КТ при гипоплазии мыщелка височно-нижнечелюстного сустава (ВНЧС)
Добавил пользователь Валентин П. Обновлено: 08.01.2026
а) Дифференциальная диагностика:
1. Типичные варианты:
• Дегенеративное заболевание сустава у взрослых людей
• Прогрессирующая резорбция мыщелка
• Регрессивное ремоделирование
• Гипоплазия мыщелка
• Перелом мыщелка
2. Менее типичные варианты:
• Ревматоидный артрит
• Ювенильный идиопатический артрит
• Гемифациальная микросомия
3. Редкие, но важные варианты:
• Хондросаркома
• Метастатическое поражение
б) Важная информация:
1. Дифференциальный диагноз:
• Оцените нарушения формы/структуры мыщелка и височного компонента сустава:
о Ищите признаки задержки развития нижней челюсти, средней трети лица, черепа на этой же стороне
о Деформация мыщелка может быть связана с артрозом или означать перелом:
- Оцените сустав целиком изнутри-кнаружи, т.к. «патологический мыщелок», видимый на одном срезе (КТ), может представлять собой отломок ветви, в то время как в действительности мыщелок смещен медиально или латераль-но
• Эрозии и остеофиты позволяют заподозрить артроз, но могут возникать вторично на фоне предрасполагающих патологических изменений
• Абсолютно необходимо дифференцировать эрозии и уменьшение объема мыщелка при артрозе с разрушением мыщелка вследствие злокачественного процесса:
о Злокачественная опухоль выглядит пермеативной и часто сочетается с периостальной реакцией
• Суставное пространство обычно не изменено за исключением случаев первичного или вторичного дегенеративного заболевания, либо артрита
(Слева) На сагиттальной КЛКТ левого ВНЧС (под углом) у пациента с дегенеративным заболеванием сустава определяется снижение высоты и уменьшение объема мыщелка с уплощением его верхнего края и формированием переднего остеофита. Суставные поверхности мыщелка и уплощенного заднего ската суставного возвышения конгруэнтны.
(Справа) На корональной КЛКТ (под углом) у этого же пациента определяется уменьшение объема мыщелка над латеральным и медиальным полюсами; верхняя суставная поверхность латерального полюса и суставная ямка конгруэнтны. (Слева) На панорамной реформатированной КЛКТ у пациента с прогрессирующей резорбцией мыщелка определяется нарушение развития справа. Правая ветвь короче левой, правый венечный отросток удлинен, а шейка правою мыщелка укорочена.
(Справа) На панорамной реформатированной КЛКТ у этого же пациента не определяется нарушений развития елевой стороны. Высота тела нижней челюсти слева больше, чем справа, антеюниальная вырезка более пологая. (Слева) На корональном и сагиттальном срезах ВНЧС (под углом) у пациента с прогрессирующей резорбцией мыщелка определяется уплощение верхнею края мыщелка со снижением ею высоты.
(Справа) На сагиттальной MPT (Т1 ВИ) ВНЧС (под углом) у пациента с прогрессирующей резорбцией мыщелка определяется уменьшение мыщелка и переднее смещение диска, практически всегда предшествующее дегенеративным изменениям костей. (Слева) На панорамной реформатированной КЛКТ с обеих сторон определяется уменьшение передне-заднею размера мыщел ков, обусловленное регрессивным ремоделированием. Высота мыщелков и ветвей нижней челюсти не изменена.
(Справа) На сагиттальной КЛКТ (поперечные срезы под углом) у этою же пациента определяется уменьшение передне-заднего размера мыщелков без снижения их высоты. Такие изменения обусловлены повышенными биомеханическими нагрузками, приближающими возникновение дегенеративных изменений костей.
2. Особенности типичных вариантов:
• Дегенеративное заболевание суставов у взрослых людей:
о Ключевая информация:
- Локальное невоспалительное дегенеративное заболевание синовиальных суставов, характеризующееся деструкцией и восстановлением фиброзно-хрящевой ткани сустава и подлежащей субхондральной кости
о Визуализация:
- Уменьшение размера мыщелка со стороны верхней поверхности ± склероз, уплощение, эрозии, остеофиты, субхондральные кисты, сужение суставного пространства, смещение диска
- Начинается как фокальный дефект в суставных мягких тканях и подлежащей кости; увеличиваясь, может тотально поражать мыщелок
- Прогрессирующее снижение высоты мыщелка
- Сужение суставного пространства вследствие смещения или перфорации диска
• Прогрессирующая резорбция мыщелка:
о Ключевая информация:
- Локальное невоспалительное дегенеративное заболевание ВНЧС, характеризующееся лизисом и восстановлением фиброзно-хрящевой ткани сустава и подлежащей субхондральной кости в начале пубертатного периода у девочек
- Недоразвитие челюсти на стороне поражения
- Возникает в начале пубертатного периода, редко после 20 лет; дегенеративное заболевание сустава развивается позже
о Визуализация:
- Одно- или (часто) двухсторонняя резорбция верхнего края мыщелков, приводящая к уменьшению их размера
- Иногда поражается суставное возвышение: вначале возникает фокальный дефект суставных мягких тканей и подлежащей кости
• Регрессивное ремоделирование:
о Ключевая информация:
- Ремоделирование мыщелка, которое может предшествовать дегенеративным изменениям
о Визуализация:
- Истончение мыщелка: уменьшение его передне-заднего размера без снижения высоты
- Мыщелок обычно занимает заднее положение в суставной ямке
• Гипоплазия мыщелка:
о Ключевая информация:
- Врожденная патология, проявляющаяся патологическим уменьшением мыщелка на фоне нормального развития ветви и тела нижней челюсти с этой же стороны
- Выраженность асимметрии увеличивается, если патология возникает в детском возрасте
- Поражение чаще одностороннее, чем двухстороннее
- В долгосрочной перспективе часто возникают дегенеративные изменения
о Визуализация:
- Маленький мыщелок обычной формы и структуры
- Маленькая суставная ямка
- Мыщелок и шейка мыщелка пропорционально уменьшены, вследствие чего шейка может не выглядеть вытянутой или тонкой
- Суставное пространство не изменено
• Перелом мыщелка:
о Ключевая информация:
- Обычно возникает в области шейки мыщелка, часто сопровождается смещением фрагмента
- Одно- или двухсторонний
- Перелом у детей приводит к гипоплазии нижней челюсти на стороне поражения и ее девиации за счет повреждения центра роста мыщелка
о Визуализация:
- Нарушение угла мыщелка или смещение фрагмента
- Отломок мыщелка часто смещается кпереди и кнутри, отломок ветви может имитировать патологически уменьшенный мыщелок
- В долгосрочной перспективе могут возникать дегенеративные изменения
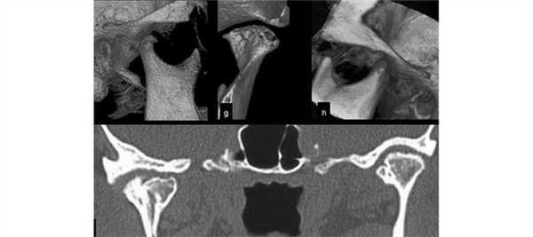
(Слева) На панорамной реформатированной КЛКТ нижней челюсти справа у пациента с левосторонней гипоплазией мыщелка визуализируется небольшой, но в остальном ничем не измененный мыщелок. Нижняя челюсть справа не изменена.
(Справа) На панорамной реформатированной КЛКТ нижней челюсти слева у этого же пациента визуализируется маленький мыщелок, в остальном имеющий нормальную форму. Обратите внимание на уменьшение нижней челюсти, укорочение ветви, выраженную вогнутость заднего края ветви, углубление антегониальной вырезки. (Слева) На панорамной реформатированной КЛКТ определяются множественные переломы, в т. ч. перелом шейки правого мыщелка, выглядящего укороченным. Выраженное смещение под углом, открытым кзади, и повышение плотности в данной области свидетельствуют о переломе.
(Справа) На корональной КЛКТ (поперечный срез под углом) определяется подмыщелковый перелом в левом ВНЧС. Размеры мыщелка не изменены, но на фоне перелома со смещением отломков создается впечатление о его уменьшении. (Слева) На панорамной реформатированной КЛКТ определяется перелом правого мыщелка со снижением его высоты. Шейка мыщелка отсутствует. Такая картина может привести к ошибочному выводу о «маленьком мыщелке», который в действительности представляет собой отломок. Фрагментированный мыщелок смещен кнутри и не виден на данном изображении.
(Справа) На панорамной реформатированной КЛКТ левого ВНЧС определяется импрессионный перелом мыщелка. Мыщелок выглядит маленьким, его шейка укорочена. Переломы такого типа могут приводить к дегенеративным изменениям.
3. Особенности менее типичных вариантов:
• Ревматоидный артрит:
о Ключевая информация:
- Хроническое заболевание, проявляющееся воспалением синовиальной оболочки нескольких суставов, прогрессирующими эрозиями костей и деструкцией хряща
- Отек преаурикулярной области, боль, болезненность
- Двухстороннее и симметричное поражение
о Визуализация:
- Мыщелок выглядит маленьким из-за эрозии и уплощения передней и задней поверхности, что придает ему вид заточенного карандаша
- Возможно тотальное разрушение мыщелка и суставного возвышения
- Генерализованная остеопения мыщелка и височного компонента
- Часто наблюдается вторичное дегенеративное заболевание сустава с сужением суставного пространства
• Ювенильный идиопатический артрит:
о Ключевая информация:
- Аутоиммунное скелетно-мышечное воспалительное заболевание детского возраста с возможным поражением ВНЧС
- Поражение ВНЧС может протекать бессимптомно
- Ретрогнатия, микрогнатия, мальокклюзия, ограниченное открывание рта
о Визуализация:
- Маленькие, плоские и деформированные мыщелки в широкой суставной ямке
- Мыщелок имеет вдавление или выглядит расщепленным
- Поражение чаще двухстороннее
- Может наблюдаться вторичное дегенеративное заболевание суставов с сужением суставного пространства и формированием остеофитов
• Гемифациальная микросомия:
о Ключевая информация:
- Вариабельное недоразвитие мыщелка нижней челюсти: от уменьшения мыщелка до его аплазии с нарушением формирования нижней челюсти с этой же стороны
- Асимметрия лица с отклонением подбородка в пораженную сторону
- Могут обнаруживаться сопутствующие аномалии уха: атрезия, микротия, преаурикулярные «метки» или ямки
о Визуализация:
- Пропорциональное развитие суставной ямки относительно размера и функции мыщелка
- Элевация окклюзионной плоскости на стороне поражения ± расщелина неба
- Уменьшение скуловой кости/дуги, гипоплазия сосцевидного отростка, смещение глазницы кнаружи и книзу
(Слева) На панорамной реформатированной КЛКТ определяется уменьшение мыщелка, обусловленное ревматоидным артритом, и типичное его уплощение («заточенный карандаш»). Такая картина часто наблюдается при ревматоидном артрите.
(Справа) На кадрированной панорамной реформатированной КЛКТ у этого же пациента определяются признаки ревматоидного артрита левого ВНЧС. Двухстороннее поражение - характерный признак ревматоидного артрита. Воспалительный процесс распространяется и на мыщелок, и на суставную ямку. (Слева) На сагиттальной КЛКТ (поперечный срез под углом) у этого же пациента определяется уплощение и деформация передневерхнего края мыщелка с характерным заострением его заднего края.
(Справа) На сагиттальной MPT (Т1ВИ, под углом) у этого же пациента определяется паннус в суставном пространстве с деструкцией суставных поверхностей суставной ямки и мыщелка. (Слева) На сагиттальной КЛКТ правою мыщелка (под углом) определяется деформация поверхностей суставной ямки и мыщелка, часто наблюдающаяся при ревматоидном артрите. Уменьшение высоты и объема мыщелка обусловлено данным воспалительным процессом.
(Справа) На корональной КЛКТ (под углом) у этого же пациента определяется деформация суставных поверхностей уменьшение размеров мыщелка, сужение суставного пространства. Такая картина может быть неотличима от дегенеративного заболевания сустава. (Слева) На панорамной реформатированной КЛКТ нижней челюсти справа у пациента с двухсторонним ювенильным идиопатическим артритом ВНЧС определяется уменьшение мыщелка и укорочение шейки. Задний скат суставною возвышения упло щен и располагается горизонталь но. Видна также глубокая антегониальная вырезка.
(Справа) На панорамной реформатированной КЛКТ у этого же пациента визуализируется короткая левая ветвь. Виден формирующийся в ветви третий моляр. Плоскость нижней челюсти наклонена книзу. (Слева) На панорамной реформатированной КЛКТ у пациента с гемифациальной микросомией определяется задняя инклинация маленького деформированного мыщелка. Обратите внимание на уменьшение высоты тела нижней челюсти, укорочение ветви, отсутствие суставного возвышения.
(Справа) На сагиттальной MPT (Т1 ВИ) у пациента с остеохондромой левого ВНЧС визуализируется мягкотканная опухоль, разрушающая мыщелок и заполняющая мыщелковую ямку. Типичные кольцевидные кальцинаты в этом случае не визуализируются. (Слева) На панорамной рентгенограмме определяются метастазы рака молочной железы в нижней челюсти. Правый мыщелок выглядит маленьким, склерозированным и «пятнистым» за счет участков деструкции. Верхние отделы ветви склерозированы, кортикальные пластинки отсутствуют, задний край деформирован.
(Справа) На панорамной рентгенограмме у этого же пациента определяется участок деструкции костной ткани в области моляров и нижней кортикальной пластинки слева. Метастазы в ВНЧС редко бывают солитарными.
4. Особенности редких вариантов:
• Хондросаркома:
о Ключевая информация:
- Злокачественная опухоль из хрящевых клеток
- Отек преаурикулярной области, отклонение нижней челюсти, боль, ограниченное открывание рта
о Визуализация:
- Разрушенный опухолью мыщелок может выглядеть маленьким
- Кольцевидные кальцинаты в мыщелке и вокруг него ± спикулообразная периостальная реакция
- Неконтрастирующаяся мягкотканная опухоль в расширенном суставном пространстве с эрозией окружающих анатомических структур
• Метастатическое поражение:
о Ключевая информация:
- Чаще всего в ВНЧС метастазируют первичные опухоли молочной железы, легкого, предстательной железы
- Симптомы имитируют дисфункцию ВНЧС: преаурикулярный отек, парестезия нижней челюсти, патологический перелом
- В большинстве случаев пациенты > 40 лет
о Визуализация:
- Уменьшение мыщелка на фоне рентгенонегативных деструктивных метастазов
- Некоторые метастазы приводят к формированию костной ткани и рентгенологически выглядят смешанными или склеротическими
- Края очагов обычно нечеткие, инвазивные; может также наблюдаться деструкция соседних анатомических структур
- Возможна сопутствующая мягкотканная опухоль
- Поражение ВНЧС обычно одностороннее
- Солитарные метастазы в ВНЧС обнаруживаются редко: очаги в ВНЧС обычно сочетаются с метастазами в нижней челюсти или генерализованным метастатическим поражением скелета
КТ при гипоплазии мыщелка височно-нижнечелюстного сустава (ВНЧС)
а) Терминология:
1. Синонимы:
• Частичная агнатия, гемиагнатия
2. Определение:
• Аномалия неизвестной природы, проявляющаяся обычно односторонним нарушением формирования ВНЧС
б) Визуализация:
1. Общая характеристика:
• Лучший диагностический критерий:
о Отсутствие мыщелка и суставной ямки
о Очень часто в сочетании с ипсилатеральными мальформациями лица
• Локализация:
о Производные 1-й и 2-й жаберных дуг:
- Нижняя челюсть
- Мышцы
- Ухо

(Слева) На трехмерной реконструкции (КЛКТ, вид спереди) у мальчика 12 лет с гемифациальной микросомией III типа определяется врожденное отсутствие мыщелка и передней части ветви. Наблюдается задержка формирования левой половины нижней челюсти, левая глазница увеличена в размерах. Костная срединная линия нижней челюсти смещена влево, окклюзионная плоскость приподнята.
(Справа) На панорамной реформатированной КЛКТ определяется отсутствие мыщелка, уменьшение высоты тела нижней челюсти. В ветви видны формирующиеся зубы.
2. КТ при аплазии мыщелка височно-нижнечелюстного сустава (ВНЧС):
• КЛКТ:
о Отсутствие мыщелка
о Отсутствие суставной ямки и суставного возвышения
о Маленькая ипсилатеральная ветвь:
- С наличием в ней формирующихся зубов
о Маленькое тело нижней челюсти
о Дефектный участок редко доходит до области премоляров
о Гипоплазия сосцевидного отростка на стороне поражения
о Венечный отросток присутствует, может иметь маленький размер
3. Рекомендации по визуализации:
• Лучший метод диагностики:
о КЛКТ или КТ в костном окне: оценка размера, формы, правильности формирования костей
о Панорамные изображения: общая оценка нижней и верхней челюсти, ВНЧС
• Выбор протокола:
о В зону сканирования включаются челюсти и основание черепа
в) Дифференциальная диагностика аплазии мыщелка височно-нижнечелюстного сустава (ВНЧС):
1. Подмыщелковый перелом у новорожденных:
• Смещение проксимального сегмента мыщелка с заживлением в переднем, нижнем, медиальном положении
• Уменьшение передне-заднего размера сигмовидной (нижнечелюстной) вырезки
• Сигмовидная вырезка V-образной формы (обычно U-образная)
• Короткая дуга и тело
2. Ювенильный идиопатический артрит:
• Двухсторонний
• Без вовлечения мягких тканей лица
• Полиартикулярное системное заболевание
• Маркеры заболевания в сыворотке
• Паннус
3. Прогрессирующая резорбция мыщелка:
• Дебютирует в постпубертатном периоде у женщин
• Одно- или двухсторонняя
• Субтотальное разрушение мыщелка
• Отсутствие поражения мягких тканей
г) Патология. Общая характеристика:
• Этиология:
о Неизвестна; предполагается связь с гематомой в области 1-й и 2-й жаберной дуги или аномалией развития и миграции нервного гребня
• Сопутствующие нарушения:
о Аплазия мыщелка может быть проявлением окуло-аурику-ло-вертебральной дисплазии (синдрома Гольденхара), синдрома 1-й и 2-й жаберной дуги, гемифациальной микросо-мии (ГФМ) III типа, синдрома Тричера Коллинза

(Слева) На трехмерной реконструкции (КЛКТ, вид спереди) у пятилетней девочки с гемифациальной микросомией III типа определяется задержка формирования левой половины нижней челюсти. Угол нижней челюсти слева приподнят по сравнению с противоположной стороной. Сосцевидный отросток низко расположен.
(Справа) На панорамной реформатированной КЛКТ у этой же пациентки отсутствуют мыщелок и верхняя половина ветви слева. Суставная ямка и суставное возвышение не сформированы. Обратите внимание на скученность зубов.
д) Клинические особенности:
1. Проявления:
• Типичные признаки/симптомы:
о Врожденное отсутствие мыщелка
• Другие частые признаки/симптомы:
о Уши:
- Микротия
- Преаурикулярные «метки» или ямки
- Атрезия слухового прохода
о Лицо:
- Макростомия
- Асимметрия лица
- Уменьшение размеров лица на стороне поражения
о Челюсти и зубы:
- Подъем окклюзионной плоскости
- Импактные зубы на стороне поражения
2. Течение и прогноз:
• Остановка или замедление роста на пораженной стороне
• Асимметрия может прогрессировать
3. Лечение:
• Ортодонтическое и хирургическое
е) Диагностическая памятка:
1. Следует учесть:
• Аплазия мыщелка может быть частью синдрома
2. Советы по интерпретации изображений:
• Отсутствие мыщелка, суставной ямки, суставного возвышения
• Аномалии мягких тканей лица
ж) Список использованной литературы:
1. Leoni С et al: Respiratory and gastrointestinal dysfunctions associated with auriculo-condylar syndrome and a homozygous PLCB4 loss-of-function mutation. Am J Med Genet A. 170(6):1471-8, 2016
2. Takano Ket al: The association of external and middle ear anomaly and mandibular morphology in congenital microtia. Otol Neurotol. 37(7):889-94, 2016
3. Lin AE: The partnership of medical genetics and oral and maxillofacial surgery when evaluating craniofacial anomalies. J Oral Maxillofac Surg. 73(12 Sup-pl):S13-6,2015
4. Shivhare Petal: Non-syndromic bilateral condylar aplasia: a rare case. Indian J Dent Res. 26(2):210-3, 2015
а) Определение:
• Ненормально маленький мыщелок вследствие нарушения роста:
о Нарушено также развитие ипсилатеральной половины нижней челюсти; нижняя челюсть на пораженной стороне уменьшена в размерах
о При вовлечении других отделов лица: гемифациальная ми-кросомия
1. Общая характеристика:
• Лучший диагностический критерий:
о Маленький мыщелок нормальной формы
• Локализация:
о Недоразвитие мыщелка, ипсилатеральной ветви и тела нижней челюсти
о Патология чаще одно-, а не двухсторонняя
• Размер:
о Степень гипоплазии варьирует от легкого изменения формы мыщелка до тяжелого нарушения развития с выраженной асимметрией лица
• Морфология:
о Нормальная форма мыщелка и структура костной ткани
(Слева) На КЛКТ (объемный рендеринг) у девушки 19 лет с гипоплазией левого мыщелка определяется недоразвитие боковых отделов нижней челюсти слева. Угол нижней челюсти и окклюзионная плоскость слева приподняты. Костная срединная линия нижней челюсти смещена влево.
(Справа) На КЛКТ (объемный рендеринг, вид сбоку) у этой же пациентки определяется элевация угла нижней челюсти слева. Левая антегониальная вырезкам относительно хорошо выражена. (Слева) На КЛКТ (панорамная реконструкция) у этой же пациентки визуализируется правая половина нижней челюсти, имеющая нормальный размер и обычную форму.
(Справа) На панорамном реформатированном изображении нижней челюсти слева у этой же пациентки определяется уменьшение высоты тела, ветви и мыщелкового отростка нижней челюсти по сравнению с противоположной стороной. (Слева) На КЛКТ (косой сагиттальный срез) у этой же пациента визуализируется левый мыщелковый отросток нормального размера и обычной формы.
(Справа) На КЛКТ (косой сагиттальный срез) у этой же пациентки визуализируется маленький (вследствие гипоплазии) мыщелок нормальной формы, расположенный в задних отделах суставной ямки. Задняя позиция мыщелка может предрасполагать к переднему смещению диска. Смещение диска во время роста тела может быть связано с гипоплазией мыщелка.
2. КТ при гипоплазии мыщелка височно-нижнечелюстного сустава:
• КЛКТ:
о Маленький мыщелок нормальной формы и структуры
о Маленькая нижнечелюстная ямка
о Тонкая, укороченная или удлиненная шейка мыщелка
о Тонкий венечный отросток
о Уменьшение ветви и тела нижней челюсти на пораженной стороне
о Углубление антегониальной вырезки
3. Рекомендации по визуализации:
• Лучший метод диагностики:
о КТ или КЛКТ для визуализации нижней челюсти, в т.ч. мыщелкового отростка, в нескольких плоскостях
• Выбор протокола:
о Панорамные реформатированные изображения для оценки асимметрии нижней челюсти и скученности зубов
о Сагиттальные и корональные реформатированные изображения ВНЧС для оценки симметричности мыщелков
в) Дифференциальная диагностика гипоплазии мыщелка височно-нижнечелюстного сустава:
1. Вариант нормы:
• В норме возможны минимальные вариации размера мыщелка
• Не связанные с асимметрией нижней челюсти
2. Дегенеративное заболевание сустава:
• Не приводит к гипоплазии нижней челюсти, если не возникает в процессе роста
• Возможно поражение других суставов
3. Ювенильный артрит:
• Маленький мыщелок неправильной формы вследствие деструктивных изменений
• Также обычно поражаются другие суставы
г) Патология. Общая характеристика:
• Этиология:
о Врожденные аномалии или нарушения развития:
- Гемифациальная микросомия, микрогнатия, синдром Тричера Коллинза, последовательность Пьера Робена, синдром Крузона, аурикуло-кондилярный синдром
- Аномалии развития, проявляющиеся во время роста, обычно односторонние
о Приобретенные состояния:
- Травма: ранняя или родовая:
С поражением центра роста нижней челюсти
- Смещение диска у детей может приводить к нарушению формирования мыщелка
- Резекция опухоли, лучевая терапия
(Слева) На панорамной реформатированной КЛКТ у пациента с гипоплазией левого мыщелка не определяется патологических изменений с правой стороны.
(Справа) На панорамной рефор матированной КЛКТ у этого же пациента визуализируется левый мыщелок меньшего размера. Вдавление заднего края ветви выражено сильнее, высота нижней челюсти слева меньше, чем на противоположной стороне. Импактный премоляр нижней челюсти - случайная находка. (Слева) На КЛКТ (объемный рендеринг, вид спереди) у этого же пациента с гипоплазией правого мыщелка костная срединная линия нижней челюсти смещена вправо. Определяется недоразвитие боковых отделов нижней челюсти справа. Угол нижней челюсти и окклюзионная плоскость справа приподняты.
(Справа) На КЛКТ (объемный рендеринг, вид сбоку) у этого же пациента определяется элевация нижней челюсти с правой стороны. Правая антегониальная вырезка выражена лучше, чем левая. (Слева) На КЛКТ (парасагитталь ный срез) правого ВНЧС у этого же пациента визуализируется маленький мыщелок обычной формы. Обратите внимание на сужение верхнего суставного пространства, что увеличивает вероятность смещения диска. Смещение диска во время роста тела может быть связано с гипоплазией мыщелка.
(Справа) На КЛКТ (парасагиттальный срез) левого ВНЧС у этого же пациента визуализируется левый мыщелок нормального размера и обычной формы.
1. Проявления:
• Типичные признаки/симптомы:
о Асимметрия нижней челюсти, дисфункция ВНЧС
• Другие признаки/симптомы:
о Подбородок часто отклонен в сторону поражения, нижняя челюсть отклоняется в сторону поражения при открывании рта о Обычно наблюдается недоразвитие нижней челюсти
о Возможны сочетанные врожденные дефекты уха и скуловой дуги
2. Течение и прогноз:
• Степень асимметрии зависит от возраста, в котором произошло нарушение роста мыщелка:
о Гипоплазия мыщелка и ипсилатеральных отделов лица выражена сильнее при раннем нарушении роста мыщелка
• Дегенеративное заболевание сустава часто возникает в долгосрочной перспективе
3. Лечение:
• Растущие пациенты: ортопедическое лечение и функциональные устройства
• Пациенты старшего возраста: ортогнатическая хирургия и ортодонтия
• Реконструкция ВНЧС
1. Следует учесть:
• Гипоплазия мыщелка может быть проявлением генерализованной гипоплазии (гемифациальной микросомии) или частью синдрома
2. Советы по интерпретации изображений:
• Мыщелок имеет нормальную форму, размеры мыщелка и ипсилатеральных отделов нижней челюсти уменьшены
3. Заключение:
• Оцените патологические изменения прилежащих структур
ж) Список использованной литературы:
1. Travieso R et al: A range of condylar hypoplasia exists in Treacher Collins syndrome. J Oral Maxillofac Surg. 71(2):393-7, 2013
2. Moze К et al: Cone beam computed tomography in the diagnosis of unilateral condylar hypoplasia: report of a case. West Indian Med J. 61(7):739-42, 2012
3. Papagrigorakis MJ et al: Auriculo-condylar syndrome. Angle Orthod. 82(3):556-64, 2012
Компьютерная томография височно-нижнечелюстного сустава
КТ ВНЧС представляет собой неинвазивный метод диагностики, который основан на рентгеновском излучении. Характеризуется высоким уровнем информативности и небольшой дозой облучения, но проходить это обследование можно строго по назначению лечащего врача.
Патологии ВНЧС характеризуются нехарактерными симптомами, что усложняет процесс диагностики заболеваний. Пациент может испытывать повышенную чувствительность зубного ряда, боли в голове и нетипичную пульсацию в висках, что может указывать на целый ряд проблем. Все это может стать следствием некорректной диагностики и неправильного лечения. Характерный пример – это удаление зуба при непонятных причинах его сильной чувствительности. Чтобы этого избежать, используется компьютерная томография ВНЧС, которая позволяет дать максимально точную картину исследуемых участков.

Содержание
Особенности обследования
КТ височно-нижнечелюстного сустава позволяет получать снимки с послойным отображением внутренних структур. Сама суть метода основывается на способности тканей к накоплению и отражению электромагнитных волн. Излучаемые частицы способны достаточно глубоко проникать в слои организма пациента, что и дает отличные информативность результатов обследования.
КТ проводится с помощью специального аппарата – томографа. Он состоит из нескольких составляющих:
- ПК, который обрабатывает полученную информацию от аппарата. В итоге данные преображаются в 2D или 3D-снимки.
- Стол с выдвижным механизмом, на котором располагается пациент. Обратите внимание, что максимальный вес, который он может выдержать – это 160 кг, поэтому есть определенные ограничения к проведению процедуры для лиц с избыточным весом.
- Рентгеновские трубки. В зависимости от аппарата, их может быть до 64 штук. От их количества зависит длительность всего обследования.
- Гентри – это подвижная часть томографического оборудования.
Томография ВНЧС основывается на воздействии большого количества потоков рентген-лучей на исследуемую область. Датчики, размещенные на выдвижном столе (под телом больного), фиксируют накопление фотонов тканями человеческого организма. Вращение рентгеновских трубок позволяет проанализировать исследуемые участки во всем объеме.
В каких случаях проводится КТ?
Томография височно-нижнечелюстного сустава назначается при наличии следующих заболеваний и патологических состояний:
- Вывихи и подвывихи суставной головки.
- Анкилоз. Эта патология характеризуется практически полным отсутствием подвижности сустава. Происходит это по причине разросшейся соединительной ткани.
- Артрит, синовит и другие воспалительные заболевания.
- Посттравматические артропатии, которые отличаются нарушением функций суставов.
- Различные новообразования.
- Различные аномалии лицевого черепа ВНЧС. В частности, компьютерная томография используется для диагностики гипоплазии – недостаточного развития.
- Дегенеративные процессы, происходящие в суставах, которые практически не поддаются терапии. Отмирание костных структур может быть вызвано естественными возрастными изменениями или различными системными заболеваниями.
- Синдром Мебиуса, который диагностируется сразу же после рождения ребенка. Эта патология характеризуется отсутствием подвижности сустава, что является следствием разрастанием венечного отростка.
- Выявление последствий переломов и прочих травм.
- Болевой синдром в лицевой области.
- Проблемы с пережевыванием пищи, нарушение речи и закладывание в ушах.
Помимо этого, обследование показано тем пациентам, у которых открытие рта сопровождается характерным щелчком и наличием болей неясного происхождения, которые отдают в отдельные части головы.

Основные противопоказания
Компьютерная томография основывается на использовании рентгенологического облучения, поэтому есть противопоказаний к проведению этой процедуры. Кроме того, во время обследования пациент должен сохранять полную неподвижность в течение определенного временного промежутка.
В связи с этим, КТ противопоказана в следующих случаях:
- Избыточный вес обследуемого. Выдвижной стол может выдержать не более 160 кг.
- Измененное сознание пациента. Оно может быть вызвано алкогольным или наркотическим опьянением, либо различными психическими расстройствами.
- Детский возраст до 3 лет. При обследовании организм получает определенную дозу облучения, но особенно сильно это влияние происходит для детского организма. Могут замедлиться процессы обмена веществ и другие негативные последствия.
- Период вынашивания плода. Доказано, что рентген-лучи негативно сказываются на развитии ребенка.
Что касается беременности, то здесь важно одно уточнение. Если обследование нужно по причине жизненной необходимости и нет других альтернатив, то врач может принять положительное решение о проведении процедуры. Он должен оценить степень риска для плода, чтобы потенциальная польза для здоровья матери была не больше, чем вероятный вред для ребенка.
Правила подготовки
Подготовительные процедуры к КТ челюсти и ВНЧС зависят от того, будет ли использоваться контраст. Если да, то подготовка будет несколько основательнее, чем при обычном КТ.
Пациент должен сдать биохимию крови, чтобы узнать уровень мочевины и других важных показателей. Также стандартная процедура заключается в аллергической пробе, которая позволяет узнать реакцию организма на препарат, содержащий йод. В день самого обследования нужно воздержаться от еды и питья.
Если же речь идет о стандартной компьютерной томографии, то определенных правил подготовки к ней нет. Перед процедурой нужно будет снять с себя все металлические предметы (слуховой аппарат, серьги, украшения и т.д.).
Как проходит компьютерная томография височно-нижнечелюстного сустава?
Пациент ложится на специальный выдвижной стол аппарата. Специалист контролирует весь процесс обследования из соседнего помещения.
При включении томографа, стол заезжает внутрь самого аппарата. Его работа может сопровождаться шумом – это абсолютно нормально, поэтому нужно сохранять неподвижное состояние. Любое действие (открытие рта, поворот головы и т.д.) должно производиться только по команде врача.
Пациентам, страдающим от тревожных состояний или клаустрофобии, дается седативное средство перед процедурой. Делается это на случай возникновения панической атаки у человека.
Если у пациента резко ухудшится состояние внутри аппарата, он может сообщить об этом специалисту по встроенному микрофону.
КТ ВНЧС – что показывает обследование?
При проведении КТ, предполагаемая патология или дефект становятся хорошо видны на мониторе компьютера. Изображение может быть получено в нескольких проекциях – аксиальной, фронтальной или сагиттальной.
Полученный снимок может определить следующие виды отклонений:
- Изменение размеров суставной щели.
- Отклонения суставного диска.
- Изменение костных структур.
- Наличие новообразований.
- Смещение головок сустава.

Что лучше – МРТ или КТ?
Говоря об исследовании патологий ВНЧС, многие задаются вопросом, что выбрать МРТ или КТ? Для начала стоит отметить, что обе эти методики подходят для обследования состояния височно-нижнечелюстного сустава. И МРТ, и КТ, имеют свои преимущества и недостатки, поэтому однозначно ответить на вопрос о том, что лучше, достаточно проблематично.
МРТ лучше с точки зрения отсутствия определенных противопоказаний к ее проведению. Объясняется это тем, что в основе этого метода не лежит рентгеновское излучение, которое негативно влияет на организм человека при превышении допустимой дозы.
Говоря же именно об обследовании ВНЧС, то МРТ больше подходит для изучения суставных поверхностей (участков сочленения двух частей, покрытых хрящом). Что же касается изучения самого сустава, то в большинстве случаев назначает именно компьютерная томография. К тому же, стоимость КТ ниже, чем МРТ.
Разновидности обследования
КТ ВНЧС может проводиться с закрытым и открытым ртом, в зависимости от конкретного клинического случая. Во время проведения процедуры могут использоваться различные варианты этого обследования:
- Траснаксиальная методика. Это стандартная процедура (через ось тела). В ходе ее проведения получается порядка 25 снимков, идущих параллельно глазной ямке. Можно визуализировать отдельно левый и правый сустав.
- Саггитальное сканирование. Оно проводится строго параллельно ушной раковине. Ведется оценка состояния ВНЧС в трех фазах, т.е. пациента просят закрыть рот, приоткрыть его наполовину и полностью.
- Объемный 3D-режим. Получается пространственное изображение правого и левого сустава.
Как правило, во время диагностики используется комбинация из вышеуказанных вариантов обследования для получения наиболее точной картины.

Основные преимущества компьютерной томографии в диагностике патологий ВНЧС
- Идентичность съемки сустава с обеих сторон.
- Максимально точное воссоздание формы суставных поверхностей во всех плоскостях.
- Изучение состояния жевательных мышц и суставного диска.
- Отсутствие всяческих искажений, мешающих постановке диагноза.
- Минимальная доза облучения.
- Быстрая процедура обследования.
Те сведения и снимки, которые получается в результате КТ, имеют очень большую диагностическую ценность при составлении грамотной схемы лечения дисфункции височно-нижнечелюстного сустава, в протезировании и исправлении прикуса, а также при плановых хирургических вмешательствах (как подготовительная процедура).
Где можно сделать компьютерную томографию двух челюстей и ВНЧС в Санкт-Петербурге?
Диагностический рентген-центр «ЛУЧ» приглашает вас пройти компьютерную томографию 3D, которая успешно применяется для диагностики патологий ВНЧС. Объемность реконструкции исследуемой области придает диагностике необходимую точность и высокий уровень детализации.
Все это возможно, благодаря современному оборудованию нашего рентген-центра. Мы прекрасно понимаем, насколько важен правильно поставленный диагноз, поэтому тщательно подходим к выбору персонала.
Для наших клиентов возможна запись результатов исследования на цифровой носитель и курьерская доставка по Санкт-Петербургу. Чтобы записаться к нам на прием, нужно оставить онлайн-заявку на сайте, либо позвонить по указанному номеру телефона.
Лечение височно-нижнечелюстного сустава: подробное описание методов
Дисфункция височно-нижнечелюстного сустава (ВНЧС) — это обширный симптоматический комплекс различных артрологических, неврологических, ревматических и инфекционных проявлений. Болезненность ВНЧС возникает при открывании рта, приеме пищи или прочих функциональных действиях нижней челюсти.

Лечение височно-нижнечелюстного сустава – это сложнейший процесс восстановления парного диартроза на черепе костного скелета человека, наиболее часто встречающегося в детском и старческом возрасте. Однако от ударно-механического поражения не застрахован никто.
Анатомия ВНЧС
Височно-нижнечелюстное образование – это парный черепной сустав, образованный в месте сочленения эпифиза нижнечелюстной кости с височной ямкой в черепе человека, позволяющее осуществлять синхронную подвижность нижней челюсти с правой и левой сторон.

В анатомическую структуру височно-нижнечелюстного сочленения входят:
- непосредственно суставные поверхности – нижнечелюстная головка и ямочное образование височной кости;
- окружает наружную часть ВНЧС суставная капсула;
- между соединительными элементами суставных поверхностей находится диск, или хрящ, который образует с капсулой ВНЧС жёсткое сцепление.
Вся височно-челюстная система окутана связочно-мышечным аппаратом, который позволяет не только фиксировать нижнюю челюсть, но и производить ею движения в трех плоскостях:
- открывание и закрывание рта осуществляется по фронтальной оси при жестко зафиксированном суставном диске. Возможно смещение головки нижней челюсти;
- смещение по сагиттальной оси головки и суставного диска; позволяет производить движение нижнечелюстного аппарата вперед и/или назад;
- движения нижней челюстью вправо или влево по вертикальной оси – это результат боковой ротации головки нижней челюсти относительно суставной височной впадины (ямки).
Чувствительная иннервация осуществляется через ушно-височные каналы и жевательные ветви, исходящие из нервных волокон тройничного нерва. Артериальное кровяное снабжение транспортируется по магистральной линии наружной сонной артерии, преимущественно через поверхностную височную артерию, а венозный отток через нижнюю челюсть продолжает движение по яремной шейной вене.
Нарушение функций височно-челюстного сустава вызывает различного рода воспалительные процессы, которые требуют тщательного диагностического обследования и адекватного лечения. Ярким примером может быть синдром патологического прикуса, или синдром Костена.
Такая дисфункция ВНЧС была впервые описана американским врачом-отоларингологом Джеймсом Костеном в 1934 году. Однако боль в височно-нижнечелюстном регионе черепа может быть спровоцирована прочими различными причинно-следственными факторами.
Причины воспаления
Клинической височно-челюстной и/или челюстно-лицевой патологии может предшествовать множество факторов, которые в дальнейшем влияют на правильное лечение дисфункции ВНЧС. Височно-нижнечелюстному поражению суставов могут способствовать:
- механическое повреждение;
- инфекционное поражение суставных элементов черепной коробки; , связанных с системной патологией.
Рассмотрим наиболее детально частое нарушение функции височно-челюстного сустава, лечение которого зависит от степени тяжести повреждения или от сложности воспаления.
После приведения ударной силы, в результате несчастного случая, при умышленном повреждении суставных компонентов черепной коробки возможны следующие критические состояния:
- разрыв околосуставного связочного узла или капсулы ВНЧС;
- полостное кровоизлияние в височных и/или челюстных суставах;
- трещины на поверхности костно-суставных сегментов черепного короба.

В случае прямого контакта с патогенным носителем, из-за травмы дисфункция височно-челюстного сустава определяется степенью инфекционного поражения. При занесении инфекции страдает не только целостность суставной капсулы, но и сама полость сустава, когда доступ микроорганизмов в эти зоны становится неограниченным. При атаке инфекционных или бактериальных агентов в открытые суставные области возможны различные воспаления, как специфического характера, например, поражение палочкой Коха (туберкулез) или бактериями бледной трепонемы (сифилис), так и неспецифического порядка – стафилококковое или стрептококковое воспаление.
Обеспечить контактное инфицирование лицевым суставам могут различные заболевания гнойно-воспалительного или грибкового характера:
- гнойное воспаление околоушных слюнных желез;
- отит среднего уха; ;
- инфекционное поражение зубов, полости рта;
- флегмона или абсцесс мягких тканей;
- гематогенное инфицирование.

Среди возможных причин дисфункции челюстно-лицевого сустава — ревматическое поражение костно-суставных сегментов, которое проявляется генерализованным течением воспалительного процесса, задевая все новые органы и тканевые структуры системы жизнедеятельности.
Клинические симптомы
Вне зависимости от причинно-следственных факторов симптомы дисфункции височно-нижнечелюстного сустава всегда отзываются болезненностью различной степени интенсивности. Воспалительный процесс в суставных сегментах черепа может протекать по острому или хроническому течению.
При остром воспалении проявляется повышенная нервная чувствительность организма, а воспалённые суставные регионы имеют ярко выраженное покраснение и отечность мягких тканей.
Среди прочих острых клинических состояний можно выделить:
- болевой рефлекс, обеспеченный острой, колющей или режущей болью в челюсти, усиливающийся при резких движениях;
- тканевая отечность с покраснением мягких тканей иррадиирует в смежные органы, образуя небольшие гематомы;
- местное повышение температуры – это обязательное симптоматическое условие, так как дисфункция суставов приводит к расширению кровеносных сосудов, притоку крови к воспалительному очагу;
- из-за распространения воспалительного процесса происходит сужение слуховых каналов, что сказывается на работе слухового аппарата.

Пациенты жалуются на боль и ломоту в лицевых мышцах, частое головокружение, головную боль, быструю утомляемость, общую слабость.
Несвоевременное лечение дисфункции височно-нижнечелюстного сустава приводит к постепенному затуханию воспалительных реакций; симптомы острого поражения ВНЧС приобретают хроническое течение. Из-за ограничения количественного состава экссудата в полостной суставной среде, возможного проявления пролиферативных осложнений внутрисуставные структуры начинают неадекватно воздействовать друг на друга.
Хронические симптомы височно-челюстного нарушения:
- сужение суставной щели, сближение соседствующих костно-суставных поверхностей издают специфический треск, щелчок или хруст при смещении сустава;
- длительное бездействие суставного региона из-за болевых ощущений вызывает ответную реакцию – скованность движений лицевых мышц и суставных участков;
- хроническое повреждение ухудшает слуховые качества.
Нередко общая разбитость организма приводит к нарушению психического и нервного баланса. Хроническое течение обеспечивает организму умеренно воспалительную реакцию, когда температура тела держится в субфебрильных пределах (37-37,5 ºС). Вся эта симптоматика требует диагностической оценки.
Методы терапии
При функциональном нарушении связочно-мышечного аппарата или костно-суставной системы черепного скелета требуется дифференцированный диагностический подход и соответствующее адекватное лечение ВНЧС. Лечение на первоначальном этапе предусматривает купирование болевых синдромов и снижение воспалительных процессов. Последующая терапия – это физиопроцедуры, специальная лечебно-восстановительная гимнастика, массаж, мануальная терапия.
На любом этапе медикаментозного, физиотерапевтического или восстановительно-реабилитационного лечения пациенту рекомендуется снижение нагрузок на височно-нижнечелюстную суставную область. Ему следует ограничить речевую активность и принимать пищу только мягкой консистенции.
К лечению привлекаются профильные медицинские специалисты: остеопаты, травматологи, ортопеды, стоматологи, ортодонты, вертебрологи.
В зависимости от причинно-следственной обусловленности предусмотрено различное фармакотерапевтическое лечение. Дисфункция ВНЧС устраняется препаратами нестероидной противовоспалительной активности, седативными средствами лечения, внутрисуставными блокадами глюкокортикостероидной группы.
Для максимального расслабления жевательной мускулатуры иногда к комплексному лечению подключается Бос-терапия (биологическая обратная связь).
В случае воспаления височно-нижнечелюстного сустава из-за инфекционного поражения вначале проводятся мероприятия по выявлению возбудителя, а затем подбирается схема антибактериального воздействия на пораженные участки.
Оказание первой помощи
После получения травмы или повреждения прочим ударно-механическим воздействием естественная реакция у человека – это боль. Оказание первой медицинской помощи требует навыков и практического опыта.
Рассмотрим алгоритм экстренных действий, перед тем как пациент перейдет в руки врача:
- Необходимо создать условия по полному обездвиживанию пораженного региона височно-нижнечелюстного сустава. Все, что нужно сделать – это наложить жестко фиксирующую повязку из подручных средств. Мягкую подбородочную пращу можно сделать из любой ткани или эластичной широкой резины, которая будет жестко фиксировать подбородок к затылку и теменному участку головы.
- После получения травмы происходит расширение кровеносных сосудов, возникает отечность мягких тканей. Приложенный к пораженному суставу холод, а лучше лед, вызывает спазмирование (сужение) сосудов, предотвращая жидкостное выпотевание в суставную полость и в окружающую тканевую часть. Лед способствует снижению чувствительности нервных ответвлений в зоне поражения, что также благоприятно устраняет болевой рефлекс.
- Если у пациента нет аллергической реакции или противопоказаний на противовоспалительные, обезболивающие лекарственные средства, то можно при помощи фармакологических препаратов на некоторое время обезболить поврежденный регион суставного сочленения.
До приезда скорой медицинской помощи пострадавшему человеку запрещены любые движения нижней челюстью.
После оказания первой медицинской помощи пациент направляется в лечебное учреждение, где после диагностического обследования будет принято решение о дальнейшем выборе лечения.
При вывихе или растяжении связок предусмотрена более длительная иммобилизация суставных сегментов, а в случае перелома будут предприняты меры по оперативной коррекции.
Артрит (артроз) височно-челюстного сустава
Дисфункция височно-челюстного сустава, лечение которого обусловлено ревматическими заболеваниями, проводится вместе с основным — медикаментозным, физиотерапевтическим, лечебно-профилактическим — воздействием. Снижению активности болевого и воспалительного процесса на лицевые суставы при артрите и артрозе будут способствовать фармакологические комбинации нестероидной противовоспалительной группы (Диклофенак, Нимесулид, Целекоксиб), препараты стероидной противовоспалительной активности (Преднизолон), лекарственные формы, относящиеся к моноклональным антителам (Инфликсимаб, Этанерцепт, Адалимумаб).

Существуют народные методы устранения симптоматического воспаления височно-нижнечелюстного сустава:
- отвар корня лопуха окажет болеутоляющее, противовоспалительное действие;
- настой душистого грыжника обеспечит антибактериальный, противовоспалительный эффект при инфицировании и ревматическом воспалении;
- обезболить на некоторое время пораженные ревматизмом костно-суставные сегменты поможет спиртовая настойка прополиса.
Любые рецепты необходимо согласовывать с профильным специалистом или лечащим врачом во избежание возможных аллергических последствий. Особую осторожность к народному лечению нужно проявлять людям с хронической или острой патологиями ЖКТ, мочеполовой системы, детям до 14 лет, беременным женщинам.
Комплексное медицинское лечение предусматривает специальные упражнения, направленные на усиление подвижности суставов. Их выполняют во время основного лечения и в восстановительно-реабилитационный период.
Восстановительная терапия
Для предотвращения возможных осложнений рекомендуется специально разработанный комплекс гимнастических упражнений. Он поможет как можно быстрее восстановить мышечную и костно-суставную подвижность височной и челюстной группы черепного скелета:
- гимнастической палкой прижимаем подбородок снизу. Открыв рот, преодолеваем сопротивление медленным опусканием челюсти. Не снижая давления на подбородок, возвращаемся в исходное положение;
- выступающая часть подбородка жестко охватывается руками и медленно оттягивается вниз;
- сдавливанием ладони бокового отдела нижней челюсти провоцируем ее смещение в противоположную сторону. Аналогичное упражнение проводится с другой стороны;
- преодолевая приложенные усилия на переднюю часть подбородка, необходимо выдвинуть нижнюю челюсть вперед.
Каждое упражнение выполняется не менее 5 раз, по 3-4 подхода в день.
Гимнастический комплекс восстановительной терапии выполняется при отсутствии воспалительных реакций и болевых ощущений.
Прогноз и последствия
Чем же грозит несвоевременное или неправильное лечение пораженного височно-нижнечелюстного сустава? Определяющим фактором возможных осложнений является причина возникновения патологического состояния. Точно установленный диагноз и грамотная тактика медицинского реагирования может уже через несколько дней восстановить утраченную физиологическую активность суставов.
При отсутствии же адекватной терапии проблемные суставы могут не только продолжать беспокоить человека периодическими болевыми вспышками, но и значительно ухудшить ситуацию различными осложнениями.
Среди возможных последствий некачественного лечения или запущенности клинической патологии выделяют:
- – клиническая форма неподвижности суставов, наступающая в результате костно-суставного, хрящевого или фиброзного сращения сочленяющихся между собой двигательных сегментов. Причина – острая и хроническая патология инфицирования суставного региона или запущенная травма. Способ устранения – оперативное вмешательство;
- абсцесс – нарыв на мягких тканевых или мышечных структурах, при котором образуется гнойно-воспалительная полость. Возбудитель абсцесса – стафилококковая или стрептококковая микрофлора. Остановить гнойное разложение и избавиться от агрессивного воздействия микроорганизмов возможно лишь оперативным вскрытием абсцесса;
- контактное или гематогенное инфицирование суставных компонентов височно-нижнечелюстного аппарата может способствовать развитию воспалительных процессов в оболочке головного мозга, то есть образованию сложнейшего и смертельно опасного заболевания – менингита. Осложнение проявляется сильнейшими головными болями, лихорадкой, повышением температуры тела до 40-41 ºС. Также образуется светобоязнь, часто возникает потеря сознания. При отсутствии адекватной антибактериальной терапии в 95 % случаев наступает летальный исход;
- флегмона височной зоны – это гнойно-воспалительный процесс клеточного пространства; в отличие от абсцесса не имеет чётко определяемых границ поражения. Возбудители гнойной патологии — микроорганизмы, однако преимущественное поражение возникает в результате атаки бактерий стафилококка. Лечебные меры – оперативное устранение гнойных масс с подкожно-жировых клеток, мышечных или мягких тканей.

Не будет лишним вспомнить о технике безопасности при выполнении определенных видов работ, занятиях спортом. Важно соблюдать правила собственной безопасности в экстремальных ситуациях.
Чтобы избежать ревматических патологий или инфицирования суставов, необходимо заниматься укреплением иммунной системы, вести здоровый образ жизни, следуя правилам личной и санитарной гигиены. Берегите себя и будьте всегда здоровы!
Читайте также:
- Легочные вены. Бронхиальные артерии, безымянные вены и верхняя полая вена
- Мигрень. Головная боль при мигрени. Признаки мигрени.
- Инструментальная диагностика болезней почек
- Раннее выявление стремления к самоубийству. Скрининг населения на стремление к самоубийству.
- Влияние тетраэтилсвинца на микроциркуляцию глаза
