КТ, МРТ при доброкачественной гипертрофии жевательных мышц
Добавил пользователь Евгений Кузнецов Обновлено: 20.01.2026
Обслуживание на двух языках: русский, английский.
Оставьте свой номер телефона, и мы обязательно перезвоним вам.
Информацию из данного раздела нельзя использовать для самодиагностики и самолечения. В случае боли или иного обострения заболевания диагностические исследования должен назначить только лечащий врач. Для постановки диагноза и правильного назначения лечения следует обращаться к Вашему лечащему врачу.
Нередко сочетание стоматологических и неврологических проблем приводит к непропорциональному увеличению жевательных мышц и изменению формы нижней половины лица. Это одновременно и эстетическая, и медицинская проблема. В Клиническом госпитале на Яузе в рамках комплексного лечения проводится ботулинотерапия, расслабляющая напряжённые мышцы и способствующая восстановлению правильного овала лица и решению медицинских вопросов.
- Изменение овала лица («квадратное» или «трапециевидное» лицо) – одна из наиболее частых причин обращения к врачу-эстетисту.
- Форма нижней половины лица зависит от строения зубочелюстной системы и работы жевательных мышц.
- Ботулинотерапия позволяет быстро снять спазм с жевательных мышц и способствует нормализации их работы, уменьшению их объёма и улучшению нижней трети овала лица.
Цены на ботулинотерапию
- Стандартные консультации
- Прием (осмотр, консультация) врача-невролога первичный 3 900 руб.
- Прием (осмотр, консультация) врача-невролога повторный 3 500 руб.
- Первичный прием врача-невролога Серова А. А. 2 300 руб.
- Телеконсультации
- Удаленная консультация врача-невролога первичная 2 500 руб.
- Удаленная консультация врача-невролога повторная 2 500 руб.
- Прочие консультации
- Помощь на дому
- Прием (осмотр, консультация) врача-невролога с выездом на дом в пределах МКАД 10 500 руб.
- Манипуляции
- Ботулинотерапия под контролем УЗИ 6 000 руб.
- Ботулинотерапия под контролем ЭНМГ, без стоимости иглы 8 400 руб.
- Ботулинотерапия под контролем ЭНМГ, включая стоимость иглы 10 500 руб.
- Процедуры, направленные на уменьшение спастики 5 000 руб.
- Кинезиотейпирование (наложение повязки при заболеваниях мышц), 1 зона 1 200 руб.
- Кинезиотейпирование (наложение повязки при заболеваниях мышц), 2 зоны 1 600 руб.
- Лечебный маневр при доброкачественном пароксизмальном позиционном головокружении 2 200 руб.
- Блокады
- Блокада карпального канала с дипроспаном 3 000 руб.
- Паравертебральная блокада без стоимости препаратов 1 200 руб.
- Паравертебральная блокада, включая стоимость препаратов 3 000 руб.
- Паравертебральная блокада с дипроспаном 3 000 руб.
- Паравертебральная блокада с гиалрипайер 7 200 руб.
- Фармакопунктура в биологически активные точки (2 ампулы) 2 500 руб.
- Блокада грушевидной мышцы 3 600 руб.
- Плацентарная терапия препаратом Лаеннек
- Плацентарная терапия препаратом Лаеннек в биологически активные точки, 2 мл (1 ампула) 2 500 руб.
- Плацентарная терапия препаратом Лаеннек в биологически активные точки, 4 мл (2 ампулы) 5 000 руб.
- Плацентарная терапия препаратом Лаеннек в биологически активные точки, 6 мл (3 ампулы) 7 500 руб.
- Плацентарная терапия препаратом Лаеннек в биологически активные точки, 8 мл (4 ампулы) 10 000 руб.
- Плацентарная терапия препаратом Лаеннек в биологически активные точки, 10 мл (5 ампул) 12 500 руб.
- Плацентарные капельницы с препаратом Лаеннек, 4 мл (2 ампулы) 5 000 руб.
- Плацентарные капельницы с препаратом Лаеннек, 6 мл (3 ампулы) 7 500 руб.
- Плацентарные капельницы с препаратом Лаеннек, 8 мл (4 ампулы) 10 000 руб.
- Плацентарные капельницы с препаратом Лаеннек, 10 мл (5 ампул) 12 500 руб.
- Рефлексотерапия
- Сеанс рефлексотерапии при заболеваниях костной системы 4 000 руб.
- Сеанс корпоральной рефлексотерапии 2 500 руб.
- Сеанс аурикулярной рефлексотерапии 1 500 руб.
- Сеанс рефлексотерапии при заболеваниях кожи и подкожно-жировой клетчатки 4 000 руб.
- Фармакопунктура
- Фармакопунктура паравертебральных триггерных точек с применением препарата Лаеннек 20 000 руб.
- Фармакопунктура в точку позвоночной артерии с применением препарата Церебролизин 2 500 руб.
- Фармакопунктура триггерных точек с применением препаратов Алфлутоп и Ультракаин 3 000 руб.
- Фармакопунктура триггерных точек с применением препаратов Дексаметазон и Ультракаин 3 500 руб.
- Фармакопунктура триггерных точек с применением препаратов Дипроспан и Ультракаин 5 000 руб.
- Фармакопунктура в биологически активные точки (3 ампулы) 2 700 руб.
- Фармакопунктура с использованием лекарственных препаратов (включая стоимость препаратов) 3 000 руб.
- Лечение с использованием лекарственных препаратов
- Ботулинотерапия хронической мигрени с использованием лекарственного препарата Ксеомин, 150 ед. 28 000 руб.
- Внутримышечное введение лекарственного препарата Botox, 50 ед. 8 500 руб.
- Ботулинотерапия хронической мигрени с использованием лекарственного препарата Ксеомин, 200 ед. 35 000 руб.
- Внутримышечное введение лекарственных препаратов (ботулинотерапия) для лечения тремора головы или конечностей 7 800 руб.
- Коррекция асимметрии лица с использованием препарата Belotero Soft, 1 мл (1 шприц) 14 000 руб.
- Локальное введение лекарственного вещества в биологически активные точки, без учета стоимости препаратов 2 200 руб.
- Коррекция асимметрии лица с использованием препарата Belotero Soft, 2 мл (2 шприца) 24 000 руб.
- Внутривенная капельная инъекция для купирования болевого синдрома, включая стоимость препаратов 2 000 руб.
- Коррекция асимметрии лица с использованием препарата Belotero Beisic, 1 мл (1 шприц) 15 000 руб.
- Лечение мигрени с использованием лекарственного препарата Иринэкс 70 мг/мл 17 000 руб.
- Коррекция асимметрии лица с использованием препарата Belotero Beisic, 2 мл (2 шприца) 25 000 руб.
- Внутрикожное введение лекарственных препаратов при гипергидрозе (повышенной потливости), 1 зона, без учета стоимости препарата 4 800 руб.
- Коррекция асимметрии лица с использованием препарата Belotero Intens, 1 мл (1 шприц) 15 000 руб.
- Внутривенное введение (инфузия) лекарственных препаратов Перфалган, Эуфилин, Кеторол, Дексаметазон 2 500 руб.
- Коррекция асимметрии лица с использованием препарата Belotero Intens, 2 мл (2 шприца) 25 000 руб.
- Внутривенное введение (инфузия) лекарственных препаратов Церебролизин и Актовегин 2 800 руб.
- Назначение ботулинического токсина при хронической мигрени, Botox, 150 ед. 32 000 руб.
- Ботулинотерапия с использованием лекарственного препарата Релатокс, 50 ед. 13 000 руб.
- Назначение ботулинического токсина при хронической мигрени, Botox, 200 ед. 37 000 руб.
- Ботулинотерапия с использованием лекарственного препарата Релатокс, 100 ед. 18 000 руб.
- Внутримышечное введение лекарственного препарата Ксеомин, 1 ед. 500 руб.
- Ботулинотерапия с использованием лекарственного препарата Релатокс, 150 ед. 26 000 руб.
- Ботулинотерапия с использованием лекарственного препарата Релатокс, 200 ед. 33 000 руб.
- Внутримышечное введение лекарственного препарата Ксеомин, 100 ед. 15 000 руб.
- Внутримышечное введение лекарственного препарата Ксеомин, 50 ед. 8 500 руб.
- Внутримышечное введение лекарственного препарата Dysport, 300 ед. 13 200 руб.
- Внутримышечное введение лекарственного препарата Dysport, 500 ед. 18 000 руб.
- Внутримышечное введение лекарственного препарата Botox100 ед. 15 000 руб.
- Эндоскопия
- Капсульная эндоскопия 50 000 руб.
Внимание! Цены на сайте могут отличаться.
Пожалуйста, уточняйте актуальную стоимость у администраторов по телефону.
Причины гипертрофии жевательных мышц

К гипертрофии (увеличению) жевательных мышц приводит их насильственное сокращение, которое встречается при таких, например, неврологических заболеваниях как тризм, бруксизм, оромандибулярная дистония, вследствие чего формируется массивная нижняя треть лица.
Последствия гипертонуса и гипертрофии жевательных мышц
Для здоровья
Гипертрофия и избыточная функция жевательных мышц приводит к:
- повышенному стиранию и трещинам зубов,
- сколам керамических коронок и пломб,
- развитию болей в области лица.
Коррекция этих проблем требует участия стоматолога и невролога.
Для внешности и психологического состояния
Жевательная мышца активно участвует в мимических движениях, ее напряжение сопутствует гневу, агрессии, решительности, боли, сопровождает чувство презрения, отвращения. При гипертрофии этой мышцы часто наблюдается несоответствие внешнего вида и внутреннего мироощущения.
Эстетическая коррекция нижней трети лица позволит выражать именно те эмоции, которые вы испытываете, избавит от ощущения «тяжелой» и «напряженной» челюсти, поможет решить психологические проблемы.
Лечение (коррекция)

Для коррекции гипертрофии жевательных мыщц и ее избыточной активности в течение многих лет успешно применяются препараты ботулотоксина (ксеомин, ботокс, диспорт, лантокс), который является прекрасной альтернативой хирургическим вмешательствам.
Эффект от применения ботулотоксина в составе комплексной терапии
- Купирование боли в жевательной мускулатуре, головных болей, вызванных гипертонусом жевательных мышц.
- Улучшение функции височно-нижнечелюстного сустава, нередко страдающего при данной патологии (его подвижности, амплитуды открытия рта, состояния сустава).
- Длительное расслабление мышц под действием ботулотоксина делает возможной ортодонтическую коррекцию, а также формирование нового двигательного стереотипа для жевательных мышц.
- Обратное развитие гипертрофированных мышц.
- Нормализация показателей ЭМГ.
Преимуществом использования ботулотоксина также является предсказуемый, местный, дозозависимый эффект с отсутствием системных побочных явлений. Для оценки состояния мышц и реакции на препарат инъекции можно проводить под контролем ЭМГ (электромиографа). Накопленный опыт использования ботулотоксина позволяет его считать не только препаратом, который убирает симптомы. Ботулотоксин помогает изменить имеющийся стереотип движения (например, сжимание челюсти).
Наши специалисты:
В Клиническом госпитале на Яузе лечение с помощью ботулотоксина при гипертонусе и гипертрофии жевательных мышц проводит сертифицированный по ботулинотерапии врач-невролог.
КТ, МРТ при доброкачественной гипертрофии жевательных мышц
Доброкачественная гипертрофия жевательной мускулатуры - лучевая диагностика
а) Визуализация:
• Равномерное, диффузное увеличение жевательной мускулатуры:
о Жевательной, височной, медиальной и латеральной крыловидной мышц
о Наиболее очевидно увеличение жевательной мышцы
о Нормальное накопление контраста
• 50% двустороннее увеличение, обычно асимметричное
• КТ: увеличенные жевательные мышцы нормальной плотности:
о Утолщение кортикального слоя нижней челюсти и скуловой дуги
• МРТ: увеличенные жевательные мышцы с сигналом обычной интенсивности
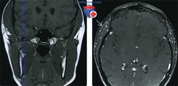
(Слева) При КТ с КУ в аксиальной проекции наблюдается асимметричное увеличение правой жевательной и медиальной крыловидной мышц, случайная находка. Плотность и интенсивность накопления контраста не отличаются от мышц противоположной стороны.
(Справа) Фото пациента с доброкачественной односторонней гипертрофией жевательной мышцы. Обратите внимание на значительное выбухание правой щеки, обусловленное гипертрофией жевательной мышцы. (Слева) При МРТ Т1ВИ в коронарной проекции отмечается увеличение правой височной мышцы у пациентки, обеспокоенной косметическим дефектом, который становится заметным при забранных в хвост волосах. И хотя чаще встречается гипертрофия жевательной мышцы, увеличиваться в размерах может и любая другая мышца.
(Справа) При МРТ Т1FS с КУ в аксиальной проекции у этой же пациентки сигнал от увеличенной мышцы имеет нормальную интенсивность, контраст не накапливается.
б) Дифференциальная диагностика:
• Псевдозаболевания жевательного пространства
• Абсцесс жевательного пространства
• Саркома жевательного пространства
• Плоскоклеточный рак жевательного пространства:
о Плоскоклеточный рак может напрямую прорастать в жевательное пространство (из позадимолярного треугольника, небных миндалин)
о Плоскоклеточный рак кожи подбородка или слизистой альвеолярного гребня может проникать в жевательное пространство за счет периневральной инвазии по волокнам нижнечелюстного нерва
в) Патология:
• Бруксизм (ночное скрежетание зубами)
• Постоянное жевание жевательной резинки
• Нарушения со стороны височно-нижнечелюстного сустава
• Анаболические стероиды ± жевание на одной стороне
г) Клинические особенности:
• Безболезненное образование в латеральных отделах лица, которое увеличивается при сжимании челюстей:
о Увеличение размеров жевательной мышцы является самым явным симптомом
• Постепенное медленное увеличение размеров жевательных мышц
• Лечение:
о Оперативное лечение только по косметическим показаниям
о Инъекции ботулотоксина А
о Лечение височно-нижнечелюстного сустава
д) Диагностическая памятка:
• Увеличенная мышца(ы) должна быть одной плотности (КТ) или одной интенсивности (МРТ) с другими скелетными мышцами
а) Терминология:
1. Аббревиатура:
• Доброкачественная гипертрофия жевательной мышцы (ДГЖМ)
2. Синоним:
• Доброкачественная гипертрофия жевательной мышцы
3. Определение:
• Доброкачественное увеличение жевательных мышц, участвующих в жевании (височной, жевательной, медиальной и латеральной крыловидной)
б) Визуализация:
1. Общая характеристика:
• Лучший диагностический критерий:
о Равномерное диффузное увеличение жевательных мышц
• Локализация:
о Жевательное пространство (ЖП); наиболее выраженное вовлечение жевательной мышцы
о В 50% двухстороннее увеличение, обычно асимметричное
2. Рентгенография при доброкачественной гипертрофии жевательных мышц:
• Рентгенологические признаки:
о Утолщение угла нижней челюсти с экзостозами в области прикрепления жевательных мышц

(Слева) На аксиальной КТ с КУ определяется асимметричное увеличение жевательной мышцы и медиальной крыловидной мышцы права. Характер контрастирования и плотность этих мышц аналогичны мышцам на противоположной стороне.
(Справа) На 3D КЛКТ у пациента с бруксизмом в анамнезе определяется выбухание и деформация углов нижней челюсти с обеих сторон. Неровный контур имитирует картину экзостозов в области прикрепления жевательных мышц и ремоделирование копи вследствие гиперактивности мышц.
3. КТ при доброкачественной гипертрофии жевательных мышц:
• КТ без КУ:
о Увеличенные жевательные мышцы обычной плотности
• КТ с КУ:
о Увеличенные жевательные мышцы накапливают контраст обычно
• КЛКТ и КТ в костном окне:
о Утолщение кортикальной пластинки нижней челюсти и скуловой дуги
о Неровная кортикальная пластинка в области угла нижней челюсти
4. МРТ при доброкачественной гипертрофии жевательных мышц:
• Т1 ВИ:
о Увеличенные жевательные мышцы с сигналом нормальной интенсивности
о Снижение интенсивности сигнала в области утолщенной кортикальной пластинки (нижней челюсти, скуловой дуги)
• Т2 ВИ:
о Увеличенные жевательные мышцы с сигналом нормальной интенсивности
• Т1 ВИ С+:
о Нормальное контрастное усиление увеличенных жевательных мышц
5. УЗИ при доброкачественной гипертрофии жевательных мышц:
• Увеличенная жевательная мышца нормальной эхогенности
6. Сцинтиграфия:
• ПЭТ: возможно интенсивное накопление ФДГ
7. Другие методы:
• Сиалография: смещение протока околоушной железы крупной жевательной мышцей
8. Рекомендации по визуализации:
• Лучший метод визуализации:
о КТ с КУ или МРТ (Т1 С+) для оценки поражений ЖП
• Выбор протокола:
о КТ с КУ в костном и мягкотканном окне

(Слева) На фотографии пациента с односторонней доброкачественной гипертрофией жевательной мышцы можно увидеть обширное равномерное выбухание щеки, обусловленное увеличенной жевательной мышцей в области прикрепления к углу нижней челюсти.
(Справа) На аксиальной МРТ (Т2) у пациента с типичной односторонней доброкачественной гипертрофией жевательной мышцы определяется увеличение жевательной и медиальной крыловидной мышц с сигналом, идентичным мышцам слева.
в) Дифференциальная диагностика доброкачественной гипертрофии жевательных мышц:
1. Псевдопоражение жевательного пространства:
• Кажущееся увеличение жевательной мышцы на фоне маленькой жевательной мышцы с противоположной стороны
2. Абсцесс жевательного пространства:
• Жидкость в ЖП с контрастирующимся «ободком» ± остеомиелит нижней челюсти
3. Саркома жевательного пространства:
• Первичная злокачественная опухоль ЖП
4. Плоскоклеточный рак жевательного пространства (прямая инвазия или периневральная опухоль V3):
• ПКР позадимолярного треугольника, небная миндалина непосредственно распространяется в ЖП
• ПКР кожи подбородка или альвеолярного гребня нижней челюсти распространяется в ЖП периневрально по ходу V3
г) Патология:
1. Общая характеристика:
• Этиология:
о Бруксизм (скрип зубами по ночам), жевание жевательной резинки, дисфункция ВНЧС
о Анаболические стероиды ± жевание одной стороной
2. Микроскопия:
• Нормальные скелетные мышцы
• Гиперплазия (↑ количества волокон), а не истинная гипертрофия
д) Клинические особенности:
1. Проявления:
• Типичные признаки/симптомы:
о Безболезненное выбухание боковых отделов лица, увеличивающееся при смыкании челюстей
2. Демография:
• Возраст:
о ДГЖМ обычно возникает у подростков
• Пол:
о М:Ж= 2:1
3. Течение и прогноз:
• Медленно прогрессирующее увеличение жевательной мышцы
4. Лечение:
• Операция только с косметической целью
• Инъекции ботулотоксина А
• Коррекция дисфункции ВНЧС, связанной с парафункциональными привычками
е) Диагностическая памятка. Советы по интерпретации изображений:
• Увеличенные мышцы должны иметь одинаковую плотность (КТ) или интенсивность (МРТ) по сравнению с нормальными скелетными мышцами
1. Синонимы:
• Доброкачественная гипертрофия жевательной мышцы (ДГЖМ)
• Доброкачественная гипертрофия m.masseter
2. Определение:
• Доброкачественное увеличение мышц, участвующих в процессе жевания, преимущественно m.masseter
1. Общая характеристика:
• Лучший диагностический критерий:
о Диффузное равномерное увеличение жевательной мышцы
• Локализация:
о Жевательное пространство; наиболее явно увеличивается m.masseter
о В 50% процесс двухсторонний, обычно асимметричный
• Размер:
о До 3 раз больше, чем в норме
о В норме поперечник жевательной мышцы на УЗИ

(Слева) На рисунке в аксиальной плоскости показано одностороннее увеличение левой жевательной мышцы. Обратите внимание на утолщение кортикальной пластинки нижней челюсти. Сравните с неизмененной жевательной мышцей и нижней челюстью с противоположной стороны.
(Справа) МРТ (Т1), аксиальная проекция: в этой же области определяется диффузное увеличение левой жевательной мышцы по сравнению с противоположной стороной.
2. УЗИ при доброкачественной гипертрофии жевательной мышцы:
• Увеличение жевательной мышцы, обычная эхогенность, ровные контуры
• Отсутствие очагов, неоднородности, кальцинатов, кист в мышце
• Подлежащая кортикальная пластинка нижней челюсти может быть неровной, что позволяет предположить гиперостоз
• Цветовая допплерография: патологические сосуды в мышце отсутствуют
3. КТ при доброкачественной гипертрофии жевательной мышцы:
• КТ без КУ:
о Увеличенные жевательные мышцы с неизмененной плотностью, утолщение кортикальной пластинки вовлеченной нижней челюсти и скуловой дуги
• КТ с КУ:
о Увеличенные жевательные мышцы, накапливающие контраст как обычно
4. МРТ при доброкачественной гипертрофии жевательной мышцы:
• Т1 ВИ:
о Увеличенные жевательные мышцы с изоинтенсивным сигналом относительно неизмененных мышц, снижение интенсивности сигнала в губчатом веществе вблизи утолщенной кортикальной пластинки (нижняя челюсть, скуловая дуга)
• Т2 ВИ:
о Увеличенные жевательные мышцы с изоинтенсивным сигналом относительно неизмененных мышц
• Т1 ВИ С+:
о Увеличенные жевательные мышцы с обычным накоплением контраста
5. Рекомендации по визуализации:
• Лучший метод диагностики:
о Из-за поверхностной локализации жевательной мышцы УЗИ идеально подходит для диагностики и мониторинга лечения
о Всегда сравнивайте мышцы в определенных точках: угол нижней челюсти, уровень мочки уха, а также в середине расстояния между ними
о УЗИ идеально подходит для контроля положения иглы при инъекции ботулотоксина А для коррекции ДГЖМ, а также динамического контроля
• Выбор протокола:
о Всегда сравнивайте жевательные мышцы с обеих сторон
о При двухсторонней ДГЖМ гипертрофию может быть сложно оценить; толщина мышцы на УЗИ должна быть о Всегда оценивайте подлежащие слюнные железы для исключения их поражения, имитирующего ДГЭМ
о Другие мышцы, участвующие в процессе жевания (медиальная и латеральная крыловидные, височная) также могут быть вовлечены; из-за локализации их нельзя оценить при помощи УЗИ

(Слева) УЗИ, поперечная проекция: определяется диффузное увеличение жевательной мышцы. В норме на УЗИ поперечник жевательной мышцы (Справа) УЗИ, поперечная проекция: визуализируется неизмененная жевательная мышца с противоположной стороны. Подлежащая кортикальная пластинка нижней челюсти ровная.
в) Дифференциальная диагностика доброкачественной гипертрофии жевательной мышцы:
1. Воспаление жевательной мышцы:
• Увеличенная, отечная, гипоэхогенная жевательная мышца ± кровоток
2. Абсцесс жевательной мышцы:
• Отек и увеличение жевательной мышцы, низкая эхогенность
• Кистозное/гипоэхогенное скопление жидкости
3. Метастатическое поражение жевательной мышцы:
• Солитарные/множественные гипоэхогенные опухоли вдоль длинной оси мышцы
• Клинические признаки диссеминированного поражения
4. Метастатическое поражение нижней челюсти:
• Очаговая деструкция кости опухолью, инфильтрирующей жевательную мышцу
1. Общая характеристика:
• Этиология:
о Бруксизм (скрежет зубами по ночам), жевание жевательной резинки, дисфункция височно-нижнечелюстного сустава (ВНЧС)
о Анаболические стероиды ± жевание одной стороной
2. Макроскопические и хирургические особенности:
• Неизмененная скелетная мышца
• Гиперплазия (↑ количества волокон), а не истинная гипертрофия
1. Проявления:
• Типичные признаки/симптомы:
о Безболезненное объемное образование в наружных отделах лица, увеличивающееся при жевании
2. Демография:
• Возраст:
о Процесс обычно начинается в подростковом возрасте
• Пол:
о М:Ж = 2:1
3. Течение и прогноз:
• Медленно нарастающее увеличение жевательной мышцы
4. Лечение:
• Инъекции ботулотоксина А
• Операция (только с косметической целью)
• Коррекция дисфункции ВНЧС
е) Список использованной литературы:
1. Fedorowicz Z et al: Botulinum toxin for masseter hypertrophy. Cochrane Database Syst Rev. CD007510, 2013
2. Kebede В et al: Idiopathic masseter muscle hypertrophy. Ethiop J Health Sci. 21(3):209-12, 2011
- Вернуться в оглавление раздела "Отоларингология"
Редактор: Искандер Милевски. Дата обновления публикации: 17.3.2022
Информация на сайте подлежит консультации лечащим врачом и не заменяет очной консультации с ним.
См. подробнее в пользовательском соглашении.
1. Аббревиатура:
• Доброкачественная гипертрофия жевательной мускулатуры (ДГЖМ)
2. Синоним:
• Доброкачественная жевательная гипертрофия
3. Определение:
• Доброкачественная гипертрофия жевательной мускулатуры: доброкачественное увеличение в размерах жевательных мышц (височной, жевательной, латеральной и медиальной крыловидных)
1. Общая характеристика:
• Лучший диагностический критерий:
о Равномерное, диффузное увеличение в размере жевательной мускулатуры
• Локализация:
о Жевательное пространство; наиболее очевидно увеличение жевательной мышцы
о 50% двустороннее увеличение, обычно асимметричное
2. Рентгенологические данные:
• Рентгенография:
о Возможно увеличение нижнечелюстного угла с наличием экзостозов в месте крепления жевательной мышцы

(Слева) При КТ с КУ в аксиальной проекции наблюдается асимметричное увеличение правой жевательной и медиальной крыловидной мышц, случайная находка. Плотность и интенсивность накопления контраста не отличаются от мышц противоположной стороны.
(Справа) Фото пациента с доброкачественной односторонней гипертрофией жевательной мышцы. Обратите внимание на значительное выбухание правой щеки, обусловленное гипертрофией жевательной мышцы.
3. КТ при доброкачественной гипертрофии жевательной мускулатуры:
• КТ без контрастирования:
о Увеличенные жевательные мышцы нормальной плотности
• КТ с КУ:
о Увеличенные жевательные мышцы с нормальным накоплением контраста
• КТ в костном окне:
о Утолщение кортикального слоя нижней челюсти и скуловой дуги
4. МРТ при доброкачественной гипертрофии жевательной мускулатуры:
• Т1ВИ:
о Увеличенные жевательные мышцы с сигналом нормальной интенсивности
о Снижение интенсивности сигнала от костного мозга в участках утолщения кортикального слоя (нижняя челюсть, скуловая дуга)
• Т2ВИ:
о Увеличенные жевательные мышцы с сигналом нормальной интенсивности
• Т1 ВИсКУ
о Увеличенные жевательные мышцы с нормальным накоплением контраста
5. УЗИ при доброкачественной гипертрофии жевательной мускулатуры:
• Увеличенные жевательные мышцы нормальной эхогенной структуры
6. Сцинтиграфия:
• Возможно интенсивное поглощение ФДГ при ПЭТ
7. Другие методы исследования:
• Сиалография: проток околоушной железы смещен в сторону увеличенной жевательной мышцей
8. Рекомендации по визуализации:
• Лучший метод визуализации:
о КТ с КУ или Т1 ВИ с контрастированием наилучшим образом подходят для диагностики заболеваний жевательного пространства
• Протокол исследования:
о КТ оценивается в костном и мягкотканном окнах

(Слева) При МРТ Т1ВИ в коронарной проекции отмечается увеличение правой височной мышцы у пациентки, обеспокоенной косметическим дефектом, который становится заметным при забранных в хвост волосах. И хотя чаще встречается гипертрофия жевательной мышцы, увеличиваться в размерах может и любая другая мышца.
(Справа) При МРТ Т1FS с КУ в аксиальной проекции у этой же пациентки сигнал от увеличенной мышцы имеет нормальную интенсивность, контраст не накапливается.
в) Дифференциальная диагностика доброкачественной гипертрофии жевательной мускулатуры:
1. Псевдозаболевания жевательного пространства:
• Если размер противоположных жевательных мышц уменьшен, нормальные жевательные мышцы выглядят гипертрофированными
2. Абсцесс жевательного пространства:
• Жидкость в жевательном пространстве с периферическим кольцом накопления контраста ± остеомиелит нижней челюсти
3. Саркома жевательного пространства:
• Первичная злокачественная опухоль жевательного пространства
4. Плоскоклеточный рак жевательного пространства, прямое распространение или периневральная инвазия (ЧН V3):
• Непосредственное распространение в жевательное пространство (позадимолярный треугольник, небные миндалины)
• Периневральная инвазия опухоли по волокнам нижнечелюстного нерва, либо при плоскоклеточном раке кожи подбородка, либо при плоскоклеточном раке слизистой оболочки альвеолярного гребня нижней челюсти
1. Общая характеристика:
• Этиология:
о Бруксизм (ночное скрежетание зубами), жевание жвачки, нарушения со стороны височно-нижнечелюстного сустава
о Анаболические стероиды ± жевание на одной стороне
2. Микроскопия:
• Нормальная скелетная мышечная ткань
• В основе увеличения может лежать гиперплазия (↑ числа волокон), а не истинная гипертрофия
1. Проявления:
• Типичные признаки/симптомы:
о Безболезненное образование в латеральной части лица, которое увеличивается при сжатии челюстей
2. Демография:
• Возраст:
о Обычно начинается в подростковом возрасте
• Пол:
о М:Ж=2:1
3. Течение и прогноз:
• Постепенное медленное увеличение размеров жевательных мышц
4. Лечение:
• Оперативное лечение только по косметическим показаниям
• Инъекции ботулотоксина А
• Лечение височно-нижнечелюстного сустава
е) Диагностическая памятка. Советы по интерпретации изображений:
• Увеличенная мышца(ы) должна быть одной плотности (КТ) или одной интенсивности (МРТ) с другими скелетными мышцами
ж) Список использованной литературы:
1. Andreadis D et al: Bilateral masseter and internal pterygoid muscle hypertrophy: a diagnostic challenge. Med Princ Pract. 23(3):286-8, 2014
2. Connor SE et al: Masticator space masses and pseudomasses. Clin Radiol. 59(3):237-45, 2004
3. Palacios E et al: Benign asymmetric hypertrophy of the masticator muscles. Ear Nose Throat J. 79(12):915, 2000
- Вернуться в оглавление раздела "Лучевая медицина"
Редактор: Искандер Милевски. Дата публикации: 30.12.2020
Читайте также:
- Лицевой нерв эмбриона. Слуховой нерв плода
- Витамины и пересадка поджелудочной железы при диабетической ретинопатии
- Гистологическое строение себорейной карциномы. Лечение себорейной карциномы.
- Лечение больных с эндокринным бесплодием. Кломифен при бесплодии
- Лекарства вызывающие ортостатическую гипотензию
