Стратегия принятия клинического решения
Добавил пользователь Владимир З. Обновлено: 20.11.2025
Клиницисты должны интегрировать огромное разнообразие клинических данных, сталкиваясь с противоречивым давлением для уменьшения диагностической неопределенности, рисков для пациентов и расходов на лечение. Процесс решения, какую информацию собирать, какие анализы назначать, как эту информацию интерпретировать и интегрировать в гипотезу диагноза и какой способ лечения предложить, известен как «принятие клинического решения».
Оценивая пациента, врачи, как правило, должны ответить на следующие вопросы:
Указывают ли данные анамнеза и физикального обследования на конкретные диагнозы?
Существуют ли "красные флаги", указывающие на неотложные медицинские или социальные проблемы, которые необходимо решить до подтверждения диагноза?
Следует проводить тестирование или консультироваться с узкими специалистами?
В простых или распространенных ситуациях врачи зачастую принимают такие решения рефлекторно; диагнозы ставятся путем распознавания клинической картины болезни, а обследования и лечение начинают на основе обычной практики. К примеру, во время эпидемии гриппа здоровый взрослый человек, у которого наблюдаются лихорадка, тяжелые боли в мышцах, боли в глазнице, сильный кашель в течение 2 дней, вероятно, будет считаться как еще один случай гриппа и лечение ему будет назначено только чтобы облегчить симптомы болезни. Такая схема признана эффективной и простой в использовании, но она не застрахована от ошибок, потому что в ней не учитываются серьезно или систематически другие диагностические и терапевтические возможности. К примеру, пациент с шаблонным диагнозом «грипп» и сниженным насыщением кислородом может вместо него иметь COVID-19 или же бактериальную пневмонию, при которых требуется прием антибиотиков. Клиницисты должны быть осведомлены о возможных отклонениях, которые могут быть внесены в диагностический процесс ( 1 Общие справочные материалы Клиницисты должны интегрировать огромное разнообразие клинических данных, сталкиваясь с противоречивым давлением для уменьшения диагностической неопределенности, рисков для пациентов и расходов. Прочитайте дополнительные сведения ).
В более сложных случаях лучшим подходом к принятию решений может быть применение структурированных, количественных, аналитических методологий. Даже когда шаблонное распознавание заболевания предоставляет наиболее вероятную диагностическую возможность, часто для подтверждения диагноза используется аналитическое принятие решения и исключение потенциальных похожих заболеваний. Аналитические методы включают применение принципов доказательной медицины, использование клинических руководств, а также применение различных конкретных количественных методов (например, теорема Байеса Теорема Байеса Результаты теста могут помочь поставить диагноз пациентам с симптомами (диагностическое тестирование) или определить наличие скрытых заболеваний у бессимптомных пациентов (скрининг). Если тесты. Прочитайте дополнительные сведения ).
Общие справочные материалы
Стратегия принятия клинического решения
Одна из наиболее часто используемых стратегий для медицинского принятия решений отражает научный метод гипотезы поколения с последующей проверкой гипотезы. Диагностические гипотезы принимаются или отклоняются на основе тестирования.
Создание гипотезы
Гипотеза поколения включает определение основных диагностических возможностей (дифференциальная диагностика), которые могут объяснить клинические проблемы пациента. Главная жалоба пациента (например, боль в груди) и основные демографические данные (возраст, пол, раса) являются отправной точкой для дифференциального диагноза, который обычно генерируется по распознаванию образов. Каждому значению в перечне возможностей теоретически присваивается оценка вероятности или возможности того, что это значение является правильным диагнозом (предтестовая вероятность—например, см. таблицу Гипотетическая дифференциальная диагностика, предтестовая вероятность и положительное предсказательное значение [Hypothetical Differential Diagnosis and Pre-Test and Post-Test Probabilities] Предположительный дифференциальный диагноз и предтестовые и послетестовые вероятности для больного гипертонией и диабетом 50-летнего курильщика, страдающего от боли в грудной клетке ).
Клиницисты часто используют расплывчатые термины, такие как «весьма вероятно», «невероятно» и «не исключено», чтобы описать вероятность заболевания. И врачи, и пациенты могут путать такие полуколичественные термины; вместо них должна быть использована четкая статистическая терминология, если и когда таковая имеется. Математические вычисления помогают принятию клинических решений и, даже если точные цифры недоступны, могут лучше определить клинические вероятности и сузить список гипотетических заболеваний.
Вероятность и шансы
Вероятность возникновения заболевания (или события) у пациента, чья клиническая информация неизвестна, является частотой, с которой это заболевание или событие наблюдается в популяции. Вероятности в диапазоне от 0,0 (невозможно) до 1,0 (несомненно) и часто выражаются в процентах (от 0 до 100). Заболевание, возникающее у 2-х из 10 пациентов имеет вероятность 2/10 (0,2 или 20%). Округление очень малых вероятностей до 0, таким образом, которое исключает малейшую вероятность болезни (иногда делается при невыраженном клиническом обосновании), может привести к ошибочным выводам, при использовании количественных методов.
Шансы представляют соотношение больных или небольных пациентов (то есть, отношение болезни к не болезни). Таким образом, заболевание, возникающее у 2 из 10 пациентов (вероятность 2/10) имеет вероятность 2/8 (0,25, часто выражается как 1 к 4). Шансы ( Ω ) и вероятности (р) могут быть преобразованы одна в другую, как в Ω = p/(1 − p) или p = Ω /(1 + Ω ).
Проверка гипотезы
Первоначальный дифференциальный диагноз, основанный на основных жалобах и демографических данных, часто является большим, поэтому врач сначала генерирует и фильтрует гипотетические возможности, получая подробный анамнез и проводя объективное обследование для подтверждения или опровержения предполагаемого диагноза. К примеру, у пациента с болью в груди, болью в ноге в истории болезни и обнаруженная при обследовании опухшая, болезненная нога увеличивают вероятность легочной эмболии.
Когда история и физическая обследование складываются в узнаваемую картину, делается предварительный диагноз. Диагностическое тестирование используется, когда после изучения истории болезни и физического обследования сохраняется неопределенность, особенно когда заболевания, оставшиеся после рассмотрения, являются серьезными или требуют опасного или дорогостоящего лечения. Результаты проверки далее видоизменяют вероятности различных диагнозов (после-тестовая вероятность). К примеру, в таблице Гипотетическая дифференциальная диагностика, и Предтестовая вероятность и Положительное предсказательное значение Предположительный дифференциальный диагноз и предтестовые и послетестовые вероятности для больного гипертонией и диабетом 50-летнего курильщика, страдающего от боли в грудной клетке показано то, как влияют на диагностическую вероятность дополнительные данные о наличии у гипотетического пациента боли в ноге и отека при нормальной ретгенологической картине и ЭКГ: уменьшается вероятность развития острого коронарного синдрома, расслаивающей аневризмы и пневмоторакса, а вероятность легочной эмболии увеличивается. Эти изменения вероятности могут привести к дополнительному тестированию (в данном примере, вероятно к выполнению КТ-ангиографии грудной клетки), что далее видоизменит послетестовую вероятность (см. таблицу Предположительный дифференциальный диагноз и предтестовые и послетестовые вероятности для больного гипертонией и диабетом 50-летнего курильщика, страдающего от боли в грудной клетке ) и, в некоторых случаях, подтвердит или опровергнет диагноз.
Может показаться интуитивно понятным, что сумма вероятностей всех диагностических возможностей должна быть равна почти 100%, и что один единственный диагноз может быть поставлен на основании сложного набора симптомов и признаков. Однако, применение данного принципа, согласно которому лучшее объяснение сложной ситуации имеет единственную причину (часто рассматривается как принцип Оккама) может ввести врачей в заблуждение. Жесткое применение этого принципа недооценивает возможность того, что пациент может иметь более одного активного заболевания. Например, у пациента с одышкой с известной хронической обструктивной болезнью легких (ХОБЛ) можно предположить обострение ХОБЛ, но также может наблюдаться легочная эмболия или сердечная недостаточность.
Системы поддержки принятия врачебных решений

В своей практической деятельности врач сталкивается с большим количеством задач, которые требуют быстрого и точного реагирования. При постановке диагноза и лечении необходимо учесть:
индивидуальные особенности пациента;
результаты лабораторных и инструментальных методов исследования.
Рутинные операции — оформление медицинской документации, мониторинг состояния пациентов, контроль за соблюдением назначений — создают дополнительную нагрузку на специалистов.
Ситуация осложняется появлением новых регламентов оказания медицинской помощи: клинических рекомендаций, стандартов и протоколов. У клиницистов не всегда есть возможность актуализировать свои знания. Это связано с возрастающим объёмом специализированной информации и её источников 1 .
При этом важно обеспечить своевременность и безопасность клинических мероприятий: вовремя обнаружить заболевание и начать правильное лечение. Частичная автоматизация лечебно-диагностического процесса и информационная поддержка специалиста — направления, которые призваны снизить нагрузку на врача.
Помощником врача при решении клинических задач может стать искусственный интеллект, реализованный в системе поддержки принятия врачебных решений (СППВР).
Что такое система поддержки принятия врачебных решений?
СППВР — компьютерная программа, которая обеспечивает врача клиническими данными и сведениями о пациенте и сопровождает при принятии решений. Оперативная информационная поддержка помогает выстроить правильную врачебную тактику. Клиническое мышление специалиста объединяется с искусственным интеллектом для повышения качества диагностики и лечения 2 .
Искусственный интеллект в СППВР реализуется с помощью чёткой и нечёткой логики, методов машинного обучения, обработки естественного языка 3 . Компьютерное зрение и глубокое обучение помогают распознавать медицинские изображения и интерпретировать их 4 .
По мере поступления новых данных ИИ способен обучаться самостоятельно и повышать точность принятия решения 3 .
Задачи СППВР
Сервис снабжает специалиста актуальными клиническими рекомендациями и протоколами. Сведения о лекарственных препаратах помогают уточнить аспекты терапии 5 .
Помощь в оформлении медицинской документации
Система проводит сортировку и учёт электронных медицинских карт. Болезнь пациента кодируется по международной классификации болезней 10-го пересмотра (МКБ-10). При постановке диагноза врач выбирает соответствующий код 6 .
Определение степени и тяжести заболевания
Алгоритм оценивает состояние пациента, используя классификацию в рамках машинного обучения. На выходе врач получает заключение о группе риска 7 .
Генерация тревожных сигналов
СППВР способна выявить скрытые закономерности, которые может не заметить врач. Алгоритмы предупреждают о возможных осложнениях, например: о повышении уровня глюкозы при сахарном диабете 8 , об инфекции в послеоперационный период 9 , о декомпенсации заболевания 10 .
Ассистирование в диагностике
ИИ может проводить «консультацию» на основе входных данных: симптомов и жалоб пользователя. Система выдаёт диагноз, который служит ориентиром для врача 11 . Другое направление — диагностическая визуализация. СППВР распознаёт медицинские изображения и выделяет подозрительные области 2 .
На основании данных ЭМК СППВР помогает подобрать правильное лечение: назначить оптимальную дозировку лекарств 10 , спрогнозировать длительность пребывания в стационаре 12 провести мониторинг терапии 13 .
Достижение экономической эффективности
Внедрение ИИ помогает правильно расходовать ресурсы медицинской организации. Это достигается за счёт эффективного использования диагностического оборудования 14 и электронного документооборота 10 .
Диагностика
Диагностика с помощью СППВР основана на органичном сочетании профессиональных навыков врачей и технических возможностей ИИ. Заключение ИИ имеет вероятностный характер и служит ориентиром для клинициста. Система автоматизирует рутинные процессы в медицине.
При поддержке Google разработан алгоритм автоматического обнаружения диабетической ретинопатии — поражения сетчатки глаза при сахарном диабете. В качестве обучающих данных использовалось 128 175 изображений сетчатки 15 .
Наборы для проверки в клинических условиях включали 9963 и 1748 изображений соответственно. Офтальмологи оценивали качество изображения и наличие на нём патологии зрения. Их заключения сравнивались с решениями нейросети. По данным исследователей, чувствительность для наборов составила 97,5% и 96,1% 15 .
Российский сервис Care Mentor AI использует ИИ для повышения точности заключений врача-рентгенолога. Экспертная система анализирует результаты лучевых исследований, чтобы обнаружить признаки заболеваний органов грудной клетки 16 .
Сервис Care Mentor AI позволяет 16 :
выявить поражение лёгочной ткани, наличие инородного тела или полости с уровнем жидкости;
определить зоны патологических изменений;
рассчитать размеры подозрительных образований;
сформировать итоговое заключение.
В России командой СберМедИИ реализуется многокомпонентная система поддержки принятия врачебных решений:
ТОП-3: анализирует данные первичного приёма пациента и выдаёт 3 наиболее вероятных диагноза по МКБ-10;
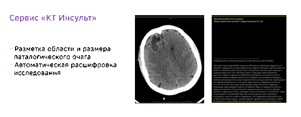
КТ Инсульт: проводит на томограммах поиск областей с острым нарушением мозгового кровообращения;

КТ Легких: анализ снимков органов грудной клетки (ОГК) направлен на поиск признаков вирусной пневмонии, в том числе природы COVID-19, и онкологических заболеваний. Сервис выделяет поражённые зоны и минимальные узелковые новообразования в лёгочной ткани.

Маммография: выявляет подозрительные образования молочной железы;
Короткое ЭКГ: обработка результатов ЭКГ с отображением в режиме онлайн;
Мобильное приложение AI Resp: исследует акустические характеристики при заболеваниях органов дыхания;
Мобильное приложение AI Skin: определяет кожные высыпания по фотографии.
Предиктивная аналитика
Для выбора лечения клиницисты оценивают тяжесть заболевания с присвоением определенной группы или категории. Ориентиром при этом служат общепринятые международные классификации.
Система поддержки принятия врачебных решений ускоряет выполнение этой задачи. Для этого ИИ использует входные данные о здоровье пациента: пол, возраст, перенесённые заболевания, симптомы, лабораторные показатели 10 .
Исследователи Института рака Бари им. Иоанна Павла II в Италии опубликовали предварительные результаты по прогнозированию рецидива рака молочной железы. Они использовали модель на основе машинного обучения. Исходные данные — результаты обследования и лечения 256 пациентов научно-исследовательского центра. Оценивалась вероятность рецидива рака через 5 и 10 лет после постановки диагноза 17 .
Итальянские учёные отмечают эффективность вспомогательного инструмента на основе ИИ: точность прогноза составила 77,5% и 80,39%, чувствительность 92,31% и 95,83% для 5 и 10 лет соответственно 17 .
Помощь в назначении и контроле лечения
С информационной поддержкой СППВР врач может принимать обоснованные решения при выборе терапии 5 :
посмотреть рекомендуемые дозировки;
уточнить возможные противопоказания и нежелательные взаимодействия лекарств;
провести поиск более дешёвых аналогов;
убедиться в правильности и безопасности назначенного лечения.
Немецкие учёные из Университетской клиники г. Мангейма сравнили решения 77 врачей и 89 студентов-медиков при использовании разных источников информации. Участников попросили назначить антибактериальную терапию при инфекции верхних мочевых путей. В помощь были предоставлены: доступ в интернет, справочники и СППВР. Система давала пользователю рекомендации с учётом индивидуальных особенностей пациента 18 .
Авторы отмечают, что только 27,1% участников правильно диагностировали заболевание. Назначить лечение в соответствии со стандартами смогли только 19,4% испытуемых. Это свидетельствует о необходимости информационной поддержки медицинских специалистов 18 .
Участники, чьи решения опирались на ИИ, показали лучшие результаты: 57,1% среди верно поставивших диагноз и 40,5% в случае правильного лечения 18 .
В России реализуются сервисы для повышения качества фармакотерапии. Система «Электронный клинический фармаколог» обеспечивает врачу доступ к актуальным сведениям о лекарственных препаратах: справочнику Государственного реестра лекарственных средств (ГРЛС) и клиническим рекомендациям 19 .
Мониторинг состояния пациентов
СППВР позволяет оценивать количественные и качественные показатели здоровья пациентов в динамике. Благодаря ИИ внимание врача концентрируется на каждой стадии заболевания. Контроль индивидуальных характеристик направлен на своевременную коррекцию лечебно-диагностических мероприятий.
Публикация британских исследователей в The Lancet описывает модель, которая проводит мониторинг состояния пациентов. Алгоритм Oracle прогнозирует результаты психотерапии. Для этого он:
опирается на данные анкетирования пациентов;
оценивает симптомы депрессии и тревожности на каждом сеансе психотерапии;
обновляет прогнозы модели с каждым новым сеансом 20 .
Высокие индексы точности прогноза позволили авторам рассмотреть применение Oracle в медицине. Алгоритм может помочь врачу уже на первых сеансах психотерапии определить пациентов в группе риска 20 .
Американские исследователи из университета Дьюка в Северной Каролине разработали модели машинного обучения для оценки послеоперационного риска — возникновения осложнений и смертности. Алгоритмы обрабатывали большой массив клинических и хирургических данных пациентов. Анализ проводился для 37 миллионов клинических случаев по 194 признакам 20 .
По данным авторов, созданная модель смогла выявить пациентов с высоким риском после хирургического вмешательства с чувствительностью и специфичностью, равными 76% 21 .
Эффективность систем
Отечественные и зарубежные обзоры исследований указывают на активное развитие интеллектуальных систем. Эффективность применения ИИ находится в процессе изучения. Но уже сейчас технологические решения дают первые положительные результаты в диагностике и лечении 2,22-24 .
На данном этапе можно выделить аспекты применения СППВР 25 :
Высокий уровень компьютерной грамотности. Знание основ биоинформатики поможет врачу использовать все преимущества медицинских технологий.
Прозрачность решений. Методы обработки больших объёмом данных не всегда понятны пользователю. Клиницисту важно знать общие принципы работы технологии: как ИИ пришёл к тому или иному выводу, какие рабочие характеристики и границы применения системы.
Этичность. Алгоритмическая предвзятость может сделать решение не с учётом особенностей пациента, а с опорой на математически вычисленную пользу. Врач следует принципу «не навреди», заботясь о каждой человеческой жизни. Специалист учитывает жизненную ситуацию пациента и его предпочтения в выборе лечения.
СППВР становится высокоразвитым помощником в медицине, но ключевая роль остаётся у человека. Благодаря технологиям врач сохраняет время для своего пациента. Уделить внимание личной беседе, построить доверительные отношения, стать партнёрами в борьбе с болезнью — залог успешного лечения.
Источники
С.М. Стиварос, А. Гледсон, Г. Ненадич и др. Системы поддержки принятия решений для клинической радиологической практики — к следующему поколению // Br J Radiol. 2010.
Клиническое решение врача. Ведение пациента в кардиологии
Принтие клинических решений — центральное звено в ведении больных, включающее выбор действий из нескольких альтернатив. Наряду с обеспечением комфорта пациенту при проведении различных процедур, принятие решения о профилактике, диагностике и лечении заболевания, основанного па выборе различных возможностей, свидетельствует о компетентности врача.
Знание медицинских основ необходимо для врача, но эти знания следует использовать должным образом для принятия наиболее оптимального решения с максимальной пользой для больного.

Клинические аспекты принятия решения становятся все более сложными. Выбор диагностических и терапевтических возможностей быстро расширяется. Количество медицинских журналов и публикуемых статей растет, стимулируя врачей ускоренными темпами получать новые медицинские знания. Расходы на лечение возрастают, что объясняется конкуренцией в выборе различных клинических стратегий. Принимать решения часто приходится достаточно быстро.
Наиболее сложным моментом является необходимость в большинстве случаев принимать решения в обстоятельствах неопределенности. Какие последствия будет иметь это решение у конкретного больного, предсказать сложно. По результатам клинических и фундаментальных исследований разрабатываются общие рекомендации, однако использовать их при лечении конкретного пациента не всегда оптимально.
Другой сложный момент в принятии клинического решения связан с тем, что врач не принимает решение единолично. Клиницисты, часто находясь в партнерских отношениях с пациентом, совместно принимают решение по выбору рекомендаций с учетом предпочтений, возможностей и целей конкретного пациента. Таким образом, в определенной клинической ситуации решение во многом зависит от пациента. Более того, принятие решений в несрочных ситуациях часто происходит в тесном сотрудничестве с членами семьи пациента, что требует от лечащего врача умения вести переговоры и убеждать.
Цель этой статьи — рассмотреть ключевые моменты принятия клинических решений в кардиологии. Принятие решений сопряжено с множеством аспектов, охватывающих такие дисциплины, как статистика, социология, психология, экономика, политика и др. Кроме того, существуют важные вопросы, рассматривающие рождение гипотезы и ее развитие, применение и интерпретацию результатов диагностических тестов, причинно-следственные отношения, верификацию диагноза, вы бор терапевтических и познавательных возможностей и их ограничения. Клиницисты должны быть знакомы с ключевыми концепциями, позволяющими расширить возможности принятия наиболее оптимальных решений.
Информация на сайте подлежит консультации лечащим врачом и не заменяет очной консультации с ним.
См. подробнее в пользовательском соглашении.
Читайте также:
