КТ, МРТ при цистицеркозе позвоночника
Добавил пользователь Евгений Кузнецов Обновлено: 31.01.2026
Какой метод диагностики цистицеркоза ЦНС выбрать: МРТ, КТ, ангиографию
Метод выбора
Что покажут снимки МРТ головного мозга при цистицеркозном поражении
- МР-картина цистицеркоза головного мозга зависит от стадии.
Начальная стадия (простой пузырек):
- Во время инвазии определяется локальный отек головного мозга
- Может наблюдаться кратковременное контрастное усиление, после чего образуется простая киста (гиподенсная при КТ, гипоинтенсивная на Т1-ВИ и гиперинтенсивная на Т2-ВИ)
- Узел, локализующийся вдоль стенки (изоденсный при КТ, изоинтенсивный при МРТ) внутри кисты, представляет собой сколекс
- Отек отсутствует или выражен минимально
Стадия коллоидного пузырька:
- Отек
- Кольцевидное контрастное усиление (фиброзная капсула).
Гранулезная нодулярная стадия:
- Кальцифицированный сколекс
- Уменьшение отека
- Кольцевидное контрастное усиление.
Кальцифицированная нодулярная стадия:
- Мелкие обызвествленные узелки
- Отсутствие контрастного усиления
- Отсутствие отека.
Цистернальный и внутрижелудочковый цистицеркоз головного мозга:
- Мультилобулярное кистозное изоинтенсивное ликвору образование в базальных цистернах, сипьвиевой борозде или желудочках, которое может смещаться
- Отсутствие сколексов
- От сутствие контрастного усиления вокруг кист.
Что хотел бы знать лечащий врач
- Визуализация сколексов
- Локализация
- Наличие положительной динамики на фоне лечения.

Какие заболевания имеют симптомы, схожие с цистицеркозом ЦНС
Метастазы и мультифокальные глиальные опухоли высокой степени опухоли высокой степени:
- Относительный регионарный церебральный объем крови (орЦОК) на перфузионных изображениях как минимум в 2 раза выше, чем в нормальном белом веществе
- ИКД в зоне некроза обычно повышен
-МРС: высокие концентрации лактата в опухолевых кистах и аминокислот в нелеченых абсцессах
-РС: высокая концентрация общего холина исключает очаговое воспалительное поражение; однако низкая концентрация общего холина не является показателем очагового воспаления
Другие паразитарные болезни:
- Сколекс не визуализируется
- Результаты исследования ЦСЖ
- Токсоплазмозный энцефалит у больных с иммунодефицитом
Лечение
Цистицеркоз имеет довольно таки простое лечение:
- Противоглистные средства, например, празиквантел и альбендазол.
Врачи каких специальностей диагностируют и лечат цистицеркоз ЦНС
- Невропатолог (определение неврологического дефицита)
- Нейрохирург (определение тактики лечения)
- Врач функциональной диагностики (подтверждения диагноза)
- Инфекционист (дифференциальная диагностика)
Прогноз
- При проведении противоглистного лечения прогноз благоприятный
- В отсутствие противоглистной терапии заболевание прогрессирует, проходя через вышеописанные стадии в течение 2-10 лет.
Возможные осложнения
Последствия могут быть разные, все зависит от локализации процесса. Самые частые из них: отек головного мозга, гидроцефалия (водянка мозга), поражение 6 и 7 пар черепных нервов, а так же зрительный нерв. Не исключен летальный исход.
КТ, МРТ при цистицеркозе позвоночника
а) Терминология:
• Паразитарное заболевание ЦНС, вызванное личиночной формой свиного цепня (Taenia solium)
• Экстрапаренхиматозная форма поражения спинного мозга встречается редко (5% случаев):
о Нередко поражениям позвоночника сопутствуют интракраниальные поражения
о По локализации очаги поражения подразделяются на интрамедуллярные, субарахноидальные и экстрадуральные
о Наиболее распространенной является субарахноидальная форма
о В 60-75% случаев поражается грудной отдел позвоночника
б) Лучевая диагностика цистицеркоза позвоночника:
• Интрадуральное кистозное образование и наличие аналогичных образований в головном мозге (кисты с «точкой» внутри)
• КТ: фокальное гиподенсное кистозное образование, субарахноидальное или интрамедуллярное, увеличение объема спинного мозга ± контрастирование
• МРТ:
о Субарахноидальная форма: кистозное образование, интенсивность сигнала которого соответствует СМЖ, различная степень объемного воздействия на спинной мозг/конский хвост
о Интрамедуллярная форма: фокальное кистозное образование (образования), ± признаки кавитации жидкости, отек спинного мозга, распространяющийся на несколько сегментов
о ± периферическое контрастное усиление сигнала
(Слева) Схема аксиального среза: множественные субарахноидальные кисты (цистицерки), оттесняющие корешки спинного мозга, а также множественные аналогичные поражения мышц.
(Справа) Аксиальная КТ-миелограмма пациента с установленным диагнозом нейроцистицеркоза: множественные кисты различных размеров субарахноидального пространства поясничного отдела позвоночника. В большинстве случаев поражения цистицерками позвоночника аналогичные очаги находят и в головного мозге, распространение паразита в головной мозг происходит в т. ч. вентрикулоэпендимальным путем. Изредка заражение головного мозга происходит гематогенным путем или за счет прямой миграции возбудителя. (Слева) Сагиттальная КТ-миелограмма пациента с цистицеркозом: множественные субарахноидальные кисты. На томограммах эти кисты выглядят в виде гиподенсных образований. Поражение цистицерками субарахноидального пространства может приводить к сдавлению спинного мозга, однако причиной развития клинической симптоматики также может быть блокада ликворотока на фоне рубцовых изменений субарахноидального пространства.
(Справа) Сагиттальный срез, Т2-ВИ: интрадуральная экстрамедуллярная киста вентрального отдела дурального мешка, сдавливающая шейно-грудной отдел спинного мозга.
в) Патология:
• Возбудителем заболевания является личиночная форма свиного цепня, Т. Solium
• Человек в жизненном цикле свиного цепня является промежуточным хозяином
г) Клинические особенности цистицеркоза позвоночника:
• Симптоматика заболевания связана с механической компрессией, воспалительными изменениями и отеком спинного мозга, глиозом на фоне васкулопатии, явлениями пахименингита и формированием кист
• При стабильном течении заболевания и отсутствии прогрессирования назначается консервативная медикаментозная терапия
• При тяжелом течении или прогрессировании неврологических осложнений для профилактики стойкого неврологического дефицита показано хирургическое лечение
д) Диагностический поиск:
• Методом выбора при диагностике заболевания и для оценки динамики процесса является МРТ
Нейроцистицеркоз на КТ, МРТ
а) Терминология:
• Внутричерепная паразитарная инфекция, вызываемая свиным цепнем Taenia solium:
о Патологические стадии: везикулярная, коллоидно-везикулярная, гранулярно-нодулярная и нодулярно-кальцифицированная
б) Визуализация нейроцистицеркоза:
• Лучший диагностический критерий: киста с «точкой» внутри
• Наиболее часто локализуется в конвекситальных отделах субарахноидального пространства:
о Воспалительная реакция вокруг кисты может привести к «слипанию» борозд, что создает впечатление внутримозговой локализации образований
• Возможно поражение цистерн > мозговой паренхимы > желудочков
• Внутрижелудочковые кисты часто имеют изолированный характер
• Кисты базальных цистерн могут иметь гроздевидную форму
• Картина при визуализации варьирует в зависимости от патологической стадии и ответа хозяина
• У одного пациента образования могут находиться на разных стадиях
• МРТ с получением FLAIR-изображений и Т1-ВИ полезна в обнаружении сколекса и интравентрикулярных образований
• GRE/SWI полезны в обследовании молодых взрослых с судорожным синдромом
(а) На рисунке коронального среза изображены субарахноидальная и желудочковая кисты. Кисты конвекситальной локализации характеризуются наличием сколекса и перифокальным воспалением. Обратите внимание на воспалительную реакцию вокруг наиболее крупной кисты, вызывающую «слипание» борозды, что создает впечатление внутримозговой локализации образования. Рацемозные кисты имеют многокамерную структуру, нежизнеспособны, обнаруживаются в базальных цистернах и обычно не содержат сколекс.
(б) КТ с контрастированием, аксиальный срез: у молодого мужчины с эпизодом впервые возникшего судорожного приступа определяется образование с кольцевым характером контрастирования и эксцентриковой гиперденсной «точкой», что характерно для НЦЦ. Обратите внимание на перифокальный отек. (а) MPT, FLAIR, аксиальный срез: в левой теменной доле определяется хорошо очерченная киста ликворной интенсивности сигнала. Перифокальный отек отсутствует.
(б) МРТ, постконтрастное Т1-ВИ, аксиальный срез: у того же пациента вокруг кисты определяется ободок минимально выраженного накопления контрастного вещества. Эти признаки типичны для везикулярной стадии НЦЦ. Обратите внимание на образования с узловым характером накопления контрастного вещества, представляющие собой проявления гранулярно-нодулярной стадии НЦЦ. Важно помнить, что при НЦЦ у одного и того же пациента паразитарные образования могут находиться на разных стадиях развития.
в) Дифференциальный диагноз:
• Абсцесс
• Туберкулез
• Новообразование
• Арахноидальная киста
• Расширенные периваскулярные пространства
г) Клиническая картина нейроцистицеркоза:
• Часто наблюдаются судорожные приступы, головные боли, гидроцефалия:
о Нейроцистицеркоз (НЦЦ) протекает бессимптомно до разложения личинки
• Цистицеркоз является самой распространенной паразитарной инфекцией во всем мире:
о Поражение ЦНС наблюдается в 60-90% случаев цистицеркоза
• Наиболее частая причина эпилепсии в эндемичных районах
• Рост туризма и миграции привел к распространению заболевания
• Диагноз подтверждается на основании ИФА сыворотки/ликвора
• Прием альбендазола внутрь (снижение паразитарной нагрузки и частоты судорожных приступов)
• Часто для уменьшения отека необходим прием глюкокортикостероидов
• Рассмотрите возможность хирургического удаления или дренирования паренхиматозных образований
Диагностика нейроцистицеркоза по КТ, МРТ
а) Терминология:
1. Сокращения:
• Нейроцистицеркоз (НЦЦ)
2. Синонимы:
• Цистицеркоз
3. Определения:
• Внутричерепная паразитарная инфекция, вызванная свиным цепнем Taenia solium:
о Четыре патологические стадии: везикулярная, коллоидальная, гранулярнонодулярная и нодулярнокальцифицированная
б) Визуализация:
1. Общие характеристики нейроцистицеркоза:
• Лучший диагностический критерий:
о Киста с «точкой» внутри
• Локализация:
о Наиболее часто в конвекситальных отделах субарахноидального пространства
о Возможно поражение цистерн > мозговой ткани > желудочков о Паренхиматозные кисты часто локализованы в больших полушариях на границе серого и белого вещества
о Интравентрикулярные кисты часто изолированы
- Наиболее часто в IV желудочке
о Кисты базальных цистерн могут иметь рацемозный характер (по типу грозди винограда)
• Размеры:
о Размеры кист вариабельны, обычно 1 см, варьируют от 5 до 20 мм; содержат сколекс (1-4 мм)
о Паренхиматозные кисты < 1 см
о Субарахноидальные кисты могут иметь более крупные размеры
• Морфология:
о Киста округлой или овоидной формы, в 20-50% случаев одиночная
о Диссеминированная форма (также известна как милиарный НЦЦ): редко
• Картина при визуализации варьирует в зависимости от патологической стадии и ответа хозяина
• У одного пациента образования могут находиться на разных стадиях развития
• Воспалительная реакция вокруг кисты может привести к «слипанию» борозд, что создает впечатление внутримозговой локализации образований

(а) На рисунке коронального среза изображены субарахноидальная и желудочковая кисты. Кисты конвекситальной локализации характеризуются наличием сколекса и перифокальным воспалением. Обратите внимание на воспалительную реакцию вокруг наиболее крупной кисты, вызывающую «слипание» борозды, что создает впечатление внутримозговой локализации образования. Рацемозные кисты имеют многокамерную структуру, нежизнеспособны, обнаруживаются в базальных цистернах и обычно не содержат сколекс.
(б) КТ с контрастированием, аксиальный срез: у молодого мужчины с эпизодом впервые возникшего судорожного приступа определяется образование с кольцевым характером контрастирования и эксцентриковой гиперденсной «точкой», что характерно для НЦЦ. Обратите внимание на перифокальный отек.
2. КТ признаки нейроцистицеркоза:
• Бесконтрастная КТ:
о Везикулярная стадия (жизнеспособная личинка): изоденсная по отношению к СМЖ тонкостенная киста с ровными стенками без перифокального отека:
- Гиперденсная «точка» внутри кисты = протосколекс
о Коллоидно-везикулярная стадия (дегенерирующая личинка): гиперденсное жидкостное содержимое кисты с перифокальным отеком
о Гранулярно-нодулярная стадия (впроцесселечения):легкий перифокальный отек
о Нодулярно-кальцифицированная стадия (излеченная киста): мелкий кальцифицированный узелок
• КТ с контрастированием:
о Везикулярная стадия: слабоинтенсивное контрастирование стенки кисты или его отсутствие
о Коллоидно-везикулярная стадия: более толстая фиброзная капсула, кольцевой характер контрастирования
о Гранулярно-нодулярная стадия: контрастируемый узелок, подвергающийся инволюции
о Нодулярно-кальцифицированная стадия: уменьшенный Са++ узелок
• Субарахноидальные образования: множественные изоденсные кисты без сколекса; могут вызывать менингит, васкулит или гидроцефалию
• Интравентрикулярные кисты плохо визуализируются при КТ, может наблюдаться гидроцефалия
4. Рекомендации по визуализации:
• Лучший инструмент визуализации:
о МРТ-наиболее чувствительный метод
о Кальцифицированные образования могут лучше визуализироваться на КТ
• Совет по протоколу исследования:
о МРТ с получением Т1 -ВИ, Т2-ВИ, FLAIR, GRE/SWI и постконтрастных изображений

(а) МРТ, FLAIR, аксиальный срез: у пациента с НЦЦ определяется крупная киста ликворной интенсивности сигнала с обширным перифокальным вазогенным отеком. В коллоидно-везикулярной стадии НЦЦ начинается процесс дегенерации личинки, что вызывает острую воспалительную реакцию и обусловливает развитие выраженного перифокального отека.
(б) МР-спектроскопия полости кисты, TR1500, ТЕ 144: пики холина (3,2 ppm), сукцината (2,4 ppm) и лактата (1,3 ppm).
в) Дифференциальный диагноз нейроцистицеркоза:
1. Абсцесс:
• Обычно гипоинтенсивный на Т2-ВИ ободок и ограничение диффузии на ДВИ
• Множественное поражение может развиваться при септической эмболии
2. Туберкулез:
• Туберкулемы часто сочетаются с менингитом
• Кистозный характер образований наблюдается редко
3. Новообразование:
• Первичное или метастатическое (часто известна первичная опухоль)
• Характерен краевой характер контрастирования по типу толстого неравномерного ободка
• Могут наблюдаться киста и пристеночный солидный узелок (например, при пилоцитарной астроцитоме, гемангиобластоме)
4. Арахноидальная киста:
• Одиночное образование с ликворной плотностью и интенсивностью сигнала
• Не накапливает контрастное вещество
5. Расширенные периваскулярные пространства:
• Ликворная интенсивность сигнала на всех МР-последовательностях, отсутствие накопления контраста
6. Другие паразитарные инфекции:
• Могут иметь кистозный характер, но сколекс не наблюдается

(а) МРТ, постконтрастное Т1-ВИ, аксиальный срез: в супраселлярной цистерне и левой сильвиевой борозде определяются множественные кисты. В базальных цистернах и сильвиевых бороздах наблюдается распространенное контрастирование лептоменинкс. Нейроцистицеркоз (НЦЦ) поражение цистерн, также называемое «рацемозной» формой (по типу грозди винограда), может вызывать воспаление мозговых оболочек, сообщающуюся гидроцефалию, васкулит и инфаркты.
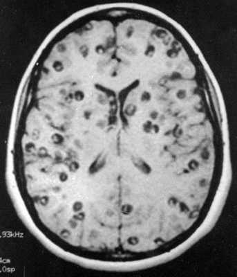
(б) MPT, T2*GRE, аксиальный срез: у пациента с судорожным синдромом в бороздах и мозговой паренхиме определяются мультифокальные «черные точки», отражающие нодулярно-кальцифицированную стадию нейроцистицеркоза (НЦЦ).
г) Патофизиология:
1. Общие характеристики нейроцистицеркоза:
• Этиология:
о Заболевание вызывается личиночной формой свиного цепня Taenia solium
о В жизненном цикле цепня человек является промежуточным хозяином:
- Наиболее частый механизм заражения-фекально-оральный
- Первичныеличинки (онкосферы) распространяются из ЖКТ в ЦНС и скелетные мышцы
- После проникновения в структуры черепа первичная личинка превращается во вторичную (цистицерк)
о Люди также могут быть окончательными хозяевами (инфицирование цепнем):
- Обычно при употреблении в пищу сырой свинины
- Проглатывание жизнеспособных личинок, которые прикрепляются к стенкам ЖКТ
2. Стадирование и классификация:
• Патологические стадии: везикулярная, коллоидно-везикулярная, гранулярно-нодулярная и нодулярно-кальцифицированная
• Везикулярная стадия: мелкий узелок, в краевых отделах мелкой кисты с прозрачным содержимым и выступающий в полость:
о Жизнеспособный паразит, воспалительная реакция не выражена
о Может существовать в этом состоянии в течение нескольких лет или разлагаться
• Коллоидно-везикулярная стадия:
о Сколекс подвергается гиалиновой дегенерации
о Содержимое кисты становится мутным, капсула утолщается
о Перифокальные отек и воспалительная реакция
• Гранулярно-нодулярная стадия: стенка кисты утолщается, сколекс превращается в минерализованную гранулу; выраженность перифокального отека уменьшается
• Нодулярно-кальцифицированная стадия: образование полностью минерализовано; перифокальный отек отсутствует
3. Макроскопические и хирургические особенности:
• Обычно мелкая прозрачная киста с инвагинированным сколексом
4. Микроскопия:
• Стенка кисты состоит из трех слоев: внешнего (кутикулярного), среднего клеточного (псевдоэпителиального), внутреннего ретикулярного (фибриллярного)
• У сколекса имеются хоботок с крючками, мышечные присоски

(а) МРТ, протокол FIESTA, сагиттальный срез: определяется гидроцефалия, обусловленная интравентрикулярным цистицеркозом. Обратите внимание на кисты, блокирующие отток ликвора из III желудочка в водопровод. Последовательности свободной прецессии в устойчивом состоянии полезны в визуализации интравентрикулярных кист.
(б) Патологоанатомический макропрепарат головного мозга, вид снизу: определяются множественные рацемозные НЦЦ-кисты. Локализация кист в базальных цистернах обычно осложняется менингитом, гидроцефалией и васкулитом.
д) Клиническая картина нейроцистицеркоза:
1. Проявления:
• Наиболее частые признаки/симптомы:
о Судорожные приступы, головные боли, гидроцефалия
о НЦЦ протекает бессимптомно до дегенерации личинки
о Другие признаки/симптомы: обморочные состояния, деменция, зрительные нарушения, очаговая неврологическая симптоматика, инсульт
• Клинический профиль:
о Диагноз подтверждается по данным иммуноферментного анализа сыворотки или СМЖ
2. Демография:
• Эпидемиология:
о Цистицеркоз является наиболее частой паразитарной инфекцией
о ЦНС поражается в 60-90% случаев цистицеркоза
о Эндемичен для многих стран (Латинская Америка, регионы Азии, Индии, Африки, Восточной Европы):
- США: встречаемость увеличивается в Калифорнии, Аризоне, Нью-Мексико, Техасе
о Рост миграции привел к распространению заболевания
• Возраст: любой; обычно заболевают молодые взрослые и взрослые среднего возраста
• Этническая принадлежность: в США пациенты часто являются выходцами из Латинской Америки
3. Течение и прогноз:
• Наиболее частая причина эпилепсии в эндемичных регионах
• Время между изначальным инфицированием и развитием симптоматики вариабельно: от шести месяцев до 30 лет; обычно 2-5 лет
• Время прохождения патологических стадий вариабельно: 1-9 лет; среднее: пять лет
• Субарахноидальное поражение может быть осложнено менингитом, васкулитом и гидроцефалией
• Для интравентрикулярного НЦЦ характерно увеличение заболеваемости и смертности (Т заболеваемости связано с острой гидроцефалией)
4. Лечение нейроцистицеркоза:
• Пероральный прием альбендазола (снижение паразитной нагрузки и частоты судорожных приступов)
о Часто необходим прием глюкокортикостероидов для снижения выраженности отека
• Рассматривайте возможность хирургического удаления или дренирования паренхиматозных образований
• Рассматривайте возможность эндоскопической резекции интравентрикулярных образований
• Для лечения гидроцефалии может потребоваться отведение СМЖ
е) Диагностическая памятка. Обратите внимание:
• Комплексные паразитарные кисты могут имитировать опухоль головного мозга
Лучевая диагностика цистицеркоза позвоночника
а) Терминология:
1. Сокращения:
• Нейроцистицеркоз (НЦЦ), спинальный цистицеркоз (СЦЦ)
2. Определения:
• Паразитарное заболевание ЦНС, вызванное личиночной формой свиного цепня
• Выделяют две формы НЦЦ: паренхиматозная и экстрапаренхиматозная:
о СЦЦ: редкая форма экстрапаренхиматозного НЦЦ (5% случаев НЦЦ):
- По локализации очаги поражения подразделяются на интрамедуллярные, субарахноидальные и экстрадуральные
- Наиболее распространенной является субарахноидальная форма
б) Лучевая диагностика:
1. Общие характеристики:
• Наиболее значимый диагностический признак:
о Интрадуральная киста в сочетании с признаками аналогичного поражения головного мозга (кисты с «точкой» внутри)
• Локализация:
о Паренхима спинного мозга, мягкие мозговые оболочки, интравентрикулярная локализация, позвоночник:
- СЦЦ встречается редко
• Размеры:
о Вариабельны (5-20 мм):
- Каждая киста содержит в себе сколекс, размеры которого составляют 1-4 мм
• Морфология:
о Округлая или овоидная форма
2. Рентгенография при цистицеркозе позвоночника:
• Рентгенография:
о Могут определяться кальцинаты мягких тканей
3. КТ при цистицеркозе позвоночника:
• КТ с КУ:
о Везикулярная стадия (антиген-неактивная): небольшие округлые очаги низкой плотности:
- Отсутствие отека окружающих тканей и контрастного усиления
- Эксцентрично расположенный гиперденсный узелок в полости кисты = сколекс
о Коллоидная стадия (фаза острого энцефалита): нечетко ограниченные очаги, окруженные зоной отека, возникающие вследствие высвобождения продуктов метаболизма паразита, кольцевидный характер контрастирования
о Гранулярно-нодулярная стадия: начало минерализации очага, узелковые гиперденсные включения, окруженные зоной отека
о финальная инволюция: кальцификация цистицерка → небольшие гиперденсные узелки без признаков отека и контрастирования окружающих тканей
4. МРТ при цистицеркозе позвоночника:
• Т1-ВИ:
о Субарахноидальное пространство: кистозное образование, интенсивность сигнала которого соответствует СМЖ, различная степень объемного воздействия на спинной мозг/конский хвост
о Интрамедуллярная форма: фокальное кистозное образование (образования), ± признаки кавитации жидкости
• Т2-ВИ:
о Субарахноидальное пространство: кистозные образования, интенсивность сигнала которых соответствует СМЖ
о Интрамедуллярная форма: фокальные кистозные очаги, характеризующиеся усилением Т2-сигнала, отек спинного мозга, распространяющийся на несколько сегментов
• Д-ВИ:
о Гиперинтенсивный сколекс в полости темной кисты, МР-картина скорее всего связана с ограничением диффузии жидкостного компонента
о Коллоидная стадия НЦЦ характеризуется высокой интенсивностью сигнала на Д-ВИ, что связано с наличием в полости кисты ограничивающих жидкостную диффузию продуктов деградации паразита и иммунным ответом со стороны организма-хозяина
• Т1-ВИ с КУ:
о Субарахноидальная форма: периферическое контрастное усиление сигнала
о Интрамедуллярная форма: периферическое контрастное усиление сигнала:
- Может отмечаться лишь неспецифическое пластинчатое усиление сигнала субарахноидального пространства и мягкой мозговой оболочки
• Везикулярная форма (антиген-неактивная): интенсивность сигнала соответствует СМЖ в Т1- и Т2-режиме:
о Сколекс паразита представляет собой узелок высокой интенсивности в полости кисты: картина «дырки с точкой»
• Коллоидная стадия: толстые гипоинтенсивные стенки кисты, различной выраженности отек окружающих тканей
• Гранулярно-нодулярная стадия: участки выпадения сигнала в Т1- и Т2-режиме, окруженные зоной отека или глиоза
• Финальная инволюция: кальцификация цистицерка -» небольшие гипоинтенсивные очаги
5. Несосудистые рентгенологические вмешательства:
• Миелография:
о Различная картина в зависимости от зоны поражения:
- Интрадуральные экстрамедуллярные очаги с субарахноидальными кистами
- Увеличение объема спинного мозга ± блокада ликворного пространства интрамедуллярными очагами
6. Рекомендации по визуализации:
• Наиболее оптимальный метод диагностики:
о МРТ с КУ позволяет выявить интрадуральные экстрамедуллярные, интрамедуллярные кисты и связанный с ними отек окружающих тканей
• Протокол исследования:
о Сагиттальные, аксиальные Т1-ВИ, Т2-ВИ, Т1-ВИ с КУ, в дополнение к исследованию спинного мозга обязательная МРТ головного мозга

(Слева) Аксиальная КТ-миелограмма: гиподенсный интрадуральный дефект наполнения, представляющий собой цистицеркоидную кисту. Киста оттесняет собой корешки конского хвоста.
(Справа) Фронтальный срез, Т2-ВИ: фокальное кистозное образование № дистальной части грудного отдела спинного мозга, сопровождающееся его веретеновидным утолщением. Сама киста характеризуется гиперинтенсивностью сигнала, проксимальней и дистальней кисты отмечаются признаки отека паренхимы спинного мозга. Дифференциальный диагноз при подобной картине должен в первую очередь проводиться с интрамедуллярной опухолью спинного мозга.
в) Дифференциальная диагностика:
1. Пиогенный абсцесс:
• Неправильной формы очаге периферическим контрастным усилением и отеком, увеличением объема спинного мозга
2. Гранулематозный спондилит:
• Туберкулез, саркоидоз
• Нередко поражение мягких мозговых оболочек
3. Опухоль:
• Первичная
• Метастатическая
• Неравномерно-диффузное или периферическое контрастное усиление сигнала
• Кистозная перестройка: астроцитома, эпендимома, гемангиобластома
4. Арахноидальная киста:
• Интенсивность сигнала соответствует СМЖ, отсутствие контрастного усиления
5. Другие паразитарные инвазии:
• Кистозный компонент (эхинококк)
• Картина миелита без фокальных кистозных очагов (шистосомоз)
6. Сирингомиелия:
• Не накапливающее контраст центральное линейное образование спинного мозга, интенсивность сигнала которого соответствует СМЖ (в сочетании с признаками мальформации Киари 1)
7. Шваннома:
• Интрадуральное экстрамедуллярное объемное образование
• Может отмечаться кистозная дегенерация и тонкое периферическое контрастное усиление сигнала

(Слева) Сагиттальный срез, Т1-ВИ с КУ: контрастирующееся по периферии очаговое кистозное образование спинного мозга, сопровождающееся веретеновидным утолщением спинного мозга на этом уровне. Интрамедуллярные очаги составляют 20% случаев СЦЦ. Наиболее вероятным путем развития интрамедуллярного СЦЦ является гематогенная диссеминация.
(Справа) Аксиальный срез, Т1-ВИ с КУ: интрамедуллярная контрастирующаяся по периферии цистицеркоидная киста дистальной части грудного отдела спинного мозга. Киста сопровождается веретеновидным утолщением спинного мозга.
г) Патология:
1. Общие характеристики:
• Этиология:
о Личиночная форма свиного цепня, Taenia solium
о Человек является промежуточным хозяином:
- Источником заражения является вода или пища, зараженные яйцами или зрелыми проглоттидами свиного цепня: фекально-оральный путь заражения
- После попадания яиц паразита в желудочно-кишечный тракт из них освобождаются онкосферы, которые, проникая через стенку кишечника, попадают в кровоток
- В любом органе из онкосферы может развиваться цистицерк → цистицерки остаются в тканях навсегда
о Каудальная миграция личинок паразита из головного мозга в субарахноидальное пространство позвоночника → лептоменингеальная форма
о Гематогенная диссеминация, распространение паразита вентрикуло-эпендимальным путем → интрамедуллярная форма
о Субарахноидальный цистицеркоз вызывается двумя формами паразита:
- Cysticercus cellulosae → личиночная форма, состоящая из простой оболочки и одного сколекса
- Cysticercus racemosus → образуют гроздевидное скопление паразитов (без сколекса) → хронический гранулематозный менингит
• Наиболее частая локализация поражений - ЦНС (70-80%):
о Паразиты могут локализоваться в паренхиме головного мозга, субарахноидальном пространстве и вентрикулярной системе, реже - в спинном мозге (1-6% случаев)
о Частота спинальных форм заболевания существенно ниже таковой при церебральных формах, что связано с тем, что церебральный кровоток примерно в 100 раз интенсивней спинального кровотока
• СЦЦ: экстраспинальный или интраспинальный:
о Интраспинальный: эпидуральная, субарахноидальная (лептоменингеальная) и интрамедуллярная формы
- Интрамедуллярные форма составляют < 20% случаев СЦЦ: Спинальные поражения: шейный отдел (34%), грудной отдел (44,5%), поясничный отдел (15,5%), крестцовый отдел (6%)
2. Макроскопические и хирургические особенности:
• Утолщенная непрозрачная паутинная оболочка, пахименингит
• Субарахноидальные или интрамедуллярные кисты, четко выделяющиеся на фоне нормальных тканей, окружающая их грануляционная ткань желтоватого цвета
3. Микроскопия:
• Стенка кисты образована тремя слоями: наружный (кутикула), средний клеточный (псевдоэпителиальный) слой, внутренний ретикулярный (волокнистый) слой
• Признаки воспалительной реакции с отеком и глиозом окружающей паренхимы спинного мозга
• Острая или хроническая клеточная инфильтрация окружающих тканей с развитием «цистицеркозного абсцесса», арахноидита
• Дегенерация стенки кисты с кальцификацией

(Слева) Сагиттальный срез, Т2-ВИ: диффузное увеличение объема и гиперинтенсивность сигнала шейного отдела спинного мозга. В толще спинного мозга видны два гипоинтенсивных очага. Распространенный отек спинного мозга наблюдается при коллоидной и гранулярно-нодулярной стадиях СЦЦ и связан с высвобождением продуктов метаболизма паразита. Стенки кист на этих стадиях выглядят утолщенными и гипоинтенсивными.
(Справа) На данном фронтальном Т2-ВИ видны две интрамедуллярные цистицеркоидные кисты, сопровождающиеся выраженным отеком окружающей паренхимы спинного мозга. Отмечается веретеновидное утолщение спинного мозга на уровне поражения.
д) Клинические вопросы:
1. Клиническая картина цистицеркоза позвоночника:
• Наиболее распространенные симптомы/признаки:
о Течение часто бессимптомное
о Спинальная симптоматика:
- Хроническая миелопатия, нарушения чувствительности, боль в спине
- Спастический пара-/тетрапарез, вялый паралич
- Нарушение мочеиспускания
• Особенности клинического течения:
о Диагноз подтверждается методом ИФА сыворотки крови или ликвора
- Чувствительность >70%, метод высокоспецифичен в отношении обнаружения антигенов цистицерков, при исследовании ликвора чувствительность метода выше
- Также чувствительность метода увеличивается при множественных поражениях и использовании в качестве субстрата СМЖ
- В 2/3 случаев НЦЦ результаты ИФА оказываются отрицательными
- Чувствительность иммуноферментного электрофореза (enzyme-linked immunoelectrotransfer blot (EITB)) составляет >90%
о Эозинофилия периферической крови (25%)
о СМЖ: неспецифическое увеличение уровня белка, лимфоцитоз
о В образцах кала иногда можно обнаружить яйца или проглот -тиды свиного цепня
2. Демография:
• Этническая предрасположенность:
о В США заболевание более часто регистрируется среди представителей латиноамериканских и азиатских народностей → иммиграция из эндемичных районов
• Эпидемиология
о Цистицеркоз является наиболее распространенным в мире паразитарным заболеванием:
- В эндемичных районах частота его в общей популяции достигает 4%
- Эндемичными районами считаются Мексика, Центральная и Южная Америка, Восточная Европа, Азия, Индия, Африка
3. Течение заболевания и прогноз:
• Глиоз паренхимы спинного мозга и пахилептоменингит могут стать причиной нарушения кровообращения спинного мозга
4. Лечение цистицеркоза позвоночника:
• Варианты, риски, осложнения:
о Хирургическое лечение показано при тяжелом течении или прогрессировании неврологических осложнений для профилактики стойкого неврологического дефицита:
- Восстановление может быть неполным, что связано с воспалительным повреждением клеток спинного мозга или спаечным процессом в субарахноидальном пространстве
о При стабильном течении заболевания и отсутствии прогрессирования назначается консервативная медикаментозная терапия:
- С целью купирования воспалительных явлений назначаются глюкокортикоиды
- Оральная противогельминтная терапия: празиквантел или альбендазол
о После хирургического лечения ввиду генерализованного характера заболевания также назначается противогельминтная терапия
е) Диагностический поиск:
1. Помните:
• СЦЦ нередко сочетается с интракраниальной формой заболевания
2. Нюансы интерпретации изображений:
• Единственными изменениями позвоночника могут быть признаки хронического воспалительного арахноидита → изменения ликвородинамики → сирингомиелия
ж) Список использованной литературы:
1. Kim М et al: Intramedullary spinal cysticercosis: a case report and review of literature. Korean J Spine. 11 (2):81-4, 2014
2. Qazi Z et al: Isolated intramedullary spinal cord cysticercosis. J Neurosci Rural Pract. 5(Suppl 1):S66-8, 2014
3. Gonsalves FG et al: Chronic myelopathy associated to intramedullary cysticercosis. Spine (Phila Pa 1976). 35(5):E159-62, 2010
4. Jang JW et al: Recurrent primary spinal subarachnoid neurocysticercosis. Spine (Phila Pa 1976). 35(5):E1 72-5, 2010
Читайте также:
- Оздоровление труда в гальванических цехах. Гигиена труда при цинковании, хромировании
- КТ, МРТ при моторной денервации подъязычного нерва
- Затылочный (рефлекторный) фиксационный механизм глаз. Феномен соскальзывания глаз
- Гастрошизис: причины, симптомы и лечение
- Тактика при переломах вертлужной впадины. Диагностика, лечение
