Гидроцефалия. Варианты и клиника
Добавил пользователь Владимир З. Обновлено: 29.10.2025
Гидроцефалия. Варианты и клиника
Постановка шунта относится к обычным процедурам, выполняемым недоношенным и новорожденным детям. У 1 из 500 живорожденных развивается гидроцефалия. Общепринятыми являются и операции по ревизии шунта. Две трети процедур, связанных с шунтами, представляют собой ревизии уже установленных шунтов, чаще всего из-за проблем с дистальным концом катетера. Почти 50% шунтов перестают функционировать в течение первых двух лег после установки.
Шунтирование относится к наиболее распространенным хирургическим процедурам при лечении гидроцефалии. Альтернативой служит эндоскопическая вентрикулостомия третьего желудочка.
Патология и физиология ВЧД, а также циркуляции СМЖ подробно описаны в соответствующих статьях на нашем сайте. Подъем ВЧД, требующий установки шунта или дренажа, чаще всего связан с:
• Объемными процессами/гематомами/ушибом.
• Наиболее частой причиной является нарушение циркуляции СМЖ. Обструкция на уровне желудочковой системы или субарахноидальных пространств может возникнуть, например, при блокаде водопровода мозга или внутрижелудочковых отверстий опухолью, гематомой, инфекцией, врожденными мальформациями.
• Повышением продукции ликвора, например, при папиломе хориоидного сплетения.
• Снижением реабсорбции ликвора, что может быть связано с обструкцией крупных венозных синусов ТМО, например, вследствие опухоли или тромбоза, или по неизвестным причинам, как при нормотензивной гидроцефалии.

В зависимости от причины, гидроцефалия может классифицироваться как сообщающаяся (арезорбтивная) и несообщающаяся (обструктивная), а каждая из них, в свою очередь, как врожденная или приобретенная.
Сообщающаяся гидроцефалия. Иногда используют термин «необструктивная». Явные препятствия току ликвора из желудочков в субарахноидальное пространство отсутствуют, однако ликвор оттуда не реабсорбируется. Может развиваться вторично, вследствие субарахноидального кровоизлияния, менингита, врожденной аномалии пахионовых грануляций, мальформации Киари.
Нормотензивная гидроцефалия. Это вид сообщающейся гидроцефалии. Желудочки расширены, но при измерении, давление СМЖ может быть нормальным при одиночном исследовании. Возможны только периодические повышения давления. Диагноз ставится на основании анамнеза, давления СМЖ при люмбальной пункции (ЛИ), и реакции на выведение некоторого объема люмбальной СМЖ либо при пункции, либо через люмбальный дренаж. Иногда выполняют инфузионно-нагрузочные тесты. Клинические признаки острого повышения ВЧД (головная боль, тошнота и рвота) могут отсутствовать, по имеется триада симптомов: нарушение походки, психические нарушения и недержание мочи, что имитирует картину деменции.
Доброкачественная внутричерепная гипертензия. Хроническое повышение ВЧД, которое не связано с другими врожденными или приобретенными аномалиями. Это диагноз исключения. Обычно ставится женщинам 20-40 лет с избыточным весом. Ведущими признаками являются головные боли и потеря зрения, связанная с отеком соска зрительного нерва. Также наблюдаются тошнота, рвота, звон в ушах, нарушение функций черепных нервов, особенно иннервирующих наружные мышцы глаза. Лечение включает коррекцию массы тела и медикаментозную терапию, (прием ингибиторов карбоангидразы, таких как ацетазоламид). Для лечения головной боли используют в основном шунты и люмбальные пункции. Фенестрация оболочки зрители ного нерва применяется для коррекции потери зрения.
Несообщаюшаяся гилроцефалия. Это обструктивная гидроцефалия, связанная препятствиями току ликвора. Основными причинами являются кровотечения, опухоли, коллоидные кисты и врожденные аномалии.
Клиническая картина гидроцефалии:
• Острый подъем ВЧД вызывает головную боль, тошноту, рвоту, отек соска зрительного нерва, паралич взора вверх и нарушение сознания.
• При нормотензивной гидроцефалии наблюдается иная триада симптомов: нарушение походки, психические нарушения, недержание мочи.
• Хроническая гидроцефалия у детей с незакрытыми родничками и швами вызывает увеличение размеров черепа.
• Клиническая картина зависит от вида патологических изменений. Медленный подъем ВЧД наблюдается в случае опухоли или нарушения функционирования шунта и проявляется относительно легкими клиническими признаками.
• Быстрый подъем ВЧД, часто связанный с травмой или субарахноидальным кровоизлиянием может, привести к быстрому угнетению сознания.
Редактор: Искандер Милевски. Дата обновления публикации: 18.3.2021
Гидроцефалия у детей
Гидроцефалия у детей – чрезмерное накопление спинномозговой жидкости в ликвороносных путях головного мозга, обусловленное ее повышенной продукцией, нарушением циркуляции или резорбции. Гидроцефалия у детей характеризуется выбуханием родничков, расхождением костных швов, увеличением окружности головы, набуханием подкожных вен головы, экзофтальмом, отставанием в физическом и психомоторном развитии, признаками повышенного внутричерепного давления. Диагностика гидроцефалии у детей включает проведение НСГ, Эхо-ЭГ, рентгенографии черепа, КТ или МРТ головного мозга, радионуклидной цистернографии. Лечение гидроцефалии у детей может быть консервативным либо хирургическим (эндоскопическая коагуляция сосудистого сплетения, вентрикулостомия, ликворошунтирующие операции и др.).

Общие сведения
Гидроцефалия у детей («водянка головного мозга») обусловлена избыточным скоплением ликвора в ликворопроводящих путях (желудочках мозга, базальных цистернах, субарахноидальном пространстве), что приводит к их расширению, повышению внутричерепного давления и сдавлению мозговых структур. В детской неврологии и педиатрии врожденная гидроцефалия встречается у 1-4 детей на 1000 новорожденных. Кроме этого, гидроцефалия у детей может сопровождать воспалительные процессы нервной системы (15-25%), родовые и черепно-мозговые травмы (30-40%), опухоли головного мозга (75%). Прогрессирующее накопление ликвора в полости черепа приводит к атрофическим изменениям мозговой ткани, выраженным неврологическим и психическим нарушениям у ребенка с гидроцефалией.

Классификация
Гидроцефалия у детей классифицируется в зависимости от этиологических, морфологических, клинических признаков, уровня ликворного давления.
С учетом полиэтиологичного характера гидроцефалия у детей может быть врожденной, постинфекционной, посттравматической, связанной с опухолевым процессом или цереброваскулярной патологией, иногда причины гидроцефалии остаются неуточненными.
По морфологическим критериям различают сообщающуюся (открытую) и окклюзионную (закрытую) гидроцефалию у детей. При открытой гидроцефалии имеет место несоответствие процессов образования (продукции) и всасывания (резорбции) ликвора, при этом вентрикулярные и субарахноидальные пространства свободно сообщаются между собой. В зависимости от механизма нарушения выделяют гиперпродукционную, арезорбтивную и смешанную с преобладанием продукции над резорбцией форму открытой гидроцефалию у детей. Случаи окклюзионной гидроцефалии у детей связаны с окклюзией ликворных пространств на различных уровнях, что сопровождается их разобщением и расширением.
Также на основе морфологических признаков гидроцефалия у детей подразделяется на внутрижелудочковую (внутреннюю), субарахноидальную (наружную) и смешанную.
С учетом уровня ликворного давления гидроцефалия у детей может носить нормотензивную, гипертензивную или гипотензивную форму. По клиническому течению гидроцефалия у детей бывает компенсированной, субкомпенсированной, декомпенсированной; прогрессирующей, стабилизировавшейся или регрессирующей.
Причины гидроцефалии у детей
Истинно врожденная гидроцефалия у детей обусловлена аномалиями развития головного мозга:
- первичным стенозом или атрезией водопровода мозга;
- мальформацией Арнольда-Киари 1-го или 2-го типа;
- синдромом Денди-Уокера;
- арахноидальными кистами,
- гипоплазией субарахноидальных пространств;
- аномалиями венозной системы головного мозга (врожденная аневризма вены Галена и др.);
- стенозом сильвиева водопровода (служит причиной врожденной гидроцефалии в 30% всех случаев).
Врожденная гидроцефалия у детей может быть обусловлена внутриутробно перенесенными инфекциями (токсоплазмозом, цитомегалией, краснухой, герпесом, врожденным сифилисом ), тромбофлебитом вен и синусов мозга, травмами мозга.
В постнатальном периоде постинфекционная гидроцефалия у детей может возникать вследствие бактериального менингита, арахноидита, энцефалита. Причинами посттравматической гидроцефалии у детей обычно выступают внутричерепные родовые травмы (субарахноидальные, внутрижелудочковые кровоизлияния), черепно-мозговые травмы. Возникновение гидроцефалии опухолевого генеза может быть обусловлено наличием папилломы, карциномы, менингиомы сосудистого сплетения, опухоли желудочков, опухоли костей черепа и спинного мозга. В детском возрасте встречается гидроцефалия, связанная с артерио-венозными мальформациями головного мозга.
Факторами риска развития гидроцефалии у детей служат преждевременные роды (до 35 недель), недоношенность (вес менее 1500 г), узкий таз у матери, применение активных акушерских пособий, гипоксия плода и асфиксия новорожденных, легочная гипертензия и др. патологические состояния.
Нарушение ликвородинамики при гидроцефалии у детей обусловливает вторичные изменения головного мозга, мозговых оболочек, мягких покровов и костей черепа. Патологические изменения представлены расширением полостей желудочков, уплощением извилин, сглаженностью борозд; атрофией сосудистых сплетений; отеком, фиброзом, сращением мозговых оболочек и пр.
Симптомы гидроцефалии у детей
Гидроцефалия у детей может проявиться уже в первые дни жизни или развиться позже, в любом возрасте. На степень выраженности симптомов гидроцефалии у детей влияют ее форма, скорость прогрессирования, наличие синдрома внутричерепной гипертензии, основное заболевание. Тяжелые формы гидроцефалии, связанные с грубыми нарушениями развития, нередко вызывают гибель ребенка в неонатальном периоде.
Ранними спутниками гидроцефалии у детей могут являться беспокойное поведение, плаксивость (монотонный плач «на одной ноте»), частые обильные срыгивания. Основным объективным признаком гидроцефалии у детей служит быстрый темп увеличения окружности головки и ее непропорционально большой размер, определяемые при антропометрии. При внешнем осмотре обращает внимание выбухание родничков, расхождение черепных швов, напряжение подкожной венозной сети головы, редкий рост волос. Дети с гидроцефалией имеют большую голову при относительно небольшом туловище, маленькое лицо с нависающим лбом, глубоко расположенные глазницы.
Неврологические нарушения у детей с гидроцефалией могут включать нистагм, симметричную спастическую параплегию верхних или нижних конечностей, судорожный синдром. Часто имеет место экзофтальм, птоз, симптом Грефе (расходящееся косоглазие со смещением глазных яблок книзу – «симптом заходящего солнца»). При гидроцефалии дети отстают в моторном развитии: поздно начинают держать головку, переворачиваться, сидеть и ползать. Степень интеллектуальных нарушений у детей с гидроцефалией может варьировать от легкой дебильности до идиотии.
У детей старше 2-х лет течение гидроцефалии имеет свои особенности и характеризуется, главным образом, признаками повышенного внутричерепного давления – головными болями, тошнотой и рвотой, снижением зрения, носовыми кровотечениями. Кроме этого, у детей могут возникать нарушения координации движений, диплопия, судороги, потеря сознания, тазовые расстройства (задержка или недержание мочи) и пр.
Диагностика гидроцефалии у детей
С помощью методов пренатальной диагностики (определение альфа-фетопротеина в сыворотке беременной и амниотической жидкости) гидроцефалия у плода может быть выявлена уже с первого триместра беременности. УЗИ плода позволяет обнаружить гидроцефалию у ребенка на 16–20 неделе беременности. В этих случаях решается вопрос о прерывании беременности.
Трансиллюминация (диафаноскопия) черепа позволяет выявить наружную гидроцефалию у детей, исключить гидроанэнцефалию и субдуральную гигрому. У детей в возрасте до 1 года для оценки состояния ликвороносных путей выполняется нейросонография через родничок. С помощью краниографии обнаруживается увеличение размеров черепа, расхождение швов, пальцевые вдавления.
Широкое внедрение КТ головного мозга значительно сузило показания к проведению рентгенографии черепа, вентрикулографии, пневмоэнцефалографии, радионуклидной диагностики гидроцефалии у детей. Компьютерная томография дает представление о состоянии мозгового вещества, ликворосодержащих полостей, форме и выраженности гидроцефалии у детей. При окклюзирующих процессах методом выбора является МРТ головного мозга. К вспомогательным методам неврологической диагностики относятся эхоэнцефалография, ЭЭГ, МР-ангиография сосудов головного мозга.
Детям с гидроцефалией показана консультация детского офтальмолога с проведением офтальмоскопии для своевременного выявления начальных признаков атрофии зрительного нерва.
Для оценки давления цереброспинальной жидкости, исследования ее состава и проведения ликвородинамических проб прибегают к вентрикулярной и люмбальной пункциям.
Лечение гидроцефалии у детей
Основными принципами лечения гидроцефалии у детей является снижение продукции ЦСЖ и нормализация ее циркуляции по ликвороносным путям, в т. ч. с помощью создания обходных анастомозов.
С целью снижения ликворопродукции и внутричерепного давления проводится дегидратационная терапия диуретиками, ингибиторами карбоангидразы, салуретиками. При прогрессирующем нарастании гидроцефалии у детей в течение 2—3-х месяцев (а иногда и ранее) ставится вопрос о хирургическом вмешательстве.
Оптимальный способ оперативного вмешательства определяется этиологией, формой, стадией гидроцефалии у детей. В настоящее время все виды операций при гидроцефалии у детей могут быть поделены на 5 групп:
- паллиативные вмешательства, позволяющие временно снизить внутричерепное давление и устранить краниоцеребральную диспропорцию (люмбальные и вентрикулярные пункции, наружное вентрикулярное дренирование)
- операции, направленные на подавление ликворопродукции (клипирование, коагуляция сосудистого сплетения)
- операции, направленные на восстановление естественных путей циркуляции ликвора или создание новых путей ликворооттока (удаление опухолей, внутричерепных гематом , вентрикулостомия)
- операции, активизирующие ликворосорбцию (рассечение арахноидальных спаек и др.)
- шунтирующие операции, предусматривающие отведение ликвора в другие системы организма (вентрикулоперитонеальное шунтирование, люмбоперитонеальное шунтирование, вентрикулоатриарное шунтирование, вентрикулоцистерностомия, кистовентрикулоперитонеостомия, субдуроперитонеостомия). При невозможности выполнения стандартных шунтриующих операций проводятся атипичные шунтирующие вмешательства - вентрикулоплевральное, вентрикулоуретральное вентрикулобиллиарное шунтирование. Ликворошунтирующие операции при гидроцефалии у детей сопряжены с риском нарушения функционирования дренажных систем, гипердренированием или осложнениями воспалительного характера.
Прогноз и профилактика гидроцефалии у детей
Возможность излечения гидроцефалии у детей, перспективы для жизни и здоровья ребенка зависят от ряда факторов: причин, формы заболевания, своевременности диагностики, успешности консервативного или оперативного лечения. В целом надлежащее лечение оказывается эффективным примерно в половине случаев. Приобретенная гидроцефалия у детей имеет худший прогноз, по сравнению с врожденной.
Рекомендации по профилактике гидроцефалии у детей включают тщательное планирование беременности, раннюю пренатальную диагностику, предупреждение родового травматизма, наблюдение детей из групп риска педиатром и детским неврологом.
Гидроцефалия
Гидроцефалия — повышенное скопление цереброспинальной жидкости в ликворной системе головного мозга. Гидроцефалия сопровождает многие врожденные и приобретенные неврологические заболевания. Клинически она проявляется признаками повышенного внутричерепного давления (головная боль, тошнота, давление на глаза), симптомами сдавления мозговых структур (вестибулярная атаксия, нарушения зрения, психические расстройства, эпи-приступы) и симптомами, характерными для вызвавшего ее заболевания. Диагностика гидроцефалии включает рентгенографию черепа, офтальмологические исследования, Эхо-ЭГ (у грудных детей — нейросонографию), МРТ или КТ головного мозга. Хирургическое лечение гидроцефалии позволяет скорректировать врожденные аномалии ликворной системы, провести удаление нарушающих ликвороциркуляцию внутричерепных образований, наладить отток ликвора из полости черепа.
МКБ-10


Гидроцефалия в дословном переводе означает «водянка головы». В современной неврологии это часто встречающийся клинический синдром, который может отмечаться при многих заболеваниях, врожденных аномалиях или посттравматических состояниях головного мозга. Возникновение гидроцефалии связано с в теми или иными нарушениями в ликворной системе мозга. Появлению гидроцефалии подвержены люди любого возраста. Гидроцефалия может возникать у новорожденных, иметь врожденный характер, развиваться у детей и у взрослых, сопровождать атрофические процессы, происходящие в головном мозге у стариков. Однако наиболее часто она встречается в педиатрической практике.
Причины
К накоплению избыточного количества ликвора в ликворной системе головного мозга приводят 3 патологических механизма: выработка избыточного количества цереброспинальной жидкости, нарушение ее всасывания или расстройство ликвороциркуляции. В основе гидроцефалии может лежать один из указанных механизмов или их сочетание. Причины, вызывающие нарушения в работе ликворной системы, могут действовать в период внутриутробного развития и обуславливать врожденную гидроцефалию или влиять на мозг после рождения и вызывать появление так называемой приобретенной гидроцефалии. К причинам гидроцефалии относятся:
1. Врожденная гидроцефалия:
- пороки развития ликворной системы (атрезия отверстий Мажанди и Лушки
- дефекты в строении подпаутинного пространства
- стеноз сильвиевого водопровода, синдром Денди-Уокера и пр.)
- краниовертебральные аномалии (аномалия Киари, врожденная базилярная импрессия)
- внутриутробные инфекции (токсоплазмоз, врожденный сифилис, цитомегалия, краснуха), родовая травма.
2. Приобретенная гидроцефалия:
- воспалительные процессы в головном мозге и его оболочках (энцефалит, арахноидит, менингит)
- сосудистые нарушения (кровоизлияния в желудочки, геморрагический инсульт или внутримозговые гематомы с прорывом крови в желудочки).
- прорастание желудочков и сдавление ликворных путей на фоне коллоидной кисты III желудочка и внутримозговых опухолей (астроцитомы, герминомы, ганглионевромы и др.). При этом нарушается нормальная циркуляция ликвора и его отток из полости черепа.
Отдельно выделяют атрофическую (заместительную) форму гидроцефалии, которая возникает вследствие посттравматической гибели или возрастной атрофии тканей головного мозга. При этом цереброспинальная жидкость заполняет пространство, которое образуется внутри черепной коробки в результате уменьшения объема головного мозга. Атрофическая гидроцефалия в пожилом возрасте может развиваться на фоне нарушения кровоснабжения головного мозга при атеросклерозе мозговых сосудов, гипертонической болезни, диабетической макроангиопатии.
Патогенез
В норме ликвор (цереброспинальная жидкость) вырабатывается сосудистыми сплетениями сообщающихся между собой желудочков головного мозга. Наибольшее его количество образуется в боковых желудочках, откуда ликвор поступает в III желудочек, а из него по сильвиевому водопроводу в IV желудочек. Затем ликвор попадает в субарахноидальное (подпаутинное) пространство, которое простирается над всей поверхностью головного мозга, а в каудальном направлении проходит область краниовертебрального перехода и дальше окружает спинной мозг на всем его протяжении. Находящаяся в субарахноидальном пространстве цереброспинальная жидкость постоянно всасывается арахноидальной (паутинной) оболочкой спинного и головного мозга и попадает в кровь. Указанные выше этиологические факторы, нарушающие выработку, движение и всасывание ликвора, приводят к ее избыточному накоплению и возникновению гидроцефалии.
По этиологическому принципу выделяется врожденная и приобретенная гидроцефалия. По механизму возникновения гидроцефалия классифицируется на открытую и закрытую форму.
- Открытая гидроцефалия связана с гиперпродукцией ликвора или нарушением его всасывания при нормальной ликвороциркуляции.
- Закрытая гидроцефалия вызвана нарушением оттока цереброспинальной жидкости из-за сдавления, частичной или полной обтурации какого-либо участка ликворной системы головного мозга.
В зависимости от того, где происходит избыточное накопление ликвора различают внутреннюю и наружную гидроцефалию. Внутренняя гидроцефалия сопровождается скоплением ликвора в желудочках мозга. Наружная гидроцефалия характеризуется избытком ликвора в субарахноидальном и субдуральном пространстве.
По особенностям течения гидроцефалию классифицируют как острую, подострую и хроническую. Острая гидроцефалия отличается быстрым развитием, при котором через несколько суток после возникновения первых признаков заболевания наступает декомпенсация. Подострая гидроцефалия развивается в течение месяца, а хроническая — более полугода.
Большое клиническое значение имеет разделение гидроцефалии на стабилизировавшуюся (компенсированную) и прогрессирующую (нарастающую).
- Стабилизировавшаяся гидроцефалия не нарастает и обычно протекает с нормальным давлением ликвора.
- Прогрессирующая гидроцефалия отличается усугублением симптоматики, сопровождается повышением ликворного давления, плохо поддается консервативной терапии и приводит к атрофии тканей головного мозга.
Симптомы гидроцефалии
Гидроцефалия у взрослых
Накопление избыточного количества цереброспинальной жидкости в ограниченном пространстве черепной коробки приводит к повышению внутричерепного давления, что и обуславливает наиболее типичные симптомы гидроцефалии. У взрослых и детей старшего возраста к ним относятся: не снимающаяся анальгетиками интенсивная головная боль, тошнота, рвота, чувство давления на глазные яблоки. Указанные симптомы могут возникнуть остро или нарастать постепенно, имея в начале заболевания преходящий характер. Атрофическая гидроцефалия зачастую протекает без признаков повышения внутричерепного давления и выявляется лишь при дополнительном обследовании пациента.
В большинстве случаев гидроцефалия сопровождается неврологической симптоматикой, которая обусловлена как сдавлением мозговых структур расширенными ликворными пространствами, так и основным заболеванием, являющимся причиной развития гидроцефалии. Наиболее часто при гидроцефалии отмечаются вестибулярные и зрительные нарушения. К первым относится вестибулярная атаксия, проявляющаяся головокружением, неустойчивостью походки, шумом в ушах и голове, нистагмом. Со стороны зрения может наблюдаться значительное снижение остроты зрения, выпадение определенных участков полей зрения, застойные диски зрительных нервов; при длительном течении гидроцефалии может развиться атрофия зрительных нервов.
Гидроцефалия может протекать с нарушениями двигательной и чувствительной сферы: парезами и параличами, повышением сухожильных рефлексов и мышечного тонуса, понижением или полным выпадением всех видов чувствительности, образованием спастических контрактур конечностей. Окклюзионная гидроцефалия, обусловленная нарушением циркуляции ликвора в области задней черепной ямки, характеризуется симптомами мозжечковой атаксии: нарушением координации и походки, крупноразмашистыми несоразмерными движениями, изменением почерка и пр.
В некоторых случаях гидроцефалия сопровождается психическими расстройствами, которые у взрослых чаще проявляются нарушениями эмоционально-волевой сферы: эмоциональной неустойчивостью, неврастенией, беспричинной эйфорией с быстрым переходом к состоянию безразличия и апатии. При резком увеличении внутричерепного давления, возможно агрессивное поведение.
Гидроцефалия у детей
У детей из-за большой податливости костей черепа не наблюдается повышения внутричерепного давления, гидроцефалия у них сопровождается увеличением размеров черепа. У новорожденных и детей раннего возраста гидроцефалия характеризуется слишком большим размером головы, выбуханием вен скальпа, напряжением и отсутствием пульсации большого родничка, отеком дисков зрительных нервов.
Часто отмечается симптом «заходящего солнца» - ограничение движений глазных яблок кверху. Может наблюдаться расхождение швов черепа. Постукивание по черепу сопровождается характерным звуком (симптом «треснутого горшка»). У детей первого года жизни гидроцефалия приводит к отставанию в развитии. Они позже начинают держать голову, переворачиваться, сидеть и ходить.
Дети, у которых имеется выраженная гидроцефалия, отличаются шарообразной формой головы, ее слишком большим размером, глубоко посаженными глазами, оттопыренными ушами, истончением кожи головы. Может отмечаться снижение зрения, повышение мышечного тонуса в нижних конечностях, нарушения со стороны черепных нервов. В отличие от взрослых, в детском возрасте гидроцефалия чаще сопровождается не эмоционально-волевыми расстройствами, а интеллектуальной недостаточностью.
Дети с гидроцефалией обычно малоподвижны и страдают ожирением. Они апатичны, безынициативны, не имеют свойственной их сверстникам привязанности к родственникам. Снижение степени гидроцефалии зачастую приводит к повышению интеллектуальных способностей и активности ребенка.
В подростковом возрасте гидроцефалия зачастую возникает остро на фоне инфекционного заболевания, психической или физической травмы. При этом она сопровождается интенсивной головной болью, многократной рвотой, брадикардией. Возможны приступы потери сознания, иногда судорожные приступы. В отдельных случаях наблюдаются эпизодические психозы с галлюцинаторным или бредовым синдромом.
Диагностика
Клинические симптомы гидроцефалии обычно настолько характерны, что позволяют неврологу заподозрить ее наличие при первом же осмотре пациента. Для определения степени и формы гидроцефалии, а также для выявления лежащего в ее основе заболевания проводятся дополнительные обследования:

Лечение гидроцефалии
Выбор метода лечения гидроцефалии зависит от ее этиологии. Консервативная терапия часто проводится при приобретенной гидроцефалии, обусловленной воспалительными заболеваниями, перенесенной ЧМТ, кровоизлиянием в желудочки. Осуществляется лечение основного заболевания, а для уменьшения степени гидроцефалии и повышенного внутричерепного давления назначаются мочегонные препараты (ацетазоламид, фуросемид).
Врожденная гидроцефалия обычно требует хирургического вмешательства, направленного на коррекцию лежащего в ее основе порока развития. Если гидроцефалия обусловлена наличием объемного процесса в головном мозге, то она также лечится хирургическим методом. По показаниям производится удаление внутричерепной гематомы, операции по удалению опухолей, вскрытие или тотальное иссечение абсцесса головного мозга, разъединение спаек при арахноидите и др.
В случаях, когда устранить причину гидроцефалии не представляется возможным применяются шунтирующие операции:
Они направленны на создание дополнительных путей оттока цереброспинальной жидкости из полости черепа. Шунтирующие операции могут проводиться как дополнение к хирургическому лечению основного заболевания, если в ходе операции не удается восстановить нормальную циркуляцию ликвора.
Окклюзионная гидроцефалия
Окклюзионная гидроцефалия — повышение объёма находящейся в желудочковой системе цереброспинальной жидкости, обусловленное блокировкой ликворных путей. Приводит к росту давления внутри черепа, клинически проявляется цефалгией, рвотой, расстройством зрения, атаксией, вегетативной дисфункцией, угнетением сознания. Диагностика осуществляется по результатам неврологического, офтальмологического обследования, данным нейровизуализации (УЗИ через родничок, МРТ, КТ, МСКТ). Лечение хирургическое: экстренно — наружное дренирование, планово — ликвидация блокирующего фактора, коррекция врождённой аномалии, постановка шунта, вентрикулоцистерностомия.


Термином «гидроцефалия» в неврологии обозначается повышенное скопление цереброспинальной жидкости (ликвора) в полости черепа. Если причиной патологии стала окклюзия (закупорка, сдавление) ликворопроводящих путей, то гидроцефалия носит название окклюзионной. Синонимом данного состояния является термин «закрытая гидроцефалия», поскольку окклюзия приводит к закрытию системы ликвороциркуляции и накоплению в ней ликвора. В МКБ-10 окклюзионная гидроцефалия внесена под названием «обструктивная». Заболевание носит вторичный характер, всегда имеет причинную патологию. Окклюзионная гидроцефалия встречается в любом возрасте, у детей и взрослых, может носить врождённый характер. В ряде случаев наблюдается острая окклюзия, требующая немедленной медицинской помощи.
Ликворная система представлена четырьмя желудочками: парными боковыми, непарными — третьим и четвёртым. Цереброспинальная жидкость из бокового желудочка через межжелудочковое отверстие Монро поступает в III желудочек, затем по сильвиеву водопроводу в IV, из которого сквозь отверстия Люшка и Можанди оттекает в цистерны церебрального и спинального подпаутинного пространства. Окклюзионная гидроцефалия развивается при возникновении препятствия на любом участке описанной системы ликвороциркуляции. Факторами окклюзии могут выступать:
- Аномалии развития головного мозга. Врождённый стеноз, недоразвитие сильвиева водопровода, синдром Денди-Уокера, аномалия Арнольда-Киари генетически детерминированы либо формируются в условиях внутриутробной инфекции, гипоксии плода, тератогенных воздействий. Анатомические изменения при данных пороках приводят к развитию гидроцефалии в антенатальном периоде или вскоре после рождения.
- Церебральные опухоли. Новообразования желудочков уменьшают их объём, вызывают закупорку сообщающих отверстий. Опухоли мозговых цистерн препятствуют притоку в них цереброспинальной жидкости из желудочков. Околовентрикулярные опухоли, новообразования ствола, мозжечка по мере роста сдавливают ликвороносные пути. Результатом указанных процессов является скопление ликвора в желудочках.
- Внутримозговая гематома. Формируется вследствие черепно-мозговой травмы (в том числе внутричерепной родовой травмы), геморрагического инсульта. Окклюзионная гидроцефалия обусловлена сдавлением путей оттока ликвора образовавшейся гематомой.
- Коллоидная киста III желудочка — доброкачественное образование неопухолевой природы. Увеличиваясь в размерах, киста перекрывает вход в сильвиев водопровод. Нарушение оттока обуславливает развитие гидроцефалии.
- Кровоизлияния в желудочки мозга. Возникают при травмах, разрывах сосудов артериовенозной мальформации, прорыве гематомы в желудочки. Излившаяся в полость желудочка кровь сворачивается − формируются сгустки, закупоривающие отверстия Монро, Люшка, Можанди, узкий канал церебрального водопровода.
Закупорка, сдавление ликвороносных трактов приводит к нарушению оттока и накоплению цереброспинальной жидкости в желудочках мозга. Объем желудочков увеличивается, в условиях замкнутого внутричерепного пространства это влечёт повышение давления внутри черепной коробки. Скорость нарастания интракраниальной гипертензии зависит от степени и механизма окклюзии. Обтурация отверстия Монро ведёт к увеличению бокового желудочка, закупорка на уровне сильвиевого водопровода — к расширению III и обоих боковых желудочков, на уровне отверстий Можанди и Люшка — к тотальной дилатации желудочковой системы.
Окклюзионная гидроцефалия опухолевого генеза формируется постепенно, при посттравматической гематоме — в течение нескольких дней. Окклюзия кровяным сгустком, частью внутрижелудочковой опухоли происходит внезапно, приводит к острой гидроцефалии. Интравентрикулярные новообразования, коллоидные кисты способны вызывать окклюзионные кризы — преходящую блокировку ликвороциркуляции, возникающую при смещении образования. Значительная внутричерепная гипертензия обуславливает сдавление мозговых тканей, питающих сосудов. Возникает гипоксия, дисметаболические изменения, ведущие к гибели нейронов. Продолжающийся рост давления вызывает смещение церебральных структур (масс-эффект), приводящее к тяжёлым осложнениям.
В клинической практике окклюзионная гидроцефалия разделяется по этиологической и анатомо-топографической принадлежности. Обе классификации имеют значение при выборе наиболее адекватного способа лечения. Соответственно этиологическому принципу выделяют:
- Врождённую форму — формируется во внутриутробном периоде вследствие пороков развития ликворной системы, церебральных аномалий (например, кист головного мозга), сдавливающих ликвороносные тракты. Проявляется с первых дней жизни.
- Приобретённую форму — возникает в течение жизни, обусловлена травмами и заболеваниями ЦНС. Проявляется в сочетании с другими симптомами причинной патологии.
Согласно анатомо-топографической классификации, окклюзионная гидроцефалия подразделяется на:
- Моновентрикулярную — расширен один боковой желудочек. Причиной выступает закупорка межжелудочкового отверстия.
- Бивентрикулярную — увеличен объём двух боковых желудочков. Окклюзия на уровне III желудочка.
- Тривентрикулярную — расширение охватывает три желудочка. Препятствие ликворооттоку расположено в области водопровода мозга.
- Тетравентрикулярную — дилатация всех желудочков. Ликвороциркуляция нарушена на уровне путей оттока из IV желудочка.

Симптомы окклюзионной гидроцефалии
Независимо от уровня ликворного блока, ведущими в клинической картине являются признаки интракраниальной гипертензии. Пациенты отмечают интенсивную головную боль (цефалгию), не связанную с приёмом пищи тошноту, рвоту, частые носовые кровотечения. Цефалгия обуславливает вынужденное положение головы, сопровождается ощущением давления на глазные яблоки. Дебют симптоматики происходит остро или подостро на фоне клиники основной патологии. В ряде случаев окклюзионная гидроцефалия является первым признаком заболевания.
Наиболее часто в условиях внутричерепной гипертензии страдает кохлеовестибулярный и зрительный нервы. Наблюдается вестибулярная атаксия, шум в ушах, понижение слуха, ухудшение остроты зрения, образование дефектов зрительных полей. Нередко отмечаются эпилептические пароксизмы. Сопутствующий очаговый дефицит зависит от причинной патологии, представлен парезами, параличами, расстройствами чувствительности, когнитивными нарушениями, мозжечковым синдромом. Ликворный блок на уровне третьего желудочка характеризуется диэнцефальной симптоматикой: лабильностью пульса, перепадами артериального давления, гипергидрозом, изменением цвета кожных покровов (бледность, гиперемия). Обтурация сильвиева водопровода сопровождается диссоциацией зрачковых реакций на свет, нарушением конвергенции, парезом взора. Блок в области четвёртого желудочка сопровождается мозжечковой атаксией.
Окклюзионная гидроцефалия у детей младшего возраста проявляется увеличением размеров черепа, расхождением черепных швов, расширением и выбуханием родничков. Для врождённой гидроцефалии типична увеличенная шарообразная голова, сравнительно маленькое туловище, глубокие глазницы, набухшие вены скальпа. Дети отстают в психофизическом развитии. Выраженность интеллектуальных нарушений зависит от возраста начала заболевания, длительности, степени выраженности внутричерепной гипертензии.
Осложнения
Окклюзионная гидроцефалия может сопровождаться остро возникающим практически полным блоком ликворооттока — окклюзионно-гидроцефальным кризом. Приступ протекает с резкой интенсивной цефалгией, многократной рвотой, гиперемией лица с последующей бледностью, глазодвигательными расстройствами, угнетением сознания, вегетативными симптомами. Наиболее грозным осложнением гидроцефалии выступает масс-эффект. Смещение мозговых тканей в направлении большого затылочного отверстия приводит к сдавлению продолговатого мозга, где локализуются жизненно важные центры регуляции сердечно-сосудистой, дыхательной деятельности. Нарушение функции последних обуславливает возможность летального исхода.
Диагностические мероприятия начинаются со сбора анамнеза: выяснения времени дебюта симптомов повышения интракраниального давления, характера их развития, наличия установленного диагноза заболевания головного мозга, факта травмы головы и т. п. Дальнейший алгоритм диагностики включает:
- Неврологический осмотр. Позволяет неврологу выявить объективные симптомы внутричерепной гипертензии, существующий очаговый дефицит. Полученные данные позволяют установить топический диагноз.
- Консультацию офтальмолога. Включает офтальмоскопию, периметрию, визометрию. Осмотр глазного дна определяет застойные диски зрительных нервов, при длительно текущей гидроцефалии — признаки атрофии зрительного нерва. Исследование полей зрения выявляет их сужение, выпадение отдельных участков, визометрия — падение остроты зрения.
- Эхоэнцефалографию. Благодаря простоте выполнения может служить скрининговым методом. Позволяет диагностировать повышенное интракраниальное давление, расширение желудочков, смещение церебральных тканей.
- Нейровизуализацию. У грудничков проводится путём нейросонографии через родничок, у остальных — при помощи МРТ головного мозга. Исследование даёт возможность диагностировать порок развития, установить локализацию ликворного блока, определить его причину. МСКТ, КТ головного мозга проводятся в сложных диагностических случаях в дополнение к МРТ, при наличии противопоказаний к МР-исследованиям.

КТ головного мозга. Окклюзионная гидроцефалия, обусловленная массивной внутримозговой гематомой. Стрелка – поджатый 3-й желудочек
Дифференцировать окклюзионную гидроцефалию необходимо от субарахноидального кровоизлияния, других форм гидроцефалии. Дифдиагностика также проводится среди возможных причин окклюзии. У детей первых месяцев жизни необходимо дифференцировать гидроцефалию от макрокрании, которая в основном носит семейный характер, не сопровождается симптомами гипертензии, отставанием развития.
Лечение окклюзионной гидроцефалии
Единственно эффективным методом лечения является нейрохирургический. Существует два пути купирования гидроцефалии: устранение обтурации ликворных трактов, формирование альтернативного пути оттока ликвора. В плановом порядке проводятся следующие виды операций:
- Коррекция аномалии ликворной системы. Не все пороки развития подлежат коррекции по причине высокой травматичности оперативных вмешательств. Наиболее распространена пластика сильвиева водопровода при наличии атрезии, спаек.
- Устранение блокирующего фактора. Хирургическое удаление гематомы, опухоли, кисты, обуславливающей блокировку ликвороциркуляции, является радикальным решением вопроса. Слишком травматично при большом размере образования.
- Шунтирующие операции. Осуществляется имплантация шунта, обеспечивающего отток цереброспинальной жидкости из желудочковой системы. Возможно вентрикулоперитонеальное, вентрикулоатриальное шунтирование. Невозможность выполнения стандартной операции выступает показанием к применению альтернативных методов: вентрикуло-плеврального, вентрикуло-уретрального шунтирования.
- Вентрикулоцистерностомия. Альтернативный ликвороотток создаётся путём эндоскопической перфорации дна III желудочка. В сравнении с шунтирующими вмешательствами метод менее травматичен, отсутствуют осложнения связанные с шунтом (синдром гипердренирования, обтурация шунта, шунтозависимость пациента). Осложнением является закрытие созданного отверстия, что служит показанием к проведению шунтирующей операции.
В условиях быстро нарастающей интракраниальной гипертензии с угрозой масс-эффекта нейрохирургами экстренно производится наружное вентрикулярное дренирование. Дренаж устанавливается в один из боковых желудочков. В последующем пациентам проводится одна из плановых операции.
Прогноз и профилактика
В связи с накоплением ликвора в желудочках, окклюзионная гидроцефалия характеризуется неуклонным прогрессированием интракраниальной гипертензии и без нейрохирургической помощи приводит к тяжёлым осложнениям, гибели пациента. Прогноз после хирургического лечения тесно связан с характером основного заболевания, наиболее серьёзен при злокачественных опухолях, тяжёлых церебральных аномалиях. Перенёсшие шунтирование пациенты становятся шунтзависимыми: нарушения функционирования шунта вызывают резкое ухудшение их состояния, требуют ургентного восстановления системы дренирования. Профилактические мероприятия включают меры предупреждения врождённых аномалии, черепно-мозговых травм, онкозаболеваний, своевременное лечение патологии церебральных сосудов, новообразований мозга, злокачественных опухолей иной локализации.
Гидроцефалия - методы диагностики, лечения по Европейским рекомендациям
Гидроцефалия — избыточное скопление цереброспинальной жидкости (ликвора) во всей желудочковой системе или ее отдельных частях с высоким давлением в данный момент или ранее (с предшествовавшим или текущим высоким давлением).
Увеличение объема цереброспинальной жидкости не является результатом атрофии или дисгенезии головного мозга.
- Сообщающаяся/несообщающаяся гидроцефалия: исторически эти определения связаны с методом введения контрастного вещества в систему желудочков. Гидроцефалия разделяется на два типа в соответствии с визуализацией контраста на уровне поясничного дурального мешка при люмбальной пункции. Этот термин по-прежнему полезен для отделения случаев с необходимостью эндоскопической тривентрикулостомии от случаев требующих вентиркулоперитонеального шунтирования.
- Гидроцефалия нормального давления: обычно используется для описания хронической гидроцефалии у взрослых, при которой внутричерепное давление находится в пределах нормы. Проявляется синдромом Hakim.
- Доброкачественная наружная гидроцефалия: проявляется увеличением субарахноидального пространства и ассоциируется с увеличением окружности головы. Это состояние наблюдается в течение нескольких первых месяцев жизни, как правило, у мальчиков, и регрессирует в течение 1-2 лет. Была выдвинута гипотеза, что данное состояние может быть связано с задержкой созревания арахноидальной оболочки. Состояние не является патологическим, лечение не требуется.
- Асимптомная гидроцефалия: состояние, при котором определяется бессимптомное увеличение желудочков.
- Гидроцефалия ex vacuo: неправильное определение. Церебральная атрофия приводит к образованию свободного пространства, которое пассивно заполняется ликвором.
а) Патофизиология гидроцефалии. Нормальная продукция цереброспинальной жидкости составляет 0,2-0,3 мл/мин (360-500 мл/день) (кривая распределения Гаусса, как для любого биологического параметра). Продукция ликвора — это активный процесс. Он не зависит от давления. Большая часть цереброспинальной жидкости продуцируется в хориоидном сплетении (70-90%); остальная из эпендимного слоя желудочков и эндотелия капилляров головного мозга.
Ток цереброспинальной жидкости идет от желудочковой системы в субарахноидальное пространство через отверстия четвертого желудочка. Спинномозговая жидкость затем абсорбируется субарахноидальными ворсинками в венозную систему (в основном на уровне синусов твердой мозговой оболочки). Поглощение является пассивным явлением. Скорость резорбции ликвора зависит от давления ликвора.
Общий объем ЦСЖ у взрослых составляет 120 мл; нормальный объем боковых и третьего желудочка 25 мл. Объемы ЦСЖ у детей являются переменными величинами, примерно 50 мл у новорожденных.
Внутричерепное давление (ВЧД) (определяется как гидростатическое давление ликвора) является результатом баланса, который существует между выработкой ЦСЖ, сопротивлением току и реабсорбцией ликвора в венозную систему. Оно изменяется в зависимости от вазореактивности в артериальной системе (например, увеличивается во время активной деятельности и быстрого сна) и венозного давления (например, уменьшается в вертикальном положении).
Гидроцефалия может возникать при трех различных условиях:
1. Повышенная устойчивость к циркуляции спинномозговой жидкости на любом этапе зависит от ее секреции сосудистым сплетением до реабсорбции ворсинками паутинной оболочки (более чем в 95% случаев).
2. Повышенная секреция ЦСЖ у пациентов с нормальным сопротивлением.
3. Повышение венозного давления в синусах (повышение обратного давления) может привести к гидроцефалии или псевдоопухоли головного мозга.
б) Этиология. Гидроцефалия является весьма гетерогенной группой состояний, которые имеют мало общего, помимо расширения цереброспинального пространства. Этиологическая диагностика гидроцефалии весьма существенна, так как прогноз во многом зависит от причинно-следственного механизма. Тем не менее, в 14% случаев причина неизвестна.
Следующие этиологические факторы характерны для младенцев, детей и взрослых:
1. Врожденные:
а) Генетические (например, Х-сцепленная гидроцефалия).
б) Инфекция (например, токсоплазмоз).
в) Пороки развития (например, Денди-Уокера, Киари, стеноз сильвиевого водопровода).
2. Приобретенные:
а) Повышенная устойчивость к циркуляции спинномозговой жидкости.
— Инфекции (например, менингит).
— Внутрижелудочковое кровоизлияние (ВЖК) (например, характерное для недоношенных, САК).
— Опухоли, вызывающие обструкцию тока ЦСЖ или повышение содержания белка в спинномозговой жидкости.
б) Увеличение выработки ЦСЖ (например, опухоли сосудистого сплетения).
в) Повышенное давление в венозном синусе (например, тромбоз венозного синуса, ахондроплазия).
г) Ятрогенные (например, избыток витамина А, операции на задней черепной ямке).
е) Идиопатические.
Причины хронической гидроцефалии взрослых включают главным образом субарахноидальные кровоизлияния (САК), травмы головы и менингит. Многие случаи—идиопатические.
в) Эпидемиология гидроцефалии. Частота врожденной или рано проявляющейся гидроцефалии составляет 3/1000 рождений. Частота приобретенной гидроцефалии неясна, хотя, например, она возникает примерно у 10% пациентов после САК. Нет половых различий, за исключением Х-сцепленной гидроцефалии.
Было обнаружено бимодальное распределение возраста, с первым пиком в младенческом возрасте (0-10 лет), гидроцефалия связана с врожденной патологией и патологией раннего детства, со вторым пиком в зрелом возрасте (40-70 лет), связанным с вторичной гидроцефалией и хронической гидроцефалией у взрослых.
д) Симптомы и клиника гидроцефалии. Клинические симптомы в зависимости от возраста включают:
- Младенцы: плохой аппетит, рвота, раздражительность, увеличение окружности головы, задержка в развитии.
- Дети: головная боль, рвота, нарушение зрения, боли в шее, плохая успеваемость в школе, неустойчивая походка, сонливость; может быть бессимптомной.
- Взрослые: головная боль, рвота, нарушение зрения, боли в шее, сонливость, снижение когнитивных функций, неустойчивость походки, недержание мочи.
Классическая триада Хакима для хронической гидроцефалии у взрослых включает когнитивные нарушения, неустойчивость походки и недержание мочи.
Клинические признаки в зависимости от возраста включают:
- Младенцы: увеличение окружности головы, напряжение переднего родничка, расширение вен скальпа, расхождение швов, симптом заходящего солнца, повышение тонуса конечностей - Дети: отек диска зрительного нерва, ограничение взора вверх, паралич VI пары, симптом Макъюина (симптом «треснувшего горшка» при перкуссии черепа), неустойчивость походки, снижение уровня сознания, эпилептические припадки, синдром качающейся головы куклы.
- Взрослые: отек диска зрительного нерва, ограничение взора вверх, паралич VI пары, неустойчивая походка, оживление рефлексов с нижних конечностей, снижение уровня сознания.
При хронической гидроцефалии взрослых часто возникают трудности при ходьбе, начиная от легкого дисбаланса и неспособности стоять или ходить в дополнение к недержанию мочи и нарушению когнитивных функций.
е) Обследование при гидроцефалии:
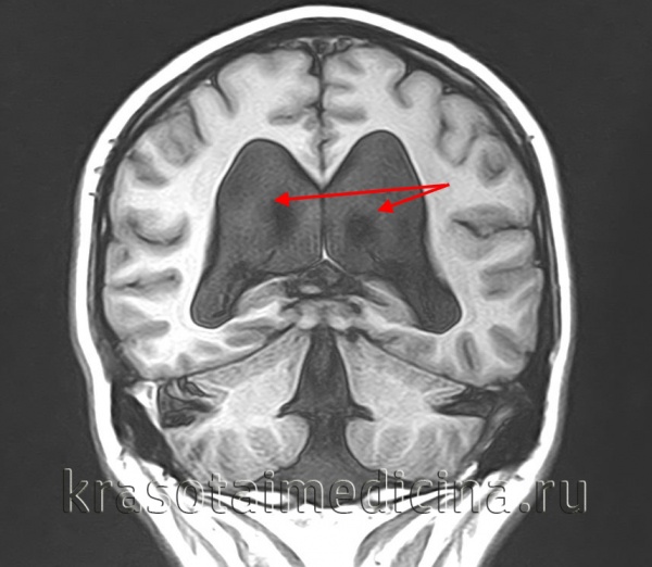
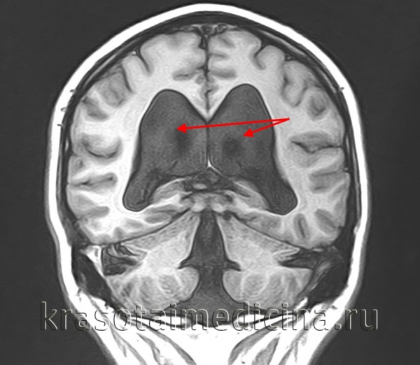
1. Нейровизуализация: УЗИ, КТ и МРТ для оценки размеров желудочков, установления этиологии или типа гидроцефалии и исключения других патологических изменений (например, Киари, опухоли IV желудочка, тромбоза венозного синуса)
а) Острая гидроцефалия:
— Оба височных рога более 2 мм без визуализации сильвиевой или межполушарной щели
— Ширина лобного рога/бипариетальная ширина > 30%
— Трансэпендимарная абсорбция ЦСЖ.
б) Хроническая гидроцефалия:
— Деструкция турецкого седла дном III желудочка.
— Макрокрания.
— Атрофия мозолистого тела.
2. Лабораторные тесты имеют ограниченное значение, за исключением:
а) подтверждения при Х-сцепленной гидроцефалии и при генетическом консультировании
б) определения инфекции и содержания белка в спинномозговой жидкости после перенесенной инфекции и кровоизлияния.
ж) Лечение гидроцефалии. Хирургическое лечение является методом выбора. Могут быть использованы повторные люмбальные пункции:
1. У новорожденных с внутрижелудочковым кровоизлиянием при спонтанном регрессе гидроцефалии.
2. При хронической гидроцефалии взрослых для уточнения диагноза и временного уменьшения клинического ухудшения.
1. Хирургическое лечение. Хирургическое лечение гидроцефалии претерпело радикальное изменение с развитием эндоскопической техники. Такая методика может быть также показана в случае недостаточности шунта. В некоторых случаях могут быть использованы оба метода (например, при многокамерной гидроцефалии после перенесенного менингита).
1. Альтернативы шунтов:
а) Эндоскопическая тривентрикулостомия: используется при обструктивной гидроцефалии, при которой уровень обструкции располагается дистальнее III желудочка (например, опухоли шишковидной области, стеноз водопровода)
б) Акведуктопластика: эндоскопические или открытые разрушения обструкции в водопроводе (например, мембраны) и установка стента; позволяет обойти препятствие
в) Плексотомия или коагуляция хориоид-ного сплетения неэффективна в качестве единственного метода лечения, за исключением лечения гипертрофии сосудистого сплетения
2. Шунтирование:
а) Вентрикуло-перитонеальное: наиболее распространенный вариант:
б) Вентрикуло-атриальное проводится при значительных изменениях в брюшной полости (например, перенесенный перитонит) или у пациентов с гидроцефалией, вторичной по отношению к оптикохиазмальной или гипоталамической опухоли
в) Люмбо-перитонеальное: иногда используется при сообщающейся гидроцефалии
г) По Торкильдсену: используется редко; шунтирование ЦСЖ из желудочков в цистерны
д) Вентрикуло-плевральное: используется в качестве последнего средства из-за риска развития плеврального выпота
е) Вентрикуло-биллиарное: используется в качестве последнего средства в случаях выхода из строя вентрикуло-плеврального и вентрикуло-предсердного шунта
ж) Вентрикуло-яремное: как указано выше
з) Экстратекальное может быть использовано временно.
2. Клапаны шунтирующей системы. Существует большой выбор клапанов. Могут быть использованы нагнетательные или регулируемые потоком клапаны. Дополнительные соображения связаны с тем, следует ли использовать антисифоные устройства или внешне регулируемые клапаны. Все вентрикуло-перитонеальные шунты в 25% случаев выходят из строя через шесть месяцев, что связанно с хирургическими манипуляциями и проксимальной окклюзией.
Большинство вентрикуло-перитонеальных шунтов имеют 40-50% вероятность выхода из строя за пять лет. Единственным исключением является клапан Orbis-Sigma (регулируемый потоком), который имеет заявленную 75% вероятность выживания в течение пяти лет.
3. Медикаментозное лечение. Следующие методы медикаментозного лечения иногда используются в качестве выжидательной меры (например, у детей с ВЖК, псевдоопухолью головного мозга):
1. Ацетазоламид: ингибитор карбоангидразы, снижает секрецию ЦСЖ сосудистым сплетением и может привести к гипокалиемии и гиперхлоремическому ацидозу
2. Фуросемид: петлевой диуретик; снижает поглощение натрия в головном мозге и увеличивает экскрецию воды почками.
з) Осложнения операции по поводу гидроцефалии. Возможны следующие осложнения:
1. Прогрессирование гидроцефалии:
а) Нарушения зрения в связи с атрофией зрительного нерва при хроническом отеке диска зрительного нерва, компрессии хиазмы вследствие расширения III желудочка, транстенториальное грыжеобразоваиие с компрессией задней мозговой артерии;
б) Когнитивная дисфункция
в) Недержание мочи
г) Нарушение походки
2. Хирургические:
а) Эндоскопическая тривентрикулостомия:
— Редкие, но опасные для жизни интраоперационные осложнения.
— Неконтролируемая гидроцефалия в раннем периоде (зависит главным образом от возраста и этиологии).
— Поздние осложнения; возможна угроза жизни в случае острого рецидива гидроцефалии (вторичное закрытие стомы).
б) Осложнения шунтирования:
— Инфекции: 2,5% в лучших наблюдениях; выше в большинстве случаев.
— Дисфункция шунта: обструкция или нарушение целостности системы; дисфункции 30% в течение одного года, 90% отказов за 10 лет (для большинства клапанов).
— Субдуральные гематомы: при быстром оттоке ликвора.
Менее распространенные осложнения включают судороги, пролежни кожи и внутренних органов от шунта, сепсис, шунт-нефрит и легочное сердце от вентрикуло-предсердного шунта. Возможен хронический избыточный дренаж шунта и синдром щелевидных желудочков, особенно у пациентов, шунтируемых в молодом возрасте. Эти осложнения могут быть уменьшены при использовании поток-конгролируемого клапана.
и) Прогноз. Прогноз зависит от причины гидроцефалии. Гидроцефалия новорожденных (врожденная или вторичная фетальная гидроцефалия) имеет плохой прогноз с 60% выживаемости в течение 10 лет, и менее 20% имеют нормальный IQ. Среди детей, перенесших ВЖК, в 50% случаев потребуется шунтирование. У 20% детей с опухолью задней черепной ямки потребуется постоянное шунтирование. У 60% взрослых при хронической гидроцефалии происходит улучшение походки, если нарушения походки были начальным и преобладающим симптомом.
к) Постоянный уход при гидроцефалии. Текущий уход включает в себя обучение пациентов распознаванию симптомов и признаков дисфункции шунта/инфекции. Обучение детей проводится постоянно. Рекомендуются регулярные клинические осмотры (в том числе нейрохирургические, офтальмологические) и томография.
а - КТ: многокамерная гидроцефалия с признаками трансэпендимального отека.
б - Сагиттальное Т2-взвешенное изображение: стеноз водопровода с тривентрикулярной дилатацией. А, Б. КТ (А): внутрижелудочковое кровоизлияние с дилатацией желудочка. МРТ в Т2-режиме.
(Б): подтверждение геморрагической этиологии. а - Окклюзионная гидроцефалия, вызванная обширной опухолью задней черепной ямки.
Длительное развитие заболевания привело к истончению турецкого седла и коры.
б - Внутриматочная МРТ: дилатация желудочков плода. Внутриматочная МРТ: дилатация желудочков плода.
Читайте также:
