КТ, МРТ при тромбозе почечной вены
Добавил пользователь Владимир З. Обновлено: 13.12.2025
При исследовании организма человека часто используется метод магнитно-резонансной томографии (МРТ). Он позволяет быстро проверить, есть ли признаки каких-либо заболеваний и изменений, которые требуют быстрого лечения.
Метод позволяет также визуализировать кровеносную систему человека. При этом на раннем этапе удается понять, есть ли признаки патологий, которые потенциально могут угрожать не только здоровью, но и жизни человека.
Применение МРТ помогает провести визуализацию различных характеристик кровеносных сосудов, к которым относятся такие, как:
- Состояние стенок.
- Тонус.
- Просвет.
Технология оказывается одной из наиболее успешных в том случае, если нужно понять, формируются ли в кровеносной системе тромбы. При этом для повышения уровня качества визуализации, врачи рекомендуют применять контрастное усиление.
Оно помогает значительно повысить качество получаемого в итоге снимка, помогает понять, нужно ли проводить какое-либо лечение.
Когда нужно проводить МРТ для поисков тромба
Тромб – это сгусток крови, который может возникать в организме человека по множеству причин. При его наличии, есть большая опасность затруднения кровообращения, нарушения целостности вен и сосудов.
Это может привести не только к формированию множества видов заболеваний, но и к летальному исходу, если человек не получит нужного лечения.
Обычно МРТ при подозрении на тромбы назначает врач-флеболог после проведения комплексного обследования. В списке альтернативных методов – УЗИ и КТ, но для многих пациентов такие средства оказываются значительно менее информативными и не позволяют поставить точный диагноз.
Есть несколько признаков того, что у вас могут быть тромбы и стоит проводить МРТ:
- Отечность. Обычно проявляется в ногах или руках. Первичная локализация наблюдается в месте, где происходит закупорка сосуда. Затем отечность начинает стремительно распространяться на остальные конечности.
- Судороги. Чаще всего проявляются в ногах и говорят о том, что кровообращение по каким-то причинам было нарушено.
- Сильные внезапные боли. Таким симптомом сопровождается тромбоз глубоких вен. Болевые ощущения сильные, по характеру пульсирующие, могут нарастать или стихать волнами.
- Изменение цвета кожи. Так как циркуляция становится значительно хуже, кожный покров рядом с пораженными участками может заметно изменить цвет, стать бледным, синюшным или сильно покраснеть.
- Изменение температуры кожи. Область рядом с пораженным участком становится значительно горячее, в некоторых случаях формируется выраженный зуд.
- Проблемы с ЖКТ. Это не самый распространенный симптом, который указывает на поражение тромбозом мезентериальных сосудов. В результате становится значительно хуже кровообращение в кишечнике. Многие пациенты начинают жаловаться на сильные приступы тошноты, рвоту, несварение.
- Боль в животе. Также становится следствием плохой проходимости мезентериальных сосудов. Болевые ощущения часто сопровождаются вздутием, повышенным газообразованием и диареей. Обычно усугубляются после приема пищи.
Главные причины появления тромбов в организме
Практика нашего центра показывает, что за проведением МРТ сосудов для поиска тромбов обращаются разные категории пациентов. Стоит понимать, что сам процесс свертывания крови для организма нормальный.
Таким образом, обеспечивается восстановление нормального состояния сосуда в результате его повреждения, либо для быстрой и безопасной регенерации тканей.
Но существует множество факторов, из-за которых тромбоз принимает патологическое течение. К ним относятся такие, как плохое состояние эндотелия на клеточном уровне, гиперциркуляция и проблемы с кровотоком.
Очень часто на фоне сбоев в работе системы гемостаза человека, значительно возрастает процесс коагуляции крови. На фоне этого активность фибринолиза становится меньше. Создается тромб, который начинает становиться все больше и больше – слои накладываются друг на друга.
При развитии эмболии, происходит заметное сужение сосуда, а его проходимость становится хуже. Применение магнитно-резонансной томографии позволяет не только выявить сам факт наличия проблемы, но и сделать выводы о том, что привело к ее появлению.
Таким образом, процесс лечения становится значительно более эффективным.
Почему формируется тромбоз
Если процесс свертываемости крови естественный для организма, то по какой причине могут формироваться тромбы? Есть множество причин, стимулирующих появление такого заболевания. К ним относятся следующие:
- Травмирование сосудов. Тромбы часто формируются в том случае, если по каким-то внешним причинам целостность сосудистой стенки оказывается нарушена.
- Хирургические вмешательства. Операции могут стимулировать появление тромба как одного из побочных факторов восстановительного процесса в организме.
- Прием лекарственных средств. Многие сильнодействующие препараты становятся причинами появления тромбоза. К ним относятся гормональные препараты, оральные средства контрацепции, гипотензивные лекарства различных типов.
- Большая масса тела. Ожирение практически всегда становится причиной ухудшения кровообращения.
- Нарушенный обмен веществ. Становится следствием перенесенных или хронических заболеваний.
- Малоподвижный образ жизни. Чтобы уменьшить вероятность тромбоза, человек должен активнее двигаться, нагружать конечности, стимулировать циркуляцию крови.
- Беременность. Факторов в этом случае оказывается много – от малой физической активности и гормональных нарушений, до увеличения массы тела.
В списке риска также оказываются пациенты с болезнями эндокринной системы, варикозным расширением вен, злокачественными новообразованиями. Стоит следить за своим здоровьем и в пожилом возрасте, когда риск роста тромбов становится особенно заметным.
МРТ при таком заболевании помогает определить локализацию проблемы, сделать выводы о ее причинах. Также обеспечивается отслеживание успешности проводимого лечения с возможностью его оперативной корректировки.
КТ, МРТ при тромбозе почечной вены
Методы обследования тромбоза почечной вены
а) Терминология:
1. Аббревиатура:
• Тромбоз почечной вены (ТПВ)
2. Определение:
• Образование тромба в почечной вене (ПВ)
б) Визуализация:
1. Общая характеристика:
• Важнейшие диагностические критерии:
о Гиперэхогенное содержимое в ПВ с отсутствием тока при цветовой допплерографии
о Диастолическая регургитация при спектральной допплерографии почечной артерии считается косвенным ультразвуковым признаком ТПВ
• Локализация:
о Односторонний > двусторонний
о Левая почечная вена > правая почечная вена, вероятно, вследствие ее большей длины
о Возможно распространение тромба в нижнюю полую вену (НПВ)
• Размеры:
о Острое увеличение почки в 75% случаев
о Острая дилатация ПВ
о Склерозированная сморщенная почка при хроническом течении
2. УЗИ при тромбозе почечной вены:
• Серошкальное ультразвуковое исследование:
о Острый тромбоз:
- Увеличение почки:
Венозный застой → отек → увеличение размеров почки
Выраженность увеличения размеров варьирует и зависит от степени обструкции ПВ
- Изменение эхогенности паренхимы (три типа):
Диффузная гипоэхогенная, кортикомедуллярная дифференциация отсутствует
Диффузная гетерогенная (при обширном кровоизлиянии и очагах некроза)
Линейные гиперэхогенные «тяжи», расходящиеся от ворот почки (тромбированные паренхиматозные вены)
- Растяжение почечной вены (слабо гиперэхогенное содержимое)
- Распространение тромба в НПВ (редко)
о Подострый тромбоз:
- ↑ эхогенность коркового вещества, ↑ кортико-медуллярной дифференциации (через 10-14 дней)
- Уменьшение размеров ПВ, повышение эхогенности тромба
о Хронический тромбоз:
- Картина зависит от объема повреждения почек, степени восстановления кровотока в ПВ:
При серошкальном исследовании изменений нет
↑ эхогенность паренхимы
↓ размера почек (склероз)
• Импульсно-волновая допплерография:
о Изменение формы спектральной волны почечной артерии:
- ↑ систолического пульсового давления (узкие, острые систолические пики)
- Постоянная диастолическая регургитация
о Локальное увеличение скорости потока в области неоккпюзирующего тромба
• Цветовая допплерография:
о Острый обтурирующий тромб:
- Отсутствие кровотока в ПВ
- Можно увидеть симптом «трамвайных путей» (небольшие пути оттока, огибающие тромб)
о Острый необтурирующий тромб:
- «Дефект наполнения» в ПВ, обусловленный тромбом
- Можно увидеть артефакт наложения при ↑ скорости потока вокруг тромба
о Подострый/хронический:
- Восстановление кровотока в различной степени, зависит от степени тромболизиса
- Возможно наличие коллатеральных вен (ворот почки, капсулярно-забрюшинных, почечно-селезеночных)

(Левый) На продольном УЗ срезе с цветовой допплерографией почечного трансплантата в первые послеоперационные сутки визуализируется отсутствие васкуляризации паренхимы. Единственная область с видимым кровотоком — артериальный сигнал в воротах почки.
(Правый) При спектральной допплерографии у этого же пациента визуализируется пандиастолическая регургитация в основной почечной артерии, развившаяся вследствие острого тромбоза почечной вены. Кровоток по почечной вене у этого пациента восстановить не удалось, в связи с чем на третьи сутки потребовалась трансплантатэктомия.
3. Другие методы исследования:
• КТ:
о При обзорной КТ может визуализироваться увеличенная почка с выраженным ослаблением сигнала от тромбированного сосуда
о Околопочечный и/или периваскулярный отек
о Отсроченное контрастирование на нефрограмме по сравнению с противоположной почкой
о Дефект заполнения в портальную венозную фазу бывает трудно отличить от артефактов потока
о Исследование в отсроченную фазу контрастирования (2-5 минут) обладает наибольшей чувствительностью выявления венозного тромбоза
• МРТ:
о Отсутствие потери сигнала в тромбированном сосуде
о Периваскулярный отек на Т2ВИ
о Непосредственная визуализация тромба на снимках в отсроченную фазу контрастирования
4. Рекомендации по визуализации:
• Важнейшие методы визуализации:
о Цветовая допплерография и спектральная допплерография -методы первоначальной диагностики
о КТ/МРТ-методы комплексного и динамического обследования
• Рекомендации по исследованию:
о Не перепутайте селезеночную вену с левой почечной веной (ЛПВ):
- Селезеночная вена лежит кпереди от верхней брыжеечной артерии
- ЛПВ лежит кзади от верхней брыжеечной артерии
о Угол при допплерографии (<60°), частота повторения импульсов и коэффициент усиления должны соответствовать низкоскоростному потоку

(Левый) На УЗ срезе с цветовой допплерографией левого верхнего квадранта живота у недоношенного младенца (33 недели) визуализируется гиповаскулярное образование неправильной формы. Образование практически не напоминало почку и на догоспитальном этапе было расценено как опухоль.
(Правый) При спектральной допплерографии у этого же пациента в почечной артерии визуализируется пандиастолическая регургитация вследствие острого тромбоза почечной вены. К сожалению, у этого младенца также было выявлено кровоизлияние в надпочечник с пораженной стороны (не показано).
в) Дифференциальная диагностика тромбоза почечной вены:
1. Инвазия опухолью почечной вены:
• Почечноклеточный рак - наиболее распространенная причина опухолевой инвазии почечной вены; реже встречается при уротелиальной карциноме и опухоли Вильмса
• ПВ растянута слабо гиперэхогенной опухолью (выглядит как тромб)
• При цветовой допплерографии можно визуализировать опухолевые сосуды в ПВ
• Возможно инфильтрирование и увеличение почек
2. Инфильтрация в паренхиме почки:
• Диффузно увеличенная, гипоэхогенная почка с потерей кортико-медуллярной дифференциации
• Внешний вид паренхимы идентичен таковому при ТПВ, однако вена интактна
• К инфильтративным процессам в почках, которые могут имитировать ТПВ, относятся: лимфома, почечноклеточный рак, уроте-лиальный рак и амилоидоз
3. Пиелонефрит:
• Увеличенная, гипоэхогенная почка с потерей кортико-медуллярной дифференциации
• Внешний вид идентичен таковому при ТПВ, однако ПВ интактна:
о Тем не менее, обратите внимание, что ТПВ может осложнять течение инфекции
4. Обструкция мочевыводящих путей:
• Возможно увеличение почек
• При остром процессе эхогенность не изменяется
• Почти всегда визуализируются расширенные лоханки/чашечки

(Левый) У этого пациента имеется хроническая обструкция почки (выполнено стентирование) и инфекционный процесс вследствие опухоли мочевого пузыря. На аксиальном КТ срезе с контрастированием визуализируется цилиндрический низкоинтенсивный дефект наполнения в левой почечной вене, практически с отсутствующим кровотоком по периферии тромба.
(Правый) На фронтальном реформатированном КТ срезе у другого пациента с нефротическим синдромом визуализируется распространенный тромбоз левой почечной вены с переходом на НПВ. Этот пациент впоследствии перенес тромбоэмболию мелких ветвей легочной артерии.
г) Патология:
1. Общая характеристика:
• Этиология:
о Нефротический синдром: наиболее частая причина ТПВ у взрослых:
- Особенно при мембранозном гломерулонефрите
о Гиповолемия/гипоперфузия почек: самая частая причина ТПВ у детей
- Обезвоживание, сепсис, кровотечение, перикардит, ХСН
о Риск у новорожденных связан с дистресс-синдромом плода, перинатальной асфиксией, диабетом у матери и уменьшением объема [околоплодных вод]
о Травма живота/почки
о Механическая компрессия ПВ
о Послеоперационный период трансплантации почки
о Спонтанные или ятрогенные состояния гиперкоагуляции (обусловленные злокачественными новообразованиями, беременностью, системными заболеваниями, генетическими факторами, препаратами)
2. Макроскопические и хирургические особенности:
• Острое застойное увеличение почки → склерозированная сморщенная почка при хроническом процессе
3. Микроскопия:
• Острый: застой крови в сосудах, отек → некроз тканей, кровоизлияние
• Хронический: склероз, дистрофическая кальцификация
д) Клинические особенности:
1. Проявления тромбоза почечной вены:
• Основные симптомы:
о Острый:
- Боль в боку/животе, тошнота, рвота
- Образование (увеличенная почка)
- Протеинурия, гематурия, острая почечная недостаточность
о Хронический:
- Бессимптомный (при одностороннем ТПВ или полном разрешении)
- Почечная недостаточность/гипертензия
• Другие симптомы:
о Обусловлены острой тромбоэмболией легочной артерии (наиболее распространенное осложнение ТПВ)
2. Демография:
• Возраст:
о Взрослые (чаще всего) или дети до двух лет
• Эпидемиология:
о Нефротический синдром служит причиной ТПВ в 16-42% случаев
о Обезвоживание/сепсис - наиболее распространенная причина ТПВ у детей до двух лет
3. Течение и прогноз:
• Малое количество данных, единичные малочисленные клинические исследования
• Прогноз зависит от этиологии, быстроты установления диагноза, продолжительности окклюзии, реканализации, коллатерального кровообращения
• В целом, прогноз благоприятный; частое спонтанное выздоровление
4. Лечение тромбоза почечной вены:
• Антикоагулянты: гепарин, затем кумадин или низкомолекулярные гепарины в качестве поддерживающей терапии
• Тромболизис/хирургическая тромбэктомия: радикальная мера в жизнеугрожающих ситуациях
• Супраренальный кава-фильтр (тромбоз НПВ)
е) Диагностическая памятка:
1. Следует учесть:
• ТПВ при диффузно увеличенной, гипоэхогенной/гетерогенной почкой
2. Советы по интерпретации изображений:
• Постоянная диастолическая регургитация в почечной артерии указывает на тромбоз почечной вены
Диагностика тромбоза почечной вены на снимках МРТ и КТ брюшной полости
Какой метод диагностики тромбоза почечной вены выбрать: МРТ, КТ, УЗИ
Методы выбора
Для чего проводят УЗИ брюшной полости при тромбозе почечной вены
- увеличение почки
- при цветном допплеровском картировании выявляется отсутствие кровотока в почечной вене
- расширение сосудов
- гипоэхогенность коры, обусловленная острым отеком, при сохраненной кортико-медуллярной дифференцировке.
Хронический тромбоз почечных вен:
- уменьшение размеров почки с потерей кортикомедуллярной дифференцировки
- гиперэхогенность паренхимы в связи с хронической дегенерацией (например, фиброзом).
В каких случаях проводят КТ брюшной полости при тромбозе почечной вены
- Тромб пониженной плотности (дефект наполнения) в почечной вене, лучше определяемый в кортико-медуллярной (венозной) фазе после введения контрастного вещества
- Расширение сосудов
- При хроническом тромбозе определяются венозные коллатерали
- Может определяться сдавление лоханки.
Что покажут снимки МРТ брюшной полости при тромбозе почечной вены
- Т1-взвешенная МРТ после внутривенного контрастирования
- Тромбоз определяется как дефект наполнения
- Расширение сосудов.
Клинические проявления
Типичные симптомы тромбоза почечных вен:
- Острое начало
- Боль в поясничной области
- Резко выраженная гематурия.
Принципы лечения тромбоза почечных вен
- Гепаринотерапия
- Антикоагулянтная терапия
- Лечение нефротического синдрома.
Что важно знать клиницисту
- Степень повреждения паренхимы
- Распространенность
- Идентифицировать причину развития при ее наличии (например, опухоль).

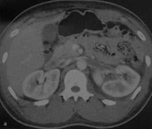
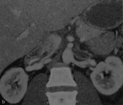
Двусторонний тромбоз почечных вен в послеродовом периоде. (a) Аксиальная МСКТ после контрастного усиления. Расширенная левая почечная вена с дефектом заполнения в просвете;

(b) Фронтальная МСКТ. Распространение тромба из правой почечной вены в нижнюю полую.

а, b Тромбоз левой почечной вены. Расширение левой почечной вены, которая спереди пересекает аорту (стрелка на рисунке а): (а) Неусиленное фронтальное Т2-взвешенное МР-изображение;

(b) Т1 -взвешенная МР-венография с подавлением сигнала от жировой ткани, полученная в плоскости сравнения после внутривенного введения КВ на основе гадолиния
Какие заболевания имеют симптомы, схожие с тромбозом вен почки
Опухолевый тромбоз при ПКР
-Определяется усиление сосудистого рисунка
Советы и ошибки
Невозможно получить контрастно-усиленное изображение, если КВ не введено в вену.
а) Терминология:
• Тромбоз почечной вены
б) Определение:
• Обструкция почечной вены тромбом
в) Визуализация:
1. Общая характеристика:
• Лучший диагностический критерий:
о Дефект наполнения почечной вены, сочетающийся с увеличением почек и снижением их функций
• Локализация:
о Односторонняя, реже-двусторонняя:
- Двустороннюю локализацию наиболеечасто встречают у детей
о Чаще слева, чем справа:
- Вероятно вследствие большей длины левой почечной вены
• Размер:
о Увеличение почек наблюдают в 75% случаев
о Уменьшенные сморщенные почки (редко)
• Морфология:
о Образование в почечной вене, возможно распространение до НПВ, иногда-до правого предсердия
2. Рентгенографические признаки тромбоза почечной вены:
• Внутривенная пиелография:
о Плотная длительная нефрограмма (частично)
о Небольшое затемнение нефрограммы или отсутствие затемнения
о Уменьшение величины затемнения мочи в почечных чашечках и лоханке
о Затемнение вен в околопочечном пространстве
о Венозная узурация или сдавливание мочеточника извитыми коллатеральными венами
о Редко встречают рентгеноконтрастные и рентгенонегативные полосы в корковом слое почки
3. КТ при тромбозе почечной вены:
• КТ с контрастированием:
о Гиподенсный дефект наполнения в почечной вене
о Снижение плотности нефрограммы: стойкое затемнение паренхимы; отсутствие дифференциации коркового и мозгового слоев
о Задержка контраста в кортико-медуллярной зоне и экскреции в почечные чашечки и лоханку
о Утолщение фасции Героты и «бахромчатость» околопочечного пространства (отек или кровоизлияние)
о Затемнение околопочечных и околомочеточниковых коллатералей («паутина»)
• КТ-ангиография:
о Извитые и расширенные коллатеральные вены рядом с мочеточниками
о Венозная коллатерализация: ретроградный кровоток в расширенных поверхностных эпигастральных венах
4. МРТ при тромбозе почечной вены:
• Дефект наполнения в почечной вене (лучше всего виден на постконтрастных Т1-ВИ)
• Реномегалия, облитерация жировой клетчатки почечного синуса, компрессия собирательной системы почки
• Увеличение длительности прохождения контраста с током крови в корковом и мозговом слоях почки
• Отсутствие дифференциации коркового и мозгового слоев
• Множественные околопочечные коллатеральные вены
• Расширение семенной вены
5. УЗИ при тромбозе почечной вены:
• Исследование в режиме серой шкалы:
о Отек почки
о Снижение эхогенности (острый тромбоз), повышение эхогенности спустя 10-14 дней
о Возможна более выраженная дифференциация коркового и мозгового слоев
о Дефект наполнения внутри просвета почечной вены с ее расширением проксимально от места окклюзии (более заметно слева)
- Острый тромбоз: анэхогенный или гиперэхогенный
- Хронический тромбоз: эхогенный
о Тромб или опухоль в НПВ (менее 20% случаев)
• Цветовое допплеровское картирование:
о Сканирование почечной артерии:
- Обратный диастолический кровоток или его отсутствие
- Повышенный индекс резистентности (ИР) интраренальных артерий
- Классические признаки при допплерографии артерий наблюдают только при остром тромбозе почечной вены; допплерографические признаки становятся менее специфичными при появлении коллатерального кровообращения:
Вследствие отсутствия коллатерального кровообращения в транслантированной почке классические допплерографические изменения сохраняются дольше
- Нормальная форма волны в артерии не исключает тромбоза почечной вены
о Сканирование почечной вены:
- Отсутствие или заметное снижение сигнала в вене
- Повышение скорости и турбулентности на уровне обструкции в случае тромбоза с неполной окклюзией сосуда
6. Ангиография:
• Дефект наполнения в почечной вене (в венозную фазу)
• Венозные коллатерали
7. Радионуклидная диагностика:
• Задержка или отсутствие почечной перфузии
8. Рекомендации по визуализации:
• Лучший метод визуализации:
о КТ с контрастированием, МРТ с контрастным усилением гадолинием

(Слева) МРТ, постконтрастное Т1-ВИ, аксиальная проекция: у мужчины 59 лет, в анамнезе у которого имеется образование правой почки, выявлен обширный тромбоз правой почечной вены с продолжением в НПВ и поясничную ветвь. Обратите внимание на увеличение правой почки и отсроченную нефрограмму вследствие венозного тромбоза.
(Справа) МРТ, Т2-ВИ, аксиальная проекция: у этого же пациента выявлен измененный Т2-сигнал от правой почки вследствие венозного тромбоза и перегрузки. При патоморфологическом исследовании был подтвержден светлоклеточный ПКР.
1. Обструкция мочеточника:
• Схожая картина с тромбозом почечной вены; обструкция мочеточника может привести к увеличению почек и задержке нефрограммы
• Гидронефроз, гидроуретер, тяжистое уплотнение лериуретерального или околопочечного пространств
2. Инвазивная опухоль:
• Причины одностороннего увеличения почек: переходноклеточный рак, ПКР метастазы почки, лимфома
• Сохранение формы почки с нарушенной интраренальной архитектоникой
• Гетерогенное образование, возможны кальцификаты
• Контрастируемое образование мягкотканной плотности
3. Пиелонефрит:
• Дифференциальная диагностика по анамнезу заболевания и анализу мочи

(Слева) КТ с контрастированием, аксиальная проекция: у женщины 60 лет выявлено контрастируемое образование в средней части правой почки с опухолевым тромбозом правой почечной вены. Обратите внимание на значительное расширение почечной вены.
(Справа) Цветовое допплеровское картирование: у этой же пациентки выявлен протяженный эхогенный тромб в правой почечной вене..
1. Общая характеристика:
• Этиология:
о Нефротический синдром:
- Мембранозный или мембранопролиферативный гломерулонефрит, очаговый склероз, амилоидоз, жировой нефроз
о Другие первичные заболевания почек:
- Другие гломерулонефриты, пиелонефриты, васкулиты
о Почечная гипоперфузия вследствие гиповолемии или сосудистого стаза:
- Дегидратация, сепсис, кровоизлияние
- Хроническая сердечная недостаточность, аортальная недостаточность, констриктивный перикардит
о Прорастание опухоли:
- ПКР, АМЛ почки, переходноклеточный рак, опухоль Вильмса, метастазы
о Ятрогенные причины:
- Лекарственные средства (оральныеконтрацептивы,эстрогены)
- Абдоминальная хирургия, биопсия почки
- Отторжение трансплантированной почки
о Другие гиперкоагуляционные состояния:
- Беременность, септический аборт, злокачественное новообразование, врожденные гиперкоагуляционные состояния
о Травма живота
о Увеличение тромба
о Механическая компрессия
• Генетика:
о Врожденные гиперкоакуляционные состояния (недостаток антитромбина 3, протеина S и протеина С)
• Наиболее частые причины заболевания у взрослых-нефротический синдром и злокачественное новообразование в качестве основного заболевания (обычно ПКР)
• Наиболее частые причины у детей - дегидратация и сепсис
2. Макроскопические и хирургические признаки:
• Фиброз почки, кровоизлияние, некроз, кальцификаты

(Слева) КТ с контрастированием, аксиальная проекция: у женщины 46 лет с жалобами на боли в животе неясной этиологии и недостатком протеина 5 в анамнезе выявлен тромб в нижней полой и левой почечной венах.
(Справа) КТ с контрастированием, аксиальная проекция: у пациента с жалобами на потерю веса и боль в боку выявлено образование хвоста поджелудочной железы, охватывающее левую почечную вену, что в результате привело к ее тромбозу . Обратите внимание на задержку нефрограммы и гидронефроз.
1. Клиническая картина:
• Наиболее частые признаки/симптомы:
о Острый тромбоз (наиболее часто встречают у детей):
- Боль в боку, тошнота, рвота, пальпируемая почка, артериальная гипертензия
о Хронический тромбоз (наиболее часто встречают у взрослых): - Бессимптомное течение или тромбоэмболическая болезнь, лихорадка, отек
• Клинический профиль:
о Тромбоз почечной вены-чаще всего хронический процесс
о Острый тромбоз почечной вены (который чаще встречают у детей) возникает наиболее часто вследствие травмы, генерализованного состояния гиперкоагуляции и дегидратации (особенно у младенцев)
• Лабораторные данные:
о Острый тромбоз: макро- или микрогематурия в анализе мочи
о Хронический тромбоз: протеинурия в анализе мочи
2. Демография:
• Возраст:
о Чаще болеют взрослые:
- Также встречают случаи заболевания пациентов младше двух лет
• Эпидемиология:
о Нефротический синдром наблюдают у 16-42% пациентов с тромбозом почечной вены
3. Течение и прогноз:
• Последствия тромбоза почечной вены зависят от места возникновения, времени окклюзии, коллатерального кровообращения и степени реканализации
• Осложнения:
о Легочная эмболия
о Распространенный тромбоз; инфаркт почки, кровоизлияние, почечная недостаточность
• Прогноз: благоприятный, часто наблюдают спонтанное восстановление
4. Лечение тромбоза почечной вены:
• Терапия антикоагулянтами:
о Внутривенное введение гепарина, пероральный прием варфарина
• Тромболитическая терапия: двусторонний тромбоз почечной вены, распространение тромбоза почечной вены в НПВ, протяженный тромб, легочная эмболия, интенсивная боль в боку или неэффективная терапия антикоагулянтами
• Хирургическая тромбэктомия или нефрэктомия при неэффективности медикаментозного лечения или тромбозе опухоли
• Супраренальный кава-фильтр
е) Диагностическая памятка:
1. Следует учесть:
• Адекватное восстановление почечного кровотока может предотвратить нарушение функций почек
2. Советы по интерпретации изображений:
• Дефект наполнения в почечной вене; венозные коллатерали
КТ и МРТ диагностика тромбоза брыжеечных и воротной вен.
Как часто встречается трмбоз вен кишечника и печени
- По данным аутопсии идентифицируется в 0,05-0,5% случаев
- Тромбоз воротной вены встречается у 1—15% пациентов с циррозом печени
- Частота встречаемости тромбоза воротной вены коррелирует со стадией заболевания по шкале СТР (Child-Turcotte-Pugh).
Почему развивается тромбоз кишечных и печеночных вен
- Замедление кровотока или явления стаза в системе воротной вены
- Гиперкоагуляция
- Процессы тромбоза воротной вены и тромбоза брыжеечных вен могут распространяться на внутрипеченочные ветви воротной вены и/или на брыжеечные вены
- Цирроз печени
- Миелопролиферативный синдром
- Недостаточность плазменных факторов, ингибирующих коагуляцию крови
- Интраабдоминальная инфекция (инфицирование новорожденных через пупочную вену)
- Панкреатит
- Рак поджелудочной железы
- Гепатоцеллюлярная карцинома
- Паранеопластический синдром
- Травма
- Оперативные вмешательства на органах брюшной полости.
- Процессы кавернозной трансформации зачастую происходят на протяжении от нескольких недель до нескольких месяцев и сопровождаются формированием развитой системы коллатерального кровообращения в воротах печени при прекращении кровотока по окклюдированной воротной вене.
Какой метод диагностики тромбоза выбрать: МРТ, КТ, УЗИ, ангиографию
- КТ,
- МРТ,
- цветовое допплеровское ультразвуковое сканирование при достаточно благоприятных акустических условиях.
Для чего проводят допплер УЗИ при тромбозе воротной вены
- При ультразвуковой визуализации в В-режиме острые тромбы характеризуются гипоэхогенностью и, вследствие этого, плохо идентифицируются
- Хронические тромбы (давностью несколько недель) обычно являются гиперэхогенными
- При визуализации в цветовом режиме идентифицируется дефект кровотока в воротной вене
- Индекс резистентности в печеночной артерии снижен
- Признаки портосистемного коллатерального кровотока
- Спленомегалия
- Асцит
- Могут присутствовать признаки цирроза печени.
Что покажут снимки МРТ и МСКТ при тромбозе вен
- Дефект наполнения в воротной вене
- Признаки портосистемного коллатерального кровотока
- Спленомегалия
- Асцит
- Могут присутствовать признаки цирроза печени.
Типичные симптомы тромбоза воротной вены и тромбоза брыжеечных вен:
- Клиническая картина широко варьирует
- Зачастую - отсутствие патологических проявлений
- Наиболее типичным проявлением тромбоза воротной вены и тромбоза брыжеечных вен является кровотечение из варикозно-расширенных вен пищевода
- Тошнота, рвота Боли в правом подреберье
- Асцит различной степени выраженности
- Гиперспленизм
- Тромбоз, начинающийся с брыжеечных вен, зачастую приводит в конечном итоге к венозному мезентериальному инфаркту.

Тромбоз воротной вены. КТ после введения контрастного вещества. Идентифицируются острый тромб в воротной вене (а, стрелка), признаки распространения тромбоза на верхнюю брыжеечную вену (b, раздвоенная стрелка). Цирроз печени, спленомегалия, асцит, варикозное расширение вен пищевода (с).
Принципы лечения тромбоза воротной вены и тромбоза брыжеечных вен
- Антикоагулянтная терапия
- В некоторых случаях могут иметься показания к интервенционному лечению - ТВПШ, локальному тромболизису или механической реканализации
- Купирование осложнений, таких как кровотечения из варикозно-расширенных вен пищевода.
Течение и прогноз тромбоза
Что хотел бы знать лечащий врач?
- Распространенность тромбоза
- Этиология тромбоза
- Наличие признаков портальной гипертензии.
Какие заболевания имеют симптомы, схожие с тромбозом воротной и брыжеечных вен
Тромбоз вен на фоне гепатоцелтолярной карциномы
- Контрастное усиление в проекции опухолевого тромба
- Идентифицируется гепатоцеллюлярная карцинома
Компрессия или окклюзия воротной вены вследствие ее сдавления опухолью
- Данная картина может иметь место при раке желудка или поджелудочной железы
Цветовая допплеровская ультразвуковая визуализация может не позволить идентифицировать кровоток в воротной вене вследствие неверной настройки прибора (при слишком высокой частоте пульсового повторения).
Читайте также:
- Нетравматический остеит лобковой кости - лучевая диагностика
- КТ при нодальной неходжкинской лимфоме поднижнечелюстного пространства
- Лечение дизартрии и атаксии при рассеянном склерозе. Лечение боли и дисфункции мочевого пузыря при рассеянном склерозе.
- КТ брюшной полости при васкулите
- Лечение экстрамедуллярной опухоли спинного мозга
