КТ, МРТ при шванноме плечевого сплетения
Добавил пользователь Владимир З. Обновлено: 28.01.2026
Под мягкими тканями шеи понимают пространство от подъязычной кости сверху до входа в грудную полость снизу. В традиционной топографической анатомии оно делится на хирургические треугольники, однако они неудобны для целей лучевой диагностики. В поперечном сечении принято выделять:
- висцеральное пространство – центральная часть, содержащая гортань и трахею, щитовидную железу, пишевод
- каротидное пространство – парное, расположено сбоку от висцерального и содержит внутреннюю сонную артерию, внутреннюю яремную вену и структуры нервной системы
- ретрофарингеальное пространство – маленькое продольное пространство позади висцерального, содержит жир
- заднее шейное пространство – парное, кзади и еще латеральнее каротидного пространства, содержит жир, лимфатические узлы и элементы нервной системы
- перивертебральное пространство – большое пространство вокруг позвоночника, в основном, состоящее из мышечной массы
Схема пространств в поперечном сечении.
Для каждой из перечисленных зон характерна своя патология.
В висцеральном пространстве из гортани могут расти ларингоцеле или опухоли (плоскоклеточный рак, хондросаркома); из пищевода – дивертикулы или плоскоклеточный рак; трахея может стенозироваться по разным причинам; щитовидная железа – зоб, коллоидные кисты, опухоли, тиреоидит (например, Хашимото); из паращитовидной железы может расти аденома и она подвергаться гиперплазии; из остатков эмбриональной ткани образовываться кисты и протоки; в лифатические узлы могут быть метастазы, а возвратный нерв подвергаться парезу.
Выделяют первичное и вторичное ларингоцеле. Первичное ларингоцеле не имеет провоцирующего фактора и расположено вдоль гортани как кистозная отшнуровка слизистой. В то же время, вторичное ларингоцеле может быть связано с обструкцией (перекрыванием) желудочка между ложной и истинной голосовыми связками опухолью и, таким образом, переполнения пространства сбоку от гортани.
В висцеральном пространстве в грушевидном синусе типично локализуются плоскоклеточные раки.
КТ. Плоскоклеточный рак
Плоскоклеточные раки происходят из слизистой и легко могут быть пропущены при КТ и МРТ. Обычно они выявляются при эндоскопическом исследовании. Подслизистые скорее могут быть обнаружены лучевыми методами – хондросаркома, параганглиома и шваннома. Все перечисленные опухоли очень редкие. Хондросаркрома может содержать кальцинаты. Парагинглиома хорошо васкуляризована (содержит много сосудов) и поэтому хорошо контрастируется. Шваннома (невринома) чаще солидная, но изредка бывает кистозная.
Зоб щитовидной железы имеет типичное расположение, обычно многоузловой. Отличается медленным ростом и отодвигает прилегающие мышцы.

КТ. Зоб щитовидной железы слева.
В висцеральном пространстве по средней линии или парамедиально в мышечной массе может быть выявлено кистозное образование – щитовидно-язычный проток. В норме он присутствует у зародыша и соединяет зачаток щитовидной железы с ротовой полостью. В конце внутриутробного периода исчезает, однако, в редких случаях остается в виде кисты. Располагается ниже или на уровне подъязычной кости.

МРТ. Щитовидно-подъязычный проток срединной локализации.

КТ. Щитовидно-подъязычный проток парамедиальной локализации.
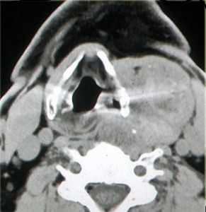
Каротидное пространство простирается от основания черепа до дуги аорты. В пространстве проходят сонная артерия, яремная вена, блуждающий нерв (Х), симпатическое сплетение и лимфатические узлы. Соответственно содержимому, типичные патологии связаны с сосудами (аневризма, расслоение, тромбоз), нервами (невринома, из симпатического сплетения – параганглиома) и патологически измененными лимфатическими узлами.
Параганглиомы могут иметь несколько типичных локализаций (тимпаническая, вагусная, феохромоцитома и т.д.) в теле. На шее располагается каротидная параганглиома. Она представляет собой скопление хромафинных клеток в бифуркации общей сонной артерии, между наружной и внутренней. Некоторые из них активны, вырабатывают гормоны, повышающие артериальное давление. Часть опухолей имеет наследственное происхождение. Встречаются двухсторонние параганглиомы. Отличать от других опухолей помогает типичное место расположения, хорошее контрастирование при КТ и МРТ.

МРТ мягких тканей шеи. Т1-зависимая МРТ в аксиальной плоскости. Каротидная параганглиома справа.

МРТ мягких тканей шеи. Т2-зависимая МРТ в аксиальной плоскости. Невринома.
Невриномы также располагаются между крупными сосудами, отодвигая их. Опухоль округлая, с четким контуром, хорошо контрастируется и в отличие от параганглиомы не содержит сосудистых включений.
Тромбоз яремной вены является редким осложнением бактериальных инфекций. Последняя попадает из носоглотки, при заносе во время ЛОР операций или у наркоманов. Может сочетаться с септическими эмболами в легкие (синдром Лемьера).
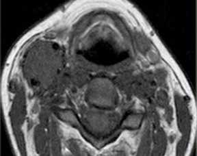
Частой находкой на шее являются бранхиогенные кисты. Они типично расположены в подчелюстной области, латерально. Содержат жидкость.

МРТ мягких тканей шеи. Т2-зависимая МРТ с подавлением сигнала от жира. Бранхиальная киста справа.
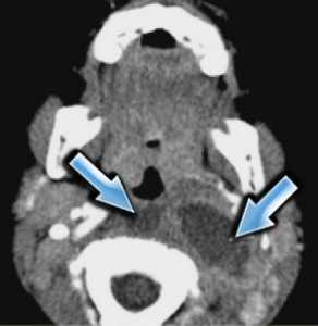
Ретрофарингеальное пространство заполнено тонкой прослойкой жировой ткани. В этом пространстве могут быть заглоточные абсцессы с характерной клиникой: температурой ознобом и нарушением глотания. Инфекция попадает при фарингитах, из соседних лимфатических узлов и, как исключение, при травме инородными телами ( рыбья кость и т.д.). Заглоточные абсцессы опасны отеком и обструкцией дыхательных путей. Поэтому они часто требуют неотложного хирургического вмешательства.

КТ. Ретрофарингеальные абсцессы.
В заднем шейном пространстве встречаются нейрогенные опухоли, лифомы, липомы, лимфангиомы ( кистозные гигромы). Такие образование наилучшим обоазом видны на корональных МРТ, особенно с подавлением жира. Раличить липому и лимфангиому позволяет подавление сигнала от жира.

МРТ мягких тканей шеи. Т2-зависимый корональный срез. Лимфангиома.
В перивертебральном пространстве шеи чаще наблюдаются доброкачественные фиброзные опухоли и, реже, мягкотканные саркомы.
При МРТ в СПб в наших клиниках мы рекомендуем делать исследование мягких тканей шеи с МРТ шейного отдела позвоночника. Немногие центры МРТ СПб имеют достаточный опыт диагностики патологий мягких тканей.
КТ, МРТ при шванноме плечевого сплетения
а) Терминология:
1. Аббревиатура:
• Шваннома плечевого сплетения (ПС)
2. Определение:
• Доброкачественная опухоль, которая происходит из шванновских клеток нервных волокон ПС
б) Визуализация:
1. Общая характеристика:
• Лучший диагностический критерий:
о Веретеновидное новообразование с четкими контурами, расположенное вдоль хода волокон ПС
• Локализация:
о Может возникать по ходу любого сегмента ПС:
- Возможно интра- и экстрадуральное расположение, иногда на уровне межпозвоночного отверстия
- Локализуется в паравертебральном пространстве между передней и средней лестничными мышцами
• Морфология:
о Веретеновидное или в форме колокола

(Слева) МРТ Т1ВИ FS с КУ, аксиальная проекция. Крупная шваннома в нижней части шеи справа, которая лежит на средней лестничной мышце. Отмечается неравномерное накопление контраста по периферии опухоли. Центральная область, не накапливающая контраст, представляет собой участок кистозной дегенерации. При поражении нижних шейных лимфоузлов патологический очаг обычно расположен медиальнее, возле внутренней яремной вены.
(Справа) MPT Т2ВИ, аксиальная проекция. В нижней части шеи визуализируется шваннома сигнал гетерогенный гиперинтенсивный. Опухоль, расположенная в паравертебральном пространстве, раздвигает и деформирует переднюю и среднюю лестничные мышцы.
2. КТ при шванноме плечевого сплетения:
• КТ без КУ:
о Плотность обычно равна плотности мышц, кальцификаты встречаются редко
о При расположении в околопозвоночном пространстве наблюдается увеличение размеров межпозвоночного отверстия
• КТ с КУ:
о Незначительное или умеренное накопление контраста
3. МРТ при шванноме плечевого сплетения:
• Т1ВИ:
о Веретеновидное образование, изоинтенсивное мышечной ткани
• Т2ВИ:
о Гетерогенный гиперинтенсивный сигнал
о Признак мишени: центральный участок гипоинтенсивный, окружен кольцом гиперинтенсивного сигнала
о Признак пучка: множественные участки гипоинтенсивного сигнала в центре опухоли, имеющие неправильную форму
• STIR:
о Для улучшения визуализации ПС и шванномы используется 3D STIR (МР-нейрография)
• Т1ВИ с КУ:
о Неоднородное умеренное накопление контраста:
- Интрамуральные кисты встречаются достаточно часто
о Для опухолей небольшого размера характерно равномерное накопление контрастного вещества
4. Рекомендации по визуализации:
• Протокол исследования:
о Лучше визуализируется при МРТ T1ВИ FS и в режиме STIR

(Слева) STIR MPT, коронарная проекция (МР-нейрография). Асимметричное увеличение корешка CVIII нерва. выходящего между С7-Т1 позвонками.
(Справа) STIR MPT, коронарная проекция, другой пациент. Веретеннобразная шваннома с неоднородным гиперинтенсивным сигналом, расположенная в нижних отделах шеи. По сравнению с соседними нервами плечевого сплетения сигнал гораздо интенсивнее. При проведении тонкоигольной биопсии, благодаря которой удалось подтвердить диагноз, у пациента отмечалось подергивание руки.
в) Дифференциальная диагностика шванномы плечевого сплетения:
1. Системные метастазы в лимфатических узлах:
• В надключичные лимфатические узлы метастазируют злокачественные опухоли грудной клетки и брюшной полости
• Поражаются нижние шейные лимфатические узлы, расположенные медиальнее передней лестничной мышцы, возле внутренней яремной вены
2. Нейрофиброма:
• При МРТ дифференцировать от шванномы возможно не всегда
• При КТ без контрастирования обычно имеет низкую плотность, на уровне воды
• Участки кровоизлияния и кистозной дегенерации встречаются редко
3. Латеральное менингоцеле:
• Веретеновидное кистозное образование, интенсивность/плотность равна интенсивности/плотности ликвора
• Соединяется с позвоночным каналом
4. Злокачественные опухоли нервной оболочки:
• Постепенно увеличивающееся в размерах неоднородное образование с нечеткими контурами
• Обычно сопровождается болевым синдромом
г) Патология:
1. Макроскопические и хирургические особенности:
• Плотное инкапсулированное образование веретеновидной формы с четкими контурами, цвет темно-серый, крепится к нерву и смещает его
• Кровоизлияния и участки кистозного перерождения
2. Микроскопия:
• Происходит из шванновских клеток нервной оболочки
• Участки с плотной концентрацией клеток (Antoni А) чередуются с рыхлыми, миксоидными участками (Antoni В)
д) Клинические особенности:
1. Проявления:
• Типичные признаки/симптомы:
о Безболезненное, медленно растущее новообразование в латеральной области шеи ± клиника радикулопатии
2. Демография:
• Возраст:
о Основной пик заболеваемости приходится на 20-30 лет
3. Течение и прогноз:
• Медленный рост
• Малигнизируется редко, чаще при синдроме множественных шванном
• Появление болевого синдрома должно насторожить в отношении малигнизации
е) Диагностическая памятка:
1. Советы по интерпретации изображений:
• Важно определить, что опухоль располагается по ходу ПС
• Корешки ПС (С5-Т1) проходят через лестничный треугольник, между передней и средней лестничными мышцами
2. Рекомендации по отчетности:
• При описании любого образования, расположенного в нижних отделах шеи, всегда описывайте, как оно расположено относительно ПС
ж) Список использованной литературы:
1. Lutz AM et al: MR imaging of the brachial plexus. Neuroimaging Clin N Am. 24(1):91-108, 2014
2. Chhabra A et al: High-resolution 3T MR neurography of the brachial plexus and its branches, with emphasis on 3D imaging. AJNR Am J Neuroradiol. 34(3):486-97, 2013
3. Guerrissi JO: Solitary benign schwannomas in major nerve systems of the head and neck. J Craniofac Surg. 20(3):957-61,2009
4. Siqueira MG et al: Management of brachial plexus region tumours and tumour-like conditions: relevant diagnostic and surgical features in a consecutive series of eighteen patients. Acta Neurochir (Wien). 151(9):1089-98, 2009
5. Gupta G et al: Malignant peripheral nerve sheath tumors. Neurosurg Clin N Am. 19(4):533-43, v, 2008
6. Binder DK et al: Primary brachial plexus tumors: imaging, surgical, and pathological findings in 25 patients. Neurosurg Focus. 16(5):E11,2004
7. Wittenberg KH et al: MR imaging of nontraumatic brachial plexopathies: frequency and spectrum of findings. Radiographics. 20(4): 1023-32, 2000
УЗИ при шванноме плечевого сплетения
а) Определение:
• Доброкачественная опухоль из шванновских клеток, окружающих плечевое сплетение (ПС) в перивертебральном пространстве (ПВП)
1. Общая характеристика:
• Лучший диагностический критерий:
о Хорошо отграниченная гипоэхогенная опухоль веретеновидной формы, ± с кистозными включениями, кровеносными сосудами, связанная с корешками ПС, лежащая между передней и средней лестничными мышцами
• Локализация:
о Любая область по ходу корешков ПС, включая интра- и экстрадуральное пространство, невральные отверстия, ПВП
о Опухоли ПВП лежат между передней и средней лестничными мышцами
о УЗИ лучше всего подходит для полной оценки опухолей в ПВП/боковых отделах шеи
(Слева) УЗИ, продольная проекция заднего треугольника шеи: визуализируется опухоль с участком кистозной дегенерации/кровоизлиянием. Обратите внимание, что проксимально опухоль связана с корешка-ми/ветвями ПС. Это подозрительный признак шванномы ПС.
(Справа) УЗИ, продольная проекция: у этого же пациента визуализируется участок кистозной дегенерации/кровоизлияние в шванноме ПС. Обратите внимание, что опухоль дистально связана с ПС. УЗИ с легкостью позволяет диагностировать шванному ПС, устраняя необходимость в ТАБ. (Слева) Энергетическая допплерография: в этой же области визуализируется кистозная шваннома ПС без выраженного кровотока.
(Справа) На корональной MPT (Т1 ВИ С+) отчетливо визуализируется шваннома ПС. Можно оценить расположение опухоли и ее отношение к соседним структурам. Обратите внимание на веретенообразную форму, умеренное однородное накопление контраста, внутриопухолевые кистозные изменения, и связь с плечевым сплетением. Кистозная дегенерация/кровоизлияния нетипичны для нейрофибромы, но часто встречаются в шванноме. (Слева) УЗИ, поперечная проекция: в надключичной ямке визуализируется хорошо отграниченная солидная гипоэхогенная опухоль. Обратите внимание, что проксимально опухоль связана с корешками/ветвями ПС. Это подозрительный признак шванномы плечевого сплетения. Современные датчики высокого разрешения позволяют идентифицировать опухоль с помощью УЗИ и оценить ее связь с ПС, устраняя необходимость в биопсии. Обратите внимание на ключицу.
(Справа) MPT (Т1 ВИ), корональная проекция: в этой же области визуализируется шваннома ПС. Оцените ее веретеновидную форму, изоинтенсивный мышцам сигнал, связь с ПС.
2. УЗИ при шванноме плечевого сплетения:
• Гипоэхогенная солидная опухоль с четкими границами и неоднородной эхотекстурой
• Веретеновидная/овальная, ± сужающиеся края, связь с ПС
• Часто содержит хорошо отграниченные кистозные/геморрагические участки
• Может выглядеть псевдокистозной с задним акустическим усилением, несмотря на солидный характер
• При цветовой допплерографии обнаруживаются кровеносные сосуды, которые могут исчезать после сильного надавливания датчиком:
о ± объемное воздействие на соседние сосуды
3. МРТ при шванноме плечевого сплетения:
• Т1 ВИ:
о Сигнал, изоинтенсивный мышцам
• Т2 ВИ:
о Гиперинтенсивный сигнал
о Симптом мишени: гипоинтенсивный центр, гиперинтенсивная периферия; наблюдается в опухолях оболочки периферических нервов (ООПН)
о Симптом тяжистости: множественные неровные гипоинтенсивные очаги в центре, типичные для доброкачественной ООПН
• Т1 ВИ С+:
о Обратный симптом мишени: накопление контраста в центре > на периферии
4. Рекомендации по визуализации:
• Лучший метод диагностики:
о УЗИ позволяет оценить природу образования в наружных отделах, но не дистальное и проксимальное распространение больших опухолей
о МРТ позволяет оценить распространенность, множественность больших опухолей, обнаруженных на УЗИ
• Выбор протокола:
о Поперечные сканы позволяют идентифицировать неизмененные корешки/ветви ПС в виде округлых гипоэхогенных структур между передней и средней лестничными мышцами
о Продольные сканы позволяют идентифицировать корешки/ветви по их ходу
о Поперечные сканы помогают быстро идентифицировать опухоль, продольные - оценить связь с ПС
о Сосуды в опухоли чувствительны к давлению; следует избегать чрезмерного надавливания датчиком
о Сдавление/повреждение опухоли датчиком или иглой при биопсии может спровоцировать симптомы радикулопатии
(Слева) УЗИ, поперечная проекция: визуализируется веретенообразная гипоэхогенная опухоль В и нижней трети шеи слева (известная локализация ПС). Обратите внимание на связь с корешками/ветвями ПС. На УЗИ в продольной плоскости (не показана) также определяется связь опухоли с плечевым сплетением - это подозрительный признак шванномы ПС.
(Справа) MPT (Т2 ВИ FS), аксиальная проекция: визуализируется шваннома ПС, связанная с корешком. УЗИ позволяет идентифицировать опухоль и отличить ее от лимфоузлов, чаще встречающихся в этой области. (Слева) УЗИ, поперечная проекция: визуализируется солидная гипоэхогенная опухоль с задним усилением, лежащая между передней и средней лестничными мышцами. Расположение в перивертебральном пространстве и УЗ-картина являются диагностическими признаками шванномы ПС.
(Справа) УЗИ, продольная проекция: в этой же области отчетливо определяется связь шванномы с корешком плечевою сплетения. Обратите внимание на заднее усиление, часто наблюдающееся у пациентов с солидными шванномами в области головы и шеи. (Слева) УЗИ, поперечная проекция заднею треугольника справа у пациента, подвергшегося лучевой терапии шеи: визуализируются хорошо различимые корешки ПС между лестничными мышцами, которые не следует путать с увеличенными лимфоузлами. Обратите внимание на сонную артерию и яремную вену.
(Справа) УЗИ, продольная проекция и качественная компрессионная эластография: визуализируется ООПН из ПС. Шкала компрессионной эластографии варьирует от фиолетового (мягкая ткань) до красного (жесткая ткань) цвета. Опухоль при компрессионной эластографии выглядит неоднородной за счет красных и (фиолетовых областей (промежуточная или смешанная жесткость).
1. Нейрофиброма:
• Может быть неотличима от шванномы
• Кистозная дегенерация и кровоизлияния нетипичны
• Менее выраженная васкуляризация, отсутствие заднего усиления
2. Метастатическая лимфаденопатия:
• Множественные неоднородные гипоэхогенные лимфоузлы округлой формы с некрозом, периферической васкуляризацией; известная первичная опухоль
3. Туберкулезная лимфаденопатия:
• Множественные сливные некротические лимфоузлы, отек окружающих мягких тканей; отсутствие кровотока/смещение сосудов в лимфоузлах
4. Лимфангиома:
• Кистозное аваскулярное образование с перегородками, распространяющееся на несколько анатомических зон, с незначительным объемным воздействием
г) Клинические особенности:
1. Проявления:
• Типичные признаки/симптомы:
о Медленно растущая безболезненная опухоль в боковых отделах шеи ± радикулопатия
о Редко наблюдается злокачественная дегенерация
о Появление боли подозрительно на злокачественную опухоль
2. Лечение:
• Хирургическое (эксцизия)
• Прогноз благоприятный, риск рецидива низкий
д) Диагностическая памятка:
1. Советы по интерпретации изображений:
• Солидное веретеновидное образование с четкими границами, связанное с ПС, ± кистозные включения и кровеносные сосуды
2. Рекомендации по отчетности:
• При описании любого объемного образования нижней трети шеи всегда указывайте его положение относительно ПС
е) Список использованной литературы:
1. Lapegue F et al: Ultrasonography of the brachial plexus, normal appearance and practical applications. Diagn Interv Imaging. 95(3):259-75, 2014
2. Graif M et al: Sonographic evaluation of brachial plexus pathology. Eur Radiol. 14(2): 193-200, 2004
3. Ahuja AT etal. Practical head and neck ultrasound. London: Greenwich Medical Media. 85-104, 2000
4. King AD etal: Sonography of peripheral nerve tumors of the neck. AJR Am J Roentgenol. 169(6): 1695-8, 1997
Редактор: Искандер Милевски. Дата обновления публикации: 16.3.2022
1. Синоним:
• Неврилеммома
2. Определение:
• Доброкачественная опухоль оболочки периферических нервов, покрытая капсулой и обычно расположенная эксцентрично относительно нерва
1. Общая характеристика:
• Локализация:
о Нервы сгибательной поверхности конечностей:
- Чаще поражаются малоберцовый и локтевой нервы
о Спинномозговые нервы, симпатические стволы и кожные нервы головы и шеи:
- Чаще поражаются чувствительные нервы
о Субпериостальная и внутрикостная локализация наблюдается редко
о Старые и клеточные шванномы чаще встречаются в забрюшинном пространстве и заднем средостении:
- В 25% случаев клеточные шванномы располагаются в глубоких тканях конечностей
о Множественные шванномы (шванноматоз) могут характеризоваться сегментарным распределением
• Размер:
о Обычно - Опухоли более крупного размера находят в забрюшинном пространстве и заднем средостении:
Размер опухолей может достигать 15 см
• Морфология:
о Солитарное веретеновидное объемное образование с четким контуром; в 5% случаев выявляются множественные объемные образования
(Слева) При МРТ в аксиальной плоскости на Т1ВИ в медиальной головке икроножной мышцы определяется небольшое овальное объемное образование. Образование характеризуется изоинтенсивным и слабогиперинтенсивным сигналом по сравнению с мышцами, что затрудняет выявление его контуров.
(Справа) У этого же пациента при МРТ в аксиальной плоскости на Т2ВИ в режиме FS визуализируется объемное образование с гетерогенно гиперинтенсивным сигналом по сравнению с мышцами. В классических случаях при МРТ с чувствительными к жидкости последовательностями выявляется симптом «мишени» (гиперинтенсивная зона по периферии и гипоинтенсивная зона в центре), однако в этом случае он отсутствует. (Слева) При МРТ с контрастным усилением в аксиальной плоскости на Т1ВИ в режиме FS определяется гомогенное контрастирование объемного образования. Выраженность контрастирования шванномы варьирует от его отсутствия до интенсивного контрастирования гомогенного или гетерогенного характера. Диффузный характер контрастирования, как в данном случае, при шванноме встречается чаще, чем при нейрофиброме.
(Справа) При ПЭТ/КТ в аксиальной плоскости определяется повышенный уровень накопления F-18 ФДГ объемным образованием. Выявление образования при этом исследовании послужило поводом для дальнейшего обследования пациента. Для исключения метастаза недифференцированной плеоморфной саркомы была назначена биопсия. (Слева) У этого же пациента при цветовой доплерографии в продольной проекции, выполненной для навигации при биопсии, определяется овальное объемное образование гетерогенной структуры с четким контуром, акустической тенью и слабовыраженным кровотоком.
(Справа) При нативной КТ в области правой седалищной вырезки визуализируется объемное образование, смещающее прямую кишку. В структуре образования выявляются эксцентрично расположенные грубые кальцификаты. Правый седалищный нерв, по-видимому, интимно спаян с этой шванномой.
2. Рентгенография при шванноме:
• Минерализация наблюдается редко
• Также редко встречается поражение кости
3. КТ при шванноме:
• Веретеновидное гиподенсное (5-30 ед.Н) образование:
о ± зона повышенной плотности в центре
• + Контрастирование
4. МРТ при шванноме:
• Веретеновидное объемное образование, расположенное эксцентрично относительно нерва:
о Изоинтенсивный или слабогиперинтенсивный сигнал по сравнению с мышцами на Т1 ВИ:
- Симптом «расщеплении жировой клетчатки» = тонкий ободок жировой ткани
- Может выявляться некоторая атрофия мышц дистальнее объемного образования
о Гиперинтенсивный сигнал относительно мышц при использовании последовательностей, чувствительных к жидкости:
- Симптом «мишени» = гипоинтенсивная зона в центре
- Симптом «фасцикул» = множественные небольшие кольцевидные структуры
о В типичных случаях выявляют диффузное контрастирование (часто его интенсивность выше по сравнению с нейрофибромой), однако образование может и не контрастироваться
• Лучевые признаки могут быть сходны с нейрофибромой:
о В шванноме чаще выявляются кистозные изменения
о Для шванномы характерно тонкое гиперинтенсивное кольцо
5. УЗИ при шванноме:
• Гипоэхогенное объемное образование с четким контуром и слабой акустической тенью
о Могут выявляться очаги повышенной эхогенности или кистозные полости
о Полное или неполное эхогенное кольцо в структуре образования позволяет с высокой вероятность заподозрить этот тип опухоли, однако это встречается редко
о Возможна связь нерва с периферическими отделами опухоли
• Обычно выявляется эхогенная капсула
• При цветовой допплерографии в образовании может наблюдаться усиленный кровоток
6. Радионуклидная диагностика:
• ПЭТ с F-18 ФДГ не позволяет дифференцировать шванному со злокачественной опухолью оболочки периферических нервов вследствие высокого уровня накопления
о SUV изменяется в широких пределах в зависимости от клеточности опухоли
о В среднем SUV может составлять >6
• Старая шваннома характеризуется повышенным уровнем накопления РФП при остеосцинтиграфии
• Дифференцировать шванному со злокачественной опухолью оболочки периферических нервов позволяет отсутствие накопления цитрата Ga-67
7. Ангиография:
• Характерным признаком является наличие в верхнем и нижнем полюсах образования штопорообразных сосудов, однако они выявляются не во всех случаях
(Слева) При КТ в аксиальной плоскости определяется узурация крестца и L5-позвонка прилежащим объемным образованием. Следует отметить значительное смещение подвздошной артерии.
(Справа) У этого же пациента при МРТ в левой парасагиттальной плоскости на Т1ВИ видно, что объемное образование изначально локализовалось аксиально, а затем распространилось на позвонки L5, S1 и в малый таз. Образование характеризуется гомогенным гипоинтенсивным сигналом. С учетом локализации, наиболее вероятно наличие гигантоклеточной опухоли или нейрофибромы, однако в дифференциальный ряд также следует включить шванному и хордому. (Слева) При МРТ в аксиальной плоскости на Т2ВИ определяется объемное образование с гетерогенно гипоинтенсивным сигналом, что позволяет на первое место в дифференциальном ряду поставить гигантоклеточную опухоль. Также выявляется расширенное межпозвонковое отверстие, что позволяет заподозрить опухоль оболочки нерва. В итоге была выявлена шваннома.
(Справа) Рентгенография бедра в ПЗ проекции: визуализируется объемное образованием, с дистрофической кальцификацией. Несмотря на то, что такой тип кальцификации может выявляться в любой мягкотканной опухоли, чаще всего он наблюдается при синовиальной саркоме. (Слева) У этого же пациента при МРТ в аксиальной плоскости на Т1ВИ крупное объемное образованием содержит гипоинтенсивные кальцификаты.
(Справа) У этого же пациента при МРТ в аксиальной плоскости на Т2ВИ объемное образование обладает гетерогенным гиперинтенсивным сигналом и наличием в центре гипоинтенсивных кальцификатов. Важно отметить, что образование расположено в области прохождения ветви бедренного нерва. Чаще гетерогенный сигнал вследствие наличия кальцификатов и других дегенеративных изменений выявляется в длительно существующих шванномах.
в) Дифференциальная диагностика шванномы:
1. Нейрофиброма:
• Чаще характеризуется наличием симптома «мишени» и контрастированием центральных отделов при МРТ:
о В некоторых случаях не может быть дифференцирована от шванномы
• Объемное образование переплетается с волокнами нерва
• Отсутствие при гистологическом исследовании зон Антони А и В
• Частично положительная реакция на белок S100 в отличие от шванномы, характеризующейся резко положительной реакцией
2. Синовиальная саркома:
• Инфильтративное или с четким контуром объемное образование, чаще локализующееся периартикулярно
• При МРТ могут выявляться симптомы «расщепления жировой клетчатки», «трех компонентов» и «миски винограда»
• Интенсивное гетерогенное контрастирование при КТ и МРТ
• Чаще характеризуется минерализацией по сравнению со шванномой
3. Злокачественная опухоль оболочки периферических нервов:
• Растущее объемное образование, поражающее ствол крупных нервов
• ± инвазия прилежащих структур
• Кровоизлияния и зоны некроза выявляются чаще, чем в нейрофиброме или шванноме
4. Гематома:
• Отсутствуют солидные контрастирующиеся участки
• При хронизации может кальцифицироваться
5. Меланотическая шваннома:
• Отличается от классической шванномы
• Чаще поражает спинномозговые или вегетативные нервы
• В 55% случаев встречается при синдроме Карнея
• Покрытое капсулой объемное образование от черно-коричневого до серо-синего цвета:
о Часто выявляются псаммомные тельца
• Немногим чаще поражаются лица женского пола
• Повышенный риск метастазирования (13-26%)
(Слева) Рентгенография в ПЗ проекции: в средней трети голени визуализируется мягкотканное объемное образование, рост которого привел к образованию дефекта в прилежащей большеберцовой кости. Центр образования, вероятнее всего, располагается в мягких тканях, а не в надкостнице или внутри кости.
(Справа) У этого же пациента при МРТ в аксиальной плоскости на Т1ВИ видно, что центр образования действительно расположен в мягких тканях. В кортикальном слое большеберцовой кости определяется блюдцеобразное углубление, свидетельствующее о ее инвазии. Образование характеризуется гетерогенным изоинтенсивным сигналом по сравнению с мышцами и наличием в центре небольшого гипоинтенсивного очага. (Слева) У этого же пациента при МРТ в аксиальной плоскости на Т2ВИ объемное образование с преимущественно гиперинтенсивным сигналом и наличием в центре гипоинтенсивной зоны. Полость костного мозга большеберцовой кости на уровне инвазии не изменена.
(Справа) При МРТ с контрастным усилением в аксиальной плоскости на Т1ВИ визуализируется объемное образование с гетерогенным контрастированием. Образование имеет вытянутую форму: его длина составляет 7 см, а поперечный диаметр - 3 см. Медленно текущая узурация большеберцовой кости свидетельствуете пользу доброкачественности опухоли. (Слева) При МРТ в коронарной плоскости на Т1ВИ определяются три веретеновидных или округлых объемных образования, интимно спаянных с лучевым нервом и ориентированных по его ходу. Так выглядит шванноматоз.
(Справа) У этого же пациента при МРТ в коронарной плоскости на Т2ВИ в режиме FS шванномы характеризуются гетерогенным гиперинтенсивным сигналом. Следует помнить, что шванноматоз отличается от НФ2.
1. Общая характеристика:
• Генетические особенности:
о В большинстве случаев развивается спорадически
о Часто встречается аберрация 22 хромосомы
• Сопутствующие патологические изменения:
о Может возникать на фоне нейрофиброматоза 1 типа (НФ1) или 2 типа (НФ2):
- При НФ1 выявляется реже
2. Макроскопические и хирургические особенности:
• Покрытое капсулой объемное образование розового, белого или желтого цвета
• Располагается эксцентрично относительно нерва:
о Небольшие нервы может охватывать полностью
3. Микроскопия:
• Классическая шваннома характеризуется наличием чередующихся зон Антони А и В:
о Антони А = зона с высокоупорядоченными клетками:
- Небольшие вертеновидные клетки с изогнутыми ядрами, формирующие волокна или короткие пучки
± тельца Верокаи, ядра в виде частокола, извитость клеток, пустые внутриядерные вакуоли
- Редко встречающиеся фигуры митоза
о Антони В = малоклеточная зона с рыхлым миксоидным компонентом:
- Хаотично расположенные веретеновидные или овальные клетки, клетки воспаления, микрокистозные изменения и коллагеновые волокна:
± железы и доброкачественные эпителиальные структуры
- Крупные сосуды характеризуются утолщенными стенками, могут быть тромбированы
о Резко положительная реакция на белок S100
• Старая шваннома:
о Крупная длительно существующая опухоль, характеризующаяся кальцификатами, кровоизлияниями, кистозными изменениями и гиалинизацией:
- Часто встречаются сидерофаги и гистиоциты
о Выраженная атипия ядер, однако фигуры митоза отсутствуют
• Клеточная шваннома:
о Преимущественно выявляют зоны Антони А:
- В отличие от кистозной дегенерации часто обнаруживают кровоизлияния
- Отсутствие телец Верокаи
- До 10% опухолей содержат зоны некроза
о Вследствие повышенных кпеточности и количества митозов более чем в 25% случаев данные опухоли ошибочно расценивают, как злокачественные:
- Обычно выявляют о В 25% случаев локализуются в глубоких мягких тканях конечностей
о ± деструкция костной ткани
о Описаны желтовато-коричневые объемные образования, иногда характеризующиеся многоузловым строением
о Резко положительная реакция на белок S100
• Плексиформная шваннома:
о Плексиформное или многоузловое объемное образование, локализующееся чаще всего в кожных покровах или подкожной клетчатке
о Описано расположение в глубоких тканях, однако встречается редко
о Вариант клеточной шванномы (5% от всех шванном)
• Эпителиоидная шваннома:
о Покрытое капсулой объемное образование поверхностной локализации
о Небольшие округлые эпителиоидные шванновские клетки, формирующие скопления или тяжи ± атипичные клетки:
- Коллагеновая или миксоидная строма
- Отсутствие фигур митоза
о Резко положительная реакция на белок S100
о Положительная реакция на коллаген IV типа
1. Проявления:
• Типичные признаки/симптомы:
о Безболезненное медленно растущее объемное образование:
- Возникновение симптома Тинеля при перкуссии
- Наличием болевого синдрома чаще характеризуются крупные, множественные или глубоко расположенные объемные образования
о Объемное образование может смещаться только в поперечном направлении относительно нерва
• Другие симптомы:
о В 2% случаев выявляют шванноматоз:
- Отличается от НФ2
- Наличие множественных шванном; отсутствует вовлечение в опухолевый процесс вестибулярного аппарата
о В 3% шванномы возникают при НФ2
о В 5% случаев обнаруживают множественные менингиомы ± НФ2
2. Демография:
• Возраст:
о Пик заболеваемости приходится на 2-5 десятилетия жизни:
- Встречаются у лиц любого возраста
• Пол:
о Равномерное распределение по полу
• Эпидемиология:
о 5% от всех доброкачественных опухолей мягких тканей
о Встречаются немногим чаще, чем нейрофиброма
3. Течение и прогноз:
• Доброкачественное течение без местного рецидивирования
• В редких случаях происходит злокачественная трансформация
4. Лечение:
• В отличие от нейрофибромы при резекции шванномы функцию нерва обычно удается сохранить
МРТ плечевого сплетения

МРТ мягких тканей шеи. Корональная Т2-взвешенная МРТ. Невринома плечевого сплетения справа. Цветовая обработка изображения.
Плечевой сплетение состоит из тесно переплетающихся нервных стволов, отходящих от вентральных корешков нервов шейного отдела (С5-С7) и грудного отдела (Т1) спинного мозга. 3 первичных ствола неоднократно делятся и взаимно соединяются. Плечевое сплетение, в конечном итоге, переходит в нервы верхних конечностей, обеспечивая чувствительную и двигательную иннервацию. Расположено плечевой сплетение в области ключицы.

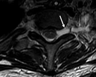
При МРТ в СПб нам встречаются в в наших клиниках травматические его повреждения и заболевания. Травматические повреждения могут быть преганглионические (повреждение корешка) и постганглионические (повреждение ствола). Преганглионические, такие как псевдоменингоцеле, имеют хороший прогноз и лечатся обычно консервативно. Постганглионические повреждения требуют хирургического лечения. Псевдоменингоцеле хорошо видно при МРТ шейного отдела позвоночника.

МРТ шейного отдела позвоночника. Аксиальная Т2-взвешенная МРТ. Псевдоменингоцеле.
Повреждения дистальнее корешка видны при МРТ мягких тканей шеи. Повреждение ствола видно как его разрыв и гиперинтенсивность на Т2-взвешенных МРТ.

МРТ мягких тканей шеи. Т2-взвешенная корональная томограмма. Повреждение ствола плечевого сплетения.
Из нетравматических патологий плечевого сплетения встречаются:
- неврит
- опухоли
- лучевой фиброз
- нейроваскулярная компрессия мышечными или костными структурами
Невриты в остром периоде при МРТ наблюдаются редко, так как они длятся 1-2 недели. Из опухолей в этой области могут быть шванномы, метастазы (рак легкого, рак молочной железы) и лимфомы.
МРТ мягких тканей шеи. Корональная Т2-взвешенная МРТ. Рак Панкоста.
МРТ мягких тканей. Т1-взвешенная корональная МРТ. Лимфома плечевого сплетения.
Читайте также:
