КТ при фиброзной дисплазии шейных позвонков
Добавил пользователь Евгений Кузнецов Обновлено: 30.10.2025
Лучевая диагностика фиброзной дисплазии позвоночника (синдроме МакКьюна-Олбрайта)
а) Терминология: 
1. Сокращения: 
• Фиброзная дисплазия (ФД) 
2. Определения: 
• Моноостозная форма: единственный очаг поражения 
• Полиостозная форма: множественные очаги, нередко сочетание с нарушениями роста 
• Синдром МакКьюна-Олбрайта: полиостозная ФД, преждевременное половое созревание, кожные очаги в виде пятен «кофе с молоком»
б) Визуализация:
1. Общие характеристики: 
• Локализация: 
о Поражения позвоночника встречаются редко: 
- Большинство случаев с поражением позвоночника являются полиостозными формами заболевания 
- Дуга позвонка > тело позвонка
2. Рентгенологические данные фиброзной дисплазии позвоночника: 
• Рентгенография: 
о Веретеновидное утолщение кости 
о Истончение кортикального слоя 
о Характерно наличие матрикса, напоминающего «матовое стекло»: 
- Матрикс, однако, может быть представлен в виде как чисто литического, так и чисто склеротического очага 
- Может содержать островки хряща 
о Узкая переходная зона ± склерозированный край 
о Сколиоз
3. КТ при фиброзной дисплазии позвоночника: 
• Структура матрикса и переходная зона видны лучше, чем на рентгенограммах 
• Разрушение кортикального слоя встречается нечасто
4. МРТ при фиброзной дисплазии позвоночника: 
• Т1-ВИ: 
о Низкая или промежуточная интенсивность сигнала 
• Т2-ВИ FS: 
о Неоднородная промежуточная или высокая интенсивность сигнала 
• Т1-ВИ с КУ: 
о Вариабельное контрастное усиление
5. Радиоизотопные исследования: 
• Костная сцинтиграфия: 
о Минимальное или выраженное усиление захвата изотопа 
о Выраженность захвата изотопа не коррелирует с клиникой заболевания
6. Рекомендации по визуализации: 
• Наиболее оптимальный метод диагностики: 
о КТ: толщина среза 1-3 мм

 (Слева) Сагиттальный КТ-срез: тяжелый случай полиостозной формы фиброзной дисплазии (ФД) с поражением черепа, лицевого скелета и шейного отдела позвоночника. Некоторые очаги поражения имеют вид «матового стекла», тогда как другие-чисто литические. Также визуализируются отдельные фокусы кальцифицированного хряща. 
(Справа) На фронтальном КТ-срезе у этого же пациента не прослеживается трабекулярная структура большинства видимых на срезе костей вследствие замещения трабекул фиброзным матриксом. Истончение компактных пластинок плоских костей черепа является характерным признаком заболевания. 
в) Дифференциальная диагностика:
1. Аневризмальная костная киста (АКК): 
• Шарообразное увеличение объема дуги позвонка 
• Уровни жидкости на КТ и МР-изображениях 
• Может сочетаться с фиброзной дисплазией
2. Болезнь Педжета: 
• Изменения в литическую фазу процесса могут выглядеть аналогично ФД 
• Репаративная фаза отличается другими особенностями: утолщение кортикальных пластинок, грубые утолщенные костные трабекулы, увеличение объема кости
3. Остеобластома: 
• Обычно более четко виден костный матрикс 
• Может напоминать матрикс в виде «матового стекла»
4. Туберозный склероз: 
• Склеротические костные очаги 
• Характерные изменения головного мозга
5. Остеосаркома: 
• ± аморфный незрелый костный матрикс 
• Широкая переходная зона 
• Разрушение кортикального слоя, мягкотканный компонент 
• Периостальная реакция

 (Слева) Аксиальный КТ-срез: изменения различной плотности в пределах одного позвонка в сочетании с практически полным замещением костного мозга. Подобные изменения типичны для ФД и не должны служить основанием для подозрений на злокачественный характер процесса. 
(Справа) Аксиальный КТ-срез: литический очаг ФД в задних элементах позвонка. Наличие узкой переходной зоны (иногда склеротической) помогает отличить ФД от более агрессивных поражений. Тела позвонков обычно поражаются в меньшей степени, чем задние элементы. 
г) Патология:
1. Общие характеристики: 
• Генетика: 
о Спорадическая мутация гена GNAS 
• Сочетанные изменения: 
о Эндокринные нарушения: гиперпаратиреоз, акромегалия, преждевременное половое созревание, фосфатурия 
о Может сочетаться с АКК
2. Макроскопические и хирургическое особенности: 
• Белесые или бежевые очаги зернистой структуры
3. Микроскопия: 
• Строма образована рыхлой фиброзной тканью 
• Небольшие островки новообразованной кости («азбучный суп») 
• Иногда встречаются фокусы хрящевой ткани
д) Клинические особенности. Течение заболевания и прогноз: 
• Нарушения роста, патологические переломы часто наблюдаются при полиостозной форме заболевания 
• Изредка наблюдается саркоматозная трансформация с развитием остеосаркомы или злокачественной фиброзной гистиоцитомы
е) Диагностическая памятка. Следует учесть: 
• На основании данных лучевых методов исследования не следует путать заболевание с болезнью Педжета: 
о При болезни Педжета наблюдается утолщение кортикальных пластинок и костных трабекул 
о ФД приводит к истончению кортикальных пластинок и замещению костных трабекул фиброзной тканью
Фиброзная дисплазия
Фиброзная дисплазия — это заболевание, характеризующееся нарушением развития скелета, при котором нормальная кость замещается фиброзной тканью с элементами диспластически изменённой кости.
Фиброзная дисплазия расценивается как опухолеполобная гиперплазия в одной или одновременно в нескольких костях, которая сопровождается и внескелетными аномалиями.
Терминология
- Фиброзная дисплазия делится на следующие подтипы - монооссальная ФД — в 70-80% случаях. Чаще в промежутке от 20-30 лет - краниальная ФД
 - черубизм (СЕМЕЙНАЯ ФИБРОЗНАЯ ДИСПЛАЗИЯ ЧЕЛЮСТИ) — неистинная ФД — поражение верхней и нижней челюсти
 Эпидемиология Встречается до 30 лет в 75% случаях, с наибольшей частотой встречаемости в промежутке от 3 до 15 лет. Взаимосвязи с полом нет. Ассоциация - Хотя фиброзная дисплазия обычно спорадическая, ряд ассоциаций давно доказаны: - Синдром МакКьюн-Олбрайт — 2-3% случаях полиостальной формы.
- Изолированная форма с эндокринопатией без Синдром МакКьюн-Олбрайт у девочек — гипертиреоз, гиперпаратиреоз, акромегалия, сахарный диабет.
- Синдром Кушинга: остеопороз, акне, задержка роста
- Синдром Mazabraud: миксомы мягких тканей (редко); обычно множественные внутримышечные поражения в непосредственной близости от наиболее пострадавшей кости
 Клиническая картина - Пациент обращается за помощью, когда - Появляется асимметрия, например, парных костей или костей лица
- Появляется боль
- Появляются нарушения двигательной функции
- Появляются патологические переломы
 ![klinika]() Патология Макроскопические изменения - При макроскопическом исследовании определяются беловато-красные опухолевые очаги разной плотности, в зависимости от степени выраженности их минерализации. Имеются многочисленные кисты, заполненные желтоватой или красноватой жидкостью, и полупрозрачные участки хряща до 3 см в диаметре.
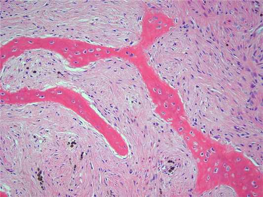
 ![makro]() Микроскопические изменения - Многочисленные остеоидные балки неправильной формы, лежащие в фиброзной ткани с небольшим числом остеобластов. Остеоидные балки представляют собой большей частью волокнистую, но не компактную кость.
- Мелкие участки остеоида могут быть обызвествлены. Известь откладывается, как правило, в центре балки. Имеются многоядерные клетки типа остеокластов, окаймляющие некоторые балки.
- В периферических отделах очаг фиброзной дисплазии без резкого перехода сливается с реактивной костью. Фиброзная строма местами коллагенизирована, кое-где миксоматозна, то богата клеточными элементами, то почти лишена их.
 - Фибробласты имеют то крупные овальные, то вытянутые и как бы сморщенные ядра. Между разрастаниями фиброзной ткани и остеоида встречаются островки хряща, обызвествленные по периферии. Принято думать, что такая картина весьма стабильна и сохраняется на протяжении многих лет и у детей, и у взрослых лиц.
- Хрящевые островки присутствуют в 10% случаях, что является отличительной чертой от хондросаркомы
- При ФД нет ободка остеобластов, что позволяет дифференцировать от оссифицирующей фибромы
 ![mikro]() Подтипы - монооссальная ФД — в 70-80% случаях. Чаще в промежутке от 20-30 лет
- полиоссальная ФД — 20-30% случаях. Чаще проявляется до 8 лет
 Типичная локализация ![1]() - Монооссальная ФД- ребер: 28%, наиболее распространенных 6,7
- проксимальный отдел бедренной кости: 23%
- голень
- черепно-лицевая кость: 10-25% 4
- плечо
 - Полиоссальная ФД- часто односторонних: в пределах одной конечности 6
- бедра: 91%
- голени: 81%
- таз: 78%
- ноги: 73%
- ребра
- черепа и кости лица: 50% 4
- верхняя конечность
- поясничный отдел позвоночника: 14%
- ключица: 10%
- шейный отдел позвоночника: 7%
 Радиологические находки - Рентгенологическая картина фиброзной дисплазии разнообразна.
- Патологические участки могут быть то более плотными, то более прозрачными по сравнению с окружающей костью, иногда имеют вид «матового стекла».
- Одни очаги четко отграничены зоной склероза, контуры других расплывчатые, что особенно характерно для костей черепа.
- Нередко выявляются узуры в кортикальном слое, а при наличии перелома — отчетливая периостальная реакция.
 КТ - затемнение по типу матового стекла: 56% 4
- очаг однородный склеротический: 23%
- очаг кистозный: 21%
- очаг с четко определенными границами
- расширение костей с интактными вышележащими костями
 МРТ - МРТ не является методом 100% в дифференциации фиброзной дисплазии от злокачественных образований
- Т1: неоднородный сигнал, как правило, промежуточный
- Т2: неоднородный сигнал, обычно гипоинтенсивный, но бывает с гиперинтенсивными участками
- Т1 с+ (Gd): гетерогенное контрастирование 4
 Ядерная медицина - Визуализируется увеличение индикаторного поглощения Tc99 при сканирование костей
- (очаги остаются метаболически активными и во взрослой жизни).
 ![nuklear]() Осложнения - Дедифференциация до - остеосаркомы — наиболее чаще
- фибросаркомы
- злокачественной фиброзной гистиоцитомы
- реже до хондросаркомы
 Дифференциальный диагноз - Болезнь Педжета - гистологически мозаичные включения в костях
- радиографическимогут быть схожи
 - Нейрофиброматоз 1 типа
 - Остеофиброзная дисплазия
 - Не-оссифицирующая фиброма
 - Гигантско-клеточная опухоль
 Клинические случаи Этот 23-летний мужчина упомянул, чтобы была травма и теперь жалуется на боль и отек левой голени. Этот 33-летний мужчина жалуется на невыносимые головные боли. Источник 4. Chong VF, Khoo JB, Fan YF. Fibrous dysplasia involving the base of the skull. AJR Am J Roentgenol. 2002;178 (3): 717-20. AJR Am J Roentgenol (full text) — Pubmed citation 5. Brown EW, Megerian CA, Mckenna MJ et-al. Fibrous dysplasia of the temporal bone: imaging findings. AJR Am J Roentgenol. 1995;164 (3): 679-82. AJR Am J Roentgenol (abstract) — Pubmed citation 6. Fitzpatrick KA, Taljanovic MS, Speer DP et-al. Imaging findings of fibrous dysplasia with histopathologic and intraoperative correlation. AJR Am J Roentgenol. 2004;182 (6): 1389-98. AJR Am J Roentgenol (full text) — Pubmed citation 7. Kransdorf MJ, Murphey MD. Diagnosis please. Case 12: Mazabraud syndrome. Radiology. 1999;212 (1): 129-32. Radiology (full text) — Pubmed citation 
 98. Maramattom BV. Leontiasis ossea and post traumatic cervical cord contusion in polyostotic fibrous dysplasia. Head & Face Medicine. 2006;2 (1): 24. doi:10.1186/1746-160X-2-24 — Free text at pubmed — Pubmed citation 9. Larheim TA, Westesson P. Maxillofacial Imaging. Springer Verlag. (2008) ISBN:3540786856. Read it at Google Books — Find it at Amazon 
 killКТ при фиброзной дисплазии шейных позвонкова) Терминология: 1. Аббревиатура: 
 • Фиброзная дисплазия (ФД)2. Определение: 
 • Доброкачественное фиброзно-костное поражение, характеризующееся формированием незрелой ретикулофиброзной кости и фиброзной стромы1. Общая характеристика: 
 • Локализация:
 о Невральная дуга > тело позвонка
 о Моностотическая форма (70%) > полиостотическая
 о Моностотическая ФД позвоночника нетипична (только 1,4%):
 - В 36% случаев при моностотической ФД позвоночника поражаются шейные позвонки
 о Полиостотическая форма: поражение шейных позвонков в 7% случаев:
 - Поражение шейного отдела позвоночника чаще наблюдается при полиостотической ФД
 - Сопутствующие нарушения роста
 о Синдром МакКьюна-Олбрайта: полиостотическая ФД, преждевременное половое созревание, пятна «кофе с молоком»
 о Синдром Мазабрауда: сопутствующие миксомы мягких тканей![Лучевая диагностика фиброзной дисплазии шейных позвонков]() (Слева) На аксиальной КТ в костном окне у пациента с полиостотической фиброзной дисплазией определяется «чистое» склеротическое поражение боковой массы С1, обнаруженное случайно. 
 (Справа) На аксиальной КТ без КУ определяется поражение С2 с различной внутренней структурой. Тело и левая невральная дуга вздуты. Большая часть патологического очага имеет плотность «матового стекла». Также определяется очаговый склероз видны маленькие кистозные участки.2. Рентгенография при фиброзной дисплазии шейных позвонков: 
 • Рентгенологические признаки:
 о Веретеновидное вздутие, интактные кортикальные пластинки ± истончение кортикальных пластинок
 о Матрикс в виде «матового стекла» ± очаги, выглядящие кистозными:
 - Могут присутствовать островки хряща
 • Узкая переходная зона ± склеротические края3. КТ при фиброзной дисплазии шейных позвонков: 
 • Позволяет лучше, чем рентгенография оценить матрикс и переходную зону4. МРТ при фиброзной дисплазии шейных позвонков: 
 • Т1 ВИ:
 о Сигнал от низкой до промежуточной интенсивности
 • Т2 ВИ FS:
 о Неоднородный сигнал от промежуточной до высокой интенсивности
 о Гиподенсный ободок (кортикальная пластинка)
 • Т1 ВИ С+:
 о Вариабельное накопление контраста5. Сцинтиграфия: 
 • Остеосцинтиграфия:
 о Легкое - выраженное накопление радионуклида, ↓ с возрастом6. Рекомендации по визуализации: 
 • Лучший метод визуализации:
 о КТ: срезы толщиной 1-3 мм![Лучевая диагностика фиброзной дисплазии шейных позвонков]() (Слева) На аксиальной КТ в костном окне у пациента с полиостотической фиброзной дисплазией определяется поражение С2 и нижней челюсти. Поражение краниофациальных структур типично для полиостотической формы. Определяется характерное вздутие пораженных костей, участки «матового стекла» смешаны с рентгенонегативными очагами. 
 (Справа) На корональной КТ в костном окне у пациента с полиостотической фиброзной дисплазией трабекулы в большей части пораженных костей замещены матриксом с плотностью «матового стекла» и не видны. Истончение замыкательных пластинок костей черепа - характерный признак.в) Дифференциальная диагностика фиброзной дисплазии шейных позвонков: 1. Аневризматическая костная киста: 
 • Баллонообразное вздутие невральной дуги
 • Уровни «жидкость-жидкость» на КТ или МРТ
 • Может сочетаться с фиброзной дисплазией2. Болезнь Педжета: 
 • В литической стадии может выглядеть аналогично ФД
 • Болезнь Педжета: утолщение кортикальных пластинок и трабекул
 • ФД: истончение кортикальных пластинок и замещение трабекул3. Остеобластома: 
 • Обычно более дискретное объемное образование кости
 • Может напоминать матрикс в виде «матового текла»4. Туберозный склероз: 
 • Склеротические поражения костей
 • Характерные нарушения головного мозга5. Остеосаркома: 
 • ± аморфный матрикс, образованный незрелой костью
 • Широкая переходная зона, периостальная реакция, деструкция кортикальной пластинки, мягкотканная опухоль1. Общая характеристика: 
 • Генетика:
 о Спорадическая мутация в гене GNAS1
 • Сопутствующие нарушения:
 о Эндокринные нарушения: гиперпаратиреоз, акромегалия, преждевременное половое созревание, фосфатурия
 о Может сочетаться с аневризматической костной кистой2. Макроскопические и хирургические особенности: 
 • Очаги белого цвета или цвета загара, зернистой консистенции3. Микроскопия: 
 • Строма из мягкой фиброзной ткани
 • Мелкие спикулы незрелой ретикулофиброзной ткани:
 о Картина «алфавитного супа» или «иероглифов»
 • Иногда обнаруживаются островки хрящевой тканид) Клинические особенности: 1. Проявления: 
 • Типичные признаки/симптомы:
 о Обычно случайная находка; боль2. Демография: 
 • Возраст:
 о Полиостотическая форма: 1-2 десятилетие
 о Моностотическая спинальная форма: 3-5 десятилетие
 • Пол:
 о М=Ж
 • Эпидемиология:
 о 7% всех доброкачественных опухолей скелета3. Течение и прогноз: 
 • Поражение позвоночника обычно не приводит к значительным последствиям
 • Нарушение роста, патологический перелом, сколиоз (40%): часто обнаруживаются при полиостотической форме
 • Саркоматозная трансформация (редко)Фиброзная дисплазия ( Болезнь Лихтенштейна , Болезнь Лихтенштейна-Брайцова , Болезнь Лихтенштейна-Яффе )Фиброзная дисплазия – это поражение кости, при котором участок нормальной костной ткани замещается соединительной тканью с включением костных трабекул. Относится к категории опухолеподобных заболеваний, может быть локальной или распространенной, поражать одну или несколько костей. Проявляется болями, деформацией, укорочением или удлинением сегмента и патологическими переломами. Диагноз выставляется на основании рентгенографии, МРТ, КТ и других исследований. Лечение обычно хирургическое – резекция пораженного участка кости с замещением дефекта. МКБ-10Общие сведенияФиброзная дисплазия (болезнь Лихтенштейна, болезнь Лихтенштейна-Яффе или болезнь Лихтенштейна-Брайцова) – системное поражение скелета. Симптомы обычно выявляются еще в детстве, но возможно и позднее начало. В литературе описаны случаи, когда монооссальная фиброзная дисплазия впервые диагностировалась у людей пенсионного возраста. Женщины болеют чаще мужчин. Возможно перерождение в доброкачественную опухоль; озлокачествление наблюдается редко. Заболевание впервые было описано в первой половине 20 века. В 1927 году российский хирург Брайцов сделал доклад о клинических, микроскопических и рентгенологических признаках очагового фиброзного перерождения кости. В 1937 году Олбрайт описал многоочаговую фиброзную дисплазию, сочетающуюся с эндокринными нарушениями и характерными изменениями кожи. В том же году Альбрехтом была описана многоочаговая дисплазия в сочетании с преждевременным половым созреванием и нечеткой кожной пигментацией. Чуть позже Яффе и Лихтенштейн исследовали одноочаговые поражения и опубликовали выводы о причинах их возникновения. ПричиныФиброзная дисплазия относится к категории опухолеподобных заболеваний, но не является истинной опухолью костей. Возникает вследствие неправильного развития остеогенной мезенхимы (ткани, из которой в последующем образуется кость). Причины развития не ясны, не исключена генетическая предрасположенность. КлассификацияВ травматологии и ортопедии выделяют две основные формы фиброзной дисплазии: монооссальную (с поражением одной кости) и полиоссальную (с поражением нескольких костей, обычно расположенных на одной стороне тела). Полиоссальная форма развивается в детском возрасте и может сочетаться с эндокринными нарушениями и меланозом кожи (синдром Олбрайта). Монооссальная форма может манифестировать в любом возрасте, эндокринопатий и пигментации кожи у пациентов не наблюдается. Российские специалисты используют клиническую классификацию Зацепина, включающую следующие формы заболевания: - Внутрикостная форма. Может быть монооссальной или полиоссальной. В кости образуются единичные или множественные очаги фиброзной ткани, в ряде случаев наблюдается перерождение кости на всем протяжении, однако структура коркового слоя сохранена, поэтому деформации отсутствуют.
- Тотальное поражение кости. Страдают все элементы, включая кортикальный слой и область костномозгового канала. Из-за тотального поражения постепенно формируются деформации, часто возникают усталостные переломы. Обычно наблюдается полиоссальное поражение длинных трубчатых костей.
- Опухолевая форма. Сопровождается разрастанием очагов фиброзной ткани, которые иногда достигают значительных размеров. Выявляется редко.
- Синдром Олбрайта. Проявляется полиоссальным или практически генерализованным поражением костей в сочетании с эндокринными расстройствами, преждевременным половым созреванием у девочек, нарушением пропорций тела, очаговой пигментацией кожи, тяжелыми деформациями конечностей и костей туловища. Сопровождается прогрессирующими нарушениями со стороны различных органов и систем.
- Фиброзно-хрящевая дисплазия. Появляется преимущественным перерождением хряща, нередко наблюдается трансформация в хондросаркому.
- Обызвествляющая фиброма. Особая форма фиброзной дисплазии, встречается очень редко, обычно поражает большеберцовую кость.
 Симптомы фиброзной дисплазииВыраженные врожденные деформации обычно отсутствуют. При полиоссальной форме первые симптомы появляются в детстве. Поражение костей сопровождается эндокринопатиями, пигментацией кожи и нарушением деятельности сердечно-сосудистой системы. Проявления болезни достаточно разнообразны, наиболее постоянными признаками являются незначительные боли (обычно в бедрах) и прогрессирующие деформации. Иногда болезнь диагностируется только при возникновении патологического перелома. Обычно при полиоссальной форме наблюдается поражение трубчатых костей: большеберцовой, бедренной, малоберцовой, плечевой, лучевой и локтевой. Из плоских костей чаще страдают кости таза, кости черепа, позвоночник, ребра и лопатка. Нередко выявляется поражение костей кистей и стоп, при этом кости запястья остаются интактными. Степень деформации зависит от локализации очагов фиброзной дисплазии. При возникновении процесса в трубчатых костях верхних конечностей обычно наблюдается только их булавовидное расширение. При поражении фаланг пальцы укорачиваются, выглядят «обрубленными». Кости нижних конечностей искривляются под тяжестью тела, возникают характерные деформации. Особенно резко деформируется бедренная кость, в половине случаев выявляется ее укорочение. Из-за прогрессирующего искривления проксимальных отделов кость приобретает форму бумеранга (пастушьего посоха, хоккейной клюшки), большой вертел «сдвигается» вверх, иногда достигая уровня тазовых костей. Шейка бедра деформируется, возникает хромота. Укорочение бедра может составлять от 1 до 10 см. При формировании очага в малоберцовой кости деформация конечности отсутствует, при поражении большеберцовой кости может наблюдаться саблевидное искривление голени или замедление роста кости в длину. Укорочение обычно менее выражено, чем при очаге в бедренной кости. Фиброзная дисплазия подвздошной и седалищной костей вызывает деформацию тазового кольца. Это, в свою очередь, негативно влияет на позвоночник, провоцируя нарушения осанки, сколиоз или кифоз. Ситуация усугубляется, если процесс одновременно поражает бедро и кости таза, поскольку в подобных случаях ось тела еще больше нарушается, а нагрузка на позвоночник – увеличивается. Монооссальная форма протекает более благоприятно, внекостные патологические проявления отсутствуют. Выраженность и характер деформаций сильно варьируют в зависимости от локализации, размера очага и особенностей поражения (тотальное или внутрикостное). Могут наблюдаться боли, хромота и повышенная утомляемость после нагрузки пораженного сегмента. Как и при полиоссальной форме, возможны патологические переломы. ДиагностикаДиагноз выставляется ортопедом-травматологом на основании клинической картины и данных рентгенологического исследования. На начальном этапе на рентгеновских снимках в области диафиза или метафиза пораженной кости выявляются зоны, по виду напоминающие матовое стекло. Затем пораженный участок приобретает характерный крапчатый вид: очаги уплотнения чередуются с участками просветления. Хорошо видна деформация. При обнаружении одиночного очага необходимо исключить множественное поражение костей, которое на начальных стадиях может протекать бессимптомно, поэтому больных направляют на денситометрию. При наличии подозрительных участков выполняют рентгенографию, при необходимости используют КТ кости. Следует учитывать, что фиброзная дисплазия, особенно монооссальная, может представлять значительные трудности в процессе диагностики. При нерезко выраженной клинической симптоматике нередко требуется длительное динамическое наблюдение. Для исключения других заболеваний и оценки состояния различных органов и систем могут потребоваться консультации фтизиатра, онколога и терапевта. В отдельных случаях показан осмотр кардиолога, эндокринолога или иных специалистов. Лечение фиброзной дисплазииЛечение преимущественно хирургическое – полная сегментарная резекция пораженного участка кости в пределах здоровых тканей и замещение дефекта костным трансплантатом. При патологическом переломе накладывают аппарат Илизарова. При множественных поражениях проводят профилактические мероприятия, направленные на предотвращение деформаций и патологических переломов. Прогноз и профилактикаПрогноз для жизни благоприятный. В отсутствие лечения, особенно при полиоссальной форме, могут возникать грубые калечащие деформации. Иногда очаги дисплазии перерождаются в доброкачественные опухоли (гигантоклеточную опухоль или неоссифицирующую фиброму). У взрослых описано несколько случаев злокачественного перерождения в остеогенную саркому. Специфическая профилактика отсутствует из-за неясной этиологии заболевания. 2. Фиброзная дисплазия. Клинические рекомендации / Общероссийская общественная организация Ассоциация травматологов-ортопедов России (АТОР) - 2016 Фиброзная дисплазия на КТ - что покажет![]() Фиброзная дисплазия - это редкое заболевание костей, при котором развивается фиброзная ткань. Она может ослабить пораженную кость и привести к ее деформации или перелому. В большинстве случаев фиброзная дисплазия возникает на одном участке в одной кости, но может появиться на нескольких участках в нескольких костях. Поражение одной кости обычно происходит у подростков и молодых пациентов. У пациентов с поражением более 1-й кости симптомы обычно появляются в возрасте до 10 лет. Хотя фиброзная дисплазия костей является генетическим заболеванием, она вызывается генной мутацией, которая не передается от родителей к детям. Лекарства от этого заболевания не существует. Лечение, которое может включать хирургическое вмешательство, направлено на облегчение боли и восстановление или стабилизацию костей. Симптомы фиброзной дисплазии костейФиброзная дисплазия костей может не вызывать признаков, особенно если заболевание протекает в легкой форме. Более тяжелая фиброзная дисплазия провоцирует следующие симптомы: - слабая или умеренная тупая боль в костях
- отек
- деформация костей
- переломы костей, особенно рук или ног
- искривление костей ног.
 Фиброзная дисплазия костей может поражать любую кость в организме, но наиболее часто страдают следующие кости: бедренная кость, большеберцовая кость, плечевая кость, череп, ребра, кости таза. В редких случаях фиброзная дисплазия может быть связана с синдромом, который влияет на гормонопродуцирующие железы эндокринной системы. К таким нарушениям относятся: - раннее половое созревание
- чрезмерно активная выработка гормонов
- светло-коричневые пятна на коже.
 Усиление боли в костях также может быть связано с нормальными гормональными изменениями во время менструального цикла или беременности. Пациенту следует записаться прием к хирургу при следующих признаках: - боль в костях, которая усиливается при нагрузке или не проходит после отдыха
- боль в костях, которая мешает спать
- боли при ходьбе
- отек
- изменение формы кости
- разница в длине конечностей.
 Фиброзная дисплазия костей связана с генной мутацией, присутствующей в определенных клетках, которые производят костную ткань. Мутация приводит к образованию незрелой и неправильной костной ткани. Обычно рост костного очага прекращается в период полового созревания. Однако во время беременности поражение может вырасти снова. Генная мутация, связанная с фиброзной дисплазией, происходит после зачатия, на ранних стадиях развития плода. Поэтому мутация не наследуется от родителей. ОсложненияТяжелая фиброзная дисплазия может вызвать: - деформацию костей или перелом. Ослабленный участок пораженной кости может привести к ее изгибу. Такие ослабленные кости также более склонны к переломам
- потеря зрения и слуха. Глазные и ушные нервы могут быть окружены пораженной костью. Сильная деформация лицевых костей может привести к потере зрения и слуха, но это редкое осложнение
- артрит. При деформации костей ног и таза в суставах этих костей может развиться артрит
- рак. В редких случаях пораженный участок кости может стать раковым. Это редкое осложнение обычно поражает только людей, прошедших лучевую терапию.
 КТ в диагностике фиброзной дисплазии костейОсновным инструментом для диагностики фиброзной дисплазии является компьютерная томография. На КТ снимках поражение фиброзной дисплазией часто описывают как «матовое стекло». Это заболевание может быть диагностировано даже у пациента без симптомов, которому сделали КТ по другим причинам. Компьютерная томография также может помочь хирургу определить, какая часть кости поражена и есть ли в ней деформация. КТ признаки фиброзной дисплазии включают: - утолщение диплоического пространства
- кистозные, смешанные изменения костей, а также изменение из структуры по типу «матового стекла»
- при кистозном характере может иметь толстую склеротическую “кожуру”.
 Для подтверждения диагноза или исключения других заболеваний могут быть использованы дополнительные исследования: Читайте также: - Кольпоцефалия - клиника, диагностика
- Рожистое воспаление уха (рожа) и его лечение
- Полиневропатии. Причины полиневропатий. Патогенез полиневропатий.
- Классификация недержания кала. Ночной энкомпрез.
- Гормоны аденогипофиза и их эффекты в организме. Cоматотропин. Пролактин. Тиреотропин. Фоллитропин (ФСГ). Адренокортикотропный гормон (АКТГ).
 
 
 
 
 
 
 
 
- монооссальная ФД — в 70-80% случаях. Чаще в промежутке от 20-30 лет 








