КТ, МРТ при извитости сонной артерии
Добавил пользователь Евгений Кузнецов Обновлено: 03.12.2025
а) Терминология:
1. Синонимы:
• Ложная аневризма сонной артерии
• Может быть неотличима от разрыва сонной артерии (осложнение лучевой терапии)
2. Определение:
• Псевдоаневризма сонной артерии: формирование полости, связанной с просветом сонной артерии
б) Визуализация:
1. Общая характеристика:
• Лучший диагностический критерий:
о КТ-ангиография/КТ с контрастированием: локальное увеличение диаметра просвета/стенки внутренней сонной артерии
о МРТ: увеличенная внутренняя сонная артерия, стенки которой имеют неоднородный сигнал (различные стадии тромбоза с отложением метгемоглобина и гемосидерина)
• Локализация:
о Сонное пространство
о Чаще всего возникает в области дистальной части внутренней сонной артерии, сразу под основанием черепа; либо на уровне общей сонной артерии
• Размер: 1-3 см
• Морфология:
о Мешотчатая или веретеновидная

(Слева) КТ-ангиография, аксиальная проекция, пациент 29 лет с переломами шейного отдела позвоночника в результате мотоциклетной травмы. Имеются отклонения со стороны верхнего сегмента левой внутренней сонной артерии: признаки расслоения с формированием лоскута интимы и образованием кармана вдоль задней стенки сосуда.
(Справа) КТ-ангиография, реконструкция в сагиттальной проекции, этот же пациент. Четко визуализируется псевдоаневризма, которая возникла на фоне расслоения внутренней сонной артерии. Обратите внимание, что сагиттальные срезы, в отличие от аксиальных, позволяют получить четкую картину этого состояния.
2. КТ при псевдоаневризме сонной артерии:
• КТ без контрастирования:
о Кальцификация стенок при хроническом процессе
• КТ с КУ:
о При частичном тромбозе аневризмы - накопление контраста по центру или периферии просвета сосуда
о Неравномерное накопление контраста при наличии тромбов в просвете сосуда
• КТ-ангиография:
о Ложная аневризма выглядит как локальное выбухание внутренней или общей сонной артерии
4. Ангиография при псевдоаневризме сонной артерии:
• Выбухание просвета внутренней сонной артерии с формированием внепросветной аневризмы
• Часто сочетается с расслоением внутренней сонной артерии
5. Рекомендации по визуализации:
• Лучший метод визуализации:
о Традиционная ангиография остается золотым стандартом в диагностике псевдоаневризмы и расслоения внутренней сонной артерии:
- Кажущийся размер псевдоаневризмы оказывается меньше, чем в действительности
о КТ с контрастированием и КТ-ангиография позволяют определить размер аневризмы, степень тромбоза просвета сосуда, наличие кровотока

(Слева) КТ-ангиография, коронарная проекция. Женщина 44 лет с фиброзно-мышечной дисплазией: определяется нечеткость контуров обеих внутренних сонных артерий, которая весьма характерна для фиброзно-мышечной дисплазии. В левой сонной артерии имеется участок расслоения с формированием псевдоаневризмы.
(Справа) Объемное изображение, КТ-ангиография в коронарной проекции, эта же пациентка. Здесь аневризма левой внутренней сонной артерии видна более четко. Вновь можно увидеть неровные контуры обоих сосудов, которые характерны для фиброзно-мышечной дисплазии.
в) Дифференциальная диагностика псевдоаневризмы сонной артерии:
1. Расширение каротидного синуса:
• Визуализация: расширение бифуркации сонной артерии без признаков тромбоза
2. Извитость сонной артерии:
• Визуализация: извитость или петля сонной артерии, которые могут напоминать аневризму
3. Расслоение сонной артерии:
• Клиника: спорадическое или посттравматическое
• Визуализация: сужение/окклюзия внутренней сонной артерии
г) Патология:
1. Общая характеристика:
• Этиология:
о Причины различны:
- Травма (расслоение или непосредственная травма)
- Спорадическое субадвентициальное расслоение внутренней сонной артерии
- Атеросклероз (процесс обычно двусторонний)
- Ятрогения: лучевая терапия, каротидная эндартерэктомия
- Инфекции: микотическая псевдоаневризма сонной артерии
- Врожденные аномалии сосудистой стенки: фиброзно-мышечная дисплазия, кистозный медионекроз, синдромы Элерса-Данлоса и Марфана, болезнь Бехчета
2. Макроскопические и хирургические особенности:
• У псевдоаневризмы отсутствуют нормальные компоненты артериальной стенки:
о Стенка псевдоаневризмы окружена листком адвентиции, гематомой или мягкими тканями
о При проникающей травме или у пациентов, перенесших лучевую терапию, целостность адвентиции может быть нарушена
д) Клинические особенности:
1. Проявления:
• Типичные признаки/симптомы:
о Пульсирующее образование на шее
о Паралич нижних черепных нервов (ЧН IX—XII)
о Ишемические нарушения ± инсульт
о Кровотечения (особенно у пациентов со злокачественными опухолями головы и шеи)
2. Течение и прогноз:
• Тромб в просвете псевдоаневризмы может стать причиной транзиторной ишемической атаки/инсульта
• У пациентов, перенесших лучевую терапию по поводу новообразований головы и шеи, кровотечение может представлять опасность для жизни, помощь должна быть оказана незамедлительно
3. Лечение:
• В случае небольшой аневризмы + расслоение внутренней сонной артерии лечение может быть консервативным (антикоагулянты + динамическое наблюдение ± аспирин):
о Гепарин — варфарин
• Крупная псевдоаневризма: метод выбора - эндоваскулярное стентирование:
о При неэффективности лечения рассмотреть возможность эндоваскулярной окклюзии сосуда
е) Список использованной литературы:
1. Bodanapally UK et al: Vascular injuries to the neck after penetrating trauma: diagnostic Performance of 40- and 64-MDCT Angiography. AJR Am J Roentgenol. 205(4):866-72, 2015
2. Chokshi FH et al: 64-MDCT angiography of blunt vascular injuries of the neck. AJR Am J Roentgenol. 196(3):W309-15, 2011
КТ, МРТ при извитости сонной артерии
Извитость сонной артерии - лучевая диагностика
а) Терминология:
• Синонимы: заглоточная сонная артерия, транспозиция сонной артерии, медиализированная сонная артерия
б) Визуализация:
• Диагноз выставляется после КТ- или МР-ангиографии
• При КТ-ангиографии/КТ с КУ в заглоточном пространстве визуализируется сонная артерия, накапливающая контрастное вещество:
о Сосуд округлой (аксиальная проекция) или цилиндрической (коронарная проекция) формы
о Непрерывный ход артерии определяется при последовательном анализе аксиальных срезов
• Лучше всего визуализируется на коронарных срезах
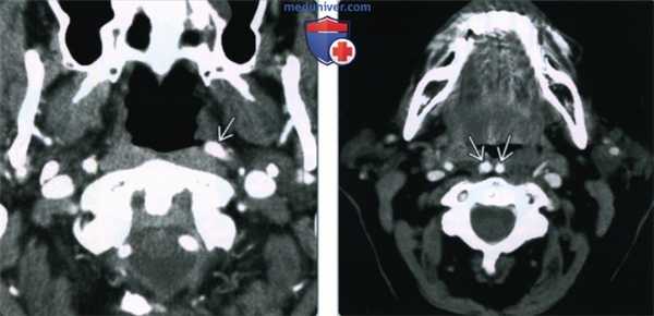
(Слева) КТ-ангиография, аксиальная проекция, пациентка 62 лет, получившая колющее ранение правой половины шеи, проникающее в глотку. В заглоточном и сонном пространствах имеется газ. В заглоточном пространстве случайно обнаружена медиализированная, извитая сонная артерия.
(Справа) КТ-ангиография, коронарная проекция. Правая внутренняя сонная артерия изгибается и вступает в заглоточное пространство. При изучении коронарных срезов сосудистая природа аномалии становится особенно явной. (Слева) КТ с КУ, аксиальная проекция. Левая внутренняя сонная артерия В смещена в медиальную сторону. Обратите внимание, что на уровне носоглотки она расположена очень близко к слизистой оболочке. О подобных аномалиях необходимо указать в заключении, так как это позволит избежать ятрогенного повреждения артерии при операции на глотке.
(Справа) КТ без КУ, аксиальная проекция. Классический пример «целующихся» извитых сонных артерий. В заглоточном пространстве артерии касаются друг друга на уровне средней линии.
в) Дифференциальная диагностика:
• Псевдоаневризма сонной артерии
• Расслоение сонной артерии
• Параганглиома каротидного синуса
г) Патология:
• Сонная артерия смещается в медиальном направлении от сонного влагалища, изгибается ± выходит за латеральный отрог глубокой фасции шеи и входит в заглоточное пространство
д) Клинические особенности:
• Случайная находка при КТ или МРТ
• Клинически может проявляться наличием пульсирующего образования на задней стенке глотки или позади небной миндалины:
о Чувство кома в горле
о Может усиливать симптомы ночного апноэ сна
• Достаточно распространенное псевдозаболевание пожилого возраста
• Правильная интерпретация снимков позволяет избежать ненужного лечения
е) Диагностическая памятка:
• О патологической извитости сонной артерии нужно помнить при обнаружении на рентгеновских снимках в боковой проекции расширения мягких тканей предпозвоночного пространства
• Необходимо понимать, что это состояние не требует хирургического лечения
• Для постановки диагноза нужно обращать внимание на цилиндрическую форму расширенной сонной артерии
• Ход сонной артерии обязательно следует описать при исследовании пациентов, которым планируется оперативное вмешательство в области глотки
Патологическая извитость сонных артерий

Патологическая извитость (кинкинг) сонных артерий является одним из наименее изученных и загадочных заболеваний. Роль патологической извитости в развитии симптомов сосудисто-мозговой недостаточности еще изучается, но установлено, что у каждого третьего умершего от инсульта находили патологические изгибы сонных или позвоночных артерий. У 16-26 % взрослого населения выявляются различные варианты удлинения и извитости сонных или позвоночных артерий на шее. Патологическая извитость - это неравномерный ход артерии с образованием изгибов, петель и перекручиваний, который влияет на характер кровотока по артерии и может способствовать развитию острых нарушений мозгового кровообращения.
Методы лечения в Инновационном сосудистом центре
Сосудистые хирургии нашей клиники имеют значительный опыт уникальных операций на сонных артериях при патологической извитости. Основной проблемой для хирургического лечение является определение четких показаний к оперативному лечению. В нашей клинике разработан четкий диагностический протокол, позволяющий определить клиническое значение той или иной извитости и степень ее влияния на мозговой кровоток. Опыт успешных операций нашей клиники при патологической извитости превышает 200 случаев.
Причины и распространенность патологической извитости
Патологическая извитость развивается всегда из-за удлинения внутренней сонной артерии, которая вынуждено складывается в изгибы или даже петли. Избыточная длина внутренней сонной артерии часто закладывается еще в период эмбрионального развития, то есть извитость артерии чаще всего врожденная. С возрастом может происходить дальнейшее закручивание избыточной сонной артерии в петлю. По мнению некоторых исследователей патологическая извитость может являться причиной неврологических и интеллектуальных проблем у детей дошкольного и младшего школьного возраста.
Удлинение внутренней сонной артерии может развиваться и в результате запущенной гипертонической болезни, когда постоянно повышенное артериальное давление вызывает изменение стенки артерии и ее изгибы. Такая извитость редко влияет на мозговую гемодинамику и чаще является феноменом, случайно выявляемым при УЗИ магистральных артерий.
Патологическая извитость сонных артерий была выявлена у 16% пациентов, умерших от ишемического инсульта, более 23% детей, перенесших ишемический инсульт имели патологическую извитость. При обследовании пациентов, проходивших лечение по поводу нарушений мозгового кровобращения, патологическая извитость при ультразвуковом ангиосканировании была выявлена у 12% . Различные нарушения хода внутренних сонных артерий, по данным патологоанатомических исследований были выявлены у 40% людей.
Клинико-анатомические варианты
Удлинение артерии. Наиболее часто встречается удлинение внутренней сонной или позвоночной артерии, которое приводит к образованию плавных изгибов по ходу сосуда. Удлиненная артерия редко причиняет беспокойство и, как правило, обнаруживается при случайном исследовании. Важное значение удлинение артерии имеет для ЛОР-врачей, так как стенка артерии может аномально находится близко к небным миндалинам и при тонзилэктомии может случайно повреждаться. С возрастом эластичность артериальной стенки меняется и плавные изгибы артерии могут стать перегибами, с развитием картины нарушений мозгового кровообращения. При удлинении артерий без перегибов при ультразвуковом исследовании кровотока нарушений не определяется.
Кинкинг - перегиб артерии под острым углом. Кинкинг может быть врожденным, когда с раннего детства определяются нарушения мозгового кровообращения и развиваться со временем из удлиненной сонной артерии. Формированию перегибов способствует артериальная гипертония, прогрессирование атеросклероза в внутренней сонной артерии. Клинически кинкинг внутренней сонной артерии проявляется преходящими нарушениями мозгового кровообращения. При кинкинге позвоночной артерии развивается вертебрально-базилярная недостаточность. Выявление кинкинга с мозговыми симптомами встает вопрос о хирургическом исправлении извитости.
Койлинг - образование петли артерии. Несмотря на плавный ход петли, изменения кровотока в ней очень значительны. Характер изгибов при койлинге может изменятся в зависимости от положения тела, артериального давления. Наблюдается хаотичный характер кровотока, что приводит к снижению давления крови после петли и соответственно к снижению кровотока по мозговым артериям. Если у человека хорошо развит Виллизиев круг на нижней поверхности мозга, то он никогда и не узнает о существовании у себя петли или перегиба. Появление симптомов недостаточности мозгового кровообращения свидетельствует о нарушениях компенсации кровотока и диктует необходимость детального обследования и лечения.
Течение заболевания
Если извитость сонной артерии становится симптомной, то она протекает достаточно мучительно для пациента. Малые признаки и симптомы заболевания постепенно усиливаются и приводят к снижению трудоспособности. Наличие патологической извитости может приводить к симптомной гипертонии, что в свою очередь способствует прогрессированию извитости и образованию перегибов. В местах перегибов сонной артерии могут образоваться спайки, которые еще более способствует нарушению характера кровотока, делая его турбулентным. В итоге эти процессы могут привести к транзиторным ишемическим атакам или инсульту.
Резекция патологической извитости сонной артерии

Операция при патологической извитости сонной артерии заключается в выпрямлении извитой артерии с помощью расправления извитого участка, удаления избытка артерии и восстановления проходимости и прямолинейного хода. Операция проводится при подтвержденном диагнозе патологической извитости сонной артерии. Средняя продолжительность оперативного вмешательства 45 минут.
Наши преимущества
Хирурги Инновационного сосудистого центра занимаются проблемой лечения патологической извитости сонных артерий с 2001 года. За это время была проведена большая научная работа по определению показаний к лечению, алгоритм диагностики. Была отработана техника хирургических вмешательств. С этого времени без осложнений было выполнено более 200 оперативных вмешательств по поводу патологической извитости с хорошим непосредственным и отдаленным результатом. Проанализированы результаты операций у всех больных. Осуществляется постоянный послеоперационный контроль за проходимостью оперированных артерий и неврологическими функциями.
Подготовка к операции
Операция проводится в плановом порядке. До операции должны быть санированы очаги хронической инфекции - кариозные зубы, хронический тонзиллит, при хронических заболеваниях внутренних органов необходимо добиться стойкой ремиссии. Обязательно проводится гастроскопия для исключения язвенной болезни, чтобы не допустить в послеоперационном периоде желудочно-кишечного кровотечения. Операции у женщин проводятся в середине менструального цикла.
Обезболивание
Операция при патологической извитости проводится под местной анестезией или под общим наркозом. Выбор метода обезболивания в нашей клинике зависит от объема предстоящей операции. Мы предпочитаем проводить эту операцию под местной анестезией, так как она дает возможность определить реакцию головного мозга на временное пережатие сонной артерии. В случае признаков недостаточности мозгового кровообращения (нарушение сознания, выполнения команд) во время пробного пережатия можно применить методы защиты головного мозга (временный шунт). Для операций под общим наркозом пробу с пережатием внутренней сонной артерии делают во время ультразвукового обследования до начала операции.
Варианты операции
Редрессация внутренней сонной артерии - операция подразумевает выделение артерии из спаек, распрямление всех изгибов и фиксация артерии к окружающим тканям в расправленном положении.
Резекция извитой сонной артерии с анастомозом конец в конец - этот вариант предполагает выделение петли, иссечение измененного участка и сшивание артерии "конец в конец". Такой вариант применяется при расположении петли высоко от устья внутренней сонной артерии и при одинаковых диаметрах отводящего и приводящего концов артерии.
Резекция с редрессацией внутренней сонной артерии - выполняется при расположении изгибов поблизости от устья сонной артерии. Артерия отсекается от общей сонной артерии, после этого резецируется избыток и артерия пришивается на старое место.
Резекция патологической извитости с протезированием сонной артерии - извитой участок иссекается, а на место этого участка пришивается искусственный сосуд или собственная подкожная вена. Такой вариант операции применяется при резком изменении стенки артерии, либо при сочетании извитости с выраженным атеросклерозом артерии.
Ход операции
Разрез проводится по внутреннему краю кивательной мыщцы на шее, последовательно рассекается кожа, подкожная клетчатка, подкожная мышца. Край кивательной мышцы отводится кнаружи. Выделяется бифуркация (раздвоение) общей сонной артерии. Последняя делится на внутреннюю и наружную. Наружная сонная артерия отличается наличием веток, внутренняя их не имеет. После этого аккуратно выделяется внутренняя сонная артерия до извитости и выше ее. Необходимо проявлять осторожность при выделении верхнего отдела, так как там находится подъязычный нерв и глоточное сплетение. После выделения извитости она расправляется и принимается решение о методи коррекции. После иссечения избытка артерии проводится восстановление хода артерии. После пуска кровотока проводится исследование восстановленного сосуда с помощью ультразвукового сканнера при этом изучается характер кровотока (ламинарный, турбулентный), его скорость. Убедившись в восстановлении кровотока приступают к ушиванию раны. Операция заканчивается установкой дренажа.
Возможные осложнения
По данным литературы после операции на сонной артерии возможны следующие осложнения:
- Кровотечение из места операции - очень редкое осложнение встречающееся не более 0, 2% случаев от всех операций. При своевременном выявлении проводится раскрытие раны, выявление источника кровотечения и окончательная его остановка.
- Послеоперационный ишемический инсульт - после операции по поводу патологической извитости встречается достаточно редко, не более 1% всех случаев операций. Чаще всего связан с тромбозом реконструированной сонной артерии. При своевременном выявлении нарушения мозгового кровообращения повторная операция с удалением тромба позволяет восстановить мозговой кровоток.
- Повреждения возвратного или подъязычного нерва. При травме возвратного нерва возникает осиплость голоса. Возвратный нерв может быть поврежден при растяжении раны во время доступа или случайно пересечен. В первом случае нарушение голоса будет обратимым, в другом случае постоянным. При повреждении подъязычного нерва возникает девиация языка в сторону и поперхивание при приеме жидкой пищи. Единственным способом предупреждения этих осложнений является безупречная техника оперирования сонных артерий. В нашей клинической практике таких осложнений не встречалось.
- Нагноение послеоперационной раны - крайне редкое осложнение, которое может развиться у больных с хроническими гнойными процессами легких и средостения, ослаблении иммунитета. В нашей практике не встречалось.
Послеоперационный период
В раннем послеоперационном периоде необходимо врачебное наблюдение до следующего утра. Основное внимание уделяется уровню артериального давления, отсутствию неврологических нарушений, нарушений глотания и голоса. Обязательно проводится контроль за отделяемым из дренажа и состоянию повязки (сухая или промокла кровью). Болевые ощущения после операции слабо выражены и легко купируются обычными анальгетиками. На следующий день после операции удаляется дренаж. Через день после операции при гладком течении пациент может быть выписан. Швы снимаются на 7 сутки после операции.
Реабилитация после операции на сонной артерии
После успешного восстановления хода и формы сонной артерии пациент обычно отмечает значительное улучшение общего состояния. В большинстве случаев уходят имевшие место до операции жалобы. Беспокойство могут вызывать рубец на шее и наличие зон сниженной чувствительности в области послеоперационного рубца. Для предупреждения образования грубого рубца хирурги нашей клиники используют внутрикожный шов, а сам разрез стараются разместить в кожной складке. В первый месяц после операции необходимо обрабатывать зону послеоперационного рубца мазью "Контратубекс". Контрольные обследования после операции резекции патологической извитости проводятся через 6 месяцев и включают обязательное проведение ультразвуковых исследований реконструированных артерий. После правильно проведенной операции рецидивов и проблем с проходимостью восстановленной сонной артерии не наблюдалось.
1. Синонимы:
• Заглоточная сонная артерия, транспозиция сонной артерии, «целующиеся» сонные артерии, медиализированная сонная артерия
2. Определение:
• Одна или обе сонные артерии смещаются медиально и распространяются в заглоточное пространство
1. Общая характеристика:
• Лучший диагностический критерий:
о При проведении КТ-ангиографии в заглоточном пространстве визуализируется сонная артерия, накапливающая контрастное вещество
• Локализация:
о Заглоточное пространство
• Морфология:
о Извитая сонная артерия

(Слева) КТ-ангиография, аксиальная проекция, пациентка 62 лет, получившая колющее ранение правой половины шеи, проникающее в глотку. В заглоточном и сонном пространствах имеется газ. В заглоточном пространстве случайно обнаружена медиализированная, извитая сонная артерия.
(Справа) КТ-ангиография, коронарная проекция. Правая внутренняя сонная артерия изгибается и вступает в заглоточное пространство. При изучении коронарных срезов сосудистая природа аномалии становится особенно явной.
2. КТ при извитости сонной артерии:
• КТ с КУ:
о Сосудокруглой (аксиальная проекция) или цилиндрической (коронарная проекция) формы
о Непрерывный ход артерии определяется при последовательном анализе аксиальных срезов
о Изменены могут быть как одна, так и две артерии:
- Извитость обеих сонных артерий = «целующиеся» сонные артерии
• КТ-ангиография:
о Лучше всего извитость сонной артерии визуализируется на коронарных срезах
о Чаще всего извитым оказывается дистальный сегмент общей сонной артерии + проксимальный сегмент внутренней сонной артерии
3. МРТ при извитости сонной артерии:
• Т1ВИ:
о Сонная артерия, расположенная в заглоточном пространстве, имеющая округлую форму и гипоинтенсивный сигнал
• Т2ВИ:
о Сонная артерия, имеющая округлую форму и гипоинтенсивный сигнал (потеря сигнала за счет эффекта потока)
• МР-ангиография:
о Лучше всего визуализируется на коронарных срезах
4. Рекомендации по визуализации:
• Лучший метод визуализации:
о КТ- или МР-ангиография
о Для подтверждения диагноза ангиография не требуется
• Протокол исследования:
о КТ-ангиография позволяет дифференцировать извитость сонной артерии от других причин пульсации в области небной миндалины или задней стенки глотки

(Слева) КТ с КУ, аксиальная проекция. Левая внутренняя сонная артерия В смещена в медиальную сторону. Обратите внимание, что на уровне носоглотки она расположена очень близко к слизистой оболочке. О подобных аномалиях необходимо указать в заключении, так как это позволит избежать ятрогенного повреждения артерии при операции на глотке.
(Справа) КТ без КУ, аксиальная проекция. Классический пример «целующихся» извитых сонных артерий. В заглоточном пространстве артерии касаются друг друга на уровне средней линии.
в) Дифференциальная диагностика извитости сонной артерии:
1. Псевдоаневризма сонной артерии:
• Клинические особенности: в анамнезе травма или расслоение сонной артерии
• Визуализация: новообразование сонного пространства
2. Расслоение сонной артерии:
• Клинические особенности: нейропатия симпатических нервов + нейропатия блуждающего нерва + транзиторная ишемическая атака + инсульт
• Визуализация: при МРТ определяется изменение сигнала в области стенки сонной артерии; при ангиографии просвет сосуда сужен, либо полностью закрыт
3. Параганглиома каротидного гломуса:
• Клинические особенности: пульсирующее новообразование в области угла нижней челюсти
• Визуализация: Новообразование в области бифуркации общей сонной артерии, накапливающее контрастное вещество
г) Патология. Общая характеристика:
• Этиология:
о Атеросклероз может стать причиной расширения и извитости сонных артерий; часто связан с хронической гипертензией; по мере прогрессирования деформации сонная артерия смещается в сторону
о Может быть следствием незавершенного нисхождения дорсального сегмента корня аорты в грудную клетку с сохранением эмбрионального углового искривлении сонных артерий
• Сопутствующие отклонения:
о Может быть частью велокардиофациального синдрома
• Анатомия:
о Сонная артерия смещается в медиальную сторону от сонного влагалища, изгибается ± выходит за латеральный отрог глубокой фасции шеи и входит в заглоточное пространство
1. Проявления:
• Типичные признаки/симптомы:
о Случайная находка при КТ или МРТ шеи
о Может проявляться наличием пульсирующего образования на задней стенке глотки или позади небной миндалины
• Другие признаки/симптомы:
о Может усиливать симптомы ночного апноэ сна
о Ощущение кома в горле
2. Течение и прогноз:
• С возрастом может все глубже вдаваться в сонное пространство
• Наличие данной особенности должен учитывать анестезиолог при выполнении трансоральной блокады языкоглоточного нерва и при затрудненной интубации трахеи
• Риск повреждения сонной артерии при выполнении операций на глотке: трансоральная роботизированная хирургия, тонзиллэктомия, аденоидэктомия, сужение небно-глоточного кольца
е) Диагностическая памятка:
1. Следует учесть:
• При выявлении на боковых рентгенограммах расширения мягких тканей предпозвоночного пространства следует помнить
о возможности патологической извитости сонной артерии
• Огромная разница между клинической (подозрение на сосудистую опухоль) и рентгенологической картиной (извитость сонной артерии):
о Это состояние не требует хирургического лечения
2. Советы по интерпретации изображений:
• Для постановки диагноза следует обращать внимание на цилиндрическую форму расширенной сонной артерии
3. Рекомендации по отчетности:
• Ход сонной артерии необходимо обязательно описывать у пациентов, которым планируется оперативное вмешательство в области глотки
ж) Список использованной литературы:
1. Lukins DE et al: The moving carotid artery: a retrospective review of the retropharyngeal carotid artery and the incidence of positional changes on serial studies. AJNR Am J Neuroradiol. 37(2):336-41, 2016
2. Davis WL et al: The normal and diseased infrahyoid retropharyngeal, danger, and prevertebral spaces. Semin Ultrasound CT MR. 12(3):241 -56, 1991
Читайте также:
- Бородавчатый туберкулез кожи. Скрофулодерма - колликвативный туберкулез кожи
- Как ухаживать за центральным венозным катетером, если он не используется?
- Дермоидная киста яичника (тератома) - характеристика
- Причины побледнения соска зрительного нерва. Невритическая и генуидная атрофии зрительного нерва
- Лучевая диагностика инструментальной стабилизации сколиоза позвоночника
