Лучевая анатомия передних отделов таза
Добавил пользователь Skiper Обновлено: 31.01.2026
Матка занимает в полости малого таза центральное положение. Ее тело имеет овальную форму, однородную структуру, четкие контуры. Кпереди от нее располагается мочевой пузырь. В матке различают переднюю пузырную поверхность, заднюю прямокишечную поверхность и две боковые поверхности, образующие края матки.
ЛУЧЕВАЯ АНАТОМИЯ МАЛОГО ТАЗА У ЖЕНЩИН Ультразвуковая анатомия матки и придатков
В настоящее время УЗИ женских внутренних половых органов осуществляется с использованием трансабдоминального (ТА) или трансвагинального (ТВ) сканирования, которые взаимно дополняют друг друга.
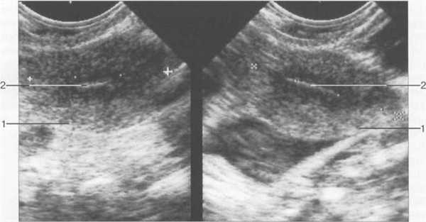
Матка. Дно матки обычно обращено кпереди, образуя с осью шейки открытый угол, составляющий 70—100°. При наполнении мочевого пузыря этот угол увеличивается. В матке выделяют верхнюю широкую часть — тело и нижнюю узкую — шейку. При ТА УЗИ определяют положение матки в малом тазу, ее контуры, структуру тела матки и шейки матки, их длину (продольное сечение), ширину и переднезадний размер (поперечное сечение), оценивают состояние миометрия, эндометрия и эндоцервикса (рис. 15.1).
Матка относится к гормонозависимым органам, что определяет изменчивость ее размеров и структуры. Физиологические и патологические изменения репродуктивного аппарата женщин приводят к колебанию размеров матки, которые зависят от возраста, перенесенных заболеваний, количества беременностей, родов и фазы менструального цикла (МЦ). Так, наименьшие размеры матка имеет в конце пролиферативной — начале секреторной фазы овуляторного цикла, а наибольшие — непосредственно перед менструацией; роды приводят к увеличению всех размеров матки, а искусственное прерывание беременности — только к увеличению ее передне-заднего размера. В постменопаузальном периоде отмечается постепенное уменьшение размеров матки.


Рис. 15.1. УЗИ матки, схема.
а — продольное сканирование; б — поперечное сканирование; 1 — матка; 2 — яичники; 3 — М-эхо.
При продольном сканировании матка визуализируется как грушевидное образование, а при поперечном — как овоидное, имеющее средний уровень эхогенности. В раннем постнаталь-ном периоде она располагается в брюшной полости выше линии входа в малый таз и находится в положении невыраженной антеверсии (дно органа обращено вверх и чуть кзади). Длина матки в этот период составляет 25±3 мм, переднезадний размер — 8—10 мм. Наиболее выраженной является шейка матки (ШМ), на длину которой приходится 2 /3 длины всей матки, стенка ШМ в два раза толще стенки тела матки (ТМ), цервикальный канал (ЦК) новорожденной девочки визуализируется в виде гипоэхогенной полоски. Нижняя часть шейки матки (10 мм) располагается во влагалище, задняя губа, как у взрослых, несколько длиннее, чем передняя. Угол между телом и шейкой матки не выражен, поскольку толщина этих отделов почти одинаковая. ТМ в продольном сечении имеет вогнутое седловидное дно, а в поперечном — выглядит округлым образованием. Начиная с возраста 1 мес увеличенная матка новорожденной подвергается инволюции и в последующем достигает своих первоначальных размеров лишь к 7—8 годам. Рост ее осуществляется главным образом за счет увеличения тела, соотношение длины тела и шейки матки постоянно меняется: если в 1 год оно составляет 1 : 2, в 4 года — 1 : 1,7, в 6—8 лет — 1: 1,4, то в 9 лет — уже 1 : 1, дно постепенно утрачивает седловидную форму, матка находится в положении антеверсии, антефлексии (дно матки обращено кпереди) и к 8 годам располагается у входа в малый таз. Между телом и шйкой матки постепенно образуется угол за счет утолщения миометрия и увеличения переднезаднего размера матки.
Быстрый рост матки начинается за 6 месяцев до наступления месячных и продолжается до конца подросткового периода. С наступлением менструального возраста соотношение длины тела и шейки матки составляет в среднем 2 : 1, а через 2 года — 3 : 1. С установлением регулярного менструального цикла матка приобретает грушевидную форму, находится в положении антеверсии или антефлексии, иногда в положении ретрофлексии, четко определяется угол между ТМ и ШМ. Среднестатистические размеры тела матки у девочки, регулярно менструирующей в течение 2 лет, следующие: длина — 42,4+1,4 мм, переднезадний размер — 28,3+0,8 мм. В период менопаузы отмечается инволюция матки.
Шейка матки имеет цилиндрическую форму, при поперечном сканировании — форму овала. Выделяют влагалищную часть ШМ, которая находится во влагалище, и надвлагалищную часть — располагающуюся выше влагалищных сводов. Шейка имеет среднюю эхогенность, однородную структуру. Цервикальный канал визуализируется в виде гиперэхогенной линейной структуры шириной 1—2 мм. Перед овуляцией он определяется в виде гипоэхогенной полоски толщиной до 2—4 мм, затем наступает истончение полоски, и снова становятся видны его передняя и задняя стенки в виде однородной гиперэхогенной линии.
Эхоморфологические изменения эндометрия. При УЗИ эндометрия оцениваются его толщина, структура и соответствие фазе МЦ. Для оценки толщины эндометрия используется измерение переднезаднего размера М-эхо (срединное маточное эхо), которое представляет собой суммарное изображение эндометрия передней и задней стенки, а также полости матки (которая часто не имеет четкого отображения на эхограмме вследствие сомкнутости ее стенок). Измерение толщины М-эхо следует производить при продольном сканировании матки ТА или ТВ с одновременной визуализацией цервикального канала по наружным контурам М-эхо перпендикулярно продольной оси матки, не включая в измерение ободок пониженной эхогенности (хало), который обычно появляется с начала 2-й фазы МЦ. Эхоморфологические изменения эндометрия зависят от возраста обследуемой, перенесенных заболеваний, дня менструального цикла.
В период новорожденное™ на протяжении 1—2 недель после рождения эндометрий вследствие влияния плацентарных гормонов матери проявляет свою прол иферативную и секреторную активность и определяется в виде ровной гиперэхогенной полоски толщиной 2—3 мм, при этом фаза десквамации может сопровождаться менструальноподобными выделениями из влагалища. К концу 1-го месяца жизни воздействие материнских эстрогенов постепенно заканчивается, эндометрий истончается. На протяжении нейтрального периода развития (до 7 лет) эндометрий может не определяться при ТА-сканировании, а при трансректальном сканировании выявляется в виде яркой гиперэхогенной полоски толщиной до 2—3 мм. В препубертатный период (от 7 лет до менархе) эндометрий сохраняет те же эхоморфологические характеристики.
С началом пубертатного периода (от наступления менархе до 16 лет) и в подростковый период (от 16 до 18 лет) эндометрий подвержен циклическим изменениям гормонального гене-за (рис. 15.2). Обычно эндометрий имеет среднюю эхогенность, однородную структуру. Во время менструации полость матки заполнена кровью и обрывками эндометрия — в этот период на эхо-граммах М-эхо выглядит как сложная преимущественно гиперэхогенной линейной эхост-руктуры. После прекращения менструального кровотечения и освобождения полости матки от крови в первые дни после менструации М-эхо либо не определяется, либо выявляется в виде гиперэхогенной полоски толщиной 1 — 2 мм (являющейся ультразвуковым отражением соприкасающихся поверхностей функциональных слоев эндометрия передней и задней

Рис. 15.2. М-эхо у девочки 11 лет, начало пубертатного периода (трансректальное сканирование).
1 — матка; 2 — М-эхо.

Рис. 15.3. Фазы менструального цикла. УЗИ, схемы.
а — первая фаза; б — вторая фаза. 1 — матка; 2 — яичники; 3 — М-эхо.

стенок матки). К 5—6-му дню МЦ М-эхо представляет собой структуру в виде трех гиперэхо-генных линий: сам эндометрий, особенно в центральных отделах, является практически ан-эхогенным за счет высокой степени его гидрофильности, внутренние участки на границе с ми-ометрием имеют плотную структуру и представлены в виде двух гиперэхогенных линий, а центральная полоска представляет собой соприкасающиеся отделы передней и задней стенок матки (рис. 15.3, а; 15.4, а).
Величина М-эхо к 14-му дню МЦ (периовуляторный период) у женщин детородного периода может составлять до 14 мм. На протяжении 1 недели после овуляции эхогенность эндометрия продолжает нарастать — сначала в базальной зоне, а затем в поверхностных отделах; появляется ободок пониженной эхогенности. К 21-му дню МЦ эндометрий становится полностью гиперэхогенным (за счет накопления в клетках секрета), по периферии выявляется гипоэхоген-ная зона (обусловленная расширенными сосудами миометрия на границе с базальным отделом эндометрия) (рис. 15.3, б; 15.4, б ). Высота эндометрия остается прежней (как в 1-й фазе), но к моменту наступления менструации отмечается некоторое уменьшение его высоты.
В постменопаузальном периоде М-эхо представляет собой структуру высокой эхогенности шириной 1—2 мм, гипоэхогенный ободок вокруг эндометрия отсутствует (рис. 15.5). Иногда полость матки расширена до 2—4 мм из-за наличия в ней небольшого количества жидкости, что обусловлено снижением тонуса миометрия. Для исключения предраковых процессов в эндометрии (дисплазии) требуется проведение диагностических мероприятий и наблюдение в динамике.
Яичники. Для изучения яичников используют продольное или поперечное сканирование полости малого таза. Яичники выглядят как образования овоидной формы, имеющие однородную внутреннюю структуру, среднюю эхогенность. Располагаются яичники сбоку от тела матки, правый чуть выше, чем левый, но могут определяться и кзади от нее или в непосредственной близости к ее углам. Ориентиром их расположения является внутренняя подвздошная вена. Длина яичника составляет в среднем 29 мм, толщина — 19 мм, ширина — 27 мм, средний объем яичника у здоровой женщины детородного возраста — 7,7 см 3 .

Рис. 15.4. УЗ И, трансвагинальное сканирование.
а — М-эхо в фазе пролиферации; б — М-эхо в фазе секреции. 1 — матка; 2 — М-эхо.

Рис. 15.5. М-эхо в постменопаузе, трансвагинальное сканирование.
УЗИ предоставляет возможность проследить за формированием фолликула в яичнике, определить его размеры и установить время овуляции. Ультразвуковые параметры созревающего фолликула отчетливо коррелируют с тестами функциональной диагностики, уровнем содержания большинства гормонов (ФСГ, ЛГ, пролактина, эстрадиола, прогестерона и др.). Диаметр
способного к овуляции фолликула составляет 20 мм и более (максимум до 25 мм), структура его анэхогенная, капсула не выявляется. После овуляции и до 21—22-го дня МЦ на месте фолликула отмечается наличие гипоэхогенного образования того же диаметра (желтое тело), которое также не имеет капсулы и исчезает к моменту начала цикла.
В раннем детском возрасте яичники располагаются в брюшной полости над входом в малый таз, правый несколько выше, чем левый. Длина яичников у новорожденных варьирует от 15 до 30 мм, ширина — от 4 до 8 мм, толщина — от 2 до 3,5 мм. К моменту рождения количество половых клеток в яичниках составляет около 500 000, дифференцировка их продолжается после рождения и заканчивается к концу первого года жизни. Половые клетки, окруженные мелкими уплощенными клетками стромы, образуют премордиальные фолликулы (овогонии), которые располагаются по периферии яичника в кортикальном слое, а в мозговом слое в основном расположены питающие сосуды (они видны при ЦДК). Некоторые из овогонии гипертрофируются под влиянием гормонов, как у взрослых женщин, периферические клетки их формируют толстый гранулезный слой, а в центре образуются различной величины полости, достигающие нескольких миллиметров в диаметре (фолликулы). Вплоть до пубертатного периода фолликулы в своем развитии останавливаются на стадии, предшествующей овуляции, жидкость в них рассасывается, а полость закрывается соединительной тканью. На смену атрезированным фолликулам появляются новые, имитируя нормальный овуляторный цикл женщины. Иногда количество растущих фолликулов настолько велико, что приводит к гипертрофии яичника, изредка (при гормональном дисбалансе) в яичниках встречаются крупные кистовидные фолликулярные образования до 10—20 мм в диаметре.
Нейтральный период протекает без выраженного участия половых гормонов, вторичные половые признаки отсутствуют, и хотя в организме синтезируется небольшое количество эстрогенов, развитие фолликулов по прежнему носит ациклический и беспорядочный ановулятор-ный характер. При УЗИ в яичниках выявляется от 2 до 8 кистовидных образований диаметром 2—3 мм. Яичники с возраста 3 лет постепенно мигрируют из брюшной полости и к 5—6 годам определяются вблизи стенок малого таза у нижнего края поперечного среза длинной мышцы таза. В 7—8 лет яичники достигают длины 18—27 мм.
В подростковом периоде завершается развитие репродуктивной системы. Выделяемые передней долей гипофиза ФСГ и ЛГ способствуют созреванию фолликулов и овуляции. На месте лопнувшего зрелого фолликула появляется желтое тело, продуцирующее прогестерон, обратное развитие желтого тела инициирует созревание нового фолликула. Повышение уровня содержания эстрогенов становится поводом для овуляции и выброса в кровь ЛГ. Ритмические гормональные импульсы определяют специфическую реакцию эндометрия, в котором осуществляется пролиферативная (1-я фаза) и секреторная (2-я фаза), а также процессы десквама-ции и регенерации.
Маточные трубы в норме при УЗИ не визуализируются, что, однако, возможно при УЗИ с применением эхоконтрастных средств (эховиста и др.).
Влагалище легко выявляется при УЗИ при его нормальном анатомическом состоянии. На продольных сканограммах оно определяется в виде трубчатой структуры, соединяющейся под небольшим углом с шейкой матки. При этом в центре влагалища определяется срединная ги-перэхогенная линейная структура, являющаяся ультразвуковым отражением соприкасающихся слизистых оболочек передней и задней стенок влагалища. Расположенная вокруг нее гипо-эхогенная зона соответствует мышечной оболочке влагалища. Толщина стенок влагалища в норме составляет 3—4 мм.
Существующие методики УЗИ матки и придатков обладают ограниченными диагностическими возможностями, так как исследуются анатомические структуры, которые в физиологических условиях при УЗИ представляются полностью неподвижными, что не дает тех преиму-
ществ, которые имеются при исследовании внутренних органов, обладающих выраженной кинетической способностью. Это не позволяет, в частности, достоверно оценить при наиболее распространенном ТА-сканировании матки состояние ее задней стенки или дна ретрофлексиро-ванной матки, произвести в ряде случаев топическую и патоморфологическую дифференциальную диагностику между маткой, яичниками и придатковыми патологическими образованиями.
Для повышения информативности УЗИ органов малого таза предложен способ УЗИ матки и придатков с применением маточносокращающего средства — окситоцина. Перед УЗИ, производимым по известным методикам (ТА, ТВ), назначают окситоцин в дозе 5 ЕД (1 мл препарата), сублингвально, однократно. Через 1—2 минуты после введения препарата, когда начинаются сокращения миометрия, производят повторное УЗИ матки и придатков датчиком той же частоты и того же типа, что и до введения окситоцина с регистрацией изображений изучаемых отделов матки. При использовании данной методики окситоцин, вызывая ритмические сокращения матки с периодами ее релаксации, позволяет при УЗИ в В-режиме наблюдать изменения конфигурации матки. Однократное введение окситоцина в указанной дозе оказывает краткосрочное действие (примерно 1—2 минуты), что, однако, вполне достаточно для проведения УЗИ. Следует подчеркнуть, что применение окситоцина в данном способе УЗИ должно согласоваться с существующими противопоказаниями к его использованию — беременность, послеоперационные рубцы на матке.
Указанные способы УЗИ матки и ее придатков с применением маточносокращающих средств значительно повышают возможность ультразвукового морфологического анализа их структуры, проведение дифференциальной топической и анатомической патоморфологичес-кой диагностики.
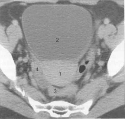
КТ-АНАТОМИЯ МАЛОГО ТАЗА У ЖЕНЩИН
Матка занимает центральное положение в полости малого таза. Тело матки при КТ имеет овальную форму, однородную структуру, четкие контуры. Кпереди от матки располагается мочевой пузырь (рис. 15.6). Длина (высота) матки и ее поперечный размер меняются в зависимости от степени наклона кпереди, заполнения мочевого пузыря и прямой кишки. Переднезад-ний размер матки не превышает 50 мм. При резком загибе кпереди наблюдается деформация задней стенки мочевого пузыря. Денсито-метрическая плотность матки составляет 40— 60 HU. Широкие связки матки четко не диффе-

Рис. 15.6. КТ нормального строения тела матки.
Здесь и на рис. 15.7, 15.8:
1 — матка; 2 — мочевой пузырь; 3 — прямая кишка;
ренцируются. Иногда возможна визуализация ее круглых связок, которые определяются в виде тонких линейных структур, идущих от боковых поверхностей дна матки к стенкам таза. Кзади от круглых связок располагаются яичники. На КТ- срезах яичники отображаются в виде однородных образований плотностью 20—30 HU. Их визуализация зависит от фазы менструального цикла, величины яичников и возраста женщины (в менопаузе и препубертатном периоде их визуализация затруднена).
Лучевая анатомия передних отделов таза
а) Лучевая анатомия передних отделов таза:
1. Костная анатомия:
• Лобковая кость состоит из тела и двух ветвей: верхней и нижней
• Тела лобковых костей соединяются, образуя лонное сочленение
• Верхняя и нижняя ветви отходят от тела лобковой кости:
о Верхняя ветвь лобковой кости доходит до вертлужной впадины
о Нижняя ветвь лобковой кости сливается с седалищной костью
• Гребень лобковой кости: гребенчатый задний край верхнего отдела тела лобковой кости:
о Место начала гребенчатой мышцы
о Место прикрепления общего сухожилия мышц брюшной стенки
• Лобковый гребень: верхняя поверхность переднего отдела тела лобковой кости:
о Место прикрепления поперечной и наружной косой мышц живота
о Место начала прямой мышцы живота
• Лобковый бугорок: небольшой выступ наружного края лобкового гребня:
о Место прикрепления паховой связки
• Лобковая дуга: нижняя поверхность седалищно-лонных (нижних) ветвей
• Лобковый угол: образован седалищно-лонными (нижними) ветвями:
о Основной отличительный признак между мужским и женским тазом
о Более широкий (около 90°) у женщин
2. Лонное сочленение:
• Сустав, образованный телами лобковых костей
• Суставные поверхности покрыты гиалиновым хрящом
• Имеется фиброзно-хрящевой внутрисуставной диск:
о У 10% взрослых в диске имеется щель
• В норме ширина диска составляет 2-7 мм
• В суставе возможны минимальные движения:
о < 2 мм в верхне-нижнем направлении
о Ротация < 3°
• Верхняя лобковая связка: соединяет сустав, прикрепляется к лобковым бугоркам
• Нижняя лобковая связка (дугообразная лобковая связка):
о Фиброзная дуга вдоль нижнего края сустава
о Сливается с суставным диском
о Снизу сливается с апоневрозом тонкой и длинной приводящей мышц
• Передняя лобковая связка:
о Глубокий слой: сливается с суставным диском
о Поверхностный слой: сливается с апоневрозом наружной косой и прямой мышц живота
• Задняя лобковая связка: тонкая, представлена несколькими поперечными волокнами
Передне-задняя рентгенограмма с центрацией на передний отдел таза. Визуализируются лонное сочленение и различные отделы тел лобковых костей и их ветвей. Рисунок в продольной проекции: показано взаимоотношение сухожилий прямой мышцы живота и длинной приводящей мышцы через апоневроз—фасциальный листок по переднему краю лобковой кости. Апоневроз тоньше, чем показано на данном рисунке. Отчетливо видно как асимметричное воздействие двух мышц может способствовать отрыву апоневроза при синдроме, известном как атлетическая пубалгия. Рисунок в аксиальной проекции: общий апоневроз сухожилий прямой мышцы живота и длинной приводящей мышцы. Гребенчатая мышца лежит непосредственно латеральнее апоневроза, начинающегося от переднего и заднего края лобковой кости.
3. Мышцы передней брюшной стенки:
• Все мышцы прикрепляются к лобковым костям
• Функция: сгибание, наклоны в сторону и поворот туловища; компрессия брюшной полости, подъем диафрагмы
• Иннервация: межреберные VII—XI нервы, подреберный нерв, подвздошно-подчревный и подвздошно-паховый нервы:
о Подвздошно-подчревный нерв: пересекает внутреннюю косую мышцу кпереди от передней верхней подвздошной ости, пересекает наружную косую мышцу над поверхностным паховым кольцом
о Подвздошно-паховый нерв: пересекает внутреннюю косую мышцу вблизи внутреннего пахового кольца и проходит через паховый канал
• Прямая мышца живота: парная, вертикально ориентированная парамедианная ремнеобразная мышца
о Соединяется посредством белой линии живота
- Апоневротическое соединение прямой и поперечной мышц живота, а также внутренней и наружной косой мышц живота
о Начало: верхняя ость лобковой кости, лобковый гребень
о Прикрепление: мечевидный отросток грудины, хрящи V-VII ребер
о Окружена прямым влагалищем:
- Передняя стенка влагалища: апоневроз внутренней косой, наружной косой и поперечной мышц живота
- Задняя стенка влагалища: брюшина
о Напряжение прямой мышцы живота может способствовать развитию синдрома атлетической пубалгии
- Апоневроз прямой мышцы живота продолжается в переднюю лобковую фасцию, которая непрерывно связана с началом длинной приводящей мышцы
- Нарушение баланса между этими мышцами приводит к отделению передней лобковой фасции и напряжению/отрыву длинной приводящей мышцы
• Наружная косая мышца живота: расположена наиболее поверхностно:
о Начало: V-XII ребра
о Прикрепление: лобковый гребень, передняя часть подвздошного гребня, белая линия живота
о Паховая связка: нижний край апоневроза
• Внутренняя косая мышца живота: расположена между наружной косой и поперечной мышцами живота:
о Начало: латеральная половина паховой связки, подвздошный гребень, грудопоясничная фасция
о Прикрепление: гребень лобковой кости (общее сухожилие), лобковый гребень, нижний край X-XII ребер, белая линия живота:
- Прикрепляется латеральнее прямой мышцы живота
- Прикрепляется сзади и медиальнее наружного пахового кольца
о Формирует крышу пахового канала
о Начинается кпереди от внутреннего пахового кольца
• Поперечная мышца живота: расположена наиболее глубоко:
о Начало: подвздошный гребень, задний отдел латеральной части паховой связки, грудопоясничная фасция
о Прикрепление: лобковый гребень, гребень лобковой кости (общее сухожилие), белая линия живота
о Остается позади пахового канала о Поперечная фасция вдоль глубокой поверхности
• Общее сухожилие (паховый серп): общее прикрепление внутренней косой и поперечной мышц живота к гребню лобковой кости:
о Присутствует непостоянно
4. Паховая связка:
• Утолщение нижнего края апоневроза наружной косой мышцы
• Отделяет нижнюю конечность от таза:
о Наружные подвздошные сосуды, пройдя под паховой связкой, становятся бедренными
• Отраженная паховая связка: волокна паховой связки проходят за пределами лобкового бугорка и вплетаются в апоневроз противоположной наружной косой мышцы
• Лакунарная связка: глубокие волокна паховой связки дугообразно изогнуты и направлены кзади, к месту своего прикрепления латеральнее лобкового бугорка:
о Медиальная стенка подпахового пространства
• Гребенчатая связка: наиболее латеральные волокна лакунарной связки прикрепляются вдоль гребня лобковой кости
• Прикрепления: передняя верхняя подвздошная ость и лобковый бугорок
• Широкая фасция прикрепляется по нижнему краю
• Подвздошно-лобковый тракт:
о Утолщение нижнего края поперечной фасции
о Расположен глубже и параллельно паховой связке
5. Подпаховое пространство: глубже паховой связки:
• Канал для бедренных сосудов и нерва, а также подвздошно-поясничной мышцы в бедренном треугольнике
7. Приводящие мышцы бедра:
• Гребенчатая мышца: также сгибает бедро:
о Из всех приводящих мышц расположена наиболее поверхностно и краниально
о Начало: лобковый бугорок, гребень лобковой кости, подвздошно-лонное возвышение
о Прикрепление: задний отдел бедренной кости латеральнее малого вертела непосредственно ниже сухожилия подвздошно-поясничной мышцы
о Иннервация: бедренный и добавочный запирательный нервы
• Длинная приводящая мышца: также сгибает бедро и ротирует его кнутри:
о Передний отдел лобковой кости ниже лобкового гребня позади гребенчатой мышцы
о Прикрепление: средняя треть шероховатой линии бедренной кости
о Иннервация: запирательный нерв
• Короткая приводящая мышца:
о Начало: передний отдел лобковой кости и ее нижняя ветвь кзади от длинной приводящей мышцы
о Прикрепление: проксимальная часть шероховатой линии бедренной кости
о Иннервация: запирательный нерв
• Большая приводящая мышца: имеет две порции:
о Малая приводящая мышца: небольшая, верхняя и горизонтальная порции:
- Также называется лонно-бедренной или приводящей порцией большой приводящей мышцы
- Начало: нижняя ветвь лобковой кости
- Прикрепление: верхняя часть шероховатой линии бедренной кости медиальнее большой ягодичной мышцы
- Иннервация: запирательный нерв (задняя ветвь)
о Седалищно-мыщелковая порция:
- Начало: седалищный бугор
- Прикрепление: широкое прикрепление от шероховатой линии в среднем отделе бедренной кости до приводящего бугорка над мыщелком бедренной кости
- Иннервация: большеберцовый нерв
• Тонкая мышца: также участвует в сгибании бедра и его внутренней ротации
о Начало: передний отдел лонного сочленения и нижняя ветвь лобковой кости:
- Начинается медиальнее короткой приводящей мышцы, глубже длинной приводящей мышцы
о Прикрепление: медиальная поверхность большеберцовой кости, в составе гусиной лапки
о Иннервация: запирательный нерв
б) Вопросы лучевой анатомии:
1. Рекомендации по визуализации:
• Томограммы в косой проекции помогают лучше выделить мышцы, что важно при трактовке полученных данных при атлетической пубалгии
2. Особенности визуализации:
• Приводящие мышцы сложно разграничить на фронтальных томограммах по причине их вариативной косой направленности
3. Спортивная грыжа:
• Термин, который был вытеснен более точным понятием атлетической пубалгии
4. Паховые грыжи:
• Выходят через наружное паховое кольцо медиальнее и выше лобкового бугорка
• Прямая паховая грыжа-через слабую заднюю стенку пахового канала:
о Медиальнее нижней надчревной артерии
о Латеральнее семенного канатика
о Не проходит через внутреннее паховое кольцо
о Изначально не формирует грыжевой мешок
о Покрыта поперечной фасцией
• Непрямая паховая грыжа - через незакрытый вагинальный отросток во внутреннее паховое кольцо:
о Вагинальный отросток: дивертикул брюшины, который сопровождает опущение яичка и обычно закрывается
о Латеральнее нижней надчревной артерии
о В семенном канатике
о Чаще на всю длину
о Чаще у мужчин
о Может опускаться в мошонку/половую губу
• Лобковый симфизит:
о Неравномерный эродированный контур лонного сочленения
о Возможные причины: атлетическая пубалгия, множественные роды, инфекция.
Лучевая анатомия таза
а) Основные представления об анатомии таза:
• Тазовое кольцо образовано крестцом, копчиком и тазовой костью:
о Сочленения: пояснично-крестцовое, крестцово-копчиковое, крестцово-подвздошное и лонное
• Передает вес тела на нижние конечности и поглощает воздействие со стороны нижних конечностей
• Анатомические границы между тазом и нижними конечностями:
о Наружные поверхности тазовых костей/крестца/копчика, гребень подвздошной кости, паховая связка, лонное сочленение, седалищно-лобковые ветви, седалищный бугор, крестцово-бугорная связка
• Имеет наклон кпереди:
о Верхняя апертура таза под углом 50° к горизонтальной плоскости
о Передняя верхняя подвздошная ость и передне-верхний отдел лобковой кости расположены вдоль одной вертикальной оси
• Вертлужная впадина обращена вниз и медиально:
о Вырезка вертлужной впадины открыта книзу
• Тазовая кость: седалищная кость, подвздошная кость, лобковая кость:
о Сочленение: шаровидный сустав
• Большой (ложный) и малый (истинный) таз:
о Большой таз: часть брюшной полости
о Малый таз: между верхней и нижней апертурами таза
о Верхняя апертура таза: пограничная линия, крестцовый мыс, боковые части крестца. Пограничная линия (дугообразная линия подвздошной кости, гребень лобковой кости)
о Нижняя апертура таза: лобковая дуга, седалищные бугры и крестцово-бугорные связки и верхушка копчика
• Запирательное отверстие: выполнено запирательной мембраной:
о Границы: ограничено ветвями седалищной и лобковой костей
о Снижает вес таза
о Запирательный канал: пропускает через мембрану запирательные сосуды и нерв
Вид крестцово-подвздошных связок сзади: горизонтальные короткие дорзальные крестцово-подвздошные связки и вертикальная длинная дорзальная крестцово-подвздошная связка. Горизонтальные подвздошно-поясничные связки входят в задний крестцово-подвздошный связочный комплекс, который играет важную роль в обеспечении стабильности таза. На рисунке показан вид связок крестцово-подвздошных сочленений и таза спереди. Вентральные связки крестцово-подвздошного сочленения слабые и сформированы, в основном, капсулой сустава. Наружная поверхность тазовой кости. Наклон таза кпереди обусловлен прямохождением. Обратите внимание, что передняя верхняя подвздошная ость и лонное сочленение расположены на одной вертикальной оси. Прикрепление мышц и связок на наружной поверхности тазовой кости. Обратите внимание на сравнительно небольшую область начала сухожилия длинной приводящей мышцы. Короткая приводящая мышца лежит непосредственно под длинной. Начало тонкой мышцы расположено латеральнее начала короткой приводящей мышцы. Большая приводящая мышца имеет две головки. Малая головка (малая приводящая или лонно-бедренная порция) берет начало от седалищно-лобковой ветви, а большая головка (седалищно-мыщелковая порция)—от седалищного бугра.
• Крестец:
о Треугольный, вогнутый кпереди, выгнутый кзади
о Состоит из 5-6 сросшихся позвонков:
- Часто встречается переходный пояснично-крестцовый позвонок
- Первый копчиковый сегмент часто срастается с крестцом
о Имеет четыре поперечные линии и четыре передние (вентральные) невральные отверстия:
- Гребни - рудименты межпозвоночных дисков
о Крестцовые крылья: боковые части
о Пластинка срастается сзади, прикрывая позвоночный канал до уровня S4
о Пояснично-крестцовый угол: 130-160° о Срединный крестцовый гребень: слияние остистых отростков S1—S3±S4
о Крестцовая щель: дорзальный дефект задней стенки позвоночного канала ниже уровня S3 или S4:
- Используется в качестве точки доступа при выполнении каудальной эпидуральной инъекции
о Промежуточный крестцовый гребень: слияние суставных отростков
о Латеральный крестцовый гребень: слияние верхушек поперечных отростков
о Крестцовый рог: нижняя суставная фасетка S5:
- Сочленяется с копчиком (сочленение может быть фиброзным или костным)
о Латеральная поверхность: крестцово-подвздошный сустав о Крестцовый мыс: передне-верхний угол S1
• Копчик:
о Имеет треугольную форму, состоит из 3-5 рудиментарных позвонков
о Копчиковый рог сочленяется с крестцом
• Тазовая кость:
о Формируется тремя основными центрами:
- Седалищным, подвздошным, лонным
- Объединены Y-образным хрящом; формирование заканчивается к 15-16 годам
• Подвздошная кость:
о Крыло подвздошной кости: крупный, уплощенный верхний отдел:
- Вогнутая внутренняя подвздошная ямка
- Выпуклая наружная ушковидная поверхность (ягодичная ямка)
о Подвздошный гребень представляет собой верхний край крыла подвздошной кости между передней верхней и задней верхней подвздошными остями:
- Подвздошный бугорок расположен в передне-верхнем отделе гребня
- Диск L4-L5 расположен, как правило, на уровне подвздошного гребня
о Добавочный центр оссификации подвздошного гребня:
- Сначала появляется у латерального края гребня
- По мере взросления скелета распространяется медиально
- Оссификация обычно завершается к 14 годам у девочек и 16 годам - у мальчиков
о Передняя верхняя подвздошная ость:
- Представляет собой передний край подвздошного гребня
- Место начала портняжной мышцы
о Передняя нижняя подвздошная ость:
- Имеет округлый контур
- Место начала передней головки прямой мышцы бедра и подвздошно-бедренной связки
о Центр оссификации передней нижней подвздошной ости:
- Оссификация начинается к 13-15 годам
- Оссификация завершается к 20-25 годам
- Задняя верхняя подвздошная ость
- Задний край подвздошного гребня
- Место прикрепления дорзальных крестцовых связок и многораздельной мышцы
о Задняя нижняя подвздошная ость:
- Задний край большой седалищной вырезки
о Подвздошная часть вертлужной впадины:
- Задневерхний отдел вертлужной впадины образован подвздошной костью
- Составляет примерно 2/5 вертлужной впадины
• Седалищная кость:
о Седалищная ость: задний край седалищной кости:
- Большая седалищная вырезка расположена кзади от седалищной ости
- Малая седалищная вырезка расположена кпереди от седалищной ости
о Седалищная часть вертлужной впадины:
- Формирует заднюю и нижнюю 2/5 вертлужной впадины
о Седалищный бугор:
- Округлая нижняя часть седалищной кости
- В положении «сидя» седалищный бугор полностью принимает на себя вес тела
о Центр оссификации седалищного бугра:
- Оссификация начинается к 14-16 годам
- Оссификация завершается к 20-25 годам
о Ветвь седалищной кости:
- Соединяется с нижней ветвью лобковой кости, формируя седалищно-лонную ветвь
• Лобковая кость:
о Состоит из тела и двух ветвей
о Ветви сходятся на средней линии в лонном сочленении
о Тело лобковой кости:
- Латеральный отдел лобковой кости, формирующий 1/5 вертлужной впадины
о Подвздошно-лонное возвышение расположено в месте соединения с подвздошной костью
о Верхняя ветвь лобковой кости:
- Переходит в лонную порцию вертлужной впадины
- Латеральный отдел часто именуют «корнем» ветви
о Нижняя ветвь продолжается в ветвь седалищной кости
о Лобковый гребень проходит вдоль передне-верхнего края симфиза и тел лобковых костей
о Лобковый бугорок: латеральная часть лобкового гребня:
- Место прикрепления паховой связки
о Гребень лобковой кости: латеральный гребень, проходящий вдоль верхней ветви от лонного бугорка к дугообразной линии
о Вторичный центр оссификации:
- Медиальный край лобковых костей
- Появляется в пубертатном периоде; оссификация завершается в старшем юношеском возрасте
в) Мышечные группы:
• Приводящие мышцы бедра:
о Гребенчатая, короткая, длинная и большая приводящие,наружная запирательная и квадратная мышцы бедра
• Сгибатели бедра:
о Подвздошно-поясничная мышца, прямая мышца бедра и портняжная мышца
• Отводящие мышцы бедра:
о Средняя и малая ягодичные мышцы, напрягатель широкой фасции бедра и портняжная мышца
• Наружные ротаторы бедра:
о Грушевидная и близнецовые мышцы, квадратная мышца бедра, внутренняя и наружная запирательные мышцы
• Внутренние ротаторы бедра:
о Грушевидная мышца (при согнутом бедре)
• Разгибатели бедра:
о Большая ягодичная мышца, длинная головка двуглавой мышцы бедра, полуперепончатая и полусухожильная мышцы
Внутренняя поверхность тазовой кости. Обратите внимание на взаиморасположение большой и малой седалищных вырезок, разделенных седалищной остью. Прикрепление мышц и связок на внутренней поверхности таза. К мышцам нижней конечности относятся: подвздошная, поясничная, гребенчатая и внутренняя запирательная мышцы. Внутренняя поверхность таза: просвет седалищного отверстия. Каждое седалищное отверстие обведено желтой линией. Вертикально направленная крестцово-бугорная связка превращает большую седалищную вырезку в отверстие. Пересечение крестцово-6угорной и крестцово-остистой связок превращает малую седалищную вырезку в отверстие. Внутренняя запирательная и грушевидная мышцы, а также крестцовое сплетение здесь прикрывают просвет отверстия. Запирательный нерв не принадлежит крестцовому сплетению, но берет начало от 2-4 поясничных вентральных ветвей. Мышцы, поднимающие задний проход, берут начало от седалищной кости, фасции внутренней запирательной мышцы и лобковой кости.
• Подвздошная артерия:
о Отходит от нижнего сегмента аорты
о Уровень L4
о Делится на внутреннюю и наружную подвздошные артерии на уровне пограничной линии
• Внутренняя подвздошная артерия: кровоснабжает стенки таза, органы таза, ягодицы и медиальный фасциальный футляр бедра:
о Длина 3-4 см; делится на передний и задний стволы
о Задние ветви: подвздошно-поясничная, латеральная крестцовая и верхняя ягодичная артерии
о Передние ветви: нижняя ягодичная, внутренняя половая, нижняя мочепузырная (или маточная), средняя прямокишечная, влагалищная и пупочная артерии
• Верхняя ягодичная артерия: продолжение задней ветви внутренней подвздошной артерии:
о Проходит между пояснично-крестцовым стволом и корешком S1
о Покидает таз кверху от грушевидной мышцы
о Разветвляется и кровоснабжает мышцы:
- Поверхностная: большую ягодичную мышцу
- Глубокая: среднюю и малую ягодичные мышцы и напрягатель широкой фасции бедра
о Верхняя ягодичная вена: сопровождает артерию, впадает во внутреннюю подвздошную вену
• Нижняя ягодичная артерия: большая терминальная ветвь переднего ствола внутренней подвздошной артерии:
о Проходит между корешками S1 и S2 или S2 и S3
о Покидает таз через седалищную вырезку книзу от грушевидной мышцы
о Проходит кзади и кнутри от седалищного нерва
о Кровоснабжает диафрагму таза, грушевидную мышцу, квадратную мышцу бедра, верхнюю часть мышц задней поверхности бедра и большую ягодичную мышцу, а также седалищный нерв
о Нижняя ягодичная вена: сопровождает артерию, впадает во внутреннюю подвздошную вену
• Запирательная артерия: отходит от передней ветви внутренней подвздошной артерии
о Проходит по боковой поверхности таза кнаружи от мочеточника, семенного протока, брюшины
о Покидает таз через запирательный канал и переходит на внутреннюю поверхность бедра
о Вертлужная ветвь проходит через вырезку вертлужной впадины к связке головки бедренной кости
о В 20% случаев от нижней надчревной артерии отходит аберрантная артерия
о Запирательная вена сопровождает артерию, впадает во внутреннюю подвздошную вену
• Наружная подвздошная артерия:
о Ветви: нижняя надчревная артерия, глубокая артерия, огибающая подвздошную кость
о Проходит под паховой связкой, после чего становится бедренной артерией
Крестец спереди. Крестцовый мыс представляет собой верхний отдел сегмента S1. Боковые части крестца представлены его «крыльями». Обратите внимание на наличие остаточных структур тел позвонков, включая рудименты дисков и невральные отверстия между сегментами. Крестец сзади. Рудиментарные позвонки здесь не так хорошо различимы, как спереди. Срединный гребень крестца образован сросшимися остистыми отростками, промежуточный гребень—сросшимися суставными отростками, боковой гребень—сросшимися поперечными отростками. Все гребни различимы. Длинная и короткая дорзальные крестцово-подвздошные связки прикрепляются к боковым гребням крестца. За счет неполного сращения пластинки в нижнем отделе крестца формируется крестцовая щель. Эта щель используется для дополнительного доступа к эпидуральному пространству. Задние структуры проксимального отдела бедра на уровне таза. Большая ягодичная мышца отсечена для демонстрации наружных ротаторов бедра. Седалищный нерв покидает таз через большое седалищное отверстие и лежит позади наружных ротаторов. Половой нерв также покидает таз через большое седалищное отверстие, однако входит обратно через малое седалищное отверстие, проникая в половой канал на боковой стенке седалищно-прямокишечной ямки. Крестцовое сплетение лежит кпереди от грушевидной мышцы. Показаны передние (желтым цветом) и задние (зеленым цветом) ветви соответствующих нервов. Общий малоберцовый нерв является постаксиальным нервом, а большеберцовый—преаксиальным. Малоберцовый и большеберцовый нервы проходят совместно в составе седалищного нерва, однако хорошо различимы на аксиальных МР-томограммах.
д) Нервы:
• Преаксиальные: кпереди от кости
• Постаксиальные: кзади от кости
• Поясничное сплетение: вентральные ветви L1, L2, L3 и частично L4:
о Формируется вдоль передних отделов поперечных отростков в толще большой поясничной мышцы
о Ветви: подвздошно-подчревная - L1+T12; подвздошно-паховая - L1; бедренно-половая - L1, L2 (преаксиально); латеральная кожная бедра - L2, L3 (постаксиальный); запирательная - L2, L3, L4 (преаксиально); добавочная запирательная - L3, L4 (преаксиально); бедренная - L2, L3, L4 (постаксиально)
- Запирательный и бедренный нервы
• Крестцовое сплетение: пояснично-крестцовый ствол (нисходящий L4, передняя ветвь L5), S1, S2, S3:
о Формируется на передней поверхности грушевидной и копчиковых мышц
о Ветви:
- Седалищный нерв делится на большеберцовый нерв: L4, L5, S1, S2, S3 (преаксиально); общий малоберцовый нерв: L4, L5, S1, S2 (постаксиально)
- Мышечные ветви: к грушевидной мышце - S1, S2; к мышце, поднимающей задний проход и к копчиковой мышце - S3, S4; к квадратной мышце бедра и нижней близнецовой мышце-L4, L5, S1; к внутренней запирательной мышце и верхней близнецовой мышце-1-5, S1, S2
- Верхний ягодичный нерв: L4, L5, S1; нижний ягодичный нерв: L5, S1, S2; задний кожный нерв бедра: S1, S2, S3; прободающий кожный нерв: S2, S3; половой нерв: S3, S4; тазовый внутренностный нерв: S2, S3, S4; промежностная ветвь S4
• Копчиковое сплетение: S4, S5, копчиковые нервы:
о Иннервирует копчиковые мышцы и мышцу, поднимающую задний проход
о Ветвь: заднепроходно-копчиковый нерв.
Ультразвуковая анатомия плечевого сустава. Профессор В. А. Изранов
Плечевой сустав трехосный, по форме относится к шаровидным суставам. Благодаря тому, что плечевой сустав является наиболее подвижным суставом человеческого тела, рука обладает значительной свободой движения, что обеспечивает полноценное функционирование верхней конечности. Плечевой сустав, articulatio humeri, образован суставной впадиной лопатки, cavitas glenoidalis scapulae, и головкой плечевой кости, caput humeri. Суставные поверхности покрыты гиалиновым хрящом и не соответствуют друг другу. Конгруэнтность суставных поверхностей увеличивается за счет суставной губы, lаbrum glenoidale, которая располагается по краю суставной впадины.
Структурными элементами плечевого сустава являются капсульно-связочный аппарат (капсула сустава, суставная губа, связки капсулы, внесуставные связки), мышечный инсерционный аппарат (мышцы вращающей манжеты плеча (ВМП) и место их прикрепления, сухожилие длинной головки двуглавой мышцы плеча) и скелет (суставная впадина лопатки, головка плечевой кости) (рис. 1).

Рис. 1. Суставная капсула плечевого сустава (Архипов С. В., Кавалерский Г.М., 2009): а – фронтальный срез плечевого сустава: 1 – подакромиальная сумка, 2 – акромион, 3 – верхний отдел капсулы сустава, 4 – сухожилие надостной мышцы, 5 – суставная губа, 6 – суставной хрящ головки плечевой кости, 7 – суставная впадина лопатки, 8 – нижний отдел капсулы сустава (карман Риделя). б – передний отдел капсулы сустава: 1 – сухожилие длинной головки двуглавой мышцы плеча, 2 и 3 – верхняя и средняя суставно-плечевые связки, 4 и 5 – передняя и задняя порции нижней суставно-плечевой связки. в – задний отдел капсулы сустава: 2 – большой бугорок плечевой кости, 3 и 4 – задняя и передняя порции нижней суставно-плечевой связки, 5 – шейка лопатки.
Стабилизирующий эффект суставной поверхности достигается с помощью мышечного напряжения вращательной манжеты плеча, которое создает эффект компрессии впадины (рис. 2).
Стабильность, статическая и динамическая, плечевого сустава зависит от состояния окружающих параартикулярных мягких тканей и внутрисуставных тканей. Статическую стабильность поддерживают суставная капсула, суставно-плечевые связки и суставная губа. Площадь поверхности суставной капсулы приблизительно в 2 раза больше площади головки плечевой кости. Капсула достаточно герметична, поэтому отрицательное внутрисуставное давление может способствовать стабилизации плечевого сустава. Она обхватывает плечевой сустав, приобретая форму цилиндра (в действительности это усеченный конус из-за несоответствия диаметров головки плечевой кости и суставной впадины лопатки), который простирается от основания клювовидного отростка и края суставной впадины лопатки в месте прикрепления суставной губы до дистальной части границы между анатомической шейкой и проксимальной частью диафиза плечевой кости.
Рис. 2. Костная основа плечевого сустава (Архипов С. В., Кавалерский Г.М., 2009): а – эффект мышечной компрессии в суставной впадине лопатки (указано серыми стрелками): 1 – подлопаточная мышца, 2 – подостная мышца (красная стрелка – направление действия врашательной манжеты плеча и центрации головки плечевой кости в суставной впадине)
Суставная губа способствует стабилизации плечевого сустава благодаря увеличению его контактной поверхности и действует как переносящая нагрузку структура, защищающая костные края суставной впадины, улучшая скольжение головки плечевой кости. Стабилизирующее действие суставной губы также связано с ее вакуумным эффектом: она обхватывает головку плечевой кости подобно присоске.
За счет отрицательного давления, возникающего в промежутке между суставной впадиной лопатки и головкой плечевой кости, последняя может легко вращаться в физиологических пределах, противодействуя переднезаднему и верхненижнему смещениям (рис. 3).
Суставно-плечевые (плечелопаточные) связки (верхняя, средняя и нижняя) представляют собой утолщение передней части суставной капсулы в виде трех продольных пучков (рис. 4 и 5).

Рис. 3. Суставная губа (Архипов С. В., Кавалерский Г.М., 2009): 1 – суставная впадина лопатки, 2 – внешний вид суставной губы, 3 – головка плечевой кости

Рис. 4. Расположение суставно-плечевых связок (Архипов С. В., Кавалерский Г.М., 2009): 1 – сухожилие надостной мышцы; 2 – сухожилие длинной головки двуглавой мышцы плеча; 3 – верхняя суставно-плечевая связка; 4 – сухожилие подлопаточной мышцы; 5 – средняя суставно-плечевая связка; 6 – передняя порция нижней суставно-плечевой связки; 7 – суставная впадина лопатки; 8 – сухожилие малой круглой мышцы; 9 – суставная губа; 10 – сухожилие подостной мышцы

Рис. 5. Суставно-плечевые связки (Архипов С. В., Кавалерский Г.М., 2009): 1 – сухожилие двуглавой мышцы плеча; 2 – верхняя суставноплечевая связка; 3 – средняя; 4 – нижняя
Верхняя суставно-плечевая связка предотвращает смещение головки плечевой кости вниз. Средняя суставно-плечевая связка ограничивает переднее смещение головки плечевой кости, наружную ротацию и отведение плеча. Нижняя суставно-плечевая связка обеспечивает поддержку головки плечевой кости подобно гамаку при отведении и наружной ротации плеча и предотвращает его переднюю сублюксацию и вывих.
Динамическая стабильность плечевого сустава обеспечивается окружающими его мышцами, прежде всего мышцами, образующими вращательную манжету плеча, которая осуществляет контроль положения головки плечевой кости в суставной впадине лопатки посредством выравнивания динамических усилий других мышц, воздействующих на плечевой сустав. Вращательная манжета плеча состоит из надостной, подостной, малой круглой и подлопаточной мышц, которые начинаются от лопатки и прикрепляются к проксимальному отделу плечевой кости короткими широкими сухожилиями, срастающимися с волокнами суставной капсулы и окружающими головку плечевой кости (рис. 6).

Рис. 6. Мышцы вращательной манжеты плеча (Архипов С. В., Кавалерский Г.М., 2009): 1 – подлопаточная мышца, 2 – сухожилие длинной головки двуглавой мышцы плеча, 3 – сухожилие надостной мышцы, 4 – сухожилие подостной мышцы, 5 – сухожилие малой круглой мышцы, 6 – большой бугорок плечевой кости.
Артерии верхней конечности. Плечевая артерия. Анатомия. Лекция для врачей
Подключичная артерия, а. subclavia, парная, начинается слева от дуги аорты, а справа — от плечеголовного ствола (рис.1).

Рис. 1. Ветви дуги аорты

Рис.2. Ветви подключичной артерии
В первом отделе от подключичной артерии отходят позвоночная, внутренняя грудная артерии и щитошейный ствол.
Позвоночная артерия, a. vertebralis, — восходящая ветвь подключичной артерии. Позвоночная артерия проходит в поперечных отверстиях от шестого до второго шейных позвонков, затем прободает заднюю атланто-затылочную мембрану, твердую мозговую оболочку спинного мозга и через большое затылочное отверстие вступает в полость черепа (рис.3).

Рис.3. Артерии головы и шеи
Здесь правая и левая позвоночные артерии приближаются к средней линии и у заднего края моста соединяются, образуя базилярную артерию (рис.4).

Рис. 4. Сосуды головного мозга
Позвоночная артерия отдает мелкие ветви к мышцам шеи, спинному мозгу, твердой мозговой оболочке затылочных долей головного мозга.
Крупными ветвями позвоночной артерии являются: передняя спинномозговая артерия, a. spinalis anterior, которая соединяется с одноименной артерией противоположной стороны с образованием непарной артерии; задняя спинномозговая артерия, a. spinalis posterior, задняя нижняя артерия мозжечка, a. cerebelli inferior posterior. Базилярная артерия, a. basilaris, — непарная артерия, которая образуется в результате слияния правой и левой позвоночной артерий. Лежит в одноименной борозде моста и у переднего его края разделяется на правую и левую задние мозговые артерии, a.а. cerebri posteriores. Ветвями базилярной артерии являются парные артерии: передняя нижняя артерия мозжечка, a. inferior anterior cerebelli, разветвляющаяся в передней части нижней поверхности мозжечка; артерии моста, аа. pontis, кровоснабжающие мост; верхняя артерия мозжечка, a. cerebelli superior.

Рис. 5. Артериальные анастомозы на основании мозга
Между бассейнами внутренней сонной и подключичной артерий имеется анастомоз, расположенный на основании головного мозга в виде артериального круга большого мозга, circulus arteriosus cerebri [Wilisii]).В его образовании участвуют: a. carotis interna (левая и правая), начальные отделы a.a. cerebri anteriores, a. communicans anterior, a.a. communicans posteriores и a.а. cerebri posteriors из a. vertebralis (рис.5).
На передней поверхности продолговатого мозга конечными отделами обеих позвоночных артерий и начальными отделами обеих передних спинномозговых артерий образуется анастомоз в форме ромба (Захарченко) (рис. 5).
Внутренняя грудная артерия, a. thoracica interna, отходит от подключичной артерии, направляется вниз по задней поверхности передней грудной стенки латеральнее края грудины и на уровне VII реберного хряща разветвляется на конечные ветви: мышечно-диафрагмальную, a.musculophrenica, - к диафрагме, и верхнюю надчревную артерии, a.epigastrica superior,-к мышцам передней брюшной стенки. Внутренняя грудная артерия отдает также мелкие ветви: к вилочковой железе; к соединительной ткани и лимфоузлам средостения; к нижнему отделу трахеи и к главным бронхам; к мышцам груди и молочной железе; перикардодиафрагмальную артерию, a. pericardiacophrenica, которая сопровождает диафрагмальный нерв и кровоснабжает перикард и диафрагму (рис.2,6).

Рис. 6. Внутренняя грудная артерия и ее ветви
Щитошейный ствол, truncus thyrocervicalis, — толстый ствол, длиной 1,5 см (рис.6). Ствол разветвляется на нижнюю щитовидную, надлопаточную и восходящую шейную артерии. Нижняя щитовидная артерия, a. thyroidea inferior, направляется к задней поверхности щитовидной железы и отдает также ветви к трахее, пищеводу, глотке, гортани. Надлопаточная артерия, a. suprascapularis, направляется к вырезке лопатки, проходит над поперечной связкой лопатки кровоснабжает дорсальные мышцы лопатки. Восходящая шейная артерия, a. cervicalis ascendens, кровоснабжает глубокие мышцы шеи и спинной мозг (рис.2,3).
Во втором отделе от подключичной артерии отходит реберно- шейный ствол, truncus costocervicalis. Начавшись в межлестничном пространстве, он сразу делится на глубокую шейную и наивысшую межреберную артерии. Глубокая шейная артерия, a. cervicalis profunda, аправляется к полуостистым мышцам головы и шеи. Наивысшая межреберная артерия, a. intercostalis suprema, разветвляется в первом и втором межреберных промежутках, кровоснабжают спинной мозг, мягкие ткани задней области шеи и спины.
В третьем отделе от подключичной артерии отходит поперечная артерия шеи, a. transversa colli, которая прободает плечевое сплетение, (рис.6) идет назад и разветвляется в мышцах спины.
Подмышечная артерия
Подмышечная артерия, a. axillaris, является продолжением подключичной артерии и располагается в подмышечной полости. У нижнего края большой грудной мышцы подмышечная артерия продолжается в плечевую артерию (рис.7). По ходу подмышечной артерии можно выделить три отдела: между наружным краем I ребра и верхним краем малой грудной мышцы, позади малой грудной мышцы, между нижним краем малой грудной мышцы и нижним краем большой грудной мышцы.
В первом отделе от подмышечной артерии отходят: верхняя грудная артерия, a. thoracica superior,- к мышцам двух верхних межреберных промежутков; грудоакромиальная артерия, a. thoracoacromial, которая кровоснабжает плечевой сустав, акромиально-ключичный сустав, дельтовидную и обе грудные мышцы.

Рис. 7. Подмышечная артерия
Во втором отделе от подмышечной артерии ответвляется латеральная грудная артерия, a. thoracica lateralis, которая спускается по поверхности передней зубчатой мышцы, кровоснабжает ее, а также отдает ветви к молочной железе.
В третьем отделе от подмышечной артерии отходят три артерии: а) подлопаточная артерия, a. subscapularis, которая разветвляется на две ветви: огибающую артерию лопатки a. circumflexa scapulae, кровоснабжающую мышцы и кожу лопаточной области спины, и грудоспинную артерию, a. thoracodorsalis, которая разветвляется в толще широчайшей мышцы спины; б) передняя огибающая артерия плеча, a. circumflexa humeri anterior, огибает спереди шейку плечевой кости и питает близлежащие мышцы и плечевой сустав; в) задняя огибающая артерия плеча, a. circumflexa humeri posterior проходит через четырехстороннее отверстие, огибает сзади хирургическую шейку плечевой кости и питает близлежащие мышцы и плечевой сустав.
Плечевая артерия
Плечевая артерия, a. brachialis, является продолжением подмышечной артерии (рис.8). Артерия проходит на плече по медиальному краю двуглавой мышцы плеча и на уровне шейки лучевой кости делится на две конечные ветви: лучевую и локтевую артерии. От плечевой артерии отходят ветви: 1. Глубокая артерия плеча, a. profunda brachii, проходит вместе с лучевым нервом в плече-мышечном канале и спирально огибает заднюю поверхность плечевой кости. На своем протяжении артерия отдает артерии, питающие плечевую кость, дельтовидную мышцу, плечевой сустав, мышцы плеча. Глубокая артерия плеча отдает коллатеральные артерии, a. collateralis radialis et a. collateralis media, которые участвуют в образовании артериальной сети локтевого сустава (рис.8).
Рис. 8. Ветви плечевой артерии
1 - подмышечная артерия; 2 - верхняя грудная артерия; 3 - грудоакромиальная артерия; 4 - латеральная грудная артерия; 5 - подлопаточная артерия; 6 и 7 - передняя и задняя артерии, огибающие плечевую кость; 8 - плечевая артерия; 9 - глубокая артерия плеча; 10 - верхняя локтевая коллатеральная артерия; 11 - лучевая коллатеральная артерия; 12 - нижняя локтевая коллатеральная артерия; 13 - локтевая артерия; 14 - лучевая артерия; 15 - возвратная локтевая артерия; 16 - возвратная лучевая артерия; 17 - общая межкостная артерия; 18 - передняя межкостная артерия; 19 - задняя межкостная артерия
2. Верхняя локтевая коллатеральная артерия, a. collateralis ulnaris superior, отходит от плечевой артерии на середине плеча, ложится на заднюю поверхность медиального надмыщелка плеча и участвует в образовании артериальной сети локтевого сустава. 3.Нижняя локтевая коллатеральная артерия, a. collateralis ulnaris inferior, отходит в нижней трети плеча, ложится на переднюю поверхность медиального надмыщелка плеча и участвует в образовании артериальной сети локтевого сустава.
Лучевая артерия
Лучевая артерия, a. radialis, является непосредственным продолжением плечевой артерии. Лучевая артерия спускается вдоль лучевой кости в лучевой борозде. В нижней трети предплечья артерия лежит только под кожей и фасцией и может быть прижата к лучевой кости для определения пульса (рис.9).
На уровне шиловидного отростка артерия огибает латеральный край запястья, выходит в «анатомическую табакерку», где можно прощупать ее пульсацию, затем выходит на тыл кисти, откуда проникает на ладонь через первый межкостный промежуток. На ладони артерия поворачивает медиально и участвует в образовании глубокой ладонной дуги, arcus palmaris profundus.

Рис. 9. Артерии предплечья
От лучевой артерии отходят ветви: Лучевая возвратная артерия, a. recurrens radialis, отходит в начале лучевой артерии, и анастомозирует с лучевой коллатеральной артерией.
Поверхностная ладонная ветвь, r. palmaris superficialis, направляется на ладонь, где участвует в образовании поверхностной ладонной дуги.
Ладонная запястная ветвь, r. carpalis palmaris, начинается в дистальном отделе предплечья, анастомозирует с одноименной ветвью локтевой артерии, образуя ладонную лучезапястную сеть (rete carpale palmare).
Тыльная запястная ветвь, r. carpalis dorsalis, начинается на тыльной поверхности кисти, анастомозирует с одноименной ветвью локтевой артерии, образуя вместе с ветвями межкостных артерий тыльную запястную сеть, rete carpale dorsale. Артерия большого пальца кисти, a. princeps pollicis, отходит от лучевой артерии в первом межкостном промежутке. Эта артерия делится на две конечные ветви, питающие ладонную поверхность большого пальца, и отдает лучевую артерию указательного пальца.
Локтевая артерия
Локтевая артерия, a. ulnaris, спускается в локтевой борозде предплечья до лучезапястного сустава, проходит через локтевой канал запястья на ладонь, где участвует в образовании поверхностной ладонной дуги, arcus palmaris superficialis (рис.9).
От локтевой артерии отходят ветви: Локтевая возвратная артерия, a. recurrens ulnaris, направляется вверх к локтевому суставу и делится на две ветви, участвующие в его кровоснабжении: переднюю и заднюю. Передняя ветвь анастомозирует с нижней локтевой коллатеральной артерией, а задняя ветвь - с верхней локтевой коллатеральной артерией.
Общая межкостная артерия, a. interossea communis, — короткий ствол, который разветвляется на переднюю и заднюю межкостные артерии.
Передняя межкостная артерия, a. interossea anterior, идет по передней поверхности межкостной мембраны предплечья, и участвует в образовании тыльной лучезапястной сети.
Задняя межкостная артерия, a. interossea posterior, проходит через отверстие в верхней части межкостной мембраны на ее заднюю поверхность и спускается к тыльной лучезапястной сети.
Ладонная запястная ветвь, r. carpalis palmaris, чуть ниже квадратного пронатора и присоединяется к ладонной запястной сети.
Тыльная запястная ветвь, r. carpalis dorsalis, направляется на тыл кисти и присоединяется к тыльной лучезапястной сети.
Глубокая ладонная ветвь, r. palmaris profundus, ответвляется от локтевой артерии у гороховидной кости и соединяется с конечным отделом лучевой артерии, образуя глубокую ладонную дугу.
Артериальные дуги кисти
На ладонной поверхности кисти имеются две ладонные дуги: поверхностная и глубокая. Поверхностная ладонная дуга, arcus palmaris superficialis, образована локтевой артерией и поверхностной ладонной ветвью лучевой артерии. Поверхностная дуга располагается под ладонным апоневрозом, на уровне середины тел пястных костей (рис.10).
От выпуклой поверхности дуги отходят четыре общие ладонные пальцевые артерии, аа. digitales palmares communes, три из которых идут во втором, третьем и четвертом межпальцевых промежутках, а четвертая - вдоль локтевой стороны мизинца. На уровне межпальцевых складок артерии разделяются на собственные ладонные пальцевые артерии, аа. digitales palmares propriae, кровоснабжающие обращенные друг к другу поверхности II-V пальцев.
Глубокая ладонная дуга, arcus palmaris profundus, образована конечным отделом лучевой артерии и глубокой ладонной ветвью локтевой артерии. Глубокая дуга располагается на уровне оснований II-V пястных костей под сухожилиями сгибателей пальцев. От глубокой ладонной дуги отходят три ладонные пястные артерии, аа. metacarpales palmares, впадающие в общие ладонные пальцевые артерии.

Рис. 10. Артериальные дуги кисти. А-поверхностная дуга. Б-глубокая дуга
Тыльная поверхность кисти кровоснабжается из тыльной запястной сети, rete carpale dorsale. От сети в дистальном направлении отходят четыре тыльные пястные артерии, аа. metacarpales dorsales, которые делятся на две тыльные пальцевые артерии, аа. digitales dorsales, к II-V пальцам. Тыльные пястные артерии соединяются с ладонными пястными артериями через межкостные промежутки с помощью прободающих ветвей (rr. perforantes).
Читайте также:
