Справа) КТ с КУ в коронарной проекции, реконструкция из предыдущего аксиального среза. В этой проекции лучше визуализируются сливающиеся друг с другом сосуды, имеющие здесь линейную форму. Асимметричное увеличение левого венозного крыловидного сплетения, которое является случайной находкой.
в) Дифференциальная диагностика:
• Расширенные ветви внутренней верхнечелюстной артерии
• Венозные сосудистые мальформации
• Периневральная инвазия опухоли по нижнечелюстному нерву в область крыловидной ямки
• Сонно-пещеристое соустье
г) Диагностическая паямтка:
• При наличии соответствующих симптомов нужно заподозрить наличие сонно-пещеристого соустья
• Следует дифференцировать от опухолевой инвазии по нижнечелюстному нерву
Читайте также:
