КТ, МРТ, ПЭТ при добавочной селезенке
Добавил пользователь Владимир З. Обновлено: 31.01.2026
а) Визуализация:
1. Общая характеристика:
о Метастазы в селезенке:
- Относительно редкая находка; наблюдается в 7% случаев во время вскрытия
- Чаще всего вторичное поражение селезенки происходит гематогенным путем через селезеночную артерию, реже-ретроградно через селезеночную вену (при портальной гипертензии) и лимфогенным путем
- Чаще всего при наличии метастазов в селезенке первичная опухоль обнаруживается в молочной железе (21 %), легком (18%), яичнике (8%), желудке (7%), предстательной железе (6%); меланома (6%):
Частота метастазирования в селезенку различных злокачественных опухолей: меланома (34%), рак молочной железы (12%), рак легкого (9%)
- Возможна прямая инвазия в селезенку рака желудка, ободочной кишки, хвоста поджелудочной железы, левой почки, нейробластомы или забрюшинной саркомы
- Вторичные очаги на серозной поверхности селезенки характерны для рака яичника, ЖКТ, поджелудочной железы
о Лимфома селезенки:
- Самая частая злокачественная опухоль селезенки:
Лимфома Ходжкина или неходжкинская лимфома
- Первичная лимфома встречается значительно реже, чем вторичная:
Составляет 1 -2 всех случаев лимфомы
Первичная лимфома селезенки чаще всего представлена неходжкинским вариантом (В-клеточная/диффуз-ная В-крупноклеточная лимфома)
Чаще обнаруживается у более молодых пациентов по сравнению с вторичной лимфомой
- Поражение селезенки при лимфоме обычно носит вторичный характер (и сопутствует лимфаденопатии или экстранодальной генерализованной диссеминации опухоли):
Первичное поражение селезенки наблюдается у 1/3 пациентов с болезнью Ходжкина и у 30-40% пациентов с неходжкинской лимфомой
Подразумевается, что селезенка является «нодальным» органом при болезни Ходжкина, и «эктранодальным» -при неходжкинской лимфоме
Поражение селезенки означает повышение стадии в случаях болезни Ходжкина, поскольку селезенка считается «нодальным» органом, в то время как при неходжкинской лимфоме это менее вероятно, поскольку вовлечение селезенки в этом случае происходит на фоне генерализованного заболевания
- Лимфома, обусловленная СПИД:
Гистологические подтипы: мелкоклеточная лимфома с нерассеченными ядрами (лимфома Беркитта и неберкиттовская лимфома)
Поражение селезенки при СПИД чаще протекает в виде неходжкинской лимфомы, чем лимфомы Ходжкина

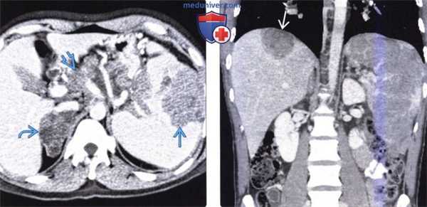
(Слева) На аксиальной КТ с контрастным усилением у пациента с неходжкинской лимфомой определяется выраженное увеличение селезенки с наличием опухолевых очагов с неоднородной структурой, слабо накапливающих контраст. Обратите внимание на лимфоидную инфильтрацию надпочечника и диффузное поражение внутрибрюшных лимфоузлов.
(Справа) На корональной КТ с контрастным усилением у пациента с меланомой визуализируются множественные метастазы, практически полностью замещающие нормальную ткань селезенки, а также метастаз в паренхиме печени под диафрагмой.
2. КТ при метастазе в селезенку и лимфоме селезенки:
• Метастазы в селезенке:
о Плотность очагов варьирует в зависимости от первичной опухоли; в то же время они чаще имеют низкую плотность и солидную структуру:
- Метастазы некоторых опухолей (меланома, аденокарцинома молочной железы, яичника и эндометрия) могут выглядеть кистозными и иметь равномерно низкую плотность, что позволяет ошибочно принять их за кисту или абсцесс
- Метастазы могут быть множественными (в 60% случаев) либо единичными (в 30%)
- Большинство вторичных очагов селезенки не кальцифицируются, за исключением метастазов муцинозного рака толстой кишки
о Практически во всех случаях обнаруживаются признаки генерализованного метастатического поражения, изолированное поражение селезенки встречается крайне редко
• Лимфома селезенки:
о Возможны несколько групп лучевых признаков:
- Равномерное увеличение селезенки при отсутствии дискретного объемного образования:
Патологические изменения селезенки либо не определяются вовсе, либо она выглядит диффузно гиподенсной и плохо накапливает контраст (с отсутствием типичного «муарового узора» в артериальную фазу)
Для лимфомы Ходжкина характерно преимущественно инфильтративное поражение селезенки
- Единичное доминантное образование
- Мультифокальное поражение с наличием множественных дискретных очагов размером 1-10 см:
Множественные очаги больше типичны для СПИД-ассоциированной лимфомы
- Милиарное поражение селезенки с наличием в ее паренхиме многочисленных мелких узелков размером меньше 5 мм
о Пораженные участки селезенки обычно выглядят гиподенсными, слабо усиливающимися на КТ с внутривенным контрастированием, и относительно однородными:
- Редко (обычно после лечения) во вторичных очагах обнаруживаются изменения в виде некроза или кистозной трансформации
- До лечения в структуре метастазов практически никогда не обнаруживаются обызвествления
- Спленомегалия при отсутствии иных изменений не позволяет сделать заключение о поражении селезенки:
В 30% случаев у пациентов с лимфомой селезенка нормального размера поражена опухолью; спленомегалия может обнаруживаться при отсутствии опухолевой инфильтрации селезенки
Крайняя степень спленомегалии часто имеет место в случаях лимфомы маргинальной зоны
- Внутрибрюшная или забрюшинная лимфаденопатия:
Увеличение лимфоузлов в воротах селезенки очень часто наблюдается при неходжкинской лимфоме (в 59% случаев), но является нетипичным для лимфомы Ходжкина
3. МРТ при метастазе в селезенку и лимфоме селезенки:
• Метастазы в селезенке:
о Т1 ВИ: изо- или гипоинтенсивный сигнал; гиперинтенсивный сигнал от метастазов меланомы, содержащих меланин о Т1 В: гиперинтенсивный сигнал
о Т1 с контрастным усилением: выраженность контрастного усиления зависит от первичной опухоли, тем не менее, большинство метастазов слабо накапливают контраст
• Лимфома селезенки:
о Участки опухолевого поражения селезенки при лимфоме слегка гипоинтенсивны на Т1 ВИ и умеренно гиперинтенсивны на Т2 ВИ:
- При использовании традиционных последовательностей Т1 и Т2 без контрастного усиления чувствительность метода в обнаружении лимфомы в значительной степени снижается, поскольку время релаксации Т1 и Т2 для ткани селезенки и очагов лимфомы одинаково
о По сравнению с неизмененной тканью селезенки лимфома слабо накапливает контраст на Т1 ВИ с контрастным усилением и обычно лучше визуализируется в венозную и отсроченную фазу
4. УЗИ при метастазе в селезенку и лимфоме селезенки:
• Серошкальное УЗИ:
о Метастазы в селезенке:
- Вариабельной эхогенности (обычно гипоэхогенны):
Очаги в виде «мишени», с наличием «гало»
- Эхогенные очаги (редкие): плазмоцитома, гепатома, меланома; рак предстательной железы, яичника
о Лимфома селезенки:
- Диффузные или очаговые гипоэхогенные образования (в виде «мишени»)
- Дискретные образования могут быть не заметными, вследствие чего селезенка выглядит однородной или диффузно гипоэхогенной
5. Радионуклидная диагностика метастаза в селезенку и лимфомы селезенки:
• ПЭТ/КТ:
о Чувствительность и специфичность ПЭТ/КТ в диагностике лимфомы селезенки превышает 95%
о Изменения при ПЭТ/КТ могут заключаться в диффузном повышении захвата ФДГтканью селезенки (выраженном в большей степени по сравнению с паренхимой печени и костным мозгом) либо наличием дискретного образования, интенсивного захватывающего ФДГ
о Повышенный захват ФДГ тканью селезенки возможен в случаях использования препаратов, стимулирующих кроветворение или в ситуациях, когда исследование выполняется сразу же после лечения
о Лимфомы высокой степени злокачественности (Беркитта, диффузная В-клеточная лимфома, анапластическая лимфома, фолликулярная лимфома III стадии, лимфома Ходжкина с очаговым склерозом) имеют тенденцию к повышенному захвату ФДГ по сравнению с лимфомами низкой степени злокачественности
6. Рекомендации по визуализации:
• Лучший метод диагностики:
о КТ с контрастным усилением

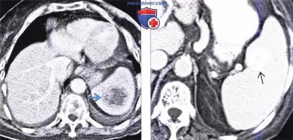
(Слева) На аксиальной КТ с контрастным усилением определяется большое объемное образование низкой плотности, которое было расценено как метастаз меланомы. Метастазы меланомы, как и некоторых других опухолей, могут выглядеть кистозными и ошибочно приниматься за абсцесс селезенки.
(Справа) На аксиальной КТ с контрастным усилением у пациентки, страдающей раком яичника с метастатической диссеминацией, определяются ограниченные скопления асцитической жидкости или многокамерные кистозные метастазы по брюшине, которые деформируют контур печени и селезенки. Визуализируется также несколько метастазов в паренхиме селезенки.
в) Дифференциальная диагностика метастаза в селезенку и лимфомы селезенки:
1. Первичные опухоли селезенки:
• Группа первичных новообразований селезенки разнообразна и многочисленна, включает в себя гемангиому, лимфангиому, гамартому и другие опухоли, большая часть которых не имеет специфических лучевых признаков
• Степень подозрительности (а также нуждаемости в биопсии или спленэктомии) зависит от клинических данных и лучевых признаков, тем не менее, большинство первичных опухолей селезенки являются доброкачественными и обнаруживаются случайно
2. Инфаркт селезенки:
• Периферически расположенный гиподенсный участок клиновидной формы, не напоминающий опухоль
3. Инфекционные поражения и абсцесс селезенки:
• Абсцесс может быть пиогеннным, паразитарным, фунгальным (микроабсцессы) или туберкулезным
• Пиогенный абсцесс обычно выглядит как гиподенсный очаг с толстой стенкой, неравномерно накапливающей контраст
• Фунгальные абсцессы (вызываемые, например, грибами рода Candida, Aspergillus, Criptococcus) выглядят как множественные мелкие гиподенсные очаги
4. Саркоидоз:
• Гепатоспленомегалия в сочетании с многочисленными гиподенсными узелками различного размера в печени и селезенке
• Часто сочетается с увеличением верхних внутрибрюшных лимфоузлов
• Характерные изменения легочного интерстиция, а также увеличение лимофузлов средостения и корней легких - наиболее типичные признаки, позволяющие сделать правильное заключение
5. Артефакты:
• Неравномерное контрастное усиление селезенки («муаровый узор») в артериальную фазу теоретически может имитировать опухоль

(Слева) На аксиальной КТ с контрастным усилением у пациентки, страдающей раком молочной железы, определяется метастаз в селезенке. Выявлены также несколько метастазов в печени (не продемонстрированы). Согласно результатам большинства исследований, рак молочной железы чаще всего обусловливает вторичное поражение селезенки.
(Справа) На аксиальной КТ с контрастным усилением определяется гиперваскулярное объемное образование в селезенке, которое было верифицировано как метастаз карциноидной опухоли желудка. Также опухоли селезенки необходимо дифференцировать с новообразованиями хвоста поджелудочной железы или других органов, располагающихся в поддиафрагмальной области слева.
г) Патология. Общая характеристика:
• Этиология:
о Метастазы в селезенке могут быть обусловлены множественными различными первичными опухолями:
- Обычно обнаруживаются у пациентов с генерализованным метастатическим поражением
- Изолированное вторичное поражение селезенки при отсутствии метастазов в других органах происходит крайне редко:
Чаще всего изолированные метастазы в селезенке обусловлены первичными опухолями женских половых органов
о Лимфома селезенки:
- Лимфома Ходжкина либо неходжкинская лимфома
- Первичная лимфома ограничена селезенкой и обычно является неходжкинской, встречается намного реже, чем вторичное поражение селезенки при лимфоме иной локализации
д) Клинические особенности:
1. Проявления метастаза в селезенку и лимфомы селезенки:
• Наиболее частые признаки/симптомы:
о Метастазы в селезенке:
- У большинства пациентов не приводят к появлению какой-либо симптоматики
- Боль в верхних отделах живота слева, снижение веса, наличие пальпируемого объемного образования, спленомегалия
- Острая боль в животе может быть следствием инфаркта селезенки в результате опухолевой эмболии (либо тромбоза селезеночной вены), разрыва селезенки при росте опухоли (очень редко)
о Лимфома селезенки:
- Повышение температуры тела, ночная потливость, снижение веса, недомогание, боль вверху живота слева, наличие пальпируемого объемного образования, спленомегалия
2. Демография:
• Возраст:
о Первичная лимфома селезенки встречается преимущественно в более «молодой» возрастной группе, чем вторичная
о Метастазы в селезенке: в зависимости от первичной опухоли
• Пол:
о Лимфома Ходжкина: М:Ж = 4:1 (младшая возрастная группа), М:Ж = 2:1 (старшая возрастная группа)
о Неходжкинская лимфома: М:Ж = 1,4:1
3. Течение и прогноз:
• Прогноз:
о При метастазах в селезенку: крайне неблагоприятный, поскольку вторичное поражение селезенки обычно происходит на фоне распространенной метастатической диссеминации
о Лимфома селезенки: на ранних стадиях прогноз благоприятный, на поздних неблагоприятный
4. Лечение:
• Химиотерапия при системном заболевании
• Спленэктомия в случае изолированного поражения селезенки
е) Диагностическая памятка. Советы по интерпретации изображений:
• Размер селезенки не является достоверным критерием наличия или отсутствия первичной опухоли (лимфомы) или ее (селезенки) вторичного поражения
• Изолированное поражение селезенки без генерализованной метастатической диссеминации, скорее всего, не является вторичным
ж) Список использованной литературы:
1. Thipphavong S et al: Nonneoplastic, benign, and malignant splenic diseases: cross-sectional imaging findings and rare disease entities. AJR Am J Roentgenol. 203(2)315-22, 2014
2. Caremani M et al: Focal splenic lesions: US findings. J Ultrasound. 16(2):65-74, 2013
3. Karlo CA et al: Computed tomography of the spleen: howto interpret the hypodense lesion. Insights Imaging. 4(1):65-76, 2013
КТ, МРТ, ПЭТ при добавочной селезенке
Лучевая диагностика асплении и полисплении
а) Терминология:
• Сложные врожденные синдромы, проявляющиеся отсутствием (аспления) селезенки либо наличием множественных селезенок (полиспления) наряду с другими аномалиями
б) Визуализация асплении и полисплении:
• Синдром асплении: правый изомеризм (или двухсторонняя правосторонность):
о Практически у всех пациентов селезенка отсутствует
о Врожденными заболеваниями сердца страдают практически 100% пациентов
о В обоих легких насчитывается три доли
о У большинства пациентов наблюдается мальротация
о Аорта и нижняя полая вена (НПВ) часто находятся с одной стороны (справа)
• Синдром полисплении: левый изомеризм (или двухсторонняя левосторонность):
о При синдроме полисплении обычно обнаруживается несколько селезенок (однако селезенка может быть и единственной)
о Выше вероятность сложных аномалий сердца (хотя и не настолько, как при синдроме асплении)
о «Обрыв» нижней полой вены, переходящей в непарную вену
о В обоих легких насчитывается по две доли
о Поджелудочная железа уменьшена в размерах («усечена») за счет агенезии задних отделов:
- ↑ заболеваемости сахарным диабетом и панкреатитом
о У большинства пациентов наблюдается нарушение поворота кишечника
о Печень часто находится по средней линии, также могут обнаруживаться патологические изменения билиарного тракта
о Аорта обычно располагается слева от средней линии
(Слева) На корональной КТ с контрастным усилением у пациентки с синдромом полисплении визуализируется множественная селезенка в верхних отделах слева. Типичным проявлением синдрома полисплении является левосторонняя локализация множественных селезенок, однако они могут располагаться и с правой стороны.
(Справа) На аксиальной КТ с контрастом у этой же пациентки определяется выраженное расширение непарной вены. (Слева) На аксиальной КТ у этой же пациентки снова определяется множественность селезенки и расширение непарной вены, лежащей справа от аорты. Переход нижней полой вены (НПВ) в непарную вену является очень часто встречающейся аномалией при синдроме полисплении.
(Справа) На аксиальной КТ с контрастом у этой же пациентки определяется мальротация кишечника: тонкая кишка расположена в брюшной полости справа, а толстая кишка — целиком — слева. Мальротация кишечника часто встречается как при синдроме асплении, так и полисплении.
в) Дифференциальная диагностика:
• Спленоз
• Добавочная селезенка
• Состояние после спленэктомии
г) Клинические особенности:
• Синдром асплении: проявляется в период новорожденности и в младенческом возрасте в связи с наличием заболеваний сердца, характеризуется неблагоприятным прогнозом и смертностью в раннем возрасте:
о Из-за отсутствия селезенки повышается риск развития сепсиса
• Синдром полисплении: характеризуется более благоприятным прогнозом у детей и у взрослых вследствие меньшей частоты встречаемости патологических изменений сердца
а) Терминология:
1. Синонимы:
• Добавочная долька селезенки, спленула
2. Определение:
• Доброкачественная врожденная эктопия ткани селезенки
б) Визуализация:
1. Общая характеристика:
• Лучший диагностический критерий:
о Небольшой округлый узел с четкими контурами в верхних отделах живота слева, обладающий параметрами контрастного усиления, аналогичными основной селезенке
• Локализация:
о Обычно - ворота селезенки/область возле ворот или связки:
- В 20% случаев дополнительная селезенка располагается в хвосте поджелудочной железы либо возле него
- Часто в верхних отделах брюшной полости слева над почечной ножкой
- Редко наблюдается под диафрагмой, в параренальной области и около желудка
о Как правило, добавочная селезенка является единичной:
- 1 добавочная селезенка (88%), 2 (9%), > 2 (3%)
- Множественные добавочные дольки селезенки обычно группируются в одной области
• Размер: обычно варьирует от 1 мм до 2,5 см (иногда более)

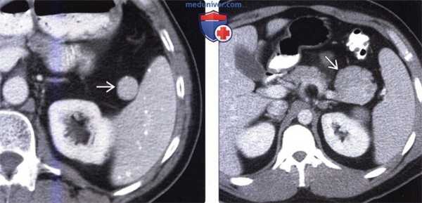
(Слева) На аксиальной КТ с контрастированием визуализируется небольшая добавочная селезенка В округлой формы, расположенная около ворот основной селезенки. Обратите внимание на включения кальция, обусловленные гистоплазмозом, в основной и добавочной селезенке - край -не характерные изменения, которые не требуют дообследования.
(Справа) На аксиальной КТ с контрастным усилением определяется большое объемное образование, тесно прилежащее к хвосту поджелудочной железы и воротам селезенки. Образование было расценено как нейроэндокринная опухоль, при операции было установлено, что образование является добавочной селезенкой (обратите внимание на то, что ее плотность идентична плотности селезенки).
2. КТ при добавочной селезенке:
• Параметры контрастного усиления аналогичны нормальной селезенке:
о Добавочная селезенка имеет одинаковую плотность с основной селезенкой при исследованиях без контрастного усиления
о Характеризуется неоднородным повышением плотности в артериальной фазе контрастирования
о Накопление контраста в венозную и отсроченную фазу становится равномерным
• Чаще всего добавочная селезенка располагается около ворот основной селезенки или рядом со связками
• Вторая наиболее частая локализация - хвост ПЖ:
о Обычно на расстоянии о Чаще всего вдоль задней поверхности поджелудочной железы о Не полностью окружена паренхимой поджелудочной железы
• Редко возникает перекрут добавочной селезенки, что обусловливает появление боли в животе:
о Объемное образование, не накапливающее контраст, окруженное зоной кровоизлияния
о «Симптом водоворота» (скрученная сосудистая ножка к добавочной дольке)
3. МРТ при добавочной селезенке:
• На Т1 ВИ добавочные дольки гипоинтенсивны, на Т2 ВИ-гиперинтенсивны:
о Внешний вид долек аналогичен основной селезенке во всех последовательностях
• На DWI дольки изоинтенсивны основной селезенке с аналогичным измеряемым коэффициентом диффузии (ADC):
о Нейроэндокринные опухоли поджелудочной железы обычно гиперинтенсивны на DWI и имеют более низкий коэффициент ADC
• Контрастное вещество на основе частиц оксида железа накапливается в ткани селезенки, но не в опухоли
4. Радионуклидная диагностика добавочной селезенки:
• Сканирование с коллоидной серой, меченой Тс-99m или с поврежденными нагреванием эритроцитами, мечеными Тс-99m:
о Функциональное накопление радиофармпрепарата в добавочной селезенке позволяет отличить ее от новообразования
о Сканирование с поврежденными нагреванием эритроцитами, мечеными Тс-99m, является предпочтительным в связи с большей специфичностью и более высокой контрастностью «мишени» по отношению к фону
• ПЭТ/КТ:
о Образование, активно захватывающее ФДГ, может имитировать опухоль
5. Рекомендации по визуализации:
• Лучший метод диагностики:
о Многофазная КТ с контрастным усилением, дополняемая сцинтиграфией с поврежденными нагреванием эритроцитами, мечеными технецием-99m, в спорных случаях

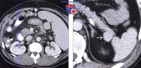
(Слева) На аксиальной КТ с контрастированием, выполненной пациенту с циррозом печени, визуализируется увеличенная (вследствие портальной гипертензии) селезенка. Обратите внимание на большую добавочную селезенку, а также венозные коллатерали. Добавочная селезенка может увеличиваться в размерах аналогично основной.
(Справа) На аксиальной КТ с контрастным усилением определяется гиперваскулярное образование в области хвоста поджелудочной железы, напоминающее островковоклеточную опухоль. Образования в области ворот селезенки могут возникать в хвосте поджелудочной железы, в паренхиме селезенки, либо поражать эти органы вторично.
в) Дифференциальная диагностика добавочной селезенки:
1. Спленоз:
• Обычно является результатом травмы, при этом ткань поврежденной селезенки может распространяться во все отделы живота, таза, грудной клетки
2. Полиспления:
• Врожденное состояние, характеризующееся наличием небольших множественных селезенок, двухсторонней левосторонностью внутренних органов и аномалиями сердечно-сосудистой системы
3. Метастазы по брюшине и лимфома:
• Вторичные очаги в сальнике, брюшине
4. Объемные образования внутренних органов:
• Добавочная долька селезенки чаще всего имитирует нейроэндокринную опухоль поджелудочной железы
• Может имитировать опухоль надпочечника, желудка или почки
5. Аневризма или псевдоаневризма селезеночной артерии:
• Равномерно усиливается в артериальную фазу контрастирования
г) Патология:
1. Общая характеристика:
• Этиология:
о Врожденное нарушения слияния некоторых зачатков селезенки в дорсальном мезогастрии
2. Макроскопические и хирургические особенности:
• Дополнительная селезенка никак структурно не изменена
1. Проявления добавочной селезенки:
• Наиболее частые признаки/симптомы:
о В подавляющем большинстве случаев течение бессимптомное
• Другие признаки/симптомы:
о Заворот, разрыв либо кровотечение (крайне редко)
о Рецидив заболевания крови после спленэктомии
2. Демография:
• Эпидемиология:
о Частота встречаемости: в 10-30% вскрытий
3. Лечение:
• При отсутствии осложнений, которые возникают крайне редко, никакого лечения, в т.ч. интервенционных вмешательств, не требуется
• Резекция только при осложненном течении, рецидиве лимфомы или гиперспленизме
е) Диагностическая памятка. Следует учесть:
• Добавочная селезенка встречается часто и может быть ошибочно принята за опухоль
ж) Список использованной литературы:
1. Coquia SF et al: Intrapancreatic accessory spleen: possibilities of computed tomography in differentiation from nonfunctioning pancreatic neuroendocrine tumor. J Comput Assist Tomogr. ePub, 2014
Добавочная доля селезенки
Добавочная доля селезенки — это внеселезеночное скопление лиенальной ткани, которое имеет собственное кровоснабжение, иннервацию, капсулу и серозную оболочку. Обычно протекает бессимптомно. При больших размерах, внутриорганной локализации, усилении функциональной активности проявляется диспепсическими расстройствами, болевым синдромом, пальпируемыми объемными образованиями. Диагностируется с помощью сцинтиграфии селезенки, ангиографии, УЗИ органов брюшной полости, диагностической лапароскопии. При наличии клинической симптоматики дополнительные доли подлежат хирургическому удалению.
МКБ-10


Общие сведения
Добавочная селезенка — один из частых врожденных пороков развития органа, выявляемый у 11-16% пациентов, проходящих исследования по поводу заболеваний брюшной полости, и в 10-30% случаев аутопсий. Обычно дополнительные доли имеют размеры от 4-5 до 25 мм, однако известны примеры выявления узлов до 10 см. У 63% обследуемых определяется одна добавочная селезенка, у 20% — две, у 17% — от трех и более. Максимальное известное количество внеселезеночных лиенальных образований, диссеминированных по брюшной полости, превышает 400 микроузлов.
Иногда скопление из нескольких маленьких селезенок заменяет основной орган. В 75% случаев дополнительная доля локализована в воротах нормальной селезенки, у 16% пациентов — возле хвоста поджелудочной железы, реже — в желудочно-селезеночной, селезеночно-желудочной, желудочно-ободочной, селезеночно-почечной связках, вдоль селезеночной артерии, в малом и большом сальнике, брыжейке тонкой кишки, дугласовом пространстве у женщин, придатке яичка и возле левой яичковой артерии у мужчин, забрюшинной клетчатке. В казуистических случаях образование эктопировано внутрь поджелудочной железы, обычной селезенки.
Причины
Формирование внеселезеночных участков лиенальной ткани является дизонтогенетической эмбриопатией. Роль наследственности в возникновении патологии не доказана. По мнению большинства специалистов в сфере гематологии, образование добавочных долек имеет ту же этиологию, что и другие аномалии развития селезенки. Возможными причинами порока могут стать:
- Неблагоприятные экзогенные факторы. Вероятность неправильного развитие селезенки плода повышается при наличии постоянных или однократных интенсивных физических и химических воздействий (ионизирующего излучения, алкоголя, некоторых фармацевтических препаратов, производственных ядов). Тератогенный эффект в периоде эмбриогенеза оказывают возбудители краснухи, цитомегаловирусной инфекции, токсоплазмоза, герпеса и др.
- Состояние здоровья и рацион беременной. Повышенный риск формирования добавочной селезенки отмечается у детей, рожденных женщинами, которые страдают сахарным диабетом, гипотиреозом, диффузным токсическим зобом, пороками сердца, артериальной гипертензией. Как и другие дизонтогенетические эмбриопатии, аномалия чаще встречается при поздней беременности, дефиците основных микронутриентов и витаминов в рационе питания.
Патогенез
Установлено два основных механизма образования добавочной доли селезенки: нарушение слияния отдельных участков мезенхимальной селезеночной массы в единый орган в дорсальном мезогастрии и множественная закладка элементов мезенхимы, из которых формируется лиенальная паренхима. Эмбриогенез чаще всего нарушается на 5-8 неделях внутриутробного развития плода, когда происходит активное митотическое деление мезенхимальных клеток-предшественниц селезеночной пульпы, их скопление, уплотнение на гонадной стороне дорсальной брыжейки, прорастание сосудами, обособление в отдельный орган. При воздействии тератогенного фактора на 6-10 неделях гестации возможна миграция добавочной селезеночной доли в верхнюю часть яичка. Значительное повышение функциональной активности дополнительной лиенальной паренхимы клинически проявляется гиперспленизмом.
Симптомы
У большинства пациентов каких-либо клинических проявлений не наблюдается, поскольку патологические образования обычно имеют очень маленькие размеры. При крупной добавочной селезенке происходит сдавление близлежащих органов, в таком случае симптоматика зависит от расположения аномальной доли. Чаще всего возникают нарушения работы пищеварительного тракта: умеренные боли различной локализации, тошнота, хронические запоры. При сдавлении желчных протоков может наблюдаться пожелтение кожи и слизистых оболочек, боли в правом подреберье, потемнение мочи и обесцвечивание кала. У мужчин с эктопией добавочной селезенки в мошонку при пальпации определяется округлое образование, напоминающее яичко. Общее состояние больных обычно не нарушено.
Осложнения
При размерах добавочной доли более 5 см возможно развитие кишечной непроходимости с задержкой стула и газов, резкими болями в животе, многократной рвотой. Дополнительная селезенка представляет опасность для больных с патологиями системы крови (аутоиммунной тромбоцитопенической пурпурой, наследственной гемолитической анемией). У таких пациентов сохраняется риск рецидива заболевания даже после проведенной спленэктомии. Иногда наблюдается заворот аномальной доли с последующим некрозом селезенки, при котором возможно вовлечение в процесс брюшины или формирование спаек.
Диагностика
Постановка диагноза затруднена, поскольку в большинстве случаев заболевание протекает бессимптомно. Добавочная доля селезенки зачастую становится случайной находкой при проведении обследования пациента по поводу других патологических состояний. Подозревать заболевание необходимо у больных с хроническими диспепсическими жалобами неясного генеза. Наиболее информативными методами диагностики являются:
- Радионуклидная сцинтиграфия селезенки. Введение меченых радиоактивным препаратом элементов крови, предварительно подвергнутых тепловой обработке, сопровождается их накоплением в лиенальной паренхиме, что удается визуализировать на мониторе. Метод имеет практически 100% чувствительность и специфичность. При необходимости дополняется ангиографией.
- Сонография. УЗИ брюшной полости помогает обнаружить добавочные доли, если они имеют достаточные размеры и не прикрыты другими абдоминальными органами. В сложных диагностических случаях дополнительно назначается КТ с внутривенным введением контрастного вещества, которая позволяет выявить даже небольшие дополнительные образования.
- Диагностическая лапароскопия. Метод применяется при затруднениях в постановке диагноза. Введение лапароскопа в брюшную полость дает хирургу возможность оценить состояние внутренних органов и обнаружить дополнительную селезенку. Преимуществами лапароскопии являются чувствительность и малоинвазивность, разрезы (до 1 см) быстро заживают без образования рубцов.

КТ органов брюшной полости. Добавочная долька селезенки, по плотностным характеристикам аналогичная основной селезенке
В клиническом анализе крови может наблюдаться тромбоцитопения, гиперрегенераторная анемия, значительный анизоцитоз эритроцитов, свидетельствующие о развитии гиперспленизма. При выраженных изменениях периферической крови рекомендована пункция костного мозга для последующего цитологического исследования. При подозрении на нарушение проходимости кишечника выполняют рентгенограмму брюшной полости.
Дифференциальную диагностику дополнительной доли селезенки проводят с полиспленическим синдромом при декстропозиции внутренних органов, постспленэктомическим спленозом, воспалительными заболеваниями кишечника, механической желтухой, функциональной диспепсией, острой кишечной непроходимостью, злокачественными новообразованиями системы кроветворения, лимфопролиферативными заболеваниями, опухолями и кистами поджелудочной железы, надпочечников, нарушениями свертывающей системы крови. Кроме осмотра гематолога и врача-гастроэнтеролога пациенту может потребоваться консультация онколога, гепатолога, эндокринолога, абдоминального хирурга.
Лечение добавочной доли селезенки
Больным без симптомов гиперспленизма, перекрута сосудистой ножки, сдавления окружающих органов рекомендовано динамическое наблюдение у гастроэнтеролога и гематолога с проведением плановой диагностики каждые 6-12 месяцев. Основными целями мониторинга являются контроль размеров добавочных образований и своевременное выявление косвенных признаков повышения активности селезеночной паренхимы. При наличии клинически выраженной симптоматики показано оперативное лечение:
- Удаление добавочной селезенки. Одна из дополнительных долей удаляется в тех случаях, когда из-за ее больших размеров или локализации внутри поджелудочной железы, придатка яичка, других органов она нарушает их функционирование, вызывает стойкий болевой синдром. Операция чаще всего выполнятся лапароскопическим методом, при внутриорганном расположении добавочной дольки возможно проведение вмешательств лапаротомическим или другим доступом.
- Тотальное удаление селезеночной ткани. Перед осуществлением спленэктомии по нетравматическим причинам необходимо тщательное обследование для выявления бессимптомных добавочных селезенок. При обнаружении аномалии удаляется как сам орган, так и допол нительные лиенальные образования. Такой радикальный подход обусловлен возможным рецидивом гемолитической анемии, болезни Верльгофа из-за компенсаторной активации добавочной ткани.
Прогноз и профилактика
У многих пациентов наличие дополнительной доли не вызывает дискомфорта в течение всей жизни. Прогноз заболевания благоприятный. Специфической профилактики не существует. Для предупреждения развития осложнений больным с этой аномалией следует регулярно сдавать клинический анализ крови, один раз в год проходить ультразвуковое исследование брюшной полости для динамической оценки размеров и структуры добавочной селезенки. Нужно тщательно следить за состоянием ЖКТ и обращаться к специалисту в сфере гастроэнтерологии при появлении любых диспепсических расстройств.
2. Тромбоз вены добавочной доли селезенки у беременной женщины/ Цхай В.Б., Белобородов В.А., Толстихин А.Ю., Ермошкин О.А., Макаренко Т.А., Ульянова И.О.// Сибирское медицинское обозрение. – 2009.
3. Эхография селезенки у детей и подростков/ Делягин В.М., Поляев Ю.А., Исаева М.В., Гарбузов Р.В.// SonoAce Ultrasound. – 2009 - №19.
Опухоли селезенки
Опухоли селезенки — очаговые разрастания морфологически измененной опухолевой ткани в селезеночной паренхиме. Часто протекают бессимптомно. Могут проявляться тяжестью, распиранием, болезненностью в левом подреберье, абдоминальным дискомфортом, асимметричным увеличением живота, длительным субфебрилитетом. Диагностируются с помощью УЗИ, УЗДГ селезенки, КТ, МРТ брюшной полости, целиакографии, гистологического анализа пунктата. Для лечения опухолей выполняют резекцию органа, спленэктомию, при злокачественных поражениях в послеоперационном периоде проводят химиотерапию.
Первичные опухолевые образования селезенки — один из наиболее редких видов онкопатологии, что, вероятнее всего, связано с хорошим развитием ретикулоэндотелия и высокой фагоцитарной активностью лиенальной паренхимы. Распространенность таких опухолей в популяции не превышает 0,003%, поэтому очаговые изменения селезеночной ткани относят к категории медицинской казуистики. В структуре заболеваний селезенки неоплазии составляют 0,5-2%. Масса новообразований колеблется в диапазоне от 20 г до 5 кг. Первичному опухолевому поражению органа более подвержены женщины. Селезеночные неоплазии в большинстве случаев выявляют в молодом и среднем возрасте. Вторичные процессы встречаются чаще первичных, специфические изменения в паренхиме органа определяются у 90% больных лимфомой Ходжкина, в селезенку могут метастазировать до 10% злокачественных объемных образований.
Причины опухолей селезенки
Очаговые неоплазии, выявляемые в лиенальной паренхиме, скорее всего, имеют полиэтиологическое происхождение. Причины первичной опухолевой трансформации тканей селезенки окончательно не установлены. При вторичных новообразованиях процесс провоцируется системным поражением лимфоидной ткани или метастатическим распространением клеток. Убедительных доказательств, свидетельствующих о наследственном характере патологии, не выявлено. По мнению специалистов в сфере онкологии и гастроэнтерологии, возможными этиофакторами первичных и вторичных селезеночных новообразований являются:
- Воздействие повреждающих факторов. Патологическое разрастание лиенальных тканей может потенцироваться ионизирующим излучением, инфекционными агентами, преимущественно вирусами (в том числе возбудителями внутриутробных инфекций — краснухи, цитомегалии, герпеса), полициклическими ароматическими углеводородами, никотином. У части пациентов заболевание связано с ишемией и прямым повреждением паренхимы при травмах, инфарктах селезенки.
- Наличие внеселезеночных опухолей. Вторичное опухолевое изменение лиенальной пульпы характерно для злокачественных лимфопролиферативных процессов — лимфогранулематоза, лимфом, ретикулосарком, лимфолейкоза. В спорадических случаях поражение селезенки является единственным проявлением этих онкологических заболеваний. Метастазы наблюдается редко, преимущественно при меланомах, карциноме легких, раке яичников, хорионэпителиоме.
Основой механизма развития первичных и лимфопролиферативных опухолей селезенки являются неопластическая конверсия клеток и онкогенез. Под действием мутагенных факторов повреждается клеточная ДНК, ткани изменяют антигенный состав, в большей или меньшей мере утрачивают органоспецифическую структуру и функциональность. Из-за нарушения механизмов, контролирующих деление, рост, запрограммированную гибель (апоптоз) клетки селезенки начинают бесконтрольно делиться, формируя узлы патологической ткани. Растущая в объеме опухоль сдавливает, а при злокачественном процессе и прорастает окружающую паренхиму, капсулу, сосудисто-нервную ножку, смежные органы. При метастатическом механизме образования лиенальных неоплазий в формировании структуры патологических очагов участвуют анормальные клетки основного новообразования.
Классификация
Систематизация неоплазий селезенки осуществляется с учетом их морфологического строения, степени агрессивности, расположения основного очага. При развитии опухоли из лиенальных тканей, отсутствии системного поражения лимфоидных образований и костного мозга говорят о первичных селезеночных новообразованиях. Вторичными называются неоплазии, при которых поражение селезенки вызвано системным лимфопролиферативным процессом или метастазированием нелимфоидной опухоли. В зависимости от агрессивности клеточных элементов различают медленный доброкачественный и быстропрогредиентный злокачественный онкопроцесс.
Наиболее полная морфологическая классификация лиенальных неоплазий была предложена в 1985 году американским хирургом Леоном Моргенштерном. Кроме собственно опухолей в категорию объемных новообразований селезенки автор также включил опухолеподобные изменения (непаразитарные кисты, гамартомы). С учетом тканей, из которых происходит узел, различают:
- Васкулярные селезеночные опухоли. Образованы клеточными элементами сосудов селезенки. Наиболее распространенные первичные лиенальные неоплазии. Часто являются одиночными, имеют небольшие размеры (до 20 мм). Бывают доброкачественными (гемангиома, лимфангиома, гемангиоперицитома, гемангиоэндотелиома) и злокачественными (гемангиосаркома, лимфангиосаркома, злокачественная гемангиоперицитома, гемангиэндотелиальная саркома).
- Лимфоидные неоплазии селезенки. Происходят из клеток лимфоидной ткани. Обычно сочетаются с поражением других лимфатических органов. Встречаются при злокачественных лимфопролиферативных процессах (лимфогранулематозе, неходжкинских лимфомах, миеломной болезни) и доброкачественных лимфоподобных заболеваниях (псевдолимфоме Кастлемана, локализованной реактивной лимфоидной гиперплазии, воспалительной псевдоопухоли).
- Нелимфоидные новообразования селезенки. Образуются из других тканей селезенки — жировой, соединительной, гладкой мышечной, реже – из эмбриональных клеток. Представлены доброкачественными неоплазиями (липомой, ангиолипомой, миелолипомой) и злокачественными опухолями (саркомой Капоши, лейомиосаркомой, фибросаркомой, злокачественной фиброзной гистиоцитомой, злокачественной тератомой).
Симптомы опухолей селезенки
Длительное время заболевание протекает латентно с минимальной выраженностью клинических проявлений. У пациента наблюдается синдром «малых признаков»: утомляемость, слабость, ухудшение работоспособности, потеря аппетита, депрессия, снижение массы тела. По мере прогрессирования опухоли возникает тяжесть в области левого подреберья, чувство распирания, асимметрия и увеличение живота, длительная субфебрильная температура, болезненные ощущения в левых отделах брюшной полости. Иногда боль иррадиирует в левое надплечье и плечо. При значительном увеличении размеров селезенки и вовлечении в процесс соседних органов могут наблюдаться расстройства мочеиспускания, не поддающаяся медикаментозной терапии артериальная гипертензия, отеки нижних конечностей.
При росте опухолей в организме изменяется ряд биохимических показателей. Накопление продуктов азотистого обмена может вызывать почечную недостаточность, сочетание гипокальциемии и гипокалиемии провоцирует замедление сердечного ритма вплоть до асистолии. Наиболее тяжелым осложнением опухолей селезенки является распространение малигнизированных клеток лимфогенным, гематогенным, контактным путем с образованием метастазов в других органах. Зачастую при злокачественных неоплазиях наблюдается геморрагический плеврит, асцит, кахексия. Заболевание может осложняться разрывом селезенки с профузным внутренним кровотечением, опасным для жизни больного и требующим неотложной хирургической помощи.
Постановка диагноза селезеночных опухолей зачастую затруднена, что обусловлено скудной клинической картиной заболевания и отсутствием патогномоничных признаков. Новообразования нередко обнаруживаются случайно во время профилактических осмотров. План обследования пациента с подозрением на опухоль селезенки включает следующие инструментальные и лабораторные методы:
- УЗИ селезенки. При проведении ультразвукового исследования визуализируют структуру паренхимы, оценивают размеры и топографию органа. Иногда дополнительно назначают УЗДГ селезенки, по результатам которого можно судить о кровоснабжении подозрительных узлов, скорости кровотока в селезеночных артериях, венах.
- КТ брюшной полости. Рентгенологическое исследование с болюсным внутривенным введением контрастного препарата помогает отграничить неизмененную паренхиму от некротических очагов, которые не накапливают контраст. Компьютерная томография имеет высокую информативность и обеспечивает обнаружение опухолей в 95% случаев.
- Целиакография. Катетеризация чревного ствола, введение контраста с выполнением серии рентгенологических снимков позволяет оценить состояние артерий абдоминальных органов. При наличии опухолей на рентгенограмме обнаруживают бессосудистый участок или новообразованные сосуды в области проекции селезенки, выраженное смещение крупных артерий и вен.
- Гистологический анализ. Морфологическое исследование пунктата селезенки назначается для уточнения характера процесса, проведения дифференциальной диагностики между доброкачественными и злокачественными новообразованиями. Основными признаками опухолевого поражения являются наличие атипичных клеток с патологическими митозами, потеря дифференцировки.
В клиническом анализе крови выявляется значительное повышение СОЭ (более 20 мм/ч), резкое снижение количества эритроцитов и гемоглобина. Иногда наблюдается увеличение процентного содержания нейтрофилов. В биохимическом анализе крови определяется уменьшение количества общего белка за счет альбуминов, повышение показателей мочевины. При оценке результатов коагулограммы обнаруживается повышение свертывающей способности крови со склонностью к тромбозам. При затруднениях в постановке диагноза может выполняться МРТ органов брюшной полости.
Дифференциальная диагностика селезеночных опухолей осуществляется с абсцессом селезенки, паразитарными и непаразитарными кистами, спленомегалией, гемолитической анемией, аутоиммунными заболеваниями, гранулематозными воспалениями, портальной гипертензией, раком желудка, поджелудочной железы. Помимо осмотра гастроэнтеролога и онкогематолога пациенту рекомендованы консультации гематолога, онколога, инфекциониста, иммунолога, абдоминального хирурга.
Лечение опухолей селезенки
При подтвержденном диагнозе лиенальной неоплазии вне зависимости от характера опухолевого процесса показано проведение хирургического вмешательства. Динамический мониторинг за ростом опухолей в настоящее время применяется крайне редко, что позволяет своевременно выполнить иссечение злокачественного новообразования. При выборе метода оперативного лечения учитывают морфологическое строение неоплазии, ее размеры, расположение, взаимоотношение с окружающими органами, тканями. Рекомендованными видами вмешательств являются:
- Резекция селезенки. Органосохраняющие операции производят только для удаления небольших доброкачественных опухолей. Резекцию, как правило, осуществляют атипически, не учитывая сегментарное строение органа, что позволяет сохранить большее количество лиенальной паренхимы. Широко применяют современные хирургические инструменты — ультразвуковые ножницы, биполярные системы лигирования и др.
- Спленэктомия. Удаление селезенки необходимо при массивных доброкачественных неоплазиях, поразивших большую часть пульпы, злокачественных процессах. Предпочтителен менее травматичный лапароскопический метод операции. При вовлечении смежных органов вмешательство обычно проводят с использованием лапаротомного доступа. Пациентам со злокачественными образованиями после операции назначают химиотерапию.
Лечение опухолей, возникших в рамках лимфопролиферативных процессов или метастатического поражения селезенки, производится по соответствующим медицинским протоколам и предполагает назначение лучевой, таргетной, химиотерапии. Вопрос об удалении селезенки в каждом случае решается индивидуально, у некоторых пациентов спленэктомия оказывает положительный эффект на течение основного заболевания.
При доброкачественных процессах удаление опухоли обычно позволяет добиться полного излечения пациента. Своевременная диагностика и адекватное комбинированное лечение злокачественных новообразований селезенки на ранних стадиях существенно увеличивает показатели пятилетней выживаемости. При неоперабельных формах опухолевых образований прогноз неблагоприятный, срок жизни больных сокращается до 1 года, что обусловлено высокой агрессивностью неоплазии и ранним образованием отдаленных метастазов. Меры специфической профилактики болезни не разработаны. Важную роль в повышении шансов пациента на выздоровление играет обращение к врачу при появлении первых симптомов.
3. Клинико-диагностические аспекты первичных опухолей селезенки/ Коротких И. Ю., Комов Д. В., Долгушин Б. И., Миронова Г. Т.// Вестник РОНЦ им. Н. Н. Блохина РАМН – 1995 - №3.
Читайте также:
- Осложнения применения катетера Свана-Ганса. Ценность катетера Свана-Ганса
- Лучевая анатомия передних отделов таза
- Исследование поперечной ободочной кишки. Пальпация толстой кишки
- Ретракция десны при протезировании зубов коронками. Рекомендации
- Париетальная брюшина. Круглая связка печени. Складки брюшины. Паховые ямки. Надпузырная ямка.
