КТ, МРТ при моторной денервации подъязычного нерва
Добавил пользователь Владимир З. Обновлено: 30.01.2026
НИИ нейрохирургии им. акад. Н.Н. Бурденко РАМН, Москва
ФГАУ «Национальный медицинский исследовательский центр нейрохирургии им. акад. Н.Н. Бурденко» Минздрава России, Москва, Россия
ФГБУ "НИИ нейрохирургии им. акад. Н.Н. Бурденко" РАМН, Москва
Невринома подъязычного нерва: случай из практики и обзор литературы
Журнал: Журнал «Вопросы нейрохирургии» имени Н.Н. Бурденко. 2019;83(5): 51‑57
Невринома (шваннома) подъязычного нерва — редкая опухоль, составляющая менее 5% всех невестибулярных неврином. Опухоль может иметь спорадический характер или быть проявлением нейрофиброматоза 2-го типа. Заболевание манифестирует, как правило, с девиации языка. По мере увеличения размеров опухоли у пациентов развиваются бульбарные нарушения и боли в шейно-затылочной области. Магнитно-резонансная томография (МРТ) является ведущим методом диагностики заболевания. Летальность при хирургическом лечении данных опухолей до 70-х годов XX века достигала 50%. Как и в настоящее время, она обусловлена усилением бульбарных симптомов и нарушением функции дыхания после удаления опухоли. С внедрением в клиническую практику стереотаксического лучевого лечения появилась тенденция перехода от радикального удаления опухоли к субтотальному, цель которого состоит в резекции парастволовой части опухоли и декомпрессии ствола мозга. На внутрикостный фрагмент опухоли проводится лучевое воздействие. В статье представлен случай успешного хирургического лечения пациента с невриномой подъязычного нерва. Опухоль удалена субтотально через срединный субокципитальный доступ. На оставшуюся часть опухоли, располагающуюся в канале подъязычного нерва, планируется проведение лучевой терапии.
МРТ — магнитно-резонансная томография
НПН — невринома подъязычного нерва
СКТ — спиральная компьютерная томография
Невринома — доброкачественная опухоль, происходящая из шванновской оболочки черепно-мозговых и периферических нервов. Невринома (шваннома) подъязычного нерва (НПН) — достаточно редкая патология, составляющая около 5% от всех невестибулярных внутричерепных неврином [1—5]. Впервые НПН описаны De Martel в 1933 г. (цит. по [6]). Тогда же выдвинута гипотеза, что местом исходного роста НПН является внутриканальная порция подъязычного нерва (по аналогии с вестибулярными невриномами, которые почти всегда исходят из области внутреннего слухового прохода). В опубликованном S. Weindling и соавт. [7] описании серии из 40 пациентов, у которых определялось поражение данной локализации, только 16 больных имели НПН, в 15 случаях выявлялись юкстаартикулярные кисты и в 9 — костные кисты области подъязычного канала. Опухоли могут иметь спорадический характер (чаще) или же быть проявлением нейрофиброматоза 2-го типа [5, 7]. Заболевание выявляется в возрасте от 11 лет до 78,5 года (в основном в 37—56 лет). Несколько чаще болезнь поражает женщин [6, 7].
Манифестация опухоли, как правило, начинается с девиации и гипотрофии языка. По мере распространения опухоли к стволу головного мозга и верхним шейным сегментам спинного мозга к симптомам добавляются боли в шейном отделе позвоночника. При разрушении стенок канала подъязычного нерва, деструкции костей, формирующих яремное отверстие, и воздействии опухоли на бульбарную группу нервов возникают нарушения глотания и фонации. При компрессии ствола мозга и мозжечка у пациентов могут обнаруживаться нарушения статики и походки, пирамидная недостаточность [1, 3, 5].
Магнитно-резонансная томография (МРТ) головного мозга является ведущим методом диагностики заболевания. Исследование определяет опухоль, по нейровизуализационным характеристикам соответствующую невриноме любой другой локализации. НПН на стадии клинических проявлений имеет несколько четко визуализируемых на МРТ частей. Интракраниальная часть опухоли располагается, как правило, на уровне краниовертебрального перехода и обусловливает компрессию продолговатого мозга. Внутрикостный фрагмент опухоли располагается в расширенном канале подъязычного нерва. Экстракраниальная часть выходит из расширенного канала подъязычного нерва, компримируя расположенные здесь внутреннюю сонную артерию и внутреннюю яремную вену, волокна первых спинномозговых нервов, а также корешков каудальной группы нервов. Спиральная компьютерная томография (СКТ) головного мозга позволяет оценить костную анатомию, а также степень деструкции канала подъязычного нерва, его взаимоотношение с областью яремного отверстия [7].
По классификации НПН, предложенной A. Kaye (1984), выделены следующие типы опухоли:
— тип A — интрадуральная опухоль;
— тип B — опухоль по типу «гантели» или «песочных часов»;
— тип С — экстракраниальная опухоль.
В последнее время дополнительно выделяют тип D — опухоль периферических отделов подъязычного нерва [2, 3, 5].
Варианты ведения пациентов, как и при невриномах других локализаций, включают выжидательную тактику, хирургическое лечение и лучевую терапию. Наблюдательная тактика принимается при отказе пациента от какого-либо метода лечения или при впервые выявленной опухоли небольшого размера [1, 3, 5].
При хирургическом лечении используют ретросигмовидный субокципитальный, срединный субокципитальный, транскондилярный и заднебоковой (far-lateral) доступы [4, 5]. До 70-х годов прошлого века послеоперационная летальность достигала 50% и была обусловлена, в большинстве случаев, дыхательной недостаточностью вследствие усугубления бульбарных симптомов. В тот период времени даже предложена рекомендация о наложении трахеостомы еще на дооперационном этапе [4, 5]. Проведение операции на современном этапе включает обязательный нейрофизиологический мониторинг каудальной группы нервов (IX—XII черепные нервы).
Тотальное удаление опухоли, даже в условиях нейрофизиологического мониторинга, сопряжено с высоким риском неблагоприятного исхода. Оно возможно только при использовании травматичного транскондилярного доступа, что также не является гарантией тотального удаления, а вероятность осложнений достаточно высока [3, 5, 6]. Бульбарные нарушения в послеоперационном периоде возникают в 100% случаев, а степень их выраженности определяет исход. Они могут быть как транзиторными, проявляясь дисфонией, так и постоянными, вплоть до отсутствия каких-либо глотательных и дыхательных движений, что требует зондового питания и искусственной вентиляции легких. Наиболее предпочтительны тактика субтотального удаления опухоли, достижение декомпрессии ствола мозга и черепных нервов с последующим стереотаксическим облучением остатков опухоли [3, 5].
Описание клинического случая
Пациентка В., 43 лет, поступила в клинику ФГАУ «Национальный медицинский исследовательский центр нейрохирургии им. акад. Н.Н. Бурденко» с жалобами на боли в шейно-затылочной области, преимущественно справа, которые беспокоят ее в течение последних 4 мес.
При обследовании в клинической картине выявлены: девиация языка вправо, легкая недостаточность функции бульбарной группы нервов без нарушения глотания, болевой синдром в шейно-затылочной области преимущественно справа, с иррадиацией в правое плечо.

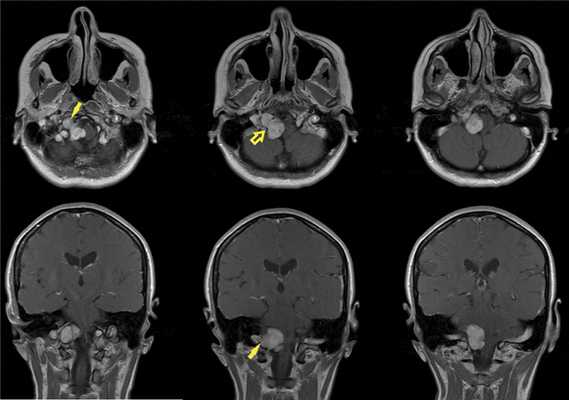
По данным МРТ головного мозга с усилением сигнала парамагнетиком выявлена опухоль парастволовой локализации справа, компримирующая продолговатый мозг и исходящая из расширенного канала подъязычного нерва. Меньший по размерам компонент опухоли располагался в полости канала и распространялся экстракраниально (рис. 1). Рис. 1. МРТ головного мозга пациентки В. до операции. При усилении сигнала выявляется опухоль справа, соответствующая невриноме, в форме «гантели», располагающаяся одной частью на уровне краниовертебрального перехода и вызывающая компрессию ствола мозга, а другой — частью в костных структурах.

При СКТ головного мозга в костном режиме выявлен расширенный канал подъязычного нерва с деструкцией его стенок. Заднелатеральная стенка практически отсутствовала, вследствие чего полость канала сообщалась с просветом яремного отверстия (рис. 2). Рис. 2. СКТ головного мозга пациентки В. в костном режиме до операции. Определяется деструкция канала подъязычного нерва справа, канал отделен от полости яремного отверстия тонкой костной перегородкой (указано стрелкой).

При проведении диффузионно-тензорной трактографии реконструированы каудальная группа нервов и кортикоспинальный тракт. Последний компримирован опухолью и оттеснен влево. На нижнем полюсе располагались корешки верхних шейных сегментов спинного мозга и подъязычного нерва. Языкоглоточный и блуждающий нерв располагались на верхнем полюсе опухоли и были деформированы (рис. 3). Рис. 3. Диффузионно-тензорная трактография головного мозга пациентки В. до операции. Определен кортикоспинальный тракт в стволе головного мозга, на верхнем полюсе опухоли располагаются языкоглоточный и блуждающий нервы, по переднему полюсу проходят добавочный нерв и корешок СI. а — кортикоспинальный тракт, б — корешки IX, X, XI черепно-мозговых нервов, в — акустико-фациальная группа нервов, г — опухоль.
Пациентке выполнена операция по удалению опухоли. В положении «конкорд» (лежа на операционном столе лицом вниз) произведен срединный субокципитальный доступ с резекцией задней дужки позвонка СI и чешуи затылочной кости с латерализацией трепанационного окна вправо. Твердая мозговая оболочка рассечена дугообразно над правой гемисферой мозжечка и стволом мозга до позвонка СII и фиксирована на лигатурах. Вскрыта арахноидальная оболочка большой затылочной цистерны, полушарие мозжечка отведено при помощи шпателя, обнаружена опухоль светло-желтого цвета с капсулой и небольшим количеством сосудов на ее поверхности, исходящая из боковой части большого затылочного отверстия. При нейрофизиологическом мониторинге черепных нервов на нижней и передней поверхностях определено расположение корешков отводящего нерва и корешка СI.

При проведении МРТ головного мозга пациентки В. на 3-и сутки после операции выявлена остаточная часть опухоли в канале подъязычного нерва (рис. 5). Рис. 5. МРТ головного мозга пациентки В. на 3-и сутки после операции. При усилении сигнала парамагнетиком определяется остаток опухоли в канале подъязычного нерва справа (указано стрелкой).
В неврологическом статусе у пациентки, помимо локального болевого синдрома, наблюдалось усиление бульбарных нарушений, не являвшихся показанием к установке назогастрального зонда или наложению трахеостомы, а также отмечены легкие нарушения статики и походки.
Гистологическое исследование биоптата — типичная невринома.
Далее планируется лучевая терапия на остаточную внутриканальную часть опухоли.
Заключение
Невринома подъязычного нерва является довольно редкой и малоизученной патологией, составляющей менее 5% случаев всех невестибулярных неврином. Заболевание, как правило, проявляет себя, когда опухоль достигает значительных размеров и вызывает компрессию ствола головного мозга и корешков каудальной группы нервов. В связи с этим удаление опухоли является основным методом лечения. Тотальное удаление опухоли затруднительно, возможно только при использовании травматичных транскондилярного или заднебокового (far-lateral) доступов и сопровождается возникновением тяжелых послеоперационных неврологических осложнений, преимущественно за счет поражения бульбарной группы нервов. Впоследствии многие пациенты погибают в результате нарушения кровообращения в стволе головного мозга или присоединения инфекционных осложнений.
С появлением метода стереотаксической лучевой терапии, который по своей эффективности немногим уступает хирургическому лечению в контроле роста опухоли, отпала необходимость в выполнении радикальной операции, если ее проведение связано с высоким риском развития осложнений и летального исхода. В нашем случае мы также руководствовались данным подходом к лечению пациента. Для удаления опухоли выбран малотравматичный срединный субокципитальный доступ с небольшой латерализацией в сторону патологического очага, выполнено субтотальное удаление опухоли, чем достигнута декомпрессия ствола мозга. В интракраниальном пространстве опухоль удалена полностью, а это стало возможным благодаря хорошо выраженной плоскости диссекции между поверхностью опухоли и мозговыми нейроваскулярными структурами. Внутрикостная остаточная часть опухоли будет подвергнута лучевой терапии. Такой подход позволяет сократить риск возникновения стойких бульбарных нарушений, уменьшить сроки социальной и трудовой реабилитации и сохранить качество жизни пациентов.
Участие авторов:
Концепция и дизайн исследования — В.Ш., С.Т., В.П.
Сбор и обработка материала — К.Ш., В.П., Ф.А.
Статистический анализ данных — К.Ш., В.П.
Написание текста — К.Ш., В.П.
Редактирование — В.Ш., С.Т.
Авторы заявляют об отсутствии конфликта интересов.
The authors declare no conflict of interest.
Комментарий
В статье представлено клиническое наблюдение случая исходящей из подъязычного нерва шванномы с преимущественным интракраниальным распространением. Невриномы подъязычного нерва могут локализоваться как в парастволовой зоне, так и в верхнешейной области, хотя в некоторых наблюдениях приобретают форму «песочных часов». В настоящее время опубликовано менее 30 описаний отдельных клинических случаев неврином подъязычного нерва, что подчеркивает редкость этой патологии. Специфические неврологические проявления в виде медленно прогрессирующей гемиатрофии и девиации языка, сопровождающейся фасцикуляциями, дополняются по мере роста опухоли компрессией ствола головного мозга и поражением близлежащих краниальных нервов. В случаях расположения опухоли в экстракраниальном отделе подъязычного нерва присоединяются затруднения при глотании и локальное выбухание в верхнешейной области. Характерным диагностическим признаком неврином подъязычного нерва, исходящих из интраканального отрезка нерва, служит расширение соответствующего костного канала, продемонстрированное в статье. При невриномах подъязычного нерва, сопровождающихся сдавлением продолговатого мозга и бульбарным синдромом, основной целью хирургического вмешательства является декомпрессия ствола головного мозга, что успешно проведено авторами статьи. При интракраниальной локализации опухоли некоторые авторы используют крайне латеральный, транскондилярный доступ, облегчающий тотальное удаление опухоли. Выбор авторами статьи срединного доступа с латерализацией его в сторону опухоли представляется обоснованным, так как обеспечивает наименее травматичный подход вдоль выйной линии, а поэтапная интракапсулярная резекция невриномы позволяет своевременно обнаружить плоскость хирургической диссекции со стволом мозга, позвоночной артерией и ее ветвями и краниальными нервами. Интраканальную часть опухоли, удаление которой часто сопровождается венозным кровотечением из собственных сосудов опухоли, а иногда из луковицы яремной вены, в отсутствие костной стенки с резко расширенным каналом подъязычного нерва можно не резецировать, а при необходимости подвергнуть впоследствии радиохирургическому воздействию. Представленное наблюдение, дополненное кратким обзором литературы, показывает успешность выбранной тактики хирургического вмешательства, служит примером удачного решения сложной клинической задачи и подчеркивает профессионализм авторов.
КТ, МРТ при моторной денервации подъязычного нерва
а) Терминология:
1. Синонимы:
• Паралич подъязычного нерва (ЧН XII), денервация языка
2. Определение:
• Отсутствие иннервации половины мышц языка:
о Небно-язычная мышца иннервируется ЧНХ
б) Визуализация:
1. Общая характеристика:
• Лучший диагностический критерий:
о Асимметрия языка с четкой демаркационной линией
• Локализация:
о Половина мышц языка
• Морфология:
о Вариабельна:
- Отек, затем атрофия
- Дряблость мышц языка на стороне поражения

(Слева) МРТ Т2ВИ, аксиальная проекция. Денервация языка в острую стадию. Выраженный отек половины языка с повышением интенсивности сигнала. Обратите внимание на четкую демаркационную линию. Денервация была обусловлена переневральным ростом опухоли вдоль ЧН XII.
(Справа) МРТ Т1ВИ FS с КУ, подострая денервация языка. Накопление контраста в мышцах левой половины языка. Обратите внимание на четкую границу между половинами. Причиной денервации стало метастатическое поражение основания черепа, в том числе подъязычного канала.
2. КТ при моторной денервации подъязычного нерва:
• КТ с КУ:
о Первоначально: односторонний отек языка:
- Дряблость половины мышц языка
о Позднее: снижение объема и плотности половины мышц языка
3. МРТ при моторной денервации подъязычного нерва:
• Интенсивность сигнала варьирует в зависимости от степени денервации
• Острая стадия (обычно менее одного месяца):
о Язык отечный, дряблый
о Повышение интенсивности на Т2ВИ, незначительное снижение Т1ВИ
о В острую стадию интенсивность накопления контраста вариабельна
• Подострая стадия (обычно 1-20 месяцев):
о Отек разрешается, жировая атрофия
о Гиперинтенсивный сигнал на Т1ВИ, снижение интенсивности контрастирования
• Хроническая стадия (обычно более 20 месяцев):
о Атрофия половины языка
о Выраженный гиперинтенсивный сигнал на Т1ВИ, контраст не накапливается
4. Сцинтиграфия:
• ПЭТ/КТ:
о У денервированной половины языка снижен захват ФДГ
5. Рекомендации по визуализации:
• Лучший метод визуализации:
о И КТ, и МРТ позволяют оценить ход ЧН XII
• Протокол исследования:
о От основания черепа до подъязычной кости

(Слева) МРТ Т1ВИ. Хроническая атрофия языка с выраженным повышением сигнала от левой его половины, которое характерно для жировой атрофии. Причиной паралича являлась параганглиома яремного отверстия (не показана).
(Справа) КТ с КУ, аксиальная проекция. Жировая атрофия вследствие хронической денервации левой половины языка. Правая половина языка выглядит крупнее левой, ее можно принять за опухоль. Как оказалось, причиной денервации является деструктивная костная опухоль на уровне подъязычного канала.
в) Дифференциальная диагностика моторной денервации подъязычного нерва:
1. Плоскоклеточный рак язычной миндалины:
• Накапливающая контраст опухоль, расположенная у основания языка
2. Плоскоклеточный рак ротового языка:
• Накапливающая контраст опухоль, чаще происходящая из боковой поверхности
3. Лимфатическая мальформация в полости рта:
• Многодольчатое межпространственное новообразование
4. Венозная мальформация в полости рта:
• Накапливающее контраст образование неправильной формы, захватывающее несколько пространств
г) Патология. Общая характеристика:
• Этиология:
о Опухоль вдоль хода ЧН XII
о При изолированном поражении ЧН XII чаще всего обнаруживается опухоль основания черепа:
- Поражение кости: метастазы или прямое разрушение опухолью, остеомиелит
- Послеоперационные: повреждение в ходе эндартерэктомии, шейной лимфодиссекции
- Сосудистые: расслоение сонной артерии, сосудистые мальформации
- Постлучевые: фиброз
- В редких случаях вызван опухолью ствола мозга или мостомозжечкового угла
о Поражение вместе с ЧН IX-XI:
- Опухоли верхних отделов сонного пучка, основания черепа на уровне яремного отверстия
д) Клинические особенности. Проявления:
• Типичные признаки/симптомы:
о Отклонение языка в сторону поражения при его выведении
о Паралич, фасцикуляции, атония
• Другие признаки/симптомы:
о Возможно поражение других ЧН: IX-XI
• Клиническая картина:
о Чаще у пожилых пациентов с опухолью основания черепа или головы и шеи
е) Диагностическая памятка:
1. Следует учесть:
• Частая причина ошибок:
о Вялая половина языка провисает в ротоглотку, можно принять за опухоль язычной миндалины
о Противоположную, большую часть языка, можно принять за опухоль
о Из-за снижения захвата ФДГ на пораженной стороне, здоровую половину можно принять за опухоль
2. Советы по интерпретации изображений:
• Ключевой признак - четкий контур, разделяющий язык на две части
3. Рекомендации по отчетности:
• Для поиска причины нужно тщательно отследить ход ЧН XII
а) Терминология:
1. Аббревиатура:
• Шваннома подъязычного нерва (ШПН), канал подъязычного нерва (КПН)
2. Определение:
• Крайне редкая доброкачественная опухоль дифференцированных шванновских клеток, окружающих XII пару ЧН
1. Общая характеристика:
• Лучший диагностический критерий:
о Веретеновидное четко отграниченное мягкотканное объемное образование, локализующееся походу ЧН XII
• Локализация:
о Может развиваться в любом месте по ходу ЧН XII:
- Опухоли дистальных отделов могут развиваться в каротидном и поднижнечелюстном пространствах или в языке
• Размеры:
о Обычно на момент манифестации уже имеет крупные размеры
• Морфология:
о Веретеновидная, в некоторых случаях гантелевидная опухоль

(Слева) При МРТ Т1 в аксиальной проекции наблюдается асимметрия сигнала языка. Правая половина языка не изменена; четко отграниченная левая половина языка дает патологически усиленный сигнал. Усиление сигнала свидетельствует о жировой инфильтрации и требует исследования канала подъязычного нерва.
(Справа) При МРТ Т1 с КУ в аксиальной проекции определяется дольчатое объемное образование левого подъязычного канала, распространяющееся в цистерну продолговатого мозга. Обратите внимание на отсутствие изменений правого канала подъязычного нерва. Отмечается равномерное контрастирование объемного образования, что характерно для шванномы. В ткани крупных опухолей часто наблюдаются кистозные изменения.
2. КТ при шванноме подъязычного нерва:
• КТ без контрастного усиления:
о Четко отграниченное объемное образование мягкотканной плотности по ходу ЧН XII
о В ипсилатеральной половине языка вследствие денервационной атрофии наблюдается коэффициент ослабления, соответствующий жировой ткани
• КТ с КУ:
о Однородное контрастирование ± интрамуральные кисты
• КТ в костном окне:
о Гладкостенный четко отграниченный расширенный КПН
о Корональная: увеличение размеров, перестройка нижней поверхности яремного бугорка (ниже «орлиного клюва»)
3. МРТ при шванноме подъязычного нерва:
• Т1 ВИ МРТ:
о Как правило, изоинтенсивна по сравнению с серым веществом
о Сопутствующая денервация может вызывать атрофию мышечной ткани языка на стороне поражения и ее замещение жиром, что сопровождается усилением сигнала
• Т2 ВИ МРТ:
о Как правило, усиление сигнала
о Крупные ШПН могут содержать интрамуральные кисты с усилением Т2-сигнала
• Т1 ВИ МРТ с КУ:
о Наблюдается однородное контрастирование мелких опухолей
4. Рекомендации по визуализации:
• Лучший метод визуализации:
о Мультипланарная МРТ с КУ и КТ в костном окне, позволяющая детально оценить перестройку костной ткани

(Слева) При корональной КТ в костном окне наблюдается значительное расширение правого канала подъязычного нерва и эрозия нижней поверхности «орлиного клюва». Сравните наблюдаемую картину с левым каналом подъязычного нерва и яремным бугорком.
(Справа) При МРТ Т1 FS с КУ в корональной проекции у этого же пациента наблюдаются неравномерное контрастирование шванномы, выраженная фестончатость прилегающей затылочной кости и облитерация нормального «орлиного клюва»; те же изменения наблюдаются и на КТ. Слева определяются нормальный канал подъязычного нерва и яремный бугорок.
в) Дифференциальная диагностика шванномы подъязычного нерва:
1. Асимметрия венозного оттока в КПН (псевдоопухоль):
• Нерасширенный КПН, окруженный нормальным корковым веществом
• Линейное трансканаликулярное контрастирование вен, окружающих неизмененный нерв
2. Метастаз в основании черепа:
• Наблюдаются литические или инфильтративные изменения костных краев КПН
• Контрастное инвазивное объемное образование
3. Персистирующая подъязычная артерия:
• МРТ + МР-ангиография: в расширенном КПН наблюдается «пустота потока», тянуаяся к базилярной артерии
4. Менингиома яремного отверстия:
• Фиксированное к твердой мозговой оболочке объемное образование с контрастным «дуральным хвостом»; КПН поражается вторично
• Инфильтративно-склеротические изменения кости/гиперостоз
5. Параганглиома яремного гломуса:
• Инфильтративо-деструктивные изменения костных краев яремного отверстия
• При МРТ характерны множественные «пустоты потока»
г) Патология. Макроскопические и хирургические особенности:
• Гладкое овоидное инкапсулированное дольчатое объемное образование светло-коричневого цвета
• Развивается эксцентрично из влагалища ЧН XII
д) Клинические особенности:
1. Проявления:
• Типичные признаки/симптомы:
о Нейропатия подъязычного нерва приводит к односторонней денервации языка:
- При высовывании языка наблюдается его отклонение в сторону поражения
2. Демография:
• Эпидемиология:
о Крайне редкая шваннома (значительно более редкая, чем шванномы ЧH V, VII, IX или X)
3. Течение и прогноз:
• Медленно растущая доброкачественная опухоль
4. Лечение:
• Оптимальный метод лечения: одномоментное удаление опухоли:
о Предложена классификация опухоли по стадиям, в зависимости от объема необходимого оперативного вмешательства:
- Тип А, интрадуральная; тип В, гантелеобразная; тип С, экстракраниальная; тип D, периферическая
1. Следует учесть:
• ШПН - четко отграниченное веретеновидное объемное образование, локализующееся по ходу ЧН XII
2. Рекомендации по отчетности:
• Необходимо удостовериться, что опухоль исследована полностью от ее краниального конца до каудального
1. Синонимы:
• Парез подъязычного нерва (ЧМН XII), паралич подъязычного нерва, денервация языка
2. Определение:
• Потеря иннервации мышц 1/2 языка:
о Оцените небно-язычную мышцу, иннервируемую ЧМН X
1. Общая характеристика:
• Лучший диагностический критерий:
о Асимметрия внешнего вида языка с линейным отграничением патологического участка
• Локализация:
о Мышцы языка с одной стороны
• Морфология:
о Меняется со временем:
- Вначале отек, затем атрофия
- Слабость ипсилатеральных мышц языка

(Слева) На аксиальной МРТ (Т2 ВИ) в острой фазе денервации языка определяется отек и значительное повышение интенсивности сигнала половины языка вследствие отека. Оцените четкое отграничение патологического участка. Причиной денервации стало периневральное распространение опухоли вдоль ЧМН XII.
(Справа) На корональной МРТ (Т1 ВИ С+ FS) определяется признак подострой денервации - неравномерное контрастирование мышц левой половины языка. Обратите внимание, что изменения, обусловленные вторичным поражением основания черепа с вовлечением подъязычного канала, четко отграничены.
2. КТ при двигательной денервации подъязычного нерва (12 пары ЧМН):
• КТ с КУ:
о Изначально: односторонний отек языка:
- Слабость ипсилатеральной половины языка
о Позднее: уменьшение объема и снижение плотности 1/2 языка
3. МРТ при двигательной денервации подъязычного нерва (12 пары ЧМН):
• После денервации интенсивность сигнала изменяется со временем
• Острая фаза (обычно о Слабость и отек языка
о Гиперинтенсивный Т2 сигнал 1/2 языка, слегка гипоинтенсивный Т1 сигнал
о Вариабельное контрастирование в острой фазе
• Подострая фаза (обычно 1-20 месяцев):
о Разрешение отека, жировая атрофия
о Повышение интенсивности Т1, уменьшение накопления контраста
• Хроническая фаза (обычно >20 месяцев):
о Атрофия половины языка
о Гиперинтенсивный Т1 сигнал: прекращение накопления контраста
4. Сцинтиграфия:
• ПЭТ/КТ:
о Денервированная 1/2 языка не накапливает ФДГ
5. Рекомендации по визуализации:
• Лучший метод визуализации:
о КТ с КУ или МРТ для оценки ЧМН XII
• Выбор протокола:
о Оцените ход ЧМН XII от основания черепа до подъязычной кости

(Слева) На аксиальной МРТ (Т1 ВИ) определяются признаки хронической денервации языка с выраженным повышением интенсивности сигнала в его левой половине, сопоставимые с замещением жировой тканью. Подъязычная денервация может быть обусловлена параганглиомой яремного отверстия (не визуализируется).
(Справа) На аксиальной КТ с КУ определяется жировая атрофия вследствие хронической денервации левою подъязычного нерва. Правая половина языка выглядит больше, чем левая и может быть ошибочно принята за опухоль. Причиной денервации стала деструкция кости в области подъязычного канала.
в) Дифференциальная диагностика двигательной денервации подъязычного нерва (12 пары ЧМН):
1. Плоскоклеточный рак язычной миндалины
2. Плоскоклеточный рак оральной части языка:
• Контрастирующаяся опухоль, наиболее часто возникающая в наружном крае
3. Лимфатическая мальформация полости рта:
• Многокамерное объемное образование с перегородками, лежащее в нескольких анатомических пространствах
4. Венозная мальформация полости рта:
• Контрастирующееся объемное образование неправильной формы, лежащее в нескольких анатомических пространствах
г) Патология. Общая характеристика:
• Этиология:
о Поражение ЧМН XII
о Изолированная нейропатия ЧМН XII обусловлена преимущественно патологическим процессом в основании черепа:
- Поражение костей: метастаз или прямая инвазия опухоли, остеомиелит
- Операция: повреждение при эндартерэктомии, шейной лимфодиссекции
- Сосудистая патология: расслоение сонной артерии, сосудистая мальформация
- Постлучевой фиброз
- Объемное образование ствола мозга или мосто-мозжечкового угла (редко)
о Сочетанная нейропатия: ЧМН IX-XI:
- Поражение верхних отделов сонного влагалища; поражение основания черепа в области яремного отверстия
д) Клинические особенности. Проявления:
• Типичные признаки/симптомы:
о Отклонение языка в денервированную сторону при высовывании
о Паралич языка, подергивания, потеря тонуса
• Другие признаки/симптомы:
о Возможно вовлечение других черепно-мозговых нервов: ЧМН IX-XI
• Клинический профиль:
о Наиболее часто пожилой пациент с поражением основания черепа или опухолью головы и шеи
1. Следует учесть:
• Учитывайте изменения, которые можно ошибочно идентифицировать:
о Провисающую 1/2 языка, смещенную кзади в ротоглотку, можно ошибочно принять за опухоль основания языка
о Контралатеральную 1/2 языка большего размера можно спутать с опухолью языка
о Отсутствие фиксации ФДГ с одной стороны можно ошибочно принять за признак контралатеральной опухоли на ПЭТ/КТ
2. Советы по интерпретации изображений:
• Ключевой лучевой признак - четкая линия, отграничивающая изменения с одной стороны языка
3. Заключение:
• Тщательно проследите ход ЧМН XII, начиная с области мосто-мозжечкового угла, с целью поиска причины
Невралгия языкоглоточного нерва
Невралгия языкоглоточного нерва — одностороннее поражение IX черепного нерва, проявляющееся пароксизмами боли в корне языка, миндалинах, глотке, мягком небе и ухе. Сопровождается нарушением вкусового восприятия задней 1/3 языка на стороне поражения, нарушением слюноотделения, снижением глоточного и небного рефлексов. Диагностика патологии включает осмотр невролога, отоларинголога и стоматолога, проведение МРТ или КТ головного мозга. Лечение в основном консервативное, состоящее из анальгетиков, противосудорожных препаратов, седативных и снотворных медикаментов, витаминов и общеукрепляющих средств, физиотерапевтических методик.
Общие сведения
Невралгия языкоглоточного нерва достаточно редко встречающееся заболевание. Отмечается примерно 16 случаев на 10 млн. человек. Страдают обычно лица в возрасте после 40 лет, мужчины чаще, чем женщины. Первое описание заболевания было дано в 1920 г. Сикаром, в связи с чем патология известна также под названием синдром Сикара.
Специалисты в области неврологии выделяют 2 формы заболевания: идиопатическую (первичную) и симптоматическую (вторичную), развивающуюся при травмах, инфекционных процессах задней черепной ямки, сдавлении нерва опухолью.
Анатомия и функции языкоглоточного нерва
Языкоглоточный нерв (n. glossopharyngeus) берет свое начало в нескольких ядрах продолговатого мозга. Он состоит из чувствительных, двигательных и вегетативных парасимпатических волокон. Чувствительные волокна начинаются в одноименном ядре, общем для языкоглоточного и блуждающего нерва (n.vagus), иннервируют слизистую оболочку миндалин, мягкого неба, глотки, языка, евстахиевой трубы, барабанной полости. Волокна вкусовой чувствительности выходят из ядра одиночного пути, общего с промежуточным нервом, обеспечивающим ощущение вкуса передних 2/3 языка. Вкусовые волокна языкоглоточного нерва отвечают за восприятие вкуса задней 1/3 поверхности языка и надгортанником.
Двигательные волокна языкоглоточного нерва берут начало из двоякого ядра, общего с n.vagus, и иннервируют шилоглоточную мышцу, поднимающую глотку. Наряду с блуждающим нервом, двигательные и чувствительные волокна n. glossopharyngeus образуют рефлекторные дуги небного и глоточного рефлексов.
Общность ядер и проводящих путей языкоглоточного и блуждающего нервов приводит к крайне редкой встречаемости изолированной патологии n. glossopharyngeus. Более часто при неврите языкоглоточного нерва наблюдается симптоматика их сочетанного поражения.
Причины
В некоторых случаях невралгия языкоглоточного нерва носит идиопатический характер и точно установить ее этиологию не представляется возможным. Значимыми факторами в развитии заболевания считают атеросклероз, инфекции лор-органов (отит, тонзиллит, хронический фарингит, синусит), острые и хронические интоксикации, вирусные инфекции (например, грипп).
Вторичная невралгия языкоглоточного нерва может возникать при инфекционной патологии задней черепной ямки (энцефалите, арахноидите), черепно-мозговых травмах, обменных нарушениях (сахарный диабет, гипертиреоз) и сдавлении (раздражении) нерва на любом участке его прохождения. Последнее возможно при внутримозговых опухолях мосто-мозжечкового угла (глиоме, менингиоме, медуллобластоме, гемангиобластоме), внутримозговых гематомах, назофаренгиальных опухолях, гипертрофии шиловидного отростка, аневризме каротидной артерии, окостенении шилоподъязычной связки, разрастании остеофитов яремного отверстия. Ряд клиницистов говорит о том, что в отдельных случаях невралгия языкоглоточного нерва может являться первым симптомом рака гортани или рака глотки.
Симптомы
Невралгия языкоглоточного нерва клинически проявляется односторонними болевыми пароксизмами, длительность которых варьирует от нескольких секунд до 1-3 мин. Интенсивная боль начинается в корне языка и быстро распространяется на мягкое небо, миндалины, глотку и ухо. Возможна иррадиация в нижнюю челюсть, глаз и шею. Болевой пароксизм может провоцироваться жеванием, кашлем, глотанием, зевотой, приемом чрезмерно горячей или холодной пищи, обычным разговором. Во время приступа пациенты обычно ощущают сухость в горле, а после него — повышенное слюноотделение. Однако сухость в горле не является постоянным признаком заболевания, поскольку у многих больных секреторную недостаточность околоушной железы успешно компенсируют другие слюнные железы.
Расстройства глотания, связанные с парезом поднимающей глотку мышцы, клинически не выражены, поскольку роль этой мышцы в акте глотания малозначительна. Наряду с этим могут наблюдаться затруднения заглатывания и пережевывания пищи, связанные с нарушением различных видов чувствительности, в т. ч. и проприоцептивной — отвечающей за ощущение положения языка в ротовой полости.
Зачастую невралгия языкоглоточного нерва имеет волнообразное течение с обострениями в осенний и зимний периоды года.
Диагностика
Невралгия языкоглоточного нерва диагностируется неврологом, хотя для исключения заболеваний ротовой полости, уха и горла требуется консультация соответственно стоматолога и отоларинголога. При неврологическом обследовании определяется отсутствие болевой чувствительности (аналгезия) в области основания языка, мягкого неба, миндалин, верхних отделов глотки. Проводится исследование вкусовой чувствительности, в ходе которого на симметричные участки языка пипеткой наносится специальный вкусовой раствор. Важное значение имеет выявление изолированного одностороннего расстройства вкусовой чувствительности задней 1/3 языка, поскольку двустороннее нарушение вкуса может наблюдаться при патологии слизистой ротовой полости (например, при хроническом стоматите).
Проводится проверка глоточного рефлекса (возникновение глотательных, иногда кашлевых или рвотных движений, в ответ на прикосновение бумажной трубочкой к задней стенке зева) и небного рефлекса (прикосновение к мягкому небу сопровождается поднятием неба и его язычка). Одностороннее отсутствие этих рефлексов говорит в пользу поражения n. glossopharyngeus, однако оно может наблюдаться и при патологии блуждающего нерва. Выявление в ходе осмотра глотки и зева высыпаний, типичных для герпетической инфекции, позволяет предположить ганглионит узлов языкоглоточного нерва, имеющий практически идентичную невриту языкоглоточного нерва симптоматику.
С целью установления причины вторичного неврита прибегают к нейровизуальной диагностике — проведению КТ или МРТ головного мозга. При отсутствии такой возможности назначается Эхо-ЭГ, ЭЭГ и консультация офтальмолога для осмотра глазного дна (офтальмоскопии).
Дифференциальная диагностика проводится с другими заболеваниями, вызывающими болевые пароксизмы в области головы и лица, а именно с невралгией тройничного нерва, невралгией ушного узла, ганглионитом крылонебного узла, синдромом Оппенгейма; глоссалгиями другой этиологии; опухолями глотки, заглоточным абсцессом.
Лечение и прогноз
В отношении невралгии проводится преимущественно консервативная терапия. Исключение составляют случаи сдавления нерва, для устранения которых требуется оперативное вмешательство (например, резекция гипертрофированного шиловидного отростка).
С целью купирования болевого пароксизма применяют смазывания зева и корня языка 10% р-ром кокаина, что позволяет устранить боль на 6-7 ч. При упорном болевом синдроме показана блокада языкоглоточного нерва 1-2% р-ра новокаина. Наряду с этим для приема внутрь назначают ненаркотические анальгетики (фенилбутазон, метамизол натрия, напроксен, ибупрофен и др.) и противосудорожные средства (фенитоин, карбамазепин). При выраженном болевом синдроме дополнительно целесообразно применение снотворных, седативных, антидепрессантных и нейролептических препаратов.
Хороший эффект оказывают физиотерапевтические методики: диадинамотерапия или СМТ на область миндалин и гортани, гальванизация. Рекомендуются вит. В1, поливитаминные комплексы, АТФ, ФиБС и другие препараты общеукрепляющего действия.
При успешном устранении причинного заболевания, особенно при синдроме сдавления языкоглоточного нерва, прогноз выздоровления благоприятен. Однако для полного купирования невралгии необходима длительная терапия в течении нескольких лет.
Читайте также:
- Солидный рак щитовидной железы с амилоидозом стромы. Медуллярный рак щитовидки
- Контроль перехода метафазы в анафазу кинетохорами
- Моделирование газообмена. Неизвестные параметры моделирования декомпрессии
- Санация очагов инфекции при сепсисе и септическом шоке - рекомендации
- Генетика - симптомы и лечение
