КТ при цистите
Добавил пользователь Дмитрий К. Обновлено: 08.01.2026
КТ при цистите
а) Визуализация:
• Острый: утолщение стенки мочевого пузыря, ± гиподенсная стенка (вследствие отека), ± околопузырные воспалительные изменения
• Хронический: сморщенный мочевой пузырь неправильной формы с утолщенными стенками
• Эмфизематозный: газ в стенках и просвете мочевого пузыря
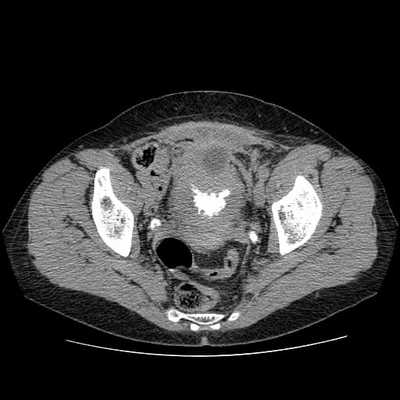
(Слева) КТ с контрастированием, аксиальный срез: газ в просвете и стенке мочевого пузыря, как и в чашечно-лоханочной системе аутотрансплантата, что соответствует эмфизематозному циститу/пиелиту. В анамнезе отсутствуют свежие данные инструментального исследования, объясняющие причину наличия интравезикального/интраренального газа.
(Справа) КТ с контрастированием, аксиальный срез: эксцентричное утолщение стенки мочевого пузыря с окопопузырными воспалительными изменениями, сравнимые с циститом, вероятно вследствие хронического раздражения постоянным катетером. Гиперемия стенки свидетельствует больше в пользу цистита, чем новообразования. (Слева) КТ, аксиальный срез: выраженное утолщение стенки мочевого пузыря и наполненные кровью околопузырные кровеносные сосуды. Пациент получал терапию циклофосфамидом, который экскретируется с мочой, и эти изменения привели к воз никновению химического цистита. больные раком находятся в группе повышенного риска возникновения инфекционного цистита: анализ мочи очень эффективен при дифференцировании этих двух заболеваний.
(Справа) КТ, аксиальный срез у пациента с анамнезом недавнего внешнего радиационного облучения по поводу рака прямой кишки, определяется утолщение стенки мочевого пузыря, представляющее собой острый радиационно-индуцированный цистит.
б) Дифференциальная диагностика цистита:
• Цистит, вследствие воспаления в прилегающих органах (например, дивертикулита или сальпингита)
• Недостаточное растяжение мочевого пузыря
• Обструкция выходного отверстия мочевого пузыря
• Нейрогенный мочевой пузырь
• Рак мочевого пузыря
в) Патология:
• Инфекционный цистит:
о Бактериальный
о Шистозоматоз: вследствие воспалительного ответа на яйца, отложенные в подслизистом слое мочевого пузыря
о Эмфизематозный: инфицирование Escherichia coli, Enterobacter aerogenes или Candida; наблюдается у людей с иммуносуппрес-сией и больных сахарным диабетом
• Неинфекционный цистит:
о Механический: местное раздражение постоянным катетером, конкрементом, инородным телом и др.
о Лекарственно-индуцированный: циклофосфамид (геморрагический цистит)
о Радиационно-индуцированный
о Идиопатический интерстициальный цистит: панцистит, вызывающий тяжелые императивные и частые позывы на мочеиспускание
г) Клинические особенности:
• У мужчин встречается менее часто из-за большей длины уретры и антибактериальных свойств простатической жидкости
• Факторы риска: половой контакт, использование спермицидов, урогенитальные аномалии, обструкция выходного отверстия мочевого пузыря, инородные тела, предшествующая инфекция мочеполового тракта в анамнезе
Что покажет МСКТ мочевого пузыря
Магнитно-резонансная и компьютерная томография мочевого пузыря относятся к безболезненным и неинвазивным методам диагностики. Как КТ, так и МРТ мочевого пузыря могут проводиться с контрастированием или без него. Использование контраста увеличивает четкость и видимость тканей и структуры. Контрастное вещество вводится внутривенно. При МРТ мочевого пузыря с контрастом используется
КТ мочевого пузыря и почек хорошо показывает размер органов, их форму, расположение и соответствие нормам. Такая диагностика назначается при подозрении на:
- новообразования и воспаления;
- мочекаменную болезнь; ;
- врожденные аномалии;
- травмы и перфорации мочевого пузыря.
А также для подготовки к операции либо оценки эффективности химио- и радиотерапии при лечении рака мочевого пузыря.

Сведение об исследовании
- Продолжительность: 7-15 минут
- Требование к подготовке: Есть
- Назначение врача: Не требуется
- Применение контраста: По рекомендации врача
- Противопоказания и ограничения: Есть
- Рекомендуемая мощность аппарата: 12 срезов и выше
- Время выдачи результатов: 30-40 минут
- Что входит в стоимость: заключение + запись снимков
Показания
Список основных симптомов и показаний для проведения МСКТ мочевого пузыря включает появление у пациента острой или тупой боли неясного характера в нижней части живота, задержку, затрудненное либо слишком частое мочеиспускание. Также эта форма диагностики используется как метод дообследования пациентов с неясными результатами УЗИ, когда есть подозрение на опухолевый процесс и нужно уточнить его локацию, характер и злокачественный потенциал.
Противопоказания
МСКТ не проводится при беременности. При назначении компьютерной томографии почек с контрастом следует исключить аллергическую реакцию на йод. Иногда проблематично проведение диагностики с контрастным усилением для лиц, имеющих почечную и печеночную недостаточность. Если почки по результатам анализа на креатинин не справятся с дополнительной нагрузкой от контрастного препарата, врачи предложат применение альтернативных способов исследования: экспертного УЗИ или МРТ мочевого пузыря.
Подготовка
Подготовка к МРТ мочевого пузыря совпадает с требованиями подготовки к КТ органов малого таза. За сутки до обследования необходимо снизить газообразование в кишечнике путем перехода на легкое питание и отказа от алкоголя и кофе. В день осмотра прием пищи должен быть прекращен не менее, чем за 6 часов до процедуры. За несколько часов перед томографией следует выпить пол-литра чистой воды, так как качественная мультиспиральная диагностика проводится при условии умерено полного мочевого пузыря.
Как делают КТ мочевого пузыря
Сначала обследуемого приглашают пройти в диагностический кабинет и занять лежачее положение на кушетке томографа. Затем пациент перемещается под сканирующее кольцо гентри, и запускается программа скрининга. При сканировании делаются множественные послойные изображения срезов органов в различных проекциях, а компьютер накладывает друг на друга эти сканы и формирует трехмерную проекцию исследуемой области.
Во время компьютерной томографии мочевого пузыря пациент не испытывает дискомфорта, а вся процедура занимает 5 минут. Если проводится МСКТ с контрастированием, возможен легкий привкус металла во рту из-за контраста.
После исследования рентгенолог делает рентгенологическое описание и выдает пациенту свое экспертное заключение и снимки на пленочных или цифровых носителях.
КТ или МРТ мочевого пузыря
Магнитно-резонансная и компьютерная томография мочевого пузыря относятся к безболезненным и неинвазивным методам диагностики. Как КТ, так и МРТ мочевого пузыря может проводиться с контрастированием или без него. Использование контраста увеличивает четкость и видимость тканей и структуры. Контрастное вещество вводится внутривенно. При МРТ мочевого пузыря с контрастом используется контраст на базе гадолиния, а при КТ мочевого пузыря с контрастом в состав контрастного вещества входит йод. Йодосодержащий контраст имеет более токсичную формулу, поэтому чаще вызывает аллергическую реакцию.
Подготовительные этапы к КТ и МРТ мочевого пузыря примерно одинаковы, а вот продолжительность сканирования различна. МСКТ занимает 5 минут, тогда как МР сканирование потребует от пациента 20 минут неподвижного лежания.
Магнитно-резонансная томография не несет в себе никакого облучения. Она использует для получения изображения эффект ядерного магнитного резонанса. КТ – это лучевой метод диагностики. Средняя нагрузка на организм при одном обследовании составляет 5-7 мЗв, поэтому диагностические центры стараются проводить мультиспиральную КТ при наличии направления от врача или соответствующих показаний.
а) Определение:
• Воспаление мочевого пузыря
б) Визуализация:
1. УЗИ при цистите:
• В-режим:
о Гипоэхогенный мочевой пузырь с утолщенными стенками
2. КТ при цистите:
• КТ с контрастированием:
о Острый: диффузное утолщение стенки мочевого пузыря, ± гиподенсные стенки мочевого пузыря (вследствие отека), ± гиперемия и инфильтрация околопузырной клетчатки
о Хроничекий: сморщенный, мочевой пузырь неправильной формы с утолщенными стенками
о Эмфизематозная фаза:
- Газ в стенках и просвете мочевого пузыря
3. МРТ при цистите:
• Гиперемированный мочевой пузырь с утолщенными стенками ± околопузырные воспалительные изменения

(Слева) КТ с контрастированием, аксиальный срез: газ в просвете и стенке мочевого пузыря, как и в чашечно-лоханочной системе аутотрансплантата, что соответствует эмфизематозному циститу/пиелиту. В анамнезе отсутствуют свежие данные инструментального исследования, объясняющие причину наличия интравезикального/интраренального газа.
(Справа) КТ с контрастированием, аксиальный срез: эксцентричное утолщение стенки мочевого пузыря с окопопузырными воспалительными изменениями, сравнимые с циститом, вероятно вследствие хронического раздражения постоянным катетером. Гиперемия стенки свидетельствует больше в пользу цистита, чем новообразования.
в) Дифференциальная диагностика цистита:
1. Недостаточное растяжение мочевого пузыря:
• Недостаточное растяжение мочевого пузыря может имитировать утолщение его стенки
2. Вторичное воспаление из очага внепузырной инфекции:
• Дивертикулит
• Сальпингит
3. Обструкция выходного отверстия мочевого пузыря:
• Утолщение стенки мочевого пузыря и образование трабекул из-за длительной обструкции
• Возникает обычно из-за увеличения простаты; другие причины включают в себя стриктуры уретры и наличие уретральных клапанов
• Типично увеличение объема остаточной мочи
4. Нейрогенный мочевой пузырь:
• Спастический нейрогенный мочевой пузырь приводит к значительному утолщению стенки мочевого пузыря и образованию трабекул
• Обычно встречается у пациентов с травмой спинного мозга и множественным склерозом
5. Рак мочевого пузыря:
• Обычно приводит к эксцентричному очаговому утолщению стенки мочевого пузыря ± сосочковым выростам в просвет
• Опухоль из слизистого/подслизистого слоя мягкотканной плотности (более низкой плотности, чем при цистите)

(Слева) КТ, аксиальный срез: выраженное утолщение стенки мочевого пузыря и наполненные кровью околопузырные кровеносные сосуды. Пациент получал терапию циклофосфамидом, который экскретируется с мочой, и эти изменения привели к воз никновению химического цистита. больные раком находятся в группе повышенного риска возникновения инфекционного цистита: анализ мочи очень эффективен при дифференцировании этих двух заболеваний.
(Справа) КТ, аксиальный срез у пациента с анамнезом недавнего внешнего радиационного облучения по поводу рака прямой кишки, определяется утолщение стенки мочевого пузыря, представляющее собой острый радиационно-индуцированный цистит.
г) Патология. Общая характеристика:
• Этиология:
о Инфекционный цистит:
- Бактериальный:
Трансуретральное заражение мочевого пузыря перинеальной флорой у сексуально активных женщин
Обструкция выходного отверстия мочевого пузыря и задержка мочи у мужчин
- Шистозоматоз: воспалительный ответ на отложение яиц в подслизистом слое мочевого пузыря
- Туберкулез: нисходящая инфекция из почки
- Эмфизематозный: инфецирование Escherichia coli, Enterobacter aerogenes или Candida; наблюдается у людей с иммуносуппрессией и у больных с сахарным диабетом
- Щелочная инкрустрация: инфицирование микроорганизмами, расщепляющими мочевину → щелочная реакция мочи + очаговый некроз → дистрофическая кальцификация
- Другие: вирусный, грибковый (Candida)
о Неинфекционный цистит:
- Механический: местное раздражение, вызванное постоянным катетером, камнем, инородным телом и др.
- Лекарственно-индуцированный: циклофосфамид (геморрагический цистит)
- Радиационно-индуцированный
- Идиопатический интерстициальный цистит: панцистит, вызывающий тяжелые императивные и частые позывы на мочеиспускание
д) Клинические особенности:
1. Клиническая картина:
• Наиболее частые признаки/симптомы:
о Дизурия, частые и императивные позывы к мочеиспусканию, гематурия, пиурия
2. Демография:
• Пол:
о М:Ж=1:10 (для бактериального цистита)
о У мужчин встречается менее часто из-за большей длины уретры и антибактериальных свойств простатической жидкости
• Эпидемиология:
о Встречается исключительно часто; приблизительная заболеваемость 0,5-0,7 человек в год среди сексуально активных женщин
3. Течение и прогноз:
• Факторы риска: половой контакт, использование спермицидов, урогенитальные аномалии, обструкция выходного отверстия мочевого пузыря, инородные тела, анамнез предшествующей инфекции мочеполового тракта
• Острый цистит (включающий эмфизематозный тип) хорошо поддается лечению антибиотиками
• Осложнения хронического цистита:
о Гиперплазированные гнезда уротелиальных клеток (гнезда фон Брунна), формирующиеся в подслизистом слое мочевого пузыря:
- Накопление жидкости → формирование псевдокисты (кистозный цистит)
- Трансформация в железы (железистый цистит)
о Плоскоклеточная метаплазия: трансформация уротелия в кератин-продуцирующие плоскоклеточные клетки:
- Могут наблюдаться белые пятна (лейкоплакия) на фокусах плоскоклеточной метаплазии
о Хроническая инфекция + нарушение функции макрофагов -грануломатозное воспаление (малакоплакия)
• Шистозоматоз: повышенный риск возникновения рака мочевого пузыря (особенно плоскоклеточного типа)
е) Список использованной литературы:
1. Amano М et al: Emphysematous cystitis: a review of the literature. Intern Med. 53(2)79-82,2014
2. Clemens JQ et al: Comparison of economic impact of chronic prostatitis/chronic pelvic pain syndrome and interstitial cystitis/painful bladder syndrome. Urology. 73(4)743-6, 2009
3. Myers DL: Interstitial cystitis. Med Health R I. 92(1):22—6, 2009
Компьютерная томография (КТ) мочевого пузыря

КТ мочевого пузыря — один из лучших способов получить подробную информацию о заболеваниях, патологиях и структуре органа.
КТ одного мочевого пузыря проводится достаточно редко, намного чаще врачи назначают комплексное обследование мочевыделительной системы, которое включает КТ почек, мочеточников, простаты.
Патологии мочевого пузыря составляют большую группу из заболеваний мочеполовой системы. Наиболее распространенными жалобами на заболевание мочевого пузыря являются микроскопическая и макроскопическая гематурия, дизурия и другие симптомы мочеиспускания.
Все эти симптомы могут быть связаны с воспалительными и неопластическими процессами, камнями, неврологическими, обструктивными или врожденными аномалиями. Урограмма, сонография, компьютерная томография, магнитно-резонансная томография и многие другие радиологические методы использовались в течение длительного времени для диагностики всех этих патологий. Однако КТ является стандартным диагностическим подходом для оценки многих состояний, когда другие методы могут быть мало-информативными.
Цистоскопия имеет свои недостатки, включая ее высокие затраты и инвазивность, которые могут привести к ятрогенным травмам мочевого пузыря и мочевому сепсису, поэтому КТ обычно рекомендуется в качестве неинвазивного радиологического метода диагностики для оценки состояния мочевого пузыря, но КТ тоже имеет некоторые недостатки, например, данное исследование имеет низкую чувствительность к обнаружению мелких повреждений.
Для КТ, чтобы изобразить небольшое поражение мочевого пузыря, должны быть выполнены оптимальные условия визуализации, включая адекватное растяжение и тонкое сканирование.
Показания к применению
Острая недиагностированная абдоминальная боль без ясной этиологии, которая сопровождается такими симптомами, как тошнота, рвота, диарея или проблемы с выведением мочи, является основным показанием для КТ мочевого пузыря.
Многие состояния могут быть связаны с признаками и симптомами в этой области. К ним относятся, но не ограничиваются ими, непроходимость кишечника, камни желчного пузыря или мочевого пузыря, злокачественные опухоли и осложнения воспаления или инфекции.
Там, где это применимо, контрастное вещество можно использовать для получения подробного описания данного органа и для выявления анатомических аномалий. КТ дает возможность получить подробную и полную информацию о мочевом пузыре. Данное исследование визуализирует все его стенки и полости, дает возможность увидеть наличие новообразований в данном органе, и точно оценить степень поражения органа.

Врач может назначить компьютерную томографию мочевого пузыря при наличии следующих особенностей, симптомов и нарушений функции:
- при наличии ощущения жжения или острой боли во время мочеиспускания;
- недержание мочи, если нет известных причин (например, беременность);
- периодическое появление стреляющих болей в области малого таза;
- при появлении симптома никтурии (учащенное мочеиспускание ночью);
- при изменении консистенции или запаха мочи;
- наличие примесей в моче;
- при подозрении на наличие новообразования в мочевом пузыре.
Абсолютным показанием для проведения компьютерной томографии мочевого пузыря является его травмирование, а также наличие стриктур.
Подготовка к процедуре
Перед тем, как пройти КТ, пациенту, возможно, придется удалить некоторые предметы одежды, аксессуаров, ювелирных изделий и металлов, поскольку они часто непрозрачны и могут мешать процессу сканирования и качеству результатов. В день проведения исследования пациенту нельзя ничего есть, за день до процедуры пациенту рекомендуется употреблять легкую пищу, которая не приведет к газообразованию. КТ проводится при полном мочевом пузыре.
КТ может быть противопоказано детям и беременным из-за того, что во время обследования используется лучевая нагрузка.
Для проведения КТ мочевого пузыря с контрастированием существует несколько больше противопоказаний. К ним относятся почечная недостаточность тяжелой стадии и аллергия на контрастное вещество. В отдельных случаях возможно затруднение обследования пациентов с лишним весом, так как некоторые аппараты ограничены в допустимой массе.
Что происходит во время процедуры
Любые названия лекарств, принимаемые пациентом в предшествующие дни, должны быть сообщены врачу, чтобы убедиться, что они не противопоказаны для процедуры. Кроме того, следует исключить возможность беременности, чтобы избежать негативного воздействия на развивающегося ребенка тератогенных эффектов радиации.
Пациент помещается в лежачее положение в КТ-сканер и должен оставаться неподвижным во время процедуры. Преимущество в положении лежа состоит в том, что оно позволяет лучше оценить мочевые камни в пузырно-мочеточниковом соединении. Результаты исследования оценивает рентгенолог, который затем создает отчет и отправляет его врачу, который отвечает за лечение пациента.
Риски КТ
Воздействие ионизирующего излучения является основным фактором риска, связанным с процедурой компьютерной томографии мочевого пузыря. Это может нанести ущерб биологическим тканям и повысить склонность, хотя и незначительно, к развитию рака в будущем.
Этот риск является совокупным за всю жизнь и представляет собой небольшую цену для оплаты возможности диагностики острых состояний, которые могут угрожать жизни и требуют срочной визуализации. Во время беременности предпочтительны альтернативные методы визуализации, где это возможно, такие как ультразвук или МРТ, которые не подвергают беременную женщину воздействию ионизирующей радиации.
Актуальность КТ мочевого пузыря
КТ может быть одинаково информативной как для первичного диагностирования, так и для дальнейшего наблюдения за хроническими заболеваниями мочевого пузыря в динамике. Очень часто КТ является незаменимой для врача, особенно в тех случаях, когда для постановки диагноза не хватает данных основных лабораторных исследований.
При появлении в моче крови, сомнительных примесей, или если ее оттенок, или запах изменился, нужно срочно сделать КТ.
КТ и МРТ – являются двумя методами исследования, которые принципиально похожи, они позволяют специалистам получить изображения очень высокой степени разрешения органов и тканей. Данные снимки в дальнейшем будут проходить обработку и фиксироваться на цифровых носителях и на пленке. Эти методы дают возможность специалистам для изучения результатов. Какой из данных методов лучше – КТ, или МРТ – может сказать только лечащий врач, в зависимости от клинической картины конкретного пациента.
Специальность: терапевт, врач-рентгенолог, диетолог .
Общий стаж: 20 лет .
Место работы: ООО “СЛ Медикал Груп” г. Майкоп .
Образование: 1990-1996, Северо-Осетинская государственная медицинская академия .
Что покажет КТ мочевого пузыря

КТ мочевого пузыря – это процедура высокоточного рентгеновского обследования данного органа мочевыделительной системы, расположенного в области малого таза. Метод компьютерной томографии привлекателен тем, что высокая информативность диагностики достигается без инвазивного вмешательства в организм пациента. Сверхточные трехмерные реконструкции мочевого пузыря и соседних структур получаются в результате послойного сканирования тканей при помощи мультиспирального компьютерного томографа с возможностью делать от 16 до 340 срезов за один оборот сканера. Благодаря такому принципу работы томограф способен уловить даже мельчайшие патологические отклонения в тканях и содержимом мочевого пузыря, что позволяет выявлять многие заболевания размером до 1 мм на самых ранних стадиях, в том числе и онкологию.
БЕСПЛАТНАЯ
КОНСУЛЬТАЦИЯ О ДИАГНОСТИКЕ
Если сомневаетесь, запишитесь на бесплатную консультацию.
Или проконсультируйтесь по телефону
Что такое спиральная компьютерная томография мочевого пузыря?
Компьютерная томография проходит с использованием рентгенологической установки и компьютера. Внутри кольца Гентри аппарата КТ расположены датчики и источник излучения рентгеновских лучей. Во время сканирования пучки рентгеновских лучей излучатель направляет на участки тела под различными углами. В процессе прохождения сквозь мягкие ткани и кости лучи по разному рассеиваются, что и определяют специальные датчики. Компьютер, обрабатывающий результаты, создает трехмерные проекции обследуемой области организма.
Результатом обследования становятся послойные изображения исследуемой области, которые, для более точной диагностики, могут быть объединены в объемную компьютерную проекцию. На ней врачи могут рассмотреть мельчайшие патологии и особенности строения мочевого пузыря, мочеточников, мочеиспускательного канала, расположения сосудов и лимфоузлов.
Это обследование чаще всего назначается в ситуациях, когда пациент жалуется на:
- острые боли в области мочевого пузыря;
- кровь в моче;
- болезненное мочеиспускание;
- жжение при мочеиспускании;
- недержание мочи;
- задержка мочи;
- частые циститы;
- травмы в области мочевого пузыря.
Достаточно часто компьютерная томография мочевого пузыря назначаются по результатам ультразвукового исследования, когда данные УЗИ носят тревожный характер или не дали достаточно информации, чтобы поставить окончательный диагноз. Если планируется хирургическое вмешательство в область мочевого пузыря, хирург выдает направление на КТ или МРТ органов малого таза, чтобы правильно спланировать ход операции.
Мультиспиральная компьютерная томография используется для диагностики заболеваний, оценки динамики уже выявленных патологий или подготовки к операции. МСКТ мочевого пузыря дает детальные показания, характеризующие состояния тканей органа, локализацию новообразований, инвазий, деформаций и наличие камней. На томограммах можно увидеть:
- нарушение целостности органа;
- отклонение от нормальных размеров;
- отложение солей, камни в мочевых путях и мочевом пузыре;
- кисты и крупные опухоли;
- увеличение и изменение формы органа;
- деформации мочевого пузыря;
- стенозы мочеточников;
- дивертикул;
- уретрит;
- интерстициальный цистит;
- пороки развития мочевого пузыря.
При онкопоиске компьютерная томография позволяет обнаружить местоположение опухоли, узнать ее качество, увидеть метастазы и окончательно уточнить ранее поставленный диагноз.
КТ мочевого пузыря с контрастом - когда нужно сделать?
При диагностировании онкологического заболевания часто назначают сделать КТ мочевого пузыря с контрастным усилением. За счет использования контраста на базе йода увеличивается тканевая контрастность, что делает визуализацию органов на снимках еще более четкой. КТ с контрастом позволяет безошибочно определить тип опухоли и ее кровоснабжение, установить размеры, форму, границы, степень распространения на соседние ткани и расположение образования. Эти данные являются очень важными для определения тактики ведения онко-пациента и прогнозирования исхода.
Как проходит томография
МСКТ мочевого пузыря проводят в медицинских центрах как по направлению врача, так и по личной инициативе пациента. Исключения составляют дети малого возраста, которым компьютерную томографию осуществляют исключительно по направлению врача при наличии серьезных медицинских показаний. Связаны такие ограничения с тем, что диагносты стремятся избегать облучения растущего организма ребёнка.
Процедура обследования несколько меняется в зависимости от того, будет ли использоваться контраст. Контрастное обследование начинается с установки пациенту катетера, к которому подключается автоматический инъектор. При нативном обследовании этот этап пропускается, и пациента сразу укладывают на стол томографа. Пока аппарат производит сканирование, обследуемый должен будет спокойно лежать, выполняя подаваемые по громкой связи команды по задержке дыхания. Время, затрачиваемое на КТ, напрямую зависит от того, насколько полное обследование будет проводиться. Бесконтрастная томография длится 5-7 минут. Процедура контрастирования добавляет 30-40 минут к общему времени исследования. На обработку результатов уходит 40-60 минут, после чего снимки и заключение выдаются пациенту в руки или отсылаются на электронную почту.
Подготовка
КТ мочевого пузыря требует от пациента определенной подготовки. Дело в том, что рядом с мочевым пузырем находится кишечник. Если работа кишечника будет активна, то мочевой пузырь может сместиться в сторону, тем самым сделав томографию мочевого пузыря затруднительной. Поэтому, за день до исследования желательно начать питаться диетической пищей. Она быстро усваивается и не дает перегрузки кишечника. Нередки ситуации, когда пациент страдает запором, и тогда нужно за день до МРТ выпить средство от запоров, либо сделать себе очистительную клизму.
Необходимо прийти на обследование натощак. Перерыв в еде должен составлять 4 часа. Перед обследованием за час нужно выпить умеренное количество жидкости - 1-2 стакана питьевой негазированной воды. Для качественной томографии мочевого пузыря нужно, чтобы орган был умеренно наполнен.
Противопоказания и ограничения
Компьютерная томография является относительно безопасным методом обследования, поскольку несет лучевую нагрузку на организм человека. Доза облучения может доходить до 7-10 мЗв за один сеанс сканирования. Поэтому, эта методика имеет ряд противопоказаний. Как и все виды КТ, данное обследование не применимо для беременных женщин. Даже незначительное воздействие ионизирующего излучения способно вызвать мутации плода.
Сложности с проведением МСКТ могут возникнуть, если у больного наблюдаются:
- клаустрофобия;
- лишний вес - масса тела более 150 кг;
- большие габариты - ширина обхвата превышает 140 см.
Противопоказания, связанные с контрастом
Процедуры по методу компьютерной томографии с применением контрастирующего вещества не проводится пациентам:
- с аллергией на йод;
- с повышенным уровнем креатинина;
- с заболеваниями щитовидной железы;
- с некоторыми формами диабета.
От чего зависит стоимость
Цена на КТ мочевого пузыря варьируется в зависимости от:
- срезовой мощности томографа;
- применения процедуры МСКТ мочевого пузыря с контрастом;
- комплексности обследования - только КТ мочевого пузыря или комплексная КТ органов малого таза.
МСКТ/КТ малого таза у женщин (КТ матки, влагалища, придатков, яичников, фаллопиевой трубы, мочевого пузыря, части мочеточников, прямой кишки, лимфатических узлов)
МСКТ/КТ малого таза у мужчин (КТ предстательной железы, мочевого пузыря, части мочеточников, семенного пузыря, прямой кишки, лимфатических узлов)
Что входит в стоимость
- Подготовка пациента
- Диагностика на томографе
- Расшифровка данных (томограмм)
- Оформление письменного заключения
- Запись снимков на носитель по выбору клиники (пленка, флешка, CD диск)
- Контрастное усиление при томографии с контрастом всегда оплачивается дополнительно, исходя из веса пациента.
- Варианты оборудования, установленного в наших центрах: компьютерные томографы 16 срезов, 32 срезов, 64 срезов, 124 срезов, 160 срезов, магнитно-резонансные томографы открытого типа 0.4Т, полуоткрытого типа 1.5Т, закрытого типа 1.5Т, полузакрытого типа 1.5Т закрытого типа 3.0Т
МРТ, УЗИ или КТ мочевого пузыря - что лучше
В диагностических центрах существует возможность оценить состояние мочевого пузыря тремя неинвазивными способами:
- Общедоступное и недорогое исследование;
- Не имеет противопоказаний;
- Можно проводить как взрослым, так и детям любого возраста;
- Хорошо подходит для первичного скрининга заболеваний мочевого пузыря;
- Способно показать крупные конкременты;
- Не позволяет оценить злокачественный потенциал новообразования;
- Нелучевая безопасная форма диагностики;
- Хорошо показывает природу объемных образований мочевого пузыря;
- Лучше всего подходит для поиска и выявления метастазов;
- Позволяет выявить опухолевые инвазии в соседние органы и ткани;
- Быстрая форма диагностики - исследование занимает всего 5-7 минут;
- Хорошо покажет наличие камней в мочевом пузыре и мочеточниках размером до 1 мм;
- Эффективна для диагностики различных форм стеноза и обструкции мочевыводящих путей и уретры.
Что лучше выбрать: МРТ, КТ или УЗИ мочевого пузыря? - это вопрос, на который должен давать ответ профессиональный врач. Его медицинские знания, понимание целей диагностики, первичный диагноз позволят подобрать наиболее подходящую форму сканирования. Если пациент по собственной инициативе хотел бы в профилактических целях обследовать мочевой пузырь, первым шагом нужно записаться на УЗИ мочевого пузыря.
- Воробьев A.B. Классификация и диагностика рака мочевого пузыря, вопросы дифференциальной диагностики. //Практическая онкология-2005.-Т.6.-№3-С. 141-147.
- Труфанов Г.Е., Петров С.Б., Мищенко A.B. и др. Лучевая диагностика опухолей почек, мочеточников и мочевого пузыря.-СПб. : ЭЛБИ-СПб.-2006.-198 с.
- Мищенко A.B. Возможности высокопольной магнитно-резонансной томографии в комплексной лучевой диагностике опухолевых образований почек, мочеточников и мочевого пузыря. Автореф. дисс.к.м.н.- СПб., 2003.-27 с.
- Чернышев И.В., Луценко П.Е., Буланова Т.В. Возможности низкопольной магнитно-резонансной томографии в диагностике новообразований мочевого пузыря. //Онкоурология.-2010.-№1.-С.4-11.
- Селиванов С.П. Диагностика и лечение поверхностного рака мочевого пузыря. Автореф. дис. д-ра мед. наук, СПб., 2001. 35с.
- Митина Л.A. Ультразвуковая диагностика новообразований мочевого пузыря: Автореф. дис. канд. мед. наук. — М., 1998. — 18 с.
- Строкова Л.А. Комплексная лучевая диагностика в определении стадии рака мочевого пузыря // Материалы 3-го Российского научного форума «Радиология-2002». М., 2002. - С. 15.
- Мазо Е.Б., Беличенко О.И., Шария М.А., Концедалов Д.В. Магнитно-резонансная томография в диагностике и стадировании рака мочевого пузыря // Урология. 2000. - № 1. - С. 43 16.

Где ведет приём: Санкт-Петербургский Центр СПИД

КТ и МРТ при онкологии имеет свои нюансы и особенности. Об этом мы и поговорим в этой статье. В России по различным данным статистики ежегодно диагностируется от 450 до 500 тысяч случаев заболевания онкологией. Заболеваемость раком в нашей стране, к сожалению, растет в среднем на 15% в год. Компьютерная томография (КТ) и магнитно-резонансная томография (МРТ) здесь становятся сильным подспорьем врачам в борьбе с этим страшным

Компьютерная томография, сокращенно КТ- это модернизированная форма хорошо всем знакомого рентгена. КТ выполняется с помощью специального аппарата. Для получения изображения обследуемого участка организма применяются рентгеновские лучи. В отличие от обычной процедуры рентгенографии, когда в результате исследования изображение на пленке получается двухмерным, компьютерный томограф выдает трехмерные картинки,

В настоящее время в медицине нарастает востребованность таких точных методов исследования без применения хирургического вмешательства, как КТ и МРТ. Эти неинвазивные методы исследования позволяют за одно сканирование безошибочно выявлять наличия патологий органов и систем человеческого организма даже на начальных стадиях. При наличии выбора между одним или другим видом исследования у пациентов может появиться вопрос: какой
Читайте также:
