КТ, МРТ позвоночника при нейрогенной артропатии Шарко
Добавил пользователь Евгений Кузнецов Обновлено: 06.01.2026
Какой метод диагностики нейрогенной артропатии выбрать: МРТ, КТ, рентген, УЗИ
Методы выбора
Патогномоничные признаки нейрогенной артропатии
Выраженная деструкция и распад сустава у пациентов с основным заболеванием, лежащим в основе развития нейропатической остеоартропатии (преимущественно сахарным диабетом - диабетическая остеоартропатия).
Что покажет рентген сустава при нейрогенной артропатии
- У пациентов с сахарным диабетом существует предрасположенность к поражению стопы
- При сирингомиелии предрасположенность к поражению верхних конечностей (плечевой сустав).
Ранняя (активная) стадия:
- Деминерализация или остеолизис в области сустава
- Сужение суставной щели
- Уплощение суставных поверхностей
- Переломы вследствие недостаточности костной ткани.
Поздняя (репаративная) хроническая стадия:
- Склероз пораженной кости
- Остеофиты
- Подвывих
- Костные осколки в суставе
- Синостоз/анкилоз.
Классификация диабетической стопы по EICHENHOLTZ:
- I стадия: рентгенологические признаки отрицательные или демонстрируют локальный остеопороз.
- II стадия: срастание мелких костных фрагментов, абсорбция костных осколков.
- III стадия: консолидация и ремоделирование фрагментов перелома.

а,b Нейропатическая остеоартропатия стопы у мужчины 69 лет с длительным течением сахарного диабета:
а) Рентгенологическое исследование стопы демонстрирует места деструкции кости в основании второй плюсневой кости. Остеосклеротические изменения поражают ладьевидную кость по направлению к медиальной клиновидной, а также промежуточную клиновидную по направлению ко второй плюсневой кости.

b) Т1 -взвешенная МРТ после введения контрастного вещества демонстрирует отек мягких тканей и отечные предплюсневые кости, так же как кистозные изменения и явления синовита.
Что покажут снимки МРТ суставов при нейрогенной артропатии
- Определение отека костного мозга и мягких тканей (гипоинтенсивный на Т1-взвешенном изображении, гиперинтенсивный в последовательности с подавлением МР-сигнала от жировой ткани)
- Усиление сигнала синовиальной оболочки после введения контрастного агента (синовит)
- Выпот в полости сустава.
Зачем проводят сцинтиграфию при подозрении на сустав Шарко
- Накопление радионуклида (комплексы дифосфата технеция), особенно в отсроченной фазе
Клинические проявления
- Нарастающий болевой синдром в области сустава
- Иногда припухлость
- Снижение чувствительности обычно приводит к возникновению несоответствия между выраженными рентгенологическими признаками и минимальными субъективными симптомами.
Методы лечения сустава Шарко
- Ортопедические приспособления
- Избегать точечного давления на стопу
- Уход за кожей.
Течение и прогноз
Что хотел бы знать лечащий врач
- Пораженные суставы (распространенность нейрогенной артропатии)
- Исключение остеомиелита.
Какие заболевания имеют симптомы, схожие с нейрогенной артропатией
Остеомиелит
- Возможны затруднения при проведении дифференциальной диагностики, учитывая сходный профиль пациентов и клинические проявления
- Рентгенологическое исследование: быстрый распад кости, очаги скопления газа
- Сцинтиграфия: гиперперфузия в ранней фазе при двухфазном сканировании кости
- МРТ: образование типичных абсцессов, свищевых ходов приводит к изъязвлению поверхности кожи. Ограничено пораженным отделом стопы. С другой стороны, нарушения сигнала очень сходны с таковыми при нейрогенной остеоартропатии с отеком мягких тканей и костей
КТ, МРТ позвоночника при нейрогенной артропатии Шарко
а) Терминология:
• Деструктивная артропатия, развивающаяся при нарушении болевой и проприоцептивной чувствительности при сохранении подвижности суставов
б) Визуализация нейрогенной артропатии Шарко:
• Изменения позвоночника практически всегда ограничены поясничным отделом
• Деструкция замыкательных пластинок позвонков
• Деструктивная артропатия дугоотростчатых суставов
• Сохранение нормальной плотности костной ткани
• Несрастание переломов
• Костный дебрис вокруг позвонков
• Подвывихи позвонков
• Мягкотканный компонент, который может достигать значительных размеров
• Гетерогенное контрастное усиление сигнала:
о Как измененных позвонков, так и мягкотканного компонента
(Слева) На сагиттальной схеме показаны артропатические изменения трех смежных межпозвонковых дисков, проявляющиеся в виде эрозий замыкательных пластинок, образовании костного дебриса и деформации позвоночника.
(Справа) КТ, сагиттальный срез: артропатия Шарко с формированием ложного сустава на уровне L2-L3 и ремоделированием тел смежных позвонков, выраженным избыточным костеообразованием в области задних элементов позвоночника. Обратите внимание на ретролистез спинномозгового канала на уровне L2-L3, а также линейную кальцификацию твердой мозговой оболочки на нижнегрудном уровнем вследствие перенесенного арахноидита. (Слева) КТ, фронтальный срез: признаки типичного массивного костеообразования, связанного сложным суставом на фоне нейропатии.
(Справа) Т1-ВИ с КУ, сагиттальная проекция: у пациента с параплегий вследствие полного пересечения спинного мозга отмечается гетерогенное контрастное усиление сигнала на фоне деструктивной артропатии на уровне L2-L3 с задним подвывихом позвонков, центральными жидкостными скоплениями. окруженными накапливающими контраст зонами репарации. Уровень L3-L4 изменен в меньшей степени. Видимые на МРТ при артропатии Шарко выраженные изменения мягких тканей нередко поднимают вопрос об инфекционной или опухолевой природе этих изменений.
в) Дифференциальная диагностика:
• Неспецифическое инфекционное поражение
• Атипичное течение специфических инфекционных поражений: туберкулез, грибковое поражение
• Саркома мягких тканей
• Костная опухоль
• Дегенеративное поражение межпозвонкового диска с нестабильностью
г) Клинические особенности:
• Нестабильность позвоночника
• Деформация позвоночника
• Лечение заключается в стабилизации пораженных сегментов и спондилодезе
д) Диагностическая памятка:
• Дифференциальная диагностика нейрогенной артропатии и инфекционного поражения сустава является одной из наиболее сложных проблем рентгенологии
• Лишь два патологических процесса способны привести к полному разрушению сустава всего лишь за один месяц: инфекция и нейрогенная артропатия
Лучевая диагностика нейрогенной артропатии позвоночника (Шарко)
а) Терминология:
1. Сокращения:
• Нейропатический позвоночник, нейропатическая артропатия
2. Определения:
• Деструктивная артропатия, развивающаяся при нарушении болевой и проприоцептивной чувствительности при сохранении подвижности суставов
б) Визуализация:
1. Общие характеристики:
• Наиболее значимый диагностический признак:
о Выраженные деструктивные изменения межпозвонковых дисков и дугоотростчатых суставов при сохранении нормальной костной плотности, затрагивающие 1-2 позвоночно-двигательных сегмента
• Локализация:
о Практически всегда это поясничный отдел позвоночника
о Иногда поражается нижнегрудной отдел позвоночника
2. Рентгенологические данные нейрогенной артропатии (Шарко):
• Рентгенография:
о Ранние стадии артропатии могут напоминать тяжелое дегенеративное поражение межпозвонкового диска:
- Снижение высоты межпозвонкового диска
- Дискогенный склероз
- Крупные спондилофиты, нередко значительно более выраженные, чем при дегенерации межпозвонкового диска
- Феномен вакуума
о Деструкция замыкательных пластинок
о Деструктивная артропатия дугоотростчатых суставов
о Сохранение костной плотности
о Несрастание переломов:
- Небольшие неконсолидированные костные фрагменты
о Подвывихи позвонков
о Нередко быстрое прогрессирование изменений
о Дезорганизация позвоночника
3. КТ при нейрогенной артропатии (Шарко):
• Костная КТ:
о Деструкция замыкательных пластинок, дугоотростчатых суставов:
- Часто видны эрозии и костные кисты
- Поражение замыкательных пластинок обычно менее равномерное, чем это бывает при инфекции
о Костный дебрис и несрастание переломов
о Мягкотканный компонент, который может достигать значительных размеров:
- Усиление изображения при введении контраста
4. МРТ при нейрогенной артропатии (Шарко):
• Изменения межпозвонковых дисков:
о Деструкция замыкательных пластинок
о Отек костного мозга (низкая интенсивность сигнала в Т1 -режиме, высокая интенсивность сигнала в Т2- и STIR-режиме)
о Контрастное усиление сигнала дисков и тел позвонков после введения гадолиния
• Изменения дугоотростчатых суставов: о Деструкция субхондральной кости
о Выпот в полости суставов
о Отек костного мозга
о Контрастное усиление сигнала в области дугоотростчатых суставов после введения гадолиния
• Мягкотканный компонент:
о Может отсутствовать
о Гетерогенная интенсивность сигнала:
- Преимущественно низкий сигнал в Т1 -режиме, изо- или гиперинтенсивный сигнала в Т2- и STIR-режиме
о Костный дебрис в толще мягкотканного компонента увидеть сложно
• Жидкостные скопления:
о Могут отсутствовать
о Краевое контрастное усиление сигнала
о Могут напоминать абсцесс
5. Радиоизотопные исследования:
• Костная сцинтиграфия:
о Положительный результат сканирования во всех трех фазах исследования
• ПЭТ:
о Усиление захвата ФДГ
• Сцинтиграфия с Ga:
о Положительный результат
• Сцинтиграфия с лейкоцитами, меченными индием:
о Положительный результат при активной форме артропатии
6. Рекомендации по визуализации:
• Наиболее оптимальный метод диагностики:
о КТ: сохраненная костная плотность, костный дебрис лучше всего видны на КТ-изображениях, КТ помогает дифференцировать артропатические изменения от инфекционного поражения
• Протокол исследования:
о Тонкосрезовая КТ с реконструкциями изображений в сагиттальной и фронтальной плоскостях

(Слева) КТ, фронтальный срез: практически полная облитерация спинномозгового канала 53 у пациента с нейрогенной артропатией на фоне травматической параплегии. Видны множество неконсолидированных костных фрагментов, образующих костный дебрис. Плотность костной ткани сохранена.
(Справа) Т1-ВИ, FS с КУ, аксиальная проекция: скопление жидкости, окруженное гетерогенно усиливающим сигнал мягкотканными компонентом. Гетерогенное усиление сигнала отмечается и в костной ткани. Инфекционный процесс в данном случае был исключен на основании данных бактериологического исследования операционного материала, лабораторных данных и последующего наблюдения за пациентом.
в) Дифференциальная диагностика нейрогенной артропатии (Шарко):
1. Неспецифическое инфекционное поражение:
• Чаще всего сопровождается остеопенией, однако иногда встречается склерозирующий вариант течения инфекционного процесса
• Деструкция смежных замыкательных пластинок и расположенного между ними диска
• Иногда формируется свищ, костные секвестры
• Паравертебральный абсцесс характеризуется периферическим контрастным усилением сигнала
• Деструкция двух соседних дисков и дугоотростчатых суставов двух смежных уровней встречается нечасто, за исключением, разве что, случаев хирургического спондилодеза
• Лихорадка, повышение СОЭ и уровня С-реактивного белка
• Результаты бактериологического исследования отрицательны в 50% случаев
2. Атипичные инфекции: туберкулез, грибковая инфекция:
• Сохранение костной плотности
• Паравертебральный мягкотканный компонент
• Аморфные кальцинаты в полости внутрикостных и мягкотканных холодных абсцессов
• Бактериологическое исследование обычно не дает результата
• Признаки легочного туберкулеза могут отсутствовать
• Диагноз скорее ставится гистологически, нежели чем культуральным методом
3. Саркома мягких тканей:
• Злокачественная фиброзная гистиоцитома
• Остеосаркома
• Реактивные веретеновидные клетки в составе мягкотканного компонента при артропатии Шарко неопытными патологоанатомами могут быть ошибочно приняты за саркому
• Исключительно мягкотканное образование
• Саркомы мягких тканей редко становятся причиной деструкции межпозвонковых дисков и дугоотростчатых суставов
4. Костная опухоль:
• Поражение двух смежных позвонков встречается редко
• Межпозвонковые диски обычно остаются интактными
5. Дегенеративное поражение межпозвонкового диска с нестабильностью:
• Тяжелое дегенеративное поражение диска, особенно в условиях нестабильности, может сопровождаться образованием эрозий замыкательных пластинок
• Такие эрозивные изменения похожи лишь на самые ранние проявления артропатии Шарко, при этом другие признаки артропатии будут отсутствовать
• Дегенеративное поражение межпозвонковых дисков характеризуется медленным прогрессированием изменений

(Слева) Рентгенограмма в прямой проекции: ранние проявления нейрогенной артропатии. Ключом к диагнозу служат фокальные деструктивные изменения замыкательных пластинок и наличие костного дебриса. При инфекционном процессе обычно наблюдается более равномерное поражение замыкательных пластинок и отмечается тенденция к остеопении.
(Справа) На рентгенограмме в прямой проекции у этого же пациента, выполненной два месяца спустя, отмечается быстрое прогрессирование нейрогенной артропатии. Обратите внимание на сформировавшуюся скол иотическую деформацию и подвывих позвонка, массивные спондилофиты, костный дебрис и признаки деструкции костной ткани на уровне межтелового пространства.
г) Патология:
1. Общие характеристики:
• Этиология:
о Состояние развивается при нарушении проприоцептивной и болевой чувствительности и сохранении подвижности суставов:
- Вследствие исчезновения проприоцепции суставы подвергаются избыточным нагрузкам, превышающим нормальную амплитуду движений в суставах
- При снижении или полной утрате болевой чувствительности пациент теряет способность защитить самого себя от мелких травм
- Избыточная подвижность суставов приводит к:
Разрывам капсулы суставов и стабилизирующих сустав связок
Микропереломам и/или переломам образующих сустав костей
- При переломах не выполняется иммобилизация, что ведет к:
Формированию гипертрофической костной мозоли
Подвывихам и/или вывихам в суставах
Развитию репаративного ответа со стороны окружающих мягких тканей
Несращению перелома
Образованию костного дебриса
Плотность костей сохраняется (т.е. остеопения вследствие иммобилизации не развивается)
• Сочетанные изменения:
о Наиболее частая причина заболевания: нейропатия вследствие сахарного диабета
о Нейрогенная артропатия впервые была описана Шарко при нейросифилисе:
- Наиболее часто при нейросифилисе поражаются тазобедренные, коленные суставы и позвоночник
о Последствия травматической параплегии:
- Пациенты с параплегией, которые, несмотря на неврологический дефицит, остаются активными, что приводит к перегрузкам утратившего чувствительную иннервацию позвоночника
- Артропатия развивается по прошествии > 5 лет после травмы
- Поражаются сегменты, расположенные ниже уровня потери чувствительности
о Врожденное отсутствие болевой чувствительности
о Нейрогенная артропатия периферических суставов может вызываться и другими причинами
2. Макроскопические и хирургические особенности:
• Склероз костей, связанный с:
о Сохранением нагрузки на пораженные сегменты позвоночника (отсутствие остеопении, связанной с иммобилизацией)
о Формированием костной мозоли
о Образованием костного дебриса
3. Микроскопические особенности:
• Фрагменты костной и хрящевой тканей
• Инфильтрация гистиоцитами и лимфоплазматическими клетками
• Фиброзная, грануляционная ткань без признаков острого воспаления
• Картина может напоминать инфекционное поражение и иногда - опухолевый процесс

(Слева) КТ, сагиттальный срез: случай менее тяжелой нейрогенной артропатии. Признаками того, что это более тяжелое, чем дегенеративное поражение межпозвонкового диска, состояние являются параплегия в анамнезе, поражение как межпозвонкового диска, так и дугоотростчатых суставов и признаки ремоделирования костной ткани вследствие нестабильности. Признаки того, что это не инфекционный процесс, включают выраженное газообразование в области диска и сохранение плотности костной ткани.
(Справа) На фронтальном КТ-срезе у этого же пациента видны крупные эрозии, захватывающие лишь часть замыкательной пластинки. Инфекционный процесс обычно поражает замыкательную пластинку целиком.
д) Клинические особенности:
1. Клиническая картина:
• Наиболее распространенные симптомы/признаки:
о Нестабильность позвоночника, иногда-слышимые ухом «щелчки»
о Вновь развивающаяся деформация позвоночника
о Распространенным заблуждением является утверждение о том, что для постановки диагноза нейропатической артропатии у пациента должен отсутствовать болевой синдром:
- Болевой синдром присутствует, однако он выражен в меньшей степени, чем это можно ожидать для такого тяжелого разрушения суставов
• Внешний вид пациента:
о Пациент с сахарным диабетом и неспецифическим болевым синдромом в спине
о Пациенте параплегией, предъявляющий жалобы на нестабильность позвоночника
2. Течение заболевания и прогноз:
• В большинстве случаев хороший результат обеспечивает спондилодез и стабилизация позвоночника
• Может развиться суперинфекция
3. Лечение нейрогенной артропатии (Шарко):
• Варианты, риски, осложнения:
о Стабильная внутренняя фиксация и спондилодез пораженных сегментов
о Возможна внешняя иммобилизация, однако эффективность ее ограничена
д) Диагностическая памятка:
1. Следует учесть:
• Дифференциальная диагностика нейрогенной артропатии и инфекционного поражения сустава является одной из наиболее сложных проблем рентгенологии
• Важными признаками, свидетельствующими в пользу нейрогенной артропатии, являются:
о Наличие предрасполагающей к ее развитию причины
о Отсутствие системных признаков воспаления
о Отрицательные результаты бактериологического исследования (пунктата или операционного материала)
о Сохранение костной плотности, дезорганизация позвоночника, наличие костного дебриса
2. Советы по интерпретации изображений:
• Только два патологических процесса способны привести к полному разрушению сустава всего лишь за один месяц: инфекция и нейрогенная артропатия
• Данные радиоизотопных методов исследования не позволяют надежно дифференцировать нейрогенную артропатию и инфекционное поражение
Лучевая диагностика спондилоартропатии
а) Терминология:
1. Синонимы:
• Прежнее наименование-серонегативная спондилоартропатия
2. Определения:
• Серонегативный (РФ-отрицательный) воспалительный артрит и энтезопатия с поражением позвоночника и крестцово-подвздошных суставов:
о Архетипом заболевания является анкилозирующий спондилит (АС)
• Энтезопатия: воспаление в зонах прикрепления связок и сухожилий (энтезы)
• Синдесмофит: оссификат паравертебральных связок или межпозвонкового диска, соединяющий два смежных тела позвонков
1. Общие характеристики:
• Наиболее значимый диагностический признак:
о Эрозии или анкилоз КПС
• Локализация:
о Первичное поражение КПС
о Могут поражаться весь позвоночник, межпозвонковые диски, синовиальные суставы
о Поражаются суставы как аксиального, так и периферического отделов скелета:
- Псориатический артрит: поражение кистей > стоп
- Реактивный артрит: поражение стоп > кистей
о Поражение зон прикрепления сухожилий и связок (энтезы)
2. Рентгенологические данные спондилоартропатии:
• Эрозивный артрит крестцово-подвздошных суставов:
о Изменения обнаруживаются в первую очередь в нижней трети суставов
о Эрозии формируются сначала на подвздошной стороне сустава о Наиболее ранний признак: потеря четкости контура субхондральной костной пластинки
о Множественные небольшие эрозии, «зубчатый нож»
о Костный блок является поздним признаком заболевания
о Двустороннее симметричное поражение: анкилозирующий спондилит, артрит на фоне воспалительных заболеваний кишечника
о Двустороннее асимметричное поражение: реактивная артропатия, псориатический артрит
• Краевые эрозии тел позвонков:
о Заострение переднего края тела позвонков
о Прогрессирование с формированием краевых эрозий
о Заживление эрозии со склерозированием кости приводит к появлению симптома «сияющего угла» (повреждение Романуса)
• Оссификация паравертебральных связок:
о Может быть гипертрофической, чаще встречается при псориатической и реактивной артропатии
о От спондилофитов оссификаты отличаются тем, что они берут начало от срединной части тел позвонков, а не от замыкательных пластинок
• Оссификация наружных волокон фиброзного кольца:
о При многоуровневом поражении придает позвоночнику вид «бамбуковой палки», чаще встречается при АС
о Фактор риска переломов
• Воспалительный артрит синовиальных суставов:
о Позвоночник и периферические суставы
о Эрозии нередко прогрессируют вплоть до формирования костного анкилоза
о Эрозии + периостальная реакция в зонах прикрепления сухожилий и связок
о Может наблюдаться атлантоаксиальный подвывих
• Кифотическая деформация
• Переломы:
о На уровне синдесмофитов и/или тел позвонков
о Нередко видны плохо вследствие остеопении, деформации позвоночника
о Нестабильны, обычно сопровождаются повреждением всех колонн позвоночника
• Ускоренное дегенеративное поражение межпозвонковых дисков:
о Наблюдается на уровне неблокированных сегментов позвоночника и связано с их перегрузкой
о Может напоминатьдисцитили поражение на фоне нейропатии
• Остеопения
3. КТ при спондилоартропатии:
• Костная КТ:
о Высокочувствительный метод ранней диагностики эрозий крестцово-подвздошных суставов
о Информативна в отношении диагностики переломов
4. МРТ при спондилоартропатии:
• Т1-ВИ:
о Низкая интенсивность сигнала костного мозга в области краевых эрозий тел позвонков и эрозий КПС
о Эрозии суставов и анкилоз
• Т2-ВИ:
о Высокая интенсивность сигнала костного мозга на ранней стадии формирования краевых эрозий тел позвонков и эрозий КПС
о Высокая интенсивность сигнала замыкательных пластинок при наличии очагов Андерссона воспалительного типа
• STIR:
о Высокая интенсивность сигнала костного мозга на ранней стадии формирования краевых эрозий тел позвонков и эрозий КПС
• Т1-ВИ с КУ:
о Выраженное контрастное усиление сигнала в активную стадию заболевания
• Обнаружение костного мозга в межтеловых пространствах (поздняя стадия болезни), сохранение просвета спинномозгового канала
5. Радиоизотопные исследования:
• Костная сцинтиграфия:
о Положительный результат трехфазовой сцинтиграфии в активную стадию заболевания
6. Рекомендации по визуализации:
• Первичным методом диагностики ранних стадий сакроилиита, связанного со спондилоартропатией аксиального скелета, является МРТ
• МРТ/КТ в сочетании другсдругом используются для оценки состояния костных структур и спинного мозга при травмах
(Слева) КТ, сагиттальный срез: у пациента с практически тотальным анкилозом позвоночника виден свежий перелом Т12 позвонка. Обратите внимание на сросшиеся дугоотростчатые суставыостистые отростки и тонкие синдесмофиты спереди. Видны признаки легкой клиновидной деформации тел L1 и L2 позвонков, давность которой оценить сложно.
(Справа) КТ, фронтальный срез: у этого же пациента виден перелом тела позвонка. Обратите внимание на признаки интерстициального фиброза легких и выраженную остеопению костей. (Слева) КТ, сагиттальный срез поясничного отдела позвоночника: трехколонный/типа Шанса перелом на уровне межпозвонкового диска L4-L5, продолжающийся в косом направлении через тело и задние элементы L4.
(Справа) Т1-ВИ, сагиттальная проекция, пациент с АС: трехколонное повреждение позвоночника с дистракцией фрагментов тела L4. Передняя оссификация определяется в виде линии низкой интенсивности. Оссифицированные межпозвонковые диски характеризуются высокой интенсивностью сигнала, связанной с жировой инфильтрацией костного мозга. (Слева) КТ, аксиальный срез: у пациента с реактивной артропатией отмечается анкилозирование левого реберно-позвоночного сустава и эрозивные изменения правого реберно-поперечного сустава. Признаки оссификации видны и в области передней продольной связки.
(Справа) На рентгенограмме в прямой проекции пациента с псориатическим артритом визуализируются выраженные боковые паравертебральные оссификаты связок. ДИСГ характеризуется аналогичной рентгенологической картиной, однако не сопровождается поражением крестцово-подвздошных суставов.
в) Дифференциальная диагностика:
1. Ревматоидный артрит:
• Поражение КПС встречается нечасто
• Первичное поражение шейного отдела позвоночника
• Формирование костного анкилоза не характерно
2. Ювенильный идиопатический артрит:
• Манифестация заболевания в возрасте младше 18 лет
• Нарушение роста позвонков с формированием костного блока
• Манифестация анкилозирующего спондилита в юношеском возрасте обычно ограничена анкилозированием КПС, периферическими энтезопатиями
3. Инфекционный сакроилиит:
• Одностороннее поражение
4. Диффузный идиопатический скелетный гиперостоз (ДИСГ):
• Равномерная оссификация паравертебральных связок
• Крестцово-подвздошные суставы интактны
5. Терапия ретиноидами:
• Равномерная оссификация паравертебральных связок
• Крестцово-подвздошные суставы интактны
(Слева) КТ, фронтальный срез: у пациента с АС отмечается выраженное склерозирование обоих КПС, анкилоз КПС справа, и эрозивные изменения слева.
(Справа) КТ, фронтальный срез: у пациента со спондилоартропа-тией аксиального скелета отмечается склерозирование верхних замыкательных пластинок и углов тел L4 и L5 позвонков, представляющее собой воспалительные изменения при анкилозирующем спондилите (поражения Рома нуса). (Слева) КТ, фронтальный срез шейного отдела позвоночника: перелом на уровне тела С5. Проксимальный отдел позвоночника смещен кзади, что свидетельствует о разгибательном механизме травмы у данного пациента. Обратите внимание на признаки типичной передней оссификации позвоночника при АС и выраженную кальцификацию межпозвонковых дисков.
(Справа) КТ, сагиттальный срез грудного отдела позвоночника: у пациента с АС визуализируются вертикально ориентированные синдесмофиты Б, признаки кальцификации межпозвонковых дисков 50 и распространенной оссификации надостистой связки. (Слева) Т2-ВИ, сагиттальная проекция: типичная картина ложного сустава позвоночника у пациента с длительно существующим АС. В области тела и межпозвонкового диска определяется косо ориентированная зона усиления интенсивности сигнала с четкими краями.
(Справа) КТ, сагиттальный-срезе: случай длительно существующего анкилозирующего спондилита с передними синдесмофитами. На нижнегрудном уровне видны косо ориентированная линия перелома с угловой деформацией 50 и небольшое количество газа.
1. Общие характеристики:
• Этиология:
о Псориатический артрит: сочетается с псориатическими кожны ми изменениями, однако может предшествовать их появлению
о Реактивный артрит: развивается после перенесенной бактериальной инфекции, например, венерического заболевания или дизентерии
о Также может развиваться на фоне язвенного колита или болезни Крона
• Генетика:
о Имеется четкая связь с гаплотипом HLA-B27:
- HLA-B27 положителен у 95% пациентов с АС, 80% пациентов с болезнью Рейтера и 50% пациентов с псориазом
- Также HLA-B27 положителен у 6-8% здоровых людей
- Псориатический артриту HLA-B27 отрицательных пациентов не сопровождается поражением позвоночника
- Спондилоартропатия развивается у 1-2% людей с антигеном HLA-B27
• Сочетанные изменения:
о Увеиты, ириты, конъюнктивиты могут встречаться при любых формах заболевания
о АС: воспалительные заболевания кишечника, аортит, фиброз верхних долей легких, сыпь
о Реактивный артрит: уретрит/цервицит, баланит, боль в области пяточной кости
о Периферический артрит:
- АС, реактивный артрит: предрасположенность к поражению нижних конечностей: тазобедренные, коленные суставы, подошвенный апоневроз
- Псориатический артрит: предрасположенность к поражению суставов кистей
о Вторичный амилоидоз, ведущий к развитию нефропатии
• РФ(-), повышение СОЭ
2. Стадирование, степени и классификация спондилоартропатии:
• Подразделяется на пять типов:
о Анкилозирующий спондилит
о Реактивная спондилоартропатия (именовавшаяся ранее синдромом Рейтера)
о Спондилоартропатия, ассоциированная с воспалительными заболеваниями кишечника
о Псориатическая спондилоартропатия
о Недифференцированная спондилоартропатия (нСпА)
3. Макроскопические и хирургические особенности:
• АС: распространенный анкилоз позвоночника сопровождается высоким риском переломов
4. Микроскопия:
• Энхондральная оссификация межпозвонковых дисков
• Воспалительные изменения синовиальной оболочки, субхондральной костной ткани, менее выраженные, чем при РА
(Слева) Т1-ВИ, сагиттальная проекция: деформация заднего листка дурального мешка вследствие формирования здесь небольших карманов (задние дивертикулы твердой мозговой оболочки). Края тел позвонков заострены, межпозвонковые диска кальцифицированы, что является отражением длительно существующего анкилозирующего спондилита. Изменение формы дурального мешка, что мы наблюдаем в данном случае, может сопровождаться клиникой синдрома конского хвоста.
(Справа) Т2-ВИ, сагиттальная проекция: у пациента с хроническим анкилозирующим спондилитом отмечается дольчатая деформация заднего края дурального мешка. В дистальном отделе дурального мешка не видно ни одного нормального корешка спинного мозга, что связано с хроническим арахноидитом, сопровождающим воспалительный процесс при АС. (Слева) TSE FS МР-И, аксиальная проекция: множественные дорзальные дивертикулы и ремоделирование задних элементов позвонка с дислокацией большинства корешков кзади.
(Справа) На TSE FS МР-И пациента с АС и синдромом конского хвоста видно, что большая часть корешков спинного мозга смещена кзади и спаяна со стенками дорзальных дивертикулов твердой мозговой оболочки. (Слева) На сагиттальном Т2 TSE FS МР-И отмечается заострение краев тел позвонков и диффузная кальцификация межпозвонковых дисков на фоне длительно существующего АС. Корешки спинного мозга спаяны с задним листком твердой мозговой оболочки. Механизм, лежащий в основе наблюдаемых изменений, до конца не понятен. Возможно, эти изменения связаны с явлениями воспаления в области задних элементов позвоночника в активную фазу заболевания.
(Справа) Т2-ВИ, аксиальная проекция: признаки сращения корешков спинного мозга с деформированным задним листком дурального мешка. Дорзальные дивертикулы твердой мозговой оболочки распространяются в направлении ремоделированной пластинки дуги позвонка.
1. Клиническая картина спондилоартропатии:
• Наиболее распространенные симптомы/признаки
о Первым проявлением заболевания обычно становится сакроилиит:
- Боль в нижней части спины, наиболее выраженная в утренние часы
о Патологический перелом:
- Риск переломов возрастает при многоуровневом анкилозировании позвоночника
- Переломы нередко возникают на фоне неадекватной по силе травме
- Нестабильные, в пожилом возрасте сопровождаются высоким числом осложнений
- Наиболее частая локализация - шейно-грудные или грудо-поясничные переходные сегменты
- Могут выявляться уже в отсроченном с момента травмы периоде, сопровождаться клиникой нестабильности или ложного сустава (поражение Андерссона невоспалительного типа)
о Другие симптомы/признаки
- Утомляемость, субфебрилитет
- Редко-синдром конского хвоста (вследствие развития синовиальных кист)
о Синдром конского хвоста как позднее проявление ассоциированного с АС адгезивного арахноидита
2. Демография:
• Возраст:
о Ранний и средний взрослый возраст
• Пол:
о Все типы заболевания чаще встречаются у мужчин
• Эпидемиология:
о Заболевание встречается в популяции с частотой 0,1-1%:
- Наиболее низкая заболеваемость отмечается в популяциях экваториальной Африки
о Заболевание нередко протекает в легкой форме и остается недиагностированным
3. Течение заболевания и прогноз:
• Большинство случаев заболевания протекают легко и ограничиваются поражением КПС
• В некоторых случаях в течение нескольких лет заболевание прогрессирует с формированием распространенного анкилоза позвоночника
• Нередко можно отметить периоды обострения и ремиссии
4. Лечение спондилоартропатии:
• Эффективным и быстродействующим методом лечения является назначение ингибиторов ТНФ-α
• Также часто применяются НПВС
е) Диагностическая памятка. Советы по интерпретации изображений:
• Обращайте внимание на исчезновение четкости контуров субхондральных костных пластинок КПС как наиболее ранний признак заболевания
• Если КПС интактны, диагноз серонегативной спондилоартропатии на основании лучевых признаков выставить нельзя
а) Терминология:
1. Синоним:
• Нейропатическая артропатия = сустав Шарко
2. Определение:
• Тяжелое быстропрогрессирующее деструктивное заболевание суставов, локализация которого часто зависит от этиологии
1. Общая характеристика:
• Лучший диагностический критерий: 5Д:
о Достаточная плотность костной ткани
о Дистенция (отечность) сустава
о Костный дебрис
о Деструкция хряща
о Дезорганизация сустава (дислокация или деформация)
• Локализация во многом зависит от этиологии:
о Плечевой сустав: сирингомиелия
о Запястье: диабет, сирингомиелия
о Позвоночник: повреждение спинного мозга, спинная сухотка, диабет:
- При параплегии мобильные сегменты, расположенные каудальнее стабилизированного сегмента являются зоной риска
о Тазобедренный сустав: алкоголизм, спинная сухотка
о Коленный сустав: спинная сухотка, врожденная невосприимчивость к боли, инъекции стероидов
о Голеностопный сустав/стопа: диабет:
- Сустав Лисфранка (предплюсне-плюсневый) > таранноладьевидный > межплюсневые > сустав Шопара (между задним и средним отделами стопы), большеберцово-таранный, подтаранный
• Морфологические изменения:
о Гипертрофические (выраженный костный дебрис): 20%, особенно характерны для коленного сустава
о Атрофические: (большая часть костного дебриса подвергается резорбции): 40%, особенно характерны для диабетического голеностопного сустава/стопы
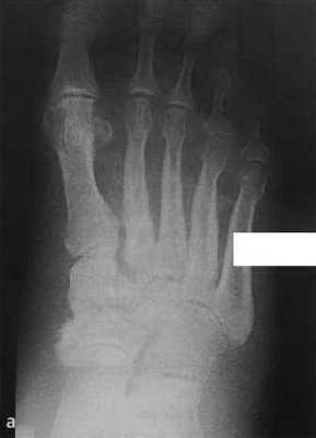
(Слева) Рентгенография в ПЗ проекции: отек в области предплюсне-плюсневых суставов При внимательном рассмотрении визуализируется фрагментация основания 3-й плюсневой кости и вероятные признаки фрагментации оснований 4-й и 5-й плюсневых костей. Травма в анамнезе отсутствует. В данном случае представлен пример столы Шарко.
(Справа) Осевая КТ: у этого же пациента подтверждается фрагментация и умеренный подвывих оснований плюсневых костей. Часто изменения более значительны, чем можно предполагать по результатам рентгенографии. Как и следовало ожидать, пациент страдает диабетом. (Слева) Рентгенография в боковой проекции: застарелый и консолидированный патологический отрывной перелом пяточной кости, типичный для пациентов с диабетом. В таранно-ладьевидном суставе визуализируется вогнутость суставной поверхности таранной кости на фоне склероза, что может указывать на раннюю стадию поражения сустава при нейропатической остеоартропатии (Шарко).
(Справа) Рентгенография в боковой проекции, этот же пациент два месяца спустя: визуализируется прогрессирующая деструкция в зоне таранно-ладьевидного сустава. Произошла миграция дебриса, ограниченного растянутой капсулой, в тыльном направлении к таранной кости. Это типичный пример поражения сустава при нейропатической остеоартропатии (Шарко). (Слева) МРТ, сагиттальная проекция, режим Т1 с подавлением сигнала от жира, с контрастным усилением: визуализируются скопления жидкости при стопе Шарко (некоторые с дебрисом) вокруг голеностопною сустава и патологический сигнал от дистальною отдела большеберцовой кости. Металлический артефакт замутняет под таранный, таранно- ладьевидный и пяточно-кубовидный суставы.
(Справа) МРТ, аксиальная проекция, режим Т1, с контрастным усилением, с подавлением сигнала от жира: у этого же пациента визуализируются скопления жидкости в мягких тканях и сухожильных влагалищах. Это нейропатические скопления жидкости. Накопление контрастного вещества костной тканью связано с реактивными изменениями. Признаков инфекции при биопсии не обнаружено.
2. Рентгенография при нейропатической остеоартропатии (Шарко):
• Деструкция может развиваться стремительно, не уступая в скорости септическому поражению сустава
• Для всех суставов при нейропатической остеоартропатии (Шарко) характерен массивный выпот:
о Выпот может быть настолько напряженным, что приобретает признаки «опухолевидного образования»:
- Массивный выпот в плечевом суставе часто распространяется через повреждение вращательной манжеты в пода-кромиальную/поддельтовидную сумку
о При декомпрессии массивного выпота дебрис может вымываться за пределы сустава:
- Наблюдается, в частности, в коленном суставе, когда дебрис размывается по фасциальным футлярам голени
о Массивные скопления жидкости вокруг голеностопного сустава и суставов стопы при нейропатической остеоартропатии (Шарко) могут ошибочно расцениваться, как абсцесс
о Паравертебральное скопление жидкости при поражении позвоночника
• Костный дебрис (отчетливо выраженный при гипертроической форме или минимальный при атрофической):
о Костная плотность. Без признаков, характерных для хряща и кальцификации
о Дебрис плавает в выпоте и может находиться в нескольких сантиметрах от сустава
о Дебрис может вымываться выпотом за пределы сустава
• Костная плотность, как правило, сохранена, кроме случаев ее общего снижения у пациентов с диабетом/лиц пожилого возраста
• Ранняя деструкция хряща
• Комбинированные эрозивно-продуктивные костные изменения:
о Плечевой сустав может подвергаться выраженной атрофии с почти полной резорбцией головки и шейки плечевой кости, имитирующей признаки хирургической резекции
• Недостаточность связочного аппарата с подвывихом/вывихом сустава:
о Оценивайте подвывих в суставе Лисфранка в передне-задней проекции для 1 -го и 2-го предплюсне-плюсневого сочленения и в косой проекции для 3-5 предплюсне-плюсневых сочленений
3. КТ при нейропатической остеоартропатии (Шарко):
• Для диагностики данного заболевания обычно не применяется
• Визуализируются признаки деструкции сустава
• В полости растянутого сустава визуализируется костный дебрис:
о Растяжение сустава очень велико, поэтому дебрис может определяться в нескольких сантиметрах от сустава
о Внимательный анализ не позволит перепутать имеющиеся изменения с опухолевидным образованием, содержащим матрикс (например при хондросаркоме)
• Реформация позволяет визуализировать нарушение организации сустава
4. МРТ при нейропатической остеоартропатии (Шарко):
• МРТ позволяет решать диагностические задачи и выявлять признаки суставной природы процесса
• Режим Т1:
о Костная деструкция по обеим сторонам сустава
о От сопряженной кости может визуализироваться реактивный сигнал низкой интенсивности:
- Нечеткий, сетчатый низкоинтенсивный сигнал, по-видимому, будет реактивным
- Сплошной, четкий низкоинтенсивный сигнал более характерен для остеомиелита
о Окружающий выпот характеризуется сигналом низкой интенсивности
• Последовательности, чувствительные к жидкости:
о Массивный выпот, растягивающий сустав
о Могут визуализироваться признаки декомпрессии выпота в примыкающие сумку или фасциальные пространства
о Дебрис располагается в скоплении жидкости
о Костная деструкция по обеим сторонам сустава, очерченная выпотом
о От сопряженной кости может определяться реактивный высокоинтенсивный сигнал; дифференциальная диагностика с остеомиелитом затруднена
• Режим контрастного усиления:
о Скопления жидкости: выпот, либо декомпрессированные затеки окружены высокоинтенсивным ободком
о Контрастное усиление кости, смежной с разрушенной суставной костью:
- Такое усиление может наблюдаться в реактивной кости и не обязательно указывает на остеомиелит
5. Рекомендации по визуализации:
• Лучший метод визуализации:
о Рентгенография, обычно позволяет установить диагноз
о Если установлена нейропатическая природа поражения плечевого сустава, то необходимо выполнить МРТ исследование шейного отдела позвоночника для выявления патологических полостей в спинном мозге
о МРТ сустава выполняется для разрешения вопросов:
- Помогает дифференцировать стопу Шарко с остеомиелитом, развивающемся при стопе Шарко, однако отмечается значительное наложение признаков
(Слева) Рентгенография в ПЗ проекции: вывих в плечевом суставе с массивной фрагментацией и образованием костного дебриса. Расположение дебриса указывает на перерастяжение плечевого сустава и подакромиальной/поддельтовидной сумки. Такое сочетание признаков характерно для нейропатической остеоартропатии (Шарко) плечевого сустава.
(Справа) МРТ, сагиттальная проекция, режим Т2: у этого же пациента визуализируется крупная патологическая полость в спинном мозге в шейно-грудном отделе. Сирингомиелия является наиболее частой причиной развития нейропатической остеоартропатии (Шарко) плечевого сустава. (Слева) Рентгенография в боковой проекции: взрывной перелом L1 позвонка после корпэктомии, установки опорного трансплантата и задней металлоконструкции у пациента с параплегией. Обратите внимание на деструкцию кости и нестабильность следующих двух уровней. Эти позвонки Шарко расположены непосредственно каудальнее стабилизированного сегмента.
(Справа) Рентгенография в боковой проекции: значительные подвывих и разрушение замыкательных пластинок с образованием костного дебриса на двух смежных уровнях. У этого пациента с параплегией развились нестабильность и нейропатическая остеоартропатия (Шарко) позвоночника. (Слева) Рентгенография в ПЗ проекции: деструктивные изменения мыщелка бедренной кости с формированием костного дебриса у молодого пациента. Рентгенография противоположного сустава выявила аналогичные изменения.
(Справа) МРТ, аксиальная проекция, режим Т2: массивный выпот и один из многочисленных фрагментов коано-хрящевого дебриса у этого же пациента. В растянутом коленном суставе пациента визуализируются дебрис и признаки деарукции, типичные для нейропатического поражения суставов. В данном случае этиологическим фактором являлась врожденная невосприимчивость к боли.
в) Дифференциальная диагностика нейропатической остеоартропатии (Шарко):
1. Остеомиелит или септическое поражение суставов стопы/голеностопного сустава:
• Возможно сочетание нейропатического и септического поражения сустава
• Как при одном, так и при другом состоянии возможно наличие массивного выпота/скопления жидкости
• В обоих случаях возможно контрастное усиление кости
• Существуют несколько факторов, которые могут свидетельствовать в пользу инфекции:
о В режиме Т1 инфицированная кость характеризуется сплошным патологическим сигналом; реактивный сигнал нечеткий/сетчатый:
- Жировое замещение, а не инфильтрация
о Инфекционный процесс характеризуется меньшим количеством костного дебриса в скоплениях жидкости
о Воздух в свищевом ходе, сообщающемся с патологически измененной костью, указывает на инфекционный процесс
2. Хондросаркома. Плечевой сустав:
• Эти два заболевания имеют характерные признаки, но при рентгенографии нейропатическое поражение сустава часто пугают с хондросаркомой:
о При хондросаркоме имеется хрящевой матрикс, а не костный дебрис, характерный для нейропатии
о Опухолевидное образование при хондросаркоме располагается вне сустава
3. Остеоартроз или воспалительный артрит:
• Остеоартроз на ранней стадии имеет сходство с ранними проявлениями нейропатической остеоартропатии (Шарко)
• Костный дебрис, как правило, менее выражен
• Вывихи суставов не характерны для артроза и воспалительных артритов
• Выпот, обычно, менее выражен при артрозе и воспалительном артрите
4. Дисцит:
• При дисците, как и при нейропатическом поражении позвоночника могут формироваться паравертебральные мягкотканные образования/скопления жидкости
• В обоих случаях характерна деструкция диска и замыкательной пластинки с образованием дебриса
• В обоих случаях могут наблюдаться подвывихи
• Пациент с повреждением спинного мозга или диабетом подвержен риску развития как дисцита, так и изменений по типу Шарко
• Наличие выраженного дебриса, подвывиха, вакуум феномена и признаков поражения дугоотростчатых суставов повышает вероятность изменений по типу Шарко
(Слева) Рентгенография в ПЗ проекции: необычный случай нейропатического поражения сустава на фоне врожденной невосприимчивости к боли. Визуализируется тяжелое поражение левого коленного сустава с признаками подвывиха, фрагментации, попытки восстановления и полного разрушения сочленения.
(Справа) Рентгенография противоположной конечности в боковой проекции: у этого же пациента визуализируются признаки разрушения большеберцово-таранного и подтаранного суставов, также суставов среднего отдела стопы. Врожденная невосприимчивость к боли часто приводит к множественному поражению суставов, но не является типичной причиной сустава Шарко. (Слева) Рентгенография в ПЗ проекции, выполненная пациенту средних лет: складывается впечатление о незавершенном остеоартрозе с утратой хряща, крупной субхондральной кистой верхненаружным подвывихом бедра и рельефностью калькара.
(Справа) КТ, корональная проекция, выполненная это-му же пациенту двумя месяцами позднее: тяжелая быстропрогрессирующая деструкция головки бедренной кости и вертлужной впадины. В суставе визуализируется большое количество дебриса. (Слева) Рентгенография в ПЗ проекции, этот же пациент спустя семь месяцев: визуализируется типичный признак «зарубки» в условиях быстропрогрессирующего разрушения тазобедренного сустава. Скорость деструкции и визуальные признаки указывают на быстропрогрессирующий остеоартроз тазобедренного сустава. В качестве этиологического фактора необходимо рассмотреть также артропатию Шарко.
(Справа) КТ, аксиальная проекция: у этого же пациента визуализируется типичная для цирроза небольшая, узелково измененная печень. Наиболее частой причиной нейропатической остеоартропатии Шарко тазобедренного сустава является алкоголизм. В данном случае этиологический фактор подтверждается признаками цирроза печени.
1. Общая характеристика:
• Этиология:
о Первичное звено патогенеза неизвестно
о По-видимому, имеется исходное нарушение симпатической регуляции кровотока в костной ткани →
- Гиперемия и активная резорбция костной ткани
о Вторичный нейротравматический механизм запускает деструктивный цикл:
- Притупление болевых ощущений и проприорецепции →
- Расслабление скелетных поддерживающих структур →
- Хроническая нестабильность →
- Рецидивирующие повреждения на фоне нормального биомеханического воздействия, но неадекватной нагрузки на сустав →
- Фрагментация кости и дезорганизация сустава
о Диабет: преимущественное поражение периферических суставов (стопа, кисть)
о Спинная сухотка: позвоночник, коленный сустав > тазобедренный, голеностопный суетав/суставы стопы
о Сирингомиелия: поражение плечевого и лучезапястного суставов
о Повреждение спинного мозга: поражение позвоночника, каудальнее места повреждения (бесконтрольные движения):
- Активные пациенты с параплегией (пауэрлифтеры, спортсмены-колясочники) подвергают риску нестабилизированный отдел позвоночника
о Врожденная невосприимчивость к боли: поражение нижних конечностей (коленные, голеностопные суставы)
о Внутрисуставное введение стероидов: коленный сустав поражается чаще других
о Алкоголизм: поражение тазобедренного, плюснефаоанговых и межфаланговых суставов
о Амилоидоз: поражение коленных и голеностопных суставов
о Рассеянный склероз
о Менингомиелоцеле: поражаются голеностопный и межплюсневые суставы
о Неврологические состояния: болезнь Шарко-Мари-Тута, синдром Райли-Дея (дизавтономия)
о Нейропатия Навахо: сенсорно-моторная нейропатия; прогрессирующее поражение белого вещества ЦНС
2. Макроскопические и хирургические особенности:
• Значительное количество хрящевого и костного дебриса в пределах синовиальной оболочки
1. Проявления:
• Типичные признаки/симптомы:
о Отек и нестабильность сустава
о До 30% пациентов сохраняют близкую к нормальной проприорецепцию; возможно снижение глубокой болевой чувствительности и проприорецепции
2. Демография:
• Возраст:
о Взаимосвязь с исходным заболеванием:
- Зависит от возраста первичного проявления диабета
- Врожденная невосприимчивость к боли: подростки
• Эпидемиология:
о У 15% пациентов с диабетом развиваются нейроостеоартропатические изменения суставов (Шарко)
о У 20% пациентов с сирингомиелией развиваются нейроостеоартропатические изменения суставов (Шарко)
о В мировом масштабе, у 10-20% пациентов со спинной сухоткой развиваются нейроостеоартропатические изменения суставов (Шарко)
3. Течение и прогноз:
• Быстропрогрессирующая деструкция
• Прогрессирующее нарушение соосности увеличивает риск изъязвления кожи и, в итоге, приводит к развитию остеомиелита
4. Лечение:
• При неэффективности консервативного лечения показаны реконструктивные вмешательства
• Артродез является сложной хирургической задачей: в 25% случаев наступает рецидив или развиваются тяжелые осложнения
е) Диагностическая памятка. Советы по интерпретации изображений:
• Дебрис и другие признаки могут визуализироваться на расстоянии от сустава, но даже при этом выявление первично-суставного характера изменений позволяет установить диагноз
ж) Список использованной литературы:
1. Peters EJ et al: Diagnosis and management of infection in the diabetic foot. Med Clin North Am. 97(5):91 1-46, 2013
2. Johnson PW et al: Diagnostic utility of T1-weighted MRI characteristics in evaluation of osteomyelitis of the foot. AJR Am J Roentgenol. 192(1):96-100, 2009
Читайте также:
